Рентгенограмма, КТ, МРТ при ревматоидном артрите осевого скелета
Добавил пользователь Валентин П. Обновлено: 08.11.2025
Что необходимо знать о болезни Стила
- Как разновидность инфекционного неспецифического ревматоидного артрита известна болезнь Стила для которой характерен серонегативный хронический полиартрит в сочетании с системным воспалительным процессом.
- Ревматоидный артрит - это системное заболевание соединительной ткани с преимущественным поражением мелких суставов по типу эрозивно-деструктивного полиартрита.
- В детском возрасте протекает в виде ювенильного ревматоидного артрита, характеризующегося хроническим прогрессирующим течением с вовлечением в процесс воспаления суставов, а также внутренних органов.
- Ревматоидный артрит поражает 2% от всей популяции
- Пик частоты (диагностики) на 4-5-м десятилетии жизни
- У детей ревматоидный артрит встречается от 6 до 19 случаев на 100 000 детского населения
- Женщины поражаются в 3-4 раза чаще, чем мужчины
- Увеличение частоты семейных случаев
- До 70% пациентов имеют НLА-антиген DR4.
Причины:
- Хроническое воспалительное заболевание суставов
- Предрасположенность к поражению синовиальной мембраны
- При прогрессировании ревматоидной артропатии - деструкция кости в области пораженного сустава
- Этиология многофакторная и не полностью изучена
- Клеточная иммунная реакция против неидентифицированного антигена
- Синовиальная оболочка является первичной мишенью различных иммунологических каскадов, которая реагирует воспалительными пролиферативными изменениями (паннус)
- Вторичная деструкция капсуло-связочного комплекса, хрящевой ткани и кости.
КТ и МРТ диагностика ревматоидного артрита
Методы выбора диагностики ревматоидного артрита
Что покажет рентген при псориатическом артрите
- В ранней стадии заболевания определяемые рентгенологически изменения скелета отсутствуют
- Часто двусторонняя, симметричная структура поражения с развитием полиартрита
- Места наиболее частого возникновения: суставы фаланг пальцев кистей и стоп, так же как и запястья
- Признаки на основании классификации, предложенной Дилманом, разделяются на три группы:
1) Припухлость мягких тканей, выпот в полости сустава, синовит
2) Коллатеральный феномен при ревматоидном артрите суставов: полосовидные участки юкстаартикулярного остеопороза
3) Прямые признаки:
- расширение суставной щели (преимущественно в связи с выпотом в полости сустава)
- Симметричное сужение суставной щели является непрямым признаком деструкции сустава (особенно выражено между костями запястья)
- Эрозирование чаще всего возникает в области кисти (II-V пястно-фаланговые суставы), проксимальные межфаланговые суставы, кости запястья, шиловидный отросток локтевой кости), стопа (II-V плюснефаланговые суставы, межфаланговые суставы)
- Ранняя визуализация разрушения субхондральной замыкательной пластинки кости
- Субхондральные кисты
- Локтевая девиация пальцев
- Петлевидная деформация пальцев
- Анкилоз является конечной стадией заболевания.
- При поражении шейного отдела позвоночника - деформация в виде ступенек лестницы, вывих в атлантоаксиальном сочленении и псевдобазилярная инвагинация.

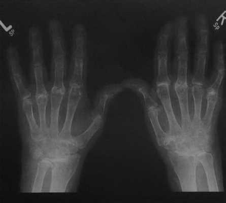
Длительно текущий ревматоидный артрит. Рентгенологическое исследование обеих кистей рук. Генерализованная остеопения. Симметричная структура поражения запястья, пястно-фаланговых суставов и незначительное поражение проксимальных фаланговых суставов. Полная деструкция сустава в некоторых местах или только сужение суставной щели. Вторичные дегенеративные изменения. Уменьшение высоты запястья с левой стороны и локтевое смещение запястья
Что покажут снимки МРТ суставов при ревматоидном поражении
- Характерна симметричная структура поражения (см. рентгенологические признаки; дифференциальная диагностика: дегенеративные изменения, псориатический артрит, подагра)
- Определение синовита при контрастно усиленном изображении дает возможность ранней диагностики, оценки активности заболевания и раннего лечения, возможно, до развития деструкции кости
- Нарушение сигнала аналогично отеку костного мозга (особенно на Т2-взвешенной последовательности с подавлением МР-сигнала от жировой ткани), который не имеет соответствующих признаков при рентгенологическом исследовании, представленные преэрозивными изменениями, все еще потенциально обратимыми
- Воспалительный процесс в оболочках сухожилий определяется как повышение интенсивности сигнала на Т2-взвешенном изображении
- Прямая визуализация деструкции хрящевой ткани
- Динамическая контраст-усиленная последовательность с быстрым временем изображения (менее 10 с на каждый снимок) отражает активность заболевания при воспалительных изменениях, поражающих синовиальную мембрану.
а, b Ревматоидный артрит . МРТ: A) Т1 - взвешенная SЕ-последовательность с подавлением МР-сигнала от жировой ткани после введения контрастного вещества. Накопле Накопление контрастного вещества синовиальной оболочкой области запястья, так же как лучезапястного и дистального локтезапястного сустава. Поражение ладьевидно-полулунной связки и эрозирование ладьевидной кости; b) Динамическая контрастно-усиленная МРТ у другого пациента. Раннее артериальное контрастное усиление вокруг II—V пястно-фаланговых суставов и суставов запястья, являющееся признаком выраженного воспалительного процесса.

Структура поражений при ревматоидном артрите.
Зачем проводят сцинтиграфию при подозрении на ревматоидный артрит
- Трехфазное сканирование кости
- Описание структуры поражений
- Может обеспечить оценку заболевания при отрицательных рентгенологических признаках.
Что покажет УЗИ суставов при ревматоидном поражении
- Паннус (пролиферация синовиальной оболочки, гиперэхогенные образования)
- Выпот в полости сустава
- Описание оболочек сухожилий (потенциальная цель для введения противовоспалительных препаратов)
- Кисты Бейкера
- Разрывы сухожилий
- Цветное допплеровское изображение: оценка перфузии (повышенное кровоснабжение синовиальной оболочки - признак активного воспалительного процесса).
Клинические проявления
Типичные проявления артрита :
- Неспецифические генерализованные симптомы системных заболевания соединительной ткани
- Болезненная припухлость суставов с ограничением подвижности (признак Ганелена: боль при надавливании)
- Ревматоидные узелки — основной признак ревматоидного артрита пальцев рук
- В поздней стадии — выраженная деформация, подвывих и фиброзный анкилоз
- Типичны периоды обострения и ремиссии
- Редко - выраженные генерализованные признаки заболевания, повышение температуры тела или возникновение внесуставных поражений.
Методы лечения воспалительных заболеваний суставов на примере ревматоидного артрита
- Активная и пассивная физиотерапия (тепловое лечение, криотерапия, лечебная физкультура, массаж, аппаратные методы).
- Медикаментозное лечение ревматоидного артрита направлено на купирование основных симптомов и торможение воспалительного процесса (НПВС, глюкокортикоиды, а также использование препаратов и биологических добавок).
- Лучевая синовийэктомия, хирургическая синовийэктомия.
- Реконструктивные хирургические вмешательства на суставах и протезирование суставов.
Течение и прогноз
- Неблагоприятные прогностические признаки: наличие полиартрита, высокий титр ревматоидного фактора, высокий уровень СРБ, высокая СОЭ
- У одной трети пациентов изменения суставов в течение нескольких лет приводят к инвалидности
- Продолжительность жизни уменьшается при возникновении осложнений (вторичный [системный реактивный] амилоидоз с нефротическим синдромом и развитием почечной недостаточности).
Что хотел бы знать лечащий врач
- Стадию и локализацию процесса
- Мониторинг лечения (прекратилась или прогрессирует деструкция сустава на фоне лечения?).
Какие заболевания имеют симптомы, схожие с ревматоидным артритом
Псориаз
- Поражение крестцово-подвздошного сочленения и всего позвоночника
- Энтезит (воспаление мышцы или сухожилия в месте прикрепления к кости)
- Обычно асимметричное поражение суставов
- Сочетание пролиферативных и эрозивных изменений
Синдром Рейтера
- Асимметричный олигоартрит, особенно нижних конечностей
- Анамнез пациента: связь с инфекционными поражениями кишечника/урогенитального тракта
- Обычно одностороннее поражение крестцово-подвздошного сочленения
Полиартроз/ полиартрит пальцев кисти
- Обычно более выраженное поражение дистальных межфаланговых суставов, чем проксимальных; отсутствие поражения пястно-фаланговых суставов
- Отсутствие эрозирования, кроме эрозивных форм заболевания («признак чайки»)
Коллагеноз
- Обычно выраженная деформация суставов запястья и пальцев, отсутствие деструкции кости
Советы и ошибки
Ошибочная интерпретация ревматоидного артрита как одного из заболеваний, представленных в разделе дифференциальной диагностики.
Рентгенограмма, КТ, МРТ при ревматоидном артрите осевого скелета
Ревматоидный артрит осевого скелета - лучевая диагностика
а) Терминология:
• Хроническое прогрессирующее системное воспалительное заболевание с преимущественным поражением суставов
б) Визуализация:
• Исключительно эрозивное заболевание, наиболее часто поражающее сегмент С1-С2
• Рентгенологические признаки:
о Эрозии зуба
о Атланто-аксиальный подвывих
о Атланто-аксиальная импакция: односторонняя/двухсторонняя:
- При односторонней импакции развивается кривошея
о Субаксиальный подвывих
о Грудинно-ключичные суставы поражаются у 30% пациентов с РА, однако патологические признаки трудно различимы на рентгенограммах
о Остеопороз
• Исследование должно включать рентгенографию в боковых проекциях в положении сгибания и разгибания
• КТ: дополнительно к рентгенографии:
о Более точное определение протяженности эрозивного поражения
о Хорошая визуализация атланто-аксиальной импакции
• МРТ: дополнительно к рентгенографии:
о Отчетливо виден паннус, обычно вокруг зуба
о Непосредственное отображение компрессии и повреждения спинного мозга
(Слева) На рисунках в аксиальной и сагиттальной проекциях на атланто-аксиальном уровне шейного отдела позвоночника показан воспалительный паннус вокруг зубовидного отростка, который часто формируется у пациентов с ревматоидным артритом (РА). Обратите внимание на эрозию зуба, а также локальную компрессию спинного мозга.
(Справа) МРТ, сагиттальная проекция, режим Т2: обширные эрозивные изменения зубовидного отростка, а также массивный паннус с компрессией дурального мешка и задним смещением спинного мозга. (Слева) Рентгенография в боковой проекции: тяжелый (>9 мм) атланто-аксиальный (АА) подвывих и импакция. Обратите внимание на прерывистость остисто-ламинарной линии на уровне С1-С2. Многие фасетки эрозированы, а патологическая подвижность остеопорозной кости привела к разрушению замыкательных пластинок и подвывиху на уровне С5-С6.
(Справа) КТ, сагиттальная проекция: у этого же пациента подтверждается наличие обширной эрозии зуба и АА подвывих с импакцией. Отсутствие отека мягких тканей на уровне С5-С6 указывает на то, что утрата дискового пространства имеет скорее механическую, но не инфекционную природу.
в) Клинические особенности:
• У пациентов с аксиальным поражением редко выявляются сопутствующие симптомы до поздней стадии:
о Симптомы поражения спинного мозга при атланто-акисальной импакции
о Симптомы поражения спинного мозга при атланто-аксиальном подвывихе >9 мм
о Одностороннее поражение фасетки С1-С2 — болезненная кривошея
• Пациенты с аксиальной патологией практически всегда имеют признаки периферического поражения (кисти рук/стопы)
г) Диагностическая памятка:
• Оцените положение передней дуги атланта относительно зуба для определения атланто-аксиальной импакции:
о Передняя дуга должна находиться на одной линии с верхней частью зуба
• Атланто-аксиальный подвывих можно недооценить на боковой рентгенограмме и томограмме в нейтральном положении
а) Терминология:
1. Аббревиатура:
• Ревматоидный артрит (РА)
2. Определения:
• Хроническое прогрессирующее системное воспалительное заболевание с преимущественным поражением суставов:
о Атланто-аксиальный подвывих = подвывих С1-С2 = АА подвывих
о Атлантоаксиальная импакция = краниальное погружение = импакция С1-С2 = АА импакция
б) Визуализация:
1. Общая характеристика:
• Лучший диагностический критерий:
о Исключительно эрозивный патологический процесс с преимущественным поражением С1-С2 сочленения
• Локализация:
о С1-С2 дугоотростчатые суставы, унковертебральные суставы, зуб, сумка зубовидного отростка
о Субаксиальное (ниже С2) поражение дугоотростчатых и унковертебральных суставов шейного отдела позвоночника о Грудинно-ключичные суставы поражаются у 30% пациентов с РА, однако патологические признаки трудно различимы на рентгенограммах
о Грудопоясничный отдел позвоночника и крестцово-подвздошные сочленения могут иметь микроскопические очаги поражения без рентгенологических проявлений
• Размер:
о Варьирует от умеренного формирования паннуса до выраженной нестабильности с поражением спинного мозга
(Слева) Рентгенография в боковой проекции: АА подвывих. Еще более важно то, что передняя дуга атланта находится в низком, по отношению к зубовидному отростку положению. Это указывает на АА импакцию. Истинная импакция с трудом поддается визуализации на рентгенограмме по причине наложения сосцевидного отростка.
(Справа) Рентгенография в боковой проекции, этот же пациент спустя один год: передняя дуга атланта расположена на уровне тела зубовидного отростка. Выраженная АА импакция. (Слева) КТ, сагиттальная проекция: типичная картина краниального погружения при РА на фоне АА импакции. Наблюдается верхняя транслокация зуба по отношению к большому затылочному отверстию. Определяется аномалия линии Вакенхейма. Также имеется эрозия зуба и АА подвывих.
(Справа) МРТ, сагиттальная проекция, режим STIR: импакция зуба В и сужение субарахноидального пространства в области большого затылочного отверстия с компрессией спинного мозга между зубом и опистионом у этого же пациента. (Слева) КТ, сагиттальная проекция, без контрастного усиления: выраженные эрозивные изменения С1 позвонка и зубовидного отростка. Положение остаточной части передней дуги С1 позвонка напротив тела С2 позвонка указывает на АА импакцию.
(Справа) КТ, корональная проекция, без контрастного усиления: импакция верхушки эрозированного зубовидного отростка. Также визуализируются эрозии и коллапс боковых масс (дугоотростчатых суставов) сегмента С1-С2. Сравните их с нормальными дугоотростчатыми суставами субаксиального отдела. Результатом коллапса боковых масс стала АА импакция.
2. Рентгенография:
• Эрозии зуба:
о В результате воспалительного паннуса в окружающей сумке
о Визуализируется на боковой рентгенограмме или изображении, полученном в проекции зубовидного отростка через открытый рот
• АА подвывих:
о В результате разрушения поперечной связки воспалительным паннусом
о В норме расстояние между нижним краем передней дуги атланта и зубом не превышает 4 мм:
- АА подвывих, как правило, не имеет патологических проявлений, пока дистанция не достигнет 9 мм
о Оценка на боковой рентгенограмме:
- Может не визуализироваться без выполнения рентгенографии в положении сгибания-разгибания:
Сгибание обычно выявляет максимальный подвывих
Разгибание может указывать на паннус, препятствующий полному вправлению
• АА импакция:
о В результате эрозий и коллапса дугоотростчатых суставов на уровне С1-С2:
- Двухсторонний коллапс может привести к протрузии зубовидного отростка в большое затылочное отверстие с развитием симптомов поражения спинного мозга
о Оценка на боковой рентгенограмме:
- Передняя дуга атланта в норме должна находиться на одной линии с верхней частью зуба:
Расположение передней дуги на уровне тела зуба или тела С2 позвонка указывает на АА импакцию
- На боковой рентгенограмме, визуализации импакции зуба через большое затылочное отверстие может препятствовать накладывающийся сосцевидный отросток:
Если импакция предполагается по расположению передней дуги атланта, относительно С2, КТ позволит оценить протяженность отростка
• Односторонняя АА импакция:
о В результате эрозирования и коллапса одного дугоотростчатого сустава С1-С2:
- Односторонний коллапс приводит к развитию острой кривошеи
• Субаксиальный подвывих:
о На фоне сочетания нестабильности связок, эрозирования дугоотростчатых и унковертебральных суставов и остеопороза:
- Эрозии и разрушение связок способствуют патологической подвижности поперек замыкательных пластинок тел позвонков — подвывиху
- Паннус унковертебральных суставов в сочетании с остеопорозом и патологической подвижностью → разрушение замыкательных пластинок
о При рентгенографии в боковой проекции визуализируется как ступенчатая деформация:
- Сопутствующее разрушение замыкательной пластинки может свидетельствовать об инфекционном процессе
о Сращение позвонков у взрослых пациентов с РА наблюдается крайне редко, однако может наступать на фоне разрушения замыкательных пластинок
(Слева) КТ, сагиттальная проекция, костный режим: эрозии шейного отдела позвоночника на различных уровнях у пациента с РА, которые привели к атланто-затылочной нестабильности, АА подвывиху, АА импакции (краниальному погружению), а также к эрозии замыкательных пла -стинок и унковертебральных суставов на более нижних уровнях. Такое диффузное поражение встречается часто.
(Справа) Рентгенография в ПЗ проекции: ангуляция нижней челюсти у пациента с РА. Шейный отдел позвоночника выпрямлен. Такой перекос нижней челюсти свидетельствует в пользу односторонней АА импакции. (Слева) Рентгенография в проекции зубовидного отростка через открытый рот: нормальные фасетки в сегменте С1-С2 справа, но эрозированные фасетки того же сегмента слева В у пациента с РА и острой кривошеей. Такое несоответствие может явиться результатом одностороннего коллапса сустава с развитием односторонней болезненной кривошеи.
(Справа) КТ, корональная проекция, котный режим: у того же пациента подтверждается наличие эрозий и коллапс дугоотростчатого сустава слева, в сравнении с неизмененным суставом справа. Обратите внимание на то, что атланто-затылочные суставы также не поражены. (Слева) КТ, сагиттальная проекция, костный режим: эрозии и коллапс дугоотростчатого сустава сегмента С1-С2 слева у этого же пациента.
(Справа) Для сравнения представлен нормальный правый дугоотростчатый сустав сегмента С1-С2 этого же пациента. Дугоотростчатые суставы подвержены риску эрозивною поражения на любом уровне позвоночного столба. Однако фасетки сегмента С1-С2 особенно подвержены такому риску. При двухстороннем эрозировании и коллапсе дугоотростчатых суставов сегмента С1-С2 у пациента может развиться АА импакция. При одностороннем коллапсе у пациента возникает болезненная кривошея.
3. КТ при ревматоидном артрите осевого скелета:
• Более точное определение протяженности эрозивного процесса
• Можно видеть паннус вокруг зубовидного отростка
• Корональные и сагиттальные проекции демонстрируют протяженность эрозий дугоотростчатых и унковертебральных суставов
• АА импакция может быть гораздо более очевидной:
о Проекция зуба >5 мм надлинией Чемберлена (проходит от твердого неба к опистиону)
о Пересечение зуба с линией Вакенхейма (проходит вдоль ската на сагиттальных изображениях)
• Примите во внимание, что на КТ изображениях АА может быть редуцирован (и поэтому недооценен), поскольку пациент во время исследования находится на спине
4. МРТ при ревматоидном артрите осевого скелета:
• Режим Т1:
о Паннус в виде объемного образования имеет сигнал низкой интенсивности
• Режим Т2:
о Паннус имеет гетерогенный сигнал высокой и низкой интенсивности
о Высокоинтенсивный сигнал исходит от синовиальной жидкости в дугоотростчатых и унковертебральных суставах
о Эрозии и отек костного мозга характеризуются сигналом высокой интенсивности
• Режим STIR:
о Аналогичен режиму Т2, однако патологический сигнал от спинного мозга может быть более четким:
- Контузия или киста
• Режим Т1 с контрастным усилением и подавлением сигнала от жира:
о Повышенная чувствительность при диагностике РА на ранней стадии
о Паннус демонстрирует интенсивное контрастирование
о Раннее определение эрозий
5. Рекомендации по визуализации:
• Лучшие методы визуализации:
о Рентгенография, включая исследование в боковой проекции со сгибанием-разгибанием
о КТ: дополнительно к рентгенографии:
- Лучшая визуализация протяженности эрозий
- Хорошее отображение АА импакции
о МРТ: дополнительно к рентгенографии:
- Отчетливо визуализируется паннус, обычно вокруг зубовидного отростка
- Непосредственная визуализация компрессии и повреждения спинного мозга
(Слева) Рентгенография в боковой проекции: множественные эрозивные изменения дугоотростчатых суставов у пациента с РА и нормальными АА структурами. Это еще не привело к нарушению соосности и разрушению замыкательных пластинок.
(Справа) Рентгенография в боковой проекции: тяжелое эрозивное поражение у пациента с РА, приведшее к АА подвывиху, эрозированию дугоотростчатых суставов и вероятному разрушению связок. Такое сочетание приводит к нарушению соосности и последующему возникновению механических эрозий замыкательных пластинок и дистракции диска. (Слева) КТ, сагиттальная проекция, без контрастного усиления: импакция сегмента С1-C2. Зубовидный отросток эрозирован. Субаксиальный отдел позвоночника демонстрирует отчетливые признаки диффузной дегенерации дисков и замыкательных пластинок на фоне комбинации разрушения связок и эрозивного поражения дугоотрост-чатых/унковертебральных суставов.
(Справа) МРТ, сагиттальная проекция, режим STIR: структура паннуса, вызывающего тяжелую компрессию спинного мозга. Выражены подвывих и импакция сегмента С1-С2. Многоуровневые подвывихи в субаксиальном отделе позвоночника отражают вовлечение в патологический процесс дугоотростчатых и унковертебральных суставов. (Слева) КТ, сагиттальная проекция: импакция сегмента С1-С2 у пациента с РА. Обратите внимание на сращение тел нескольких позвонков. Сращение при РА встречается редко, однако может наступать в зоне механического эрозирования и дегенерации диска.
(Справа) Рентгенография в боковой проекции: легкий АА подвывих и выраженная АА импакция. Также обратите внимание на типичное для РА многоуровневое эрозирование дугоотростчатых суставов и истончение остистых отростков. У пациента отмечаются умеренно выраженные лестничные подвывихи тел позвонков, развившиеся на фоне патологической подвижности и остеопороза.
в) Дифференциальная диагностика ревматоидного артрита осевого скелета:
1. Атланто-аксиальный подвывих:
• Серонегативные спондилоартропатии:
о Подвывих может наблюдаться при акнилозирующем спондилите, энтеропатическом спондилите, псориатическом спондилите или хроническом реактивном спондилите
о Синдесмофиты указывают на спондилоартропатию
о Сращение тел позвонков или дугоотросчатых суставов указывает на спондилоартропатию; у взрослых пациентов с РА сращение наступает крайне редко
• Ювенильный идиопатический артрит:
о Часто наблюдаются уровни сращения с сужением гипопластических тел
2. Аномалии замыкательных пластинок:
• Инфекция полости диска:
о Одноуровневое поражение свидетельствует в пользу инфекции
о Нормальная плотность костной ткани на сопряженных уровнях свидетельствует в пользу инфекции
• Гемодиализная спондилоартропатия:
о Разрушение замыкательной пластинки, часто с листезом
о Может быть многоуровневой
о Обычно не затрагивает сегмент С1-С2
г) Патология:
1. Общая характеристика:
• Этиология:
о Этиология РА неизвестна
о Предполагается патофизиологическая связь со стойким иммунным ответом генетически восприимчивого хозяина к некоторому неизвестному антигену
• Генетика:
о Генетическая предрасположенность:
- Конкордантность в парах монозиготных близнецов (25%)
- Частота возникновения РА у родственников первой степени родства в четыре раза выше, чем в общей популяции
о Однако маловероятно, что у членов семьи пациента будут выявлены аналогичные патологические изменения
2. Макроскопические и хирургические особенности:
• Синовиальная оболочка гипертрофирована, отечна
• Отечность суставов, эрозии костей, деструкция хряща
3. Микроскопия:
• Организованное скопление хелперных Т-клеток субпопуляции CD4, антиген презентирующих клеток, лимфоидных фолликулов
• Выделение большого количества иммуноглобулина, включая ревматоидный фактор
• Ангиогенез в синовиальной оболочке
д) Клинические особенности:
1. Проявления:
• Типичные признаки/симптомы:
о У пациентов с поражением осевого скелета редко выявляются сопутствующие симптомы до поздней стадии:
- Симптомы поражения спинного мозга на фоне АА импакции
- Симптомы поражения спинного мозга на фоне значительного АА подвывиха (>9 мм)
- Болезненная кривошея на фоне одностороннего коллапса фасетки С1-С2
о Пациенты с аксиальной патологией практически всегда имеют признаки периферического поражения (кисти рук/стопы)
2. Демография:
• Возраст:
о Пик начала заболевания приходится на 4-5 десятилетие
• Пол:
о М:Ж=1:3
• Эпидемиология:
о РА: 1 % человек в мировой популяции:
- 5% в некоторых популяциях коренных американцев
о У 50% пациентов с РА поражается шейный отдел позвоночника
3. Течение и прогноз:
• При тяжелом поражении могут развиваться радикулопатия или шейная миелопатия
• Тяжелое течение заболевания и высокая летальность при наличии у пациента краниоцервикальной нестабильности
4. Лечение:
• Лечение РА: как правило, комбинированное, направленное на облегчение болевого синдрома и незамедлительная нарастающая терапия для подавления заболевания еще до разрушения суставов:
о Нестероидные противовоспалительные средства:
- Симптоматическое облегчение боли; не влияет на патологический процесс
о Глюкокортикоиды (перорально или интраартикулярно):
- Замедляют воспаление; дает возможность наращивания эффекта медленнодействующим препаратам
о Базисные противоревматические препараты, модифицирующие течение болезни:
- Препятствуют деструкции суставов (например, метотрексат, сульфасалазин, противомалярийные препараты, препараты золота)
о Биологические препараты: ингибиторы фактора некроза опухоли альфа, антиинтерлейкин-1:
- Установлена роль цитокинов (особенно фактора некроза опухоли альфа и интерлейкина-1) в патофизиологии РА
• Лечение симптоматической нестабильности шейного отдела позвоночника:
о Трансоральная одонтоидэктомия
о Задний спондилодез сегмента С1-С2 с фиксацией затылочной кости
о Ламинэктомия и фиксация дугоотросчатых суставов
• Некоторые авторы считают, что щадящий хирургический подход при нестабильности сегмента С1-С2 может увеличивать тяжесть заболевания и летальность
е) Диагностическая памятка. Рекомендации по интерпретации изображений:
• Оцените положение передней дуги атланта относительно зуба для определения атланто-аксиальной импакции
• Учитывайте, что атланто-аксиальный подвывих может быть недооценен на боковой рентгенограмме и томограмме полученной в нейтральном положении
1. Аббревиатуры:
• Ревматоидный артрит (РА)
• Разрыв вращательной манжеты (РВМ)
2. Определение:
• Хроническое прогрессирующее системное воспалительное заболевание с преимущественным поражением суставов
1. Общая характеристика:
• Лучший диагностический критерий:
о Исключительно эрозивная артропатия
о Общее истончение хряща
о Остеопороз
• Локализация:
о Наиболее ранние изменения в синовиальной оболочке, с последующим поражением хряща и кости
(Слева) Рентгенография в ПЗ проекции: тяжелый, длительно текущий РА с эрозированием ключицы, суставной впадины лопатки и головки плечевой кости.
(Справа) МРТ, корональная проекция, режим протонной плотности с подавлением сигнала от жира: ретракция сухожилия подобной мышцы, что является составляющей хронического повреждения вращательной манжеты, наблюдаемого, как правило, на поздней стадии РА. Визуализируется умеренно выраженный отек в структуре головки плечевой кости. Плечевой сустав растянут, синовиальная жидкость с сигналом низкой интенсивности заполняет подмышечную сумку и проникает через вращательную манжету в подакромиальную сумку. Обратите внимание на высокое стояние головки плечевой кости. (Слева) МРТ, корональная проекция, режим TV. типичные признаки РА плечевого сустава. Визуализируются субхондральные кисты, имеющие сигнал низкой интенсивности, а также краевые эрозии головки плечевой коти.
(Справа) МРТ, аксиальная проекция, режим протонной плотности, импульсная последовательность быстрого спин эха, с подавлением сигнала от жира: субхондральные кисты и краевая эрозия. Обратите внимание на тонкое, поврежденное сухожилие подлопаточной мышцы с жидкостью, визуализирующейся в плечевом суставе и поддельтовидной сумке. Это примечательно тем, что рентгенография в данном случае не выявила изменений. (Слева) Рентгенография в ПЗ проекции: визуализируются только признаки остеопении и небольшой краевой эрозии у пациента с РА. Остеопения, визуализирующаяся при рентгенографии у пациентов с РА часто скрывает истинную величину эрозивного поражения и субхондральных кист.
(Справа) МРТ, корональная проекция, режим Т2 с подавлением сигнала от жира: признаки значительно выраженного синовита в плечевом суставе и подакромиальной/поддельтовидной сумке у того же пациента. Диффузно расположенные узловые образования с сигналом низкой интенсивности среди жидкости - воспалительно измененная синовиальная оболочка.
2. Рентгенография при ревматоидном артрите плечевого и локтевого суставов:
• Акромиально-ключичный (АК) сустав:
о Эрозии по обеим сторонам сустава
о На поздней стадии истончение ключицы по типу заточенного карандаша
о Возможна резорбция ключицы в области прикрепления клювовидно-ключичных связок
• Плечевой сустав:
о Общее истончение хряща
о Эрозии:
- Наиболее крупные и ранние-по краю (место перехода покрытой хрящом головки в большой бугорок)
- Со временем эрозии распространяются на головку плечевой кости и суставную впадину лопатки
- На поздней стадии разрушение головки и суставной впадины лопатки
о Субхондральные кисты могут быть крупными, но остеопороз подлежащей кости может скрывать их истинные размеры
о Высокое стояние головки плечевой кости в результате РВМ:
- В хроническом состоянии головка начинает артикулировать с нижней поверхностью акромиона, формируя на нем выемку
о Клиновидная механическая эрозия медиального отдела хирургической шейки плечевой кости:
- На фоне хронического высокого стояния головки плечевой кости и воздействия нижней частью суставной впадины лопатки на остеопорозную шейку плечевой кости
- Увеличивает риск возникновения патологического перелома хирургической шейки плечевой кости
о Может иметь место рельефный отек сустава в результате истечения синовиальной жидкости через разрыв вращательной манжеты в подакромиальную/поддельтовидную сумку
• Локтевой сустав:
о Выпот в суставе (высокое расположение переднего и заднего жировых тел)
о Отек вокруг сустава:
- В области локтевого отростка: бурсит локтевого отростка часто встречается при РА
- В другом месте на фоне истечения синовиальной жидкости через капсулу в двуглаво-лучевую сумку
о Распространение эрозий по всей площади сустава:
- Одинаково поражается головка мыщелка плечевой кости, блок, локтевая кость и головка/шейка лучевой кости
- На поздней стадии разрушение костных структур
2. КТ при ревматоидном артрите плечевого и локтевого суставов:
• Визуализируются те же признаки костного поражения, что и при рентгенографии:
о Эрозии и субхондральные кисты отображаются более четко
• Воспаленная синовиальная оболочка контрастируется
3. МРТ при ревматоидном артрите плечевого и локтевого суставов:
• Режим Т1:
о Утолщенный паннус, выпот, эрозии и субхондральные кисты имеют сигнал низкой интенсивности
о При сопутствующем амилоидозе, отложения имеют сигнал низкой интенсивности:
- Внутри сустава или в структуре утолщенных сухожилий
• Последовательности, чувствительные к жидкости:
о Выпот имеет сигнал высокой интенсивности
о Утолщенный паннус выстилает синовиальную оболочку и имеет сигнал низкой интенсивности о Рисовые тела в выпоте имеют сигнал низкой интенсивности о Эрозии и субхондральные кисты имеют сигнал высокой интенсивности
о Субхондральный отек костного мозга о Полный или частичный РВМ
о Хорошая визуализация истечения синовиального выпота
- Плечевой сустав: обычно через РВМ в подакромиальную/поддельтовидную сумку
- Локтевой сустав: в двуглаво-лучевую сумку или в близлежащие мягкие ткани
о При наличии амилоидных отложений может сохраняться сигнал низкой интенсивности
о Повышение интенсивности сигнала от локтевого нерва при локтевом импиджменте
• Режим Т1 с контрастированием, с подавлением сигнала от жира:
о Интенсивное контрастирование утолщенного паннуса вдоль синовиальной оболочки
о Субхондральные кисты и эрозии имеют сигнал высокой интенсивности, окружающий скопления жидкости с низкоинтенсивным сигналом
4. Рекомендации по визуализации:
• Лучшие методы визуализации:
о Рентгенография обычно позволяет установить правильный диагноз
о МРТ часто предоставляет дополнительную информацию:
- Целостность вращательной манжеты
- Ранний (дорентгенологический) диагноз: синовит
- Ранняя фаза костной деструкции: более точная оценка эрозий и субхондральных кист
(Слева) МРТ, сагиттальная проекция, режим Т2 с подавлением сигнала от жира: признаки значительно выраженного синовита в плечевом суставе и подакро-миальной/поддельтовидной сумке у этого же пациента. Хорошо визуализируется как признаки синовита, так и субхондральной кисты, распространяющейся вниз в структуре кости.
(Справа) МРТ, аксиальная проекция, режим протонной плотности с подавлением сигнала от жира: визуализируется размер эрозий у этого же пациента. Примечательно то, что при рентгенографии были выявлены только признаки остеопении и небольшой эрозии, даже при ретроспективном анализе. Метафиз этой плечевой кости подвержен риску перелома. (Слева) МРТ, корональная проекция с контрастным усилением, с подавлением сигнала от жира: у того же пациента подтверждаются патологические изменения костной ткани в виде эрозий и субхондральных кист с сигналом низкой интенсивности от жидкости, окруженной накапливающей контраст синовиальной оболочкой. Также визуализируется повреждение вращательной манжеты с ретракцией надостной мышцы.
(Справа) Рентгенография в боковой проекции: диффузная остеопения и отек мягких тканей в области локтевого отростка. Локализация характерна для бурсита локтевого отростка, развившегося, в данном случае, на фоне РА. (Слева) Рентгенография в ПЗ проекции: типичные признаки тяжелого, длительно текущего РА. Визуализируется симметричное эрозивное поражение дистального отдела плечевой кости, проксимального отдела лучевой кости и проксимального отдела локтевой кости на фоне остеопении.
(Справа) Рентгенография в боковой проекции: подтверждаются признаки эрозивного поражения, а также наличие механической эрозии проксимального отдела диафиза локтевой кости, в месте контакта с остатком головки лучевой кости. Симметричность патологического процесса и исключительно эрозивная природа заболевания подтверждают диагноз РА.
в) Дифференциальная диагностика ревматоидного артрита плечевого и локтевого суставов:
1. Септический артрит:
• Дифференцируется с ранним РА
• Нарастающий синовит, выпот
• Отек костного мозга или ранние эрозии
2. Нейроостеоартропатия (Шарко):
• Дифференцируется с поздней стадией РА плечевого сустава
• Деструкция головки плечевой кости и суставной впадины лопатки
• Массивный выпот, истечение в поддельтовидную сумку через РВМ
• Наличие костного дебриса и отсутствие паннуса способствует дифференцировке
• Обычно одностороннее поражение; этиологический фактор - серингомиелия
3. Спондилоартропатии:
• При анкилозирующем спондилите и энтеритном спондилите часто поражаются крупные проксимальные суставы (плечевой, тазобедренный)
• На ранней стадии заболевания могут появляться признаки тяжелого воспаления с развитием синовита и образованием эрозий
• На более поздних стадиях обычно имеет место смешанный эрозивно/продуктивный характер патологического процесса
• Поражение суставов позвоночника и крестцово-подвздошных сочленений позволяет дифференцировать этот патологический процессе РА
(Слева) Рентгенография в ПЗ проекции: истончение хряща по всей площади локтевого сустава и субхондральные эрозии в области венечного отростка. Визуализируется выраженный отек мягких тканей и диффузная остеопения. Продуктивных изменений не определяется. Картина типична для ревматоидного артрита.
(Справа) МРТ, сагиттальная проекция, режим Т2 с подавлением сигнала от жира: полная утрата хряща и истончение кортекса в области головки мыщелка плечевой кости у этого же пациента с РА. Вся жидкость находится в чрезмерно растянутом суставе и содержит включения, характеризующиеся сигналом низкой интенсивности, которые называю рисовыми телами. (Слева) Рентгенография в ПЗ проекции: латеральное мягкотканное образование без иных изменений у пациента с РА.
(Справа) МРТ, аксиальная проекция, режим протонной плотности с подавлением сигнала от жира, выполнена для оценки мягкотканного образования у этого же пациента: признаки синовита и жидкость вокруг головки лучевой кости. Визуализируется тонкий перешеек жидкости, распространяющийся из сустава к мягкотканному образованию. Это подтверждает, что образование представлено всего лишь жидкостью из сустава, которая попала в латеральные мягкие ткани в результате декомпрессии, что случается в ущемленных суставах с активным синовитом. (Слева) МРТ, сагиттальная проекция, режим Т2: признаки воспаления двуглаво-лучевой сумки на фоне РА. Визуализируются признаки лобулярного синовита двуглаво-лучевой сумки вокруг сухожилия двухглавой мышцы. Жидкость и синовит также наблюдаются в локтевом суставе.
(Справа) МРТ, сагиттальная проекция, режим Т2: признаки деструкции сустава, значительный выпот и патологический сигнал от костного мозга у пациента с РА. Эти изменения могли бы быть просто признаками поздней стадии РА, однако здесь необходимо учитывать возможность инфекционного процесса.
1. Общая характеристика:
• Этиология:
о Этиология неизвестна
о Предполагается патофизиологическая связь со стойким иммунным ответом генетически восприимчивого хозяина к некоторому неизвестному антигену
• Генетика:
о Генетическая предрасположенность:
- Конкордантность в парах монозиготных близнецов (25%)
- Частота возникновения РА у родственников первой степени родства в четыре раза выше, чем в общей популяции
о Маловероятно, что этот патологический процесс будет выявлен у членов семьи пациента
• Сопутствующие нарушения:
о Подкожные ревматоидные узелки у 30%:
- Разгибательные поверхности (область локтевой кости, ахиллова сухожилия) и пальцы
о Отложения амилоида
о Плевральная полость: выпот, ревматоидные узелки, редко интерстициальный фиброз
о Васкулиты
о Синдром Фелти: РА + спленомегалия + лейкопения
о Синдром Шегрена: РА + кератоконьюнктивит + ксеростомия
о Высокий риск развития лимфомы
о Системное воспаление может являться причиной повышенного риска сердечно-сосудистых заболеваний, почечной недостаточности и инфекции
о Высокий уровень смертности, сокращение продолжительности жизни на 10-18 лет
2. Макроскопические и хирургические особенности:
• Синовиальная оболочка гипертрофирована, отечна
• Отечность суставов, эрозии костей, деструкция хряща
• Рисовые тела: отделившиеся синовиальные ворсинки
1. Проявления:
• Типичные признаки/симптомы:
о Симметричный полиартрит, особенно малых суставов
о Системные симптомы: утомляемость, субфебрилитет
о Обычно развиваются в течение недель или месяцев; иногда скоротечное течение болезни
• Другие признаки/симптомы:
о Плечевой/локтевой суставы:
- Боль, отек, ограничение объема движений
- Симптомы повреждения вращательной манжеты
2. Демография:
• Возраст:
о Пик начала заболевания приходится на 4-5 десятилетия
• Пол:
о М:Ж= 1:3
• Эпидемиология:
о РА: 1 % в мировой популяции:
- 5% в некоторых популяциях коренных американцев о У 60% пациентов с РА поражается плечевой сустав
о У 50% пациентов с РА поражается акромиально-ключичный сустав
о У 50% пациентов с РА поражается локтевой сустав
3. Течение и прогноз:
• До 60% случаев переходят в ремиссию:
о При интенсивной комбинированной терапии рецептурными препаратами в большинстве случаев наступает улучшение
• Обширное эрозирование и повреждение вращательной манжеты ухудшают прогноз относительно функции плечевого сустава
• Лечение РА: обычно комбинированное, направленное на облегчение болевого синдрома и незамедлительная нарастающая терапия для подавления заболевания до разрушения суставов:
о Нестероидные противовоспалительные средства:
- Симптоматическое облегчение боли; не влияют на патологический процесс
о Глюкокортикоиды (перорально или интраартикулярно):
- Тормозят воспаление; дают возможность наращивания эффекта медленно действующим препаратам
о Базисные противоревматические препараты, модифицирующие течение болезни:
- Препятствуют деструкции суставов (например, метотрексат, сульфасалазин, противомалярийные препараты, препараты золота)
о Биологические препараты: ингибиторы фактора некроза опухоли альфа, антиинтерлейкин-1:
- Установлена роль цитокинов (особенно фактора некроза опухоли альфа и интерлейкина-1) в патофизиологии РА
• Хирургическое лечение:
о Синовэктомия может останавливать/замедлять прогрессирование
о Плечевой сустав:
- Плохой прогноз для восстановления повреждений вращательной манжеты
- Эндопротезирование: из-за повреждения вращательной манжеты часто отдается предпочтение реверсивному эндопротезу:
У пациентов с РА очень высок риск возникновения перипротезного перелома, особенно акромиального отростка
о Локтевой сустав:
- Резекция головки лучевой кости — симптоматическое улучшение
- Эндопротезирование часто бывает неудачным (нестабильность, перипротезные переломы) по причине остеопороза
е) Диагностическая памятка. Следует учесть:
• Другие этиологические факторы развития синовита, особенно инфекционный, при односуставном поражении
Стадии рентгенологических изменений в суставах при ревматоидном артрите
Для цитирования: Смирнов А.В., Каратеев Д.Е. Стадии рентгенологических изменений в суставах при ревматоидном артрите. РМЖ. 2014;7:551.
Костно-суставная система кистей и дистальных отделов стоп является основным объектом исследования для постановки диагноза и определения стадии ревматоидного артрита (РА) и проведения дифференциального диагноза с другими заболеваниями ревматической и неревматической природы.
Синовиальная оболочка периферических суставов является органом-мишенью, где при РА разворачивается хроническое аутоиммунное воспаление, приводящее в дальнейшем к характерному для РА множественному и симметричному поражению суставов. Симметричность изменений в суставах кистей и стоп является отличительной особенностью РА. Типичные признаки РА – симметричное поражение пястно-фаланговых и плюсне-фаланговых суставов, суставов запястий, проксимальных межфаланговых суставов кистей. Первые рентгенологические симптомы артрита, в т. ч. и появление первых эрозий, могут обнаруживаться во 2-х и 3-х пястно-фаланговых суставах, 3-х проксимальных межфаланговых суставах кистей, суставах запястий, лучезапястных суставах, шиловидных отростках локтевых костей, 5-х плюсне-фаланговых суставах. При более выраженных стадиях РА изменения могут обнаруживаться в дистальных межфаланговых суставах кистей и стоп. РА никогда не начинается с поражения дистальных межфаланговых суставов кистей и стоп, проксимальных межфаланговых суставов стоп.
Наиболее часто в повседневной практике применяется рентгенологическая классификация, основанная на делении РА на модифицированные стадии по Штейнброкеру с использованием обзорных рентгенограмм кистей и дистальных отделов стоп в прямой проекции.
Выделяются 4 рентгенологические стадии РА, отражающие прогрессирование симптомов артрита в суставах кистей и дистальных отделов стоп.
К 1-й стадии (ранним рентгенологическим изменениям) РА относятся периартикулярное утолщение и уплотнение мягких тканей, околосуставной остеопороз (повышение рентгенпрозрачности костной ткани), единичные кистовидные просветления костной ткани и сужение отдельных суставных щелей в типичных для начального РА суставах. Рентгенологические симптомы 1-й стадии неспецифичны для РА и могут быть обнаружены при других ревматических заболеваниях, что требует обязательного учета клинико-лабораторных показателей заболевания.
Стадия 2 характеризуется нарастанием околосуставного остеопороза, появлением множественных кистовидных просветлений костной ткани в эпифизах коротких трубчатых костей и костях запястий в сочетании с множественными сужениями суставных щелей, эрозивными изменениями в суставах и небольшими краевыми деформациями костей. Эта стадия подразделяется на неэрозивную и эрозивную формы в зависимости от отсутствия или наличия деструктивных изменений в суставах. Как правило, первые эрозии появляются во 2–3-х пястно-фаланговых, 5-х плюсне-фаланговых суставах, костях запястий, в области шиловидного отростка локтевой кости. Отличительная особенность 2-й стадии РА – отсутствие умеренных или выраженных деформационных изменений, подвывихов, вывихов и костных анкилозов суставов.
Стадия 3 характеризуется нарастанием рентгенологических симптомов, выявляемых при 2-й стадии. Деструктивные изменения выраженные, определяются во многих суставах кистей и дистальных отделов стоп. Преобладают в типичных для РА суставах. Отличительная особенность 3-й стадии – умеренные и выраженные деформации эпифизов костей, подвывихи и вывихи в отдельных или многих суставах.
4-я стадия характеризуется симптомами 3-й стадии и появлением костных анкилозов суставов. Для РА типичны анкилозы в суставах запястий (межзапястных, 2–5-х запястно-пястных суставах). Крайне редко выявляются анкилозы в проксимальных межфаланговых суставах кистей и лучезапястных суставах. Выраженные деструктивные изменения в костях запястий могут приводить к коллапсу запястий, который характеризуется снижением высоты запястий, выраженными деформациями, уменьшением размеров или остеолизом костей запястий. Остеолитические изменения могут выявляться в пястно-фаланговых и, реже, плюсне-фаланговых суставах. Рентгенологические стадии РА представлены на рисунках 1–11.
Контент доступен под лицензией Creative Commons «Attribution» («Атрибуция») 4.0 Всемирная.
Читайте также:
- Сбой окклюзии в стоматологии. Особенности
- Теория мультицентрического канцерогенеза. Гормональные причины мультицентричных опухолей
- Строение яичек. Клетки Лейдига и Сертоли
- Нейроаллергия. Методы диагностики нейроаллергии
- Патологический процесс в просвете пищевода. Патологический процесс стенки пищевода
