Рентгенограмма, КТ, МРТ при прогрессирующем системном склерозе
Добавил пользователь Евгений Кузнецов Обновлено: 18.12.2025
а) Терминология:
1. Аббревиатура:
• Прогрессирующий системный склероз (ПСС)
2. Синонимы:
• Склеродермия
• Системный склероз
3. Определение:
• Генерализованное аутоиммунное заболевание соединительной ткани с полиорганным поражением кожи, легких, сердца, почек
• Ограниченный кожный системный склероз (60%):
о Поражение кожи кистей, предплечий, стоп, лица
о Долговременный феномен Рейно
о Синдром CREST: кальциноз, феномен Рейно, дисфункция пищевода, склеродактилия, телеангиоэктазии
• Диффузный кожный системный склероз (40%):
о Острое начало: феномен Рейно, поражение кожи конечностей и туловища
о Высокая частота интерстициальных заболеваний легких
• Склеродермия без кожных проявлений (редкая форма):
о Интерстициальное заболевание легких без поражения кожи
б) Визуализация:
1. Общая характеристика:
• Лучший диагностический признак:
о Субплевральные ретикулярные изменения с апикально-базальным градиентом и расширение пищевода
• Локализация:
о Нижние отделы легких
2. Рентгенография легких при склеродермии:
• Легкие:
о Симметричные ретикулонодулярные изменения в базальных отделах
о Слабовыраженные ретикулярные изменения в базальных отделах (в виде «сеточки») со временем прогрессируют в грубые фиброзные тяжи
о Уменьшение объема легких, иногда вне зависимости от тяжести поражения легких
о Элевация диафрагмы, которая может быть обусловлена атрофией диафрагмальной мышцы и фиброзом
• Сопутствующие изменения:
о Расширение пищевода с наличием газа в его просвете лучше всего можно оценить на рентгенограмме органов грудной клетки в боковой проекции
о Утолщение плевры и плевральный выпот (редко)
о Эрозии верхних и задне-наружных краев ребер
о Резорбция дистальных фаланг, кальцинаты в виде «пучков»
о Вторичный рак легкого (чаще аденокарцинома, вт.ч. in situ)
• Кардиомегалия:
о Перикардиальный выпот
о Легочная гипертензия
о Ишемия миокарда из-за поражения мелких сосудов
о Инфильтративная кардиомиопатия

(Слева) На аксиальной КТВР у пациента с прогрессирующим системным склерозом и НСИП определяются двухсторонние участки «матового стекла» и ретикулярные изменения в сочетании с тракционными бронхиолоэктазами. Субплевральные отделы легких интактны, что характерно для НСИП. Обратите внимание на расширение пищевода.
(Справа) На аксиальной КТ с КУ у пациента с прогрессирующим системным склерозом и интерстициальным заболеванием легких определяется расширение легочного ствола и левой легочной артерии, обусловленное легочной гипертензией.
3. КТ легких при склеродермии:
• КТ с КУ:
о Расширение пищевода (часто)
о Лимфаденопатия (часто):
- Редко обнаруживается на рентгенограммах органов грудной клетки
- Чаще всего является реактивной и возникает в условиях интерстициального заболевания легких
о Расширение легочных артерий как признак легочной гипертензии:
- Может возникать и вне интерстициального заболевания легких
- Признак неблагоприятного прогноза
о Утолщение плевры (псевдобляшки, 33%):
- Субплевральные микроузелки
- Псевдобляшки (90%): слияние субплевральных микроузелков - Диффузное утолщение плевры (33%)
• КТВР:
о Интерстициальное заболевание легких
о Неспецифическая интерстициальная пневмония (НСИП) (чаще всего):
- «Матовое стекло» и ретикулярные изменения:
Минимальная выраженность «сотового легкого» или его отсутствие
- Апикально-базальный градиент
- Тракционные бронхо- и бронхиолоэктазы:
Выраженность бронхоэктазов может не соответствовать тяжести интерстициального заболевания легких
- Перибронховаскулярное распределение, отсутствие изменений со стороны субплевральных отделов; высокоподозрительные признаки НСИП
о Обычная интерстициальная пневмония (ОИП) (реже):
- Напоминает НСИП; преобладает «сотовое легкое»
о Обширные участки «матового стекла» (особенно, новые) позволяют предположить острое проявление заболевания:
- Имитируют присоединение инфекции или отек легких на диагностических изображениях; дифференциальная диагностика осуществляется на основании клинических и лабораторных данных, в т.ч. при бронхоальвеолярном лаваже
о Диффузный аспирационный бронхиолит:
- Разбросанные центрилобулярные очаги и «дерево в почках»
- Бронхо- и бронхиолоэктазы, утолщение стенок бронхов
о При обнаружении дискретных очагов или объемных образований нужно исключать рак легкого (требуется наблюдение и/или биопсия)
4. Другие диагностические исследования:
• Эзофагоскопия:
о Расширение пищевода
о Гастроэзофагеальный рефлюкс
о Зияющий пищеводно-желудочный переход
5. Рекомендации по визуализации:
• Лучший метод диагностики:
о КТВР чувствительнее рентгенографии для оценки поражения легких
о Эзофагография для оценки подвижности пищевода

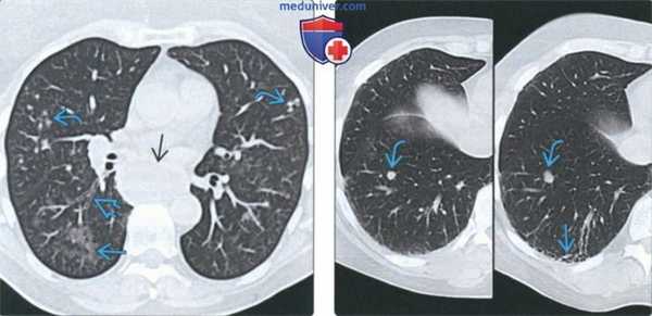
(Слева) На аксиальной КТВР у пациента с прогрессирующим системным склерозом и НСИП в базальных отделах легких определяются участки «матового стекла» и кистовидные структуры, сопоставимые с бронхоэктазами.
(Справа) На сагиттальной КТВР у этого же пациента визуализируются кистовидные структуры, намного больше напоминающие бронхоэктазы, чем «сотовое легкое». Бронхоэктазы (вне зависимости от тяжести интерстициального заболевания легких) часто встречаются у пациентов с прогрессирующим системным склерозом.
в) Дифференциальная диагностика поражения легких при склеродермии:
1. Неспецифическая интерстициальная пневмония:
• Идентичная картина на КТВР
• Отсутствие расширения пищевода
2. Идиопатический легочный фиброз:
• Отсутствие расширения пищевода или нарушений со стороны костей и мышц
• Интерстициальное заболевание легких (выраженные нарушения); «сотовое легкое» встречается чаще
• «Матовое стекло» обнаруживается реже
• Поражение субплевральных отделов
3. Аспирационная пневмония:
• Рецидивирующие участки снижения пневматизации и фиброз в гравитационно зависимых отделах легких
• Известное заболевание, приводящее к нарушению подвижности пищевода
• Выше риск у пациентов с прогрессирующим системным склерозом
4. Асбетоз:
• Отсутствие расширения пищевода
• Плевральные бляшки (80%)
• Легочный фиброз с картиной ОИП
5. Ревматоидный артрит:
• Отсутствие расширения пищевода
• Может обнаруживаться идентичная картина на КТВР (ИСИП или ОИП)
• Симметричные эрозии суставов
6. Реакция на лекарственный препарат:
• Отсутствие расширения пищевода
• КТВР-картина может соответствовать ПСС
7. Саркоидоз:
• Отсутствие расширения пищевода
• Перилимфатические микроузелки преимущественно в верхних долях

(Слева) На аксиальной КТ без КУ у пациента с прогрессирующим системным склерозом и аспирационным бронхиолитом визуализируются участки «матового стекла» и сгруппированные центрилобулярные очаги, а также минимально выраженные бронхоэктазы с обеих сторон. Определяется также расширение пищевода.
(Справа) На аксиальных изображениях (КТ) у пациента с прогрессирующим системным склерозом и аденокарциномой легкого продемонстрирован рост очага нижней доли правого легкого в течение 12 месяцев. В субплевральных отделах визуализируются фиброзные тяжи. У пациентов с интерстициальным заболеванием легких повышен риск рака легкого.
г) Патология:
1. Общая характеристика:
• Этиология:
о Снижение количества циркулирующих Т-супрессоров и NK-клеток; возможно подавление пролиферации фибробластов
о Антитопоизомераза I (30%), анти-РНК-полимераза III, антитела к гистонам, ассоциированные с интерстициальным заболеванием легких
о Антицентромерные антитела при варианте синдрома CREST, не ассоциированного с интерстициальным заболеванием легких
• Избыточная продукция коллагена и отложение его в тканях
• Легкие поражаются чаще всего после кожи, артерий, и пищевода
2. Градации и классификация:
• Критерии Американской Коллегии Ревматологов: для установления диагноза необходимы один «большой» или два «малых» критерия
о «Большие» критерии: поражение кожи проксимальнее метакарпально-фаланговых суставов
о «Малые» критерии: склеродактилия, рубцы в виде «рытвин», отсутствие краевых разрастаний на дистальных фалангах пальцев, двухсторонний пневмофиброз в базальных отделах
3. Микроскопия:
• Легочная гипертензия:
о Главный отличительный признак: концентрический ламинарный фиброз, немногочисленные плексиформные поражения
• НСИП: целлюлярная или фибротическая форма (80%)
• ОИП: фибробластическая пролиферация, фиброз, структурные нарушения (10-20%)
д) Клинические особенности:
1. Проявления:
• Типичные признаки/симптомы:
о Поражение легких обычно возникает вслед за кожными проявлениями:
- Феномен Рейно-наиболее типичное проявление (до 90%), тендинит, артралгия, артрит
- Диспноэ (90%), кашель; боль в грудной клетке, обусловленная плевритом; лихорадка, кровохарканье, дисфагия
• Другие признаки/симптомы:
о Уплотнение, индурация, утолщение кожи
о Сосудистые нарушения
о Мышечно-скелетные проявления
о Поражение легких, сердца, почек
о Нарушение перистальтики пищевода, гастроэзофагеальный рефлюкс, кандидоз желудка, стриктуры пищевода, потеря веса
о Заболевание почек: гипертония, почечная недостаточность
о Антинукпеарные антитела (100%)
о Функциональные дыхательные пробы:
- Рестриктивная или обструктивная картина
- Снижение диффузионной способности
о Бронхоальвеолярный лаваж: картина лимфоцитарного или нейтрофильного альвеолита (50%)
2. Демография:
• Возраст:
о Типичный возраст дебюта: 30-50 лет
• Пол:
о М:Ж= 1:3
• Эпидемиология:
о 1,2 случаев/100 тысяч человек
о Поражение легких у >80% при аутопсии
3. Течение и прогноз:
• Вялотекущее и прогрессирующее заболевание легких
• Высокий риск рака легкого; связь с легочным фиброзом:
о Чаще всего аденокарцинома, в тч. in situ
• Прогноз: пятилетняя выживаемость 70%:
о Наиболее типичная причина гибели - легочная гипертензия
4. Лечение поражения легких при склеродермии:
• Коррекция функции пораженных органов
• Интерстициальное заболевание легких:
о Циклофосфамид
о Кортикостероиды
• Контроль артериального давления крайне важен для предотвращения почечной недостаточности
е) Диагностическая памятка. Следует учесть:
• ПСС у пациентов с хроническим интерстициальным заболеванием легких и расширением пищевода
• Рак легкого у пациентов с ПСС и новыми солитарными или доминирующими солидными (субсолидными) очагами
Редактор: Искандер Милевски. Дата обновления публикации: 13.1.2022
Рентгенограмма, КТ, МРТ при прогрессирующем системном склерозе
1. Синонимы:
• Склеродермия, диффузная склеродермия:
о CREST-синдром (кальцификация, синдром Рейно, снижение перистальтики пищевода, склеродактилия, телеангиэктазии) = ограниченная (локализованная) склеродермия
2. Определение:
• Прогрессирующий системный склероз (ПСС): поражение нескольких систем органов, характеризующееся утолщением кожи и васкулитом:
о Триада: широко распространенная микроангиопатия, фиброз и аутоиммунная реакция
1. Общая характеристика:
• Лучший диагностический критерий:
о Акроостеолиз с кальцификацией мягких тканей
2. Рекомендации по визуализации:
• Лучший метод визуализации:
о Для оценки патологических изменений ОДА лучшим методом диагностики является рентгенография
о МРТ используется для оценки легких патологических изменений ОДА: эрозий, теносиновита, миозита, и решения спорных вопросов
о МРТ, КТ используется для выявления поражения внутренних органов (легкие, сердце, органы ЖКТ)

(Слева) КТ высокого разрешения, аксиальный срез: определяется расширение пищевода с уровнями воздух-жидкость, что говорит о нарушении моторики и интерстициальной болезни легких с поражением оснований. Поражение легких может обусловить тяжелое течение ПСС, и пациенты должны постоянно обследоваться на наличие поражения.
(Справа) Рентгенография в боковой проекции, этот же пациент: в подкожно-жировой клетчатке определяется плотный листовидный кальцификат. Хотя такая картина может наблюдаться при воспалительном миозите, она также наблюдается при ПСС, диагностированном у этого пациента.
3. Рентгенография при прогрессирующем системном склерозе:
• Изменение кожи:
о Ранняя стадия: отек
о Средняя стадия: конусообразное сужение кожи на кончиках пальцев
о Поздняя стадия: контрактуры, возможны изъязвления
• Кальциноз:
о Может наблюдаться на любой стадии
о Может быть точечным, шаровидным или даже листовидным
о У 73-86% пациентов обнаруживается кальциноз кистей:
- Напротив, частота кальцификации пальцев у пациентов с ПСС составляет 10-30%
• Акроостеолиз (40-80%):
о Резорбция ногтевых бугристостей, истончение, со временем развивается резорбция всей дистальной фаланги
• Артрит:
о Нечасто на ранней стадии заболевания
о Поздние стадии: эрозии и сужение хряща:
- Может стать тяжелым → анкилоз, особенно ДМФС
о Подвывих первого пястно-запястного сустава считается характерным признаком заболевания:
- Резорбция трапециевидной кости и основания первой пястной кости и лучевой кости, проксимальный подвывих большого пальца
4. УЗИ при прогрессирующем системном склерозе:
• Синовит, теносиновит, кальциноз, оценка состояния дистальных сосудов
5. КТ при прогрессирующем системном склерозе:
• КТ высокого разрешения применяется для оценки фиброза легких:
о Фиброз по типу пчелиных сот (базилярный)
о Картина по типу матового стекла при альвеолите
• Расширение пищевода с уровнями воздух-жидкость
• Брюшная полость:
о Широкие дивертикулы толстой кишки
о Псевдоосумкованность противобрыжеечного края тонкой кишки
о Редко пневматоз
6. МРТ при прогрессирующем системном склерозе:
• Кальциноз:
о Низкая интенсивность сигнала при всех последовательностях
• Изменение кожи:
о Ранняя стадия: отек с высокой интенсивностью сигнала при использовании последовательностей, чувствительных к жидкости
о Утолщение подкожно-жировых перегородок (65%)
о Поздняя стадия: фиброз с низкой ИС и нарушением нормальной архитектоники подкожно-жировой клетчатки
• Теносиновит:
о Часто является ранним признаком заболевания (21%)
о Синовиальные оболочки, заполненные жидкостью:
- Жидкость: низкая ИС на Т1ВИ
- Жидкость: высокая ИС при использовании последовательностей, чувствительных к жидкости:
Могут содержать области утолщения синовиальной оболочки с низкой интенсивностью сигнала или фибринозные узелки на сухожилиях
- При контрастном усилении синовиальная оболочка накапливает контраст вокруг скоплений жидкости с ↓ ИС
о Сами сухожилия обычно сохранны
• Артрит:
о Отек костного мозга
о Синовит (43%)
о Мелкие эрозии, истончение хряща
• Изменение фасций:
о Утолщение (60%) и контрастирование (53%)
о Контрастирование перифасциальных пространств (16%)
• Миопатия (14%):
о Легкая миопатия на ранней стадии, обусловленная фиброзом мышц:
- Обычно не является истинной воспалительной миопатией
- ↑ интенсивность сигнала на STIR с контрастированием
о Атрофия: уменьшение объема мышечной ткани, ↑ сигнала от жира
• Фиброз миокарда, проявляющийся при МРТ контрастным усилением

(Слева) Рентгенография в ЗП проекции: определяется изъязвление мягких тканей и конусообразное сужение мягких тканей пальцев в сочетании с акроостеолизом. Мягкие ткани также сужаются конусообразно. Такая тяжеля степень акроостеолиза может развиваться на средней или поздней стадиях ПСС.
(Справа) Рентгенография в ПЗ проекции: у пациента с ПСС определяется почти листовидный кальциноз мягких тканей, что может наблюдаться при дерматомиозите. Такая картина неспецифична.
в) Дифференциальная диагностика прогрессирующего системного склероза:
1. Гиперпаратиреоз:
• Схожий характер акроостеолиза и кальцификации мягких тканей
• При гиперпаратиреозе (ГПТ) должны определяться другие признаки резорбции костной ткани:
о В поднадкостничной, субхондральной и подсвязочной областях
2. Термическая травма, ожоги:
• Схожий характер акроостеолиза и кальцификации мягких тканей
• Часто развиваются контрактуры (могут наблюдаться в позднюю стадию ПСС)
3. Псориатический артрит:
• Может развиваться акроостеолиз
• Повышение плотности ногтевых бугристостей (по типу слоновой кости) может симулировать кальциноз
• Схожий характер эрозий ДМФС, хотя при псориатическом артрите развивается раньше, чем при ПСС

(Слева) Рентгенография в ПЗ проекции: в мягких тканях запястья визуализируются шаровидные кальцификаты. Также отмечаются шаровидные кальцификаты по ходу ладонной поверхности первого пальца (не представлены), оба этих признака указывают на ПСС.
(Справа) Рентгенография в боковой проекции, этот же пациент: определяются листовидные кальцификаты, в большей степени являющиеся признаком дерматомиозита. Хотя обе эти картины могут наблюдаться и при ПСС, и при дерматомиозите, их сочетание заставляет задуматься о наличии смешанного поражения соединительной ткани (синдром наложения).
1. Общая характеристика:
• Этиология:
о Неизвестнча; предполагается иммунное расстройство, поскольку присутствуют характерные антитела:
- ANA, антицентромерные, анти-Scl-70
о Возможно влияние триггеров окружающей среды у предрасположенных лиц
- Псевдосклеродермические синдромы с эпидемическими контактами с токсическими веществами
о Первичным проявлением может быть поражение сосудов:
- Активация/повреждение и апоптоз эндотелиальных клеток, утолщение интимы, расслоение, сужение и облитерация сосудов
- Нарушение ангиогенного ответа
• Генетика:
о Множество генов, участвующих в регуляции иммунного ответа, являются генами чувствительности для ПСС
2. Микроскопия:
• Ранние изменения кожи: лимфоцитарная инфильтрация преимущественно Т-клетками
• Основной патологический признак: отложение коллагена/фиброз:
о Разрастание фиброзной ткани в дерме сопровождается утратой придатков кожи, таких как волосяные фолликулы
о В скелетных мышцах и миокарде развивается атрофия мышечных волокон с их замещением фиброзной тканью
1. Проявления:
• Типичные признаки/симптомы:
о Изменение кожи является отличительным признаком заболевания (63%):
- Ранняя стадия: утолщение, отек; естественные складки кожи поверх суставов пальцев могут исчезать
- Отсутствие волос в области поражения
- При ПСС поражаются акральные области, преимущественно проксимальные отделы конечностей, кожа лица и туловища
- Синдром Рейно, исчезновение подушечек пальцев; подногтевой гиперакантоз; открытые язвы
- Подкожный кальциноз
- Поздняя стадия: контрактуры
о Симптомы со стороны ОДА:
- Часто наблюдаются артралгии и контрактуры
- В некоторых случаях изначально напоминают ревматоидный артрит с синовитом
- Пальпируемое трение сухожилия
- Слабость мышц, обусловленная атрофией и фиброзом
о Симптомы со стороны желудочно-кишечного тракта:
- Нарушение перистальтики пищевода; субстернальная дисфагия
- Симптоматический рефлюкс
- Поражение тонкой кишки (атрофия гладкомышечных клеток) встречается менее часто
- Рецидивирующие приступы диареи, перемежающейся запорами; псевдонепроходимость встречается нечасто
о Симптомы со стороны сердечно-сосудистой системы:
- Интерстициальная болезнь легких → рестриктивные изменения при исследовании функции легких
- Увеличение легочного давления может влиять на развитие правосторонней сердечной недостаточности
- У 80% пациентов наблюдается интерстициальная болезнь легких (ИБЛ); у 10-20% развивается прогрессирующая ИБЛ
- Может развиваться фиброз миокарда
о Симптомы со стороны мочевыделительной системы:
- Почечный гипертонический криз может привести к быстро прогрессирующей почечной недостаточности
о Гипотиреоз (фиброз щитовидной железы) в 25%
о CREST-синдром (ограниченная склеродермия):
- Из всех признаков кальциноз встречается наименее часто
- Почти во всех случаях развивается склеродактилия и синдром Рейно:
Необходимо исключить нарушения перистальтики пищевода и подкожные телеангиоэктазии
Склеродактилия: утолщение кожи дистальнее локтевых/коленных суставов
Редко поражается лицо или шея
- Редко артралгия/артрит
- Фиброз легкого отмечается в 1/3 случаев
• Другие признаки/симптомы:
о У большинства пациентов определяются ANA
о Антицентромерные антитела: определяются у > 50% пациентов с CREST-синдромом, меньше у пациентов с ПСС
2. Демография:
• Возраст:
о У 50% появляется в возрасте до 40 лет
• Пол:
о ПСС: 80% пациентов женского пола
о CREST-синдром: мужчины < женщины (М:Ж=1:3)
• Этническая принадлежность:
о Возможно увеличение встречаемости и тяжести у афроамериканок по сравнению с белыми женщинами
о Распространенность среди коренного народа США Чокто ↑ в 100 раз
• Эпидемиология:
о Редкое заболевание: распространенность 250 пациентов на 1 млн жителей США
о Возможна более высокая распространенность в США по сравнению с Северной Европой или Азией
о CREST-синдром (ограниченная склеродермия) встречается более часто, чем диффузная склеродермия (ПСС)
3. Течение и прогноз:
• Прогноз тесно связан с поражением внутренних органов:
о Пятилетняя выживаемость без поражения органов >90%
о Пятилетняя выживаемость при поражении легких 70%:
- Даже легкая легочная артериальная гипертензия может обусловить высокую тяжесть заболевания
о Пятилетняя выживаемость при поражении почек 50%:
- Смертность 20% при развитии почечного гипертонического криза
4. Лечение:
• Лекарственных средств с подтвержденным влиянием на течение заболевания не существует
• При синдроме Рейно могут быть использованы вазодилататоры
• На ранних стадиях заболевания может быть полезен преднизолон
• Пеницилламин: возможен регресс утолщения кожи и аномалий легочной и желудочно-кишечной систем
• Лечение CREST-синдрома направлено на облегчение симптоматики
о Средства для согревания рук
о Прекращение курения
о Уход за кожей кистей/стоп
• Ранний скрининг для диагностики поражения внутренних органов
Диагностика рассеянного склероза по КТ, МРТ
а) Терминология:
1. Сокращения:
• Рассеянный склероз (PC)
2. Определения:
• Демиелинизация, предположительно аутоиммунного генеза, развивающаяся у генетически предрасположенных лиц при участии воздействия факторов окружающей среды
1. Общие характеристики рассеянного склероза:
• Лучший диагностический критерий:
о Множественные перпендикулярно ориентированные гиперинтенсивные на Т2-ВИ очаги, расположенные в каллозо-септальной области
• Локализация:
о > 85%-перивентрикулярная/перивенулярная
о 50-90% - в каллозо-септальной области О Субкортикальные U-волокна, средние ножки мозжечка, ствол мозга, спинной мозг
о Инфратенториальная область (< 10% у взрослых, более часто у детей)
• Размеры:
о Мелкие (5-10 мм), псевдотуморозные поражения-до нескольких см
• Морфология:
о Линейной, округлой или овоидной формы; форма коническая по типу цели или по типу «очаг в очаге»
2. КТ признаки рассеянного склероза:
• КТ с контрастированием:
о Изо-/гиподенсные очаги ±слабо-/умеренноинтенсивноеконтрастирование очагов
о Наблюдается как солидный, так и кольцевой характер накопления контрастного вещества

(а) МРТ, SWI, аксиальный срез: определяется характерная перивенулярная локализация демиелинизирующей бляшки с проходящей сквозь нее медуллярной веной.
(б) МРТ, Т1-ВИ, сагиттальный срез: в перивентрикулярном белом веществе определяются множественные гипоинтенсивные очаги («черные дыры»), появление которых обусловлено деструкцией аксонов. Обратите внимание на умеренное расширение желудочков и борозд. Наличие «черных дыр» на Т1-ВИ коррелирует с более выраженным повреждением тканей и усиленной деструкцией аксонов, что выявляется при гистологическом исследовании.
3. МРТ признаки рассеянного склероза:
• Т1-ВИ:
о Обычно гипо- или изоинтенсивный сигнал
о Гипоинтенсивность коррелирует с деструкцией аксонов («черные дыры»)
о Наличие гипоинтенсивных очагов на Т1-ВИ является признаком неблагоприятного прогноза
- Коррелирует с нарушением трудоспособности, атрофией, прогрессированием заболевания
о Понижение интенсивности сигнала от зубчатых ядер наблюдаются при вторично-прогрессирующей форме
• Т2-ВИ:
о Гиперинтенсивные очаги линейной формы, радиально расходящиеся от желудочков
о Также поражаются субкортикальные U-волокна, средние ножки мозжечка, ствол головного мозга и спинной мозг
о Большое количество очагов в коре головного мозга может быть предиктором первично-прогрессирующего PC
о При хроническом PC в 10-20% случаев наблюдается понижение интенсивности сигнала от базальных ганглиев
• FLAIR:
о Наиболее ранний признак: перемежающееся линейные участки повышения интенсивности сигнала по ходу эпендимы на сагиттальных FLAIR-изображениях
- Эпендимальный симптом «линии точка-тире»
о Двусторонние, асимметрично расположенные очаги гиперинтенсивного сигнала линейной/овоидной формы
о Перивенулярное распространение; «пальцы Доусона»
- По ходу глубоких медуллярных вен
о С увеличением тяжести течения заболевания очаги гиперинтенсивного сигнала сливаются
• ДВИ:
о Большинство острых бляшек: нормальная или ↑ диффузивность
о В некоторых бляшках наблюдается ограничение диффузии:
- Часто по краям острых бляшек
о Вподострых/хронических бляшках наблюдается ↑ диффузивности
о DTI: ↓ продольной диффузивности в областях аксонального повреждения
• Постконтрастные Т1-ВИ:
о Преходящее контрастирование очагов в период активной демиелинизации (в > 90% случаев исчезает влечение шести месяцев):
- Узловой (68%) или кольцевой (23%) характер накопления контрастного вещества
- Характер контрастного усиления в форме полумесяца, незамкнутого кольца, подковы (9%)
- Редко: крупные псевдотуморозные очаги с кольцевым характером накопления контрастного вещества
• МР-спектроскопия:
о ↓ пика NAA (NAA/Cr), ↑ пика холина (Cho/Cr), ↑ пика миоинозитола
о Измнения при МР-спектроскопии обнаруживаются во внешне неизменном белом веществе (ВНБВ)
о Только при вторично-прогрессирующем PC при МР-спектроскопии определяется ↓ пика NAA во внешне неизмененном сером веществе (ВНСВ):
- Может позволить провести дифференциальную диагностику между ремиттирующе-рецидивирующей и вторично-прогрессирующей формами
• МР-перфузия (Т2*-ВИ с контрастным усилением): низкий rCBV:
о Может позволить отличить псевдотуморозную форму PC от опухоли
• Перенос намагниченности (ПН):
о ↓ соотношения ПН (ОПН) в поражениях/ВНБВ
• МРТ с исследованием функциональной коннективности:
о ↓ функциональной коннективности между участками преимущественно зрительной и двигательной коры правого/левого полушарий
• Сравнение 3,0Т и 1,5Т: ↓ числа контрастируемых очагов на 21 %, ↓ объема контрастируемыхочагов на 30%, ↓ объема всех очагов на 10%
4. Рекомендации по визуализации:
• Советы по протоколу исследования:
о МРТ с контрастным усилением и получением сагиттальных FLAIR-изображений
о Методики с подавлением сигнала от жира для оценки неврита зрительных нервов

(а) МРТ, постконтрастное Т1-ВИ, сагиттальный срез: крупное гипоинтенсивное образование с периферическим полулунным характером накопления контраста по типу незамкнутого или «открытого кольца», что. является классическим псевдотум о розного демиелинирующего процесса - наиболее часто, PC.
(б) МР-спектроскопия при ТЕ = 144 мс: у этого же пациента наблюдается выраженный пик холина в сочетании со I пика NAA. МР-спектроскопия при псевдотуморозном демиелинизирующем заболевании не дает специфических результатов, МР-спектрограмма может имитировать опухоль. МР-перфузия, метод динамической восприимчивости контраста, DSC (вставка): выраженное ↓ rCBV, что также указывает на демиелинизирущее заболевание.
в) Дифференциальная диагностика рассеянного склероза:
1. Острый диссеминированный энцефаломиелит (ОДЭМ):
• Вирусное монофазное заболевание с продромальным периодом, которое более часто встречается в детском возрасте
• Может имитировать PC; часто вовлекается серое вещество
• Поражения при ОДЭМ имеют тенденцию к более крупным размерам, более выраженному отеку и часто имеют симметричную локализацию
2. Оптиконевромиелит:
• Неврит зрительного нерва и поражение спинного мозга
• Поражение головного мозга имеет нетипичный для PC внешний вид и тенденцию граничить с ликворными пространствами срединной локализации
3. Аутоиммунный васкулит:
• Контрастируемые очаги поражения не локализуются в каллозо-септальной области
• Вид типа «нити бусин» при ангиографии
4. CADASIL:
• Ранняя деменция и повторные инсульты в сочетании с мутациями гена NOTCH3
• Характерна тенденция к «щажению» мозолистого тела, субкортикальных U-волокон
5. Болезнь Лайма:
• Картина при визуализации может быть идентична PC (часто наблюдаются кожные высыпания)
6. Синдром Сусака:
• Классическая триада: энцефалопатия, окклюзия ветви артерии сетчатки, тугоухость
1. Общие характеристики рассеянного склероза:
• Этиология:
о Неизвестна; возможно, вирусная и/или аутоиммунная у генетически предрасположенных лиц
о Активированные Т-лимфоциты атакуют миелиновую оболочку аксонов
о ЦОГ-2, iNOS могут вызывать эксайтотоксическую гибель олигодендроцитов
• Генетика:
о Многофакторное заболевание; ↑ встречаемость у родственников первой линии родства
2. Стадирование и классификация:
• Основные клинические подтипы:
о Ремиттирующий-рецидивирующий (РР) — 85% при манифестации
о Вторично-прогрессирующий (ВП), также известный как рецидивирующий-прогрессирующий:
- РР переходит в фазу ВП к 10-му году заболевания у 50% пациентов, к 25-му году-у 90%
о Первично-прогрессирующий (ПП), также известный какхро нический прогрессирующий:
- У 5-10% пациентов с PC изначально наблюдается прогрессирующая форма
о Прогрессирующий с обострениями (ПО):
- Редкий; определяется как прогрессирующая форма заболевания с выраженными обострениями ± полное восстановление
- Периоды между обострениями характеризуются продолжающимся прогрессированием заболевания
о Изолированный синдром (РИС):
- Наличие характерных для PC признаков при МРТ без типичных симптомов PC и при нормальной неврологической картине
• Варианты/подтипы PC:
о Злокачественный PC/болезнь Марбург: пациенты более молодого возраста с фебрильной лихорадкой в продромальном периоде и фульминантным клиническим течением, смерть наступает в течение нескольких месяцев
о Тип Шильдера («диффузный склероз»); протяженные двусторонние сливные асимметричные зоны демиелинизации в супра- /инфратенториальной мозговой паренхиме
о Тип Бало («концентрический склероз»): крупные зоны поражения с чередующимися зонами демиелинизации/миелини-зированного БВ
3. Макроскопические и хирургические особенности:
• Острый PC; перивентрикулярно расположенные бляшки желтовато-белого цвета с нечеткими границами
• Хронический PC: гранулированные бляшки серого цвета с четкими границами ± генерализованная потеря объема мозговой ткани
4. Микроскопия:
• Перивенозная демиелинизация, потеря олигодендроцитов:
о Активный PC: пенистые макрофаги с фрагментами миелина, липидами; реактивные астроциты + периваскулярное воспаление; атипичные реактивные астроциты, митозы (имитируют опухоль)
о Хронический PC: выраженная потеря миелина, олигодендроцитов; плотный астроглиоз; воспаление в периваскулярной области выражено минимально или отсутствует
• Рассечение аксонов
• В СМЖ выявляются олигоклональные полосы

(а) МРТ, постконтрастное Т1 -ВИ, аксиальный срез: определяется концентрический слоистый характер накопления контрастного вещества по типу «луковицы», что характерно для острого концентрического склероза Бало. Концентрический склероз Бало является редким вариантом агрессивного течения PC, для которого характерно острое начало и быстрое ухудшение состояния.
(б) МРТ, Т1 -ВИ, аксиальный срез: у молодого мужчины, у которого нарушения зрения возникли в короткие сроки, в глубоком и пери вентрикулярном белом веществе определяются крупные контрасти-руемые зоны демиелинизирующего поражения. Болезнь Марбург является острым фульминантным вариантом PC.
д) Клиническая картина:
1. Проявления рассеянного склероза:
• Наиболее частые признаки/симптомы:
о Вариабельны; изначально диплопия и другие нарушения зрения, что обусловлено невритом зрительного нерва (у 50% пациентов с его выявлением при МРТ развивается PC)
о Слабость, парестезии, нарушение походки
о ↓ контроля сфинктеров, слепота, паралич, деменция
о Паралич черепных нервов; обычно множественный, в 1-5% изолированный (наиболее часто ЧН V, ЧН VI)
о Симптомы поражения спинного мозга в 80% случаев
2. Демография:
• Возраст:
о 20-40 лет; пик начала - 30 лет; 3-5% < 15 лет, 9% >50 лет
• Пол:
о Взрослые: М:Ж = 1:2 о Подростки: М:Ж = 1:3-5
• Этническая принадлежность:
о Встречается во всех этнических группах, наиболее часто среди представителей европеоидной расы о Заболевание наиболее распространено в зонах умеренного климата
• Эпидемиология:
о Число людей с PC во всем мире оценивается в 2,5 миллиона
о Наиболее частое инвалидизирующее заболевание ЦНС у молодых взрослых; встречаемость 1:1000 в западных странах
3. Течение и прогноз:
• У 1/3 пациентов после первого эпизода происходит полное или почти полное восстановление функций
• У > 80% пациентов с «вероятным» PC после выявления МРТ-признаков заболевания возникают клинические проявления
• В большинстве случаев: затяжное течение с прогрессированием симптомов
• На поздней стадии: высокая степень утраты трудоспособности, когнитивные нарушения
4. Лечение:
• Иммуномодуляторы и/или иммуносупрессивные препараты
е) Диагностическая памятка. Совет по интерпретации изображений:
• У 95% пациентов с клинически установленным PC наблюдаются признаки заболевания при МРТ
ж) Список литературы:
1. Roosendaal SD et al: Imaging phenotypes in multiple sclerosis. Neuroimaging Clin N Am. 25(1):83—96, 2015
а) Терминология:
• Прогрессирующий системный склероз (ПСС): поражение нескольких систем органов, характеризующееся утолщением и фиброзом кожи
• Изменения кожи:
о Ранняя стадия: отек
о Средняя стадия: конусообразное сужение кожи на кончиках пальцев
о Поздняя стадия: контрактуры
• Кальциноз:
о Может быть точечным, шаровидным, даже листовидным
о У 73-86% пациентов обнаруживается кальциноз кистей
• Акроостеолиз (40-80%):
о Резорбция ногтевых бугристостей, истончение, со временем развивается резорбция всей дистальной фаланги
• Артрит (нечасто на ранней стадии заболевания):
о На поздней стадии заболевания развиваются эрозии и сужение хряща
о Подвывих и эрозия первого запястно-пястного сустава считается характерным признаком ПСС
(Слева) Рентгенография в ЗП проекции: в области пальцев определяется ранняя стадия акроостеолиза с сопутствующим конусообразным сужением мягких тканей, а также шаровидные кальцификаты В в мягких тканях. Хотя оба этих признака могут наблюдаться при ГПТ, признаки поднадкостничной резорбции отсутствуют, что делает наиболее вероятным диагноз ПСС.
(Справа) Рентгенография в косой проекции при ПСС в поздней стадии: определяется акроостеолиз и шаровидные кальцификаты мягких тканей. Имеется контрактура 2-4 пальцев. Такое сочетание признаков может наблюдаться при ожоговой травме, но диагностирован ПСС. (Слева) Рентгенография в ЗП проекции: классическая картина прогрессирующего системного склероза, или склеродермии в поздней стадии. Наблюдается выраженный кальциноз мягких тканей как в подкожно-жировой клетчатке, так и в околосуставной области. Обратите внимание на акроостеолиз, наиболее выраженный в третьем пальце. Имеются эрозии ДМФС-часто встречающийся признак ПСС в поздней стадии.
(Справа) Рентгенография в ЗП проекции: в области запястья определяется кальцификация подкожно-жировой клетчатки и ТХВК. В 1-м ПЗП суставе определяется резорбция в области сустава и выраженный подвывих. Такая картина считается отличительным признаком ПСС.
• КТ в высоком разрешении используется для оценки фиброза легкого:
о Расширенный пищевод с уровнями воздух-жидкость
• МРТ при патологических изменениях опорно-двигательного аппарата (ОДА):
о Теносиновит часто является ранним признаком заболевания (на сухожилии могут наблюдаться фиброзные узелки, очерченные синовиальной жидкостью)
о Мышцы: в поздней стадии атрофия и фиброз
о На ранней стадии наблюдается миопатия, неотличимая от миопатии другой этиологии
в) Клинические особенности:
• У 50% пациентов клиническая картина развивается до 40 лет
• ПСС: 80% пациентов женского пола:
о CREST-синдром: мужчины < женщины (М:Ж = 1:3)
• Редкое заболевание: в США наблюдается у 250 пациентов на 1 млн
• Прогноз тесно связан с поражением внутренних органов:
о Пятилетняя выживаемость 50% при поражении почек
о Пятилетняя выживаемость 70% при поражении легких
Рассеянный склероз на МРТ головного мозга

Рассеянный склероз представляет собой тяжелое прогрессирующее заболевание нервной системы человека, во время которого больной постепенно теряет двигательные функции и речь. Диагностика рассеянного склероза (РС) - это весьма сложная врачебная задача, требующая времени и данных многократных МРТ исследований головного и спинного мозга. Трудность постановки окончательного диагноза связана с механизмом развития этого демиелинизирующего заболевания. Первичный толчок в развитии РС играет вирус герпеса, полученный в детстве в результате таких инфекционных заболеваний, как корь и краснуха. По неизвестным пока медицине причинам, когда во взрослом возрасте происходит снижение иммунного барьера, в некоторых случаях вирус реактивируется и начинает вызывать сбой в иммунной системе.
Механизм появления РС
Строение этого вируса внешне имеет очень большое сходство с миелином - белком, который обволакивает нервные волокна. При его разрушении происходит нарушение в проводимости импульсов нервными волокнами и возникают разнообразные неврологические патологии. Иммунная система организма отвечает за борьбу с любыми вирусами. Когда идентифицируется реактивированный вирус герпеса, она начинает его атаковать, а поскольку он очень схож с миелином, то атаке подвергается и собственные нервные волокна. Так начинает свое развитие рассеянный склероз.
Факторы, которые могут провоцировать дебют рассеянного склероза или его обострение, очень разнообразны. Это:
- любое инфекционное заболевание - человек перенес грипп, простуду;
- у женщин часто начала заболевания или обострения РС связано с беременностью и родами. Если женщина уже состоит на учете у невролога с подозрением на развитие рассеянного склероза, то таким женщинам иногда даже врачи советуют воздержаться от беременности, потому что часто детовынашивание приводит к быстрому развитию инвалидизации.
- больным с РС нельзя находиться на солнце, это провоцирует стадию обострения. Солнце агрессивно, и люди должны понимать, что, загорая, они резко снижают свой иммунный барьер и становятся открытыми для реактивирования вирусов в организме.



Признаки рассеянного склероза
Первыми признаками рассеянного склероза, которые даже не каждый врач невролог к сожалению может распознать, - это кратковременное быстро проходящее нарушение зрения. Пациент может пожаловаться на то, что внезапно потемнело в глазах, и он вдруг ничего не видит, а потом через несколько часов зрение восстановилось.
Второй признак - внезапно развивающаяся слабость или онемения в конечностях, возможно в какой-то одной руке или ноге.
Третий признак рассеянного склероза - нарушение мочеиспускания. В неврологии это называется по типу императивных позывов. То есть, возникает внезапное желание помочиться, и человек не может воспротивиться этому желанию. Он чувствует, что если он сейчас его не реализует, то произойдет самопроизвольный выпуск мочи.
Иногда на ранних стадиях заболевания наблюдается поражение лицевого нерва. Дело в том, что рассеянный склероз излюбленным местом своей локализации выбирает именно те области головного мозга, которые отвечают за двигательную функцию. В ходе развития РС поражается лицевой нерв, и у человека появляется асимметрия лица. Часто бывают ситуации, когда в холодное время года возникает лицевой тик, человек думает, что он просто простудил лицевой нерв, невролог быстро проводит восстановительное лечение мазью, и только через 5 или 7 лет выясняется, что это был дебют рассеянного склероза.
Рассеянный склероз затрагивает и чувствительную сферу. Нарушается она за счет поражения вибрационной чувствительности, на которую больной вряд ли пожалуется. Это можно выявить только при неврологическом исследовании на приме у врача.
В ходе прогресса болезни у человека возникают проблемы с координацией. У больного появляется шаткость при ходьбе, он идет как пьяный, но при этом у него нет головокружения. Пациент может жаловаться, что когда он сидит, он нормально себя чувствует, но когда он встает, его начинает раскачивать из стороны в сторону, причем происходить это может приступообразно. Таким образом невролог диагностирует мозжечковую атаксию, когда поражается мозжечковые пути при рассеянном склерозе.
Картина рассеянного склероза на МРТ
Признаками рассеянного склероза головного и спинного мозга на МРТ изображениях будут:
- слабовыраженные очаговые изменения, повышение сигнала Т2;
- типичное вовлечение спинного мозга;
- распространенность не более двух сегментов;
- поражения латеральных или задних столбов белого вещества с возможным вовлечением центральных отделов;
- в острой фазе утолщение спинного мозга;
- в хронической фазе слияний очагов;
- атрофические изменения в мозге - заместительная гидроцефалия.
| Признаки РС на МРТ | Норма и очаги рассеянного склероза на МРТ снимках |
![]() |
Пример МРТ заключения с признаками РС
МОЗГОВОЕ ВЕЩЕСТВО: В глубоком и субкортикальном белом веществе. в том числе: юкстакортикально. в перивентрикулярных отделах, мозолистом теле, внутренней капсуле, среднем мозге, ножках и полушариях мозжечка. В стволе головном мозга определяются множественные (более 10> очаги повышенного в Т2 и Т2 Нан: ВИ. Некоторые — пониженного в Т1 ВИ - сигнала, размерами от 5 до 10 мм. Очаги повышенного в Т2 сигнала в верхних сегментах спинного мозга не определяются.
КОНТРАСТИРОВАНИЕ: Внутривенно введено 15мл контрастного препарата Магневиста. Патологического накопления контрастного вещества при динамическом/отсроченном сканировании не выявлено.
ПРИ СРАВНЕНИИ С ПРЕДЫДУЩИМ ИССЛЕДОВАНИЕМ определяются новые очаги в правом полушарии мозга размерами 5 мм.
ЛИКВОРОСОДЕРЖАЩИЕ ПРОСТРАНСТВА: Желудочки мозга не расширены. Конвекситальные субарахноидальные пространства не изменены. Базальные цистерны нормального размера. Смещение срединных структур - нет.
КОСТНЫЕ СТРУКТУРЫ: Кости свода черепа - без изменений. Структуры орбит без видимых патологических изменений.
Диагностика рассеянного склероза на МРТ
Для того, чтобы диагностировать рассеянный склероз, неврологи назначают пациенту сделать сначала МРТ головного мозга. Такое обследование необходимо сделать на высокопольном томографе мощностью магнитного поля не менее 1,5 Тесла. На начальном этапе развития болезни очаги рассеянного склероза могут быть незначительных размеров, поэтому лучше всего для их четкой визуализации осуществить МРТ головного мозга с контрастом. Если томографическое обследование показало наличие симптомов РС, врач назначит дополнительное обследование МРТ спинного мозга, чтобы понять, есть ли распространение очага и на эту зону нервной системы.
Помимо томографического исследования лечащий врач проведет неврологический осмотр и уточнит у больного историю его детских заболеваний и наличия вышеперечисленных клинических проявлений РС.
Данные томографии вкупе с результатами осмотра пациента позволят врачу поставить или опровергнуть первичный диагноз. Затем врач установит режим наблюдения за больным, чтобы оценить степень и скорость развития процесса демиелинизации. Все эти данные позволят выработать адекватную терапию по замедлению прогресса рассеянного склероза и улучшению качества жизни пациента.
Как определить рассеянный склероз по МРТ
Изменения на МРТ при рассеянном склерозе будут включать в себя:
Наличие множественных очагов измененного МР- сигнала.
Размеры очагов варьируются от 0,2 см до 1,1см.
Перифокальные изменения вокруг очагов часто отсутствуют. Продольная ось большинства из них ориентирована перпендикулярно сагиттальной плоскости. В стадии обострения очаги копят контрастный препарат.
Магнитно-резонансная томография также позволяет дифференцировать рассеянный склероз от следующих заболеваний:
- злокачественные и доброкачественные новообразования
- ишемические поражения тканей, кровоизлияния
- другие демиелинизирующие процессы
- воспалительные заболевания, в том числе поражения мозга у больных СПИДом
- наследственные заболевания, связанные с нарушением структуры головного мозга.
Запись в день обращения
Как часто нужно делать МРТ при рассеянном склерозе
Диагностика рассеянного склероза обычно занимает 1,5 - 2 года. Чтобы убедиться в точности диагноза, врачи оценивают, как развивается процесс во времени. Для этого пациенту назначают сделать МРТ головного и спинного мозга с временным интервалом 3-6 месяцев. Сравнительный анализ изменений позволяет оценить динамику образования новых очагов, географию распространения поражения и степень затронутости спинного мозга.
Видно ли на МРТ рассеянный склероз
Признак рассеянного склероза на МРТ снимках будут видны на ранней стадии, однако диагноз РС в ходе томографии врач рентгенолог не ставит. Это задача лечащего невролога, который на основании данных истории болезни, неврологического осмотра и серии МРТ осуществляет окончательную диагностику и определяется со стратегией терапии.
Читайте также:

