Случай эмфизематозного пиелонефрита у пациентки с сахарным диабетом, потребовавший нефрэктомии
Добавил пользователь Евгений Кузнецов Обновлено: 08.01.2026
Методы обследования эмфизематозного пиелонефрита
а) Терминология:
1. Аббревиатура:
• Эмфизематозный пиелонефрит (ЭПН)
2. Определение:
• Анаэробная газовая ИМПТ верхних отделов с поражением паренхимы почки и/или околопочечного пространства
б) Визуализация:
1. Общая характеристика:
• Локализация:
о Односторонняя > двусторонняя (5-7% случаев)
2. УЗИ при эмфизематозном пиелонефрите:
• Серошкальное ультразвуковое исследование:
о Гиперэхогенные очаги в почечной пазухе и паренхиме с «грязным» затенением
о Артефакты реверберации: пузырьки газа в жидкости
о Газ или скопление жидкости в околопочечном пространстве могут препятствовать визуализации почки
• Цветовая допплерография:
о Артефакт мерцания: может имитировать конкременты
(Левый) На рентгенограмме органов брюшной полости визуализируется пятнистая картина газа в области предположительной локализации левой почечной ямки у пациента с эмфизематозным пиелонефритом.
(Правый) На серошкальном УЗ срезе у другого пациента визуализируются множественные точечные гиперэхогенные скопления газа в субкапсулярном пространстве, сдавливающие нижний полюс правой почки. Эти гиперэхогенные очаги не фиксированы (движутся в жидкости) и свободно перемещаются при исследовании в реальном времени. (Левый) На УЗ срезе с цветовой допплерографией у этого же пациента визуализируется цветовой сигнал в виде артефакта мерцания, обусловленного пузырьками газа. С целью исключения истинного кровотока исследуется спектр допплеровской волны. В этом случае волна представляет из себя шум (не показано), говорящий о том, что данная цветовая область является артефактом, а не истинным кровотоком.
(Правый) На обзорном аксиальном КТ срезе у того же пациента подтверждены множественные скопления газа в субкапсулярном пространстве, приводящие к сдавливанию почки. (Левый) При КТ с контрастированием визуализируется значительно увеличенная правая почка с отсроченным контрастированием на нефрограмме по сравнению с неизмененной противоположной почкой. Множественные скопления газа в верхнем полюсе паренхимы подтверждают диагноз эмфизематозного пиелонефрита.
(Правый) При динамической сцинтиграфии (в положении на животе) у этого же пациента визуализируется практически полное отсутствие активности в инфицированной правой почке с неизмененным поглощением и экскрецией изотопа слева. Это исследование проводилось в рамках хирургического обследования перед правосторонней нефрэктомией.
2. Рентгенологические данные:
• Рентгенография:
о Газ в паренхиме ± околопочечном пространстве
3. КТ при эмфизематозном пиелонефрите:
• Два типа эмфизематозного пиелонефрита:
о Тип I (33%): замещение паренхимы газом, ± серповидный участок газа в подкапсульном или околопочечном пространстве
о Тип II (66%): почечный или околопочечный абсцесс с пузырьками газа ± газ в почечной лоханке
• Газ в паренхиме, чашечках или почечной лоханке
• Газ может распространяться на субкапсулярное, околопочечное, а также забрюшинное пространство на противоположной стороне
4. МРТ при эмфизематозном пиелонефрите:
• Т1-ВИ, Т2-ВИ: Скопления газа представляют собой отсутствие сигнала во всех последовательностях
• Т2-ВИ: отек околопочечного вещества ± скопления жидкости
5. Рекомендации по визуализации:
• Важнейшие методы визуализации:
о КТ-лучший метод определения локализации и распространенности газа в почке и околопочечном пространстве
о Необходимо исключить абсцесс поясничной мышцы и остеомиелит позвоночника
(Левый) При КТ без контрастирования у этого пациента визуализируется хроническая обструкция и инфекция в левой почке, осложнившиеся значительным истончением коркового вещества с замещением лоханки и паренхимы почки скоплениями газа и жидкости .
(Правый) На аксиальном КТ срезе у другого пациента с эмфизематозным пиелонефритом визуализируется ограниченное скопление газа в паренхиме верхнего полюса левой почки. Обратите внимание на окружающие воспалительные изменения, указывающие на хроническую инфекцию. (Левый) На фронтальном КТ срезе у этого же пациента вновь визуализируется незначительное скопление газа в паренхиме. Обратите внимание на другие признаки инфекции: значительное увеличение левой почки, кортикальный абсцесс, утолщение уротелия почечной лоханки и отсроченное контрастирование на нефрограмме.
(Правый) На более нижнем аксиальном КТ срезе у того же пациента визуализируются скопления газа в толстостенных очагах обеих поясничных мышц , в результате осложнения эмфизематозного пиелонефрита. (Левый) На аксиальном Т1-ВИ в отсроченную фазу у этого же пациента на том же исследуемом уровне визуализируются двусторонние абсцессы поясничных мышц.
(Правый) На продольном Т2-ВИ у этого же пациента визуализируется патологический высокоинтенсивный сигнал в прилежащем теле позвонка L4, указывающий на развивающийся остеомиелит. У этого пациента с сахарным диабетом, эмфизематозным пиелонефритом, абсцессами поясничных мышц и остеомиелитом позвоночника имеются картина сепсиса и сильные боли в спине..
в) Дифференциальная диагностика эмфизематозного пиелонефрита:
1. Конкремент почки:
• Одиночный гиперэхогенный очаг с четким дистальным акустическим затенением
2. Нефрокальциноз:
• Диффузная гиперэхогенность почечных пирамид ± акустическое затенение
3. Папиллярный некроз:
• Одиночные или множественные кистозные полости в почечных пирамидах, соединяющиеся с чашечками
• Отторгающиеся сосочки: гиперэхогенные без затенения
4. Эмфизематозный пиелит:
• Газ, ограниченный чашечно-лоханочной системой без поражения паренхимы
• Обычно менее тяжелое течение, чем при ЭПН
5. Доброкачественное скопление газа в почечной лоханке:
• Возможно вследствие недавних хирургических вмешательств
г) Патология:
1. Общая характеристика:
• Этиология:
о Одиночная или смешанная инфекция
- Escherichia coli (68%), Klebsiella pneumoniae (9%)
- Proteus mirabiiis, роды Pseudomonas, Enterobacter, Candida, Klostridia
о Факторы риска:
- Рецидивирующие или хронические ИМПТ
- Снижение иммунитета: сахарный диабет (87-97%)
- Обструкция мочеточника (20-40%): конкременты, стеноз
о Патогенез:
- Пиелонефрит → ишемия и низкое напряжение кислорода → размножение анаэробной флоры в анаэробных условиях → выработка CO2
2. Макроскопические и хирургические особенности:
• Гнойная некротизирующая инфекция почечной паренхимы и околопочечной клетчатки с множественными абсцессами коркового вещества
д) Клинические особенности:
1. Проявления эмфизематозного пиелонефрита:
• Основные симптомы:
о Крайне тяжелое течение: лихорадка, боли в боку, гипергликемия, ацидоз, дегидратация и нарушение электролитного баланса
о Гипоальбуминемия и необходимость экстренного проведения гемодиализа являются независимыми предикторами летального исхода
2. Течение и прогноз:
• Осложнения: генерализованный сепсис
• Прогноз: неблагоприятный:
о Смертность: 66% при I типе, 18% при II типе
3. Лечение эмфизематозного пиелонефрита:
• Антибиотикотерапия; нефрэктомия при I типе:
о Консервативное ведение неэффективно как минимум в 1/3 случаев
• При II типе: дренирование под КТ-контролем
е) Список использованной литературы:
1. Lu YC et al: Predictors of failure of conservative treatment among patients with emphysematous pyelonephritis. BMC Infect Dis. 14:418, 2014
2. Lin YC et al: Risk factors of renal failure and severe complications in patients with emphysematous pyelonephritis-a single-center 15-year experience. Am J Med Sci. 343(3): 186-91, 2012
3. Chen КС et al: The role of emergency ultrasound for evaluating acute pyelonephritis in the ED. Am J Emerg Med. 29(7):721-4, 2011
4. UbeeSSet al: Emphysematous pyelonephritis. BJU Int. 107(9): 1474-8, 2011
5. Grayson DE et al: Emphysematous infections of the abdomen and pelvis: a pictorial review. Radiographics. 22(3):543-61, 2002
Острый правосторонний пиелонефрит: случай успешного консервативного лечения
Над описанием клинического случая, представленного доктором Бычковым Владимиром Геннадиевичем, работали литературный редактор Елизавета Цыганок , научный редактор Сергей Федосов и шеф-редактор Маргарита Тихонова
Вступление
Утром 1 ноября 2021 года в приёмное отделение городской клинической больницы № 8 бригада скорой медицинской помощи привезла 40-летнюю женщину с ознобом и болью в правой части поясницы.
Жалобы
Пациентка рассказала, что постоянная тянущая боль сопровождалась повышением температуры до 37–37,9 °C. Иногда на пике болевого синдрома температура поднималась до 38 °С и женщину тошнило.
Боль усиливалась при длительной ходьбе. По совету соседки, принимала Канефрон Н и обезболивающие препараты, которые немного облегчали состояние.
Анамнез
Впервые симптомы появились после переохлаждения за 4 дня до госпитализации. За это время температура не снижалась до нормальных показателей, а боль только усиливалась.
Обследование
Поясница внешне не изменена. При прощупывании в области почек и простукивании справа пациентка чувствовала боль. Живот мягкий и безболезненный во всех отделах, участвует в дыхании.
По результатам общего анализа мочи, у женщины лейкоцитурия (лейкоциты сплошь в поле зрения) и бактериурия (++), также отмечается небольшое количество белка (0,3 г/л).
УЗИ показало отёк паренхимы (основной ткани) правой почки до 20 мм, с противоположной стороны — до 14 мм. Полостная система почек не расширена.
При проведении бактериологического анализа мочи нашли бактерию Escherichia coli (10 5 КОЕ/мл), которая может вызвать пищевое отравление. Чувствительна к Ампициллину, Ципрофлоксацину, Меропенему, Фосфомицину и Цефтриаксону.
- лейкоцитоз — 18×10 9 /л;
- сдвиг лейкоцитарной формулы влево (наличие незрелых нейтрофилов в крови) — 10 %;
- повышенный уровень скорости оседания эритроцитов — 20 мм/ч.
- аланинаминотрансфераза (АЛТ) — 40 ед/л (выше нормы);
- мочевина — 7,3 ммоль/л;
- креатинин — 80 мкмоль/л;
- билирубин — 10 мкмоль/л.
Диагноз
Лечение
- 2 г Цефтриаксона + 400 мл 0,9%-го раствора Хлорида натрия — 2 раза в день;
- 1 мл раствора Кеторола — 2 раза в день;
- 2 драже Канефрон Н — 3 раза в день;
- диету, которая исключает экстрактивные продукты, — мясо кролика, птицы и рогатого скота, конину, рыбу, грибы, чай, кофе и некоторые овощи;
- 2500 мл в сутки.
На следующий день после начала лечения женщина отметила уменьшение боли и улучшение аппетита. На вторые сутки снизилась температура, ещё через день лабораторные показатели пришли в норму, отёк паренхимы правой почки уменьшился до 16 мм.
Пациентку выписали на 6-е сутки. Она продолжила антибактериальную и противовоспалительную терапию под наблюдением уролога по месту жительства.
На контрольном амбулаторном осмотре через 2 недели женщина рассказала, что боль прошла, температура больше не поднималась, общее самочувствие улучшилось, утомляемость и слабость исчезли.
Заключение
Этот клинический случай показывает, что острый пиелонефрит можно вылечить с помощью консервативных методов. Также очень важно провести комплекс обследований, чтобы исключить другие болезни.
Предыдущий клинический случай
Информация, представленная на сайте, не может быть использована для постановки диагноза, назначения лечения и не заменяет прием врача.
Случай эмфизематозного пиелонефрита у пациентки с сахарным диабетом, потребовавший нефрэктомии
Пациентка Т. 70 лет в августе 2017 года, находясь на лечении в терапевтическом отделении ЦРБ, была переведена в урологическое отделение города.
При поступлении жаловалась на повышение температуры до 38,0°C, постоянные распирающие и тянущие боли в поясничной области слева, а также общую слабость.
Пациентка повышенного питания: масса тела — 95 кг, рост — 165 см, ИМТ — 34,89 (ожирение первой степени).
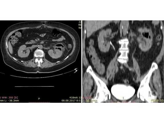
Считает себя больной с мая 2017 года, когда впервые возникли болевые ощущения в левой половине живота и повышение температуры до 39,0°C. Проходила лечение у терапевта и хирурга ЦРБ, но динамика была отрицательной: интенсивность болей в животе нарастала, и к июлю месяцу они стали нестерпимыми, приобрели распирающий характер, что заставило пациентку настоять на оперативном лечении, так как у неё было желание "разорвать живот, чтобы выпустить боль". 17 июня госпитализирована в хирургическое отделении ЦРБ. На следующий день пациентке проведено УЗИ органов брюшной полости и почек: выявлены косвенные признаки патологии сигмовидной кишки и слабовыраженные диффузные изменения паренхимы почек. 19 июня выполнена диагностическая лапаротомия: патологии органов брюшной полости не выявлено. 24 июня пациентка переведена в отделение терапии ЦРБ. Проводилась антибактериальная (цефтриаксон, левофлоксацин, моксифлоксацин, метронидазол) и инфузионная терапия, но без стойкого эффекта — боли в пояснице слева сохранялись, температура повышалась до 38,0°C. 7 августа выполнено УЗИ почек: визуализируются умеренные диффузные изменения паренхимы левой почки, а также объёмное образование левой почки неоднородного характера с пузырьками газа, которое распространяется на околопочечную клетчатку, размерами 50*40*40 мм (вероятно, абсцесс). Для дальнейшего лечения 8 августа переведена в урологическое отделение города.
Помимо прочего, пациентка в течение 10 лет страдает сахарным диабетом 2 типа. В последнее время имела место гликемия в пределах 11-14 ммоль/л, по этому поводу проводится инсулинотерапия.
Общее состояние средней степени тяжести. Кожный покров и видимые слизистые оболочки бледные, чистые. Периферические лимфатические узлы не пальпируются. Грудная клетка принимает участие в акте дыхания. Дыхание везикулярное, хрипов нет. ЧДД — 20 в минуту. Тоны сердца приглушены, ритм правильный. ЧСС — 82 в минуту. АД — 130/90 мм рт.ст. Живот увеличен за счёт подкожной жировой клетчатки, не вздут, несколько болезненный в области послеоперационного рубца. Печень не увеличена, селезёнка на пальпируется. Область почек визуально не изменена. Симптом поколачивания слева положительный. Наружные половые органы соответствуют возрасту и полу.
Острый эмфизематозный пиелонефрит и паранефрит слева (класс 3А по Huang и Tseng). Сахарный диабет 2 типа, инсулинотерапия, декомпенсация.

Результат мультиспиральной КТ: видны изменения левой почки, характерные для эмфизематозного пиелонефрита, функция левой почки отсутствует
Острый пиелонефрит - симптомы и лечение
Что такое острый пиелонефрит? Причины возникновения, диагностику и методы лечения разберем в статье доктора Закуцкого Александра Николаевича, уролога со стажем в 16 лет.
Над статьей доктора Закуцкого Александра Николаевича работали литературный редактор Маргарита Тихонова , научный редактор Сергей Федосов
Определение болезни. Причины заболевания
Острый пиелонефрит — это воспалительное заболевание почек бактериальной причины с преимущественным поражением лоханки, чашечек и межуточной ткани паренхимы почек. В Международной классификации болезней отказались от термина «острый пиелонефрит», заменив его на «острый интерстициальный нефрит». [3]

Пиелонефрит следует отличать от гломерулонефрита. Обе формы нефрита характеризуются воспалением паренхимы почек, но при пиелонефрите поражается межуточная ткань, а при гломерулонефрите — клубочки почек. Поэтому пиелонефрит называют «интерстициальным нефритом», от слова «интерстиций» — межуточная ткань, а гломерулонефрит можно назвать «клубочковым нефритом», от слова «гломерула» — почечный клубочек. [2]

Причина пиелонефрита — бактериальная инфекция. Среди возбудителей заболевания лидирует кишечная палочка (Escherichia coli). Реже встречаются другие микробы, такие как протей, энтерококк, синегнойная палочка и стафилококк. [4]

Особую опасность представляют БЛРС+ бактериями. Аббревиатура «БЛРС» расшифровывается как «бета-лактамазы расширенного спектра действия». БЛРС — это группа бактериальных ферментов, которые позволяют бактериям игнорировать антибиотики. Благодаря БЛРС бактерии расщепляют и нейтрализуют несколько групп антибактериальных препаратов, включая пенициллины и цефалоспорины. Продуцировать подобные ферменты могут далеко не все микробы, довольно часто эта способность наблюдалась у кишечной палочки и клебсиеллы пневмонии. Современные микробиологические лаборатории всегда отмечают подобные микробы либо русской аббревиатурой БЛРС+, либо английским аналогом ESBL+. Согласно европейским данным, БЛРС, продуцируемые кишечной палочкой, встречаются в 10% случаев, а клебсиелла пневмонии продуцирует БЛРС в 20% случаев. Таким образом, проблема БЛРС+ бактерий имеет важное клиническое значение. [8]
Острый пиелонефрит может возникнуть в любом возрасте и у любого пола. Чаще всего заболевание возникает у женщин активного репродуктивного возраста, что объясняется особенностями строения женской мочеполовой системы. Однако нередко пиелонефрит выявляют у детей и половозрелых мужчин, поэтому возраст и пол заболевавшего не могут быть использованы в качестве дифференциального признака данного заболевания.
При обнаружении схожих симптомов проконсультируйтесь у врача. Не занимайтесь самолечением - это опасно для вашего здоровья!
Симптомы острого пиелонефрита
Для острого пиелонефрита типично сочетание высокой температуры с болями в области воспалённой почки. Если почка располагается на своём месте, то боль беспокоит в проекции рёберно-позвоночного угла. При опущении почки боль возникает по фланкам живота. Пиелонефрит может затрагивать как одну почку, так и обе почки, соответственно боль может беспокоить как с одной стороны, так и с обеих сторон одновременно.

Выраженность боли может быть различной — от умеренной до интенсивной. Как правило, боль носит постоянный характер и не зависит от положения тела или движений. Иными словами, невозможно найти такое положение в кровати, когда боль будет беспокоить меньше или пройдет совсем. Также верно и то, что движения туловищем в виде сгибания, разгибания или поворотов не приводят к обострению болей.
В отдельных случаях боль носит приступообразный характер. Это характерно для пиелонефритов, которые возникают на фоне закупорки мочевых путей камнем. Если при классической почечной колике боль между приступами отступает совсем, то при сопутствующем пиелонефрите болевой синдром сохраняется и между приступами.
Развитие острого пиелонефрита может сопровождаться изменения со стороны мочеиспускания, хотя это не является обязательным условием. Можно отметить появление мути в моче и неприятного запаха. Кроме того, воспалённая моча потенциально способна спровоцировать учащённое мочеиспускание. В целом мочевые симптомы выходят на первый план только в том случае, если острый пиелонефрит осложняет уже имеющееся воспаление мочевого пузыря. [1] [4]
Патогенез острого пиелонефрита
Бактерия попадает в почку либо с кровью, либо с мочой. Кровяной занос бактериальной инфекции получил название «гематогенного» пути передачи. Иногда врачи говорят о нисходящем пути развития острого пиелонефрита. Например, тот же нелеченный бронхит может осложниться развитием пиелонефрита за счёт обильного поступления бактерий в кровь. Нужно понимать, что почки фильтруют кровь со всего организма, поэтому пиелонефрит может осложнить любой несвоевременно пролеченный гнойник, даже расположенный в ногах или руках.

Альтернативой кровяному пути попаданию бактерий является мочевой путь распространения микробов. В научной литературе такой путь передачи возбудителя именуется «уриногенным», от слова «урина» — моча. Раньше такой путь заражения называли «восходящим», так как инфекция фактически "карабкается" вверх из мочевого пузыря. Вот почему очень важно своевременно пролечивать воспаление мочевого пузыря в виде цистита, не дожидаясь распространения бактерий вверх в почку.
Уриногенный путь передачи особенно характерен для детей из-за широкого распространения пузырно-мочеточникового рефлюкса. Так называют заброс мочи из мочевого пузыря обратно в почку. Несмотря на широкое распространение рефлюкса именно в детском возрасте, многие взрослые страдают аналогичным заболеванием. Особенно часто рефлюкс, то есть обратный заброс мочи, наблюдается при переполнении мочевого пузыря. Поэтому очень важно своевременно опорожнять мочевой пузырь. [8]

Классификация и стадии развития острого пиелонефрита
Традиционно острый пиелонефрит подразделяют на серозный и гнойный, хотя гнойный пиелонефрит является скорее осложнением острого пиелонефрита.
Существует несколько форм гнойного пиелонефрита:
- апостематозный пиелонефрит;
- абсцесс почки;
- карбункул почки;
- некротический папиллит;
- эмфизематозный пиелонефрит.
Если гнойников много, и они небольшие по размеру, то говорят об апостематозном пиелонефрите. В том случае, если гнойник большой и одиночный, то мы имеем дело с абсцессом почки.

Почечный абсцесс нужно дифференцировать с карбункулом почки. Карбункул — это часть почечной паренхимы, погибшая вследствие закупорки крупного почечного сосуда микробным эмболом. Рано или поздно погибшие от эмболии ткани подвергаются гнойному расплавлению, что приводит к абсцедированию карбункула.

Особой формой острого пиелонефрита является некротический папиллит — это грозное и смертельно опасное заболевание. К счастью, эта болезнь встречается настолько редко, что даже опытные урологи со стажем работы в несколько десятков лет могут вспомнить лишь несколько случаев данной формы острого пиелонефрита. При некротической папиллите происходит некроз, то есть омертвление и гибель почечного сосочка. Это сопровождается почечной недостаточностью и появлением крови в моче. Причина некротического папиллита сходна с причиной карбункула: закупорка почечного сосуда микробным эмболом. Только при папиллите страдает сосуд, питающий почечный сосочек. [4]
Также пиелонефрит можно подразделить на первичную и вторичную форму. Первичный острый пиелонефрит развивается в интактной почке, то есть без аномалий развития, камней и значимых нарушений оттока мочи. Вторичный острый пиелонефрит возникает на фоне заболеваний, которые нарушают пассаж мочи. Между вторичной формой острого пиелонефрита и первичным обострением хронического пиелонефрита очень тонкая грань, поэтому в МКБ-10 введён код № 12 «Тубулоинтерстициальный нефрит, не уточнённый как острый или хронический». [3]
Осложнения острого пиелонефрита
Местные осложнения острого пиелонефрита включают апостематоз, абсцесс почки, эмфизематозный пиелонефрит, а также тромбоз почечных сосудов либо в виде карбункула почки, либо в виде некротизирующего папиллита. [10]
Эмфизематозный пиелонефрит является исключительно редким заболеванием и отличается от прочих гнойных осложнений пиелонефрита появлением пузырьков газа. Воздушные скопления могут быть в почечной паренхиме, полостной системе почек или даже в паранефральной клетчатке. К счастью, эмфизематозный пиелонефрит встречаются существенно реже других гнойных осложнений почки. [7]
Среди системных осложнений нужно отметить острую почечную недостаточность и синдром системной воспалительной реакции (сепсис). Именно поэтому часть пациентов нуждается в госпитализации в урологические стационары. В условиях стационара проводится регулярный контроль анализов и УЗИ для своевременного выявления осложнений острого пиелонефрита. [4]
Некоторые осложнения пиелонефрита в большей степени ассоциированы с хронической формой этого заболевания, но так как острый пиелонефрит может перейти в хронический, то нельзя не упомянуть о таком важном осложнении как мочекаменная болезнь. В некоторых ситуациях воспаление почечной паренхимы вызывают уреаза-продуцирующие микробы. Уреаза — это фермент, который позволяет бактериям расщеплять мочевину из мочи. После срабатывания фермента мочевина расщепляется до углекислоты и аммиака. Именно эти два компонента запускают сложный биохимический каскад, который приводит к образованию инфекционных камней: струвита и гидроксиапатита. К счастью, самый частый возбудитель пиелонефрита — кишечная палочка — не умеет производить уреазу, этой способностью обладают другие более редкие возбудители пиелонефрита — протей, клебсиелла и синегнойная палочка.
Важным осложнением острого пиелонефрита является хроническая форма этого заболевания. Именно поэтому очень важно диспансерное наблюдение после удачного излечения острого пиелонефрита. Словосочетание «диспансерное наблюдение» немного пугает своей бюрократической составляющей, но по сути это означает необходимость контролировать анализы мочи в течение минимум трёх месяцев после перенесённого острого пиелонефрита.

Диагностика острого пиелонефрита
Минимальный объём обследований:
- общий анализ мочи;
- посев мочи на флору с определением чувствительности к антибиотикам;
- клинический анализ крови;
- анализ крови на креатинин;
- УЗИ почек и мочевого пузыря.
Общий анализ мочи
Типичным для пиелонефрита является повышение уровня лейкоцитов и обнаружение бактерий. Могут быть и другие неспецифичные для данного заболевания изменения, включая повышенный уровень белка или положительный тест на нитриты. Обнаружение большого количества эритроцитов требует проведения дифференциальной диагностики с мочекаменной болезнью и гломерулонефритом.
Посев мочи на флору и чувствительность к антибиотикам
Этот анализ имеет смысл сдавать до назначения антибиотиков. Посев мочи позволяет выявить возбудитель пиелонефрита и определить наиболее эффективные антибактериальные препараты.
Клинический анализ крови
Неспецифическим признаком пиелонефрита является повышенный уровень лейкоцитов со сдвигом лейкоцитарной формулы влево. Как правило, больной с острым пиелонефритом повторяет клинический анализ крови два или три раза во время лечения. Данный анализ позволяет оценить эффективность антибактериальной терапии и своевременно сигнализировать о развитии гнойных осложнений в воспаленной почке.
Анализ крови на креатинин
Этот анализ является обязательным для всех пациентов с пиелонефритом прежде всего потому, что в ряде случаев острый пиелонефрит может осложниться развитием острой почечной недостаточности. Кроме того, анализ крови на креатинин необходим для решения вопроса о рентгенологическом исследовании почек с применением контраста.
УЗИ почек и мочевого пузыря
Ультразвуковое исследование позволяет исключить обструктивный пиелонефрит, связанный с нарушением оттока мочи из почки. Кроме того, УЗИ почек необходимо для своевременного выявления апостематоза, абсцесса и карбункула в паренхиме почки. Все вышеперечисленные термины используются для описания осложнений острого пиелонефрита.
Важнейшим преимуществом ультразвукового исследования является возможность повторения этого исследования в динамике без нанесения какого-либо вреда или даже дискомфорта организму. Важно помнить, что нормальные результаты УЗИ не исключают наличие острого пиелонефрита.
Рентгеновское обследование почек: внутривенная урография или компьютерная томография почек с внутривенным контрастированием.

Рентгеновское обследование почек является самым точным и достоверным методом диагностики. Традиционный рентген в виде внутривенной урографии подразумевает обязательное внутривенное введение йодсодержащего контраста. Это не всегда возможно из-за сопутствующих причин: аллергия на йод, приём гормонов щитовидной железы и повышенный уровень креатинина в крови. По сути, в настоящее время внутривенная урография необходима только для установления степени нефроптоза при опущении почек.
Значительно более широко применяется КТ почек (компьютерная томография). КТ относится к рентгеновским методам исследования, однако его информативность значительно выше, чем у обычного рентгена. Вопрос о введении йодсодержащего внутривенного контраста решается лечащим урологом индивидуально с каждым пациентом. [2] [4]
Лечение острого пиелонефрита
Стационарное лечение обычно требуется для беременных, детей, пожилых людей, пациентов с ослабленным иммунитетом, плохо контролируемым диабетом, после трансплантации почек и, конечно же, всех людей с обструкцией мочевых путей. Также желательно госпитализировать людей с острым пиелонефритом единственной существующей или единственно функционирующей почки. Здоровые, молодые, небеременные женщины, которые болеют неосложнённым пиелонефритом, могут лечиться амбулаторно.
Обычно острый пиелонефрит требует исключительно медикаментозного лечения. Показания к хирургическому лечению возникают крайне редко.
Первоначальный выбор антибиотика при остром пиелонефрите является эмпирическим. Через 4-7 дней антибактериальная терапия может быть скорректирована по результатам посева мочи. Эмпирический выбор антибиотика остаётся на усмотрение лечащего врача.
В национальных рекомендациях в качестве средства выбора при остром пиелонефрите указаны фторхинолоны второго и третьего поколения. [4] Тоже самое сказано и в рекомендациях Европейской ассоциации урологов. Между тем, ещё в 2016 году FDA (Управление по контролю качества пищевых продуктов и лекарственных препаратов) рекомендовала отказаться от использования данных антибиотиков из-за большого количества осложнений в отношении связок, суставов и периферических нервов. [6] Поэтому в качестве первой линии терапии рекомендуют использовать цефалоспорины третьего поколения.
Наиболее широко используемым цефалоспорином третьего поколения является цефтриаксон. Активно практикуется ступенчатая терапия с плавным переходом от внутривенно вводимого антибиотика к его пероральному аналогу. С внутривенного цефтриаксона можно перейти на пероральный цефиксим, который также относится к цефалоспоринам третьего поколения. Цефиксим больше известен под своими торговыми названиями: «Супракс», «Супракс солютаб» и «Панцеф».
Часто можно встретить комбинацию из двух антибиотиков для лечения острого пиелонефрита. Как правило, комбинируют цефалоспорины с фторхинолонами или аминогликозидами. Аминогликозиды в виде амикацина обладают явным нефротоксическим действием, поэтому их использование для эмпирической терапии оправдано только в тяжёлых случаях. В целом выбор антибиотика — на усмотрение лечащего врача. [9]
Показания к оперативному лечению возникают при гнойной форме воспаления и остром вторичном пиелонефрите. При вторичном пиелонефрите главная цель хирургического вмешательства состоит в дренировании мочи. Это можно сделать как путём установки почечного стента, так и благодаря чрезкожной пункционной нефростомии.

Гнойная форма острого пиелонефрита требует ревизии и декапсуляции почки, вскрытия гнойных очагов или даже нефрэктомии при гнойном разрушении большей части почки. [4]
Прогноз. Профилактика
Прогноз при пиелонефрите благоприятный. Большинство острых пиелонефритов успешно лечатся амбулаторно, и лишь небольшая доля случаев требует госпитализации. Тем не менее сохраняется определённый процент летальный исходов. Причиной неблагоприятного течения заболевания являются возраст старше 65 лет, присоединение острой почечной недостаточности, несвоевременно выявленные гнойные осложнения, требующие хирургического вмешательства, и тяжёлые сопутствующие заболевания наподобие декомпенсированного сахарного диабета. [5]
Составление плана индивидуальной профилактики начинается с изучения истории конкретного заболевания. В частности, необходимо ответить на вопрос, каким образом бактерии попали в почку: с кровью или с мочой? При гематогенном пути заражения необходимо санировать имеющиеся в организме очаги хронической инфекции, исключить переохлаждение и проводить профилактику сезонных простудных заболеваний. При уриногенном пути заражения необходимо заняться профилактикой воспалительных заболеваний мочевого пузыря.
В случае вторичной формы острого пиелонефрита целесообразно восстановить нормальный отток мочи из поражённой почки.
Вне зависимости от пути попадания микробов в почку всем пациентам рекомендуется потреблять достаточное количество жидкости и разнообразные урологические сборы растительного происхождения. [4]
Лучевая диагностика эмфизематозного пиелонефрита
а) Терминология:
• Эмфизематозный пиелонефрит
б) Определение:
• Некротизирующая, продуцирующая газ инфекция почек
в) Визуализация:
• Лучший диагностический критерий:
о Газ в паренхиме почки на КТ
1. Рентгенологические признаки эмфизематозного пиелонефрита:
• Рентгенография:
о Газ в паренхиме почки, возможно - в околопочечном пространстве
2. КТ при эмфизематозном пиелонефрите:
• КТ без контрастирования:
о Скопление газа в паренхиме, в чашечках и лоханке на КТ
о Классификация по Wan и др.:
- Первый тип: разрушение паренхимы с отсутствием жидкости:
о Полосчатое/пестрое скопление газа в паренхиме почки; возможно скопление газа под капсулой или в околопочечном пространстве
- Второй тип: скопления жидкости в почке или в околопочечном пространстве:
Скопление газа в виде пузырьков; возможно наличие газа в лоханке
о Классификация по Huang и Tseng:
- 1 класс: газ только в собирательной системе (эмфизематозный пиелит)
- 2 класс: ограниченное скопление газа в паренхиме почки
- 3А класс: газ/абсцесс в околопочечном пространстве
- 3В класс: газ/абсцесс в околоободочном или в собственно забрюшинном пространствах
- 4 класс: двусторонний эмфизематозный пиелонефрит
• КТ с контрастированием:
о Снижение контрастирования пораженной паренхимы почки
3. УЗИ при эмфизематозном пиелонефрите:
• Исследование в режиме серой шкалы:
о Эхогенные очаги в паренхиме почки и/или собирательной системе
о «Грубая акустическая тень»; кольцевидные артефакты
4. Рекомендации по визуализации:
• Лучший метод визуализации:
о КТ для постановки диагноза и классификации

(Слева) КТ без контрастирования, аксиальная проекция: большое скопление газа В в правой почке. Этот признак характерен для эмфизематозного пиелонефрита. Скопления жидкости нет. КТ-метод выбора для постановки диагноза и оценки распространения газа.
(Справа) УЗИ правой почки в сагиттальной плоскости: у этого же пациента визуализируются эхо-сигналы в паренхиме почки, ассоциированные с «грубой акустической тенью».
г) Дифференциальная диагностика эмфизематозного пиелонефрита:
1. Эмфизематозный пиелит:
• Наличие газа в лоханке и чашечках, отсутствие его в паренхиме
• Наблюдают при диабете (в 50% случаев) и обструкции мочевыводящих путей
• Более благоприятный прогноз, чем при эмфизематозном пиелонефрите
2. Перфорация язвы двенадцатиперстной кишки:
• Иногда газ «очерчивает» почку
3. Ятрогенное повреждение:
• Диагностические (например, ретроградная пиелография, цистоскопия) или лечебные манипуляции (например, нефростомия, эмболизация)

(Слева) КТ без контрастирования, аксиальная проекция: у женщины 69 лет с сахарным диабетом, поступившей с лихорадкой и болью в боку, выявлены крупные скопления газа и жидкости в паренхиме почки слева. Такая картина характерна для абсцесса, продуцирующего газ, сформировавшегося вследствие наличия эмфизематозного пиелонефрита.
(Справа) Рентгенография в переднезадней проекции: у этой же пациентки имеется нелинейное скопление газа , очерчивающее нижний полюс левой почки.
д) Патология:
1. Общая характеристика:
• Этиология:
о Наиболее частый патоген:
- Escherichia coli: в 69% случаев
о Факторы риска:
- Сахарный диабет (более 90% случаев)
- Обструкция мочевыводящих путей
2. Стадирование, степени дифференцировки и классификация:
• Классификация основана на распространении газа при визуализации
3. Макроскопические и хирургические признаки:
• Некроз паренхимы почки и тканей вокруг нее; абсцессы
е) Клинические особенности:
1. Клиническая картина эмфизематозного пиелонефрита:
• Наиболее частые признаки/симптомы:
о Лихорадка, озноб, боль в боку, апатичность, спутанность сознания
о Осложнения: септический шок
о Лабораторные данные: гипергликемия, тромбоцитопения, пиурия
2. Демография:
• Возраст:
о Средний возраст: 60 лет
• Пол:
о Чаще болеют женщины
3. Течение и прогноз:
• Состояние, угрожающее жизни
• Общая смертность составляет 11-50%
• Наивысший показатель смертности при типе 1 (36-69%) и классе 4 (50%)
4. Лечение эмфизематозного пиелонефрита:
• Восполнение водного и электролитного баланса; антибиотикотерапия
• Чрескожное дренирование
• Нефрэктомия
ж) Диагностическая памятка. Следует учесть:
• Для постановки диагноза и определения тактики ведения пациента следует использовать КТ
Читайте также:
- Сирингомиелия. Сирингобульбия. Признаки сирингомиелии. Лечение сирингомиелии.
- Сенсобилизаторы кальция при острой сердечной недостаточности. Левосимендан в лечении сердечной недостаточности
- Интралабиринтное кровоизлияние (ИЛК) - лучевая диагностика
- Побочные эффекты антиаритмических препаратов.
- КТ при прогрессирующей резорбции мыщелка височно-нижнечелюстного сустава (ВНЧС)
