Рентгенограмма, КТ, МРТ при одонтогенной кератокисте
Добавил пользователь Владимир З. Обновлено: 02.11.2025
Согласно классификации ВОЗ (2005), одонтогенная кератокиста с паракератозным типом строения (примордиальная киста) называется кератокистозной одонтогенной опухолью (KZOT) и относится к подгруппе доброкачественных одонтогенных опухолей головы и шеи. В описанном в данной статье клиническом случае у 14-летнего пациента наблюдался связанный с зубом мудрости остеолитический процесс в области угла нижней челюсти, развившийся в течение 16 месяцев. В статье описывается клиника и диагностика, а также методы хирургического лечения кератокистозной одонтогенной опухоли.
В течение многих десятилетий обсуждался вопрос, относить ли «кератокисту» к одонтогенным кистам или к доброкачественным опухолям [1, 3]. В течение последних нескольких лет, согласно классификации опухолей головы и шеи ВОЗ [2], форма «одонтогенной кератокисты» с преобладанием паракератоза, которую раньше называли также примордиальной кистой, называется кератокистозной одонтогенной опухолью (KZOT) и относится к группе доброкачественных одонтогенных опухолей. Таким образом, это новообразование больше не относят к дизонтогенетическим кистам челюстей [10, 11, 15]. Реже встречающаяся форма, для которой характерен только ортокератоз, рассматривается отдельно [18] и называется одонтогенной кистой с преобладанием ортокератоза. Изменения в терминологии и в классификации были связаны с тем, что для KZOT характерен агрессивный рост и высокая вероятность возникновения рецидивов после оперативного удаления опухоли методом энуклеации [3, 10, 15, 16].
Кератокистозная одонтогенная опухоль может наблюдаться спорадически как солитарное (одиночное) образование или проявляться как один из признаков известного синдрома Горлина —
Гольтца (синдром базальноклеточных невусов, невобазоцеллюлярный синдром) [10, 13, 17]. Синдром Горлина — Гольтца характеризуется следующим симптомокоплексом [3, 10, 13, 17]:
- базалиомы и кератокистозные опухоли;
- аномалии скелета в области грудной клетки;
- аномалии в области черепа: гипертелоризм, макроцефалия, кальцификация серпа большого мозга (Falx cerebri);
- точечные пигментированные вдавления на ладонях или подошвах (pits).
Кератокистозная одонтогенная опухоль диагностируется чаще всего в двух различных возрастных периодах: от 11 до 30 лет и от 50 до 70 лет [10]. Внесиндромная форма опухоли встречается у мужчин в два раза чаще, чем у женщин [1, 9, 14].
Клинический случай
Анамнез
Четырнадцатилетний пациент был направлен лечащим врачом-ортодонтом в нашу Клинику челюстно-лицевой хирургии с целью удаления 48 зуба мудрости, а также для проведения цистэктомии в области 48 зуба. Общий и семейный анамнез юного пациента без особенностей.
Результаты клинического обследования
Экстраоральный осмотр, а также клиническое обследование полости рта и пальпация в области 48 зуба без особенностей. Холодовой тест при помощи сухого льда («углекислого снега») для определения жизнеспособности (витальности) пульпы в области 44—47 зубов положительный. Чувствительность в области иннервации N. mentalis с обеих сторон одинаковая, не снижена.
Данные рентгенологического обследования
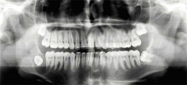
На панорамной послойной рентгенограмме (ОПТГ) в области 48 зуба мудрости определялся многокамерный очаг разрежения костной ткани с относительно четкими границами, распространяющийся до области угла и частично в область восходящей ветви нижней челюсти (рис. 1) .

Рис. 1. Рентгенограмма до операции: очаг остеолиза в области угла нижней челюсти справа, многокамерный, с относительно четкими границами. Ретенированный дистопированный 48 зуб мудрости
На рентгенограмме, изготовленной с целью контроля ортодонтического лечения 16 мес. назад, патологического процесса в области 48 зуба еще не определялось.
Лечение
После проведения местной анестезии был отслоен слизисто-надкостничный лоскут и обнажена костная ткань в области 48 зуба. Операция проводилась таким же образом, как при оперативном удалении 48 зуба [5]. После проведения остеотомии при помощи шаровидной фрезы, с охлаждением при помощи физиологического раствора NaCl, и эксплорации (ревизии) дефекта выделилось большое количество секрета желтоватого цвета. Затем было проведено оперативное удаление 48 зуба и экскохлеация кистоподобного образования, щадящим образом по отношению к N. alveolaris inferior. После этого был проведен кюретаж бывшей полости кисты. Удаленные ткани были направлены на патогистологическое исследование. Рана была ушита первичными единичными узловыми швами. Пациенту были назначены обезболивающие препараты.
После операции была снова сделана рентгенгограмма (рис. 2) .

Рис. 2. Послеоперационная контрольная рентгенограмма: состояние после оперативного удаления 48 зуба мудрости, энуклеации тканей кисты в области 48 зуба и кюретажа образовавшейся костной полости
Данные гистологического обследования
Макроскопически удаленная ткань представляла собой полостное (мешковидное) образование c мембраноподобной структурой, диаметром 2,5 см, серовато-беловатого цвета, вязко-эластичной констистенции.
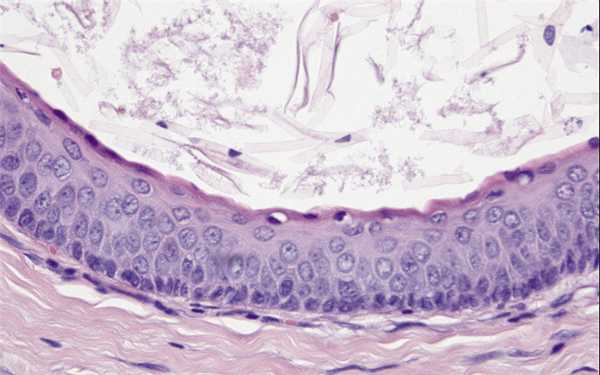
Микроскопически определялись участки тканей кисты, покрытые широким пластом многослойного эпителия, с хорошо развитым базальноклеточным слоем. Расположение клеток базальноклеточного слоя напоминало частокол («палисадное»), с поверхностным ороговением по типу паракератоза. Кроме того, были выявлены слои пластинчатого ороговевшего материала, кое-где имевшего остатки ядер (рис. 3) .

Рис. 3. Фрагмент исследуемого гистологического препарата (окраска гематоксилином и эозином, оригинальное увеличение в 40 раз): равномерно структурированный эпителий с ороговением по типу паракератоза. Расположение клеток базального слоя напоминает частокол («палисадное»), отмечается интенсивное окрашивание клеточных ядер. В полости кисты определяется скопление пластинчатого ороговевшего материала
На основании гистологического исследования был поставлен диагноз кератокистозной одонтогенной опухоли (KZOT).
Контроль после лечения
В первый день после операции на основании результатов обследования на болевую чувствительность («острое-тупое») и на порог дискриминационной чувствительности (в двух точках) было установлено небольшое ограничение чувствительности в области иннервации N. alveolaris inferior [6].
Через десять дней после операции при нормальном заживлении раны были сняты швы. Родителям и самому юному пациенту было указано на то, что вероятность рецидивов кератокистозной одонтогенной опухоли довольно высока и поэтому, по крайней мере, на протяжении последующих 10 лет врач-стоматолог должен регулярно проводить клинический и рентгенологический контроль.
Дискуссии
Как правило, «кисты» являются типичным преодоперационным диагнозом при удалении зубов мудрости [4]. В большинстве случаев кератокистозные одонтогенные опухоли обнаруживаются случайно при изготовлении послойной панорамной рентгенограммы [10]. При опухолях большего размера в результате возникновения вторичной инфекции могут наблюдаться следующие симптомы: отек, боли, выделение секрета и/или нарушение чувствительности в области иннервации N. alveolaris inferior [10]. На рентгенограмме при наличии кератокистозной одонтогенной опухоли в большинстве случаев определяется очаг разрежения костной ткани с четкими границами и с одно- или многокамерной структурой. Изменения часто бывают похожи на мыльные пузыри [10]. Приблизительно в 60—70 % случаев образование встречается в области нижней челюсти, в основном в области зубов мудрости, угла нижней челюсти или восходящей ветви нижней челюсти [3, 14].
Дифференциальный диагноз
Кератокистозную одонтогенную опухоль необходимо прежде всего дифференцировать с фолликулярной кистой и с амелобластомой, особенно на рентгенограмме [8]. Поэтому следует различать признаки кератокистозной одонтогенной опухоли от амелобластомы [7]. Результаты ретроспективного клинико-патологоанатомического исследования показали, что в типичных случаях при кератокистозной одонтогенной опухоли рецидивы наблюдались чаще, чем при амелобластоме. Такую высокую вероятность возникновения рецидивов нельзя было объяснить наличием обычных маркеров клеточного цикла и миграционной/структурной модуляцией [7]. Неблагоприятный прогноз при кератокистозной одонтогеной опухоли связан с ограниченной возможностью проведения радикальной терапии и с наличием дочерних («сателлитных») опухолей [7]. Изменение названия с кератокисты на кератокистозную одонтогенную опухоль (KZOT) было проведено из следующих соображений:
- Снизить степень вероятности возникновения рецидивов при осуществлении радикального хирургического лечения.
- Обратить внимание на то, что при оперативном удалении кист в области нижней челюсти всегда имеется опасность повреждения N. alveolaris inferior, и во многих случаях могут наблюдаться стойкие изменения в области нерва [6], особенно при использовании методики удаления опухоли в сочетании с обработкой раствором Карнуа.
В представленном клиническом случае имеющийся очаг разрежения костной ткани на нижней челюсти справа в области зуба мудрости, с относительно четкими границами, можно было бы дифференцировать на рентгенограмме со следующими образованиями:
- фолликулярной кистой;
- амелобластомой;
- амелобластической фибромой;
- одонтогенной миксофибромой;
- плазмоцитомой (множественной миеломой);
- аневризматической костной кистой.
Для подтверждения диагноза кератокистозной одонтогенной опухоли необходимо проводить гистологическое исследование в виде пробной биопсии или исследования первоначально полностью удаленной капсулы кисты [10]. Можно также применять иммунно-гистохимические методы исследования [9].
В литературе описаны многочисленные варианты оперативных вмешательств при кератокистозной одонтогенной опухоли [3, 7, 10, 15—17]. Как правило, используются следующие методы лечения кератокистозной одонтогенной опухоли:
- цистотомия (как самостоятельная операция);
- цистэктомия (как самостоятельная операция);
- цистэктомия и кюретаж костной ткани;
- цистэктомия после обработки раствором Карнуа;
- цистэктомия с последующим применением криохирургических методов;
- двухэтапный метод: сначала проводится цистотомия, а затем цистэктомия;
- цистэктомия и частичная периферическая остэктомия;
- сегментарная резекция с нарушением непрерывности нижней челюсти.
Сравнить преимущества и недостатки различных методов в настоящее время не представляется возможным. Однако проводить цистотомию или цистэктомию как самостоятельные операции больше не рекомендуется [10].
Авторы выражают сердечную благодарность врачам-ортодонтам д-ру Б. Цимприх и д-ру В. Цимприх (Эсслинген) за любезное направление юного пациента к ним на лечение.
Рентгенограмма, КТ, МРТ при одонтогенной кератокисте
а) Терминология:
1. Аббревиатура:
• Кератокистозная одонтогенная опухоль (КОО)
2. Синонимы:
• Одонтогенная кератокиста, примордиальная киста
б) Визуализация:
1. Общая характеристика:
• Лучший диагностический критерий:
о Экспансивное солитарное однокамерное объемное образование челюсти
• Локализация:
о 75% случаев — в задних отделах нижней челюсти, часто рядом с 3-м моляром
о В верхней челюсти чаще всего возле клыков
• Размер:
о 1-9 см; средний: 3 см
2. Рентгенологические данные:
• Рентгенография:
о Экспансивное кистозное образование с «непрозрачным» просветом
о В 50% случаев однокамерное, «прозрачное», со склеротическим «ободком»
о Может смещать прорезывающиеся зубы, приводить к резорбции корней прорезавшихся зубов, вытесняя их
(Слева) При аксиальной КТ с контрастным усилением в задних отделах тела и ветви нижней челюсти визуализируется экспансивное объемное образование с диффузно низкой плотностью (кератокистозная одонтогенная опухоль). Образование не накапливает контраст. Целостность наружного кортикального слоя нарушена, в то же время опухоль остается отграниченной и не прорастает в жевательную мышцу. Отчетливо определяется асимметрия контуров щеки.
(Справа) При корональной КТ без КУ определяется легкое расширение нижней челюсти в области угла, обусловленное кератокистозной одонтогенной опухолью, и более выраженное расширение, а также истончение кортикального слоя выше (в области дуги). (Слева) При МРТ Т1ВИ в аксиальной проекции в нижней челюсти визуализируется неоднородное объемное образование, нарушающее целостность кортикального слоя и распространяющееся в жевательные мышцы. Участки с гиперинтенсивным сигналом в образовании, наличие которых является типичным признаком кератокистозной одонтогенной опухоли, обусловлены кератиновым дебрисом.
(Справа) При МРТ Т2ВИ в корональной проекции визуализируется объемное образование (кератокистозная одонтогенная опухоль) с гиперинтенсивным сигналом, характерным для жидкости. Также отмечается отсутствие инфильтрации прилежащих к опухоли тканей, несмотря на то, что она распространяется в жевательное пространство кнутри, а также кнаружи. (Слева) При аксиальной КТ в костном окне в задних отделах тела нижней челюсти справа визуализируется однокамерное кистозное образование, приводящее к легкому вздутию кости и бугристости кортикального слоя, но не к нарушению его целостности. Визуализируется интактный третий моляр с противоположной стороны (слева).
(Справа) При аксиальной КТ в костном окне на более каудальном уровне у этого же пациента визуализируется непрорезавшийся третий моляр справа, связанный с кистозным образованием. Такие изменения чаще всего обусловлены зубосодержащей киаой; тем не менее, при патоморфологическом исследовании подтвердилась кератокистозная одонтогенная опухоль.
3. КТ при кератокистозной одонтогенной опухоли (одонтогенной кератокисте):
• КТ с контрастным усилением:
о Накопление контраста отсутствует
• КТ в костном окне:
о Экспансивное кистозное образование, отграниченное хорошо различимой кортикальной пластинкой, часто приводящее к выбуханию краев кости
о Обычно распространяется продольно в нижней челюсти
о Может располагаться возле непрорезавшегося зуба, но не его коронки
о Плотность варьирует в зависимости от вязкости содержимого
4. МРТ при кератокистозной одонтогенной опухоли (одонтогенной кератокисте):
• Т1ВИ:
о Сигнал от промежуточной до высокой интенсивности, обусловленный орто- или паракератозом и (или) кровоизлиянием
• Т2ВИ:
о Неоднородный сигнал низкой или высокой интенсивности
• Т1ВИ с контрастным усилением:
о Тонкий «ободок», не накапливающий контраст; отсутствие солидного образования
о Контрастное усиление выражено больше, чем при рецидиве КОО
5. Рекомендации по визуализации:
• Лучший метод диагностики:
о КТ позволяет полностью оценить изменения, необходимые для установления диагноза:
- КТ с контрастным усилением позволяет определить отсутствие солидного компонента, накапливающего контраст
- КТ в костном окне лучше всего позволяет визуализировать опухоль
• Выбор протокола:
о Тонкосрезовая КТ с мультипланарным реформатированием
(Слева) При аксиальной КТ в коаном окне у пациента с кератокистозной одонтогенной опухолью верхней челюсти визуализируется кистозное объемное образование экспансивного характера, заполняющее левую верхнечелюстную пазуху, приводящее к истончению и деформации ее стенок. Киста вызывает эрозию корней зубов верхней челюаи и смещает левый клык верхней челюсти кверху, кнутри и кпереди.
(Справа) При аксиальной КТ в костном окне у пациента с КОО верхней челюсти определяется истончение кортикального слоя верхнечелюстной альвеолы и нарушение его целостности, а также деформация наружной стенки полости носа. Изображение в корональной плоскости позволяет лучше продемонстрировать направление смещения клыка. (Слева) При МРТ Т1ВИ в аксиальной проекции визуализируется хорошо отграниченное объемное образование с гиперинтенсивным сигналом (кератокиаозная одонтогенная опухоль верхней челюсти), заполняющая нижние отделы верхнечелюстной пазухи. Опухоль вплотную прилежит к интактному и смещенному моляру верхней челюсти.
(Справа) При МРТ Т1ВИ FS с КУ в аксиальной проекции у пациента с синдромом базальноклеточного невуса возле третьего моляра с обеих сторон видны кистозные объемные образования. Объемное образование с левой стороны не накапливает контраст. В объемном образовании справа определяется толстый «ободок», накапливающий контраст, больше типичный для рецидивной опухоли. (Слева) При аксиальной КТ в костном окне у пациента с синдромом базальноклеточного невуса визуализируется образование альвеолярного отростка справа, вызывающее вздутие кости и смещающее зуб кпереди. Края образования ограничены хуже, чем обычно.
(Справа) При корональной КТ без КУ у пациента 19 лет с синдромом базальноклеточного невуса (была выполнена резекция кератокистозной одонтогенной опухоли нижней челюсти, а в младенческом возрасте была удалена пинеобластома) с обеих сторон визуализируются объемные образования верхней челюсти, с неоднородной структурой, вызывающее вздутие кости. Обратите внимание на выраженное обызвествление твердой мозговой оболочки, типичное для синдрома базальноклеточного невуса.
в) Дифференциальная диагностика:
1. Периапикальная (радикулярная) киста:
• Однокамерная киста, связанная с корнем зуба
• Связана с кариесом и инфекциями зубов
2. Зубосодержащая (фолликулярная) киста:
• Врожденная однокамерная киста
• Возникает из коронки непрорезавшегося зуба
3. Амелобластома:
• Экспансивное, «пузырчатое» образование
• Стенки образования и узлы внутри него накапливают контраст
г) Патология:
1. Общая характеристика:
• Этиология:
о Возникает из остатков зубной пластинки
о В настоящее время классифицируется как кистозная опухоль
• Сопутствующие патологические изменения:
о Синдром Марфана, синдром Нунан
о 7% КОО являются множественными:
- В 50%-синдром базальноклеточного невуса
2. Макроскопические и хирургические особенности:
• Тонкая «ломкая» киста, содержащая жидкость и кератиновый дебрис:
о Жидкость «соломенного» цвета → гноеподобное → «творожистое» образование
3. Микроскопия:
• Фиброзная стенка, выстланная плоским эпителием
• Могут обнаруживаться микрокисты (дочерние кисты)
д) Клинические особенности:
1. Проявления:
• Другие частые признаки/симптомы:
о В 50% случаев проявляется отеком челюсти
• Другие признаки/симптомы:
о Боль, парестезия, тризм
2. Демография:
• Возраст:
о Широко варьирует, пик-четвертый десяток лет жизни
• Эпидемиология:
о 5-10% кист челюсти
о После переклассификации считается одной из наиболее частых одонтогенных опухолей
3. Течение и прогноз:
• Быстро увеличивается в размерах и часто рецидивирует
4. Лечение:
• Энуклеация и «агрессивный» кюретаж
е) Диагностическая памятка:
1. Следует учесть:
• Синдром базальноклеточного невуса при обнаружении множественных КОО:
о На этих же томограммах (КТ) необходимо оценить наличие обызвествлений твердой мозговой оболочки
2. Советы по интерпретации изображений:
• «Классический» вид: однокамерная киста нижней челюсти:
о Солидный компонент, накапливающий контраст, отсутствует
о Часто имеется связь с 3-м моляром
ж) Список использованной литературы:
1. Mosier КМ: Magnetic resonance imaging of the maxilla and mandible: signal characteristics and features in the differential diagnosis of common lesions. Top Magn Reson Imaging. 24(1):23-37, 2015
2. Mosier KM: Lesions of the jaw. Semin Ultrasound CTMR. 36(5):444-50, 2015
3. Johnson NR et al: Frequency of odontogenic cysts and tumors: a systematic re-view.J InvestigClin Dent. 5(1):9-14, 2014
Кератокистозная одонтогенная опухоль (одонтогенная кератокиста) - лучевая диагностика
а) Терминология:
• Кератокистозная одонтогенная опухоль (КОО):
о Ранее использовался термин «одонтогенная кератокиста»
• Доброкачественное кистозное новообразование челюсти с агрессивным характером, часто рецидивирующее
б) Визуализация:
• Может приводить к смещению развивающихся зубов или к резорбции корней прорезавшихся зубов:
о Не связана с коронкой непрорезавшегося зуба
• КТ в костном окне: однокамерное кистозное объемное образование со склеротическим ободком:
о Экспансивное одиночное однокамерное образование челюсти:
- Многокамерная киста челюсти: риск КОО в 12 раз выше
о В 75% в задних отделах нижней челюсти, часто возле 3-го моляра
о Распространяется продольно в нижней челюсти
• КТ с контрастным усилением: солидные участки, накапливающие контраст, отсутствуют
• MPT С+: киста с тонким «ободком», накапливающим контраст:
о Рецидивирующая КОО накапливает контраст больше
(Слева) На рисунке нижней челюсти (вид сбоку, щечная кортикальная пластинка удалена) показаны признаки «классической» кератокистозной одонтогенной опухоли (КОО). Визуализируется кистозное образование между корнями первого и второго моляра, приводящее к расширению пространства костного мозга и смещающее нижний альвеолярный нерв.
(Справа) При аксиальной КТ в костном окне у пациента с подтвержденной кератокистозной одонтогенной опухолью определяется однокамерное кистозное образование экспансивного характера с распространением вдоль длинной оси нижней челюсти. Кортикальный слой рядом с краем опухоли слегка выбухает; со стороны язычной поверхности не визуализируется. (Слева) При сагиттальной КТ нижней челюсти в костном окне визуализируется объемное образование экспансивного характера, выбухающее между корнями зубов (типичный признак). Обратите внимание на сохранность челюстно-подъязычной линии, несмотря на выраженное истончение кортикальной пластинки нижних отделов нижней челюсти.
(Справа) При корональной КТ (реконструкция) в коаном окне определяется распространение КОО за пределы ветви нижней челюсти. Кортикальный слой диффузно истончен, язычная кортикальная пластинка не визуализируется. Выраженноаь экспансивного воздействия на кость хорошо заметна в сравнении с не измененной противоположной стороной.
в) Дифференциальная диагностика:
• Периапикальная (радикулярная) киста
• Зубная (фолликулярная) киста
• Амелобластома
г) Патология:
• Тонкостенная, «хрупкая» киста, содержащая жидкость и дебрис
• Вязкость содержимого кисты зависит от кератинового дебриса:
о Жидкость «соломенного» цвета → гноеподобное содержимое → «творожистое» образование
д) Клинические особенности:
• В 50% случаев проявляется отеком челюсти
• Быстро увеличивается в размерах и часто рецидивирует
е) Диагностическая памятка:
• 7% КОО является множественными
• Множественные КОО позволяют заподозрить синдром базальноклеточного невуса
• Необходимо оценить наличие обызвествлений твердой мозговой оболочки на этих же томограммах
1. Аббревиатура:
• Одонтогенная кератокиста (ОКК)
2. Синоним:
• Ранее использовавшийся термин: кератокистозная одонтогенная опухоль
3. Определение:
• Одонтогенная киста с место агрессивным характером и высоким уровнем рецидивов
1. Общая характеристика:
• Лучший диагностический критерий:
о Хорошо отграниченное кистозное образование, приводящее к минимальному вздутию задних отделов нижней челюсти в соответствии со своим размером
• Локализация:
о Нижняя: верхняя челюсть = 2:1:
- Наиболее типично поражение задних отделов обеих челюстей:
Особенно области третьего моляра
Распространение в ветвь
о Участки, несущие зубы:
- Эпицентр над каналом нижнего альвеолярного нерва в нижней челюсти
о Часто перикоронально по отношению к непрорезавшемуся зубу
• Размер:
о Мелкое однокамерное-крупное многокамерное образование, растущее вдоль длинника нижней челюсти, в т.ч. ее ветви
• Морфология:
о Наиболее часто однокамерная киста
о Большие кисты могут быть многокамерными:
- Камеры (при их наличии) обычно крупные и немногочисленные
- Многокамерные кисты часто придают фестончатый характер краям

(Слева) На кадрированной панорамной рентгенограмме определяется большая ОКК вокруг коронки смещенного импактного третьего моляра нижней челюсти, занимающая ветвь целиком. Края выглядят фестончатыми внутри кисты визуализируются несколько небольших перегородок.
(Справа) На аксиальной КТ в костном окне у этого же пациента определяется гиподенсная киста, приводящая к вздутию язычной кортикальной пластинки нижней челюсти. Определяется периостальная реакция вдоль щечной кортикальной пластинки, означающая вторичную инфекцию.
2. Рентгенография при одонтогенной кератокисте:
• Форма:
о Гидравлическая экспансия или фестончатые края
• Края:
о Четкие, с кортикальной пластинкой
• Внутреннее содержимое:
о Полностью рентгенопрозрачное
о Маленькие перегородки могут придавать кисте вид многокамерной
• Воздействие на окружающие структуры:
о Иногда смещение зуба и резорбция корней
о Апикальное смещение зуба при перикорональном положении
о Распространение в верхнечелюстную пазуху с ее заполнением
о Смещение канала нижнечелюстного нерва книзу
3. КТ при одонтогенной кератокисте:
• КТ в костном окне/КЛКТ:
о Гидравлическая экспансия верхней челюсти и ее ветви:
- Менее выраженная экспансия тела нижней челюсти:
Рост кисты вдоль кости
о Фестончатая эндостальная поверхность кортикальных пластинок:
- Напоминает простую костную кисту
- Ищите дополнительные признаки агрессивности ОКК
о Также обнаруживается перфорация кортикальных пластинок:
- Показатель вероятного вовлечения мягких тканей
• КТ в мягкотканном окне:
о Участки повышенной плотности внутри кисты
• КТ с КУ:
о Отсутствие накопления контраста внутри кисты
4. МРТ при одонтогенной кератокисте:
• Т1 ВИ:
о Сигнал промежуточной интенсивности:
- Обусловленный кератиновым дебрисом
• Т2 ВИ:
о Неоднородный сигнал низкой - высокой интенсивности
• ДВИ:
о Низкие значения измеряемого коэффициента диффузии в кисте:
- Означает повышение вязкости
• Т1 ВИ С+:
о Тонкий/почти отсутствующий контрастирующийся «ободок»
о Отсутствие солидного объемного образования
5. Рекомендации по визуализации:
• Лучший метод визуализации:
о Костный алгоритм лучше всего подходит для оценки краев
о КТ с КУ для исключения контрастирующегося солидного компонента
о МРТ позволяет отличить ОКК от других поражений
• Выбор протокола:
о Тонкосрезовая КТ/КЛКТ с мультипланарным реформатированием

(Слева) На сагиттальной КЛКТ (под углом) и профильных срезах определяется ОКК в виде хорошо отграниченного гиподенсного кистозного образования с фестончатыми краями и единственной перегородкой внутри. Вздутие выражено минимально, но нижнечелюстной канал смещен книзу.
(Справа) На корональной КТ в костном окне определяется ОКК, подвергнутая марсупиализации. Определяются костные наслоения, заполняющие кисту, начиная с кортикальных пластинок на периферии (в области, где осущеавлялось вмешательство) с наличием дефекта минимального размера.
в) Дифференциальная диагностика одонтогенной кератокисты:
1. Зубная киста:
• Всегда окружает коронку непрорезавшегося зуба
• Перикорональная ОКК может имитировать зубную кисту
• Перегородки или минимальное вздутие подозрительны на ОКК
• МРТ: более однородный гиперинтенсивный Т2 сигнал
2. Амелобластома:
• Многокамерное образование с большим количеством более толстых перегородок:
о Однокамерная кистозная амелобластома больше напоминает ОКК
• Более выраженное вздутие
• Чаще приводит к резорбции и смещению зубов
• МРТ: более толстые стенки, накапливающие контраст; солидное контрастирующееся образование
• Значения измеряемого коэффициента диффузии в кистозных участках выше, чем в ОКК
3. Радикулярная киста:
• Однокамерная
• Центрирована у вершины зуба
• Связана с нежизнеспособным зубом:
о С кариозной полостью, большими реставрированными участками, после эндодонтического лечения
о В области вершины пораженного зуба отсутствует твердая пластинка
4. Простая костная киста:
• Также приводит к минимальному вздутию и имеет фестончатые края:
о Как и ОКК, может проникать между корнями зубов
• Хуже отграничена кортикальной пластинкой
• Не смещает зубы и не приводит к их резорбции:
о Твердая пластинка остается интактной
• Нижнечелюстной канал не смещен

(Слева) На аксиальной МРТ (Т2 ВИ FSE) визуализируется ОКК, заполняющая правую верхнечелюстную пазуху и смещающая медиальную стенку. Киста имеет гиперинтенсивный сигнал с небольшим включением с сигналом промежуточной интенсивности (дебрис). Т2 сигнал в ОКК варьирует в зависимости от количества дебриса в ней.
(Справа) На аксиальной MPT (Т1 ВИ С+ FS) у этого же пациента определяется волнообразное расширение альвеолярного отростка верхней челюсти. Определяется участок с сигналом низкой интенсивности с тонким контрастирующимся «ободком» на периферии. Солидные объемные образования отсутствуют.
1. Общая характеристика:
• Этиология:
о Возникает из остатков зубной пластинки
о Несмотря на то, что аберрантная клеточная пролиферация подозрительна на новообразование, клинически проявляет себя как киста и требует соответствующего лечения:
- Следовательно, классифицируется как одонтогенная киста
• Генетика:
о Нормальная функция гена-супрессора опухоли РТСН (хромосома 9q22.3)
• Сопутствующие нарушения:
о Множественные ОКК при синдроме базальноклеточного невуса:
- 5% пациентов с ОКК
- Другие признаки:
Множественные базальноклеточные карциномы
Врожденные аномалии скелета
Обызвествление серповидной связки мозга
Вдавления на ладонях и стопах
о 5% ОКК множественные и не связаны с синдромом
2. Стадирование, классификация одонтогенной кератокисты:
• ОКК считается отдельной формой, не связанной с одонтогенной ортокератокистой
3. Макроскопические и хирургические особенности:
• Рыхлая киста с тонкой стенкой, содержащая жидкость и кератиновый дебрис:
о Внутреннее содержимое, полученное при аспирации или энуклеации:
- Жидкость соломенного цвета → гнойная жидкость → «творожистое» объемное образование
4. Микроскопия:
• Тонкий многослойный плоский эпителий толщиной 6-8 клеток
• «Рифленая» поверхность с признаками паракератоза
• Отчетливый базальный слой с палисадным расположением клеток
• Промежуток между плоским эпителием и соединительной тканью:
о Часто с отслоением эпителия
• Разрастающийся базальный слой и дочерние кисты в стенке
• Воспаление может нарушать характерную архитектуру и делать невозможной гистологическую диагностику
1. Проявления:
• Типичные признаки/симптомы:
о Большинство кист бессимптомны или проявляются увеличением челюсти
• Другие признаки/симптомы:
о Боль, отек или отделяемое:
- Более вероятны при вторичном инфицировании
- Рентгенологические признаки инфекции:
Толстый склеротический «ободок» вокруг кисты
Слоистые периостальные наложения
2. Демография:
• Возраст:
о Широко варьирует:
- Пик приходится на 10-30 лет
• Пол:
о М>Ж
• Эпидемиология:
о 5-10% кист челюстей
3. Течение и прогноз:
• Высокий уровень рецидивов:
о Средний: 30% (до 60%)
о Большинство рецидивов возникают в течение пяти лет, но могут и позже
о Требуется долговременное наблюдение
• Причины возникновения рецидива:
о Неполное удаление рыхлой эпителиальной выстилки
о Формирование дочерних кист
• Рецидив вероятнее возникает рядом с зубами:
о Часто требуется удаление вовлеченных зубов
4. Лечение:
• Энуклеация с периферической остеотомией или использованием раствора Карнуа (химический фиксатор): более благоприятный исход
• Резекция единым блоком:
о Более агрессивное удаление тканей:
- Не рекомендуется у детей
- Сложность реконструкции
• Марсупиализация (декомпрессия) с последующей энуклеацией:
о Хирургическое обнажение кисты и введение дренажа
о Необходимо, чтобы пациент имел возможность ежедневного промывания
о Методы визуализации важны для обеспечения успешного лечения после марсупиализации:
- КТ в костном окне/КЛ КТ -лучшие методы
- Заполнение происходит от периферии к центру
• Рекомендуется долгосрочный контроль рецидивов
1. Следует учесть:
• При множественных ОКК предполагайте синдром базальноклеточного невуса:
о Ищите кальцинаты в твердой мозговой оболочке (напр., в серповидной связке) на этих же КТ-сканах
2. Советы по интерпретации изображений:
• Поражение, хорошо отграниченное кортикальной пластинкой, с немногочисленными перегородками, растущее вдоль кости (а не приводящее к вздутию) подозрительно на ОКК
3. Заключение:
• Идентифицируйте пораженные зубы
• Отметьте перфорацию кортикальных пластинок
• Оцените положение по отношению к каналу нижнечелюстного нерва
ж) Список использованной литературы:
1. Abdi I et al: The effect of ameloblastoma and keratocystic odontogenic tumor on the displacement pattern of inferior alveolar canal in CBCT examinations. J Dent Res Dent Clin Dent Prospects. 10(3):155-61, 2016
2. Gotmare SS et al: Keratocystic odontogenic tumor with ossification and calcification: a case report with unusual histological findings. Indian J Dent Res. 27(4):441-444, 2016
3. Gupta RK et al: A rare simultaneous occurrence of odontogenic keratocyst and unicystic ameloblastoma in mandible: a case report. J Clin Diagn Res. 10(8):ZD01-4, 2016
4. Kaushik Ret al: Giant keratocystic odontogenic tumor: a challenging diagnosis. Autops Case Rep. 6(3):41-46, 2016
5. Kakimoto N et al: Contrast-enhanced multidetector computerized tomography for odontogenic cysts and cystic-appearing tumors of the jaws: is it useful? Oral Surg Oral Med Oral Pathol Oral Radiol. 115(1):104-13, 2013
Лучевая диагностика одонтогенной кератокисты
а) Терминология:
• Агрессивная одонтогенная киста с высоким уровнем рецидивов:
о Устаревший термин: кератокистозная одонтогенная опухоль
б) Визуализация:
• Задние отделы нижней челюсти, область третьего моляра:
о Типично перикорональное расположение
• Кортикальная пластинка на периферии
• Отграниченная киста или киста с фестончатыми краями:
о Вздутие кортикальных пластинок с распространением между зубов
• Большие кисты могут выглядеть многокамерными
• Распространение в верхнюю челюсть и верхние отделы ветви:
о Рост происходит вдоль длинника тела нижней челюсти
• Смещение зуба и резорбция корня
• КТ с КУ: отсутствие контрастирующегося солидного компонента
• MPT С+: кистозное образование с тонким контрастирующимся ободком
(Слева) На кадрированной панорамной рентгенограмме в задних отделах нижней челюсти слева визуализируется рентгенопрозрачная одонтогенная кератокиста (ОКК), четко отграниченная кортикальной пластинкой. Перегородки придают кисте вид многокамерной. Обратите внимание на легкую резорбцию корня первого моляра.
(Справа) На корональной КТ в костном окне у молодой женщины визуализируется большая ОКК, занимающая задние отделы и ветвь нижней челюсти. Определяется вздутие кортикальных пластинок, но рост выражен преимущественно вдоль костной ткани, а не в наружно-внутреннем направлении. Кортикальные пластинки становятся фестончатыми, имеет место перфорация. (Слева) На окклюзионной и периапикальной рентгенограммах визуализируется ОКК, проникающаяся между зубов и воздействующая на щечную кортикальную пластинку нижней челюсти. Эти признаки также характерны для простой костной кисты; тем не менее, смещение зубов и резорбция твердой пластинки позволяют заподозрить более агрессивное поражение.
(Справа) На аксиальной КТ в костном окне у этого же пациента определяется распространение поражения вдоль нижней челюсти в отсутпвие значительного вздутия. Эти изменения характерны для ОКК. Внутри кисты также визуализируются включения повышенной плотности.
в) Дифференциальная диагностика одонтогенной кератокисты:
• Зубная киста
• Амелобластома
• Радикулярная киста
• Простая костная киста
г) Патология:
• Тонкостенная, «рыхлая» киста, содержащая жидкость и дебрис
• Вязкость содержимого зависит от кератинового дебриса:
о Жидкость соломенного цвета → гнойная жидкость → «творожистое» образование
• При воспалении возможно нарушение гистологических характеристик
д) Клинические особенности:
• Часто обнаруживается случайно; может проявляться отеком челюсти
• Высокий уровень рецидивов:
о Требуется длительное наблюдение
е) Диагностическая памятка:
• При множественных поражениях предполагайте синдром базальноклеточного невуса
Читайте также:
