Синдром поликистозных яичников. Синдром Штейна—Левенталя
Добавил пользователь Евгений Кузнецов Обновлено: 22.11.2025
Синдром поликистозных яичников (СПКЯ), также известный как синдром Штейна-Левенталя или склерокистоз яичников, представляет собой эндокринное (гормональное) заболевание, при котором яичники увеличены и содержат множество маленьких пузырьков, заполненных жидкостью. СПКЯ - довольно частое заболевание. Поликистоз возникает, когда яичники в избытке продуцируют мужские гормоны (андрогены), которые в норме образуются в очень небольших количествах.
В течение каждого менструального цикла в яичниках формируется множество маленьких фолликулов (пузырьков), из которых впоследствии может выйти яйцеклетка. В норме в середине менструального цикла во время овуляции (разрыва фолликула) одна яйцеклетка покидает один из фолликулов (какого-либо яичника), а другие фолликулы перезревают и перестают работать. При СПКЯ, яйцеклетка не вызревает и овуляции не происходит. Фолликулы не разрываются, а заполняются жидкостью и превращаются в кисты. Соответственно, яичники могут увеличиваться в размерах, становясь больше нормальных в 2-5 раз.
У женщин, страдающих синдромом поликистозных яичников, часто проявляются мужеподобные черты, такие как избыточный рост волос на лице и теле, прыщи, затылочная плешь и абдоминальные жировые отложения (жир откладывается на талии).
По оценкам врачей он поражает около 5-10% всех женщин, ещё не прошедших через менопаузу. Это одна из основных причин бесплодия, к тому же многие женщины не знают, что больны.
Причины
Единого мнения среди врачей до сих пор нет. Однако известно, что это заболевание связано с нечувствительностью тканей организма к инсулину (гормон, участвующий в регуляции уровня сахара в крови). Недавние исследования дают возможность предположить, что яичники женщин, страдающих синдромом поликистозных яичников, в избытке продуцируют мужские половые гормоны, поскольку организм не может должным образом перерабатывать инсулин. Уровень инсулина в крови настолько высок, что яичники реагируют на него избыточной продукцией мужских половых гормонов.
Cимптомы
Симптомы могут проявиться в любом возрасте. Могут развиться в течение пубертатного периода, и тогда менструальный период может задержаться или вообще не прийти. Девушки могут страдать избыточным весом и иметь рост волос по мужскому типу, например, на груди и на лице. Также у них может быть нарушен менструальный цикл, а менструальное кровотечение быть достаточно тяжелым.
У каждой женщины симптомы могут немного отличаться, хотя обычно наблюдаются отдельные или все из следующих симптомов:
- избыточный рост волос на лице, груди и животе;
- отсутствие или нерегулярные менструальные кровотечения;
- кровотечения из матки; ;
- прыщи; в области талии;
- тонкие волосы и облысение по мужскому типу;
Как мы уже упоминали, синдром поликистозных яичников сопровождается симптомами диабета , такими как полнота или усиленное мочевыделение, вагинальная молочница (кандидоз) или хронические кожные инфекции.
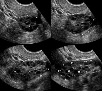
Поликистоз яичников виден при ультразвуковом исследовании, хотя и не всегда. У 20% женщин (не прошедших ещё через менопаузу), не имеющих симптомов поликистоза как такового, при ультразвуковом исследовании обнаруживают поликистозные яичники.
Осложнения
Синдром Штейна-Левенталя может повысить вероятность развития некоторых заболеваний. Поэтому важно проводить регулярные медицинские обследования. Даже в том случае, если некоторые симптомы синдрома поликистозных яичников частично исчезают после наступления менопаузы, через определённое время могут проявиться различные заболевания.
Сахарный диабет 2 типа . К моменту достижения менопаузы около 50% женщин со склерокистозом яичников диагностируется диабет 2 типа. Поэтому так важно заранее начать вести правильный образ жизни и соблюдать здоровую диету.
Повышенный уровень холестерина. Повышенный уровень тестостерона может служить причиной возрастания уровня ЛПНП (так называемая «плохая» форма холестерина) в вашем организме, что в итоге приводит к повышению риска сердечных заболеваний и сердечных приступов.
Рак эндометрия. Поскольку у женщин с синдромом поликистозных яичников овуляция не происходит часто, у них есть периоды, в течение которых эндометрий чрезмерно наращивается. Это может увеличить риск онкологических заболеваний стенки матки, хотя точных данных об этом явлении пока нет.
Что можете сделать Вы
Доктор может посоветовать соблюдать определённую диету, чтобы попытаться нормализовать уровень инсулина и поддерживать в норме уровень холестерина. Также очень важно снижение веса и поддержание хорошей физической подготовки, уже сами по себе эти меры помогают некоторым женщинам с СПКЯ реализовать желание забеременеть.
Что может сделать врач
Вашему врачу нужно будет оценить симптомы, исходя из данных вашей медицинской карты и общего осмотра. Если у вас предполагают синдром поликистозных яичников, врач назначит соответствующие анализы, чтобы подтвердить его и исключить другие возможные заболевания.
Необходимое обследование: ультразвуковое исследование (покажет общий вид ваших яичников), анализы крови – общий уровень мужских половых гормонов, инсулина, глюкозы, холестерина, или лютеинизирующего гормона.
Хотя синдром поликистозных яичников невозможно вылечить, некоторые симптомы всё же можно держать под контролем. Лечение будет зависеть от вашего набора симптомов, того, насколько остро они проявляются и вашего отношения к возможности забеременеть.
Лекарственные средства
Вам могут выписать прогестаген (синтетический аналог женского полового гормона прогестерона) или противозачаточные средства, чтобы индуцировать регулярные менструальные циклы.
Некоторые противозачаточные средства с низкой концентрацией активных компонентов, обычно имеющиеся в продаже содержат эстроген и небольшое количество анти-андрогена (вещество, блокирующее эффекты мужских половых гормонов) ципротерон ацетат. Это помогает эффективно контролировать избыточный рост волос и появление прыщей. Ацетат ципротерона доступен и сам по себе и ваш доктор может посоветовать вам этот или другой анти-андроген, спиронолактон, действующий схожим образом. С избыточным ростом волос можно бороться одновременно с помощью медикаментов и эпиляционных процедур. Ваш врач подберёт способ, оптимальный для вас.
Изотретиноин используется в случае наличия обильной угревой сыпи. Этот препарат уменьшает количество сальных выделений кожи и сокращает количество кожных желёз, их продуцирующих. Из-за наличия побочных эффектов этот медикамент может быть выписан только специальным врачом. Он противопоказан беременным и планирующим беременность, поскольку есть опасность повредить ребёнку.
Используя все эти препараты, вы должны понимать, что их эффект проявляется не сразу. Также учтите, что в случае если медикаменты, направленные на снижение роста волос, неэффективны, вам придётся воспользоваться другими методами, такими как лазерное удаление волос, восковая или электроэпиляция.
Лечение бесплодия может включать использование таких лекарств, как цитрат кломифена, стимулирующий рост фолликулов в яичниках и образование яйцеклетки в середине менструального цикла, или инъекции синтетических гормонов, схожих с теми, которые естественным путём вырабатывает ваш организм.
Лечение хирургическим путём
В качестве лечения бесплодия ваш доктор может предложить вам хирургическую процедуру - лапароскопию. При этом используется либо раскалённая игла, либо лазерный луч, чтобы прижечь яичник в нескольких местах. Эта процедура может стимулировать овуляцию и повысить ваши шансы забеременеть. Однако хирургическое вмешательство обычно считается крайней мерой, поскольку тканевой шрам может впоследствии деформировать яичники, что может отрицательно повлиять на вашу способность забеременеть.
Перед началом применения любого препарата посоветуйтесь со специалистом и ознакомьтесь с инструкцией по применению.
Поликистоз яичников (Синдром Штейна-Левенталя)
Поликистоз яичников – недуг гормонального характера, который без правильного и своевременного лечения может привести к тяжелым последствиям, например, бесплодию у женщин. В медицинской практике заболевание имеет еще одно название – синдром Штейна-Левенталя.
При развитии поликистоза яичников нарушается нормальное функционирование яичников, они увеличиваются в размере и заполняются небольшими образованиями с жидкостью. Во время синдрома Штейна-Левенталя не происходит овуляция, и фолликул не созревает, он может перерасти в кисту. Недомогание вызывает повышение уровня эстрогенов, могут появиться также нарушения в работе поджелудочной железы.
Конкретной первопричины развития синдрома поликистозных яичников не существует, известно лишь, что сбои гормонального баланса затрудняют освобождение зрелых яйцеклеток. Есть несколько факторов, которые могут спровоцировать изменение уровня гормонов, соответственно и спровоцировать поликистоз.
Возможные причины развития поликистозного синдрома яичников:
- Лишний вес.
- Чрезмерное производство инсулина организмом.
- Постоянные стрессы.
- Воспалительные заболевания хронического течения.
- Патологии желез и органов, отвечающих за выработку гормонов.
- Наследственный фактор.
- Ранние аборты и другие.
Симптомы поликистоза яичников
Проявление симптоматики зависит от вида синдрома Штейна-Левенталя: первичный тип или вторичный поликистоз. Первичный тип недуга может развиваться у девочек в период полового созревания. Второй вариант недуга диагностируется у пациенток среднего возраста.
Признаки поликистоза яичников:
- Нарушения менструации – нерегулярные месячные, слишком долгий или короткий цикл, частые задержки.
- Повышение уровня андрогенов – появление волос на теле, уменьшение размера груди, мутация голоса и т. п.
- Изменение веса – резкое увеличение массы тела на 10-12 кг и более.
- Ухудшение состояния волос и кожи – появляется угревая сыпь, пигментация кожных покровов.
- Аномалии яичников – увеличение органов, наличие кист, боль внизу живота.
- Нарушения общего состояния здоровья – может диагностироваться высокое артериальное давление, диабет и другие недомогания.
У каждого человека симптоматика может проявляться с разной степенью выраженности. То есть, если у женщины развился поликистозный синдром, то это не значит, что у нее обязательно появится чрезмерная волосистость на груди или других участках тела.
Диагностика и лечение поликистоза яичников
При подозрении на поликистоз яичников специалист обязательно проведет осмотр пациентки, расспросит об изменении веса, последней менструации. Для уточнения диагноза назначается лабораторная диагностика, которая включает анализ крови, маммографию молочных желез, УЗИ органов малого таза и другие методики исследования.
Терапия синдрома Штейна-Левенталя направлена на устранение индивидуальных проблем каждой пациентки, например, ожирения, бесплодия, угрей, гирсутизма (избыточный рост волос). Для урегулирования менструального цикла могут назначаться противозачаточные таблетки, они уменьшают уровень вырабатываемых андрогенов, тем самым дают организму женщины отдохнуть от действия эстрогена. Такая терапия позволит минимизировать риск развития онкологии (рака эндометрия), но подходит она только для больных, не планирующих в ближайшее время беременность.
Если диагностируется одновременно сахарный диабет и поликистоз, тогда обязательно прописываются препараты, понижающие уровень инсулина, они улучшат состояние пациентки и помогут овуляции. При чрезмерном весе показана специальная диета, после которой работоспособность репродуктивной функции должно возобновиться. В случае, когда консервативное лечение не дало результатов, проводят стимуляцию овуляции посредством тазовой лапароскопии.
Хирургическая операция действенна в 90% случаев, но носит она непродолжительный эффект. Лапароскопия помогает нормализовать работу яичников и достичь овуляции. Зачастую после оперативного вмешательства гормональное лечение становится более эффективным, и пациентка избавляется от проблемы бесплодия.
Для своевременной диагностики и лечения поликистоза яичников обращайтесь в медицинские центры «Президент-Мед»
Лечение синдрома Штейна-Левенталя
Синдром поликистозных яичников (СПКЯ), также известный как синдром Штейна-Левенталя или склерокистоз яичников, представляет собой эндокринное (гормональное) заболевание, при котором яичники увеличены и содержат множество маленьких пузырьков, заполненных жидкостью.
Синдром Штейна-Левенталя – патологическое состояние, вызванное дисфункцией одного или нескольких эндокринных органов: яичников, коры надпочечников, гипофиза, гипоталамуса и поджелудочной железы.
В течение каждого менструального цикла в яичниках формируется множество маленьких фолликулов (пузырьков), из которых впоследствии может выйти яйцеклетка. В норме в середине менструального цикла во время овуляции (разрыва фолликула) одна яйцеклетка покидает один из фолликулов (какого-либо яичника), а другие фолликулы перезревают и перестают работать. При СПКЯ, яйцеклетка не вызревает и овуляции не происходит. Фолликулы не разрываются, а заполняются жидкостью и превращаются в кисты. Соответственно, яичники могут увеличиваться в размерах, становясь больше нормальных в 2-5 раз.

Причины синдрома Штейна-Левенталя
Специалистам так и не удалось установить точную причину, вызывающую развитие данного состояния. Считается, что его развитие является реакцией организма на различные патологии, к примеру, нарушение функций гипофиза и гипоталамуса, болезнь Иценко-Кушинга, дисфункцию коры надпочечников или доброкачественное образование в полости матки, а также метаболический синдром. Также известно, что это заболевание связано с нечувствительностью тканей организма к инсулину (гормон, участвующий в регуляции уровня сахара в крови). Уровень инсулина в крови настолько высок, что яичники реагируют на него избыточной продукцией мужских половых гормонов.
Cимптомы синдрома Штейна-Левенталя
Симптомы могут проявиться в любом возрасте. Могут развиться в течение пубертатного периода, и тогда менструальный период может задержаться или вообще не прийти. Девушки могут страдать избыточным весом и иметь рост волос по мужскому типу, например, на груди и на лице. Также у них может быть нарушен менструальный цикл, а менструальное кровотечение быть достаточно тяжелым.
У каждой женщины симптомы могут немного отличаться, хотя обычно наблюдаются отдельные или все из следующих симптомов:
- избыточный рост волос на лице, груди и животе;
- отсутствие или нерегулярные менструальные кровотечения;
- кровотечения из матки;
- повышенное артериальное давление;
- прыщи;
- ожирение в области талии;
- тонкие волосы и облысение по мужскому типу;
- бесплодие.
Как мы уже упоминали, синдром поликистозных яичников сопровождается симптомами диабета, такими как полнота или усиленное мочевыделение, вагинальная молочница (кандидоз) или хронические кожные инфекции.
Поликистоз яичников виден при ультразвуковом исследовании, хотя и не всегда. У 20% женщин (не прошедших ещё через менопаузу), не имеющих симптомов поликистоза как такового, при ультразвуковом исследовании обнаруживают поликистозные яичники.
Диагностика синдрома Штейна-Левенталя
К основным способам диагностики относятся следующие мероприятия:
- гинекологический осмотр;
- ультразвуковая диагностика;
- лабораторные анализы крови.
Гинекологическое обследование подразумевает измерение базальной температуры в период овуляции и оценивание состояния мазков из влагалища.
УЗИ помогает выявить следующие признаки заболевания:

Лечение синдрома Штейна-Левенталя
Терапия синдрома поликистозных яичников — комбинированная терапия с использованием медикаментозного лечения и физиотерапевтических мероприятий:
- гормональные препараты для коррекции гормонального фона и стимуляции овуляции;
- препараты для снижения инсулин резистентности;
- лечение сопутствующих патологий.
- важным критерием на пути к успеху является снижение массы тела.
- хирургическое лечение назначают при отсутствии положительной динамики. Частичная резекция яичников проводится лапаротомическим или менее травматичным лапароскопическим методом.

Последствия отсутствия лечения
Избыточная концентрация мужских гормонов приводит к необратимым последствиям в виде изменения внешности. Кроме этого длительное воздействие андрогенов и невосприимчивость клеток организма к глюкозе вызывают развитие следующих заболеваний:
- сахарный диабет II типа;
- онкологические заболевания молочных желез и матки;
- инфаркты и инсульты.
При проведении адекватного лечения прогноз положительный. В 80% случаев удается добиться стойкого выздоровления и устранения признаков заболевания.
Где лечить СПКЯ в Александрове?
Медцентр "Север" Александров обладает необходимым опытом в лечении женщин с синдромом Штейна-Левенталя. Прием ведут высококвалифицированный эндокринолог с 30 летним стажем и акушеры-гинекологи, которые имеют огромный опыт в диагностике и лечении СПКЯ, используют международный опыт в разрешении этой проблемы. У пациенток, прошедших курс лечения в клинике «Север», есть шансы самостоятельно забеременеть и выносить ребенка.
Запись к врачам медцентра "Север" г. Александров на прием по телефону: 8 (49244) 9-32-49.
С августа 2021 у нас ведут прием Апряткина Юлия Владимировна, врач-невролог с 20 летним стажем, Лукина Ирина Викторовна, врач-оториноларинголог с 8 летним стажем и Гончаров Сергей Александрович, врач-дерматовенеролог с 36 летним стажем.
Синдром поликистозных яичников (СПКЯ)
Синдром поликистозных яичников (СПКЯ) — склерокистозная патология яичников, проявляющаяся утолщением капсулы яичников, их увеличением и множественными мелкими кистами (образовавшимися на месте прекративших свое развитие фолликулов).
Поликистозные яичники могут развиваться первично, и тогда это состояние носит название болезнь поликистозных яичников (синдром Штейна-Левенталя). Болезнь развивается в период полового созревания, на фоне хронического тонзиллита, после перенесенных инфекций и проявляется учащением ритма и увеличением выработки гормона — люлиберина в гипоталамусе, регулирующего выработку гонадотропных гормонов гипофиза, Регулируюших, в свою очередь, гормональную функцию яичников. В результате хронического отсутствия овуляции, помимо скудных месячных или их полного отсутствия, развивается первичное бесплодие. Из-за длительной повышенной выработки эстрогенов возникают функциональные маточные кровотечения и гиперплазия эндометрия (у 25% пациенток). Яичники увеличиваются в раз по сравнению с нормой. Отмечается избыточный рост волос в области голеней, бедер, нижней части живота, предплечий, ожирение При своевременно начатой терапии, прогноз благоприятный — возможно восстановление репродуктивной функции.
Синдром поликистозных яичников развивается вторично при пубертатной и постпубертатной формах адреногенитального синдрома (из-за повышенного синтеза андрогенов в надпочечниках). Фолликулы подвергаются кистозной атрезии, овуляция прекращается, синтез эстрогенов уменьшается, вырабатываются преимущественно мужские половые гормоны — андрогены. Клинически отмечаются позднее начало менструального цикла (старше 14 лет), последующий цикл становится нерегулярным, со скудными выделениями. Возникает первичное бесплодие (реже самопроизвольные аборты на ранних сроках) и избыточный рост волос в области верхней губы, щек («баки»), подбородка, предплечий, голеней, бедер, промежности, околососковых кружков молочных желез. Повышается жирность кожи, возникают угри. Ожирением страдают до 40% пациенток.
Еще одной причиной возникновения синдрома поликистозных яичников является нейроэндокринный синдром (СПКЯ центрального генеза). В данном случае имеется четкое начало, характеризующееся быстро прогрессирующим ожирением после родов, аборта, психической травмы, тяжелых инфекций. Синдром развивается из-за нарушения выработки гормонов в гипоталамо-гипофизарной области (как при болезни поликистозных яичников). Ожирение достигает жировые отложения локализуются преимущественно в области плечевого пояса и нижней половины живота. На коже молочных желез, нижних отделов живота появляются растяжки (от бледно-розовой до багровой окраски). На фоне нарастания массы тела регулярные месячные приходят через все большие промежутки времени, становятся скудными, у 25% женщин возникают ациклические маточные кровотечения. Развивается вторичное ановуляторное бесплодие. Отмечается повышение артериального давления, повышенный аппетит, жажда, эмоциональные расстройства (раздражительность, плаксивость, агрессивность при прогрессировании заболевания возникают апатия, вялость, повышенная сонливость).
Осложнения: Помимо возникающего при всех формах поликистозного поражения яичников бесплодия (трудности или невозможность зачатия и вынашивания), осложнениями могут быть артериальная гипертензия, инфаркты и инсульты (из-за тромбоэмболий, атеросклероза), ожирение, развитие сахарного диабета типа, увеличивается риск развития рака эндометрия и рака молочной железы.
Диагностика
Лабораторные исследования. Определение уровня гормонов в крови, характерно увеличенное соотношение ЛГ к ФСГ (не менее 2). Содержание тестостерона и андростендиона в крови чаще повышено. При надпочечниковом генезе — повышенное содержание андрогенов. Высокая концентрация эстрона в крови.
УЗИ органов малого таза позволяет выявить увеличенные яичники с многочисленными мелкими кистами.
КТ головного мозга для исключения опухоли гипофиза при центральном генезе СПКЯ.
Для уменьшения выраженности симптомов повышенного содержания андрогенов в крови и восстановления овуляции и фертильности назначается гормональная терапия.
При отсутствии эффекта от гормональной терапии в течение циклов и сопутствующих поликистозу гиперплазии эндометрия применяется также хирургическое лечение: клиновидная резекция яичников, лазерная вапоризация и диатермокаутеризация яичников (под воздействием лазера или тока высокой частоты разрушаются кисты, здоровая ткань сохраняется).
После проведения данных операций, частота восстановления менструального цикла, овуляция возникают более чем у 80% женщин в течение месяца. Все операции проводятся из лапароскопических доступов под контролем эндовидеохирургических комплексов, что значительно уменьшает травматичность лечения и снижает риск осложнений.
![]() | ![]() |
© 2022 ФГБУ «НМХЦ им. Н.И. Пирогова» Минздрава России. Использование материалов сайта полностью или частично без письменного разрешения строго запрещено.
Синдром поликистозных яичников
Синдром поликистозных яичников 4 точки (гены INS, PPARy2, CYP11A, AR).
Синдром поликистозных яичников (СПКЯ, известный также как синдром Штейна-Левенталя) — полиэндокринный синдром, сопровождающийся нарушениями функции яичников (отсутствием или нерегулярностью овуляции, повышенной секрецией андрогенов и эстрогенов), поджелудочной железы (гиперсекреция инсулина), коры надпочечников (гиперсекреция надпочечниковых андрогенов), гипоталамуса и гипофиза.
- болезнь поликистозных яичников (некорректно, поскольку это состояние характеризуется не как болезнь, отдельная нозологическая форма, а как клинический синдром, причины которого могут быть различны);
- функциональная яичниковая гиперандрогения (или функциональный яичниковый гиперандрогенизм);
- гиперандрогенная хроническая ановуляция;
- яичниковый дисметаболический синдром;
- синдром поликистоза яичников;
- поликистоз яичников.
Симптомы
Признаки и симптомы СПКЯ часто появляются в период полового созревания, вскоре после первой менструации (менархе). В некоторых случаях синдром развивается позже, во время репродуктивного периода, например, под влиянием существенного увеличения веса.
- олигоменорея, аменорея — нерегулярные, редкие менструации или полное отсутствие менструаций; те менструации, которые всё же происходят, могут быть патологически скудными или, напротив, чрезмерно обильными, а также болезненными;
- бесплодие, обычно являющееся результатом хронической ановуляции или олигоовуляции (полного отсутствия овуляций либо овуляция происходит не в каждом цикле);
- повышенные уровни в крови андрогенов (мужских гормонов), в особенности свободных фракций тестостерона, андростендиона и дегидроэпиандростерона сульфата, что вызывает гирсутизм и иногда маскулинизацию;
- центральное ожирение — «паукообразное» или «в форме яблока» ожирение по мужскому типу, при котором основная масса жировой ткани концентрируется внизу живота и в брюшной полости;
- андрогенная алопеция (существенное облысение или выпадение волос по мужскому типу с залысинами по бокам лба, на макушке, происходящее из-за нарушения гормонального баланса);
- угревая сыпь, жирная кожа, себорея;
- акантоз (тёмные пигментные пятна на коже: от светло-бежевого до тёмно-коричневого или чёрного);
- акрохордоны (кожные складки) — мелкие складки и морщинки кожи;
- появление стрий (полос растяжения) на коже живота, бёдер, ягодиц в результате быстрой прибавки массы тела на фоне гормонального дисбаланса;
- длительные периоды симптомов, напоминающих симптомы предменструального синдрома (отёки, колебания настроения, боль внизу живота, в пояснице, боли или набухание молочных желёз);
- ночные апноэ — остановки дыхания во сне, приводящие к частым ночным пробуждениям больной;
- депрессия, дисфория (раздражительность, нервозность, агрессивность), нередко сонливость, вялость, апатия, жалобы на «туман в голове»;
- множественные кисты яичников. Сонографически они могут выглядеть как «жемчужное ожерелье», скопление белёсых пузырьков или «косточки фрукта», рассеянные по всей ткани яичников;
- увеличение размеров яичников в 1,5–3 раза за счёт возникновения множества мелких кист;
- утолщённая, гладкая, жемчужно-белая наружная поверхность (капсула) яичников;
- утолщённый, гиперплазированный эндометрий матки — результат длительного избытка эстрогенов, не сбалансированного адекватными прогестероновыми влияниями;
- хроническая боль внизу живота или в пояснице, в тазовой области, вероятно, вследствие сдавления органов малого таза увеличенными яичниками или вследствие гиперсекреции простагландинов в яичниках и эндометрии; точная причина хронической боли при поликистозе яичников неизвестна;
- повышенный уровень ЛГ или повышенное соотношение ЛГ/ФСГ: при измерении на 3-й день менструального цикла соотношение ЛГ/ФСГ оказывается больше 1:1;
- пониженный уровень глобулина, связывающего половые стероиды;
- гиперинсулинемия (повышенный уровень инсулина в крови), нарушение толерантности к глюкозе, признаки инсулинорезистентности тканей при тестировании по методу сахарной кривой.
- Ген инсулина (INS).
- Ген PPARy2.
- Ген CYP11A.
- Ген рецептора андрогенов (AR).
Роль генетических факторов в развитии СПКЯ
Ключевые гены, имеющие отношение к развитию клинических проявлений СПКЯ представлены двумя основными группами:
► В первую группу включены гены, контролирующие метаболические процессы обмена глюкозы и, соответственно, состояния гиперинсулинемии и инсулинорезистентности.
Ген INS, — инсулин. При гиперинсулинемии стимулируется избыточный синтез стероидных гормонов в яичниках, преимущественно андрогенов.
Ген PPAR-γ, — рецептор, активирующий пролиферацию пероксисом (РАПП), является гормональным рецептором, регулирующим дифференциацию жировых клеток. РАПП регулирует энергетический, жировой и углеводный обмен. Высокая активность РАПП предрасполагает к развитию инсулинорезистентности.
► Во вторую группу включены гены, отвечающие за синтез стероидных гормонов и индивидуальную чувствительность тканей к андрогенам.
Ген CYP11α, — фермент, отщепляющий боковую цепь, лимитирует скорость реакции образования прегненолона из холестерина в яичниках и надпочечниках. Повышение активности гена CYP11α лежит в основе увеличенной продукции андрогенов.
Ген AR, — рецептор андрогенов, связывает биологически активный андроген — дигидротестостерон. При связывании рецептора с дигидротестостероном, включается цепь биохимических реакций, связанных с эффектами тестостерона в андроген-зависимых тканях.
Читайте также:


