Самопроизвольное вскрытие кисты гайморовой пазухи. Одонтогеннные кисты пазухи
Добавил пользователь Владимир З. Обновлено: 27.01.2026
Образование кисты возникает вследствие нарушения вентиляции околоносовых пазух, и оттока слизи, т.е. не происходит физиологического газообмена и удаления секрета слизистой оболочки из пазухи. Это приводит к нарушению функции секреторных клеток слизистой оболочки, которая начинает разрастаться, проток железы блокируется и образуется киста в виде тонкостенного пузыря с жидкостью внутри. Причинами появления кисты являются хронические воспаления полости носа, полипозный процесс, а также воспалительные процессы в корнях зубов, расположенных в непосредственно близости к пазухам носа.
Полипы верхнечелюстной пазухи – это разрастание слизистой оболочки носа, которое появляется из-за наличия хронического воспаления при недостаточном лечении простудных или аллергических заболеваний, а также при наличии иммунологических изменений.
Одонтогенный гайморит развивается вследствие проникновения инфекции в гайморову пазуху из воспалительного очага в корнях зубов, расположенных в непосредственной близости к гайморовой пазухе. Как показывает медицинская практика, пациенты очень часто обращаются к врачу-оториноларингологу с симптомами одонтогенного гайморита после стоматологического вмешательства. У одних пациентов воспаление гайморовой пазухи было вызвано оставшейся в лунке зуба инфекцией, у других – инфекция проникала в пазуху после хирургического удаления зуба, а третьи жаловались на гайморит из-за попадания в придатки носа пломбировочного вещества.
Симптомы одонтогенного гайморита
- частые простудные заболевания
- головная боль, напоминающая мигрень
- временная или постоянная заложенность носа и затруднение дыхания
- неприятный запах из носа и рта
- скопление слизи и мокроты в горле
- слизистые светлые или мутные гнойные выделения из носа
- нарушение функции обоняния
Лечение

В ФГБУ НМИЦ оториноларингологии ФМБА России лечением гайморитов, кист и полипов занимаются специалисты научно-клинического отдела заболеваний носа и глотки под руководством талантливого врача, к.м.н. В.М. Авербуха. Современное диагностическое оборудование Центра, большой опыт врачей и успешное использование последних разработок и методик в области лечения гайморитов, помогает не только правильно диагностировать заболевание, но и назначить эффективное лечение.
Специалисты Центра считают, что не все разновидности кист и полипов требуют хирургического удаления. Как показывает практика, в большинстве случаев,острое воспаление в гайморовой пазухе хорошо поддается консервативному лечению – правильной комбинацией назначения противовоспалительных, антибактериальных и противоаллергических средств. Пациенты должны знать, что киста самостоятельно не рассасывается и только в очень редких случаях эвакуируется из пазухи самопроизвольно. Только специалист может определить разновидность и характер кисты, назначить правильное решение проблемы. При большом размере кисты, которая своим объемом оказывает давление на стенки пазухи, показано хирургическое вмешательство.
Но прежде чем назначить индивидуальный курс лечения, необходимо провести тщательное диагностическое обследование пациента.
Диагностика
В научно-клиническом отделе заболеваний носа и глотки применяют различные современные виды диагностики:
- ортопантограмма ( панорамная рентгенограмма челюсти)
- КТ околоносовых пазух
- Видеоэндоскопия носовых пазух
- МР-томография околоносовых пазух

В распоряжении специалистов Центра имеются различные методики, разработанные не только лучшими отечественными и зарубежными клиниками, но свои собственные. Эндоскопическая операция на верхнечелюстной пазухе, которую выполняют как под местной анастезией, так под наркозом, является одной из самых современных методик, используемой в Центре. Данная операция требует высокого мастерства и большого опыта хирурга. Через естественное соустье гайморовой пазухи хирург аккуратно производит эндоскопическое удаление кисты. Инструмент вводится через нос пациента без разрезов и проколов. Хирурги отдела считают, что данная методика не имеет противопоказаний к применению, не приводит к осложнениям, не требует длительного нахождения в стационаре. Однако, если во время не удалось полностью удалить кисту упомянутым способом, хирург с помощью троакара производит 4мм отверстие под верхней губой в преддверии полости рта.
Для каждого пациента Центра специалисты разрабатывают индивидуальную программу лечения, а внимание и бережное отношение сотрудников гарантировано всем!
Самопроизвольное вскрытие кисты гайморовой пазухи. Одонтогеннные кисты пазухи
ФГБОУ ВО «Ростовский государственный медицинский университет» Минздрава России, Ростов-на-Дону, Россия
Кисты верхнечелюстной пазухи
Журнал: Российская ринология. 2019;27(4): 204‑208
ФГБОУ ВО «Ростовский государственный медицинский университет» Минздрава России, Ростов-на-Дону, Россия
Введение. Кисты околоносовых пазух — доброкачественные, зачастую бессимптомные образования. Чаще всего кисты обнаруживаются в верхнечелюстных пазухах (ВЧП). Цель исследования — обобщение современных публикаций по вопросам диагностики и лечебной тактики в отношении кист ВЧП. Материал и методы. В обзоре использованы публикации, представленные в информационных базах eLIBRARY, PubMed/MEDLINE, ScienceDirect, EBSCO, за период с 1972 по 2017 г., которые были найдены по ключевым словам: киста верхнечелюстной пазухи, клиническое течение, лечение. В анализ включены оригинальные исследования по проблеме диагностики и лечения кист верхнечелюстной пазухи, а также аналитические обзоры. Результаты. В ряде длительных наблюдений с использованием современных методов визуализации показана четкая тенденция кист ВЧП к самопроизвольному медленному регрессу. В большинстве случаев кисты не требуют удаления. На сегодняшний день наиболее распространенными методами лечения являются щадящее вскрытие пазухи через переднюю стенку с использованием бора или троакара, эндоскопический эндоназальный доступ через средний носовой ход, эндоскопическая антростомия через нижний носовой ход, возможен комбинированный доступ. Заключение. Хирургическое вмешательство необходимо только в случае появления клинических симптомов кисты ВЧП. Выбор методики хирургического вмешательства определяется локализацией кисты в пазухе.
ФГБОУ ВО «Ростовский государственный медицинский университет» Минздрава России, Ростов-на-Дону, Россия
Кисты верхнечелюстных пазух (ВЧП) — частая находка при рентгенологических исследованиях околоносовых пазух (ОНП). Они составляют от 89,5 до 92,7% всех кист, локализованных в ОНП [1—3]. Частота обнаружения кист ВЧП зависит от способа визуализации и колеблется в широких пределах — от 1,4 до 35,6% [1], в среднем кисты ВЧП выявляются у 21,6% обследованных [4, 5]. Наиболее информативными методами обнаружения кист ОНП являются компьютерная томография (КТ) и магнитно-резонансная томография (МРТ), которые обнаруживают их примерно с одинаковой точностью [6].
Цель работы — обобщение современных публикаций по вопросам диагностики и лечебной тактики в отношении кист ВЧП.
Материал и методы
В обзоре использованы данные публикаций, представленных в информационных базах eLIBRARY, PubMed/MEDLINE, ScienceDirect, EBSCO, за период с 1972 по 2017 г., которые были найдены по ключевым словам «киста верхнечелюстной пазухи, клиническое течение, лечение». В анализ включали оригинальные исследования по проблеме диагностики и лечения кист верхнечелюстной пазухи, а также аналитические обзоры.
Результаты
Классификация кист, не утратившая своей актуальности и в настоящее время, была предложена М.И. Кадымовой [7]: истинные или ретенционные кисты; ложные или кистоподобные образования; одонтогенные кисты; кисты, связанные с пороками развития.
В англоязычной литературе различают кисты секретирующие (ретенционные) и несекретирующие (псевдокисты).
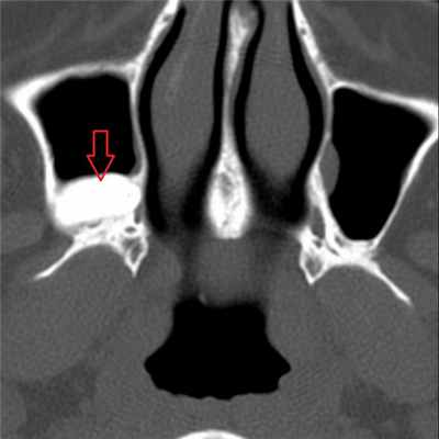
Ретенционные кисты формируются в результате обструкции выводных протоков желез слизистой оболочки [8]. При гистологическом исследовании ретенционные кисты имеют двустороннюю выстилку мерцательным цилиндрическим эпителием, стенка кисты состоит из соединительной ткани с наличием грубых коллагеновых волокон [9]. На спиральной КТ (СКТ) такие кисты имеют вид округлых гомогенных мягкотканных образований на широком основании, с четкими границами, без признаков разрушения кости, без связи с корнями зубов.
Ложные (лимфоэктатические) кисты располагаются интрамурально в слизистой оболочке, не имеют внутренней эпителиальной выстилки, что является их единственным гистологическим отличием от ретенционных кист.
Предположительными причинами формирования ложных кист считают баротравму, аллергические и воспалительные заболевания пазух [3, 10, 11]. По результатам исследовании O. Berg и соавт. [10] было выявлено высокое содержание иммуноглобулинов, комплемента и антипротеаз в аспиратах из интрамуральных кист, что наряду с присутствующей в них бактериальной микрофлорой поддерживает воспалительную теорию их происхождения, тем не менее содержание иммуноглобулина Е (IgE) и эозинофилов было в пределах нормы. Идентичность обнаруженной бактериальной флоры микробиоте полости рта позволила авторам предположить, что основу формирования интрамуральных кист формирует резидуальная часть дентального листка.
В нескольких проспективных сравнительных исследованиях были изучены связи между кистой ВЧП и патологией слизистой оболочки и нарушениями дренажа пазухи. J. Kanagalingam и соавт. [12] не обнаружили корреляции между возникновением кист ВЧП и аллергией, астмой или блоком остиомеатального комплекса. Отсутствие корреляции кист ВЧП и состояния остиомеатального комплекса было подтверждено и в других работах [13—15].
Однако R. Harar и соавт. [14] отметили, что при наличии кисты изменения слизистой оболочки пазухи, характерные для хронического риносинусита, на СКТ обнаруживаются чаще, чем при ее отсутствии (52,7 и 41,3% соответственно). Авторы сделали вывод о теоретической возможности формирования кисты вследствие преходящей обструкции остиомеатального комплекса с последующим сохранением ВЧП после восстановления его проходимости.
Описываемые в литературе возможные клинические проявления кисты ВЧП весьма разнообразны: головная и лицевая боль, затруднение носового дыхания, постназальный затек, ринорея, внезапное истечение из носа янтарной жидкости (что связано с самопроизвольным разрывом кисты), онемение верхней губы, боли в зубах и др. [16—19]. При этом во многих случаях описание симптомов не содержит доказательств их связи с кистой.
В этом отношении представляет интерес исследование Ф.В. Семенова и соавт. [16]. Авторы оценили динамику жалоб 67 больных, оперированных по поводу кист ВЧП, путем анкетирования пациентов до и после вмешательства с последующей обработкой данных методами математической статистики. Из 14 симптомов, указанных больными в качестве повода для обращения к врачу, после удаления кисты исчезли 4: головная боль (преимущественно в лобной области), чувство давления в проекции пораженной пазухи, затруднение носового дыхания и прозрачные выделения из носа/постназальный затек (р<0,01). Авторы сделали вывод, что именно эти симптомы с большой долей вероятности можно связать с присутствием больших кист ВЧП.
При наличии анатомических аномалий кисты ВЧП могут вызвать появление необычных симптомов. N. Sharma и соавт. [20] описали преходящую парестезию в области лица у больной с кистой ВЧП и дегисценцией канала инфраорбитального нерва. Связь парестезии с кистой была подтверждена ее исчезновением после удаления кисты.
Вместе с тем в ряде проспективных сравнительных исследований не было выявлено корреляционной связи между кистами ВЧП и синоназальными симптомами [12, 15]. S. Albu [15] в проспективном рандомизированном исследовании, включавшем 80 пациентов, не обнаружил корреляции между размером кисты и ощущением давления в области лица или назальной обструкцией, или выделениями из носа.
Часто кисты ВЧП никак себя не проявляют и являются случайной находкой. В исследовании, проведенном автором настоящего обзора [21], бессимтомные кисты были выявлены у 37 из 177 практически здоровых людей (20,9%), которым была выполнена СКТ ОНП с целью профотбора.
Пациенты с кистами ВЧП нередко подвергаются хирургическим вмешательствам при отсутствии каких-либо жалоб. Очевидно, это связано с опасениями некоторых врачей, что кисты могут увеличиваться и со временем вызывать развитие осложнений. В связи с этим особый интерес представляют длительные наблюдения с использованием современных методов визуализации, оценивающие изменения размеров кист ОНП в динамике (см. таблицу). Изменения размеров кист ВЧП при длительном наблюдении
Как следует из сводной таблицы исследований, увеличение размеров кисты наблюдалось только у 12,7% пациентов, у 18,3% она исчезла, у 12,2% уменьшилась в размерах, у 56,8% осталась без изменения.
На основании длительного наблюдения 18 больных J. Wang и соавт. [24] пришли к выводу, что если размеры кисты пазухи не изменились на протяжении 48 мес, то они останутся неизменными и в дальнейшем, хотя P. Casamassimo и G. Lilly [25] не отметили зависимости изменения размеров кисты от времени наблюдения.
Наиболее масштабное из приведенных в таблице исследований — работа I. Moon и соавт. [2] — описывает динамику изменения размеров кист ОНП у 133 пациентов, которым производили МРТ головного мозга с целью профилактического исследования более 2 раз с периодом наблюдения не менее 24 мес.
В среднем период наблюдения составил 40,38±16,09 мес (от 24,0 до 109,8 мес). У 119 из 133 больных при первичном исследовании были обнаружены кисты в ВЧП размером от 13,35±9,22 до 15,49±6,94 мм. При наблюдении от 24 до 36 мес размеры кист остались без изменения у 73% пациентов, у 22% уменьшились или исчезли и лишь в 5% случаев отмечалось увеличение размера кисты. В дальнейшем (более 48 мес) изменение размеров кист происходило в большем числе случаев: неизменными остались размеры 42% кист, 43% уменьшились или исчезли, в 15% случаев кисты увеличились.
Суммируя данные исследований, представленных в таблице, следует подчеркнуть, что спонтанный регресс (уменьшение или исчезновение) кисты произошел в 30,5% случаев. Результаты исследования I. Moon и соавт. [2], которое имело самый длительный срок наблюдения и максимальное число включенных в него пациентов, показали, что в течение времени все большее число кист подвергалось регрессу, а присоединение осложнений было незначительным (3%).
С учетом этих данных мнение многих исследователей [12, 15, 25—28], считающих, что большинство больных с кистами ВЧП не нуждаются в хирургическом лечении, вполне обосновано. I. Moon и соавт. [1] полагают, что только большие кисты, вызывающие обтурацию соустья пазухи, требуют удаления.
Развитие современной ринохирургии ознаменовалось внедрением в практику щадящих методов удаления кист ВЧП, которые пришли на смену методу Колдуэлла-Люка.
На сегодняшний день наиболее распространены три хирургических доступа:
— щадящее вскрытие пазухи через переднюю стенку с использованием бора или троакара;
— эндоскопический эндоназальный доступ через средний носовой ход,
— эндоскопическая антростомия через нижний носовой ход, а также комбинация этих доступов [26, 29—31].
В последние годы появились единичные публикации о применении метода баллонной синусопластики при удалении кист ВЧП [32, 33].
Для выбора адекватного хирургического доступа большое значение имеет СКТ ОНП, позволяющая определить локализацию кисты, при этом важную роль играет сагиттальная реконструкция, дающая возможность оценить взаимоотношения кисты с передней и задней стенками пазух [26, 34, 35].
В 70% случаев кисты ВЧП локализуются на задне-верхней стенке, в латеральных отделах верхней стенки и в области естественного соустья пазухи, что позволяет удалить их эндоназальным доступом через средний носовой ход [26]. В случаях локализации кисты на передней и медиальной стенках ВЧП, а также в альвеолярной бухте эндоназальный подход через средний носовой ход зачастую не позволяет полностью удалить кисту и, следовательно, требуются другие варианты либо комбинированный доступ.
Ряд авторов отдают предпочтение антростомии через нижний носовой ход, объясняя его преимущество сохранностью естественного соустья [28, 36], а также удобством, простотой хирургической техники и хорошим обзором пазухи [37].
Заключение
Таким образом, кисты ВЧП в большинстве случаев характеризуются бессимптомным течением, имеют тенденцию к медленной спонтанной регрессии или сохраняют прежние размеры и, как правило, не требуют хирургического лечения. Показанием к операции служит наличие определенных симптомов и большие размеры кисты, вызывающие раздражение нервных окончаний слизистой оболочки пазухи и/или обструкцию соустья пазухи изнутри. Эндоназальные эндоскопические доступы в большинстве случаев позволяют получить хороший обзор полости ВЧП и полностью удалить кисту. Для выявления оптимального хирургического подхода при удалении кист ВЧП необходимы дальнейшие исследования частоты осложнений и рецидивов кисты при использовании различных доступов.
Самопроизвольное вскрытие кисты гайморовой пазухи. Одонтогеннные кисты пазухи
Самопроизвольное вскрытие кисты гайморовой пазухи. Одонтогеннные кисты пазухи
Самопроизвольное вскрытие кисты гайморовой пазухи, нередко замечаемое самим больным по неожиданному истечению соломенно-желтой жидкости из одной половины носа, при обычной рентгенографии с наклонным положением головы может по сплошному затемнению пазухи дать повод к ошибочному диагнозу гайморита. Симптом этот объясняется наличием в пазухе свободной жидкости, которая распределяется по всей передней стенке.
Учет анамнестических данных заставляет рентгенолога произвести дополнительный снимок при вертикальном положении головы, па котором хорошо выявляется горизонтальная граница уровня жидкости и просветление пазухи на ней. Мы располагали наблюдением самопроизвольного вскрытия кисты гайморовой пазухи у молодой девушки, страдавшей упорными головными болями.
Вскрытие кисты произошло дважды на протяжении около 1,5 лет, причем серийное рентгенологическое исследование показало, что после излияния жидкости наступало затемнение пазухи, симулирующее гайморит, а затем через несколько месяцев киста заполнялась вновь и на рентгенограмме пазухи появлялся симптом полукруглой тени, типичный для солитарной кисты. После вторичного самопроизвольного вскрытия кисты больная была оперирована, в результате чего головные боли исчезли.
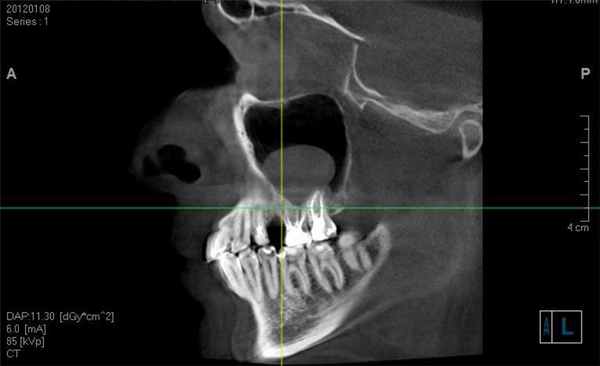
Установленные путем рентгенодиагностики кисты гайморовой пазухи всегда следует дифференцировать от верхнечелюстных кист одонтогенного типа, врастающих в пазуху, но фактически находящихся вне ее просвета.

Околокорневые кисты встречаются значительно чаще фолликулярных; различить их по обычным рентгенограммам большей частью затруднительно, однако установить их зубное происхождение сравнительно легко и прежде всего по интраоральным снимкам альвеолярного отростка верхней челюсти.
Механизм внедрения одонтогенных кист в гайморову пазуху заключается в поднятии растущей кистой нижней стенки пазухи вместе со слизистой оболочкой, выстилающей эту стенку изнутри. Выпячиваясь в пазуху и истончаясь, эта стенка под давлением жидкого содержимого кисты приобретает полукруглую форму, и, таким образом, тень кисты на рентгенограмме становится неотличимой от описанных нами выше кист, исходящих из слизистой оболочки самой гайморовой пазухи.
Однако в ряде случаев такая одонтогенная киста может быть по снимку в подбородочноносовой проекции легко отличима от последних по характерному признаку резко выраженной полоски уплотнения в области верхнего полукруглого контура тени кисты. Описываемый симптом можно объяснить костной регенерацией приподнятой нижней стенки пазухи из надкостницы, прилегающей к кисте.
При подозрении на одонтогенную кисту контрастное исследование пазухи с введением йодолипола в остаточную полость через прокол или через свищ в кисту, а в некоторых случаях одновременно в обе полости, как это делал Я. М. Бардах, весьма способствует установке правильного диагноза. При прорыве врастающей кистой нижней стенки пазухи происходит хроническое воспаление ее слизистой оболочки, обусловливающее рентгеновскую картину хронического гайморита.
В таких случаях диагностика ставится на основании многоосевого рентгенологического исследования и данных клиники. Известно также, что одонтогенные кисты могут узурировать и другие стенки пазухи, чаще переднюю, а иногда внутреннюю.
Информация на сайте подлежит консультации лечащим врачом и не заменяет очной консультации с ним.
См. подробнее в пользовательском соглашении.
Киста гайморовой (верхнечелюстной) пазухи
Киста гайморовой пазухи – это доброкачественное новообразование, которое появляется на слизистой оболочке внутри околоносовых пазух. Киста гайморовой пазухи представляет собой округлый мешочек, с оболочкой в виде тонкой плёнки, заполненный жидкостью. Бывает, оболочка кисты спонтанно рвётся, и это проявляется обильными прозрачными выделениями из носа.
Киста гайморовой пазухи – это доброкачественное новообразование, которое появляется на слизистой оболочке внутри околоносовых пазух. Киста гайморовой пазухи представляет собой округлый мешочек, с оболочкой в виде тонкой плёнки, заполненный жидкостью. Бывает, оболочка кисты спонтанно рвётся, и это проявляется обильными прозрачными выделениями из носа. Ретенционные кисты в пазухах образуются из-за длительного нарушения нормального движения воздуха в полости носа на фоне вялотекущего хронического воспаления (например, аллергии или хронического гайморита). Одонтогенные кисты возникают в пазухе в ответ на воспаление в области корней зубов верхней челюсти или как реакция на установку зубных имплантов.
ЧЕМ ОПАСНА КИСТА ОКОЛОНОСОВОЙ ПАЗУХИ?
Кисты околоносовых пазух не являются опухолями, не перерождаются в злокачественные, и не представляют угрозы для жизни. Маленькая киста может находиться в пазухе и никак не проявлять себя много лет. Если киста не растёт и не беспокоит, лечения не требуется. С другой стороны, если киста занимает больше половины объёма пазухи, это приводит к нарушению вентиляции и застою слизи. Большая киста полностью закупоривает соустье пазухи, препятствует нормальному движению воздуха и оттоку отделяемого. Нередки случаи, когда на фоне острой респираторной инфекции киста гайморовой пазухи нагнаивается – возникает острый гнойный гайморит, который уже чреват осложнениями. По этой причине большие кисты рекомендовано удалять.
ЛЕЧЕНИЕ КИСТЫ ГАЙМОРОВОЙ ПАЗУХИ
Кисты околоносовых пазух можно вылечить только одним путём – хирургически удалить. Однажды образовавшись, киста уже не сможет рассосаться самостоятельно или с помощью лекарств. Если кисту лопнуть при пункции пазухи или «прижечь» лазером, она вырастет на том же месте снова. Чтобы избежать рецидива кисты, важно тщательно удалить все её оболочки. Это возможно только под контролем зрения, во время эндоскопической операции.
ЭНДОСКОПИЧЕСКАЯ ГАЙМОРОТОМИЯ В ЛОР ЦЕНТРЕ
В клинике ЛОР Центр лечение кист околоносовых пазух проводится только эндоскопическим методом по принципам FESS – функциональной эндоскопической хирургии околоносовых пазух. Этот метод подразумевает максимально щадящий подход через естественные соустья пазух, небольшие разрезы, минимальное повреждение слизистой оболочки и внутриносовых структур. Эндоскопическая операция по удалению кисты гайморовой пазухи называется эндоскопическая гайморотомия.
МЕТОДЫ ЛЕЧЕНИЯ КИСТЫ ГАЙМОРОВОЙ ПАЗУХИ
Кисты околоносовых пазух можно вылечить только одним путём – хирургически удалить. Однажды образовавшись, киста уже не сможет рассосаться самостоятельно или с помощью лекарств. Народные методы лечения (промывание носа и пазух растворами соли или лекарственных растений), спреи для носа и антибиотики – неэффективны против кисты. Безоперационными методами лечения можно на время уменьшить кисту, выпустив из неё жидкость. Если кисту лопнуть иглой при пункции пазухи или прижечь лазером, она вырастет на том же месте снова через 2-3 месяца. Чтобы избежать рецидива кисты, важно очень тщательно удалить все её оболочки. Это возможно только под контролем зрения, во время эндоскопической операции.
СОВРЕМЕННЫЕ ОПЕРАЦИИ ДЛЯ ЛЕЧЕНИЯ КИСТЫ ГАЙМОРОВОЙ ПАЗУХИ
В клинике ЛОР Центр лечение кист околоносовых пазух проводится только эндоскопическим методом по принципам FESS – функциональной эндоскопической хирургии околоносовых пазух. Эндоскопическая операция по удалению кисты гайморовой пазухи называется эндоскопическая гайморотомия. Этот метод подразумевает максимально щадящий подход через естественные соустья пазух, минимальное повреждение слизистой оболочки и внутриносовых структур. Преимущества эндоскопической операции в том, что всё делается внутри носа, — никаких отёков, разрезов, швов и рубцов на лице или под губой после неё не бывает. Эндоскоп даёт хирургу хороший обзор, широкое поле зрения и яркий свет, что позволяет удалить всю кисту полностью, не оставив оболочек.
КАК ПРОХОДИТ ОПЕРАЦИЯ:
- Анестезиолог и операционная сестра готовят пациента к операции.
- Хирург осматривает полость носа эндоскопом и идентифицирует естественное соустье верхнечелюстной пазухи на боковой стенке полости носа.
- При помощи специальных инструментов соустье пазухи расширяется приблизительно до 9-10 мм.
- Внутреннее содержимое пазухи осматривается угловым эндоскопом.
- Через расширенное соустье вводятся специальные микрощипцы, киста захватывается и удаляется целиком вместе с оболочками.
- Проводится промывание и контрольный осмотр пазухи.
- После операции в нос устанавливаются специальные дышащие губчатые тампоны.
Результатом эндоскопической гайморотомии будет восстановление нормального объёма пазухи, естественного оттока слизи и движения воздуха в ней.
Эндоскопическая хирургия используется в клинике ЛОР Центр для лечения не только кист гайморовых пазух, но и хронических синуситов любой природы, полипов и других новообразований пазух.
ЭНДОСКОПИЧЕСКАЯ ОПЕРАЦИЯ ПОКАЗАНА ПРИ ЗАБОЛЕВАНИЯХ:
- Кисты гайморовых пазух
- Полипы полости носа и полипозный риносинусит (от одиночного полипа до распространённого полипоза).
- Хронические и рецидивирующие гнойные синуситы (гайморит, этмоидит, сфеноидит, фронтит, или их сочетания – полисинуситы, пансинусит).
- Одонтогенные синуситы и инородные тела гайморовых пазух (после лечения у стоматолога и попадания цементирующего материала в пазухи).
ПОКАЗАНИЯ К ЭНДОСКОПИЧЕСКОЙ ОПЕРАЦИИ НА ПАЗУХАХ:
Не всегда кисту гайморовой пазухи, случайно обнаруженную на КТ, надо срочно оперировать. Если она занимает меньше 1/3 пазухи, не затрудняет дыхание и не вызывает боль, достаточно наблюдения у ЛОР врача. Об эндоскопическом удалении кисты надо думать, если:
- Одна или обе половины носа всегда заложены, приходится дышать ртом.
- Происходит избыточное скопление слизи в носу и носоглотке.
- Беспокоит постоянное ощущение тяжести, давления, распирания в области пазухи или головная боль.
- Возникает острый гнойный гайморит на стороне этой пазухи.
ЧТО НУЖНО ДЛЯ ПОДГОТОВКИ К ЭНДОСКОПИЧЕСКОЙ ОПЕРАЦИИ:
Киста в гайморовой пазухе и синус лифтинг
Костнопластические операции с каждым годом все больше совершенствуются, так как возрастает их востребованность. По статистике дефицит костной ткани, обусловленный той.
Киста в гайморовой пазухе и синус лифтинг
Костнопластические операции с каждым годом все больше совершенствуются, так как возрастает их востребованность. По статистике дефицит костной ткани, обусловленный той или иной причиной, встречается у каждого второго посетителя стоматолога. В подавляющем большинстве случаев недостаточный объем челюсти обнаруживается перед проведением имплантации зубов. Одной из самых популярных и надежных операций по восстановлению количества кости на верхней челюсти считается синус лифтинг.

Показания для его проведения:
- Длительное отсутствие передних премоляров и моляров, которое приводит к рассасыванию костной ткани;
- Разрешившиеся воспалительные процессы, задевшие костную ткань;
- Травматические повреждения челюсти (чаще всего хирургическое удаление зуба);
- Врожденные особенности строения верхней челюсти с гайморовых пазух (физиологический недостаток костной ткани).
В зависимости от степени выраженности дефицита костной ткани выполняется открытая или закрытая операция восстановления объема. Суть хирургического вмешательства заключается в отделении слизистой оболочки, выстилающей верхнечелюстной синус, с последующим наполнением образовавшейся полости костными трансплантатами разных видов. Однако в процессе подготовки к оперативному вмешательству, а иногда и во время его выполнения, могут обнаруживаться препятствия для совершения процедуры. Чаще всего подобными неблагоприятными факторами становятся кисты в гайморовой пазухе.
Что называют кистой в гайморовой пазухе?
Киста верхнечелюстного синуса представляет собой доброкачественное образование, имеющее полую структуру, внутри которой содержится жидкость. Кисты гайморовых пазух встречаются достаточно часто, но практически всегда обнаруживаются в случайном порядке. Их расположение и происхождение могут отличаться, от чего будут зависеть особенности клиники и даже лечения.
Одонтогенная киста
Среди множества доброкачественных опухолей челюстной ткани киста обнаруживается чаще всего и представляет собой достаточно опасную для костной структуры патологию. Одонтогеные образования в подавляющем большинстве случаев длительное время остаются не диагностированными, а потому достигают огромных размеров. Рост кисты провоцирует атрофические процессы костной ткани, которая истончается, становится хрупкой, а затем исчезает совсем.

Для таких образований характерно длительное латентное течение, пока полость не разрастется до гигантских размеров. Затем в челюсти начинает отмечаться характерный хруст, особенно, во время жевательных нагрузок. Игнорирование проблемы приводит к спонтанным переломам челюсти, сдавлениям гайморовой пазухи с нарушением ее функций, обострению воспалительного процесса с задеванием структур верхнечелюстного синуса и формированием гайморита.
Киста зуба, проросшая в гайморову пазуху
Поражение зубного канала с захватом корня и окружающих тканей является следствием инфекционного процесса бактериального происхождения. При отсутствии адекватного и своевременного лечения происходит постепенное отграничение воспалительной реакции от здоровых тканей валом клеточных структур.

Таким образом появляется полость, которая называется кистой зуба. Она постепенно увеличивается и разрушает костную ткань челюсти. При локализации в передней части верхней челюсти происходит постепенное проникновение в гайморову пазуху.
Ретенционная
Самая распространенная форма новообразований в гайморовой пазухе, которую также называют истинной кистой. Располагается в нижней стенке синуса и имеет эпителиальную выстилку – отличительная черта истинных кистозных полостей. Образование четко определяется с помощью рентгенологического исследования случайным образом, так как не проявляется клинически.

Когда киста достигает значимых размеров, начинаются проблемы с функционированием гайморовой пазухи. Нарушается структура и физиология микроциркуляторного русла, за счет чего формируется отек. Данный симптом проявляется заложенностью носа, чаще без выраженных выделений из него. Из-за отсутствия специфичности клинической картины даже наличие субъективных признаков заболевания не является причиной обращения к врачу.
Как выявить кисту в верхнечелюстном синусе?
Так как кистозные полости относятся к доброкачественным новообразованиям, они не становятся причиной каких-либо системных проявлений. Местная клиническая картина манифестирует через несколько месяцев после начала развития патологического процесса. Но даже ее возникновение не всегда становится поводом для похода к врачу. Чаще всего кисты верхнечелюстного синуса обнаруживает стоматолог в ходе предварительного обследования для выполнения синус лифтинга или имплантации.

Основные клинические проявления кист в гайморовой пазухе:
- Болевые ощущения в подглазничной области давящего характера (боль усиливается при смене положения тела);
- Выделения из носовых ходов гнойного или слизисто-гнойного характера, количество которых зависит от наличия и выраженности воспалительного процесса;
- Постепенно увеличивающаяся асимметрия лица (при достижении кистой большого объема);
- Постоянные обострения инфекционного поражения гайморовой пазухи;
- Отечность носовых ходов (выраженная заложенность носа);
- Болевые ощущения в верхней челюсти (а также: характерный хруст при нажатии или нагрузках);
- Головные боли (чаще всего в области лба или висков).
Клиническая картина кистозных образований практически неотличима от острого гайморита, поэтому врачи всегда дифференцируют эти две патологии с помощью инструментальных исследований. Для специалистов стоматологического профиля особенно важно поставить правильный диагноз, так как наличие кисты не всегда является противопоказанием для синус лифтинга, а вот острая инфекция не позволяет проводить оперативное вмешательство.
Выявление кистозных образований происходит путем проведения рентгенографии пазух носа либо в процессе изучения костей черепа на компьютерной томографии. Дополнительно может назначаться эндоскопическое исследование, которое одновременно является и диагностическим, и лечебным. Обязательным является гистологическое исследование с помощью прицельной биопсии, которое позволяет иметь представление о происхождении новообразования и исключить злокачественную онкологию.
Лечение гайморовых кист
Консервативных методов лечения кистозных образований в верхнечелюстном синусе не существует. Врач выбирает один из вариантов хирургического вмешательства, который зависит от вида кисты, ее локализации, профессиональных качеств специалиста и индивидуальных особенностей пациента.
В современной медицине широко используются следующие операции для лечения кист:
- Открытая операция. Манипуляция, которая подразумевает общий наркоз и имеет множество осложнений и рисков. Вскрывается передняя стенка верхнечелюстного синуса, и через получившееся отверстие удаляют кисту. Главной проблемой является зарастание доступа рубцовой тканью. Это полностью противоречит физиологии организма и не позволяет в будущем провести синус лифтинг и имплантацию зубов в данном участке.
- Эндоскопическое лечение. Одно из самых передовых и успешных в современной медицине. Врач с помощью специального инструмента входит в гайморову пазуху через ее естественное устье, не повреждая костную ткань. Затем киста отсасывается или вылущивается.
- Классическое удаление. Выполняется типичный для открытого синус лифтинга доступ, через который удаляется киста. Операция проводится в тех случаях, когда причиной развития образования стал больной зуб.

Так как кистозные образования чаще всего обнаруживают в ходе предварительного обследования для синус лифтинга, врач должен выбирать такой метод лечения, который не будет препятствовать дальнейшему осуществлению костной пластики. Окончательное решение всегда принадлежит пациенту, поэтому ему нужно рассказывать достоинства и недостатки каждой терапевтической методики.
Киста в гайморовой пазухе и выполнение синус лифтинга
Многих пациентов интересует вопрос, можно ли выполнить одновременное извлечение кистозного образования и провести костную пластику верхней челюсти. Ответ на этот вопрос зависит от нескольких факторов, к которым относятся:
- Степень выраженности атрофии костной ткани в месте локализации кисты (в некоторых случаях дефицит настолько выражен, что проведение синус лифтинга становится невозможным, и пациентам остается надеяться на установку съемных протезов);
- Наличие активного воспалительного процесса (кисты часто осложняются инфекционными патологиями, особенно, гайморитом, которые являются прямым противопоказанием для операции);
- Размер кистозного образования (небольшие полости можно удалить сразу перед синус лифтингом, но если киста занимает все пространство пазухи, то о костной пластике не может быть и речи);
- Расположение кисты (если она находится на нижней стенке, то проблем с удалением в ходе синус лифтинга обычно не возникает, но если образование располагается выше, то стоматолог просто не сможет его достать без травмирования стенок пазухи).

Выполнение синус лифтинга с предварительным удалением кистозного образования проводится достаточно редко и только в том случае, когда процесс только начал развиваться и был случайно обнаружен инструментальными исследованиями. Врач должен правильно сопоставить пользу и риски от будущего оперативного вмешательства. Чаще всего пациентов переводят для лечения к ЛОР-специалистам, а синус лифтинг переносят на более позднее время.
Возможные риски
Киста в гайморовой пазухе и синус лифтинг могут по-разному осложняться и серьезно препятствовать любым стоматологическим вмешательствам врача. При удалении кистозного образования риск перфорации слизистой оболочки верхнечелюстного синуса только повышается, как и последующие связанные с этим проблемы. Также возможно случайное вскрытие кисты с излитием ее содержимого в пазуху. Это грозит дальнейшим инфицированием и развитием острого либо хронического гайморита.
Выполняя синус лифтинг при кисте гайморовой пазухи, врач должен помнить, что образование способствует рассасыванию костной ткани. Чем тоньше кость альвеолярного отростка, тем меньшую нагрузку она может вынести. Поэтому любое неосторожное движение может привести к перелому костного гребня.
В процессе синус лифтинга обязательно устанавливается барьерная мембрана, которая будет защищать прооперированный участок от неблагоприятных внешних факторов и дополнительного воздействия остеокластов (клеток, разрушающих кость).

Кроме того, в процессе костной пластики используются только самые безопасные и качественные трансплантаты с минимальным риском отторжения. Подобная предосторожность связана с тем, что значительный дефицит костной ткани не перенесет дополнительных проблем в виде плохого приживления. Врач не сможет выполнить повторную операцию, и ему придется искать альтернативные пути решения.
Реабилитация
Послеоперационный период не менее важен, чем само хирургическое вмешательство. Киста в гайморовой пазухе и синус лифтинг приводят к повышенному риску развития инфекционного процесса, поэтому пациенту назначают интенсивный курс антибактериальной терапии. Ежедневно, в течение недели после синус лифтинга следует полоскать ротовую полость раствором антисептике (желательно после каждого приема пищи).
В первое время после оперативного вмешательства запрещено:
- Чистить зубы жесткой зубной щеткой;
- Употреблять слизком горячую или холодную, а также чрезмерно кислую или пряную пищу;
- Пить жидкости через трубочку;
- Курить;
- Выполнять физические нагрузки;
- Долго находиться на солнце;
- Принимать разжижающие кровь препараты.
Уход за полостью рта имеет первостепенное значение в профилактике развития инфекционного процесса. Пациенты после каждого приема пищи мягко (с помощью ватного тампона) очищают раневую поверхность. Но ни в коем случае нельзя ее тереть. Зубы очищаются мягкой зубной щеткой, после чего рот ополаскивается антисептическим средством.
Читайте также:
