Синдром запертого внутри
Добавил пользователь Владимир З. Обновлено: 23.11.2025
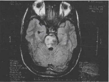
Cиндром «запертого человека» (СЗЧ) является редким неврологическим расстройством, обычно возникающим в результате поражения моста мозга, чаще всего вследствие инсульта. При СЗЧ возникает паралич скелетных мышц (дыхательные, лицевые, глотки, языка, а также конечностей), т. е. утрачивается способность к речи, мимике, произвольным движениям, дыханию. Акромегалия – заболевание, при котором наблюдается повышение уровня гормона роста (GH), инсулиноподобного фактора роста 1 (IGF-1), и развивается в большинстве случаев при аденомах гипофиза. При лечении аденомы гипофиза применяют нейрохирургические методики, медикаментозную и лучевую терапию (ЛТ). В представленном клиническом наблюдении у 33-летней женщины через 2 месяца после дистанционной ЛТ опухоли гипофиза, проявлявшейся акромегалией, появилась мышечная слабость, тошнота, рвота, нарушения дыхания. Развилось подостро коматозное состояние. При магнитно-резонансной томографии головного мозга выявлено многоочаговое поражение медиобазальных отделов обоих полушарий, передних отделов мозолистого тела и ствола. Дифференциальный диагноз включал острую демиелинизацию (SD, PML), вирусный энцефалит и васкулит. Пациентка получила пульс-терапию Метилпреднизолоном, плазиообмен. Сознание прояснилось, но самостоятельное дыхание не восстановилось, оставалась тетраплегия. Аутоиммунные заболевания и инфекционные болезни были исключены. Обнаружена мутантная гомозигота PAI-1-675 4G\4G. В данном случае, вероятно, патогенетическими факторами развития множественных инфарктов и очагов демиелинизации выступили как сама акромегалия, приводящая к эндотелиальной дисфункции, так и ЛТ с ее доказанным патологическим воздействием на сосудистую стенку и фибринолитическую систему. Множественным инфарктам способствовала и выявленная тромбофилия. Возможное сочетание патогенетических факторов развития инфарктов головного мозга следует учитывать при прогнозировании осложнений ЛТ.
Ключевые слова
Об авторах
Государственное бюджетное учреждение здравоохранения «Ленинградская областная клиническая больница»; Федеральное государственное бюджетное образовательное учреждение высшего образования «Первый Санкт-Петербургский государственный медицинский университет имени академика И. П. Павлова» Министерства здравоохранения Российской Федерации.
Россия
194291, Санкт-Петербург, пр. Луначарского, д. 45-49.
Государственное бюджетное учреждение здравоохранения «Ленинградская областная клиническая больница».
194291, Санкт-Петербург, пр. Луначарского, д. 45-49.
Федеральное государственное бюджетное образовательное учреждение высшего образования «Первый Санкт-Петербургский государственный медицинский университет имени академика И. П. Павлова» Министерства здравоохранения Российской Федерации.
Санкт-Петербург.
Государственное бюджетное учреждение здравоохранения «Ленинградская областная клиническая больница».
194291, Санкт-Петербург, пр. Луначарского, д. 45-49.
Государственное бюджетное учреждение здравоохранения «Ленинградская областная клиническая больница».
194291, Санкт-Петербург, пр. Луначарского, д. 45-49.
Государственное бюджетное учреждение здравоохранения «Ленинградская областная клиническая больница».
194291, Санкт-Петербург, пр. Луначарского, д. 45-49.
Государственное бюджетное учреждение здравоохранения «Ленинградская областная клиническая больница».
194291, Санкт-Петербург, пр. Луначарского, д. 45-49.
Список литературы
1. Красильникова Л. А., Тютин Л. А. Ультразвуковая диагностика ангиопатий при противоопухолевой терапии // Вопр. онкол. - 2003. - Т. 49, №2 5. - С. 595-600.
2. Bauer G., Gerstenbrand F., Rumpl E. Varieties of the locked-in syndrome // J. Neurol. - 1979. - №2 221 (2). - Р 77-91.
3. Systemic complications of acromegaly: epidemiolo¬gy, pathogenesis, and management / А. Colao, D. Ferone, P Marzullo, G. Lombardi // Endocr. Rev. - 2004. - № 25. - Р 102-152. Doi: 10.1210/er. 2002-0022.
4. MolitchM. E. Diagnosis and Treatment of Pituitary Ade-nomas: A Review // JAMA. - 2017. - №2 317 (5). - Р 516-524.
5. Amanda J. Walker, Jake Ruzevick, Ashkan A. Malayeri et al. Postradiation imaging changes in the CNS: how can we differentiate between treatment effect and disease progres¬sion? // Future Oncol. - 2014. - № 10 (7). - Р 1277-1297.
6. Freeman J. E., Johnston P G., Voke J. M. Somnolence after prophylactic cranial irradiation in children with acute lymphoblas¬tic leukaemia // Br. Med. J. - 1973. - № 4 (5891). - Р 523-525.
7. Sheline G. E., Wara W. M., Smith V. Therapeutic irra¬diation and brain injury // Int. J. Radiat. Oncol. Biol. Phys. - 1980. - № 6 (9). - Р 1215-1228.
8. Cerebral radiation necrosis following treatment of extra-cranial malignancies / J. P Glass, T. L. Hwang, M. E. Leavens, H. I. Libshitz // Cancer. - 1984. - № 54 (9). - Р 1966-1972.
9. Leibel S. A., Sheline G. E. Tolerance of the Brain and Spinal Cord to Conventional Irradiation. -N.-Y, USA: Raven Press, 1991. - Р 211-239.
10. McDonald L. W., Hayes T. L. The role of capillaries in the pathogenesis of delayed radionecrosis of brain // Am. J. Pathol. - 1967. - № 50 (5). - Р 745-764.
11. Burger P. C., Boyko O. B. The pathology of central nervous system radiation injury // Radiation Injury to the Ner¬vous System / eds by P H. Gutin, S. A. Leibel, G. E. Sheline. - N.-Y, USA: Raven, 1991. - P 191-208.
12. Kurita H., Kawahara N., Asai A. et al. Radiation-in¬duced apoptosis of oligodendrocytes in the adult rat brain // Neurol. Res. - 2001. - № 23 (8). - Р 869-874.
13. Yoshii Y. Pathological review of late cerebral radione¬crosis // Brain. Tumor. Pathol. - 2008. - №2 25 (2). - Р 51-58.
14. Sawaya R. E. The fibrinolytic enzymes in the biology // Fibrinolysis and the Central Nervous System / eds by R. E. Sa-waya. - PA, USA: Hanley & Belfus, 1990. - P 106-126.
15. Milic M., Rees J. H. Acute demyelination following radiotherapy for glioma: a cautionary tale // Pract. Neurol. - 2017. - № 17 (1). - Р 35-38.
16. Sievers C., Sämann P. G., Dose T. et al. Macroscop¬ic brain architecture changes and white matter pathology in acromegaly: a clinicoradiological study // Pituitary. - 2009. - № 12 (3). - Р 177-185.
17. Sartori M. T., Wiman B., Vettore S. et al. 4G/5G poly-morphism of PAI-1 gene promoter and fibrino)lytic capacity in patients with deep vein thrombosis // Thromb. Haemost. - 1998. - № 80 (6). - Р 956-960.
18. Van GoorM. L., Gómez García E., LeebeekF. et al. The plasminogen activator inhibitor (PAI-1 ) 4G/5G promoter poly-morphism and PAI-1 levels in ischemic stroke: a case-control study // Thromb. Haemost. - 2005. - № 93 (1). - Р 92-96.
Рецензия
Для цитирования:
For citation:
Контент доступен под лицензией Creative Commons Attribution 4.0 License.
Синдром «запертого внутри»
Синдром «запертого внутри» — это почти полный паралич. При этом не нарушаются восприятие и психическая функция. Пациенты не могут менять выражение лица, двигаться, говорить или общаться, но могут двигать глазами вверх и вниз и моргать.
Причиной синдрома «запертого внутри» обычно является инсульт, но может быть и синдром Гийена-Барре или рак, который поражает определенную часть головного мозга.
Пациенты с этим синдромом не могут двигать нижней частью лица, жевать, глотать, говорить, двигать конечностями или двигать глазами из стороны в сторону, но они обычно могут видеть, слышать, двигать глазами вверх и вниз, а также моргать.
Чтобы обнаружить синдром «запертого внутри», врачи проверяют людей, которые не двигаются и кажутся невосприимчивыми, прося их открыть и закрыть глаза, а также проводят визуализирующие исследования для определения причины.
Лечение включает лечение причины (если она установлена), обеспечение хорошего питания, профилактику проблем, возникающих в результате неспособности двигаться (например, пролежни), и обучение общению.
Любое заболевание (такое как рак головного мозга или травма головы), при котором разрушается средняя часть ствола головного мозга, но не затрагиваются отделы головного мозга, контролирующие сознание и психическую функцию (верхняя часть ствола головного мозга и большой головной мозг — самая большая часть головного мозга)
Некоторые токсичные вещества, такие как инсектициды, или чрезмерное использование опиоидов
Симптомы синдрома «запертого внутри»
Пациенты с синдромом «запертого внутри» теряют подвижность нижней части лица, способность жевать, глотать, говорить, двигать конечностями или двигать глазами из стороны в сторону. У них могут возникать трудности при дыхании, однако они видят и слышат.
Синдром «запертого внутри» напоминает ступор или кому Ступор и кома Ступор — это состояние отсутствия реакций, из которого человека можно вывести только с применением энергичной физической стимуляции.Кома — это состояние отсутствия реакций, из которого. Прочитайте дополнительные сведения , поскольку у пациентов отсутствует очевидный способ реакции, даже если они находятся в полном сознании. Тем не менее, большинство могут двигать глазами вверх и вниз, а также моргать. Если ухаживающие лица не замечают движения глаз, ошибочно может считаться, что пациент с синдромом «запертого внутри» не осознает окружения и не способен мыслить или общаться.
Пациенты с синдромом «запертого внутри» могут научиться общению посредством открывания и закрывания глаз в ответ на вопросы. Некоторые люди с синдромом «запертого внутри» могут научиться общаться с помощью компьютера, который интерпретирует активность головного мозга и может контролироваться движениями глаз, а иногда другими средствами.
Знаете ли Вы, что.
Пациенты с синдромом «запертого внутри» могут нормально мыслить, но выглядят невосприимчивыми, поскольку не могут двигать ни одной частью тела, за исключением глаз.
Диагностика синдрома «запертого внутри»
Визуализирующие исследования, например, магнитно-резонансная томография
Поскольку синдром «запертого внутри» может ошибочно приниматься за ступор или кому, врачи проверяют пациентов, не способных двигаться и кажущихся невосприимчивыми, попросив их открыть и закрыть глаза.
Для выявления причины, особенно нарушений, поддающихся лечению, которые могут содействовать такому синдрому, выполняется визуализирующее исследование головного мозга, например, магнитно-резонансная томография (МРТ) или компьютерная томография (КТ).
Если диагноз под сомнением, врачи могут назначить другие визуализирующие исследования, например, позитронно-эмиссионную томографию Электроэнцефалография Для подтверждения диагноза, предполагаемого на основании медицинского анамнеза и неврологического обследования, может понадобиться выполнение диагностических процедур. Электроэнцефалография. Прочитайте дополнительные сведения (ОФЭКТ), вызванные ответы Однофотонная эмиссионная компьютерная томография (ОФЭКТ) При радиоизотопном сканировании для получения изображения используются радионуклиды. Радионуклид — это радиоактивная форма элемента; это означает нестабильный атом, который стабилизируется. Прочитайте дополнительные сведения или электроэнцефалографию Вызванные ответы Для подтверждения диагноза, предполагаемого на основании медицинского анамнеза и неврологического обследования, может понадобиться выполнение диагностических процедур. Электроэнцефалография. Прочитайте дополнительные сведенияПрогноз при синдроме «запертого внутри»
Сможет ли пациент восстановиться, зависит от причины и ее тяжести, как в приведенных ниже примерах.
Если причиной является микроинсульт, и пациент не полностью парализован, может наступить полное восстановление или восстановление, достаточное для самостоятельного выполнения некоторых повседневных дел, например, приема пищи или речевого общения.
Если инсульт обширный, большинству пациентов требуется постоянный сестринский уход.
Если причиной является синдром Гийена-Барре, состояние пациентов может улучшиться через несколько месяцев, но полное выздоровление отмечается редко.
Если причина включает прогрессирующее заболевание, например, рак, пациент обычно умирает.
Лечение синдрома «запертого внутри»
Меры по профилактике проблем вследствие неподвижности
Обучение по общению
Долгосрочный уход
Пациентам с синдромом «запертого внутри» требуется такой же комплексный уход, как и пациентам в коме.
Важно обеспечить хорошее питание ( искусственное питание Общие сведения об искусственном питании Многие люди, страдающие истощением ( Недостаточное питание), и тяжело больные люди нуждаются в (дополнительном искусственном питании). Искусственное питание с использованием коммерческих питательных. Прочитайте дополнительные сведения ). Кормление осуществляется через трубку, введенную через нос в желудок (питание через зонд). Иногда питание осуществляется с помощью трубки, введенной непосредственно в желудок или тонкую кишку через разрез в брюшной стенке. Через эти трубки также могут вводиться лекарственные препараты.
Пролежни: При лежании в одном положении может прерываться кровоснабжение определенных участков тела, что приводит к нарушению кожного покрова и образованию пролежней.
Слабые мышцы и повреждение нервов: Если мышцы не получают нагрузку, они слабеют. Лежание в одном положении в течение длительного времени может оказывать достаточное давление на нерв, чтобы повредить его.
Контрактуры: Отсутствие движений также может привести к стойкому напряжению мышц (контрактурам), и суставы могут оставаться в согнутом положении.
Тромбы: Отсутствие движений увеличивает вероятность формирования сгустков крови в венах ног.
Профилактика пролежней может осуществляться путем частой смены положения пациента и подкладывания защитных прокладок под части тела, соприкасающиеся с кроватью, например, пяток, для их защиты.
Для профилактики слабости мышц, повреждения нервов и контрактур физиотерапевты осторожно разрабатывают суставы пациента во всех направлениях (упражнения пассивного движения) или фиксируют суставы в определенных положениях.
Профилактика образования сгустков крови включает использование лекарственных препаратов, а также компрессию или придание ногам пациента возвышенного положения. Движения конечностями, которые происходят при упражнениях пассивного движения, также могут способствовать предотвращению образования сгустков крови.
Вследствие недержания необходимо принимать меры для поддержания кожи в чистом и сухом состоянии. Если мочевой пузырь не работает и моча задерживается, для отвода мочи в мочевой пузырь устанавливается трубка (катетер). Для предотвращения развития инфекций мочевыводящих путей катетеры тщательно промываются и регулярно проверяются.
Обучение по общению
Пациенты с синдромом «запертого внутри» могут научиться общаться с использованием компьютерного вводного устройства, контролируемого движением глаз. Другие устройства могут почувствовать даже легкий вдох носом. Эти устройства также можно подключить к компьютеру и использовать для общения. Логопеды могут помочь пациентам выработать код общения путем моргания или вдохов носом. Если восстанавливается способность использования другой части тела (например, большого пальца руки или шеи), общение становится возможным и другими способами.
Однако эти методы медленные и утомительные. Поэтому разрабатываются другие методы с использованием электродов, которые прикрепляются к коже головы или имплантируются в головной мозг. Электроды могут распознавать электрические сигналы, вырабатываемые нервными клетками. Эти сигналы передаются в компьютер и обрабатываются. Их можно использовать, чтобы двигать курсор на экране компьютера, управлять механической рукой-манипулятором и использовать голос, генерируемый компьютером.
Другие проблемы
Поскольку общение, как правило, может быть налажено, пациенты должны самостоятельно принимать решения по медицинским вопросам. Тем не менее, пациенты зачастую находятся в состоянии сильной депрессии, и им могут понадобиться консультации отзывчивого психиатра, особенно если рассматриваются дальнейшие методы лечения и меры по жизнеобеспечению.
При наличии депрессии проводится ее лечение.
ПРИМЕЧАНИЕ: Это — пользовательская версия ВРАЧИ: Нажмите здесь, чтобы перейти к профессиональной версии
Авторское право © 2022 Merck & Co., Inc., Rahway, NJ, США и ее аффилированные лица. Все права сохранены.
Синдром запертого человека

Данное состояние описывалось под разными названиями, например: синдром изоляции, синдром деэфферентации, псевдокома. Термин «синдром запертого человека» (locked-in syndrome / LIS) был введен в 1966 году в публикации Plum and Posner [1]. Однако впервые довольно точно данное состояние было описано в художественной литературе еще в XIX веке. В романе 1846 года «Граф Монте-Кристо» Александр Дюма (отец) описывает своего героя, господина Нуартье де Вильфор, как «трупа с живыми глазами»: «зрение и слух были единственными чувствами, которые, подобно двум искрам, еще тлели в этом теле, … да и то из этих двух чувств только одно могло свидетельствовать о внутренней жизни, еще теплившейся в этом истукане — взгляд. В черных глазах старого Нуартье … сосредоточилась вся энергия, вся воля, вся сила, весь разум, некогда оживлявшие его тело и дух. Конечно, недоставало жеста руки, звука голоса, движений тела, но этот властный взор заменял все. Глаза отдавали приказания, глаза благодарили».
В 1868 году Эмиля Золя в романе «Тереза Ракен» описал прогрессирующую форму синдрома запертого человека: у госпожи Ракен «только глаза и были в движении; они стремительно вращались в глазницах, зато щеки, губы как бы окаменели, их неподвижность наводила ужас. Несомненно, она все видела, слышала и рассуждала трезво и ясно, но она не могла пошевелить ни одним членом: лишенная голоса, она не могла передать вовне мысли, рождавшиеся в ее сознании. Тереза … довольно ловко общалась с замурованным сознанием старухи, еще живым, но погребенным в недрах мертвого тела».
В 1875 году французский врач M. Darolles дал одно из первых точных описаний клиники и патологии случая «запертого человека» [2]. У его пациента — женщины старше 30 лет, — развилось состояние, при котором она не могла говорить, но сознание оставалось сохранным. У нее наблюдалась прогрессирующая надъядерная квадриплегия с децеребрационной ригидностью, неспособностью говорить и глотать. Контакт с пациенткой был установлен благодаря сохранным вертикальным движениям глаз, при горизонтальном парезе взора. Состояние пациентки развилось за несколько часов перед смертью. Патологоанатомическое исследование выявило односторонний инфаркт моста мозга, размером с «лесной орех», из-за полной окклюзии базилярной артерии тромбом.
Что такое синдром запертого человека?
Синдром запертого человека — редкое неврологическое расстройство, которое характеризуется полным параличом всех мышц, за исключением мышц, контролирующих движения глаз. Пациенты с синдромом запертого человека не могут произвольно жевать, глотать, дышать, говорить или совершать любые движения мышцами. Под контролем пациента могут оставаться только мышцы, контролирующие движения глаз и век, при этом возможны только вертикальные движения глазами (вверх-вниз), но не горизонтальные (из стороны в сторону). Сохраняется сознание и ориентировка в месте, времени и собственной личности, нормальные циклы сна и бодрствования также сохранны. Таким образом, пациенты с синдромом запертого человека находятся в сознании, но не имеют возможности двигаться (кроме глаз) и говорить.
Когнитивные функции относительно сохранны, у некоторых наблюдаются нарушения памяти и внимания. Пациенты понимают обращенную к ним речь, однако коммуникация возможна только с помощью движений глаз или мигания. В острой/инициальной фазе синдрома коммуникация с пациентом при помощи движений глаз и оценка его когнитивного статуса затруднены, так как уровень бодрствования/сознания колеблется, пациент легко истощаем, движения глаз могут быть плохо контролируемыми и непоследовательными.
Люди с такими поражениями часто находятся в коме в течение нескольких дней или недель, нуждаются в искусственной вентиляции легких, а затем постепенно приходят в сознание, но остаются парализованными и неспособными говорить, внешне напоминающими пациентов в вегетативном состоянии.
Синдром запертого человека вызван повреждением моста — частью ствола мозга, который содержит нервные волокна, которые передают информацию в другие области мозга.
Симптомы / клиническая картина
- Тетраплегия (квадриплегия).
- Анартрия.
- Сохранность сознания и большинства (или всех) когнитивных функций: восприятие, мышление, внимание, память и др. (уровень сохранности функций зависит от размеров очага поражения).
- Сознательное управление движениями век и вертикальными движениями глазных яблок.
- Возможность контакта с пациентом при помощи движений глаз.
Причины
Наиболее частая причина синдрома запертого человека — двусторонние обширные повреждения моста головного мозга (части ствола мозга). Мост содержит важные двигательные тракты: нисходящие кортикоспинальные и кортиконуклеарные пути. При синдроме запертого человека происходит повреждение моторных волокон и двигательных центров в стволе мозга, обеспечивающих контроль мышц лица и речь.

Таблица 1. Причины и механизмы развития синдрома запертого человека.
Диагностика
Синдром запертого человека — сложное для диагностики состояние. Исследование 44 случаев синдрома выявило, что в среднем медикам необходимо до 3 месяцев для постановки точного диагноза. Основная сложность при диагностике заключается в том, что большинство пациентов находятся в коме продолжительное время, потом постепенно приходят в сознание, оставаясь парализованными. Поэтому часто первыми, кто замечает реакцию пациента на внешние стимулы, являются его близкие.
Если у пациента в коме, не отвечающего на внешние раздражители, на МРТ выявлено поражение вентральной части моста, необходимо дополнительная диагностика возможности совершать вертикальные движения глаз.
ЭЭГ при синдроме запертого человека выявляет нормальную активность коры и сохранные циклы сна и бодрствования.
Для исключения повреждений мышц и периферических нервов можно использовать электронейромиографию.

Рисунок 1. T2 Flair МРТ снимок, демонстрирующий билатеральный инфаркт моста (затронувший правую сторону больше, чем левую) (Paliwal et al., 2007)
Похожие заболевания / дифференциальная диагностика
Симптомы некоторых других заболеваний могут быть схожи с проявлениями синдрома запертого человека. Дифференциальный диагноз данных состояний может представлять определенные трудности.
Акинетический мутизм — редкое неврологическое состояние, при котором пациент не двигается (акинезия) и не говорит (мутизм), находясь при этом в сознании. У пациентов с акинетическим мутизмом сохраняются нормальные циклы сна и бодрствования. Акинетический мутизм — это разновидность «бодрствующей комы» (апаллический синдром), которая развивается из-за повреждений коры лобной доли, таламуса или поясной коры.
Вегетативное состояние — неврологическое состояние, характеризующееся нарушением функции полушарий при нормальном функционировании диэнцефальной области и ствола. В отличие от синдрома запертого человека, у пациента в вегетативном состоянии при сохранности вегетативных функций (обеспечиваемых диэнцефальным отделом и стволом) отсутствуют нормальная корковая активность, регистрируемая на ЭЭГ, и любые осознанные реакции на внешние раздражители.
Некоторые другие заболевания могут иметь клиническую картину, схожую с синдромом запертого человека, например: сидром Гиена-Барре, миастения гравис, полиомиелит, полиневрит.
Классификация
Согласно классификации Bauer et al. выделяют три клинические формы синдрома запертого человека на основе сохранности произвольных движений [3]:
- Неполная форма (incomplete form), при которой некоторые произвольные движения, помимо движений глаз, сохранны.
- Чистая форма (pure form) при которой у пациента отсутствует возможность совершать произвольные движения, за исключением моргания и вертикальных движений глаз.
- Полная/тотальная форма (total form), при которой пациент полностью теряет способность двигаться. Данное состояние наиболее драматично сказывается на психологическом состоянии пациента и его качестве жизни, так как он совершенно не способен взаимодействовать с людьми, сообщать о своих потребностях, выражать свои мысли.
Лечение
Лечение в первую очередь должно быть направлено на причину. Например, при удалении тромба из базилярной артерии и восстановлении нормального церебрального кровотока в течение 6 часов после закупорки возможно полное восстановление моторных и когнитивных функций.
Пациенты с синдромом запертого человека часто нуждаются в искусственной вентиляции легких. Также нормальный прием пищи через рот невозможен, так как попадание частиц пищи в легкие может вызвать респираторную инфекцию, поэтому данным пациентам может быть показана гастростомия.
Важно установить канал коммуникации с пациентом при помощи движений глаз. Медицинские работники и близкие пациента должны определить наиболее простой и удобный для пациента «код» — движение глазами, — и впоследствии все люди, контактирующие с пациентом, должны придерживаться единой системы кодировки. Например, «посмотри вверх» — «да» и «посмотри вниз» — «нет». В таком случае общение ограничено ответами на закрытые вопросы «да-нет», поэтому впоследствии система должна быть модифицирована для кодирования отдельных букв. Например, медицинский работник медленно называет буквы алфавита, пациент должен посмотреть вниз или закрыть глаза, чтобы выбрать букву. Для упрощения можно предъявлять буквы соответственно частоте их встречаемости в языке или использовать таблицы с буквами, организованные в колонки согласно их частотности в языке.
Рисунок 2. AEIOU-алфавит. Ассистент называет цвета, а пациент выбирает нужный ряд движением или миганием. Затем ассистент зачитывает буквы, пациент выбирает нужную букву, которая записывается на доске. Так последовательно формируются слова и предложения. Пример для английского алфавита.
В настоящее время разрабатываются устройства для коммуникации с пациентами с синдромом запертого человека на основе ай-трекинга [Отслеживания движений глаз. — прим. ред.] и компьютерных технологий. Например, сочетание технологий ай-трекинга и генерации компьютерного голоса позволяет пациентам обрести возможность говорить и взаимодействовать со средой.
Важное направление реабилитации — раннее восстановление произвольных движений (чаще движение одним пальцем или ступней, глотание). Исследование показало, что электромиостимуляция может быть эффективна в восстановлении мышечных функций у данной группы пациентов.
Качество жизни
Несмотря на то, что синдром запертого человека — наиболее драматичная форма расстройства моторики, некоторые исследователи отмечают, что качество их жизни несколько выше, чем можно ожидать в данном состоянии. В недавнем исследовании самооценки качества жизни пациентов с хроническим синдромом запертого человека было выявлено, что многие пациенты оценивают свою жизнь как счастливую и наполненную смыслом, особенно когда пациентам доступны адекватные средства для коммуникации с окружающими людьми.
Прогноз
В таблице представлены результаты двух исследований, оценивающих продолжительность жизни пациентов с синдромом запертого человека, и процент пациентов, восстановивших некоторые моторные функции [4, 5].

Таблица 2. Прогнозы жизни пациентов с синдромом запертого человека.
Синдром запертого человека в литературе, фильмах
Jean-Dominique Bauby «The Diving Bell and the Butterfly: A Memoir of Life in Death». И фильм по этой книге: «Скафандр и бабочка» («Le scaphandre et le papillon»).
Синдром запертого человека ( Синдром замыкания , Синдром запертого внутри )
Синдром «запертого человека» — это тяжелое неврологическое заболевание, при котором пациент утрачивает способность двигаться, разговаривать, выражать эмоции, однако у него сохраняется сознание, когнитивные функции и сенсорное восприятие. Состояние возникает как осложнение инсульта, черепно-мозговой травмы, опухоли или дегенеративного поражения вентральной зоны моста. С диагностической целью проводится оценка неврологического статуса, нейровизуализация (КТ, МРТ, ПЭТ), электроэнцефалография. Лечение включает медицинский уход и коррекцию жизненно важных функций, пожизненную реабилитацию, применение нейрокомпьютерных технологий.
МКБ-10
Общие сведения
Синдром «запертого человека» встречается крайне редко, на сегодня детально исследовано всего 44 случая. В медицинской литературе патология имеет множество названий: «locked-in», синдром «замыкания», синдром «запертого внутри». Впервые характерные клинические проявления описали ученые И. Пламм и Дж. Пошер в 1966 г. Несмотря на редкую встречаемость, состояние не теряет актуальности в современной неврологии, что объясняется не только физическими ограничениями, но и вынужденной изоляцией от окружающего мира, отсутствием адекватных способов коммуникации.
Причины
Заболевание имеет полиэтиологическую природу и может быть обусловлено любыми тяжелыми органическими поражениями мозгового ствола, которые имеют необратимый характер, сопровождаются разрушением нервных волокон проводящих путей. Самые распространенные неврологические причины синдрома «запертого человека» объединяются в несколько групп:
- Инсульты. Патология развивается как при ишемическом инсульте вследствие окклюзии в вертебробазилярном бассейне, так и при геморрагическом варианте на фоне кровоизлияния в мост.
- Черепно-мозговые травмы. Заболевание провоцируется тяжелыми мозговыми ушибами с преимущественным приложением силы по вертебробазилярной оси.
- Новообразования. При инфильтративном росте злокачественных опухолей в вентральные отделы моста есть вероятность необратимого повреждения двигательных нервных путей.
- Дегенеративные процессы. Болезнь «запертого человека» изредка появляется при рассеянном склерозе, если очаг демиелинизации расположен в стволовой зоне головного мозга. К редким этиологическим факторам относят понтинный миелинолиз.
- Нейроинфекции. Среди казуистических причин выделяют абсцессы или воспалительные инфильтраты при тяжелых формах энцефалита, если они локализованы в понтинном отделе ЦНС.
Патогенез
Патоморфологической основой синдрома «запертого человека» является церебромедуллярный блок. Он возникает при поражении кортиконуклеарных (кортикобульбарных) путей, которые отходят от ядер черепно-мозговых нервов, и кортикоспинальных волокон, обеспечивающих передачу импульсов от головного к спинному мозгу. Характерная особенность заболевания — сохранность структур покрышки, ретикулярной формации, поэтому «запертый человек» остается в сознании.
При аутопсии нередко определяется двустороннее размягчение вентральной мостовой зоны, могут быть кисты как результат организации внутримозгового кровоизлияния. Изредка органическое поражение распространяется на вентральную поверхность среднего мозга. Микроскопически наблюдается набухание аксонов проводящих путей с их вторичной дегенерацией, что является ведущим механизмом нарушения аксонального транспорта.
Классификация
Чаще болезнь имеет прогрессирующий характер, однако на основе особенностей клинического течения также выделяют стабильный и преходящий варианты состояния. Современные неврологи используют классификацию, предложенную компанией Бауер, согласно которой выделяется 3 формы синдрома «запертого человека»:
- Полный (тотальный) — обездвиженность больного, отсутствие любых произвольных реакций, включая мигание.
- Классический — отсутствие произвольных движений телом при сохранности мигания, движений глазами вниз-вверх.
- Неполный — помимо подвижности глазных яблок, наблюдается еще несколько произвольных движений, которые определяется тяжестью повреждения ЦНС.
Симптомы
Одним из основных признаков болезни является центральный тетрапарез — отсутствие подвижности во всех четырех конечностях, который может изначально возникать как гемипарез с последующим распространением на вторую половину тела. К тетрапарезу присоединяется поражение черепных нервов, что проявляется неспособностью говорить, глотать, демонстрировать мимику. У большинства больных развивается парез горизонтального взора.
Важным дифференциально-диагностическим признаком является сохранность сознания, высших психических функций, вследствие чего пациент продолжает осознавать свое состояние, понимает обращенную к нему речь, хотя не может дать вербальный ответ. Способность ощущать прикосновения и болевые раздражители также не нарушена. Единственно возможным общением в такой ситуации становится моргание, глазные движения вверх-вниз.
Особенности клинической картины определяются первопричиной болезни. При ишемических поражениях мозга заболевание нередко сопровождается предвестниками в виде онемения конечностей, преходящей диплопии, бульбарных расстройств. В большинстве случаев состояние развивается «ступенеобразно» с постепенным нарастанием симптоматики в течение 24 часов. При ЧМТ как причине синдрома «запертого внутри» есть видимые повреждения головы, указывающие на травму.
Осложнения
Главной проблемой синдрома «запертого человека» служит невозможность социализации больного, из-за чего он испытывает не меньшие страдания, чем от физических ограничений. На раннем этапе болезни, еще до постановки диагноза, врачи могут ошибочно принимать locked-in syndrome за кому, беспрепятственно обсуждать неприятные медицинские моменты при пациенте, еще сильнее усугубляя тяжесть его эмоционального состояния.
При ранней диагностике и отсутствии соматических болезней длительность жизни снижается умеренно. В ретроспективных исследованиях установлена 5- и 10-летняя выживаемость на уровне 83%, а 20-летняя выживаемость — 40%. При отсутствии комплексной медико-социальной поддержки результаты ухудшаются, поэтому около 27% больных не смогли восстановить ни одного произвольного движения, 51% пациентов не удалось наладить общение, не зависящее от движений глаз.
Диагностика
Постановка диагноза синдрома «запертого человека» базируется на оценке симптоматики, обнаружении функции моргания и движения глазами, готовности больного общаться таким образом. От врача-невролога требуется дифференциальная диагностика патологии с комой, вегетативным состоянием, акинетическим мутизмом. Для постановки корректного диагноза необходимы результаты инструментальных исследований:
- КТ головного мозга. Нейровизуализация используется для выявления кровоизлияний, инфаркта или опухоли соответствующего участка мозга. При недостаточной информативности метод дополняется МРТ.
- ЭЭГ. По данным электроэнцефалограммы определяется нормальный реактивный биоэлектрический ритм, что типично для синдрома «запертого человека», но не характерно для коматозных состояний.
- ПЭТ головного мозга. Диагностический метод применяется для визуализации метаболической активности нейроткани, демонстрирует ее нормальный уровень, что указывает на интактность остальных структур ЦНС.
Лечение синдрома «запертого человека»
На начальном этапе проводится неспецифическая терапия, направленная на коррекцию витальных функций, предупреждение ранних осложнений. Больного подключают к системе искусственной вентиляции легких, устанавливают гастростому для питания, помещают на специальную медицинскую кровать для профилактики пролежней. После стабилизации состояния начинается пожизненная реабилитация, включающая следующие направления:
- Медикаментозная терапия. Для улучшения трофики нервной ткани, повышения ее устойчивости к гипоксии назначаются нейропротекторы, нейрометаболические препараты, витаминно-минеральные комплексы. При поражениях церебральных сосудов рекомендованы антикоагулянты, антиагреганты.
- Немедикаментозные методы. Есть шанс частично вернуть двигательные функции с помощью электромиостимуляции, кинезиотерапии, массажа. При необходимости осуществляется ортопедическая коррекция, применяются особые кресла-каталки, облегчающие перемещения пациентов.
- Специальное обучение. Простым и доступным способом общения человека с врачами и родственниками является использование сигналов глазами: движения вверх и вниз, моргание. Реже коммуникация проводится при помощи доски с алфавитом, чтобы больной мог указывать нужные буквы глазами.
- Нейрокомпьютерные технологии. Для облегчения коммуникации разработаны устройства со специальным программным обеспечением, которые считывают информацию от нервных импульсов, транслируют ее на электронное устройство.
По показаниям к лечению подключают нейрохирургов. Операции на головном мозге могут потребоваться для дренирования абсцессов и эвакуации гематом, сдавливающих область моста, иссечения новообразований, если это технически возможно, ликвидации нарушений кровообращения. Решение о необходимости оперативного лечения принимается с учетом причин синдрома «запертого человека», общего состояния больного.
Прогноз и профилактика
Продолжительность жизни напрямую зависит от полноты медицинского ухода, должной поддержки со стороны близких. После подтверждения диагноза пациенты живут в среднем 10-20 лет, однако при сосудистых причинах болезни, наличии соматических патологий летальный исход наступает намного раньше. Более высокая вероятность парциального восстановления моторных функций у молодых людей, если причиной состояния стала черепно-мозговая травма.
Единственно возможная первичная профилактика синдрома — своевременное выявление и лечение неврологических заболеваний (инсультов, ЧМТ), чтобы не допустить обширного необратимого поражения ЦНС. Вторичная и третичная профилактика заключается в своевременной комплексной реабилитации пациентов, их максимально возможной социализации, предоставлении электронных устройств для поддержания связи с внешним миром.
1. Синдром «запертого человека» и проблема коммуникации с социальным пространством/ О.Ю. Тимирбаева, Н.В. Щемеров, Д.А. Щербатюк// XIII Международная научно-практическая конференция МЦНС «Наука и просвещение».
2. The locked-in syndrome”: can it be unlocked/ Kunal Khanna, Ajit Verma, Bella Richard// Journal of Clinical Gerontology & Geriatrics — 2011. — №2.
3. Раритетная неврология. Клинический случай синдрома «запертого человека» при ишемическом инсульте/ И.А. Григорова, В.И. Сало, Л.В. Тихонова, А.Г. Черненко// Международный медицинский журнал. — 2010. — №1.
Синдром запертого человека
История про мальчика, который научился общаться глазами и силой взгляда играть в «Майнкрафт»
На первый взгляд люди с синдромом запертого человека находятся в вегетативном состоянии: они полностью обездвижены, не могут есть, говорить, самостоятельно дышать. На постановку диагноза уходит в среднем 2,5 месяца, а в некоторых случаях пациентов выписывают домой как паллиативных. Здоровому человеку может показаться, что лучше смерть, чем такая жизнь. Но сами люди с синдромом запертого человека находятся в сознании, а некоторые из них — оптимистично мыслят. Рассказываем историю такого человека — двенадцатилетнего Саши Кравченко из Новороссийска.
Автор текста: Ксения Петрова.
Редактор: Диана Карлинер.

Из мая в август
Саша до 12 лет рос здоровым ребенком. Из заболеваний — простуда несколько раз в год, тонзиллит, фарингит, стоматит, ветрянка — все без госпитализации. Он плохо почувствовал себя после майских праздников в 2021 году: мальчик пожаловался родителям на слабость и двоение в глазах. Когда отец Саши увидел раскосые глаза мальчика, он очень испугался, поэтому сразу же отвез его к офтальмологу. Доктор не увидел проблем с глазами, но заподозрил неврологическое заболевание и рекомендовал ехать в стационар. Когда Саша с папой добрались до больницы, у него появились шаткость походки и нечеткость речи.
В больнице Саше сделали МРТ головного мозга с контрастом: в таламусе (прим. ред. — важнейший отдел мозга, который отвечает за обработку информации от органов чувств и за часть двигательных функций) и в правой доле мозжечка врач увидел очаговые изменения разной давности, которые не накапливали контраст. Невролог заподозрил инсульт, и мальчика госпитализировали. Лечение цитиколином, пентоксифиллином и гепарином не давало результатов в течение двух дней, поэтому врачи предложили перевезти Сашу из больницы Новороссийска в Краснодар.
В Краснодаре повторили МРТ головного мозга с контрастом. Врачи заподозрили рассеянный энцефаломиелит, но лечение начать не успели. У Саши начались судороги, которые не удавалось снять с помощью лекарств, и его перевели в реанимацию. Сашу ввели в медикаментозную кому и подключили к аппарату ИВЛ. Там же начали лечение дексаметазоном и противосудорожными препаратами. Через четыре дня седативные препараты перестали давать, чтобы вывести из искусственной комы. Но Саша не проснулся. Врачи повторно сделали МРТ головного мозга: площадь поражения увеличилась. Мальчик пробыл в коме еще 28 дней.
Саша вышел из комы в июне. Он не двигался, не мог самостоятельно глотать и дышать, открывал глаза, но почти не реагировал на окружающих. Сашу продолжили лечить глюкокортикостероидами и перевезли обратно в Новороссийск. Через месяц у него появился побочный эффект от лечения раны в желудке. Терапию кортикостероидами пришлось резко прекратить. На смену кровотечениям пришел «синдром отмены»: мальчик стал еще более заторможенным, почти все время спал.
В августе врачи сделали контрольную МРТ головного мозга, чтобы оценить, есть ли изменения: картина на снимках был похожа на исход острого энцефалита. Электроэнцефалограмма показала, что очагов судорожной активности нет, и цикл сон-бодрствование сохранен. Врач предположил, что у Саши, возможно, был стволовой энцефалит Бикерстафа.
Энцефалит Бикерстафа — редкий аутоиммунный энцефалит, который возникает после инфекции и по течению напоминает рассеянный склероз. Чаще всего встречается у детей, сопровождается нарушением движений глаз, шаткостью при ходьбе и изменением сознания. Но могут присоединяться и любые другие неврологические нарушения: слабость в руках и ногах, нарушения глотания и дыхания, эпилептические приступы. Cчитается болезнью с хорошим прогнозом: после начала лечения иммуноглобулинами дети выздоравливают за 3-6 месяцев, реже в течение года-двух. Скорость выздоровления зависит от того, насколько сильно был поврежден мозг на пике заболевания.
Подтвердить диагноз сложно: изменения на МРТ при энцефалите Бикерстафа бывают только у 25% заболевших, не существует типичной картины снимков. Анализ на анти-GQ1b-антитела у детей с тяжелыми неврологическими нарушениями не показательный: только у 43% заболевших он будет положительным. Саше не делали анализ на анти-GQ1b-антитела, а его болезнь протекает тяжелее и дольше 6 месяцев, не так, как при типичном энцефалите Бикерстафа, поэтому диагноз остается под вопросом.
Читайте также:
