Симптомы риносинусита с ВИЧ и его лечение
Добавил пользователь Евгений Кузнецов Обновлено: 28.11.2025
Симптомы хронического риносинусита и его причины
Хронический риносинусит - одно из наиболее частых заболеваний, играющих серьезную роль в патологии нижних дыхательных путей. Диагноз ставят в тех случаях, когда симптомы риносинусита длятся более 12 нед.
В то время как острый синусит представляет собой риногенный воспалительный процесс, вызываемый нарушением вентиляции и дренажа околоносовых пазух, расположенных ниже уровня решетчатого лабиринта, причиной развития хронического риносинусита является постепенная обструкция остиомеатального комплекса в результате отека, индурации, гиперплазии и полипоза слизистой оболочки.
Роль анатомической блокады оттока в этиологии хронического риносинусита является предметом споров. Спектр патогенов, вызывающих воспалительный процесс при хроническом риносинусите, отличается от такового при остром синусите. Изменилась также методика оценки бактериальной инфекции. Наряду с изменениями биомеханики и бактериального фактора в настоящее время в патогенезе воспаления слизистой оболочки носа и околоносовых пазух установлена также роль других факторов.
В слизистой оболочке и секрете больных хроническим риносинуситом повышено количество нейтрофилов, эозинофилов, тучных клеток, базофилов и мононуклеарных клеток (Т-лимфоцитов, Т-супрессоров CD8, цитотоксических Т-лифоцитов, Т-хелперов CD4). В секрете слизистой оболочки носа повышена концентрация гистамина, лейкотриенов и простагландина D.

Риноскопия при хроническом риносинусите
Хронический гиперпластический риносинусит с полипами носа. Особенно важную роль в развитии хронического гиперпластического риносинусита с полипами носа отводят эозинофилам и грибам. Гранулы эозинофилов содержат цитотоксические белки, которые высвобождаются при дегрануляции эозинофилов: катионный белок эозинофилов, главный основный белок, эозинофильная пероксидаза, эозинофильный нейротоксин.
Полагают, что эозинофилы мигрируют из эпителия в слизь, где стыкуются с Т-лимфоцитами. При дегрануляции в слизистой пленке, покрывающей эпителий, из эозинофилов высвобождаются цитотоксические цитокины, в частности главный основный белок, который, соединяясь с элементами грибов, образует так называемые подковы. Это приводит к токсико-воспалительной реакции на поверхности эпителия, создавая почву для присоединения вторичной бактериальной инфекции и в конечном итоге - развития хронического риносинусита.
Наиболее часто при хроническом риносинусите выявляют грибы Alternaria spp., Penicillium spp., Candida spp. и Aspergillus spp. Риносинусит, вызываемый грибами, предложено называть эозинофильным грибковым риносинуситом.
Иммунные и тканеспецифические реакции. В отличие от острого синусита, в патогенезе которого важную роль играют биомеханические и инфекционные механизмы, в развитии хронического риносинусита важное значение имеют иммунные и тканеспецифические воспалительные реакции. Этим объясняется возникновение рецидивов заболевания в виде обострений воспалительного процесса в слизистой оболочке, даже если после хирургического вмешательства улучшилась вентиляция и дренаж околоносовой пазухи.
Поэтому хирургическое вмешательство, основанное на принципах функциональных эндоскопических операций на околоносовых пазухах, разработанных Мессерклингером, может быть лишь частью лечения. Не менее важно наблюдать больных с риносинуситом и проводить длительную противовоспалительную терапию (глюкокортикоиды для местного и внутреннего применения, антибиотики при гнойном воспалении).

Стадии развития полипов, проникающих в полость носа из ячеек решетчатого лабиринта:
воспаление слизистой оболочки, отек, образование полипа, обструкция среднего носового хода
и передних ячеек решетчатого лабиринта, связанная с ростом полипа.
Видео этиология, патогенез синусита (гайморита)
Редактор: Искандер Милевски. Дата обновления публикации: 18.3.2021
Поражение ЛОР-органов при ВИЧ-инфекции
Поражение ЛОР-органов при ВИЧ-инфекции – группа патологий, развивающихся на фоне иммунной недостаточности, спровоцированной вирусом иммунодефицита человека. Самыми распространенными клиническими симптомами являются герпетическая сыпь, синюшные и багровые пятна, глубокие язвы кожи и слизистых оболочек, белые налеты, творожистые выделения изо рта, носа и слухового канала, синдром интоксикации. Диагностика направлена на определение ВИЧ-инфекции с помощью иммуноблоттинга, ИФА, ПЦР. Лечение состоит из антиретровирусной, антибактериальной, противовирусной и антимикотической терапии, симптоматических мероприятий.

Общие сведения
Поражение ЛОР-органов при ВИЧ-инфекции встречается в 75-85% случаев. В общей сложности в мире насчитывается порядка 35 млн. человек, инфицированных ВИЧ. Отоларингологические патологии на фоне иммунодефицита статистически чаще диагностируются среди представителей мужского пола в возрасте от 18 до 45 лет. Наиболее распространенная форма – кандидоз ротовой полости, который в 50-90% становится первичным проявлением ВИЧ-инфекции. Среди бластоматозных патологий самым частым поражением ЛОР-органов является саркома Капоши. Общий показатель летальности при подобных заболеваниях составляет 45-60%. Основные причины смерти – бактериальные внутричерепные осложнения и сепсис.

Причины поражения ЛОР-органов при ВИЧ
Причина развития этой категории поражений – вирусы иммунодефицита человека 1 или 2 типа, представители семейства Retroviridae. Наиболее распространены вирионы 1-го типа группы М. Возможные механизмы инфицирования – половой, вертикальный, парентеральный, инъекционный, грудное вскармливание. Источником заражения является инфицированный человек. Самый частый путь передачи вируса – половой контакт, что обусловлено большим количеством вирусных РНК, содержащихся в семенной жидкости и вагинальном секрете. К группе риска относятся гомосексуалисты, инъекционные наркоманы и лица, которым ранее проводилось переливание крови. Развитие оппортунистических патологий происходит при сопутствующем инфицировании бактериями, грибками, вирусами и их комбинациями. При недостаточности иммунитета инфекционные агенты получают возможность бесконтрольного размножения с последующим проникновения вглубь тканей.
Патогенез
При инфицировании ВИЧ проникает в составляющие иммунной системы, имеющие специфический маркер CD4: Т-хелперы, моноциты, макрофаги, дендритные и микроглиальные клетки. В их цитоплазме вирус освобождает свою РНК, вживляя ее в клеточную ДНК. Изменившаяся ферментативная активность постепенно приводит к гибели клеток. Снижение уровня CD4 становится причиной потери цитотоксической активности лимфоцитов CD8. В нормальных условиях последние отвечают за контроль над бактериальными, вирусными, грибковыми агентами и мутировавшими клетками. Таким образом, патогенные и условно-патогенные агенты, проникая в полости ЛОР-органов, не встречают адекватного иммунного ответа и вызывают развитие заболевания.
Классификация
В список основных поражений ЛОР-органов при ВИЧ-инфекции входят следующие патологии:
- Микотические поражения. К ним относятся кандидоз и гистоплазмоз. Кандидоз развивается при инфицировании грибом Candida albicans, поражает полость рта, глотки и наружного уха. Гистоплазмоз проявляется разрастанием ретикуло-эндотелиальных структур, возбудителем является Histoplasma capsulatum. При диссеминированной форме приводит к язвенным поражениям глотки, неба, кожных покровов.
- Бактериальные инфекции. В условиях ВИЧ-инфекции часто появляются некротические изменения слизистых оболочек носа, внутренней поверхности щек, гортани, глотки, миндалин; возникают абсцессы перегородки носа с последующей перфорацией четырехугольного хряща; формируются или обостряются хронические тубоотиты, синуситы неспецифической бактериальной этиологии. Реже выявляются специфические заболевания: хламидийные и гонококковые фарингиты, сифилитический или туберкулезный отит, фарингит, ларингит.
- Герпес-инфекции. Основной возбудитель – вирус простого герпеса человека (Herpes simplex). Проявляется высыпаниями на коже и слизистых оболочках в виде везикул, герпетической лихорадкой. Несколько реже встречается опоясывающий лишай, а также его специфическая клиническая форма – синдром Ханта, обусловленные вирусом Varicella-zoster.
- Саркома Капоши. Злокачественная сосудистая опухоль, которая способна поражать мягкое небо, небные миндалины, внутреннюю поверхность щек, гортань, глотку. Характеризуется формированием большого количества кровеносных сосудов с аномальным расширением капилляров, что становится причиной образования многочисленных полостей.
Симптомы поражения ЛОР-органов при ВИЧ
Длительное время персистенция ВИЧ в организме никак не проявляется. Симптомы иммунодефицита и заболевания ЛОР-органов развиваются примерно спустя 7-10 лет после инфицирования. Стадия первичных проявлений имеет две формы: гриппоподобную и мононуклеозоподобную. Чаще встречается второй вариант, который характеризуется лихорадкой, тонзиллитом, гепатоспленомегалией, генерализованной лимфденопатией, болью в суставах и отдельных группах мышц, диареей, иногда – макулопапулезной сыпью на туловище. При гриппоподобной форме наблюдается внезапное повышение температуры тела, озноб, ярко выраженная интоксикация, анорексия, полиаденопатия, экссудативный фарингит. Возникающие далее симптомы напрямую зависят от СПИД-ассоциированной патологии.
Наиболее частое заболевание при ВИЧ-инфекции – кандидоз носоглотки, наружного уха. Обычно они проявляются зудом в ухе, формированием ангулита, выделением бело-серых масс творожистой консистенции с неприятным запахом, иногда – с примесью крови, кондуктивной тугоухостью, выраженным увеличением шейных, поднижнечелюстных лимфоузлов, нарастанием общей интоксикации организма. Патологические изменения ЛОР-органов при гистоплазмозе включают в себя глубокие эрозии в носоглотке, ротоглотке и на небе, сопровождающиеся выраженной болью при глотании. Реже язвы формируются на коже наружного носа или ушей. Визуально они имеют бугристую поверхность с приподнятыми краями. Местные проявления сочетаются с резким повышением температуры до 39,0-40,5° C, признаками поражения легких, печени, селезенки.
Бактериальные поражения при ВИЧ-инфекции характеризуются быстрым развитием тяжелого интоксикационного синдрома и выраженных классических симптомов, типичных для поражения того или иного органа, чаще всего – носоглотки, придаточных пазух носа, слуховой трубы, среднего уха. Наблюдаются тяжелые обострения уже имеющихся хронических форм ЛОР-заболеваний. Герпес-вирусная инфекция при СПИДе сопровождается появлением на слизистой оболочке полости рта, ротоглотки, зева, коже ушных раковин и наружного носа групп везикул. Внешне они представляют собой небольшие пузырьки, заполненные серозной или серозно-гнойной жидкостью, проявляются зудом, умеренной болезненностью покалывающего характера. Спустя 2-5 дней везикулы высыхают, на их поверхности формируются сухие корки. Иногда отдельные элементы сыпи сливаются в одну многокамерную структуру, которая после вскрытия оставляет глубокую эрозию.
При опоясывающем лишае обнаруживаются аналогичные высыпания, образующиеся по ходу верхнечелюстной и нижнечелюстной ветвей тройничного нерва, зачастую – только с одной стороны. Жалобы пациента при этом дополняются острой локальной болью невралгического характера, парестезиями. Герпетическая лихорадка возникает внезапно. Первыми признаками являются озноб, повышение температуры до 40,0° C, разлитая головная боль с менингеальными симптомами, редко – бред. Через 1,5-3 дня от начала заболевания общее состояние больного несколько улучшается, в области носа и вокруг рта появляется герпетическая сыпь. При синдроме Ханта вирус герпеса поражает ганглий коленца, что сопровождается резким ухудшением слуха, болевым синдромом с эпицентром в области слухового канала, иррадиацией в затылочный и скуловой участки, герпетической сыпью на ушной раковине и в полости наружного уха.
Очаги саркомы Капоши располагаются асимметрично на поверхности глотки, гортани, ротовой полости, лица, раковин наружного уха и заушных складок. Первичные элементы на слизистых оболочках представляют собой узлы темно-синего, темно-красного цвета. Далее образуются болезненные синюшные, бурые или черные пятна, которые быстро увеличиваются в диаметре, трансформируются в язвы. Возникает нарушение акта глотания, осиплость голоса. На кожных покровах часто образуются папулы и бляшки коричневого цвета, склонные к слиянию и изъязвлению.
Осложнения
Бактериальные и грибковые поражения при ВИЧ-инфекции склонны к быстрому распространению из первичного очага в полости других ЛОР-органов с развитием абсцессов носовой перегородки, фронтитов, гайморитов, этмоидитов, сфеноидитов, евстахиитов, наружных и средних гнойных отитов, лабиринтитов, фарингитов и ларингитов. При отсутствии адекватного лечения инфекция проникает в полость черепа, вызывая формирование внутричерепных и системных осложнений – гнойного менингита, энцефалита, абсцессов головного мозга, тромбофлебита кавернозного синуса, флегмоны орбиты, пневмоний, сепсиса и других. Поражение гортани и глотки при саркоме Капоши может сопровождаться обильными кровотечениями из участков изъязвлений, присоединением вторичной инфекции.
Диагностика
Диагностика поражений ЛОР-органов при иммунодефиците требует комплексного анализа анамнеза, жалоб, данных физикального исследования, общих и специфических лабораторных тестов. Последние играют решающую роль при постановке диагноза. Полная программа обследования больного с подозрением на ВИЧ предусматривает:
- Опрос пациента. При беседе с больным отоларинголог акцентирует внимание на эпидемиологическом анамнезе, давности и характере парентеральных манипуляций, других потенциальных рисках инфицирования ВИЧ. При сборе жалоб устанавливается последовательность их возникновения, наличие беспричинных лихорадок, диарей, колебаний массы тела.
- Физикальное обследование. При общем осмотре определяется выраженное увеличение регионарных лимфатических узлов на фоне умеренной генерализованной лимфаденопатии. При герпес-инфекции на коже лица присутствует специфическая кожная сыпь, которая при опоясывающем лишае распространяется строго по ходу веток тройничного нерва.
- Осмотр ЛОР-органов. При подозрении на ВИЧ-инфекцию проводится полный отоларингологический осмотр, включающий отоскопию, переднюю и заднюю риноскопию, мезофарингоскопию, непрямую ларингоскопию. Эти методики позволяют визуализировать гиперемию и отечность слизистых оболочек, наличие специфических налетов, высыпаний или изъязвлений той или иной анатомической области.
- Рутинные лабораторные тесты. В ОАК при бактериальных и микозных инфекциях присутствует слабовыраженный нейтрофильный лейкоцитоз или лимфоцитопения, повышение СОЭ, при вирусных – лимфоцитоз и/или моноцитоз. На фоне ВИЧ-инфекции определяются атипичные мононуклеары, падение уровня тромбоцитов и гемоглобина.
- Специфические исследования крови. Для подтверждения СПИДа применяются серологические методы диагностики, позволяющие выявить специфические антитела к ВИЧ: иммуноблоттинг, иммуноферментный анализ. Также используется методика полимеразной цепной реакции, которая идентифицирует вирусную РНК, позволяет оценить ее количество в периферической крови.
Лечение поражения ЛОР-органов при ВИЧ
Лечение нацелено на угнетение репликации ВИЧ и купирование оппортунистических инфекций. Комбинации препаратов подбираются с учетом состояния больного и развившихся патологий ЛОР-органов. Терапевтическая программа включает:
- Антиретровирусную терапию. Для подавления активности вируса используются нуклеозидные и ненуклеозидные ингибиторы обратной транскриптазы, ингибиторы протеазы, ингибиторы фузии в различных комбинациях.
- Этиотропную терапию. При герпетических поражениях назначаются противовирусные препараты из группы ацикловира. При бактериальных заболеваниях показаны высокие дозы антибиотиков широкого спектра действия – аминопенициллинов, цефалоспоринов 3-4 поколения, фторхинолонов, карбопенемов. При грибковых патологиях применяются антимикотические препараты – производные имидазола.
- Патогенетическое и симптоматическое лечение. Заключается в дезинтоксикационной терапии с использованием плазмозаменителей, введении внутривенных иммуноглобулинов, препаратов крови, общеукрепляющих средств, противовоспалительных, антигистаминных и обезболивающих медикаментов, витаминных комплексов.
Прогноз и профилактика
Прогноз относительно поражений ЛОР-органов на фоне дефицита иммунитета – сомнительный. Ранняя диагностика и хороший ответ организма пациента на фармакотерапию позволяют купировать заболевания или перевести их в хроническую форму. Прогноз для непосредственно ВИЧ-инфекции – неблагоприятный. В современных условиях заболевание неизлечимо, но антиретровирусные препараты дают возможность контролировать репликацию вируса, существенно увеличить продолжительность и улучшить качество жизни больного. Первичная профилактика оппортунистических заболеваний ЛОР-органов основывается на предотвращении инфицировании ВИЧ, вторичная - на соблюдении принципов антиретровирусной терапии, регулярных профилактических осмотрах у лечащего врача.
Синусит
Синусит – инфекционно-воспалительный процесс, затрагивающий слизистую оболочку околоносовых пазух. Может иметь вирусную, бактериальную, грибковую или аллергическую природу. К общим симптомам, характеризующим течение синуситов, относятся повышение температуры тела, боль в проекции придаточных пазух, затруднение носового дыхания, серозно-гнойное отделяемое из носа. Синуситы распознаются на основании данных рентгенографии, УЗИ, КТ и МРТ околоносовых пазух, диагностической пункции. При синуситах проводится антибиотикотерапия, физиотерапия, лечебные промывания, пункции и дренирования, традиционные и эндоскопические операции на придаточных пазухах носа.


Синусит – воспалительный процесс в одной или нескольких придаточных пазухах носа. Синуситы диагностируются у 0,02% взрослого населения; у детей инфекции верхних дыхательных путей осложняются развитием синусита в 0,5% случаев. В отоларингологии к синуситам относятся воспаления: верхнечелюстной пазухи – гайморит, лобных пазух – фронтит, клиновидной пазухи – сфеноидит, лабиринта решётчатой кости – этмоидит. По течению выделяют острый и хронический синуситы. Отмечается повышенная температура, головная боль, заложенность и гнойные выделения из носа, отек лица в зоне воспаленной пазухи. При отсутствии лечения развиваются серьезные осложнения: воспаление зрительного нерва и оболочек глаза, остеомиелит, абсцесс мозга, менингит.

Причины синуситов
Носовая полость сообщается с семью придаточными (параназальными) пазухами: двумя лобными, двумя верхнечелюстными, двумя решетчатыми и одной клиновидной. Пазухи соединены с носовой полостью узкими ходами. Через эти ходы осуществляется постоянное дренирование (очищение) пазух. Если пазухи по какой-то причине перестают очищаться, в них застаивается секрет и создаются благоприятные условия для развития синусита.
Соустья носовых пазух могут блокироваться при различных деформациях внутриносовых структур (гипертрофические риниты, искривление носовой перегородки, аномалии строения решетчатого лабиринта и носовых раковин). Вирусная инфекция является еще одним фактором риска возникновения синуситов. В результате воспаления слизистая оболочка придаточных пазух и носовой полости отекает. Слизистые железы начинают вырабатывать большое количество секрета. Соустья параназальных пазух еще больше сужаются из-за отека слизистой и забиваются густым патологическим секретом.
Нарушение вентиляции, застой отделяемого и дефицит кислорода в тканях пазух становятся толчком для интенсивного развития условно-патогенной флоры. К вирусной инфекции присоединяется бактериальная. Степень выраженности проявлений синусита зависит от вирулентности вызывавших воспаление микробов. Широкое применение антибиотиков приводит к тому, что бактериальная флора, ставшая причиной развития синусита, нередко отличается повышенной резистентностью (устойчивостью) к большинству антибиотиков.
В последние годы синуситы все чаще вызываются грибками. Причина этой тенденции также кроется в неоправданном использовании антибиотикотерапиии, которая отрицательно влияет на состояние иммунной системы, нарушает нормальный состав микрофлоры и создает благоприятные условия для развития микозной инфекции. Синуситы на начальной стадии не обязательно провоцируются микробами. Отек слизистой оболочки, приводящий к закрытию соустий параназальных пазух, может быть вызван вдыханием холодного воздуха и ряда химических веществ.
Однако, самой частой причиной развития синуситов являются иммунодефицитные состояния и аллергические реакции. Аллергия вызывает вазомоторный ринит, одним из проявлений которого является отек слизистой носовой полости. Процесс неоднократно повторяется. В результате хронические синуситы развиваются примерно у 80% больных вазомоторным ринитом.
В зависимости от локализации процесса выделяют следующие виды синуситов:
- Гайморит. Воспалительный процесс поражает гайморову (верхнечелюстную) пазуху.
- Этмоидит. Воспаление развивается в решетчатом лабиринте.
- Фронтит. Патологический процесс охватывает лобную пазуху.
- Сфеноидит. Воспаление возникает в клиновидной пазухе.
Первое место по распространенности занимает гайморит, второе – этмоидит, третье – фронтит и четвертое – сфеноидит. Возможно одно- или двухстороннее поражение. В процесс может вовлекаться одна или несколько пазух. Если воспаление охватывает все придаточные пазухи, заболевание называют пансинуситом.
Все синуситы могут протекать остро, подостро или хронически. Острый синусит, как правило, провоцируется насморком, гриппом, скарлатиной, корью и другими инфекционными заболеваниями. Заболевание продолжается 2-4 недели. Подострый синусит чаще всего является следствием неправильного или недостаточного лечения острого синусита. Симптомы заболевания при подостром течении синусита сохраняются от 4 до 12 недель. Хронический синусит становится исходом повторных острых синуситов инфекционной этиологии или развивается, как осложнение аллергического ринита. Критерием хронизации процесса является наличие симптомов синусита в течение 12 и более недель.
В зависимости от характера воспаления выделяют три формы синусита:
- отечно-катаральная. Поражаются только слизистая оболочка параназальных пазух. Процесс сопровождается выделением серозного отделяемого;
- гнойная. Воспаление распространяется на глубокие слои тканей придаточных пазух. Отделяемое приобретает гнойный характер;
- смешанная. Имеются признаки отечно-катарального и гнойного синусита.
Симптомы синуситов
Клинические проявления гайморита подробно описаны в статье «Гайморит».
Симптомы этмоидита
Как правило, воспалительный процесс в передних отделах решетчатого лабиринта развивается одновременно с фронтитом или гайморитом. Воспалению задних отделов решетчатого лабиринта нередко сопутствует сфеноидит.
Больной этмоидитом предъявляет жалобы на головные боли, давящую боль в области переносицы и корня носа. У детей боли часто сопровождаются гиперемией конъюнктивы, отеком внутренних отделов нижнего и верхнего века. У некоторых пациентов возникают боли неврологического характера.
Температура тела обычно повышается. Отделяемое в первые дни заболевания серозное, затем становится гнойным. Обоняние резко снижено, носовое дыхание затруднено. При бурном течении синусита воспаление может распространиться на глазницу, вызывая выпячивание глазного яблока и выраженный отек век.
Симптомы фронтита
Фронтит, как правило, протекает тяжелее других синуситов. Характерна гипертермия, затрудненность носового дыхания, выделения из половины носа на стороне поражения. Пациентов беспокоят интенсивные боли области лба, больше выраженные по утрам. У некоторых больных развивается снижение обоняния и светобоязнь, появляется боль в глазах.
Интенсивность головных болей снижается после опорожнения пораженной пазухи и нарастает при затруднении оттока содержимого. В отдельных случаях (обычно – при гриппозном фронтите) выявляется изменение цвета кожи в области лба, отек надбровной области и верхнего века на стороне поражения.
Хронический фронтит часто сопровождается гипертрофией слизистой оболочки среднего носового хода. Возможно появление полипов. Иногда воспаление распространяется на костные структуры, приводя к их некрозу и образованию свищей.
Симптомы сфеноидита
Сфеноидит редко протекает изолированно. Обычно развивается одновременно с воспалением решетчатой пазухи. Пациенты жалуются на головную боль в глазнице, области темени и затылка или глубине головы. При хроническом сфеноидите воспаление иногда распространяется на перекрест зрительных нервов, приводя к прогрессирующему снижению зрения. Нередко хронический сфеноидит сопровождается стертой клинической симптоматикой.
Осложнения синусита
При синуситах в патологический процесс может вовлекаться глазница и внутричерепные структуры. Распространение воспаления вглубь может приводить к поражению костей и развитию остеомиелита. Самым распространенным осложнением синуситов является менингит. Заболевание чаще возникает при воспалении решетчатого лабиринта и клиновидной пазухи. При фронтите может развиться эпидуральный абсцесс или субдуральный (реже) абсцесс мозга.
Своевременная диагностика осложнений при синуситах иногда затруднена из-за слабо выраженной клинической симптоматики. Запущенные внутричерепные осложнения синуситов прогностически неблагоприятны и могут стать причиной летального исхода.
Диагностика синусита
Диагноз синусита выставляется на основании характерной клинической картины, объективного осмотра и данных дополнительных исследований. В процессе диагностики используется рентгенография околоносовых пазух в двух проекциях, ультразвуковое исследование, ядерно-магнитный резонанс и КТ околоносовых пазух. По показаниям для исключения осложнений проводится КТ или МРТ головного мозга.

Лечение синусита
Терапия острого синусита направлена на купирование болевого синдрома, устранение причины воспалительного процесса и восстановление дренирования пазух. Для нормализации оттока отоларингологи используют сосудосуживающие препараты (нафазолин, оксиметазолин, ксилометазолин и т. д.), устраняющие отек слизистой носовой полости и полости пазух.
Практическое применение при синуситах находит метод синус-эвакуации. Процедура осуществляется следующим образом: в разные носовые ходы вводят два катетера. Антисептик подается в один катетер и отсасывается через другой. Вместе с антисептиком из носовой полости и полости пазух удаляется гной и слизь.
При синуситах бактериальной природы применяют антибиотики. Для освобождения пазухи от гноя проводят ее вскрытие (гайморотомия и др.). При вирусных синуситах антибиотикотерапия не показана, поскольку антибиотики в данном случае неэффективны, могут усугубить нарушение иммунного статуса, нарушить нормальный состав микрофлоры в ЛОР-органах и стать причиной хронизации процесса.
Пациентам с острыми синуситами назначают антигистаминные средства и рассасывающие препараты (чтобы предупредить образование спаек в воспаленных пазухах). Больным с синуситами аллергической этиологии показана противоаллергическая терапия. Лечение обострения хронического синусита проводится по принципам, аналогичным терапии острого воспаления. В процессе лечения используются физиотерапевтические процедуры (диадинамические токи, УВЧ и т. д.).
При неэффективности консервативной терапии хронических синуситов рекомендуется хирургическое лечение. Операции, проводимые пациентам с хроническими синуситами, направлены на устранение препятствий для нормального дренирования параназальных пазух. Выполняется удаление полипов в носу лазером, устранение искривления носовой перегородки и т.д. Операции на пазухах проводятся как по традиционной методике, так и с использованием эндоскопического оборудования.
Пансинусит
Пансинусит – это воспалительный процесс инфекционного характера, поражающий слизистую оболочку всех околоносовых пазух. К основным симптомам относятся лихорадка, боль в проекции придаточных пазух, затруднённое носовое дыхание, снижение обоняния, отделяемое из носа различного характера. Диагноз ставится с учётом данных риноскопии, пункции, ультразвукового исследования, КТ, МРТ параназальных синусов, а также бактериологического посева. Лечение проводится консервативно (антибиотики, физиотерапия, промывания синусов) или с помощью эндоскопических операций.
МКБ-10



Пансинусит – это воспаление всех придаточных пазух носа: клиновидной (сфеноидит), верхнечелюстных (гайморит), лобных (фронтит), лабиринта решётчатой кости (этмоидит). Для пансинусита типична сезонность: большая часть людей заболевает в период осенне-зимних простуд и весеннего цветения. Острая форма воспаления околоносовых синусов выявляется в 2-4 раза чаще хронической. У детей синуситы сопровождают большинство патологий дыхательных путей. Основную группу больных составляют лица в возрасте от 4 до 35 лет. У лиц мужского пола пансинусит диагностируется незначительно чаще, чем у женщин – 53% от общего числа случаев.
Причины пансинусита
Ключевую роль в развитии острого воспаления придаточных синусов играет ОРВИ, вызванная респираторно-синцитиальной инфекцией, аденовирусами, парвовирусами. При хроническом течении болезни в качестве возбудителя чаще выступают бактерии: стафилококки, бета-гемолитические стрептококки, пневмококки. В последние годы увеличивается количество атипичных возбудителей, к которым относят различные грибки, микоплазму и хламидии. На формирование пансинусита оказывают влияние следующие факторы:
Пансинусит чаще возникает на фоне снижения активности иммунитета. Это может быть связано с ВИЧ-инфекцией длительной антибактериальной терапией, сахарным диабетом. Реже воспаление пазух встречается при гемобластозах, онкологических патологиях, дыхательной недостаточности.

КТ ППН. Полипозный пансинусит. Отек слизистой оболочки верхнечелюстных пазух (красная стрелка), полиповидные образования в в/челюстных пазухах (синяя стрелка), выраженное снижение пневматизации полости носа (зеленая стрелка).
Полость носа с помощью узких ходов соединяется с семью околоносовыми синусами: парными верхнечелюстными, лобными и решётчатыми, одной клиновидной. Таким образом происходит регулярное очищение пазух от секрета желёз и микроорганизмов. Пусковым моментом в развитии пансинусита обычно служит вирусная инфекция верхних дыхательных путей. Воспалительный процесс провоцирует формирование отёка за счёт гиперсекреторной деятельности желёз и транссудации плазмы.
Очищение носовой полости путём высмаркивания способствует созданию давления около 65-85 мм рт. ст., в результате чего инфицированное содержимое проходит из носовых ходов в пазухи. Слизистая оболочка пазухи утолщается в несколько десятков раз, формирует подушкообразное выбухание, которое заполняет весь просвет, создаёт блокаду для естественного оттока. Благодаря отёку, нарушенному дренированию и избыточной секреции возникают оптимальные условия для роста бактериальной или грибковой инфекции.
С учётом характера воспалительного процесса и формирующихся в пазухах изменений в клинической отоларингологии выделяют несколько видов заболевания. Различают экссудативную и продуктивную (пролиферативную) форму, каждая из которых имеет свои разновидности. Для экссудативного пансинусита характерно образование секрета различного характера внутри синуса. Разновидности экссудативной формы заболевания:
- Серозная. Отделяемое водянистое, бесцветное, содержит белок, лейкоциты, лимфоциты и эпителиальные клетки. Прогноз такого воспаления благоприятный: наблюдается быстрое рассасывание экссудата, восстановление повреждённых тканей.
- Катаральная. Характеризуется скоплением слизистого экссудата с преобладанием слущенных клеток эпителия и эозинофилов (при наличии аллергического компонента). Острая форма такого воспаления заканчивается полным восстановлением, а при хронической наблюдается атрофия слизистой.
- Гнойная. Гной состоит из дегенеративно измененных лейкоцитов, альбуминов, гликолитических и протеолитических ферментов, лецитинов, жиров. Процесс восстановления после этой формы болезни протекает медленнее, может осложняться присоединением вторичной инфекции.
Продуктивная форма воспалительного процесса протекает с менее выраженной симптоматикой. Для неё характерна гиперплазия слизистой оболочки. Пролиферативный пансинусит подразделяют на:
- Пристеночно-гиперпластический. Эта форма заболевания сопровождается утолщением слизистой оболочки в области стенок пазухи. Вследствие этого уменьшается объём синуса, что усугубляет тяжесть воспалительного процесса.
- Полипозный. Для такого пансинусита характерно разрастание тканей над слизистой оболочкой синуса. Полипы могут иметь тонкую ножку или широкое основание, посредством которого прикрепляются к стенкам.

КТ ППН. Этот же пациент. Диффузное снижение пневматизации ячеек решетчатого лабиринта (синяя стрелка), гиподенсный отек слизистой оболочки сфеноидальных пазух (красная стрелка).
Симптомы пансинусита
При остром воспалительном процессе клинические проявления выражены крайне ярко и продолжаются до трех недель. Для хронической формы заболевания типично чередование обострений и ремиссий: основные признаки сохраняются в течение нескольких месяцев. Пансинусит сопровождается выраженной интоксикацией: повышается температура до фебрильных значений, появляются ознобы, потливость (в особенности в ночное время). При длительном течении патологии нарастают неврологические расстройства: парестезии, генерализованная слабость, бессонница.
Боль преимущественно локализуется в области переносицы, надбровной зоны, орбит, затылка, центральной части головы, может иррадиировать в зубы и нижнюю челюсть. При пальпации неприятные ощущения усиливаются, в проекции синусов наблюдается отёк мягких тканей. Головные боли – самый первый признак острого пансинусита. Их возникновение связано с распространением воспалительного процесса на оболочки головного мозга. Головная боль имеет распространённый характер без чёткой локализации, усиливается при резких движениях головой и физических нагрузках.
Затруднения при носовом дыхании могут быть временными или постоянными. Из-за обструкции выводных отверстий синуса и отёчности слизистой оболочки нарушается прохождение воздуха по верхним дыхательным путям. Компенсация этой проблемы осуществляется за счёт дыхания через рот, может проявляться в форме смешанной одышки. Из-за атрофии слизистой оболочки полости носа у пациентов резко снижается чувствительность к запахам или возникает аносмия.
Отделяемое из полости носа в первые несколько дней имеет катаральный или серозный характер. Такие выделения бесцветны, выделяются из носа в небольшом количестве. По мере прогрессирования патологического процесса содержимое пазух становится гнойным. Эти выделения имеют зелёно-жёлтый цвет, более густые, отходят при сморкании или стекают по задней стенке глотки.
Осложнения пансинусита связаны с распространением инфекционного процесса на ближайшие структуры. При проникновении микроорганизмов в кости черепа развивается остеомиелит. При прогрессирующем течении пансинусита наблюдается снижение зрения (связано с поражением зрительного перекрёста), ухудшение обоняния. Самыми опасным осложнением является воспаление мозговых оболочек – менингит, который без должного лечения приводят к инвалидности или смерти. Если инфекция распространяется контактным путём со стороны лобной пазухи, может сформироваться эпидуральный или субдуральный абсцесс.
Диагноз пансинусита выставляется на основании анализа жалоб, данных физикального обследования, проводимого врачом-отоларингологом, комплекса лабораторных и инструментальных исследований. При опросе пациента выясняются первичные клинические проявления болезни, динамика их прогрессирования, наличие сопутствующих патологий ЛОР-органов, дыхательной системы. Для подтверждения диагноза используются:
- Физикальное обследование. При ощупывании и перкуссии переносицы, надбровных дуг, затылочной и теменной области пациент испытывает выраженные неприятные ощущения. Попытка наклона головы вниз провоцирует усиление боли. Пальпаторно обнаруживается отёчность в проекции пазух.
- Передняя и задняя риноскопия. Воспаление синусов сопровождается выраженной гиперемией и отёчностью слизистой оболочки. При экссудативном пансинусите выявляется прозрачное или жёлто-зелёное содержимое, а при продуктивном ‒ обнаруживаются полипы и гипертрофия слизистой.
- Диагностическая пункция. После проведения аспирации содержимое пазухи отправляется на микроскопическое или бактериологическое исследование. Это позволяет определить характер возбудителя и подобрать этиотропную терапию.
- Инструментальные исследования. Рентгенография, ультразвуковое исследование, КТ околоносовых пазух помогают определить наличие патологического экссудата, его уровень. Для обнаружения осложнений гнойного характера и поражения мозга используется МРТ.
В общем анализе крови при пансинусите наблюдается картина острого воспалительного процесса: увеличение СОЭ более 10 мм/час, повышение лимфоцитов, эозинофильных клеток (если имеется аллергический компонент). При вирусной природе патологии происходит сдвиг в лейкоцитарной формуле влево, а при бактериальной – вправо. Дифференцировать пансинусит необходимо с ринитом, инородными телами полости носа, злокачественными новообразованиями пазух и черепных ямок.

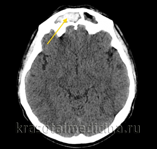
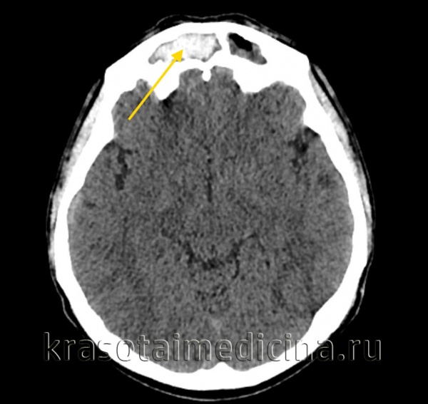
КТ ППН. Этот же пациент. Диффузное снижение пневматизации обеих лобных пазух, справа с гиперденсными включениями (желтая стрелка).
Лечение пансинусита
Лёгкие формы можно лечить дома при регулярном посещении врача, в то время как среднетяжёлые и тяжёлые требуют госпитализации в отделение отоларингологии. Пациенту назначается палатный или общий режим с ограничением нагрузок, а также диета с высоким количеством белков, витаминов, минеральных комплексов. План лечения включает в себя:
- Этиотропные препараты. Если заболевание имеет бактериальную природу, назначают антибиотики широкого спектра (цефалоспорины, защищённые пенициллины, аминогликозиды) на срок до 14 дней. При вирусной инфекции используют интерфероны, синтетические нуклеозиды, а при грибковой этиологии болезни применяют фунгицидные средства.
- Симптоматическая терапия. Для облегчения общего состояния и профилактики побочных эффектов этиотропного лечения используют симптоматические препараты. К ним относят нестероидные противовоспалительные средства, антигистаминные, глюкокортикоиды. Для нормализации микрофлоры назначают пробиотики, пребиотики.
- Физиотерапевтические процедуры. Для улучшения дренирования пазух широко применяют УВЧ, лампу-соллюкс, микроволновую терапию. С целью общего укрепления организма назначают лечебную гимнастику, ультрафиолетовое облучение.
- Неинвазивное дренирование. Промывание синусов через соустье, санация околоносовых пазух ЯМИК-катетером не требуют обезболивания. В основе этих способов лечения лежит разность давления, обеспечивающая эвакуацию жидкости из синусов.
- Инвазивное дренирование пазух. Чаще всего проводят пункцию околоносовых пазух, а также трепанопункцию лобной пазухи. Методики позволяют удалить из синусов скопление патологического экссудата, осуществить промывание. Для этого используют физиологический раствор и антибиотики.
- Хирургическое лечение. Оперативное вмешательство показано при хронических и пролиферативных формах полисинусита, когда нет возможности консервативным путём восстановить проходимость отверстий пазух. С помощью эндоскопического оборудования расширяется соустье синуса, опорожняется его полость. При необходимости удаляется часть носовой перегородки или иссекаются полипы.
При своевременно начатой терапии пансинусита прогноз для здоровья и жизни пациента благоприятный. При отсроченном вмешательстве существует риск развития гнойных осложнений, полной утраты обоняния. Профилактика развития болезни включает терапию хронических заболеваний ЛОР-органов и коррекцию аномалий развития, предотвращение травматических воздействий на область лица. Необходимо также укреплять иммунитет путём регулярных физических нагрузок и здорового питания.
2. Острый и хронический риносинусит: этиология, патогенез, клиника, диагностика и принципы лечения/ Лопатин А.С., Гамов В.П. – 2011.
3. Острый и хронический риносинусит: этиология, патогенез, клиника, диагностика и принципы лечения/ Лопатин А.С., Гамов В.П. – 2011.
4. Диагностика и лечение острого синусита/ Лучихин Л.А., Полякова Т.С.// Русский медицинский журнал. – 2004 - №4.
Поражение ЛОР органов при ВИЧ инфекции

ВИЧ-инфекция является медленно прогрессирующим инфекционным заболеванием, которое передается контактным путём. Для этого заболевания характерно специфическое поражение иммунной системы и развитие тяжелой формы приобретенного иммунодефицита (СПИД), при котором развиваются вторичные (оппортунистические) инфекции, возникают злокачественные опухоли и аутоиммунные процессы, которые часто приводят к смерти больного.

Причины возникновения и течение болезни
Причиной развития синдрома приобретенного иммунного дефицита (СПИДа) является ретровирус, который обозначается как вирус иммунодефицита человека (ВИЧ). Известны следующие пути передачи ВИЧ инфекции: через кровь, в том числе и при инъекциях, через слизистую оболочку при половом контакте, а также от матери к ребенку через плаценту. Клинические проявления заражения СПИДом могут занимать период от 7 до 11 лет, но в некоторых случаях заболевание развивается и через 3 года.
Причиной развития заболевания являются нарушения гуморального и клеточного иммунитета. При ВИЧ инфекции поражается субпопуляция Т-хелперов, также страдают и другие лимфоидные клетки и клетки нервной системы.
При попадании ретровируса в организм он поражает клетки, и они теряют способность контролировать проникающие в организм возбудители грибковых, вирусных, бактериальных и других видов вторичной инфекции, а также малигнизированные (злокачественные) клетки. Происходит нарушение функции В-лимфоцитов, что снижает способность воспроизводить вируснейтрализующие антитела. Из-за того, что в организме циркулирует слишком большое количество иммунных комплексов, развиваются патологические аутоиммунные процессы.
На начальной стадии заболевания организм ещё способен вырабатывать вируснейтрализующие антитела, которые могут подавлять свободно циркулирующие вирусы, но они не могут оказывать влияние на провирусы (вирусы, находящиеся в клетках). Примерно через 5-7 лет защитные возможности иммунной системы истощаются, а в крови накапливаются свободные вирусы и вторичные инфекции, которые имеют эндогенный (внутренний) источник. Все это приводит к активации собственной микрофлоры: микобактерий туберкулеза из очагов Гона, возникновение саркомы Капоши. В результате активизации вируса герпеса различных типов развивается инвазивный (проникающий внутрь тканей) рак шейки майки, развиваются манифестные (явные) формы грибковой и цитомегаловирусной инфекции.
Цитопатическое (разрушительное) действие ВИЧ поражает клетки крови, нервной, костно-мышечной, сердечно-сосудистой, эндокринной и других систем организма. Это приводит к полиорганной недостаточности, которая характеризуется разнообразными клиническими проявлениями и постоянным прогрессированием ВИЧ заболевания.
На всех стадиях развития ВИЧ-инфекции отмечаются открытые проявления различных СПИД-индикаторных заболеваний лор-органов. Исключением является инкубационный период заболевания.
Клиническая картина
Из-за того что к ВИЧ-инфекции присоединяются грибковые, вирусные, бактериальные вторичные инфекции, клинические проявления заболевания очень разнообразны. У ВИЧ-инфицированных одним из ранних проявлений заболевания считаются поражения полости рта и слизистых оболочек лор-органов.
Развитие патологических изменений можно разделить на следующие периоды:
- Инкубационный;
- Первичная острая ВИЧ-инфекция;
- Латентный;
- Генерализованная лимфаденопатия (увеличение лимфатических узлов);
- СПИД-ассоциированный комплекс, который иначе называют пре-СПИД;
- Клинически развившееся заболевание СПИД, которое проявляется вторичными инфекциями и опухолями.
Обычно инкубационный период протекает без каких либо проявлений, но уже через 3-6 недель после заражения у 30-50% пациентов развивается острая первичная ВИЧ-инфекция. Клинические проявления неспецифичны и очень напоминают грипп или инфекционный мононуколеоз (острое вирусное заболевание). У пациентов наблюдается повышение температуры до 39 градусов Цельсия, увеличение лимфатических узлов, ангина, диарея (понос), миалгия (боль в мышцах), артралгия (боль в суставах), спленомегалия (увеличение селезенки), гепатомегалия (увеличение печени). Отмечается лимфопения (снижение числа лимфоцитов в крови), а иногда и тромбоцитопения (снижение количества тромбоцитов). Все признаки ВИЧ-инфекции быстро проходят, и только у некоторых пациентов остается генерализированная лимфаденопатия.
В латентном периоде заболевания в крови пациентов появляются антитела к ВИЧ, титры которых нарастают постепенно. Наблюдается увеличение лимфатических узлов, которое в большей степени касается задних шейных, затылочных и ретроманибулярных (нижнечелюстных). На протяжении длительного периода генерализованная лимфаденопатия может являться единственным проявлением болезни.
В период активного развития вторичных инфекций и онкологических опухолей ВИЧ-инфекция переходит в клинически развернутое заболевание, которое в условиях наступившего иммунодефицита вызывает условно-патогенная флора. Наиболее часто при поражении ЛОР-органов вторичными инфекциями встречается кандидоз (грибковая инфекция) пищевода и глотки. В случае если возникает стойкий фарингомикоз у молодых людей, которые раньше не болели и не лечились ранее кортикостероидами, антибиотиками и цитостатиками, лор-врач должен проверить возможность развития у пациента ВИЧ-инфекции.
Нередко грибковые заболевания глотки и пищевода сочетаются с лимфаденопатией, кожной экземой и такими микотическими поражениями как актиномикоз (поражение лучистыми грибками) лица и шеи. В некоторых случаях возникает кандидозный сепсис.
Самой тяжелой вторичной инфекцией СПИД, которая развивается на фоне практически полного подавления иммунной системы организма, является пневмоцистная интерстициальная пневмония. Ею поражается примерно 2/3 больных СПИДом. Поражения среднего уха встречаются гораздо реже.
При отсутствии других причин иммунодепрессии, герпетическая сыпь, которая поражает слизистые оболочки глотки и ротовой полости, а также кожи, может являться важным симптомом развития СПИДа. Чаще всего развивается простой герпес, но в некоторых случаях возникает опоясывающий лишай. Простой герпес обычно начинается с лица, но может приобрести диссеминирующий (распространяющийся) характер. Опоясывающий лишай чаще всего характеризуется геперемическими высыпаниями в наружном слуховом проходе и резкими болями в пораженной половине лица, а также поражением VII и VIII пар черепных нервов.
У больных СПИДом встречается заболевание, которое называют «волосатой лейкоплакией». Оно представляет собой утолщение слизистой оболочки, которое имеет белый цвет и сморщенную неровную поверхность. Локализуется по краю языка и на слизистой оболочке щек. Вызывается папилломавирусом или вирусом Эпштейна-Бара.
На фоне резкого снижения иммунитета и активизации патогенных инфекций возникают различные гнойные заболевания лор-органов, которые могут быть как острыми, так и хроническими. Достаточно часто у больных СПИДом возникают фурункулы и карбункулы, которые локализуются в области шеи и головы. Их лечение мало результативно, а течение заболевания очень продолжительно.
Почти у 20% больных СПИДом выявляются опухоли. Чаще всего встречается саркома Капоши – это опухоль кровеносных сосудов злокачественного характера. При этом заболевании сначала появляются пятна на коже головы и шеи, которые потом превращаются в бляшки или папулы, сливаются и в результате образуются инфильтраты. Чаще всего местом их локализации являются ушные раковины и заушные складки, а также твердое и мягкое небо ротовой полости, слизистая щек, миндалины, гортань. В случае если узлы саркомы Капоши локализуются в желудочно-кишечном тракте, то часто возникают кровотечения.
Достаточно редко, но все же встречаются среди больных СПИДом пациенты с экстранодальной неходжкинской лимфомой. Это злокачественное новообразование поражает лимфатические узлы и чаще всего её первичной локализацией является шея. Опухоль может развиться в глотке, в полости носа, в верхнечелюстной пазухе, на твёрдом и мягком нёбе.
Диагностику ВИЧ-инфекции нужно проводить не клинически, а в условиях лаборатории. Наличие вторичных или сопутствующих заболеваний позволяют реально оценить тяжесть состояния пациента и необходимость в его госпитализации в стационар. Для того чтобы подтвердить диагноз ВИЧ-инфекции используют различные методы: вирусологический, молекулярно-генетический, серологический и многие другие.
Антитела в ВИЧ обычно появляются в срок от 2 недель до 3 месяцев с момента заражения, но в некоторых случаях этот срок может достигать 6 месяцев. Тщательное изучение анамнеза в большинстве случаев позволяет выявить причины иммунодефицита. В случае если у пациента выявлен иммунодефицит, то обязательно нужно провести обследование на ВИЧ-носительство.
Лечение
Цель лечения этого заболевания – подавление вируса с помощью активной антиретровирусной терапии, а также профилактика и лечение сопутствующих синдромов и вторичных инфекций. В нашей стране для лечения СПИДа применяют следующие лекарственные препараты:
- нуклеозидные ингибиторы обратной транскриптазы - абакавир, зидовудин, ламивудин, диданозин, ставудин, фосфазид;
- ненуклиозидные ингибиторы обратной транскриптазы - невирапин;
- ингибиторы протеазы - атазанавир, индинавир, лопинавир/ритонавир, ампренавир,саквинавир, ритонавир, дарунавир;
- ингибиторы фузии - энфувиртид.
Прогноз
Крайне неблагоприятный, потому что препаратов, которые могли бы полностью излечить ВИЧ-инфекцию, пока просто не существует как в России, так и во всём мире.
Информацию из данного раздела нельзя использовать для самодиагностики и самолечения. В случае боли или иного обострения заболевания диагностические исследования должен назначать только лечащий врач. Для постановки диагноза и правильного назначения лечения следует обращаться к Вашему лечащему врачу.
Читайте также:
