Сбой окклюзии в стоматологии. Особенности
Добавил пользователь Алексей Ф. Обновлено: 03.11.2025
Сбой окклюзии в стоматологии. Особенности
Окклюзионный сбой возникновение контактов при отведении нижней челюсти, нарушающих плавное ее перемещение и делающих траекторию движения неровной, а также приводящих к тому, что движения направляются зубами, функционально для этого неприспособленными. Во многих случаях сбой формируется уже в фазе постоянного прикуса в результате лечения у стоматолога.
Окклюзионные сбои иногда бывает трудно обнаружить из-за реакции чувствительных механизмов связки периодонта, заставляющих пациента избегать движения по «проблемной» траектории. Это объясняет трудности, которые некоторые пациенты испытывают при выведении нижней челюсти в ЗКП или боковых движениях с сомкнутыми зубами.
Окклюзионный сбой в положении ФБК, связанный с завышением прикуса, будет немедленно замечен пациентом сразу после фиксации реставрации в полости рта. Сбои в статичном положении гораздо легче устранить по сравнению с теми, которые возникают при различных движениях нижней челюсти, развиваясь медленно после удаления зубов, их перемещения в ходе ортодонтического лечения, в результате повышенной стираемости зубов, зубоальвеолярного удлинения и т.д.
Сбой можно заподозрить, если пациенту трудно сознательно выдвинуть нижнюю челюсть вперед или в стороны с сомкнутыми зубами или вывести ее в одно и то же положение ФБК. С диагностической целью можно поместить палец под подбородок пациента в момент выполнения движений по различным траекториям - неравномерность движения, ощущаемая пальцем, говорит о наличии сбоев, которые в дальнейшем следует искать и устранять.
Гармоничная окклюзия предполагает отсутствие окклюзионных сбоев. При этом движения нижней челюсти во всех отведениях с сомкнутыми зубами плавные, бесперебойные, не вызывают боли или дискомфорта. Признаками окклюзионной дисгармонии могут быть и повреждения зубов: подвижность, повышенная стираемость, скол эмали в области бугров и т.д. Для гармоничной функциональной окклюзии характерно движение под острым углом при перемещении челюсти из ФБК во всех 4 направлениях.
 
Отсутствие свободных скользящих движений необязательно сопровождается симптомами. Пациент может быть адаптирован к окклюзионному сбою и в таком случае не нуждается в лечении.
Однако если окклюзионный сбой запускает множественные парафункциональные механизмы и вызывает новые сбои (например при неадекватном протезировании), нейромышечная система уже не в состоянии приспособиться к подобным нарушениям, что приводит к повреждению протезов или естественных зубов, болевой дисфункции височно-нижнечелюстного сустава, боли и спазму жевательных мышц, нарушению осанки и другим проблемам. Эти расстройства, вызываемые нарушениями окклюзии, будут описаны далее, а за более подробной информацией читателям следует обратиться к специальной литературе.
Стабильная окклюзия - окклюзия, при которой нет условий для зубоальвеолярного удлинения, наклона и перемещения зубов, способных вызвать окклюзионые сбои. Еще одним условием стабильности является достаточное количество контактных пунктов в области жевательных зубов для предотвращения потери высоты прикуса.
В стабильной окклюзии все зубы должны иметь контакт либо с зубамиантагонистами, либо с искусственными зубами протеза. Но и при дефекте зубного ряда окклюзия не всегда нестабильна. Например, если удалены все моляры, то оставшиеся зубы все равно будут смыкаться в стабильном положении. Поэтому не каждый дефект зубного ряда является абсолютным показанием к протезированию. В некоторых случаях может быть приемлема и небольшая нестабильность.
Преждевременный контакт окклюзии
Термин «преждевременный контакт» не следует использовать по отношению к естественному прикусу, а только для полных съемных протезов. При наличии полных съемных протезов ФБК и ЗКП задают искусственно, и они, как правило, совпадают. Протезы имеют тенденцию к смыканию по наиболее задней траектории, пациент подсознательно улавливает этот механизм и «находит» положение ФБК.
Если же ФБК и ЗКП в результате неточных диагностических записей не совпадают, то при смыкании по наиболее задней траектории возникает контакт между буграми или смещение протеза. Это состояние называют преждевременным контактом и считают абсолютно неудовлетворительным результатом лечения. Искусственные зубы не имеют рецепторов периодонта, и положение ФБК не может быть найдено интуитивно. В естественном прикусе ФБК хорошо распознается за счет проприоцептивных ощущений, и человек в большинстве случаев бессознательно смыкает зубы в нужном положении. В кресле у стоматолога пациент сознательно закрывает рот по просьбе врача.
В этих обстоятельствах первое смыкание может быть в положении преждевременного контакта, что нельзя рассматривать как норму, так как в большинстве случаев это обусловлено избыточной концентрацией внимания на движении, обычно выполняемом автоматически.
В указанной ситуации при наличии естественных зубов следует использовать термин «окклюзионный сбой», сущность которого описана выше, а не «преждевременный контакт».
Виды аномалий прикуса
Аномалия прикуса — нарушение в расположении зубных рядов относительно друг друга, в их смыкании, в расположении отдельных зубов. Появляются под влиянием наследственных факторов, из-за травмы, при некорректном формировании прикуса. Выраженность нарушения может быть разной: различают 1, 2 и 3 степени. При этом даже незначительная аномалия нарушает эстетику улыбки, изменяет распределение жевательной нагрузки, ограничивает функциональность зубочелюстной системы, может менять пропорции лица.
Виды аномального прикуса
При неправильной окклюзии по бокам зубных рядов возникают сагиттальные отклонения. Если смыкание нарушено в переднем отделе (в зоне улыбки), говорят о вертикальном отклонении. Выделяют следующие виды неправильного прикуса.

Дистальный. Возникает, если размер нижней челюсти уменьшен. Она выглядит «задвинутой» назад, верхняя челюсть нависает над ней. При таком нарушении положение верхних резцов может быть разным:
- отклонены наружу, к губе. Профиль становится вогнутым, губы могут смыкаться не до конца, нижняя губа немного вытягивается вверх и вперед, чтобы компенсировать это;
 - отклонены внутрь, к небу. При такой аномалии появляется глубокая складка на подбородке, нижняя губа кажется слишком толстой.
 
Дистальный прикус формируется из-за сосания пальца в детстве, неправильного глотания, при котором напрягаются мышцы губ и щек, из-за привычки прикусывать верхнюю или нижнюю губу. Часто его объясняют с постепенными изменениями рациона: пища становится более мягкой, жевательная нагрузка уменьшается, и это влияет на зубочелюстную систему. При таком нарушении окклюзии ухудшается дикция, откусывание, жевание твердых продуктов усложнено, могут возникать боли на концах зубного ряда, в суставе челюсти.
Мезиальный. Обратная предыдущей аномалия: уменьшена верхняя челюсть. Причиной может быть родовая травма, генетическая предрасположенность, ранняя потеря зубов верхнего зубного ряда. Мезиальный прикус может сопровождаться скученностью зубов на верхней челюсти и свободным расположением противостоящих им зубов более массивной нижней челюсти.
Мезиальный прикус меняет лицо. Из-за него профиль становится выпуклым, подбородок выступает вперед, верхняя губа западает, а нижняя выпячивается. При такой патологии височно-нижнечелюстной сустав работает неправильно, его связки постоянно растягиваются, а жевательные и височные мышцы перенапряжены. Из-за этого возможны головные боли, неприятные ощущения при пережевывании, проглатывании еды.
Открытый. При такой аномалии резцы верхней и нижней челюсти не смыкаются. Между ними может появляться горизонтальный промежуток. При нормальном смыкании верхние резцы перекрывают верхнюю треть коронок нижних резцов. Если прикус является открытым, такое перекрытие уменьшается или отсутствует. Он может быть передним или боковым:
- передний: при смыкании боковых зубов перекрытие резцов отсутствует;
 - боковой: когда резцы перекрывают друг друга, моляры, премоляры не смыкаются, между ними остается промежуток.
 
Аномалия возникает под влиянием наследственных факторов, из-за неправильного формирования прикуса в детстве (ротовое дыхание, неправильное глотание, сосание пальца или долгое использование соски, инфантильный тип глотания). Такое нарушение окклюзии может возникать из-за эндокринных заболеваний, опухолей, расположенных на лице, челюсти.
При открытом прикусе рот почти всегда остается приоткрытым, если пациент его закрывает, лицо становится напряженным. Возникают проблемы с откусыванием пищи, ее проглатыванием.
Глубокий. Возникает при чрезмерном перекрытии нижних зубов верхними. Может быть травматическим, если нижние резцы при смыкании упираются в небо. Аномалия может формироваться в детском возрасте (неправильное глотание, слишком долгое использование соски, сосание пальца, позднее прорезывание зубов в боковых отделах). Во взрослом возрасте смыкание зубных рядов нарушается из-за ранней потери моляров (адентия, удаление из-за пульпита и т.п.). Глубокий прикус меняет пропорции лица: его нижняя треть укорачивается, нижняя губа выворачивается наружу, горизонтальная складка подбородка становится более заметной. При таком нарушении окклюзии страдает дикция: кажется, что человек разговаривает сквозь зубы. Возможны проблемы с откусыванием, пережевыванием пищи, головные боли.
Перекрестный. При смыкании челюстей зубы перекрещиваются. Зубы нижней челюсти при этом могут частично или полностью перекрывать верхний зубной ряд. Аномалия возникает, если размеры челюстей в боковом отделе не соответствуют друг другу. Такое несоответствие может возникать только с одной или с обеих сторон. Подвиды перекрестного прикуса по типу смещения нижней челюсти:
- лингвальный: смещение по направлению к языку;
 - буккальный: смещение по направлению к щеке;
 - палатинальный: смещение к небу.
 
Нарушение может возникать из-за родовой травмы, в период формирования прикуса (из-за неправильного глотания, долгого использования соски и т.п.), из-за частичной адентии, неправильного или несвоевременного прорезывания зубов. При перекрестном прикусе возникает больше всего осложнений: эстетические дефекты, проблемы с дикцией, приемом пищи, ЖКТ, состоянием десен и т.п.
Нарушения окклюзии - причины, чем опасны, способы коррекции
Патологическая окклюзия — такое нарушение смыкания зубных рядов, при котором возникает функциональная перегрузка отдельных зубов. Это может травмировать их, ускорять стираемость эмали, провоцировать нарушения функций жевания и движений нижней челюсти, травмы десневых тканей.
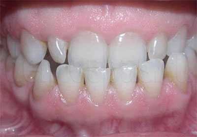
 ![Cагиттальное (мезиальное) нарушение окклюзии]()
Причины нарушения окклюзии
Неправильное смыкание возникает из-за следующих факторов:
- : из-за неправильного расположения зубов они смыкаются некорректно. Особенно сильной патология становится при глубоком прикусе;  
 - потери отдельных единиц, промежутки в зубном ряду. Провоцируют смещение зубных рядов, из-за чего их смыкание становится неправильным; : если она ослаблена, под действием жевательной нагрузки начнется деформация окклюзионных поверхностей;
 - ошибок протезирования: если высота искусственной коронки или мостовидного протеза увеличена относительно зубного ряда, при ошибках кламмерной фиксации, использовании неподходящих ортодонтических конструкций; — неконтролируемое скрежетание зубами во сне, из-за которого ускоряется стираемость эмали;
 - периодонтита, опухолей и других заболеваний челюсти.
 
Под действием этих факторов жевательная нагрузка распределяется неверно, из-за чего контакт между зубами-антагонистами нарушается. При заболеваниях пародонта патологическая окклюзия является вторичной: из-за состояния десневой ткани, болей, воспаления, нормальное пережевывание еды становится невозможным.
Выделяют три типа окклюзионных патологий:
- сагиттальный. Обусловлен мезиальным (нижняя челюсть выдвинута вперед) или дистальным (вперед выдвинута верхняя челюсть) прикусом. У взрослых пациентов такие патологии являются постоянными, закрепленными, они требуют ортодонтического лечения;
 - вертикальный. Связан с изменением высоты коронок — они являются слишком высокими или низкими, из-за чего нет нормального смыкания с антагонистами. У взрослых пациентов чаще возникает дизокклюзия, связанная со слишком большой высотой отдельных единиц. При попытке сомкнуть челюсти из-за этого между зубными рядами образуется заметная щель. Она может быть передней или боковой, с односторонним или двусторонним расположением;
 - трансверзальный. Возникает при диспропорции верхнего и нижнего зубного ряда (различаются по ширине). Может осложняться смещением нижней челюсти вбок. Возникает при перекрестном прикусе, может провоцировать патологии ВНЧС, деформацию лицевого скелета, требует обязательной коррекции.
 
Нарушения окклюзии нарастают постепенно. Если после лечения высота одной из коронок незначительно увеличилась, связанный с этим дискомфорт может пройти после адаптации пародонта. При значительном увеличении для одной или нескольких единиц нарушение смыкания провоцирует травму пародонта, появление заболеваний десен, которые, в свою очередь, усиливают функциональные нарушения.
При отсутствии одного или нескольких зубов в первые недели человек может не замечать трудностей в жевании. При этом нагрузка на сохранившиеся единицы становится повышенной, рядом с дефектом они начинают смещаться в его сторону, что дополнительно ухудшает окклюзионный контакт.
![Cагиттальное (дистальное) нарушение окклюзии]()
Чем опасны нарушения окклюзии?
Они провоцируют болезни зубов и пародонта, нарушения прикуса, другие патологии.
Состояние зубов. Распределение жевательной нагрузки меняется, и твердые ткани на отдельных участках могут испытывать повышенное давление. Это опасно быстрым истончением эмали, ее стираемостью, появлением клиновидных дефектов, повышением чувствительности, частым появлением кариеса. Если на отдельных единицах уже есть кариозное поражение, оно будет развиваться быстрее, возможно обрушение стенок коронки, появление глубоких сколов.
Состояние десен. Если коронки смыкаются неправильно, отдельные участки десен получают постоянную травму. Пародонт может адаптироваться к этому, но чаще результатом травмы становятся отеки, воспаления, кровоточивость. Ухудшается и состояние тканей периодонта — нагрузка на них изменяется, что может провоцировать патологические изменения. Из-за нарушений окклюзии может возникать гингивит или пародонтит, который приводит к потере даже здоровых зубов.
Изменения прикуса. Зубочелюстная система «пытается» адаптироваться, из-за чего положение отдельных зубов меняется. Если дефект локализован в области моляров или премоляров, они могут отклоняться в его сторону. Если он появился из-за потери отдельных зубов, оставшиеся рядом с промежутком единицы начнут смещаться, закрывая его. Из-за этого зубной ряд станет разреженным, нарушится положение сразу нескольких пар антагонистов.
Патологии ВНЧС. При неправильной окклюзии возможны нарушения в работе височно-нижнечелюстного сустава, ограничения в подвижности нижней челюсти. Это может провоцировать трудности в пережевывании еды, проблемы с дикцией, головные боли, неврологические заболевания.
Заболевания ЖКТ. Возникают на фоне окклюзионных нарушений из-за недостаточно тщательного пережевывания еды или искусственных ограничений в рационе.
Способы коррекции
Метод лечения выбирают, определяя причину патологии окклюзии.
Пришлифовывание. Изменение высоты коронки, формы жевательной поверхности или режущего края зуба для коррекции контакта с зубом-антагонистом. Выполняется после эндодонтического лечения, реставрации, протезирования на завершающем этапе или в случае, если высота прикуса на отдельных единицах изменяется по другим причинам.
Коррекция прикуса. Выполняется, если нарушения в строении зубного ряда провоцируют изменения окклюзии. Может предполагать перемещение отдельных единиц для создания правильного контакта с антагонистами, коррекцию глубокого прикуса, изменение положения ротированных, отклонившихся зубов.
Протезирование, имплантация. Проводится, если окклюзионные нарушения возникают из-за потери отдельных единиц. Стоматологи клиники «ДентоСпас» рекомендуют замещать их, устанавливая искусственные конструкции, как можно быстрее: пока не началась рецессия десны, убыль костной ткани, смещение зубов рядом с дефектом.
Особенности исправления прикуса во взрослом возрасте
Если постоянный прикус сформировался неправильно или изменился из-за потери коренных зубов, его можно скорректировать. Для взрослых пациентов используют разные способы ортодонтического лечения, часто их комбинируют. У такой коррекции есть несколько особенностей.
![Брекеты]()
Состояние костной ткани
У ребенка челюсть продолжает расти, она «пластична», хорошо отзывается на изменения зубочелюстной системы, и потому коррекция прикуса выполняется относительно быстро. У взрослого пациента костная ткань уже сформирована. Она «склонна» скорее к атрофии, убыли, если нагрузки на нее распределены неправильно. Это ограничивает возможности ортодонтического лечения. Выбранная брекет-система должна обеспечивать достаточно сильное, но не слишком агрессивное воздействие: чтобы кость менялась, но процесс ее деструкции не начинался. Ее перестройка идет медленно, и потому исправлять прикус придется дольше — не менее полугода. Лучше не торопиться: если зубы будут перемещаться слишком быстро, это может травмировать их корни, периодонт, костную ткань.
Кровообращение
Замедляется во взрослом возрасте, из-за чего восстановительные процессы идут не так быстро. При ортодонтическом лечении это влияет на состояние зубных корней, десен. Корректирующее воздействие должно быть щадящим. Не допускается использование конструкций, давящих на слизистые, способных замедлить кровообращение на их определенном участке. Если питание десен нарушено до коррекции, его нужно нормализовать, восстановить с помощью физиотерапии, массажа, лечения сопутствующих заболеваний, отказа от курения.
Подготовительный этап
У детей общее состояние зубов лучше, чем у взрослых — пломб меньше, дентин и эмаль прочнее, серьезных болезней нет, и до установки брекетов достаточно обычной санации. С возрастом стоматологические проблемы накапливаются, и до коррекции прикуса нужно решить их все.
На подготовительном этапе проводят:
- диагностику по расширенному плану: врач собирает общую информацию о здоровье пациента, исключает возможные противопоказания или осложнения. Врачу понадобятся рентгеновские снимки, чтобы оценить строение костной ткани, состояние и взаимное расположение зубных корней. Дополнительно выполняются диагностические слепки;
 - осмотр и лечение десен. Если есть пародонтологические заболевания, их нужно вылечить до установки брекет-системы, иначе она травмирует слизистые еще больше. Это опасно воспалениями, рецессией десны, другими осложнениями;
 - эндодонтическое лечение. Нужно вылечить все зубы с кариесом, пульпитом, убрать сколы, трещины, другие дефекты. Если эмаль ослаблена, врачи стоматологии «ДентоСпас» рекомендуют курс ремотерапии для ее укрепления;
 - удаление мешающих или не подлежащих сохранению зубов (сверхкомплектные, сильно разрушенные, третьи моляры и т.п.). Выполняется до установки брекет-системы. Если планируется дальнейшая имплантация и протезирование, при коррекции под нее оставляют промежутки.
 
![Лечение брекетами]()
План посещений
С ортодонтом и стоматологом придется встречаться чаще. Для детей осмотры проводят раз в несколько месяцев, взрослым нужен более тщательный контроль:
- при сложных патологиях может требоваться дополнительная регулировка брекет-системы, чтобы исправление прикуса шло без нарушений и риска осложнений;
 - нужна периодическая оценка состояния эмали и слизистых. Не должно быть признаков деминерализации, воспаления, травм. Если они появляются, лечение проводится как можно быстрее;
 - контроль изменений зубочелюстной системы. В отдельных случаях необходимо проверять расположение корней, состояние костной ткани на промежуточных этапах коррекции.
 
Больше методов лечения
Для взрослых пациентов могут использоваться не только брекеты:
Психологический аспект
Детям не нравится носить брекеты, но им проще адаптироваться к ним, потому что многие их сверстники тоже проходят ортодонтическое лечение. У взрослых возникает больше проблем: не только психологических, но и бытовых. Если работа связана с общением с людьми, с выступлением на публике, требует представительной внешности, брекет-система может создавать серьезные неудобства. Другие пациенты просто стесняются ее носить: им кажется, что она только подчеркивает несовершенства улыбки.
Отчасти из-за психологических проблем адаптация к ношению ортодонтических конструкций у взрослых проходит сложнее: им кажется, что брекеты мешают, натирают, травмируют слизистые, меняют вкус еды и т.п. Если возникают такие проблемы, нужно посетить ортодонта, чтобы он проверил состояние установленной конструкции. В норме адаптация проходит меньше, чем за месяц.
Закрепление результата
Ретенционный период в ортодонтическом лечении обязателен для всех пациентов, независимо от возраста, но у взрослых он может продолжаться дольше. Это связано с длительным закреплением патологии: даже после коррекции зубы «стремятся» вернуться в исходное положение. Чтобы этого не произошло, ортодонты «ДентоСпас» рекомендуют носить ретейнеры в течение минимум нескольких месяцев. Это — тонкие пластинки, которые удерживают зубной ряд в правильном положении. Их устанавливают после снятия брекетов, они незаметны, не мешаются во рту.
Зубная окклюзия

Под термином «окклюзия» в стоматологии подразумевают:
- Контакт между верхними и нижними зубами,степень их смыкания. В данном случае речь не идет о каких-либо отклонениях от нормы.
 - Аномалии прикуса, свойственные конкретному человеку. Такие состояния требуют наблюдения у стоматолога и грамотной коррекции.
 
От особенностей окклюзии зависит правильность работы жевательных мышц. Если верхний и нижний зубной ряд располагаются неправильно по отношению друг к другу, необходимо провести лечение.
Ниже мы рассмотрим окклюзию, как признак стоматологического нарушения. Сегодня очень распространены случаи неправильного прикуса, обусловленные недоразвитием или, наоборот, сильным развитием одной из челюстей.
Причины окклюзии

Измененная окклюзия может быть следствием:
- «Плохой» наследственности. Как правило, неправильный прикус передается ребенку от одного из родителей. Повлиять на это никак нельзя — мер профилактики не существует. Поэтому приходится исправлять ситуацию после смены молочных единиц постоянными.
 - Инфекционных заболеваний, перенесенных беременной женщиной. На свет может появиться ребенок, у которого будут проблемы с прикусом. Такое возможно и после родовых травм.
 - Привычки детства типа сосания пальцев, посторонних предметов.
 - Ротового дыхания, обусловленного заболеваниями носоглотки.
 - Отсутствия отдельных постоянных зубов из-за гибели их зачатков. Нарушение является следствием запущенного кариеса молочных единиц и некоторых заболеваний.
 - Макроглоссии. Заболевание, основной симптом которого — очень большой язык. Это генетическое нарушение. Язык не помещается во рту, часто выпадает наружу, сильно давит на единицы и мешает их нормальному росту.
 - Патологии центральной нервной системы. Имеются в виду эпилептические припадки, неврастения, ДЦП. При них часто наблюдается искривленная окклюзия.
 - Воспаления височно-нижнечелюстного сустава и поражения жевательных мышц.
 
Проблема окклюзии в стоматологии

Если не заниматься неправильным смыканием челюстей, будут беспокоить:
- Сложности с пережевыванием пищи. Во время употребления твердых продуктов человек будет слышать щелчки и ощущать дискомфорт.
 - Частые головные боли. Некоторые пациенты думают, что являются метеозависимыми или связывают симптом с нервными переживаниями. На самом деле, проблема лежит гораздо глубже — в заболевании полости рта.
 - Патологическая стираемость зубной эмали. Это серьезная проблема. Коронки истончаются. Образуются трещины, сколы. Отсюда — необходимость протезирования.
 - Постоянное прикусывание тканей, расположенных с внутренней стороны щек. Из-за этого будет часто возникать стоматит.
 - Травмы неба. Обусловлены неправильным пережевыванием пищи.
 - Атрофия альвеолярного гребня. Происходит по причине неравномерного и неправильного распределения жевательной нагрузки.
 - Затрудненное носовое дыхание. Пациенту приходится приоткрывать рот, чтобы не испытывать нехватку кислорода.
 
Как распознать патологию
О нарушении окклюзии говорят следующие симптомы:
- Странная и неестественная форма лица.Подбородок выглядит слишком маленьким, практически не выступает вперед. Он может смотреть вбок. От этого человек постоянно кажется грустным или злым. На самом деле, из-за подобной аномалии улыбаться очень сложно.
 - Верхняя и нижняя губа не смыкаются, когда рот расслаблен. Чтобы они примкнули друг к другу, человеку приходится сильно напрячься. В итоге пациент всегда ходит с приоткрытыми губами.
 - Зубы скученные, заходят один на одного или, напротив, между ними имеются большие промежутки.
 
Врачи без труда ставят верный диагноз при окклюзии. Но иногда одного внешнего осмотра недостаточно. Тогда в диагностике участвуют более сложные исследования.
Постановка диагноза

Среди диагностических методик, применяемых при изучении особенностей прикуса:
- Стоматологический тест. Клиента просят запрокинуть голову и приоткрыть рот. На нижний зубной ряд доктор кладет указательные пальцы и фиксирует их в неподвижном положении. После этого пациент просят несколько раз сглотнуть слюну. Челюсти при совершении глотательных движений начинают непроизвольно двигаться. Наблюдая за их перемещением, специалист может оценить степень и правильность смыкания рядов.
 - Анатомическое исследование. Используя особый измерительный инструмент и фиксаторы, доктор оценивает пропорциональное соотношение лица по двум осям — горизонтальной, вертикальной.
 - Рентгенография. Позволяет изучить строение челюстей, понять, нет ли непрорезавшихся зубов.
 - Снятие слепков. Человек прикусывает восковую заготовку. Посмотрев на полученные слепки, стоматолог может точно сказать, есть ли аномальная окклюзия.
 
Лечение окклюзии стоматологами

Существует множество способов исправления искривленного прикуса. Среди них:
- Лечебная гимнастика. Применяется в самых простых случаях. Человек выполняет упражнения, которые позволяют улучшить расположение челюстей путем снятия напряжения в отдельных участках ротовой полости.
 - Ношение брекет-аппаратов.Такие конструкции включают в себя фиксирующую дугу и замочки, заставляющие зубы принять верные позиции. С помощью брекетов можно вылечить самые серьезные нарушения. Тем, кто опасается неэстетичного вида металлических систем, стоматологи предлагают керамические и лингвальные (наклеиваются с обратной стороны зубного ряда) изделия.
 - Элайнеры.Аналоги брекетов. Выглядят, как прозрачные каппы. Изготавливают их по персональным слепкам. Подходят, если искривления не очень серьезные и возраст пациента не превышает восемнадцати лет.
 - Пластины.Доступный по цене вариант исправления прикуса. Но подходит он только для детей, возраст которых не превышает двенадцати лет.
 - Хирургическая операция. Это радикальный способ лечения окклюзии. Стоматологи прибегают к нему, если доступные традиционные методики не обеспечили получения желаемого результата. Операция необходима при врожденных пороках развития челюстей, фронтальном открытом прикусе, дисплазии подбородка, искривлении альвеолярных отростков после травмы, опухоли костных тканей. От хирургической терапии придется отказаться, если у пациента прогрессирующий туберкулез, пониженная свертываемость крови, невылеченные воспалительные заболевания полости рта. Операция по коррекции окклюзии проводится исключительно под общим наркозом. Это достаточно сложное и серьезное вмешательство. После него требуется длительная реабилитация.
 
Если не лечить

Некоторые люди считают, что окклюзию можно не лечить. Обычно так говорят пациенты, которым искривление мешает не очень сильно. Отказываясь от коррекции неправильно прикуса, человек рискует столкнуться с:
- бруксизмом и разрушение зубов в молодом возрасте;
 - воспалением височно-нижнечелюстного сустава;
 - нечеткой речью;
 - хроническим периодонтитом;
 - болезнями ЖКТ (из-за невозможности нормально пережевывать пищу);
 - гингивитом, пародонтозом.
 
Если у вас диагностирована окклюзия, обязательно обсудите с врачом подходящий способ ее коррекции. Не игнорируйте нарушение. Устранив его, вы почувствуете себя лучше и преобразите свою внешность.
Читайте также:
- МРТ при разрыве интервала ротаторной манжеты (ИРМ)
 - Быстропрогрессирующий (некротический экстракапиллярный) гломерулонефрит. Диагностика и лечение
 - Порфирийная полиневропатия. Диагностика порфирийной полиневропатии. Лечение порфирийной полиневропатии.
 - Поражение глаз при шистосомозе и энтеровирусной инфекции
 - Разрывы сфинктера зрачка и иридодиализ. Диагностика, лечение
 




