Рентгенограмма, КТ при остеомиелите челюсти
Добавил пользователь Евгений Кузнецов Обновлено: 03.11.2025
а) Терминология:
1. Синонимы:
• Острый гнойный остеомиелит, хронический склерозирующий остеомиелит, пролиферативный периостит
2. Определения:
• Воспаление кости, в т.ч. костного мозга
• Наиболее часто результат бактериальной инфекции:
о Неинфекционный остеомиелит- отдельное заболевание у детей
б) Визуализация:
1. Общая характеристика:
• Лучший диагностический критерий:
о Смешанные литические и склеротические изменения костей с секвестрацией и пластинчатой периостальной реакцией
о Идентифицированный источник инфекции (одонтогенный, постоперационный, травматический) о Воспалительные изменения мягких тканей
• Локализация:
о Нижняя >> верхняя челюсть:
- Более плотная кость с худшим кровоснабжением
о Наиболее часто в области моляров
о Неконтролируемая инфекция может распространяться в ВНЧС (септический артрит), височные кости, сосцевидные отростки
о Может сочетаться с воспалением мягких тканей
• Размер:
о Варьирует: локальные изменения — двухстороннее диффузное поражение челюстей
• Морфология:
о Нечеткие, расплывчатые или частично очерченные границы:
- Кость может выглядеть «изъеденной молью»
о Увеличение челюсти с выраженной периостальной реакцией
2. Рекомендации по визуализации:
• Лучший метод визуализации:
о КТ с КУ в мягкотканном и костном окне:
- КТ-лучший метод визуализации секвестров и периостальных наложений
о Панорамная рентгенография: мониторинг ответа на лечение
• Выбор протокола:
о КТ (под углом) для предотвращения артефактов от зубной амальгамы

(Слева) На корональной КТ в костном окне у ребенка визуализируются обширные периостальные наложения, полностью окружающие ветвь нижней челюсти слева. Определяется частичная резорбция кортикальной пластинки нижней челюсти, которая, тем не менее, остается различимой. Также определяются деструктивные и склеротические изменения трабекулярной кости.
(Справа) На КЛКТ (профильный срез) у пациента с переломом нижней челюсти сращение отсутствует, определяется остеомиелит. Наблюдается разрежение и секвестрация язычной кортикальной плааинки, также видны периостальные наложения по нижнему краю.
3. Рентгенография при остеомиелите челюсти:
• Острая фаза: плохо отграниченное просветление в кости
• Хроническая фаза: ↑ склероз трабекулярной кости; возможна картина «матового стекла»:
о При выраженном склерозе отчетливо визуализируется канал нижнечелюстного нерва
о Нижняя кортикальная пластинка нижней челюсти становится нечеткой
• Секвестр: рентгеноконтрастный островок в кости, окруженный рентгенонегативным участком деструкции кости
• Периостальные наложения располагаются параллельно кортикальной пластинке:
о Множественные параллельные слои напоминают «луковую шелуху»
о Более выражены у детей
• Рентгенопрозрачный синусный тракт, прободающий кортикальную пластинку
• Одонтогенный источник (например, «мертвый» зуб):
о Периапикальное просветление, связанное с кариесом, переломом зуба, заболеванием периодонта
о Отсутствие твердой пластинки вокруг вершины корня зуба
4. КТ при остеомиелите челюсти:
• КТ в костном окне/КЛКТ:
о Смешанная, неровная деструкция кости и склероз:
- Острая фаза: преимущественно лизис губчатой кости с фрагментацией кортикальных пластинок
- Хроническая фаза: более выраженный склероз трабекулярной кости
о Секвестрация лучше определяется на КТ
о Периостальные наложения вдоль кортикальной пластинки:
- Увеличение челюсти можно спутать с другими заболеваниями:
Идентификация фрагментов кортикальной пластинки позволяет подтвердить, что изменения связаны с периодонтом
• КТ с КУ:
о Воспалительные изменения мягких тканей (уплотнение жировой клетчатки, утолщение кожи, лимфаденопатия)
о Может обнаруживаться абсцесс поднижнечелюстного, подъязычного или жевательного пространства
5. МРТ при остеомиелите челюсти:
• Т1 ВИ:
о Потеря сигнала на Т1 по мере замещения костного мозга экссудатом (острая фаза) или фиброзом/склерозом (хроническая фаза)
• STIR:
о Острая фаза: выраженный гиперинтенсивный сигнал в костном мозге, обусловленный отеком или гиперемией
о Хроническая фаза: сигнал варьирует в зависимости от выраженности фиброза и склероза
о Воспаление окружающих мягких тканей обнаруживается благодаря гиперинтенсивному сигналу
• Т1 ВИ С+ FS:
о Острая фаза: выраженное контрастное усиление костного мозга
о Хроническая фаза: контрастное усиление различной выраженности
о Контрастное усиление окружающих мягких тканей, особенно жевательных мышц
6. Сцинтиграфия:
• Остеосцинтиграфия с Tc-99m МДФ: чувствительный, не специфичный метод:
о Позволяет выявить ранние поражения до их обнаружения рентгеновскими методами
о Применима при подозрении на мультифокальное заболевание (синдром САФО, SAPHO: синовит, акне, пустулез, гиперостоз, остеит)
о ОФЭКТ помогает оценить локализацию поражения костей
• Ga-67 цитрат: для дифференциальной диагностики воспалительного заболевания с другой патологией костей

(Слева) На аксиальной КТ в костном окне определяются плохо отграниченные, «изъеденные молью» участки деструкции у пациента с остеомиелитом нижней челюсти справа. Кортикальная пластинка в нескольких местах разрушена. Обратите внимание на периостальные наложения на язычной поверхности и признаки секвеарации, помогающие отличить остеомиелит от злокачественной опухоли. У этого пациента явные изменения мягких тканей отсутствуют.
(Справа) На изображении (остеосцинтиграфия с Тс-99m МДФ) у пациента с остеомиелитом нижней челюсти справа определяется выраженное накопление радиофармпрепарата.
в) Дифференциальная диагностика остеомиелита челюсти:
1. Плоскоклеточный рак:
• «Чистые» литические изменения без периостальной реакции
• Мягкотканная опухоль или инфильтрация
• Присоединение инфекции может осложнять проявления
2. Остеосаркома:
• Деструкция костей в сочетании с формированием костной ткани может напоминать остеомиелит
• Вздутие кости, локализованное центральнее, подозрительно на опухолевый рост
• Периостальная реакция может создавать лучистую картину с тонкими линейными спикулами, расходящимися от центра
3. Метастазы:
• Метастазы рака предстательной или молочной железы могут быть остеобластическими:
о Склеротические изменения имитируют воспалительную реакцию
о Метастазы рака предстательной железы: картина пучка волос
• Неравномерное расширение пространств периодонтальной связки подозрительно на злокачественную инфильтрацию
4. Фиброзная дисплазия:
• Повышение плотности и вздутие кости может имитировать хронический остеомиелит
• Приподнятая кортикальная пластинка интактна, не подвержена деструктивным изменениям и не окружена периостальными наложениями
• Клинические симптомы инфекции отсутствуют
5. Лекарственно-индуцированный остеонекроз:
• Изменения костей у пациента, принимавшего антирезорбтивные или антиангиогенные препараты
• Обычно сочетается с обнажением кости (клинически)
6. Остеорадионекроз:
• Остеолиз и склероз у пациента, подвергшегося лучевой терапии

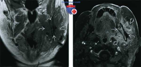
(Слева) На корональной МРТ (Т1 ВИ) у пациента 79 лет с рецидивирующим абсцессом жевательного пространава через 12 недель после установления диагноза и дренирования определяется тотальное замещение гиперинтенсивного сигнала в жировом костном мозге нижней челюсти слева, сопоставимое с остеомиелитом.
(Справа) На аксиальной MPT (Т1ВИ С+) с жироподавлением у этого же пациента определяется диффузное контрастное усиление костного мозга и жевательного пространства (флегмона) слева. Определяется небольшой абсцесс в наружных отделах.
г) Патология:
1. Общая характеристика:
• Этиология:
о Большинство случаев одонтогенные: связаны с периапикальными или периодонтальными поражениями или перикоронитом:
- Кариес — центральная инфекция пульпы — периапикальный абсцесс — поражение костного мозга — деструкция губчатой и кортикальной костей
о Неодонтогенные: травма, операция, гематогенные поражения
о Доминирующий микробный этиологический агент отсутствует: при культуральном исследовании обнаруживается смешанная флора
• Сопутствующие нарушения:
о Нарушения метаболизма костной ткани приводят к повышению риска болезни Педжета, остеопетроза
о Возможно вторичное инфицирование очагов цементо-костной дисплазии, что приводит к остеомиелиту:
- Аваскулярные цементоподобные образования становятся гнездами для инфекции
2. Стадирование, классификация остеомиелита челюсти:
• Острый: • Множество названий и классификаций:
о Первичный и вторичный хронический; фокальный и диффузный склерозирующий; гнойный и асептический; пролиферативный периостит
о Различные проявления одного воспалительного заболевания
• Остеомиелит с синдромом САФО (SAPHO): мультифокальное поражение
• Хронический рецидивирующий очаговый остеомиелит-отдельное заболевание у детей, редко поражающее челюсти; симптомы остеомиелита в отсутствие инфекции
3. Микроскопия:
• Острый: некроз кости в отсутствие остеоцитов; воспалительная клеточная инфильтрация, в т.ч. нейтрофилами; некротический дебрис и резорбция кости
• Хронический: фиброз костного мозга, лимфоциты, плазматические клетки:
о Активность остеобластов и остеонеогенез свидетельствуют о попытке восстановления и соотносятся с зернистой или склеротической рентгеновской картиной
д) Клинические особенности:
1. Проявления:
• Типичные признаки/симптомы:
о Боль и отек тканей вокруг челюсти, лимфаденопатия
• Другие признаки/симптомы:
о Формирование свищк с гнойным отделяемым
о Тризм при распространении инфекции в жевательные мышцы
о Одностороннее снижение/отсутствие чувствительности нижней челюсти/подбородка при вовлечении канала нижнечелюстного нерва
2. Демография:
• Возраст:
о Любой
• Эпидемиология:
о Риск выше у пациентов с иммунодефицитом (диабет, нарушение питания, анемия)
о Злоупотребление алкоголем и табаком также повышает риск
3. Течение и прогноз:
• При отсутствии адекватного лечения возможна хронизация
• Хроническое заболевание трудно поддается коррекции
4. Лечение:
• Контроль источника инфекции: удаление или эндодонтическое лечение причинного зуба, удаление инородного тела
• Длительная пероральная ± внутривенная антибиотикотерапия, в идеале с учетом данных культурального исследования
• Хирургическая санация: вскрытие кортикальной пластинки и удаление секвестров
• Гипербарическая оксигенотерапия для улучшения кровоснабжения в случаях, плохо поддающихся лечению
е) Диагностическая памятка:
1. Следует учесть:
• Злокачественную опухоль при наличии длительно существующего мягкотканного образования с деструкцией костей
о Для исключения агрессивных поражений требуется биопсия
• Для подтверждения остеомиелита и документации положительного клинического ответа часто необходима серия исследований
2. Советы по интерпретации изображений:
• Периостальные наслоения вдоль кортикального слоя (могут фрагментироваться, но остаются различимыми)
3. Заключение:
• Определите источник (напр., больной зуб), когда это возможно
• Уточните локализацию секвестра для планирования операции
ж) Список использованной литературы:
1. Koorbusch 6F et al: How can we diagnose and treat osteomyelitis of the jaws as early as possible? Oral Maxillofac Surg Clin North Am. 23(4):557-67, vii, 2011
2. Tanaka R et al: Computed tomography findings of chronic osteomyelitis involving the mandible: correlation to histopathological findings. Dentomaxillofac Radiol. 37(2):94-103, 2008
Рентгенограмма, КТ при остеомиелите челюсти
1. Синонимы:
• Острый остеомиелит или вторичный хронический остеомиелит
2. Определение:
• Полимикробная бактериальная инфекция преимущественно одонтогенного характера, чаще протекающая с поражением нижней (а не верхней) челюсти
1. Общая характеристика:
• Лучший диагностический критерий:
о КТ с контрастным усилением/КТ в костном окне:
- Острый: пермеативные изменения, литические очаги в нижней челюсти, воспалительные изменения мягких тканей
- Хронический: склеротические или пермеативно-скпероти-ческие изменения, периостальная реакция и секвестрация
2. Рекомендации по визуализации:
• Лучший метод диагностики:
о КТ с КУ в костном и мягкотканном режимах

(Слева) При аксиальной КТ с контрастным усилением у девочки 15 лет, которой ранее было выполнено оперативное вмешательство по поводу перелома нижней челюсти, а сейчас возник отек левой щеки, и появилась боль, определяются выраженные воспалительные изменения в жевательном пространстве слева. Гиподенсные очаги представляют собой участки ранней трансформации флегмоны в абсцесс.
(Справа) При аксиальной КТ в костном окне у этой же пациентки определяется периостальная реакция вдоль кортикального слоя ветви нижней челюсти, а, кроме того, остеосклероз и воспалительные изменения в центре. Эти изменения позволяют сделать вывод об остеомиелите.
3. Рентгенография при остеомиелите верхней челюсти и нижней челюсти:
• Острый: плохо отграниченный участок разрежения костной ткани
• Хронический: склеротические или склеротически-пермеативные изменения, периостальная реакция
4. КТ при остеомиелите верхней челюсти и нижней челюсти:
• КТ с контрастным усилением:
о Флегмона/абсцессоколонижнечелюстного, поднижнечелюстного, подъязычного, жевательного пространства
о Индурация/накопление контраста в нескольких зонах
• КТ в костном окне:
о Острый: деструкция губчатого и кортикального слоя:
- В сочетании с отеком мягких тканей, флегмоной или абсцессом
о Хронический: остеосклероз, пластинчатая периостальная реакция, секвестрация
5. МРТ при остеомиелите верхней челюсти и нижней челюсти:
• Т1ВИ:
о ↑ интенсивности сигнала по мере нарастания отека костного мозга и появления экссудата (в острой фазе) или в результате фиброза/склероза костного мозга (в хронической фазе)
• STIR:
о Острый: значительное повышение интенсивности сигнала в костном мозге
о Хронический: интенсивность сигнала вариабельна и зависит от степени выраженности фиброза и склероза
• Т1ВИ FS с контрастным усилением:
о Острый: выраженное контрастное усиление костного мозга
о Хронический: контрастное усиление вариабельно
6. Сцинтиграфия:
• Трехфазная остеосцинтиграфия с МДП, меченым технецием-99m: чувствительный и специфичный метод

(Слева) Корональная МРТ в режиме Т1 у пациента 79 лет с рецидивом абсцесса жевательного пространства спустя двенадцать месяцев после того, как он был обнаружен и дренирован. Гиперинтенсивный сигнал, которым характеризуется костный мозг в норме, в нижней челюсти слева не определяется: изменения обусловлены остеомиелитом. Обратите внимание на отек медиальной крыловидной и жевательной мышц.
(Справа) При МРТ Т1ВИ FS c КУ в аксиальной проекции у этого же пациента определяется диффузное накопление контраста в коаном мозге слева, а также в жевательном пространстве (флегмона); виден небольшой абсцесс снаружи от нижней челюсти.
в) Дифференциальная диагностика:
1. Остеорадионекроз верхней и нижней челюсти:
• Разрушение кости и появление газа внутри нее через 6-12 месяцев после облучения
2. Бисфосфонатный остеонекроз верхней и нижней челюсти:
• Разрушение костной ткани на фоне терапии бисфосфонатами или после нее
3. Инфильтративное новообразование с инвазией нижней челюсти:
• Инвазивное мягкотканное новообразование и деструкция костной ткани
• Плоскоклеточный рак альвеолярного гребня
• Неходжкинская лимфома нижней челюсти
• Метастазы в нижней челюсти
• Склеротические метастазы могут имитировать хронический остеомиелит
4. Первичный хронический остеомиелит:
• Характеризуется более скрытым течением и вызывает более выраженное поражение нижней челюсти
• Может становиться проявлением системного заболевания:
о Хронический рецидивирующий многоочаговый остеомиелит
о Синовит, акне, пустулез, гиперостоз, остеомиелит
1. Общая характеристика:
• Этиология:
о Неодонтогенные причины: травма, оперативное вмешательство или гематогенное распространение инфекции (редко)
2. Стадирование, классификация остеомиелита верхней челюсти и нижней челюсти:
• Острый (признаки/симптомы появляются до четырех недель) и хронический (>4 недель)
• Для культурального исследования может потребоваться тонкоигольная биопсия кости или мягких тканей под контролем методов визуализации
3. Макроскопические и хирургические особенности:
• Острый: гнойный экссудат
• Хронический: нежизнеспособная кость, фиброз, хроническое воспаление
4. Микроскопия:
• Острый: отек и инфильтрация костного мозга нейтрофилами с наличием фибрина, некротического дебриса и микроорганизмов
• Хронический: фиброз костного мозга, периостальная реакция, остеобластический склероз, секвестрация
1. Проявления:
• Типичные признаки/симптомы:
о Боль, отек, болезненность челюсти
2. Течение и прогноз:
• При неадекватном лечении: деструкция костной ткани, формирование абсцесса и свищевого хода
3. Лечение:
• При остром остеомиелите: пероральное (± внутривенное) введение антибиотиков, дренирование абсцесса
• При хроническом остеомиелите: хирургическая санация, гипербарическая оксигенация
е) Диагностическая памятка. Следует учесть:
• При выявлении мягкотканного новообразования и деструкции костной ткани необходимо исключать злокачественную опухоль
• Для подтверждения остеомиелита и документирования положительного клинического ответа необходимо физикальное обследование и КТ в динамике
ж) Список использованной литературы:
1. Schuknecht В et al: Osteomyelitis of the mandible. Neuroimaging Clin N Am. 13(3):605-18, 2003
Остеомиелит челюсти
Остеомиелит челюсти – гнойный, инфекционно-воспалительный процесс, захватывающий все структурные компоненты челюстной кости и приводящий к остеонекрозу. Остеомиелит челюсти сопровождается общими симптомами (слабостью, подъемом температуры, ознобом) и локальными признаками (болью, ограничением открывания рта, подвижностью зубов, воспалительной инфильтрацией мягких тканей лица, образованием свищей, секвестров, абсцессов и пр.). Остеомиелит челюсти диагностируется на основании клинических и рентгенологических признаков, исследования гемограммы. Лечение остеомиелита челюсти включает противомикробную и дезинтоксикационную терапию, удаление инфицированного зуба, дренирование поднадкостничного абсцесса, секвестрэктомию.

Общие сведения
Остеомиелит челюсти - гнойно-воспалительное заболевание челюстно-лицевой области, характеризующееся инфицированием и деструктивными изменениями костной ткани челюстей. Остеомиелит челюстей занимает одно из ведущих мест в структуре хирургической стоматологии в числе одонтогенных воспалительных поражений, наряду с острым и хроническим периодонтитом, периоститом челюсти. Среди остеомиелитов различной локализации на долю остеомиелита челюстей приходится около 30% случаев. Одонтогенный остеомиелит челюсти чаще диагностируется в возрасте 20-40 лет, преимущественно у мужчин. Остеомиелит нижней челюсти развивается в 2 раза чаще, чем верхней.

Классификация
С учетом источника и механизма инфицирования остеомиелиты челюстей подразделяются на одонтогенные (связанные с патологией зубов), гематогенные (связанные с заносом инфекции из отдаленных очагов с током крови) и травматические (связанные с прямым повреждением челюстей).
По характеру клинического течения челюстное воспаление может быть острым, подострым или хроническим. В соответствии с преобладанием процессов построения или гибели костного вещества выделяют 3 клинико-рентгенологические формы хронического одонтогенного остеомиелита челюстей: продуктивную (без образования секвестров), деструктивную (с образованием секвестров) и деструктивно-продуктивную.
В зависимости от распространенности гнойно-некротического процесса остеомиелит челюсти бывает ограниченным (локализован в пределах альвеолярного отростка или тела челюсти в области 2-4 зубов) и диффузным (разлитое поражение значительной части или всей челюсти).
Причины остеомиелита челюсти
Одонтогенный (стоматогенный) остеомиелит является наиболее частой разновидностью патологии, встречающейся в 75-80% случаев. Как правило, развитие одонтогенного остеомиелита челюсти этиологически связано с запущенным кариесом, пульпитом, периодонтитом, перикоронаритом, альвеолитом, зубной гранулемой или кистой зуба. При этом проникновение инфекции в челюстную кость происходит через инфицированную пульпу и корень зуба.
Первичным источником инфекции при гематогенном остеомиелите челюсти могут выступать фурункулы и карбункулы челюстно-лицевой области, гнойный отит, тонзиллит, омфалит и пупочный сепсис новорожденных, инфекционные очаги при дифтерии, скарлатине и пр. При гематогенном распространении инфекции сначала поражается челюстная кость, а ткани зубов вовлекаются в гнойно-воспалительный процесс вторично.
Травматический остеомиелит может являться следствием перелома челюсти, огнестрельного ранения, повреждения слизистой оболочки полости носа. В этих случаях в костную ткань инфекция попадает из внешней среды. На долю травматического остеомиелита челюсти приходится 11% случаев, на гематогенный – 9%.
Патогенная микрофлора, вызывающая остеомиелит челюстей может выявляться в виде монокультур или микробных ассоциаций и представлена, главным образом, золотистым стафилококком, стрептококком группы В, кишечной палочкой, клебсиеллой, протеем, фузобактериями, синегнойной палочкой и другими возбудителями.
Определенное значение для развития остеомиелита челюсти имеет состояние общего и местного иммунитета. Остеомиелиту челюсти часто сопутствуют заболевания крови, сахарный диабет, полиартрит, ревматизм, болезни печени и почек.
Симптомы остеомиелита челюсти
Острый остеомиелит челюстной кости манифестирует внезапно, с общих симптомов. Отмечается резкий подъем температуры тела до фебрильных значений, ознобы, общая слабость, разбитость, отсутствие аппетита, нарушение сна.
При одонтогенном остеомиелите челюсти пациента беспокоит боль в области причинного зуба, являющегося источником инфекции. Боль из локальной вскоре становится разлитой, иррадиирующей в ухо, глазницу, висок. Инфицированный зуб, а также соседние с ним интактные зубы становятся подвижными; слизистая оболочка десны – отечной. Из десневых карманов нередко отделяется гнойное содержимое; изо рта больного исходит зловонный гнилостный запах. При распространении инфильтрации на мягкие ткани возникает ограничение открывания рта, боль при глотании, затруднение дыхания. Остеомиелит нижней челюсти протекает с нарушением чувствительности нижней губы (онемением, чувством покалывания, ползания мурашек), слизистой оболочки преддверия рта и кожи подбородка.
При остром остеомиелите челюсти отмечается выраженная воспалительная инфильтрация, отек и гиперемия мягких тканей, регионарный лимфаденит, за счет чего контур лица становится асимметричным. Для острого остеомиелита челюстей типично формирование субпериостальных абсцессов, околочелюстных флегмон, аденофлегмон. Диффузный остеомиелит верхней челюсти может осложняться одонтогенным гайморитом, флегмоной глазницы, тромбофлебитом ветвей лицевой вены.
При подостром течении остеомиелита челюсти улучшается общее состояние, уменьшается воспалительная инфильтрация и гноетечение, однако сохраняется и даже усиливается патологическая подвижность зубов. Хронический остеомиелит челюсти характеризуется затяжным течением и может развиваться как исход острого остеомиелита или как первично-хронический процесс.
Деструктивная форма протекает с симптомами интоксикации и лимфаденитом, на фоне которых формируются свищи с гнойным экссудатом и выбухающими грануляциями, а также крупные секвестры. Хронический деструктивный остеомиелит часто приводит к патологическому перелому челюсти. При деструктивно-продуктивной форме хронического остеомиелита образуются множественные мелкие секвестры. При продуктивной форме за счет преобладания процессов активного построения костного вещества в периосте свищи и секвестры отсутствуют; отмечается деформация челюсти, анкилоз ВНЧС, тризм, инфильтраты мягких тканей.
Диагностика
В острой фазе, ввиду отсутствия или невыраженности рентгенологических признаков остеомиелита челюстей, заболевание диагностируется стоматологом-хирургом или травматологом на основании клинических и лабораторных данных. Отклонения гемограммы при остеомиелите челюсти представлены нейтрофильным лейкоцитозом, лимфо- и эозинопенией, увеличением СОЭ. В биохимическом анализе крови в больших количествах обнаруживается С-реактивный белок, отмечается гиперглобулинемия и гипоальбуминемия; в общем анализе мочи выявляются эритроциты, цилиндры, следы белка. Для идентификации возбудителя показано проведение бактериологического посева отделяемого из очага воспаления.
В подострой и хронической фазах нарастает динамика костных изменений, выявляемая в ходе рентгенографии или томографии челюстей: обнаруживаются участки остеопороза и остеосклероза, грубоволокнистый рисунок кости, очаги секвестрации. При зондировании свищей обнаруживаются неровные контуры костных секвестров. Острый остеомиелит челюсти требует проведения дифференциальной диагностики с гнойным периоститом, острым периодонтитом, нагноившимися челюстными кистами, специфическими поражениями челюстей (туберкулезом, актиномикозом, сифилисом), опухолями челюстей.
Лечение остеомиелита челюсти
Подход к лечению остеомиелита складывается из комплекса местных и общих мероприятий. Первоочередной задачей при остеомиелите челюсти является ликвидация первичного гнойного очага: при одонтогенной форме – удаление зуба, при гематогенной – санация инфекции, при травматической – ПХО инфицированных и ПХО огнестрельных ран. Осуществляется периостотомия, эвакуация гноя, промывание костной полости антисептическими растворами, дренирование резиновым выпускником или ПВХ-трубкой. Подвижные интактные зубы подлежат лечебному шинированию.
Общие мероприятия включают дезинтоксикационную, симптоматическую, иммуномодулирующую, десенсибилизирующую терапию. Назначается массивная антибактериальная терапия цефалоспоринами, полусинтетическими пенициллинами, макролидами. Активно применяется гипербарическая оксигенация, плазмаферез, гемосорбция, лимфосорбция, аутогемотерапия, УФО крови, местные физиотерапевтические процедуры (УВЧ-терапия, ультразвуковая терапия, магнитотерапия).
При хроническом остеомиелите челюсти на основании рентгенологической картины может осуществляться секвестрэктомия - удаление секвестрировавшихся участков кости. После удаления секвестров и грануляций костную полость промывают и заполняют остеопластическими материалами направленного действия с антибиотиками. При угрозе патологических переломов проводится шинирование челюстей.
Прогноз и профилактика остеомиелита челюсти
Своевременная диагностика и правильное ведение острого остеомиелита челюсти в большинстве случаев обеспечивает выздоровление. При неблагоприятном течении остеомиелита челюсти восходящее распространение гнойного процесса может привести к развитию менингита, менингоэнцефалита, абсцесса мозга; нисходящее инфицирование – к абсцессам легкого, медиастиниту и сепсису. Подобные осложнения нередко приводят к летальному исходу.
Исходами хронического остеомиелита нередко служат патологические переломы, анкилозы ВНЧС, ложные суставы, рубцовые контрактуры жевательных мышц. Продуктивные формы хронического остеомиелита челюстей могут осложняться амилоидозом почек и сердца.
Профилактика остеомиелита челюсти предполагает своевременное терапевтическое лечение кариеса, пульпита, периодонтита; санацию гнойных очагов в организме, укрепление иммунитета, предупреждение травм челюстно-лицевой области.
Остеомиелит челюсти - симптомы и лечение
Что такое остеомиелит челюсти? Причины возникновения, диагностику и методы лечения разберем в статье доктора Дунаевской Натальи Вадимовны, стоматолога-ортопеда со стажем в 16 лет.
Над статьей доктора Дунаевской Натальи Вадимовны работали литературный редактор Вера Васина , научный редактор Пётр Козлов и шеф-редактор Маргарита Тихонова
Определение болезни. Причины заболевания
Остеомиелит челюсти (osteomyelitis of the jaws) — это гнойно-некротический процесс, который развивается в кости и костном мозге челюсти с вовлечением окружающих мягких тканей. Другое название заболевания — «некроз челюсти».
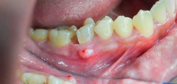
При острой форме остеомиелита в области повреждённого зуба возникает боль, которая усиливается при надавливании на челюсть. Наблюдается выраженный отёк, покраснение и припухлость, лицо становится несимметричным. Пациент жалуется на головные боли и общую слабость, температура тела повышается до 39 °C.
![Остеомилеит челюсти [19]](/pimg3/rentgenogramma-pri-osteomielite-DDC9.jpg)
Распространённость
Острым и хроническим остеомиелитом болеют люди всех возрастов и обоих полов. Однако чаще заболевание встречается у мужчин, потому что они, как правило, несвоевременно обращаются за медицинской помощью [8] . Средний возраст пациентов составляет 39 лет [7] .
Выделяют следующие виды остеомиелита челюсти:
- Одонтогенные — развиваются из-за инфекции в зубе и составляют 74,2 % от всех случаев остеомиелита [18] .
- Травматические — возникают после травмы, например при переломе челюсти. Зачастую заболевание развивается, когда пациент обращается в больницу только на 7–10-й день после повреждения [5] .
- Гематогенные — инфекция попадает с током крови из какого-либо органа. Встречаются при хронических и острых инфекциях: скарлатине, дифтерии и хроническом тонзиллите.
Согласно статистике, 15 % больных остеомиелитом поступают в отделение в состоянии алкогольного опьянения и при опросе указывают на частый приём алкогольных напитков, 13 % сейчас или в прошлом употребляли наркотики, следовательно страдают иммунодефицитами.
У 45,7 % больных остеомиелитом, поступивших в стационар, выявлено обострение хронического процесса и нагноение мягких тканей, из которых 47,6 % случаев составляют флегмоны, а 52,4 % — абсцессы.
У 13 % пациентов с остеомиелитом челюсти выявляются гепатиты В и С, а у 2 % — ВИЧ-инфекция [5] .
Причины остеомиелита челюсти
- Позднее обращение к стоматологу — зуб долго болел, но дискомфорт подавлялся домашними методами лечения, например полосканиями с содой и солью.
- Хронические инфекционные и вирусные болезни: тонзиллит, синусит, гайморит и ангина.
- Инъекции или переливание крови, при которых инфекция может попасть в кровоток. В стоматологии часто применяют плазмолифтинг — в область слизистой оболочки дёсен инъекционно вводят обогащённую тромбоцитами плазму собственной крови пациента. При нарушении правил безопасности микробы могут попасть в кровоток.
- Травматизм, частые переломы и ранения.
- Туберкулёз и сифилис суставов.
- Аллергия.
- Иммунодефицит на фоне заболеваний или длительного приёма некоторых препаратов, например при химиотерапии.
- Стрессы, физическое и нервное истощение. При длительном стрессе нарушаются защитные функции организма и человек становится восприимчивым к инфекциям [17] .
- В очень редких случаях — нарушение функции височно-нижнечелюстного сустава.
При обнаружении схожих симптомов проконсультируйтесь у врача. Не занимайтесь самолечением - это опасно для вашего здоровья!
Симптомы зависят от типа остеомиелита, течения болезни и степени поражения тканей.
Симптомы острой формы остеомиелита подразделяются на два вида:
- Местные симптомы:
- В области повреждённого зуба возникает боль. Она усиливается при ощупывании, постукивании и лёгком надавливании на челюсть и мягкие ткани. Неприятные ощущения чаще более выражены на участках рядом с больным зубом и снижаются при давлении на него.
- Поражённый зуб постепенно расшатывается, и возникает синдром «клавиш» — соседние зубы тоже становятся подвижными.
- Шейные и подчелюстные лимфатические узлы увеличиваются и болят.
- В некоторых случаях нарушается чувствительность губ и ухудшаются вкусовые ощущения.
- Общие симптомы:
- возникают головные боли, особенно в области висков;
- развивается общая слабость и утомляемость, нарушается сон;
- температура тела повышается до 39 °C.
После острой стадии наступает подострая. На десне образуется гнойничок или свищ, через который гнойные выделения и воспалительная жидкость выходят наружу.

Затем боль утихает, но очаг инфекции остаётся, поэтому сохраняется высокая температура и нарастает слабость. Если в этот период не обратиться к врачу, то инфекция распространится по всему организму и человек может погибнуть.
Хроническая форма длится от нескольких месяцев до нескольких лет. Описанные выше симптомы то появляются, то стихают или даже полностью исчезают. При длительном течении болезни зубы становятся подвижными, челюсть утолщается и могут измениться контуры лица.
Как правило, при хроническом остеомиелите пациенты не обращают внимания на болезненные симптомы, а повышение температуры и слабость связывают с простудными заболеваниями [4] .
Патогенез остеомиелита челюсти
Выделяют три теории происхождения остеомиелита:
- Инфекционно-эмболическая теория. Основоположники этой теории считали, что костная ткань воспаляется из-за нарушения кровоснабжения. Инфекция оседает в кровеносных сосудах и закупоривает мелкие капилляры. В результате этого питательные вещества и кислород не поступают к кости, возникает гнойное воспаление и некроз. Данная теория признана некорректной после того, как было подробно исследовано строение кровеносной системы, костей и окружающих тканей [7] .
- Нервно-трофическая теория. Её приверженцы полагают, что остеомиелит развивается при обострениях болезней зубов, например при периодонтите. Также к болезни приводят нарушения в работе иммунной системы. При частых обострениях заболеваний зубов наступает сенсибилизация — иммунные клетки перестают распознавать инфекцию и развивается гнойно-некротический процесс.
- Гематогенная теория. Первоначально воспаление развивается в костном мозге и проявляется отёком и покраснением кожи. Из-за отёка увеличивается внутрикостное давление и, как следствие, сдавливаются сосуды в костном канале. Это приводит к закупорке сосудов и развитию гнойно-некротического процесса [13][14][15] .
Остальные причины — травмы, аллергия, стрессы, нарушение функции височно-нижнечелюстного сустава — провоцируют развитие остеомиелита без хронического воспаления в зубе. Такой остеомиелит можно отнести к неодонтогенному: травматическому и аллергическому. Но и в этом случае заболевание развивается на фоне нарушенного движения крови по сосудам, ухудшения её свёртываемости и гнойно-некротических процессов.
Классификация и стадии развития остеомиелита челюсти
Остеомиелит классифицируют в зависимости от распространённости, источника инфицирования и рентгенологических признаков.
Виды остеомиелита челюсти
Отдельно выделяют нетипичный остеомиелит челюсти, когда процесс протекает бессимптомно: температура тела не повышается, костная ткань разрушается незначительно, свищи не образуются. Такую форму называют первично-хроническим остеомиелитом [7] [8] .
Стадии остеомиелита челюстей
- Острая — длится 14 суток.
- Подострая — наступает на 15–20-е сутки.
- Хроническая — от 30 суток до нескольких лет.
- Обострение хронического остеомиелита [8] .
Осложнения остеомиелита челюсти
Среди осложнений остеомиелита можно выделить местные и общие. Местные возникают непосредственно в полости рта, а общие затрагивают весь организм. Общие осложнения приводят к тяжёлым последствиям, долго лечатся и иногда заканчиваются гибелью пациента.
Местные осложнения:
- разрушение кости;
- выпадение зубов из-за увеличения их подвижности;
- хроническое воспаление в полости рта;
- появление кист внутри челюсти, что характерно для острой фазы заболевания;
- контрактура височно-нижнечелюстного сустава — состояние, при котором сложно или невозможно открыть рот; ;
- флегмона — разлитое гнойное воспаление мягких тканей;
- лимфаденит — множественное увеличение лимфатических узлов [4][9] .

Общие осложнения:
Диагностика остеомиелита челюсти
Диагностика заболевания включает:
- сбор жалоб;
- визуальный осмотр;
- лабораторные исследования;
- инструментальные методы.
Сбор жалоб
Пациенты обычно жалуются на слабость, недомогание, плохое самочувствие и высокую температуру тела. Они отмечают, что зуб стал подвижным, нарушилась речь, трудно открывать рот и принимать пищу. Некоторые пациенты указывают на отёк лица с «больной» стороны.
- спрашивает о недавних травмах челюстно-лицевой области;
- выясняет, есть ли общие соматические заболевания, например сахарный диабет, болезни мочеполовой системы и желчнокаменная болезнь;
- уточняет, когда возникли симптомы, проявились ли они впервые или уже были раньше;
- узнаёт, как давно пациент посещал стоматолога.
Осмотр
Врач обращает внимание на бледность кожи и асимметричность лица, вызванную отёком мягких тканей. При ощупывании выявляется, что регионарные лимфатические узлы с поражённой стороны увеличены и болезненны. Пациент с трудом открывает рот, язык обложен налётом, изо рта исходит неприятный запах [7] .
При осмотре полости рта заметны покраснение и отёк слизистой оболочки в области больного зуба и близлежащих тканей. Зуб разрушен, подвижен при пальпации, боль усиливается при постукивании по нему. Подвижными и болезненными также могут быть несколько неповреждённых зубов в зоне поражения.
Лабораторные исследования
- Общий анализ крови. На активный воспалительный процесс указывают:
- повышение СОЭ до 40–70 мм/ч;
- лейкоцитоз, сдвиг лейкоцитарной формулы влево;
- положительная проба на С-реактивный белок;
- уменьшение альбуминов и повышение глобулинов;
- рост показателей активности щелочной и кислой фосфатазы.
- Биохимический анализ крови — позволяет исключить сахарный диабет и оценить функции почек и печени.
- Общий анализ мочи — при остеомиелите в ней появляется белок, клетки крови, гиалиновые и зернистые цилиндры.
Инструментальные методы диагностики
Компьютерная томография (КТ) — самый информативный метод диагностики остеомиелита челюсти. Это 3D-исследование, которое позволяет определить очаг инфекции и степень выраженности воспаления, его длительность и характер. С помощью КТ можно выявить не только крупные, но и мелкие образования, единичные и групповые, а также проанализировать, насколько далеко распространилась инфекция.

В некоторых случаях в свищевой ход вводят контрастное вещество. Такой метод исследования с контрастом называется фистулографией [9] [10] .
Рентгенография в первую неделю, как правило, не выявляет изменения в кости — в этот период воспалена только верхушка корня зуба. К концу второй недели кость разрушается и становится прозрачнее.
Дифференциальная диагностика
- между видами остеомиелита: одонтогенным, травматическим и гематогенным;
- острым периоститом;
- добро- и злокачественными новообразованиями;
- поражением полости рта специфическими инфекционными заболеваниями: туберкулёзом, сифилисом, актиномикозом.
Лечение проводится только в стационаре под наблюдением врача и может быть медикаментозным и хирургическим [9] . По отдельности эти методы мало результативны и даже могут навредить пациенту. Схемы лечения зависят от стадии заболевания.
Лечение острого и подострого остеомиелита
При первом посещении срочно удаляют запущенный повреждённый зуб. Затем полость рта тщательно промывают антибиотиками. Это необходимо сделать, чтобы убрать из раны микробов и гной.
В следующие дни рану обрабатывают дезинфицирующими средствами и вводят инъекции противомикробных препаратов. С их помощью удаётся воздействовать непосредственно на очаг инфекции и не дать ей распространиться. В дополнение к основному лечению применяют питательные составы с витаминами С и группы В.
На подострой стадии болезни важно сдержать распространение инфекции и не дать воспалению перейти на окружающие ткани.
Для этого применяют:
- капельницы с антибиотиками;
- препараты, снижающие или подавляющие воспаление;
- резиновый дренаж для оттока экссудата.

Также в кровоток вводят витаминные комплексы и препараты, очищающие организм от микробов и продуктов их жизнедеятельности. Конкретные лекарства и дозировки подбирает лечащий врач.
Дополнительной терапией после основного лечения могут стать методы физиотерапии: УВЧ-терапия или лечение непостоянными токами. Считается, что они ускоряют процессы заживления [7] [16] .
Лечение хронического остеомиелита
При появлении некротизированных полостей с распадом кости и окружающих её тканей потребуется операция. Для этого повреждённую область рассекают, поражённые участки убирают и накладывают шину. В дальнейшем с помощью рентгенологических методов врач контролирует, как восстанавливается костная ткань [11] .
Чтобы помочь организму бороться с инфекцией, дополнительно принимают антибиотики в таблетках. Чаще всего назначают Метронидазол и усиливают его эффект препаратами из группы цефалоспоринов 3–4-го поколения.
Если состояние пациента не улучшается, то добавляют фторхинолоны или Рифампицин. Основная задача антибиотиков — не дать бактериям размножаться [7] . Лекарства помогают уменьшить воспаление и удержать патологический процесс в пределах поражённого участка.
Также ротовую полость ежедневно обрабатывают бактерицидными средствами, применяют капельницы с витаминами и плазмозамещающими жидкостями, которые очищают организм от токсинов.
Дополнительно рекомендовано полоскать рот настоями ромашки, зверобоя, мяты и окопника. Фитосредства уменьшают воспаление, ускоряют выздоровление и практически не имеют побочных эффектов.
Прогноз. Профилактика
Если пациент при первых признаках остеомиелита обращается к врачу, то прогноз благоприятный. Если же болезнь запущена, то делать какие-либо выводы сложно: неизвестно, хватит ли у организма сил для борьбы с инфекцией. В тяжёлых случаях могут развиться опасные осложнения, от которых человек может погибнуть [9] .
Самым непредсказуемым является гематогенный остеомиелит. Развитие всех других форм, как правило, можно предотвратить. Для этого достаточно придерживаться простых правил:
Остеомиелит
Остеомиелит – воспаление костного мозга, при котором обычно поражаются все элементы кости (надкостница, губчатое и компактное вещество). В зависимости от этиологии остеомиелита он подразделяется на неспецифический и специфический (туберкулезный, сифилитический, бруцеллезный и т. п.); посттравматический, гематогеный, послеоперационный, контактный. Клиническая картина зависит от вида остеомиелита и его формы (острая или хроническая). Основу лечения острого остеомиелита составляет вскрытие и санация всех гнойников, при хроническом остеомиелите - удаление полостей, свищей и секвестров.
МКБ-10


Остеомиелит (от лат. osteon кость + myelos костный мозг + itis воспаление) – воспаление костного мозга, при котором обычно поражаются все элементы кости (надкостница, губчатое и компактное вещество). По статистике, остеомиелит после травм и операций составляет 6,5% всех болезней опорно-двигательного аппарата. Чаще поражает бедренную и плечевую кость, кости голени, позвонки, нижнечелюстные суставы и верхнюю челюсть. После открытых переломов диафиза трубчатых костей посттравматический остеомиелит возникает в 16,3% случаев. Мужчины болеют остеомиелитом чаще женщин, дети и пожилые – чаще людей молодого и среднего возраста.
Выделяют неспецифический и специфический остеомиелит. Неспецифический остеомиелит вызывают гноеродные бактерии: золотистый стафилококк (90% случаев), стрептококк, кишечная палочка, реже – грибки. Специфический остеомиелит возникает при туберкулезе костей и суставов, бруцеллезе, сифилисе и т. д.
В зависимости от пути, которым микробы проникают в кость, различают эндогенный (гематогенный) и экзогенный остеомиелит. При гематогенном остеомиелите возбудители гнойной инфекции заносятся через кровь из удаленного очага (фурункул, панариций, абсцесс, флегмона, инфицированная рана или ссадина, тонзиллит, синусит, кариозные зубы и пр.). При экзогенном остеомиелите инфекция проникает в кость при ранении, операции или распространяется с окружающих органов и мягких тканей.
В начальных стадиях экзогенный и эндогенный остеомиелит различаются не только по происхождению, но и по проявлениям. Затем отличия сглаживаются и обе формы болезни протекают одинаково. Выделяют следующие формы экзогенного остеомиелита:
- посттравматический (после открытых переломов);
- огнестрельный (после огнестрельных переломов);
- послеоперационный (после проведения спиц или операций на костях);
- контактный (при переходе воспаления с окружающих тканей).
Как правило, остеомиелит вначале протекает остро. В благоприятных случаях заканчивается выздоровлением, в неблагоприятных – переходит в хронический. При атипичных формах остеомиелита (абсцессе Броди, альбуминозном остеомиелите Оллье, склерозирующем остеомиелите Гарре) и некоторых инфекционных болезнях (сифилисе, туберкулезе и др.) острая фаза воспаления отсутствует, процесс носит первично-хронический характер.
Острый остеомиелит
Проявления острого остеомиелита зависят от пути проникновения инфекции, общего состояния организма, обширности травматического поражения кости и окружающих мягких тканей. На рентгенограммах изменения видны спустя 2-3 недели с начала заболевания.
Гематогенный остеомиелит
Как правило, развивается в детском возрасте, причем треть пациентов заболевает в возрасте до 1 года. Достаточно редкие случаи развития гематогенного остеомиелита у взрослых на самом деле являются рецидивами болезни, перенесенной в детском возрасте. Чаще поражает большеберцовую и бедренную кости. Возможно множественное поражение костей.
Из удаленного очага воспаления (абсцесс мягких тканей, флегмона, инфицированная рана) микробы с кровью разносятся по организму. В длинных трубчатых костях, особенно – в их средней части хорошо развита широкая сеть сосудов, в которой скорость кровотока замедляется. Возбудители инфекции оседают в губчатом веществе кости. При неблагоприятных условиях (переохлаждение, снижение иммунитета) микробы начинают усиленно размножаться, развивается гематогенный остеомиелит. Выделяют три формы заболевания:
Септико-пиемическая форма. Характерно острое начало и выраженная интоксикация. Температура тела поднимается до 39—40°, сопровождается ознобом, головной болью и повторной рвотой. Возможны потеря сознания, бред, судороги, гемолитическая желтуха. Лицо больного бледное, губы и слизистые оболочки синюшны, кожа сухая. Пульс учащенный, давление снижено. Селезенка и печень увеличиваются, иногда развивается бронхопневмония.
На 1-2 сутки болезни появляется точно локализованная, резкая, сверлящая, распирающая или рвущая, усиливающаяся при малейших движениях боль в области поражения. Мягкие ткани конечности отечны, кожа горячая, красная, напряженная. При распространении на близлежащие суставы развивается гнойный артрит.
Через 1-2 недели в центре поражения формируется очаг флюктуации (жидкость в мягких тканях). Гной проникает в мышцы, образуется межмышечная флегмона. Если флегмону не вскрыть, она может вскрыться самостоятельно с образованием свища или прогрессировать, приводя к развитию параартикулярной флегмоны, вторичного гнойного артрита или сепсиса.
Местная форма. Общее состояние страдает меньше, иногда остается удовлетворительным. Преобладают признаки местного воспаления кости и мягких тканей.
Адинамическая (токсическая) форма. Встречается редко. Характеризуется молниеносным началом. Преобладают симптомы острого сепсиса: резкое повышение температуры, тяжелый токсикоз, судороги, потеря сознания, выраженное снижение артериального давления, острая сердечно-сосудистая недостаточность. Признаки костного воспаления слабые, появляются поздно, что затрудняет постановку диагноза и проведение лечения.
Посттравматический остеомиелит
Возникает при открытых переломах костей. Развитию болезни способствует загрязнение раны в момент травмы. Риск развития остеомиелита увеличивается при оскольчатых переломах, обширных повреждениях мягких тканей, тяжелых сопутствующих повреждениях, сосудистой недостаточности, снижении иммунитета.
Посттравматический остеомиелит поражает все отделы кости. При линейных переломах зона воспаления обычно ограничена местом перелома, при оскольчатых переломах гнойный процесс склонен к распространению. Сопровождается гектической лихорадкой, выраженной интоксикацией (слабость, разбитость, головная боль и т. д.), анемией, лейкоцитозом, повышением СОЭ. Ткани в области перелома отечны, гиперемированы, резко болезненны. Из раны выделяется большое количество гноя.

МРТ стопы. Остеомиелит таранной и большеберцовой кости с наличием обширной зоны деструкции костной ткани.
Огнестрельный остеомиелит
Чаще возникает при обширных поражениях костей и мягких тканей. Развитию остеомиелита способствует психологический стресс, снижение сопротивляемости организма и недостаточная обработка раны.
Общие симптомы сходны с посттравматическим остеомиелитом. Местная симптоматика при остром огнестрельном остеомиелите нередко выражена слабо. Отек конечности умеренный, обильное гнойное отделяемое отсутствует. О развитии остеомиелита свидетельствует изменение раневой поверхности, которая становится тусклой и покрывается серым налетом. В последующем воспаление распространяется на все слои кости.
Несмотря на наличие очага инфекции, при огнестрельном остеомиелите обычно наступает сращение кости (исключение – значительная раздробленность кости, большое смещение отломков). При этом гнойные очаги оказываются в костной мозоли.
Послеоперационный остеомиелит
Является разновидностью посттравматического остеомиелита. Возникает после операций по остеосинтезу закрытых переломов, ортопедических операций, проведения спиц при наложении компрессионно-дистракционных аппаратов или наложении скелетного вытяжения (спицевой остеомиелит). Как правило, развитие остеомиелита вызвано несоблюдением правил асептики или большой травматичностью операции.
Контактный остеомиелит
Возникает при гнойных процессах окружающих кость мягких тканей. Особенно часто инфекция распространяется с мягких тканей на кость при панариции, абсцессах и флегмонах кисти, обширных ранах волосистой части головы. Сопровождается увеличением отека, усилением болей в области повреждения и образованием свищей.
Лечение
Только в стационаре в отделении травматологии. Выполняют иммобилизацию конечности. Проводят массивную антибиотикотерапию с учетом чувствительности микроорганизмов. Для уменьшения интоксикации, восполнения объема крови и улучшения местного кровообращения переливают плазму, гемодез, 10% раствор альбумина. При сепсисе применяют методы экстракорпоральной гемокоррекции: гемосорбцию и лимфосорбцию.
Обязательным условием успешного лечения острого остеомиелита является дренирование гнойного очага. На ранних стадиях в кости делают трепанационные отверстия с последующим промыванием растворами антибиотиков и протеолитических ферментов. При гнойных артритах выполняют повторные пункции сустава для удаления гноя и введения антибиотиков, в некоторых случаях показана артротомия. При распространении процесса на мягкие ткани образовавшиеся гнойники вскрывают с последующим открытым промыванием.
Хронический остеомиелит
При небольших очагах воспаления, комплексном и своевременном лечении, преимущественно у молодых пациентов восстановление костной ткани преобладает над ее разрушением. Очаги некроза полностью замещаются вновь образованной костью, наступает выздоровление. Если этого не произошло (примерно в 30% случаев), острый остеомиелит переходит в хроническую форму.
Примерно к 4 неделе при всех формах острого остеомиелита происходит секвестрация – образование омертвевшего участка кости, окруженного измененной костной тканью. На 2-3 месяц заболевания секвестры окончательно отделяются, на месте разрушения кости формируется полость и процесс становится хроническим.
Симптомы
При переходе острого остеомиелита в хронический состояние пациента улучшается. Боли уменьшаются, становятся ноющими. Формируются свищевые ходы, которые могут выглядеть, как сложная система каналов и выходить на поверхность кожи далеко от места повреждения. Из свищей выделяется умеренное количество гнойного отделяемого.
В период ремиссии состояние пациента удовлетворительное. Боли исчезают, отделяемое из свищей становится скудным. Иногда свищи закрываются. Продолжительность ремиссии при остеомиелите колеблется от нескольких недель до нескольких десятков лет, зависит от общего состояния и возраста больного, локализации очага и т. д.
Развитию рецидива способствуют сопутствующие заболевания, снижение иммунитета и закрытие свища, приводящее к скоплению гноя в образовавшейся костной полости. Рецидив болезни напоминает стертую картину острого остеомиелита, сопровождается гипертермией, общей интоксикацией, лейкоцитозом, повышением СОЭ. Конечность становится болезненной, горячей, краснеет и отекает. Состояние пациента улучшается после открытия свища или вскрытия гнойника.

КТ стопы. Посттравматический хронический остеомиелит пяточной кости с наличием секвестра (красная стрелка) и свищевого хода (синяя стрелка).
Осложнения
Хронический остеомиелит часто осложняется переломами, образованием ложных суставов, деформацией кости, контрактурами, гнойным артритом, малигнизацией (злокачественным перерождением тканей). Постоянно существующий очаг инфекции влияет на весь организм, вызывая амилоидоз почек и изменения внутренних органов. В период рецидива и при ослаблении организма возможен сепсис.
Диагностика
Постановка диагноза при хроническом остеомиелите в большинстве случаев не вызывает затруднений. Для подтверждения проводят МРТ, КТ или рентгенографию. Для выявления свищевых ходов и их связи с остеомиелитическим очагом выполняют фистулографию.
Операция показана при наличии остеомиелитических полостей и язв, гнойных свищей, секвестров, ложных суставах, частых рецидивах с интоксикацией, выраженной болью и нарушением функции конечности, малигнизации, нарушении деятельности других органов и систем вследствие хронической гнойной инфекции.
Выполняют некрэктомию (секвестрэктомию) – удаление секвестров, грануляций, остеомиелитических полостей вместе с внутренними стенками и иссечение свищей с последующим промывным дренированием. После санации полостей проводят костную пластику.
4. Острый остеомиелит: клинический протокол/ Экспертная комиссия по вопросам развития здравоохранения - 2013
Читайте также:
