Щелкающее бедро. Деформирующий артроз тазобедренного сустава
Добавил пользователь Владимир З. Обновлено: 23.11.2025
При вставании с кресла, ходьбе или вращательных движениях ногой иногда можно почувствовать щелчок в тазобедренном суставе. Это состояние безболезненно и не приносит человеку никакого вреда. Но частые щелчки в тазобедренном суставе могут весьма раздражать. Часто синдром щелкающего бедра развивается у молодых спортсменов и танцоров.
Причины развития
Щелчки возникают при движении мышц или сухожилий относительно костных структур. В тазобедренном суставе чаще всего страдают наружные участки. В них утолщенная часть широкой фасции бедра проходит по поверхности большого вертела бедренной кости.
При сгибании ноги в тазобедренном суставе сухожилия сдвигаются и оказываются кпереди от большого вертела. Так как большой вертел слегка выступает, то при движении сухожилий относительно него можно услышать щелчок. Такое состояние может привести к бурситу тазобедренного сустава. Бурсит - это воспаление и утолщение синовиальной сумки: мешка с гладкими стенками, заполненного жидкостью, который обеспечивает беспрепятственное скольжение мышц относительно костей.
Синдром щелкающего бедра может быть вызван сухожилием прямой мышцы бедра, которая проходит по передней поверхности бедра и крепится к тазовой кости. При сгибании бедра сухожилие смещается относительно головки бедренной кости; при выпрямлении нижней конечности сухожилие возвращается в исходное положение. Эти возвратно-поступательные движения сухожилия по поверхности головки бедренной кости и вызывают щелчки.
Диагностика
Большинство пациентов не обращаются к врачу до тех пор, пока их не начинают беспокоить боли. В первую очередь необходимо установить точную причину щелчков.
В некоторых случаях врачу удается прощупать перемещение сухожилия при сгибании и выпрямлении бедра.
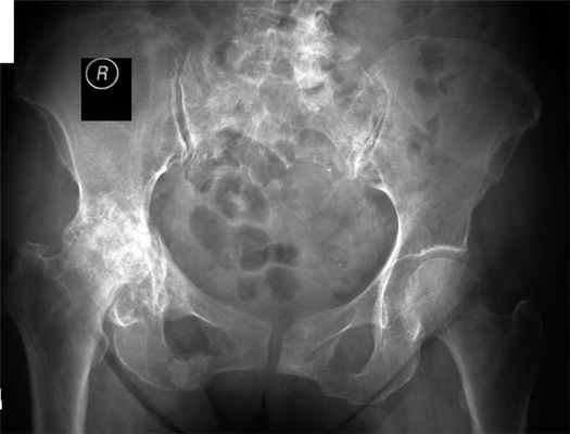
Обычно рентгенограмма тазобедренного сустава при синдроме щелкающего бедра оказывается нормальной. Однако она должна быть назначена в плане обследования для исключения сопутствующих состояний со стороны костей или суставов.
Лечение
Если щелчки в тазобедренном суставе не сопровождаются болями, то никакого лечения не требуется.
Если щелчки сильно раздражают пациента можно попробовать следующие мероприятия в домашних условиях:
- Изменить схему физических или спортивных нагрузок во избежание повторяющихся движений в тазобедренном суставе.
- Ограничить уровень физической активности и приложить лед к тазобедренному суставу.
- Использовать нестероидные противовоспалительные средства, такие как ибупрофен или аспирин, которые помогут уменьшить дискомфорт.
Необходимо проконсультироваться с врачом для профессионального лечения, если пациента все же беспокоит дискомфорт или боли в области тазобедренного сустава.
(495) 506-61-01 - где лучше оперировать тазобедренный сустав
Протезирование тазобедренного сустава в Израиле
На сегодняшний день в Израиле мы можем рассматривать тотальное эндопротезирование тазобедренного сустава как обычную повседневную операцию. Подробнее
Протезирование тазобедренного сустава в Германии
Несколько дней назад немецкий Журнал «Фокус» опубликовал список ведущих врачей Германии 2012 года. Как и раньше туда снова вошёл медицинский директор Ортопедической Клиники Кассель, профессор Вернер Зиеберт. В области ортопедии профессор Зиеберт был снова признан как единственный Топ (лучший) – специалист в земле Гессен в области проведения операций на тазобедренных и коленных суставах. Подробнее
Протезирование тазобедренного сустава в Латвии
Шведская ортопедическая клиника в Латвии предлагает операции по протезированию тазоберенных суставов высочайшего качества при доступных ценах. Эндопротезирование тазобедренного сустава с цементным протезом – 7500 EUR. При одновременной замене двух суставов предоставляется скидка в размере 40% от общей стоимости операции. Подробнее
Щелкающее бедро. Деформирующий артроз тазобедренного сустава
Щелкающее бедро. Деформирующий артроз тазобедренного сустава
У артистов балета и учащихся хореографического училища с разнообразными движениями в тазобедренном суставе встречается заболевание, носящее название «щелкающее бедро».
Причиной «щелкающего бедра» является изменение в мышце, натягивающей широкую фасцию бедра. Обычно эта мышца удерживается над большим вертелом благодаря связи с глубоко лежащими мышцами. При нарушении этой связи мышца начинает скользить на большом вертеле, вызывая характерный щелчок. Ранее причиной «щелкающего бедра» считали якобы происходящие кратковременные подвывихи головки бедренной кости. Но исследования тазобедренного сустава показали, что патологии в суставе нет. Это заболевание наблюдается только у балерин в момент, когда они всеми способами стараются снизить массу тела и похудеть. Это ведет к ослаблению тонуса мышц, в частности, мышцы, натягивающей широкую фасцию бедра.
Лечение «щелкающего бедра» направлено на укрепление мышц бедра: массаж, лечебная гимнастика, электростимуляция мышц. При отсутствии эффекта от консервативного лечения предлагается оперативное лечение, заключающееся в подшивании мышцы, напрягающей широкую фасцию бедра к большому вертелу.

Деформирующий артроз тазобедренного сустава
Это заболевание дегенеративного характера, заключающееся в нарушении нормальной гармонии между хрящом и костью. В результате теряется эластичность хрящевого покрова, снижается выносливость субхондральной кости к физической нагрузке. Длительные нагрузки, превышающие физиологические нормы, приводят к усиленному износу хряща, нарушению его питания и образованию в нем дефектов. Вновь образующееся опорное вещество, будучи незрелым, т. е. не обладающим ни твердостью, ни вязкостью зрелого хряща, быстро изнашивается и погибает. На месте его начинается усиленно разрастаться костная ткань, вызывая явления деформирующего артроза.
Наблюдаются деформирующие артрозы тазобедренных суставов у акробатов, спортсменов и артистов балета. Механические свойства костной ткани опорных органов с возрастом изменяются. Упругость, эластичность молодой костной ткани с возрастом также резко снижаются. Поэтому деформирующий артроз тазобедренного сустава наблюдается у танцовщиков старше 40 лет, особенно у исполнителей прыжковых партий, у которых чаще всего бывает двусторонний деформирующий артроз тазобедренных суставов.
Клинически в начальной I стадии деформирующего артроза появляются боли в суставе после физической нагрузки. Иногда боли беспокоят как в коленном суставе, так и в поясничной области, поэтому больные нередко обращаются к невропатологу и лечатся от радикулита или от «отложения солей» в коленном суставе. Это отраженные боли при деформирующем артрозе тазобедренного сустава. Рентгенологически в начальной стадии можно обнаружить незначительные изменения в виде склероза субхондрального отдела вертлужной впадины.
При II стадии деформирующего артроза боли локализуются уже в тазобедренном суставе С иррадиацией в поясничную область и коленный сустав. Клинически наступает умеренная атрофия мышц бедра, ограничение отведения бедра в сторону, при движениях отмечается хруст в суставе, боль при пальпации в паховой области в проекции суставной щели. Сгибание и разгибание в суставе не ограничены. Рентгенологически отмечаются костные разрастания по краю вертлужной впадины, иногда деформация головки бедренной кости, могут быть дегенеративные кисты.
При III стадии деформирующего артроза продолжают нарастать боли уже в покое, резко ограничивается не только отведение бедра, но и сгибание и разгибание, бедро приведено, отмечается выраженная хромота из-за относительного укорочения конечности за счет приведения его, выраженная атрофия мышц бедра и ягодичных. При двустороннем деформирующем артрозе хромота выражена слабее, а имеет место раскачивающаяся походка мелкими шагами («утиная походка»).
Рентгенологически отмечается сужение суставной щели, деформация головок бедренной кости, массивные костные разрастания но краям суставных поверхностей.
Лечение при I и II стадиях деформирующего артроза тазобедренного сустава консервативное. Оно заключается в периодической разгрузке сустава путем хождения с опорой на палочку (трость) в руке, противоположной больной ноге; в период отдыха лежа применяется вытяжение манжеткой за голень с грузом 2—3 кг, массаж мышц бедра и ягодичной области, лечебная гимнастика лежа со сгибанием и разгибанием в суставе, отведением бедра в сторону, теплые ванны — морские, хлоридные, натриевые, хвойные, сульфидные или радиоактивные. Благотворное влияние на суставы оказывает плавание в теплой воде с разведенными ногами в положении «лягушки». Показано санаторно-курортное лечение на бальнеологическом и грязевом курортах.
При III стадии показано оперативное лечение, направленное на устранение болевого синдрома и хромоты. Методы оперативного лечения самые разнообразные.
Деформирующий артроз тазобедренного сустава
Коксартроз — деформирующий артроз тазобедренного сустава, заболевание являющееся лидером среди дегенеративно-дистрофических заболеваний опорно-двигательного аппарата, при котором первично поражается суставной хрящ и постепенно в процесс вовлекается костная ткань и окружающие мягкие ткани.


Очень часто это заболевание можно услышать и под другим называнием — остеоартроз тазобедренного сустава. Причин, вызывающих коксартроз, очень много, именно поэтому данному заболеванию подвержены все возрастные группы. Но чаще всего этой патологии тазобедренного сустава подвержены люди после 40 летнего возраста.
Различают первичный коксартроз (заболевание неясной этиологии) и вторичный, являющийся последствием других заболеваний, таких как:
- врожденный вывих бедра;
- асептический некроз головки бедренной кости;
- дисплазия тазобедренного сустава;
- болезнь Пертеса;
- различные перенесенные травмы.
В начале болезни происходит изменения свойств суставной жидкости — в силу различных причин она становится вязкой и густой. А без должного «смазывания» суставной хрящ начинает подсыхать, а поверхность его становится шероховатой и покрывается трещинами.

В результате хрящ начинает истончаться, так как не выдерживает повышенного трения при движении. А расстояние между сочленяющимися костями сустава постепенно уменьшается. Кости как бы обнажаются из под хряща, давление на них увеличивается и они начинают деформироваться.
Можно выделить общие симптомы коксартроза тазобедренного сустава, но нужно понимать, что симптомы зависят от стадии заболевания:
- боли в суставе, бедре, паховой области, в колене, как при нагрузке, так и в состоянии покоя;
- тугоподвижность и скованность движений;
- прихрамывание;
- больная нога становится более короткой;
- происходит атрофия мышц бедра;
Лечение коксартроза – только хирургическое. В настоящее время это подразумевает эндопротезирование пораженного тазобедренного сустава. Эндопротезирование тазобедренного сустава – это операция по замене поврежденного при болезни или травме сустава искусственным аналогом. В некоторых случаях это единственное средство вернуть человеку способность ходить.



Государственная клиническая больница №29 им. Н.Э.Баумана – это современная многопрофильная высокотехнологичная больница с уникальной полуторавековой историей и традицией, оказывающая высококачественную медицинскую помощь в круглосуточном режиме.
Артроз тазобедренного сустава (коксартроз) симптомы и лечение
Одним из самых распространенных заболеваний опорно-двигательного аппарата считается артроз тазобедренных суставов. Специалисты отмечают, именно этот недуг обычно является причиной боли в бедре. Статистика гласит: диагноз артроз ставят каждому десятому пациенту после 40, диагностируют у трети пациентов старше 60, и у 80% более зрелых пациентов (от 80 и старше).
Что такое коксартроз, деформирующий артроз тазобедренного сустава?
Артроз бедренного сустава – это прогрессирующее изнашивание и разрушение хрящевой ткани тазобедренного сустава. В результате человек испытывает сильную боль и ограничение подвижности в суставе. Это заболевание также известно как коксартроз или остеоартроз тазобедренного сустава.
![Коксартроз лечение Запорожье]()
Артроз тазобедренного сустава: симптомы и признаки болезни
Первый признак проблем с тазобедренным суставом – боль. Причем ее локализация может разниться: боль может возникнуть в области сустава, отдавать в пах, бедро или ягодицу и даже доходить до коленей. Нередко дискомфорт ощущается в области поясницы. Поэтому неприятные ощущения ошибочно списывают на болезни позвоночника. Интенсивность боли при артрозе тазобедренного сустава меняется в зависимости от стадии заболевания.
Еще один признак коксартроза – ограничение подвижности в суставе. При артрозе движении, которые обычно выполнялись легко и плавно, производятся с трудом. Также сустав деформируется и в результате конечность укорачивается, возникает хромота.
Причины возникновения коксартроза
Спровоцировать развитие тазобедренного артроза могут:
- Возрастные изменения
- Врожденная дисплазия тазобедренного сустава – аномалии развития
- Постоянные воспалительные заболевания сустава (различные виды артритов)
- Травмы бедра
- Нагрузки на сустав (тренировки с неконтролируемой нагрузкой, тяжелый физический труд)
- Лишний вес
- Нарушения обмена веществ при сахарном диабете и т.д
Диагностика

Для постановки диагноза достаточно выполнить обычную рентгенографию тазобедренного сустава. По снимку можно будет увидеть сужение суставной щели, то есть оценить, насколько истощена хрящевая ткань. Также специалист проводить клинический осмотр, где с помощью функциональных проб делает выводы об объеме движений. Иногда в редких случаях может понадобиться проведение МРТ, КТ или УЗИ тазобедренного сустава.
Лечение артроза тазобедренного сустава
После консультации, осмотра и изучений результатов обследований ортопед-травматолог определяет, как лечить артроз тазобедренного сустава. Есть несколько вариантов лечения, которые назначаются в зависимости от стадии заболевания.
Консервативное лечение
Медикаментозная терапия применяется на начальных этапах артроза бедра. Она включает в себя:
- Противовоспалительные и обезболивающие препараты для устранения симптомов артроза
- Сосудорасширяющие препараты и хондропротекторы – необходимы для улучшения кровообращения в суставе и замедления дистрофических процессов в хрящевой ткани
- Инъекции факторов роста (PRP-терапия) – способствуют восстановлению и ускоряют процессы заживления.
Нехирургические методы лечения
Также в борьбе с артрозом активно применяются физиотерапия и кинезотерапия. В комплексе с медикаментозным лечением они дают возможность приостановить разрушение тазобедренного сустава и сохранить качество жизни пациентов.
- Физиотерапия включает в себя различные процедуры (ударно-волновая терапия, фонофорез, миостимуляция)
- Кинезотерапия подразумевает лечебную физкультуру, занятия на тренажерах, вытяжение в бассейне, массаж
- Соблюдение режима питания – сбалансирование питание дает возможность получать необходимые витамины и микроэлементы из пищи, и в тоже время поможет поддерживать вес в норме.
Оперативное хирургическое лечение
Если консервативные терапия не приносит результатов, на рентгене прослеживается дальнейшее разрушение тазобедренного сустава – необходимы решительные меры. Такие как операция по замене разрушенного сустава. Это хирургическое вмешательство по удалению поврежденного тазобедренного сустава и имплантации на его место искусственного эндопротеза. Он идеально повторяет форму сустава и после восстановления полностью принимает на себя объем движений. Таким образом при запущенной стадии артроза эндопротезирование является единственным способом восстановить движение в суставе.
Степени артроза тазобедренных суставов и особенности лечения на разных стадиях заболевания
Как лечить артроз тазобедренного сустава? Если у пациента диагностирован артроз тазобедренного сустава, лечение подбирается в зависимости от стадии заболевания. Всего есть 4 стадии недуга – от первых изменений в хрящевой ткани до полного разрушения тазобедренного сустава
Артроз тазобедренного сустава 1 степени: лечение
На этом этапе болезнь только начала поражать хрящевую ткань. Симптомы артроза или маловыраженные, или совсем отсутствуют. Возможно появление дискомфорта в бедре и небольшой скованности в суставе. При артрозе первой степени показано консервативное лечение – грамотно подобранная медикаментозная терапия способна значительно замедлить дегенеративные процессы в тазобедренном суставе.
Артроз тазобедренного сустава 2 степени: лечение
Коксартроз прогрессирует: симптомы доставляют все больше дискомфорта пациенту. Боль в суставе беспокоит его все чаще, появился хруст в суставе, ограничение движений. Чтобы улучшить состояние пациента назначается консервативная терапия и физиопроцедуры.
Артроз тазобедренного сустава 3 степени: лечение
При коксартрозе 3 степени на рентгене видно значительно суженую суставную щель. Болевые ощущения интенсивные, сустав деформируется – развивается дефартроз тазобедренного сустава. На таком этапе, как правило, нехирургические методы лечения неэффективны. Необходима замена тазобедренного сустава (эндопротезирование).
4 степень коксартроза
Сустав полностью разрушен, мышцы атрофированы, боль в суставе беспокоит пациента практически постоянно. Единственный способ решить проблему с суставом – провести эндопротезирование тазобедренного сустава.
Синдром щелкающего бедра

Синдромом щелкающего бедра или Coxa Saltans называют состояние, когда человек ощущает щелчки или слышит характерные звуки в тазобедренном суставе.
Синдром появляется у людей, которые занимаются профессиональным спортом, хореографией, гимнастикой и другими активными физическими нагрузками. Некоторые пациенты чувствуют слабость или боль при разгибании или сгибании бедра. Иногда появляется ощущение вывиха бедра. Это влияет на активность и в целом на качество жизни.

Причина боли — постоянный контакт подвздошно-большеберцового тракта с вертелом. Наружный тип считается самым распространенным.
У людей появляются щелчки при беге или подъеме по лестнице. Нередко возникает боль на внешней стороне бедра. В ночной период болевые ощущения усиливаются, если человек лежит на проблемной стороне. Симптомы чаще всего сопровождаются трохантеритом — воспалением верхней точки бедренной кости.
- Тест Обера: пациент лежит на боку поврежденным бедром вверх. Верхняя нога прямая, нижняя сгибается в колене. Врач сгибает верхнюю ногу под прямым углом. После разгибает и отводит бедро, медленно опуская конечность. Если нога опускается ниже горизонтальной линии без боли, тест отрицательный.
- Прощупывание области большого вертела при сгибаниях, наружной и внутренней ротации бедра и проверка состояния круговыми вращениями.
- FABER-тест: проверка на наличие щелчков при пассивном разгибании согнутого бедра.

В этом случае проблемы связаны с сухожилием мышцы. Щелчок возникает, когда скользят мышцы бедра по выступающим костным структурам сустава или движется четырехглавая мышца по шаровой части. Симптомы возникают постепенно, со временем ухудшаются: треск во время бега, болевой синдром в области паха, при сгибании бедра.
- Тест Стэнчфилда: человек ложится на спину, сгибает бедро на 30°. Врач просит согнуть бедро полностью, параллельно оказывая ему сопротивление. Если есть боль в паху, тест положительный.
- Тест Томаса: проводится в положении лежа на спине. Пациент сгибает и обхватывает колени так, чтобы поясница касалась поверхности. После опускает одну ногу, удерживая бедро и колено в согнутом состоянии. Результат теста отрицательный, если поясница не отрывается от поверхности.
К внутрисуставному типу приводят травмы сустава, вызванные ударом. Например, во время падения на большой вертел. Головка бедренной кости сильно соударяется с дном вертлужной впадины — как итог, суставный хрящ гибнет. При этом типе синдрома появляются боли при движениях: сгибаниях, вращении вытянутого бедра.
Синдром появляется из-за проблем внутри сустава или при повреждении хряща. Происходит изменение во внутренней части капсул: разрывы вертлужной губы и свободных суставных мышц, остеоартрит, хондроматоз тазобедренного сустава.
Состояние сопровождается характерным щелчком во внутренней или внешней части тазобедренного сустава. Помимо щелчка возникают другие симптомы.
- болевой синдром и припухлости;
- воспалительные процессы;
- слабость в ногах при попытках поднять конечность;
- проблемы с физической активностью;
- ощущения, будто бедро выходит из строя.

Во время обследования врач анализирует состояние пациента, собирает анамнез: место локализации щелчка, период появления признаков, продолжительность симптомов, наличие боли, влияние щелчков на физическую активность.
Для измерения интенсивности боли специалист использует визуальную аналоговую шкалу. Клиническое обследование помимо пальпации включает специальные тесты. Для постановки точного диагноза, пациента направляют на УЗИ или МРТ.

Чаще всего синдром щелкающего бедра не требует вмешательства для восстановления. Лишь когда человека мучают боли или появляются проблемы в движениях, врач разрабатывает терапевтическую программу.
Оперативное вмешательство применяется редко, когда нет результатов от консервативной терапии. Цель лечения — ослабление натяжения сухожилия подвздошно-поясничной мышцы. Тип операции зависит от причины щелчка. Например, для удаления или восстановления фрагментов разорванной верхней губы применяют артроскопию. Хирург вставляет в тазобедренный сустав небольшую камеру, отображающую реальную картину для управления инструментами.
Попробуйте наш комплекс упражнений, разработанный совместно со специалистами: это тренировка, которая учитывает специфику спортивных травм.
Внимание! Если вы недавно получили травму, проконсультируйтесь с врачом перед началом тренировок: он подскажет, подходит ли для вашего организма такая нагрузка.


- Лечь на спину, согнуть колени и зафиксировать ступни на полу.
- Поставить правую ногу на колено левой, взяться руками за левое бедро.
- Подтянуть бедро к себе до появления напряжения в ягодицах и бедрах.
- Сохранить позицию на протяжении тридцати секунд, затем повторить с противоположным расположением ног.
- Выполнить 4 повтора на каждой стороне в 2-3 подхода.

Консервативное лечение обычно помогает снизить боль и убрать щелчки. Правильное выполнение упражнений приводит к быстрому восстановлению суставов. Через 7-28 дней спортсмены вновь возвращаются к тренировкам. Если состояние не улучшается, прописывают эпидуральные инъекции глюкокортикоидов. Через 7-14 дней чаще всего щелчки и боли исчезают.
При появлении симптомов синдрома следите за уровнем нагрузок и устраняйте движения, которые провоцируют осложнения. Избавиться от синдрома щелкающего бедра сложнее, если ситуация запущена. Обратитесь к врачу, как только появился дискомфорт, чтобы подобрать методы для восстановления организма.
Читайте также:

