Рентгенография глаза с протезом с метками
Добавил пользователь Евгений Кузнецов Обновлено: 19.12.2025
Рентген глазницы — это разновидность диагностики, суть которой заключается в прохождении пучка рентгеновских лучей сквозь исследуемый участок, в результате чего его сила уменьшается, что и отображается в итоге на пленке или каком-либо другом носителе информации.
Каким бы ни было показание для данной процедуры, рентген глаза всегда должен выполняться в нескольких проекциях, так как при данном методе диагностики трехмерная картина отражается на плоскости. Это значит, что для того, чтобы увидеть точное месторасположение тканей, одного снимка будет мало.
Основными целями рентгенографии глазницы являются: обнаружение заболеваний глазницы, ее травм, а также посторонних предметов.
С помощью рентгенографии глазницы врач сможет с легкостью обнаружить в данном участке посторонние предметы, хотя в некоторых случаях для более тщательного исследования может понадобиться сочетание рентгена глазницы с УЗИ и КТ.
К основным достоинствам рентгенографии глазницы можно отнести ее относительно низкую цену в сравнении с другими методами исследования и возможность увидеть на снимке переломы любого типа.
Несмотря на то, что данная процедура довольно безопасна, у нее все равно имеются некоторые противопоказания. Так, рентген глазницы не рекомендуется делать беременным женщинам, а детям до 14 лет его проводить нужно только в случае острой необходимости.
Показания к процедуре
Наиболее часто рентгенографию глазницы требуется провести в следующих случаях:
- при недавно полученных травмах или переломах в области глаза;
- если имеются дегенеративные заболевания глаза;
- при наличии свежих ран в районе глазного яблока;
- при обнаружении доброкачественных или злокачественных опухолей глазницы;
- если есть контузия глаза;
- если выявлено воспалительное или инфекционное поражение глаза (особенно если специалист подозревает, что причиной данного воспаления является наличие инородного тела в глазу);
- при обнаружении старых ранений на здоровом глазу;
- при выявлении сифилиса или туберкулеза глазницы;
- при врожденных пороках развития глазницы.
Подготовка к процедуре
Рентгенография глазницы не требует от пациента никакой особой подготовки. Непосредственно перед процедурой больным рекомендуется снять с себя все металлические предметы, находящиеся возле лица (серьги, цепочки, съемные металлические протезы). Это необходимо для того, чтобы получить максимально качественный снимок (металлические предметы имеют способность отражать рентгеновские лучи).
Ход процедуры
Во время процедуры пациент должен лежать на кушетке или сидеть в кресле и при этом не двигаться до тех пор, пока аппарат не перестанет делать снимки.
Как правило, рентген глазницы подразумевает целую серию снимков, которые делаются в разных проекциях:
- переднезадней;
- подбородочно-вертикальной (она нужна для того, чтобы специалисты смогли отчетливо увидеть основание черепа);
- стереоскопической;
- полуосевой;
- передней косой.
В случае если врач обнаружил у пациента расширение глазной щели сверху, то дополнительно может назначаться снимок верхней части глазницы.
Для того чтобы обнаружить у пациента наличие инородных тел в глазу и определить их месторасположение, специалисты могут использовать контактные методики диагностики, их суть заключается в применении специальных индикаторов, которые непосредственно перед исследованием помещаются в пораженный глаз. Наиболее популярным при этом считается метод Комберга — Балтина. Данная методика исследования позволяет определить место нахождения инородного тела с точностью до одного миллиметра. Индукторный имплантат, который используется во время процедуры, выглядит как контактное стекло с четырьмя свинцовыми метками, которые необходимы для проведения дальнейших расчетов.
Вся процедура, несмотря на кажущуюся сложность, занимает всего несколько минут. Рентгеновский снимок глазницы не вызывает абсолютно никакого дискомфорта или болевых ощущений, поэтому данной процедуры не следует опасаться.
До тех пор, пока снимки не будут проявлены и осмотрены, пациентам не рекомендуется покидать больницу. Как правило, это занимает 30-60 минут.
И хотя рентгеновский снимок будет проводиться на достаточно деликатном участке тела, не стоит переживать об этом. Современное оборудование, которое имеется в нашей клинике, дает возможность получить наиболее информативные результаты, не нанеся при этом вред для организма. Обращайтесь к нашим специалистам, и вы получите максимально качественное обслуживание по самой доступной цене.
Рентгенография глаза с протезом с метками
Протезы индикаторы для выявления инородных тел глаза простыми рентгенологическими методами
Как геометрические, так и стереорентгенографические методы исследования являются довольно сложными, вследствие чего они все больше вытесняются так называемыми простыми методами. Принцип этих методов основан на рентгенографии исследуемого в двух взаимно перпендикулярных плоскостях. От геометрических методов они отличаются тем, что между двумя снимками трубка остается неподвижной; положение же исследуемого меняется.
Ввиду того что глазное яблоко на рентгенограмме не диференцируется, для более точного определения глубины залегания инородного тела применяются различные индикаторы. Комберг предложил пользоваться контактным стеклом, в котором укреплены четыре свинцовые метки соответственно лимбу глаза.
Ряд недостатков, свойственных протезу-индикатору Комберга, побудил нас заменить его алюминиевым протезом. Протезы-индикаторы Балтина изготовляются в виде набора, состоящего из трех протезов с радиусом кривизны в 12, 13 и 15 мм. К набору прилагаются измерительные схемы и наставление к пользованию протезами. Применяемые нами протезы имеют преимущества перед контактным стеклом.
Наличие раны в центре роговицы не мешает пользоваться данным протезом, в то время как накладывание контактного стекла в таком случае противопоказано. Одним из главных преимуществ является то, что манипуляция вкладывания и удаления протеза безусловно легче, чем прогеза из контактного стекла.

В последнее время некоторые авторы (А. Н. Кипарисов, Н. И. Задирин) предлагают пользоваться вместо алюминиевых протезов такими же протезами из пластмассы. Протезы из алюминия обладают, по мнению Кипарисова, тем недостатком, что дают на рентгенограммах тень, в которой могут скрыться мелкие осколки. Другим недостатком, по его мнению, является то, что протезы шероховаты, вследствие чего они могут якобы травмировать глаз.
Наконец, свинцовые метки в наших протезах не всегда совпадают с лимбом поврежденного глаза.
Замечания А. Н. Кипарисова мало обоснованы. Протез дает столь нежную тень, что едва ли за ней может скрыться мельчайший осколок, тем более металлический. Нам этого ни разу не приходилось наблюдать на материале, охватывающем много тысяч случаев. Наоборот, получаемая на рентгенограмме нежная тень является как раз достоинством протеза, так как благодаря этому можно сделать вывод, правильно ли было положение глазного яблока во время снимка, сместился ли протез и т. д.
Мы в свое время отказались от протеза из пластмассы именно потому, что он не дает тени на рентгенограмме. При наличии в глазу осколка, атомный вес которого меньше алюминия, вообще нельзя получить на рентгенограмме тени осколка. Наоборот, присоединяясь к тени алюминия, недиференцируемая тень осколка может выявиться на рентгенограмме. Албом (Ahlbom), чтобы получить на рентгенограмме изображение роговицы, устанавливает между глазом и кассетой алюминиевый клин.
Так же несостоятельно замечание Кипарисова о шероховатости протеза. При хорошей шлифовке протеза стенки его становятся совершенно гладкими. Остающаяся микроскопическая порозность, может быть, способствует лучшему присасыванию к глазному яблоку алюминиевого протеза, чем протеза из пластмассы, который легко скользит по глазу.
Метки протеза действительно не всегда совпадают с лимбом исследуемого глаза. Но этот недостаток не может быть устранен и набором большого числа протезов, как это предлагает делать Кипарисов. Если быть последовательным, необходимо для каждого больного иметь индивидуальный протез, на котором метки точно соответствовали бы лимбу исследуемого глаза.
Практически это, конечно, невозможно. Индивидуальная маркировка лимба осуществляется нами в каждом отдельном случае значитель ю проще — путем нанесения капли густой висмутовой кашицы на лимб в области 12 и 6 часов. Такой метод маркировки применяется нами весьма широко, особенно при свежих ранениях глаза, при наличии зияющей раны, когда накладывание протеза противопоказано.
Само исследование производится следующим образом. После предварительной анестезии глаза за веки вводят протез и накладывают его на глазное яблоко таким образом, чтобы его отверстие соответствовало роговице. С помощью стеклянной палочки для глазной мази протезу придают правильное положение.
Первый снимок производится в лицевом положении (передний полуаксиальный снимок). Для правильного определения локализации инородного тела необходимо, чтобы центральный луч трубки совпадал с анатомической осью глаза. Для этого на кассете под антикатодом трубки устанавливают какую-нибудь метку — крестик или кружок —на белом фоне. Больного укладывают таким образом, чтобы раненый глаз находился над меткой, которую он фиксирует во время исследования.

При отсутствии зрения в поврежденном глазу трубку и фиксационную метку устанавливают на стороне здорового глаза, после чего трубку переводят на расстояние, равное расстоянию между центрами зрачков, и располагают над поврежденным глазом.
Для второго, бокового, снимка больного укладывают таким образом, чтобы сагиттальная плоскость черепа была параллельна кассете, а центральный луч проходил через плоскость лимба перпендикулярно к кассете. Во время снимка взгляд больного направлен прямо вперед. Перед началом снимка необходимо следить за тем, чтобы метки протеза были точно установлены на 12—6 и 3- 9 часах.
Фокусное расстояние при обоих снимках должно быть равно 60 см.
На первом снимке, произведенном в лицевом положении больного, определяется меридиан залегания инородного тела и отстояние его от анатомической оси глаза, а на втором, боковом, — глубина залегания инородного тела.
Для этой цели на первом снимке проводят карандашом линию, соединяющую лобно-скуловые швы; ею определяется так называемая анатомическая горизонталь. Затем двумя линиями соединяют противоположные метки протеза; место их пересечения соответствует проекции анатомической оси глаза. После эгого проводят прямую линию, соединяющую проекцию оси глаза с тенью от инородного тела, продолжая ее до пересечения с линией анатомической горизонтали. Рекомендуется не закрывать проводимой линией тени инородного тела.
На втором, боковом, снимке проводят линию, соединяющую крайние метки протеза, соответствующие 12 и 6 часам; таким образом намечается плоскость лимба. Если снимок произведен правильно, т. е. центральный пучок лучей рентгеновской трубки точно пересекает плоскость лимба, то метки, соответствующие 3 и 9 часам, на рентгенограмме совпадают и указанная выше линия пересекает их; в противном случае линия проходит между ними.
Определение инородного тела глаза по методу Радчиховского
К простым методам следует отнести и так называемый рентгено-геометрический метод, предложенный Б. Л. Радчиховским во время Великой Отечественной войны. В основу этого метода положен принцип отграничения на снимке глазного яблока от окружающих тканей глазницы. Осуществляется это при помощи специального протеза-индикатора, частично — рентгенографически и частично геометрически.
Протез-индикатор Б. Л. Радзиховского изготовляется из алюминия. Он имеет вид креста, которому придана сферическая форма с внутренним диаметром в 24 мм. В центре протеза, перпендикулярно к его плоскости, укреплен стержень, толщина которого равняется 1,5 мм, а длина —30 мм. На протезе укреплены пять свинцовых меток: одна метка находится у оснокания стержня и соответствует точке пересечения главных меридианов, остальные четыре метки расположены па концах пластинок протеза. При накладывании протеза на глаз эти метки расположены в 3 мм от экватора. Протез фиксируют на глазном яблоке с помощью специального фиксатора, который укрепляется на голове исследуемого.
Для определения местоположения осколка в глазу производят два снимка во взаимно перпендикулярных плоскостях. При производстве первого снимка, переднего полуаксиального, больного укладывают у края стола. Кассету с пленкой подкладывают под исследуемую глазницу так, чтобы сна не закрывала здорового глаза.
Такая укладка дает больному возможность фиксировать здоровым глазом какую-нибудь точку, расположенную на полу, не напрягая аккомодацию и конвергенцию. Для бокового снимка больного укладывают таким образом, чтобы сагиттальная плоскость черепа и стержень протеза были установлены параллельно плоскости кассеты.
Отграничение глазного яблока от окружающих тканей производится следующим образом. На переднем снимке измеряют расстояние между наружными краями точек, полученных от изображения меток на концах пластинок, расположенных на одном из главных меридианов; взяв половину этого расстояния, описывают окружность, которая касалась бы внутренних границ всех четырех точек. На боковом снимке измеряют циркулем расстояние между наружными краями точек, полученных от изображения меток, находящихся по вертикальному меридиану, и, взяв половину этого расстояния, описывают окружность, которая касалась бы внутренних границ указанных точек и точки, показывающей центр роговицы.

Если тень инородного тела хотя бы на одном из снимков расположена вне очерченной границы глазного яблока, то инородное тело находится вне глаза; если же тень расположена на обоих снимках внутри границы, то инородное тело может быть как внутри глаза, так и вне его. Для окончательного выяснения вопроса, после того как очерчена граница глазного яблока, проводят два диаметра: один — через центр глазного яблока на боковом снимке и изображение центра роговицы, другой — перпендикулярно первому.
Затем через тень инородного тела проводят линию, параллельную вертикальному диаметру. На вертикальном диаметре от центра пересечения координат откладывают отстояние инородного тела от центра глазного яблока, определяемое на переднем снимке. Из полученной точки проводят линию, параллельную горизонтальному диаметру, до ее пересечения с вертикальной линией. Точка пересечения двух проекционных линий и укажет местоположение инородного тела. Если эта точка расположена внутри очерченной границы глазного яблока, то инородное тело находится внутри глаза; если же точка пересечения находится вне границы, значит инородное тело вне глаза.
Меридиан, на котором расположено инородное тело, определяется на переднем снимке. Для этого в очерченном круге проводят вертикальный диаметр и радиус, проходящий через тень инородного тела.
Для определения глубины залегания осколка от плоскости лимба необходимо обозначить эту плоскость на боковом снимке. Для этой цели автор рекомендует отметить циркулем по кругу 6 мм в одну и другую сторону от метки, обозначающей центр роговицы (очевидно, автор имеет в виду определение хорды, так как нельзя циркулем отмечать по кругу). Эти точки обозначают, по мнению автора, область лимба, откуда и производится определение глубины залегания осколка. Таким образом, на снимке искусственно создается область лимба. Если центр стержня протеза почему-либо смещен по отношению к центру роговицы, то и плоскость лимба будет определена неправильно.
Радзиховский видит достоинство своего протеза в том, что с его помощью можно определить на снимке форму глазного яблока. В действительности же на снимке определяется форма глазного яблока чисто схематически — путем геометрического построения. Если полагать, что глаз всегда имеет форму шара, то для того, чтобы очертить на снимке его форму, нет необходимости пользоваться специальным протезом. Можно решить эту задачу значительно проще; на лимб в области 12 и 6 часов наносят по одной капле густой висмутовой кашицы, а затем еще одну такую же метку наносят на конъюнктиву глазного яблока.
Таким образом, на рентгенограмме получаются три точки. Согласно известной теореме, через три точки, не лежащие на одной прямой, можно провести окружность и притом только одну. Пользуясь данной теоремой, можно довольно легко на рентгенограмме начертить форму глазного яблока и определить его радиус.
Рентгенологическое исследование лицевого скелета включает рентгенографию глазницы и ее содержимого, придаточных пазух носа, прицельные снимки отдельных костей лицевого скелета и снимки зубочелюстного аппарата. Большинство анатомических образований лицевого скелета достаточно четко видно на обзорных снимках черепа в прямой передней и задней проекциях, на снимках в носоподбородочной, подбородочной, носолобной, лобной, боковой и аксиальной проекциях.
Однако для более четкого их выявления, по возможности с минимальной суперпозицией изображения других анатомических структур черепа, предложен ряд специальных прицельных снимков.
С целью детального изучения стенок глазниц и придаточных пазух носа широко используют томографическое исследование.
РЕНТГЕНОГРАФИЯ КОСТНЫХ СТЕНОК ГЛАЗНИЦЫ
Верхняя и наружная стенки глазницы прослеживаются на снимке черепа в боковой проекции.
Для более детального изучения стенок глазницы предложен ряд прицельных снимков.
УКЛАДКИ СНИМОК ГЛАЗНИЦЫ В НОСОПОДБОРОДОЧНОЙ ПРОЕКЦИИ
Назначение снимка. Изучение состояния костей, образующих вход в глазницу, костной структуры верхней и наружной ее стенок.
Укладка больного для выполнения снимка сходна с укладкой для выполнения обзорного снимка в этой же проекции. В данном случае используюткассету размером 13X18 см, располагая ее в кассетодержателе в поперечном положении. Больной прилежит к столу подбородком и кончиком носа,переносье соответствует центру кассеты. Центральный пучок излучениянаправляют на центр кассеты. Фокусное расстояние—100 см.
В этой же укладке может быть выполнен снимок одной (правой или левой) глазницы. В таких случаях центр снимаемой глазницы соответствует центру кассеты, и на него отвесно направляют пучок излучения, используя тубус или диафрагмирование пучка излучения с помощью щелевой диафрагмы. Фокусное расстояние—100 см (рис. 88).
Информативность снимка. На снимке хорошо видны вход в глазницу, структура ее стенок, иногда малое и большое крыло клиновидной кости (рис. 89). На снимке в этой проекции могут быть выявлены деструктивные изменения стенок глазницы и инородные тела в ее полости (рис. 90, 91). Для выявления изменений в области верхней стенки глазницы (например, при
диагностике переломов) снимок целесообразно выполнять не в носоподбородочной, а в подбородочной проекции.
На таких снимках верхняя стенка глазницы проекционно искажается в меньшей степени, и все изменения в ее области видны более отчетливо (см. рис. 54, 55).
На прицельном снимке каждой из глазниц в этой же проекции, как правило, небольшие изменения структуры стенок, а также мелкие инородные тела глаза видны лучше. Такие снимки широко используют в офтальмологической практике (рис. 92).
Критерии правильности технических условий съемки и правильности укладки основываются на четкости выявления костной структуры и симметричности изображения глазниц.
Наиболее частые ошибки при выполнении снимка сводятся к асимметрии положения головы.



СНИМОК ГЛАЗНИЦЫ В НОСОЛОБНОЙ ПРОЕКЦИИ
Назначение снимка — изучение контуров костей, образующих вход в глазницу, структуры верхней и наружной ее стенок, ширины и контуров верхних глазничных щелей, а также выявление инородных тел в полости глазницы.

Укладка больного для выполнения снимка, информативность снимка, критерии правильности технических условий съемки и правильности укладки те же, что для снимка крыльев клиновидной кости и верхних глазничных щелей.
В качестве примера информативности снимка глазниц в носолобной проекции для выявления инородных тел глаза и деструктивных изменений стенок приводим два наблюдения.
Одно из них — случай ранения глаза металлической стружкой (рис. 93), другое — случай деструкции верхненаружного края глазницы при доброкачественной опухоли слезной железы (рис. 94).
СНИМОК ГЛАЗНИЦЫ В БОКОВОЙ ПРОЕКЦИИ
Назначение снимка — отображение наружного края, верхней и нижней стенок глазницы, а также выявления инородных тел, находящихся в ее полости.
Укладка больного для выполнения снимка такая же, как для выполнения снимка черепа в боковой проекции (рис. 95).
Кассету размером 13X18 см устанавливают в кассетодержателе в поперечном положении. Наружный край глазницы соответствует центру кассеты, и на него направляют пучок излучения.
Информативность снимка. На снимке хорошо видна наружная стенка глазницы. Для выявления небольших участков измененной костной структуры других стенок информативность снимка, как правило, невысокая из-за суперпозиции анатомических образований противолежащей стороны лицевого скелета. Хорошо видны на снимке в данной проекции инородные тела (рис. 96).
Критерии правильности технических условий съемки и правильности укладки. Правильность подбора физико-технических условий съемки определяется резкостью изображения контуров костей и четкостью костной структуры.
При правильной укладке контуры верхней и нижней стенки правой и левой глазницы совпадают.
Наиболее частые ошибки при выполнении снимка сводятся к неправильному подбору физико-технических условий съемки.


СНИМОК ГЛАЗНИЦЫ В КОСОЙ ПЕРЕДНЕЙ ПРОЕКЦИИ (СНИМОК ЗРИТЕЛЬНОГО КАНАЛА ПО РЕЗЕ)
Назначение снимка. Основное назначение снимка — получение изображения зрительного канала, Как правило, для оценки ширины и формы канала прибегают к последовательной съемке правой и левой глазницы.
Голову поворачивают в сторону и укладывают таким образом, чтобы к экспонируемой половине кассеты прилегали надбровная дуга, скуловая кость и кончик носа, а в центре ее находилась исследуемая глазница. Срединная сагиттальная плоскость головы образует с плоскостью стола угол в 40—50°, открытый кзади. Кассета размером 18Х 24 см располагается на столе в поперечном положении.
Поочередно экспонируют правую и левую половину кассеты, перекрывая неиспользуемую половину листом просвинцованной резины. На кассету накладывают неподвижную отсеивающую решетку.
Пучок излучения направляют отвесно на наружный угол глаза исследуемой стороны (рис. 97).
Информативность снимка. На снимке отображается зрительный канал, имеющий обычно неправильно-округлую форму с четкими резкими контурами. Видны также вход в глазницу, решетчатые ячейки (рис. 98, а, б). Расширение зрительного канала, возникающее при опухолях зрительного нерва, как правило, может быть достоверно выявлено только путем сравнительного анализа снимков правой и левой глазницы (рис. 99, а, б). Поэтому снимки глазниц в косой проекции по Резе всегда следует производить с обеих сторон.

Критерии правильности технических условий съемки и правильности укладки. На снимке должна быть четко видна структура костей.
Изображение зрительного канала при правильной укладке проецируется вблизи наружной стенки глазницы в виде четкой кольцевидной тени.

Наиболее частые ошибки при выполнении снимка. При неправильном угле наклона головы и неправильной центрации пучка излучения отображение зрительного канала нечеткое. При грубом нарушении правил укладки зрительный канал на снимке неразличим.
РЕНТГЕНОЛОГИЧЕСКОЕ ИССЛЕДОВАНИЕ ГЛАЗА СНИМКИ ГЛАЗА С ПРОТЕЗОМ КОМЬЕРГА- -БАЛТИНА
Назначение снимков — локализация инородных тел в глазу и полости глазницы.
Методика выполнения рентгенограмм глазницы с протезом Комбурга — Балтина. Осуществляют анестезию глаза больного путем закапывания в конъюнктивальный мешок 2% раствора дикаина. Протез Комберга — Балтина соответствующего размера после дезинфекции спиртом вводят под веки исследуемого глаза и устанавливают таким образом, чтобы в его отверстии был виден зрачок, а свинцовые метки по краям протеза соответствовали концам вертикального и горизонтального меридианов глаза («12—6 и 3—9 часов»). Снимок исследуемой глазницы производят в носоподбородочной проекции при фиксации взора вниз на кассету. Затем, не меняя положения протеза, выполняют снимок глазницы в боковой проекции с центрацией пучка излучения на пленку через плоскость лимба глаза. При этом больной фиксирует взор на точке, находящейся прямо перед глазами.
Информативность снимка. При правильно проведенном исследовании(правильное наложение протеза, правильная фиксация взора, технически правильное выполнение снимков) после соответствующих расчетов удается точно локализовать рентгеноконтрастные инородные тела, расположенные в глазу и полости глазницы (рис. 101, а, б).

Критерии правильности технических условий съемки и правильности укладки. На снимке должны быть хорошо видны структура стенок глазницы, наложенный на глазное яблоко протез и свинцовые метки на нем. При правильно наложенном протезе метки, соответствующие концам горизонтального меридиана, на снимке в боковой проекции должны совпадать друг с другом .
Наиболее частые ошибки при выполнении снимка — неправильное наложение протеза и смещение взора во время съемки.
БЕССКЕЛЕТНЫЕ СНИМКИ ПЕРЕДНЕГО ОТДЕЛА ГЛАЗА (ПО ФОГТУ)
Назначение снимков — выявление мелких инородных тел в переднем отделе глазного яблока.
Методика выполнения бесскелетных снимков переднего отделе глаза.
После анестезии глаза 2 % раствором дикаина две овальные, вместе сложенные, специально вырезанные по трафарету рентгенографические пленки размером 4X6 см, завернутые в черную бумагу и вложенные в оболочку из тонкой резины, заводят как можно глубже в конъюнктивальный мешок с носовой стороны и придерживают в этом положении (это делает сам больной).
Иногда пленки фиксируют специальным держателем (рис. 102). Рентгеновскую трубку располагают с височной стороны снимаемого глаза. Пучок рентгеновского излучения направляют кпереди от наружной стенки глазницы на передний отдел глазного яблока перпендикулярно пленке.
Для выполнения снимка в аксиальной проекции пленки вводят под глазное яблоко. Рентгеновская трубка находится над больным. Пучок излучения направляют кпереди от верхнего края глазницы через передний отдел глазного яблока перпендикулярно пленке. Во время съемки взор больного направлен прямо вперед. Для маркировки верхнего и нижнего края пленки при выполнении бокового снимка, а также наружного и внутреннего краяпри выполнении аксиального снимка соответственно к нижнему или к наружному краю пленки прикрепляют металлическую скрепку.
Информативность снимка. На бесскелетном снимке, произведенном в боковой проекции (рис. 103, а) видны верхнее и нижнее веко, роговица и передний отдел глазного яблока. На бесскелетном снимке, выполненном в аксиальной проекции, также определяются роговица и передний отдел глазного яблока и, кроме того, ткань верхнего века (рис. 103, б). Бесскелетные снимки весьма информативны для выявления мелких и мельчайших инородных тел, локализующихся в переднем отделе глаза. Их информативность во много раз превосходит обычные снимки, так как при этом исключена суперпозиция костных стенок глазницы.
С целью определения возможных артефактов на рентгенографической пленке, которые могут симулировать инородные тела глаза, снимки производят одновременно на двух, сложенных вместе пленках. Противопоказаниями к выполнению бесскелетных снимков глаза являются свежие прободные ранения рговицы и склеры.

Снимки следует производить с большой осторожностью при недостаточно окрепших рубцах роговицы.
Критерии правильности технических условий съемки и правильности укладки. При правильно подобранных условиях съемки отчетливо виден контур переднего отдела глазного яблока. Информативность переэкспонированных и перепроявленных снимков резко снижается. Снимки следует производить с минимальной выдержкой с целью исключения динамической
нерезкости.
Наиболее частые ошибки при выполнении снимков — завышение технических параметров съемки, динамическая нерезкость изображения, обусловленная недостаточной фиксацией взора, а также и длительной выдержкой.
КОНТРАСТНЫЕ ИССЛЕДОВАНИЯ ГЛАЗНИЦЫ
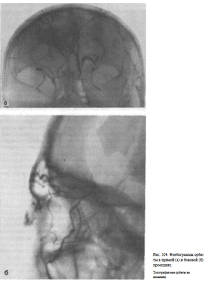
К контрастным исследованиям глазницы прибегают в основном при диагностике опухолей и других объемных процессов в ее полости. Наиболее информативными являются флебография орбиты — контрастирование венозной ее системы — и орбитография — контрастирование ретробульбарного (тенонова) пространства.
При подозрении на сосудистую опухоль в полости глазницы применяют артериографию.
УКЛАДКИ ФЛЕБОГРАФИЯ ОРБИТЫ
Назначение исследования — определение объемного процесса в полости глазницы на основании изменения топографии венозной сети, главным образом верхней глазничной вены.
Методика исследования. Под местной анестезией производят пункцию лобной или лицевой вены. Через иглу вводят полихлорвиниловый катетер с наружным диаметром 0,8—0,9 мм. Катетер фиксируют. Широкой резиновой лентой сдавливают мягкие ткани лба с целью закрытия просвета лобных вен.

Поперечную вену носа и лицевую вену сдавливают с помощью ватных подушечек. После введения 1—2 мл 0,5 % раствора новокаина максимально быстро—за 1—1,5 с—вливают 3—4 мл 50% раствора гипака и производят серию рентгенограмм в задней обзорной и боковой проекциях. Для этого используют специальный ангиографический комплекс, включающий две рентгеновские трубки и две приставки для быстрой смены кассет. При отсутствии такого комплекса после введения контрастного вещества поочередно выполняют прямой и боковой снимки.
Информативность исследования. Топография верхней глазничной вены постоянна. В норме на флебограмме орбиты в боковой проекции верхняя глазничная вена выявляется под верхней ее стенкой. Она имеет плавные изгибы. Часто видны коллатеральные вены, соединяющие ее с нижней глазничной веной, менее постоянной в своей топографии. На флебограмме
орбиты в прямой задней проекции верхняя глазничная вена отображается в форме ромба (рис. 104, а, 6). Отклонение в пробеге верхней глазничной вены, оттеснение ее, а также обрыв, как правило, связаны с объемным процессом в полости глазницы.
ОРБИТОГРАФИЯ
Назначение исследования — выявление объемного процесса в орбите путем контрастирования заглазничного пространства.
Методика исследования. Под местной анестезией вводят иглу через нижнее веко параллельно нижней стенке глазницы на глубину 1,5—2 см, и через нее вливают в теноново пространство 2—3 мл 0,5 % раствора новокаина, а затем 4—5 мл 20 % раствора гипака. Рентгенограммы выполняют через 1 и 10 мин после введения контрастного вещества в прямой (задней) и боковой проекциях.
Информативность исследования. Контрастное вещество равномерно распределяется в жировой клетчатке заглазничного пространства и на снимках в норме имеет типичную конфигурацию: на прямом снимке — форму прямоугольника с закругленными краями и округлым дефектом наполнения в центре в месте прохождения зрительного нерва (рис. 105), а на боковом снимке — конусовидную форму с полусферическим вдавлением в области основания, соответственно заднему полюсу глазного яблока.

При опухолях или других объемных процессах распределение контрастногоещества неравномерное, с наличием дефектов наполнения (рис. 106).
Читайте также:
- Параганглиома глазницы (хемодектома глазницы): признаки, гистология, лечение, прогноз
- Случай эмфизематозного пиелонефрита у пациентки с сахарным диабетом, потребовавший нефрэктомии
- Лечение ожогов кисти
- Механизмы развития деперсонализации. Патогенез
- Радиационная апластическая анемия - влияние ионизирующего облучения на организм
