Синовиальная оболочка коленного сустава. Завороты коленного сустава. Завороты синовиальной оболочки коленного сустава. Синовиальные сумки коленного сустава.
Добавил пользователь Евгений Кузнецов Обновлено: 02.11.2025
Коленный сустав является самым большим и вместе с тем наиболее сложным из всех сочленений. В его образовании принимают участие три кости: нижний конец бедра, верхний конец болыцеберцовой кости и надколенник. Суставные поверхности мыщелков бедра, сочленяющиеся с tibia, выпуклы в поперечном и сагиттальном направлении и представляют отрезки эллипсоида. Медиальный мыщелок больше латерального.
Fades articularis superior болыцеберцовой кости, сочленяющаяся с мыщелками бедра, состоит из двух слабо вогнутых, покрытых гиалиновым хрящом суставных площадок. Последние дополняются посредством двух внутрисуставных хрящей, или менисков, meniscus lateralis et medialis, лежащих между мыщелками бедра и суставными поверхностями болыцеберцовой кости.
Каждый мениск представляет собой трехгранную, согнутую по краю пластинку, периферический утолщенный край которой сращен с суставной сумкой, а обращенный внутрь сустава заостренный край свободен. Латеральный мениск более согнут, чем медиальный; последний по форме похож на букву С, а латеральный приближается к кругу. Концы обоих менисков прикрепляются спереди и сзади к eminentia intercondylaris. Спереди между обоими менисками протягивается фиброзный пучок, называемый lig. transversum genus.
Суставная капсула на бедре спереди поднимается вверх, обходя fades patellaris, по бокам идет между мыщелками и надмыщелками, а сзади опускается до краев суставных поверхностей мыщелков. На большеберцовой кости капсула прикрепляется по краю суставных поверхностей мыщелков. Благодаря сращению наружной окружности менисков с суставной капсулой полость коленного сустава делится на больший (бедренно-менисковый) и меньший (большеберцово-менисковый) отделы. На надколеннике она прирастает к краям его хрящевой поверхности, вследствие чего он оказывается как бы вставленным в передний отдел сумки, как в рамку.
Снаружи капсулу укрепляют коллатеральные связки, lig. collaterale tibiale (от epicondylus medialis бедра до края tibiae) и с латеральной стороны lig. collaterale fibulare (от epicondylus lateralis до головки fibulae). Последняя связка имеет форму шнурка, который не срастается с суставной сумкой, отделяясь от нее жировой клетчаткой.
На задней стороне капсулы коленного сустава находятся две связки, вплетающиеся в заднюю стенку, — lig. popliteum arcuatum и lig. popliteum obliquum.
На передней стороне коленного сустава располагается сухожилие четырехглавой мышцы бедра, которое охватывает patella, как сесамовидную кость, и затем продолжается в толстую и крепкую связку, lig. patellae, идущую от верхушки надколенника вниз к tuberositas tibiae. Эта связка отделяется от суставной сумки жировой клетчаткой. По бокам patella боковые расширения сухожилия четырехглавой мышцы образуют поддерживающие связки надколенника, так называемые retinacula patellae (laterale et mediale). Они удерживают надколенник во время движения.
Кроме внесуставных связок, коленный сустав имеет две внутрисуставные связки, называемые крестообразными, ligg. cruciata genus. Передняя, lig. cruciatum anterius, соединяет внутреннюю поверхность латерального мыщелка бедра с area intercondilaris anterior tibiae.
Задняя, lig. cruciatum posterius, идет от внутренней поверхности медиального мыщелка бедра к area intercondylaris posterior большеберцовой кости.
Они прочно соединяют между собой бедренную и большеберцовую кости, обеспечивая функции коленного сустава.
Крестообразные связки лежат частично вне синовиальной оболочки капсулы коленного сустава. Синовиальная оболочка с мыщелков бедра переходит на переднюю поверхность крестообразных связок и, охватывая их спереди и с боков, оставляет их задние отделы непокрытыми. Благодаря такому ходу синовиальной оболочки латеральный и медиальный отделы коленного сустава разобщены. Кроме того, те же связки делят полость сустава на переднюю и заднюю части, препятствуя в случае воспаления проникновению гноя из одной части в другую до определенного времени. Синовиальная оболочка образует на передней стенке сустава ниже надколенника две содержащие жир складки, plicae alares, которые приспосабливаются к суставным поверхностям, заполняя промежутки между ними при каждом положении колена.
На местах перехода синовиальной оболочки на кости, составляющие коленный сустав, образуется 13 заворотов, которые значительно увеличивают полость сустава, а при воспалительных процессах могут быть местами скопления гноя, крови, серозной жидкости. Спереди выделяют 5 заворотов: вверху, над мыщелками бедра, посередине — верхний передний, по бокам — 2 медиальных, верхний и нижний, и 2 латеральных, верхний и нижний. Сзади располагаются 4 заворота: 2 медиальных, верхний и нижний, и 2 латеральных, верхний и нижний. На боковых поверхностях мыщелков бедра и боковых поверхностях большеберцовой кости выделяют 4 боковых заворота: 2 медиальных, верхний и нижний, и 2 латеральных, верхний и нижний.
Снаружи от капсулы сустава залегает ряд синовиальных сумок, некоторые из них сообщаются с суставом. Спереди расположена наднадколенниковая сумка, bursa suprapatellaris, которая в 85% случаев сообщается с верхним передним заворотом.
На передней поверхности надколенника встречаются сумки, число которых может доходить до трех: под кожей — bursa subcuta- nea prepatellaris; глубже под фасцией — bursa prepatellaris subfascialis; наконец, под апоневротическим растяжением m. quadriceps — bursa subtendinea prepatellaris. У места нижнего прикрепления lig. patellae, между этой связкой и большеберцовой костью, заложена постоянная, не сообщающаяся с суставом синовиальная сумка, bursa infrapatellaris profunda. Сзади снаружи имеется подколенное углубление, recessus subpopliteus, — синовиальная сумка, отделяющая ш. popliteus от капсулы коленного сустава. Онапостоянно сообщается с полостью коленного сустава и примерно в 20% случаев — с полостью межберцового сустава, соединяя их.
Сзади и изнутри расположены две сумки, отделяющие капсулу сустава от медиальной головки икроножной мышцы (bursa subtendinea m. gastrocnemii medialis) и от сухожилия полуперепон- чатой мышцы (bursa m. semimembranosi, или сумка Броди). Обе они сообщаются с полостью коленного сустава в 50% случаев.
Синовиальные сумки коленного сустава имеют значение в распространении затеков при гнойном воспалении коленного сустава (гонит).
Коллатерали в области коленного сустава
Коленный сустав получает питание из rete articulare, в которую сверху входят аа. superiores medialis et lateralis genus, a. descendens genus (из a. femoralis) и ramus descendens a. circumflexae femoris lateralis, а снизу — aa. inferiores medialis et lateralis genus и aa. recurrentes tibiales anterior et posterior (из a. tibialis anterior). Венозный отток происходит по одноименным венам в глубокие вены нижней конечности — vv. tibiales anteriores, v. poplitea, v. femoralis.
При затруднении кровотока по бедренной или подколенной артерии за счет этой сети развивается коллатеральное кровообращение. При стенозе или окклюзии бедренной артерии на участке между a. profunda femoris и a. descendens genus очень большое значение приобретает ramus descendens a. circumflexae femoris lateralis. В области коленного сустава она анастомозирует с суставной сетью. По ней осуществляется кровоток в обход стенозированного участка бедренной артерии.
Синовиальная оболочка коленного сустава. Завороты коленного сустава. Завороты синовиальной оболочки коленного сустава. Синовиальные сумки коленного сустава.
Синовиальная оболочка коленного сустава образует на передней стенке сустава ниже надколенника две содержащие жир складки коленного сустава, plicae alares, которые приспосабливаются к суставным поверхностям, заполняя промежутки между ними при каждом положении колена.

Завороты коленного сустава. Завороты синовиальной оболочки коленного сустава
На местах перехода синовиальной оболочки коленного сустава на кости, составляющие коленный сустав, образуется 13 заворотов коленного сустава, которые значительно увеличивают полость сустава, а при воспалительных процессах могут быть местами скопления гноя, крови, серозной жидкости.
Спереди выделяют 5 заворотов коленного сустава: вверху, над мыщелками бедра, посередине — верхний передний заворот коленного сустава, по бокам — 2 медиальных заворота коленного сустава, верхний и нижний, и 2 латеральных заворота коленного сустава, верхний и нижний.
Сзади располагаются 4 заворота коленного сустава: 2 медиальных, верхний и нижний завороты коленного сустава, и 2 латеральных, верхний и нижний завороты коленного сустава.
На боковых поверхностях мыщелков бедра и боковых поверхностях большеберцовой кости выделяют 4 боковых заворота коленного сустава: 2 медиальных, верхний и нижний, и 2 латеральных, верхний и нижний завороты коленного сустава.

Синовиальные сумки коленного сустава
Снаружи от капсулы коленного сустава залегает ряд синовиальных сумок, некоторые из них сообщаются с суставом. Спереди расположена наднадколенниковая сумка, bursa suprapatellaris, которая в 85% случаев сообщается с верхним передним заворотом коленного сустава.
На передней поверхности надколенника встречаются сумки коленного сустава, число которых может доходить до трех: под кожей — bursa subcutanea prepatellaris; глубже под фасцией — bursa prepatellaris subfascia-lis; наконец, под апоневротическим растяжением m. quadriceps — bursa subtendinea prepatellaris. У места нижнего прикрепления lig. patellae, между этой связкой и большеберцовой костью, заложена постоянная, не сообщающаяся с суставом синовиальная сумка коленного сустава, bursa infrapatellaris profunda.
Сзади снаружи имеется подколенное углубление, recessus subpopliteus, — синовиальная сумка коленного сустава, отделяющая m. popliteus от капсулы коленного сустава. Онапостоянно сообщается с полостью коленного сустава и примерно в 20% случаев — с полостью межберцового сустава, соединяя их.
Сзади и изнутри расположены две сумки коленного сустава, отделяющие капсулу сустава от медиальной головки икроножной мышцы (bursa subtendinea m. gastrocnemii medialis) и от сухожилия полуперепончатой мышцы (bursa m. semimembranosi, или сумка Броди коленного сустава [Brodie]). Обе они сообщаются с полостью коленного сустава в 50% случаев.
Синовиальные сумки коленного сустава имеют значение в распространении затеков при гнойном воспалении коленного сустава (гонит).
Жидкость в заворотах коленного сустава

Завороты коленного сустава – это анатомические структуры, которые позволяют стабилизировать движение синовиальной жидкости внутри сложного по своей структуре сочленения костей. Жидкость в заворотах коленного сустава в нормальном состоянии постоянно циркулирует и не застаивается. Однако при патологиях может происходит её накопление. В результате этого внутри сустава создается избыточное полостное давление. Может появляться боль, скованность движении, нарушение положения надколенника и мыщелков большеберцовой и бедренной костей.
Коленный сустав сформирован тремя костями: большеберцовая, бедренная и надколенник. Две из них входят в капсулу сустава, надколенник за счет собственных связок остается снаружи. Основная его функция – ограничивать подвижность сустав в передней плоскости. Большеберцовая и бедренная кости в пости сустава связаны между собой передней и задней крестообразными и двумя боковыми (латеральная и медиальная) связками. Этот аппарат стабилизирует положение головок костей и не дает им смещаться относительно друг друга.
Внутри суставной полости располагается синовиальная оболочка. Она покрывает мыщелки бедренной и большеберцовой костей и создает несколько заворотов коленного сустава. Эти выпячивания сообщаются с полостями суставных сумок (бурс), за счет чего происходит равномерное распределение синовиальной жидкости и выравнивание уровня полостного давления во всем суставе.
Recessus superior является наиболее внушительным по своим размерам верхним заворотом. Он соединяется с бурсой, расположенной в основании четырехглавой мышцы (bursa synovialis suprapatellaris). Поэтому гнойное воспаление данного заворота всегда сопровождается супрапателярным бурситом коленного сустава. Пункция данного выпячивания проводится с диагностической целью. При обнаружении в извлеченной синовиальной жидкости гноя или скопления лейкоцитарной массы говорит о развитии бурсита.
Другие завороты являются менее значительными, однако и в них может скапливаться жидкость. Более детально их анатомию будем рассматривать далее в статье. Пока же остановимся на возможных причинах патологических изменений. К ним относится травмирование суставных сумок. Воспалительные процессы в них могут носить гнойный, дегенеративный и ишемический характер.
Если у вас присутствует боль в коленном суставе и ощущение его скованности, то возможно развитие множества патологий. Вам необходимо как можно быстрее обратиться к врачу. В Москве можно записаться на бесплатный прием к ортопеду в нашей клинике мануальной терапии. Здесь врач проведет первичный осмотр и поставит предварительный диагноз. Будут даны индивидуальные рекомендации по проведению лечения.
Анатомия заворотов коленного сустава
Анатомия заворотов коленного сустава обусловлена тем, что синовиальная оболочка при покрытии поверхности мыщелков бедренной и большеберцовой костей формирует внутренние пазухи. В них находится небольшое количество синовиальной жидкости, которая при отсутствии патологических деформаций оболочки свободно циркулирует.
Синовиальные завороты коленного сустава увеличивают внутреннюю суставную полость, обеспечивают равномерное распределение амортизационной нагрузки и не дают костной ткани подвергаться травматическим воздействиям придвижении. При развитии заболеваний (артрит, артроз, бурсит, тендинит, разрывы связок и сухожилий происходит скопление крови, серозного выпота, фиброзного экссудата именно в полостях этих заворотов. Они воспаляются и стимулируют длительную циркуляцию инфекционного агента.
Основные завороты синовиальной оболочки коленного сустава:
- recessus genus superior располагается в проекции между надколенником и мыщелком бедренной кости сверху;
- medialis recessus genus и lateralis recessus genus – медиальный и латеральный карманы, располагающиеся сверху по бокам коленного сустава;
- снизу между мыщелками костей располагаются нижние медиальный и латеральный завороты;
- два задних нижних кармана;
- два задних верхних заворота.
Анатомически задние образования не имеют соединения с передними. Поэтому часто при проведении диагностической пункции врач старается сначала проверить содержимое передних полостей, а затем перейди по каналам на задний. Таким образом можно с высокой точностью установить предполагаемое место разрыва связок, воспаления суставных синовиальных сумок и т.д.
Верхние завороты коленного сустава
При проведении УЗИ или МРТ часто можно в заключении увидеть, что верхний заворот коленного сустава расширен или что в нем присутствует жидкость. Что это означает и как правильно проводить лечение?
В норме жидкость в верхнем завороте коленного сустава присутствует в ограниченном количестве. Это связано с особым расположением синовиального канала. При развитии деформирующего остеоартроза страдает в первую очередь задний карман, поэтому амортизационная нагрузка смещается на верхний заворот коленного сустава, что провоцирует чрезмерное растяжение полости и скопление внутри большого количества жидкости. Это может приводить к компрессии окружающих мягких тканей, что вызывает боль, припухлость сустав аи ограничение подвижности.
Верхний передний заворот коленного сустава, расположенный над коленом, имеет соединение с супрапателлярной суставной сумкой. Это позволяет ему выравнивать полостное давление за счет оттока жидкости. Однако при чрезмерном её накоплении может происходит развитие вторичной форму супрапателлярного бурсита.
Сухожилие четырехглавой мышцы бедра располагается над этим синовиальным карманом. При его травмировании, с последующим рубцеванием может происходить частичное смещение заворота со сдавлением других карманов синовиальной оболочки.
Латеральный и медиальный передние завороты коленного сустава располагаются сверху по боковым проекциям выступающих частей мыщелков большеберцовой и бёдерной костей. Они между собой соединены – возможен проток жидкости. Данные образования относят к внесуставным, они соприкасаются с менисками и частично обеспечивают снабжение их жидкостью. Соединены с верхним надколенным заворотом.
Нижние передние также подразделяются на внутренний и наружный. Они обеспечивают питание менисков с нижней поверхности. Закрыты инфрапателлярным телом. Соединены с одноименной суставной сумкой.
Задние завороты коленного сустава
Медиальный задний заворот коленного сустава разделяет мениск и мыщелок бедренной кости. Прикрепляется к икроножной мышце в месте перехода сухожилия в фасциальную оболочку. Внутри прикрыт полуперепончатой мышцей и частично обеспечивает её стабилизацию при движении.
Задний латеральный карман фиксирует супрапателлярный заворот коленного сустава, стабилизирует подошвенную мышцу и соединяется с наружной головкой икроножной. Сообщается с суставной сумкой, фиксирующей подколенную мышцу. При воспалении этого заворота часто возникает компрессия седалищного нерва в месте его бифуркации на большеберцовую и малоберцовую ветви. При появлении характерных болей и чувства онемения в голени и ступне необходимо исключать поражение данного синовиального кармана.
Выпот в верхнем завороте коленного сустава на задней поверхности ноги может возникать при:
- растяжении и разрыве задней крестообразной связки;
- проникновении в полость сустава инфекции;
- нарушении микроциркуляции крови и лимфатической жидкости;
- длительном сдавливании области колена с задней стороны (часто возникает у людей, имеющих привычку сидеть, закинув ногу на ногу);
- артрите и обострении деформирующего остеоартроза;
- после значительных физических нагрузок.
При проведении диагностики делается прокол. При затруднении в постановке правильного диагноза рекомендуется проведение диагностической артроскопии. В ходе процедуры возможно малоинвазивное хирургическое вмешательство, напрмиер, с целью восстановления целостности крестообразных и боковых связок.
Латеральный и медиальный боковые завороты
Боковые завороты коленного сустава – это карманы, обеспечивающие стабильность положения мыщелков большеберцовой и бедренной костей. Они доходят до верхней или нижней поверхности менисков.
Медиальный заворот коленного сустава, расположенный вверху, прикрыт боковыми связками и сухожилиями мышц. Латеральный заворот коленного сустава располагается симметрично с другой стороны. Нижние дублируют верхние. Латеральный прикрывает головку малоберцовой кости. Медиальный соединяется с мыщелком большеберцовой кости.
Мануальная терапия в лечении заворотов
С помощью методов мануальной терапии можно устранить застой лимфатической жидкости в заворотах коленных суставов. Массаж позволяет добиться своевременного оттока и внутрисуставной циркуляции. Это исключает риск развития воспалительного процесса.
Применяется иглоукалывание, лазерное воздействие, физиотерапия. Курс лечения разрабатывается индивидуально для каждого пациента. Если у вас в ходе проведения обследования выявили патологию заворотов синовиальной оболочки коленного сустава, то рекомендуем как можно быстрее обратиться на прием к ортопеду. Своевременное лечение этого состояние позволяет исключить риск развития деформирующего остеоартроза, в результате которого полностью утрачивается подвижность коленного сустава.
Синовиальная оболочка коленного сустава. Завороты коленного сустава. Завороты синовиальной оболочки коленного сустава. Синовиальные сумки коленного сустава.
Текущий раздел: Лучевая диагностика
Ультразвуковые признаки воспалительного процесса в различных отделах коленного сустава.
Нуднов Н.В. 1 , Николаева М.В. 2
1 ФГБУ «Российский научный центр рентгенорадиологии» Минздрава РФ, г.Москва.
2 ФГБУ «Поликлиника №2» Управления делами Президента РФ, г.Москва.
Статья опубликована 30 марта 2013 года.
Контактная информация:
Рабочий адрес: 117997, Москва, ГСП-7, ул. Профсоюзная, д. 86, ФГБУ «РНЦРР» МЗ РФ
Нуднов Николай Васильевич – д.м.н., профессор, заместитель директора по научной работе ФБГУ «Российский научный центр рентгенорадиологии» МЗ РФ, e - mail : nudnov @ rncrr . ru
Рабочий адрес: 119146, Москва, 2-я Фрунзенская ул, 4 , ФГБУ «Поликлиника №2» Управления делами Президента РФ
Николаева Марина Вячеславовна – врач ультразвуковой диагностики ФГБУ «Поликлиника №2» Управления делами Президента РФ, e - mail : nikolaevauzd @ yandex . ru
Контактное лицо:
Николаева Марина Вячеславовна, e - mail : nikolaevauzd @ yandex . ru
Целью данной работы является изучение признаков воспалительного процесса и их выраженности в различных отделах коленного сустава. Задачи заключаются в определении тенденций и выявлении закономерностей в различной выраженности воспалительных изменений структур коленного сустава в разных его отделах.
Материалы и методы исследования:
В первом разделе статьи представлен материал ультразвуковых исследований 108 пациентов с воспалительными изменениями коленного сустава. Описаны результаты измерений толщины синовиальной оболочки и гипоэхогенного слоя гиалинового хряща в различных отделах коленного сустава при различной степени выраженности воспалительного процесса в суставе.
Во втором разделе статьи на примере 308 пациентов с воспалительными изменениями коленного сустава изучены локализации выпота в различных отделах коленного сустава и представлена частота встречаемости выпота в различных отделах и сумках коленного сустава с определением их объемов.
Исследования проводились ультразвуковым методом с применением разных плоскостей, проекций и углов сканирования для наилучшей визуализации различных структур коленного сустава.
Результаты и выводы:
В результате проведенных исследований были сделаны выводы по выраженности изменений изучаемых структур коленного сустава в различных его отделах при воспалительных процессах разной степени тяжести. Определена частота локализации выпота в различных отделах коленного сустава и околосуставных сумках.
Ключевые слова: с иновиальная оболочка, гиалиновый хрящ, синовит, бурсит, супрапателлярная сумка, коленный сустав, выпот
Nudnov N.V. 1 , Nikolaeva M.V. 2
1 Federal State Budget Establishment Russian Scientific Center of Roentgen Radiology (RSCRR) of Ministry of Health and Social Development of Russian Federation, Moscow, 86, Profsouznaya Ulica, 117837, Moscow, Russia
2 Federal State Establishment «Polyclinic N2» of Department of Presidential Affairs, 4, 2-Frunzenskaya Ulica, 119146, Moscow , Russia
The objective of the research is investigation of signs of inflammatory process and degree of their expression in various segments of a knee joint. The task points of the research are identification of law and expression of changes of various structures of a knee joint at inflammatory process in various segments of a knee joint.
Research technique:
The results of ultrasound researches of 108 patients with inflammatory changes of separate structures of a knee joints are introduced in the first section of the article.
Results of measurement of the thickness of synovium in various segments of a knee joint are presented. Results of measurements of the thickness of a hypoechoic layer of a hyaline cartilage and various departments of a knee joints and changes of structure are presented at various comparative degree of expression of inflammatory process in a joint are presented.
The frequency of occurrence of an exudate in various segments and burses of a knee joint include volumes of exudates at 308 patients are presented in the second section of the article.
Researches were carried out by an ultrasound method with the application of various areas, projections and angles of scanning for the best visualization of various structures of a knee joint.
Changes of various structures of a knee joint depending on their dominating intensity in its various segments and primary distribution of an exudate in various segments of a knee joint and dependence of distribution of exudate volumes are summarized by researches.
Keywords: s ynovium, hyaline cartilage, synovitis, bursitis, bursal synovitis, suprapatellar bursa, knee joint, exudate
В настоящее время благодаря все более совершенствующимся методикам и возможностям ультразвуковое исследование суставов выходит на первый план в диагностике проявлений воспалительного процесса в суставах [10,11,22]. Широкими диагностическими возможностями ультразвуковое исследование обладает благодаря высокой разрешающей способности в визуализации костной и хрящевой тканей, мягкотканых и жидкостных структур, а также доступности и быстроте выполнения исследований [1,4,7,13]. Ряд авторов на примере своих работ доказывают высокую информативность и чувствительность ультразвукового метода в диагностике воспалительных и травматических изменений мягкотканых элементов сустава [15,16,17,23]. Ультразвуковое исследование высокочувствительно в обнаружении основного признака воспаления суставов: скопления выпота в полости сустава [10,11] и определяет уже минимальные превышения физиологического количества синовиальной жидкости в полости суставов [20]. Диагностика специфичных изменений синовиальной оболочки и гиалинового хряща, также являющиеся признаками воспалительного процесса в суставе доступна ограниченному кругу инструментальных методов исследования, в число которых входит ультразвуковое исследование [21,24].
Все воспалительные изменения в коленном суставе можно сгруппировать по признаку преимущественного поражения тканей, подверженных воспалению.
Выделяют воспалительные изменения с поражением преимущественно синовиальных структур: синовиты, бурситы, кисты Бейкера; преимущественно сухожильно-связочного аппарата: тендиниты, лигаментиты; преимущественно хрящевой ткани: волокнистого хряща – менисциты и кисты менисков; гиалинового хряща – воспалительное поражение при синовитах и артритах. Тотальное воспалительное поражение всех тканей с вовлечением фиброзной капсулы, костного контура и окружающих сустав мягких тканей объединяются термином «артрит» или «остеоартрит» [3,5,7,8,10,11,12,13,14].
Воспалительное поражение синовиальной оболочки складывается из следующих ультразвуковых признаков:
1. Скопление выпота в полости сустава. Выпот при синовите может иметь различную эхогенность: от анэхогенного до различных вариантов неоднородности.
2. Дифференциация синовиальной оболочки в виде ее неравномерного утолщения, расслоения, отека иногда локального повышения эхогенности.
3. Гипертрофия синовиальных ворсин.
Основными признаками воспалительного поражения гиалинового хряща, выявляемыми при синовитах и артритах, является отек и изменения структуры. Отек хряща проявляется в его диффузном утолщении, особенно четко выявляемом при сравнении с контрлатеральным суставом, если он интактен. Изменения структуры могут проявляться либо в виде равномерного повышения эхогенности, либо повышения эхогенности в поверхностных слоях в виде дополнительной полосы, шириной до 1- 2 мм , более высокой эхогенности, чем остальной гипоэхогенный слой. В воспалительный процесс, особенно при выраженных артритах может вовлекаться и гиперэхогенный слой гиалинового хряща. Сочетание воспалительных изменений синовиальных структур с воспалительными изменениями гиалинового хряща, а иногда и волокнистого являются характерными для синовита различной степени выраженности [3,5,7,8,10,11,12,13,14].
1. Изучить выраженность изменений синовиальной оболочки и гиалинового хряща в различных отделах коленного сустава при воспалительном процессе в суставе.
2. Определить тенденции и выявить закономерности изменений данных структур в зависимости от выраженности воспалительного процесса.
3 Определить частоту локализации выпота в различных отделах и околосуставных сумках коленного сустава.
4 Изучить объемы выпота в различных отделах и околосуставных сумках коленного сустава.
Данная статья состоит из двух разделов: в первом представлены результаты исследования воспалительных изменений различных структур коленного сустава в различных его отделах, во втором описаны результаты исследования частоты встречаемости воспалительного процесса в различных околосуставных сумках коленного сустава и изучены локализации выпота в различных отделах коленного сустава с определением объемов выпота. Соответственно разделам сформированы две группы пациентов. Из более чем 700 осмотренных пациентов с различными воспалительными процессами суставов для проведения анализа воспалительных изменений различных структур коленного сустава в различных его отделах была сформирована первая группа, которая состояла из 108 пациентов. Группа сформирована с учетом длительности заболевания и клинической активности воспалительного процесса без учета специфичности воспалительного процесса. Длительность заболевания пациентов данной группы составляла не более 1.5 месяца. Для проведения анализа частоты встречаемости воспалительного процесса в различных околосуставных сумках коленного сустава с определением локализаций и объемов выпота в различных отделах коленного сустава была сформирована группа из большего числа пациентов с учетом условия наличия воспалительного процесса в одном или нескольких околосуставных сумках коленного сустава. Вторая группа состояла из 308 пациентов с наличием выпота в различных отделах сустава и околосуставных сумках.
Воспалительные изменения синовиальной оболочки и гиалинового хряща в различных отделах коленного сустава были изучены на примере 108 пациентов в возрастной категории от 28 до 74 лет, из них 59 (55%) женщин и 49 (45%) мужчин. Исследования проводись во временном промежутке до 1,5 месяца с момента появления жалоб на боли в суставе при ходьбе и в покое, отек и «припухлость» мягких тканей сустава, покраснений и локального повышения температуры при отсутствии травм. Все исследования проводились на начальных этапах постановки клинического диагноза.
У всех 108 пациентов были выявлены признаки воспаления: наличие скопления выпота в полости сустава в различных объемах, изменения синовиальной оболочки в виде ее утолщения различной степени выраженности и изменения гиалинового хряща в виде изменения эхогенности и толщины гипоэхогенного слоя хряща.
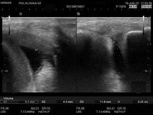
Изменения толщины синовиальной оболочки воспалительного генеза были подтверждены наличием выпота в полости сустава (Рис. 1, 2), как основного маркера воспаления сустава и усилением васкуляризации в режиме ЦДК и ЭК по сравнению с контрлатеральным одноименным суставом.

Рисунок. 1. Коленный сустав. Косая проекция выше надколенника по передней поверхности латерального мыщелка бедра Воспалительный выпот в небольшом объеме в полости сустава.

Рисунок. 2. Центральная часть полости коленного сустава. Косая проекция выше надколенника. Выпот в полости сустава однородной структуры в небольшом объеме в двух взаимно-перпендикулярных проекциях. Умеренно выраженное утолщение синовиальной оболочки, выстилающей полость сустава.
Толщина синовиальной оболочки изучалась на всем доступном для визуализации протяжении в различных отделах коленного сустава и ее измерения проводились в трех стандартных отделах. У каждого исследуемого пациента проводились измерения толщины синовиальной оболочки в определенных местах: в супрапателлярной сумке, в центральной части полости коленного сустава и в латеральном подсвязочном пространстве коленного сустава.
Измерения толщины гипоэхогенного слоя гиалинового хряща проводились в определенных отделах коленного сустава: по передней суставной поверхности медиального мыщелка бедренной кости, по задней суставной поверхности медиального мыщелка бедренной кости и по суставной поверхности пателлофеморального сочленения. Измерения гипоэхогенного слоя гиалинового хряща передней суставной поверхности медиального мыщелка бедренной кости проводились в сагиттальной плоскости по передней поверхности согнутого на 30 град. коленного сустава, строго перпендикулярно поверхности гиалинового хряща. Измерения задней суставной поверхности медиального мыщелка проводились по задней поверхности, выпрямленной в коленном суставе нижней конечности в сагиттальной плоскости строго перпендикулярно поверхности гиалинового хряща. Измерения суставной поверхности пателло-феморального сочленения проводились по передней поверхности согнутого на 30 град. коленного сустава, в горизонтальной плоскости, угол наклона датчика 10-15 град.
Частота локализации выпота в различных отделах коленного сустава и околосуставных сумках изолированно или в различных комбинациях изучалась на примере второй группы пациентов, состоящей из 308 пациентов с воспалительными заболеваниями коленного сустава. Данная группа состояла из 167 женщин и 141 мужчин в возрастной категории от 28 лет до 72 лет. Вычисления объема выпота проводились путем измерения трех сторон выпота в двух взаимноперпендикулярных плоскостях сканирования с применением функции « volume ».
Исследования проводились на аппаратах экспертного класса Hi Vision AVIUS (Hitachi) линейными датчиками с частотами 5-10 и 6-14 МГц и MINDRAY DС-7/М7 линейным датчиком L12-4 с частотой 3.0-13МГц.
В таблице 1 представлены результаты измерений толщины синовиальной оболочки в различных отделах коленного сустава 108 пациентов с длительностью течения воспалительного процесса в суставе не более 1,5 месяца. Градация толщины синовиальной оболочки в таблице составлена на основе трех степеней воспалительного процесса: незначительного, умеренного и выраженного. Воспалительные изменения синовиальной оболочки выражались в виде отклонений от нормативных значений в сторону увеличения толщины синовиальной оболочки. В результате полученных данных выявлено, что при воспалительном процессе коленного сустава степень изменений толщины синовиальной оболочки не равномерна в различных отделах одного и того же коленного сустава. Из таблицы видно, что максимальные значения толщины синовиальной оболочки определяются в супрапателлярной сумке (рис. 5). Меньшие значения толщины синовиальной оболочки определяются в латеральном подсвязочном пространстве коленного сустава (рис. 3,4). В центральной части полости коленного сустава изменения толщины синовиальной оболочки значительно менее выражены по сравнению с двумя предыдущими отделами (рис. 2). При различных степенях выраженности воспалительного процесса, основанной на клинических проявлениях, неравномерность изменений толщины синовиальной оболочки в различных отделах коленного сустава сохраняется c различной степенью выраженности изменений синовиальной оболочки. В данном случае выраженность воспалительного процесса в суставе влияет на степень изменения толщины синовиальной оболочки в различных отделах сустава. Например, при незначительном воспалительном процессе в коленном суставе толщина синовиальной оболочки, выстилающей полость супрапателлярной сумки, изменяется до 4 мм , синовиальная оболочка латерального подсвязочного пространства реагирует незначительно, а синовиальная оболочка центральной части сустава может иметь нормативные значения. При выраженном воспалительном процессе прослеживается та же последовательность выраженности изменений толщины синовиальной оболочки в изучаемых отделах. При выраженном воспалительном процессе толщина синовиальной оболочки супрапателлярной сумки более 6 мм , толщина синовиальной оболочки латерального подсвязочного пространства от 4 мм до 6 мм , толщина синовиальной оболочки центральной части сустава до 4 мм . Это доказывает неравномерность изменений толщины синовиальной оболочки в различных отделах сустава при различной степени выраженности воспалительного процесса. При ультразвуковом определении степени выраженности воспалительного процесса в суставе, основанном на изменениях синовиальной оболочки , нужно учитывать изменения синовиальной оболочки во всех отделах коленного сустава.
В отечественной и зарубежной литературе имеются данные исследований, посвященные изучению изменений толщины синовиальной оболочки при различных воспалительных процессах суставов [6,12,15,16,18,22,23,24]. Однако в большинстве из них представлены результаты измерений толщины синовиальной оболочки только в одном из отделов коленного сустава – чаще всего в супрапателлярной сумке, что не всегда отражает распространенность воспалительного процесса.
Таблица 1. Толщина синовиальной оболочки в различных отделах коленного сустава при воспалительном процессе.
Синовит коленного сустава: причины, симптомы и лечение
Синовит коленного сустава – это заболевание, которое сопровождается воспалением синовиальной оболочки с образованием в ней выпота или экссудата (жидкости, накапливающаяся в тканях или полостях при воспалении). Нередко заболевание может развиться на фоне бурсита. В большинстве случаев основная причина заболевания – травма. Так же синовит может развиться на фоне таких заболеваний как: ревматоидный артрит, подагрический артрит и другие.

На фото показан синовит правого коленного сустава
Причины возникновения синовита коленного сустава
Травматические синовиты, которые встречаются чаще всего, являются реакцией на какое-либо внутрисуставное повреждение. Как правило, травматический синовит возникает в результате значительного разрушения тканей. Синовиальная оболочка реагирует образованием выпота в коленный сустав. Синовит может возникнуть без видимой травмы, как результат раздражения синовиальной оболочки перемещающимся суставным телом, оторванным мениском, поврежденным суставным хрящом или вследствие нестабильности сустава из-за недостаточности связочного аппарата или статических деформаций.
При остром травматическом синовите, в отличие от гемартроза, сустав увеличивается в объеме в течение нескольких часов или суток. Для него характерны:
- отсутствие напряжения;
- высокая местная температура параартикулярных тканей;
- баллотирование надколенника;
- затрудненность и болезненность движений.
Чем опасен синовит коленного сустава?
Часто рецидивирующие синовиты переходят в хронические формы, при которых вследствие постоянного давления на синовиальную оболочку развиваются гипотрофия и фиброз, что в свою очередь нарушает отток и всасывательную способность синовиальной оболочки. Образуется порочный круг, усугубляющий синовит и развитие дегенеративно-дистрофических процессов в суставе.
Симптомы синовита коленных суставов
Симптомы появляются постепенно, в течение нескольких часов или даже суток после травмы. Первым признаком будет увеличение сустава в объеме. Жидкость как бы распирает внутрисуставные структуры, деформирует контуры колена, затрудняет движение. Ограничение двигательной функции — второй симптом, который далеко не всегда сопровождается болевым синдромом. Тем не менее, боль все же характерна для данной патологии, но она не резкая, а тупая, средней интенсивности.
Диагностика синовита колена
На осмотре, врач определяет увеличение сустава в объеме при отсутствии воспалительных проявлений на кожных покровах — кожа не гиперемирована, температура не повышена. Для уточнения диагноза наибольшее значение имеет пункция сустава: иглу вводят в суставную полость и забирают часть экссудата. Его исследуют на предмет прозрачности, содержания белка и кровяных телец, проводят посев на микроорганизмы.
Как лечить синовит коленного сустава?
При затяжных формах хронического синовита и безуспешности консервативного лечения показано оперативное лечение с помощью артроскопических технологий: частичная, субтотальная или тотальная синовэктомия.
Читайте также:
