Ранения от травматического оружия - частота, локализация
Добавил пользователь Евгений Кузнецов Обновлено: 19.12.2025
Закон РФ «Об оружии» [1] (далее просто Закон) регулирует правоотношения, возникающие при обороне гражданского, служебного, а также боевого ручного стрелкового и холодного оружия на территории РФ, направлен на защиту жизни и здоровья граждан, собственности, обеспечения общественной безопасности, охрану природы и природных ресурсов, укрепление международного сотрудничества в борьбе с преступностью и незаконным оборотом оружия.
В ст. 3 Закона к гражданскому оружию относится оружие, предназначенное для использования гражданами РФ в целях самообороны, для занятий спортом и охоты. В свою очередь к оружию самообороны отнесены:
- огнестрельное гладкоствольное длинноствольное оружие, в том числе с патронами травматического действия, соответствующими нормам Министерства здравоохранения РФ;
- огнестрельное бесствольное оружие отечественного производства с патронами травматического, газового и светозвукового действия, соответствующими нормам МЗ РФ [2] ;
- газовое оружие: газовые пистолеты и револьверы, в том числе патроны к ним, механические распылители, аэрозольные и другие устройства, снаряжённые слезоточивыми или раздражающими веществами, разрешенные к применению МЗ РФ;
- электрошоковые устройства и искровые разрядники отечественного производства, имеющие выходные параметры, соответствующие требованиям государственных стандартов РФ и нормам МЗ РФ.
Ограничения, устанавливаемые на оборот гражданского и служебного оружия регламентированы в ст. 6 Закона:
газового оружия, снаряженного нервно-паралитическим, отравляющими, а также другими веществами, не разрешёнными к применению МЗ РФ, газового оружия способного причинить средней тяжести вред здоровью человека, находящегося на расстоянии более одного метра;
огнестрельного бесствольного оружия самообороны, электрошоковых устройств и искровых разрядников, имеющих выходные параметры, превышающие величины, установленными стандартами РФ и соответствующие нормам МЗ РФ, а также указанных видов оружия, произведённых за пределами территории РФ.
Ещё в 80-е годы предыдущего столетия поражения из газовых пистолетов и револьверов представляли собой казуистические случаи. В настоящее время, в связи с расширением прав на приобретение оружия гражданами РФ, возросло на несколько порядков количество случаев травматического воздействия в результате применения оружия самообороны не для защиты жизни, здоровья и собственности в состоянии необходимой обороны или крайней необходимости (ст. 24 Закона), а из хулиганских побуждений и в случаях ограбления или разбойного нападения (до 55-60 %).
В судебно-медицинской практике встречаются случаи, когда оружием самообороны причиняются разнообразные повреждения:
3. причинившие средней тяжести вред здоровью (по признаку длительного, более 21 дня, расстройства здоровья или значительной стойкой утраты общей трудоспособности менее чем на одну треть – от 10 до 30 % включительно);
4. причинившие лёгкий вред здоровью (по признаку кратковременного, не свыше 21 дня, расстройства здоровья или незначительной стойкой утраты общей трудоспособности, равной 5%, а также не повлекшие за собой кратковременного, не более 6 дней, расстройства здоровья или незначительной стойкой утраты трудоспособности).
По мнению руководителя лицензионно-разрешительной системы, заместителя начальника Главного управления охраны общественного порядка Службы общественной безопасности МВД РФ генерал-майора милиции Л.В. Веденова «…гражданское оружие самообороны - мощное, можно сказать, убийственное – это бесствольное оружие типа «ОСА», «Стражник»… применение этого оружия, по мнению многих специалистов, «небезопасно». На расстоянии 5-10 метров баллистика полета пули из некоторых моделей этого оружия непредсказуема, и отклонение её от точки прицеливания составляет от 25 до 35 см. Вот и получается: метил в грудь, а попал в голову. Заряд же настолько сильный, что пуля может пробить череп и тогда это будет квалифицироваться, как превышение пределов необходимой обороны (см. «Щит и меч» - № 7 от 12-18.02.04 – С. 1-2).
В нашей экспертной практике встретилось несколько случаев, когда оружием самообороны были причинены значительные повреждения гражданам из хулиганских побуждений. Приведём несколько примеров.
Гр-ке С. выстрелили в лицо с близкого расстояния из газового пистолета отечественного производства ИЖ–76 (калибр 8 мм). После оказания первой медицинской помощи судебно-медицинский эксперт описал, что «левая щечная область припухшая, болезненная при пальпации. От левого угла рта отходят влево две волнистые сквозные, ушитые узловыми швами со стороны кожи и слизистой оболочки раны: верхняя - длиной 2,5 см, (ориентирована на цифры 4 и 10 условного циферблата часов); нижняя - длиной 1,5 см (ориентирована на цифры 1 и 7 условного циферблата часов). Раны с неровными, рыхло сращенными краями, закругленными концами. Кожные покровы на лице в области ран без каких-либо вкраплений». Раны нагноились и зажили вторичным натяжением, больная лечилась амбулаторно и стационарно более 21 дня. Судебно-медицинский эксперт пришёл к выводу, что раны причинили средней тяжести вред здоровью (по признаку длительного расстройства его).
Способна ли газовая струя, вырывающаяся из пистолетного ствола, разорвать мягкие ткани щёчной области?
Пистолет был изъят у нападавшего и из него произведены выстрелы штатными патронами в лицо трупа - последовательно в области правого (с дистанции 5 см) и левого (с дистанции неплотный упор) углов рта. При этом возникли следующие изменения.
Около правого угла рта образовалось серо-чёрное закапчивание на участке неправильной формы размером 4,5х5 см. Со стороны преддверия рта слизистая оболочка не изменена.
Около левого угла рта образовалась волнистая рана длиной 2 см (ориентирована на цифры 4 и 10 условного циферблата часов), с неровными совпадающими краями и острым концом. Кожа вокруг раны на участке неправильной формы размером 2,5х3,5 см закопчена, серо-чёрного цвета (см. 1). Стенки раны неровные, совпадающие. Глубина раны до 1 см, дном раны является подслизистая оболочка щеки. Со стороны преддверия рта слизистая оболочка не изменена. Таким образом, эксперты убедились, что при выстреле из данного газового пистолета в лицо с дистанции неплотный упор возникновение раны возможно. Врачам нетрудно представить, какие травмирующие последствия могут возникнуть при выстреле из газового пистолета с дистанции в упор или близким к нему в другие «уязвимые» места - глаз, слуховой проход или носовой ход.
По выздоровлении потерпевшая вновь осмотрена судебно-медицинским экспертом, отметившим, что «от левого угла рта отходят влево два полосчатых западающих красновато-синюшных, не бледнеющих при надавливании рубца: верхний - 1,7х0,2 см (ориентирован на цифры 4 и 10 условного циферблата часов); нижний - размерами 1,3х0,1 см (ориентирован на цифры 1 и 7 условного циферблата часов). На слизистой оболочке левой щеки имеются аналогичные рубцы». Судебно-медицинский эксперт пришёл к выводу, что рубцы, образовавшиеся в исходе заживления ран на лице гр-ки С., являются неизгладимыми, то есть для устранения их «требуется оперативное вмешательство (косметическая операция)» [3] . Если суд признает, что эти рубцы обезображивают лицо, то по этому признаку раны причинили тяжкий вред здоровью.
Следует подчеркнуть, что Закон (ст. 6) запрещает использование газового оружия, способного причинить средней тяжести вред здоровью человека, находящегося на расстоянии более одного метра. Какие-либо другие ограничения (например, выстрел в определённую часть тела, выстрел с дистанции в упор или близким к нему) для газового пистолета в Законе отсутствуют. Следовательно, при более близкой (не более одного метра) дистанции выстрела Закон не осуждает причинение вреда здоровью любой тяжести и смертельных повреждений. Это создаёт противоречие между предназначением газового оружия («для временного поражения живой силы» - ст. 1 Закона) и возникающими кратковременным, не более 21 дня, или длительным расстройством здоровья, стойкими последствиями в виде, например, неизгладимого обезображивания лица. Обращаем внимание читателей, что разрешение Минздрава РФ, к которому отсылает Закон (ст. 3), распространяется только на слезоточивые или раздражающие вещества для газового оружия и не охватывает механическую энергию газовой струи [4] . А именно механическое (побочное для газового оружия) действие и является травмирующим фактором.
Другие авторы при выстрелах в труп получили проникающие ранения головы, но только при плотном упоре ствола газового оружия [5] .
Пистолет «ПБ-4» (комплекс «ОСА») бесствольный (функции стволов выполняют удлиненные дульца гильз) является огнестрельным оружием самообороны - четырёхзарядный, неавтоматический, карманного типа (размер 115х105х39 мм, масса без патронов 320 г), состоит из рамки с рукояткой, пусковой клавиши с предохранительной скобой, откидного блока (кассеты) с четырьмя патронниками (гнёздами) и фиксатора патронов, четырёх подпружиненных контактов, центрального контакта, источника электрического тока, механизма переключения контактов защёлки, прицельных приспособлений ( 4 и 5). Патронники (гнезда кассеты) цилиндрической формы, длиной 45 мм, диаметром 19 мм. Блок (кассета) крепится к рамке при помощи шарнира, в запертом положении блок фиксируется при помощи защелки.
Пистолет предназначен для стрельбы специальными патронами калибра 18х45 мм, снаряженными электрическими капсюлями. Для приведения их в действие ударно-спусковой механизм выполнен нетрадиционно и представляет собой электромеханический коммутатор (источник тока, не нуждающийся в подзарядке), что исключает срабатывание (электровоспламенение) капсюля в результате механического воздействия на пистолет. Усилие на спусковой клавише 3,5 кг/с соответствует современным требованиям и обеспечивает достаточное сопротивление случайному нажатию на пусковую клавишу, следовательно, выстрел из пистолета возможен только при нажатии на неё. Коммутатор подаёт импульсы на электрические капсюли патронов в круговой последовательности поочерёдно при нажатии пусковой клавиши. Это обеспечивает производство 4-х выстрелов в определенной последовательности.
2. светозвуковые – масса 18 г, при выстреле создают ослепляющую вспышку и оглушительный звук (сила звука на расстоянии 1 м в направлении выстрела 140 Дб), зона эффективного действия до 3 м;
3. травматические - с резиновыми чёрными пулями длиной 24,5 мм, массой 9 г, грибовидной формы, головная часть в виде правильного армированного металлом полушара диаметром 15,3 мм. Начальная скорость пули 137 м/с, начальная кинетическая энергия пули 85 Дж; зона эффективного действия до 10 м. При ударе резиновой пули в нападающего возникает болевой эффект, оказывающий останавливающее действие. Именно благодаря травматическим патронам пистолет считается самым мощным несмертельным отечественным оружием. Это оружие новое и не успело попасть в самое современное и полное судебно-медицинское руководство [6] .
Из пистолета «ПБ-4» гр-ну Н. дважды выстрелили в лицо. Лечащими врачами описаны в истории болезни две раны.
Одна рана в области внутренней части левого верхнего века и переносья, неправильной формы 2х3 см, с неровными размозжёнными краями, при ревизии дефект кости передне-нижней стенки левой лобной пазухи и частично стенки орбиты, в ране свободно-лежащие костные фрагменты 0,5х0,3 см (удалены). Левое глазное яблоко не подверглось непосредственному действию пули, но в силу повышенного давления в зоне прохождения её было тяжело контужено (с потерей зрения, в дальнейшем острота зрения восстановилась до 0,5). При компьютерной томографии черепа и головного мозга (через три месяца после травмы) отмечается дефект передней стенки лобной пазухи слева в базальных отделах, здесь же дефект костных тканей верхне-внутренней стенки орбиты слева и деформация средних клеток решетчатой кости слева. Пневматизация базальных отделов лобной пазухи на этом уровне снижена, с наличием на фоне содержимого пазухи фрагментов «костной» плотности. Пневматизация лобной пазухи справа, клиновидных пазух, клеток решетчатой кости не изменена. Судебно-медицинский эксперт пришёл к выводу, что рана причинила тяжкий вред здоровью (по признаку опасности для жизни).
Другая рана в левых скуловой и предушной областях, размерами 7 см, с неровными размозжёнными краями, глубиной в пределах подкожной клетчатки.
Произведен экспертный эксперимент: пистолет, из которого стреляли в гр-на Н., снаряжён штатными патронами травматического действия, и произведены выстрелы в лицо трупа с дистанции 1-3 см. При этом были учтены локализация ран на лице гр-на Н. и предполагаемое направление выстрелов.
Один выстрел – в область внутренней части левого верхнего века и переносья, в направлении спереди назад, слева направо и несколько снизу вверх. В результате первого выстрела в углу, образованном левой надбровной дугой и носом, возникла рана ( 2) с дефектом неопределенной формы размером 1,8х1,9 см, через который видны провалившиеся костные отломки. Края раны ровные, закопчены на ширину 0,5-1 см. При разрезании первой раны и вскрытии полости черепа – в передней стенке левой лобной пазухи в базальных отделах имеется костный дефект, по форме и размерам совпадающий с таковым в наружных мягкотканных покровах. От костного дефекта отходят линейные переломы на кости носа, верхнюю и внутреннюю (медиальную) стенки левой глазницы. Перегородка между правой и левой лобной пазухами разрушена. Задняя стенка левой лобной пазухи цела. В ране костные отломки. Пуля или её части в ране не обнаружены.
Другой выстрел - в левые скуловую и предушную области в направлении спереди назад и несколько снизу верх. От него образовалась дугообразная рваная рана ( 3), обращенная выпуклостью вперед, высота дуги 2,5 см, расстояние между концами дуги 3 см. Края раны ровные, совпадают при сведении. Вокруг раны закапчивание, темно-красное осаднение на ширину 1-1,5 см. Кожный лоскут, образованный дугой, легко отводится кзади до уровня ее основания, обнажая подкожно-жировую клетчатку. Кости не повреждены.
Таким образом, эксперимент убедил нас, что повреждения причинёны гр-ну Н. выстрелами с дистанции, близкой к упору, из пистолета «ПБ-4», снаряженного патронами травматического действия.
После заживления ран пострадавший осмотрен судебно-медицинским экспертом: «в области внутренней части левого верхнего века и переносья имеется дугообразный белесоватый рубец, выпуклостью обращенный вверх и вправо, высота дуги 0,5 см, расстояние между концами дуги 2,5 см, рубец пересекают поперечные рубчики (от швов). Нижне-левый край рубца в средней трети возвышается над окружающей неповрежденной кожей на 0,4 см. При ощупывании области рубца определяется костный дефект неправильной формы размером 0,6х0,8 см. В левых скуловой и предушной областях багровый рубец сложной формы шириной 0,1-0,3 см в виде двух дуг. Одна из них выпуклостью обращена вниз и вперед, высота 1,4 см, расстояние между концами дуги 2 см. От нижне-заднего конца этой дуги отходит вторая дуга, выпуклостью обращенная вниз и кзади, высота дуги 0,3 мм, расстояние между концами дуги 3 см». Судебно-медицинский эксперт пришёл к выводу, что рубцы, образовавшиеся в исходе заживления ран на лице гр-на Н., являются неизгладимыми.
В литературе описан случай самоубийства из пистолета «ПБ-4», снаряжённого травматическим патроном, когда выстрелом в упор в правую височную область причинено проникающее ранение с повреждением головного мозга (резиновая пуля закончила свое движение в левом полушарии) [7] .
В Законе нет каких-либо конкретных ограничений на применение пистолета ПБ-4. Указано только, что это оружие самообороны (ст. 6) и патроны к нему (ст. 3) должны соответствовать нормам Минздрава РФ. На сегодняшний день эти нормы делают зыбкой грань между самообороной и убийством.
По указанию министра внутренних дел был проработан в прошлом году вопрос о создании оружия, применение которого не вело бы к летальному исходу. Сегодня такое оружие травматического воздействия создано - это револьверы «Сайфигом» и «Викинг», а также пистолет «Макарыч» – эффективное оружие самозащиты. Резиновая пуля, выпущенная из этого оружия, при попадании в тело создаёт сильнейший болевой шок, а отклонение её от точки прицеливания составляет 3-4 см.
Ранения от травматического оружия - частота, локализация
НИИ скорой помощи им. Н. В. Склифосовского обладает самым большим в стране опытом диагностики и лечения пострадавших от травматического оружия.
В институте пролечено 322 пациента с ранениями шеи, груди, живота. Из 322 пострадавших мужчин было 308 (95%), женщин — 14 (5%). Возраст пациентов колебался от 16 до 69 лет, составляя в среднем 31,8+10,2 лет. Обращает на себя внимание возрастание в 9 раз числа ранений в 2009 г. (90 наблюдений) по сравнению с 2000 г. (10 наблюдений). Абсолютное большинство ранений носило криминальный характер (98,8 % наблюдений) и только у 4 пациентов ранения были следствием аутоагрессии.
При ретроспективном анализе всех наблюдений выяснено, что в холодные месяцы года число ранений травматическим оружием снижалось почти в 2 раза по сравнению с теплой погодой, что, очевидно, связано не с числом применения травматического оружия, а со снижением его повреждающего действия у лиц с плотной одеждой.
В таблице представлена локализация и характер ранений в зависимости от вида травматического оружия. При этом у 225 пострадавших ранения были изолированными, а у 97 сочетались с ранениями других областей тела, что составило 30%. Наиболее часто имелись сочетания грудь+конечности (27), грудь+живот (11), грудь+голова (8), шея+грудь (8), живот+конечности (4), шея+конечности (3).
Остальные 36 случаев ранений были представлены сочетанием более двух анатомических структур.

* У 322 пострадавших было 359 ранений шеи, груди, живота (данные НИИ скорой помощи им. Н. В. Склифосовского за 10 лет)
Как следует из таблицы, ранения груди из травматического оружия составили 2/3 всех ранений указанных областей (63%).
Частота глубоких ранений шеи составила 28,6%, при этом при выстрелах из «Осы» такие ранения наблюдали в 35,7% против 19,4% при выстрелах из «Макарыча», частота проникающих ранений груди из «Осы» составила 7,3% против 3,7% таковой при выстрелах из «Макарыча», а все проникающие ранения живота были вызваны пулями из оружия типа «Макарыч». Наблюдения глубоких и проникающих ранений из оружия типа «Макарыч» встречались в последние 4 года.
Внешний вид ран, нанесенных этими двумя типами травматического оружия, также был различен. Если раны, нанесенные из пистолета типа «Макарыч», были в основном округлой формы, от 0,9 до 1,5 см в диаметре с относительно ровными краями, то при ранениях из «Осы» диаметр колебался от 2,0 до 3,0 см с рваными краями и большой зоной ушиба.
При выстрелах с большого расстояния кожный покров не повреждался, имелись ссадины с подкожными кровоизлияниями; при этом зона повреждения пулями из «Осы» была больше (рис. 2.12, б, г).
Из 70 наблюдений ранений шеи в одном наблюдении имелось повреждение трахеи, в двух — ротоглотки. Инородные тела (пули) извлечены у 10 пострадавших (9 мм пуля у 6, 18 мм — у 4). У остальных 60 инородных тел в раневом канале не было.
Проникающие ранения груди имелись у 13 пострадавших, что составило 5,6%. При этом у 7 из них, несмотря на неоднократное рентгенологическое, ультразвуковое исследование и интраоперационную ревизию, инородных тел (пуль) выявлено не было.
У 2 пострадавших пули свободно лежали в плевральной полости, у 1 — на передней стенке перикарда, у 3 — в ткани легкого (в том числе у одного пациента — с повреждением сегментарного бронха).
Проникающие ранения живота имелись у 3 пострадавших из 58 (5,1%) (все — пулями от «Макарыча»). В подавляющем большинстве наблюдений проникающих ранений живота пули были извлечены во время хирургической обработки (рис. 2.14).
В 2 наблюдениях пули лежали в свободной брюшной полости (в одном из них пластиковый шарик диаметром 9 мм находился меж петель тонкой кишки, во втором фрагменты такой же пули извлечены из полости малого таза). В 1 наблюдении найти пластиковую пулю не удалось, не удалось ее обнаружить и при последующей рентгенографии в силу малой контрастности.
В 2 наблюдениях имелось повреждение тонкой кишки: в первом из них было ограниченное субсерозное кровоизлияние без нарушения кровоснабжения кишечной стенки, во втором — распространеная зона ушиба с некрозом, что потребовало выполнения резекции кишки. Наиболее тяжелым было наблюдение одновременных ранений груди и живота.
Таким образом, располагая опытом хирургического лечения 322 пострадавших с огнестрельными ранениями шеи, груди и живота из травматического оружия, можно сделать ряд выводов. Во-первых, число огнестрельных ранений такого рода за 10 лет выросло в 9 раз. Во-вторых, наиболее часто встречаются ранения груди (60%), реже — живота (22%) и шеи (18%). В-третьих, глубокие ранения шеи и проникающие ранения груди чаще встречаются при использовании бесстволыюго травматического оружия калибра 18 мм, однако наиболее тяжелые повреждения внутренних органов груди и живота в последние годы стали наблюдаться при ранениях из ствольного оружия пулями калибра 9 мм.
Редактор: Искандер Милевски. Дата обновления публикации: 18.3.2021
Московский государственный медико-стоматологический университет им. А.И. Евдокимова, Москва, Россия
Киевское городское клиническое БСМЭ
Киевское городское клиническое бюро судебно-медицинской экспертизы
Специфика механизма формирования кровоподтеков при травме эластическими снарядами патронов травматического оружия
Журнал: Судебно-медицинская экспертиза. 2014;57(1): 16‑17
Леонов С.В., Михайленко А.В., Слаутинская А.В. Специфика механизма формирования кровоподтеков при травме эластическими снарядами патронов травматического оружия. Судебно-медицинская экспертиза. 2014;57(1):16‑17.
Leonov SV, Mikhaĭlenko AV, Slautinskaia AV. The specific mechanism of bruising inflicted by rubber bullets of traumatic weapons. Sudebno-Meditsinskaya Ekspertisa. 2014;57(1):16‑17. (In Russ.).
Для выявления особенностей повреждений от воздействия эластических огнестрельных снарядов проведены оригинальные и экспериментальные наблюдения. Определены морфологические признаки наружных повреждений, которые имеют свои особенности, обусловленные механикой разрушения тканей. Метрические данные морфологических особенностей контурных (кольцевидных) кровоподтеков и эластического снаряда совпадают с размерным соотношением в модели указанного взаимодействия - воздействие тупого индентора на упругопластическое полупространство.
По мнению ряда авторов [1, 2], действие огнестрельного снаряда на биологические ткани человека зависит от его энергии и скорости. Выделяют пробивное, клиновидное и ушибающее действия пули. Первые два действия реализуются в повреждениях, с которыми наиболее часто сталкиваются в своей работе судебно-медицинские эксперты. Ушибающее действие огнестрельного снаряда чаще всего наблюдается при его рикошете либо в случаях, когда пуля на своей траектории движения преодолевает преграду. Данные наблюдения касаются «стандартных» или металлических огнестрельных снарядов, выпущенных из боевого либо охотничьего оружия. Эластические снаряды, применяемые в патронах к травматическому оружию, имеют иные прочностные характеристики (в первую очередь за счет снижения модуля упругости) и поэтому при скорости 200-300 м/с обычно производят ушибающее действие.
На проявление ушибающего действия влияют контактная скорость и прочностные характеристики огнестрельного снаряда и биологического объекта (модуль восстановления, твердость, пределы прочности на сжатие и растяжение, модуль упругости, коэффициент Пуассона), а также контактное время - время, потраченное на соударение снаряда (эластичной пули) и биологического объекта.
При выстреле из травматического оружия повреждения на теле человека образуются от ушибающего действия. В этом состоит главная задача «несмертельного» оружия. Ушибающее действие на кожном покрове проявляется в виде ссадин, кровоподтеков, поверхностных ран.
В экспериментальных работах, посвященных травматическому оружию, наибольшее внимание уделено изучению морфологии ран и ссадин. Внимание к этим видам повреждения понятно: исследования проводили по аналогии с классическими работами по огнестрельной травме. Механизму образования кровоподтеков, с нашей точки зрения, уделено недостаточное внимание [3]. Как показывают практические наблюдения, у потерпевших, которым были причинены ранения из травматического оружия, выявляли как изолированные кровоподтеки, так и комбинацию их с другими повреждениями. Нередко центральная часть таких кровоподтеков имела участок просветления или была практически не изменена по сравнению с окружающей неповрежденной кожей.
Исследуя морфологию повреждений от воздействия эластических снарядов при выстрелах из травматического оружия практически во всех наблюдениях (45 случаев) отметили однотипность повреждений. Регистрировали преимущественно округлые или продолговатые ссадины и поверхностные раны размером от 1,2×1,2 до 1,2×1,7 см с кратерообразным углублением дна. В 7 случаях отметили формирование рваных ран до глубоких слоев дермы или до подкожной жировой основы.

В зоне контактного взаимодействия снаряда с поверхностью кожного покрова отмечали наличие светлого участка шириной 1,0-1,5 см с относительно ровными и четкими краями. По периферии светлого участка регистрировали образование кольцевидного кровоподтека синюшного или синюшно-фиолетового цвета шириной 0,3-1,5 см. Внутренняя граница кровоподтека была четкой, ровной, а наружная - нечеткая, волнистая или зубчатая. В 23 случаях наблюдали своеобразную «лучистость» внешнего края кровоподтека. Кольцевидный кровоподтек имел неравномерную интенсивность: внутренняя часть его была более яркой, багрового или багрово-красного цвета с переходом к багрово-синюшному или бледно-синюшному оттенку по внешнему краю (см. рис. 1, на цв. вклейке). Рисунок 1. Рис. 1. Кольцевидный кровоподтек от действия эластического огнестрельного снаряда патрона «Терен 3ФП» при выстреле из пистолета ПМР.
В доступной судебно-медицинской литературе описания и объяснения механизма формирования контурных кровоподтеков мы не встретили. В данной работе сделана попытка объяснить этот процесс. Для разработки, визуализации и моделирования процессов разрушения тканей использовали эластический огнестрельный снаряд сферической формы под патрон калибра 9 мм. Провели моделирование процесса повреждения тканей, в котором рассматривался контакт сферической пули с поверхностью кожного покрова как воздействие тупого индентора на упругопластическое полупространство.
Кожа с подлежащей ей жировой основой и контактирующий с ними тупой индентор (эластический снаряд) представляют собой одну физическую систему взаимодействий. Мы провели анализ напряжений и деформаций, которые возникают в ней. Как известно, чем меньше выражена подкожная основа, тем меньше площадь и объем кровоизлияния и, наоборот, чем больше толщина подкожной основы, тем больше площадь и объем кровоизлияния. Очевидно, все подкожные слои подвергнутся деформации, но этот процесс будет неодинаковым в различных участках.
Объем подкожного кровоизлияния будет зависеть не только от силы воздействия снаряда, но и от состояния подкожной основы (толщина, рыхлость, кровоснабжение). Математическое обоснование повреждений собственно кожи и жировой ткани в результате воздействия сферического эластического снаряда (тупой предмет) можно представить двумя задачами: задачей Герца (контакт тупого индентора с упругим полупространством) и модели Хилла-Джонсона (внедрение тупого индентора в упругое полупространство).

При контакте тупого индентора с упругим полупространством в зоне контактной поверхности все главные напряжения сжимающие. Это приводит к развитию в области контакта состояния, близкого к гидростатическому сжатию: материал сжимается по всем трем направлениям одинаково (рис. 2) Рисунок 2. Рис. 2. Контакт тупого индентора с упругопластическим полупространством. φ — угол индентора, r — радиус кривизны индентора; x и y — система координат. Темно-серым цветом отмечена зона «гидростатического ядра», светло-серая штриховка — зона пластической деформации. . При таком состоянии разрушение материала невозможно [4].
По мере углубления тупого индентора в упругое полупространство, перед ним формируется зона в виде полусферы, на границе которой зарождаются растягивающие напряжения. Проникая дальше, по направлению действия внешней силы, возникает зона пластической деформации (напряжения формируют чистый сдвиг), а вслед за ней - зона хрупкого разрушения (двуосное растяжение). Таким образом, при внедрении тупого предмета в упругое полупространство разрушение осуществляет формируемая зона гидростатического сжатия, размер которой равняется 2-3 радиусам индентора [5].
Внедрение тупого индентора в упругое полупространство (модель Хилла-Джонсона) и его разрушение представлены на рис. 3. Рисунок 3. Рис. 3. Процесс разрушения в упругопластическом полупространстве при внедрении тупого индентора. Светло-серая штриховка — зона пластической деформации.
Таким образом, все повреждения кожи, сосудов, подкожной основы происходят под влиянием формирующихся в них напряжений и деформаций.
В наших наблюдениях внутренний радиус кольца кровоподтека 1,1-1,85 см, а радиус эластического снаряда 0,475±0,1 см, что в соотношении примерно 3:1 и полностью соответствует теоретическим положениям.
Результаты проведенного исследования могут быть использованы в судебно-медицинской экспертной практике для обоснования механизма формирования кольцевидных кровоподтеков при повреждениях эластическими снарядами патронов травматического оружия.
За последние два десятилетия отмечается неуклонный рост числа пострадавших с ранениями, что обусловлено резким ухудшением социально-экономической и криминальной обстановки, алкоголизмом и наркоманией [1]. Проблема приобрела особую актуальность после принятия в 1996 г. Государственной Думой закона РФ «Об оружии», который разрешил приобретение и использование огнестрельного оружия самообороны.
Следует подчеркнуть, что в России публикации результатов исследований 3 особенностей таких ранений принадлежат судебным медикам. В публикациях клиницистов, посвященных ранениям груди и живота, причиненным травматическим оружием, приводятся единичные наблюдения [5].

Наиболее часто встречаются ранения, нанесенные резиновыми пулями калибра 18 мм из бесствольных травматических пистолетов «Кордон», «Стражник» и ПБ-4 «Оса» (рис. 1, а). Рисунок 1. Наиболее распространенные виды травматического оружия. а - ПБ-4 («Оса»); б - ИЖ-79-9 ТМ («Макарыч»).
Бесствольное оружие «Оса» с резиновой пулей массой 8 г, снабженной стальным сердечником, имело до 2001 г. дульную энергию 110-120 Дж, что нередко причиняло серьезные повреждения вплоть до летального исхода, особенно при выстрелах с близкого расстояния [4]. С 2001 г. энергетическая характеристика боеприпаса к этому оружию была снижена до 80-85 Дж при одновременном увеличении массы пули до 11,6 г, что уменьшило опасность для жизни, но увеличило так называемый останавливающий эффект.
C 2004 г. широкое распространение получили пистолеты, сертифицированные как газовые, но с возможностью стрельбы резиновыми пулями калибра 9 мм, которые первоначально выпускались с дульной энергией от 35 до 70 Дж. Это пистолеты Иж-79-9 ТМ «Макарыч» российского производства (рис. 1, б), WASP-R (Чехия), «Хорхе» (Украина), «Grand-Power» (Словакия и РФ), «Steel» (Турция), «Викинг» (Германия и РФ). Однако в последующем производители постепенно увеличили энергетику некоторых видов патронов до 130 Дж, что усилило их поражающее действие и вызвало обоснованную тревогу правоохранительных органов [7].
Цель данной публикации состоит в изложении самого большого в стране опыта диагностики и лечения этого во многом неисследованного вида огнестрельных ранений гражданского населения из травматического оружия.
Материал и методы
В течение 2000-2009 гг. в НИИ скорой помощи им. Н.В. Склифосовского поступили 483 пострадавших с огнестрельными ранениями из травматического оружия, в том числе 322 с изолированными и сочетанными ранениями шеи, груди и живота, что составило 66% общего количества пострадавших с ранениями из травматического оружия и 54,4% общего количества пострадавших со всеми огнестрельными ранениями шеи, груди и живота. Из 322 пострадавших было 308 (95%) мужчин и 14 (5%) женщин. Возраст раненых колебался от 16 до 69 лет, составляя в среднем 31,8±10,2 года. Наибольшее число пострадавших как среди мужчин, так и среди женщин составили лица в возрасте от 16 до 29 лет. Обращает на себя внимание увеличение в 9 раз числа ранений (90 наблюдений) в 2009 г. по сравнению с 2000 г. (10 наблюдений). В абсолютном большинстве наблюдений (98,8%) ранения имели криминальный характер, и только у 4 пациентов они были следствием аутоагрессии.
При ретроспективном анализе всех наблюдений выяснено, что в холодные месяцы года число ранений, нанесенных травматическим оружием, снижалось почти в 2 раза по сравнению с периодом теплой погоды, что, очевидно, связано не с частотой применения такого оружия, а со снижением его повреждающего действия при наличии плотной одежды.

В таблице представлены локализация и характер ранений в зависимости от вида травматического оружия. При этом у 225 пострадавших ранения были изолированными, у 97 (30%) они сочетались с ранениями других областей тела. Всего у 322 пострадавших было 359 ранений шеи, груди, живота.

Наиболее часто имелись сочетанные ранения: грудь+конечности (27), грудь+живот (11), грудь+ голова (8), шея+грудь (8), живот+конечности (4), шея+конечности (3). Остальные 36 наблюдений были представлены сочетанием поражения более двух анатомических областей (рис. 2). Рисунок 2. Пострадавший с одновременными ранениями из травматического оружия шеи, груди и плеча. 63% всех ранений приходились на ранения груди. Глубокие ранения шеи составили 28,6% всех ранений шеи, при выстрелах из оружия типа «Оса» такие ранения наблюдались у 35,7% против 19,4% пострадавших при выстрелах из оружия типа «Макарыч», проникающие ранения груди после стрельбы из «Осы» составили 7,3% против 3,7% при выстрелах из «Макарыча», а все проникающие ранения живота были нанесены пулями, выпущенными из оружия типа «Макарыч». Все наблюдения глубоких и проникающих ранений при стрельбе из оружия типа «Макарыч» встречались после 2005 г. (2006-2009).
Результаты

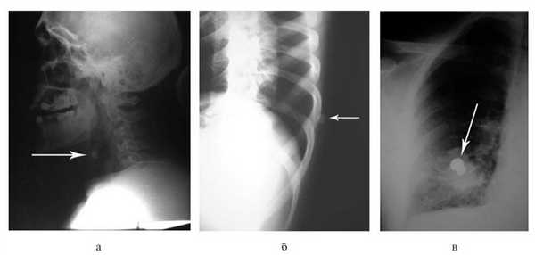
Внешний вид ран, нанесенных пулями из этих двух типов травматического оружия, также был различен. Если раны, нанесенные пулями из пистолета типа «Макарыч», были в основном округлой формы, от 0,9 до 1,5 см в диаметре с относительно ровными краями (рис. 3, а), Рисунок 3. Внешний вид ран, нанесенных травматическим оружием. Объяснения в тексте. то ранения пулями, выпущенными из «Осы», имели рваные края с большой зоной ушиба, диаметр их колебался от 2 до 3 см (рис. 3, б). При выстрелах с дальнего расстояния пули калибра как 9 мм, так и 18 мм причиняли поверхностные повреждения, которые были представлены зоной осаднения кожи, ушиба и подкожным кровоизлиянием (рис. 3, в, г).

Поверхностные раны шеи требовали первичной хирургической обработки с экономным иссечением их краев. Инородных тел в тканях при этом не выявлено. При глубоком ранении (что определялось по внешнему виду раны) для исключения повреждения органов и структур шеи выполняли обзорную рентгенографию (рис. 4, а), Рисунок 4. Обзорные рентгенограммы пострадавших с ранениями из травматического оружия. Стрелками указаны инородные тела (пули). а - при ранении шеи; б - при непроникающем ранении груди; в - при проникающем ранении груди. затем продольную переднюю колотомию (21 наблюдение). При этом в 1 наблюдении обнаружено ранение трахеи и в 2 - повреждение ротоглотки. Инородные тела извлечены в 10 наблюдениях (пули из пистолета «Макарыч» - в 6, из «Осы» - в 4). Хирургическая обработка раневого канала являлась заключительным этапом вмешательства.
При поступлении пострадавших с ранениями груди и живота, причиненными травматическим оружием, выполняли обзорную рентгенографию. У 217 больных ранения были непроникающими (рис. 4, б). Следует подчеркнуть, что пули калибра 9 мм являются малоконтрастными и определение их локализации при рентгенологическом исследовании представляло определенную трудность.

У 13 раненых огнестрельные повреждения груди были проникающими (рис. 4, в). При отсутствии показаний к торакотомии вмешательство ограничивали первичной хирургической обработкой и дренированием плевральной полости (7 наблюдений). Несмотря на проникающие ранения, при рентгенологическом исследовании инородных тел (пуль) в этих наблюдениях выявлено не было. Двум больным этой группы в отсроченном порядке была выполнена торакоскопия в связи с выявленным инородным телом легкого или плевральной полости на рентгенограмме груди в послеоперационном периоде. В одном из этих наблюдений выполнены пневмотомия и удаление резиновой пули калибра 18 мм, ушивание раны легкого П-образными швами, санация и дренирование плевральной полости. В другом наблюдении резиновая пуля калибра 18 мм лежала в заднем костно-диафрагмальном синусе слева (рис. 5), Рисунок 5. Фотография при торакоскопии: в заднем синусе левой плевральной полости видна резиновая пуля калибра 18 мм. произведены ее удаление, санация и дренирование плевральной полости.
Торакотомия выполнена в 6 наблюдениях. У 2 больных показанием к ней явилась низкая локализация раны с подозрением на торакоабдоминальное ранение справа, при этом у одного из этих пациентов имелось касательное непроникающее ранение диафрагмы - пуля калибра 18 мм свободно лежала в плевральной полости, у другого - субплевральная гематома и гематома легкого без наличия инородного тела (по словам пострадавшего, выстрел был сделан из бесствольного оружия с близкого расстояния).
У одного пострадавшего с ранением левой половины груди пуля калибра 9 мм по данным предоперационного обследования находилась в области сердца. При торакотомии выявлено, что она лежала на передней стенке перикарда, не повреждая его. Одному пациенту левосторонняя торакотомия выполнена в связи с наличием множественных ранений груди с гемотораксом и инородным телом в ткани легкого, произведено удаление резиновой пули калибра 18 мм и ушивание раны легкого. Еще одному пострадавшему в связи с наличием обширной раны средней доли правого легкого во время торакотомии выполнены удаление резиновой пули калибра 9 мм и краевая резекция участка легочной ткани.
Заслуживают особого внимания 2 наблюдения.
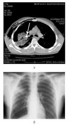
Больной Ш., 26 лет, с огнестрельным ранением груди справа был доставлен бригадой скорой медицинской помощи в операционную НИИ скорой помощи им. Н.В. Склифосовского, минуя приемное отделение. Состояние больного тяжелое, он несколько заторможен, вял. С его слов, получил огнестрельное ранение от неизвестного человека. Рана овальной формы, размером 2,0×1,5×1,3 см, с пояском осаднения располагалась в четвертом межреберье справа по передней подмышечной линии. Признаки наружного кровотечения отсутствовали. АД 100/75 мм рт.ст., ЧСС 96 в минуту, ЧДД 23 в минуту. Дыхание справа внизу ослаблено, здесь же укорочение перкуторного звука. При рентгенографии и УЗИ отмечались признаки правостороннего гидропневмоторакса.
Через 15 мин после поступления больной был оперирован. Под местной анестезией выполнено дренирование правой плевральной полости, получено около 500 мл свежей крови, после чего отделение крови прекратилось, однако продолжалось поступление воздуха. Операция завершена первичной хирургической обработкой раны: при ревизии раневой канал в четвертом межреберье проникал в правую плевральную полость.

В связи с большим поступлением воздуха по дренажу сразу после этой операции пострадавшему выполнена КТ груди (рис. 6, а): Рисунок 6. Данные обследования пострадавшего Ш. а - компьютерная томограмма перед операцией; б - обзорная рентгенограмма груди перед выпиской из стационара. имелось инородное тело (пуля) в прикорневых отделах правого легкого, сдавливающее просвет верхнедолевого бронха. Травматическая инфильтрация II, III, VI, VII, VIII, IX, X сегментов правого легкого на фоне частичного коллабирования. Несмотря на наличие плеврального дренажа (по Бюлау), на фоне незначительного гемоторакса (230 см 3 ) имелся пневмоторакс большого объема (1100 см 3 ). Определялись эмфизема мягких тканей правой поверхности грудной стенки, перелом II и III ребер справа.
Под эндотрахеальным наркозом выполнена переднебоковая торакотомия в пятом межреберье справа. В плевральной полости около 400 мл крови. На переднебоковой поверхности верхней доли правого легкого в проекции III сегмента определяется рана диаметром 2 см, из которой обильно поступал воздух и немного крови. По краям дефекта имеется зона невентилируемой паренхимы легкого диаметром 3 см. В дне раны на глубине около 5 см находится инородное тело - пуля. Отмечается небольшое геморрагическое пропитывание ткани верхней доли легкого со стороны корня, кровотечения нет. Рана легкого расширена и пуля калибра 9 мм извлечена. В дне раны определялся сегментарный бронх (Б3) с боковым дефектом размером 3×6 мм с острыми углами. Дефект ушит нитью полидиоксанон 4/0 на атравматической игле. Дефект в легком послойно ушит викрилом 2/0. Гемостаз, аэростаз. Ателектазированные участки легкого расправлены. При дальнейшей ревизии выявлен перелом ребра в области огнестрельной раны с подтеканием крови. Произведено лигирование с прошиванием межреберной артерии. Плевральная полость дополнительно дренирована во втором межреберье по среднеключичной линии, рана грудной стенки послойно ушита. Интраоперационная кровопотеря около 1000 мл, кровь реинфузирована аппаратом Сell-saver.

При наличии ран живота выполняли их первичную хирургическую обработку с извлечением пули (рис. 7) Рисунок 7. Интраоперационная фотография: пуля калибра 9 мм в мягких тканях брюшной стенки. и в случае обнаружения проникающего характера повреждения производили срединную лапаротомию (3 наблюдения). При этом в одном наблюдении была повреждена серозная оболочка тонкой кишки, в другом имелся ушиб тонкой кишки (произведена резекция тонкой кишки и наложен энтероэнтероанастомоз) и в третьем - сквозное ранение левой доли печени, сопровождавшееся кровопотерей около 1600 мл.
Больной К., 27 лет, доставлен бригадой скорой медицинской помощи в операционную НИИ скорой помощи им. Н.В. Склифосовского, минуя приемное отделение, с диагнозом: огнестрельное торакоцервикальное ранение груди и слепое огнестрельное ранение живота из травматического оружия. Собрать анамнез в связи с алкогольным опьянением не представлялось возможным. Состояние больного тяжелое. Латеральнее и ниже левого грудиноключичного сочленения начиналась полоса осаднения кожи длиной около 5 см, шириной 1,2 см, следующая снизу вверх на шею и оканчивающаяся участком размозжения кожи шеи над передней ножкой левой грудиноключично-сосцевидной мышцы. Вторая рана диаметром 1-1,2 см с пояском осаднения и без признаков наружного кровотечения локализовалась в правой подреберной области. При УЗИ свободной жидкости в плевральных и брюшной полостях не выявлено.
Через 30 мин после поступления под эндотрахеальным наркозом иссечены края раны передней брюшной стенки. Раневой канал проходил спереди назад, сверху вниз и проникал в брюшную полость. Произведена срединная лапаротомия. В брюшной полости 1500 мл крови и сгустков. Кровь собрана аппаратом Cell-saver. При ревизии выявлено сквозное огнестрельное ранение IV сегмента печени: рана звездчатой формы, размером 7×5×7 см, с кровотечением. Рана ушита викрилом 2/0. Достигнут гемостаз. При дальнейшей ревизии повреждений других органов не обнаружено, инородное тело не найдено. Операция закончена санацией и дренированием брюшной полости, первичной хирургической обработкой касательной торакоцервикальной раны слева. Общая кровопотеря составила 1600 мл крови, реинфузировано 600 мл клеточного компонента.
Послеоперационный период протекал без осложнений. На 4-е сутки удалены дренажи из брюшной полости. Раны зажили первичным натяжением. При повторном УЗИ брюшной полости в IV сегменте печени лоцировалась неоднородная зона пониженной эхогенности с неровными контурами, размером 3,2×1,6×0,5 см, без признаков кровотока при цветовом допплеровском картировании. По передней поверхности печени в этом же месте имелись мелкие гипоэхогенные структуры и зона пониженной эхогенности размером 3,8×0,7 см. При рентгенографии брюшной полости инородное тело не обнаружено. Больной выписан на 11-е сутки в удовлетворительном состоянии.
У остальных пострадавших с проникающими ранениями живота пули удалены во время операции. У одного из них круглая пуля диаметром 9 мм свободно лежала между петлями тонкой кишки, у другого - такая же пуля, частично фрагментированная, была извлечена из полости малого таза.
Следует заметить, что 33 пострадавших с поверхностными ранениями шеи и непроникающими ранениями груди и живота по их настоянию после операции не были госпитализированы и направлены на амбулаторное лечение. Один больной с непроникающим ранением груди отказался от операции.
Из 288 госпитализированных у 12 (4%) развились послеоперационные осложнения в виде нагноения послеоперационной раны. Летальных исходов не было. Длительность пребывания в стационаре составила в среднем 7,4±2,4 койко-дня.
Таким образом, число огнестрельных ранений из травматического оружия за последние 10 лет выросло в 9 раз, преобладают ранения в летнее время.
Наиболее часто встречаются ранения груди (71%). Ранения шеи наблюдаются у 22%, живота - у 18% пострадавших.
При глубоком ранении шеи у каждого третьего пострадавшего имеется повреждение жизненно важных структур.
Глубокие ранения шеи и проникающие ранения груди чаще встречаются при использовании бесствольного травматического оружия типа «Оса», однако более тяжелые повреждения внутренних органов груди и живота в последние годы стали наблюдаться при ранениях пулями калибра 9 мм.
Применяя – думать! Последствия применения травматического оружия (ОООП)

Оценка последствий применения нелетального травматического оружия военно-полевыми хирургами
От редакции.
Публикуя этот материал мы надеемся, что он заставит владельцев травматического оружия ещё раз (а кого-то может быть и впервые) задуматься о последствиях, к которым может привести неправильное применение травматики. Вы должны понимать, что, несмотря на свою «нелетальность», в ваших руках находится серьёзное оружие, требующее взвешенного подхода при применении, а погоня за «джоулями» не должна превращаться в самоцель. Фото, приведённые в статье — это не попытка шокировать читателя. Просто действительность бывает ещё страшнее…
В СПб ГМУ им. И. П. Павлова 24 февраля 2010 г. состоялось 2350-е заседание Хирургического общества Н. И. Пирогова. Программа заседания, построенная на материалах клиники военно-полевой хирургии ВМА им. С.М. Кирова, была посвящена обзору особенностей ранений из травматического оружия.

В первой демонстрации на заседании было представлено описание ранения головы Г-ва, 34-х лет, из пистолета «Оса» (ПБ-4-1М) пулей травматического патрона 18×45Т в конфликтной ситуации с расстояния менее 1 м. По данным врачей скорой помощи на месте травмы сознание пострадавшего оценено на уровне глубокой комы.
При осмотре обнаружено входное отверстие раневого канала размером 1,5×2 см округлой формы в правой височной области. Из раны наблюдалось поступление мозгового детрита и умеренное кровотечение.
Ранение представляло собой слепое диаметральное проникающее повреждение правой височно-теменной области головного мозга с дырчатым переломом правой теменной кости (ил. 1). При рентгенологическом обследовании и компьютерной томографии черепа в левой височной доле была обнаружена пуля (ил. 2, 3).

Слева-направо: входное отверстие раневого канала в правой височной области с поступлением из него мозгового детрита и умеренным кровотечением
Рентгенограмма черепа, боковой снимок. Видна тень пули патрона18х45Т
Схема ранения головного мозга. В области входной раны видны отломки височной кости, в конце раневого канала – пуля патрона 18х45Т
Проведено оперативное лечение: выполнена декомпрессионная трепанация черепа, хирургическая обработка раневого канала, санация очага ушиба, извлечение ранящего снаряда, приточно-промывное дренирование.
После хирургической обработки раны и реанимационных мероприятий представилось возможным в целом компенсировать пострадавшего по основным соматически показателям. Восстановившееся сознание сформировалось на уровне утраты речевого контакта и двигательных расстройств. При выписке из клиники ВПХ состояние пострадавшего оценивалось как удовлетворительное. Полностью обслуживать себя он неспособен и нуждается в специальном уходе.
Анализ представленного клинического случая позволяет прийти к выводу, что при выстрелах из пистолета «Оса» с дистанции менее 1м в такой уязвимый участок черепа, как височная кость, возможно нанесение тяжёлых ранений с повреждением головного мозга.
Вторая демонстрация была посвящена изложению особенностей огнестрельного слепого ранения в голову пострадавшего М-ва, 46 лет, из пистолета «Макарыч» (МР-79-9Т) с расстояния менее 1 м в результате неосторожного обращения с оружием.
При осмотре у пострадавшего установлено слепое ранение, проникающее в левую глазницу, левую верхнечелюстную пазуху, в полость черепа с ушибом головного мозга тяжёлой степени и «выпячиванием» глазного яблока под давлением образовавшейся напряженной гематомы в левой глазнице (ил. 5).

КТ головы пострадавшего М-ва на уровне расположения инородного тела в основной пазухе черепа. Стрелкой указано положение пули патрона 9 Р.А.
На компьютерной томограмме (КТ) головы в основной пазухе выявлено внедрившееся инородное тело округлой формы диаметром 9 мм, идентифицированное при последующей хирургической обработке раны, как пуля патрона 9 Р.А. (ил. 6)
Раненому выполнена первичная хирургическая обработка слепого черепно-лицевого ранения слева, вскрытие ретробульбарного пространства, дренирование гематомы, мобилизация глазного яблока и ревизия задних отделов глазного яблока, трепанация черепа, удаление субдуральной гематомы, пластика твердой мозговой оболочки, удаление костных отломков и ранящего снаряда из основной пазухи.
На 38 сутки раненый выписан из клиники в удовлетворительном состоянии.
Таким образом, при выстрелах в голову из пистолета «Макарыч», оружия менее мощного по сравнению с пистолетом «Оса», также возможны повреждения лицевого скелета с контузионными повреждениями головного мозга.
Анализируя структуру ранений из травматического оружия, следует подчеркнуть, что преимущественными областями поражения из этого вида оружия (с целью достичь предельно высокого эффекта) являются голова и шея. При этом в 65 % случаев выстрелы производятся в лицо (31 % — в глаза и прилежащие ткани, 34 % — в челюстно-лицевую область). Чаще всего такие ранения носят тяжёлый характер.
К сожалению, в докладах военно-полевых хирургов на Пироговском обществе не прозвучала оценка соблюдения в представленных эпизодах участниками конфликтов правил обращения с травматическим оружием, в которых категорически запрещается стрельба из оружия самообороны в лицо и шею, стрельба с расстояния 1 м, стрельба в инвалидов, беременных женщин и детей.
В связи с этим уместно привести данные судебного медика Армена Бабаханяна (2006) о том, что в 96 % случаев травматическое оружие в СПб применялось с целью нападения из хулиганских побуждений, самоубийства или вследствие несчастных случаев и только в 4 % случаев оружие использовалось с целью самообороны. В 83 % эпизодов выстрелы с криминальными намерениями, как правило, производились в упор или с дальности порядка 1 м.
Оценивая приведённые данные, следует заключить, что объектом хирургического лечения военно-полевых хирургов пострадавших, доставленных в клинику ВПХ ВМА им. С. М. Кирова сантранспортом, преимущественно являются случаи тяжёлых ранений из оружия самообороны с явным нарушением установленных правил применения этого оружия.
Следует подчеркнуть, что разработчики образцов травматического оружия стремятся реализовать в своих конструкциях два диаметрально противоположных требования — требование «нелетальности» при поражении объекта и с другой стороны обеспечение достаточного «останавливающего» и «травматического» воздействия. Выработка приемлемого компромисса в соотношении требований «нелетальности» и «эффективности» является достаточно сложной задачей.
По этому поводу интересно мнение известного специалиста по раневой баллистике Kneubuehl Beat (1992), который полагает нереальным создание абсолютно «нелетального» оружия самообороны и предлагает именовать подобное оружие «weniger todlich», т. е. менее смертельное.

Экзофтальм (выпячивание глазного яблока) за счёт ретробульбарной напряженной гематомы слева.
К этому следует дополнить, что дистанция огневого контакта (соответственно эффективность травматического оружия) является весьма динамичной величиной, трудно поддающейся контролю в экстремальных ситуациях. В случае применения травматического оружия на дистанции менее разрешенной (1-2 м) человек может нести ответственность за превышение пределов необходимой обороны при возможном нанесении тяжкого вреда здоровью пострадавшему. Зачастую обороняющийся, опасаясь вероятности применения с противоборствующей стороны более весомых «аргументов», забывает о правилах обращения с оружием самообороны.
Несомненно, что столкновение таких противоположных тенденций как «нелетальность» и «эффективность» вполне логично провоцирует дилемму — «быть или не быть» травматическому оружию в качестве средства самообороны и это подтверждается выступлением в средствах СМИ представителей МВД России с инициативой запретить ношение травматического оружия.
Вместе с тем, лечебный опыт клиники военно-полевой хирургии подсказывает, что при строгом соблюдении положений инструкции о применении травматического оружия в целях самообороны вполне возможным является достижение легитимного эффекта самообороны, т. е. временного лишения человека способности самостоятельно выполнять координированные во времени и пространстве действия без серьёзных патологических последствий для его организма. Именно такой тип поражения общепризнан в качестве предусмотренного концепцией вооружённой самообороны с помощью травматического оружия.
Убедительной иллюстрацией приведенных положений могут служить истории травмы 2-х пострадавших, поступивших в клинику военно-полевой хирургии ВМА им. С. М. Кирова по поводу относительно лёгких ранений травматическим оружием, при нанесении которых практически соблюдались требования инструкций по применению оружия самообороны.
1) Л-к С. А., 19 лет, поступил по поводу множественных (четырёх) слепых непроникающих пулевых ранений из пистолета «Оса». Из данных врачебной бригады скорой помощи следует, что пострадавший Л-к С. А. в общественном месте дебоширил, угрожал окружающим. В стремлении предотвратить конфликтную ситуацию, представитель охранной структуры произвёл в Л-а С. А. четыре выстрела из пистолета «Оса» с расстояния 1-2 м. Пострадавший упал и прекратил попытки к сопротивлению.
При осмотре в клинике у пострадавшего диагностированы слепые непроникающие ранения головы (левой теменно-височной области), груди (два), и нижней трети предплечья (ил. 7).
При рентгенографии грудной клетки и конечности костно-травматических изменений не выявлено. Хирургическое лечение заключалось в паравульнарном введении антибиотиков, обезболивание, дренирование ран головы, груди, правого предплечья, наложении асептической повязки. От дальнейшего лечения в клинике пострадавший отказался и был выписан в течение 1-х суток в удовлетворительном состоянии.

Раневые отверстия на коже в результате непроникающих слепых ранений из пистолета «ОСА»: А-рана мягких тканей теменно-височной области, Б – два слепых непроникающих ранения мягких тканей груди, В -слепое непроникающие ранение мягких тканей нижней трети правого предплечья
2) М-ов М. А.35 лет поступил в клинику по поводу 2-х пулевых ранений: живота и конечности (правой локтевой области). Из данных врачебной бригады скорой помощи следует, что пострадавший М-ов М.А. 35 лет после столкновения со встречной автомашиной вёл себя агрессивно, угрожая применить насилие, в ответ на это владелец второй автомашины произвёл в М-ова М. А. два выстрела в живот из пистолета «Оса» с расстояния 1-2 м. На М-ове М. А была одета зимняя куртка и шерстяной свитер. После ранения М-ов М. А. покинул место происшествия и обратился за медицинской помощью. При осмотре в клинике у пострадавшего диагностированы слепые непроникающее ранение мягких тканей живота и мягких тканей медиальной поверхности локтевой области правой верхней конечности, которой он защищал живот. При рентгенографии костно-травматических и патологических изменений живота и конечности не выявлено. В клинике была произведена первичная хирургическая обработка ран живота и медиальной поверхности правой локтевой области, наложена асептическая повязка. От дальнейшего лечения в клинике пострадавший отказался и был выписан в течение 1-х суток в удовлетворительном состоянии.
Сопоставляя приведенные данные, следует заключить, что можно спорить о концепции оружия самообороны, но, по-видимому, это оружие вполне соответствует тем задачам, для которых оно создано, и является достаточно эффективным средством самообороны в рамках Федерального закона «Об оружии» и установленных правил его применения.
Читайте также:
