Рентгенограмма, КТ при васкулите тонкого кишечника
Добавил пользователь Евгений Кузнецов Обновлено: 25.01.2026
КТ кишечника в клиниках СПб применяется для исследования толстого и тонкого кишечника, желудка, лимфатических узлов, соседних сосудов путем их сканирования с помощью рентгеновских лучей. В результате диагностики врач получает серию снимков, отображающих состояние органов ЖКТ по срезам. Метод относится к наиболее точным и высокоинформативным видам неинвазивного обследования и без внутреннего вмешательства в организм позволяет определить многие патологические процессы даже на начальном этапе, когда еще нет клинических признаков проявления недуга.
Компьютерная томография кишечника выполняется с помощью нескольких протоколов сканирования, позволяющих полностью или частично оценить определенные участки кишечника:
- или КТ прямой кишки - это процедура оценки последней части толстого кишечника; - это процедура оценки тонкого кишечника; позволяет частично оценить состояние двенадцатиперстной и ободочной кишки; позволяет частично оценить состояние прямой кишки.
Бесплатная консультация о диагностике
Если сомневаетесь, запишитесь на бесплатную консультацию.
Или проконсультируйтесь по телефону
Что покажет КТ кишечника
Компьютерная томография кишечника лучше всего предназначена для определения непроходимости кишки и выявления объемных образований и патологий всех стенок кишечника. Кроме того, данное исследование помогает определить воспалительные процессы и язвенные очаги. Лечащий врач может выдать пациенту направление на КТ обследование нужного участка кишечника для проведения дифференциальной диагностики:
- причин кровотечения и повреждения стенок тонкого и толстого кишечника;
- язвенных процессов и раздражений слизистой оболочки;
- стенозов и дивертикулита;
- воспаления тканевых слоев и колитов;
- объемных образований доброкачественного или злокачественного характера;
- аутоиммунных заболеваний с поражением ЖКТ, например, болезни Крона.
Также компьютерная томография назначается для оценки состояния пищеварительного тракта после травм и при попадании инородных тел внутрь в качестве экстренного метода диагностики. Данные МСКТ кишечника могут понадобиться и при планировании операционных вмешательств, например, резекции кишечника, чтобы точно визуализировать особенности анатомии и точно определить зону хирургического вмешательства.
КТ кишечника с контрастом
| Контрастирование | Вес пациента | Стоимость |
|---|---|---|
| Стоимость введения контрастного вещества | от 50 до 60 кг | от 3200 руб. |
| Стоимость введения контрастного вещества | от 60 до 70 кг | от 3700 руб. |
| Стоимость введения контрастного вещества | выше от 75 кг | от 5500 руб. |
Противопоказания
Беременность является абсолютным противопоказанием к любому КТ. Нежелательно делать компьютерную томографию маленьким детям из-за наличия лучевой нагрузки на организм. Пациентам с почечной недостаточностью перед применением контраста необходимо сделать анализ крови на креатинин. Если человек чувствителен к йоду, ему нужно сделать аллергические пробы для исключения непереносимости компонентов вещества. Иногда бывает трудно сделать качественную МСКТ полным пациентам. Большинство клиник СПб осуществляют диагностику пациентам с весом только до 150 кг из-за пропускной способности томографа. Когда проведение КТ кишечника невозможно из-за противопоказаний или весовых ограничений, альтернативными методами сканирования будут МРТ кишечника и УЗИ на аппарате экспертного класса.
Подготовка
Качественная КТ кишечника требует подготовки, направленной на снижение подвижности органов пищеварительного тракта. Подготовительный этап начинается за 2-3 дня до исследования с перехода на питание, снижающее газообразование. Предварительно следует купить слабительные препараты для очистки кишечной полости, которую в день диагностики следует освободить от излишков кала. Компьютерная томография кишечника с контрастом требует проведения сканирования натощак с минимальной паузой в приеме пищи в 6 часов.
Перед заходом в комнату с томографом следует снять все металлические предметы и украшения. Одежда должна быть свободной. В некоторых клиниках предусмотрена выдача комплекта одноразовой одежды, который включен в цену обследования.
Процедура
Перед исследованием пациенту необходимо удобно расположиться на выдвижном столе аппарата. Затем кушетку перемещают в сканирующую часть томографа и запускают программу скрининга. Длительность процедуры КТ кишечника в среднем занимает несколько минут. При применении контрастирования продолжительность сканирования увеличивается до получаса. Результатов компьютерной томографии нужно будет подождать 30-40 минут, пока врач закончит процедуру расшифровки и описание томограмм. По итогам обследования пациент на руки получит письменное заключение врача и запись КТ снимков на электронном или пленочном носителе. С этими данными ему нужно записаться на консультацию к лечащему врачу, чтобы тот закончил процедуру диагностики и определился с планом лечения.
От чего зависит цена КТ кишечника с контрастом и без
Стоимость КТ тонкого или толстого кишечника зависит от:
- зоны сканирования - весь кишечник, толстая кишка и прямая кишка, тонкий кишечник;
- применения контрастного протокола;
- способа введения контраста;
- срезовой мощности томографа.
Полный перечень клиник, где можно сделать КТ кишечника в СПб, с точными адресами и ценами Вы сможете найти на портале Общегородского центра записи на диагностику. Мы также будем рады подсказать Вам, где можно сделать МСКТ любого участка кишечника недорого с максимальным учетом акций и скидок. Звоните, мы обязательно поможем!
КТ брюшной полости (часть пищевода, желудок, печень, желчный пузырь, поджелудочная железа, селезенка, тонкий кишечник)
КТ забрюшинного пространства (почки и надпочечники, мочеточники, мягкие ткани и лимфоузлы)
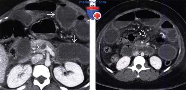
Рентгенограмма, КТ при васкулите тонкого кишечника
Рентгенограмма, КТ, ПЭТ при лимфоме тонкой кишки
Лимфома тонкой кишки у мужчины 70 лет.
(а) При КТ с контрастированием визуализируется циркулярная инфильтрирующая опухоль (стрелки) тонкой кишки с аневризматическим расширением вовлеченного просвета.
(б) При ПЭТ-КТ с использованием 18F-FDG выявляется гиперметаболизм лимфомы тонкой кишки (стрелки). Множественные лимфомы тонкой кишки у мужчины 34 лет.
При КТ в коронарной проекции визуализируется циркулярное утолщение стенки (белые стрелки) в области терминального отдела подвздошной кишки с легким, гомогенным накоплением контрастного вещества.
Отмечается аневризматическое расширение вовлеченного сегмента. Выявляются множественные увеличенные лимфатические узлы (белые указатели) брыжейки.
Спаянные лимфатические узлы пережимают лимфатический сосуд (черные указатели) с образованием «симптома сэндвича».
Также сегментарное утолщение стенки отмечается в тощей кишке (черная стрелка). Визуализируется кишечно-кишечная инвагинация.
Было установлено, что опухоли тощей кишки и терминального отдела подвздошной кишки представляют собой лимфому Беркитта. Лимфома тонкой кишки (диффузная крупноклеточная В-клеточная лимфома) у мужчины 66 лет.
(а) На прицельной рентгенограмме при пассаже бария по тонкой кишке выявляется неравномерное утолщение складок кишки (стрелки).
(б) При КТ с контрастированием в коронарной проекции визуализируется сегментарное циркулярное утолщение стенки (стрелки) вовлеченного сегмента тонкой кишки с гомогенным накоплением контрастного вещества.
Лимфома желудочно-кишечного тракта может быть как первичной, так и вторичной. Первичная лимфома ЖКТ является самым распространенным проявлением экстранодальной лимфомы и составляет 30-40% случаев. При первичных желудочно-кишечных лимфомах самым часто вовлекаемым органом является желудок (60-75%). Вторым по частоте поражения органом является тонкая кишка — около 20% случаев.
Вторичная лимфома желудочно-кишечного тракта как правило обусловлена диссеминированным поражением лимфатических узлов со вторичным вовлечением тонкой кишки. Лимфомы тонкой кишки обычно представлены В-клеточными лимфомами, в большинстве случаев — диффузными крупноклеточными В-клеточными лимфомами (ДКВЛ). Другим частым типом лимфомы тонкой кишки является экстранодальная лимфома из клеток краевой зоны, ассоциированная со слизистыми оболочками (MALT-лимфома). Т-клеточные лимфомы не характерны, однако все чаще встречаются среди пациентов, страдающих целиакией (Bautista-Quach et al., 2012).
При В-клеточных лимфомах тонкой кишки чаще поражается терминальный отдел подвздошной кишки, что предположительно обусловлено широкой представленностью в нем лимфоидной ткани, в то время как при Т-клеточных лимфомах чаще вовлекается тощая кишка (Chang и Menias, 2013). К клиническим признакам лимфомы тонкой кишки относятся боль в животе, анемия, потеря веса и пальпируемое объемное образование брюшной полости.
Лимфома тонкой кишкиа характеризуется большим разнообразием рентгенологических проявлений. Чаще всего она представляет собой циркулярно инфильтрирующую опухоль, которая может сопровождаться аневризматической дилатацией пораженного просвета. При КТ с контрастированием отмечается циркулярное утолщение стенки с легким или умеренным гомогенным накоплением контрастного вещества.
Аневризматическая дилатация тонкой кишки возникает в результате деструкции вегетативных нервных сплетений собственной пластинки, приводящей к снижению тонуса гладкой мускулатуры. Необходима дифференциальная диагностика с инфильтративным типом аденокарциномы, при котором аневризматическое расширение кишки не отмечается. При лимфоме тонкой кишки обычно отсутствует десмопластическая реакция. К другим вариантам лимфомы тонкой кишки относятся единичные или множественные узловые или полиповидные образования.
При этих узловых и полиповидных поражениях необходимо проводить дифференциальный диагноз с карциноидом, ГИСО или метастатическим поражением. Лимфома брыжейки может вовлекать тонкую кишку вторично. Такие опухоли лучше всего визуализируются при КТ с контрастированием. ПЭТ-КТ при лимфоме тонкой кишки достаточно широко применяют для первоначального определения стадии, прогноза и ответа на лечение.
КТ брюшной полости при васкулите
а) Определения:
• Общий термин, описывающий группу заболеваний, характеризующихся воспалением/некрозом кровеносных сосудов:
о Классификация васкулитов основана на размерах кровеносных сосудов, вовлекаемых в процесс - малого, среднего и крупного калибра
о Сосуды крупного калибра: артериит Такаясу
о Сосуды среднего калибра: узелковый полиартериит
о Сосуды малого калибра: пурпура Шенлейна-Геноха, васкулит при системной красной волчанке, болезнь Бехчета, грануле-матоз Вегенера
• Артериит Такаясу: хронический гранулематозный васкулит с локализацией воспалительного процесса в аорте и ее основных ветвях
• Узелковый полиартериит: фибриноидный некротизирующий васкулит, затрагивающий мелкие и средние сосуды с формированием множественных аневризм в области отхождения сосудистых ветвей
• Пурпура Шенлейна-Геноха: острый аллергический васкулит, затрагивающий сосуды малого калибра с отложением комплексов иммуноглобулина А в коже, суставах, почках, органах ЖКТ
• Гранулематоз Вегенера: гранулематозный васкулит, поражающий органы дыхания и почки
• Васкулит при системной красной волчанке: комплексное аутоиммунное заболевание с проявлениями некротизирующего васкулита в сосудах малого калибра
• Болезнь Бехчета: некротизирующий васкулит, затрагивающий сосуды малого калибра в различных органах
б) Визуализация:
1. Рекомендации по визуализации:
• Лучший метод визуализации:
о КТ-ангиография: метод первой линии (вне зависимости от размера пораженных сосудов):
- Позволяет визуализировать патологию сосудов и органные изменения
о Традиционная ангиография полезна в сомнительных случаях
о Дуплексное УЗИ: скрининговый метод выявления стеноза проксимальных отделов брыжеечных/почечных артерий, основанный на фиксации скорости кровотока
о ПЭТ/КТ: усиление накопления ФДГ в пораженных сосудах и в висцеральных органах
2. Общая характеристика изменений брюшной полости при васкулитах:
• Лучшие диагностические критерии:
о Артериит Такаясу:
- Неравномерное, стенозирующее или воспалительное утолщение стенки аорты или основных ветвей аорты при ангиографии или КТ
о Узелковый полиартериит:
- Множественные аневризмы почечных и брыжеечных артерий
о Пурпура Шенлейна-Геноха:
- Мультифокальное утолщение стенки кишки и сужение просвета кишечника при КТ у молодых пациентов
• Локализация:
о Артериит Такаясу:
- Типично поражение дуги аорты, также могут затрагиваться другие отделы аорты в 32% случаев
- Поражение только грудной и брюшной аорты в 12% случаев
- Может затрагивать любую основную ветвь грудной или брюшной аорты, также часто поражаются легочные артерии
о Узелковый полиартериит:
- Характерная локализация в области бифуркации артерий малого и среднего калибра с формированием аневризм в месте отхождения сосудистых ветвей
- Чаще всего поражаются почечные (80-90%) и брыжеечные артерии (50-70%)
- Иная локализация: печень, селезенка, поджелудочная железа
о Пурпура Шенлейна-Геноха:
- Брыжеечные сосуды малого калибра и ЖКТ поражаются в 60% случаев
- Кожные симптомы являются первоочередным проявлением заболевания, также часто возникают изменения со стороны суставов и почек
о Гранулематоз Вегенера:
- Почки поражаются в 80% случаев
- Может поражать любой отдел ЖКТ
о Васкулит при системной красной волчанке:
- Может затрагивать любой отдел ЖКТ
- Типичное поражение верхней брыжеечной артерии
о Болезнь Бехчета:
- Поражение ЖКТ наблюдается в 50% случаев
- Наиболее типичны изменения илеоцекальной области, затем - поражение пищевода
(Слева) На корональном изображении при КТ с контрастом у молодой женщины определяется окклюзия левой общей подвздошной артерии с коллатеральными сосудами, впадающими в левую бедренную артерию. Просвет верхней брыжеечной артерии также полностью перекрыт, сформированы коллатерали с расширенной нижней брыжеечной артерией.
(Справа) На сагиттальном изображении (КТ с контрастом) у этой же пациентки выявляется выраженное сужение начальных отделов чревного ствола, а также чередование участков стеноза и аневризматического расширения печеночной артерии. Эти изменения являются вторичными в результате артериита Такаясу. (Слева) На представленном объемном изображении сосудов в корональной плоскости выявлено диффузное неравномерное сужение в виде «нитки бус» печеночной артерии и ее ветвей. Эти изменения обусловлены артериитом Такаясу, при котором намного чаще поражается дуга аорты.
(Справа) При аксиальной КТ с контрастным усилением выявлены большие аневризмы внутрипеченочой ветви печеночной артерии и смещенной в сторону левой печеночной артерии в ее начальных отделах у пациента с узелковым полиартериитом. (Слева) При аксиальной нативной КТ у пациента с внезапно возникшими болями в боку с обеих сторон обнаружено двухстороннее кровоизлияние в паренхиму почек и в околопочечную клетчатку (скопление жидкости высокой плотности).
(Справа) При катетерной ангиографии у этого же пациента определяются множественные мелкие аневризмы ветвей почечной артерии, которые и стали причиной кровотечения. В последствии был подтвержден диагноз гранулематоза Вегенера. Кровоизлияние в паренхиму почек и в околопочечную клетчатку — типичные проявления васкулита при этом заболевании.
3. КТ изменений брюшной полости при васкулитах:
• Артериит Такаясу:
о Утолщение стенки пораженного сосудистого сегмента в острой стадии:
- Может имитировать атеросклеротическое поражение (особенно брыжеечных артерий), но обычно проявляется ровным, равномерным сужением просвета на протяжении сосудистого сегмента
о Хроническое воспаление приводит к стенозу, постстенотическому расширению, возникновению аневризм, окклюзии сосуда и образованию коллатералей
• Узелковый полиартериит:
о Аневризмы (из-за ослабления сосудистой стенки), обычно в области бифуркации сосудов:
- Типичные мелкие аневризмы (до 1 см)
- Наиболее часто поражаются почечные и брыжеечные сосуды, однако возможно также вовлечение почечных, селезеночных, околопанкреатических сосудов
- Образование псевдоаневризм внутрипочечной части артерий (80-90%) практически во всех случаях:
Может приводить к интрапаренхиматозному, подкапсульному или перинефральному кровотечению
о Инфаркт почки и атрофия (в результате ишемии) с «исчерченным» изображением почек при КТ
о Забрюшинное кровотечение при разрыве аневризмы
• Пурпура Шенлейна-Геноха:
о Чаще всего затрагивается ЖКТ, имеют место признаки ишемического поражения:
- Мультифокальное утолщение стенки кишки, изъязвление и сужение просвета (пораженная кишка при этом имеет нормальный размер)
- Нередко обнаруживается кровоизлияние в слизистую оболочку кишки
- У детей (13,6% всех пациентов) очень часто возникает инвагинация, особенно подвздошно-подвздошная (тонкокишечная) и подвздошно-ободочная
о Распространенный воспалительный процесс в брюшной полости с брыжеечной лимфаденопатией, помутнением брыжеечной клетчатки (брыжейки), повышенным кровенаполнением брыжеечных сосудов, асцитом
о Кровоизлияние под уротелий почечной лоханки, подкапсульная гематома почки (редко)
• Гранулематоз Вегенера:
о Микроаневризмы с рубцовым изменением почечной паренхимы, паренхиматозное/околопочечное кровоизлияние, ишемическое поражение кишечника
• Васкулит при системной красной волчанке:
о Риск осложнений со стороны кишечника/ишемии вследствие васкулита и гиперкоагуляции (антифосфолипидный синдром)
о Изменения со стороны кишечника, обусловленные ишемией:
- Фокальное либо диффузное утолщение стенки кишечника из-за подслизистого отека либо кровоизлияния в слизистую
- Выраженное усиление слизистой кишечника при контрастировании, избыточное кровенаполнение брыжеечных сосудов («симптом гребня»), отек брыжейки, асцит, брыжеечная лимфаденопатия
- Пневматоз тонкого кишечника, газ в брыжеечных венах: Вследствие инфаркта либо использования стероидов
о Гидронефроз
о Мезентериальный тромбоз (вторичный - в результате повышенной свертываемости крови на фоне антифосфолипидного синдрома)
• Болезнь Бехчета:
о Наиболее часто затрагивает дистальные отделы подвздошной кишки и проявляется крайне похоже на болезнь Крона или злокачественную опухоль
о Локальное утолщение стенки тонкой кишки может быть похоже на полиповидное объемное образование:
- Опухолеподобные изменения тонкого кишечника ассоциированы с повышенным риском осложнений
- Большие, асимметричные язвы неправильной формы
о Вариабельное помутнение брыжеечного жира (вследствие повышения проницаемости сосудистого русла)
о Увеличение количества осложнений со стороны ЖКТ (фистулы, свищевые ходы)
г) Патология. Стадирование, градация и классификация васкулитов:
• Базируются на размерах сосудов, преимущественно вовлеченных в процесс
о Сосуды крупного калибра: преимущественное поражение аорты и ее основных ветвей
- Артериит Такаясу, гигантоклеточный артериит
о Сосуды среднего калибра: преимущественное поражение висцеральных артерий и их ветвей
- Узелковый полиартериит, синдром Кавасаки
о Сосуды мелкого калибра: поражаются преимущественно артериолы, венулы и капилляры:
- Гранулематоз Вегенера, полиартериит Черджа-Стросса, микроскопический полиангиит, пурпура Шенлейна-Геноха, васкулит при системной красной волчанке, болезнь Бехчета
- Ревматоидный артрит: у пациентов могут возникать васкулиты с поражением крупных и средних сосудов
д) Клинические особенности:
1. Проявления васкулитов:
• Наиболее частые признаки/симптомы:
о Артериит Такаясу:
- Общее недомогание, лихорадка, потеря веса, артралгия
- Боли в животе, ишемическое поражение кишечника, желудочно-кишечное кровотечение
о Узелковый полиартериит:
- Лихорадка, недомогание, потеря веса, головные боли, боли в мышцах
- Почечная недостаточность, гипертония, периферическая нейропатия
- Боли в животе, желудочно-кишечное кровотечение, перфорация
- Может привести к летальному исходу без лечения при разрыве аневризмы
о Пурпура Шенлейна-Геноха:
- Петехиальная сыпь и пурпура (на нижних конечностях), артриты (крупных суставов), гематурия
- Коликообразные боли в животе, инвагинация
- Ишемия кишечника, перфорация (редко)
о Гранулематоз Вегенера:
- Гематурия, протеинурия, почечная недостаточность
о Болезнь Бехчета:
- Афтозные язвы гениталий и рта, увеиты, артриты
- Боли в животе, перитонит
2. Демография:
• Возраст:
о Артериит Такаясу:
- В молодом и среднем возрасте
о Узелковый полиартериит:
- В среднем и старшем возрасте
о Пурпура Шенлейна-Геноха:
- У детей 3-10 лет и молодых взрослых
- 30% пациентов в возрасте до 20 лет
о Васкулит при системной красной волчанке:
- У молодых взрослых и пациентов среднего возраста
о Болезнь Бехчета:
- Чаще в возрасте 20-40 лет
• Пол:
о Артериит Такаясу:
- М:Ж= 1:10
о Узелковый полиартериит:
- М:Ж= 1,5:1
о Пурпура Шенлейна-Геноха:
- М:Ж= 1,2-1,8:1
о Васкулит при системной красной волчанке:
- М«Ж
о Болезнь Бехчета:
- М40>>Ж в средиземноморском регионе и на Ближнем Востоке
- М
• Эпидемиология:
о Артериит Такаясу:
- Чаще всего у уроженцев Азии
- Распространенность в США: 1-3 на миллион
о Узелковый полиартериит:
- Распространенность: 2-33 на миллион
о Пурпура Шенлейна-Геноха:
- Распространенность: 20 на 100000 детей
- Мало распространена у афроамериканцев о Болезнь Бехчета:
- Намного более характерна для Восточной Азии и Ближнего Востока
- Распространенность: 1:500000 в США
3. Лечение:
• Стероиды ± иммуносупрессоры, такие как циклофосфамид
е) Диагностическая памятка:
1. Советы по интерпретации изображений:
• Изменения при КТ, подозрительные на ишемическое поражение кишечника или почек, должны настораживать в плане васкулитов
ж) Список использованной литературы:
1. Muto G et al: Large vessel vasculitis in elderly patients: early diagnosis and steroid-response evaluation with FDG-PET/СТ and contrast-enhanced CT Rheumatol Int. ePub, 2014
Рентгенограмма, КТ, ангиограмма при ишемическом энтерите
а) Терминология:
1. Синонимы:
• Острая ишемия брыжейки
2. Определение:
• Сужение просвета или окклюзия артериальных либо венозных сосудов брыжейки, приводящая к неадекватному снабжению тонкой кишки питательными веществами и кислородом
1. Общая характеристика:
• Лучший диагностический критерий:
о Тромбоз либо сужение просвета верхней брыжеечной артерии (ВБА) или верхней брыжеечной вены (ВБВ) в сочетании с утолщением стенки кишечника
2. Рентгеноскопия при ишемическом энтерите:
• Исследования с бариевой взвесью:
о Утолщение складок Керкринга
о Внешний вид «отпечатка пальца»: накопление в стенке кишечника крови с растяжением подслизистой оболочки, приводящее к появлению скругления складок брыжейки на ограниченном участке, особенно вдоль брыжеечного края
о Внешний вид «стопки монет»: увеличенные, гладкие, ровные параллельные складки, расположенные перпендикулярно длинной оси тонкой кишки (подслизистый отек)
о При дилатации проксимальных отделов кишечника часто обнаруживаются стриктуры
о «Крапчатые» или линейные скопления газа, а также включения газа в виде «пены» или «пузырьков» в стенке кишки (пневматоз кишечника)
3. КТ при ишемическом энтерите:
• КТ с контрастным усилением:
о Тромбоз либо сужение просвета ВБА, ВБВ, или других сосудов брыжейки
о Сегментарное утолщение стенки кишечника (более 3 мм)
о Эмболы обычно обнаруживаются в месте отхождения ВБА либо на 3-10 см дистальнее ВБА в средней ободочной артерии
о Отсутствие контрастного усиления слизистой оболочки кишечника из-за нарушения артериального кровотока
о Помутнение брыжейки: инфильтрация брыжеечного жира вследствие отека, чаще наблюдается при венозном тромбозе
о Повышение плотности стенки кишечника вследствие подслизистого отека или гиперемии:
- Чаще возникает при венозном, а не артериальном тромбозе
о Пневматоз кишечника (чаще при венозном тромбозе по сравнению с артериальным):
- Включения газа в виде тяжей или пузырьков в стенке кишечника
- Линейные, криволинейные или кистозные полости, заполненные газом
- Возможно наличие газа в брыжеечных венах или воротной вене
- Петли кишечника растянуты с наличием жидкости

(Слева) На аксиальной КТ с контрастным усилением у мужчины 24 лет с жалобами на боль определяется тромб в просвете верхней брыжеечной и воротной вены. Тонкая кишка в значительной степени расширена и заполнена жидкостью. Стенка кишки утолщена, также определяется асцит: эти изменения позволяют заподозрить ишемию всех слоев стенки (трансмуральную).
(Справа) Обратите внимание на переполненные кровью брыжеечные вены и отек брыжейки у этого же пациента, что типично для венозного тромбоза и обусловленной им ишемии кишечника. Было обнаружено, что пациент находится в состоянии гиперкоагуляции, он дал ответ на анти коагуляционную терапию.
4. Ангиография при ишемическом энтерите:
• Острая ишемия, обусловленная артериальной недостаточностью: тромбоз/стеноз ВБА или ее ветвей
• Острая ишемия, обусловленная нарушением венозного оттока: окклюзия ВБВ с развитием коллатералей
• Ишемия, не обусловленная окклюзией: замедление тока крови в ВБА
• Хроническая ишемия: сужение просвета/окклюзия чревного ствола и/или ВБА:
о Развитие артериальных коллатералей
5. Рекомендации по визуализации:
• Лучший метод диагностики:
о МСКТ (КТ-ангиография):
- Позволяет лучше визуализировать и количественно оценить степень венозной окклюзии
- Для обнаружения пневматоза кишечника используется легочное окно
о Катетерная ангиография:
- С целью диагностики и лечения
(Слева) На аксиальной КТ с контрастным усилением определяется утолщение стенки тощей кишки в правой половине живота вследствие врожденного нарушения поворота. Обратите внимание на измененное положение верхних брыжеечных сосудов и ограниченный асцит . При операции были обнаружены ишемические изменения кишечника в сочетании со спайками.
(Справа) На аксиальной КТ с контрастированием определяется асцит, а также инфильтрация брыжейки около сегментов тонкой кишки с утолщенной стенкой и расширением просвета, что позволяет сделать вывод об обструкции по типу закрытой петли и ишемии. Проксимальные отделы тонкой кишки и ободочная кишка имеют нормальный поперечный размер. (Слева) На рентгенограмме в косой проекции, полученной во время рентгеноскопического исследования пассажа бариевой взвеси по тонкой кишке, определяется сужение просвета и отсутствие нормальной складчатости, характерной для тонкой кишки, в подвздошной кишке, наряду с дилатацией более проксимальных отделов.
(Справа) На ангиограмме верхней брыжеечной артерии у этого же пациента определяется обрыв некоторых ветвей верхней брыжеечной артерии (ВБА) с отсутствием кровотока в направлении подвздошной кишки. Эти измене ния позволяют предположить эмболию ВБА, поскольку при тромбозе обычно изменения возникают в месте ее отхождения.
в) Дифференциальная диагностика ишемического энтерита:
1. Ангионевротический отек кишечника:
• Врожденный или спровоцированный приемом лекарственных препаратов (например, ингибиторов АПФ)
• Обусловливает массивный отек стенки кишечника, асцит; методы лучевой диагностики не позволяют отличить ангионевротический отек от изменений, обусловленных ишемией
2. Васкулит тонкой кишки:
• Сегментарное утолщение стенки тонкой кишки
• Посдлизистый отек, симптом «мишени»
• Только на основании лучевых методов диагностики дифференциальную диагностику произвести невозможно
3. Шоковая кишка:
• Ишемия, возможно, реперфузия тонкой кишки, обычно после травмы или других состояний, приводящих к снижению системного давления
• Интенсивное контрастное усиление слизистой оболочки, отек подслизистой основы и брыжейки
• Изменения сходят на нет после реанимационных мероприятий
4. Болезнь Крона:
• Обычно поражаются дистальные отделы тонкой кишки
• Асимметричное, прерывистое утолщение стенки кишечника, пролиферация брыжеечной жировой клетчатки
• Изъязвление слизистой на ограниченном участке воспалительного характера в сочетании с «пятнистым» подслизистым фиброзом, приводящее к искажению и прерывистости складок
5. Фиброзирующий мезентерит:
• Утолщение стенки кишечника является нетипичным признаком; оно возникает вследствие сдавливания брыжеечных вен и лимфатических сосудов, обусловленного фиброзом
• Помутнение брыжейки, «жировое гало» вокруг брыжеечных сосудов, не приводящее к их смещению
• Брыжеечные лимфоузлы, возможно, образования (в запущенных стадиях)

(Слева) На аксиальной КТ с контрастным усилением определяется выраженная дилатация длинного сегмента тонкой кишки в ее средних отделах наряду с инфильтрацией брыжейки и асцитом возле расширенных петель кишечника. Отделы кишечника, расположенные выше и ниже данного сегмента, имеют типичный размер. Эти изменения являются классическими для обструкции по типу закрытой петли, обусловливающей ишемию.
(Справа) На более каудальном КТ срезе у этого же пациента определяются признаки ишемии кишечника в сочетании с асцитом.
г) Патология:
1. Общая характеристика:
• Этиология:
о Окклюзия сосудистого русла: эмболия в результате фибрилляции предсердий, эндокардита, тромбоз в результате атеросклероза, механическая обструкция (странгуляция или опухоль)
о Особенно опасна обструкция по типу закрытой петли
о Состояния, проявляющиеся повышенной свертываемостью крови: прием оральных контрацептивов, дефицит протеина С, дефицит фактора V (Лейдена):
о Воспалительные причины: панкреатит, перитонит, васкулит
- Васкулит: часто обусловливает ишемические изменения у детей
- Системная красная волчанка, узелковый полиартериит, другие коллагеновые болезни сосудов
- Васкулиты могут обусловливать поражение почек и иных органов
о Ятрогенные причины: лучевая терапия и химиотерапия, прием лекарственных средств (препараты наперстянки, допамин, вазопрессин), наркотиков (героин, кокаин, амфетамины)
о Гипоперфузия (чаще обусловливает ишемический колит): состояния, проявляющиеся снижением кровообращения, давления; сепсис, сердечная недостаточность
2. Стадирование, градация и классификация ишемического энтерита:
• Классификация:
о Острая ишемия (в результате окклюзии артериального или венозного сосуда)
о Острая ишемия в результате причин неокклюзионного характера (например, шока)
о Хроническая ишемия: «васкулопатия» у пожилых людей, атеросклероз
3. Макроскопические и хирургические особенности:
• Некроз тонкой кишки, изменение ее цвета (на фиолетовый)
4. Микроскопия:
• Некроз, воспаление, ишемические изменения стенки тонкой кишки
1. Проявления ишемического энтерита:
• Наиболее частые признаки/симптомы:
о Острая ишемия:
- Триада клинических симптомов: боль в животе (острое начало), диарея, рвота
- Упорная боль в животе, не соотносящаяся с изменениями при физикальном исследовании
- Вздутие живота, тенезмы, примесь крови в кале
- Защитное напряжение мышц брюшной стенки и симптомы раздражения брюшины (инфаркт/перфорация)
- При ишемии, обусловленной недостаточностью венозного оттока, изменения развиваются более медленно
о Хроническая ишемия:
- Болевой синдром, обусловленный изменениями со стороны кишечника: возникает после еды и постепенно затухает спустя 1-2 часа
- Тошнота, рвота, диарея, снижение веса
- Из-за интенсивной боли возникает ситофобия (страх перед приемом пищи)
о Лабораторные данные:
- Лейкоцитоз в 75% случаев, ацидоз в 50% случаев, повышение уровня амилазы в 25% случаев
о Диагностика:
- Основным моментом ранней постановки диагноза является высокий уровень клинического подозрения
2. Демография:
• Возраст:
о В большинстве случаев больше 50 лет
• Пол:
о М = Ж
• Эпидемиология:
о Ишемический энтерит обусловливает 1 % случаев «острого живота»
о Факторы риска хронической ишемии включают в себя гипертонию, заболевания коронарных артерий, цереброваскулярные болезни
о Окклюзия артериального сосуда является преобладающей причиной развития ишемии по сравнению с окклюзией вен (соотношение составляет 9:1)
о 60-70% случаев острой ишемии обусловлены окклюзией артериального русла, 5—10% возникают в результате окклюзии вены
о 20-30% случаев острой ишемии не обусловлены окклюзией
3. Течение и прогноз:
• Осложнения: стриктуры, инфаркт, некроз, перфорация
• Ишемические изменения на поздних стадиях могут привести к диффузному или ограниченному пневматозу кишечника
• Лучевые данные могут варьировать в зависимости оттого, являются ли ишемические изменения острыми или хроническими, возникают ли в результате артериального или венозного тромбоза
• Прогноз:
о При острой ишемии:
- Зависит от своевременности лечения, объема тонкой кишки, жизнеспособность который может быть восстановлена
- Смертность составляет 50-90%
- В случаях ишемии, обусловленной нарушением оттока венозной крови, исход в целом более благоприятный
о При хронической ишемии:
- Выживаемость зависит от степени выраженности коллатерального кровотока
- Диагноз хронической ишемии требует обнаружения окклюзии двух или большего количества крупных брыжеечных артерий и сужения просвета еще одной артерии
о Смертность при инфаркте достигает 69%
4. Лечение ишемического энтерита:
• Хирургическое:
о Эксплоративная лапаротомия, резекция кишки, обходное шунтирование брыжеечного сосуда с целью перераспределения кровотока
о Основной метод лечения при острой и хронической ишемии и осложнениях
• Эндоваскулярные вмешательства:
о Внутриартериальный тромболизис, чрескожная транслюминальная ангиопластика ± стентирование
о Тромболитики (стрептокиназа, урокиназа)
о Сосудорасширяющие средства (папаверин) с целью устранения спазма
• Системная антикоагуляционная терапия (варфарин, гепарин) при окклюзии венозных сосудов
е) Диагностическая памятка:
1. Следует учесть:
• Ишемия тонкой кишки является клинико-рентгенологическим диагнозом
• Необходима консультация соответствующего врача-клинициста относительно истории заболевания, симптоматики, ключевых лабораторных данных (ацидоз, лейкоцитоз)
2. Советы по интерпретации изображений:
• Лучевые изменения зависят от множества факторов (например, является ли ишемия острой или хронической; возникла ли она в результате окклюзии артериального или венозного сосуда)
• При окклюзии брыжеечных вен возникает более выраженное утолщение стенки, более значимая инфильтрация брыжейки и асцит, чем при окклюзии артерии
Узелковый периартериит у мужчины 61 года.
(а) При криволинейной мультипланарной реконструкции (CMPR) в сагиттальной проекции визуализирована аневризма ВБА (стрелка).
(б) При ангиографии выявлена аневризма в проксимальном отделе ВБА (стрелка), был установлен стент. ПШГ у мальчика 11 лет. При контрастно-усиленной КТ в аксиальной проекции выявлены утолщение стенок тонкой кишки (указатели), тяжистое уплотнение брыжеечной жировой клетчатки и асцит. ШГ у мальчика 10 лет.
(а) При контрастно-усиленной КТ в аксиальной проекции выявлено сегментарное утолщение стенок тонкой кишки (стрелки).
(б) При рентгенографии тонкой кишки с пассажем бария отмечено сегментарное утолщение складок тонкой кишки (указатели). Волчаночный энтерит. При КТ с контрастированием в аксиальной проекции выявлены сегментарное утолщение стенок тонкой кишки и симптом «мишени» (стрелки).
Внутренний накапливающий контраст слой, средний гиподенсивный слой и наружный накапливающий контраст слой представляют собой гиперемированную слизистую оболочку, отечный подслизистый слой и гиперемированные мышечный и серозный слои, соответственно. Отмечено также тяжистое уплотнение жировой клетчатки (указатели). Волчаночный энтерит. При КТ с контрастированием в коронарной проекции выявлены сегментарное отечное утолщение петли тонкой кишки (стрелки) и застой в брыжеечный сосудах, проявляющийся симптомом «гребня» (указатели). Болезнь Бехчета у мужчины 54 лет.
(а) КТ с контрастированием, аксиальная проекция: сегментарное утолщение стенок терминального отдела подвздошной кишки и накопление в них контраста (указатели).
(б) КТ с контрастированием, коронарная проекция: утолщенные и накапливающие контраст стенки слепой кишки и терминального отдела подвздошной кишки (стрелки).
(в) При рентгенографии с применением бария отмечены множественные дефекты наполнения в терминальном отделе подвздошной кишки, обусловленные изъязвлениями (короткие стрелки), и разрушение илеоцекального клапана (длинная стрелка). Болезнь Бехчета у женщины 37 лет.
(а) КТ с контрастированием, аксиальная проекция: массивное утолщение стенки кишки в области илеоцекального клапана (стрелка).
(б) При рентгенографии с контрастированием выявлены массивный дефект наполнения с центральной язвой в области слепой кишки (длинная стрелка), изъязвления и утолщение стенки терминального отдела подвздошной кишки, а также разрушение илеоцекального клапана. Синдром Чарга-Стросса (васкулит мелких сосудов), проявляющийся болью в животе и лейкоцитозом.
(а) При контрастно-усиленной КТ в коронарной проекции визуализированы сегментарное утолщение стенки тонкой кишки с накоплением в ней контраста и тяжистое уплотнение брыжеечного жира (указатели). Также выявлен пневмоперитонеум (стрелки), что предполагает наличие перфорации кишки.
(б) На резецированном участке тонкой кишки обнаружены множественные изъязвления, эрозии и перфорация. При микроскопии образца установлен некротизирующий и гранулематозный васкулит с эозинофильной инфильтрацией, что соответствует синдрому Чарга-Стросса.
Васкулиты представляют собой группу заболеваний, которые характеризуются воспалением и некрозом стенок кровеносных сосудов. В широком смысле они представляют собой спектр заболеваний, приводящих к местной ишемии брыжейки.
Однако несмотря на то что патоморфологический исход васкулитов и тромбоэмболии сосудов кишечника схож, в клинической практике важно различать эти два заболевания, так как патофизиология, а в связи с этим и лечебная тактика при них различаются.
Васкулиты, как правило, классифицируют согласно размеру пораженных сосудов. Васкулиты крупных сосудов поражают аорту и ее основные ветви. Васкулиты, вовлекающие сосуды среднего калибра, поражают основные висцеральные артерии и их ветви, а васкулиты мелких сосудов — артериолы, венулы и капилляры (На et al., 2000).
а) Васкулиты, поражающие крупные артерии. Болезнь Такаясу — хронический гранулематозный васкулит, вовлекающий крупные артерии. Женщины болеют гораздо чаще, чем мужчины. Обычно поражение локализовано в дуге аорты, но могут быть вовлечены также брюшная аорта и мезентериальные ветви. Диагностика поражения мезентериальных артерий при болезни Такаясу основана на стандартной ангиографии, однако выявление изменений мезентериальных сосудов также возможно при проведении МСКТ с 3D-peконструкцией.
В верхней брыжеечной артерии могут быть выявлены утолщение стенки, стеноз и постстенотическое расширение, образование аневризмы, а также окклюзия с развитием коллатеральной циркуляции (На et al., 2000).
б) Васкулиты, поражающие артерии среднего калибра. Узелковый периартериит относят к васкулитам, поражающим артерии среднего калибра, и чаще всего вовлекает мезентериальные артерии. Это фибриноидный некротизирующий васкулит, приводящий к образованию множественных аневризм в местах ветвления артерий. Чаще всего в патологический процесс вовлекаются почки и почечные артерии (80-90% пациентов), за ними следуют сосуды тонкой кишки и брыжеечные сосуды (50-70%), печень, селезенка и поджелудочная железа.
Диагностика основана на выявлении с помощью стандартной или КТ-ангиографии аневризм диаметром до 1 см в области почечных, брыжеечных и печеночных сосудов. Однако эти проявления не патогномоничны и могут быть выявлены при других васкулитах, например при гранулематозе Вегенера или системной красной волчанке (На et al., 2000).
в) Васкулиты, поражающие мелкие сосуды:
1. Пурпура Шенлейна-Геноха (ПШГ). ПШГ — это васкулит мелких сосудов, преимущественно поражающий детей. Сначала появляются кожные проявления в виде петехиальной сыпи и пурпуры, а вовлечение желудочно-кишечного тракта приводит к болям в животе, вызванным ишемией и кровоизлияниями. Поскольку желудочно-кишечные кровоизлияния в основном ограничены слизистым и подслизистым слоями, трансмуральный некроз и перфорация кишечника возникают редко и обычно купируются самостоятельно. При КТ выявляют неспецифичные признаки, такие как утолщение стенки и складок, дилатация тонкой кишки, мезентериальная лимфаденопатия и застой в брыжеечных сосудах (На et al., 2000).
2. Системная красная волчанка (СКВ). СКВ — аутоиммунное заболевание с мульгиорганным поражением. Большинство пациентов составляют женщины детородного возраста. При этом заболевании может вовлекаться любой отдел желудочно-кишечного тракта, однако наиболее часто отмечают поражение зоны, кровоснабжаемой ВБА. Васкулит мелких сосудов приводит к ишемии, кровоизлияниям, кишечной непроходимости, изъязвлениям, инфаркту и перфорации. При КТ выявляют мультифокальное утолщение стенки кишки, отек, интрамуральные кровоизлияния, патологическое накопление в стенке контрастного вещества и застой в брыжеечных сосудах, проявляющийся симптомом «гребня» (На et al., 2000; Lalani et al., 2004). Проявления при ишемических энтеритах, ассоциированных с СКВ, неспецифичны и зависят от длительности ишемии (Lalani et al., 2004).
3. Болезнь Бехчета. Болезнь Бехчета — некротизирующий васкулит с мультисистемным вовлечением, для которого характерны возникновение язв орогенитальной локализации и увеит. У половины пациентов описано поражение желудочно-кишечного тракта. Чаще всего отмечают поражение илеоцекальной области и терминального отдела подвздошной кишки, где образуются обширные глубокие пенетрирующие язвы, которые могут приводить к таким осложнениям, как перфорация, свищи, кровотечение и перитонит.
Поражение илеоцекальной зоны имитирует болезнь Крона, а значительное утолщение стенки кишки и накопление в ней контрастного вещества напоминает проявления лимфомы тонкой кишки или новообразование. К КТ-признакам относят концентрическое утолщение стенки кишечника со значительным накоплением контрастного вещества и полиповидные образования. Наличие выраженного тяжистого уплотнения жировой клетчатки позволяет предположить развитие осложнения — микроперфорации местного перитонита (На et al., 1998).
1. К острой мезентериальной ишемии относят артериальную окклюзию, венозную окклюзию и неокклюзивную мезентериальную ишемию.
2. Стойкая мезентериальная артериальная недостаточность приводит к истончению стенки кишечника, слабому накоплению или отсутствию накопления контрастного вещества стенкой и наличию интрамурального воздуха или воздуха в портомезентериальной венозной системе.
3. Транзиторная артериальная недостаточность и нарушение венозного оттока приводят к утолщению стенки кишки и появлению симптома «мишени».
4. «Шоковый кишечник» — это подтип неокклюзивной мезентериальной ишемии, который возникает при гиповолемическом шоке. В слизистой оболочке кишечника выявляют интенсивное накопление контрастного вещества вследствие проникновения контрастного вещества в интерстиций.
5. При хронической мезентериальной ишемии функционирование тонкой кишки зависит от состояния коллатерального кровотока.
6. Лучевой энтерит — вид ишемических энтеритов, при котором выявляют неспецифическое утолщение стенки кишки в зоне облучения.
7. Васкулиты — это группа заболеваний, которые приводят к местной ишемии брыжейки и классифицируются по диаметру вовлеченных сосудов.
8. При болезни Бехчета чаще всего отмечают поражение слепой кишки и терминального отдела подвздошной кишки; выявляют их выраженное утолщение.
Читайте также:
