Рентгенологические признаки нейрогенных опухолей средостения. Локализация нейрогенных опухолей
Добавил пользователь Евгений Кузнецов Обновлено: 14.12.2025
Новообразования средостения представляют разнородную по происхождению и гистологическому строению группу опухолей и кист, объединенных локализацией в одной топографо-анатомической зоне [1, 2]. Диагностика новообразований средостения по клиническим признакам чрезвычайно затруднительна [3, 4]. Да и сама частота отдельных симптомов, описываемая различными авторами, варьирует в широких пределах [1, 5, 6]. Предложения некоторых авторов основывать диагностику образований средостения на их локализации и клинической картине представляются архаичными и не отражают возможностей современных диагностических технологий [6, 7].
Цель исследования - на основании изучения клинической картины и неинвазивных методов обследования установить устойчивые сочетания признаков для дифференциальной диагностики новообразований средостения.
Материал и методы. С января 1996 по июнь 2007 г. в торакальном отделении ГМПБ № 2 проходили обследование и лечение 258 больных с верифицированным диагнозом «новообразование средостения».
Больным, поступившим в клинику с синдромом «новообразование средостения», проводилось первичное обследование согласно принятому протоколу:
1. Клинико-лабораторное обследование больного (клинический и биохимический анализ крови, анализ мочи).
2. Обзорная рентгенография грудной клетки (258 больных).
3. Компьютерная томография органов грудной полости (КТ) (253 больных).
4. Магнитно-резонансная томография (МРТ) (39 больных).
5. Однофотонная эмиссионная компьютерная томосцинтиграфия с РФП Tc 99m -NeoSpect, Ga 67 -цитрат, I 123 и Тс 99п1 -тетрофосмином (36 больных).
6. Исследование ФВД - бодиплетизмография или спирография (258 больных).
7. Фибробронхоскопия (258 больных).
8. Электронейромиография (ЭНМГ) (127 больных).
9. УЗИ щитовидной железы (ЩЖ) и органов брюшной полости (258 больных).
10. Уровень гормонов ЩЖ и ТТГ.
11. Определение титра антител к скелетной мышце, антитиреоидных антител, уровня ХГЧ и АФП (50+11 больных).
Статистический анализ данных исследования производился с помощью компьютерной программы электронных таблиц Microsoft Excel 2002 корпорации Microsoft, 1985-2002 гг., серийный номер 54185-640-0000025-17443, и пакета прикладных
© В. Г. Пищик, П. К. Яблонский, 2008
программ STATISTICA 6 фирмы StatSoft, Inc. (2001) STATISTICA (data analysis software system), version 6.
Результаты исследования. Среди изученных больных оказалось 164 женщины и 94 мужчины в возрасте от 15 до 79 лет (средний возраст 41,2±17,1 года).
Распределение больных по полу и возрасту
Как видно из табл. 1, новообразования средостения в нашем исследовании поражали лиц трудоспособного возраста и чаще встречались у женщин.
Причинами госпитализации больных послужили изменения при плановой флюорографии у 70 или случайно выявленное новообразование при обследовании по поводу другого заболевания - у 30. Остальные 158 пациентов обратились за помощью с различными жалобами.
После верификации диагноза новообразования средостения распределились на гис-томорфологические группы
наиболее частым гистологическим типом образований средостения оказались образования из лимфоидной ткани, из ткани вилочковой железы и кисты. В общей сложности эти три группы составили 82 % от всех образований средостения.
Из 258 пациентов с новообразованиями средостения у 203 (78,7 %) выявлены различные симптомы и лишь 21,3 % пациентов не предъявляли жалоб при поступлении в стационар. Доля больных с бессимптомным течением заболевания оказалась не одинаковой при различных гистологических типах новообразований средостения (табл. 2). Как видно из таблицы, чаще всего симптомы выявляли у пациентов с лимфоретикулярными и герминогенными образованиями средостения. Самыми частыми бессимптомными образованиями средостения оказались мезенхимальные образования и кисты.
У 146 больных (56,6 %) выявлены компрессионные симптомы медиастиналь-ных новообразований, к которым отнесены: боль в груди, синдром верхней полой
вены, нарушения сердечного Таблица 2
ритма, дисфагия, одышка, Частота выявления симптомов
осиплость голоса, синдром при различных образованиях средостения, %
Горнера. У 113 пациентов (43,8 %) отмечались системные симптомы образований средостения, которые представлены утомляемостью, лихорадкой, потливостью, снижением веса, снижением аппетита, наличием кожного зуда, тахикардией, поражением суставов, поражением кожных покровов. Кроме
Гистологический тип образования средостения
Доля больных с симптомами
Доля бессимптомных больных
Образования вилочковой железы
того, наблюдалось ускорение СОЭ и увеличение числа лейкоцитов.
Тканеспецифические симптомы встречались реже двух других групп симптомов. У пациентов с образованиями средостения отмечены миастения в 36 случаях, нарушение судомоторной иннервации - в 2, гипертиреоз и гиперпаратиреоз - по 1 случаю.
Частоту отдельных симптомов при различных гистологических типах образований средостения иллюстрируют табл. 3 и 4. При этом среди пациентов с лимфаде-нопатией и плевритами преобладали больные лимфоретикулярными новообразованиями - более 80 %. В то же время при поражении легочной паренхимы у больных с образованием средостения преобладание лимфом оказалось статистически недостоверным. В подгруппе из 33 больных, у которых обычные рентгенограммы грудной клетки описаны как нормальные, более чем в % случаев выявлялись заболевания вилочковой железы.
Магнитно-резонансная томография средостения использовалась у 39 пациентов. При оценке информативности МРТ оказалось, что в случае нейрогенных опухолей их гистологическое происхождение предсказано в 100 % случаев. У пациентов с кистами МРТ-диагностика оказалась точной в 100 %, в то время как по КТ диагноз «киста средостения» установлен лишь у 8 из 10 из этих больных. Инвазия в сосуды средостения при МРТ точно определена у 13 из 14 пациентов. У 1 больного с гиперплазией вилочковой железы имела место гипердиагностика тимомы по результатам МРТ.
Из 60 больных, у которых при проведении ЭНМГ выявлены нарушения нервно-мышечной передачи, у 54 выявлены заболевания вилочковой железы (90 %). При оценке информативности ЭНМГ в диагностике тимогенных новообразований средостения оказалось, что ее чувствительность составляет 75 %, специфичность - 94,4 %, точность - 81,5 %, прогностическая ценность положительного ответа - 96,4 %, прогностическая ценность отрицательного ответа - 65,4 %.
Исследование уровня антител к скелетной мышце при тканеспецифических опухолях тимуса показало низкую чувствительность этого диагностического теста при тимомах. Зато вероятность отсутствия тимомы при отсутствии антител выше 90 %, а в группе больных с миастенией - 100 %.
При оценке результатов рентгенологического обследования у пациентов описаны различные рентгенологические синдромы (табл. 5).
Частота отдельных рентгенологических синдромов у больных с образованиями средостения
Расширение тени средостения (образование)
Патология не описана
Жидкость в плевральной полости
Поражение легочной паренхимы*
*Среди 23 больных с поражением легочной паренхимы у 16 выявлены «округлые образования» или «очаговые тени», у 6 - инфильтраты в легком и у 1 больного - диссеминированный процесс в легком.
При проведении всестороннего анализа клинической, рентгенологической и лабораторной картины новообразований средостения оказалось, что дифференциальная диагностика на основании любого отдельного симптома или признака недостоверна, не позволяет предсказать морфологическое происхождение новообразования средостения. Однако в ходе исследования отмечены надежные комбинации
симптомов, позволяющих с точностью в 95-100 % высказаться о конкретном морфологическом типе новообразования.
У больных с образованием переднего средостения наличие признаков периферической и медиастинальной лимфаденопатии и/или плеврита при сочетании с системными симптомами и повышением СОЭ делает вероятность лимфомы, близкую 100 %.
При заболеваниях вилочковой железы патогномоничными оказались сочетание образования в переднем средостении и нарушения нервно-мышечной передачи по результатам ЭНМГ. В случае добавления ограничения по величине СОЭ (менее 15 мм/ч) и по размеру (менее 5 см) точность диагностики тимом составляет 100 %.
При диагностике герминогенных образований наиболее важным можно считать сочетание следующих признаков: образование переднего средостения+неувеличенные периферические лимфоузлы+мужской пол+возраст моложе 35 лет+повышение уровня АФП и/или ХГЧ.
Сочетание наличия образования в верхнем отделе средостения с возрастом старше 50 лет+СОЭ менее 15 мм/ч+образование размером более 5 см подозрительно в отношении эндокринного. При повышении уровня тиреоидных гормонов и/или накоплении I 123 в образовании по сцинтиграфии его эндокринное происхождение может считаться полностью доказанным.
Мезенхимальные образования, за исключением липом кардиодиафрагмального угла, предсказать по клинико-рентгенологическим симптомам практически невозможно. Для липом переднего средостения надежным тестом является компьютерная томография, выявляющая однородное, округлое образование с гладким контуром равномерной жировой плотности.
Полученные результаты позволили сформировать алгоритмы дифференциальной диагностики образований средостения (рис. 2 и 3).
Образование переднего средостения
КТ грудной клетки: ЛАПС и/или плеврит
СОЭ>15 мм/ч + системные симптомы + увеличение периферических л/узлов
ЛИМФОМА иф. диагноз: лимфома герминогенное эндокринное мезенхимальное
Мужчины моложе 35 лет
| Повышены| - ХГЧ и АФП
ОФЭКТ с депреотидом
ЗАБОЛЕВАНИЕ ВИЛОЧКОВОЙ ЖЕЛЕЗЫ
Тиреоидный статус+ сцинтиграфия с I 123 или
|Гипертиреоз, захват РФП
Рис. 2. Алгоритм дифференциальной диагностики образований переднего средостения
С другой стороны, некоторые авторы описывают бессимптомное течение лишь у 36,6 % больных [11] или даже лишь у 7,9 % [12] больных новообразованиями средостения. Большинство авторов согласно, что злокачественные новообразования чаще сопровождаются жалобами, чем доброкачественные. В исследовании Cohen и соавт. 77,3 % больных со злокачественными новообразованиями имели различные симптомы [8]. Вместе с тем отсутствие симптомов очень тесно коррелировало с доброкачественным гистологическим типом. По данным Davis и соавт., у 83 % бессимптомных пациентов были выявлены доброкачественные опухоли [6].
В нашем исследовании бессимптомное течение новообразований средостения встретилось лишь у 21 % больных. Чаще всего симптомами сопровождались образования средостения из лимфортикулярной ткани и герминогенные образования. Пациенты этих гистологических групп часто жаловались на боль в груди, кашель, утомляемость, лихорадку
Образование заднего средостения
Диф. диагноз: герминогенное мезенхимальное
КОНТРОЛЬ ИНВАЗИИ В НЕУДАЛИМЫЕ ОРГАНЫ
КОНТРОЛЬ ПРОНИКНОВЕНИЯ в СПИННОМОЗГОВОЙ КАНАЛ
Рис. 3. Алгоритм дифференциальной диагностики образований заднего средостения
и увеличение периферических лимфатических узлов. С другой стороны, признаки медиастинальной компрессии как синдром верхней полой вены, дисфагия и нарушения ритма сердца даже при лимфоретикулярных образованиях встречались менее чем у 10 % пациентов, что согласуется с мнением других авторов [7, 13]. Тканеспецифические симптомы характерны для определенных групп образования: миастения - для образований вилочковой железы, нарушение тиреоидного статуса - для эндокринных образований. Однако частота этих специфических симптомов в конкретной гистологической подгруппе невелика. Несмотря на большое разнообразие симптомов при новообразованиях средостения, патогномоничные отсутствуют, поэтому для первичной диагностики не достаточно использовать только данные объективного обследования [10, 14].
При добавлении к физикальному обследованию методов лучевой и радиоизотопной диагностики удается улучшить точность дифференциальной диагностики различных по гистогенезу образований средостения [15]. Например, КТ оказывается универсальным методом лучевой диагностики образований средостения, дающей достаточно информации. Ее не вполне высокая специфичность может быть компенсирована дополнительным использованием радиоизопных методов. Информативность МРТ оказывается существенно выше 95 % при оценке инвазии в сосуды средостения, а также при оценке жидкостных и нейрогенных образований средостения [15]. ЭНМГ - тест нервно-мышечного проведения - вообще не использовался ранее для диагностики медиастинальных образований, однако мы показали, что его включение в алгоритм обследования больных с образованиями средостения значительно повышает точность диагностики тимом.
Таким образом, современная клиническая картина новообразований средостения характеризуется довольно редким бессимптомным течением и разнообразными рентгенологическими синдромами. Разработанные нами алгоритмы дифференциальной диагностики наиболее распространенных новообразований средостения, основанные на сочетании клинических и инструментальных методов исследования, позволяют сократить диагностический поиск и оптимизировать выбор лечебной тактики. Прогнозирование гистогенеза новообразования средостения не заменяет инвазивную диагностику, однако позволяет рационально спланировать предоперационную подготовку и дальнейшее лечение пациента.
1. Дедков И.П., Захарычев В.Д. Первичные новообразования средостения. Киев, 1982.
2. Deslauriers J., Letourneau L., Giubilei G. Tumors and masses of mediastinum; Diagnostic strategies in mediastinal tumors and masses // Thoracic surgery. 2-nd ed. / Eds. F.G. Pearson. Philadelphia, 2002. Р. 1655-1673.
3. Гудовский Л.М., Добровольский С.Р. Хирургия новообразований средостения // Анналы РНЦХ РАМН. 1998. № 7. С. 65-69.
4. Hoerbelt R., Keunecke L., Grimm H. et al. The value of a noninvasive diagnostic approach to mediastinal masses // Ann. Thorac. Surg. 2003. Vol. 75. № 4. P. 1086-1090.
5. Вишневский А.А., Адамян А.А. Хирургия средостения. М., 1977.
6. DavisR.D.J., OldhamH.N.J., Sabiston D.C.J. Primary cysts and neoplasms of the mediastinum: Recent changes in clinical presentation, methods of diagnosis, management, and results // Ann. Thorac. Surg. 1987.
Vol. 44. P. 229-237.
7. Неймарк И.И. Опухоли и кисты средостения. Барнаул, 1981.
9. AzarowK.S., PearlR.H., Zurcher R. et al. Primary mediastinal masses; A comparison of adult and pediatric populations // J. Thorac. Cardiovasc. Surg. 1993. Vol. 106. № 1. P. 67-72.
11. Takeda S., Miyoshi S., Akashi A. et al. Clinical spectrum of primary mediastinal tumors: a comparison of adult and pediatric populations at a single Japanese institution // J. Surg. Oncol. 2003. Vol. 83. № 1. P. 24-30.
12. Wongsangiem M., Tangthangtham A. Primary tumors of the mediastinum: 190 cases analysis (19751995) // J. Med. Assoc. Thai. 1996. Vol. 79. № 11. P. 689-697.
13. ТришинВ., Оржешковский О., Решетов А. и др. Диагностика и хирургическое лечение при новообразованиях средостения // Вестн. хирургии им. И. И. Грекова. 2001. № 1. С. 11-14.
14. Zeng L., Liu Q., Zhang C. et al. The changing patterns of occurrence and management in primary mediastinal tumors and cysts in the People‘s Republic of China // Surg. Gynecol. Obstet. 1988. Vol. 166. № 1.
15. Кондрашов И.А. КТ и МРТ в диагностике опухолей и кист средостения // Мед. визуализация. 1999. № 3. С. 29-33.
Рентгенологические признаки нейрогенных опухолей средостения. Локализация нейрогенных опухолей
Рентгенологические признаки нейрогенных опухолей средостения. Локализация нейрогенных опухолей
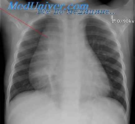
Решающим в распознавании неирогенных опухолей является рентгенологический метод исследования. В подавляющем большинстве случаев эти опухоли имеют типичную «почти патогномоничную» (С. А. Рейнберг) рентгенологическую картину.
К числу наиболее характерных рентгенологических признаков нейрогенных опухолей относится локализация их в реберно-позвоночном углу. Указание многих авторов (Б. К. Осипов, В. А. Фанарджян, Г. И. Хармандарьян и И. Г. Шлифер, Брюер и Долли,' Ленк и др.) о локализации нейрогенных опухолей в заднем средостении следует считать не совсем верным, учитывая топографо-анатомическое расположение пограничного симпатического ствола, из которого обычно исходит опухоль, и действительное положение последней. Однако иногда, особенно при больших размерах, опухоль, начиная свое развитие вне средостения, может частично заходить в заднее средостение или давить на него сбоку через медиастинальную плевру. Считая, что нейрогенные опухоли располагаются в реберно-позвоночном углу, а не в средостении, в практическом отношении все же целесообразно относить их к группе медиастинальных новообразований.
Обычно при многоосевом рентгенологическом исследовании и, в частности, в боковой проекции отчетливо видна овальная тень опухоли, основной своей массой прилегающая к боковому отделу позвоночника и реберно-позвоночному углу (тень опухоли заходит за задний край тел позвонков). Уже один этот признак характерной локализации в подавляющем большинстве случаев дает полную уверенность в правильности определения нейрогенного характера опухоли. У всех наших 12 больных было именно такое расположение опухоли.

Из литературы известно, что наблюдаются редкие случаи другой локализации опухоли, если последняя исходит из блуждающего, диафрагмального или иного нерва в средостении.
Среди собранных из литературы Дезевом и Дюмоном 154 случаев нейрогенных опухолей локализация в переднем средостении отмечалась в 6,6%, а в реберно-позвоночном углу — в 93,4% (в том числе в 17% имелась форма «песочных часов»). Эти же авторы отмечают, что 90% опухолей располагалось в верхнем отделе реберно-позвоночного угла.
Представляет интерес одно наше наблюдение не совсем обычной локализации нейрогенной опухоли. Последняя располагалась по боковой поверхности позвоночника, но очень низко на уровне DXII—LIII позвонков и частично прослеживалась ниже купола диафрагмы забрюшинно, что было установлено с помощью дополнительных методов рентгенологического исследования (пневмоперитонеум, исследование кишечника и внутривенная урография). Если бы подобное затемнение располагалось полностью над диафрагмой, то диагноз нейрогенной опухоли не вызывал бы сомнения. Но поскольку имелась совершенно необычная, в доступной нам литературе не описанная локализация опухоли, то природа заболевания осталась не распознанной до операции. На операции (Е. С. Лушников) установлено, что опухоль (нейринома) была интимно связана с XII грудным и I поясничным позвонками, выступала в плевральную полость верхним своим полюсом, отдавливала диафрагму кпереди и уходила в забрюшинное пространство.
Нейрогенные опухоли, как правило, располагаются с одной стороны, чаще справа. У одной нашей больной, страдающей нейрофиброматозом, определялись одновременно две опухоли (одна слева, другая справа).
Информация на сайте подлежит консультации лечащим врачом и не заменяет очной консультации с ним.
См. подробнее в пользовательском соглашении.
Опухоли средостения: что это такое, классификация.
Опухоли средостения – общее название новообразований, которые расположены в медиастинальном пространстве груди. В 40% случаев диагностирования опухоли являются злокачественными, и тогда ставится диагноз рак средостения. Все опухоли делятся на две большие группы – первичные и вторичные. В первом случае речь идет о тех новообразованиях, которые формируются непосредственно в области средостения, во втором – опухоли образуются сначала в тканях, расположенных вне обозначенной области, а рак средостения развивается уже из метастаз. Иногда опухоли средостения называют рак тимуса, но это не совсем корректное обозначение диагноза. Дело в том, что он обозначает наличие злокачественных клеток в вилочковой железе, тогда как опухоли средостения могут начать свой рост и из других структур.


В зависимости от локализации опухоли различают следующие виды злокачественных новообразований:
- передняя часть средостения – герминогенные опухоли, тимомы, лимфомы, дизэмбриогенетические опухоли, феохромоцитомы;
- средняя часть средостения – метастатическая карцинома, лимфома;
- задняя часть средостения – нейрогенные опухоли, вторичные опухоли (меланомы, саркомы).
Отдельно в медицине рассматриваются мезенхимальные опухоли – представляют собой рак мягких тканей, к таковым относятся липомы и гемангиомы, лейомиосаркомы и фибромы. Поражают разные части средостения, относятся к группе вторичных, потому что «вырастают» из метастаз.
К редким опухолям средостения относятся липо- и фибросаркомы. Их опасность заключается в том, что они долгое время протекают бессимптомно и пациент обращается за помощью к врачу при выраженных нарушениях, когда рак находится уже на 3 и 4 стадии развития. Также к этой группе относится рак тимуса (тимома) – развивается в клетках вилочковой железы.
Какие симптомы укажут на рак средостения?
Рак может протекать в двух стадиях – бессимптомной и с выраженными признаками. Продолжительность прогрессирования опухоли средостения без симптомов зависит от нескольких факторов – место локализации новообразования, уровень общего иммунитета, возраст человека. Часто бессимптомно протекающий рак диагностируется случайно, во время проведения стандартной процедуры флюорографии в рамках диспансеризации.
К основным признакам рака средостения относятся:
- кашель – сухой, приступообразный, не проходящий даже после прохождения курса лечения;
- одышка – появляется сначала после физических нагрузок, но очень быстро начинает беспокоить человека и в покое;
- боль в области груди – возникает спонтанно, периодически исчезает, усиливается во время кашля, носит давящий характер;
- кровохарканье – симптом, присущий редким опухолям средостения, свидетельствует о стремительном росте опухоли и повреждении структур дыхательных путей;
- внезапное похудение – больной начинает терять вес даже на фоне привычного аппетита: до 15 кг в течение 3-4 недель;
- общая слабость – больной испытывает постоянное желание лечь и отдыхать, работоспособность уменьшается и не восстанавливается даже после качественного отдыха;
- незначительное повышение температуры тела – происходит спонтанно, не превышает субфебрильных показателей.
Злокачественные опухоли растут достаточно быстро, поэтому переход из бессимптомной стадии в форму с выраженной клинической картиной недолгий. Могут проявляться и дополнительные симптомы типа отечности верхней части туловища и лица, синюшного цвета лица, расширения подкожных вен шеи.
Самым ранним проявлением рака средостения считается болевой синдром, особенно часто он проявляется при раке тимуса. В таком случае боли идентичны приступам стенокардии. Существует и ряд специфичных признаков опухолей средостения:
- для мезенхимальных опухолей характерны зуд кожи и повышенная потливость в ночное время суток;
- герминогенные опухоли могут сопровождаться птозом (опущением) век, понижением уровня глюкозы в крови;
- при нейрогенных опухолях нередко отмечается спонтанное повышение артериального давления;
- редкие опухоли средостения проявляются изжогой, диареей (поносом).
Общие симптомы, слабовыраженная клиническая картина, многообразие признаков, которые присущи и другим патологиям, делают диагностику только по жалобам пациента и стандартным обследованиям практически невозможной. Кроме этого, опухоли средостения могут быть и доброкачественными – например, рак тимуса по своей клинической картине полностью идентичен признакам доброкачественных новообразований в вилочковой железе.
Диагностика опухоли средостения.
Опухоль средостения может быть диагностирован инструментальными методами, которые являются самыми информативными:
- В большинстве случае комплексного рентгенологического исследования достаточно для выявления опухоли разных отделов средостения, в том числе и рака тимуса. Врачи не только подтверждают факт наличия новообразования, но и могут дать ему характеристику – форму, размер и локализация. Если подозревается рак средостения любого вида, то пациенту назначается рентгеноскопия грудной клетки. Если есть подозрение на развитие мезенхимальной опухоли, то проводится рентгенография пищевода. Назначается для подтверждения диагноза и получения данных о нейрогенной опухоли – размер, степень распространения, форма, точная локализация. Данные такого исследования более точные, чем рентгенография. На их основе врач может проработать тактику проведения хирургического вмешательства. Дополнительно выполняется магнитно-резонансная томография, она дает возможность определить степень поражения мягких тканей средостения, подтвердить или опровергнуть факт распространения метастаз в лимфатические узлы. Опухоли средостения могут прорастать в бронхи, трахею и для исключения или подтверждения такого роста используется бронхоскопия, видеоторакоскопия или медиастиноскопия.
Если перечисленных обследований недостаточно, то назначается хирургическая биопсия. Морфологическое исследование биологического материала позволяет полностью охарактеризовать рак средостения. Эта манипуляция важна для классификации опухоли – будет ли диагностирован именно рак тимуса или опухоль представляет собой доброкачественное образование.
Если есть подозрение на тимому (рак тимуса), то целесообразно проводить ультразвуковое исследование. Оно не выявит опухоль средостения, но даст возможность оценить состояние лимфатических узлов и жировой ткани в подключичной области.
К общим методам диагностики относятся анализы крови (общий, биохимический, коагулограмма), анализ мочи (общий), ЭКГ.
Лечение опухолей средостения.
Самым эффективным методом лечения опухолей средостения считается его хирургическое удаление, которое всегда сопровождается и специфической терапией. Если диагноз был поставлен на ранней стадии, врач может четко определить размер и форму опухоли, то применяется радиохирургический метод ее удаления по системе КиберНож. В случае больших размеров опухоли средостения удаляются классическим хирургическим методом с последующей химиотерапией. Диагностирование рака на поздней стадии делает нецелесообразным оперативное удаление новообразования, поэтому пациенту назначают только поддерживающее лечение (химиотерапия или лучевая) – рак средостения прекращает стремительно разрастаться, снижается вероятность распространения метастаз, облегчается симптоматика.
Если диагностирован рак тимуса (тимома), то врач опирается на данные исследований – каков размер опухоли средостения, есть ли ее разрастание. В некоторых случаях сначала проводится несколько курсов химиотерапии и только после этого назначается хирургическое лечение. Дополнительно, после проведения операции по удалению опухоли средостения, пациенту назначают гормональные препараты, иммуноподдерживающие средства.
Принимать решение о проведении терапевтического лечения или хирургического удаления опухоли средостения может только лечащий врач. Операция выполняется только в том случае, если специалист будет уверен в том, что он сможет удалить сразу все новообразование. Так как диагноз рак средостения часто ставится на поздних стадиях заболевания, то даже хирургические методы могут быть бесполезными по причине распространения метастаз, поражения внутренних органов и мягких тканей вокруг средостения.
Прогноз рака средостения.
Теоретически прогнозы на выздоровление при диагностировании опухоли средостения (рака тимуса) положительные. Но проблема заключается в сложностях диагностики – клиническая картина не типичная для злокачественных образований, часто люди либо предпринимают попытки лечения сами, либо обращаются со стандартными жалобами к врачу и им ставят неверный диагноз. Пока проводится лечение неверного заболевания, время проходит и наступает рак, средостения достигает тяжелой стадии. При своевременном выявлении рака тимуса вероятность благоприятного исхода составляет 68%.
Опухоли средостения (рак тимуса) возможно вылечить, но при условии своевременного выявления. Хирургический метод и последующая химиотерапия дают возможность полностью выздороветь. По причине неспецифической клинической картины диагностирование на ранней стадии затруднено, поэтому важно проходит диспансеризацию – это реальный шанс полностью избавиться от злокачественных образований.
Новообразования средостения (часть 2)
Стенограмма второй части видеолекции профессора Игоря Евгеньевича Тюрина о новообразованиях средостения из цикла передач Лучевая диагностика для терапевтов.
Игорь Евгеньевич Тюрин, профессор, доктор медицинских наук:
- Другая распространенная проблема этой же области (я ее показываю специально, чтобы было понятно, насколько иногда непросто для врача-рентгенолога определить, о чем идет речь в этой ситуации) – тератома.
Чаще эти опухоли встречаются у более молодых пациентов. Большинству из них меньше 30-ти лет, в отличие от тимом. Большинство пациентов имеют явные клинические симптомы. Это опухоли, растущие и приводящие к сдавлению или оттеснению анатомических структур в грудной полости.
Тем не менее, большинство из них доброкачественные. Это один из наиболее частых вариантов герменогенных опухолей. Лучевые признаки обычно точно там же, где и располагаются тимомы, перед восходящей аортой. Четко очерченное округлое образование. Но, в отличие от тимомы как мягкотканого образования, иногда жировые включения, костные фрагменты, иногда даже фрагменты зубов – то, что позволяет рентгенологу сформулировать, предположить правильный диагноз.
Хотя если этого нет, то на обзорных снимках очень сложно сказать, что это такое. Такое же овальное патологическое образование в переднем средостении. Контрастированный пищевод, который проходит по задней поверхности сердца и вдоль задней стенки трахеи.
Но сказать на основании обзорной рентгенограммы, что это такое, может быть крайне сложно. Любое патологическое образование. Почему мы говорим, что это термоидное образование, герменогенная опухоль. Внутри мы видим включение жировой клетчатки, кистозные включения, множественные перегородки.
Расположение точно такое же – переднее средостение, средний этаж. Но достаточно характерная картина, которая позволяет говорить о том, что это такое и предпринимать соответствующее лечение.
Еще один очень важный признак, который позволяет нам иногда правильно характеризовать характер патологического образования в средостении – это взаимосвязь с другими анатомическими структурами. Классикой жанра здесь является внутригрудной зоб. Он чаще возникает у женщин. Чаще это патология у людей старше 40 – 45 лет. Достаточно частые по статистике образования.
Несмотря на очень большие размеры, оно длительное время может протекать бессимптомно. Важно, что почти всегда мы можем наблюдать связь со щитовидной железой. Это образование располагается в области верхней апертуры. Может быть в переднем или заднем средостении. Как правило, оттесняет и суживает трахею, что на рентгеновских снимках создает очень характерную типичную картину.
Если вы посмотрите на обзорный снимок в прямой проекции, то сразу же будет видно, насколько изменилась конфигурация воздушного столба в трахее на уровне грудино-ключичных расчленений и выше в области верхней апертуры. Трахея оттеснена по дуге вправо и практически достигает контура средостения и несколько сужена.
Почему? Ответ на этот вопрос в компьютерно-томографическом исследовании. Два огромных узла, один из которых располагается на шее. Второй в переднем средостении. Оба гиперваскулярны, неоднородной структуры. Это типичная картина огромных размеров внутригрудного зоба, который занимает переднюю часть средостения.
Еще одна особенность патологических образований, когда мы говорим об их локализации. Лимфомы, если говорить о преимущественной локализации этих патологических образований, часто занимают тот же средний этаж переднего средостения, что и тимомы и герменогенные опухоли. Но очень часто по характеру клинического течения, по дополнительным признакам они отличаются.
Здесь самое главное – системные поражения. Это поражения многих групп лимфатических узлов, в том числе и периферических лимфатических узлов, с чего начинается обследование такого пациента. Патология возникает либо в молодом возрасте 20-ти лет, либо старше 50-ти лет.
Это патологическое состояние разделяется на две большие группы. Сейчас это болезнь Ходжкина и злокачественные неходжкинские лимфомы (ЗНЛ). Последние чаще встречаются у людей более старшего возраста. По количеству они значительно чаще встречаются.
Но если говорить о патологии средостения, то там болезнь Ходжкина занимает первое место по частоте. Проявления одинаковые. Мы редко можем предположить нозологическую принадлежность, гистологическую форму, тип патологического процесса. Но когда мы видим отдельные увеличенные лимфатические узлы в переднем средостении или когда это сочетается с увеличением периферических лимфатических узлов, с характерной клинической симптоматикой, тогда предположение врача-рентгенолога становится более понятным и очевидным.
Расширение тени средостения на обзорном снимке влево в области аорто-пульмонального окна, в области талии сердца и при томографическом исследовании прекрасно виден конгламерат увеличенных лимфатических узлов, которые располагаются в переднем средостении. Объемные образования, которые состоят из множества лимфатических узлов, отличают такой процесс от обычных опухолей средостений.
С другой стороны, эти лимфатические узлы могут вырастать в патологическое образование, которое совершенно неотличимо ни от каких других опухолей средостений, с признаками инвазии, с вовлечением в грудной стенке, со сдавлением крупных сосудов, со стеснением и сужением трахеи главных бронхов.
В этой ситуации требуется морфологическая верификация, чтобы ответить на вопрос: что это за патологический процесс.
В качестве иллюстрации: почему рентгенологи предпочитают разделять средостения на различные части, отделы. Патология заднего средостения, которая совершенно отличается по нозологии от того, что мы видим в передней части средостения, потому что здесь может встречаться внутригрудной зоб.
Но все-таки это территория, где чаще возникают нейрогенные опухоли, где обычно локализуются бронхо- и энтерогенные кисты, могут увеличиваться лимфатические узлы при лимфомах, но очень редко, где возникают значительные аневризмы аорты в области дуги нисходящей части. Классикой жанра здесь являются нейрогенные опухоли. Иногда совсем маленькие, они случайно выявляются при рентгеновском исследовании.
Небольшое патологическое образование, которое по форме напоминает нисходящую часть аорты в поперечном сечении. Бессимптомное течение. Обычно 3-я или 4-я декады жизни, округлая форма, четкие контуры, тканевая плотность. Очень часто кальцификация, кисты. Самое главное – абсолютно типичная локализация в большинстве случаев в реберно-позвоночном углу.
В этом случае, даже если у нас есть обычное компьютерно-томографическое исследование, без всякого контрастирования, информации, локализация в заднем средостении, которая четко определяется по обзорным снимкам, проекция патологического образования на тень позвонков, которая позволяет нам говорить, что это образование находится в реберном позвоночном углу.
Подтверждение этому томографическое исследование со всеми типичными характерными признаками. По компьютерной томографии мы хорошо видим, что это образование не внедряется в позвоночный канал. В этом случае можно не выполнять МРТ.
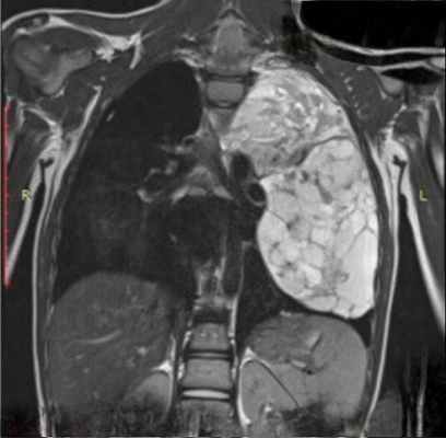
В тех случаях, когда эти опухоли (что, к счастью, бывает редко) озлокачествляются и приобретают крупные размеры, тогда судить о природе, источнике чрезвычайно сложно. Это злокачественная нейрогенная опухоль, которая привела к оттеснению средостения в противоположную сторону – в сторону правого легкого с накоплением жидкости в правой половине плевральной полости.
Огромных размеров патологическое образование, оттесняющее аорту впереди в сторону сердца, занимающее практически всю левую половину грудной полости, оттесняющее селезенку, почку и диафрагму вниз. Это злокачественная нейрогенная опухоль. Но сказать о том, что эта опухоль исходит из нервных образований, при томографическом исследовании очень сложно и не всегда возможно.
Почему мы не можем сегодня ограничиваться только этими данными, только локализацией. Конечно, возможные ошибки. Различные опухоли могут располагаться в одном и том же отделе средостения. Мы это видели на примере средней части переднего средостения.
С другой стороны, одинаковые опухоли могут располагаться в совершенно различных отделах средостения. Классикой в этом случае являются нейрогенные опухоли, которые могут встречаться не только в заднем, но и в переднем, центральном средостении.
Здесь важен еще один вид анализа при лучевом исследовании. Это структура патологического образования. То, что мы очень плохо можем различить на обычных обзорных рентгенограммах, на линейных томограммах. Мы всегда говорим о том, что подозрение на патологическое образование в средостении есть прямое показание к выполнению компьютерной томографии или магнитного резонанса.
В зависимости от того, что мы обнаруживаем в этом случае (скопление жидкости, жира или необычные реакции на контрастное вещество, его избыточное накопление или обызвествления), мы можем более глубоко и более точно оценить характер этих образований.
Жиросодержащие образования (мы сегодня уже говорили о герменогенных опухолях и тератомах), которые отличаются от всех остальных образований тем, что содержат заключения жира. Другим таким же примером являются грыжи диафрагмы, которые очень часто вызывают затруднения при обычном рентгенологическом исследовании. Избытки жира скапливаются в области реберных диафрагмальных синусов, в области сердца или позвоночника.
В этом случае возникает предположение, нет ли здесь патологического образования, опухоли, которая требует хирургического лечения. Если этот вопрос нельзя решить на основании рентгеновского исследования, то томографическое исследование четко показывает скопление чаще всего жировой клетчатки.
Никаких сомнений в том, что здесь нет злокачественной опухоли и вообще опухоли, не остается. На этом процесс диагностики заканчивается.
Грыжи различаются по локализации, по характеру. Это описано в большинстве руководств и учебников. Я не буду на этом сейчас останавливаться. Другим примером такой же дифференциальной диагностики является кистозное образование, очень частое, особенно у детей.
Речь идет в том числе о врожденных кистах. Это примерно 20% всех патологических образований средостений. Каким образом их можно отличить от солидных опухолей той же локализации. По денситометрическим характеристикам.
Наиболее частые бронхогенные кисты, которые локализуются в паратрахеальной правой области или около бифуркации трахеи. Как правило, имеют плотность жидкости, если у них не возникает или не накапливается растворимый кальций. Тогда плотность может повышаться и в существенно большей степени.
Типичная локализация расположения патологического образования в правой паратрахеальной области. Контрастированная верхняя полая вена в том и другом случае смещены впереди. Само патологическое образование прилежит к правой стенке трахеи. Типичная локализация.
Очень часто такие пациенты выявляются при первом же флюорографическом исследовании. У них определяется расширение тени средостения вправо. Это может интерпретироваться как проявление увеличения лимфатических узлов. Нередко – как проявление туберкулезного поражения лимфатических узлов. Вследствие этого начинается лечение без томографического исследования.
Выполнение томографии здесь позволяет сразу же исключить какие-то воспалительные патологические процессы.
Про обызвествления мы уже говорили. Это внутригрудной зоб, тератомы, лимфатические узлы.
В заключение на чем бы мне хотелось остановиться сейчас – это мягкотканые образования, которые в некоторых случаях имеют либо обычную, либо не совсем обычную реакцию на введение контрастного препарата.
Обычное усиление, обычная реакция – так же как реагируют тканевые структуры – наблюдаются при тимомах, невриномах, герминогенных опухолях, мезенхимальных опухолях (фибромы, миомы и так далее), при злокачественных лимфомах. Здесь нет никакой специфики.
Локализация этих патологических образований в сочетании с другими признаками иногда позволяет предположить правильный диагноз. То, что имеет важное значение – в некоторых случаях мы видим обызвествления или повышенную плотность при первичном исследовании. Это характеризует, например, внутригрудной зоб или свежие гематомы.
Самое интересное – это необычная реакция на введение контрастного вещества. Она наблюдается в виде исключительно высокого повышения плотности патологического образования. Такие изменения мы наблюдаем у больных с внутригрудным зобом, при опухолях паращитовидных желез, при болезни Кастлмана, при некоторых формах карциноидных образований средостений.
Это характерная картина, которая должна подлежать интерпретации. Мы опять возвращаемся к опухолям, исходящим из щитовидной железы, которые через верхнюю апертуру спускаются вниз в область грудной полости средостения. Типичные, это хорошо видно, характерные проявления этого патологического образования с оттеснением средостения и локализацией его в области верхней апертуры.
Насколько повышает плотность это патологическое образование. Оно практически соответствует по плотности сосудистым структурам средостения, контрастированию крови в сосудах и камерах сердца. Это характерно для тканей щитовидной железы.
Другой пример. Болезнь Кастельмана. Здесь специально оставлены денситометрические показатели. Средняя плотность образования, которое располагается между типичных образований, между восходящей и нисходящей аортой и оттесняет трахею сзади и справа, составляет почти 140 или 150 единиц (неразборчиво, 15:07).
Практически так же как контрастированная кровь. Очень немногие патологические образования средостения реагируют таким образом на введение контрастного вещества. В этом случае сочетание точной локализации и реакции на контрастный препарат позволяют предположить правильный диагноз.
Но, с другой стороны, в некоторых случаях, особенно когда речь идет о мезенхимальных опухолях, как в данном случае – ангиомиосаркоме, мы видим избыточную васкуляризацию таких патологических образований, все признаки злокачественного процесса. Но сделать здесь какое-либо морфологическое заключение очень сложно. Это может быть сделано только на основании гистологического исследования самого патологического образования.
Подводя итог сегодняшнему разговору о томографическом исследовании, вообще о лучевом исследовании при патологии средостения и при новообразованиях средостения, хочу еще раз подчеркнуть, что первичные выявления – это выявления с помощью рентгеновских исследований, рентгенографии в прямой и боковой проекции.
В качестве уточняющих методов чаще всего это компьютерная томография. Обычно с внутривенным контрастированием, чтобы мы могли точно разграничить образования на две большие части. По их локализации в средостении и по реакции на введение контрастного вещества.
В этом случае мы можем четко определить и локализацию изменений и взаимоотношения с прилежащими структурами. Нередко поставить и нозологический диагноз.
Нейрогенные опухоли
Основным методом лечения доброкачественных нейрогенных опухолей является хирургический. Развитие медицины дало возможность удалять нейрогенные опухоли с использованием малоинвазивных методов (торакоскопия), так как раньше удаление выполнялось через травматичный торакотомный доступ (рисунок б).

Но не все нейрогенные опухоли возможно удалить торакоскопическим доступом. В случае инвазии опухоли возникает необходимость выполнения комбинированных операций с резекцией или удалением вовлеченных в опухолевый процесс структур, что позволяет улучшить показатели резектабельности с 60-75 % до 85 % . В этом случае однозначно используется торакотомный (рисунок б), либо стернотомия (рисунок а), реже комбинированный стерно-торакотомный доступ.
При опухолях типа «гантели», можно использовать комбинированный доступ: внутригрудной компонент опухоли выделяется торакоскопическим доступом, для мобилизации спинального компонента используется гемиляминэктомия.
На данный момент ведутся споры о преимуществах и недостатках использования торакоскопического метода удаления нейрогенных опухолей . Несмотря на большую популярность торакоскопического метода, существует много противников данного подхода. Многие авторы считают, что торакоскопические вмешательства не позволяют в полной мере соблюсти основной принцип хирургического удаления опухолей – радикализм оперативного вмешательства. Соблюдая все принципы абластики, торакоскопический метод не уступает по радикализму открытому методу.
Преимущества торакоскопического метода.
Учитывая вариабельность расположения нейрогенных опухолей в средостении, использование торакоскопического метода в сравнении с открытым методом, имеет ряд преимуществ, так как есть возможность одномоментного 2-стороннего доступа к опухоли, обеспечивая меньшую травматичность, высокую разрешающую способность камеры, что позволяет визуализировать на экране отдельные структуры с многократным увеличением, более быстрое восстановление функциональных показателей в послеоперационном периоде, уменьшение сроков пребывания в стационаре, лучший косметический эффект.
Травма, причиненная при использовании открытых доступов, больше травматичности самого этапа удаления опухоли. Большая травматичность (рассечение межреберных мышц, широчайшей мышцы спины, грудины, переломы ребер) при открытых операциях приводит к выраженному болевому синдрому, результатом всего этого является ограничение экскурсии грудной клетки, их вентиляции, особенно нижних отделов, как следствие – развитие пневмонии; так же отмечается гиподинамия в результате выраженного болевого синдрома, повышающая риск развития тромбоза вен нижних конечностей.
Осложнения после торакотомии возникают в 11-12 % случаев. В результате широкое применение в онкологической практике получили малоинвазивные хирургические вмешательства, благодаря относительной безопасности метода, а также минимальному количеству осложнений (6.5 %) . Осложнения, возникшие после выполнения стернотомии, связаны с расхождением краев грудины, что приводит к нарушению заживления послеоперационной раны с размножением микробной флоры.
Таким образом по мнению других авторов, торакоскопический метод является методом выбора при небольших нейрогенных опухолях и отсутствии инвазии в соседние структуры.
Осложнения встречаются и после торакоскопических операций. Наиболее распространенными осложнениями являются: кровотечение из межреберных сосудов в результате их повреждения при установке торакопорта; повреждение паренхимы легкого, при несвоевременном восстановлении целостности в послеоперационном периоде может возникнуть пневмоторакс.
Главный недостаток торакоскопических методов – высокая стоимость оборудования.

Методика торакоскопического удаления нейрогенных опухолей.
Торакоскопическое удаление нейрогенных опухолей ряд хирургов проводят с использованием трех портов: один порт для введения в грудную полость эндоскопа и двух рабочих портов – для инструментов. Порты устанавливаются таким образом, что образуется треугольник и не создается эффект «качель» (рисунок 2).
Нейрогенные опухоли наиболее распространенные опухоли заднего средостения. Данный вид опухолей образуется либо из собственно нервной ткани – нервных клеток и нервных оболочек, либо из оболочек нервов. Доброкачественные нейрогенные опухоли инкапсулированные, имеют «ножку», направляющуюся к позвоночнику. Основной метод лечения – хирургический. Для удаления нейрогенных опухолей используются: торакоскопический и открытый доступы. Показаниями к торакоскопии являются следующие критерии: небольшой размер опухоли (до 12 см), отсутствие инвазии в соседние структуры. При соблюдении принципов абластики, торакоскопический метод не уступает открытому. Частота послеоперационных осложнение после торакоскопического удаления опухолей средостения составляет 6.5 %, после использования открытого доступа 11-12 %. Главным недостатком торакоскопии является высокая стоимость оборудования.
Читайте также:
