Диагностика хордоидной глиомы третьего желудочка по МРТ
Добавил пользователь Валентин П. Обновлено: 23.12.2025
Диагностика анапластической олигодендроглиомы по КТ, МРТ
а) Терминология:
1. Сокращения:
• Анапластическая олигодендроглиома (АО), олигодендроглиома высокой степени злокачественности
2. Определение:
• Глиома, характеризующаяся высокой целлюлярностью и диффузным инфильтративным ростом
• Олигодендроглиома с фокальными или диффузными гистологическими признаками злокачественности
б) Визуализация:
1. Общие характеристики анапластической олигодендроглиомы:
• Лучший диагностический критерий:
о Кальцифицированное объемное образование лобной доли с вовлечением коры и субкортикального белого вещества (БВ)
• Локализация:
о Супратенториальное новообразование в пределах большого полушария головного мозга с вовлечением коры и субкортикального БВ
о Лобная доля является наиболее частой локализацией, вторая по частоте - височная доля
о Может поражаться теменная или затылочная долей
о Часто приводит к «растяжению» вышележащей коры
• Морфология:
о Диффузно инфильтрирующее окружающие структуры объемное образование
о Внешне может выглядеть отграниченным от окружающих структур, однако всегда характеризуются их инфильтрацией
о Опухолевые клетки практически всегда обнаруживаются за пределами области изменения сигнальных характеристик

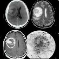
(а) На рисунке аксиального среза в структуре коры и субкортикального белого вещества лобной доли изображено объемное образование с участками некроза и кровоизлияний. Обратите внимание на масс-эффект и инфильтрацию окружающих структур в области краев опухоли, что характерно для анапластической олигодендроглиомы III степени злокачественности по классификации ВОЗ (grade III). Такие злокачественные глиомы имеют неблагоприятный прогноз.
(б) КТ, аксиальный срез: у мужчины 43 лет с судорожным синдромом определяется кальцифицированное кистозно-солидное образование лобной доли. Кроме того, имеют место внутренняя обструктивная гидроцефалия и трансэпендимальная миграция ликвора (интерстициальный отек) .
2. КТ при анапластической олигодендроглиоме:
• Бесконтрастная КТ:
о Объемное образование смешанной КТ-плотности (гиподенс-ное/изоденсное)
о Большинство характеризуются кальцификацией узлового или многоочагового характера:
- Возможна визуализация гирального характера Са++
о Часто наблюдается кистозная дегенерация
о Возможна визуализация геморрагического или некротического компонентов
о Образование может вызывать «растяжение», ремоделирование или эрозию костей свода черепа
4. Радионуклидная диагностика:
• ПЭТ:
о Гиперметаболизм глюкозы, степень накопления ФДГ аналогична или превышает таковую в сером веществе
о Глиомы высокой степени злокачественности характеризуются степенью поглощения ФДГ аналогичной или превышающей таковую в сером веществе
о Соотношения опухоль/БВ > 1,5 и опухоль/СВ > 0,6 свидетельствуют о высокой степени злокачественности
о При исследованиях с 11C-метионином отмечаются выраженные различия его поглощения между олигодендроглиомами и АО
5. Рекомендации по визуализации:
• Лучший инструмент визуализации:
о МРТ для визуализации распространенности опухоли; КТ для визуализации Са++
• Совет по протоколу исследования:
о МРТ с контрастированием, GRE ± МР-спектроскопия и МР-перфузия

(а) МРТ, постконтрастное Т1-ВИ, аксиальный срез: у пациента, которому проводилось хирургическое лечение, лучевая терапия и терапия темозоломидом по поводу анапластической олигодендроглиомы в левой лобной доле определяются ранее не выявляемые участки накопления контрастного средства. Появление участков контрастирования в ранее неконтрастирующимся объемном образовании очень характерно для прогрессирования заболевания.
(б) МР-перфузия, метод динамической восприимчивости контраста (DSC), цветная карта rCBV, аксиальный срез: определяется повышение относительного объема мозгового кровотока в новых участках контрастирования, что говорит о прогрессировании опухоли.
в) Дифференциальная диагностика анапластической олигодендроглиомы:
1. Олигодендроглиома:
• Кальцифицированное объемное образование, распространяющееся на серое и белое вещество
• Может казаться более отграниченной от окружающих структур
• Может быть неотличима от АО без биопсии
• МР-спектроскопия и МР-перфузия могут быть полезны в предоперационной диагностике
2. Анапластическая астроцитома (АА):
• Объемное образование, характеризующееся инфильтративным ростом, распространяющееся преимущественно на белое вещество
• Часто не контрастируется, Са++ наблюдается редко
• Может быть неотличима от АО
3. Глиобластома (МГБ):
• 95% имеют некротическое ядро, контрастирующийся ободок
• Распространенная перифокальная область повышения сигнала на T2-BИ/FLAIR
• Часто наблюдается геморрагический компонент
4. Церебрит:
• Гиперинтенсивный на Т2-ВИ сигнал и фрагментарный характер контрастирования
• Типично ограничение диффузии
• Может иметь псевдотуморозный внешний вид
• Часто острое начало
5. Ишемический инсульт:
• Характерно соответствие бассейнам кровоснабжения (СМА, ПМА, ЗМА)
• Ограничение диффузии в острой/подострой стадии
• Вовлечение как серого, так и белого вещества, часто клиновидная форма
• Контрастирование коры гириформного характера в подострой стадии
6. Герпетический энцефалит:
• Ограничивается поражением лимбической системы, височных долей
• Часто наблюдаются продукты распада крови и контрастирование
• Типично острое начало
7. Менингиома:
• Накапливающие контраст внемозговое объемное образование, широким основанием связанное с твердой мозговой оболочкой
• Часто кальцифицируется, наблюдается дуральный «хвост»
• Характерны гиперостоз и Са++
• Пациенты более старшего возраста

(а) МР-спектроскопия: у того же пациента определяется типичный спектр злокачественной опухоли с заметным повышением пика холина и снижением пика NAA. МР-перфузия и МР-спектроскопия могут быть полезны в предоперационной диагностике, а также оценке состояния пациентов с глиальными новообразованиями после курса лечения.
(б) МРТ, постконтрастное Т1-ВИ, режим подавления сигнала от жира, аксиальный срез: определяется гетерогенный характер накопления контрастного агента объемным образованием правой лобной доли. При хирургической резекции была обнаружена олигодендроглиома grade III. Олигодендроглиомы характеризуются более благоприятным прогнозом, чем «чистые» астроцитомы той же степени злокачественности.
г) Патология:
1. Общие характеристики анапластической олигодендроглиомы:
• Этиология:
о Может возникать de novo или при прогрессии малигнизации ранее существовавшей олигодендроглиомы grade II
о Возникает при малигнизации зрелых олигодендроцитов или незрелых глиальных клеток-предшественников
• Генетика:
о Потеря гетерозиготности на 1р и 19q (30-40%)
о Среднее число аберрантных хромосом в клетках олигодендроглиом grade III выше, в клетках олигодендроглиом grade II
• Ассоциированные аномалии:
о Часто встречается олигоастроцитома (смешанная опухоль с двумя различными типами опухолевых клеток)
- Недавно было предложено исключить термин «олигоастроцитома» и стратифицировать такую опухоль на основе IDH1-статуса
- Grade II (олигоастроцитома)
- Grade III (анапластическая олигоастроцитома)
- Более низкая выживаемость по сравнению с «чистой» олигодендроглиомой
2. Стадирование и классификация анапластической олигодендроглиомы:
• III степень злокачественности по классификации ВОЗ (grade III)
• Редко может быть мультифокальной или мультицентрической
• Редко олигодендроглиальный глиоматоз головного мозга
3. Макроскопические и хирургические особенности анапластической олигодендроглиомы:
• Хорошо отграниченное от окружающих структур, серовато-розовый цвета, мягкое, неинкапсулированное объемное образование
• Локализуется в коре головного мозга и субкортикальном БВ
• Ca++ наблюдается чрезвычайно часто
• Часто наблюдаются кистозная дегенерация, геморрагический компонент
• Может присутствовать некротический компонент
• Редко наблюдается инфильтрация вышележащих лептоменинкс
4. Микроскопия:
• Округлые гомогенные ядра и светлая цитоплазма:
о Перинуклеарное гало, паттерны «яичницы» и «медовых сот», обусловленные артефактами фиксации
• Микрокальцификаты, слизистая/кистозная дегенерация
• Густая сеть ветвящихся капилляров:
о По типу «проволочной сетки»
• Повышенная целлюлярность, выраженная атипия
• Высокая митотическая активность
• Микроваскулярная пролиферация и некроз

(а) MPT, Т1-ВИ, сагиттальный срез: определяется объемное образование (анапластическая олигодендроглиома) гетерогенной структуры с зонами гиперинтенсивного сигнала, представляющими собой продукты распада крови и обызвествления.
(б) МРТ, постконтрастное Т1-ВИ, режим подавления сигнала от жира, аксиальный срез: у другого пациента с анапластической олигодендроглиомой отмечается гетерогенный характер накопления контрастного агента. Примерно 50% всех олигодендроглиом характеризуются накоплением контраста. Контрастирование опухоли не позволяет достоверно отличить олигодендроглиомы grade II и grade III.
д) Клиническая картина анапластической олигодендроглиомы:
1. Проявления:
• Наиболее частые признаки/симптомы:
о Наиболее часто: головная боль, судорожный синдром
о Очаговый неврологический дефицит
о Продолжительность симптомов короче, чем при олигодендроглиоме grade II
2. Демография:
• Возраст:
о Пик заболеваемости: с 4-й по 6-ю декады
о Встречается во всех возрастных группах; средний возраст- 49 лет
о Более высокий средний возраст, чем у пациентов с олигодендроглиомами grade II
• Гендерные:
о Легкое преобладание встречаемости у мужчин
• Эпидемиологии:
о 20-50% олигодендроглиом являются анапластическими
о Олигодендроглиомы составляют 5-25% от всех глиом
3. Течение и прогноз:
• Неблагоприятный прогноз, выживаемость варьирует от месяцев до нескольких лет
• Средняя продолжительность жизни: четыре года
• Пятилетняя выживаемость: 40-45%; десятилетняя выживаемость: 15%
• Часто имеют место локальные рецидивы опухоли
• Метастазирование через СМЖ встречается редко
• Системное метастазирование возникает редко
• Лептоменингиальный олигодендроглиоматоз, метастазы спинного мозга наблюдаются крайне редко
• Положительные прогностические факторы:
о Возраст: < 50 лет:
о Общее состояние по шкале Карновского (ОСК): 90-100
о Опухоли < 4 см
о Полная резекция опухоли
• Делеции гена-онкосупрессора CDKN2A связаны с более низкой выживаемостью
• Потеря гетерозиготности на Три 19q связана с более высокой выживаемостью
• Олигодендроглиомы имеют более благоприятный прогноз, чем астроцитомы той же степени злокачественности
4. Лечение анапластической олигодендроглиомы:
• Хирургическая резекция + адъювантная химио- и лучевая терапия
д) Диагностическая памятка:
1. Обратите внимание:
• Многие глиомы могут имитировать АО
• Наличие Са++, эффект «растяжения» коры могут помочь отличить АО от других глиом
2. Советы по интерпретации изображений:
• Рутинная МРТ не позволяет достоверно отличить АО от олигодендроглиом grade II
• Опухолевые клетки практически всегда обнаруживаются за пределами области изменения сигнальных характеристик
• Появление нового участка контрастирования в ранее не накапливающей контраст олигодендроглиоме предполагает прогрессию малигнизации опухоли
Диагностика хордоидной глиомы третьего желудочка по МРТ
Хордоидная глиома третьего желудочка на КТ, МРТ
а) Терминология:
• Редкая глиома, произростающая из передней стенки/крыши III желудочка
б) Визуализация хордоидной глиомы третьего желудочка:
• Объемное образование у взрослого, хорошо отграниченное от окружающих структур, гомогенно накапливающее контраст и локализующееся в области III желудочка
• КТ: умеренно гиперденсное объемное образование, расположенное в передних отделах III желудочка
• Возможна Са++
• Гидроцефалия в 10-15% случаев
в) Дифференциальная диагностика хордоидной глиомы третьего желудочка:
• Краниофарингиома
• Пилоцитарная астроцитома
• Герминома
• Хориоидпапиллома
• Коллоидная киста
(а) Микропрепарат классической хордоидной глиомы под высоким увеличением, окраска гематоксилином и эозином: определяется новообразование с тяжами и скоплениями эпителиоидных клеток с обильной эозинофильной цитоплазмой, расположенных в муцинозной строме. Результаты исследования на GFAP (не представлены) были положительны.
(б) КТ, аксиальный срез: у мужчины 48 лет, жалующегося на изменения зрения, определяется кальцифицированное кистозно-солидное объемное образование, расположенное супраселлярно/в передних отделах III желудочка. Визуализационные признаки могут напоминать признаки чаще встречающейся краниофарингиомы. При резекции опухоли была диагностирована хордоидная глиома. (а) MPT, Т2-ВИ, режим подавления сигнала от жира, корональный срез: у женщины 65 лет, жалующейся на увеличение веса в течение трех лет и изменение личности, определяется дольчатое неоднородно гиперинтенсивное объемное образование, преимущественно расположенное в просвете III желудочка. Отмечается латеральное смещение зрительного тракта.
(б) МРТ, постконтрастное Т1-ВИ, сагиттальный срез: у этой же пациентки определяется интенсивное гомогенное контрастирование объемного образования, имеющего слегка дольчатую структуру и располагающегося в области III желудочка. При гистологическом исследовании была диагностирована хордоидная глиома..
г) Патология:
• II степень злокачественности по классификации ВОЗ (grade II)
• Тяжи/скопления овальных/полигональных эпителиоидных клеток в муцинозной строме
• Вероятно эпендимальное происхождение:
о Из эпендимальных клеток, расположенных в/вблизи терминальной пластинки
о Может возникать из субкомиссурального органа
д) Клиническая картина хордоидной глиомы третьего желудочка:
• Головная боль и тошнота, обусловленные гидроцефалией, являются наиболее частыми симптомами:
о Эндокринные нарушения (гипотиреоз, несахарный диабет, аменорея)
о Дизавтономия
о Зрительные расстройства
• Хирургическое иссечение является основным методом лечения
е) Диагностическая памятка:
• Предполагайте хордоидную глиому III желудочка у взрослого пациента с гиперинтенсивным на Т2-ВИ накапливающим контраст объемным образованием, локализующимся в передней области III желудочка
а) Терминология:
1. Сокращения:
• Хордоидная глиома третьего желудочка (ХГТЖ)
2. Определение:
• Редкая глиома, произростающая из передней стенки/крыши III желудочка
1. Общие характеристики хордоидной глиомы третьего желудочка:
• Лучшая диагностическая подсказка:
о Объемное образование, хорошо отграниченное от окружающих структур, гомогенно накапливающее контраст и локализующееся в передних отделах III желудочка
• Локализация:
о Произрастает из крыши/передней стенки III желудочка
• Размеры:
о 1,5-7 см
• Морфология:
о Округлая или яйцевидная форма, хорошо отграничена от окружающих структур

(а) MPT, Т2-ВИ, режим подавления сигнала от жира, корональный срез: у женщины 65 лет, жалующейся на увеличение веса в течение трех лет и изменение личности, определяется дольчатое неоднородно гиперинтенсивное объемное образование, преимущественно расположенное в просвете III желудочка. Отмечается латеральное смещение зрительного тракта.
(б) МРТ, постконтрастное Т1-ВИ, сагиттальный срез: у этой же пациентки определяется интенсивное гомогенное контрастирование объемного образования, имеющего слегка дольчатую структуру и располагающегося в области III желудочка. При гистологическом исследовании была диагностирована хордоидная глиома..
2. МРТ при хордоидной глиоме третьего желудочка:
• Т1-ВИ:
о Изоинтенсивное по отношению к мозговой ткани объемное образование, расположенное в области третьего желудочка
о Гидроцефалия в 10-15% случаев
• Т2-ВИ:
о Изо-/гиперинтенсивное объемное образование, расположенное в области третьего желудочка
• Постконтрастные Т1-ВИ:
о Интенсивное гомогенное контрастирование
3. Рекомендации по визуализации:
• Советы по протоколу исследования:
о Тонкосрезовая визуализация селлярной области:
- Тонкие сагиттальные, корональные Т1-ВИ, Т2-ВИ
- Сагиттальные, корональные постконтрастные Т1-ВИ в режиме подавления сигнала от жира
в) Дифференциальная диагностика хордоидной глиомы третьего желудочка:
1. Краниофарингиома:
• Гетерогенная структура, в 90% случаев кистозная структура, в 90% случаев наблюдается Са++
• Наиболее часто супраселлярная локализация
• Дети > взрослые
2. Пилоцитарная астроцитома:
• Зрительный тракт, гипоталамус, дно III желудочка
• Дети, молодые взрослые, ± нейрофиброматоз 1 типа
3. Герминома:
• Часто несахарный диабет
• Обычно поражается воронка гипофиза, супраселлярная или пинеальная область
• Гиперденсная при КТ, характерно гомогенное контрастирование
• Дети, молодые взрослые
4. Хориоидпапиллома:
• Объемное образование дольчатой структуры у ребенка, накапливающее контраст и расположенное в области бокового желудочка
• Редко локализуется в III желудочке
• Обычно дети < 5 лет
5. Коллоидная киста:
• Вклинена между столбами свода мозга в области отверстия Монро
• Округлая форма, не накапливает контраст
6. Эпендимома:
• Типичные признаки: накапливающее контраст объемное образование, расположенное в области четвертого желудочка
• Редко локализуется в третьем желудочке
1. Общие характеристики хордоидной глиомы третьего желудочка:
• Этиология:
о Вероятно эпендимальное происхождение:
- Из эпендимальных клеток, расположенных в/вблизи терминальной пластинки
- Может возникать из субкомиссурального органа
2. Стадирование и классификация:
• II степень злокачественности по классификации ВОЗ (grade II)
3. Макроскопические и хирургические особенности:
• Макроскопически хорошо отграничена от окружающих структур
• Иногда распространяется в прилежащую ткань гипоталамуса
• Возможна кальцификация, наличие кистозного компонента; кровоизлияние в опухоль наблюдается редко
4. Микроскопия:
• Тяжи/скопления овальных/полигональных эпителиоидных клеток в муцинозной строме:
о Сильно GFAP (+); виментин (+)
о Редкие фигуры митозов

(а) Микропрепарат классической хордоидной глиомы под высоким увеличением, окраска гематоксилином и эозином: определяется новообразование с тяжами и скоплениями эпителиоидных клеток с обильной эозинофильной цитоплазмой, расположенных в муцинозной строме. Результаты исследования на GFAP (не представлены) были положительны.
(б) КТ, аксиальный срез: у мужчины 48 лет, жалующегося на изменения зрения, определяется кальцифицированное кистозно-солидное объемное образование, расположенное супраселлярно/в передних отделах III желудочка. Визуализационные признаки могут напоминать признаки чаще встречающейся краниофарингиомы. При резекции опухоли была диагностирована хордоидная глиома.
д) Клиническая картина:
1. Проявления хордоидной глиомы третьего желудочка:
• Наиболее частые признаки/симптомы:
о Головная боль ± тошнота вследствие гидроцефалии
• Другие признаки/симптомы:
о Дефект полей зрения
о Эндокринные нарушения (10-15%):
- Гипотиреоз, несахарный диабет, аменорея
о Дизавтономия (гипергидроз)
2. Демография:
• Возраст: взрослые (35-60 лет)
• Пол: преобладание у лиц женского пола (М:Ж = 1: 2)
• Эпидемиология: встречается редко, составляет < 1 % от всех глиом
3. Течение и прогноз:
• Медленное увеличение размеров
4. Лечение:
• Хирургическое иссечение является основным методом лечения
е) Диагностическая памятка. Советы по интерпретации изображений:
• Массивное четко отграниченное от окружающих структур объемное образование у взрослого, располагающееся в области III желудочка
Диагностика олигодендроглиомы по КТ, МРТ
а) Определение:
• Хорошо дифференцированная опухоль, характеризующаяся медленным, но и диффузно-инфильтративным ростом с распространением на кору и субкортикальные отделы
1. Общие характеристики олигодендроглиомы:
• Лучший диагностический критерий:
о Частично кальцифицированное объемное образование, распространяющееся на кору и субкортикальное белое вещество, выявляемое у лиц среднего возраста
• Локализация:
о Как правило, распространяется на субкортикальное белое вещество (БВ) и кору
о Большинство (85%) имеют супратенториальную локализацию, распространяются на БВ больших полушарий:
- Наиболее частая локализация-лобная доля (50-65%)
- Могут поражаться височная, теменная или затылочная доли
- Редко: задняя черепная ямка
- Чрезвычайно редко: внутрижелудочковая, первичная лепто-менингиальная локализация, поражение ствола головного мозга, спинного мозга
• Морфология:
о Инфильтрирующее окружающие структуры объемное образование, которое внешне кажется хорошо отграниченным от них

(а) На рисунке аксиального среза изображено объемное образование гетерогенной структуры с кистозным и солидным компонентами, распространяющееся на кору головного мозга и субкортикальное белое вещество, что типично для олигодендроглиомы. Обратите внимание на глубокую инфильтрацию мозговой ткани опухолью на их границе, а также ремоделирование кости свода черепа.
(б) Бесконтрастная КТ, аксиальный срез: у мужчины 20 лет в левой лобной доле определяется крупное кальцифицированное объемное образование - типичная олигодендроглиома. 70-90% олигодендроглиом характеризуются кальцификацией. Кальцификация таких опухолей помогает отличить эту опухоль от других глиом, в частности, от астроцитомы.
2. КТ при олигодендроглиоме:
• Бесконтрастная КТ:
о Объемное образование смешанной КТ-плотности (гипо-/изо-денсное), распространяющееся на кору полушария головного мозга
о Большинство характеризуются кальцификацией узлового или мультиочагового характера (70-90%) о Часто наблюдается кистозная дегенерация (20%)
о Геморрагический компонент, отек нехарактерны О Возможно расширение, ремоделирование и эрозирование костей свода черепа
• КТ с контрастированием:
о В 50% случаев отмечается контрастное усиление образования о Степень контрастирования варьирует от его отсутствия до высокой
4. Радионуклидная диагностика. ПЭТ:
о Характер поглощения ФДГ аналогичен нормальному белому веществу
о При исследованиях с 11 С-метионином были выявлены заметные различия его поглощения между высокодифференцированной и анапластической олигодендроглиомами
5. Рекомендации по визуализации:
• Лучший инструмент визуализации:
о МРТ является наиболее чувствительным в визуализации опухоли методом
о КТ полезна для идентификации Са++
• Советы по протоколу исследования:
о МРТ с контрастированием и получением изображений в режимах Т2* GRE или SWI ± МР-спектроскопия, - перфузия

(а) МРТ, Т2-ВИ, корональный срез: в структуре белого вещества с вовлечением коры определяется внешне отграниченное от окружающих структур гиперинтенсивное объемное образование. При резекции опухоли была диагностирована олигодендроглиома II степени злокачественности по классификации ВОЗ (grade II), а также делеция 1p, 19q. Делеции 1p, 19q и мутация IDH 1 связаны с более высокой выживаемостью.
(б) MPT, Т1-ВИ, аксиальный срез: у того же пациента определяется гипоинтенсив-ное объемное образование, распространяющееся на кору и глубокое белое вещество правой лобно-теменной области. После введения контраста его накопления образованием выявлено не было. Около 50% олигодендроглиом grade II характеризуются контрастированием.
в) Дифференциальный диагноз олигодендроглиомы:
1. Анапластическая олигодендроглиома (АО):
• Для дифференциации может потребоваться биопсия
• Могут быть полезны МР-спектроскопия, - перфузия или ПЭТ
2. Диффузная астроцитома низкой степени злокачественности:
• Кальцификация наблюдается менее часто
• Обычно поражается белое вещество, кора относительно сохранна
• Может быть неотличима от олигодендроглиомы
3. Ганглиоглиома:
• Обычно поражается височная доля, локализуется в коре
• Резко отграниченное от окружающих структур кистозное образование с контрастирующимся узловым солидным компонентом
• Часто наблюдается Са ++
• Дети, молодые взрослые
4. Дизэмбриопластическая нейроэпителиальная опухоль (ДНЭО):
• Резко отграниченное от окружающих структур образование в структуре коры
• Гетерогенная структура, «пенистый» внешний вид
• Вариабельные степень и характер контрастирования
• Дети, молодые взрослые
5. Плеоморфная ксантоастроцитома (ПКА):
• Супратенториальное объемное образование в структуре коры, часто наблюдается дуральный «хвост»
• Часто состоит из кистозного и узлового солидного пристеночного компонента, но может быть и солидным
• Контрастированный узловой компонент примыкает к пиальной поверхности
• Дети, молодые взрослые
6. Церебрит:
• Гиперинтенсивный на Т2-ВИ сигнал и фрагментарное контрастирование
• Характерно ограничение диффузии
7. Ишемический инсульт:
• Характерно соответствие бассейнам кровоснабжения (СМА, ПМА, ЗМА)
• Ограничение диффузии в острой/подострой стадии
• Вовлечение как серого, так и белого вещества, часто клиновидная форма
• Контрастирование коры гириформного характера в подострой стадии
8. Артериовенозная мальформация (АВМ):
• Типичный внешний признак-множественные расширенные участки потери сигнала за счет эффекта потока
• Часто наблюдается кальцификация
• При тромбозе может быть неотличима от олигодендроглиомы
9. Герпетический энцефалит:
• Ограничивается поражением лимбической системы, височных долей
• Часто наблюдаются продукты распада крови и контрастирование
• Типично острое начало

(а) МРТ, Т2-ВИ, аксиальный срез: определяется неоднородно гиперинтенсивное объемное образование, распространяющееся на кору и субкортикальное белое вещество, оказывающее умеренный масс-эффект на окружающие структуры. Данная картина очень похожа на олигодендроглиому. При резекции опухоли была диагностирована анапластическая олигодендроглиома. Grade II олигодендроглиом не может быть достоверно отдифференцирована от grade III при рутинной диагностической визуализации. Могут быть полезны МР-спектроскопия и МР-перфузия.
(б) МРТ, постконтрастное Т1 -ВИ, корональный срез: определяется гетерогенное контрастирование олигодендроглиомы grade II, расположенной в лобной доле.
2. Стадирование и классификация олигодендроглиомы:
• II степень злокачественности по классификации ВОЗ (grade II)
• Анапластическая олигодендроглиома = grade III:
о Митозы, микроваскулярная пролиферация ± некроз
• Олигодендроглиомы характеризуются более благоприятным прогнозом, чем астроцитомы той же степени злокачественности
3. Макроскопические и хирургические особенности:
• Солидные инфильтрирующие окружающие структуры участки поражения коры головного мозга/субкортикального БВ
• Хорошо дифференцируются от окружающих структур, серовато-розовый цвета, мягкое, неинкапсулированное объемное образование
• Часто Са++; ± кистознаядегенерация, геморрагический компонент
4. Микроскопия:
• Умеренная целлюлярность, редкие митозы
• Округлые гомогенные ядра и светлая цитоплазма:
о Паттерн «яичницы» и «медовых сот», вероятно, является артефактом, перинуклеарное гало
• Может иметь плотную сеть ветвящихся капилляров
• MIB-1 < 5% (индекс пролиферации)

(а) Микропрепарат под высоким увеличением: определяется классический патогистологический симптом «яичницы», обусловленный перинуклеарным гало, что характерно для олигодендроглиом. Олигодендроглиомы характеризуются более благоприятным прогнозом, чем астроцитомы той же степени злокачественности.
(б) МРТ, постконтрастное Т1-ВИ, аксиальный срез: определяется гетерогенное контрастирование объемного образования в задней черепной ямке с вовлечением IV желудочка. Несмотря на то, что визуализационные признаки имитируют эпендимому, при резекции данная опухоль оказалась олигодендроглиомой grade II.
1. Проявления олигодендроглиомы:
• Наиболее частые признаки/симптомы:
о Судорожный синдром, головные боли, очаговые неврологические симптомы
о Пациенты имеют относительно давнюю историю симптомов
2. Демография:
• Возраст:
о Пик заболеваемости: четвертое и пятое десятилетия
• Пол:
о Небольшое преобладание у мужчин
• Эпидемиология:
о 5-10% первичных внутричерепных новообразований
о 5-20% всех глиом
о Третье по частоте глиальное новообразование
3. Течение и прогноз:
• Более благоприятный исход коррелирует с более молодым возрастом, локализацией в лобной доли, отсутствием контрастирования, полной резекцией, лучевой терапией после частичной резекции
• Неблагоприятный прогноз коррелирует с наличием некротического компонента, более высокой целлюлярностью, митотической активностью, ядерной атипией, клеточным плеоморфизмом, микроваскулярной пролиферацией
• Медиана выживаемости = 10 лет
• Пятилетняя выживаемость в 50-75% случаев
• Локальный рецидив встречается часто; метастазирование через СМЖ происходит редко
• Делеции 1р, 19q и IDHH+) связаны с более благоприятным прогнозом, лучшим ответом на химиотерапию
• Опухоли без мутации гена IDH1 считаются диким типом и ведут себя более агрессивно, характеризуются низкой выживаемостью
4. Лечение олигодендроглиомы:
• Хирургическая резекция является основным методом лечения
• ± адъювантная лучевая терапия и химиотерапия (темозоломид)
е) Диагностическая памятка:
1. Обратите внимание:
• При выявлении кальцифицированного объемного образования лобной доли предполагайте олигодендроглиому
• Олигодендроглиомы могут имитировать объемные образования коры (т.е. ДНЭО), хотя они обычно встречаются у молодых пациентов
2. Советы по интерпретации изображений:
• Олигодендроглиомы grade II не могут быть надежно отдифференцированы от grade III (АО) при рутинной визуализации
• Олигодендроглиомы являются наиболее распространенными внутричерепными опухолями, для которых характерна кальцификация
• Появление нового участка контрастирования в ранее не накапливающей контраст олигодендроглиоме предполагает прогрессию малигнизации опухоли
Глиома головного мозга
Глиома головного мозга — наиболее распространенная опухоль головного мозга, берущая свое начало из различных клеток глии. Клинические проявления глиомы зависят от ее расположения и могут включать головную боль, тошноту, вестибулярную атаксию, расстройство зрения, парезы и параличи, дизартрию, нарушения чувствительности, судорожные приступы и пр. Глиома головного мозга диагностируется по результатам МРТ головного мозга и морфологического исследования опухолевых тканей. Вспомогательное значение имеет проведение Эхо-ЭГ, ЭЭГ, ангиографии сосудов головного мозга, ЭЭГ, офтальмоскопии, исследования цереброспинальной жидкости, ПЭТ и сцинтиграфии. Общепринятыми способами лечения в отношении глиомы головного мозга являются хирургическое удаление, лучевая терапия, стереотаксическая радиохирургия и химиотерапия.
МКБ-10

Общие сведения
Глиома головного мозга встречается в 60% случаев опухолей головного мозга. Название «глиома» связано с тем, что опухоль развивается из глиальной ткани, окружающей нейроны головного мозга и обеспечивающей их нормальное функционирование. Глиома головного мозга представляет собой в основном первичную внутримозговую опухоль полушарий мозга. Она имеет вид розоватого, серовато-белого, реже темно-красного узла с нечеткими очертаниями. Глиома головного мозга может локализоваться в стенке желудочка мозга или в области хиазмы (глиома хиазмы). В более редких случаях глиома располагается в нервных стволах (например, глиома зрительного нерва). Прорастание глиомы головного мозга в мозговые оболочки или кости черепа наблюдается лишь в исключительных случаях.
Глиома головного мозга часто имеет округлую или веретенообразную форму, ее размер колеблется от 2-3 мм в диаметре до величины крупного яблока. В подавляющем большинстве случаев глиома головного мозга отличается медленным ростом и отсутствием метастазирования. Однако при этом она характеризуется настолько выраженным инфильтративным ростом, что границу опухоли и здоровых тканей не всегда удается найти даже при помощи микроскопа. Как правило, глиома головного мозга сопровождается дегенерацией окружающих ее нервных тканей, что зачастую приводит к несоответствию выраженности неврологического дефицита размерам опухоли.
Классификация
В соответствии с классификацией ВОЗ выделяют 4 степени злокачественности глиом головного мозга.
- К I степени относится доброкачественная медленно растущая глиома (ювенильная астроцитома, плеоморфная ксантоастроцитома, гигантоклеточная астроцитома).
- Глиома II степени злокачественности считается «пограничной». Она отличаются медленным ростом и имеет только 1 признак злокачественности, в основном клеточную атипию. Однако такая глиома может трансформироваться в глиому III и IV степени злокачественности.
- При III степени злокачественности глиома головного мозга имеет 2 из трех признаков: фигуры митозов, ядерную атипию или микропролиферацию эндотелия.
- Глиома IV степени злокачественности отличается наличием области некроза (мультиформная глиобластома).
По месту расположения глиомы классифицируются на супратенториальные и субтенториальные, т. е. находящиеся выше и ниже намета мозжечка.
Симптомы глиомы головного мозга
Подобно другим объемным образованиям глиома головного мозга может иметь разнообразные клинические проявления, зависящие от ее расположения. Чаще всего у пациентов наблюдается общемозговая симптоматика: некупируемые обычными средствами головные боли, сопровождающиеся ощущением тяжести в глазных яблоках, тошнотой и рвотой, иногда судорожными приступами. Наибольшей выраженности эти проявления достигают, если глиома головного мозга прорастает в желудочки и ликворные пути. При этом она нарушает циркуляцию цереброспинальной жидкости и ее отток, приводя к развитию гидроцефалии с повышением внутричерепного давления.
Среди очаговых симптомов глиомы головного мозга могут наблюдаться нарушения зрения, вестибулярная атаксия (системное головокружение, шаткость при ходьбе), расстройство речи, понижение мышечной силы с развитием парезов и параличей, снижение глубоких и поверхностных видов чувствительности, психические отклонения (нарушения поведения, расстройство мышления и различных видов памяти).
Диагностика
Процесс диагностики начинается с опроса пациента по поводу его жалоб и последовательности их возникновения. Неврологический осмотр при глиоме головного мозга позволяет выявить существующие нарушения чувствительности и расстройства координации, оценить мышечную силу и тонус, проверить состояние рефлексов и т. п. Отдельное внимание уделяют анализу состояния мнестической и психической сферы пациента.
Провести оценку состояния нервно-мышечного аппарата неврологу помогают такие инструментальные методы исследования как электронейрография и электромиография. Для выявления гидроцефалии и смещения серединных мозговых структур может применяться эхоэнцефалография. Если глиома головного мозга сопровождается зрительными нарушениями, то показана консультация офтальмолога и комплексное офтальмологическое обследование, включающее визиометрию, периметрию, офтальмоскопию и исследование конвергенции. При наличии судорожного синдрома проводится ЭЭГ.
Наиболее приемлемым способом диагностики глиомы головного мозга на сегодняшний день является МРТ головного мозга. При невозможности ее проведения может применяться МСКТ или КТ головного мозга, контрастная ангиография мозговых сосудов, сцинтиграфия. ПЭТ головного мозга дает сведения о метаболических процессах, по которым можно судить о скорости роста и агрессивности опухоли. Кроме того, с диагностической целью возможно проведение люмбальной пункции. При глиоме головного мозга анализ полученной цереброспинальной жидкости выявляет наличие атипичных (опухолевых) клеток.
Вышеперечисленные неинвазивные методы исследования позволяют диагностировать опухоль, однако точный диагноз глиомы головного мозга с определением ее вида и степени злокачественности можно поставить только по результатам микроскопического исследования тканей опухолевого узла, полученных при проведении оперативного вмешательства или стереотаксической биопсии.
Лечение глиомы головного мозга
Полное удаление глиомы головного мозга представляет собой практически невыполнимую задачу для нейрохирурга и возможно только в случае ее доброкачественности (I степени злокачественности по классификации ВОЗ). Это связано со свойством глиомы головного мозга значительно инфильтрировать и прорастать окружающие ее ткани. Разработка и применение в ходе нейрохирургических операций новых технологий (микрохирургии, интраоперационного картирования головного мозга, МРТ-сканирования) немного улучшило ситуацию. Однако до сих пор хирургическое лечение глиомы в большинстве случаев по сути является операцией по резекции опухоли.
Противопоказаниями к осуществлению хирургического метода лечения является нестабильное состояние здоровья пациента, наличие других злокачественных новообразований, распространение глиомы головного мозга в оба полушария или ее неоперабельная локализация.
Глиома головного мозга относится к радио- и химиочувствительным опухолям. Поэтому химио- и радиотерапия активно применяются как в случае неоперабельности глиомы, так и в качестве пред- и постоперационной терапии. Предоперационная лучевая и химиотерапия может быть проведена только после подтверждения диагноза результатами биопсии. Наряду с традиционными методами радиотерапии возможно применение стереотаксической радиохирургии, позволяющей воздействовать на опухоль при минимальном облучении окружающих тканей. Следует отметить, что лучевая и химиотерапия не могут служить заменой хирургического лечения, поскольку в центральной части глиомы головного мозга зачастую располагается участок, плохо поддающийся воздействию облучения и химиопрепаратов.
Прогноз
Глиомы головного мозга имеют преимущественно неблагоприятный прогноз. Неполное удаление опухоли приводит к ее быстрому рецидивированию и лишь продлевает жизнь пациента. Если глиома головного мозга имеет высокую степень злокачественности, то в половине случаев больные погибают в течение 1 года и только четверть из них живет дольше 2 лет. Более благоприятный прогноз имеет глиома головного мозга I степени злокачественности. В случаях, когда удается произвести ее полное удаление с минимальным послеоперационным неврологическим дефицитом, более 80% прооперированных живут дольше 5 лет.
Читайте также:
- Вращательная проба при пессимальном повороте головы при остеохондрозе
- Лучевая диагностика хондросаркомы жевательного пространства
- Нарушение проводимости при инфаркте миокарда. Тромбоэмболии при инфаркте миокарда. Синдром Дресслера.
- Стеноз наружного слухового прохода и его лечение
- Гормональная контрацепция - современные аспекты
