Рентгенограмма, КТ при трансплантации тонкой кишки
Добавил пользователь Евгений Кузнецов Обновлено: 18.12.2025
КТ кишечника в клиниках СПб применяется для исследования толстого и тонкого кишечника, желудка, лимфатических узлов, соседних сосудов путем их сканирования с помощью рентгеновских лучей. В результате диагностики врач получает серию снимков, отображающих состояние органов ЖКТ по срезам. Метод относится к наиболее точным и высокоинформативным видам неинвазивного обследования и без внутреннего вмешательства в организм позволяет определить многие патологические процессы даже на начальном этапе, когда еще нет клинических признаков проявления недуга.
Компьютерная томография кишечника выполняется с помощью нескольких протоколов сканирования, позволяющих полностью или частично оценить определенные участки кишечника:
- или КТ прямой кишки - это процедура оценки последней части толстого кишечника; - это процедура оценки тонкого кишечника; позволяет частично оценить состояние двенадцатиперстной и ободочной кишки; позволяет частично оценить состояние прямой кишки.
Бесплатная консультация о диагностике
Если сомневаетесь, запишитесь на бесплатную консультацию.
Или проконсультируйтесь по телефону
Что покажет КТ кишечника
Компьютерная томография кишечника лучше всего предназначена для определения непроходимости кишки и выявления объемных образований и патологий всех стенок кишечника. Кроме того, данное исследование помогает определить воспалительные процессы и язвенные очаги. Лечащий врач может выдать пациенту направление на КТ обследование нужного участка кишечника для проведения дифференциальной диагностики:
- причин кровотечения и повреждения стенок тонкого и толстого кишечника;
- язвенных процессов и раздражений слизистой оболочки;
- стенозов и дивертикулита;
- воспаления тканевых слоев и колитов;
- объемных образований доброкачественного или злокачественного характера;
- аутоиммунных заболеваний с поражением ЖКТ, например, болезни Крона.
Также компьютерная томография назначается для оценки состояния пищеварительного тракта после травм и при попадании инородных тел внутрь в качестве экстренного метода диагностики. Данные МСКТ кишечника могут понадобиться и при планировании операционных вмешательств, например, резекции кишечника, чтобы точно визуализировать особенности анатомии и точно определить зону хирургического вмешательства.
КТ кишечника с контрастом
| Контрастирование | Вес пациента | Стоимость |
|---|---|---|
| Стоимость введения контрастного вещества | от 50 до 60 кг | от 3200 руб. |
| Стоимость введения контрастного вещества | от 60 до 70 кг | от 3700 руб. |
| Стоимость введения контрастного вещества | выше от 75 кг | от 5500 руб. |
Противопоказания
Беременность является абсолютным противопоказанием к любому КТ. Нежелательно делать компьютерную томографию маленьким детям из-за наличия лучевой нагрузки на организм. Пациентам с почечной недостаточностью перед применением контраста необходимо сделать анализ крови на креатинин. Если человек чувствителен к йоду, ему нужно сделать аллергические пробы для исключения непереносимости компонентов вещества. Иногда бывает трудно сделать качественную МСКТ полным пациентам. Большинство клиник СПб осуществляют диагностику пациентам с весом только до 150 кг из-за пропускной способности томографа. Когда проведение КТ кишечника невозможно из-за противопоказаний или весовых ограничений, альтернативными методами сканирования будут МРТ кишечника и УЗИ на аппарате экспертного класса.
Подготовка
Качественная КТ кишечника требует подготовки, направленной на снижение подвижности органов пищеварительного тракта. Подготовительный этап начинается за 2-3 дня до исследования с перехода на питание, снижающее газообразование. Предварительно следует купить слабительные препараты для очистки кишечной полости, которую в день диагностики следует освободить от излишков кала. Компьютерная томография кишечника с контрастом требует проведения сканирования натощак с минимальной паузой в приеме пищи в 6 часов.
Перед заходом в комнату с томографом следует снять все металлические предметы и украшения. Одежда должна быть свободной. В некоторых клиниках предусмотрена выдача комплекта одноразовой одежды, который включен в цену обследования.
Процедура
Перед исследованием пациенту необходимо удобно расположиться на выдвижном столе аппарата. Затем кушетку перемещают в сканирующую часть томографа и запускают программу скрининга. Длительность процедуры КТ кишечника в среднем занимает несколько минут. При применении контрастирования продолжительность сканирования увеличивается до получаса. Результатов компьютерной томографии нужно будет подождать 30-40 минут, пока врач закончит процедуру расшифровки и описание томограмм. По итогам обследования пациент на руки получит письменное заключение врача и запись КТ снимков на электронном или пленочном носителе. С этими данными ему нужно записаться на консультацию к лечащему врачу, чтобы тот закончил процедуру диагностики и определился с планом лечения.
От чего зависит цена КТ кишечника с контрастом и без
Стоимость КТ тонкого или толстого кишечника зависит от:
- зоны сканирования - весь кишечник, толстая кишка и прямая кишка, тонкий кишечник;
- применения контрастного протокола;
- способа введения контраста;
- срезовой мощности томографа.
Полный перечень клиник, где можно сделать КТ кишечника в СПб, с точными адресами и ценами Вы сможете найти на портале Общегородского центра записи на диагностику. Мы также будем рады подсказать Вам, где можно сделать МСКТ любого участка кишечника недорого с максимальным учетом акций и скидок. Звоните, мы обязательно поможем!
КТ брюшной полости (часть пищевода, желудок, печень, желчный пузырь, поджелудочная железа, селезенка, тонкий кишечник)
КТ забрюшинного пространства (почки и надпочечники, мочеточники, мягкие ткани и лимфоузлы)
Рентгенограмма, КТ при трансплантации тонкой кишки
а) Определение:
• Хорошо дифференцированная нейроэндокринная опухоль, происходящая из пищеварительного тракта:
о Или, реже, из легких или мочеполовой системы
б) Визуализация:
1. Общая характеристика:
• Лучший диагностический критерий:
о Солитарное объемное образование в дистальных отделах подвздошной кишки, накапливающее контраст, с наличием метастазов в брыжейке
• Локализация:
о ЖКТ (55%), легкие и бронхи (30%), органы мочеполовой системы и другие (15%)
о Карциноидные опухоли ЖКТ: тонкая кишка (45%), прямая кишка (20%), червеобразный отросток (16%), ободочная кишка (11 %), желудок (7%)
о Карциноидные опухоли двенадцатиперстной кишки наряду с опухолями поджелудочной железы классифицируются как нейроэндокринные
• Другие общие признаки:
• Карцинодные опухоли желудка связаны с постоянной стимуляцией, обусловленной высоким уровнем гастрина в сыворотке крови:
о Гастринома (синдром Золлингера-Эллисона или МЭН-1)
о Пернициозная анемия или атрофический гастрит
о Карциноидные опухоли желудка часто множественные
• Карциноид средних отделов пищеварительной трубки (тощей и подвздошной кишки):
о В настоящее время более распространен, чем аденокарцинома тонкой кишки
о В 75% является солитарным
о В 90% возникает в подвздошной кишке в пределах 60 см от илеоцекального клапана
• Карциноид червеобразного отростка:
о Самая частая опухоль аппендикса
о Обычно обнаруживается случайно при аппендэктомии
• Карциноид колоректальной области:
о Протекает бессимптомно, пока не достигнет больших размеров
о Редко обусловливает карциноидный синдром
• Ключевые моменты:
о Карциноидный синдром:
- Совокупность симптомов (приливы, диарея, астма, боль, правосторонняя сердечная недостаточность)
- Часто верный диагноз не устанавливается в течение нескольких лет
- Метастазы в печени, обычно из опухоли тонкой кишки
о Симптоматика обусловлена циркуляцией в системном кровотоке гормональных факторов, продуцируемых карциноидом:
- Серотонин, гистамин, допамин, соматостатин
- Вазоактивный интестинальный полипептид, субстанция Р
2. Рентгенография при карциноиде (карциноидной опухоли):
• Рентгеноскопия тонкой кишки или энтероклизма:
о Инфильтрация брыжейки: перегиб петель тонкой кишки под углом с их деформацией, фиксацией и ретракцией

(Слева) На аксиальной КТ с контрастным усилением у мужчины 65 лет с жалобами на боль в животе визуализируется объемное образование в брыжейке с наличием кальцинатов в центре, видны также переполненные кровью брыжеечные сосуды. В правом нижнем квадранте также определяется стягивание брыжейки с деформацией кишечника.
(Справа) На КТ, полученной в венозную фазу контрастного усиления, визуализируется подозрительное объемное образование в илеоцекальной области, которое, как подтвердилось при хирургическом вмешательстве, является карциноидной опухолью. Обычно метастазы в брыжейке более очевидны на КТ по сравнению с первичной опухолью, особенно в венозную фазу контрастного усиления.
3. КТ при карциноиде (карциноидной опухоли):
• Подслизистые опухоли:
о Солитарные или множественные, четко отграниченные, накапливающие контраст:
- 80-95% карциноидных опухолей-гиперваскулярные
о Объемное образование в стенке, усиливающееся при контрастировании, лучше визуализируется при дополнительном приеме воды в качестве контрастного вещества
о Первичную опухоль выявить сложнее, чем вторичные очаги
• Распространение опухоли тонкой кишки в брыжейку:
о Объемное образование в брыжейке неоднородной структуры, возникающее вследствие прямой инвазии или метастатического поражения лимфоузлов
о Вплоть до 70% случаев в образовании брыжейки обнаруживаются кальцинаты
о Возможна также деформация, фиксация, ретракция петель тонкой кишки:
- Обусловленная фиброзом брыжейки и десмопластической реакцией
- Десмопластическая реакция проявляется пальцевидными выпячиваниями от образования в прилежащую брыжейку
о Возможно также обрастание и сужение брыжеечных сосудов
о Обструкция тонкой кишки может быть обусловлена новообразованием в ее просвете, перегибом или инвагинацией
• Метастазы в печени:
о В артериальную фазу характеризуются интенсивным контрастным усилением вследствие высокой васкуляризации
о В отсроченную фазу могут быть изо- или гиподенсны по отношению к паренхиме печени
• Трехмерная КТ-ангиография:
о Позволяет обнаружить объемное образование в брыжейке и оценить его отношение к сосудам
о Позволяет выявить муфтообразный охват или окклюзию брыжеечных сосудов
о Возможно утолщение стенки кишечника и подслизистый отек:
- Возникшие в результате ишемии или нарушения оттока крови в пораженных сегментах тонкой кишки

(Слева) На аксиальной КТ у мужчины 54 лет со схваткообразной болью в животе и приливами визуализируются гиперваскулярные метастазы в печени и по брюшине.
(Справа) На корональной КТ у этого же пациента визуализируется гиперваскулярное образование в терминальных отделах подвздошной кишки (первичная опухоль) в сочетании с метастазами в брыжейку с наличием десмопластических изменений в брыжейке подвздошной кишки. Эти клинические и лучевые признаки являются классическими изменениями при карциноидном синдроме.
3. МРТ при карциноида (карциноидной опухоли):
• Подслизистые опухоли тонкой кишки:
о Т1 ВИ: изоинтенсивный сигнал по отношению к мышцам
о Т2 ВИ: гипер- или изоинтенсивный по отношению к мышцам
о Т1 с контрастным усилением: равномерное накопление контраста
• Опухоль с прорастанием в брыжейку: О Т1 и Т2 ВИ:
- Объемное образование с лучистыми краями, изоинтенсивное по отношению к мышцам
- Гипоинтенсивныетяжи, обусловленные десмопластической реакцией
- Кальцинаты могут быть не обнаружены
о На Т1 с введением контраста обнаруживается интенсивное контрастное усиление
• Метастазы в печени:
о Т1 ВИ: гипоинтенсивны:
о Т2 ВИ: слегка или умеренно гиперинтенсивны
о Равномерно накапливают контраст в артериальную фазу
о Изоинтенсивны печени в портально-венозную фазу
о Метастазы большего размера характеризуются неоднородным контрастным усилением:
- Вследствие наличия зон некроза
о Может наблюдаться периферическое контрастное усиление с постепенным контрастированием центральной части в отсроченную фазу
4. Радионуклидная диагностика карциноида (карциноидной опухоли):
• Сцинтиграфия с октреотидом (In-111) или сомастатин-рецепторная сцинтиграфия (ОктреоСкан):
о Предполагает сканирование всего тела
о Лучше выполняется при использовании ОФЭКТ
о Обладает меньшей чувствительностью по отношению к первичной опухоли и метастазам в печени, чем с КТ или МРТ
• ПЭТ с 18F ДОФА:
о Позволяет выявить первичную опухоль, метастазы в лимфоузлах и отдаленных органах благодаря усилению захвата радиофармпрепарата
• МИБГ (сканирование с мета-йод-бензил-гуанидином, меченым I-131):
о Повышенный захват радиофармпрепарата определяется в ЖКТ, вторично измененных лимфоузлах и метастазах в печени
5. Рекомендации по визуализации:
• Мультипланарная КТ с контрастным усилением (или МРТ) с заполнением тонкой кишки водой:
о Артериальная фаза (приблизительно на 35 секунде) и венозная фаза (после - 70-секундной задержки)
• Сцинтиграфия с октреотидом (In-111) или сомастатин-рецепторная сцинтиграфия:
о Чувствительность (75%), специфичность (100%)

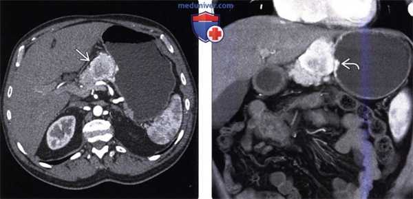
(Слева) На аксиальной КТ с контрастным усилением у мужчины 75 лет определяется в значительной степени васкуляризованное образование в желудочно-печеночной связке, непосредственно примыкающее к малой кривизне желудка.
(Справа) На корональной КТ с контрастным усилением (объемный рендеринг) у этого же пациента отчетливо определяется, что это образование вплотную прилежит к стенке желудка. При исследовании резектата было обнаружено, что образование является экзофитной карциноидной опухолью желудка. Кроме того, подобный внешний вид может иметь ГИСО желудка.
в) Дифференциальная диагностика карциноида (карциноидной опухоли):
1. Склерозирующий мезентерит:
• Группа лимфоузлов, периваскулярное жировое «гало»
• Инфильтрация брыжейки тощей кишки (не подвздошной)
2. Гастроинтестинальная стромальная опухоль (ГИСО):
• Гиперваскулярная опухоль, не ассоциированная с изменениями, обусловленными десмопластической реакцией в брыжейке
3. Рак тонкой кишки:
• В двенадцатиперстной/тощей кишке чаще, чем в подвздошной
• Обусловливает обструкцию просвета
• Первичная опухоль и ее метастазы гиповаскулярны
4. Метастазы в стенке тонкой кишки и лимфома:
• В целом являются менее васкуляризованными и не так часто индуцируют десмопластические изменения в брыжейке
г) Патология:
1. Общая характеристика:
• Этиология:
о Карциноидные опухоли классифицируются исходя из того, из какой части пищевой трубки эмбриона они происходят:
- «Передняя» кишка (бронхи, желудок, двенадцатиперстная кишка)
- «Средняя» кишка (тонкая кишка, аппендикс, проксимальная часть ободочной кишки)
- «Задняя» кишка (дистальные отделы ободочной кишки, прямая кишка, мочеполовая система)
о Опухоль возникает из энтерохромаффинных клеток Кульчицкого в криптах Люберкюна
о Окрашивание клеток хроматом калия позволяет обнаружить наличие серотонина
• Ассоциированные патологические изменения:
о Изменения со стороны сердца (с частотой 60-70%):
- Стеноз или недостаточность трехстворчатого клапана или клапана легочной артерии
- Увеличение правых отделов сердца и изменения со стороны перегородки
о Могут сочетаться с другими злокачественными новообразованиями:
- Относящимися к опухолям, называемыми апудомами (APUD: А: амины, Р: предшественники, U: захват, D: декарбоксилирование), образованными клетками, характеризующимися повышенным захватом аминокислот и их декарбоксилированием
2. Макроскопические и хирургические особенности:
• Плотные подслизистые узлы желтого цвета
3. Микроскопия:
• Мелкие округлые клетки, округлые ядра, светлая цитоплазма
• Опухолевый рост вдоль сосудисто-нервных пучков
• Десмопластическая реакция, ретракция и фиброз
• При электронной микроскопии: гранулы нейрон-специфической энолазы = нейроэндокринные опухоли
• Плохо дифференцированные опухоли не именуются «карциноидом»:
о Эти нейроэндокринные опухоли напоминают мелкоклеточный рак легкого и характеризуются агрессивным клиническим течением
д) Клинические особенности:
1. Проявления карциноида (карциноидной опухоли):
• Наиболее частые признаки/симптомы:
о Обычно протекают бессимптомно до того момента, пока не возникают метастазы
о У некоторых пациентов симптоматика возникает через 2-7 лет после установления диагноза
о Карциноидный синдром: эпизодическое покраснение кожи, одышка, диарея:
- Обусловлен метастазированием опухоли в печень с последующей секрецией в системный венозный кровоток факторов, секретируемых карциноидом
о Другие признаки/симптомы:
- Боль в животе как вторичный признак кишечной обструкции или ишемии кишечника:
Обструкция обычно обусловлена патологической извитостью и заворотом брыжейки
- Правосторонняя сердечная недостаточность и появление шумов, обусловленных клапанными дефектами
• Лабораторные данные:
о ↑ уровня серотонина или 5-гидрокситриптофана
о Анализ суточной мочи: пятикратное (по сравнению с нормой) повышение уровня 5-гидроксииндолуксусной кислоты
2. Демография:
• Возраст:
о Наиболее часто карциноид возникает в 50-60 лет
• Пол:
о М:Ж = 2:1
• Эпидемиология:
о Встречается редко и составляет 2% всех опухолей ЖКТ, тем не менее, наблюдается тенденция к повышению заболеваемости
о Северная Америка и Европа: у 2-5 из 100 000 человек
3. Течение и прогноз:
• Карциноидная опухоль тонкой кишки не метастазирует в лимфоузлы или печень:
о После резекции прогноз благоприятный
о Пятилетняя выживаемость пациентов с карциноидными опухолями тонкой кишки составляет 90%
• При метастазах в печени пятилетняя выживаемость 50%:
о При лечении, направленном на подавлении метастазов в печени, выживаемость может повышаться
- Например, при чрескатетерной химиоэмболизации
4. Лечение карциноида (карциноидной опухоли):
• Опухоли дистальных отделов тонкой кишки: резекция кишки и брыжейки, часто в сочетании с правосторонней гемиколэктомией
• При опухолях двенадцатиперстной кишки:
о Панкреатодуоденэктомия (операция Уиппла)
• При метастазах в печени:
о Резекция очагов, ограниченных одним сегментом или долей
о Химиоэмболизация, радиочастотная абблация
• Аналоги соматостатина (октреотид) для облегчения симптомов
• Системная химиотерапия не играет роли за исключением случаев вторичного поражения костей
е) Диагностическая памятка. Советы по интерпретации изображений:
• Опухолевидное образование брыжейки, накапливающее контраст, содержащее обызвествления, обусловливающее десмопластическую реакцию, ± метастазы в печени
ж) Список использованной литературы:
1. Tsai SD et al: Duodenal neuroendocrine tumors: retrospective evaluation of CT imaging features and pattern of metastatic disease on dual-phase MDCT with pathologic correlation. Abdom Imaging. ePub, 2014
2. Horton KM et al: Carcinoid tumors of the small bowel: a multitechnique imaging approach. AJR Am J Roentgenol. 182(3):559-67, 2004
Лучевая оценка трансплантации тонкой кишки
а) Терминология:
• Изолированная трансплантация тонкой кишки преимущественно используется при «синдроме короткого кишечника»
• Применяется также множественная трансплантация органов (печень, поджелудочная железа, часть желудка):
о Обычно при печеночной недостаточности в результате длительного нахождения на парентеральном питании
б) Визуализация тонкой кишки после трансплантации:
• Сосудистые осложнения: тромбоз, стриктура, псевдоаневризмы (артерии или вены):
о Возникают реже, чем при иных процедурах трансплантации
• Мезентерит: в той или иной степени имеет место у всех реципиентов трансплантата тонкой кишки
• Оппортунистические инфекции: могут поражать любой орган, в т.ч. аллотрансплантат
• Пневматоз: обычно не связан с ишемией
• Асцит: обычно осумкованный; не является специфической находкой:
о Хилезный асцит: характеризуется наличием уровней «жидкость-жир»
• Посттрансплантационное лимфопролиферативное заболевание (ПТЛЗ):
о Чаще возникает при трансплантации тонкой кишки (вплоть до 30%) и при мультивисцеральной трансплантации, чем у большинства реципиентов других паренхиматозных органов
• Отторжение и реакция «трансплантат против хозяина»
о Оба варианта встречаются часто, неотличимы при лучевой визуализации
• Дилатация просвета тонкой кишки:
о Может возникать в результате нарушения перистальтики, спаек, ишемии, отторжения трансплантата
• Протокол исследования: мультипланарная КТ с контрастным усилением +/- КТ-ангиография являются методами исследования, отражающими наиболее важную информацию об анатомии и патофизиологии трансплантата тонкой кишки
• Рентгеноскопия верхних отделов ЖКТ с целью оценки подвижности и состояния анастомоза проксимальных отделов кишечника
Изменения анатомия тонкой кишки после операции по ее трансплантации. Обычно при этом трансплантат тонкой кишки соединяется в своих проксимальных отделах с дистальной частью двенадцатиперстной кишки или проксимальной частью тощей кишки у реципиента, и своей дистальной частью с сигмовидной кишкой, с созданием временной илеостомы в правом нижнем квадранте.
Эта стома позволяет осуществлять удобный доступ к трансплантату в периоперационном периоде с целью эндоскопической визуализации и биопсии; также стома может быть постоянной. Верхняя брыжеечная вена донора соединяется с верхней брыжеечной веной или воротной веной реципиента. Верхняя брыжеечная артерия донора соединяется с аортой реципиента. (Слева) На аксиальной КТ без контрастного усиления определяется распространенная инфильтрация брыжейки трансплантата тонкой кишки наряду с утолщением стенки кишки. Эти изменения являются частыми неспецифическими находками у реципиентов трансплантата тонкой кишки.
(Справа) На аксиальной КТ без контрастного усиления определяются уровни «жидкость-жир», свидетельствующие об ограниченном хилезном асците с наличием жидкости между петлями трансплантата тонкой кишки. Утечка жидкости из лимфатических капилляров обычно разрешается с течением времени по мере восстановления их целостности, однако в некоторых случаях может потребоваться чрескожное дренирование с целью удаления жидкости. (Слева) На КТ без контрастного усиления определяется дилатация аллотрансплантата, а также утолщение его стенки и пневматоз, что является крайне подозрительным признаком инфаркта трансплантата.
(Справа) На КТ без контраста у этого же пациента определяется пневматоз ближайших отделов трансплантата тонкой кишки. При эндоскопическом вмешательстве (через илеостому) не было обнаружено изменений внешнего вида слизистой оболочки. Пневматоз стенки трансплантата тонкой кишки встречается нередко и может быть результатом инфаркта, приема лекарственных препаратов, применяемых для профилактики отторжения, обструкции кишечника или иных «доброкачественных» причин. (Слева) На аксиальной КТ с контрастным усилением у пациента после мультивисцеральной трансплантации визуализируются аллотрансплантаты поджелудочной железы и печени. Область аортального анастомоза явно расширена.
(Справа) На КТ-артериограмме (объемный рендеринг) у этого же пациента визуализируется аортальный анастомоз. Определяется перегиб аллотрансплантата аорты под острым углом, который затем делает петлю, что может привести к нарушению кровотока. Обратите внимание на донорскую верхнюю брыжеечную артерию, по которой осуществляется артериальное кровоснабжение аллотрансплантата тонкой кишки, в то время как чревный ствол донора кровоснабжает аллотрансплантат поджелудочной железы и печени.
в) Клинические особенности:
• Однолетняя выживаемость после трансплантации тонкой кишки 90%, жизнеспособность трансплантата составляет около 75%:
о Мультивисцеральная трансплантация: однолетняя выживаемость пациентов составляет 80%
о Пятилетняя выживаемость: 60%
• Эти данные хуже, чем для реципиентов трансплантатов паренхиматозных органов
Рентгенограмма, КТ при лучевом энтерите и колите
а) Определения:
• Повреждение стенки и слизистой оболочки тонкой или ободочной кишки в результате лучевой терапии или иного чрезмерного радиационного воздействия
• Хронический лучевой энтерит/колит: поздняя кишечная интоксикация после лучевой терапии
1. Общая характеристика лучевого энтерита и колита:
• Лучший диагностический критерий:
о Утолщение стенки, сужение просвета петель кишечника, расположенных в тазу
• Локализация:
о Тонкая кишка (чаще подвздошная, затем тощая)
о Ободочная кишка (в области живота или таза) (лучевой колит) и прямая кишка (лучевой проктит)
2. Рентгенография при лучевом энтерите и колите:
• Энтероклизма под контролем рентгеноскопии:
о Острая фаза:
- Петли кишечника выглядят спазмированными (уменьшен диаметр просвета) с утолщением складок за счет отека
о Подострая или хроническая фаза:
- Утолщение складок Керкринга и стенки кишечника (отек, фиброз):
Утолщенные складки выглядят прямыми и расположенными параллельно
Внешний вид, напоминающий «стопку монет»: увеличенные, ровные, прямые, параллельные складки, расположенные перпендикулярно продольной оси тонкой кишки
- Сглаживание складок Керкринга (поздние изменения, свидетельствующие об атрофии)
- Единичный участок стеноза (или множественные участки) (стриктуры) различной длины (вплоть до нескольких сантиметров)
- Стеноз, приводящий к кишечной обструкции с дилатацией проксимальных петель кишечника
- Спайки, приводящие к ангуляции и фиксации расположенных рядом петель кишечника
- Уменьшение выраженности перистальтики или ее отсутствие
- Затеки и фистулы (особенно в случае повреждения анастомоза, обусловленного облучением)
• Бариевая клизма (под контролем рентгеноскопии):
о Хроническая фаза:
- Диффузное или местное сужение просвета с гладкими краями
- Могут обнаруживаться стриктуры прямой кишки или прямокишечно-маточные фистулы
- Расширение пресакрального пространства в боковой проекции
(Слева) На КТ определяется утолщение стенки прямой кишки и повышенное контрастное усиление ее слизистой оболочки у женщины 66 лет, страдающей раком яичника, после циторедуктивной операции и лучевой терапии, у которой в настоящее время началось выделение каловых масс из влагалища. Похожие изменения определяются также и со стороны стенки мочевого пузыря (в виде ее утолщения, а также повышенного контрастного усиления слизистой оболочки), что сопоставимо с лучевым циститом.
(Справа) На КТ у этой же пациентки определяется облитерация жировой пластинки между влагалищем и прямой кишкой, а также жидкость во влагалище из-за наличия ободочно-влагалищной фистулы. (Слева) На рентгенограмме (бариевая клизма) у мужчины 63 лет, которому проводилась лучевая терапия по поводу метастазов в крестец, а на данный момент появились запоры, определяется стойкая, выраженная стриктура прямой кишки В -типичное проявление лучевого проктита.
(Справа) На аксиальной КТ с контрастным усилением у этого же пациента определяется сужение просвета и утолщение стенки ректосигмоидного отдела ободочной кишки. Очевидным также является литический процесс в области крестца, обусловленный вторичным очагом, который являлся мишенью при лучевой терапии.
3. КТ при лучевом энтерите и колите:
• Утолщение стенки кишечника:
о Острая фаза: подслизистый отек (с плотностью, близкой к плотности воды)
о Хроническая фаза: плотность больше соответствует мягким тканям
• Сужение просвета, стриктуры:
о Обычно на ограниченном участке, на уровне сегмента
о Дилатация просвета отделов кишечника, находящихся проксимальнее стриктуры, возможно также наличие уровней «жидкость-газ»
• Инфильтрация брыжейки или околопрямокишечной области (в острую фазу) или фиброз (в хроническую фазу)
• Возможно наличие затеков или фистул
о Соединяющих тонкую кишку, ободочную или прямую кишку с другими отделами кишечника, мочевым пузырем, влагалищем
4. МРТ при лучевом энтерите и колите:
• Т2 ВИ:
о Утолщение стенки кишки с повышением сигнала от ее слоев позволяет заподозрить подслизистый отек, но не опухолевую инвазию
о Картина «мишени»: утолщение подслизистой оболочки, дающей гиперинтенсивный сигнал, окруженной гипоинтенсивной мышечной оболочкой и мышечной пластинкой слизистой оболочки
о При наличии фистул: жидкость в фистуле выглядит гиперинтенсивной и отчетливо выделяется на фоне мягких тканей и жировой клетчатки
5. Рекомендации по визуализации:
• Лучший метод диагностики:
о Рентгеноскопия (энтероклизма), бариевая клизма, КТ с контрастным усилением и мультипланарными реформациями

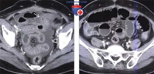
(Слева) На КТ, выполненной спустя два месяца после оперативного лечения и лучевой терапии по поводу рака эндометрия женщине 54 лет, определяется асцит, подслизистый отек, а также сужение просвета множественных сегментов тонкой кишки, находящихся в тазу.
(Справа) Более проксимальные отделы кишечника расширены с наличием уровней «жидкость-газ», означающих обструкцию кишечника. Клинические и лучевые признаки являются типичными для подострого лучевого энтерита.
в) Дифференциальная диагностика лучевого энтерита и колита:
1. Болезнь Крона:
• Обычно болезнь Крона обусловливает поражение дистальных отделов тонкой кишки с наличием сохранных участков
• Отличить болезнь Крона можно на основании истории заболевания и локализации пораженной области
2. Метастазы и лимфома:
• Часто обусловливают утолщение стенки и сужение просвета:
о Могут сосуществовать с лучевыми и опухолевыми поражениями кишечника
о При неопластическом процессе обычно поражается менее протяженный участок, чем при лучевом энтерите или колите
о Опухоли обычно обусловливают утолщение стенки с плотностью, приближенной к мягким тканям, либо оказывают объемное воздействие
о КТ часто позволяет выявить сосуществующую лимфаденопатию, солидные новообразования
3. Ишемический энтерит:
• Подслизистые кровоизлияния, которые приводят к изменению внешнего вида по типу «стопки монет», могут быть обусловлены острой или подострой ишемией либо ионизирующим облучением
• Ишемический энтерит или колит может быть неотличим от хронического лучевого повреждения:
о В дифференциальной диагностике могут быть полезны локализация изменений и история заболевания
4. Первичная опухоль кишечника:
• Обычно обусловливает более выраженное объемное воздействие в отличие от лучевого энтерита
• Может становиться причиной стриктур неправильной формы, которые обычно имеют меньшую протяженность, чем стриктуры, обусловленные лучевым поражением

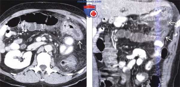
(Слева) На КТ, выполненной мужчине 54 лет, у которого был обнаружен рак поджелудочной железы с метастазами в желудок, определяется повышенное контрастное усиление слизистой обо лочки и подслизистый отек дистальных отделов поперечной ободочной кишки, расположенных около метастазов в желудок (не показаны).
(Справа) На корональной КТ с контрастным усилением у этого же пациента определяется лучевой колит, ограниченный сегментом ободочной кишки, визуализируются также метастазы в желудок. Инфекционный либо ишемический колит могут проявляться схожими изменениями; однако при колоноскопии и биопсии подтвердился лучевой колит.
1. Общая характеристика:
• Этиология:
о Лучевая терапия по поводу рака шейки матки, тела матки, яичника, слепой, ободочной, прямой кишки либо мочевого пузыря:
- Также по поводу метастазов в кости; рака желудка или поджелудочной железы
о Факторы риска хронического лучевого энтерита:
- Фиксация сегментов кишечника в определенном положении: Ректосигмоидный отдел
Адгезия тонкой кишки в результате спаечной болезни (после первичного оперативного вмешательства, облучения, перитонита)
- Чрезмерное облучение за короткий промежуток времени
- Гипертоническая болезнь, атеросклероз, сахарный диабет, заболевания соединительной ткани, ВИЧ-инфекция:
Приводят к поражению сосудов, из-за чего нарушается способность кишечника противостоять ионизирующему излучению либо восстанавливаться после лучевого воздействия
- Химиотерапия в комбинации с лучевой терапией усиливает повреждающее воздействие ионизирующего излучения на кишечник
о Патогенез (два пути):
- Прямой цитотоксический эффект: облучение → образование свободных радикалов → взаимодействие с ДНК → элиминация процессов репликации, транскрипции и синтеза белка — разрушение и гибель клеток
- Ишемические изменения: утолщение среднего слоя стенки кишечника, субэндотелиальная пролиферация → облитерирующий эндартериит → фиброз
• Невосприимчивость различных отделов ЖКТ к облучению (в порядке уменьшения):
о Двенадцатиперстная кишка, тощая кишка, подвздошная кишка, поперечная ободочная кишка, сигмовидная кишка, пищевод, прямая кишка
2. Стадирование, градация и классификация лучевого энтерита и колита:
• Классификация:
о Острая фаза: два месяца или меньше после лечения:
- Истончение слизистой оболочки (уменьшение митотической активности клеток интестинальных желез, крипт) и отек:
Гиперемия и изъязвление
- Отек подслизистой основы
о Подострая фаза: 2-12 месяцев после лечения:
- В слизистой оболочке происходят процессы заживления
- В подслизистой оболочке происходит облитерация артериол, она утолщается за счет фиброза
о Хроническая фаза: от 12 месяцев до 30 лет после лечения:
- Фиброз мышечной оболочки
- Диффузные изменения гиалина серозы, что приводит к образованию спаек между сегментами кишечника
- Изъязвление и фиброз ведут к образованию стриктур
3. Микроскопия:
• Облитерирующий эндартериит
• Чрезмерно выраженный фиброз стенки кишечника и серозы в хронической фазе:
о Что предрасполагает к обструкции просвета, спайкам, фистулам, перфорации
1. Проявления лучевого энтерита и колита:
• Наиболее частые признаки/симптомы:
о В острую фазу:
- Спастические боль в животе, тошнота, рвота, тенезмы; жидкий, водянистый стул
- Дегидратация, мальабсорбция (изменения микрофлоры тонкой кишки)
- Лучевой проктит: слизистые выделения из прямой кишки, боль, кровотечение
- Тяжесть симптоматики пропорциональна лучевой нагрузке и длительности облучения
о В хроническую фазу:
- Схваткообразная боль в животе, тошнота, рвота, тенезмы, кровянистый жидкий стул, стеаторея, снижение веса тела
• Диагноз обычно предполагается на основании клинических и лучевых признаков:
- При необходимости подтверждается путем эндоскопического вмешательства и биопсии
2. Демография:
• Эпидемиология:
о Чаще всего лучевой энтерит и колит возникают в результате лучевой терапии по поводу первичных злокачественных опухолей таза:
- В 80-90% случаев наблюдаются постоянные нарушения характера опорожнения кишечника
- Умеренно выраженный или тяжелый хронический лучевой энтерит/колит возникает в 5-15% случаев
3. Течение и прогноз:
• Острый лучевой энтерит или колит часто разрешается самостоятельно в течение нескольких недель
• Осложнения:
о Фистулы, стриктуры, обструкция тонкой кишки, кровоизлияния, абсцесс, перфорация
• Прогноз:
о Благоприятный при медикаментозном лечении и уменьшении либо устранении облучения
о Неблагоприятный при хроническом лучевом поражении с наличием осложнений
4. Лечение лучевого энтерита и колита:
• Уменьшение либо устранение облучения, медикаментозная терапия, продукты с низким содержанием пищевых волокон
• Операция при стриктурах или фистулах, если медикаментозная терапия неэффективна
е) Диагностическая памятка:
1. Следует учесть:
• Исключить рецидив опухоли
• Историю и длительность лучевой терапии
2. Советы по интерпретации изображений:
• Обструкция тонкой кишки, утолщение стенки с фиксацией и ангуляцией петель кишечника, снижение перистальтики
а) Аббревиатура:
• Трансплантация тонкой кишки (ТТК)
б) Показания для трансплантации тонкой кишки:
• «Синдром короткого кишечника» (преимущественно), другие причины нарушения функции кишечника:
о Недостаточность длины тонкой кишки или нарушение ее функционального состояния, при котором нарушается адекватное питание
- Состояние может возникать в результате различных причин:
Тромбоз брыжеечной артерии (ВБА) или вены (ВБВ) с развитием ишемических изменений кишечника, болезнь Крона, заворот средних отделов кишечника, семейный полипоз/синдром Гарднера (особенно с наличием десмоидных опухолей брыжейки)
- Намного реже его причиной является псевдообструкция кишечника либо иное нарушение функции тонкой кишки
о Пищевая поддержка пациентов может осуществляться путем полного перевода на парентеральное питание на неопределенный срок, за исключением осложненных случаев:
- Отсутствие доступа к центральной вене для осуществления парентерального питания; сепсис, обусловленный катетером для парентерального введения питательных растворов; а также холестатическая болезнь печени, обусловленная парентеральным питанием
• Показания для мультивисцеральной трансплантации (печень, +/-поджелудочная железа, +/- часть желудка):
о Запущенные заболевания печени, обусловленные нахождением на полностью парентеральном питании, либо заболевания неизвестной причины (например, хронические гепатиты)
о Запущенные заболевания поджелудочной железы
о Распространенный тромбоз брыжеечных сосудов с ишемическими изменениями со стороны множества внутренних органов
о Тяжелое поражение нервов брыжейки
• Специфические моменты трансплантации тонкой кишки:
о В стенке кишечника донора находится большое количество иммунокомпетентных лимфоцитов (например, в пейеровых бляшках); много лимфоцитов также располагаются в брыжеечных лимфоузлах:
- Из-за чего увеличивается частота возникновения реакции «трансплантат против хозяина» и отторжения трансплантата
о Донорский кишечник содержит большое количество бактерий и других возможных патогенных факторов
- Из-за чего повышается частота развития послеоперационных инфекционных осложнений
о Ранняя лучевая диагностика осложнений, обусловленных реакцией «трансплантат против хозяина», способствует снижению смертности и заболеваемости

Изменения анатомия тонкой кишки после операции по ее трансплантации. Обычно при этом трансплантат тонкой кишки соединяется в своих проксимальных отделах с дистальной частью двенадцатиперстной кишки или проксимальной частью тощей кишки у реципиента, и своей дистальной частью с сигмовидной кишкой, с созданием временной илеостомы в правом нижнем квадранте.
Эта стома позволяет осуществлять удобный доступ к трансплантату в периоперационном периоде с целью эндоскопической визуализации и биопсии; также стома может быть постоянной. Верхняя брыжеечная вена донора соединяется с верхней брыжеечной веной или воротной веной реципиента. Верхняя брыжеечная артерия донора соединяется с аортой реципиента.
в) Визуализация трансплантации тонкой кишки:
1. Общая характеристика:
• Изменения анатомии после трансплантации тонкой кишки и мультивисцеральной трансплантации:
о Желудок (если желудок включается в трансплантат, обычно при мультивисцеральной трансплантации):
- Большая кривизна донорского желудка сохраняется вместе с питающими желудочно-сальниковыми артериями; желудок донора соединяется с проксимальными отделами желудка реципиента
- Обычно также осуществляется трансплантация двенадцатиперстной кишки и поджелудочной железы донора
о Тонкая кишка:
- Чаще всего (не в случае мультивисцеральной трансплантации) создается проксимальный анастомоз «бок в бок» между двенадцатиперстной кишкой донора и двенадцатиперстной кишкой либо проксимальными отделами тощей кишки реципиента
- В результате хирургической мобилизации дно желудка и двенадцатиперстная кишка могут смещаться влево
- Чаще всего осуществляется дистальный анастомоз между подвздошной кишкой донора и сигмовидной кишкой реципиента:
Илеостомия в области конца донорской подвздошной кишки (временная или постоянная)
- Изначально выполняется установка чрескожного гастростомического либо еюностомического зонда
о Печень (если включается в трансплантат при мультивисцеральной трансплантации)
о Поджелудочная железа (если осуществляется ее трансплантация):
- Обычно пересадка поджелудочной железы осуществляется при мультивисцеральной трансплантации совместно с интактной двенадцатиперстной и тонкой кишкой, а также печенью)
о Васкуляризация:
- Артериальная:
При изолированной трансплантации тонкой кишки ВБА донора соединяется с аортой реципиента
При мультивисцеральной трансплантации формируется анастомоз «конец в бок» между частью аорты донора протяженностью 10 см с интактными ВБА, чревным стволом и аортой реципиента
- Венозная:
Изолированная трансплантация тонкой кишки: ВБВ донора соединяется с ВБВ или воротной веной реципиента
При мультивисцеральной трансплантации между верхней полой веной донора и реципиента может формироваться анастомоз «конец в конец».
Система воротной вены донора остается интактной и пересаживается единым блоком

(Слева) На аксиальной КТ без контрастного усиления определяется распространенная инфильтрация брыжейки трансплантата тонкой кишки наряду с утолщением стенки кишки. Эти изменения являются частыми неспецифическими находками у реципиентов трансплантата тонкой кишки.
(Справа) На аксиальной КТ без контрастного усиления определяются уровни «жидкость-жир», свидетельствующие об ограниченном хилезном асците с наличием жидкости между петлями трансплантата тонкой кишки. Утечка жидкости из лимфатических капилляров обычно разрешается с течением времени по мере восстановления их целостности, однако в некоторых случаях может потребоваться чрескожное дренирование с целью удаления жидкости.
2. Рентгенография при трансплантации тонкой кишки:
• Рентгеноскопия верхних отделов ЖКТ с пероральным контрастным усилением:
о Позволяет изучить аллотрансплантат, анастомозы, оценить его тонус и подвижность
о Позволяет оценить патологические изменения: спайки, заворот, стеноз, утечку содержимого вследствие нарушения герметичности:
- Обычно не представляет диагностической сложности
- Водорастворимый контраст вводится в желудок через рот или накожную стому:
Через илеостому в правом нижнем квадранте
Через еюностомическуютрубку (которая устанавливается всем пациентам после трансплантации тонкой кишки)
Через прямую кишку
о Время транзита измеряется по прохождению рентгенконтрастных маркеров либо бариевой взвеси, принятой перорально:
- Временные рамки составляют 0,2-17,8 ч
- У большей части пациентов наблюдается отсроченное опорожнение желудка, связанное со снижением его перистальтики:
У 76% пациентов имеет место задержка опорожнения желудка в первые два месяца, и только у 16% в течении шести месяцев
Может быть обусловлена приемом наркотических препаратов в периоперативном периоде
• Осложнения трансплантации тонкой кишки:
о Обычно обнаруживаются на КТ, не так часто на МРТ:
- При катетерной ангиографии, которая выполняется после КТ, МРТ и УЗИ, обнаруживаются признаки сосудистых осложнений
о Сосудистые осложнения:
- Тромбоз:
Просвет пораженной артерии или вены не контрастируется
- Стриктура в области сосудистого анастомоза:
Относительно нечасто встречается при трансплантации тонкой кишки, т. к. для создания анастомоза используются крупные сосуды
- Псевдоаневризма:
Вздутие сосуда (обычно артерии) в области анастомоза
Может возникать в результате ошибки хирурга либо присоединения инфекции
Требует хирургической ревизии либо интервеционного вмешательства (например, установки стент-графта)
о Мезентерит:
- Практически у всех реципиентов трансплантата тонкой кишки возникает выраженная в той или иной степени инфильтрация брыжейки аллотрансплантата и ее утолщение:
Обычно сохраняется вплоть до одного месяца
- Обычно сочетается с утолщением стенки кишки
- Может протекать бессимптомно и не быть заподозрен в периоперационном периоде
- Вероятно, представляет собой сочетание лимфогенного отека (вследствие пересечения лимфатических протоков) и незначительно выраженных процессов отторжения
- Выраженное утолщение брыжейки, возможно, также утолщение стенки кишечника обычно возникает в результате отторжения

(Слева) На КТ без контрастного усиления определяется дилатация аллотрансплантата, а также утолщение его стенки и пневматоз, что является крайне подозрительным признаком инфаркта трансплантата.
(Справа) На КТ без контраста у этого же пациента определяется пневматоз ближайших отделов трансплантата тонкой кишки. При эндоскопическом вмешательстве (через илеостому) не было обнаружено изменений внешнего вида слизистой оболочки. Пневматоз стенки трансплантата тонкой кишки встречается нередко и может быть результатом инфаркта, приема лекарственных препаратов, применяемых для профилактики отторжения, обструкции кишечника или иных «доброкачественных» причин.
о Отторжение и реакция «трансплантат против хозяина»:
- Оба осложнения возникают часто и неотличимы при помощи методов лучевой диагностики
- Утолщение стенки аллотрансплантата не является специфической находкой
- Диагноз устанавливается на основании биопсии слизистой оболочки желудка, двенадцатиперстной кишки или тонкой кишки:
Биопсия тонкой кишки обычно выполняется через илеостому
о Оппортунистические инфекции:
- Могут обусловливать поражение любого органа (например, легких, с развитием пневмонии)
- Также трансплантат может поражаться непосредственно (с развитием например, энтерита, обусловленного цитомегаловирусом)
- Диагностика и дифференциальная диагностика оппортунистических инфекций и других причин отека тонкой кишки невозможна на основании лучевых методов исследования
о Дилятация просвета тонкой кишки:
- Возникает у 2/3 пациентов после трансплантации тонкой кишки
- Неспецифический илеус (денервация тонкой кишки, общая ответная реакция на большое оперативное вмешательство)
- Может возникать в результате нарушения перистальтики, спаек, изменений ишемического характера, либо отторжения
- Эндоскопические процедуры, осуществляемые через илеостому помогают в оценке изменений
о Пневматоз:
- Может отражать ишемические изменения
- В большинстве случаев пневматоз является «доброкачественным», возникающим в результате приема лекарственных препаратов, дилатации кишечника, эндоскопических процедур и т.д.
- С целью дифференциальной диагностики применяются эндоскопические вмешательства
о Асцит:
- Наблюдается у большей части пациентов, как минимум некоторое время:
Обычно регрессирует без лечения
- Жидкость обычно локализуется между петлями кишечника
- Инфицированную жидкость сложно отличить от «стерильной»:
С диагностической и лечебной целью может потребоваться аспирация жидкости под контролем лучевой визуализации
- Хилезный асцит:
Может быть заподозрен при выявлении уровней «жидкость-жир»
Возникает вследствие повреждения лимфатических протоков тонкой кишки
о Абсцесс:
- Частота возникновения абсцесса повышается при трансплантации тонкой кишки и мультивисцеральной трансплантации
- Может выглядеть как ограниченное скопление жидкости с толстой, накапливающей контраст стенкой, возможно, с наличием пузырьков газа
- Может возникать в результате нарушения герметичности анастомоза или фистулы либо становиться ее причиной:
Фистула может распространяться в кожу или, в виде свищевого хода, забрюшинно либо в стенку тела
о Брыжеечная лимфаденопатия:
- В некоторой степени имеет место у всех реципиентов трансплантата тонкой кишки (группа слегка увеличенных лимфоузлов)
- Отражает воспаление, инфекцию либо отторжение (при этом возможности лучевых методов ограничены)
- Выраженная или генерализованная лимфаденопатя позволяет предположить сопутствующую патологию, например, посттрансплантационное лимфопролиферативное заболевание (ПТЛЗ)
о Нарушения перистальтики:
- После денервации часто возникает снижение перистальтики кишечника, выраженное в той или иной степени
- Обычно сочетается с генерализованной дилатацией просвета кишечника
- Более тяжелые случаи могут быть заподозрены при обнаружении петель тонкой кишки, не содержащих газ, на рентгенограммах (на КТ они растянуты с наличием жидкости)
- Перистальтика кишечника может быть визуализирована непосредственно в реальном времени при помощи УЗИ:
Особенно это применимо у детей, поскольку метод не несет лучевой нагрузки
о Посттрансплантационное лимфопролиферативное заболевание (ПТЛЗ):
- Чаще возникает при трансплантации тонкой кишки (до 30%) и при мультивисцеральной трансплантации, чем у реципиентов других паренхиматозных органов:
Проявляется наличием плохо очерченных гиподенсных образований в печени, возможно, также в сочетании с портальной лимфаденопатией
Эксцентрическое утолщение стенки трансплантата тонкой кишки, возможно, также в сочетании с инвагинацией, обструкцией, кавитацией («аневризматическая дилатация» просвета)
Объемные образования любой локализации по всему телу
- Только 25% случаев ПТЛЗ характеризуются увеличением лимфатических узлов (обычно забрюшинной либо распространенной лимфаденопатией) и не ограничены поражением лимфоузлов брыжейки

(Слева) На аксиальной КТ с контрастным усилением у пациента после мультивисцеральной трансплантации визуализируются аллотрансплантаты поджелудочной железы и печени. Область аортального анастомоза явно расширена.
(Справа) На КТ-артериограмме (объемный рендеринг) у этого же пациента визуализируется аортальный анастомоз. Определяется перегиб аллотрансплантата аорты под острым углом, который затем делает петлю, что может привести к нарушению кровотока. Обратите внимание на донорскую верхнюю брыжеечную артерию, по которой осуществляется артериальное кровоснабжение аллотрансплантата тонкой кишки, в то время как чревный ствол донора кровоснабжает аллотрансплантат поджелудочной железы и печени.
3. Рекомендации по визуализации:
• Лучший метод диагностики:
о КТ (МПР), возможно, также КТ-ангиография отражают наиболее важную информацию относительно анатомии и патофизиологии трансплантата тонкой кишки
о С целью оценки перистальтики и состояния проксимального межкишечного анастомоза используется рентгеноскопия верхних отделов ЖКТ
в) Клинические особенности. Течение и прогноз:
• Однолетняя выживаемость после трансплантации тонкой кишки составляет 90%, жизнеспособность трансплантата составляет около 75%:
о Мультивисцеральная трансплантация: однолетняя выживаемость пациентов составляет 80%
о Пятилетняя выживаемость: 60%
• Эти показатели хуже, чем у реципиентов паренхиматозных органов
г) Диагностическая памятка. Следует учесть:
• Лучевые методы исследования имеют ценное дополнительное значение:
о Обладают приемлемой точностью в оценке патологических изменений морфологии (например, патологических изменений со стороны сосудов, обструкции кишечника, абсцессов, опухолей)
• Диагноз отторжения аллотрансплантата, инфекции или ишемии обычно зависит от данных эндоскопического исследования и биопсии
Читайте также:
- Лечение глиомы зрительного нерва. Прогноз
- Пункция и диафаноскопия пазух носа. Методика диафаноскопии пазух носа
- Микоплазменная пневмония. Возбудитель респираторного микоплазмоза. Агент Итона. Эпидемиология микоплазменной пневмонии.
- Диагностика хордоидной глиомы третьего желудочка по МРТ
- Диагностика токсокароза. Анализы
