Рентгенограмма, КТ, МРТ при остеофиброзной дисплазии
Добавил пользователь Алексей Ф. Обновлено: 24.12.2025
Что такое фиброзная дисплазия и почему она развивается
- Возраст манифестации: 1-е и 2-е десятилетия жизни.
- Фиброзная дисплазия ( синоним: Болезнь Брайцева ) - наиболее частое опухолевидное заболевание, приводящее к замещению костной ткани фиброзной тканью, вызывая деформации костей.
- Этиология не установлена
- Губчатая кость и костный мозг замещены костно-фиброзной тканью с вторичным ремоделированием и образованием костной ткани.
- Единичное поражение кости составляет 70-80% поражений с тенденцией возникновения патологии в длинных трубчатых костях.
- Поражение нескольких костей составляет 20-30% поражений, с двусторонней локализацией и тенденцией к одностороннему поражению.
- Синдром Олбрайта: триада, включающая фиброзную дисплазию с поражением нескольких костей, пятна кофейного цвета и преждевременное половое созревание.
Какой метод диагностики фиброзной дисплазии выбрать: МРТ, КТ, рентген, УЗИ
Методы выбора
- Рентгенологическое исследование
- КТ или МРТ при затруднении в проведении дифференциальной диагностики.
Патогномоничные признаки
- Географическое, округлое, литическое поражение в виде «битого стекла»
- Метадиафизальное расположение
- Поражение окружено склеротическим кольцом.
Что покажут рентгеновские снимки костей конечностей при фиброзной дисплазии
- Наиболее частое расположение: метадиафизарная область плечевой или бедренной кости, кости таза, ребра, череп (фиброзная дисплазия плечевой кости, фиброзная дисплазия бедренной кости, фиброзная дисплазия большеберцовой кости, фиброзная дисплазия костей черепа и т.п.)
- Область повышенной рентгенологической прозрачности с утолщением и расширением кортикального слоя либо без них - поражение I типа (по Lodwik)
- Потеря структуры трубчатой кости
- Сужение переходной зоны
- Обычно имеется склеротическое кольцо
- Типичны изображения по типу «битого стекла» (соответствует зрелому остеоиду) и «мыльного пузыря»
- Поражения черепа: педжетоподобная, склеротическая и кистозная формы
- Возможно искривление длинных трубчатых костей (деформация в виде «пастушьего посоха»)
- В плоских костях типично изображение по типу «пчелиных сот».
В каких случаях проводят КТ конечностей при фиброзной дисплазии костей
- КТ позволяет наиболее четко определить характерное помутнение в виде «битого стекла».
В каких случаях проводят МРТ конечностей при фиброзной дисплазии костей
- Четко ограниченный участок, имеющий интенсивность мягких тканей, гипоинтенсивный на Т1 -взвешенном изображении
- Гипоинтенсивное на Т2-взвешенном изображении
- Умеренное повышение интенсивности сигнала на изображении с подавлением МР-сигнала от жировой ткани (например, последовательность STIR.)
- Гомогенное усиление
- Интенсивность сигнала преимущественно однородная
- Поражение с кистозной трансформацией и кровоизлияниями может иметь неоднородную интенсивность сигнала, эквивалентную жидкости.
а, b Женщина 27 лет с фиброзной дисплазией, поражающей проксимальный отдел плечевой кости: a) На рентгенограмме бедренной кости в прямой проекции определяется поражение по типу «мыльных пузырей» с типичным затемнением в виде «битого стекла», соответствующим зрелому остеоиду. Типичная деформация в виде «пастушьего посоха;
b) МСКТ, фронтальная плоскость.
Клинические проявления
- Болевой синдром в области поражения
- Часто является случайной клинической находкой
- Патологические переломы встречаются редко.
Методы лечения фиброзной дисплазии кости
- При наличии риска перелома при фиброзной дисплазии проводится операция по стабилизация кости
- Необходимость в других методах лечения отсутствует.
Течение и прогноз
- Имеет тенденцию к прекращению роста с окончанием полового созревания
- Возможен переход заболевания в активную фазу во время беременности или при проведении терапии эстрогенами
- Злокачественная трансформация встречается редко (менее 0,5%).

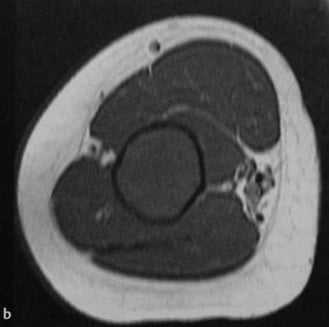
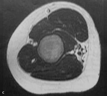
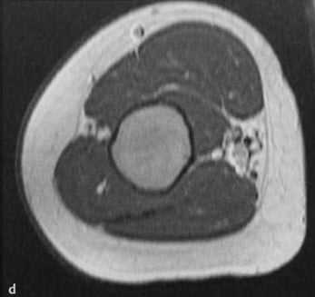
a-d Фиброзная дисплазия. Женщина 48 лет с фиброзной дисплазией, поражающей дистальный отдел плечевой кости: a) На рентгенограмме диафиза плечевой кости определяется кистозное географическое поражение с пузырным расширением. Типичное изображение в виде «битого стекла»;

b) Аксиальная Т1- взвешенная последовательность. Гипоинтенсивное поражение с истончением кортикального слоя.

c) Т2-взвешенная последовательность. Гипоинтенсивный сигнал по отношению к нормальной жировой ткани костного мозга;

d) Т1-взвешенная последовательность после введения гадолиния. Гомогенное на¬копление контрастного вещества в области поражения.
Что хотел бы знать лечащий врач
- Толщина кортикального слоя
- Размеры поражения
- Наличие переломов.
Какие заболевания имеют симптомы, схожие с фиброзной дисплазией
Ювенильная киста кости
- Отсутствие затемнения в виде «битого стекла»
- При МРТ определяется кистозное поражение с накоплением контрастного вещества только на периферии
Рентгенограмма, КТ, МРТ при остеофиброзной дисплазии
а) Терминология:
1. Аббревиатура:
• Остеофиброзная дисплазия (ОФД)
2. Синонимы:
• Оссифицирующая фиброма, фиброзно-кистозный остеит
• Врожденный фиброзный дефект большеберцовой кости, внечелюстная оссифицирующая фиброма, синдром Кемпсона-Кампаначчи (Kempson-Campanacci)
3. Определение:
• Костно-фиброзное новообразование, преимущественно поражающее большеберцовую и малоберцовую кости у детей
б) Визуализация:
1. Общая характеристика:
• Локализация:
о Почти исключительно диафиз (обычно проксимальный) большеберцовой или малоберцовой костей:
- При исследовании с участием 14 пациентов в 13 случаях была поражена большеберцовая кость и в одном - малоберцовая:
В двух случаях в разных костях присутствовали два патологических очага. В одном случае отмечено одностороннее и еще в одном-двухстороннее поражение
В трех случаях множественные очаги присутствовали в одной и той же кости
- При исследовании с участием 24 пациентов, в 22 случаях отмечено поражение большеберцовой и в двух - малоберцовой кости
- У четырех пациентов из 24 поражение носило множественный характер:
У трех пациентов, в той же кости имелся сателлитный очаг
В одном случае отмечено двухстороннее поражение большеберцовых костей
• Размер:
о Длина очага составляет, в среднем, 6 см (меньше, чем средний размер адамантиномы, но возможно наложение размеров)
(Слева) Рентгенография в боковой проекции: у девочки восьми лет метадиафизарный литический кортикальный очаг, характеризуется легкой вспученностью и наличием склерозированного края. Патологический очаг содержит зоны матового матрикса. Эндостальный кортекс истончен, но признаки прорыва кортикального слоя отсутствуют. Сателлитный очаг не визуализируется. Вероятным диагнозом, с учетом возраст пациента, будет ОФД.
(Справа) Сцинтиграфия в ПЗ проекции: патологический очаг характеризуется значительно повышенным накоплением. (Слева) КТ, аксиальная проекция: визуализируется кортикальный очаг большеберцовой кости Я, характеризующийся полным склеротическим краем. Центр патологического очага характеризуется в различной степени выраженной матовой плотностью.
(Справа) КТ реконструкция, корональная проекция: у этого же пациента визуализируется патологический очаг, окруженный склерозированным краем. Матрикс снова характеризуется плотностью матового стекла. (Слева) МРТ, корональная проекция, режим T1: визуализируется однородное содержимое патологического очага, которое характеризуется неспецифической интенсивностью сигнала, аналогичной скелетной мышце.
(Справа) МРТ, сагиттальная проекция, режим Т2 с подавлением сигнала от жира: визуализируется неоднородный патологический очаг, характеризующийся преимущественно высокоинтенсивным сигналом. Ни одно из этих исследований не позволяет достоверно отличить эту подтвержденную результатами биопсии ОФД от ОФД-подобной адамантиномы.
2. Рентгенография при остеофиброзной дисплазии:
• Литическое (60%) поражение, либо очаг по типу матового стекла (40%)
• Хорошо отграниченный очаг со скперозированным краем
• Развивается из кортикального слоя:
о Кортикальный слой истончен, вспучен
о Может распространяться на костномозговой канал
о Часто встречаются мультифокальные или длинные сливающиеся очаги
• Псевдотрабекуляция; возможен многодольчатый характер очага
• Периостальная реакция отсутствует
• Искривляющая деформация, чаще кпереди:
о После патологического перелома может формироваться ложный сустав
3. КТ при остеофиброзной дисплазии:
• Данные аналогичны данным рентгенографии
• Позволяют более четко визуализировать матовый матрикс
• Позволяют более точно, в сравнении с рентгенографией, отличать множественные очаги, разделенные нормальной костью от очагов с псевдотрабекуляцией
4. МРТ при остеофиброзной дисплазии:
• Вспучивание кортикального слоя в 58% случаев:
о Деструкция кортикального слоя и формирование мягкотканного компонента отмечается редко
• Кортикальный очаг может распространяться на костномозговой канал, что хорошо визуализируется при помощи МРТ:
о По данным одного исследования, с участием 24 пациентов, интрамедуллярное распространение было отмечено в 100% случаев
• Режим Т1: однородный или неоднородный (50%) сигнал средней интенсивности
• Последовательности, чувствительные к жидкости: неоднородный сигнал с интенсивностью от промежуточной до высокой:
о Чаще всего определяется неоднородный, но среднеинтенсивный сигнал
• По данным одного исследования наличие внутри очагового жира было отмечено в 12% случаев
• Наличие внутренних низкоинтенсивных пучков и многодольчатое строение отмечено в 91% случаев
• Редко наблюдаются кистозные области
• Слабо выраженный (если имеется) отек сопряженных мягких тканей при отсутствии патологического перелома
• Интенсивное, обычно неоднородное, контрастное усиление
• Признаки, позволяющие провести дифференциальную диагностику с адамантиномой отсутствуют
5. Биопсия под контролем визуализации:
• Погрешность при взятии образцов тканей может привести к ошибочному диагностированию остеофиброзной дисплазии, особенно когда очаг на самом деле является адамантиномой:
о При адамантиноме эпителиальные клетки расположены центрально и могут не попасть в образец ткани при тонкоигольной биопсии
о При периферической биопсии в образце могут быть обнаружены признаки только ОФД или ОФД - подобной адамантиномы:
- Необходимо брать образец из литического центра очага
- Во избежание ошибки, количество материала должно быть обильным
• По данным одного исследования с участием 24 пациентов, в 21 % случаев диагноз остеофиброзной дисплазии, установленный при помощи тонкоигольной биопсии был изменен на адамантиному после исследования операционного материала
• Существует мнение, что к диагнозу ОФД, полученному по результатам аспирационной биопсии следует относиться с определенной долей скептицизма, в том, что касается лечения пациента
(Слева) Рентгенография в косой проекции, пациенте возрасте 10 месяцев: визуализируется крупный литический очаг, занимающий большую часть диафиза большеберцовой кости. При рентгенографии создается впечатление, что патологический очаг имеет центральное положение в костномозговом канале и вызывает вспучивание.
(Справа) КТ, сагиттальная проекция без контрастного усиления: у этого же пациента становится понятно, что хорошо отграниченный очаг на самом деле развивается в кортикальном слое кости. Кортикальный слой вспучен, а патологический очаг распространяется по окружности. Сочетание хорошо отграниченного экспансивного кортикального очага с ранним возрастом пациента позволяет предполагать ОФД. (Слева) МРТ через медиальный кортикальный слой, косая сагиттальная проекция, режим STIR: в структуре очага определяется неспецифический высокоинтенсивный сигнал без признаков прорыва кортикального слоя. Результатами биопсии была подтверждена ОФД.
(Справа) Рентгенография в ПЗ проекции: кортикальный литический очаг в дистальном метафизе малоберцовой кости у ребенка. Имеется плотный склеротический край. Для данной области наиболее характерна фиброксантома (неоссифицирующая фиброма), однако учитывая поражение нижней конечности, нельзя исключить другие кортикальные новообразования, такие как: ОФД или адамантинома. (Слева) МРТ, корональная проекция, режим протонной плотности, с подавлением сигнала от жира: этот же очаг характеризуется относительно гомогенным высокоинтенсивным сигналом и, возможно, имеет центральное расположение.
(Справа) МРТ, аксиальная проекция, режим STIR: у этот же пациента ста -новится ясно, что патологический очаг имеет эксцентричное кортикальное расположение с сохранением латеральнот участка нормального костного мозга. Такая картина характерна для кортикального очага тонкой кости. Визуализируются признаки отека окружающих мягких тканей, однако без истинного прорыва кортикального слоя. Подобная картина позволяет предположить наличие ОФД или адамантиномы. Результатами биопсии была подтверждена ОФД.
в) Дифференциальная диагностика остеофиброзной дисплазии:
1. Интракортикальная фиброзная дисплазия (ФД):
• В большеберцовой кости ФД нередко развивается из кортикального слоя:
о При рентгенографии может быть неотличима от ОФД
• Средний возраст несколько выше
• Дифференциальная диагностика проводится гистологически
2. ОФД-подобная адамантинома:
• Описывается также терминами дифференцированная адамантинома и ювенильная адамантинома
• Аналогичные лучевые признаки
• Развивается у пациентов с незрелым скелетом
• ОФД-подобная ткань, но с небольшими скоплениями эпителиальных клеток
• Доброкачественное течение; в гистологическом и поведенческом ряду новообразование располагается между ОФД и адамантиномой
3. Адамнтинома:
• Лучевые признаки могут быть идентичными:
о Возможно наличие более агрессивных признаков с прорывом кортикального слоя и мягкотканным компонентом
• Развивается у детей и взрослых
• При гистологическом исследовании - больше эпителиальных клеток
• Более агрессивное поведение:
о Неполноценная резекция приводит к высокому уровню рецидивов
о Высокий метастатический потенциал
(Слева) Рентгенография в боковой проекции: кортикальный литический очаг проксимального отдела диафиза большеберцовой кости. Визуализируются признаки прорыва кортикального слоя кпереди, однако очаг выглядит относительно хорошо отграниченным. Также визуализируются признаки распространения очага в проксимальном направлении или второй патологический фокус.
(Справа) Рентгенография в ПЗ проекции, этот же пациент: визуализируется несколько вспученный литический очаг, а проксимальный патологический фокус едва заметен. Дифференциальная диагностика проводится между состояниями с кортикальным расположением патологических очагов большеберцовой кости. (Слева) КТ, аксиальная проекция, костный режим: у этого же пациента отчетливо визуализируются признаки кортикального расположения очага. Передний край отчетливо не визуализируется, как ели бы был костным, но отграничивает патологический очаг.
(Справа) КТ, переформатирование, костный режим: визуализируется большая часть очага с выражен но истонченной границей. Визуализируются другие очаги, которые представляют собой отдельные фокусы или расширение исходного очага в проксимальном направлении. Такие признаки могут быть характерны для любых других очагов (ОФД, интракортикальная фиброзная дисплазия, адамантинома). (Слева) МРТ, аксиальная проекция, режим T1: патологический очаг характеризуется наличием тонкого костного края, а не прорывом кортикального слоя. Очаг однороден и изоинтенсивен по отношению к мышце.
(Справа) МРТ, корональная проекция, режим STIR: первичный очаг характеризуется высокоинтенсивным сигналом, как и проксимальное расширение или второй очаг. В целом признаки патологических изменений в большеберцовой кости соответствуют умеренно агрессивному процессу. Лучевые признаки не позволяют провести дифференциальную диагностику между адамантиномой, ОФД или кортикальной фиброзной дисплазией. По результатам тщательно выполненной биопсии тканей из центра первичного очага была диагностирована ОФД.
г) Патология:
1. Общая характеристика:
• Этиология:
о Неизвестна; не ясна природа заболевания: опухоль или дисплазия
2. Макроскопические и хирургические особенности:
• Тусклая или беловато-желтоватая гранулированная поверхность
• Кость более мягкая и ломкая, по сравнению с нормальной
• Кисты не визуализируются
3. Микроскопия:
• В различной степени выраженная фибробластная пролиферация, муаровый рисунок
• Остеоид или костные трабекулы, различные по форме и направленности, окруженные остеобластами:
о Степень кальцификации различна
о Длинные костные спикулы, типичные для ФД отсутствуют
• Строма содержит коллагеновые волокна
д) Клинические особенности:
1. Проявления:
• Типичные признаки/симптомы:
о Опухолевидное образование ± боль
о Патологический перелом, возможно формирование ложного сустава
2. Демография:
• Возраст:
о Обычно у детей: в 50% случаев у пациентов младше пяти лет:
- Распространено мнение, что возраст является отличительным признаком; заболевание крайне редко встречается после созревания скелета
- Смещение среднего возраста до 19 лет в одном исследовании с участием пяти пациентов, вероятно, обусловлено наличием одного пациента 63 лет
• Пол:
о М>Ж
3. Течение и прогноз:
• Кюретаж с использованием костного трансплантата обусловливает высокий уровень рецидивов (>60%):
о Особенно, если лечение осуществляется в возрасте до пяти лет
о Рецидив может прогрессировать до ложного сустава
• Тенденция к прогрессированию отсутствует; у пациентов старше 10 лет отмечается стабилизация и спонтанное разрешение
• В литературе сведения о злокачественном перерождении отсутствуют
4. Лечение:
• Ряд опытных хирургов воздерживается от хирургического лечения после тонкоигольной биопсии до завершения периода полового созревания, а затем проводят вмешательство только на крупных очагах
• При необходимости, с учетом агрессивности очага, хирургического лечения, широкая резекция позволит снизить частоту рецидивов до приемлемого уровня
• Если планирование хирургического вмешательства обусловлено теоретической вероятностью прогрессирования в адамантиному, то предпочтительным методом является широкая резекция:
о Уменьшает опасения при непоказательной тонкоигольной биопсии и вероятность рецидивов
е) Диагностическая памятка:
1. Следует учесть:
• Существует мнение, что адамантинома, ОФД-подобная адамантинома и ОФД находятся в одном ряду схожих заболеваний:
о Нередко развиваются агрессивные рецидивы очагов, первично диагностированных как ОФД или ОФД-подобная адамантинома, в результате чего диагноз меняется на адамантиному
о Гистологические, ультраструктурные и цитологические особенности позволяют предположить близкородственную связь заболеваний:
- Сложность хромосомных аберраций увеличивается от ОФД к адамантиноме
- Метастазирование характерно только для адамантиномы
- Имеется предположение о многоступенчатой неопластической трансформации
2. Полезные советы:
• С уверенностью провести дифференциальную диагностику между остеофиброзной дисплазией и адамантиномой на основании лучевых признаков невозможно, поэтому следует учитывать вероятность обоих новообразований:
о Следует провести тщательное исследование ткани, что позволит определить в каком участке спектра находится это новообразование
Фиброзная дисплазия
Фиброзная дисплазия — это заболевание, характеризующееся нарушением развития скелета, при котором нормальная кость замещается фиброзной тканью с элементами диспластически изменённой кости.
Фиброзная дисплазия расценивается как опухолеполобная гиперплазия в одной или одновременно в нескольких костях, которая сопровождается и внескелетными аномалиями.
Терминология
- Фиброзная дисплазия делится на следующие подтипы
- монооссальная ФД — в 70-80% случаях. Чаще в промежутке от 20-30 лет
- краниальная ФД
- черубизм (СЕМЕЙНАЯ ФИБРОЗНАЯ ДИСПЛАЗИЯ ЧЕЛЮСТИ) — неистинная ФД — поражение верхней и нижней челюсти
Эпидемиология
Встречается до 30 лет в 75% случаях, с наибольшей частотой встречаемости в промежутке от 3 до 15 лет. Взаимосвязи с полом нет.
Ассоциация
- Хотя фиброзная дисплазия обычно спорадическая, ряд ассоциаций давно доказаны:
- Синдром МакКьюн-Олбрайт — 2-3% случаях полиостальной формы.
- Изолированная форма с эндокринопатией без Синдром МакКьюн-Олбрайт у девочек — гипертиреоз, гиперпаратиреоз, акромегалия, сахарный диабет.
- Синдром Кушинга: остеопороз, акне, задержка роста
- Синдром Mazabraud: миксомы мягких тканей (редко); обычно множественные внутримышечные поражения в непосредственной близости от наиболее пострадавшей кости
Клиническая картина
- Пациент обращается за помощью, когда
- Появляется асимметрия, например, парных костей или костей лица
- Появляется боль
- Появляются нарушения двигательной функции
- Появляются патологические переломы
![klinika]()
Патология
Макроскопические изменения
- При макроскопическом исследовании определяются беловато-красные опухолевые очаги разной плотности, в зависимости от степени выраженности их минерализации. Имеются многочисленные кисты, заполненные желтоватой или красноватой жидкостью, и полупрозрачные участки хряща до 3 см в диаметре.
![makro]()
Микроскопические изменения
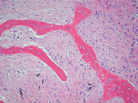
- Многочисленные остеоидные балки неправильной формы, лежащие в фиброзной ткани с небольшим числом остеобластов. Остеоидные балки представляют собой большей частью волокнистую, но не компактную кость.
- Мелкие участки остеоида могут быть обызвествлены. Известь откладывается, как правило, в центре балки. Имеются многоядерные клетки типа остеокластов, окаймляющие некоторые балки.
- В периферических отделах очаг фиброзной дисплазии без резкого перехода сливается с реактивной костью. Фиброзная строма местами коллагенизирована, кое-где миксоматозна, то богата клеточными элементами, то почти лишена их.
- Фибробласты имеют то крупные овальные, то вытянутые и как бы сморщенные ядра. Между разрастаниями фиброзной ткани и остеоида встречаются островки хряща, обызвествленные по периферии. Принято думать, что такая картина весьма стабильна и сохраняется на протяжении многих лет и у детей, и у взрослых лиц.
- Хрящевые островки присутствуют в 10% случаях, что является отличительной чертой от хондросаркомы
- При ФД нет ободка остеобластов, что позволяет дифференцировать от оссифицирующей фибромы
![mikro]()
Подтипы
- монооссальная ФД — в 70-80% случаях. Чаще в промежутке от 20-30 лет
- полиоссальная ФД — 20-30% случаях. Чаще проявляется до 8 лет
Типичная локализация
![1]()
- Монооссальная ФД
- ребер: 28%, наиболее распространенных 6,7
- проксимальный отдел бедренной кости: 23%
- голень
- черепно-лицевая кость: 10-25% 4
- плечо
- Полиоссальная ФД
- часто односторонних: в пределах одной конечности 6
- бедра: 91%
- голени: 81%
- таз: 78%
- ноги: 73%
- ребра
- черепа и кости лица: 50% 4
- верхняя конечность
- поясничный отдел позвоночника: 14%
- ключица: 10%
- шейный отдел позвоночника: 7%
Радиологические находки
- Рентгенологическая картина фиброзной дисплазии разнообразна.
- Патологические участки могут быть то более плотными, то более прозрачными по сравнению с окружающей костью, иногда имеют вид «матового стекла».
- Одни очаги четко отграничены зоной склероза, контуры других расплывчатые, что особенно характерно для костей черепа.
- Нередко выявляются узуры в кортикальном слое, а при наличии перелома — отчетливая периостальная реакция.
КТ
- затемнение по типу матового стекла: 56% 4
- очаг однородный склеротический: 23%
- очаг кистозный: 21%
- очаг с четко определенными границами
- расширение костей с интактными вышележащими костями
МРТ
- МРТ не является методом 100% в дифференциации фиброзной дисплазии от злокачественных образований
- Т1: неоднородный сигнал, как правило, промежуточный
- Т2: неоднородный сигнал, обычно гипоинтенсивный, но бывает с гиперинтенсивными участками
- Т1 с+ (Gd): гетерогенное контрастирование 4
Ядерная медицина
- Визуализируется увеличение индикаторного поглощения Tc99 при сканирование костей
- (очаги остаются метаболически активными и во взрослой жизни).
![nuklear]()
Осложнения
- Дедифференциация до
- остеосаркомы — наиболее чаще
- фибросаркомы
- злокачественной фиброзной гистиоцитомы
- реже до хондросаркомы
Дифференциальный диагноз
- Болезнь Педжета
- гистологически мозаичные включения в костях
- радиографическимогут быть схожи
- Нейрофиброматоз 1 типа
- Остеофиброзная дисплазия
- Не-оссифицирующая фиброма
- Гигантско-клеточная опухоль
Клинические случаи
Этот 23-летний мужчина упомянул, чтобы была травма и теперь жалуется на боль и отек левой голени.
Этот 33-летний мужчина жалуется на невыносимые головные боли.
Источник
4. Chong VF, Khoo JB, Fan YF. Fibrous dysplasia involving the base of the skull. AJR Am J Roentgenol. 2002;178 (3): 717-20. AJR Am J Roentgenol (full text) — Pubmed citation
5. Brown EW, Megerian CA, Mckenna MJ et-al. Fibrous dysplasia of the temporal bone: imaging findings. AJR Am J Roentgenol. 1995;164 (3): 679-82. AJR Am J Roentgenol (abstract) — Pubmed citation
6. Fitzpatrick KA, Taljanovic MS, Speer DP et-al. Imaging findings of fibrous dysplasia with histopathologic and intraoperative correlation. AJR Am J Roentgenol. 2004;182 (6): 1389-98. AJR Am J Roentgenol (full text) — Pubmed citation
7. Kransdorf MJ, Murphey MD. Diagnosis please. Case 12: Mazabraud syndrome. Radiology. 1999;212 (1): 129-32. Radiology (full text) — Pubmed citation
98. Maramattom BV. Leontiasis ossea and post traumatic cervical cord contusion in polyostotic fibrous dysplasia. Head & Face Medicine. 2006;2 (1): 24. doi:10.1186/1746-160X-2-24 — Free text at pubmed — Pubmed citation
9. Larheim TA, Westesson P. Maxillofacial Imaging. Springer Verlag. (2008) ISBN:3540786856. Read it at Google Books — Find it at Amazon
kill1. Аббревиатура:
• Фиброзная дисплазия (ФД)2. Синонимы:
• Фиброзно-хрящевая дисплазия, генерализованное фиброзно-кистозное заболевание кости, фиброзный остеит3. Определение:
• Доброкачественное костно-фиброзное новообразование1. Общая характеристика:
• Лучший диагностический критерий:
о Вспучивание костномозгового канала от легкого до умеренного с участком склероза, чаще всего характеризующегося симптомом матового стекла
• Локализация:
о Полиоссальное поражение в 15—20% случаев:
- Таз, бедренная, большеберцовая и фактически любая кость; чаще одностороннее поражение, но не всегда
о Монооссальное поражение (80-85%):
- Длинные трубчатые кости:
Бедренная кость (35-40%), большеберцовая кость (20%)
- Кости черепа (20-34%), ребра (10-28%):
о Патологический очаг, как правило, располагается центрально:
- Редко отмечается кортикальное расположение; при ФД оно наиболее характерно для большеберцовой кости
о Диафизарное поражение: часто распространяется на метафиз и иногда на эпифиз
• Размер: от 1 см до поражения всей кости(Слева) Рисунок, корональная проекция: пример ФД. Кистозные зоны заполнены желтоватой жидкостью. Визуализируются фокальные участки хряща. Коричневатая зернистая субстанция образована веретеновидными клетками и содержит извитые фрагменты незрелой кости. Обратите внимание на часто встречающееся поражение вертлужной впадины, которое ассоциируется с ФД шейки бедренной кости.
(Справа) Рентгенография в ПЗ проекции: типичный для ФД комбинированный литически-склеротический очаг шейки бедренной кости и признаки ее варусной деформации. Обратите, также, внимание на признаки поражения вертлужной впадины. (Слева) МРТ, корональная проекция, режим Т1: у этого же пациента с полиоссальной ФД определяется однотипный сигнал низкой интенсивности, близкий к скелетной мышце во всех зонах поражения. Зоны остаточной кости характеризуются нормальным костномозговым сигналом.
(Справа) МРТ, корональная проекция, режим STIR: у этого же пациента все зоны поражения ФД характеризуются комбинированным сигналом высокой и низкой интенсивности, который соответствует матовому остеоиду. Шейка правой бедренной кости характеризуется большим объемом поражения, по сравнению с левой, что обусловливает варусную деформацию. (Слева) Рентгенография в ПЗ проекции: вспученный пузырчатый очаг левой седалищной кости. Признаки агрессивности патологического очага отсутствуют. Он характеризуется комбинированной структурой: зоной лизиса и областью матового склероза, что позволяет диагностировать ФД. Ввиду отсутствия ножки, ведущей к нормальной кости, вариант экзофитного экзостоза здесь не рассматривается.
(Справа) КТ, аксиальная проекция, костный режим: у этого же пациента визуализируется комбинированный очаг с типичными для ФД зонами лизиса и матового склероза. Дополнительное обследование не требуется.2. Рентгенография при фиброзной дисплазии:
• Хорошо отграниченный очаг
• Плотность меняется от литической до склеротической:
о Поражение таза часто представлено литическими пузырчатыми очагами
о Плотные склерозированные очаги характерны для основания черепа
о Большая часть очагов характеризуется легкой склеротизацией:
- Симптом матового стекла, обусловленный количеством грубоволокнистой кости в структуре патологического очага
• Патологический очаг имеет, как правило, центральное расположение в кости и в различной степени способствует ее вспучиванию:
о Наибольшая вспученность характерна для тазовых очагов
о Патологические очаги в костях черепа и нижней челюсти также могут характеризоваться вспученностью и придавать вид, характерный для херувизма:
- Обычно одностороннее поражение черепа
о Патологические очаги длинных трубчатых костей характеризуются, обычно, менее выраженной экспансивностью:
- Равномерное истончение кортикального слоя
• Периостальная реакция отсутствует
• Прорыв кортикального слоя или мягкотканный компонент отсутствуют
• Деформации длинных трубчатых костей:
о В результате микропереломов патологически измененной кости в первично нагружаемой зоне
о Варусная деформация шейки бедренной кости (в виде «пастушьего посоха»)
о Переднее искривление большеберцовой кости
о Протрузия вертлужной впадины
• Полиоссальная форма → разновеликость конечностей (70%):
о В результате изгибающей деформации и гиперемии с ранним закрытием физарных зон3. МРТ при фиброзной дисплазии:
• Режим Т1: однородный сигнал низкой интенсивности:
о Последовательности, чувствительные к жидкости: от выраженного сигнала высокой интенсивности до слабого высокоинтенсивного сигнала, накладывающегося на сигнал низкой интенсивности
о Зависит от количества грубоволокнистой кости в структуре очага
о Кисты имеют округлую форму и характеризуются высокоинтенсивным сигналом
• Выраженное неоднородное накопление контрастного вещества активными очагами; неактивные очаги характеризуются менее выраженным контрастным усилением:
о В режиме Т1 с подавлением сигнала от жира, с контрастным усилением кисты характеризуются гипоинтенсивностью
• Возможно наличие ассоциированной аневризмальной костной кисты (АКК):
о АКК часть патологического очага представлена многокамерными кистами с уровнями жидкость-жидкость4. Радионуклидная диагностика:
• Большинство патологических очагов характеризуется повышенным накоплением
• ФДГ/ПЭТ: признаки различной степени выраженной метаболической активности; стандартизированное значение накопления на поздней стадии может либо повышаться, либо снижаться5. Биопсия под контролем визуализации:
• Тонкоигольная аспирация, как правило, не обеспечивает возможности надлежащего забора тканей для биопсии(Слева) Рентгенография в ПЗ проекции: классический пример ФД диафиза большеберцовой кости с небольшим у ширен нем кости, истончением кортикального слоя и дисплазией, характеризующейся симптомом матового стекла. В дистальном эпифизе большеберцовой кости и таранной кости, также визуализируются патологические очаги, соответствующие кистозной ФД.
(Справа) МРТ, сагиттальная проекция, режим Т1 у этого же пациента определяется однотипный сигнал низкой интенсивности, как в зоне матового диафизарного очага большеберцовой кости, так и области кистозного очага таранной кости. Неизмененная кость сохраняет нормальный высокоинтенсивный костномозговой сигнал. (Слева) МРТ, корональная проекция, режим Т2 с подавлением сигнала от жира: определяется однотипный высокоинтенсивный сигнал в зоне эпифизарного кистозного очага большеберцовой кости и смешанный высоко- и низко интенсивный сигнал в области патологических очагов диафиза большеберцовой кости и таранной кости, которые при рентгенографии характеризовались умеренно выраженной склеротизацией. В режиме Т2 интенсивность сигнала при ФД может меняться в зависимости от количества незрелой кости в структуре очага.
(Справа) Рентгенография в ПЗ проекции: кортикальный литический очаг, окутывающий большеберцовую кость, который может являться проявлением кортикальной формы ФД, остеофиброзной дисплазии или адамантиномы. (Слева) КТ, аксиальная проекция без контрастного усиления: у этого же пациента становится понятно, что очаг имеет крупные размеры, кортикальное расположение, а также характеризуется вспученностью. Признаки прорыва кортикального слоя отсутствуют.
(Справа) МРТ, аксиальная проекция, режим Т2: подтверждается кортикальное расположение очага. Костномозговой канал и окружающие мягкие ткани не изменены. Дифференциально-диагностические признаки, позволяющие сделать различие между тремя возможными патологическими состояниями, отсутствуют. ФД встречается чаще, чем остеофиброзная дисплазия или адамантинома. Для подтверждения ФД потребовалась биопсия.в) Дифференциальная диагностика фиброзной дисплазии:
1. Фиброзная дисплазия черепа:
• Болезнь Педжета:
о Диплоитическое пространство расширено. Характер расширения от фокального до диффузного
о Плотность меняется от остеопоретической (очаговая дименерализация) до высокой (по типу хлопьев ваты)
о Поражение черепа, обычно, двухстороннее; при ФД как правило, одностороннее
• Метастазы, костный мозг2. Фиброзная дисплазия таза (пузырчатая):
• Гигантоклеточная опухоль:
о Полностью литический очаг
о Узкая переходная зона; склеротический край отсутствует
• Простая костная киста:
о Простая костная киста у взрослых чаще поражает кости таза о При рентгенографии определяется неспецифический литический очаг со слабо выраженным склеротическим краем
о МРТ подтверждает кистозный характер патологического очага3. Фиброзная дисплазия трубчатых костей:
• Простая костная киста:
о Центральный литический очаг, характеризуется незначительной вспученностью и истончением кортикального слоя
о В зависимости от возраста имеет метафизарное или метадиафизарное расположение
о Рентгенография: симптом «упавшего фрагмента»
о МРТ подтверждает кистозный характер патологического очага
• Болезнь Олье:
о Возможно полиоссальное поражение, часто одностороннее, как при полиоссальной форме ФД
о Очаги, как правило, имеют метафизарное происхождение, сохраняя диафиз неизмененным; для ФД более характерно поражение диафиза
о Исчерченность очагов; ± хрящевой матрикс
о Разновеликость конечностей характерна как для ФД, так и для болезни Олье
• При кортикальном расположении очага в большеберцовой кости ФД неотличима от:
о Адамантиномы
о Остеофиброзной дисплазии(Слева) Рисунок, аксиальная плоскость: обширный очаг ФД в основании черепа в сравнении с нормальной костью противоположной стороны. Коричневатый зернистый очаг соответствует веретеноклеточной строме, содержащей фрагменты незрелой кости и хрящевые включения.
(Справа) КТ нижней и верхних челюстей, аксиальная проекция, без контрастного усиления: экстенсивное многоочаговое поражение кости, характеризующееся симптомом матового стекла и соответствующее предыдущему рисунку, на котором показана макроскопическая структура ФД. (Слева) КТ, 3D реконструкция: выраженная асимметрия мозгового и лицевого черепа и утолщение нижней челюсти. Такие изменения получили название leontiasis ossea за львиноподобный образ, формирующийся за счет выраженного утолщения черепно-лицевых костных структур и характерны для нескольких заболеваний, включая ФД, болезнь Педжета, краниодиафизарную дисплазию и почечную остеодистрофию.
(Справа) МРТ, аксиальная проекция, режим Т1: Фокальный экспансивный краниальный очаг ФД, характеризующийся неоднородным сигналом низкой интенсивности. (Слева) МРТ, аксиальная проекция, режим Т2: в той же области визуализируется смешанный сигнал с зонами легкой гиперинтенсивности и низкоинтенсивного сигнала, соответствующими области, характеризующейся на КТ симптомом матового стекла (здесь не показано).
(Справа) МРТ, аксиальная проекция, режим Т1, с контрастным усилением: неоднородное накопление контрастного вещества. При ФД визуализируются признаки, как минимум слабого контрастного усиления, а неоднородный характер накопления является типичным. Обратите внимание на то, что обе: внутренняя и внешняя пластинки черепа остаются интактными, а патологический процесс имеет односторонний характер.1. Общая характеристика:
• Этиология:
о Нарушение развития:
- Нарушение дифференцировки остеобластов → замещение нормального костного мозга и губчатой кости незрелой костью и фиброзной стромой
• Генетика
о Предрасположенность к соматическим мутациям костно-формирующей мезенхимальной ткани:
- Активирующие мутации гена GNAS, кодирующего α-субъединицу стимулирующего белка G характерны как для моно-, так и полиоссальной формы
- Клональные хромосомные аберрации (3, 8, 10,12,15) позволяют предположить опухолевую природу патологического очага
- Повышенный уровень онкобелка c-fos2. Макроскопические и хирургические особенности:
• Коричневато-серая опухоль
• Консистенция от плотной до зернистой
• Возможно наличие кисты, заполненной желтоватой жидкостью
• Голубоватые прозрачные хрящевые включения3. Микроскопия:
• Фиброзная и костная ткань в различном соотношении:
о Соотношение может меняться от очага к очагу
о Соотношение может меняться в пределах одного очага
• Фиброзная порция: цитологически нормальные веретеновидные клетки
• Костная порция: нерегулярные неровные трабекулы незрелой кости
• Хрящевые включения присутствуют в 10%1. Проявления:
• Наиболее характерные признаки/симптомы:
о Монооссальная форма может протекать бессимптомно
о Полиоссальная форма: в Уз случаев симптомы появляются к 10-ти летнему возрасту
о Боль ассоциируется с микропереломами (особенно шейки бедренной кости или большеберцовой кости)
• Другие признаки/симптомы:
о Может ассоциироваться с онкогенной остеомаляцией:
- Проявляется переломами
о Возможны аномальные черепно-лицевые проявления
- Херувизм: симметричное поражение нижней и верхней челюсти:
Аутосомно-доминантное/спорадическое заболевание
Может быть вариантом ФД; фактически форма гигантоклеточной репаративной гранулемы
Различная степень прогрессирования в пубертатном возрасте; у взрослых может регрессировать
- Гиперостоз черепа (leontiasis ossea): поражение лицевых и лобной костей с формированием львиноподобного лица за счет их утолщения
- Параличи черепных нервов
о Синдром МакКьюна-Олбрайта:
- Полиоссальная односторонняя ФД
- Эндокринные нарушения:
Преждевременное половое созревание: патологические вагинальные кровотечения; гипертиреоидизм; сахарный диабет; гиперпаратиреоидизм (симптомы рахита); акромегалия
- Пятна цвета кофе с молоком:
Могут соответствовать области поражения скелета
- У женщин заболевание развивается чаще
о Синдром Мазабрауда
- Полиоссальная ФД; множественные фиброзные и микосматозные опухоли мягких тканей; чаще происходит злокачественное перерождение в остеосаркому2. Демография:
• Возраст:
о Встречается в любом возрасте (обычно 5-50 лет); в 75% случаев заболевание развивается в возрасте до 30 лет
о Полиоссальная форма, обычно, проявляется раньше (средний возраст 8 лет), чем монооссальная
• Пол:
о Мужчины = женщины (исключая синдром МакКьюна-Олбрайта, которым преимущественно страдают женщины)
• Эпидемиология:
о 1% от первичных костных опухолей, подтвержденных результатами биопсии
о Самая распространенная доброкачественная опухоль ребер3. Течение и прогноз:
• Монооссальная форма ФД не переходит в полиоссальную
• Монооссальная: рост, обычно, прекращается в пубертатном периоде:
о Патологический очаг сохраняется, инволюции не происходит
о Во время беременности очаг может увеличиваться
• Полиоссальная форма: активность патологических очагов, обычно, снижается после периода полового созревания:
о Новые очаги, как правило не появляются
о Деформации могут прогрессировать
• Осложнения: микропереломы и искривляющие деформации
• Плохая консолидация патологических переломов с образованием неполноценной костной мозоли
• Злокачественное перерождение крайне редко (0,5%):
о Возможно как при поли-, так и монооссальной ФД
о Остеосаркома > фибросаркома > хондросаркома
о Чаще всего поражаются черепно-лицевые кости или бедренная кость
о В 33-50% случаев ранее проводилось облучение, что позволяет говорить о саркоме, индуцированной лучевой нагрузкой
о Прогноз неблагоприятный4. Лечение:
• Лечение осуществляется только при наличии осложнений:
о Деформации могут быть устранены с помощью остеотомии с использованием костных трансплантатов и стабилизирующих конструкций
• Кюретаж с использованием костных трансплантатов чреват высоким уровнем рецидивов (до 100%)
• Возможно применение бисфосфанатов
• Лечение ассоциированных эндокринных нарушенийе) Диагностическая памятка. Следует учесть:
• Тонкоигольная аспирация, как правило, не обеспечивает возможности надлежащего необходимого объема тканей для биопсии;планируйте выполнение трепанобиопсииж) Список использованной литературы:
1. Su MG et al: Recognition of fibrous dysplasia of bone mimicking skeletal metastasis on 18F-FDG PET/CT imaging. Skeletal Radiol. 40(3):295-302, 2011Фиброзная дисплазия ( Болезнь Лихтенштейна , Болезнь Лихтенштейна-Брайцова , Болезнь Лихтенштейна-Яффе )
Фиброзная дисплазия – это поражение кости, при котором участок нормальной костной ткани замещается соединительной тканью с включением костных трабекул. Относится к категории опухолеподобных заболеваний, может быть локальной или распространенной, поражать одну или несколько костей. Проявляется болями, деформацией, укорочением или удлинением сегмента и патологическими переломами. Диагноз выставляется на основании рентгенографии, МРТ, КТ и других исследований. Лечение обычно хирургическое – резекция пораженного участка кости с замещением дефекта.
МКБ-10
Общие сведения
Фиброзная дисплазия (болезнь Лихтенштейна, болезнь Лихтенштейна-Яффе или болезнь Лихтенштейна-Брайцова) – системное поражение скелета. Симптомы обычно выявляются еще в детстве, но возможно и позднее начало. В литературе описаны случаи, когда монооссальная фиброзная дисплазия впервые диагностировалась у людей пенсионного возраста. Женщины болеют чаще мужчин. Возможно перерождение в доброкачественную опухоль; озлокачествление наблюдается редко.
Заболевание впервые было описано в первой половине 20 века. В 1927 году российский хирург Брайцов сделал доклад о клинических, микроскопических и рентгенологических признаках очагового фиброзного перерождения кости. В 1937 году Олбрайт описал многоочаговую фиброзную дисплазию, сочетающуюся с эндокринными нарушениями и характерными изменениями кожи. В том же году Альбрехтом была описана многоочаговая дисплазия в сочетании с преждевременным половым созреванием и нечеткой кожной пигментацией. Чуть позже Яффе и Лихтенштейн исследовали одноочаговые поражения и опубликовали выводы о причинах их возникновения.
Причины
Фиброзная дисплазия относится к категории опухолеподобных заболеваний, но не является истинной опухолью костей. Возникает вследствие неправильного развития остеогенной мезенхимы (ткани, из которой в последующем образуется кость). Причины развития не ясны, не исключена генетическая предрасположенность.
Классификация
В травматологии и ортопедии выделяют две основные формы фиброзной дисплазии: монооссальную (с поражением одной кости) и полиоссальную (с поражением нескольких костей, обычно расположенных на одной стороне тела). Полиоссальная форма развивается в детском возрасте и может сочетаться с эндокринными нарушениями и меланозом кожи (синдром Олбрайта). Монооссальная форма может манифестировать в любом возрасте, эндокринопатий и пигментации кожи у пациентов не наблюдается. Российские специалисты используют клиническую классификацию Зацепина, включающую следующие формы заболевания:
- Внутрикостная форма. Может быть монооссальной или полиоссальной. В кости образуются единичные или множественные очаги фиброзной ткани, в ряде случаев наблюдается перерождение кости на всем протяжении, однако структура коркового слоя сохранена, поэтому деформации отсутствуют.
- Тотальное поражение кости. Страдают все элементы, включая кортикальный слой и область костномозгового канала. Из-за тотального поражения постепенно формируются деформации, часто возникают усталостные переломы. Обычно наблюдается полиоссальное поражение длинных трубчатых костей.
- Опухолевая форма. Сопровождается разрастанием очагов фиброзной ткани, которые иногда достигают значительных размеров. Выявляется редко.
- Синдром Олбрайта. Проявляется полиоссальным или практически генерализованным поражением костей в сочетании с эндокринными расстройствами, преждевременным половым созреванием у девочек, нарушением пропорций тела, очаговой пигментацией кожи, тяжелыми деформациями конечностей и костей туловища. Сопровождается прогрессирующими нарушениями со стороны различных органов и систем.
- Фиброзно-хрящевая дисплазия. Появляется преимущественным перерождением хряща, нередко наблюдается трансформация в хондросаркому.
- Обызвествляющая фиброма. Особая форма фиброзной дисплазии, встречается очень редко, обычно поражает большеберцовую кость.
Симптомы фиброзной дисплазии
Выраженные врожденные деформации обычно отсутствуют. При полиоссальной форме первые симптомы появляются в детстве. Поражение костей сопровождается эндокринопатиями, пигментацией кожи и нарушением деятельности сердечно-сосудистой системы. Проявления болезни достаточно разнообразны, наиболее постоянными признаками являются незначительные боли (обычно в бедрах) и прогрессирующие деформации. Иногда болезнь диагностируется только при возникновении патологического перелома.
Обычно при полиоссальной форме наблюдается поражение трубчатых костей: большеберцовой, бедренной, малоберцовой, плечевой, лучевой и локтевой. Из плоских костей чаще страдают кости таза, кости черепа, позвоночник, ребра и лопатка. Нередко выявляется поражение костей кистей и стоп, при этом кости запястья остаются интактными. Степень деформации зависит от локализации очагов фиброзной дисплазии. При возникновении процесса в трубчатых костях верхних конечностей обычно наблюдается только их булавовидное расширение. При поражении фаланг пальцы укорачиваются, выглядят «обрубленными».
Кости нижних конечностей искривляются под тяжестью тела, возникают характерные деформации. Особенно резко деформируется бедренная кость, в половине случаев выявляется ее укорочение. Из-за прогрессирующего искривления проксимальных отделов кость приобретает форму бумеранга (пастушьего посоха, хоккейной клюшки), большой вертел «сдвигается» вверх, иногда достигая уровня тазовых костей. Шейка бедра деформируется, возникает хромота. Укорочение бедра может составлять от 1 до 10 см.
При формировании очага в малоберцовой кости деформация конечности отсутствует, при поражении большеберцовой кости может наблюдаться саблевидное искривление голени или замедление роста кости в длину. Укорочение обычно менее выражено, чем при очаге в бедренной кости. Фиброзная дисплазия подвздошной и седалищной костей вызывает деформацию тазового кольца. Это, в свою очередь, негативно влияет на позвоночник, провоцируя нарушения осанки, сколиоз или кифоз. Ситуация усугубляется, если процесс одновременно поражает бедро и кости таза, поскольку в подобных случаях ось тела еще больше нарушается, а нагрузка на позвоночник – увеличивается.
Монооссальная форма протекает более благоприятно, внекостные патологические проявления отсутствуют. Выраженность и характер деформаций сильно варьируют в зависимости от локализации, размера очага и особенностей поражения (тотальное или внутрикостное). Могут наблюдаться боли, хромота и повышенная утомляемость после нагрузки пораженного сегмента. Как и при полиоссальной форме, возможны патологические переломы.
Диагностика
Диагноз выставляется ортопедом-травматологом на основании клинической картины и данных рентгенологического исследования. На начальном этапе на рентгеновских снимках в области диафиза или метафиза пораженной кости выявляются зоны, по виду напоминающие матовое стекло. Затем пораженный участок приобретает характерный крапчатый вид: очаги уплотнения чередуются с участками просветления. Хорошо видна деформация.
При обнаружении одиночного очага необходимо исключить множественное поражение костей, которое на начальных стадиях может протекать бессимптомно, поэтому больных направляют на денситометрию. При наличии подозрительных участков выполняют рентгенографию, при необходимости используют КТ кости.
Следует учитывать, что фиброзная дисплазия, особенно монооссальная, может представлять значительные трудности в процессе диагностики. При нерезко выраженной клинической симптоматике нередко требуется длительное динамическое наблюдение. Для исключения других заболеваний и оценки состояния различных органов и систем могут потребоваться консультации фтизиатра, онколога и терапевта. В отдельных случаях показан осмотр кардиолога, эндокринолога или иных специалистов.
Лечение фиброзной дисплазии
Лечение преимущественно хирургическое – полная сегментарная резекция пораженного участка кости в пределах здоровых тканей и замещение дефекта костным трансплантатом. При патологическом переломе накладывают аппарат Илизарова. При множественных поражениях проводят профилактические мероприятия, направленные на предотвращение деформаций и патологических переломов.
Прогноз и профилактика
Прогноз для жизни благоприятный. В отсутствие лечения, особенно при полиоссальной форме, могут возникать грубые калечащие деформации. Иногда очаги дисплазии перерождаются в доброкачественные опухоли (гигантоклеточную опухоль или неоссифицирующую фиброму). У взрослых описано несколько случаев злокачественного перерождения в остеогенную саркому. Специфическая профилактика отсутствует из-за неясной этиологии заболевания.
2. Фиброзная дисплазия. Клинические рекомендации / Общероссийская общественная организация Ассоциация травматологов-ортопедов России (АТОР) - 2016
Читайте также:
- МРТ признаки доброкачественной мезенхимальной опухоли головы
- Катаболизм жиров и жирных кислот бактериями. Эндогенный энергетический метаболизм бактерий.
- Результаты слуховой стволовой имплантации и ее прогноз
- Сосудистые опухоли глаза. Кавернозная гемангиома орбиты
- Лучевые признаки коарктации аорты и перерыва дуги аорты у плода
- монооссальная ФД — в 70-80% случаях. Чаще в промежутке от 20-30 лет





