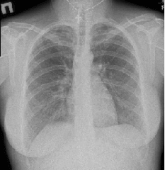
Рентгенограмма, МРТ позвоночника при кифозе
Добавил пользователь Евгений Кузнецов Обновлено: 14.12.2025
Первый метод, который предложат врачи для обследования позвоночника – рентген. Информативный, быстрый, безболезненный, доступная цена рентгенографии грудного отдела позвоночника – все это применимо к этому методу диагностики. На рентгеновских снимках будут видны строение и особенности позвоночного столба у пациента, искривления и другие деформации, травмы и различные заболевания. Чтобы обследовать состояние определенного отдела позвоночника нет необходимости делать снимок всего позвоночного столба. Лечебно-диагностический центр «Кутузовский» предлагает большой перечень рентгенографических исследований, в том числе и рентген грудного отдела позвоночника. Исследование проводится на современном цифровом рентген-аппарате BrivoXR575Premium, который гарантирует изображение высокого качества, высокую информативность и малую дозу облучения. Процедуру проводят врачи-рентгенологи с опытом работу больше 20 лет – в правильности результата можно не сомневаться!
Что покажет рентгенография грудного отдела позвоночника
Исследование дает возможность оценить:
- Анатомические особенности позвоночника – состояние и положение позвонков в грудном отделе, их деформацию травмы: вывихи, переломы, смещения.
- Осанку и имеющееся искривление, деформацию позвоночника в грудном отделе.
- Состояние костной ткани определяется плотность, присутствие метастазов, обызвествлений.
- Состояние межпозвонковых дисков и реберно-позвоночных суставов.
- Расстояние между позвоночными дисками.
- Спинномозговой канал.
- Воспалительные процессы в позвоночнике (например, при туберкулезе, остеомиелите позвонка).
Показания
Исследование назначают при подозрении на:- Нарушения осанки: сколиоз, кифоз и другие искривления позвоночника.
- Переломы, смещения, вывихи позвоночных дисков, ребер, ключицы.
- Косвенные признаки грыжи (обызвествление) межпозвонковых дисков.
- Новообразования любого характера и метастазы в грудные позвонки.
- Заболевания разного характера – остеопороз, остеохондроз и другие.
- Патологии строения и заболевания сердца.
- Болезни легких – пневмония, туберкулез, бронхиальная астма.
- Плеврит – скопление жидкости в плевральной полости.
Симптомами этих патологий и показаниями, чтобы сделать рентген грудного отдела позвоночника, служат:
- Боль, дискомфорт в груди, грудной клетке или спине в покое или при движениях туловища, рук, наклонах и поворотах.
- Скованность движений.
- Чувство онемения, нарушение чувствительности в руках.
- Деформация грудной клетки или заметное нарушение осанки – сутулая, неестественно согнутая спина.
- Заметная деформация грудной клетки;
- Одно плечо выше другого;
- Болезненность при наклонах и поворотах туловища, движениях рук;
Противопоказания
Рентген имеет несколько относительных противопоказаний, связанных с потенциальным вредом от облучения:
- Возраст пациента менее 15 лет.
- Беременность и лактация.
Однако на цифровых аппаратах уровень облучения настолько мал, что сильно переживать об этом не стоит, а возможность обследования и необходимость сделать именно рентген (а не УЗИ или МРТ) определяется врачом.
Целесообразность рентгена может быть под вопросом, если пациент имеет вес более 130 кг – снимки могут быть нечеткими.
Как проходит рентген грудного отдела позвоночника
Подготовка к рентгену грудного отдела не требуется. Достаточно снять украшения и одежду , которые могут закрыть собой часть обследуемой области. Также стоит предупредить врача, если есть несъемные имплантаты, кардиостимуляторы.
Пациент стоит спиной к стойке снимков или боком, на остальные части тела кроме области исследования накидывается специальный защитный фартук.
Обычно применяются две проекции:
- Прямая – стоя спиной к стойке снимков, ноги на ширине плеч, руки – вытянуты вдоль туловища. Реже обследование проходит в положении лежа.
- Боковая – стоя левым или правым боком к стойке снимков, руки вытянуты вперед перед собой и согнуты в локтевых суставах или подняты над головой, согнуты в локтевых суставах и кисти рук обхватывают локтевые суставы.
Несколько секунд, пока делаются снимки, нужно не двигаться. Врач-рентгенолог проанализирует статическую ось грудного отдела позвоночника (замерит углы кифоза и сколиоза), форму и структуру тел позвонков, ножки дуги, остистые, поперечные и суставные отростки, высоту тел позвонков, межпозвонковых дисков, наличие костных разрастаний на телах позвонков. Видимые отделы ребер, форму реберно-поперечных и реберно-позвоночных суставов. Паравертебральные мягкие ткани.
Полученные снимки в цифровом изображении могут быть распечатаны на пленке или записаны на электронный носитель (диск), что более удобно для пациента.
Вместе со снимками врач-рентгенолог отдает пациенту заключение для анализа лечащим врачом. В некоторых случаях необходимо обследование большей зоны, чтобы получить полную картины. Тогда делается рентген шейно-грудного отдела позвоночника или поясничного сегментов.
Ищите, где сделать рентген грудного отдела в Москве? Приглашаем в ЛДЦ «Кутузовский»! Обратиться в клинику выгодно из-за:
МРТ позвоночника при сколиозе
Магнитно-резонансная томография считается в медицинской среде одним из наиболее информативных методов анализа состояния позвоночника человека. Использование метода магнитного резонанса помогает составить наиболее подробную картину патологии, начать ее правильное лечение и скорректировать набор методов, который используется на данный момент.
Важной особенностью МРТ является отсутствие вредного воздействия на организм. Так, при поиске разных вариантов патологий позвоночного столба и травм, хорошо показывает себя рентген и КТ. Но при этом нужно дозировать их применение, потому что в основе эффективности такого метода лежат рентгеновские лучи.
При поиске сколиоза врачи также рекомендуют использовать магнитно-резонансную томографию. Она помогает не только выявить основные признаки проблемы, но и понять, какой урон она наносит различным структурам позвоночника.
Покажет ли МРТ позвоночника сколиоз
На вопрос о том, сможет ли проведение МРТ показать наличие у пациента сколиоза, можно однозначно ответить утвердительно. В процессе работы аппарата создается большое количество снимков анализируемой области. Это помогает составить проработанную трехмерную модель, определить наличие искривления.
Так как модель на МРТ получается трехмерной, и врач может детально ее рассмотреть, можно утвердительно говорить о наличии деформации, а также о степени искривления, которая характерна для конкретного пациента.
При этом в некоторых случаях вместо магнитно-резонансной томографии врачи все-таки используют рентген. В таком варианте удается получить изображение, как в коронарной, так и в сагиттальной плоскостях, понять, с каким типом деформации приходится иметь дело.
Рентгенография с применением современных аппаратов дает достаточно четкую картину, оказывается информативной. Она помогает понять, какой у пациента вариант сколиотической патологии:
- Структурный. Формируется на фоне различных негативных процессов, протекающих непосредственно внутри самого позвоночника.
- Неструктурный. В таком случае деформация начинает формироваться под действием разных вариантов внешних факторов. К ним относятся такие, как чрезмерный тонус мускулатуры, получение травмы и многие другие.
Исследования помогают установить и различные сопутствующие поражения. К ним относится грыжа диска и многие другие.
Особенности использования МРТ позвоночника при поиске сколиоза
Рентген часто выбирается вместо МРТ, потому что он стоит дешевле. Это позволяет многим пациентам сэкономить деньги. Но оборотная сторона такой экономии – недостаточная информативность получаемых показаний.
Часто приходится сталкиваться с ситуациями, когда стандартный сколиоз приводит к различным дополнительным поражениям. Это оказывает негативное влияние на организм пациента, поэтому ранняя диагностика крайне важна.
Именно здесь пригодится МРТ – оно дает значительно больше важной информации, которую врач сможет в дальнейшем использовать для анализа причин деформации, последствий. Таким образом удается формировать правильный метод лечения.
МРТ значительно превосходит другие средства по степени информативности, когда речь заходит об определении текущего состояния мягких тканей.
Кроме самого сколиоза, также удается получить представление о состоянии спинного мозга, хрящевых дисков, нервов, мышц, сухожилий и связок.
Основным показанием для назначения именно магнитно-резонансной томографии становится постепенное появление неврологических симптомов. При проведении МРТ удается определить множество поражений, которые обычно сопутствуют запущенному, прогрессирующему склерозу. К ним относятся такие, как:
- Локальное нарушение кровообращения.
- Грыжи.
- Очаги воспаления разной локализации.
- Компрессия нервов.
- Миелоишемия.
Применение МР-сканирования отлично показывает себя в том случае, если есть цель установить наличие инфекционных заболеваний. Это обеспечивает контроль развития многих видов болезней, которые могут оказать значительное негативное влияние на состояние пациента.
Особенно важным становится проведение именно магнитно-резонансного сканирования позвоночника в том случае, если у ребенка развивается патология в идиопатической форме.
Причина заключается в том, что часто это становится следствием появления опухоли, которая затрагивает спинной мозг пациента. В таком случае МРТ станет важным шагом при подготовке к профессиональному хирургическому вмешательству.
Проведение МРТ помогает сформировать объемную модель обследуемой области, а также получить данные по постепенному развитию сколиотических изменений. Проверка состояния соседних мягких тканей дает представление о том, насколько сильно они оказались поражены, дала ли деформация дополнительные осложнения.
Цифровой рентген грудного отдела позвоночника в Киеве на Левом берегу
Позвоночник человека – важная составляющая часть опорно-двигательного аппарата. Существует много способов исследований для диагностики патологий позвоночника: рентген, МРТ, УЗИ.
Основным способом рассмотреть строение костной ткани тел позвонков, их форму, биомеханику, является рентген-исследование. В данной статье мы рассмотрим грудной отдел позвоночника. Он состоит из 12 позвонков. Внутри них заключён костный мозг, по бокам к позвонкам крепятся задние части рёбер (передними концами они срастаются с костью грудины) всё вместе это образует грудную клетку, в которой находятся лёгкие и сердце. Также через позвоночные отверстия проходят кровеносные сосуды и нервные волокна.
Чтобы пройти рентгенологическое исследование грудного отдела позвоночника в Киеве, а также другие диагностические мероприятия, Вы всегда можете обратиться в клинику Меддиагностика. Клиника располагает современной цифровой аппаратурой с минимальной рентгеновской нагрузкой на пациента. Также штат Меддиагностики укомплектован врачами-специалистами высшей категории, к которым Вы можете обратиться с Вашими жалобами.

Показания
Врач назначает рентгенографию грудного отдела позвоночника для диагностики и визуализации таких патологий как:
- патологии, связанные с костной и хрящевой тканью (остеохондроз, спондилёз, грыжи межпозвонковых дисков, спондилоартроз) и болевые, а также неврологические симптомы, сопровождающие эти изменения
- травмы позвоночника (на предмет переломов тел позвонков)
- врождённые или приобретённые искривления позвоночника (кифоз, сколиоз, гипо- или гиперлордоз) – очень важно, с помощью рентгена грудного отдела, определять эти искривления у детей на ранней стадии.
Рентген грудного отдела делаться в 2-ух проекциях (в прямой и боковой), в положении лёжа. А, в случае искривления, для оценки разницы в отклонении позвоночного столба, делаются снимки в одной проекции, стоя и так же лёжа – это даёт возможность судить о стабильности или нестабильности позвоночника.
Противопоказания и ограничения
Рентген грудного отдела позвоночника — это основной способ диагностики для точной постановки диагноза. Возраст и пол пациента не имеют значения при назначении этого обследования. Не рекомендуется, без жизненных показаний (типа травмы с возможным переломом), делать рентген женщинам во время беременности, так как это может негативно сказаться на здоровье плода и самой женщины. В остальном же вред от ионизирующего излучения сводится к минимуму за счёт спец.средств индивидуальной защиты, которыми рентгенолог применяет в процессе исследования. Для дополнительной защиты во время рентгена грудного отдела позвоночника, в рентген-аппарате предусмотрена возможность центрировать рентгеновский пучок на интересующую область без затрагивания окружающих тканей. Также в самом рентгеновском аппарате предусмотрены настройки, как для взрослых, так и для детей.
Что показывает
На рентгенограмме грудного отдела позвоночника врач-рентгенолог видит и оценивает:
- состояние тел позвонков – в норме не должно быть трещин, смещений, изменения высоты между позвонками, изменений формы тел
- патологии (есть или нет) в межпозвоночных дисках
- места прикрепления рёбер к позвонкам
- форму позвоночного столба
Как проводится исследование
Процедура рентгена грудного отдела не занимает много времени.
Пациент должен снять верхнюю одежду (женщинам нужно снять бюстгальтер, так как на нём много мелких деталей, которые дадут тени на снимке).
Для проведения рентгенографии в прямой проекции, рентгенолаборант укладывает пациента на спину на процедурный стол. Излучатель рентген-аппарата направляется на исследуемое место, размеры поля облучения тщательно фиксируются. Ненужные для исследования места закрываются защитными фартуками.
Для проведения рентгена грудного отдела позвоночника в боковой проекции, пациент ложится на бок (какой именно, особой разницы нет). Руки отводятся от исследуемой зоны, ноги (для большего удобства) сгибаются в коленях и слегка поджимаются к туловищу.
При диагностировании степени сколиоза назначается функциональная рентгенография грудного отдела. Для этого делается два снимка в прямой проекции:
- Стоя – пациент становится спиной к приёмнику рентген-аппарата, луч центрируется на среднюю область груди, делается снимок.
- Лёжа – делается так же, как и обычный снимок в прямой проекции.
Полученное изображение рентгенолаборант передаёт на рабочее место врача-рентгенолога, где он сможет откорректировать его яркость и контрастность, и уже после этого сделать заключение и выдать его вместе с рентгенограммой, распечатанной на плёнке или в электронном виде на диске.
Если у Вас появились боли и затруднённость движения в области спины, грудной клетки, онемение и боли в мышцах и суставах верхних конечностей, у Вас травма спины или же Вам диагностировали искривление позвоночника, то всегда можете обратиться в клинику Меддиагностика для получения диагностических и лечебных процедур. И, если врач направил Вас на рентген грудного отдела позвоночника, или же нужен рентген грудного отдела ребёнку, то здесь вы сможете это сделать в сжатые сроки, А Ваш снимок Вы сможете забрать как на физическом носителе (плёнке), так и в электронном виде на диске. Описание рентгенограммы, по Вашему желанию, может быть отправлено на электронную почту.
Рентген позвоночника в двух проекциях
Рентген позвоночника может быть выполнен для визуализации как одного из отделов позвоночника, так и нескольких. Рентгеновская визуализации использует способность тканей по-разному пропускать рентгеновское излучение в зависимости от плотности структуры. Рентген позвоночника в двух проекциях назначается для получения информации о состоянии костной структуры позвоночника, а также определения степени деформации или наличия объемных образований. Как правило, используется прямая и боковая проекции. При необходимости могут быть использованы и другие проекции (косая, осевая).
Показания
Рентген позвоночника (одного отдела или нескольких) может быть назначен для диагностики генезаболи в спине или шее, вывихов, переломов, смещения позвонков, дегенерации позвонка, опухолей, искривлений позвоночника, таких как кифоз или сколиоз, или врожденных аномалий.
Врач может назначить рентген позвоночника также по другим причинам:
- Поиск причины боли в пояснице
- Перенесенная травма
- Аномальные изгибы позвоночника
- Аномальный износ хрящей и костей позвоночника, например, костные остеофиты и сужениепространства между позвонками
- Рак (при значительных изменениях в костной структуре)
- Переломы
- Признаки истончения костей (остеопороз)
- Спондилолистез
- Подготовка и контроль оперативного лечения
Тем не менее, возможности рентгена ограничены и невозможно диагностировать такие состояния, как ишиас, грыжа диска или стеноз спинального канала. В таких случаях необходимо провести МРТ или КТ (МСКТ).
Риски
- Пациент вправе выяснить у врача о количестве радиации, которую получит в ходе исследования и возможных рисках. Пациенту необходимо фиксировать данныео проведенных ранее радиологических исследованиях, так как рентгеновское излучение обладает кумулятивным эффектом.
- Если пациентка беременна или подозревает, что беременна, ей следует информировать своего лечащего врача из-за риска развития врожденных дефектов у ребенка. Поэтому, рентген лучше заменить другими методами диагностики, например, МРТ.
- В зависимости от конкретного заболевания могут быть и другие риски.
Перед процедурой
- Лечащий врач должен объяснить пациенту процедуру и ответить на возможные вопросы относительно процедуры.
- Как правило, для рентгена позвоночника не требуется никакая предварительная подготовка.
- Необходимо сообщить рентгенологу, если есть или подозревается беременность
- Необходимо сообщить рентгенологу о факте недавно проведенного исследования с барием, поскольку это может нарушить получение изображения оптимального качества
- В зависимости от состояния здоровья лечащий врач может рекомендовать определенную подготовку.
Во время процедуры
Рентген может быть проведен в поликлиникеили в условиях нахождения пациента в стационаре.
- Пациента могут попросить снять одежду и предметы на теле, которые могут потенциально привести к искажению изображений на снимках.
- Если пациента попросят снять любую одежду, то ему дадут халат.
- Пациента будет размещены на рентгеновском столе, с захватом зоны исследования и рентгеновский луч проходит через тело и попадает напленку или цифровую матрицу. Лечащий врач может также назначить проведение рентгеновских снимков в положения пациента стоя.
- Части тела, которые не сканируются, могут быть прикрытызащитным фартуком для снижения вредного воздействия рентгеновского излучения.
- Радиолог попросит пациента постоять или лежать неподвижно в необходимом положении нескольких секунд, пока проходит сканирование.
- При проведении рентгена после травм могут быть приняты меры, чтобы предотвратить дополнительную травму. Например, если есть подозрение на перелом в области шейного отдела позвоночника, может быть использован шейный ортез.
- В некоторых случаях рентгенпозвоночника может проведен не только в стандартных позициях.
- Чрезвычайно важно оставаться абсолютно неподвижным во время сканирование, так как даже незначительное движение может привести к искажению изображения и тогда могут потребоваться дополнительные снимки. Пациента могут попросить вдохнуть или выдохнуть во время процедуры.
- Луч рентгеновского излучения будет сфокусирован на исследуемой области.
- Во время проведения сканирования технолог-радиолог будет находиться в соседнем помещении и наблюдать за пациентом череззащитное окно.
Процедура рентгена не приводит к какой-либо боли, но если у пациента недавно была травма или инвазивная процедура, то при фиксации пациента в определенные положения для сканирования могут возникнуть дискомфорт или боль.
После процедуры
Как правило, после рентгена позвоночника, не требуется особого ухода. Рентген не всегда позволяет верифицировать диагноз, и врач может для уточнения диагноза рекомендовать проведение других более информативных исследований (МРТ, КТ, УЗИ, ПЭТ).
МРТ или рентген при болях в спине

Боль в спине является одной из причин обращения к неврологу и направления пациента на рентген, КТ позвоночника или МРТ позвоночника. По статистике каждый второй житель Санкт-Петербурга, достигший 35-летнего возраста, знает, что такое боль в спине. Зачастую человек не обращает на нее внимание до тех пор, пока болевые ощущения делают нормальную жизнь невозможной. Поднятие тяжести, резкие движения, нахождение долгое время в одной позе, травмы позвоночника - все это факторы, провоцирующие эту боль, как и огромное количество неврологических заболеваний от рассеянного склероза до грыж и опухолей в позвоночнике. Неврологам иногда приходится проводить длительное обследование для того, чтобы докопаться для первопричин болевого синдрома и правильно поставить диагноз. Только после точно установленной причины можно назначить адекватное лечение. Одним из диагностических методов, который помогает врачам не ошибиться с диагностикой, является рентген спины и МРТ позвоночника.
БЕСПЛАТНАЯ
КОНСУЛЬТАЦИЯ О ДИАГНОСТИКЕ
Если сомневаетесь, запишитесь на бесплатную консультацию.
Или проконсультируйтесь по телефону
Причины болей в спине
- воздействия со стороны костных структур позвоночника
- развитие грыжи межпозвонковых дисков, которые, выпячиваясь, распространяются в межпозвонковое отверстие, где у человека проходят нервные корешки, и тем самым сдавливают тот или иной нервный корешок. Этот зажим вызывает болевой синдром по ходу расположения данного нервного окончания.
МРТ или рентген позвоночника: что лучше
Как уже было отмечено, причины боли в спине могут быть довольно разными. В ряде случаев, чтобы их диагностировать, используют традиционный рентген. Этот диагностический метод хорошо подходит неврологам в тех случаях, когда у больного имеются костные изменения по типу сколиоза, лордоза, кифоза, компрессионный перелом позвоночника. Но зачастую болевой синдром вызывается симптоматикой со стороны мягких тканей и нервных корешков. Данные изменения можно визуализировать только с помощью МРТ позвоночника. Она дает специалистам высокое пространственное разрешение и детальную визуализацию мягкотканных структур позвоночного канала, паравертебральных мягких тканей, нервных корешков и всех окружающих мышц, хрящей и сухожилий.
Что поможет обнаружить МРТ позвоночника
У пациента болит спина, и доктор просит его сделать МРТ позвоночника. Что же на снимках сможет разглядеть невропатолог? При МРТ-диагностике позвоночного столба врач может увидеть в первую очередь дегенеративные изменения межпозвонковых дисков - грыжи межпозвонковых дисков, протрузии, остеохондроз, стеноз. Кроме того, с помощью магнитно-резонансной томографии можно увидеть различные объемные образования (кисты, опухоли) как в спинномозговом канале, так и в окружающих структурах и телах позвонков. Различные воспалительные процессы по типу спондилитов, спондилоартритов и эпидуритов также хорошо просматриваются на снимках томографа.
Еще изменения дугатрубчатых суставов, изменения связочного аппарата тоже идеально визуализируется при магнитно-резонансной томографии спины. Этот метод незаменим при исследовании травматических изменений позвоночника у детей, так как позволяет выявить так называемые дорентгеновские изменения в позвоночнике. В довольно большом количестве случаев стандартный рентген не может дать ответ на вопрос, если ли перелом тела позвонка у ребенка. При помощи МРТ отделов позвоночника медики могут визуализировать отек костного мозга и небольшие деформации, что будет явным признаком перелома в детском возрасте. Такая безошибочная диагностика помогает назначить соответствующее своевременное лечение и избежать осложнений. МР-томография не несет в себе лучевой нагрузки, и по ходу сканирования пациент не получает никакой дозы облучения. При магнитно-резонансном обследовании на человека воздействует магнитное поле томографа, которое практически безвредно. Поэтому его можно проводить всем взрослым в любой жизненной ситуации, включая беременность, заболевание раком или преклонный возраст. Детям МРТ позвоночника тоже можно проводить без ограничения.
Что покажет рентген при боли в спине
Самый простой, повсеместно доступный и часто используемый метод диагностики позвоночника - это рентгенография позвоночного столба. Рентген с помощью просвечивания тканей Х-лучами хорошо показывает костные структуры позвоночника и дает информацию о нарушениях в состоянии скелета. Но иногда проблема болевого синдрома в спине связана с тканевыми структурами и сосудистой системой, которые не видны при рентгенологическом исследовании. Поэтому для более детального выяснения первоистоков врачи медицинских центров СПб назначают МРТ позвоночника. Отвечая на вопрос, что лучше, МРТ или рентген позвоночника, нужно принимать во внимание и вопрос безопасности обследования. Метод магнитно-резонансной томографии является замечательным тем, что при нём нет ионизирующего излучения.
Рентген позвоночника - это лучевая форма диагностики. При ней организм человека получает дозу радиации в размере 0,7-1,5 мЗв. Доза облучения при МРТ составляет 0мЗв, то есть ничего, поскольку томограф использует силу резонанса магнитного поля для получения изображений. Это исследование можно проводить сколько угодно раз, так как лучевая нагрузка полностью отсутствует. Рентгенографию рекомендуют делать не чаще одного раза в 3-4 месяца. Однако выбор рентгена или МРТ не всегда так очевиден. В пользу рентгена говорит его широкая доступность, скорость исследования и дешевая цена. Рентгенография доступна почти в каждом медицинском учреждении СПб на бесплатной основе. Большинство травмпунктов также оборудованы рентген-аппаратами. Чтобы получить рентгенограмму позвоночника, нужно всего 5-7 минут. МРТ обследование одного из отделов позвоночника займет 15-30 минут. Цена рентгена в несколько раз ниже, чем цена магнитно-резонансного сканирования.
Как происходит МРТ процедура
Когда клиент приходит на МР-исследование в медицинский центр, его кладут на специальный томографический стол, а в руки дают резиновую грушу. Она выполняет роль экстренной связи с доктором, когда человек будет находиться внутри камеры установки. Если пациент начнет испытывать неприятные ощущения, приступ панической атаки, либо он почувствует себя плохо, он всегда может нажать на грушу, и сразу же будет извлечен из МРТ аппарата. Для снижения шумового воздействия на обследуемого одеваются наушники. В них во время процедуры играет музыка, а диагностируемый спокойно лежит, не двигаясь, в томографе.
Само сканирование длится около 15-20 минут, по истечении которых пациент выходит и ожидает в комнате отдыха результатов томографии. МР-сканирование никаким образом не влияет на ткани позвоночника. Если после МРТ у Вас болит спина, это никак не связано с процедурой томографии, а скорее всего обусловлено нагрузкой на организм в процессе 20-минутного неподвижного лежания внутри аппарата.
Читайте также:
