Рентгенограмма, КТ, МРТ при амилоидозе суставов, связок
Добавил пользователь Евгений Кузнецов Обновлено: 29.01.2026
Какой метод диагностики выбрать: МРТ, КТ, ЭХО-КГ, ангиографию
Метод выбора
Что покажет КТ и рентген грудной клетки
- Облитерация или расширение тени сердца указывает на наличие перикардиального выпота
- Выпот в плевральную полость
- Возможно поражение легких.
Для чего проводят УЗИ сердца при амилоидозе
- Утолщение миокарда с неоднородной гиперэхогенной структурой
- Нарушение диастолической функции с соответствующими симптомами первичного и вторичного амилоидоза
- Перикардиальный выпот.
Что покажут снимки МРТ
- Нарушение диастолической функции
- Участки усиления с негомогенной высокой Т2-интенсивностью сигнала
- Перикардиальный и плевральный выпот
- Возможно поражение легких.
Проводят ли ОФЭКТ грудной клетки
- Может использоваться в диагностики амилоидоза у отдельных пациентов с подозрением на ИБС
- Дефекты перфузии регрессируют при физической нагрузке.
Какие инвазивные диагностические процедуры необходимы
- Гистологическое подтверждение начального поражения других органов, таких как прямая кишка (80%), костный мозг (50%) и кожа (50-90%)
- В сомнительных случаях возможно проведение биопсии миокарда при наличии симптомов первичного и вторичного амилоидоза.

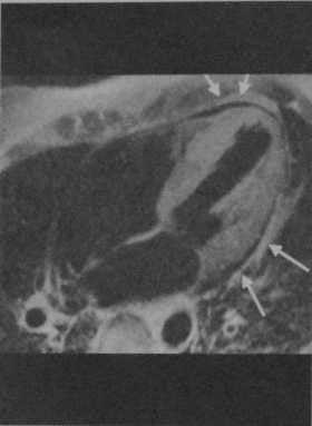
Плазмоцитома и амилоидоз сердцау женщины 60 лет. Т1 -взвешенная последовательность с подавлением жировой ткани с темнойкровью GE: Четырехкамерный срез демонстрируетвыраженную гипертрофию миокарда во всех участках стенки. Стрелки показывают разделение слоевперикарда в связи с наличием перикардиальноговыпота.

Последовательность обратного восстановления GE после введения Gd-DTPA. Четырехкамерный срез демонстрирует диффузное усилениевсех участков стенки.
Клинические проявления
Типичные симптомы первичного и вторичного амилоидоза:
- СН
- Синкопальные состояния
- Аритмии
- Перикардиальный выпот.
Методы лечения амилоидоза
- Химиотерапия
- Высокодозная химиотерапия с имплантацией стволовых клеток.
Течение и прогноз
- Прогноз очень неблагоприятный
- Средняя продолжительность жизни около 1 года.
Что хотел бы знать лечащий врач?
- Функциональные параметры, признаки рестрикции
- Утолщение миокарда
- Признаки амилоидных отложений на Т2-взвешенном изображении или после введения контраста (МР-исследование)
- Перикардиальный выпот.
Какие патологии имеют симптомы, схожие с амилоидозом сердца
Рестриктивная кардиомиопатия
При наличии подтвержденного амилоидоза и возникновении новых кардиальных симптомов существует высокая вероятность поражения миокарда.
Советы и ошибки
Нормальные признаки при МР-исследовании не исключают раннюю стадию амилоидоза сердца.
Рентгенограмма, КТ, МРТ при амилоидозе суставов, связок
а) Определения:
• Полиорганное заболевание, обусловленное отложениями фибриллярного белка:
о Нарушает структурную целостность и функцию вовлеченных органов и тканей
• Четыре типа, различающихся по типу откладывающегося белка и клиническим проявлениям
б) Визуализация:
1. Общая характеристика:
• Лучший диагностический критерий:
о Выраженный отек мягких тканей, выпот, крупные низкоинтенсивные кисты во всех МРТ последовательностях
• Локализация:
о Плечевой, тазобедренный, лучезапястный, коленный суставы и позвоночник
• Размер:
о Возможно наличие выраженной инфильтрации сухожилий и крупных костных эрозий, особенно в области плечевого сустава (симптом наплечника)
2. Рекомендации по визуализации:
• Лучший метод визуализации:
о Информативность МРТ выше, чем рентгенографии
(Слева) Рентгенография в ПЗ проекции: диффузный сотеопороз. Визуализируется крупное мягкотканное образование. Облитерирующее все жировые плоскости вокруг плечевого сустава и крупная эрозия головки плечевой кости. Это признаки хронического амилоидоза, обусловленного гемодиализом.
(Справа) МРТ, сагиттальная проекция, режим Т2: значительное утолщение сухожилий вращательной манжеты, характеризующееся сигналом низкой интенсивности, а также эрозия, заполненная низкоинтенсивным содержимым у этого же пациента. (Слева) МРТ, корональная проекция, режим Т1: крупные эрозии головки и шейки левой бедренной кости у мужчины 68 лет. Эрозии, по большей части, заполнены низкоинтенсивным узелковым содержимым. В правом тазобедренном суставе визуализируются минимальные признаки остеоартроза при отсутствии других изменений. Предположительные диагнозы: ворсинчато-узелковый пигментный синовит, подагру, гемофильную артропатию и амилоидоз.
(Справа) МРТ, сагиттальная проекция, режим протонной плотности, с подавлением сигнала от жира: расширение от переднего отдела капсулы к подвздошно-поясничной сумке у этого же пациента. В высокоинтенсивной жидкости содержимое сохраняет по большей части сигнал низкой интенсивности. (Слева) МРТ, аксиальная проекция, режим Т2 с подавлением сигнала от жира: крупные эрозии бедренной кости у этого же пациента, заполненные, по большей части, низкоинтенсивным содержимым. Аналогичное содержимое содержится в растянутой капсуле и подвздошно-поясничной сумке. Заболевания, требующие дифференциальной диагностики, остаются прежними.
(Справа) МРТ, корональная проекция, режим Т2 с подавлением сигнала от жира, более передний срез, тот же пациент: функционирующий почечный трансплантат. Пациент с терминальной стадией почечной недостаточности до трансплантации много лет находился на диализе; биопсия бедренной кости подтвердила наличие амилоидных отложений.
3. Рентгенография при амилоидозе суставов и связок:
• Периферические суставы:
о Отек мягких тканей без характерных признаков
о Массивный выпот
о Крупные субхондральные «кисты» (по сути - эрозии):
- Выраженные; могут иметь тонкий склерозированный край
о Истончение хряща, патологический перелом
• Позвоночник: деструкция замыкательных пластинок
4. МРТ при амилоидозе суставов и связок:
• Периартикулярное утолщение сухожилий:
о Инфильтрация сухожилий, характеризующаяся низкоинтенсивным сигналом во всех последовельностях
о Увеличение сухожилий, особенно выраженное в области плечевого и лучезапястного суставов (сухожилия мышц сгибателей в карпальном канале)
• Массивный выпот и бурситы, характеризующиеся низкоинтенсивным сигналом в режиме Т1 и сигналом высокой интенсивности в последовательностях, чувствительных к жидкости
• Утолщение капсулы, характеризующееся сигналом низкой интенсивности во всех последовательностях
• Узелковый синовит или синовит с утолщением синовиальной оболочки (сигнал низкой интенсивности во всех последовательностях), отграниченный выпотом
• Обширные эрозии, заполненные низкоинтенсивным содержимым:
о В последовательностях, чувствительных к жидкости, в пределах эрозий может определяться смешанный сигнал высокой и низкой интенсивности
• Отсутствие парамагнитного эффекта в градиентном режиме
• Контрастное усиление: синовит и содержимое эрозий характеризуются умеренным контрастным усилением
• Патологические изменения карпального канала:
о Утолщение сухожилий, увеличение срединного нерва, волярный изгиб удерживателя
• Патологический перелом, завершенный или не завершенный:
о Линейный низкоинсивный сигнал в режиме Т1, окруженный зоной отека, сигнал высокой интенсивности в режиме Т2
• Патологические изменения позвоночника:
о Неравномерность замыкательных пластинок с сигналом повышенной интенсивности в последовательностях, чувствительных к жидкости; сужение дискового пространства
о Возможно быстрое прогрессирование на нескольких уровнях
• Амилоидома: редкое дискретное образование, имитирующее опухоль
5. УЗИ при амилоидозе суставов и связок:
• Эрозии, заполненные эхогенным содержимым
• Утолщение сухожилий
• Эхогенные «прослойки» между мышечными слоями
• Патологическое скопление жидкости
(Слева) Рентгенография в ПЗ проекции: эрозии головки мыщелка плечевой кости, а также блока и локтевой кости. Визуализируются признаки остеопении и диффузного отека мягких тканей. Изолированные рентгенографические признаки соответствуют ревматоидному артриту, однако здесь был подтвержден диагноз амилоидоза.
(Справа) Рентгенография в ПЗ проекции: диффузный остеопороз, а также крупные образования в тазобедренных суставах. Также предполагается наличие эрозии шейки бедренной кости. Наличие в анамнезе длительного лечения гемодиализом позволяет установить диагноз диализной артропатии. (Слева) МРТ, выполненная этому же пациенту более кпереди, корональная проекция, режим TV. крупные, низкоинтенсивные скопления внутри растянутых суставов.
(Справа) МРТ, выполненная этому же пациенту, несколько кзади, корональная проекция, режим TV. слева подтверждается эрозия головки/шейки бедренной кости. Низкоинтенсивное содержимое суставов может представлять собой комбинацию кристаллов пирофосфата и мочекислого натрия вместе с амилоидом. Амилоидоз подтверждается биопсией тканей: подагра подтверждается анализом синовиальной жидкости. (Слева) МРТ, сагиттальная проекция, режим Т2 с подавлением сигнала от жира: образование внутри сустава с сигналом преимущественно низкой интенсивности с высокоинтенсивными участками у этого же пациента. Образование растягивает сустав кпереди.
(Справа) МРТ, аксиальная проекция, режим протонной плотности, с подавлением сигнала от жира: эрозии вертлужной впадины, заполненные содержимым, характеризующимся комбинированным сигналом, и переднее расширение сустава, с таким же содержимым. Это обширное, диализ обусловленное отложение амилоида, с поражением капсулы, костей и синовиальной оболочки.
в) Дифференциальная диагностика амилоидоза суставов и связок:
1. Подагра:
• Отложения на МРТ характеризуются аналогичным низкоинтенсивным сигналом в режиме Т1 и комбинированным сигналом в режиме Т2
• Аналогичные эрозии с выраженными краями
• Сухожильная инфильтрация выражена в меньшей степени, однако тофусы имеют более очаговое расположение
2. Бурая опухоль:
• Сигнал низкой (или неоднородный) интенсивности
• Если примыкает к кортикальному слою, то может давать картину эрозии, как при амилоидозе
• Разрывы сухожилий случаются как при амилоидозе, так и при гиперпаратиреоидизме
3. Гемофильная артропатия:
• Отложения характеризуются низкоинтенсивным сигналом в режиме Т1 и достаточно низким (неоднородным) в режиме Т2
• Эрозии наверняка будут заполнены жидкостью, характеризующейся сигналом высокой интенсивности
• «Помутнение» отложений железа в режиме градиентного эха
4. Пигментный ворсинчато-узелковый синовит:
• Отложения характеризуются сигналом низкой интенсивности в режиме Т1 и достаточно низким (неоднородным) в режиме Т2
• Эрозии наверняка будут заполнены жидкостью, характеризующейся сигналом высокой интенсивности
• «Помутнение» узелковых отложений гемосидерина в режиме градиентного эха
5. Ревматоидный артрит:
• Первичный амилоидоз может иметь аналогичные признаки (симметричные эрозии, субхондрые кисты, узелки)
• При ревматоидном артрите эрозии заполнены веществом, характеризующимся сигналом высокой интенсивности
г) Патология:
1. Общая характеристика:
• Этиология:
о Первичный (AL) амилоидоз:
- Моноклональная популяция плазматических клеток вырабатывает амилоидогенный иммуноглобулин легкой цепи (Хчаще, чем К)
о Вторичный (воспалительный или АА) амилоидоз:
- Воспалительная стимуляция → выработка печенью А белка сывороточного амилоида → продукция амилоидных фибрилл
о Наследственный амилоидоз:
- Группа аутосомно-доминантых заболеваний
- Мутация гена → амилоидогенные белки → амилоидные фибриллы
- Отсутствие ассоциированной моноклональной гаммапатии
о Диализ-обусловленная амилоидная артропатия:
- Нарушение клубочковой фильтрации → ↑ (32 микроглобулин → отложение амилоидных волокон
2. Микроскопия:
• Электронная микроскопия: характерная фибриллярная структура:
о Низкоинтенсивный сигнал в режимах Т1 и Т2, обусловленный фиброзной природой амилоид-содержащих тканей
д) Клинические особенности:
1. Проявления:
• Типичные признаки/симптомы:
о Первичный (AL) амилоидоз:
- Утомляемость, непреднамеренное снижение веса
- Поражение органов и систем:
Нефротический синдром (30-50%), застойная сердечная недостаточность (40%), гепатомегалия (25%), синдром карпального канала (255), периферическая нейропатия (20%)
- Системный полиартрит с отеком и болевым синдромом:
Заболевание суставов, сходное с РА, с болевым синдромом, ограничением движений, отеком, формированием узелков и симметричностью поражения
о Вторичный (воспалительный или АА амилоидоз):
- У 99% пациентов имеется почечная недостаточность
- У 20% пациентов отмечается тошнота, диарея
о Наследственный амилоидоз:
- Периферическая нейропатия
- Поражение сердца и почек встречается реже
о Диализ-обусловленный амилоидоз:
- Первые симптомы могут проявляться в карпальном канале:
Прямая взаимосвязь между частотой возникновения синдрома карпального канала и диализом: через 10 лет частота достигает 20%, через 15 лет- 30-50%, через 20 лет-80-100%
- Через 10 лет лечения гемодиализом боль в суставах отмечают 50% пациентов
- Гемодиализная спондилоартропатия
2. Демография:
• Возраст:
о Заболевание возможно в любом возрасти, зависит от первопричины
• Первичный (миеломно-обусловленный или AL) амилоидоз:
о Редко: восемь случаев заболевания на 1 млн человек
о Болеют лица пожилого возраста (обычно старше 65 лет)
о Мужчины (65%) > женщины
о Только у 10-15% пациентов с множественной миеломой (ММ) развивается амилоидоз:
- Развитие ММ у пациентов с амилоидозом не характерно
• Вторичный (воспалительный или АА) амилоидоз:
о Отмечается при РА > семейная средиземноморская лихорадка (ССЛ) > псориатический артрит, анкилозиующий спондилит, реактивный артрит, болезнь Стилла у взрослых, ювенильный идиопатический артрит, системная красная волчанка, хронически протекающая инфекция (туберкулез), пролежни:
- 75% случаев связаны с РА
- Амилоидоз у большинства пациентов с РА не развивается
о Между временем диагностики исходного воспалительного заболевания и развитием признаков амилоидоза проходит 10-20 лет
• Диализ-обусловленный амилоидоз:
о У пациентов, получающих лечение гемодиализом, в 100% случаев, через 15-20 лет развиваются признаки амилоидоза
о Развивается как при гемо, так и перитонеальном диализе
о Также может развиваться при хронической почечной недостаточности без диализа
(Слева) Рентгенография в ЗП проекции: эрозивные изменения дистальных межфаланговых составов. Отложение амилоида в суставах может приводить к формированию эрозий, которые сами по себе не специфичны, но в сочетании с крупными мягкотканными образованиями высоко показательны.
(Справа) Рентгенография в ЗП проекции: отек мягких тканей в области пястно-фаланговых суставов, эрозии и остеопороз позволяют предполагать ревматоидный артрит. Наличие у пациента в анамнезе множественной миеломы и отсутствие в крови ревматоидного фактора должны наводить на мысль об амилоидозе, что и было подтверждено биопсией. (Слева) Рентгенография в косой проекции: нодулярный отек мягких тканей по тыльной поверхности, а также эрозии в 5-м пястно-фаланговом суставе.
(Справа) Рентгенография в ЗП проекции: мягкотканные узелки у того же пациента. Такая комбинация признаков наиболее часто характеризует ревматоидный артрит, однако у пациента ревматоидный фактор в крови отсутствовал. Биопсия эрозий запястья показала наличие амилоида. Пациент не страдал от почечной недостаточности; можно предполагать наличие первичного амилоидоза на фоне множественной миеломы. (Слева) Рентгенография в ПЗ проекции: растяжение и выраженное эрозивное поражение сустава с коллапсом головки бедренной кости у того же пациента.
(Справа) Рентгенография в боковой проекции: диффузный остеопороз и компрессионные переломы всех поясничных позвонков у того же пациента. Очаговые повреждения отсутствуют. При биопсии выявлена множественная миелома. Множественная миелома может являться причиной вторичного амилоидоза, о котором необходимо думать при наличии нодулярного отека мягких тканей и эрозий, не типичных для ревматоидного артрита.
3. Течение и прогноз:
• Диагноз устанавливается на основании биопсии тканей
• Кардиомиопатия, устойчивая к медикаментозному лечению
• Первичный амилоидоз: 20% выживаемости в течение пяти лет после установки диагноза:
о Полиорганное поражение, быстрое прогрессирование
• Вторичный амилоидоз характеризуется более медленным развитием и большей медианой выживаемости: > 10 лет после установки диагноза
• Наследственный амилоидоз: продолжительная выживаемость при условии трансплантации печени до развития органной недостаточности
• Диализ-обусловленный амилоидоз:
о У большинства пациентов при длительном лечении диализом развивается амилоидоз
о Прогноз обусловлен исходным заболеванием почек
о Поражение суставов и сухожилий могут значительно влиять на качество жизни
4. Лечение амилоидоза суставов и связок:
• Первичный амилоидоз:
о Химиотерапия мелфаланом и преднизоном:
- Нет доказательств увеличения продолжительности жизни
о Трансплантация аутологичных стволовых клеток костного мозга
о Поддержка вовлеченных в патологический процесс органов
• Вторичный амилоидоз:
о Лечение: контроль исходного воспалительного процесса
о Колхицин у пациентов с ССЛ
• Ингибитора фактора некроза опухоли альфа могут быть эффективны при первой и второй формах:
о На сегодняшний день малое количество контролируемых исследований
• Наследственный амилоидоз:
о Трансплантация печени, поддерживающие мероприятия
• Диализ-обусловленный амилоидоз:
о Симптоматическое лечение: НПВП, местно инъекции стероидов
о Хирургическое лечение синдрома карпального канала
о Трансплантация почке тормозит развитие процесса
е) Диагностическая памятка. Следует учесть:
• При утолщении сухожилий и капсулы суставов следует думать об амилоидозе
• Преимущественно низкоинтенсивный сигнал от эрозий указывает на амилоидоз, но не является специфическим признаком
ж) Список использованной литературы:
1. Loizos S et al: Amyloidosis: review and imaging findings. Semin Ultrasound CT MR. 35(3):225-39, 2014
2. Beggs SA et al: A chronic thigh mass in a 69-year-old man. Amyloidoma presenting as a chronic soft tissue mass. Skeletal Radiol. 39(12): 1237, 1259-61, 2010
Амилоидоз суставов, связок - лучевая диагностика
а) Терминология:
• Полиорганное заболевание, обусловленное отложениями фибриллярного белка
б) Визуализация:
• Информативность МРТ выше, чем рентгенографии
• Периартикулярное утолщение сухожилий:
о Инфильтрация сухожилий, характеризующаяся низкоинтенсивным сигналом во всех последовательностях
о Увеличение сухожилий особенно выражено в области плечевого и лучезапясного суставов (сухожилия мышц сгибателей в карпальном канале)
• Массивный выпот и бурситы, характеризующиеся низкоинтенсивным сигналом в режиме Т1 и сигналом высокой интенсивности в последовательностях, чувствительных к жидкости
• Утолщение капсулы, характеризующееся сигналом низкой интенсивности во всех последовательностях
• Узелковый синовит или синовит с утолщением синовиальной оболочки (сигнал низкой интенсивности во всех последовательностях), отграниченный выпотом
• Обширные эрозии, заполненные низкоинтенсивным содержимым:
о В последовательностях, чувствительных к жидкости, в пределах эрозий может определяться смешанный сигнал высокой и низкой интенсивности
(Слева) МРТ, сагиттальная проекция, режим TV. значительное утолщение сухожилия четырехглавой мышцы с гомогенным сигналом низкой интенсивности, указывающим на экссудат.
(Справа) МРТ, этот же уровень сагиттальная проекция, режим Т2: утолщенное сухожилие четырех-главой мышцы сохраняет низкоинтенсивный сигнал. Экссудат содержит узелковые мягкотканные образования. Этот пациент с хронической почечной недостаточностью получал лечение гемодиализом в течение 18 лет. Отложения и утолщение сухожилия являются типичными признаками диализ-обусловленного амилоидоза (Слева) МРТ, сагиттальная проекция, режим Т1: мягкотканное вещество с сигналом низкой интенсивности в межмыщелковой вырезке, окружающее крестообразные связки и утолщение заднего отдела капсулы. Кроме того, визуализируется эрозия.
(Справа) МРТ, сагиттальная проекция, режим Т2: ткань, занимающая межмыщелковую вырезку, и утолщение заднего отдела капсулы сохраняют сигнал низкой интенсивности. Вещество, характеризующееся сигналом низкой интенсивности внутри сустава, не является специфичным, однако утолщение капсулы подтверждает диагноз амилоидоза.
в) Патология:
• Первичный (AL) амилоидоз:
о Моноклональная популяция плазматических клеток вырабатывает амилоидогенный иммуноглобулин легкой цепи (λ чаще, чем К)
• Диализ-обусловленная амилоидная артропатия:
о Нарушение клубочковой фильтрации → ↑ β2 микроглобулин → отложение амилоидных волокон
г) Клинические особенности:
• Только у 10-15% пациентов с множественной миеломой выявляются признаки амилоидоза
• Почти у 100% пациентов, находящихся на гемодиализе через 15-20 лет развивается амилоидоз
д) Диагностическая памятка:
• Утолщенные сухожилия и капсула сустава + низкоинтенсивные эрозии во всех последовательностях, предположительно указывают на амилоидоз
а) Терминология:
1. Сокращения:
• Болезнь накопления гидроксиапатита (БНГ)
2. Синонимы:
• Плечо Милуоки (Milwaukee), кальцинирующий тендинит, кальцинирующий бурсит
3. Определения:
• Широкий спектр заболеваний коано-мышечной сиаемы, обусловленных накоплением криааллов гидроксиапатита:
о К первичной БНГ относятся кальцинирующие тендиниты и бурситы
о Вторичная БНГ развивается на фоне следующих заболеваний (далее в этом разделе не описаны):
- Терминальная аадия почечной недоааточности
- Коллагеноз сосудов
- Гипервитаминоз Д
- Опухолевый кальциноз
1. Общая характеристика:
• Лучший диагноаический критерий:
о Гомогенная кальцификация в области сухожилия или сумки
• Локализация:
о Обычно моноартикулярное поражение
о Чаще всего поражается плечевой сустав (69%)
о Далее следуют ротаторы бедра
о Позвоночник: поражается, вероятно, чаще, чем заболевание распознается:
- Длинная мышца шеи
- Желтая связка
о Локтевой сустав: трехглавая мышца плеча, места прикреплений мышц предплечья: сгибателей и разгибателей
о Коленный сустав: сухожилие четырехглавой мышцы, связка надколенника
о Запястье: особенно локтевой сгибатель запястья в области гороховидной кости
о Кисть: периартикулярное поражение (пястно-фаланговые и межфаланговые суставы)
о Голеностопный сустав
• Размер:
о От очень маленького до крупного:
- Крупные отложения по ходу сухожилий
• Морфология:
о Гомогенная структура без внутренних характеристик
2. Рекомендации по визуализации:
• Лучший метод визуализации:
о Рентгенография позволяет визуализировать признаки кальцификации:
- Может понадобиться тангенциальная или косая проекция, исключающая наложение небольших участков кальцификации на кость
о МРТ часто выполняют при боли неясной этиологии:
- Реактивный высокоинтенсивный сигнал может быть более отчетливым, в отличие от генерирующей его небольшой зоны кальцификации
- Выполненная рентгенография повышает эффективность интерпретации МРТ
(Слева) МРТ, корональная проекция, режим STIR: низкоинтенсивный участок рядом с гороховидной костью в области прикрепления сухожилия мышцы локтевого сгибателя запястья. У пациента отмечается хроническая боль по ладонно-локтевой поверхности запястья. Травма в анамнезе отсутствует.
(Справа) Рентгенография в косой проекции, этот же пациент: подтверждается наличие глобулярного участка кальцификации рядом с гороховидной костью. Его расположение характерно для БНГ в области запястья. Визуализация очага при рутинной рентгенографии может быть затруднена. (Слева) Рентгенография правого плечевого сустава в ПЗ проекции: крупный участок кальцификации в структуре сухожилия надостной мышцы - типичный признак кальцинирующего тендинита.
(Справа) МРТ, корональная проекция, режим TV. подтверждается расположение участка кальцификации в структуре сухожилия надостной мышцы. Сухожилие выглядит отечным. В последовательностях чувствительных к жидкости (не показаны) будут, вероятно, визуализироваться признаки воспалительных изменений вокруг кальцината. Было принято решение пропунктировать кальцинат и аспирировать его содержимое. (Слева) Рентгенография в ПЗ проекции, этот же пациент через две недели после пункции и аспирации кальцината. К этому моменту большая часть кальцината распространилась на поддельтовидную сумку и отграничила ее. При рентгенографии в положении стоя определяется жидкостно-кальцинированный уровень.
(Справа) МРТ, аксиальная проекция, режим Т2 с подавлением сигнала от жира: подтверждается кальцификация поддельтовидной сумки. Одно из исследований показало, что у 13% пациентов в течение трех месяцев после пункции и аспирации кальцината сухожилия развивается бурсит с болевым синдромом.
3. Рентгенография при болезни накопления гидроксиапатита:
• Глобулярный гомогенный кальцинат:
о Овальный, линейный или даже треугольный
о Отсутствие внутренних характеристик, таких как трабекулярность
о Отсутствие отчетливой кортикации
• Локализуется в сухожилиях и сумках
• Характер кальцификации со временем меняется:
о Неоднородная, едва слабовыраженная в начале
о Затем становится более выраженной
о В итоге может исчезать
• Редкие кортикальные эрозии:
о Обычно в области прикрепления грудных и ягодичных мышц
о Лучи кальцификации расходятся от поверхности эрозии
4. КТ при болезни накопления гидроксиапатита:
• Повторяет данные рентгенографии
• При наличии эрозий кости у отложения кристаллов может визуализироваться «хвост кометы»:
о Распространяется от эрозии к прилегающим мягким тканям
о Распространяется по ходу сухожильного прикрепления
5. МРТ при болезни накопления гидроксиапатита:
• Глобулярная зона низкоинтенсивного сигнала во всех последовательностях:
о Небольшое отложение легко не заметить на МРТ
• Веретеновидное увеличение пораженного сухожилия:
о Сигнал, характерный для тендинопатии: часто более интенсивный сигнал в последовательностях, чувствительных к жидкости, чем ожидается
• Возможно наличие гиперинтенсивного сигнала от сопряженных мягких тканей:
о Реактивное воспаление: миозит или бурсит
о Овальный или продолговатый патологический участок
о Обычно не круглый и не опухолевидный
• Отек костного мозга на фоне накопления гидроксиапатита в сопряженной кости
• Режим градиентного эха: помутнение отложений
• Режим контрастного усиления:
о Отложения гидроксиапатита не накапливают контраст
о Интенсивное контрастное усиление воспалительно измененных мягких тканей
6. УЗИ при болезни накопления гидроксиапатита:
• Гиперэхогенные включения в сухожилии, указывающие на другие признаки тендинопатии:
о Ультрасонография чувствительна по отношению к малым участкам кальцификации, размером от 2 мм
о Калицинированные участки могут характеризоваться наличием тени или ее отсутствием
(Слева) МРТ, корональная проекция, режим Т1: визуализируются практически нормальные структуры, но в надостной мышце имеется обширный участок низкоинтенсивного сигнала.
(Справа) МРТ, корональная проекция, режим Т2 с подавлением сигнала от жира, с контрастным усилением: у этого же пациента отчетливо визуализируется глобулярное низкоинтенсивное образование. Это крупный участок гидроксиапатитной кальцификации, с перифокальной, интенсивно накапливающей контрастное вещество зоной воспаления мышцы и сухожилия. Такая воспалительная реакция наверняка вызовет острые клинические проявления. (Слева) Рентгенографические признаки развития БНГ. Рентгенография в ПЗ проекции: крупный, случайно выявленный глобулярный очаг, сопряженный с большим вертелом. Рентгенография была выполнена после травмы без сопутствующих симптомов.
(Справа) Рентгенография в ПЗ проекции, этот же пациент, семь месяцев спустя: характер кальцификации изменился. Очаг стал менее четким и уменьшился в размерах, но, несмотря на это, у пациента появились патологические симптомы. (Слева) МРТ на высоте болей, аксиальная проекция, режим Т1, этот же пациент: небольшой участок отложения гидроксиапатита в структуре сухожилия средней ягодичной мышцы, соответствующий данным рентгенографии.
(Справа) МРТ, корональная проекция, режим STIR: гиперинтенсивность окружающих мягких тканей, указывающая на воспаление у того же пациента. Следует помнить, что кальцификация при БНГ претерпевает видимые изменения. Патологические симптомы часто проявляются в стадии разрешения.
в) Дифференциальная диагностика болезни накопления гидроксиапатита:
1. Тендинопатия или теносиновит:
• При МРТ необходимо отличать низкоинтенсивный сигнал нормального сухожилия от глобулярного сигнала низкой интенсивности гидроксиапатитовых отложений
• БНГ может сопровождаться тендинопатией
2. Опухоль:
• Крупные отложения в мягких тканях с перифокальным отеком могут имитировать опухоль
• Отложения в мягких тканях с локальной костной инвазией могут имитировать опухоль:
о Следует особо учитывать вероятность параостальной или периостальной остеосаркомы
о Особую настороженность следует проявлять относительно проксимального отдела плечевой кости (прикрепление грудной мышцы) и проксимального отдела бедренной кости (вер-телы и прикрепления приводящих мышц)
о Осуществляйте поиск признаков «хвоста кометы» ассоциированного участка кальцификации, исходящего из костной эрозии
3. Дистрофическая кальцификация:
• Обширная кальцификация сухожилия может имитировать другие депозиты в мягких тканях:
о Прогрессирующий системный склероз
о Полимиозит/дерматомиозит
о Гиперпаратиреоидизм
о Диализ-обусловленное заболевание, метастатическая кальцификация
о Опухолевый кальциноз
• Локализация в структуре сухожилия позволяет отличить эти состояния от болезни накопления гидроксиапатита
(Слева) Рентгенография в боковой проекции: аморфный кальцинат в зоне прикрепления сухожилия большой ягодичной мышцы. Необходимо учитывать дистальное распространение зоны прикрепления сухожилий ягодичных мышц. Такой кальцинат может быть причиной выраженного болевого синдрома. В редких случаях, такие кальцинаты эрозируют подлежащую кость.
(Справа) Рентгенография в боковой проекции: глобулярный участок передней кальцификации в шейном отделе позвоночника, который представляет собой отложение гидроксиапатита в структуре длинной мышцы шеи. (Слева) КТ, аксиальная проекция, костный режим: глобулярный участок кальцификации, расположенный кпереди от С2 позвонка. Это зона расположения длинной мышцы шеи, которая сравнительно часто поражается при БНГ.
(Справа) МРТ, сагиттальная проекция, режим Т1 с подавлением сигнала от жира, с контрастным усилением: типичные признаки тендинита длинной мышцы шеи с удлиненным и конусовидно измененным сухожилием у этою же пациента. Контрастное усиление области воспаления S3 формирует толстый край вокруг тонкой полосы жидкости. Визуализирующийся кальцинат соответствует патологической зоне на КТ. (Слева) Рентгенография локтевою сустава в боковой проекции: обширная зона минерализации в области сумки локтевою отростка, указывающая на БНГ. Наличие плотною и хорошо выраженною кальцината свидетельствует о длительности патологических изменений в сумке.
(Справа) Продольная ультрасонография плечевою сустава: небольшой гиперэхогенный очаг с акустической тенью, представляющий собой участок кальцификации в сухожилии надостной мышцы и позволяющий диагностировать БНГ. Сухожилие утолщено, определяются признаки воспалительных изменений.
1. Общая характеристика:
• Этиология:
о Патогенез неизвестен
о Гипотеза: микротравма или стрессовая нагрузка на сухожилие → гиповаскулярная зона → дегенеративный разрыв → некроз и кальцификация
о Гипотеза: фокальная внутрисухожильная гипоксия в результате механического воздействия или на фоне метаболических факторов → фиброзно-хрящевая трансформация сухожилия → кальцификация
• Сопутствующие нарушения:
о Остеоартроз (ОА):
- Частота появления кристаллов гидроксиапатита в синовиальной жидкости при ОА неизвестна:
По результатам одного исследования кристаллы гидроксиапатита были обнаружены в 44 из 100 образцов синовиальной жидкости больных с ОА
Кристаллы пирофофсфата также обнаруживают в некоторых образцах синовиальной жидкости больных ОА
Кристаллы гидроксиапатита также были обнаружены в хряще пациентов с ОА
- Плечо Миллуоки:
Обычно пожилые женщины
Деструктивная артропатия плечевого сустава с наличием гидроксиапатита в синовиальной жидкости
Высокая частота разрывов вращательной манжеты
Высокий уровень ферментов активированной коллагеназы и нейтральной протеазы
2. Макроскопические и хирургические особенности:
• Кальцинирующий тендинит сам по себе может протекать бессимптомно:
о Отложения гидроксиапатита могут вызывать болезненный воспалительный ответ в сопряженных мягких тканях
3. Микроскопия:
• ПО сравнению с кристаллами мочекислого натрия или пирофосфата, кристаллы гидроксиапатита очень малы
• Отсутствие эффекта двойного преломления
• Фагоцитоз кристаллов нейтрофилами →
о Высвобождение хемотаксических факторов →
о Привлечение дополнительных нейтрофилов →
о Активация и развитие острого воспаления
1. Проявления:
• Типичные признаки/симптомы:
о Диапазон симптомов:
- Может протекать бессимптомно:
Болезнь накопления гидроксиапатита часто является случайной находкой
- Острое проявление боли:
Ограничение объема движений
Эритема и периартикулярный отек
Болезненность при пальпации
• Другие признаки/симптомы:
о Субфебрильная температура
о Лейкоцитоз
о Повышение СОЭ
о Повышение уровня С-реактивного белка
• Клиническая характеристика:
о Люди, ведущие малоподвижный образ жизни заболевают чаще представителей физического труда:
- Возможна взаимосвязь с повторяющейся активностью или микротравмой, типичными для дегенеративной тендинопатии
2. Демография:
• Возраст
• Пик заболеваемости приходится на 4-6 десятилетия жизни
• Пол:
о В целом мужчины заболевают несколько чаще
о М < Ж относительно плечевого сустава
• Эпидемиология:
о 3% от общей популяции
3. Течение и прогноз:
• Обычно самопроходящее состояние с исчезновением как клинических проявлений, так и рентгенографических признаков
4. Лечение:
• В основном консервативное
• При выраженном болевом синдроме выполняются инъекции стероидов
• Отложения могут быть пропунктированы, отмыты и аспирированы:
о 50% - улучшение; 10% - незначительные осложнения
о В 13% случаев, в течение трех месяцев после лечения, развивается болезненный бурсит
е) Диагностическая памятка:
1. Следует учесть:
• При наличии на МРТ реактивного гиперинтенсивного сигнала в зоне прикрепления сухожилия подразумевайте наличие болезни накопления гидроскиапатита:
о Рентгенография позволяет более просто установить диагноз
о Небольшие кальцинаты легко не заметить как при МРТ, так и при рентгенографии
2. Советы по интерпретации изображений:
• Кортикальная инвазия вещества, характеризующегося сигналом низкой интенсивности:
о Ищите признаки перехода в зону прикрепления сухожилия
Советы врачей - МРТ или КТ коленного сустава что лучше выбрать?

МРТ или КТ коленного сустава - это два высокоэффективных метода диагностики организма человека, а вот какой из них и в чем лучше, давайте попробуем разобраться. В зону колена входят ткани разного характера:
- костные ткани - бедренная кость, малая и большая берцовая кость, хрящи суставной поверхности, мениски;
- мягкие ткани - связки, мышцы сухожилия, сосудисто-нервные пучки, жировое тело.
Из-за физики получения изображения кость лучше всего визуализируется на компьютерном томографе, а вот мягкие ткани и хрящевые образования лучше смотреть с помощью магнитно-резонансного аппарата.
Когда КТ коленного сустава лучше, чем МРТ?
КТ - это сокращение от компьютерной томографии. Это исследование проводится с помощью рентгеновских лучей и в результате сопровождается облучением пациента до 10 мЗв за одно сканирование. Компьютерное обследование гораздо информативнее обычной рентгенографии. Рентген дает врачам двухмерное изображение, а при компьютерной диагностике производится череда рентгеновских снимков. Они выполняются в разных проекциях, накладываются друг на друга, и в итоге рентгенолог получает реконструированное трёхмерное изображение коленной области.
На компьютерной томографии лучше, чем на МРТ, диагностируются:
- трабекулярные переломы;
- косточки внутри сустава (внутрисуставная мышь);
- микротрещины в костях;
- костные наросты и опухоли;
- суставные вывихи.
МРТ плечевого сплетения (МРТ шейный отдел позвоночника и плечевого сустава)
Как делают КТ колена?
Круглая область аппарата (кольцо гентри), куда помещают пациента, - это рентгеновская трубка, которая, вращаясь вокруг человека, просвечивает организм лучами. В это время компьютер на базе данных от датчиков создает объемную картину зоны диагностики. Стол, на котором лежит пациент, постоянно двигается, смещая точку сканирования. Именно поэтому получаются разноплоскостные изображения колена в течение очень короткого времени (5-7 минут). В зависимости от мощности КТ установки толщина (от 16 до 124 срезов) среза может доходить до 0.5 мм.
Преимущества КТ колена
КТ колена очень хорошо отображает все костные структуры этой зоны, а также с ее помощью за одно сканирование можно быстро получить данные о всей ноге от бедра до стопы, что играет важную роль при диагностике пациента с множественными травмами и переломами. Огромное диагностическое значение имеет тот факт, что у специалистов есть возможность посмотреть каждый из снимков отдельно или в виде 3D реконструкции.
| Исследование | Цена | Скидки |
|---|---|---|
| КТ одного сустава (коленный сустав, локтевой сустав, плечевой сустав, тазобедренные суставы, голеностоп, кисть и лучезапястный сустав, стопа) | от 2500 руб. | Ночью |
| КТ височно-нижнечелюстного сустава и челюсти | от 3100 руб. | Ночью |
| КТ костей одна зона (височные кости, кости лица, кости ключицы, лопатки, кости предплечья, кости таза, бедренные кости, берцовые кости, пяточные кости, ребра) | от 3100 руб. | Ночью |
| КТ черепа | от 3100 руб. | Ночью |
Когда МРТ коленного сустава лучше, чем КТ?
МРТ коленного сустава также дает возможность получить трехмерную визуализацию колена и череду снимков, которые возможно посмотреть в отдельности, но здесь, в отличие от КТ, не используются рентгеновские лучи, и пациент не получает никакой дозы облучения. Для диагностического сканирования используется действие электромагнитных волн. В трубе томографа находятся большие магниты. Внутрь трубы помещается человек. Когда магниты включаются, создается электромагнитное поле. Частички организма пациента с содержанием воды начинают колебаться и излучать энергию. Эту энергию улавливает специальный компьютер. Таким образом магнитно-резонансный томограф рисует всю картину состояния мягких тканей и хрящей колена. Визуализация снимков на МРТ разносторонняя. Это необходимо для наиболее полного и точного осмотра коленного сустава и соседних структур.
Посредством магнитно-резонансной томографии лучше, чем с помощью КТ, видны мышцы, сухожилия, мениски, сосудистое русло и нервные окончания. МРТ коленного сустава будет приоритетным методом обследования, если есть подозрения на:
- отрыв, разрыв, надрыв тканей;
- поражение мениска;
- воспаление суставных поверхностей;
- кисты и опухолевые образования в суставной сумке;
- инфекционные поражения мягких тканей, нагноения, абсцессы.
Магнитно-резонансная томография является методом выбора в вопросах диагностики кисты подколенной области или кисты Бейкера. Она позволяет достоверно выявлять характер сопутствующих внутрисуставных патологических изменений в коленном суставе, проводить дифференциальную диагностику, уточнять особенности анатомического строения и расположения кисты в подколенной ямке, а также локализацию ее соустья. Магнитно-резонансная томография при травмах коленного сустава позволяет с точностью до 90% оценить степень повреждения, сократить сроки постановки диагноза и тем самым увеличить эффективность лечения травматических повреждений коленного сустава.
МРТ или КТ суставов - что лучше?
Разница в работе КТ и МРТ аппаратов дает врачу возможность в зависимости от фокуса диагностики подобрать наиболее эффективный метод визуализации патологии. Самому пациенту выбирать, что лучше сделать, не стоит. Всегда лучше получить рекомендации травматолога или ортопеда, чтобы не платить за обследование дважды. Во-первых, как уже было сказано ранее, врач скажет, какой метод исследования колена необходим именно в вашем случае. А, во-вторых, есть противопоказания как к одному, так и ко второму виду томографии. Например, беременность - это ограничение для КТ, а наличие каких-либо металлосодержащих компонентов в вашем организме может стать противопоказанием к магнитно-резонансному обследованию. Есть конечно же и еще одна разница между МРТ и КТ коленного сустава - это цена. Метод МРТ исследования колена будет более комплексным, поэтому дорогим, по сравнению с компьютерной томографией.

Специализация: Терапевт
Где ведет прием: МРТ центр и клиника РИОРИТ
Астапенко М.Г. Дифференциальная диагностика артритов и артрозов.// Клинич. медицина. -1984. -Т.62, №9.
Абдуразаков А.У. Магнитно-резонансная томография в диагностике повреждений менисков и крестообразных связок коленного сустава // Вестник травматологии и ортопедии им. H.H. Приорова. 2007. №1.
Последние статьи о диагностике

Что показывает МРТ коленного сустава
МРТ коленного сустава (МРТ колена) считается одним из самых надежных медицинских исследований, позволяющих оперативно выявить большинство проблем с коленными структурами. Коленный сустав часто

МРТ при беременности
Так как с каждым днем технологии МРТ дают врачам медицинских центров СПб все больший спектр диагностических возможностей, её начинают активно применять в педиатрии, пренатальной диагностике у беременных женщин и онкологии. Как только женщина узнаёт, что станет матерью, у неё сразу возникает вопрос, какие процедуры ей можно делать, а какие противопоказаны. Почти все беременные женщины знают, что им категорически запрещается делать рентген и можно проходить УЗИ.

Противопоказания к МРТ
Магнитно-резонансная томография - это безопасное обследование без лучевой нагрузки, но и она имеет ряд противопоказаний в зависимости от модели томографа и протокола обследования - с контрастом или без. Томография нашла широкое применение в нейрохирургической, онкологической, ортопедической и неврологической практике для исследования позвоночника, головного мозга, сосудов, суставов, внутренних органов и мягких тканей.

Где сделать МРТ в СПб?
Чтобы пройти МРТ в медицинских центрах Санкт-Петербурга, необходимо записаться на диагностику. Адреса и цены на услугу томографии в различных клиниках вам подскажут в нашем центре записи. В базе данных у нас есть информация о более 80 диагностических клиник СПб и Ленинградской области.
Читайте также:
- Диагностика токсического и метаболического поражения головного мозга
- Варианты рентгеновских снимков
- Оснащение лаборатории для анализа коагулограммы - гемостаза
- Двухфазный потенциал действия миокарда: деполяризация и реполяризация
- Пищевое отравление ботулинотоксином (Clostridium botulinum) и его лечение
