Рентгенограмма, КТ при завороте слепой кишки
Добавил пользователь Евгений Кузнецов Обновлено: 29.01.2026
Ренгенограмма, КТ при завороте сигмовидной кишки
а) Определение:
• Скручивание (торсия) сигмовидной кишки вокруг ее брыжеечной оси
б) Визуализация:
1. Общая характеристика:
• Лучший диагностический критерий:
о Дилатация сигмовидной кишки, принимающей вид перевернутой буквы U, отсутствие гаустр
• Локализация:
о По средней линии; в верхних отделах брюшной полости справа или слева; характерно также высокое стояние диафрагмы с правой или левой стороны
2. Рентгенография при завороте сигмовидной кишки:
• Рентгенография:
о Заворот сигмовидной кишки:
- Обнаруживается в 75% случаев
- Из-за сложения теней внутренних стенок сигмовидной кишки, направленных в область таза, возникает эффект «вертикальной плотной белой линии»
- Обструкция по типу «закрытой петли»: обструкция сегмента кишки в двух точках
- Газ в проксимальных отделах тонкой кишки и ободочной кишке, отсутствие газа в прямой кишке
- Газ в прямой кишке не визуализируется в положении лежа на животе и на латерограммах
- Сигмовидная кишка принимает вид перевернутой буквы U с отсутствием гаустр
- Симптом «северной стороны»: заворот сигмовидной кишки и ее дилатация; слепая кишка проецируется выше уровня поперечной ободочной кишки на рентгенограммах в положении лежа на спине
- Верхняя часть сигмовидной кишки располагается выше десятого грудного позвонка под левым куполом диафрагмы, направлена в сторону правого плеча
о Осложненный заворот:
- Дилатация сигмовидной кишки, находящейся по центру живота, с распространением в нижние отделы живота справа и растяжением тонкой кишки
- Медиальное смещение дистальных отделов левой половины ободочной кишки

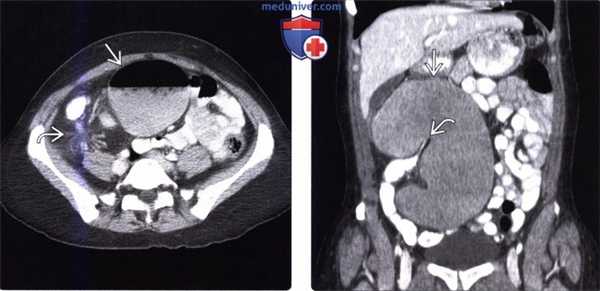
(Слева) На аксиальной КТ с контрастным усилением у мужчины 47 лет с жалобами на запор и отсутствие отхождения газов, у которого в течение шести дней сохранялось вздутие живота и боль, определяется заворот сигмовидной кишки в нижних отделах живота слева, при этом нисходящая петля перекрученной сигмовидной кишки имеет вид «клюва».
(Справа) На корональной КТ с контрастом у этого же пациента определяется характерное скручивание брыжейки на стороне заворота сигмовидной кишки.
3. Рентгеноскопия при завороте сигмовидной кишки:
• Ирригоскопия с водорастворимым контрастным веществом:
о Может также применяться ирригоскопия с бариевой взвесью с нетугим заполнением без баллонного растяжения
о Симптом «клюва»: ровное, концентрическое сужение (точка скручивания) ректосигмоидного отдела толстой кишки
о В области перекрута складки слизистой оболочки часто придают просвету кишки вид «штопора»
о При хроническом или периодически возникающем завороте можно наблюдать утолщение стенки в области перекрута
4. КТ при завороте сигмовидной кишки:
• КТ с контрастным усилением:
о Симптом «клюва»: постепенное коническое сужение просвета петель кишечника до и после заворота
о Симптом «водоворота»: тугой перекрут брыжейки и кишечника возле основания заворота
о Осложненный заворот: медиальное смещение дистальных отделов левой половины ободочной кишки, медиальный край которой принимает «заостренный» вид
5. Рекомендации по визуализации:
• Лучший метод диагностики:
о Рентгенография органов брюшной полости, ирригоскопия с водорастворимым контрастом, КТ:
- Рентгенограммы органов брюшной полости выполняются в положении пациента лежа на спине, лежа на животе; также выполняются латерограммы

(Слева) При рентгенографии выполненной мужчине 65 лет с жалобами на боль и вздутие живота, визуализируется увеличенная, растянутая сигмовидная кишка, выглядящая как перевернутая буква, «ножки» которой начинаются в проекции таза, что является характерным признаком заворота.
(Справа) На рентгенограмме в прямой проекции, полученной в положении лежа на спине во время ирригоскопии этому же пациенту, определяется сужение просвета кишки в виде «птичьего клюва». Такая конфигурация типична для заворота сигмовидной кишки.
в) Дифференциальная диагностика заворота сигмовидной кишки:
1. Острый илеус:
• Состояние после оперативного вмешательства, прием некоторых лекарственных препаратов, ишемия
• Дилатация толстой и тонкой кишки без точки перехода
• Уровни «жидкость-газ», отсутствие перистальтики
• Отсутствие обструкции толстой кишки
2. Функциональный мегаколон:
• Выраженный запор без причин органического характера
• Выраженная дилатация ободочной кишки, заполненной газом и каловыми массами; отсутствие гаустр
• Синдром Огилви: дилатация ободочной кишки при отсутствии обструкции
3. Токсический мегаколон:
• Дилатация поперечной ободочной кишки с отсутствием гаустр у пациента с доказанным язвенным или инфекционным колитом
• «Отпечатки пальцев», обусловленные отеком слизистой оболочки
• Изъязвление и отслойка слизистой оболочки
4. Обструкция дистальных отделов ободочной кишки:
• Изменение толщины кала на протяжении нескольких месяцев
• Заполнение газом петель кишечника, расположенных проксимальнее места обструкции, отсутствие газа в дистальных отделах кишечника
• Резкий переход между расширенным сегментом кишки и областью обструкции
• Злокачественные опухоли:
о Являются самой частой причиной обструкции ободочной кишки (55%)
о Обусловливают постепенное развитие симптоматики
о Слабость, снижение веса, отсутствие желания принимать пищу, ректальное кровотечение
о Сужение просвета в виде «огрызка яблока», деструкция слизистой оболочки
о Положительная проба на скрытую кровь крайне подозрительна на рак ободочной кишки
• Вторичная стриктура на фоне дивертикулита:
о Вторая по частоте причина обструкции ободочной кишки (12%)
о В анамнезе пациента имеются упоминания о повторяющихся эпизодах дивертикулита
о Имеются другие дивертикулы
о Имеются признаки дивертикулита (инфильтрация жировой клетчатки брыжейки ободочной кишки, наличие внепросветных включений газа или жидкости)

(Справа) На «разметочной» цифровой рентгенограмме, полученной в положении лежа на спине в передне-задней проекции у мужчины 89 лет, длительное время находящемся в доме престарелых, которого в течение двух последних дней беспокоила сильная боль в животе в сочетании со значительным его вздутием, определяется выраженная дилатация сигмовидной кишки, а также восходящей и нисходящей ободочной кишки. Обратите внимание на плотно прилежащие друг к другу стенки сигмовидной кишки.
(Справа) На аксиальной КТ с контрастным усилением определяется симптом «птичьего клюва», обусловленный заворотом сигмовидной кишки и выраженным ее расширением.
г) Патология:
1. Общая характеристика заворота сигмовидной кишки:
• Этиология:
о Основные предрасполагающие факторы:
- Диета: увеличение потребления пищевых волокон — увеличение количества каловых масс, удлинение и расширение ободочной кишки
- Хронические запоры, нарушение сознания, обусловленное приемом некоторых лекарственных препаратов → растяжение кишечника и заполнение его просвета газом
о Осложненный заворот (подвздошно-сигмовидный узел):
- Возникает при усилении перистальтики подвздошной кишки, которая оборачивается вокруг ободочной кишки, сдавливая ее
о Этиология заворота у детей:
- Нарушение поворота и другие аномалии прикрепления брыжейки
- Запор (задержка умственного развития, болезнь Гиршпрунга, кистозный фиброз, аэрофагия)
• Ассоциированные патологические изменения:
о Коморбидные состояния: психические заболевания (30%); в 13% случаев заворот сигмовидной кишки возникает у пациентов, находящихся в стационаре, доме престарелых, лечебницах и т.д.
2. Макроскопические и хирургические особенности:
• Выраженная дилатация сигмовидной кишки с наличием туго скрученного сегмента
3. Микроскопия:
• Утолщение складок слизистой оболочки на ограниченном участке, изменения некротического и ишемического характера
д) Клинические особенности:
1. Проявления заворота сигмовидной кишки:
• Наиболее частые признаки/симптомы:
о Начало заболевания острое либо постепенное о Боль в животе (менее чем в 33%), тошнота, вздутие живота, запоры
о Осложненный заворот:
- Характеризуется более быстрым повреждением кишечника, чем при других вариантах заворота толстой кишки
- Болевая симптоматика выражена непропорционально клиническим изменениям; полная констипация
о Окончательный диагноз устанавливается на основании рентгеновского исследования в 75% случаев
2. Демография:
• Возраст:
о 60-80 лет
• Эпидемиология:
о Заворот - третья по частоте причина обструкции ободочной кишки (10%)
о Заворот сигмовидной кишки составляет 60-75% от всех случаев заворота ободочной кишки
о Является причиной кишечной обструкции в 1-2% случаев в США
о Заболеваемость выше у пожилых людей, пациентов, находящихся в домах престарелых и/или психиатрических лечебницах (вследствие запоров и нарушения сознания)
о Высокая заболеваемость наблюдается также в странах Южной Америки и Африки из-за употребления пищи с большим содержанием волокон
3. Течение и прогноз:
• Осложнения:
о Обструкция по типу «закрытой петли», странгуляция
о Ишемия, некроз (1 5-20%), перфорация
о Подвздошно-сигмовидный узел, приводящий к странгуляции и гангрене тонкой кишки в течение нескольких часов
• Прогноз:
о При неосложненном завороте: благоприятный
о При возникновении осложнений: неблагоприятный
о После оперативного лечения рецидив происходит в 40-50% случаев
о Степень ротации соотносится с вероятностью нехирургической декомпрессии: 180° (35%), 360° (50%), 540° (10%):
- Заворот более чем на 360° самостоятельно не разрешается
о После консервативной и оперативной редукции рецидив возникает в 3% случаев
4. Лечение заворота сигмовидной кишки:
• Нехирургическое:
о Декомпрессия сигмовидной кишки при эндоскопическом вмешательстве, возможна стабилизация при помощи установки дренирующей трубки через прямую кишку
о Коэффициент эффективности составляет 70-80%
• Сочетание хирургических и нехирургических методов:
о Декомпрессия, механическое очищение, а также резекция сигмовидной кишки (в плановом порядке)
• При возникновении осложнений:
о Экстренное оперативное вмешательство (резекция ободочной кишки)
е) Диагностическая памятка:
1. Следует учесть:
• Другие состояния, проявляющиеся симптоматикой «острого живота»; нужно также исключить иные причины обструкции кишечника
2. Советы по интерпретации изображений:
• Дилатация сигмовидной кишки, принимающей вид перевернутой буквы U, отсутствие гаустр; симптом «водоворота», «северной стороны»
Рентгенограмма, КТ при завороте слепой кишки
а) Терминология:
1. Синонимы:
• Заворот (вольвулюс) слепой и части восходящей ободочной кишки
2. Определения:
• Заворот слепой кишки: скручивание (ротация) правых отделов толстой кишки вокруг своей оси, приводящее к прогрессивному ее расширению и возможным ишемическим изменениям
• Пликативная дислокация слепой кишки (cecal bascule):
о Растяжение слепой кишки с сужением просвета, обусловленное ее смещением и угловой деформацией при отсутствии заворота
1. Общая характеристика:
• Лучший диагностический критерий:
о Выраженная дилатация слепой кишки, которая выглядит «перевернутой» и направленной кзади; смещение илео-цекального клапана кнаружи
2. Рентгенологические данные заворота слепой кишки:
• Рентгенография:
о Слепая кишка раздута, заполнена газом, визуализируется в проекции верхних отделов живота слева или по средней линии
о На рентгенограммах в положении пациента стоя или на латерограммах определяется протяженный единичный уровень «жидкость-газ»
о Илеоцекальный клапан направлен кнаружи
о Тонкая кишка заполнена жидкостью либо содержит небольшое количество газа, минимальный объем которого также может обнаруживаться в дистальных отделах ободочной кишки
3. Рентгеноскопия заворота слепой кишки:
• Ирригоскопия с водорастворимым контрастным веществом: сужение просвета в средних отделах восходящей ободочной кишки в точке скручивания (симптом птичьего «клюва»)

(Слева) На рисунке показано скручивание (заворот) В восходящей ободочной кишки, что привело к обструкции просвета и нарушению кровообращения. Слепая кишка В расширена и вместе с брыжейкой смещена влево и кверху.
(Справа) На рентгенограмме в положении пациента лежа на спине визуализируется растянутая газом слепая кишка, находящаяся по центру живота. Основание слепой кишки направлено кверху, а илеоцекальный клапан направлен в латеральную сторону. Тонкая кишка растянута с наличием газа, в то время как левая половина ободочной кишки находится в относительно спавшемся состоянии.
4. КТ при завороте слепой кишки:
• КТ с контрастным усилением:
о Выраженная дилатация восходящей ободочной кишки с наличием уровня «жидкость-газ»
о Слепая кишка выглядит «перевернутой» и смещенной кзади
о Илеоцекальный клапан визуализируется с латеральной стороны
о Симптом «водоворота»: тугое скручивание стенок восходящей ободочной кишки и подвздошно-ободочных брыжеечных сосудов
о Дилатация тонкой кишки:
- При этом поперечная ободочная и нисходящая ободочная кишка находятся в спавшемся состоянии
5. Рекомендации по визуализации:
• Лучший метод диагностики:
о КТ в аксиальной и корональной плоскости

(Слева) На аксиальной КТ у этого же пациента определяется выраженное растяжение слепой кишки и симптом «водоворота» со стороны илеоцекальной брыжейки в нижних отделах живота справа.
(Справа) На корональной КТ в этом же случае визуализируется в значительной степени расширенная слепая кишка, расположенная по средней линии В. Слепая кишка развернута книзу и кзади, в то время как илеоцекальный клапан В направлен латерально. КТ с реформацией в корональной плоскости является наиболее достоверным методом диагностики, позволяющим обнаружить характерные признаки заворота слепой кишки.
в) Дифференциальная диагностика заворота слепой кишки:
1. Заворот сигмовидной кишки:
• Дилатация сигмовидной кишки, принимающей вид перевернутой буквы U, отсутствие гаустр
• Накладывающиеся друг на друга стенки петли сигмовидной кишки создают вид «перемычки» посередине «кофейного зерна»
2. Острый илеус:
• Дилатация ободочной кишки вплоть до прямой с сохранением рисунка гаустр
3. Обструкция дистальных отделов ободочной кишки:
• Газ и каловые массы в кишечнике проксимальнее точки обструкции
4. Токсический мегаколон:
• Выраженное расширение поперечной ободочной кишки с исчезновением гаустр
5. Синдром Огилви:
• Псевдообструкция ободочной кишки при отсутствии механических причин
1. Общая характеристика:
• Этиология:
о Эмбриогенез/особенности анатомии:
- Неполное слияние правой части ободочной кишки и заднего париетального листка брюшины
о Слабость связочного аппарата после родов, гипермобильность слепой кишки
о Повреждение связок брюшины в результате оперативных вмешательств
о Хронический запор, использование слабительных средств
о Расширение просвета ободочной кишки (псевдообструкция, опухоли дистальных отделов, илеус после оперативного вмешательства; последствия эндоскопических процедур, клизмы):
- Существует множество причин расширения просвета ободочной кишки, однако заворот возникает только в случае ослабления связочного аппарата
• Ассоциированные патологические изменения:
о Нарушение поворота, удлинение брыжейки
2. Макроскопические и хирургические особенности:
• Заворот слепой и восходящей ободочной кишки в сочетании с выраженной дилатацией
3. Микроскопия:
• Ишемические и некротические изменения слизистой оболочки на ограниченном участке
1. Проявления:
• Наиболее частые признаки/симптомы:
о Острое/постепенное начало; боль в животе, метеоризм, рвота
2. Демография:
• Эпидемиология:
о Заворот слепой кишки составляет 1/3 всех случаев заворота ободочной кишки
о Наблюдается в 2-3% случаев обструкции ободочной кишки
3. Течение и прогноз:
• Осложнения: ишемия, некроз, перфорация слепой кишки
• Прогноз: благоприятный при отсутствии осложнений, при осложненном течении - неблагоприятный
4. Лечение заворота слепой кишки:
• Колоноскопия с целью устранения заворота, оперативное вмешательство для предотвращения рецидива
е) Диагностическая памятка:
1. Следует учесть:
• Исключить илеус и синдром Огилви
2. Советы по интерпретации изображений:
• Выраженная дилатация слепой кишки, выглядящей перевернутой и смещенной кзади; илеоцекальный клапан повернут кнаружи
ж) Список использованной литературы:
1. Halabi WJ et al: Colonic volvulus in the United States: trends, outcomes, and predictors of mortality. Ann Surg. 259(2):293-301, 2014
2. Heller MT et al: MDCT of acute cecal conditions. Emerg Radiol. 21(1):75-82, 2014
Лучевая диагностика заворота слепой кишки
а) Терминология:
• Заворот слепой кишки: скручивание (ротация) правых отделов толстой кишки вокруг своей оси, приводящее к прогрессивному ее расширению и возможным ишемическим изменениям
• Пликативная дислокация слепой кишки (cecal bascule):
о Растяжение слепой кишки с сужением ее просвета, обусловленное ее смещением и угловой деформацией при отсутствии заворота
б) Визуализация заворота слепой кишки:
• Рентгенография: расширение слепой кишки, заполненной газом кишки, находящейся в верхнем левом квадранте живота либо по средней линии:
о На рентгенограммах в положении пациента стоя либо на латерограммах в положении лежа может обнаруживаться единичный протяженный уровень «жидкость-газ»
о Тонкая кишка заполнена жидкостью, содержит небольшое количество газа, малый объем которого также обнаруживается в дистальных отделах ободочной кишки
о Слепая кишка в значительной степени растянута, выглядит перевернутой, направленной кзади, в то время как илеоцекальный клапан смещен кнаружи
• Дополнительные КТ признаки:
о Симптом «водоворота»: «тугое» скручивание стенок толстой кишки, подвздошных и ободочных брыжеечных сосудов
• Лучший метод диагностики: КТ в аксиальной и корональной плоскости
(Слева) На рисунке показано скручивание (заворот) В восходящей ободочной кишки, что привело к обструкции просвета и нарушению кровообращения. Слепая кишка В расширена и вместе с брыжейкой смещена влево и кверху.
(Справа) На рентгенограмме в положении пациента лежа на спине визуализируется растянутая газом слепая кишка, находящаяся по центру живота. Основание слепой кишки направлено кверху, а илеоцекальный клапан направлен в латеральную сторону. Тонкая кишка растянута с наличием газа, в то время как левая половина ободочной кишки находится в относительно спавшемся состоянии. (Слева) На аксиальной КТ у этого же пациента определяется выраженное растяжение слепой кишки и симптом «водоворота» со стороны илеоцекальной брыжейки в нижних отделах живота справа.
(Справа) На корональной КТ в этом же случае визуализируется в значительной степени расширенная слепая кишка, расположенная по средней линии В. Слепая кишка развернута книзу и кзади, в то время как илеоцекальный клапан В направлен латерально. КТ с реформацией в корональной плоскости является наиболее достоверным методом диагностики, позволяющим обнаружить характерные признаки заворота слепой кишки.
в) Дифференциальная диагностика:
• Заворот сигмовидной кишки
• Острый илеус
• Обструкция дистальных отделов ободочной кишки
• Синдром Огилви
г) Патология:
• Эмбриогенез/особенности анатомии:
о Неполное слияние правой половины толстой кишки с задними отделами брюшины
• К дилатации ободочной кишки приводит множество причин, однако заворот возникает лишь при слабости связочного аппарата
д) Клинические особенности:
• Заворот слепой кишки составляет 1/3 всех случаев заворота толстой кишки
• Осложнения: ишемия, некроз, перфорация
• Лечение: колоноскопия, устранения заворота; оперативное вмешательство с целью предотвращения рецидива
Заворот кишок (K56.2)
Примечание
В данную подрубрику включены:
- странгуляция ободочной или тонкой кишки;
Из данной подрубрики исключены:
- "Непроходимость двенадцатиперстной кишки" - K31.5
- "Врожденные аномалии фиксации кишечника" - Q43.3
- "Другая уточненная непроходимость кишечника у новорожденного" - P76.8
- "Непроходимость кишечника у новорожденного неуточненная" - P76.9

Автоматизация клиники: быстро и недорого!
- Подключено 300 клиник из 4 стран
- 800 RUB / 4500 KZT / 27 BYN - 1 рабочее место в месяц

Автоматизация клиники: быстро и недорого!
- Подключено 300 клиник из 4 стран
- 1 место - 800 RUB / 4500 KZT / 27 BYN в месяц
Мне интересно! Свяжитесь со мной
13-15 октября, Алматы, "Атакент"
600 брендов, более 150 компаний-участников из 20 стран.
Новинки рынка стоматологии. Цены от производителей
Классификация
Этиология и патогенез
Возникновение заворота в значительной степени связано со следующими факторами:
- состояние брыжейки и особенности ее прикрепления;
- наличие рубцовых изменений, которые обуславливают сближение между собой кишечных петель и удлинение участка кишки и брыжейки вследствие застоя и растяжения;
- фиксация петель кишечника и брыжейки спайками.
Поворот петли происходит вокруг оси брыжейки и при ее достаточной длине. Степень перекрута различна - от 90° до одного-двух полных оборотов. Чем сильнее перекручивание, тем больше нарушаются проходимость петли и ее питание.
Способствующие завороту кишок факторы:
- повышение внутрибрюшного давления при физическом напряжении (поднятие тяжестей);
- усиление перистальтики при переполнении кишечника неудобоваримой пищей в больших объемах, особенно после длительного голодания;
- запоры.
Наиболее часто встречаются завороты тонкой, сигмовидной и слепой кишок.
Тонкий кишечник
Практически все завороты тонкой кишки связаны с врожденными аномалиями. Основная из не связанных с врожденными аномалиями причин - приобретенные спайки брюшной полости.
Заворот тонкой кишки чаще происходит по ходу часовой стрелки. Длина вовлеченных в процесс кишечных петель различна. Возможен и тотальный заворот тонкой кишки.
- спайки;
- беременность;
- объемные образования в малом тазу;
- состояния после оперативного вмешательства на кишечнике;
- применение препаратов, влияющих на моторику кишечника.
Заворот кишок может развиваться в любой части толстой кишки. Наиболее часто развивается в сигмовидной кишке из-за особенностей анатомии брыжейки. Реже заворот кишок встречается в правом отделе толстой кишки и терминальном отделе подвздошной кишки или только в слепой кишке. В редких случаях может развиться заворот поперечно-ободочной кишки или толстой кишки в области селезеночного изгиба.
Полный заворот приводит к развитию замкнутой обструкции пострадавших сегментов кишечника. Увеличение дилатации петли кишечника вызывает нарушения кровоснабжения кишечника. В конечном итоге все это приводит к ишемии, гангрене и перфорации кишечной стенки.
Эпидемиология
Возраст: преимущественно зрелый и пожилой
Признак распространенности: Распространено
Соотношение полов(м/ж): 2
Локализация. Наиболее распространены завороты толстого кишечника:
- сигмовидной кишки - 80%;
- слепой кишки - 15%;
- поперечно-ободочной кишки - 3%;
- заворот в области селезеночного изгиба - 2%.
Возраст
Заворот сигмовидной кишки характерен для людей зрелого и пожилого возраста (средний возраст - 60 лет). Заболеваемость увеличивается с возрастом.
Заворот слепой кишки развивается в более молодом возрасте. Средний возраст возникновения - 50 лет. В отдельных регионах средний возраст возникновения заболевания значительно моложе (например, в Индии - 33 года).
В детском возрасте заворот толстого кишечника и слепой кишки является редкостью. Преобладающими в детском возрасте являются завороты тонкого кишечника, связанные с врожденной патологией и рассматривающиеся в отдельной подрубрике. Приобретенные завороты кишечника у детей считаются редкостью.
Пол. В разных возрастных группах и разных регионах соотношение полов различно. По усредненным оценкам преобладают мужчины, однако заворот слепой кишки встречается немного чаще у женщин.
Раса. Данные противоречивы. По общему мнению, лица африканской расы болеют в 2 раза чаще.
Другие условия
После спаек, заворот сигмовидной кишки является второй наиболее распространенной причиной непроходимости кишечника во время беременности (25-44% всех случаев). Предполагается, что во время беременности увеличенная матка может смещать сигмовидную кишку, что иногда приводит к скручиванию толстой кишки. В результате большинство (75%) случаев заворота у беременных происходит в течение третьего триместра.
Пациенты домов престарелых и психоневрологических клиник составляют значительную долю пациентов с заворотом толстого кишечника.
Факторы и группы риска
Заворот тонкой кишки (как правило, ассоциирован с врожденной патологией):
- врожденные аномалии развития;
- спаечные процессы в брюшной полости;
- внутренние грыжи брюшной полости
Заворот слепой кишки (преимущественно ассоциирован с врожденными аномалиями):
- аномально удлиненная брыжейка;
- хирургические операции на слепой кишке с ее мобилизацией;
- аппендицит с образованием спаек;
- колоноскопия Колоноскопия - метод исследования внутренней поверхности толстой кишки, основанный на ее осмотре с помощью колоноскопа.
;
- объемные образования органов малого таза и брюшной полости.
Клиническая картина
Клинические критерии диагностики
рвота; вздутие живота; запор; ассиметрия живота; каловая рвота; отсутствие симптомов раздражения брюшины; пальпируемое образование в проекции кишечника; шум плеска; тимпанит при перкуссии живота; дегидратация; тахикардия; боль в животе; усиление перистальтики
Cимптомы, течение
Типично острое начало. Появляется интенсивная боль в брюшной полости. Боль может иметь различную локализацию: эпигастральная или пупочная область, правая половина, нижние отделы живота.
Вслед за болью возникает рефлекторная рвота съеденной накануне пищей. Затем рвота становится частой и обильной, рвотные массы представлены застойным кишечным содержимым. На поздних стадиях заворота рвота приобретает каловый характер.
При тонкокишечном завороте всегда присутствует задержка стула и газов. В некоторых случаях в первые часы заболевания может наблюдаться акт дефекации за счет содержимого дистального отдела кишечника.
Больные находятся в тяжелом состоянии, которое прогрессивно ухудшается. Язык сухой и обложеный налетом грязного цвета.
При пальпации в начале заворота живот безболезнен и не вздут. У худощавых больных иногда удается прощупать узловатый конгломерат петель кишечника.
Заворот сигмовидной кишки
1. Остро протекающая форма:
- внезапная интенсивная схваткообразная боль с локализацией в левой половине живота;
- рвота;
- нередко - коллапс;
- быстрое развитие некроза кишечных петель с нарастанием перитонита.
2. Подостро прогрессирующая форма. Имеет постепенное начало и более легкое течение. Больные с данной формой поступают в больницу спустя 3-4 дня после появления симптомов. Как правило, в анамнезе у 50% пациентов уже наблюдались подобные приступы боли. Рвота возникает поздно. Живот вздут. При перкусии выявляется тимпанит Тимпанит (перкуторный звук тимпанический) - громкий, средней высоты или высокий перкуторный звук, возникающий при перкуссии над полым органом или полостью, содержащей воздух
. Ампула прямой кишки пуста и расширена.
Наряду с общими симптомами кишечной непроходимости, при завороте сигмовидной кишки присутствуют следующие типичные признаки:
При завороте слепой кишки длительность периода от возникновения симптомов до поступления в больницу может колебаться от 2 часов до 10 дней, (в среднем 2 дня).
Примечание. При любом виде заворота симптоматология, особенно в начале заболевания, зависит от быстроты наступления заворота.
Диагностика
Визуализация играет решающую роль в диагностике и дифференциальной диагностике заворота кишок.
1. Обзорная рентгенография.
1.1 Заворот сигмовидной кишки. На обзорной рентгенограмме брюшной полости выявляют резко увеличенную в объеме сигмовидную кишку, доходящую до диафрагмы, с двумя уровнями жидкости: одним в проксимальном конце непроходимой кишки, другим - в дистальном.
2.1 Заворот сигмовидной кишки. Место заворота имеет вид "клюва" ("пикового туза"), над которым определяется значительно расширенная петля сигмы. При ориентации “клюва” в правую сторону присутствует заворот по ходу часовой стрелки, влево - в обратном направлении.
2.2 Заворот слепой кишки. Во время ирригографии барий проходит только до середины восходящей ободочной кишки.
3. Оральное контрастирование (применяется только при подозрении на непроходимость тонкого кишечника):
- препятствие прохождению контраста;
- раздувшиеся петли тонкого кишечника;
- понижение наполнения толстого кишечника.
4. Компьютерная томография - "золотой стандарт" диагностики. Исследование особенно полезно при завороте слепой и тонкой кишок. При завороте возможно выявление специфического признака "знак бури" (спираль), расширение кишки, отек брыжейки, утолщение стенки кишки.
Диагностика заворота у беременных
При появлении болей в верхней части живота у беременных (вне зависимости от срока беременности) рекомендуется начинать обследование с УЗИ. При завороте, несмотря на затрудненное исследование газосодержащих органов, УЗИ может выявить раздутые петли кишечника, выпот в брюшной полости и др. признаки заболевания.
Диагностическая лапароскопия - высокоинформативный метод диагностики при кишечной непроходимости в I триместре беременности и в послеродовом периоде. Начиная со II триместра, использование метода затруднено вследствие увеличенных размеров матки и негативного влияния наркотических средств на плод.
Проведение колоноскопии нежелательно из-за возможного развития угрозы прерывания беременности.
Рентгенологические методы исследования противопоказаны при беременности и могут проводиться только в случае крайней необходимости, при подозрении на острую кишечную непроходимость и сроке беременности больше 13 недель (обзорная рентгенография брюшной полости).
Лабораторная диагностика
Не существует специфических лабораторных тестов, подтверждающих диагноз заворота кишок. Тем не менее надлежащие анализы должны быть выполнены для диагностики осложнений (некроз кишечника) и дифференциальной диагностики.
1. Общий анализ крови:
- умеренный лейкоцитоз;
- повышение СОЭ.
Значительное повышение этих показателей указывает на некроз кишечника. Повышение гематокрита может быть связано с рвотой.
3. Печеночные пробы: амилаза и липаза, как правило, в норме.
4. Анализ кала: иногда выявляется примесь крови в стуле (признак некроза слизистой).
Дифференциальный диагноз
Заворот тонкой кишки, если он не связан со спайками брюшной полости и опухолями, почти всегда связан с аномалиями развития. Дополнительно тонкокишечную непроходимость могут вызвать дивертикулы , опухоль, камни тонкого кишечника, спайки.
Заворот сигмовидной кишки. Дифференциальный диагноз включает рак толстой кишки, дивертикулит, брыжеечную ишемию и другие виды непроходимости кишечника.
Заворот слепой кишки обычно встречается в молодом возрасте и поэтому наиболее часто его приходится отличать от аппендицита, разрыва кисты яичника, инфекции мочевыводящих путей, дивертикулита, воспалительных заболеваний кишечника и непроходимости кишечника другой этиологии.
Решающую роль в дифференциальной диагностике, как и в установке диагноза, играют методы визуализации.
Осложнения
Прочие осложнения при хронической, неполной непроходимости:
- кисты брыжейки и хилезный асцит;
- спайки и стенозы кишечника.
Лечение
4. Контроль сопутствующей патологии.
5. Поскольку давление на нижнюю полую вену может привести к нарушению венозного возврата, пациент должен находиться в положении на левом боку (для улучшения венозного возврата).
6. Катетер Фолея для контроля диуреза .
При завороте тонкой кишки показано только хирургическое вмешательство – расправление заворота.
Если перитонит отсутствует, нежизнеспособные кишечные петли резецируются и формируется межкишечный анастомоз .
При наличии перитонита накладывается двуствольная илеостома с восстановлением целостности кишечника через 2-3 месяца.
Показания к хирургическому вмешательству:
- острая форма заворота сигмовидной кишки;
- неэффективность консервативных мероприятий при подостро прогрессирующей форме заворота.
При жизнеспособности сигмы применяются паллиативные и радикальные операции.
Паллиативные вмешательства: расправление заворота, реторсия в сочетании с мезосигмопликацией или сигмопексией.
Сигмопексии:
- подшивание кишки к париетальной брюшине;
- фиксация брыжейки кишки к париетальной брюшине;
- помещение сигмовидной кишки под выкроенный лоскут париетальной брюшины или в карман в предбрюшинном пространстве.
Данные операции характеризуются высоким процентом рецидивов.
Радикальные операции предполагают выполнение резекции сигмовидной кишки с первичным анастомозом "конец в конец", "конец в бок".
Резекция сигмы с первичным анастомозом редко применяется в случае заворота сигмы, осложненного гангреной. Это связано с высокой опасностью несостоятельности швов вследствие имеющегося нарушения микроциркуляции в стенке кишки.
Наиболее часто применяется операция Гартмана: резекция нежизнеспособного участка сигмы с ушиванием ее дистального конца и выведением проксимального противоестественного заднепроходного отверстия. После улучшения состояния больного (в среднем через 3 месяца) на втором этапе операции кишечный свищ закрывается.
Послеоперационное лечение:
- инфузионная терапия;
- антибактериальная терапия.
Возможные послеоперационные осложнения:

Схема выбора метода лечения при завороте кишки
Прогноз
Рецидивы. Частота рецидивов после эндоскопической декомпресии составляет до 50%.
Госпитализация
Профилактика
1. Профилактика запоров:
- контроль применения психотропных, слабительных и иных фармакологических препаратов, влияющих на моторику желудочно-кишечного тракта;
- ограничение в питании чрезмерного количества грубой клетчатки.
Заворот кишечника

array(6) < ["ID"]=>string(5) "30063" ["WIDTH"]=> int(620) ["HEIGHT"]=> int(510) ["SRC"]=> string(86) "/upload/sprint.editor/610/img-1658586165-8955-294-5c96c500e41f1d29e92a5a562a0b9c90.jpg" ["ORIGIN_SRC"]=> string(86) "/upload/sprint.editor/610/img-1658586165-8955-294-5c96c500e41f1d29e92a5a562a0b9c90.jpg" ["DESCRIPTION"]=> string(0) "" >
Кишечная непроходимость – это патологическое состояние, ведущее к нарушению пассажа пищевого комка по кишечнику, расстройству кровообращения, интоксикации организма, а при неблагоприятном исходе к омертвению и перфорации участков кишечной стенки и гибели человека.
Одна из причин непроходимости – заворот кишечника – ситуация, когда часть толстой или тонкой кишки перекручивается вокруг собственной оси или вокруг оси брыжейки. Места перекрута становятся зажимом не только для пищевой массы, но и для нервных волокон, кровеносных и лимфатических сосудов.
Причины заворота кишок и факторы риска
Чтобы произошел поворот, должны возникнуть нетипичные, форс-мажорные обстоятельства. Это могут быть внутренние и внешние причины:
- физические: травма живота, удар об воду, резкий поворот тела, вынужденная непривычная поза, сдавление, сотрясение, подъем тяжестей;
- пищевые: переедание, особенно после длительного голодания, употребление незнакомой экзотической пищи, большое количество труднопереваримой клетчатки в рационе, продолжительный голод;
- органические: спаечные процессы, пупочная грыжа, новообразования, нарушение иннервации кишечника вследствие поражения центральной нервной системы, беременность;
- химические: отравление свинцом или лекарственными препаратами.
При анализе данных о пациентах были выявлены факторы, увеличивающие вероятность возникновения перекручивания кишок:
- возраст старше 55 лет (заворот сигмовидной кишки часто возникает у пациентов старше 60 лет, ободочной и слепой кишки – после 50 лет);
- регулярные запоры или поносы;
- малоподвижный образ жизни;
- тяжелый физический труд;
- фанатичная приверженность различным системам голодания для похудения, нерегулярное питание;
- переедание, особенно перед сном.
Основные симптомы
Заворот кишечника – состояние опасное для здоровья и жизни, поэтому при первых же признаках недомогания следует обращаться за врачебной помощью.
Симптомы по степени их появления и нарастания:
острая, схваткообразная боль в животе
в течение суток боль становится постоянной и труднопереносимой, может дойти до состояния шока
асимметрия контуров живота, вздутие
тошнота,многократная рвота (может быть с желчью, а в тяжелых случаях с запахом или примесью кала)
слабость, бледность, низкое артериальное давление, учащенный пульс
головная боль, головокружение, возможно спутанное сознание (и другие признаки интоксикации)
обезвоживание (сухие и потрескавшиеся губы, вязкая слюна, тусклая кожа)
Патология развивается быстро и состояние больного стремительно ухудшается. Человек погибнет в течение 2–3 суток, если не будет оказана экстренная медицинская помощь.

Оставьте заявку и наши врачи ответят на все ваши вопросы!
Как развивается заболевание
При полном перекрытии просвета кишки пищевые массы и газы не могут выйти естественным путем. Кишечник сокращается, пытается продвинуть содержимое, но не может. Возникают острые приступообразные боли. Накапливается газ и продукты распада, отравляется нервная система. Зажатый участок кишки начинает раздуваться от брожения (отсюда постоянная сильная боль и визуальное увеличение живота). Нарушается кровоток и передача нервного импульса.
Прекращается перистальтика. Поскольку нет кровоснабжения, ткань не получает кислород и гибнет. Образуются зоны омертвения. Стенка кишечника разъедается, разрывается, и содержимое патологического очага – изливается в брюшную полость, нарушая внутреннее равновесие в брюшине и обсеменяя все органы бактериями, вызывая воспаление (перитонит).



Врач-хирург Юсуповской больницы проводит визуальный, мануальный и инструментальный осмотр, собирает анамнез и направляет на дальнейшее обследование.

array(6) < ["ID"]=>string(5) "30070" ["WIDTH"]=> int(620) ["HEIGHT"]=> int(480) ["SRC"]=> string(86) "/upload/sprint.editor/ab5/img-1658586783-9891-583-401ab96fbda1d27d061799d958010d0b.jpg" ["ORIGIN_SRC"]=> string(86) "/upload/sprint.editor/ab5/img-1658586783-9891-583-401ab96fbda1d27d061799d958010d0b.jpg" ["DESCRIPTION"]=> string(0) "" >
Подтвердить или опровергнуть кишечную непроходимость по причине заворота кишечника можно при помощи:
- рентген контрастного исследования с барием;
- ультразвуковой диагностики;
- эндоскопии;
- лапароскопии;
- лабораторной диагностики.
Специализированных лабораторных тестов нет, но общий анализ и биохимия крови могут показать глубину интоксикации и воспалительного процесса.
Поскольку состояние пациента при кишечной непроходимости быстро ухудшается, применяется только хирургическое лечение заворота кишок. Операция полостная, хирург вручную расправляет образовавшуюся петлю кишечника; в зависимости от стадии развития процесса иссекает зоны поражения или весь раздувшийся участок; возвращает функциональное состояние.
заворот кишок операция
Для успешного лечения и восстановления после операции врачами Юсуповской больницы применяется назоинтестинальный зонд. Он вводится во время операции, после всех основных хирургических манипуляций. Зонд пропускается через пищевод и желудок в оперированный отдел кишечника и находится там до восстановления иннервации, моторики и кровообращения, поддерживая правильное положение и свободный просвет кишки. Под наблюдением врача извлекается через 3–7 дней.
Медикаментозное лечение носит симптоматический характер: обезболивание, снятие спазмов и позывов к рвоте, восстановление водно-солевого баланса.
В терапевтических целях используются и сифонные клизмы.




Заворот кишок может повторяться, поэтому следует неукоснительно выполнять рекомендации лечащего врача, особенно на стадии реабилитации. Придерживаться назначенной диеты и физических нагрузок.
Любая внутрибрюшная операция может послужить причиной образования спаек. Поэтому, помимо соблюдения режима питания и активности, нужно периодически проходить профилактические медицинские осмотры и своевременно обращаться к врачу.
При завороте кишечника счет идет на часы, поэтому, чем раньше пациент обратиться за медицинской помощью, тем меньше необратимых процессов произойдет и легче будет устранить болезнь. Попытки прибегнуть к самолечению в этой ситуации бесполезны и опасны, они могут усугубить состояние и привести к смерти.
В Юсуповской больнице есть все возможности для проведения экстренной диагностики и лечения, а также для комфортного восстановления здоровья пациентов.
Читайте также:
