Распространенность парагонимид. Эпидемиология парагонимид
Добавил пользователь Евгений Кузнецов Обновлено: 02.11.2025
Парагонимоз пищевого происхождения паразитарная инфекция вызвано легочная двуустка, Наиболее часто Paragonimus westermani. Ежегодно он заражает около 22 миллионов человек во всем мире. [4] Это особенно часто встречается в Восточная Азия. Более 30 видов трематоды (двуустки) из рода Paragonimus не сообщалось; из более чем 10 видов, инфицированных людей, и только 8 вызывают инфекции у людей, [5] наиболее распространенным является П. вестермани, восточная легочная двуустка. [6]
Содержание
Жизненный цикл
Соединенные штаты. Центры по контролю и профилактике заболеваний (CDC) содержит подробное описание и пояснительное изображение жизненного цикла Paragonimus: [7]
Яйца парагонимиоза выводятся без зародышей с мокротой или, поочередно, проглатываются и выводятся с калом. Во внешней среде яйца становятся зародыш, и мирацидии вылупляются и ищут первого промежуточного хозяина, улитка, и проникают в его мягкие ткани. Мирацидии проходят несколько стадий развития внутри улитки: спороцисты и Rediae, с последним порождением многих церкарии, которые выходят из улитки. Церкарии вторгаются во второго промежуточного хозяина, ракообразного, такого как краб или рак, где они инцистируются и становятся метацеркариями. Это инфекционная стадия для млекопитающего-хозяина. Человеческое заражение П. вестермани возникает при употреблении в пищу неадекватно приготовленных или маринованных крабов или раков, у которых есть метацеркарии паразита. Excyst метацеркарии в двенадцатиперстная кишка, проникают через стенку кишечника в брюшная полость, затем через брюшную стенку и диафрагма в легкие, где они инкапсулируются и развиваются во взрослых особей (7,5–12 мм на 4–6 мм). Черви также могут достигать других органов и тканей, таких как мозг и поперечно-полосатые мышцы соответственно. Однако, когда это происходит, завершение жизненного цикла не достигается, потому что отложенные яйца не могут покинуть эти места. Время от заражения до яйцекладки (откладки яиц) от 65 до 90 дней. У человека инфекции могут сохраняться в течение 20 лет. Такие животные, как свиньи, собаки и различные виды кошачьих, также могут служить убежищем. П. вестермани. [6]
Географическое распространение
Существует более 30 известных видов Paragonimus. Виды Paragonimus широко распространены в Азии, Африке, Северной и Южной Америке. Paragonimus westermani встречается в Юго-Восточной Азии и Японии, а Paragonimus kellicotti эндемик Северной Америки. [6] Парагонимус африканский находится в Африке и Paragonimus mexicanus Встречается в Центральной и Южной Америке. [6] Как следует из названий видов, парагонимоз более распространен среди азиатов, африканцев и латиноамериканцев из-за их среды обитания и культур. [5] Заметность увеличивается с возрастом от детей старшего возраста к молодым людям, а затем уменьшается с возрастом. Он также выше среди женского населения. [5] Это очень распространенный паразит млекопитающих, питающихся ракообразными. [8]
Симптомы и диагностика
Острая фаза (инвазия и миграция) может быть отмечена понос, боль в животе, жар, кашель, крапивница, гепатоспленомегалия, легочные аномалии и эозинофилия. Во время хронической фазы легочные проявления включают кашель, отхождение обесцвеченной мокроты, содержащей скопления яиц, [6] кровохарканье, и рентгенологические аномалии грудной клетки. Внелегочное расположение взрослых червей приводит к более серьезным проявлениям, особенно когда поражается мозг ». [9] «Диагноз основан на обнаружении яиц в кале или мокроте под микроскопом, но они не обнаруживаются до 2–3 месяцев после инфицирования (яйца также иногда встречаются в выпотной жидкости или биопсия материал). У пациентов с легкими инфекциями могут потребоваться методы концентрации. Биопсия может позволить диагностическое подтверждение и идентификацию вида при выздоровлении взрослой или развивающейся двуустки. [9]
Парагонимоз часто ошибочно принимают за туберкулез. [10]
Препаратом выбора для лечения парагонимиоза является празиквантел, несмотря на то что битионол также могут быть использованы. [9]
Биология и медицина
Легочные сосальщики - трематоды рода Paragonimus - паразитируют в легких. Всего описано более 30 видов, и многие из них служат паразитами человека. Возможна и внелегочная локализация взрослых гельминтов.
У людей чаще всего встречается Paragonimus westermani , обитающий на Дальнем Востоке, а также Paragonimus skrjabini (в Китае), Paragonimus heterotremus (в Юго-Восточной Азии), Paragonimus philippinensis (на Филиппинах), Paragonimus mexicanus (в Центральной Америке и ряде стран Южной Америки), Paragonimus africanus (в Нигерии и Камеруне) и Paragonimus uterobilateralis (в Нигерии и других странах Западной Африки). На территории США обитает Paragonimus kellicotti , однако поражение людей этим гельминтом встречается редко.
Этиология и эпидемиология. Человек обычно заражается при употреблении крабов и раков - сырых или маринованных. В двенадцатиперстной кишке метацеркарии (см. " Трематодозы: этиология и эпидемиология ") освобождаются от оболочки и уже через час проникают сквозь стенку кишки в брюшную полость. Через 3-6 ч они попадают в брюшную стенку, а затем проходят сквозь диафрагму, внедряясь в плевру и паренхиму легких. Там паразиты инкапсулируются (обычно попарно или по три). До начала отложения яиц проходит 65-90 сут, однако клинические проявления могут возникнуть и раньше.
Отложенные яйца скапливаются в капсуле рядом с гельминтами. При вскрытии инкапсулированной кисты в бронхиолу яйца попадают в мокроту и откашливаются либо вместе с мокротой проглатываются и выходят с калом.
Продольный размер взрослого паразита составляет 7,5-12 мм, поперечный - 4-6 мм, толщина - 3,5-5 мм. Продолжительность жизни достигает 20 лет.
Патогенез и патологическая анатомия. В основе патогенеза лежат воспаление и склероз ткани легких (иногда - других органов) под воздействием гельминтов. Клинические проявления зависят от давности заболевания и, возможно, от интенсивности инвазии, хотя это и не доказано. Сначала вокруг взрослых паразитов и их яиц развивается острая воспалительная реакция, при этом в инфильтрате преобладают эозинофилы. В дальнейшем вокруг очага формируется фиброзная капсула. Кисты, расположенные в легочной паренхиме, прорываются в бронхиолы. Их содержимое представлено кровью, яйцами гельминтов и воспалительным экссудатом. Если киста расположена субплеврально, может сформироваться эмпиема плевры , содержащая большое количество эозинофилов. Со временем в очагах поражения усиливаются склеротические процессы, а воспаление стихает. Некоторые очаги обызвествляются.
Легочные сосальщики помимо паренхимы легких нередко проникают в другие ткани - плевру, брюшную стенку, органы брюшной полости, головной мозг, вызывая там воспалительные изменения и склероз. Особенно опасно поражение головного мозга.
Сообщалось о частом развитии на фоне парагонимоза тяжелых бактериальных инфекций.
Поражение брюшной стенки и печени характерно для инвазии, вызванной Paragonimus skrjabini .
Клиническая картина. Различают острую и хроническую стадии заболевания.
В острой стадии могут наблюдаться лихорадка , гепатоспленомегалия , кашель , эозинофилия , плевральный выпот , одышка , хрипы , пневмоторакс , а также симптомы, связанные с внелегочной локализацией гельминтов. Тем не менее на острой стадии заболевание диагностируют редко.
Рентгенологические изменения разнообразны и непатогномоничны; заболевание нередко принимают за туберкулез . Чаще находят затемнение одного или нескольких сегментов легких, обычно размытое, однако поражение может быть представлено очаговыми и кольцевидными тенями . Возможны также плевральный выпот , эмпиема плевры , утолщение плевры и обызвествление очагов. В отличие от туберкулеза , для парагонимоза нехарактерно поражение верхушек легких, границы кольцевидных теней гладкие и ровные, а затемнения менее четкие, облаковидные.
Поражение легких редко приводит к смерти, однако при внелегочной локализации гельминтов частота осложнений и летальность высоки. Согласно одному исследованию, внелегочные очаги поражения отмечались у 30,7% госпитализированных больных парагонимозом, поражение головного мозга - у 8,4%.
Различают острое и хроническое поражение головного мозга . Для острого характерно внезапное развитие неврологической симптоматики , обычно на фоне легочной патологии. При хроническом нередки эпилептические припадки и стойкие неврологические нарушения ; при рентгенографии черепа обнаруживают кальцификаты в виде "мыльных пузырей".
Разработаны и серологические методы диагностики. Они особенно эффективны при легкой инвазии и при внелегочной локализации гельминтов.
В первые 2-3 мес после заражения яйца иногда не обнаруживают.
Препарат выбора - празиквантел (25 мг/кг внутрь 3 раза в сутки в течение 2 сут). Битионол тоже эффективен, но более токсичен.
Трематодные инфекции пищевого происхождения
Трематодные инфекции пищевого происхождения поражают более 56 миллионов человек в мире. Их возбудителями являются трематодные черви («сосальщики»). Наиболее распространенными видами этих червей, поражающими человека, являются Clonorchis, Opisthorchis, Fasciola и Paragonimus.
Люди приобретают инфекцию в результате потребления сырой или плохо приготовленной пищи: рыбы, ракообразных и овощей, содержащих мельчайшие личинки паразита (см. таблицу 1).
Трематодные инфекции пищевого происхождения являются зоонозами, то есть в природе они передаются от позвоночных животных людям и наоборот. Однако прямая передача инфекции невозможна, так как соответствующие паразиты, являющиеся возбудителями инфекции, становятся инфекционными только после завершения сложного жизненного цикла, который обычно включает стадии развития в промежуточном хозяине, не являющемся человеком. Первым промежуточным хозяином во всех случаях является пресноводная улитка, а второй хозяин бывает разным — в случае клонорхоза и описторхоза это пресноводные рыбы, а в случае парагонимоза — ракообразные. Конечным хозяином всегда являются млекопитающие.
Люди приобретают инфекцию при потреблении в пищу второго промежуточного хозяина, инфицированного личинками паразита. В случае фасциолеза люди приобретают инфекцию при поглощении личинок вместе с водными растениями, к которым они прикреплены (для подробной информации см. таблицу 1).
Таблица 1. Эпидемиологическая характеристика трематодных инфекций пищевого происхождения
| Болезнь | Возбудитель инфекции | Приобретается при потреблении | Естественные конечные хозяева инфекции |
| Клонорхоз | Clonorchis sinensis | Рыбы | Собаки и другие хищники, потребляющие в пищу рыбу |
| Описторхоз | Opisthorchis viverrini | Рыбы | Кошки и другие хищники, потребляющие в пищу рыбу |
| Фасциолез | Fasciola hepatica, F. gigantica | Водных растений | Овцы, крупный рогатый скот и другие травоядные |
| Парагонимоз | Paragonimus spp. | Ракообразных (крабов и раков) | Кошки, собаки и другие хищники, потребляющие в пищу ракообразных |
В 2005 г. более 56 миллионов человек в мире имели трематодную инфекцию пищевого происхождения, и более 7 000 человек умерли от нее.
Внутри стран передача инфекции часто ограничивается определенными районами и отражает поведенческие и экологические модели, такие как пищевые привычки людей, методы производства и приготовления пищи, а также распределение промежуточных хозяев. Информации об эпидемиологическом статусе трематодных инфекций пищевого происхождения в Африке крайне мало.
Экономическое воздействие трематодных инфекций пищевого происхождения значительно и связано, в основном, с тем, что расширяющееся производство аквакультур несет убытки в связи с ограничениями экспорта и снижением потребительского спроса.
Бремя для общественного здравоохранения, обусловленное трематодными инфекциями пищевого происхождения, в большей степени связано заболеваемостью, чем со смертностью.
Инфекции на ранних стадиях и в легкой форме часто остаются незамеченными, так как протекают бессимптомно или с незначительными симптомами. И, наоборот, при большом скоплении червей часто ощущается общее недомогание и могут быть сильные боли, особенно в области живота, и это случается чаще всего в случае фасциолеза.
Хронические инфекции неизменно связаны с тяжелым заболеванием. Симптомы, в основном, затрагивают конкретные органы в зависимости от конечной локализации взрослых червей в организме.
Клонорхоз и описторхоз: взрослые черви паразитируют в мелких желчных проток печени, вызывая воспаление и фиброз сопредельных тканей и, в конечном итоге, холангиокарциному, тяжелую и смертельную форму рака желчных протоков. C. Sinensisи O. viverrini, но не O. felineus, классифицируются как канцерогены.
Фасциолез: Взрослые черви паразитируют в более крупных желчных протоках и в желчном пузыре, где они вызывают воспаление, фиброз, непроходимость, колики и желтуху. Часто также развиваются фиброз печени и анемия.
Парагонимоз: Конечная локализация червей – ткани легких. Они вызывают симптомы, которые могут быть приняты за симптомы туберкулеза: хронический кашель с кровавой мокротой, боль в груди, диспноэ (одышку) и лихорадку. Возможна миграция червей. Наиболее тяжелой является локализация червей в головном мозге.
Профилактика и борьба
Борьба с трематодными инфекциями пищевого происхождения направлена на снижение риска инфицирования и на контроль вызванной инфекцией заболеваемости.
Для снижения риска инфицирования и, в то же время, для контроля заболеваемости рекомендуются принятие ветеринарных мер и соблюдение практических методик для обеспечения безопасности пищевых продуктов. ВОЗ рекомендует проводить превентивную химиотерапию и улучшать доступ к лечению с использованием безопасных и эффективных антигельминтных средств (препаратов, изгоняющих червей).
Лечение может быть предложено в рамках превентивной химиотерапии или ведения отдельных случаев заболевания. Превентивная химиотерапия включает подход, ориентированный на все население, при котором каждый человек в данном районе получает лекарства независимо от его инфекционного статуса. Этот подход применяется в районах с высоким уровнем заболеваемости.
Ведение отдельных случаев заболевания включает лечение людей с подтвержденной или предполагаемой инфекцией (см. таблицу 2). Этот подход применяется в районах, где наблюдается меньшая концентрация случаев заболевания, а также существуют медицинские учреждения, способные этим заниматься.
Таблица 2. Рекомендуемые виды лечения и стратегии
- 2 х 10 мг/кг в течение одного дня или
Работа ВОЗ в отношении трематодных инфекций пищевого происхождения является составной частью интегрированного подхода к борьбе с забытыми тропическими болезнями и включает:
- Разработку стратегических указаний и рекомендаций;
- Поддержку в картографировании эндемичных стран;
- Поддержку в проведении пилотных мероприятий и программ по борьбе с инфекцией в эндемичных странах;
- Поддержку в проведении мониторинга и оценки осуществляемой деятельности;
- Составление документации о бремени трематодных инфекций пищевого происхождения и о воздействии проводимых мероприятий.
ВОЗ работает над включением трематодных инфекций пищевого происхождения в свою основную стратегию превентивной химиотерапии и над обеспечением полного предотвращения их наихудших последствий (раковых заболеваний желчных протоков и других).
ВОЗ также заключила соглашение с компанией «Novartis Pharma AG», согласно которому компания будет предоставлять триклабендазол для лечения фасциолеза и парагонимоза людей. Эти лекарства поставляются бесплатно по заявкам от министерств здравоохранения. ВОЗ рекомендует всем эндемичным странам воспользоваться этой программой бесплатных поставок лекарств.
Парагонимоз
Текущая версия страницы пока не проверялась опытными участниками и может значительно отличаться от версии, проверенной 11 октября 2019 года; проверки требуют 9 правок.
Текущая версия страницы пока не проверялась опытными участниками и может значительно отличаться от версии, проверенной 11 октября 2019 года; проверки требуют 9 правок.
| Парагонимоз | |
|---|---|
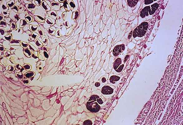
![]() Часть взрослой особи лёгочной двуустки в просвете бронха, крупные фиолетовые пятна — созревающие яйца. Окрашенный гистологический препарат | |
| МКБ-11 | 1F85 |
| МКБ-10 | B66.4 |
| МКБ-10-КМ | B66.4 |
| МКБ-9-КМ | 121.2 [1] [2] |
| DiseasesDB | 30756 |
| eMedicine | ped/1729 |
| MeSH | D010237 |
Парагонимоз (paragonimoses) — паразитарное заболевание человека из группы трематодозов, вызываемое лёгочным сосальщиком Paragonimus westermani. Характеризуется преимущественным поражением лёгких, подкожной клетчатки и скелетных мышц, реже — головного мозга. Различают обычный (лёгочный) и ларвальный (личиночный) парагонимозы.
Содержание
Этиология
Возбудитель лёгочного парагонимоза — Paragonimus westermani (P.ringeri) — лёгочная двуустка. Тело возбудителя яйцевидной формы, красно-коричневого цвета, длиной 7,5-13 мм, шириной 4-8 мм, толщиной 3,5-5 мм. Поверхность тела покрыта шипиками. Брюшная присоска около середины тела. Яйца золотисто-коричневые, овальные, с крышечкой. Размеры яиц - 63 - 84 x 45 - 54 мкм.
Возбудителями личиночного парагонимоза являются P. ichunensis [3] , P. miyazakii, P. hucitungensis, P. szechuanensis и др. Более 10 видов рода Paragonimus могут инфицировать людей.


Эпидемиология
Заболевание обусловленное паразитированием Paragonimus westermani встречается на Дальнем Востоке, Paragonimus skrjabini — в Китае, Paragonimus heterotremus — в Юго-Восточной Азии, Paragonimus philippinensis — на Филиппинах, Paragonimus mexicanus — в Центральной Америке и ряде стран Южной Америки, Paragonimus africanus — в Нигерии и Камеруне, Paragonimus uterobilateralis — в Нигерии и других странах Западной Африки. На территории США обитает Paragonimus kellicotti, однако поражение людей этим гельминтом встречается редко. [4]
Заражение происходит при употреблении в пищу плохо обработанных речных раков и крабов.
Окончательные хозяева паразита — свиньи, собаки, кошки, крысы, ондатры, дикие плотоядные и человек; в организме окончательного хозяина половозрелые гельминты локализуются преимущественно в мелких бронхах, образуя фибриозные капсулы. С мочой и фекалиями яйца парагонима выделяются во внешнюю среду. При попадании в воду внутри яйца формируется личинка — мирацидий, который внедряется в промежуточного хозяина — пресноводного моллюска. Через 5 месяцев, после развития и бесполого размножения личинок, в воду выходят церкарии, внедряющиеся в тело дополнительных хозяев — пресноводных раков и крабов, где формируется инвазионная для окончательных хозяев личинка — метацеркарий. В кишечнике окончательного хозяина метацеркарии освобождаются от оболочек и продвигаются в лёгкие, иногда в головной мозг и другие органы, где в интервале от 0,5 до 3 месяцев достигают половой зрелости.
Патогенез
Продолжительность инкубационного периода 2-3 недели, при массивной инвазии может сокращаться до нескольких дней.
Выделяют абдоминальный и плевролёгочный парагонимоз. Абдоминальный парагонимоз обусловлен миграцией личинок из кишечника в брюшную полость. Отмечают симптомы энтерита, гепатита, иногда доброкачественного асептического перитонита. Плевролёгочный парагонимоз обусловлен паразитированием молодых гельминтов.
При остром плевролёгочном парагонимозе возникают лихорадка с температурой 39-40°С, боли в груди, одышка, кашель с гнойной мокротой, которая иногда содержит примесь крови. Через 2-3 месяца наступает хроническая стадия со сменой периодов обострений и облегчения, которая может длиться в течение 2-4 лет.
В основе патогенеза парагонимоза лежат воспаление и склероз ткани лёгких (иногда — других органов) под воздействием гельминтов. Сначала вокруг взрослых паразитов и их яиц развивается острая воспалительная реакция, при этом в инфильтрате преобладают эозинофилы. В дальнейшем вокруг очага формируется фиброзная капсула. Кисты, расположенные в лёгочной паренхиме, прорываются в бронхиолы. Их содержимое представлено кровью, яйцами гельминтов и воспалительным экссудатом. Если киста расположена субплеврально, может сформироваться эмпиема плевры, содержащая большое количество эозинофилов. Со временем в очагах поражения усиливаются склеротические процессы, а воспаление стихает. Некоторые очаги обызвествляются.
Наиболее тяжёлым осложнением лёгочного парагонимоза является гематогенный занос яиц гельминтов в головной мозг с последующим развитием энцефалита, менингоэнцефалита, синдрома поражения головного мозга (церебральный парагонимоз). Осложнениями лёгочной формы являются пневмоторакс, лёгочное кровотечение, иногда нагноительный процесс с образованием абсцесса лёгкого или эмпиемы плевры. При своевременном лечении и отсутствии осложнений прогноз личиночного парагонимоза относительно благоприятный; лёгочный без лечения приводит к истощению и лёгочной недостаточности, при поражении мозга — прогноз неблагоприятный.
Лёгочные сосальщики помимо паренхимы лёгких нередко проникают в другие ткани — плевру, брюшную стенку, органы брюшной полости, головной мозг, вызывая там воспалительные изменения и склероз. Согласно исследованию, внелёгочные очаги поражения отмечались у 30,7% госпитализированных больных парагонимозом, поражение головного мозга - у 8,4%. Особенно опасно поражение головного мозга.
Различают острое и хроническое поражение головного мозга. Для острого характерно внезапное развитие неврологической симптоматики, обычно на фоне лёгочной патологии. При хроническом нередки эпилептические припадки и стойкие неврологические нарушения; при рентгенографии черепа обнаруживают кальцификаты в виде "мыльных пузырей".
Сообщалось о частом развитии на фоне парагонимоза тяжёлых бактериальных инфекций.
Поражение брюшной стенки и печени характерно для инвазии, вызванной Paragonimus skrjabini.
Клиническая картина парагонимоза
В период миграции личинок специфические проявления отсутствуют. Возможны энтерит, гепатит, доброкачественный асептический перитонит, симптомы аллергии, включая миокардит и кожный зуд. Уже в ранней стадии парагонимоза появляются симптомы поражения лёгких в виде летучих инфильтратов, воспаления легких, экссудативного плеврита. В дальнейшем процесс в лёгких прогрессирует, возникают боль в грудной клетке, кашель с большим количеством мокроты с примесью гноя, крови, лихорадка. В хронической фазе развивается очаговый фиброз легких; рентгенологически выявляют очаги затемнения с просветлениями в центре. Возможны диффузный пневмосклероз, лёгочное сердце, лёгочное кровотечение, рак легких. Занос паразитов в мозг приводит к энцефалиту и менингоэнцефалиту, объёмному процессу, напоминающему опухоль. При диссеминации яиц возможен полисерозит.
Личиночный парагонимоз
При заражении личиночными формами парагонимусов (P. ichunensis, P. miyazakii, P. huatungensis и др.) острая стадия болезни не отличается от обычного лёгочного парагонимоза. В хронической стадии болезнь также протекает с обострениями, сопровождающимися эозинофилией крови и ремиссиями. Рентгенологически обнаруживают мигрирующие пневмонические очаги, экссудативный плеврит на фоне усиления сосудистого рисунка. Выпот в полость плевры также может быть то право-, то левосторонним, возможен полисерозит. При длительном течении болезни могут развиться плевральные спайки с ограничением подвижности лёгкого и диафрагмы.
Осложнениями личиночного парагонимоза являются пневмоторакс, лёгочное кровотечение, иногда нагноительный процесс с образованием абсцесса лёгочного или эмпиемы плевры.
Заражение P. szechuanensis протекает с образованием плотных узлов в подкожной клетчатке (иногда нескольких, содержащих гельминтов и их яйца) шеи, грудной клетки, в области живота. Узлы плотные, разной величины, мало болезненные при пальпации. Кожа над узлами обычно не изменена. Инвазия сопровождается субфебрилитетом, умеренной эозинофилией крови, иногда кашлем, потерей аппетита. При поражении подкожной клетчатки грудной клетки описаны случаи гидропневмоторакса, гидроперикарда.
Диагностика
Симптомы: лихорадка, одышка, кашель с гнойной мокротой (иногда с примесью крови). Через 2-3 мес проявления переходят в хроническую стадию; отмечают периоды обострений и ремиссий. У некоторых больных развивается серозный экссудативный плеврит. При заносе гельминтов в головной мозг развиваются симптомы поражения ЦНС.
Диагноз лёгочного парагонимоза устанавливают на основании клинической картины, обнаружения яиц гельминта в мокроте, иногда и в фекалиях. Диагноз личиночного парогонимоза подтверждается серологическими реакциями со специфическим антигеном. При заражении P. szechuanensis диагноз устанавливают на основании результатов биопсии узла. В биоптате обнаруживают личинки паразита.
Дифференциальный диагноз личиночного парагонимоза с поражением лёгких проводят с туберкулёзом, дерматомиозитом, склеродермией, периартериитом узелковым, тропической лёгочной эозинофилией. В отличие от туберкулёза и системных болезней соединительной ткани для парагонимоза характерны стойкая эозинофилия и более доброкачественное течение болезни. Для тропической эозинофилии характерно наличие множественных, относительно стойких двусторонних инфильтратов в лёгких (формы без инфильтратов крайне редки), стойкая общая симптоматика — лихорадка, интоксикация без выраженных ремиссий.
Лечение
Диагноз лёгочного парагонимоза устанавливают на основании клинической картины, обнаружения яиц гельминта в мокроте, иногда и в фекалиях. Диагноз личиночного парогонимоза подтверждается серологическими реакциями со специфическим антигеном. При заражении P. szechuanensis диагноз устанавливают на основании результатов биопсии узла. В биоптате обнаруживают личинки паразита.
Лечение проводят празиквантелом (бильтрицидом) в дозе 60—70 мг/кг массы тела в сутки в три приема после еды с промежутком не менее 4 ч в течение 1—2 дней или в дозе 40 мг/кг по той же схеме в течение 4—5 дней.
Прогноз при своевременном лечении и отсутствии осложнений (пневмоторакс, кровотечения) относительно благоприятный; лёгочный парогонимоз без лечения приводит к лёгочной недостаточности, истощению. При поражении головного мозга прогноз серьёзный.
Парагонимоз
(инвазия восточного легочного плоского червя; эндемическое кровохарканье)
, PhD, University of Virginia;
, MD, PhD, University of Virginia School of Medicine
Парагонимоз – инвазия легочного плоского червя Paragonimus westermani и похожих разновидностей. Люди заражаются при употреблении сырых, маринованных или термически не обработанных пресноводных ракообразных. Большинство инфекций протекает бессимптомно, но могут возникнуть легочные симптомы, включая хронический кашель, боль в груди, одышку и кровохарканье. Характерны аллергические реакции со стороны кожи и отклонения по центральной нервной системе из-за эктопических трематод, включая приступы, афазию, парез и визуальные нарушения зрения. Диагноз ставится по обнаружению яиц в слюне, кале или плевральной (перитонеальной) жидкости. Разработаны тест-системы для серологической диагностики. Празиквантел является препаратом выбора.
Сосальщики представляют собой паразитических плоских червей, которые заражают различные части тела (например, кровеносных сосудов, желудочно-кишечный тракт, легкие, печень), в зависимости от вида.
Несмотря на то, что существует > 30 видов Paragonimus, и согласно данным 10 из них могут инфицировать человека, P. westermani является наиболее частой причиной заболевания.
Наиболее значимые эндемичные области находятся в Азии, преимущественно в Корее, Японии, Тайване, на возвышенностях Китая и Филиппинах.
Эндемичные очаги с другими представителями видов Paragonimus spp существуют также в Западной Африке и в отдельных районах Южной и Центральной Америки. P. kellicotti вызывает инфекцию у человека в Северной Америке.
Патофизиология парагонимоза
Яйца, выделяемые через слюну или экскременты, развиваются 2–3 недель в пресной воде до мирацидий (первая личиночная стадия). Мирацидии поражают улиток; там они развиваются, размножаются и в конечном счете превращаются в церкарии (свободно плавающие личинки). Церкарии поражают пресноводных крабов или речных раков и в их организме превращаются в метацеркарии. Люди заражаются при употреблении в пищу сырых, засоленных или плохо приготовленных ракообразных. Метацеркарии выходят из цисты в желудочно-кишечном тракте человека, проникают через стенку кишечника и продвигаются в брюшную полость, затем через диафрагму в плевральную полость; они проникают в ткани легкого, инкапсулируются и развиваются в гермафродитных взрослых червей, которые откладывают яйца. Взрослые черви вырастают до 7,5-12 мм в длину и 4-6 мм в диаметре. Из легких яйца попадают в окружающую среду вместе с мокротой при ее откашливании и сплевывании или при заглатывании мокроты и выведении из организма с калом.
Во время миграции личинки парагонимусов могут попасть в головной мозг, печень, лимфоузлы, кожу и спинной мозг и там развиваться. Однако в этих случаях их жизненный цикл оказывается незавершенным, поскольку яйца не способны покинуть пределы человеческого организма. Взрослые трематоды могут существовать в течение от 20 до 25 лет.
Другие хозяева включают свиней, собак и множество подвидов кошачьих.
Симптомы и признаки парагонимоза
Большинство людей с парагонимозом являются бессимптомными; однако во время инвазии и миграции трематод могут развиваться диарея, боль в животе, лихорадка, кашель, крапивница, гепатоспленомегалия, легочные аномалии и эозинофилия.
В хронической фазе наиболее повреждены легкие, но могут быть вовлечены и другие органы. Проявления легочной инфекции развиваются медленно и включают хронический кашель, боль в груди, кровохарканье и одышку; клиническая картина напоминает туберкулез Туберкулез (ТБ) Туберкулез (ТБ) является хронической прогрессирующей микобактериальной инфекцией, часто имеющей латентный период после начального инфицирования. Чаще всего ТБ поражает легкие. Симптомы включают. Прочитайте дополнительные сведенияЦеребральные поражения проявляются, как правило, в течение года после начала легочного заболевания. Случаются приступы судорог, афазия, парез и нарушения зрения.
Аллергические поражения кожи похожи на поражения, вызываемые мигрирующей кожной личинкой Мигрирующая кожная личинка Мигрирующая кожная личинка является кожным проявлением инфицирования анкилостомой. Мигрирующая кожная личинка вызывают виды Ancylostoma, чаще всего кошачья или собачья анкилостома Ancylostoma. Прочитайте дополнительные сведения P. skrjabini и возникающих также при инвазиях, вызванных другими видами.
Диагностика парагонимоза
Микроскопическое исследование мокроты и анализ кала
Серологические тесты для выявления антител
Диагноз парагонимоз ставится по обнаружению характерных больших яиц с крышечкой в мокроте или кале. Иногда яйца можно обнаружить в плевральной или брюшной жидкости. Яйца бывает трудно выявить, потому что они образуются периодически и в небольшом количестве. Методы концентрации увеличивают чувствительность диагностики.
Серологические тесты для выявления антител полезны при легких инфекциях и при диагностике внелегочного парагонимоза.
При рентгенографическом исследовании можно получить дополнительную информацию, но она не всегда является диагностически ценной; рентген грудной клетки и КT могут показать диффузный инфильтрат, узелки, кольцевые теневые поражения, кавитации, линейные помутнения, абсцессы легкого, плевральный выпот и/или пневмоторакс.
Лечение парагонимоза
Предпочтительным лекарственным средством при парагомниозе является празиквантел, 25 мг/кг перорально три раза в день в течение 2 дней.
Триклабендазол является приемлемым методом лечения в тех регионах, где он доступен; доза составляет 10 мг/кг перорально однократно после приема пищи или для серьезных инфекций – 2 дозы с интервалом в 12 часов по 10 мг/кг после приема пищи.
Празиквантел также используется для лечения внелегочных поражений, при этом могут потребоваться многократные курсы.
При мозговых инфекциях, короткий курс кортикостероидов может быть назначен в сочетании с празиквантелом, чтобы уменьшить воспалительную реакцию, вызванную умирающими трематодами.
Оперативное лечение может потребоваться для удаления поражений кожи или, реже, кист головного мозга.
Лучшая профилактика – исключить из пищи употребление сырых или недоваренных пресноводных крабов и речных раков, пойманных в водоемах на эндемичной территории.
Авторское право © 2022 Merck & Co., Inc., Rahway, NJ, США и ее аффилированные лица. Все права сохранены.
Читайте также:
- Скребковый массаж
- Синовиальная саркома. Формы синовиальной саркомы.
- Кокцидиоидомикоз
- Синдром неадекватной секреции АДГ
- Антеверсия большеберцовой кости

