Рентгенограмма, КТ, МРТ при переломе венечного отростка локтевой кости
Добавил пользователь Владимир З. Обновлено: 18.12.2025
Рентгенограмма, МРТ при переломе локтевого отростка
а) Определения:
• Перелом через локтевой отросток локтевой кости в результате:
о Прямого удара
о Растягивающей травмы в месте прикрепления
б) Визуализация:
1. Общая характеристика:
• Лучший диагностический критерий:
о Линейный перелом через локтевой отросток на боковой рентгенограмме локтевого сустава
• Локализация:
о От основания до верхушки локтевого отростка
о В большинстве случаев внутрисуставной
• Размер:
о Размеры отломка зависят от локализации перелома
• Морфология:
о Линия перелома, как правило, в осевой плоскости
о Может быть поперечным, косым или оскольчатым
о Может распространиться медиально с захватом выступающего бугорка:
- Медиальный край венечного отростка
- Место прикрепления переднего пучка локтевой коллатеральной связки
- Захват бугорка, ассоциированный с повышенной нестабильностью
(Слева) На боковой рентгенограмме локтевого сустава визуализируется небольшой отломок перелома кончика локтевого отростка. Края отломка неправильной формы, что отличает это повреждение от несросшегося центра оссификации апофиза.
(Справа) На боковой рентгенограмме у ребенка после падения определяется косой перелом через среднюю точку локтевого отростка с незначительным смещением. Напротив, зона роста локтевого отростка волнистая с выраженным кортикальным слоем по краям. (Слева) На боковой рентгенограмме локтевого сустава после падения на вытянутую руку при согнутом локтевом суставе виден смещенный отломок, оторвавшийся от кончика локтевого отростка. Степень смещения свидетельствует о значительном повреждении трехглавой мышцы.
(Справа) На сагиттальной МРТ PDBИ определяется частичный отрыв сухожилия трехглавой мышцы с небольшим оторвавшимся костным отломком МРТ может быть информативна при оценке степени повреждения трехглавой мышцы. (Слева) На сагиттальной КТ с реформатированием можно видеть раздробление локтевого отростка после падения на локтевой сустав. Перелом открывается на суставную поверхность в нескольких местах.
(Справа) На сагиттальной КТ с реформатированием со схемой мягких тканей у этого же пациента визуализируется прикрепление сухожилия трехглавой мышцы и смещение околосуставных жировых подушек. Несмотря на то, что КТ может помочь оценить целостность трехглавой мышцы, МРТ является более точным метом визуализации.
2. Рентгенография при переломе локтевого отростка:
• Может быть разными от едва заметной линии перелома без смещения до сильного раздробления и смещения
• Обычно виден на боковой проекции
• Мелкий отломок со значительным смещением свидетельствует об отрыве трехглавой мышцы
• Может перейти на венечный отросток
3. МРТ при переломе локтевого отростка:
• Линия перелома лучше видна на сагиттальной и фронтальной Т1ВИ и Т2ВИ FS
• Стрессовое повреждение может определяться только по отеку костного мозга без линии перелома
• На МРТ можно не заметить небольшие переломы кончика
4. Рекомендации по визуализации:
• Лучший метод визуализации:
о Боковая рентгенограмма
о МРТ для оценки целостности трехглавой мышцы
• Рекомендация по протоколу:
о Рентгенограммы: боковая проекция для оценки размера и положения отломка (ов)
о КТ: сагиттальная с реформатированием для оценки величины щели между суставными поверхностями
о МРТ: сагиттальная и осевая Т2ВИ для оценки перелома и целостности трехглавой мышцы
(Слева) На боковой рентгенограмме локтевого сустава у женщины 73 лет после незначительной травмы локтевого сустава определяется дистракционный перелом локтевого отростка. Край смещенною отломка плохо определяется, а весь отломок и конец собственной локтевой кости несколько прозрачные, что свидетельствует о наличии опухоли. Это был патологический перелом через миеломный очаг.
(Справа) На передне-задней рентгенограмме у этой же пациентки видны медиально смещенные отломки расширяющейся опухоли локтевого отростка. (Слева) На боковой рентгенограмме можно видеть раздробленные оторвавшиеся отломки, исходящие из проксимальною кончика локтевого отростка, что указывает на разрыв трехглавой мышцы.
(Справа) На осевой КТ виден перелом медиального края локтевою отростка без смещения. Продольные переломы проксимальною конца локтевой кости без смещения иногда очень сложно обнаружить на рентгенограммах. (Слева) На фронтальной МРТ Т1ВИ у этою же пациента видна линия неполною перелома с низким сигналом в локтевом отростке.
(Справа) На осевой MPT PDBИ FS у этого же пациента определяется перелом, окруженный отеком костного мозга с высоким сигналом. Повреждение этой области локтевого отростка у спортсменов-метателей, применяющих верхний бросок, не является редкостью и поэтому ею следует учитывать при дифференциальной диагностике боли в локтевом суставе у этих пациентов.
в) Дифференциальная диагностика перелома локтевого отростка:
1. Разрыв трехглавой мышцы без костного компонента (редкий):
• Боль и отек в области верхушки локтевого отростка
• Невозможность разгибания локтевого сустава
• Отсутствие патологических изменений костей на рентгенограмме
2. Блоковая борозда:
• Анатомический вариант нормы в большой сигмовидной вырезке блока
3. Нормальный центр оссификации:
• Хорошо очерченные, склеротические края
• Сливается в возрасте 14-18 лет
• Дорсальная надблоковая кость: несрастание
4. Сесамовидная кость локтевого сустава (patella cubiti):
• Удлиненная сесамовидная кость в дистальной части трехглавой мышцы по латеральному краю
• Гладкий кортикальный слой
• Синоним: двуразделенный локтевой отросток
5. Повреждение Монтеджи:
• Перелом проксимальной трети диафиза локтевой кости (внесуставной)
• Вывих лучеголовчатого сустава
6. Бурсит локтевого отростка:
• Проявляется болевым симптомом над локтевым отростком
• Отсутствие костной патологии на рентгенограмме
• Выступающая локальная припухлость мягких тканей
7. Остеотомия:
• Поперечная остеотомия через локтевой отросток является частым открытым хирургическим доступом к локтевому суставу или дистальному концу плечевой кости
• Прямая, поперечная линия просветления локтевого отростка с фиксацией (шурупом или восьмиобразной стягивающей проволочной петлей)
(Слева) В латеральной проекции у мальчика 10 лет определяется крупный перелом периостальной манжеты локтевого отростка. Это необычное повреждение, при котором надкостница и подвижный отломок кортикальною слоя оторвались от кости. Обратите внимание, что центр оссификации локтевого отростка перемещается вместе с костным отломком. Это перелом Салтера-Харриса II.
(Справа) В боковой проекции локтевого отростка после открытой репозиции с внутренней фиксацией перелома локтевого отростка видна фиксирующая пластина и шурупы для фиксации. Эти пластины разработаны специально для данной локализации перелома. (Слева) На передне-задней рентгенограмме у этою же пациента дополнительно можно видеть форму пластины, фиксирующей проксимальный конец локтевой кости. Этот метод лечения приобретает популярность в силу небольшою числа осложнений.
(Справа) На сагиттальной MPT Т2 FS у питчера 12 лет с болью в локтевом суставе определяется отек вдоль зоны роста локтевою отростка, что соответствует апофизиту/стресс перелому локтевого отростка. Это нечастый компонент локтя игрока малой лиги. (Слева) На осевой МРТ Т2 FS у этою же пациента также виден острый отрыв медиальною надмыщелка с небольшим смещением, повреждение, которое стало показанием для МРТ. Жидкость в области зоны роста патологическая. Отрыв произошел во время метания мяча.
(Справа) На сагиттальной МРТ Т2ВИ видна нормальная блоковая борозда (вырезка) в средней части суставной поверхности локтевого отростка. Это «обнаженная область» в суставном хряще и ее не следует принимать за перелом.
г) Патология:
1. Общая характеристика:
• Этиология:
о Повреждение прямым ударом:
- Падение на локтевой отросток
- Непосредственное сдавливание предметом
о Растяжение:
- Падение на согнутый локтевой сустав
- Разгибание локтевого отростка против сопротивления
о Переразгибание:
- Локтевой отросток вдавливается в заднюю блоковую борозду
о Вальгусное давление:
- Сдавливающая травма у спортсменов-метателей, применяющих верхний бросок
- Захватывает медиальный край
Боковая проекция локтевого сустава позволяет увидеть перелом локтевого отростка с минимальным смещением без признаков перехода на венечный отросток. Лучеголовчатый и локтевой суставы сохранены. Здесь можно видеть боковую проекцию у этого же пациента. Проведена фиксация стягивающей проволокой. Стягивающую проволоку протянули в виде восьмерки и закрепили двумя спицами Киршнера. При простых переломах локтевого отростка это эффективное лечение, хотя осложнения, связанные с металлоконструкцией, наблюдаются часто. В боковой проекции локтевого сустава определяется сложный перелом дистального конца плечевой кости. Локтевой отросток интактен. Фиксация перелома плечевой кости потребует остеотомии локтевого отростка для доступа к плечевой кости. Здесь можно видеть боковую проекцию у этого же пациента после оперативной репозиции двухмыщелкового перелом плечевой кости. После остеотомии локтевого отростка наложена пластина и выполнена фиксация шурупами.
2. Стадирование, градации и классификация перелома локтевого отростка:
• Ассоциация классификации остеосинтеза:
о Тип А: внесуставной перелом
о Тип В: внутрисуставной перелом
о Тип С: внутрисуставные переломы как локтевого отростка, так и головки лучевой кости
• Классификация Шацкера:
о Тип А: простой поперечный перелом
о Тип В: поперечный вдавленный перелом
о Тип С: косой перелом
о Тип D: оскольчатый перелом
о Тип Е: более дистальный перелом (внесуставной)
о Тип F: переломовывих
д) Клинические особенности:
1. Демография:
• Возраст:
о Взрослые > дети
• Эпидемиология:
о 20% переломов локтевого сустава у взрослых
о 6% переломов локтевого сустава у детей
2. Течение и прогноз:
• Осложнения:
о Ограниченный объем движений
о Остеоартрит
о Осложнения, связанные с металлической конструкцией:
- До 80% при стягивающей фиксации
о Гетеротопная оссификация (13-14%)
о Несрастание (< 5%)
о Повреждение локтевого нерва (10%)
о Инфекция (0-6%)
3. Лечение перелома локтевого отростка:
• Переломы без смещения лечатся консервативно
• Операция при смещении >2 мм:
о Хирургические методики должны превышать существенную силу натяжения в месте прикрепления трехглавой мышцы
о Удаление отломка и перемещения трехглавой мышцы:
- Пожилые пациенты с остеопорозом
- Невозможность первичной репозиции отломка
о Стягивание проволокой:
- Исторически самый безопасный и простейший метод
- В настоящее время применяется реже
о Фиксация пластиной:
- Оскольчатые переломы
- Переломы с захватом клювовидного отростка
- Повреждения Монтеджи
- Пластины приобретают все большую популярность с развитием блокирующих пластин для этой области
о Фиксация костномозговым шурупом:
- Часто в сочетании со стягиванием проволокой
е) Диагностическая памятка:
1. Следует учесть:
• Разрыв трехглавой мышцы
• Повреждение Монтеджи
• Другие сопуствтующие переломы
2. Советы по интерпретации изображений:
• В передне-задней проекции изменения могут быть едва заметными или отсутствовать
3. Рекомендации по отчетности:
• Описывают размер и смещение отломка(ов)
• Оценивают другие переломы
• Внутрисуставной в сравнении с внесуставным
• Повреждение выступающего бугорка
Рентгенограмма, КТ, МРТ при переломе венечного отростка локтевой кости
а) Определения:
• Перелом венечного отростка локтевой кости:
о Обычно сочетается с задним вывихом предплечья
• Повреждение по типу «несчастной триады»:
о Перелом венечного отростка
о Перелом головки лучевой кости
о Вывих предплечья
1. Общая характеристика:
• Лучший диагностический критерий:
о Отделение части венечного отростка на боковой рентгенограмме
• Локализация:
о Проксимальный конец локтевой кости кпереди от локтеблокового сустава
• Размер:
о Отломок может быть разного размера от крошечного до целого венечного отростка
• Морфология:
о Обычно треугольный отломок
о Перелом во фронтальной плоскости

(Слева) На сагиттальной 2D КТ с реформатированием виден перелом верхушки венечного отростка с минимальным смещением. Это повреждение I типа по Регану/Моррею, которое обычно лечится консервативно.
(Справа) На сагиттальной 2D КТ с реформатированием виден перелом с захватом 50% венечного отростка. Это повреждения II типа в системе классификации Регана/Моррея. Операция при повреждениях II типа зависит от клинической оценки стабильности локтевого сустава.
2. Рентгенография при переломе венечного отростка локтевой кости:
• Лучше определяется в боковой проекции
• Костный отломок около кончика венечного отростка
3. КТ при переломе венечного отростка локтевой кости:
• Один или больше мелких, покрытых кортикальным слоем отломков, исходящих из венечного отростка
• Часто наблюдается после вправления вывиха предплечья:
о Подтверждает анатомическое вправление
о Выявляет рентгенологически скрытые переломы венечного отростка и головки лучевой кости
4. МРТ при переломе венечного отростка локтевой кости:
• Ищут сопутствующий разрыв связок локтевого сустава в случае вывиха:
о Передний пучок локтевой коллатеральной связки
о Разрыв передней капсулы
• Сопутствующее повреждение сухожилие плечевой мышцы
5. Рекомендации по визуализации:
• Лучший метод визуализации:
о Боковая рентгенография
• Рекомендация по протоколу:
о Некоторые переломы лучше видны в косой проекции
о Исследование после вправления вывиха дает лучшие результаты

(Слева) На рисунке перелома венечного отростка определяется смещение всего венечного отростка от локтевой кости. Это повреждение III типа по Регану/Моррею.
(Справа) На боковой рентгенограмме локтевого сустава определяется перелом венечного отростка со смещением. Отломок перелома раздроблен и захватывает практически весь венечный отросток; это перелом IV типа Регана/Моррея с медиальным расширением, включая выступающий бугорок на последующей КТ (не показано).
в) Дифференциальная диагностика:
1. Внутрисуставное тело в венечной ямке:
• Венечный отросток сохраняет нормальный размер и форму
2. Перелом головки мыщелка плечевой кости:
• Криволинейный, а не треугольный отломок
1. Общая характеристика:
• Этиология:
о Обычно в результате заднего вывиха предплечья:
- Падение на вытянутую руку
- Венечный отросток вдавливается в блок
о Изолированный перелом встречается редко:
- Отрыв в месте прикрепления сухожилия плечевой мышцы
- Прямое сдавливание блока без вывиха
2. Стадирование, градации и классификация перелома венечного отростка локтевой кости:
• Классификация Регана/Моррея:
о I тип: перелом кончика венечного отростка:
- В результате заднего вывиха предплечья
- Механизм сдвига
о II тип: перелом - 50% венечного отростка
о III тип: перелом целого венечного отростка
о IV тип: II или III тип + расширение в медиальную сторону:
- Может захватывать выступающий бугорок (прикрепление локтевой коллатеральной связки)
1. Течение и прогноз:
• Обычно в результате заднего вывиха предплечья
• Изолированные переломы венечного отростка встречаются редко
• Осложнения:
о Неподвижность
о Нестабильность
о Гетеротопная оссификация
о Отломки могут стать свободными в полости сустава:
- Ограниченный объем движений
2. Лечение:
• Зависит от типа Регана/Моррея:
о I тип: лечится консервативно
о II тип: необходимо определить степень нестабильности локтевого сустава:
- Оценивают при разгибании >60°
- При нестабильности требуется операция
о III или IV тип: первичная пластика связок локтевого сустава:
- Венечный отросток можно репонировать хирургически
1. Следует учесть:
• Вывих предплечья как предрасполагающий фактор
• Симптомы, ассоциированные с нестабильностью локтевого сустава
• Перелом головки лучевой кости («несчастная триада»)
2. Советы по интерпретации изображений:
• Исследуют рентгенограммы после вправления при небольших отломках
3. Рекомендации по отчетности:
• Описывают размер отломка (классификация Регана/Моррея)
ж) Список использованной литературы:
1. Chen HW et al: Complications of treating terrible triad injury of the elbow: a systematic review. PLoSOne. 9(5):e97476, 2014
2. Rouleau DM et al: Management of fractures of the proximal ulna. J Am Acad Orthop Surg. 21 (3):149-60, 2013
3. Manidakis N et al: Fractures of the ulnar coronoid process. Injury. 43(7):989-98, 2012
4. Steinmann SP: Coronoid process fracture. J Am Acad Orthop Surg. 16(9):519-29, 2008
5. Wells J et al: Coronoid fractures of the elbow. Clin Med Res. 6(1):40-4,2008
6. Ring D: Fractures of the coronoid process of the ulna. J Hand Surg Am. 31(10):1679-89, 2006
а) Терминология:
1. Синонимы:
• Перелом обеих костей: обычно перелом средней трети диафиза лучевой и локтевой костей
• Перелом «полицейской дубинки»: перелом диафиза локтевой кости без смещения
• Пластическая деформация: перелом по типу изгиба
2. Определения:
• Перелом, полный или неполный лучевой и/или локтевой кости
• Переломовывих: как правило, перелом одной кости предплечья с сопутствующим вывихом другой как в локтевом, так и в лучезапястном суставе
1. Общая характеристика:
• Лучший диагностический критерий:
о Переломы или вывих одной или обеих костей предплечья
• Локализация:
о В любом месте предплечья от лучеголовчатого сустава до дистального лучелоктевого сустава
• Морфология:
о Лучевая и локтевая кость надежно связаны крепкой межкостной связкой:
- Перелом одной кости со смещением обычно приводит к:
Перелому другой кости и
Вывиху другой кости
о Травма, вызванная прямым ударом, может привести к перелому без смещения только одной кости
о Перелом обеих костей: как правило, от средней до дистальной 1/3 предплечья
о Перелом «полицейской дубинки»: изолированный перелом локтевой кости, как правило, от средней до дистальной 1/3
о Перелом по типу изгиба: локтевая кость чаще, чем лучевая кость; обычно полный перелом смежной кости предплечья
(Слева) На передне-задней рентгенограмме определяются двойной перелом лучевой кости и оскольчатый перелом средней трети диафиза локтевой кости. Обратите внимание, что в то время как дистальные трети костей предплечья и запястья видны в передне-задней проекции, проксимальная треть костей предплечья и локтевой сустав находятся в боковой проекции, что указывает на вращение на 90° в местах переломов.
(Справа) На боковой рентгенограмме у этого же пациента определяются переломы лучевой и локтевой костей со смещением на ширину диафиза. (Слева) На передне-задней рентгенограмме определяется перелом дистальной трети локтевой кости с легким угловым локтевым отклонением дистального отломка перелома. Лучевая кость интактна. В случае, когда перелом возникает в кости предплечья вследствие травмы при прямом ударе, как например, этот, другая кость часто остается интактной.
(Справа) Боковая рентгенограмма у этого же пациента подтверждает, что, несмотря на наличие перелома дистальной трети диафиза локтевой кости, лучевая кость интактна. Это называется повреждением «полицейской дубинки», поскольку оно часто возникает в результате удара в предплечье при защите лица или головы. (Слева) На передне-задней и боковой рентгенограммах виден угловой перелом проксимальной трети лучевой костив. Локтевая кость интактна и отсутствует диастаз дистального лучелоктевого сустава. Изолированные переломы диафиза лучевой кости встречаются нечасто.
(Справа) На боковой рентгенограмме у восьмилетнего мальчика определяется смещение ладонного кортикального слоя каждого перелома, но дорсальный кортикальный слой интактный. Такая картина обусловлена жесткой надкостницей у детей, что называется переломом по типу «зеленой ветки», поскольку он имитирует картину сломанной свежей ветки дерева без разрыва коры.
2. Рентгенография при переломе костей предплечья:
• Линии перелома обычно расположены в средней трети диафиза
• Локальное повреждение кортикального слоя при неполном переломе
• Изгиб обеих костей
3. КТ при переломе костей предплечья:
• Может использоваться для подтверждения слабовыраженного вывиха дистального лучелоктевого сустава
4. Рекомендации по визуализации:
• Лучший метод визуализации:
о Рентгенография в ортогональных проекциях
в) Дифференциальная диагностика перелома костей предплечья:
1. Повреждение Галеацци:
• Перелом диафиза лучевой кости и вывих дистального лучелоктевого сустава
2. Повреждение Монтеджи:
• Перелом диафиза локтевой кости и вывих лучеголовчатого сустава
3. Повреждение Эссекс-Лопрести:
• Оскольчатый перелом головки лучевой кости (или простой перелом и тяжелый разрыв связок) и вывих дистального лучелоктевого сустава
(Слева) На передне-задней рентгенограмме у пациента 19 лет, рука которого попала под роликовый пресс, видна лучевая изгибистая деформация диафизов лучевой и локтевой костей. Отчетливая линия перелома не определяется, локтевой и лучезапястный сустав интактны.
(Справа) На боковой рентгенограмме у этого же пациента в острый период травмы виден заметный дорсальный изгиб диафизов лучевой и локтевой костей. Отчетливая линия перелома отсутствует. (Слева) Боковая рентгенограмма противоположной конечности у этого же пациента, полученная в острый период травмы, патологические изменения отсутствуют.
(Справа) На передне-задней и боковой рентгенограммах пораженного предплечья у этого же пациента после закрытой репозиции виден возврат к нормальной картине. Репозиция таких переломов обычно заключается в постоянном давлении на кости, помещенных на опору, для возврата к состоянию до повреждения (как в этом случае). В некоторых случаях, чтобы осуществить фиксацию, такие переломы необходимо перевести в линейные переломы. (Слева) В передне-задней проекции предплечья виден очевидный перелом со смещением лучевой кости. Однако перелом локтевой кости отсутствует, что является очень необычной находкой. Обратите внимание на неправильное срастание локтевой кости в дистальном лучезапястном суставе, свидетельствующее о вывихе.
(Справа) В боковой проекции дистальной трети предплечья и лучезапястного сустава у этого же пациента более четко виден полный вывих локтевой кости в дистальном лучелоктевом суставе.
г) Патология. Общая характеристика:
• Этиология:
о Падение на вытянутую руку
о Осевая нагрузка, передаваемая на лучевую и локтевую кость, что приводит к обоим из следующих повреждений:
- Парные переломы обеих костей с одинаковой локализацией
- Перелом одной и вывих другой кости
о Прямой удар:
- Одна локтевая кость:
Более частый
Перелом «полицейской дубинки» встречается, когда рукой пытаются защитить лицо от удара
- Одна лучевая кость:
Значительно менее частый
о Изгибающая (пластическая) деформация:
- Почти исключительно у детей
- Редко у взрослых
1. Демография:
• Возраст:
о Дети: 1-10 лет; взрослые
• Эпидемиология:
о Частые: 23% всех переломов у детей
о Переломы предплечья встречаются в 10 раз чаще, чем повреждения запястья как у взрослых, так и у детей
2. Течение и прогноз:
• Неполный перелом срастается в анатомическом положении
• У детей неполный перелом срастается с ремоделированием
• Пластический перелом не ремоделируется
3. Лечение:
• Репозиция; перелом обеих костей у взрослых, как правило, требует открытого вправления с внутренней фиксацией
• Вправление и стабилизация смежного нестабильного сустава
1. Следует учесть:
• Если виден только один перелом ищут сопутствующие повреждения
• Может присоединиться компартмент-синдром
2. Советы по интерпретации изображений:
• Тщательно исследуют локтевой и лучезапястный сустав на предмет сопутствующих переломов или вывиха
ж) Список использованной литературы:
1. Bartoncek J et al: History of operative treatment of forearm diaphyseal fractures. J Hand Surg Am. 39(2):335-42, 2014
2. Jayakumar P et al: Non-union in forearm fractures. Acta Chir Orthop Traumatol Cech. 81(1 ):22-32, 2014
3. Massobrio M et al: Forearm post-traumatic deformities: classification and treatment. Injury. 45(2):424-7, 2014
4. Tianhao W et al: Plastic deformation of the forearm in adults: an analysis of 30 cases. J Orthop Surg Res. 9( 1): 117, 2014
5. Edwards SG et al: Proximal forearm fractures. Orthop Clin North Am. 44( 1 ):67-80, 2013
Перелом локтевого отростка
Перелом локтевого отростка – это нарушение целостности локтевого отростка в результате травматического воздействия. Проявляется отеком, болезненностью, кровоизлиянием и ограничением движений. Патология диагностируется с учетом жалоб, данных внешнего осмотра и результатов рентгенологического исследования. В сомнительных случаях назначается КТ. Лечение переломов без смещения консервативное. При переломах со смещением требуется операция – чрескостный шов, фиксация отломка при помощи металлоконструкции или резекция локтевого отростка.
МКБ-10
Общие сведения
Перелом локтевого отростка – достаточно распространенное повреждение. Такие травмы составляют около 1% от общего числа переломов костей конечностей и 6-30% от общего числа внутрисуставных переломов локтевого сустава. Чаще выявляются у людей молодого и среднего возраста. У детей в возрасте до 10 лет наблюдаются очень редко. В большинстве случаев сопровождаются смещением отломков и образованием диастаза между локтевой костью и «оторвавшимся» фрагментом локтевого отростка.
Обычно являются изолированным повреждением либо сочетаются с вывихом локтевого сустава и/или другими переломами костей предплечья. Реже наблюдаются сочетания с переломами костей конечностей, ЧМТ, переломами таза, переломами позвоночника, повреждением грудной клетки, повреждением почки, разрывом мочевого пузыря, тупой травмой живота и т. д. Лечение переломов локтевого отростка осуществляют врачи-травматологи.
Причины
Перелом локтевого отростка обычно развивается в результате бытовой травмы - падения на согнутый локоть. При сочетании с другими повреждениями структур локтевого сустава причиной может становиться прямой удар, автодорожная катастрофа, падение с высоты и пр.
Классификация
В зависимости уровня в травматологии и ортопедии выделяют переломы верхушки, основания и середины локтевого отростка, в зависимости от характера повреждения – простые, косые, поперечные и оскольчатые повреждения. В некоторых случаях могут возникать переломы с элементами компрессии, в этом случае сминается участок губчатой кости, из которой состоит локтевой отросток. Возможны закрытые и открытые повреждения со смещением либо без смещения фрагментов. Большинство переломов – внутрисуставные. Выделяют:
- Тип 1 или повреждения без смещения: тип 1А (неоскольчатый), тип 1В (оскольчатый).
- Тип 2 или стабильные повреждения со смещением: тип 2А (неоскольчатый), тип 2В (оскольчатый). Смещение фрагмента составляет более 2-3 мм, при этом сохраняется стабильность костей предплечья относительно плеча. Коллатеральные связки не повреждены.
- Тип 3 или нестабильные повреждения со смещением: тип 3А (неоскольчатый) и тип 3В (оскольчатый). Относятся к категории подвывихов или переломовывихов.
Более чем в 90% случаев повреждение локтевого отростка является следствием прямой травмы – падения на заднюю поверхность согнутого локтевого сустава или прямого удара в область локтевого отростка. Реже возникает при непрямой травме – падении на руку при напряженной трехглавой мышце. В последнем случае образуются косые или поперечные повреждения с различной степенью смещения.
Симптомы перелома
Больной жалуется на резкую боль в области локтевого отростка и придерживает полусогнутую больную руку здоровой, чтобы избежать случайных болезненных движений. При частичных разрывах сухожилия трицепса и повреждениях со смещением невозможно активное разгибание предплечья. Локтевой сустав отечен (преимущественно по задней поверхности), нередко выявляются кровоизлияния. Пальпация резко болезненна, в ряде случаев удается нащупать щель между костными фрагментами.
Диагностика
Для уточнения диагноза назначают рентгенографию локтевого сустава. Лучше всего такие переломы видны на боковых снимках при сгибании предплечья под углом 90 градусов. На рентгенограммах обычно четко определяется характер и количество отломков, а также величина диастаза между ними. Дополнительные исследования, как правило, не требуются. В отдельных случаях для детализации плотных структур больных направляют на КТ локтевого сустава. Переломы локтевого отростка могут сопровождаться повреждением локтевого нерва, поэтому при наличии неврологической симптоматики необходима консультация невролога.
Лечение перелома локтевого отростка
При повреждениях без смещения и со смещением, не превышающем 2-3 мм, возможно консервативное лечение – иммобилизация гипсовой лонгетой. Руку сгибают под углом 50-90 градусов, предплечье выводят в нейтральное положение. В первые дни назначают анальгетики, блокады. После спадания отека (через 5-6 дней) выполняют контрольную рентгенографию, при отсутствии вторичного смещения гипс циркулируют и сохраняют в течение 3 недель. Затем используют поддерживающую повязку и назначают ЛФК, постепенно наращивая нагрузку. Полная консолидация, как правило, наступает в течение 6-7 недель.
Отношение к физиотерапии при таких повреждениях у травматологов неоднозначное. Одни специалисты считают, что физиопроцедуры могут провоцировать образование оссификатов, другие полагают, что оссификация обусловлена не физиолечением, а первичной травмой. С учетом этого, физиотерапию назначают осторожно и не всегда. Возможно применение тепловых процедур (теплых ванн, парафина, озокерита), массаж мышц предплечья и плеча. На этапе реабилитации иногда используют механотерапию.
Повреждение локтевого отростка со смещением является показанием к операции. Хирургическое вмешательство осуществляется в условиях травмотделения. В зависимости от локализации и характера перелома может применяться обычный чрескожный шов лавсановой петлей или проволокой, восьмиобразный чрескожный шов, остеосинтез спонгиозным винтом, остеосинтез спицами в сочетании с восьмиобразной петлей, остеосинтез винтом в сочетании восьмиобразной петлей, остеосинтез пластиной и винтами или резекция проксимального отломка.
Последний способ используется при повреждениях у пожилых пациентов, а также при многооскольчатых и несросшихся переломах. Его преимуществом является устранение возможности несрастания фрагментов, недостатками – наличие небольшого косметического дефекта (отсутствие локтевого выступа под кожей) и некоторое снижение эффективности локтевого сустава. При наличии одного отломка обычно используют различные варианты петлевого чрезкожного шва, при оскольчатых повреждениях – пластины с винтами. Если приходится удалять мелкие отломки, остеосинтез сочетают с пластикой костным аутотрансплантатом.
После операции возможны два варианта. При остеосинтезе с использованием металлоконструкции гипс не накладывают, в течение 2-3 недель используют поддерживающую косыночную повязку, ЛФК начинают в зависимости от рекомендаций лечащего врача (зависит от выбранной оперативной методики). При резекции локтевого отростка на 3 недели накладывают заднюю лонгету. ЛФК начинают на 7-10 день, снимая повязку во время упражнений.
Прогноз и профилактика
Прогноз обычно благоприятный. В процессе реабилитации стоит учитывать, что локтевой сустав – один из самых «капризных». Даже после непродолжительной иммобилизации в нем могут возникать ограничения движений. Он достаточно тяжело разрабатывается, срок полного восстановления может занимать несколько месяцев. Гарантией полной реабилитации является упорство и регулярные занятия лечебной физкультурой в точном соответствии с рекомендациями врача и инструктора ЛФК. Первичная профилактика заключается в предупреждении травм.
Травмы локтевого сустава
Основным методом диагностики травм локтевого сустава традиционно является рентгенологический. Дополнительное значение имеет МРТ. Роль МРТ состоит в выявлении признаков артроза, повреждения связок, мышц и выявлении эпикондилита а также кубитального тоннельного синдрома.
Дислокации локтевого сустава
Дислокации локтевого сустава без перелома рассматриваются как простые, с переломом – как комплексные. Наиболее типичные переломы – это головки лучевой кости и переломы локтевого отростка. В некоторых случаях наблюдается триада из перелома головки лучевой кости, перелома венечного отростка локтевой кости и подвывиха назад.

Триада: перелом головки лучевой кости, перелом венечного отростка и подвывих назад. Рентгенограмма в боковой проекции.

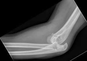
Перелом локтевого отростка локтевой кости. Рентгенограмма в боковой проекции.
Переломы области локтевого сустава
В области локтевого сустава встречаются дистальные переломы плечевой кости. У детей это чаще всего простые надмыщелковые (супракондилярные) переломы. Они делятся на три типа: тип 1 -без смещения, тип 2 – со смещением, но без повреждения кортикального слоя, и тип 3 – с полным смещением. Поскольку не всегда удается увидеть линию перелома, следует обращать внимание приподнимание переднего комка жировой клетчатки и расположение передней линии плеча. Она в норме пересекает на боковых снимках головку в средней ее трети. Реже встречаются медиальные эпикондилярные переломы и латеральные эпикондилярные переломы.
Помимо переломов плечевой кости наблюдаются переломы лучевой и локтевой кости. Эти типы переломов характерны для взрослых. Обычно переломы головки лучевой кости изолированные, но могут быть и в сочетании с переломом венечного отростка локтевой кости и повреждением связочного аппарата. Изредка встречаются переломы локтевого отростка локтевой кости, обычно при прямом ударе или падении на локоть.
На МРТ локтевого сустава при любом переломе видна реакция костного мозга. Это помогает в диагностике, если перелом сразу не виден на рентгенограмме. В дальнейшем можно прицельно дообследовать подозрительную область. При консолидировавшихся переломах на МРТ остается видна линия перелома, а окружающий костный мозг нередко подвергается жировой дегенерации. МРТ в СПб стало необходимым компонентом обследования пациентов с травмой суставов и осуществимо в высоких полях или открытом МРТ. МРТ СПб дает возможность исследовать методом МРТ локтевой сустав в разных центрах, однако, наш опыт позволяет рекомендовать обследование именно у нас.

Рентгенограмма (слева) и МРТ локтевого сустава (справа). Суставная мышь (стрелка). Выпот и синовит на Т2-взвешенной МРТ.
Хронические и острые повреждения мягких тканей
При однотипных движениях нередко встречаются эпикондилиты и синдром складки локтевого сустава. Эти патологии хорошо видны при МРТ локтевого сустава. При МРТ в СПб, мы особо обращаем внимание на состояние мягких тканей, так как их изменения еще могут быть причиной тоннельных синдромов. Кроме того вследствие травмы при МРТ области локтевого сустава наблюдаются повреждения мышц.

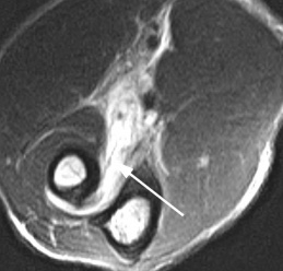
МРТ локтевого сустава. Т2-взвешенная МРТ, аксиальный срез ниже суставной щели. Разрыв двуглавой мышцы плеча (стрелка).

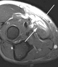
МРТ локтевого сустава. Т2-взвешенная аксиальная МРТ. Разрыв круглого пронатора (стрелка).
Читайте также:
- Рентгенограмма, КТ при кандидозном эзофагите
- Гальванический кислородный датчик. Полярографический кислородный датчик
- Плазмаферез при гемолитической болезни новорожденных. Гемотрансфузионные реакции и осложнения
- Различия между вестибулярным и спонтанным нистагмом. Прессорный нистагм - фистульный симптом
- Коллоидно-осмотическое давление плазмы и интерстициальной жидкости
