Синовиальная гемангиома: атлас фотографий
Добавил пользователь Евгений Кузнецов Обновлено: 27.01.2026
Гемангиома собак и кошек является доброкачественной опухолью эндотелиальных клеток кровеносных сосудов. Она нечасто встречается у собак, с наибольшей частотой встречаемости у пожилых собак, особенно тех, кожа которых слабо пигментирована и нижняя часть туловища покрыта редкой шерстью (напр. питбули, далматинцы, бигли, грейхаунды, уиппеты, итальянские грейхаунды), что наводит на мысль о том, что ультрафиолетовое облучение является причинным фактором. Предрасположенным породами при поражениях, не вызываемых солнечным облучением, включают боксеров, спрингер спаниелей, немецких овчарок, эрдельтерьеров и золотистых ретриверов. Гемангиома редко встречается у кошек, с наибольшей частотой встречаемости у пожилых самцов.
Гемангиома собак и кошек обычно выглядит как одиночное, округлое, хорошо отграниченное, твердое или флюктуирующее, возвышенное, голубовато -черное или красновато-черное, кожное или подкожное образование, размером от 0,5 до 4 см в диаметре. Гемангиомы на лишенной волос коже могут выглядеть как кластеры или бляшкоподобные группы кровеносных сосудов. Гемангиомы у собак более часто находятся на туловище и конечностях, а у кошек на голове и конечностях.
Диагноз
1 Цитология (часто недиагностичная): главным образом, кровь с небольшим количеством эндотелиальных клеток нормального вида, которые могут быть овальными, звездчатыми или веретенообразными, с умеренным количеством голубой цитоплазмы и среднего размера округлыми ядрами с одним или двумя мелкими ядрышками.
2 Дерматогистопатология: хорошо отграниченные кожные или подкожные узлы, сформированные расширенными, заполненными кровью пространствами, ограниченными относительно нормального вида уплощенными эндотелиальными клетками. Митотических фигур не наблюдается. Поражения, вызванные солнечным облучением, могут сочетаться с солнечным дерматитом и эластозом.
Лечение и прогноз
1 . Полное хирургическое удаление приводит к выздоровлению. Криотерапия также может быть использована в комбинации с хирургией при мелких поражениях кожи.
2 . Если хирургическая операция по каким-либо причинам противопоказана, невмешательство и наблюдение без лечения могут быть целесообразны, поскольку, эти опухоли являются доброкачественными.
3 Чтобы предотвратить развитие поражений, вызванных солнечным облучением, необходимо в дальнейшем избегать ультрафиолетового облучения.
4 Прогноз хороший. Гемангиомы являются доброкачественными опухолями и не являются инвазивными, а также не рецидивируют после хирургического вмешательства; однако, иногда встречается злокачественная трансформация поражений, вызванных солнечным облучением.

Фото 1. Гемангиома собак и кошек. Фокальная сосудистая пролиферация, типичная для этой опухоли. Обратите внимание на синеватое окрашивание узелка.
Гемангиома
Информацию из данного раздела нельзя использовать для самодиагностики и самолечения. В случае боли или иного обострения заболевания диагностические исследования должен назначать только лечащий врач. Для постановки диагноза и правильного назначения лечения следует обращаться к Вашему лечащему врачу.
Гемангиома: причины появления, симптомы, диагностика и способы лечения.
Определение
Гемангиомой называют гиперплазию сосудов (разрастание клеток сосудистой стенки) – заболевание, которое классифицируется как доброкачественная опухоль (доброкачественное новообразование) и может быть как врожденным, так и появиться в течение нескольких месяцев после рождения ребенка.
Гемангиома кожи у взрослых встречается, но не часто, так как большинство опухолей самостоятельно рассасываются еще в детском возрасте. Если похожее новообразование появилось на коже взрослого человека, где до этого не было никаких поверхностных дефектов, то такая опухоль требует тщательной диагностики.
Если в детстве гемангиома выражена слабо (в виде ссадины или небольшого пятнышка), то во взрослом возрасте под действие определенных факторов она может расти и увеличиваться.
Гемангиомы формируются, как правило, на коже головы, лица, шеи и реже – на туловище и конечностях. Излюбленными локациями на внутренних органах являются печень, кости, легкие.
Гемангиомы кожи чаще представляют собой одиночные новообразования, но бывают исключения. Замечено: если гемангиом на видимых участках тела больше пяти, высока вероятность того, что есть и гемангиома внутренних органов.
Причины появления гемангиом
Причины появления гемангиом до конца не изучены. Согласно одной из теорий, разросшиеся клетки эндотелия могут быть остаточными эмбриональными клетками. Другое предположение заключается в том, что гемангиома начинает расти внутриутробно в условиях хронического недостатка кислорода. Возможно, формирование опухоли могут провоцировать острые инфекции, в том числе респираторно-вирусные, если таковые были у матери в первом триместре беременности. Это лишь теория, потому как гемангиомы возникают и у детей, родившихся от матерей с нормально протекавшей беременностью.
Угрозы выкидыша, предлежание плаценты (очень низкое расположение плаценты в матке, затрудняющее естественные роды), отслойка и воспаление плаценты, обвитие пуповины, преэклампсия (комплекс симптомов, включающий отеки, повышение артериального давления и выявление белка в анализе мочи), возраст матери (старше 38 лет) также являются факторами риска.
Классификация заболевания
Гемангиомы детского возраста подразделяют на врожденные и инфантильные (младенческие).
Нередко крупные гемангиомы можно увидеть во время ультразвукового скрининга. Новорожденный появляется с гемангиомой, которая впоследствии может самостоятельно в течение полутора лет уменьшиться в размере и исчезнуть (быстро инволюционирующая), уменьшиться, но не полностью исчезнуть (частично инволюционирующая) или не измениться совсем (не инволюционирующая). Если врожденная гемангиома растет, то только пропорционально росту ребенка. С равной частотой она встречается как у мальчиков, так и у девочек.

Инфантильная гемангиома
Предшествует такой гемангиоме участок измененной кожи или красное пятно. Рост гемангиомы может продолжаться до шести месяцев жизни ребенка. Затем наступает период остановки роста, он длится в среднем два месяца, а потом происходит фаза медленного уменьшения новообразования, которая может продолжаться до десяти лет.
Младенческая гемангиома встречается у девочек в пять раз чаще, чем у мальчиков.
Инфантильные гемангиомы могут располагаться на коже (простые капиллярные гемангиомы), под кожей (венозные и кавернозные гемангиомы) и быть комбинированными.

В зависимости от гистологического строения и от калибра сосудов гемангиомы подразделяют:
- на капиллярные,
- венозные,
- кавернозные,
- комбинированные.
Располагается на поверхности кожи и представляет собой густую сеть тесно переплетенных капилляров, выстланных клетками эндотелия. Эта форма встречается в 90-96% случаев, характерна интенсивным разрастанием новых сосудов и считается начальной стадией развития образования.
Образования представлены венами мелкого и среднего калибра. Таким гемангиомам свойственно разрастание вглубь кожи и над ее поверхностью.
Кавернозные, или пещеристые гемангиомы.
Кавернозное образование считается следующим этапом развития венозной формы гемангиомы. Оно состоит из полостей, ограниченных эндотелиальным слоем сосудов и разделенных перегородками. Такая гемангиома формируется в результате переполнения кровью неполноценных капилляров и разрыва их стенок с образованием полостей (каверн) и кровоизлияний (гематом). Кровь, находящаяся в этих полостях, из-за повышения коагуляционных свойств образует мелкие сгустки.
К этому виду гемангиом относят образования, имеющие признаки нескольких форм различной степени выраженности.
- Капиллярная, или поверхностная гемангиома кожи (винное пятно) склонна к разрастанию в окружающие ткани и представляет собой объемное эластичное образование от бледно-розового до насыщенного красного или бордового цвета, с неровными очертаниями, несколько возвышающееся над поверхностью кожи. При надавливании гемангиома бледнеет, но потом быстро принимает исходный вид. При локализации на затылке имеет название «укус аиста», при локализации на лбу - «поцелуй ангела».
Края гемангиомы говорят о стадии ее развития: ровный очерченный край наблюдается в фазе остановки роста и фазе уменьшения опухоли. Во время активного роста края размыты.
Небольшие гемангиомы внутренних органов зачастую никак себя не проявляют и случайно выявляются при проведении исследований, связанных с другими заболеваниями.
Для того чтобы гемангиома печени давала болевые ощущения, она должна достигать внушительных размеров – 5–10 см. Гемангиома позвоночника не вызывает никаких симптомов, если она находится внутри позвонка. Как только она затрагивает надкостницу (оболочку, покрывающую кость) или связки, появляется постоянная боль. Опухоль, сдавливающая корешки спинномозговых нервов, может привести к различным нарушениям чувствительности в конечностях.
Некоторые гемангиомы сразу вызывают симптомы, это объясняется особенностью расположения. Разрастаясь, они быстро нарушают функцию органа. К таким относят гемангиомы гортани, трахеи, опухоли глаз.
Диагностика гемангиомы
Диагностика гемангиомы начинается с опроса пациента и/или его представителей о течении заболевания, первых проявлениях, динамике событий. Затем проводят детальный осмотр сосудистого образования. В зависимости от симптомов и расположения гемангиомы может потребоваться углубленный осмотр узким специалистом (офтальмологом, оториноларингологом и т.д.).
Для уточнения размеров, глубины залегания, строения новообразования показано ультразвуковое исследование с изучением кровотока. Однако при некоторых гемангиомах оно может быть неинформативным.
Исследование мягких тканей для выявления патологических изменений и диагностики новообразований.
Кожная гемангиома у собаки. Клинический случай
Илья Смирнов, ветеринарный врач-хирург ветеринарной клиники «Биоконтроль», Москва
Анна Кузнецова, к. б. н., старший научный сотрудник НМИЦ Онкологии им. Н. Н. Блохина, ведущий онколог ветеринарной клиники «Биоконтроль», Москва
Ирина Борисовская, ассистент ветеринарного врача-хирурга ветеринарной клиники «Биоконтроль», студентка V курса факультета ветеринарной медицины Российского университета дружбы народов, Москва

Аннотация
Гемангиома — это доброкачественная опухоль эндотелиальных клеток сосудов или их предшественников. Эту опухоль редко выявляют на коже у домашних животных. Чаще гемангиомы обнаруживаются у собак, гораздо реже у других видов домашних животных. В качестве лечения в ветеринарии выбирают хирургическое иссечение опухоли, криодеструкцию и удаление лазером. В данной статье рассмотрен клинический случай — объёмная кожная гемангиома конечности у самки чихуахуа, подтверждённая двукратным гистологическим исследованием. Масса опухоли вместе с тканями конечности составила порядка 5% от всей массы тела. Из-за невозможности резекции животному была проведена ампутация по верхнюю треть плеча. Клинический случай представляет интерес с точки зрения размеров новообразования и нетипичного метода лечения.
Ключевые слова: гемангиома, собака, онкология, сосудистая опухоль, ампутация грудной конечности, новообразование кожи.
Вступление
Опухоли кожи достаточно часто встречаются в практике ветеринарного врача. Одна из таких опухолей — гемангиома. В ветеринарной практике эти новообразования чаще всего встречаются у собак и редко — у кошек, лошадей, коров, свиней и других домашних животных [10]. Выделяют несколько типов гемангиом по гистологическому строению: кавернозные, капиллярные, артериовенозные. Некоторые авторы дополнительно выносят дольчатые, веретенообразно-клеточные или эпителиоидные подтипы [22]. Наиболее часто встречающимися как в ветеринарии, так и в гуманной медицине считаются кавернозный и капиллярный типы. Гораздо реже диагностируются артериовенозные гемангиомы. У собак в иностранной литературе описано лишь несколько клинических случаев гемангиом [22]. Однако стоит отметить, что морфологический тип гемангиомы не влияет на выбор тактики лечения и прогноз жизни пациента.
Гемангиомы собак, так же как и у людей, чаще всего локализуются на коже и подкожно [24; 26]. Но, кроме того, описаны случаи возникновения на языке [25; 23; 22], костях [20], селезёнке [24; 21], синовиальной оболочке [16], в конъюнктиве [Pirie CG et al., 2006; 19], в печени [18], в почках [27; 8], в подвздошной кишке [Noriaki А et al.,2010], в мочевом пузыре [13], в спинном мозге [6; 14] и других местах. Кожная и подкожная локализации крайне вариабельны, и опухоль может выявляться абсолютно в любом месте. В разных исследованиях статистика «излюбленных» мест гемангиомы варьируется. Наиболее частыми считаются голова, шея, конечности и область молочных желёз. Из нестандартных мест можно выделить мошонку. В одном достаточно крупном исследовании гемангиомы мошонки у собак составили 4,6% (31/676) от всех опухолей мошонки и 0,7% (31/4313) от всех кожных гемангиом в целом, диагностированных в течение периода исследования. Причём наиболее предрасположенными оказались собаки породы боксёр. Средний возраст на момент диагностики составил 8,3 года (±2,9 года) [15]. Ни в одном из рассмотренных исследований не обнаружилось половой предрасположенности. Возраст собак колебался от 3 до 14 лет, со средним 8,8±3 года [24]. В другом исследовании диапазон был приблизительно таким же [11]. Также Hargis A. M. и др. описывают случай гемангиомы, диагностированной у щенка терьера, которую удалили лишь в семилетнем возрасте.
Гемангиомы, как множественные, так и одиночные, обычно развиваются у взрослых животных. Гораздо реже отмечают случаи врождённых форм. Определить, есть ли генетическая предрасположенность к сосудистым новообразованиям, достаточно сложно, однако фиксировались случаи возникновения гемангиом и гемангиосарком у нескольких собак-однопомётников из двух разных семей уиппетов [11]. Есть доказательства того, что у светлокожих короткошёрстных пород собак со слабопигментированной кожей (уиппет, далматин, бигль, бассет-хаунд и др.) гемангиомы могут развиваться из-за длительного воздействия солнечного света [11].
Следует отметить, что малигнизация гемангиом согласно исследованиям [11; 26] отмечается крайне редко. В своём исследовании Hargis и др. отмечают, что лишь одна из диагностированных кожных гемангиом имела участки озлокачествления. Авторы предположили, что воздействие ультрафиолетового излучения может спровоцировать малигнизацию некоторых кожных (но не подкожных) гемангиом до гемангиосаркомы.
Основным методом лечения при данной опухоли являются хирургическое иссечение, криодеструкция и лазерная абляция. Однако в гуманной медицине описаны и другие методы лечения: введение склерозирующих препаратов, прижигание, эндоваскулярная окклюзия сосудов гемангиомы и медикаментозное лечение ß-блокаторами, преднизолоном и др. Причём при невозможности одномоментного удаления описано иссечение опухоли в несколько этапов. Нам не удалось найти информации о послеоперационных рецидивах и/или о случаях метастазирования в ветеринарной литературе. Несмотря на это Hargis и др. отмечают, что у собак, чувствительных к ультрафиолету, возможны возникновения новых опухолей после хирургического лечения. Также хочется отметить, что ни в одной из ветеринарных статей не было указано, как именно удалялись опухоли: вид удаления, отступ от границ опухоли и т. п.
Разбор клинического случая
Собака, самка, 9 лет, порода чихуахуа, нестерилизованная, содержится в приюте. Поступила из сторонней клиники с жалобой на обширное новообразование в дистальной части правой грудной конечности.
Осмотр
На момент поступления общее состояние животного было удовлетворительным. Аппетит сохранён. Дефекация и мочеиспускание в норме. При осмотре выявлены множественные новообразования правого предплечья, запястья и пясти, диаметром от 0,3 до 10 см, тёмно-коричневого цвета, умеренной плотности, многоузловой формы роста, с признаками местной алопеции, без язвенных дефектов (илл. 1А). Рост опухоли в течение нескольких месяцев был незначительным. Опороспособность на конечность сохранена. Болезненность при пальпации поражённой области не определялась. Регионарные лимфатические узлы при пальпации без признаков изменения.
![]() |
| Илл. 1. (А) Множественные новообразовая кожи конечности. (Б) Рентгенограмма поражённой конечности |
Исследования
Владелец не смог предоставить достоверных данных о проведённых вакцинациях. Выполненные тесты ПЦР на коронавирусный гастроэнтерит, чуму плотоядных и парвовирусную инфекцию собак были отрицательные. Клинический и биохимический анализы крови без выраженных отклонений. По данным УЗИ брюшной полости выявлены очаговые изменения печени, соответствующие хроническому гепатиту/нодулярной гиперплазии печени. Рентгенографическое исследование органов грудной полости не выявило признаков патологий. На рентгенограмме правого запястья и предплечья определяются признаки ограниченного равномерного остеопороза в сочленяющихся отделах костей на уровне пястно-фаланговых суставов. Здесь же отмечаются умеренно выраженные сужения суставных щелей. Данных о костных деструктивных изменениях нет. Тень мягких тканей запястья значительно увеличена в виде объёмного образования средней рентгеноплотности, с чёткими, неровными контурами, размерами до 10 см, в его структуре имеются рассеянные грубые кальцификаты, подобные образования отмечаются в проекции костей предплечья (описание предоставила Кривова Ю. В.).
Из сопутствующих заболеваний эхокардиография выявила миксоматозную дегенерацию митрального клапана стадии В1.
Гистологическое исследование за время лечения проводилось дважды: после открытой биопсии и ампутации, двумя врачами-гистологами.
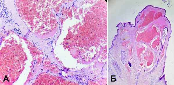
По результатам обоих исследований был поставлен диагноз: гемангиома. В дифференциальные диагнозы также входили остальные диагнозы из группы сосудистых ангиоматозов. В изготовленных гистологических препаратах не выявлено признаков озлокачествления. Опухоль была представлена веретеновидными клетками, формирующими сосудистые пространства, разделённые скудно-умеренной фиброзной стромой. Описанные многоочагово-сосудистые пространства были заполнены эритроцитами и полиморфноядерными лейкоцитами и фибриновыми тромбами. Сами опухолевые клетки имели веретеновидную форму, умеренное количество эозинофильной цитоплазмы, единичное вытянутое овальное ядро с нежным зернистым хроматином и редкой единичной нуклеолой. Анизоцитоз и анизокариоз не выражены. Митозы единичные на 10 полей зрения при увеличении ×400. В строме опухоли были многоочагово представленные клетки, цитоплазма которых заполнена коричневым (более вероятно, гемосидерин) или жёлтым (более вероятно, гематоидин) пигментом (илл. 2). Иммуногистохимическое исследование не проводилось.
![]() |
| Илл. 2. Гистологическое исследование опухоли. (А) При большом увеличении выявляются эндотелиоциты без признаков атипии, выстилающие кавернозные полости, заполненные форменными элементами крови. Окраска гематоксилин–эозин. Увеличение ×40. (Фото и описание Газина А. А.) (Б) При поднятии эпидермиса и расширении дермы представлены расширенные кавернозные полости, заполненные форменными элементами крови. Окраска гематоксилин–эозин. Увеличение ×10. (Фото и описание Газина А. А.) |
Лечение
Гемангиомы хирургически удаляют в случае интенсивного роста, при больших размерах новообразования, при подозрении на озлокачествление, при травматизации или других негативных симптомах, которые может вызывать новообразование по мере роста. В описываемом конкретном случае показаниями к удалению были: большой размер новообразования, риск травматизации при ходьбе, хромота на конечность, желание владельца избавиться от новообразования радикально. Из-за многоузловой формы роста, большого объёма опухоли на дистальной части конечности и значительной инвазии в окружающие мягкие ткани было принято решение о проведении ампутации конечности. Помимо ампутации рассматривались варианты установки интегрируемого протеза либо съёмного протеза. Однако, принимая во внимание ряд факторов: высокую стоимость интегрируемого протеза, сложности при эксплуатации съёмных протезов у мелких пород собак на грудных конечностях, вероятность продолженного роста новообразований при ампутации по средней трети предплечья, а также тот факт, что при высокой ампутации грудной конечности у пациентов небольших размеров качество жизни остаётся на хорошем уровне, было принято решение об ампутации конечности по верхней трети плеча. Операция была проведена по стандартной технике [9].
Послеоперационный период
В послеоперационный период собака в первые 12 часов находилась на ИПС (инфузии с постоянной скоростью) лидокаина 3 мг/кг/ч, трамадола 0,5 мг/кг/ч, дексдомитора 1 мкг/кг/ч, а также однократно получила мелоксикам 0,2 мг/кг, продолжила антибиотикотерапию («Амоксиклав с клавулановой кислотой» 15 мг/кг 2 р/день) и терапию, прописанную кардиологами. На следующий день во время утреннего осмотра пациент демонстрировал умеренный дискомфорт при обработке послеоперационной области, без выраженной болезненности. Далее мультимодальная анальгезия состояла из габапентина 10 мг/кг каждые 12 часов, метамизола натрия 25 мг/кг каждые 6 часов, трамадола 3 мг/кг каждые 8 часов (в течение 2 дней), мелоксикама 0,1 мг/кг каждые 24 часа и ИПС лидокаина 30–50 мкг/кг/ч в течение ещё 2 дней с постепенным снижением дозы и кратности дачи препаратов. В послеоперационной области на протяжении нескольких дней наблюдался отёк и гематома. На момент снятия швов (на 14-й день) в послеоперационной области не визуализировалось экссудации, покраснения и других признаков воспаления. Жалоб на общее состояние не было.
Заключение
Кожные опухоли — частая патология у собак. Согласно последнему опубликованному исследованию наших коллег, процент всех новообразований кожи и придаточных желёз у собак составляет около 41%. На долю подтверждённых морфологически гемангиом у самок собак пришлось 0,8% [1] всех кожных опухолей. По данным другого исследования, гемангиома подтверждалась в 4,9% случаев [4]. Такие опухоли могут оставаться длительное время недиагностированными из-за их доброкачественной природы, и их реальное количество может оказаться иным.
Описанный выше клинический случай представляет интерес в первую очередь с точки зрения размеров новообразования. Так, соотношение новообразования вместе с частью конечности составляло чуть более 5% от всей массы тела пациента. В рассмотренной литературе нам не удалось найти ни одного упоминания о гемангиоме подобных размеров. К сожалению, нам неизвестны ни скорость роста опухоли, ни длительность течения заболевания.
Нестандартным оказалось и лечение у данного пациента. В литературных источниках не было упоминаний ни об одном случае, при котором пришлось бы прибегнуть к ампутации конечности при гемангиоме.
На момент написания статьи от владелицы пациента не поступало жалоб о появлении новых новообразований или каких-либо жалоб на общее состояние собаки. По видеоматериалам, присылаемым хозяином, видно, что питомец не испытывает никакого дискомфорта при передвижении, играх и кормлении.
Благодарности
Авторы выражают сердечную благодарность коллегам: ветеринарному врачу визуальной диагностики Кривовой Юлии Викторовне за помощь в интерпретации рентгенологического исследования и ветеринарному врачу-гистологу Газину Алексею Алексеевичу за предоставленные описания и фотографии гистологических срезов.
Гемангиомы
БЕСПЛАТНАЯ КОНСУЛЬТАЦИЯ: поможем врачам и владельцам клиник выбрать оборудование для удаления гемангиом
Оглавление
Гемангиома (капиллярная гемангиома, capillary hemangioma) — это доброкачественная опухоль, развивающаяся из гиперплазированного эндотелия сосудов. При рождении ребенка зачастую отсутствует, однако появляется в детском возрасте и в дальнейшем отличается прогрессирующим ростом.
В нашей компании Вы можете приобрести следующее оборудование для удаления гемангиом:
Особенностью гемангиом является возможность спонтанной инволюции, поэтому тактика лечения данных новообразований подбирается индивидуально для каждого пациента, исходя из текущего состояния опухоли и ее динамики. Спонтанная регрессия отличает гемангиомы от других сосудистых мальформаций — например, винных пятен.
Согласно статистике, капиллярные гемангиомы возникают у 1–2% новорожденных, при этом около 50% новообразований формируются на голове (зачастую в области глаз) и шее. 30% пациентов говорят о том, что их родители или врачи фиксировали признаки гемангиомы сразу после рождения, однако большинство отмечают начало манифестирования данного новообразования в возрасте 6 месяцев. Соотношение мужчин и женщин в заболеваемости гемангиомой составляет 1:3.
Этиология и патогенез капиллярных гемангиом
На сегодняшний день считается, что капиллярная гемангиома является гамартоматозной пролиферацией (т.е. узловым доброкачественным опухолевидным образованием, представляющим собой тканевую аномалию развития) сосудистых эндотелиальных клеток. До настоящего момента не найдено специфических генных мутаций или явных наследственных признаков, которые были бы на 100% ответственны за появление гемангиом.
В своем развитии гемангиома проходит 2 фазы — пролиферативную и инволютивную. Пролиферативная фаза обычно начинается через 8–18 месяцев после манифестации опухоли и характеризуется прогрессирующим ростом новообразования. Гистологически она характеризуется увеличением числа эндотелиальных и тучных клеток, причем последние стимулируют дальнейший рост сосудов.
Пролиферативная фаза сменяется инволютивной, которая характеризуется постепенной регрессией гемангиомы. В ней наблюдается редукция ангиогенеза, апоптоз эндотелиальных клеток, снижение активности тучных клеток и расширение васкулярных каналов. Около 50% всех новообразований подвергаются инволюции в возрасте до 5 лет, а около 75% — до 7 лет.
Клинические проявления
Простая гемангиома представляет собой бугристое новообразование красного цвета, возвышающееся над поверхностью окружающей здоровой кожи (рис. 1). Кавернозная гемангиома находится в подкожной жировой клетчатке и выглядит как опухоль синеватого оттенка (рис. 2). Комбинированная гемангиома расположена как на поверхности, так и внутри кожи. Есть также смешанные гемангиомы, которые сочетаются с липомами, фибромами, кератомами и другими новообразованиями.
Важным дифференциальным признаком гемангиом является побледнение при надавливании — это отличает их от винных пятен.
Рис. 1. Простая капиллярная гемангиома

Рис. 2. Кавернозная гемангиома

В зависимости от локализации, гемангиома может вызывать различные осложнения. Так, периобритальная опухоль в 43–60% случаях провоцирует амблиопию — «выключение» пораженного глаза из зрительного процесса. Располагаясь в области гортани, опухоль может вызвать стридор и обструкцию дыхательных путей. В целом же, несмотря на доброкачественность гемангиом, около 10% из них носят деструктивный характер, вызывая серьезные эстетические дефекты.
Методы лечения гемангиом
Первичная терапия капиллярных гемангиом представляет собой простое динамическое наблюдение. Поскольку большинство новообразований (до 75%) с возрастом регрессируют, необходимость в их лечении, как правило, отсутствует. Однако гемангиомы могут давать осложнения, которые нуждаются в терапии:
- Системные осложнения — застойная сердечная недостаточность, тромбоцитопения, гемолитическая анемия, обструкция носоглотки.
- Офтальмологические осложнения — нарушение зрительной оси, компрессия зрительного нерва, тяжелый проптоз (выпячивание) глазного яблока, анизометропия (разница в рефракции глаз).
- Дерматологические осложнения — мацерация и эрозия эпидермиса, инфицирование новообразования, выраженный косметический дефект.
Лекарственные методы
В зависимости от наличия у пациента того или иного осложнения, лечебная тактика будет различной — например, могут быть назначены топические кортикостероиды. При этом клинический ответ даже на самые сильные препараты развивается достаточно медленно — в течение нескольких недель. Поэтому данный способ не подходит при угрожающих зрению состояниях.
Инъекционные кортикостероиды обеспечивают более быстрый эффект: побледнение гемангиом наблюдается уже на 2–3 сутки, а инволюция становится заметной через 2–4 недели. Успех данной терапии составляет около 75%.
Системные кортикостероиды используются при амблиогенных угрожающих жизни поражениях. Выраженный ответ обычно наблюдается у 30% пациентов, умеренный — у 40%, отсутствие ответа — у 30%.
Альфа-2а интерферон назначается при резистентности гемангиомы к кортикостероидной терапии. Несмотря на хорошую эффективность, его прием связан с нежелательными побочными эффектами: лихорадкой, артралгией, ангиопатией сетчатки.
Для лечения гемангиом может использоваться пропранолол, хотя его доказательная база относительно слабая и в основном состоит из казуистических случаев. Однако в некоторых исследованиях отмечается, что пропранолол может предупредить снижение остроты зрения в случае периокулярной гемангиомы.
При некоторых поверхностных (а в некоторых случаях и глубоко расположенных) новообразованиях ограниченной площади может быть эффективен тимолол.
Хирургические методы лечения капиллярной гемангиомы
Раннее хирургическое вмешательство можно рассматривать в качестве варианта первичного лечения только для изолированных капиллярных гемангиом без значительного кожного компонента. Иссечение новообразования может предотвратить возникновение астигматизма и окклюзионную амблиопию. Сосудистую эмболизацию поражений рекомендуется использовать только для больших экстраорбитальных новообразований.
Аппаратные методы лечения гемангиом
Для удаления гемангиом ранее использовался СО2-лазер, который обладает хорошим гемостатическим эффектом. Недостатком СО2 лазера является длительная реабилитация в следствие нарушения целостности кожных покровов, а также формирование рубца на месте удаленной гемангиомы. Импульсный лазер на красителях (PDL) эффективен только для поверхностных новообразований. Его эффект развивается достаточно медленно, что не позволяет использовать PDL-лазер при осложнениях. В настоящее время для лечения гемангиом в эстетических целях используется интенсивный импульсный свет – IPL и длинноимпульсный Nd:YAG лазер 1064 нм, а также их комбинация. Эти методики относятся к неаблятивным и основаны на избирательном нагреве патологических сосудов за счет поглощения световой энергии гемоглобином.
Медицинский центр Диона на улице Коллонтай
Медперсонал Медицинского центра Диона предлагает свои услуги всем, кто испытывает трудности со здоровьем, а также всем тем, кому нужна профилактика возможных патологий. На первичном приёме специалисты собирают анамнез о состоянии интересующих систем организма. Если требуется, направляют на уточняющую диагностику и после выписывают схему лечения. Оно может быть медикаментозным, амбулаторным или стационарным. Длительность терапии зависит от наследственных факторов, тяжести заболевания, возраста пациента и проч.
Здесь работают отделения оториноларингологии, дерматологии, неврологии и кардиологии. Пульс менее 50 или более 100, артериальное давление свыше 130/80, одышка в состоянии покоя, давящие боли в левой половине грудной клетки - веские поводы проверить работу своего сердца, чтобы оценить риск возникновения инфаркта. Местный кардиолог "прощупает" район сердечной мышцы, измерит ЧСС и выпишет направление на исследование сосудов.
Центр находится по адресу улица Коллонтай, 41 (возле метро Проспект Большевиков, Улица Дыбенко) и работает сб, вс: 09:00 - 20:00.
Акции и скидки
При оплате курса от 5 процедур - массаж лица, зоны декольте и шеи всего за 750 рублей! Демакияж 200 руб. Дополнительную информацию и полные условия акции Вы можете узнать на нашем сайте, а также по телефону центра.
УЗИ плечевых, коленных, тазобедренных суставов на сканере эксперт - класса + консультация заведующего отделения травматологии и ортопедии за 2500 рублей! Дополнительную информацию и полные условия акции Вы можете узнать на нашем сайте, а также по телефону центра.
УЗИ диагностика: 1. УЗИ молочных желез - 500 руб. 2. УЗИ щитовидной железы - 500 руб. 3. УЗИ малого таза 2-мя датчиками - 700 руб. 4. УЗИ брюшной полости и почек - 900 руб. Комплексы анализов: 1. Здоровье щитовидной железы (Т3 свободный, Т4 свободный, ТТГ) - 750 руб. 2. Здоровье печени (АСТ, АЛТ, Билирубин общий) - 300 руб. 3. Здоровье почек (мочевина, креатинин, белок общий) - 300 руб.
30 мин общего детского массажа при оплате курса 10 процедур - 900 руб., 5 процедур - 1000 руб. 45 мин массажа для взрослых - 1200 руб. при оплате курса от 5 процедур. Дополнительную информацию и полные условия акции Вы можете узнать на нашем сайте, а также по телефону центра.
Программа индивидуальной ортопедической коррекции с использованием ортезов (стелек) Цена 3500 руб. + плантоскопия в подарок Наблюдение ортопеда с коррекцией стелек до 6 месяцев бесплатно! Дополнительную информацию и полные условия акции Вы можете узнать на нашем сайте, а также по телефону центра.
Санитарная книжка - 1750 рублей. Водительская комиссия - 700 рублей. Детская карта с анализами - 3500 рублей. Форма 086У - 1000 рублей. Дополнительную информацию и полные условия акции Вы можете узнать на нашем сайте, а также по телефону центра.
Прием ведут опытные специалисты с большим опытом работы. Применяются только самые современные материалы и используются эффективные и безболезненные методики. Дополнительную информацию и полные условия акции Вы можете узнать на нашем сайте, а также по телефону центра.
Комплексный генетический тест "Атлас" позволяет получить информацию о вашем организме по более чем 500 показателям. Предрасположенность к заболеваниям, рекомендованные виды физической активности, аллергены, наследственные признаки и многое другое. Как правильно подготовиться к исследованию? В течение 30 минут перед исследованием не следует: - Принимать пищу, или жевать жевательную резинку. - Курить - Пить. - Проводить туалет полости рта. - Целоваться. Дополнительную информацию и полные условия акции Вы можете узнать на нашем сайте, а также по телефону центра.
Справка ф.003-О/у (на алкоголь и наркотики). Для справки на оружие и охрану, в ГИБДД, военкомат и др. учреждения во всех центрах "Диона". Дополнительную информацию и полные условия акции Вы можете узнать на нашем сайте, а также по телефону центра.
Регулярная профессиональная гигиена полости рта — основа профилактики стоматологических заболеваний. Доверьте здоровье и красоту зубов специалистам нашей клиники и воспользуйтесь специальным ценовым предложением! Получить всю необходимую информацию, связанную с акцией на профессиональную гигиену зубов, а также записаться на прием к врачу Вы можете по телефонам указанным на сайте.
Читайте также:


