Рак почки - симптомы и признаки, лечение
Добавил пользователь Евгений Кузнецов Обновлено: 01.11.2025
Рак почки – это злокачественная опухоль, развивающаяся из почек. Почки – это парные органы, размерами примерно с кулак, располагающиеся на задней брюшной стенке справа и слева от позвоночника. Над каждой из почек находятся надпочечники.
Основная функция почек – фильтрация крови: удаление воды, солей и вредных веществ, попадающих в организм. Каждая из почек важна, однако, как правило, даже одной почки достаточно для нормального функционирования организма, и множество людей живут полноценной жизнью с одной почкой.
Почечноклеточный рак
Почечноклеточный рак (ПКР) является самым распространенным типом опухоли почки. Около 9 из 10 опухолей почки это ПКР.
Как правило, ПКР представлен одной опухолью почки, однако в некоторых случаях встречаются одновременно поражения обеих почек, или 2 или более опухоли в одном органе.
Существует несколько типов почечноклеточного рака, однако в основном отличить их друг от друга можно лишь под микроскопом. Несмотря на это, знание типа опухоли необходимо для помощи врачу выбрать тактику Вашего лечения.
Среди злокачественных опухолей почек, помимо почечноклеточного рака, существуют еще переходноклеточный рак, опухоль Вильмса и саркома почки.
Переходноклеточный рак
Из каждых 100 раков почки, около 5-10 будут представлять собой переходноклеточный (уротелиальный) рак. Эти опухоли представляют собой опухоли не собственно почки, а собирательной системы — чашек и лоханки. Этот тип рака, так же как и рак мочевого пузыря, очень часто связан с курением и воздействием токсических веществ (например, на производстве). Уротелиальный рак может проявлять себя, подобно почечноклеточному: болью в спине и, иногда, примесью крови в моче.
Переходноклеточный рак обычно лечится хирургически, операция предполагает удаление всей почки и мочеточника вместе с частью стенки мочевого пузыря, куда впадает мочеточник. Химиотерапия бывает необходима до или после операции, в зависимости от степени распространения опухоли.
Около 9 из 10 уротелиальных раков удается обнаружить на ранней стадии. Шансы на излечение снижаются в случае, если опухоль прорастает стенку мочеточника и врастает в почку, либо она выглядит агрессивнее при микроскопическом исследовании.
После лечения уротелиального рака необходимо наблюдаться у врача-онколога и выполнять следующие процедуры:
- цистоскопия — осмотр мочевого пузыря через специальный инструмент
- компьютерная томография
- магнитно-резонансная томографмя
Данная опухоль может появиться в мочевом пузыре и даже в других органах.
Опухоль Вильмса
Данная опухоль почти всегда поражает детей, и крайне редко возникает у взрослых.
Саркома почки
Саркома почки — это редкий тип опухоли, возникающий из стенок кровеносных сосудов или соеденительной ткани почки. Он составляет менее 1%от всех злокачественных опухолей почек

Какие факторы риска являются значимыми для рака почки?
Фактор риска – это что-то, что повышает шанс развития онкозаболевания. Различные опухоли могут иметь разные факторы риска. Некоторые факторы риска, такие как курение, можно предотвратить. Другие же, такие как возраст или наследственность, не могут быть предотвращены.
В случае рака почки, точная причина возникновения опухоли до сих пор не известна. Однако есть несколько путей снизить риск возникновения болезни:
- Курение сигарет ассоциировано с большим количеством случаев рака почки, и отказ от курения может снизить риск.
- Ожирение и высокое артериальное давление также являются факторами риска для рака почки. Контроль артериального давления и меры по снижению веса уменьшают шансы заболеть.
- И, наконец, необходима смена места работы в случае, если приходится контактировать с опасными веществами, такими как кадмий и органические растворители.
Симптомы и признаки рака почки
Опухоль почки на ранних стадиях, как правило, не вызывает никаких симптомов, однако чем больше стадия, тем больше риск появления различных симптомов, таких как:
- Примесь крови в моче (гематурия)
- Боль в пояснице с одной стороне
- Общая слабость
- Потеря аппетита
- Потеря веса, не связанная с диетой
- Повышение температуры на фоне отсутствия инфекционных заболеваний
- Анемия (снижение гемоглобина)
Эти признаки и симптомы могут быть вызваны раком почки, однако наиболее часто они вызываются другими, доброкачественными заболеваниями. Например, одной из основных причин появления крови в моче является мочекаменная болезнь. Таким образом, если появился один или несколько из вышеперечисленных симптомов, лучше посетить врача.
Диагностика
При подозрении на злокачественное образование в почках назначают ряд уточняющих обследований. С их помощью врач получает информацию о размере, границах, месте расположения опухоли в почке и оценивает общее состояние здоровья пациента.

Комплекс исследований может включать в себя:
- Анализ мочи.
- Общий анализ крови.
- Биохимическое исследование крови.
- Компьютерная томография
- МРТ
- Ультразвуковое исследование
- Позитронно-эмиссионная томография (ПЭТ)
Некоторые другие исследования, такие как рентгенография или остеосцинтиграфия, будут полезны для определения распространения опухоли, т.е. метастазирования, в другие органы.
Стадирование рака почки
Лечение и прогноз заболевания определяются в зависимости от стадии опухоли почки. Наиболее широко для стадирования рака почки применяется система AJCC (Американского комитета по злокачественным заболеваниям), также известная как система TNM.
Стадия злокачественного образования зависит от его распространения: прорастания опухоли в близко расположенные ткани и органы, окружающие его лимфатические узлы, а также от наличия метастазов в отдаленных органах.
Стадирование основывается на результатах врачебного осмотра, биопсии и диагностических исследований.
Для злокачественной опухоли почки может быть 2 типа стадирования:
- Клиническая стадия, которая отражает клиническое представление врача о болезни
- Патологическая стадия, которая основана на тех же принципах, что и клиническая, плюс учитываются данные операции и исследования удаленного органа. Патологическая стадия считается более точной, чем клиническая.
Стадия может измениться после операции, например, если будет обнаружено распространение рака шире, чем предполагалось.
Стадия и прогноз
Выживаемость – это часто используемый показатель для оценки прогноза у пациента.
5-летняя выживаемость показывает на процент пациентов, кто прожил более чем 5 лет после установления диагноза. Разумеется, много людей живут намного дольше, чем 5 лет, и многие излечены от заболевания. Также, причиной смерти некоторых людей может быть не онкологическое заболевание.
Выживаемость пациентов с раком почки в зависимости от стадии заболевания
| Стадия | 5-летняя выживаемость |
| I | 81% |
| II | 74% |
| III | 53% |
| IV | 8% |
Эти цифры получены из национальной базы данных по злокачественным заболеваниям США, и могут отличаться для пациентов в РФ. Эти показатели включают в себя людей с установленным диагнозом рака почки, которые позже могли умереть от других причин, например, болезни сердца.
Лечение рака почки
Одним из самых важных факторов, имеющих значение для выбора плана лечения, является стадия заболевания. Также влияют такие факторы, как: общее состояние, возможные побочные эффекты от лечения, возможность полного исцеления, продления жизни или облегчения симптомов.
Варианты лечения рака почки могут включать в себя:
- Хирургию
- Абляцию
- Активное наблюдение
- Лучевую терапию
- Таргетную терапию
- Иммунотерапию
- Химиотерапию

Хирургическое лечение рака почки
Хирургия – это основное лечение рака почки. Шансы избавиться от заболевания без проведения операции очень малы. Даже пациенты с распространением рака на другие органы получают пользу от удаления опухоли почки. Удаление почки с опухолью может помочь некоторым пациентам продлить жизнь, а также убрать такие симптомы как боль и кровотечение.
В зависимости от стадии и расположения опухоли, хирургическим методом может быть удалена только опухоль с окружающей частью почки — так называемая резекция почки, либо целая почка с опухолью — нефрэктомия. Надпочечниковая железа и жировая ткань вокруг почки также может быть удалена вместе с почкой, если возникнет необходимость.
Нефрэктомия
Нефрэктомия – удаление почки, иногда вместе с надпочечником и окружающей жировой клетчаткой. Большинство людей с одной почкой живут обычной жизнью.
В условиях отделения онкоурологии и общей онкологии НИИ онкологии им. Н.Н. Петрова наиболее часто выполняется лапароскопический вариант данной операции. При этом вместо большого разреза используется несколько небольших разрезов 10-15 мм длиной, через которые устанавливаются специальные тонкие инструменты и лапароскоп с видеокамерой на конце. При помощи лапароскопии хирург видит происходящее на экране. После удаления почки для того, чтобы убрать ее из брюшной полости, производится разрез внизу живота, соответсвующий по размерам удаленному органу.
В случае, если опухоль распространяется в просвет почечной вены и/или в нижнюю полую вену, лапароскопический вариант операции возможен, однако он чаще, чем обычно, требует перехода на большой разрез при технических сложностях.
Резекция почки
В ходе данной процедуры, хирург удаляет только ту часть почки, которая содержит опухоль, оставляя оставшуюся ткань почки неповрежденной. В настоящий момент это предпочтительный метод лечения для пациентов с ранней стадией рака почки. Часто резекции вполне достаточно для удаления одиночных небольших опухолей до 4 см в диаметре.
Также этот метод может применяться у пациентов с бОльшими образованиями, до 7 см. Специалистами НИИ онкологии им. Н.Н. Петрова успешно выполнялись вмешательства на опухолях размерами 10 и более см, однако такие операции возможны только в отдельных случаях, с учетом анатомии опухоли.

Современные исследования показали, что отдаленные результаты у пациентов, перенесших резекцию почки, почти такие же, как у пациентов, у которых почка была удалена. Однако несомненным плюсом остается сохранение большей части почечной функции.
По сравнению с открытой операцией после лапароскопии менее выражен болевой синдром и уже в первые сутки после операции больные более активны.
После резекции почки, для определения функционального состояния пациента в НИИ онкологии проводится перфузия почки.

Регионарная лимфаденэктомия (лимфодиссекция)
Эта операция предполагает под собой удаление ближайших к почке лимфатических узлов в случае, если имеется подозрение на их поражение. В настоящий момент не существует единого мнения, необходимо ли во всех случаях рака почки удалять лимфатические узлы. В основном считается, что необходимость удаления лимфоузлов возникает, если они выглядят увеличенными по данным КТ или МРТ, либо в ходе операции.
Удаление надпочечника (адреналэктомия)
Адреналэктомия является стандартной частью нефрэктомии, однако если опухоль расположена в нижнем сегменте почки, относительно далеко от надпочечника, и визуализационные методы не показывают поражения надпочечника, он может быть сохранен. Так же, как и удаление лимфоузлов, удаление надпочечника рассматривается индивидуально в каждом случае.
Удаление метастазов (метастазэктомия)
У около 25% больных раком почки на момент диагностики имеется распространение (метастазы) заболевания на другие органы. Наиболее часто к ним относятся легкие, кости, печень и головной мозг. В некоторых случаях при такой ситуации может помочь оперативное лечение. Наиболее часто оно может применяться в случаях, если имеется единичный метастаз, который может быть хирургически удален, либо в случаях, когда удаление метастаза может облегчить симптомы болезни, такие как боль.

Риск и побочные явления после операции
Оперативное вмешательство всегда предполагает риск возможных осложнений. К ранним осложнениям относятся: реакция на анестезию (наркоз), кровотечение, которое может потребовать переливание крови, формирование гематом и возникновение инфекции. У большинства пациентов после операции возникает боль, которая может быть снята применением обезболивающих препаратов.
Другие риски включают в себя:
- Повреждение в ходе операции других органов и кровеносных сосудов, таких как : селезенка, печень, поджелудочная железа, аорта, нижняя полая вена, кишечник.
- Пневмоторакс (появление воздуха в грудной полости)
- Послеоперационная грыжа в месте проведения разреза
- Истечение мочи в брюшную полость или в забрюшинную жировую ткань после выполнения резекции почки
- Почечную недостаточность (нарушение функции оставшейся почки или части резецированной почки)


Авторская публикация:
Джалилов Имран Бейрутович
врач хирург-онколог отделения онкоурологии
НИИ онкологии им Н.Н. Петрова
Что вам необходимо сделать
Если вы хотите узнать побольше о бесплатных возможностях ФБГУ НМИЦ онкологии им. Н.Н. Петрова Минздрава России, получить очную или заочную консультацию по диагностике и лечению, записаться на приём, ознакомьтесь с информацией на официальном сайте.
Если вы хотите общаться с нами через социальные сети, обратите внимание на аккаунты в ВКонтакте и Одноклассники.
Симптомы рака почки
В течение нескольких последних лет число пациентов с раком почек выросло примерно в 3 раза. По степени распространенности в онкологии он находится на 10 месте. У мужчин заболевание обнаруживают чаще, поскольку среди них больше курящих и людей, работающих во вредных условиях.
Сегодня рак почки часто обнаруживают не только среди пожилых, но и среди молодых людей. Поэтому вопрос выявления симптомов на ранней стадии стоит особенно остро. Рассмотрим подробнее, какие симптомы возникают при раке почек и как обнаружить заболевание как можно раньше.
Первые симптомы рака почки
Существует несколько видов рака почки. В 40% случаев это почечно-клеточный рак, в 20% – поражение лоханки и мочеточника, в 10% – саркомы (образования из мышц, жировой клетчатки или стенок сосудов).
Симптомы рака почки на начальной стадии, как и при опухолях мочевого пузыря и многих других онкологических заболеваниях, практически никак не проявляются. По этой причине заметить, что с организмом происходит что-то не то, очень сложно. Но это важно, поскольку обнаружение на первой стадии дает благоприятный прогноз в 85-90% случаев.
Заподозрить проблемы с почками можно по следующим признакам:
- моча эпизодически или даже только один раз стала красноватой;
- в области поясницы появляются тупые боли;
- масса тела стала снижаться без веской причины;
- температура постоянно или периодически повышается до 37,2-37,5 °C;
- появилась утомляемость, беспричинная усталость без причины;
- запах мочи стал неприятным;
- в ночное время суток усилилась потливость;
- давление стало стойко повышенным.
Основные симптомы рака почки
В медицине существует понятие триады симптомов рака почки. Это 3 основных признака, которые встречаются практически у всех пациентов с таким диагнозом. Так, к классической триаде симптомов рака почки относятся:
- Боль в пояснице. Возникает из-за того, что опухоль прорастает в почку и соседние ткани.
- Гематурия – появление крови и кровяных сгустков в моче. Кровь может появиться в моче на непродолжительное время, а затем пропасть и возникнуть снова. Этот симптом связан с тем, что рост тканей опухоли вызывает кровоизлияние в соседних тканях.
- Пальпируемая опухоль. Ее человек может обнаружить даже сам, прощупав область поясницы.
Перечисленные признаки обычно обнаруживаются на поздних стадиях, когда опухоль достигает больших размеров и даже дала метастазы. Примерно у 25% пациентов болезнь обнаруживают уже после метастазирования. Это ухудшает прогноз лечения рака почки и последующего выздоровления.
Различия в симптомах у женщин и мужчин
Симптомы рака почек у женщин и мужчин имеют ряд отличий. Так, у женщин могут наблюдаться нарушения менструального цикла, а у мужчин – первичное развитие или обострение геморроя. Еще у мужчин может наблюдаться расширение вен на половых органах, припухлость яичек, а иногда их атрофия с той стороны, с которой развилась опухоль. Характерный признак рака почки у мужчин – варикоцеле. Это варикозное расширение вен яичка, возникающее примерно в 17% случаев онкологии почек.
Еще к характерным симптомам рака почек у мужчин относятся нарушения мочеиспускания в виде ложных позывов и сильные боли над лобком. Они связаны с тем, что сгустки крови могут задерживаться в уретре (мочеиспускательном канале). У женщин такой проблемы не возникает, поскольку уретра шире и короче.
Почему важно как можно быстрее обратиться к врачу
При появлении характерных симптомов, особенно сразу нескольких из них необходимо обязательно обратиться к врачу. Чем раньше будет поставлен диагноз, тем выше вероятность на благоприятный исход. Самолечение и затягивание с обращением к специалисту может только усугубить ситуацию. Если вас беспокоят перечисленные симптомы обратитесь в наш Государственный центр урологии, где диагностику и лечение можно пройти по полису ОМС, что будет для вас совершенно бесплатно.
29 июля 2020
Акопян Гагик Нерсесович - врач уролог, онколог, д.м.н., врач высшей категории, профессор
По будням Вы можете попасть на прием к урологу в день обращения.

Акопян Гагик Нерсесович – профессор, доктор медицинских наук, онколог, уролог в Москве
Прием ведет врач высшей категории, уролог, онколог, доктор медицинских наук, профессор. Автор более 100 научных работ.
Онкоурологический стаж – более 15 лет. Помогает мужчинам и женщинам решать урологические и онкоурологические проблемы.
Проводит диагностику, лечение и сложные операции при таких диагнозах, как:
- опухоли почек и верхних мочевых путей;
- рак предстательной железы и мочевого пузыря;
- мочекаменная болезнь;
- аденома простаты;
- гидронефроз, стриктура мочеточника и др.
Если не дают покоя затрудненное или учащенное мочеиспускание, боль в поясничной области, кровь в моче, а также другие симптомы, обратитесь за помощью к врачу урологу.
- знакомство врача с историей болезни пациента;
- осмотр;
- постановку предварительного диагноза, назначение анализов и необходимых процедур.
* Если вы планируете обследоваться сразу после встречи с врачом, отправляйтесь в клинику с наполненным мочевым пузырем.
Не оттягивайте посещение клиники – приходите на консультацию уролога в Государственный центр урологии в Москве - клинику урологии имени Р. М. Фронштейна Первого Московского Государственного Медицинского Университета имени И.М. Сеченова. Доверьте свое здоровье грамотному специалисту!
Чтобы встреча с врачом прошла максимально эффективно, подготовьтесь к первичной консультации
- Возьмите с собой больничные выписки; результаты всех обследований, которые Вы проходили в последние 2–3 года (включая рентгены и томографии); заключения специалистов.
- Из обязательных документов нужно принести паспорт, полис.
Записаться на прием к урологу в Москве можно несколькими способами:
Запись на прием
В будний день мы сможем назначить вам консультацию уже через несколько часов после обращения.
Первые признаки рака почки: как распознать болезнь на ранней стадии
Даже при осмотре врачу сложно обнаружить опухоль почки, поскольку прощупать забрюшинное пространство очень непросто, особенно если новообразование пока небольших размеров. В то же время ранняя диагностика улучшает прогноз. Но как обнаружить болезнь, если, как и многие виды онкологических заболеваний, рак почки на ранней стадии практически никак себя не проявляет? Необходимо замечать самые незначительные изменения в состоянии здоровья. Некоторые симптомы могут говорить о начале злокачественного процесса в почке.

Какой симптом первым указывает на рак почки
Отсутствие ярких признаков рака почки на ранней стадии — главная проблема. Пациенты с незапущенной формой болезни, когда она еще полностью излечима, не испытывают никаких симптомов. В результате диагноз ставят случайно при УЗИ или КТ, проводимых в рамках планового обследования по другим поводам.
Заподозрить проблему можно по комплексу странных признаков, появившихся примерно одновременно. Самые ранние симптомы рака почки — это могут быть боль в животе и пояснице, резь при мочеиспускании и почечная колика, возникающая из-за того, что сгусток крови перекрыл мочеточник.
Гематурия
У кого-то в качестве первого симптома рака почки была гематурия — внезапное появление крови в моче. В сочетании с болью в спине это говорит о том, что опухоль начинает прорастать в соседние отделы и распространяться на мочеточник. На такой стадии уже начинают появляться первые симптомы. Они могут сопровождаться общей слабостью, повышенной утомляемостью и ночной потливостью.
Кровь появляется в моче сначала в небольшом количестве. Затем исчезает на пару дней или недель. Но затем симптом возвращается, и в моче обнаруживаются уже сгустки крови. Это объясняется тем, что опухоль давит на соседние ткани, вызывая их кровоизлияние. Если этот процесс слишком интенсивный, появляется сильная слабость, развивается анемия (недостаток гемоглобина в крови).
Боль в боку и объемное образование в животе
Гематурия входит в классическую триаду симптомов. Кроме нее появляются:
- боль, дискомфорт в боку (ноющая, то нарастающая, то отступающая);
- уплотнение, объемное образование, ощутимое под передней брюшной стенкой, под ребрами.
Но нужно понимать, что даже классическая триада наблюдается не у всех пациентов. По статистике менее чем у 10%.

Общее ухудшение самочувствия
Рак почки первой стадии, как другие онкологические заболевания, вызывает общую интоксикацию организма. Это проявляется в виде слабости, похудения при том же питании, бессоннице. Человек ощущает нехватку энергии, по вечерам у него повышается температура и артериальное давление. Распространенная ситуация, когда симптомы списываются на усталость, простуду, депрессию. Из-за этого человек не придает внимания признакам, а болезнь только усугубляется.
Изменение биохимии крови
Даже на ранней стадии опухоль нарушает работу кровеносной системы. Это можно заметить по изменениям показателей биохимии крови. В анализе обнаруживается повышение щелочной фосфатазы, билирубина, кальция, а также снижение количества глюкозы и альбумина. В сочетании с анемией, увеличением скорости оседания эритроцитов, повышением количества инсулина и ХГЧ это может говорить о раке почки.
Варикозное расширение вен
В качестве первого признака рака почки у мужчин можно назвать расширение вен семенного канатика и яичка — варикоцеле. Это один из наиболее характерных признаков. Связан с опухолевым тромбозом, при котором опухоль сдавливает нижнюю полую вену. По той же причине отекают ноги, расширяются подкожные вены.
Что делать при появлении первых признаков рака почки
Итак, подведем итог, как определить рак почки на ранней стадии:
- В моче появилась кровь (это может быть даже единичный случай с небольшим количеством).
- В боку и пояснице ощущается боль и дискомфорт.
- Ухудшается общее состояние: может быть лихорадка, слабость, повышенное давление, нехватка энергии.
- В районе живота под ребрами может нащупываться постороннее новообразование.
- Из-за воздействия опухоли на кровеносную систему нарушается кровоток, что проявляется варикозным расширением вен, причем у мужчин варикоз поражает и семенные канатики (развивается варикоцеле).
- Меняются некоторые показатели крови: повышается фосфатаза, кальций, билирубин, снижается глюкоза и альбумин.
Если у вас есть перечисленные симптомы, один или несколько, стоит обратиться к урологу. Специалист назначит дополнительные исследования: УЗИ, КТ или МРТ, рентгенографию и пр. Это поможет подтвердить диагноз или найти другую причину появления симптомов. Если рак почки обнаружить на ранней стадии, можно решить проблему с помощью органосохраняющей операции путем лапароскопии. Главное — вовремя обратиться к врачу. Запишитесь на прием к урологу в Государственном центре урологии и пройдите диагностику бесплатно по полису ОМС.
Акопян Гагик Нерсесович - врач уролог, онколог, д.м.н., врач высшей категории, профессор кафедры урологии ФГАОУ ВО Первый МГМУ им. И.М. Сеченова
Рак почек 1 стадии: симптомы, лечение, прогноз
Рак почек 1 стадии входит в десятку самых распространенных заболеваний урологического и онкологического профиля. Чаще заболевают мужчины в возрасте 50-70 лет, городские жители. Достоверных причин образования опухоли нет, но известны факторы риска, которые могут повлиять на злокачественные процессы.

Факторы риска
Вероятность рецидива рака почки 1 стадии, как и появления патологии, значительно повышается под влиянием таких факторов:
- лишний вес;
- курение;
- артериальная гипертензия; ;
- сахарный диабет;
- хронические вирусные заболевания;
- генетическая предрасположенность.
Рак почки 1 стадии чаще диагностируется у людей, вынужденных работать во вредных условиях – с химическими веществами, на тяжелых производствах.
Признаки рака почки
Больше половины всех случаев онкологии сегодня диагностируются совершенно случайно, потому что практически не подают симптомов. Это происходит при плановых обследованиях или во время диагностики других патологий организма.
Характерные для почечной онкологии симптомы:
- Появление крови в моче. Обильные примеси или вкрапления, которые появляются внезапно.
- Боли в пояснице, в спине. Чаще связаны с закупоркой мочеточников.
- Уплотнение при пальпации живота. Наблюдается, если пораженные ткани подходят ближе к брюшной стенке из-за отека.
- Повышение артериального давления, температуры тела. В результате пережима сосудов, иммунной реакции на очаг поражения органа. . Как результат нарушенной работы кровообращения и сосудистого тонуса.
- Общие признаки интоксикации. Чрезмерная утомляемость, апатия, вялость, похудение.
Эти симптомы могут сопровождать и другие заболевания почек: мочекаменная болезнь, пиелонефрит и проч. А потому только своевременное обращение к врачу помогает вовремя установить источник клинической картины и начать лечение.

Методы диагностики
Для определения типа опухоли и ее основных характеристик проводится лабораторное и инструментальное исследование. Они помогают определить светлоклеточный, папиллярный рак, обнаружить метастазы, если они есть. Обратите внимание, что метастазы на 1 стадии не обнаруживаются. Если они есть, устанавливаются последующие стадии рака, в зависимости от количества и дальности распространения метастаз.
- УЗИ;
- компьютерная томография с контрастом;
- клинические анализы мочи и крови;
- МРТ;
- КТ, если МРТ противопоказан;
- биопсия;
- рентгенография при подозрении на метастазы;
- почечная ангиография.
Комплекс методов, подобранный врачом, помогает определить клиническую стадию, размеры и объемы опухоли, ее точную локализацию.
Методы лечения
Рак почки 1 стадии можно вылечить – здесь соседние органы еще не поражены прорастанием злокачественных тканей, а сама опухоль удаляется с сохранением органа. Как лечится рак почки 1 стадии:
- – удаление пораженной части почки, если необходимо, то удаляются и соседние лимфоузлы, но с сохранением функции органа; – разрушение пораженной ткани при помощи радиочастот, микроволн, лазера или ультразвука.
Оба метода отличаются небольшой инвазивностью, легкой реабилитацией и высокой результативностью. Переносятся пациентами легче, чем открытые полостные операции, сохраняют орган и его функциональность.

Прогноз
Выживаемость при раке почки 1 стадии высокая. Если размеры опухоли до 7 см, нет метастаз, а пораженные клетки расположены только в почечной ткани, адекватное лечение позволяет гарантировать до 90% полного выздоровления.
Это зависит от своевременной диагностики, опыта врача и подобранной тактики лечения. Вот почему так важно доверять свое здоровье опытным специалистам, которые работают строго в области урологии и онкоурологии.
Врачи высшей категории Государственной урологической клиники в Москве занимаются лечением рака почки 1 стадии более 40 лет. Современное оборудование позволяет сохранить жизнеспособность органа, а опыт наших специалистов – подобрать наиболее эффективную стратегию лечения для пресечения онкологических процессов. Не откладывайте лечение – запишитесь на прием сегодня!
Рак почки
Рак почки - это различные в гистологическом плане варианты злокачественной неопластической трансформации почечной ткани. Клиническими признаками служат ренальные симптомы (боль, гематурия, опухолевидное образование) и экстраренальные (общие) проявления. Диагностика требует тщательного общеклинического, лабораторного, ультразвукового, рентгенологического, томографического, радиоизотопного исследования мочевыводящей системы. Показана радикальная или расширенная нефрэктомия; иммунотерапия, химиотерапия, таргетная терапия.

Общие сведения
Рак почки составляет 2-3% от всех онкологических заболеваний, а во взрослой клинической онкоурологии занимает 3-е место после рака простаты и рака мочевого пузыря. Преимущественно выявляется у пациентов 40-60 лет, при этом у мужчин статистически в 2-3 раза чаще, чем у женщин. Согласно современным воззрениям, является полиэтиологическим заболеванием; развитие опухоли может быть вызвано самыми различными факторами и воздействиями: генетическими, гормональными, химическими, иммунологическими, лучевыми.
Причины
По современным данным, на заболеваемость раком почки влияет целый ряд факторов. При почечно-клеточном раке у больных выявлен определенный тип мутаций - транслокация 3-ей и 11-ой хромосом, а также доказана возможность наследования предрасположенности к возникновению опухолевого процесса (болезнь Гиппеля-Линдау). Причиной роста всех злокачественных опухолей, в том числе и поражающих почку, является недостаточность противоопухолевой иммунной защиты (включая ферменты репарации ДНК, антионкогены, естественные киллерные клетки).
Табакокурение, злоупотребление жирной пищей, неконтролируемый прием анальгетиков, диуретических и гормональных препаратов значительно повышают риск заболеваемости раком почек. К возникновению неоплазии могут приводить хроническая почечная недостаточность и регулярное проведение гемодиализа, поликистоз почек, нефросклероз, развивающийся на фоне сахарного диабета, артериальной гипертензии, нефролитиаза, хронического пиелонефрита.
Новообразование может быть спровоцировано химическим воздействием на организм (при контакте с канцерогенами - нитрозаминами, циклическими углеводородами, асбестом и др.), а также радиационным излучением. Возможно развитие рака после ранее перенесенной травмы органа.
Классификация
Морфологические варианты неоплазии крайне вариабельны, что объясняет наличие нескольких гистологических классификаций. Согласно гистологической классификации, принятой ВОЗ, к основным видам злокачественных опухолей почки относят:
- Почечноклеточные опухоли (светлоклеточную карциному, тубулярную карциному, медуллярную карциному, папиллярную карциному, зернисто-клеточную карциному и др.)
- Нефробластические опухоли (нефробластому или опухоль Вильмса)
- Мезенхимальные опухоли (лейомиосаркому, ангиосаркому, рабдомиосаркому, фиброзную гистиоцитому)
- Нейроэндокринные опухоли (карциноид, нейробластому)
- Герминогенные опухоли (хориокарциному)
Международная TNM-классификация 1997 г. является общей для различных видов рака почки (T - размер первичной опухоли; N – распространенность на лимфатические узлы; M – метастазы в органы-мишени).
- T1 – опухолевый узел менее 7 см, локализация ограничена почкой
- Т1a – размер опухолевого узла до 4 см
- Т1b – размер опухолевого узла от 4 до 7 см
- T2 – опухолевый узел более 7 см, локализация ограничена почкой
- Т3 – опухолевый узел прорастает в околопочечную клетчатку, надпочечник, вены, однако инвазия ограничена фасцией Герота
- Т3а – инвазия паранефральной клетчатки или надпочечника в границах фасции Герота
- Т3b – прорастание почечной или нижней полой вены ниже диафрагмы
- T3c – прорастание нижней полой вены выше диафрагмы
- Т4 – распространение опухоли за пределы почечной капсулы с поражением прилегающих структур и органов-мишеней.
По наличию/отсутствию метастатических узлов принято различать стадии: N0 (признаки поражения лимфоузлов отсутствуют), N1 (выявляется метастаз в единичном регионарном лимфоузле), N2 (выявляются метастазы в нескольких регионарных лимфоузлах). По наличию/отсутствию отдаленных метастазов различают следующие стадии: М0 (отдаленные метастазы в органах мишенях не выявляются), М1 (обнаруживаются отдаленные метастазы, как правило, в легких, печени или костях).
При небольших размерах опухоль может протекать бессимптомно. Возникающие у пациентов проявления отличаются разнообразием, среди них выделяют ренальные и экстраренальные симптомы. К ренальным признакам относится триада: наличие крови в моче (гематурия), боль в области поясницы и пальпаторно определяемое образование на стороне поражения. Одновременное появление всех симптомов характерно для больших опухолей при запущенном процессе; на более ранних стадиях выявляются один или реже два признака.
Ренальные симптомы
Гематурия является патогномоничным признаком рака почки, может появляться однократно или периодически уже на ранних этапах заболевания. Может начинаться неожиданно, безболезненно при удовлетворительном общем самочувствии, может быть незначительной (микрогематурия) и тотальной (макрогематурия). Макрогематурия возникает в результате повреждения кровеносных сосудов при прорастании опухоли в почечную паренхиму, сдавлении ею внутрипочечных вен. Выделение с мочой червеобразных кровяных сгустков сопровождается почечными коликами.
Боли являются поздним признаком неоплазии. Они носят тупой, ноющий характер и обусловлены сдавлением нервных окончаний при внутренней инвазии опухоли и растяжении почечной капсулы. Рак пальпируется в основном на третьей или четвертой стадиях как плотное, бугристое образование. Повышение температуры тела длительное, значения чаще субфебрильные, но иногда – высокие фебрильные, могут колебаться от нормальных величин до повышенных. На ранних стадиях гипертермия обусловлена иммунной реакцией организма на опухолевые антигены, на поздних – процессами некроза и воспаления.
Экстраренальные симптомы
К экстраренальным симптомам рака почки относят паранеопластический синдром (слабость, потерю аппетита и веса, потливость, повышение температуры, артериальную гипертензию), синдром сдавления нижней полой вены (симптоматическое варикоцеле, отеки ног, расширение подкожных вен брюшной стенки, тромбоз глубоких вен нижних конечностей), синдром Штауффера (дисфункцию печени). Рак почек у детей (болезнь Вильмса) проявляется увеличением размера органа, повышенной утомляемостью, худобой, а также болями разнообразного характера.
Осложнения
Выраженная гематурия может привести к анемии, обтурации мочеточника, тампонаде мочевого пузыря кровяными сгустками и острой задержке мочи. Многообразные клинические симптомы могут быть проявлением метастазов опухоли. Признаками метастазирования являются кашель, кровохарканье (при поражении легких), болевой синдром, патологические переломы (при костных метастазах), сильная головная боль, усиление неврологической симптоматики, постоянные невралгии и радикулиты, желтуха (при метастазах в печени).
В диагностике рака почки применяются общеклинические, лабораторные, ультразвуковые, рентгенологические и радиоизотопные исследования. Обследование у врача-онкоуролога включает сбор анамнеза, общий осмотр, пальпацию и перкуссию (симптом Пастернацкого). По результатам общеклинического обследования назначается лабораторная диагностика крови и мочи (общий и биохимический анализы, цитологическое исследование).
Выявляются изменения лабораторных показателей крови и мочи: анемия, повышение СОЭ, вторичный эритроцитоз, протеинурия и лейкоцитурия, гиперкальциемия, ферментативные сдвиги (повышение секреции щелочной фосфатазы, лактатдегидрогеназы). Наблюдается повышенная секреция опухолью различных биологически активных веществ (простагландинов, тромбоксанов, активной формы витамина D), гормонов (ренина, паратгормона, инсулина, ХГЧ). Обязательно проводится обследование грудной клетки и костей для выявления метастазирования в легкие и кости таза. Выполняется инструментальное исследование:
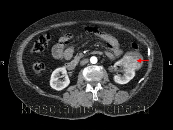
- УЗИ почек. Первостепенное значение на начальном этапе диагностикии имеет УЗИ, которое при наличии опухоли выявляет деформацию контуров органа, неоднородность эхосигнала из-за присутствия зон некроза и кровоизлияний, резкое поглощение ультразвука самим опухолевым образованием. Под контролем УЗИ производят закрытую чрескожную пункционную биопсию почки для забора материала для морфологического исследования.
- Рентгеновское исследование. Экскреторная урография и ренальная ангиография проводятся на заключительном этапе диагностики. Признаками ракового поражения почечной паренхимы при урографии является увеличение размеров почки, деформация контуров, дефект наполнения чашечно-лоханочной системы, отклонение верхнего уретерального отдела; по данным ангиограммы почек - увеличение диаметра и смещение магистральной почечной артерии, беспорядочная избыточная васкуляризация опухолевой ткани, неоднородность тени опухоли при ее некрозе. Почечная ангиография помогает дифференцировать истинное новообразование от кисты, выявить небольшую опухоль в корковом слое, наличие метастазов в соседних органах и второй почке, опухолевого тромба в почечной вене.
- Радионуклидное сканирование. Нефросцинтиграфия позволяет обнаружить очаговые изменения, характерные для рака почки. Из-за различного поглощения гамма-частиц нормальной почечной паренхимой и тканью опухоли создается частичный дефект изображения почечной ткани или его полное отсутствие при тотальном поражении.
- Томографическое исследование. КТ почки контрастным усилением позволяет обнаружить рак почки любого размера, установить его структуру и локализацию, глубину прорастания паренхимы, инфильтрацию паранефральной клетчатки, опухолевый тромбоз почечной и нижней полой вен. При наличии соответствующих симптомов проводится КТ органов брюшной полости, забрюшинного пространства, костей, легких и головного мозга с целью выявления метастазов.
Рак почки дифференцируют с солитарной кистой почки, мочекаменной болезнью, гидронефрозом, нефролитиазом, абсцессом и туберкулезом почки, с опухолями надпочечника и внеорганными забрюшинными опухолями.
Хирургическое лечение
Оперативное лечение является основным и самым эффективным методом в большинстве случаев заболевания, применяется даже при регионарных и отдаленных метастазах и позволяет увеличить срок выживаемости и качество жизни больных. Выполняются удаление почки (радикальная и расширенная нефрэктомия) и резекция почки. Выбор лечебного подхода определяется вариантом неоплазии, размером и локализацией опухоли, прогнозируемой выживаемостью больного.
- Резекция почки. Проводится с целью сохранения органа у пациентов с локальной формой рака, когда опухоль не проникает глубоко в паренхиму, расположена на полюсах, а также в случаях единственной почки, билатерального опухолевого процесса, нарушения функции второй почки. Во время резекции почки выполняют интраоперационное гистологическое исследование ткани с краев операционной раны на предмет глубины опухолевой инвазии. После резекции существует более высокий риск местного рецидива рака почки.
- Радикальная нефрэктомия. Является методом выбора на всех стадиях рака почки. Предполагает хирургическое иссечение одним блоком почки и всех ближайших образований: околопочечной жировой клетчатки, почечной фасции, регионарных лимфатических узлов. Удаление надпочечника проводится при обнаружении в нем метастатических очагов.
- Расширенная нефрэктомия. При расширенной нефрэктомии иссекаются ткани опухоли, распространившейся на окружающие органы. При врастании опухоли в просвет почечной или нижней полой вен выполняется тромбэктомия; при поражении опухолью сосудистой стенки проводится краевая резекция участка нижней полой вены. В случае распространенного рака почки, кроме нефрэктомии, обязательна хирургическая резекция метастазов в других органах. Лимфаденэктомия с гистологическим исследованием удаленных узлов помогает установить стадию рака и определить его прогноз. При отсутствии метастазов в лимфатических узлах (по данным УЗИ, КТ) лимфаденэктомия может не проводиться. Выполнение радикальной нефрэктомии при раке единственной почки требует проведения гемодиализа и последующей трансплантации почки.
В настоящее время в хирургии рака почки наметилась тенденция постепенного отказа от открытых вмешательств в пользу лапароскопических и робот-ассистированных операций.
Консервативное лечение
- Артериальная химиоэмболизация опухоли. может проводиться в качестве предоперационной подготовки для уменьшения кровопотери при нефрэктомии, как паллиативный метод лечения у неоперабельных больных или для остановки кровотечения при массивной гематурии.
- Иммунотерапия. Назначается для стимуляции противоопухолевого иммунитета при распространенном и рецидивном раке. Обычно применяют монотерапию интерлейкином-2 или альфа-интерфероном, а также комбинированную иммунотерапию этими препаратами, что позволяет добиться частичной регрессии опухоли (примерно в 20% случаев), длительной полной ремиссии (в 6 % случаев). Результативность иммунотерапии зависит от гистотипа неоплазии: она выше при светлоклеточном и смешанном раке и чрезвычайно низка при саркоматоидных опухолях. Иммунотерапия неэффективна при наличии метастазов в головной мозг.
- Таргетная терапия препаратами сорафениб, сунитиниб, сутент, авастин, нексавар позволяет блокировать фактор роста эндотелия сосудов опухоли (VEGF), что приводит к нарушению ангиогенеза, кровоснабжения и роста опухолевой ткани. Иммунотерапия и таргетная терапия при распространенном раке могут назначаться до или после нефрэктомии и резекции метастазов в зависимости от трудноудалимости опухоли и общего состояния здоровья пациента.
- Химиотерапия(препаратами винбластин, 5-фторурацил) при метастатическом и рецидивном раке почки дает минимальный результат из-за перекрестной лекарственной резистентности, проводится обычно в сочетании с иммунотерапией.
- Лучевая терапия. Не дает необходимого эффекта, применяется только при метастазах в другие органы. При распространенном новообразовании с прорастанием окружающих структур, обширными метастазами в лимфоузлы забрюшинного пространства, отдаленными метастазами в легкие и кости возможно проведение только паллиативного или симптоматического лечения.
Прогноз и профилактика
После проведенного лечения показано регулярное наблюдение и обследование у врача-онкоуролога. Прогноз рака почки определяется в основном стадией опухолевого процесса. При раннем выявлении опухоли и метастазов можно надеяться на благоприятный результат лечения: 5-летняя выживаемость больных с Т1 стадией после нефрэктомии составляет 80-90% , при Т2 стадии 40-50%, при Т3-Т4 стадии прогноз крайне неблагоприятный – 5-20%. Профилактика заключается в соблюдении здорового образа жизни, отказе от вредных привычек, своевременном лечение урологических и других заболеваний.
Читайте также:
