Рабдомиосаркома височной кости - лучевая диагностика
Добавил пользователь Morpheus Обновлено: 03.11.2025
Рабдомиосаркома — это злокачественное новообразование, происходящее из мезенхимальных клеток, которые впоследствии дифференцируются в поперечнополосатые (скелетные) мышцы, но несмотря на это может возникать даже в тех местах, где нет мышц данного типа. Рабдомиосаркома является одной из наиболее часто встречающихся детских сарком, составляет 3-5% от всех опухолей детского возраста. Процент рабдомиосарком среди всех сарком мягких тканей приближается к 50%. [1]
Существует три основных гистологических группы рабдомиосарком, из которых эмбриональная составляет около 60% случаев, альвеолярная — 30% и плеоморфная, с самой низкой частотой встречаемости, — около 9-14%. Частота встречаемости рабдомиосаркомы: 4,3 случая на 1000000 детей и подростков младше 20 лет. В двух третях случаев данная нозология диагностируется у детей младше 6 лет. Мальчики заболевают чаще девочек, возрастное распределение 1,4:1 в пользу мальчиков. [2] Практически 35% рабдомиосарком возникает в области головы и шеи и зависимости от расположения, они делятся на параменингеальные (50%), периорбитальные (25%) и непараменингеальные (20%). [1, 3-5]
По результатам исследования проведенного в 2017 г., включавшего 69 пациентов с рабдомиосаркомами, было выявлено, что у 37,7% детей возникали отдаленные метастазы, а у 27,5% пациентов метастазы были обнаружены на момент первичного исследования. [6] Метастазы рабдомиосаркомы могут распространяться путем локальной инвазии, а также гематогенным и лимфогенным путями. Чаще всего метастазы обнаруживаются в легких, костях и лимфатических узлах. Кроме того имеются данные об обнаружении отдаленных метастазов рабдомиосаркомы в коже, яичках, промежности и эпидуральном пространстве. Нам удалось найти четыре случая рабдомиосарком с метастазированием в спинной мозг и по его оболочкам. [7, 8, 9, 10]
Клинический случай
Росла и развивалась согласно возрасту. На диспансерном учете у узких специалистов не стояла. Из перенесенных заболеваний: ОРВИ 1-2 раза в год, в 3 года переболела ветряной оспой. Из анамнеза заболевания известно, что ребенок заболел внезапно в возрасте 4-х лет, когда впервые пожаловалась на выраженную головную боль. Девочка стала раздражительна, плаксива. Спустя 3 дня от жалоб родители обратились за консультацией по месту жительства и где при компьютерной томографии и магнитно-резонансной томографии головы выявили объемное мягкотканное образование, распространяющееся в заглоточное и окологлоточное пространство слева, вызывающее деструкцию ската затылочной кости и пирамиды височной кости слева.
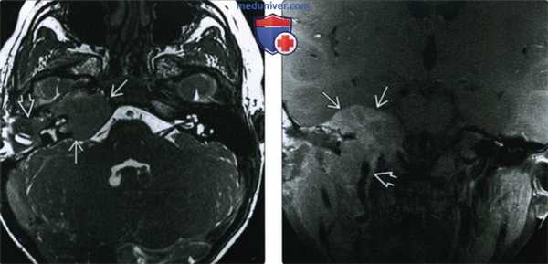
В НМИЦ ДГОИ на основании данных анамнеза, медицинской документации с м/ж, лабораторных и инструментальных методов обследования, миелограммы и результатов трепанобиопсии был верифицирован диагноз: «Эмбриональная рабдомиосаркома окологлоточного пространства слева с распространением в параменингеальную область, височную кость». В виду интракраниального распространения опухоли, пациентке была выполнена МРТ ЦНС с болюсным контрастным усилением.
На серии полученных томограмм визуализировалось первичное образование в проекции височной кости с интракраниальным распространением, которое имело гиперинтенсивный сигнал на Т2 ВИ, изоинтенсивный сигнал на Т1ВИ, с признаками активного ограничения диффузии и интенсивного накопления контрастного препарата. По-мимо этого, на томограммах спинного мозга, выполненных в сагиттальных проекциях, дополненных аксиальными проекциями на всем протяжении, было выявлено активное, равномерное, с наличием узловых образований, патологическое накопление парамагнетика во всех отделах спинного мозга. Патологические очаги накопления в спинном мозге и по его оболочкам были интерпретированы как отдаленные метастазы рабдомиосаркомы.
Эмбриональная рабдомиосаркома мягких тканей височной области 5/5 (1)
рабдомиосаркома — это злокачественное образование развивающееся из поперечнополосатой мускулатуры или эмбриональных зачатков мышечной ткани.
Выделяют несколько типов радомиосарком:
- Эмбриональная. Наиболее распространенный тип у детей младшего возраста Может встречаться где нет поперечнополосатых мышц. Чаще всего локализуется в области головы, шеи, таза.
 - Альвеолярная. Встречается у детей старшего возраста и подростков. Чаще локализуется в мышцах конечностей, туловища, таза.
 - Плеоморфная. Не характерна для детей (взрослые от 30 до 50 лет). Локализуется в основном на конечностях.
 
Отличительной особенностью рабдомиосарком является сосуществование субпопуляций клеток, характеризующихся переменной степенью миогенной дифференциации, особенно в эмбриональной рабдомиосаркоме, которые могут играть определенную роль в эволюции опухоли. Более дифференцированные опухолевые клетки эмбриональных рабдомиосарком обладают высокой миграционной активностью и способны вторгаться в неизмененную ткань (инвазировать). Метаболиты, высвобождающиеся из разрушенных тканей дают энергию для менее дифференцированных клеток, которые характеризуются быстрым делением. В следствие чего визуализируется агрессивный инфильтративный рост опухоли в окружающие ткани и органы.
Из-за повышенной способности к хемотаксису опухолевые клетки попадают в кровеносные или лимфатические сосуды, где клетки реагируют на многие хемоатрактанты и мигрируют к определенному органу (легкие, кости, костный мозг, периферическая нервная система) в ответ на эти сигналы. Циркулирующие опухолевые клетки могут активировать каскад реакций коагуляции и системы комплименты, что выраженно усугубляет процесс метастазирования. И в последнем случае метастазы могут быть крайне многочисленны.
МР-семиотика:
Эмбриональная рабдомиосаркома представлена в виде образования. Которое имеет солидную структуру – неоднородный изо-/гипоинтенсивный сигнал на T1WI, неоднородный умеренно гиперинтенсивный сигнала на T2WI и STIR. Опухоль активно неравномерно накапливает контрастный препарат и ограничена в диффузии. Кальцинаты и кровоизлияния не типичны. Метастазы, как правило, имеют схожую структуру и характер накопления парамагнетика с основной опухолью.
Дифференциальная диагностика альвеолярной рабдомиосаркомы:
Образование данной локализации необходимо дифференцировать с остеогенной саркомой, саркомой Юинга, лимфомой.
Данный случай интересен наличием характерной картины эмбриональной рабдомиосаркомы височной области с интракраниальным распространением и типичным близлежащим лимфагенным метастазированием.
В левой височной области с распространением в подвисочную и крылонебную ямки, интракраниальным и внутриглазничным ростом определяется узловое образование солидной структуры, с четкими, бугристыми контурами. Опухоль распространяется интракраниально за счет разрушения чешуи височной кости и большого крыла клиновидной кости, интраглазнично за счет разрушения левого скулового отростка лобной кости. Кистозный компонент по латеральной поверхности образования соответствует послеоперационным изменениям – биопсия (зеленая стрелка). Допоолнительно узловые образования со схожей структурой и характером накопления контрастного препарата визуализируются в левой слюнной железе и лимфатическом узле задней верхней яремной группы (IIB).
Рабдомиосаркома височной кости - лучевая диагностика
КТ, МРТ при рабдомиосаркоме височной кости
а) Определение: 
• Редкая деструктивная опухоль височной кости у детей: 
о Возникает из эмбриональных клеток-предшественников скелетных мышц или полипотентных мезенхимальных клеток
б) Визуализация:
1. Общая характеристика: 
• Лучший диагностический критерий: 
о КТ В-костей: деструктивная опухоль среднего уха-сосцевидного отростка или вершины пирамиды (ВП) + вариабельное контрастное усиление 
о МРТ Т1 FS C+: инвазивная опухоль среднего уха-сосцевидного отростка или ВП у ребенка, неправильной формы, накапливающая контраст 
• Локализация: 
о Среднее ухо ± сосцевидный отросток или ВП: 
- Или прямое распространение из других параменингиальных зон: носоглотки, жевательного пространства, крылонебной ямки, окологлоточного пространства 
о Вероятные зоны распространения при поражении височной кости: 
- Кнаружи в НСП 
- Кнутри в ВСП через канал ЧН VII 
- Краниально в среднюю черепную ямку через крышу барабанной полости или сосцевидной пещеры 
- Кзади в заднюю черепную ямку: прямое или периневральное распространение (канал ЧН VII → ВСК → задняя ямка) 
- Каудально в каротидное пространство через сонный канал или яремное отверстие 
- Кпереди - каудально через ВНЧС, жевательное или паротидное пространство 
• Размер: 
о Зависит от локализации опухоли, чаще всего >3 см 
о Заполняет среднее ухо и сосцевидный отросток, распространяется внутрь полости черепа 
• Морфология: 
о Плохо отграниченная, местно деструктивная опухоль

 (Слева) При аксиальной КТ с КУ у шестилетнего мальчика с параличом левого лицевого нерва визуализируется большая окологлоточная РМС слева с некротическими изменениями, распространяющаяся краниально с инвазией основной пазухи и средней черепной ямки, с эрозией вершины пирамиды слева. 
(Справа) При корональной МРТ Т1 ВИ С+ у пациента с окологлоточной РМС определяется, что опухоль распространяется в среднюю черепную ямку путем контактной деструкции основания черепа. Определяется также поражение левого кавернозного синуса. Четкая граница с головным мозгом позволяет предположить отсутствие интракраниального распространения. 
2. КТ при рабдомиосаркоме височной кости: 
• Деструктивная опухоль среднего уха-сосцевидного отростка или ВП: 
о Литические, деструктивные изменения слуховых косточек и других костей 
о Мягкотканная опухоль с вариабельным контрастным усилением: 
- Опухоль может быть геморрагической и некротической 
о Часто распространяется в ИСК 
о Типично поражение основания черепа и отверстий черепно-мозговых нервов 
• Метастатическая лимфаденопатия встречается редко на момент дебюта за исключением случаев интра- или экстракраниального распространения
3. МРТ при рабдомиосаркоме височной кости: 
• Т1: изо- или гипоинтенсивная; Т2: гипер- или изоинтенсивная опухоль 
• Вариабельное накопление контраста: 
о Корональные изображения лучше всего подходят для выявления интракраниального распространения через крышу барабанной полости и сосцевидной пещеры ± отверстия основания черепа 
• Интракраниальное распространение параменингиальной РМС → утолщение оболочек мозга: 
о ± контрастирующаяся интракраниальная опухоль 
• Т2 помогает отличить «запертый» секрет в сосцевидном отростке (более гиперинтенсивный, чем РМС)
4. Сцинтиграфия: 
• ПЭТ: 
о Замещает остеосцинтиграфию (при обследовании) 
о Интенсивное накопление ФДГ в мягкотканной опухоли 
о Полезна для стадирования и оценки выживаемости после лечения: 
- Поражение лимфоузлов 
- Отдаленные метастазы
5. Рекомендации по визуализации: 
• Лучший метод визуализации: 
о Для стадирования первичной опухоли, определения деструкции основания черепа, интракраниального распространения рекомендуются КТ и МРТ 
о МРТ Т1 С+ FS (корональные проекции) лучше всего для определения интра- и экстракраниального распространения 
• Выбор протокола: 
о Комплексное образование основания черепа с вероятным интракраниальным распространением, отдаленными метастазами и шейной лимфаденопатией, требующее тщательного мультимодального обследования: 
- Тонкосрезовая аксиальная КТ с корональными и сагиттальными реформациями 
- Мультипланарная пре- и постконтрастная МРТ 
- Стадирование шейной лимфаденопатии может осуществляться при помощи КТ с КУ, МРТ, или ПЭТ/КТ

 (Слева) При аксиальной КТ в костном окне у двухлетнего ребенка с хроническим средним отитом определяется литическое поражение вершины пирамиды справа. Вначале при биопсии не было выявлено признаков злокачественной опухоли или лангергансоклеточного гистиоцитоза. Эта РМС височной кости оставалась стабильной восемь месяцев. 
(Справа) При аксиальной КТ в костном окне у этого же пациента (с отрицательными данными ранее выполненной биопсии), у которого сейчас на фоне роста патологического очага в вершине пирамиды развился паралич лицевого нерва справа, определяется выраженная деструкция вершины пирамиды справа с тотальной эрозией стенок правого внутреннего сонного канала. 
в) Дифференциальная диагностика рабдомиосаркомы височной кости:
1. Приобретенная холестеатома не натянутой части 
• Клинические проявления: перфорация не натянутой части барабанной перепонки (БП) или ретракция ± визуализация холестеатомы 
• КТ в костном окне: эрозии щитка и слуховых косточек; мягкие ткани в пространстве Пруссака: 
о Изменения костей более выражены, чем при РМС (за исключением больших холестеатом)
2. Холестеатома натянутой части БП: 
• Клинические проявления: перфорация натянутой части БП, видимая холестеатома 
• КТ в костном окне: мягкие ткани изнутри от слуховых косточек (с эрозиями)
3. Лангергансоклеточный гистоцитоз височных костей: 
• Клинические проявления: ребенок с опухолью среднего уха: 
о Обычно без параличей черепно-мозговых нервов 
• «Костная» КТ: деструктивная опухоль височной кости, накапливающая контраст: 
о Часто двухсторонняя или сочетающаяся с другой патологией костей
4. Острый отомастоидит с коалесценцией: 
• Клинические проявления: лихорадка, болезненность сосцевидного отростка у ребенка 
• «Костная» КТ: снижение пневматизации среднего уха-сосцевидного отростка: 
о Разрушение трабекул сосцевидного отростка имитирует опухоль 
о Клинические условия - ключевой дифференциальный признак
5. Метастатическая нейробластома: 
• Метастатическое поражение основания черепа, часто двухстороннее, с контрастирующимися опухолями, агрессивными эрозиями костей, лучистой периостальной реакцией
6. Холестериновая гранулема среднего уха: 
• Клинические проявления: синее «сосудистое» пятно за БП: 
о Множественные инфекции уха в анамнезе 
• Визуализация: опухоль с гиперинтенсивным Т1 и Т2 сигналом в среднем ухе ± сосцевидном отростке

 (Слева) При аксиальной МРТ Т2 FSE определяется распространенная опухоль с гипоинтенсивным сигналом - типичное новообразование с высокой целлюлярностью. Опухоль поражает полость среднего уха и вершину пирамиды. При повторной биопсии через три года подтвердилась РМС. 
(Справа) При корональной МРТ Т1 ВИ С+ FS определяется интракраниальное распространение, типичное для пациентов с параменингеальной РМС. Также обратите внимание на распроаранение РМС вдоль вертикального сегмента каменистой части внутренней сонной артерии. 
г) Патология:
1. Общая характеристика: 
• Этиология: 
о Злокачественная опухоль из эмбриональных клеток скелетных мышц или полипотентных мезенхимальных клеток 
о Вторая радиационно индуцированная первичная опухоль (редко) 
• Генетика: 
о Большинство случаев спорадические: 
о Выше заболеваемость у детей с мутациями гена-супрессора опухоли р53, синдромом Нунана, синдромом Беквита-Видемана, врожденной ретинобластомой
2. Стадирование, классификация рабдомиосаркомы височной кости: 
• РМС височной кости считается параменингеальной 
• Клиническая классификация Международной Группы по Изучению Рабдомиосаркомы: 
о Группа 1: полностью удаленная локализованная опухоль 
о Группа 2: полностью удаленная регионарная опухоль или резидуальная опухоль, обнаруживаемая микроскопически 
о Группа 3: макроскопическая резидуальная опухоль 
о Группа 4: отдаленные метастазы; наихудший прогноз
3. Макроскопические и хирургические особенности: 
• Отличаются: некротическая или геморрагическая опухоль с четко очерченными, бугристыми краями, или инфильтративная опухоль с нечеткими краями
4. Микроскопия: 
• Рабдомиобласты различной степени дифференцировки 
• Положительный иммуногистохимический анализ на десмин, виментин, мышечно-специфический актин, антимиогенин и MYOD1 
• Три подтипа: эмбриональный, альвеолярный, плеоморфный: 
о Эмбриональный (ЭРМС): наиболее типичный (55%): 
- Возникает у младших детей 
- Составляет > 50% всех РМС; 70-90% возникают в области головы и шеи или мочеполового тракта 
о Альвеолярный (АРМС): второй наиболее распространенный тип (20%): 
- Обычно возникает у более старших пациентов (15-20 лет) 
- Преимущественно в области конечностей и туловища 
о Плеоморфный (анапластический): наиболее редкий (20%): 
- Очень редкий вариант; обычно у взрослых 40-60 лет 
- Чаще всего поражаются конечности, реже голова и шея
д) Клинические особенности:
1. Проявления: 
• Типичные признаки/симптомы: 
о Имитирует хронический средний отит с длительной отореей (иногда кровянистой) и болью в ухе 
о Другие признаки/симптомы: 
- Полип ушной раковины (наружного слухового канала) 
- Паралич лицевого нерва 
- Опухоль за ушной раковиной 
• Другие признаки/симптомы: 
о Потеря слуха, головная боль, шейная лимфаденопатия 
• Клинический профиль: 
о Ребенок старше шести лет с хроническим средним отитом, отореей, болью в ухе и полипом НСК, не реагирующий на медикаментозную терапию
2. Демография: 
• Возраст: 
о Два пика: дети (2-5 лет) и старшие подростки (15-19 лет) 
о Редко возникает у взрослых 
• Эпидемиология: 
о PMC - наиболее частая саркома мягких тканей у детей: 
- Наиболее распространенная злокачественная опухоль височных костей в детском возрасте 
о До 40% РМС возникают в области головы и шеи: 
- Орбита: самая распространенная локализация в этой области 
- Параменингеальные области: среднее ухо, околоносовые пазухи, носоглотка, жевательное пространства, крылонебная ямка, окологлоточное пространство: 
Интракраниальное распространение: до 55% 
о 7% РМС головы и шеи возникают в височной кости
3. Течение и прогноз: 
• Типична задержка диагностики: 
о Ребенок вначале лечится по поводу острого или хронического среднего отита 
• РМС височной кости характеризуется высокой вероятностью поражения оболочек мозга на момент установления диагноза: 
о При интракраниальном распространении и наличии отдаленных метастазов прогноз крайне неблагоприятный 
• Прогноз при эмбриональной РМС лучше, чем при альвеолярной 
• Отдаленные метастазы: легкие» кости, печень, головной мозг
4. Лечение: 
• РМС височной кости редко бывают резектабельными: 
о Операция: биопсия или циторедуктивное вмешательство 
о Комбинированая химиотерапия + адъювантная радиотерапия
е) Диагностическая памятка:
1. Следует учесть: 
• Клинические проявления: предполагайте РМС височной кости при полипе ушной раковины или параличе ЧН VII у ребенка с хроническим средним отитом 
• Визуализация: предполагайте РМС височной кости при односторонней деструктивной опухоли кости у ребенка: 
о Внимание: лангергансоклеточный гистиоцитоз височной кости может в точности имитировать РМС
2. Советы по интерпретации изображений: 
• КТ и МРТ важны для стадирования первичной опухоли, определения локальной распространенности и метастатической лимфаденопатии 
• Корональные изображения необходимы для оценки основания черепа и выявления интракраниального распространения: 
о Предпочтительный метод - МРТ 
• ПЭТ/КТ: лимфоузлы, отдаленные метастазы; выживаемость: 
о Замещает остеосцинтиграфию в обследовании при РМС
3. Рекомендации по отчетности: 
• Необходимо описать локализацию и распространенность деструкции костей: 
о Следует оценить интра- и экстракраниальное распространение 
о Следует оценить пери васкулярное и периневральное метастазирование
а) Теримнология:
1. Аббревиатура: 
• Рабдомиосаркома (РМС)
2. Синонимы: 
• Эмбриональная РМС → злокачественная рабдомиома, рабдомиосаркома, миосаркома, рабдопоэтическая саркома, рабдосаркома, эмбриональная саркома 
• Альвеолярная РМС → мономорфная круглоклеточная рабдомиосаркома, рабдомиобластома, рабдомиопоэтическая саркома
3. Определение: 
• Злокачественная опухоль, имеющая скелетно-мышечную дифференцировку, с тремя подтипами: эмбриональная, альвеолярная и плеоморфная
1. Общая характеристика: 
• Лучший диагностический критерий: 
о Агрессивное мягкотканное образование у детей 
• Локализация: 
о Голова и шея >> мочеполовая система > конечности: 
- Описан рост рабдомиосаркомы (РМС) по всему телу 
- Образования головы, шеи и мочеполовой системы обычно эмбриональные, являющиеся самый распространенным типом 
- Мягкотканные образования конечностей обычно альвеолярные 
• Размер: 
о Средний: 3-4 см: 
- Плеоморфные образования обычно 5-15 см 
• Морфология: 
о Четко отграниченные многоузловые образования
 (Слева) КТ с контрастированием, аксиальный срез: определяется неспецифическое образование, поражающее латеральную поверхность нижней грудной стенки справа. У годовалого мальчика это безболезненное образование было замечено его матерью. Образование имеет смешанную плотность, от гиподенсной до слегка гиперденсной по отношению к скелетным мышцам. 
(Справа) МРТ Т1ВИ, аксиальный срез: у этою же пациента определяется образование немного гипоинтенсивное по отношению к скелетным мышцам. Границы образования нечеткие. (Слева) МРТ Т2ВИ, режим подавления сигнала от жира, аксиальный срез: у этого же пациента визуализируется образование, немного гетерогенное и гиперинтенсивное по отношению к скелетным мышцам. Признаки поражения нижележащих ребер отсутствуют. 
(Справа) МРТ, постконтрастные Т1ВИ, режим подавления сигнала от жира, аксиальный срез: у этого же пациента определяется гетерогенное небольшое контрастирование образования. Области кровоизлияния, некроза или увеличенных сосудов отсутствуют Признаки поражения регионарных лимфоузлов или отдаленных метастазов не определяются. (Слева) КТ околоносовых пазух без контрастирования, аксиальный срез: образование в центре левою лобно-решетчатого соединения, с инвазией левой лобной пазухи, а также с существенной деструкцией кости. 
(Справа) МРТ, постконтрастные Т1ВИ, сагиттальный срез: крупное гетерогенное образование, накапливающее контраст и разрушающее лобную кость. При этом оно проросло твердую мозговую оболочку и проникло в переднюю черепную ямку. У этого взрослого пациента с подтвержденной раддомиосаркомой (РМС) диагноз, первоначально, рассматривался в пользу плоскоклеточного рака, лимфомы или эстезионейробластомы. 
2. Рентгенография при рабдомиосаркоме: 
• Пограничная костная инвазия приблизительно в 1/4 случаев: 
о ± периостальная реакция 
• Литические, смешанные склерозные и литические метастазы в костях
3. КТ при рабдомиосаркоме: 
• Четко отграниченное или инфильтрирующее мягкотканное образование: 
о Гетерогенное контрастирование 
о ± некроз и/или кровоизлияние
5. МРТ при рабдомиосаркоме: 
• Изоинтенсивное или гиперинтенсивное образование по отношению к мышцам на Т1ВИ 
• Гиперинтенсивное на последовательностях, чувствительных к жидкости 
• Гипоинтенсивное на Т1 ВИ и последовательностях, чувствительных к жидкости 
• Гетерогенное контрастирование, которое зависит от кровотока и кровоизлияния/некроза в опухоли: 
о Сосуды с высокоскоростным потоком, в частности, при альвеолярном типе
6. УЗИ при рабдомиосаркоме: 
• Гетерогенная эхоструктура 
• ± заметный кровоток на допплерографии
7. Радионуклидная диагностика: 
• Сцинтиграфия костей: 
о Позволяет обнаружить костную инвазию и метастазы в костном мозге 
• ПЭТ: 
о Опухоли интенсивно накапливают Ф-18 ФДГ
 (Слева) КТ таза с алгоритмом изучения мягких тканей, аксиальный срез: у новорожденного определяется чрезвычайно крупное гетерогенное образование, накапливающее контраст и занимающее большую часть таза. Образование имеет крупную центральную гиподенсную область, которая свидетельствует о некрозе. Мочевой пузырь смещен латерально. 
(Справа) При допплерографии в поперечной плоскости, у этого же пациента определяется агрессивное гетерогенное образование с умеренным кровотоком и гипоэхогенными областями некроза. (Слева) МРТ Т1ВИ, коронарный срез: крупное мягкотканное образование в верхнем отделе правого бедра. Образование имеет различную интенсивность сигнала, от гипоинтенсивного жидкостного до немного гиперинтенсив-ного по отношению к скелетным мышцам. На Т2ВИ (изображения отсутствуют) это образование имеет гетерогенный гиперинтенсивный сигнал с окружающим отеком. 
(Справа) МРТ, постконтрастные Т1ВИ, режим подавления сигнала от жира, коронарный срез: определяется образование с гетерогенным контрастированием. Области отсутствия накопления контраста, вероятнее всего, представляют собой некроз. Эта опухоль представляет собой склерозирующий тип РМС. (Слева) КТ с контрастированием, алгоритм исследования костей, аксиальный срез: гомогенное гиподенсное неспецифическое мягкотканное образование, поражающее область возвышения мизинца руки. 
(Справа) МРТ, постконтрастные Т1ВИ, аксиальный срез: образование с заметным небольшим гетерогенным контрастированием. Опухоль имеет относительно четкие контуры и поражает короткую мышцу ладони и сгибатель пальцев. Признаки поражения пястного канала и сосудисто-нервного пучка отсутствуют. Данные визуализации неспецифичны, но на биопсии была выявлена РМС. 
в) Дифференциальная диагностика рабдомиосаркомы:
1. Детская фибросаркома: 
• Безболезненное, быстро увеличивающееся образование в конечности новорожденного 
• Чаще всего возникает на первом году жизни 
• Костная деструкция, изъязвление, утолщение кортикального слоя • ± кровоизлияние и/или некроз 
• Может быть заметно гиперваскулярной
2. Детская рабдомиофибросаркома: 
• Имеет сходство с детской фибросаркомой с рабдомиобластной дифференцировкой 
• Явная моносомия 19 хромосомы и цитогенетические повреждения 22 
• Схожий возрастной диапазон и картина визуализации
3. Злокачественная внепочечная рабдоидная опухоль: 
• Околопочечная локализация у детей • Часто отмечаются кровоизлияние и некроз 
• Пятилетняя выживаемость составляет 
4. Узловой и пролиферативный фасциит: 
• Чаще всего у взрослых 
• Быстро растущее болезненное образование, ассоциированное с фасцией 
• Гетерогенная картина визуализации, зависящая от клеточного состава
5. Фиброзная гамартома новорожденных: 
• Стремительно растущее мягкотканное образование, преимущественно поражающее плечевой пояс новорожденных 
• Содержит различное количество жировой клетчатки на МРТ 
• Доброкачественное клиническое течение, но возможен местный рецидив
 (Слева) При допплерографии в продольной проекции определяется овоидное гиперваскулярное образование, которое у этого взрослого пациента располагается поверхностно. 
(Справа) МРТ, PD-ВИ, сагиттальный срез: у этого же пациента определяется ограниченное образование на передней поверхности дельтовидной мышцы. Образование гиперинтенсивно по отношению к скелетным мышцам на последовательностях, чувствительных к жидкости, и изоинтенсивное по отношению к мышцам на Т1ВИ, также имеется заметное контрастирование внутривенно-введенным гадолинием. Образование имеет неспецифическую картину визуализации, при гистологическом исследовании была выявлена РМС. (Слева) На рентгенограмме ступни в боковой проекции, у женщины 43 лет со стремительно растущим образованием определяется неспецифичное объемное образование. Визуализируются изъязвления тыльной стороны ступни и плюсны. 
(Справа) МРТ Т1ВИ, сагиттальный срез: определяется крупное образование с немного гетерогенным, по большей части изоинтенсивным сигналом по отношению к скелетным мышцам. Отмечается изъязвление кости, которое было, более вероятно, недооценено на этом срезе. (Слева) МРТ Т2ВИ, режим подавления сигнала от жира, сагиттальный срез: у этого же пациента определяется гетерогенное гиперинтенсивное образование. 
(Справа) МРТ, постконтрастные Т1ВИ, режим подавления сигнала от жира, аксиальный срез: определяется обширное контрастирование крупною инвазивною образования. Имеются области некроза и инвазия обеих первой и второй пястных костей. Признаки образования свидетельствуют о неспецифичной высоко-агрессивной опухоли, которая оказалась РМС. Инвазия костей наблюдается в 25% случаев РМС конечностей, несмотря на то, что опухоль у пациентов этого возраста встречается редко. 
1. Общая характеристика: 
• Этиология: 
о Первичная злокачественная мезенхимальная опухоль с рабдомиобластной дифференцировкой: 
- Эмбриональная РМС может быть следствием хромосомных мутаций (спорадических или наследственных) 
• Генетика: 
о Эмбриональная → утрата аллели на хромосоме 11р15 
• Сопутствующие состояния: 
о Ассоциированы с нейрофиброматозом 1 типа, синдромом Беквита-Видеманна, синдромом Костелло, синдромом Ли-Фраумени и с использованием матерью запрещенных препаратов
2. Стадирование и классификация: 
• Комитет по саркоме мягких тканей, входящей в состав Общества детской онкологии (ранее известный как Межгрупповая исследовательская группа по рабдомиосаркоме): 
о Полная резекция, либо различная степень частичной резекции 
о Распространение опухоли за пределы мышцы или первоначального органа 
о Поражение регионарных лимфоузлов 
о Отдаленные метастазы
3. Макроскопические и хирургические особенности: 
• Эмбриональная и альвеолярная РМС → мясистые образования бледно-коричневой окраски с нечеткими контурами: 
о Веретеноклеточный тип → твердое фиброзное образование коричневато-желтой окраски с завихренной поверхностью на срезе 
о Кистевидный тип → гроздевидный узловой рост, поражающий полый орган, выстланный слизистой 
• Плеоморфная РМС → твердое беловатое образование с псевдокапсулой
4. Микроскопия: 
• Эмбриональная РМС → различная картина опухоли от низкодифференцированной до высокодифференцированной эмбриональной мышечной ткани в мукоидной строме: 
о Кистевидный тип имеет «камбиальный слой» опухолевых клеток, соприкасающихся с поверхностью эпителия 
о Веретеноклеточный тип имеет плетенную архитектуру 
о Анапластический тип имеет крупные атипичные клетки с гиперхроматичными ядрами 
• Альвеолярная РМС → гнезда рабдомиобластов и недифференцированных опухолевых клеток с коллагеновой фиброзно-сосудистой перегородкой: 
о Цитологические особенности округлых клеток, схожие с лимфомой 
о Гистологические подтипы основаны на типичных признаках, солидной структуре или смешанных эмбриональных и альвеолярных чертах: 
- Гигантские клетки часто встречаются в характерном подтипе 
- Фиброзно-сосудистая строма отсутствует при солидном подтипе 
- Эмбриональная гистология отмечается при смешанном подтипе 
• Плеоморфная РМС → редко встречающий тип, содержащий причудливые, веретеновидные, округлые и полигональные клетки со скелетно-мышечной дифференцировкой: 
о Преимущественно отсутствие поперечной исчерченности при эмбриональной РМС 
о В ультраструктуре отмечается наличие рудиментарных саркомеров 
• Антитела к MYOD1 и к миогенину являются наиболее чувствительными и специфичными для определения РМС
1. Проявления: 
• Типичные признаки/симптомы: 
о Безболезненное, медленно растущее образование 
о Симптомы соответствуют эффекту сдавливания: 
- Абдоминальные → обструкция кишечника 
- Голова и шея → дефицит черепных нервов, проптоз, синуситы, диплопия, односторонняя глухота 
- Мочеполовые → гидронефроз, задержка мочи 
- Параспинальные → гиперестезии, парестезии, парезы 
- Желчные → желтуха
2. Демография: 
• Возраст: 
о Болеют преимущественно от новорожденных до подростков, большинство > афроамериканцы > азиаты 
• Эпидемиология: 
о Наиболее частое злокачественное новообразование мягких тканей у детей: 
- Составляют 19% всех сарком у детей 
- Составляют 5-8% раковых опухолей у детей 
- 4,6 случая на 1 млн детей 
3. Течение и прогноз: 
• Благоприятные прогностические факторы: 
о Появление опухоли в периоде новорожденности или в детстве 
о Локализация в орбите или мочеполовой системе 
о Размер о Кистевидный или веретеноклеточный вариант эмбриональной РМС 
о Полная первоначальная резекция локализованной опухоли 
о Отсутствие метастазов в регионарных лимфатических узлах или отсутствие отдаленных метастазов 
• Неблагоприятные прогностические факторы: 
о Появление у взрослых 
о Локализация за пределами орбиты или мочеполовой систем 
о Размер >5 см 
о Альвеолярная РМС или плеоморфная РМС: 
- Альвеолярные РМС зачастую имеют высокую степень злокачественности при обнаружении 
о Неполная первоначальная резекция 
о Местный рецидив опухоли 
о Поражение регионарных лимфатических узлов или отдаленные метастазы (легкие являются самой частой локализацией)
4. Лечение: 
• Комбинация хирургического лечения, химио- и лучевой терапии, обоснованная риском рецидива
1. Следует учесть: 
• Чрескожные биопсии должны имитировать окончательный хирургический доступ, позволяющий резецировать опухолевый остаток
2. Рекомендации по отчетности: 
• Максимальный диаметр опухоли, три плоскости измерения для наблюдения 
• Поражения анатомических лож или органов 
• Краниокаудальная локализация служит анатомическим ориентиром 
• Инвазия в сосудисто-нервный пучок или кость 
• Наличие метастазов в регионарные лимфатические узлы 
• Признаки отдаленных метастазов
Рабдомиосаркома
Рабдомиосаркома – редкое злокачественное новообразование из незрелой поперечно-полосатой мышечной ткани. Обычно локализуется в скелетных мышцах, но может располагаться и в других мягких тканях: в забрюшинной клетчатке, клетчатке средостения, в носоглотке, на лице, в области желчевыводящих или мочевыводящих путей и т. д. Проявляется деформацией пораженной области и симптомами сдавления близлежащих органов. При отдаленном метастазировании выявляются признаки нарушения функций соответствующих органов. Диагноз выставляется на основании клинических данных, результатов инструментальных и лабораторных исследований. Лечение комплексное: операции, радиотерапия, химиотерапия.
Общие сведения
Рабдомиосаркома – злокачественная опухоль мягких тканей, поражающая преимущественно детей и подростков. Происходит из недифференцированной мезенхимальной ткани-предшественницы поперечно-полосатых мышц. Рабдомиосаркома может локализоваться в скелетных мышцах, клетчатке и гладкомышечной ткани внутренних органов. Расположение в области лица и шеи обусловлено нарушениями внутриутробного развития дериватов жаберных дуг. По различным данным составляет 19-50% от общего количества сарком детского возраста. Средний возраст пациентов – 9,9 лет. Пики заболеваемости рабдомиосаркомой приходятся на возраст 1-7 лет и 15-20 лет. Мальчики страдают чаще девочек. Лечение осуществляют специалисты в области онкологии, травматологии-ортопедии, дерматологии, отоларингологии, гинекологии, гастроэнтерологии, урологии и т. д. (в зависимости от локализации новообразования).
Причины рабдомиосаркомы
Этиология рабдомиосаркомы окончательно не выяснена. Случаи врожденных новообразований, высокая вероятность возникновения у ближайших родственников, сочетание данного заболевания с изолированными пороками развития и различными врожденными синдромами указывают на наследственную предрасположенность. У 30% пациентов рабдомиосаркома сочетается с аномалиями развития центральной нервной системы, половых органов, мочевыводящей системы, пищеварительной системы или сердечно-сосудистой системы.
Описаны случаи сочетания рабдомиосаркомы с семейным диффузным полипозом, врожденной ретинобластомой, эпидермальным невусом, врожденным меланоцитным невусом, альбинизмом и синдромом множественного лентиго. Рабдомиосаркома может возникать при синдроме Ли-Фраумени, характеризующемся склонностью к развитию злокачественных опухолей, а также при синдроме Реклингхаузена (нейрофиброматозе I типа, нейрофиброматозе с феохромоцитомой) и синдроме Рубинштейна-Тейби, при котором выявляются олигофрения, нарушения прикуса, клювовидный нос, асимметрия лица, астигматизм, карликовость, различные скелетные аномалии и пороки развития внутренних органов.
Классификация рабдомиосаркомы
С учетом особенностей гистологического строения выделяют следующие разновидности рабдомиосаркомы: альвеолярная, эмбриональная, плеоморфная, ботриоидная.
- Альвеолярная. Составляет 9% от общего числа рабдомиосарком и 60% от общего количества кожных поражений. Представлена овальными или круглыми недифференцированными клетками с почковидным либо дольчатым ядром, напоминающими клетки поперечно-полосатых мышц 10-20 недельного плода. Образуют скопления, разделенные фиброзными перегородками, что придает рабдомиосаркоме сходство с альвеолярной тканью. Опухоль чаще возникает в области туловища или конечностей. Обычно страдают больные в возрасте от 5 до 20 лет.
 - Эмбриональная. Составляет 57% от общего числа рабдомиосарком и 30% от общего количества кожных поражений. Представлена клетками различной формы: вытянутыми, круглыми, звездчатыми и т. д., расположенными в миксоматозном веществе. Напоминает поперечно-полосатые мышцы 7-10 недельного плода. Чаще локализуется в области орбиты, шеи, головы и мочеполового тракта. Обычно диагностируется у детей 3-12 лет. К этому типу также относят веретеноклеточный вариант рабдомиосаркомы, сходный по прогнозу и клиническому течению.
 - Плеоморфная. Составляет около 1% от общего количества рабдомиосарком. Представлена вытянутыми клетками паукообразной, ракеткообразной и полосовидной формы. Не похожа на поперечно-полосатую мышечную ткань человека (в том числе – плода). Обычно возникает в области туловища или конечностей.
 - Ботриоидная. Составляет 6% от общего числа рабдомиосарком. В кожном варианте не встречается. Представляет собой скопления клеток, расположенных под эпителием слизистых оболочек. В остальном напоминает эмбриональную рабдомиосаркому. Чаще локализуется в области носоглотки, влагалища, мочевого пузыря и других органов, покрытых слизистой оболочкой. Обычно диагностируется у детей до 8 лет.
 
Различают также четыре клинических группы рабдомиосаркомы, при этом 1 и 2 группы разделяются на несколько подгрупп:
- 1А – новообразование не выходит за пределы пораженной мышцы или органа.
 - 1Б – выявляется поражение близлежащих органов и тканей, данные послеоперационного гистологического исследования материала подтверждают радикальность удаления рабдомиосаркомы.
 - 2А – окружающие ткани поражены, лимфатические узлы не задействованы, макроскопически опухоль удалена полностью, при послеоперационном исследовании материала выявляются элементы рабдомиосаркомы по линии удаления.
 - 2Б – определяется метастазирование в регионарные лимфоузлы, послеоперационное гистологическое исследование подтверждает полное удаление рабдомиосаркомы.
 - 2В – обнаруживается поражение регионарных лимфатических узлов, при послеоперационном исследовании материала по линии удаления видны клетки рабдомиосаркомы.
 - 3 группа – опухоль удалена не полностью.
 - 4 группа – выявляются метастазы.
 
Симптомы рабдомиосаркомы
Клинические проявления рабдомиосаркомы определяются ее локализацией, степенью вовлеченности близлежащих органов и наличием или отсутствием отдаленных метастазов. При поверхностном расположении в области скелетных мышц туловища и конечностей, а также на лице и шее определяется плотное, безболезненное опухолевидное образование. Рабдомиосаркомы на руках и ногах могут вызывать нарушение функции конечности. Опухоли в клетчатке забрюшинного пространства в процессе роста могут провоцировать сдавление органов брюшной полости, становясь причиной болей и нарушений деятельности ЖКТ.
При локализации рабдомиосаркомы в клетчатке средостения возможно развитие дыхательной недостаточности, обусловленное уменьшением объема легких. При поражении ЛОР-органов могут возникать дисфагия, синуситы, кровотечения и односторонние выделения из носовых ходов, односторонние отиты и периферический паралич лицевого нерва. При рабдомиосаркомах орбиты возможны косоглазие, птоз и ухудшение зрения. При расположении новообразования в малом тазу возникают запоры и нарушения мочеиспускания.
При опухолях простаты и мочевыводящих путей могут наблюдаться макрогематурия и задержка мочи. Рабдомиосаркомы женских половых органов провоцируют маточные и влагалищные кровотечения. Рабдомиосаркома может давать метастазы в регионарные лимфатические узлы и отдаленные органы. Обычно поражаются кости и легкие. Редко выявляется метастазирование в почки, печень, поджелудочную железу, мозг, мозговые оболочки и сердце.
Диагностика рабдомиосаркомы
Диагноз устанавливается с учетом анамнеза, клинических проявлений, данных лабораторных и инструментальных исследований. При рабдомиосаркомах в области скелетных мышц выполняют МРТ пораженной области. При опухолях ЛОР-органов осуществляют риноскопию, фарингоскопию или отоскопию, при поражении орбиты – осмотр структур глаза. Больных с рабдомиосаркомами ретроперитонеальной локализации направляют на УЗИ брюшной полости и забрюшинного пространства, пациентов с новообразованиями в области малого таза – на УЗИ малого таза.
При рабдомиосаркомах средостения назначают рентгенографию грудной клетки, при опухолях мочевыводящей системы – нефросцинтиграфию, УЗИ почек и УЗИ мочевого пузыря. При подозрении на метастазы в регионарные лимфоузлы проводят УЗИ лимфатических узлов, при подозрении на отдаленное метастазирование в кости и легкие – сцинтиграфию костей скелета, прицельную рентгенографию подозрительного сегмента конечности и рентгенографию грудной клетки.
Лечение и прогноз рабдомиосаркомы
Лечение комплексное, включает в себя лучевую терапию, химиотерапию и радикальное хирургическое вмешательство. При рабдомиосаркомах конечностей осуществляют органосохраняющие операции, при вовлечении кости показана ампутация. При локальных опухолях мочевого пузыря выполняют резекцию, при тотальном поражении органа проводят экстирпацию с последующим формированием пути оттока мочи. При рабдомиосаркомах матки осуществляют гистерэктомию, при новообразованиях во влагалище – удаление влагалища.
Радикальное иссечение рабдомиосарком носоглотки может вызывать существенные затруднения. При невозможности полного удаления операция не показана, больным назначают химиолучевую терапию. Одиночные метастазы в легких при отсутствии вторичных очагов других локализаций удаляют хирургическим путем. При метастазах в кости оперативное вмешательство не проводят из-за неблагоприятного прогноза. При рабдомиосаркомах 4 группы осуществляют интенсивную химиотерапию с последующей пересадкой костного мозга.
Прогноз при рабдомиосаркоме определяется типом, локализацией, размером и распространенностью новообразования, а также возрастом пациента. Самое благоприятное течение характерно для эмбриональных рабдомиосарком. Пятилетняя выживаемость при таких поражениях на 10-20% выше, чем при других типах опухоли. Благоприятными локализациями считаются женские половые органы, поверхностные слои тканей головы и шеи. К числу неблагоприятных локализаций рабдомиосаркомы относят глубокие слои тканей головы и шеи, туловище, конечности, мочевыводящие пути, грудную и брюшную полость. У детей до 7 лет прогноз лучше, чем у пациентов старшего возраста. Средняя пятилетняя выживаемость при опухолях первой клинической группы составляет 80%, второй – 65%, третьей – 40%. Большинство больных рабдомиосаркомой четвертой клинической группы не доживают до пятилетнего срока с момента постановки диагноза.
Читайте также:
