Шваннома - патология, морфология
Добавил пользователь Евгений Кузнецов Обновлено: 23.11.2025
Виды неврином по локализации и соответствующие им симптомы
Рассмотрим основные виды патологии и то, какими признаками они сопровождаются.
Невринома позвоночника (шейная, грудного отдела)
Чаще всего поражает грудной и шейный отдел позвоночника. В соответствии с общепринятой классификацией относится к внемозговому типу. Развивается на спинномозговых корешках и сдавливает снаружи спинной мозг.
Возникающие при этом симптомы:
- Корешковый синдром. Характеризуется болью по ходу спинного мозга, может наблюдаться вялый паралич, нарушение чувствительности в пораженном участке.
- Вегетативные нарушения. Симптоматика зависит от того, какой нерв вегетативной системы был поражен опухолью. Могут нарушаться функции органов малого таза (задержка либо недержание мочи, стула), органов ЖКТ (боль в животе, трудности при глотании), сердца (изменение ритма, брадикардия, стенокардия).
- Синдром Броун Секара, когда сдавливается спинной мозг. Ниже уровня расположения опухоли возникает спастический парез, вялый паралич на уровне шванномы, выпадение чувствительности на стороне поражения, утрата ощущения температуры и боли с противоположной стороны.
- Дискомфорт между лопаток, боли, утрата чувствительности.
Признаки патологии могут то появляться, то проходить. По мере роста новообразования симптоматика становится сильной и постоянной. Боли обычно усиливаются в положении лежа.
Невринома головного мозга
Шваннома черепно-мозговых нервов – это опухоль, растущая в пределах черепа. Чаще всего развивается на тройничном и слуховом нервах. В 90% случаев – односторонняя. Симптомы обычно включают:
- внутричерепную гипертензию;
- проявления сдавления окружающего мозгового вещества;
- признаки поражения нервного волокна;
- психические расстройства;
- судороги;
- атаксию;
- нарушения интеллекта;
- гипотонию мышц ног и рук;
- нарушение функции сердца и дыхания;
- изменение зрительных полей.
Невринома тройничного нерва
Это около 35% от всех внутричерепных шванном, вторая по частоте диагностирования шваннома головного мозга. Симптомы зависят от размера новообразования:
- сначала нарушается чувствительность на той половине головы, где есть опухоль;
- позднее поражаются жевательные мышцы, наступает их слабость;
- при росте образования далее появляется тошнота, рвота, распирающая головная боль, сдавливается кора височной доли;
- на запущенных стадиях добавляются обонятельные и вкусовые галлюцинации.
Невринома слухового нерва (акустическая шваннома)
Из-за расположения в мозжечково-мостовом углу опухоль быстро сдавливает окружающие участки головного мозга и нервы. Симптомы делятся на три вида:
- поражение улиткового участка нерва – звон и шум в ухе на стороне поражения;
- ухудшение слуха – постепенно, с высоких тонов;
- при размере опухоли 2-3 см появляется похожая на зубную боль, атрофируются жевательные мышцы;
- когда опухоль достигает 4-5 см поражается отводящий и лицевой нерв, в связи с чем теряется вкус на языке, неправильно работают слюнные железы, нарушается чувствительность лица на стороне поражения, возникает косоглазие с двоением в глазах;
- вестибулярные нарушения (размер образования 5-6 см) – головокружения, обмороки.
Шваннома лицевого нерва
Последствия такой невриномы – нарушение вкуса на первой половине языка, онемение и асимметрия лица, гипотония мимических мышц, нарушение процесса слюноотделения. Возможно разрушение костных структур.
Невринома Мортона (стопы)
Представляет собой доброкачественное разрастание фиброзной ткани в зоне подошвенного нерва. В основном развивается между 3-м и 4-м пальцами. Симптомы – это боль в стопе, ощущение инородного тела, усиление дискомфорта при ношении узкой обуви и нагрузке.
Невринома конского хвоста
Локализуется в самом нижнем отделе позвоночного канала. Сначала проявляется односторонним корешковым синдромом, затем – двухсторонним. Возникает вялый парез ног, нарушения чувствительности мозаичного типа, затруднения при дефекации и мочеиспускании.
Методы диагностики невриномы
Перечень исследований подбирает нейрохирург или невролог. Диагностика начинается с исключения заболеваний с похожей симптоматикой, проводится физикальное обследование – осмотр, опрос пациента на предмет жалоб.
Далее могут назначаться следующие обследования:
- При внутричерепной шванноме – МРТ или КТ головного мозга. КТ менее информативна, потому что не «видит» новообразования менее 2 см. Если МРТ сделать нельзя, то делают КТ с контрастом.
- МРТ или КТ позвоночника. Позволяет обнаружить опухоли, сдавливающие спинной мозг и спинномозговые нервные корешки.
- Аудиометрия. Это часть комплексной диагностики шванномы слухового нерва. Она дает возможность узнать степень потери слуха, причину его снижения.
- УЗИ или МРТ при расположении новообразования на периферических нервах. Первое обнаруживает утолщение неврилеммы. МРТ определяет точную локализацию опухоли, ее структуру и степень поражения нервного волокна.
- Электронейромиография. Таким способом оценивают проходимость по нерву электрических импульсов. Применяется почти при любом виде патологии и оценивает степень нарушения структуры нерва.
- Биопсия. Это прижизненный забор биоматериала с последующим цитологическим анализом. Определяет, злокачественная опухоль или доброкачественная.
Лечение и удаление шванномы
Данную опухоль нельзя вылечить консервативно. Поэтому ее либо удаляют хирургически, либо облучают. Иногда избирается выжидательная тактика:
- при слабых и не прогрессирующих симптомах;
- при случайном обнаружении опухоли во время диагностики другой болезни с помощью КТ или МРТ.
Хирургическое удаление невриномы
Основные показания к операции – это:
- быстрое увеличение новообразования;
- продолжение роста опухоли после ее частичного удаления;
- рост опухоли после радиохирургического вмешательства;
- нарастание симптомов;
- появление новых симптомов у пациентов в возрасте до 45 лет.
При нейрохирургической операции опухоль удаляется полностью, если она не проросла в окружающие ткани. Риск рецидива сводится в такой ситуации к абсолютному минимуму. Однако операция противопоказана людям старше 65 лет, при общем плохом состоянии и при соматических болезнях в стадии декомпенсации.
Если опухоль срослась с нервами, то приходится удалять ее не полностью и далее применять методы радиохирургии (гамма- или кибер-нож).
Когда операцию нельзя провести технически, пациенту назначают лучевую терапию – направленное облучение образования потоком элементарных частиц. Для этого применяется установка линейный ускоритель.
Пластика нервов и сухожилий – самые сложные хирургические манипуляции. Хирург должен быть опытным, хорошо знакомым с .
Прием хирурга может понадобиться при плановой госпитализации, диспансеризации, для получения некоторых видов медицинских карт .
Преимуществ платной медицины очень много. Это удобно, приятно, комфортно. Однако многие выбирают государственные поликлиники .
Шваннома - патология, морфология
Телефон регистратуры поликлиники:
Телефон регистратуры лучевой диагностики:
Гамма-нож
![]() |
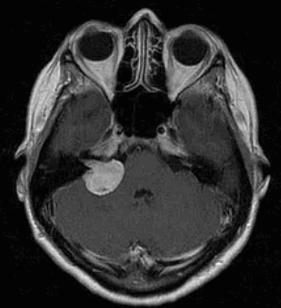
Вестибулярная шваннома (невринома VIII нерва, акустическая невринома) представляет собой доброкачественное новообразование, возникающее из шванновских клеток вестибулярной порции VIII нерва.
Заболеваемость невриномами слухового нерва составляет примерно 1 случай на 100000 населения в год. Каждый год в Российской Федерации появляется 1500 новых случаев неврином слухового нерва. Среди первичных интракраниальных опухолей вестибулярные шванномы вестибулярные шванномы занимают 4-е место (после глиом, менингиом и аденом гипофиза), составляя до 6-10% всех верифицированных опухолей мозга и поражая преимущественно лиц работоспособного возраста (30-60 лет), на который приходится более 80% случаев. Вестибулярные шванномы составляют около 30% опухолей задней черепной ямки и до 90% новообразований мосто-мозжечкового угла. Несколько чаще встречаются у женщин, чем у мужчин, примерное соотношение 3:2.
Клиническая картина зависит от размеров опухоли. При небольших размерах симптоматики может не быть вовсе. По мере увеличения опухоли в размерах появляется симптоматика, зависящая от того, какие структуры сдавливает опухоль:
- Поражения нервов.
- Нарушение слуховой и вестибулярной функции.
- Расстройства функции вкуса на передней 2/3 языка и слюноотделения (XIII нерв).
- Расстройства функций каудальной группы нервов.
- Расстройства функции мимической мускулатуры.
- Глазодвигательные нарушения.
- Симптомы раздражении/компрессии ствола головного мозга.
- Различные виды нистагма.
- Пирамидная симптоматика.
- Мозжечковая симптоматика.
- Гипертензионно-дислокационный синдром.
Диагностика
Наиболее информативным методом выявления вестибулярных шванном является МРТ головного мозга с контрастным усилением в режиме Т1 и Т2. Это исследование позволяет определить размеры опухоли, наличие перитуморозного отека, наличие признаков окклюзионной гидроцефалии, которая может быть следствием сдавления опухолью IV желудочка. Кроме этого МРТ позволяет провести дифференциальную диагностику с другими опухолями схожей локализации (чаще с менингиомой задней грани пирамиды височной кости). Еще одним стандартом диагностики является КТ в костном режиме. Независимо от снижения слуха стандартом является проведение аппаратной аудиографии.
Классификация KOOS
I стадия: опухоль находится в пределах внутреннего слухового прохода, диаметр экстраканальной части составляет 1-10 мм.
II стадия: опухоль вызывает расширение канала внутреннего слухового прохода, и выходит в мостомозжечковый угол, ее диаметр составляет, 11-20 мм.
III стадия: опухоль распространяется до ствола головного мозга без его компрессии, диаметр составляет 21 - 30 мм.
IV стадия: опухоль вызывает компрессию ствола головного мозга, ее диаметр более 30 мм.
Классификация M. Samii
Т1 – интрамеатальная опухоль.
Т2 – интра-экстрамеатальная опухоль.
Т3а – опухоль заполняет мостомозжечковую цистерну.
Т3b – опухоль распространяется до ствола головного мозга.
Т4а – опухоль вызывает компрессию ствола.
Т4b – опухоль грубо деформирует ствол мозга и IV желудочек.
Тактика лечения
В зависимости от размеров опухоли, клинической симптоматики, возраста больного, тяжести его состояния, наличия сопутствующей патологии возможны 3 варианта тактики лечения:
- динамическое наблюдение;
- хирургическое лечение;
- стереотаксическая радиохирургия.
Динамическое наблюдение
Учитывая, что вестибулярная шваннома является доброкачественной опухолью с невысокими темпами роста, при небольших ее размерах, отсутствии или минимальном неврологическом дефиците возможен выбор выжидательной тактики. Особенно такой подход оправдан у пожилых людей, или у пациентов с выраженной декомпенсированной соматической патологией. Однако, в большинстве случаев, учитывая риски, связанные с возможным ростом опухоли, более оправданным считается выбор активной тактики.
Хирургическое лечение
Наличие у пациента вестибулярной шванномы является показанием к хирургическому лечению. Большие и гигантские размеры опухоли (более 3,5 см.) являются абсолютным показанием к хирургическому лечению. При меньших размерах возможно проведение радиохирургического лечения.
Для удаления вестибулярных шванном в настоящее время используются три основных доступа: транслабиринтный, ретросигмовидный (наиболее часто используемый) и доступ через среднюю черепную ямку. Каждый из них обладает своими преимуществами и своими же недостатками. В последние годы в связи с развитием микрохирургической техники результаты хирургического лечения пациентов значительно улучшились. Летальность после удаления вестибулярных шванном колеблется в пределах (0-3%), рецидивы опухоли наблюдаются в 5-10%.
В настоящее время превалирующим фактором результативности хирургического лечения считается качество жизни пациента, поэтому интраоперационная тактика в большей степени должна быть нацелена на достижение именно этой цели. Такие послеоперационные осложнения как паралич лицевого нерва (до 25%), нарушения глотания, глазодвигательные нарушения, несут существенную угрозу инвалидизации, поэтому проведение таких операций диктуют высокие требования к профессиональной подготовке оперирующего нейрохирурга. Из послеоперационных осложнений также следует отметить ликворею у 2-20% пациентов, которая иногда может потребовать проведение повторной операции для закрытия ликворного свища; кровоизлияние в ложе операции (1-2%); отек мозжечка и ствола мозга; гемипарез; менингит (1,2%); раневую инфекцию (1,2%); парез VI черепного нерва (1-2%) и парезы других, ниже расположенных черепных нервов; подкожную гематому (3%).
Стереотаксическая радиохирургия
Целью радиохирургического метода является контроль роста опухоли. Стабилизация процесса и даже уменьшение размеров наблюдается в 85-94% случаев, что соответствует мировым данным. Другим критерием эффективности лучевой терапии является высокий (до 98%) показатель отсутствия операции после проведения облучения. Важным также является сохранение функции улиткового и других черепных нервов в случаях, когда это возможно, а также улучшение неврологического статуса пациента. Эффективность применения Гамма-ножа при лечении больных с вестибулярными шванномами создало реальную альтернативу хирургическому лечению при опухолях, размеры которых не превышают 3,5 см, при этом метод радиохирургии лишен недостатков хирургического метода лечения.
После облучения опухоли гамма-ножом возможно как уменьшение ее размеров, так и временное их увеличение. Третьим возможным вариантом развития событий может быть продолженный рост опухоли, однако, это происходит нечасто (от 0 до 7% в течение 10 лет).
Версия для слабовидящих Карта сайта
Шваннома

«В онкологии терять времени нельзя: шваннома без своевременного лечения может опасно разрастись, в головном мозге появляются метастазы, и тогда трудно помочь пациенту. Но в нашем современном онкологическом центре на помощь приходит лучевая терапия с возможностью радикально влиять на новообразования головного мозга, в т.ч. и на шванномы. Поэтому считаю, что лечение этого вида рака надо вести в специализированном онкологическом центре с точной аппаратурой».
Злокачественные и доброкачественные шванномы
Шваннома — это опухоль, которая возникает из шванновских клеток оболочки нерва. Она может быть как злокачественной, так и доброкачественной. Данный вид онкологии диагностируется нечасто, примерно в 7% случаев всех сарком мягких тканей. Наблюдается в основном у людей среднего возраста, чаще у представителей мужского пола.
Злокачественная шваннома в основном локализуется на конечностях рук и ног:
Шваннома также может образоваться в области шеи и головы, но такие случаи фиксируются значительно реже. Даже самая маленькая злокачественная шваннома являет собой ограниченные инкапсулированные узлы, часто имеет крупнобугристую поверхность. Если опухоль образуется из крупного нервного ствола, то она визуально напоминает веретено, нерв утолщен и отделить его от опухоли невозможно. Если ткань опухоли разрезать, то она имеет желтовато-белый или серый блестящий цвет, волокнистую структуру, иногда желатинообразную. Если форма шванномы низкодифференцированная, волокнистости нет, опухоль напоминает «рыбье мясо». Маленькая злокачественная шваннома состоит из удлиненных клеток, ядра которых вытянуты.
Симптомы шванномы

Клиническая картина развития рака выражена слабо, неспецифическая. Симптомы на ранних стадиях отсутствуют. Разрастается шваннома достаточно медленно. Правильная дифференциальная диагностика возможна только путем цитологического или морфологического изучения опухоли.
Вестибулярные шванномы — что это?
Вестибулярная шваннома (невринома слухового нерва) — наиболее распространенный вид рака невральных оболочек. Обычно расти вестибулярная шваннома начинает в области расположения слухового прохода. Шваннома, в отличие от других опухолей, отличается низким темпом роста. Симптоматика на начальных стадиях обычно отсутствует. Единственное проявление — это звоны или шум в ушной раковине. В процессе разрастания опухоли у пациента снижается качество слуха, что обычно выявляется случайно.
Когда шваннома достигает размера 3-4 см в диаметре, у человека начинаются проблемы с координацией. Они напрямую связаны с деформацией ствола головного мозга. Также могут проявиться признаки расстройства со стороны лицевого и тройничного нервов, хоть они и претерпевают изменения:
- Растяжение
- Истончение.
- Разволокнение
Из-за этого слух полностью пропадает.
Лечение шванномы
Инновационные решения в TomoClinic
Лечение лучевой терапией
В TomoClinic лечение проводят с использованием современных методов, одним из которых является томотерапия. Используя современные технологии лучевой терапии в сочетании с другими методиками, можно добиться максимально эффективного результата лечения с минимальным поражением близлежащих органов и тканей, а также сохранить привычный образ жизни пациента. Шванома излечима, главное вовремя обратиться к специалистам.
Эффективная терапия в Украине
Инновационное лечение шванномы дает реальные шансы на практически полное выздоровление, даже если опухоль злокачественная. Шваннома, именуемая в медицине также как невринома — опухоль, которая может возникнуть в любом нерве. Это более характерно для нервов, которые располагаются в голове и шее, а также тех, которые непосредственно участвуют в сгибании ног и рук.
Лечение включает в себя химиотерапию, лучевую терапию и хирургию. Каждый случай индивидуален, поэтому консилиум специалистов назначает пациенту лечение согласно особенностям развития болезни в его организме. Если шваннома маленькая, то ее легче удалить, что понизит риски сильного повреждения нерва. Ряд пациентов, у которых шваннома доброкачественная, находятся в неудовлетворительном общем состоянии здоровья, и им операция не назначается. В этих случаях лучевая терапия помогает уменьшить размер опухоли и устранить негативную симптоматику. Доктора нашего центра постоянно контролируют состояние опухоли, чтобы убедиться, что она не претерпевает никакой недоброкачественной трансформации и не требует более интенсивной терапии.
На сегодняшний день в Украине используются инновационные методы диагностирования и терапии онкологических заболеваний разной сложности. В TomoClinic проводится успешное лечение различных видов онкологии. В своей работе мы используем только проверенные и действующие методики, которые дают хороший результат.
TomoClinic: мы поможем вам побороть рак.
Протоколы лечения
Для ознакомления с международными протоколами лечения от организаций ESMO и NCCN вы можете пройти по ссылке (зарегистрироваться, скачать PDF-файл) и узнать более детальную информацию о терапии шванномы:
Видео

Еще фото
Автор (ы): Н.В. Митрохина, к.в.н., ветеринарный врач-патоморфолог, генеральный директор Ветеринарного центра патоморфологии и лабораторной диагностики доктора Митрохиной
Журнал: №5-2017
Ключевые слова : гастроинтестинальная стромальная опухоль, C-kit, маркеры, иммунофенотип, гистогенез, морфология
Key words : gastrointestinal stromal tumor, C-kit, markers, immunophenotype, histogenesis, morphology
История описания особой категории стромальных опухолей желудочно-кишечного тракта, обладающих признаками как миогенных, так и нейрогенных новообразований, насчитывает немногим более 25 лет работ американских медицинских патологов. При этом истинная их природа, обосновывающая выделение данной нозологической единицы, стала понятна только с 1998 г. благодаря исследованиям японских авторов. В отечественной медицинской литературе пристальный интерес к гастроинтестинальным стромальным опухолям (GIST – gastrointestinal stromal tumors) наблюдается только в последние 10 лет. В литературе по ветеринарной онкологии нет точных данных о частоте встречаемости этого заболевания, соответственно, не разработаны рекомендации по диагностическим алгоритмам данной патологии.
В связи с этим имеются объективные причины недостаточного знания практическими патологами морфологической диагностики GIST, их особенностей. Другой причиной является относительная редкость этой группы новообразований. Однако могут встретиться эти заболевания в практике любого патологоанатомического отделения, но не каждый ветеринарный патолог способен дифференцировать GIST от других новообразований ЖКТ.
Несмотря на редкость GIST, знание их морфологического строения имеет непосредственное клиническое значение, так как к настоящему времени достаточно детально расшифрованы их биологические особенности и имеются методы таргетной лекарственной терапии. Решающую роль в диагностике GIST имеет морфологическое и иммуногистохимическое исследование.
History of the description of a special category of stromal tumors of the gastrointestinal tract with symptoms as the myogenic and neurogenic tumors, has a little more than 25 years – with the work of the American medical pathologists. While their true nature, justifying the allocation of this nosologic units, it has become clear only since 1998, thanks to the research of Japanese authors. In the domestic medical literature, a keen interest in gastrointestinal stromal tumors (GIST – gastrointestinal stromal tumors) is observed only in the last 10 years. In the literature on veterinary Oncology no exact data on the frequency of occurrence of this disease, and therefore not recommendations for diagnostic algorithms of this disease.
In this regard there are objective reasons for insufficient knowledge of practical pathology and morphological diagnosis of GIST. Another reason is the relative rarity of this group of neoplasms. However, can meet these diseases in the practice of any mortuaries, but not every veterinary pathologist is able to differentiate GIST from other tumors of the gastrointestinal tract.
Despite the rarity of GIST, the knowledge of their morphological diagnosis is of direct clinical relevance, as to date sufficient detail deciphered their biological characteristics and methods of targeted drug therapy. A crucial role in the diagnosis of GIST has a morphological and immunohistochemical study.
В настоящее время к гастроинтестинальным стромальным опухолям (ГИСО) относят мезенхимальные новообразования желудочно-кишечного тракта (ЖКТ), для которых характерна гиперэкспрессия гена С-kit, а также антигенов гладкомышечной и нейрогенной дифференцировки. На их долю у людей приходятся 80% всех сарком ЖКТ и 5% сарком мягких тканей. Подобной статистики в ветеринарной литературе нет. ГИСО встречаются в любом отделе ЖКТ, но чаще в желудке и тонкой кишке, редко – в пищеводе и толстой кишке, еще реже – вне ЖКТ, например, в брыжейке или сальнике.
В отдельную нозологическую группу ГИСО были выделены после того, как в 1983 г. M.T. Mazur и H.B. Clark описали ультраструктурные отличия ГИСО от опухолей с истинной нейрогенной (шванномы) и гладкомышечной (лейомиомы и лейомиосаркомы) дифференцировкой. В прошлом большая часть ГИСО диагностировались как «другие» типы сарком.
В настоящее время патологоанатомический диагноз ГИСО базируется на морфологических и иммуногистохимических данных. Основными гистологическими типами ГИСО считаются веретеноклеточный, эпителиоидный и смешанный.
Следует отметить, что, несмотря на то что клеточный полиморфизм в той или иной степени свойственен всем ГИСО, при эпителиоидном типе гистологического строения опухоли он наиболее выражен. С данным типом строения ГИСО сопряжено более агрессивное течение заболевания.
Биологическое поведение и диагностика ГИСО
Ранее опухоли этой группы диагностировались как лейомиосаркомы или лейомиомы. Дифференцировка ГИСО от других опухолей мезенхимального происхождения основана на иммуногистохимическом анализе. Иммуногистохимическими маркерами ГИСО являются C-kit или CD117 (положительный в 95% случаев), гладкомышечный актин (30-40%). Кроме того, для диагностики ГИСО используются реакции на виментин, S100, десмин. Повышенная экспрессия тирозинкиназного рецептора C-kit (CD117) на поверхности опухолевой клетки является патогномоничным признаком для ГИСО.
Все ГИСО потенциально злокачественны и различаются только по степени риска прогрессирования, для определения которой имеют значение размер опухоли, митотический индекс, а также локализация. Митотический индекс определяется на площади 5 мм 2 . Для микроскопов стандартной конструкции это составляет 50 полей зрения при увеличении х400. Митотический показатель для ГИСО классифицируется как «низкий» для 0–5 митозов и «высокий» – при 6 или более митозах на 5 мм 2 . Размер опухоли и митотическая активность коррелируют с риском рецидива: опухоли больших размеров и с высоким митотическим индексом более агрессивны. Учитывая локализацию первичной опухоли, следует отметить, что более неблагоприятно протекает заболевание при поражении кишечника.
Основные гистологические критерии злокачественности ГИСО следующие:
1) высокая клеточность;
2) выраженная атипия ядер и клеток;
3) свыше 5 митозов в 50 полях зрения (х400);
4) прорастание слизистой оболочки;
5) наличие опухолевых эмболов в просвете сосудов;
6) очаги некроза.
Безусловным критерием злокачественности является наличие метастазов.
Макроскопическая картина ГИСО следующая. Рост опухолей характеризуется тремя вариантами:
2) экзоорганный (наиболее частый);
Опухоли обычно хорошо отграничены, но лишены истинной капсулы. Структуры по типу ложной капсулы формируются за счет сдавливания прилежащих тканей. Растет опухоль в виде одного или множественных узлов, которые могут формировать конгломераты. Покрывающая слизистая оболочка может быть мало измененной, но до 50% случаев встречаются изъязвления. На разрезе ткань опухоли розоватая или серая. Часто в опухолях крупного размера развиваются некрозы, кровоизлияния, происходит кистозная дегенерация. Опухоль может приобретать вид многокамерной кисты с геморрагическим содержимым. Ранее такие новообразования попадали в диагностическую категорию кистозных лейомиом.
Микроскопическая картина
Гистологическая структура ГИСО достаточно вариабельна. Клеточные элементы чаще веретенообразные или эпителиоидные, но могут встречаться плазмоцитоидные, миксоидные, плеоморфные, перстневидные, онкоцитарные и даже многоядерные клетки. Варианты гистологических структур следующие:
3) в виде клеточных гнезд;
Наиболее часто встречается веретеноклеточный гистологический, вторыми «частым» вариантом являются эпителиоидные (эпителиоидноклеточные) ГИСО. Последний вариант ранее характеризовался как лейомиобластомы или эпителиоидные лейомиомы. До трети случаев составляют смешанные ГИСО.
При веретеноклеточном варианте опухоль состоит из вытянутых клеток с различной эозинофилией цитоплазмы, часто со слабо различимыми границами. Ядра овальные, расположены центрально, содержат мелкодисперсный хроматин. При выраженной вакуолизации цитоплазмы клетки приобретают перстневидную структуру. Расположение клеток в виде пучков различной длины, коротких вихреобразных структур или палисадообразное. За счет этого структура опухоли может симулировать лейомиомы или нейральные опухоли. Нередко опухоли отличаются высокой степенью васкуляризации, приобретая вид новообразований, ранее диагностировавшихся как ангиолейомиомы.
Относительно часто встречаются изменения опухолевой стромы в виде полей гиалиноза, особенно периваскулярно, миксоидные изменения, кровоизлияния.
Морфологическая картина эпителиоидных ГИСО соответствует традиционному описанию лейомиобластом или эпителиоидных лейомиом. Светлые овальные или округлые клетки складываются в клеточные гнезда или альвеолярные структуры, часто вокруг кровеносных сосудов.
Диагноз ГИСО при типичной макро- и микроскопической картине может быть предварительно поставлен и на основании рутинного исследования. Но во всех случаях необходимо последующее проведение иммуногистохимического исследования, которое может иметь значение не столько для подтверждения диагноза, сколько для определения показаний к назначению таргетной терапии – выполнения протокола диагностики и лечения.
Основным маркером ГИСО является CD117, экспрессия которого может быть различной: цитоплазматической, мембранной, в виде пятна в области комплекса Гольджи, чаще – смешанная.
1. Частота экспрессии различных иммуногистохимических маркеров отличается в зависимости от локализации опухоли, ее гистологического варианта, размеров. Поиск корреляций между морфологическими, иммунофенотипическими и прогностическими характеристиками GIST, безусловно, необходим.
2. Диагностика стромальных опухолей желудочно-кишечного тракта не должна основываться на «гистологической очевидности».
3. Верификация всех веретено- и эпителиоидноклеточных опухолей желудочно-кишечного тракта требует выполнения иммуногистохимического исследования.
4. Определение биологического потенциала должно основываться на выработанном в настоящее время комплексе гистологических критериев с учетом клинических данных, прежде всего, размера опухоли, с определением степени риска.
1. Анурова О.А. Морфологическая и иммуногистохимическая диагностика стромальных опухолей желудочно-кишечного тракта (GIST). Материалы выездной школы 16–18.10.2006 «Актуальные проблемы диагностики и лечения стромальный опухолей ЖКТ(GIST). Современная онкология (экстравыпуск). 2007.
2. Анурова О.А., Снигур П.В., Филиппова Н.А., Сельчук В.Ю. Морфологическая характеристика стромальных опухолей желудочно-кишечного тракта. Арх. патол. 2006; 68 (1).
3. Братанчук С.Ю., Мацко Д.Е., Имянитов Е.Н. и др. Гастроинтестинальная стромальная опухоль пищевода. Арх. патол. 2010; 69(1).
4. Бурмистров М.В. Диагностика и лечение доброкачественной патологии пищевода: дис. … докт. мед. наук. 2005.
5. Казанцева И.А. Морфологические особенности GIST. Материалы выездной школы 16–18.10.2006 «Актуальные проблемы диагностики и лечения стромальных опухолей ЖКТ (GIST). Современная онкология (экстравыпуск). 2007.
6. Проценко С.А. Практическая онкология. 2010; 11 (3).
7. Agaimy A., Wunsch P.H. Sporadic Cajal cells hyperplasia is common in resection specimens for distal oesophageal carcinoma. Virchows Arch. 2006.
8. Daum O., Klecka J., Ferda J. et. al. Gastrointestinal stromal tumor of the pancreas: case report with documentation of KIT gene mutation. Virchows Arch. 2005.
9. Hirota S. Gastrointestinal stromal tumors: their origin and cause. Int. J. Clin. Oncol. 2001.
10. Miettinen M., Sobin L.H., Sarlomo-Rikala M. Immunohistochemical spectrum of GISTs at different sites and their differential diagnosis with a reference tо CD117 (KIT). Mod. Pathol. 2000.
11. Yamaguchi U., Hasegawa T., Masuda T. et al. Differential diagnosis of gastrointestinal stromal tumor and other spindle cell tumors in the gastrointestinal tract based on immunohistochemical analysis. Virchows Arch. 2004.
Шваннома - патология, морфология

ЗЕРНИСТО-КЛЕТОЧНАЯ ОПУХОЛЬ
(задача 12558)
П.Г. Мальков 1,2 , М.А. Морозова 1 , В.Н. Гриневич 1 ,
Ю.В. Зорина 1 , Л.В. Москвина 2 , Н.В. Данилова 2
1 Централизованная лаборатория патоморфологии и цитологии (зав. – кандидат мед. наук П.Г. Мальков) ГУЗ Консультативно-диагностический центр №6 УЗ САО г.Москвы;
2 Курс патологической анатомии кафедры физиологии и патологии (зав. – проф. В.Б. Кошелев) факультета фундаментальной медицины МГУ имени М.В. Ломоносова.
Клиническая легенда. Женщина, 55 лет. Подкожный безболезненный узел в правой паховой области размером 10x7 мм, выступающий над поверхностью кожи, плотно спаянный с окружающими тканями. Кожа над образованием гладкая, бледно-розового цвета. Образование иссечено в пределах здоровых тканей. Клинический диагноз – фибролипома.
Макроскопическое описание. Фрагмент кожи с жировой клетчаткой 15x12x9 мм с подкожно расположенным узлом без капсулы размером 10x7x6 мм, плотнооэластичной консистенции. На разрезе – серо-жёлтого цвета, волокнистого строения, без чётких границ.
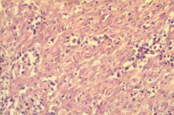
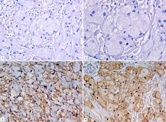
Микрофотографии. Рис. 1 – окраска гематоксилином и эозином, об.x20; рис. 2 – окраска гематоксилином и эозином, об.x40; рис. 3 – иммуногистохимическое выявление виментина, об.x20; рис. 4 – иммуногистохимическое выявление белка S100, об.x20.

Микроскопическое описание. В дерме – пласты и гнезда из крупных клеток с центрально расположенными мелкими пикнотичными ядрами и с широким ободком эозинофильной зернистой цитоплазмы (рис. 1, 2). Гнезда опухолевых клеток разделены соединительно-тканными прослойками. Эпидермис с явлениями умеренно выраженного акантоза. Иммунофенотип: vimentin (рис. 3), S100 (рис. 4) – реакция положительная в клетках опухоли; NSE, Desmin, Myogenin, α-actin – реакция отрицательная в опухолевых клетках.
Заключение. Зернисто-клеточная опухоль [9580/0].
Комментарии. Зернисто-клеточная опухоль (зернисто-клеточная шваннома, зернисто-клеточная «миобластома», опухоль Абрикосова) развивается преимущественно у женщин в возрасте 30-50 лет. Локализация: в 70% – область головы и шеи (в том числе 30% – язык), реже – грудь и конечности. Как правило, опухоль поражает кожу и подкожный слой, однако может располагаться в дыхательном и желудочно-кишечном трактах. Макроскопически имеет форму узла, чаще единичного, 2-3 см в диаметре, контуры нечеткие, капсулы нет. В редких случаях опухоль бывает мультифокальной, одновременно поражая кожу, слизистые оболочки и внутренние органы. На разрезе опухоль сочная, белесоватого или серо-желтого цвета. В крупных узлах могут быть кровоизлияния и участки некроза. Микроскопически характерны субэпителиальные разрастания из крупных овальных, округлых или полигональных клеток с четкими контурами, с центрально расположенными круглыми, иногда пикнотичными ядрами с сетчатой структурой хроматина, цитоплазма эозинофильная мелкозернистая, богата гликогеном. Клетки располагаются в виде ячеек или компактно. Строма нежная, коллагеновые волокна образуют ячейки, окружают мелкие комплексы опухолевых клеток, сосудов немного. При расположении под кожей опухоль может изъязвляться. Редкие морфологические варианты: детский зернисто-клеточный эпулис (полиповидная опухоль альвеолярного отростка десны, встречается у новорожденных, преимущественно у девочек), злокачественная зернисто-клеточная опухоль (менее 2% всех опухолей этой группы; характеризуется быстрым ростом с развитием метастазов). При неполном удалении опухоли возможны рецидивы.
Литература. Pathology & Genetics of Skin Tumours / WHO Classification of Tumours.- IARC Press.-2006, p.274-275.
Согласен Данный веб-сайт содержит информацию для специалистов в области медицины. В соответствии с действующим законодательством доступ к такой информации может быть предоставлен только медицинским и фармацевтическим работникам. Нажимая «Согласен», вы подтверждаете, что являетесь медицинским или фармацевтическим работником и берете на себя ответственность за последствия, вызванные возможным нарушением указанного ограничения. Информация на данном сайте не должна использоваться пациентами для самостоятельной диагностики и лечения и не может быть заменой очной консультации врача.
Читайте также:
- Электрометка. Патоморфология электрометки на коже
- ЭКГ при синдроме Бругада и его лечение
- Заднебазальный инфаркт миокарда. ЭКГ при заднебазальном инфаркте миокарда
- Узелковая (нодулярная) лимфоидная гиперплазия кишечника - диагностика
- Свинка. Эпидемический паротит. Вирус эпидемического паротита. Эпидемиология эпидемического паротита.

