Сонная активация при эпилепсии. Депривация сна при эпилепсии
Добавил пользователь Владимир З. Обновлено: 08.11.2025
ФГБУ «Санкт-Петербургский научно-исследовательский психоневрологический институт имени В.М. Бехтерева», Санкт-Петербург, Россия;
ФГБУ ВО «Северо-Западный государственный медицинский университет им. И.И. Мечникова», Санкт-Петербург, Россия
Кафедра нервных болезней Военно-медицинской академии им. С.М. Кирова, Санкт-Петербург
ФГБВОУ ВО «Военно-медицинская академия им. С.М. Кирова», Санкт-Петербург, Россия
Военно-медицинская академия, Санкт-Петербург
Значение депривации сна в развитии локально обусловленной эпилепсии с позиций концепции нейропластичности
Журнал: Журнал неврологии и психиатрии им. С.С. Корсакова. 2016;116(7): 59‑65
Многочисленные исследования состояния здоровья людей в результате экзо- и эндогенных воздействий показали, что экстремальные факторы способны вызывать характерные соматические и психоневрологические расстройства с нарушением цикла «сон-бодрствование» 2. В частности, у здоровых при длительной депривации сна (ДС) выявляются преходящие неврологические расстройства (горизонтальный нистагм, тремор, птоз, дизартрия, адиадохокинез), а на ЭЭГ отмечается замедление фоновой ритмики с появлением эпилептиформной активности [5]. Также показано, что в первые 3 сут ДС приводит к эмоциональной лабильности, снижению внимания, памяти, нарастающей усталости, нарушению зрения, снижению двигательной активности, сочетающейся с двигательной избыточностью при выполнении заданий и возникновению эпилептических приступов [6].
Цель работы - изучение неврологических и электрофизиологических проявлений ДС у пациентов с локально обусловленными симптоматическими формами эпилепсии (ЛОЭ) и у здоровых, а также исследование нейроморфологических паттернов ДС в экспериментальных условиях.
Материал и методы
Экспериментальные исследования ДС проводили на 103 беспородных белых крысах-самцах массой тела 200-320 г в возрасте 2,5-3 мес. Лабораторных животных содержали в условиях стационарного вивария при световом режиме, приравненном к дневному освещению, и на стандартном пищевом рационе. ДС у крыс создавали, используя методику малых площадок с изменениями по Н.Н. Заболотскому [3], обеспечивающими состояние вынужденного активного бодрствования в течение 48 ч. Интактные животные не подвергались ДС, а содержались в обычных условиях вивария. Под эфирным наркозом животных декапитировали и извлекали головной мозг, из которого для морфологического исследования брали участки сенсомоторной области коры больших полушарий, гипоталамуса, ствола и мозжечка. Материал для световой микроскопии обрабатывали по нейрогистологическим методикам с применением окрасок: гематоксилина и эозина, методов Ниссля, Ван-Гизона и Маллори. Для электронно-микроскопического исследования (ЭМИ) брали материал из тех же участков головного мозга и подготавливали по общепринятым методикам [11], после чего изготавливали ультратонкие срезы, которые изучали и фотографировали в электронном микроскопе JEM-100 CX; всего было проанализировано более 300 электронограмм.
Статистическая обработка результатов проводилась с использованием пакета прикладных программ Statistica for Windows в соответствии с международными рекомендациями по обработке результатов медико-биологических исследований. Результаты обрабатывали при помощи методов многофакторного статистического анализа, который проводился как по отдельно взятым основным характеристикам различных форм ЛОЭ, так и по их совокупности с целью выявления корреляционных связей анализируемых характеристик ДС и частотой развития эпилепсии. Все количественные результаты морфологических исследований и ЭМИ были обработаны методами вариационной статистики, при этом вычисляли среднее арифметическое значение (Х), величину среднего квадратического отклонения (s), ошибку средней (m). Достоверность различий между средними выборочными значениями вычисляли в виде значения t-критерия Стьюдента. Расчетные значения сопоставляли с табличными данными определенной в контрольной группе нормы. Различие расценивалось как достоверное при уровне значимости р
Результаты
Обследованные пациенты с ЛОЭ после ДС в течение не менее 24 ч, в отличие от здоровых и пациентов с ЛОЭ без ДС, предъявляли жалобы на головную боль различной локализации, головокружение, сонливость, предчувствие возникновения эпилептического приступа, нарушение концентрации внимания, двоение в глазах, повышенную раздражительность и утомляемость, ощущение внутренней дрожи, учащение или замедление сердцебиения, одышку, колебания настроения, вплоть до витального страха, двигательное беспокойство. Ядро клинической картины всех обследованных больных ЛОЭ составляло наличие простых и сложных парциальных эпилептических приступов без вторичной генерализации, с вторичной генерализацией и развитием вторично-генерализованных судорожных тонико-клонических эпилептических приступов. У 136 (76,4%) пациентов с ЛОЭ клиническая картина заболевания до ДС была представлена двумя или тремя типами приступов, и только у 42 (23,6%) больных она состояла из одного типа приступов.
При неврологическом осмотре у большинства обследованных с симптоматическими формами ЛОЭ до ДС (142 из 178 пациентов) помимо эпилептического синдрома был выявлен ряд других неврологических нарушений. Частота выявления неврологической симптоматики в группе больных ЛОЭ до ДС составила 80,0% и чаще всего была представлена вегетативным (18,5%), очаговым (18,0%), ликвординамическим (17,4%), астеническим (17,2%) и психоорганическим (8,9%) синдромами. У пациентов с ЛОЭ после ДС частота вегетативного, очагового, астенического и психоорганического синдромов выросла на 23,1, 17,6, 48,8 и 14,6% соответственно. Таким образом, обнаруженная до ДС неврологическая симптоматика у больных симптоматическими формами ЛОЭ являлась этиологическим отражением перенесенных ранее травмы мозга, инсульта и нейроинфекций, повлекших за собой возникновение эпилептических приступов, а нарастание неврологического дефицита после ДС может рассматриваться как один из предикторов дальнейшего развития патологического (эпилептический) процесса и учащения приступов.
С целью анализа фоновой БЭА ГМ была использована классификация Е.А. Жирмунской, которая позволила определить качественный уровень ЭЭГ-нарушений. Анализ результатов ВЭМ у больных ЛОЭ, проведенного до и после ДС, у 10,8 и 32,6% больных выявил очень грубые изменения, у 28,5 и 39,7% - грубые, у 23,2 и 25,4% - изменения БЭА ГМ (рис. 1 и 2). Умеренные и лёгкие нарушения БЭА ГМ у больных ЛОЭ до ДС и после нее наблюдались достоверно реже - в 10,8 и 2,3% случаев (p<0,05).

Рис. 1. Больной С., 22 года. Локально обусловленная лобная симптоматическая (посттравматическая) эпилепсия с частыми парциальными моторными (соматомоторные в левой руке) и вторично-генерализованными тонико-клоническими эпилептическими приступами. При ЭЭГ до ДС на фоне значительных диффузных нарушений определялся очаг эпилептиформной активности в глубинных отделах правой лобной доли с тенденцией к билатеральной синхронизации.

Рис. 2. Тот же больной спустя 3 мес. Во время записи ЭЭГ после ДС развился вторично-генерализованный тонико-клонический эпилептический приступ.
При ВЭМ у больных ЛОЭ выраженные и умеренно выраженные локальные нарушения преимущественно в височных и лобно-височных отделах ГМ с регистрацией нестойких разрядов эпилептиформной активности до ДС регистрировались у 62,5% больных, тогда как после ДС эти изменения были зафиксированы у 97,7% больных. Несмотря на то что до ДС локальная эпилептиформная активность в виде одного стойкого очага отмечалась у 33,4% обследованных, а более одного очага выявлялась у 28% больных, после ДС эти показатели изменялись недостоверно, составляя 35,6 и 29,4% соответственно (p>0,05). Таким образом, несмотря на отсутствие явной связи между приведенными выше показателями эпилептиформной активности, полученные нами данные свидетельствуют о наметившихся тенденциях негативного развития эпилептического процесса на фоне ДС.
За время проведения ВЭМ до ДС у 2 из 178 обследованных с ЛОЭ были зафиксированы эпилептические приступы, а после ДС - у 11 больных. Помимо этого 29 пациентов ретроспективно сообщили об увеличении частоты приступов в течение 1-2 нед после Д.С. Динамика ЭЭГ в контрольной группе на фоне ДС также характеризовалась значительным нарастанием патологических изменений ЭЭГ вплоть до появления единичных эпилептиформных разрядов.
В экспериментальных исследованиях у абсолютного большинства подопытных крыс после ДС в течение 48 ч в отличие от крыс контрольной группы, не подвергавшихся ДС, регистрировали общемозговые симптомы и такие двигательные нарушения, как тремор конечностей и всего туловища, динамическую и статическую атаксию, гиперкинезы, судорожные тонико-клонические эпилептические приступы, парезы (паралич) конечностей. Выраженность неврологических нарушений находилась в прямой зависимости от длительности ДС; неврологическая симптоматика отсутствовала в контрольной группе и нарастала к концу эксперимента.
При гистологическом исследовании сенсомоторной коры (СМК) головного мозга, гипоталамической области, ствола мозга и мозжечка крыс контрольной группы на светооптическом уровне не было обнаружено каких-либо заметных нарушений в структуре и расположении нервных клеток и глиоцитов. При ЭМИ области СМК и коры мозжечка интактных крыс ультраструктурных изменений в нервных и глиальных клетках, а также в окружающей их ткани мозга не установлено.

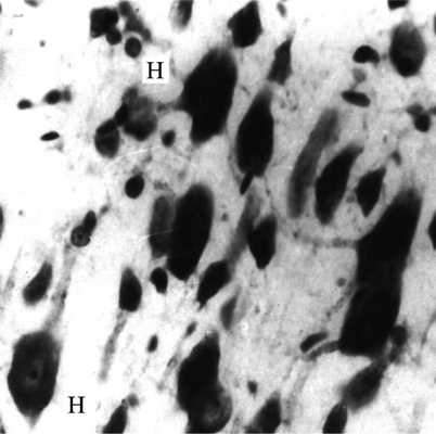
Рис. 3. СМК крысы после ДС (световая микроскопия). Нейроны в состоянии набухания (Н). Окраска по методу Ниссля. Ув. 250.

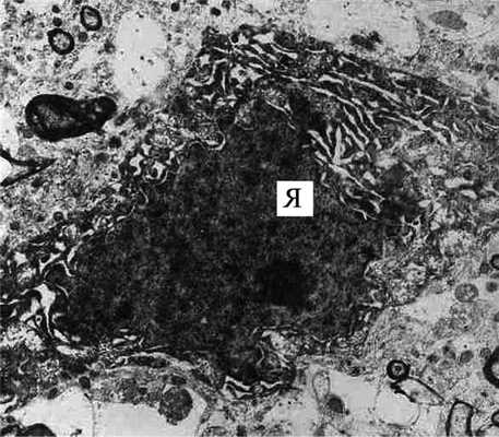
Рис. 4. СМК крысы после ДС. ЭР - свободные эритроциты в ткани мозга, окруженные миелиновыми волокнами (МВ) с выраженной миелино- и аксонопатией. Справа - нейрон с ядром (Я) в состоянии кариорексиса. Ув. 8000.
Как в проксимальных, так и в дистальных частях безмиелиновых волокон мозжечка находили фокальную плейоконию митохондрий, а в СМК и в мозжечке было выявлено большое число синапсов с уменьшенным количеством везикул и их агглютинацией, а также изменения в структуре зоны синаптического контакта. После Д.С. обнаружены изменения в структуре обоих типов глиоцитов. В частности, в ядре олигодендроцитов имелись нетипично плотные скопления хроматина. Как в астроцитах, так и в олигодендроцитах признаки клеточного истощения выражались в просветлении цитоплазмы, содержавшей крупные плотные лизосомы и весьма небольшой набор остальных органоидов с измененной структурой. При сохранении структуры базальной мембраны сосудов нарушения ГЭБ проявлялись в виде умеренного периваскулярного отека вследствие набухания прилежащих к сосудам отростков астроцитов.

Рис. 5. Пикнотизированный нейрон из СХЯ. Здесь и на рис. 6: Я - ядро. Ув. 3000.

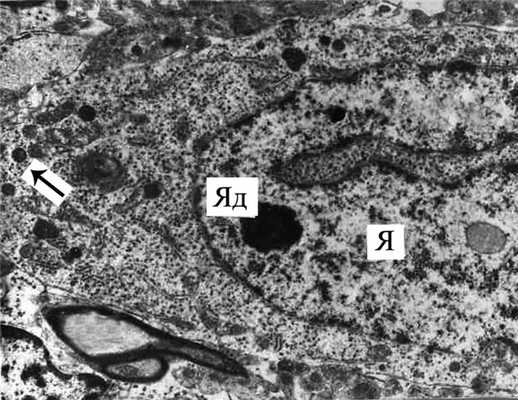
Рис. 6. Крупная нейросекреторная клетка из СОЯ. Яд - ядрышко, стрелкой обозначены нейросекреторные гранулы. Ув. 3000.
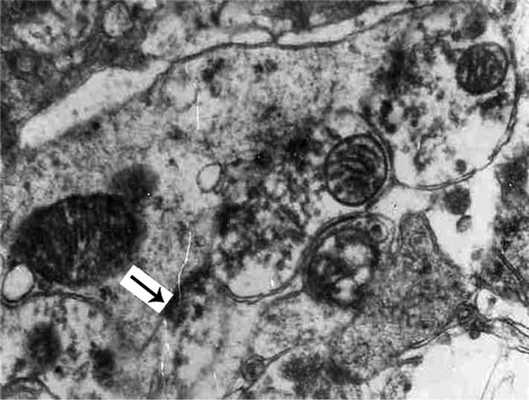
Кроме ультраструктурных изменений нейронов, глиоцитов и миелиновых волокон как в СХЯ, так и в СОЯ были обнаружены отчетливые нарушения архитектоники синаптических контактов, которые выражались в повышении прозрачности аксонов, резком уплотнении синаптической щели и везикул, а также в нарушении структуры митохондрий (рис. 7 и 8).

Рис. 7. Аксодендритические синапсы СХЯ (стрелки). Ув. 20 000.

Рис. 8. Аксодендритический (стрелка) и дендродендритический синапсы СОЯ. Ув. 20 000.
Изучение цикла сон-бодрствование имеет большое теоретическое и практическое значение, поскольку позволяет понять общие закономерности адаптационно-приспособительных механизмов взаимодействия человека с окружающей средой (нейропластичность), нарушения которых лежат в основе возникновения многих заболеваний ЦНС, в том числе и эпилепсии [2, 3, 12]. Так, в неврологическом статусе обследованных нами здоровых при длительной ДС обнаружены преходящие неврологические расстройства, а на ЭЭГ отмечается замедление фоновой ритмики с появлением эпилептиформной активности, что согласуется с данными других авторов [13, 14]. Кроме того, показано, что ДС усиливает эпилептиформную активность в виде появления фокальных спайков у больных эпилепсией, что совпадает с полученными нами данными по негативной ЭЭГ-динамике после ДС [5]. Проведенный анализ результатов ВЭМ у больных ЛОЭ после ДС выявил существенный рост нарушений БЭА ГМ в виде очень грубых, грубых и значительных. Кроме того, частота эпилептических приступов у обследованных пациентов с ЛОЭ после ДС возросла более чем в 5 раз (р<0,05).
Известно, что ткань коры больших полушарий отличается от ткани ствола мозга более высокой интенсивностью метаболизма и активностью окислительных ферментов. Очевидно, поэтому наиболее ранние и выраженные структурные изменения митохондрий обнаруживались нами в СМК, что согласуется с данными других авторов [17, 18]. Митохондриальные плейокония и мегакония являются структурным эквивалентом функционального напряжения клеток при воздействии экстремальных факторов и могут рассматриваться как нейропластические реакции, свидетельствующие о включении физиологических компенсаторных механизмов, обеспечивающих восстановление нарушенного гомеостаза ценой повышенных энергетических затрат [2, 3, 19, 20].
Таким образом, на основании результатов нашего клинико-экспериментального исследования становится очевидным, что ДС является действенным патогенным фактором для ЦНС, который у животных вызывает ярко-выраженные патоморфологические изменения нейронов и нейроглии, свидетельствующие о масштабной дезинтеграции нейропластичности. В связи с этим длительная ДС у пациентов с симптоматическими формами ЛОЭ может инициировать прогрессирование основного заболевания (нарастание клинико-электроэнцефалографических расстройств у больных), а у здоровых может рассматриваться в качестве причины возникновения эпилептического процесса. Кроме этого, полученные данные существенно дополняют современные представления о механизмах нейропластичности и патогенеза эпилепсии, а также обосновывают необходимость исследования терапевтической эффективности модуляторов нейропластичности (транскраниальная магнитная стимуляция, нейромидин и др.) в комплексном лечении больных указанного профиля.
Сонная активация при эпилепсии. Депривация сна при эпилепсии
F. A. Gibbs л Е. L. Gibbs в 1946 г. обратили внимание на то, что эпилептическая активность у больных эпилепсией во время сна регистрируется в 2 раза чаще, чем при бодрствовании. После открытия в 1953 г. быстрого сна этот факт привлек особое внимание. Было установлено, что изменения происходят главным образом во второй фазе медлеиновол-нового она — стадии таламокортикального рекрутирования.
В дельта сне если и происходит повышение эпилептической активности, то последняя «забивается» дельта-активностью н не может быть выявлена. Особенно эффективно исследование биоэлектрической активности головного мозга во время ночного сна для обнаружения эпилептических феноменов, отсутствующих в случае обычной регистрации ЭЭГ при ВЭ.
Несмотря на высокую частоту выявления эпилептической активности во время ночного сна с помощью полиграфической записи, этот метод ие может найти массового применения из-за трудоемкости и значительных материальных затрат. Для практических целей более пригоден метод депрнвации сна.

Депривация сна
Как и ночной сон, депривация сна повышает прежде всего билатерально-синхронную эпилептическую активность; следовательно, этот метод наиболее результативен при ПГЭ. Однако если учесть, что у больных с ПГЭ процент выявляемости эпилептической активности при банальном электроэнцефалографическом исследовании наиболее высок, то реальное практическое значение депривации сна приобретает при исследовании больных парциальной эпилепсией.
Результаты наших полиграфических исследований показывают, что важным фактором, влияющим на конечный результат (степень выявляемости эпилептической активности), следует считать функциональное состояние мозга. Эпилептическая активность в большинстве случаев выявляется у тех больных, у которых во время исследования регистрируются поверхностные стадии фазы медленного сна.
Перед депривацией сна и во время нее запрещается употребление тонизирующих напитков. Регистрацию ЭЭГ проводят в течение 60— 90 мин, а затем применяют фотостимуляцию н гипервентиляцию. ДС сопровождается изменением самочувствия больных: ощущением слабости, тяжести в голове, головной болью. Очаговая неврологическая симптоматика после ДС обычно выявляется более четко. У 6,3% обследованных нами больных ДС вызывала эпилептические приладки.
Наибольший интерес представляет влияние депривации сна на фокальную эпилептическую активность. У 31,1% больных с судорожными припадками, которые трактовались как первично-генерализованные, депривация сна приводила к обнаружению на ЭЭГ фокуса эпилептической активности. У 52,6% больных, у которых судорожные припадки расценивались как вторично-генерализованные, ДС способствовала выявлению или усилению эпилептического фокуса, и только у 10,5% больных обнаруженный ранее очаг эпилептической активности не удавалось определить.
Сон как причина эпилепсии. Пароксизмальные нарушения в детском возрасте при эпилепсии
В то же время почти у 100% больных выявлена вегетативно-сосудистая дисфункция, наличие которой свидетельствует о недостаточности интегративных церебральных механизмов. Обращает иа себя внимание то, что почти у половины больных отмечались нарушения сна, а у 1/3 — генерализованные неспецифические изменения на ЭЭГ.
Так, у больных с эпилепсией бодрствования преобладал гиперсннхронный тип ЭЭГ—необычное зональное распределение альфа-ритма, т. е. выраженность его и в передних отделах мозга, увеличение амплитуды н замедление ритма до нижних границ нормы. Это со всей очевидностью указывает на недостаточность активирующих влияний, что при наличии эпнлептогеииого поражения способствует формированию как эпилептического очага, так и эпилептической системы.
У больных эпилепсией сна в бодрствовании чаще наблюдался активированный тип ЭЭГ («плоская» ЭЭГ), что, видимо, затрудняло возникновение генерализованных припадков в этом функциональном состоянии.
Указанные изменения не могут быть следствием уже возникшей эпилепсии, поскольку обследовались больные, перенесшие всего несколько припадков. Результаты этой серии исследований дают основание утверждать, что важным фактором риска развития эпилепсии при наличии эпилептогенного поражения является изменение функционального состояния мозга—недостаточность активационных механизмов бодрствования или сна.
В связи с этим становится понятным, что возникновению первого или первых эпилептических припадков способствует срыв системы антиэпилептической зашиты под воздействием таких неблагоприятных влияний, как депривация сна, испуг (последнее нередко у детей), алкоголизация, а также других факторов, изменяющих функциональное состояние мозга.

Пароксизмальные нарушения в детском возрасте при эпилепсии
Пароксизмальные состояния в детском возрасте и прежде всего детские судороги могут быть фактором риска возникновения эпилепсии.
Проблема эта актуальна хотя бы потому, что судороги детского возраста, встречающиеся достаточно часто, всегда представляют большие диагностические сложности. Однако значимость указанной патологии этим не исчерпывается. Важнейшими ее аспектами являются потенциальное повреждающее воздействие на мозг я больший, чем в популяции, риск развития эпилепсии.
Как известно, судорожные припадки могут способствовать повреждению мозга в любом возрасте, однако у детей риск повреждающего действия судорог на мозг значительно возрастает. Это связано с большей потребностью детского мозга в энергетическом субстрате и кислороде, еще более возрастающей при повышении температуры тела.
Что касается риска развития эпилепсии, то имеются данные о накопленни в семьях больных эпилепсией детских судорог, а в семье страдающих детскими судорогами — эпилепсии. А. В. Утин (1982) в специальном обследовании убедительно показал, что у больных эпилепсией детские судороги наблюдаются в 9 раз чаще, а у родственников больных эпилепсией — в 2 раза чаще, чем в контрольной группе.
Судороги новорожденных. М. Dam и С. Kierboe (1982) определяют судороги новорожденных как вторично генерализованные пароксизмы первых месяцев жизии.
Семиология подобных судорог крайне разнообразна. Фактически они могут быть не только вторично генерализованными, но фокальными тоническими или клоническими. Степень выраженности судорожного компонента пароксизма также различна (судороги, жевательные и сосательные движения, апиоэ с легким тремором, тоническая девиация глазных яблок н др.).
Судороги новорожденных могут быть следствием перинатального поражения мозга, инфекционного (например, септического), соматической патологии, метаболических нарушений.
J. К. Brown (1982) указывает на следующие причины припадков в первые 4—8 ч жизни: гипоксию (асфиксия, родовая травма, внутричерепное кровоизлияние), водную интоксикацию, нормофосфатемическую гипокальциемию, витамин B6-зависимость, гипонатрнемию. Причинами припадков в конце 1-й недели являются гипокальциемия (гиперфосфатемия), гипомагнезиемия, инфекции (менингит, септикопнемия, энцефалит, краснуха, токсоплазмоз, простой герпес и др.), генетические факторы (семейные неонатальные припадки, туберозный склероз, трисомия 13/15, эктодермальные дисплазии, болезнь Альперса), метаболические нарушения (гипераммонемия, гипернатриемия, аминацидурия, ядерная желтуха, галактоземия).
Методы активации эпилептических приступов. Фотостимуляция при эпилепсии
Выявляемость эпилептической активности на ЭЭГ увеличивается при использовании определенных методических приемов. Наиболее часто применяются фотостимуляция, гипервентиляция, темновая адаптация, ночной сон и депривация сна. Используются также методы фармакологической активации.
Ритмическая фотостимуляция (т. е. предъявление дискретных световых раздражений большой интенсивности в ритме 4—50 в секунду) может вызывать появление или усиление эпилептических феноменов на ЭЭГ. Этот факт впервые установил W. G. Walter в 1946 г.
В настоящее время ритмическая световая стимуляция является облнгатным методом обследования больных эпилепсией. Наиболее эффективная частота световых мельканий 10—20 в секунду.
Среди больных эпилепсией различают две категории лиц, характеризующихся повышенной чувствительностью к световой стимуляции: больных фотосенситивной эпилепсией и эпилепсией с фотосенситивностью.

Эпилепсия с фотосенситивностью — это эпилепсия, при которой ритмическая световая стимуляция вызывает на ЭЭГ аномальную биоэлектрическую активность, что в ряде случаев может привести к возникновению эпилептического припадка. Представляет известный интерес то обстоятельство, что фотосенситивность существенно уменьшается при моноиуклеарной фотостимуляции.
В других случаях ритмические световые раздражения могут вызывать ответы только в проекционной зрительной коре в виде билатерально-синхронной дельта-активностн или затылочных спайков. Наконец, на ЭЭГ могут регистрироваться мышечные ответы — синхронные с вспышками света колебания, возникающие вследствие сокращения мышц головы и шеи (фотомиоклонический ответ). Специфическим является только фотоконвульсивный ответ.
Он описывается как высоковольтные множественные пики и волны или комплексы пик — волна в лобных отведениях обоих полушарий. Как отметили в свое время W. Penfield и Н. Jasper (1954), фотоконвульснвный ответ нередко генерализован, но амплитуда ответа максимальна в лобно-центральных отведениях.
Гипервентиляция (ГВ) использовалась в клинике как метод провокации эпилептических припадков еще в доэлектроэнцефалографический период. В настоящее время она является обязательным компонентом электроэнцефалографического исследования. Обычно применяется глубокое дыхание гиперпноэ) в течение 3 мни.
У всех людей реакцией на гипервентиляцию является синхронизация биоэлектрической активности — замедление и возрастание амплитуды альфа-ритма. Для детей особенно характерно появление высокоамплитудиых билатерально-синхронных медленных волн (3—6 в секунду). Иногда они могут возникать н в юношеском возрасте. При эпилепсии ГВ часто вызывает появление или нарастание эпилептической активности, в особенности при ПГЭ.
отдел патологии вегетативной нервной системы НИЦ Московской медицинской академии им. И.М. Сеченова
Отдел патологии вегетативной нервной системы научно-исследовательского центра Первого МГМУ им. И.М. Сеченова
Расстройства сна при эпилепсии
Журнал: Журнал неврологии и психиатрии им. С.С. Корсакова. 2014;114(5): 100‑103
Котова О.В., Акарачкова Е.С. Расстройства сна при эпилепсии. Журнал неврологии и психиатрии им. С.С. Корсакова. 2014;114(5):100‑103.
Kotova OV, Akarachkova ES. Sleep disorders in epilepsy. Zhurnal Nevrologii i Psikhiatrii imeni S.S. Korsakova. 2014;114(5):100‑103. (In Russ.).
В кратком обзоре литературы обобщены исследования, касающиеся нарушений сна при эпилепсии, за последние два десятилетия. Было показано, что нарушать сон при эпилепсии могут пароксизмальные феномены эпилептической природы, неэпилептические пароксизмы, противоэпилептические препараты (ПЭП), полипрагмазия, а также наличие коморбидной эпилепсии депрессии. Поскольку как у здоровых людей, так и у пациентов с эпилепсией сон играет важную роль в регуляции процессов возбуждения и торможения в коре головного мозга, укорочение сна может вызывать судороги, галлюцинации и депрессию. В современной литературе констатируется, что при лечении больных эпилепсией с инсомнией следует использовать как лекарственные средства (применение короткими курсами снотворных препаратов), так и нелекарственные методы.
Хорошее качество сна является крайне важным компонентом общего здоровья пациента с эпилепсией, но, к сожалению, оно часто упускается из виду. Между тем пациенты с эпилепсией часто жалуются на сонливость в дневное время и плохой сон [1].
В подтверждение сказанного приведем одно из последних эпидемиологических исследований [2], в котором была установлена высокая распространенность расстройств сна при эпилепсии. Это было контролируемое перекрестное исследование, в котором участвовало 150 амбулаторных неврологических центров. В исследование включали пациентов в возрасте от 18 до 55 лет. С начала заболевания они получали 2 противоэпилептических препарата (ПЭП). Выборка включала 237 пациентов с нерезистентной фокальной эпилепсией (1-я группа) и 264 пациента с резистентной формой фокальной эпилепсии (2-я группа). У пациентов 1-й группы в 22% случаев, 2-й группы в 45% были выявлены расстройства сна (р<0,0001).
У больных резистентной эпилепсией было более низкое качество жизни (по QOLIE-10) по сравнению с пациентами 1-й группы (р<0,001). Кроме того, была отмечена положительная достоверная корреляция между качеством жизни и качеством сна.
В работе E. Louis [3] было установлено, что сон играет двоякую роль по отношению к эпилепсии. С одной стороны, некоторые фазы сна являются антиэпилептическими - в большинстве случаев это δ-сон и фаза быстрого сна, с другой стороны, 2-я стадия фазы медленного сна может провоцировать эпилептическую активность. Эти данные, по мнению автора, следует интерпретировать с учетом того, что у здорового человека последняя из стадий представляет собой своего рода набор пароксизмальных элементов: вертексные острые потенциалы, позитивные затылочные острые волны сна (λ-волны сна), К-комплексы и др.
Нами ранее [4] при полисомнографическом исследовании у больных эпилепсией сна были выявлены увеличение общей длительности сна и представленности в его структуре 2-й стадии, увеличение количества «сонных веретен» и их бо`льшая синхронизация (амплитуда, длительность) по сравнению с больными эпилепсией бодрствования. Было установлено, что структура сна больных эпилепсией бодрствования отличается увеличением представленности δ-сна и уменьшением в его структуре частоты спонтанных активационных сдвигов. При качественном анализе δ-сна была выявлена бо`льшая синхронизация δ-ритма (δ-индекс, амплитуда) у этой группы больных. Обнаружены характерные особенности функционирования неспецифических систем мозга при эпилепсии сна и бодрствования. При эпилепсии бодрствования отмечена также недостаточность активирующих влияний, проявляющаяся во всех функциональных состояниях: и в бодрствовании, и во сне. У больных эпилепсией сна отмечается усиление таламокортикальной синхронизации во время сна. Помимо нейрофизиологических были выявлены и некоторые клинические особенности эпилептических приступов в аспекте состояний сна бодрствования. Было отмечено, что эпилепсия бодрствования чаще характеризуется левополушарным расположением эпилептического очага, идиопатическими генерализованными формами эпилепсии и двигательными феноменами в приступе; эпилепсия сна проявляется чаще парциально-генерализованными приступами, в приступе отмечаются сенсорные феномены, и очаг расположен преимущественно в правом полушарии. При возникающих во сне приступах прогноз заболевания более благоприятен в случае генерализованных тонико-клонических приступов по сравнению с парциальными.
Что касается эпилепсии бодрствования, то в этих случаях она одинаково часто встречается у мальчиков и девочек, тогда как эпилепсия сна-бодрствования (асинхронные приступы) в 1,5 раза чаще возникает у мужчин.
В современной литературе различают 4 основных типа эпилептических приступов, наиболее часто встречающихся во время сна: 1) генерализованные тонико-клонические; 2) комплексно-парциальные с началом из лобной доли; 3) комплексно-парциальные с началом из височной доли; 4) тонические.
Установлено 7, что нарушать сон могут пароксизмальные феномены не только эпилептической природы, но и возникающие во сне неэпилептические пароксизмы. К последним можно отнести парасомнии, ночной миоклонус, двигательные нарушения - периодические движения ног во сне и бруксизм, сноговорение, ночной энурез. Нельзя исключать также влияния ПЭП.
ПЭП и эпилептические приступы могут воздействовать на архитектуру сна, что ведет к его нарушениям и дневной сонливости. M. Sammaritano и A. Sherwin [8] указывают, что некоторые ПЭП могут оказывать пагубное влияние на сон. К таковым относятся бензодиазепины, барбитураты, фенитоин; а другие, например габапентин, напротив, способны улучшать сон. Все ПЭП «старой» генерации и некоторые «новые» ПЭП могут оказывать существенное модулирующие влияние на физиологию сна. Большинство «старых» ПЭП редуцируют REM- и медленноволновой сон, увеличивая долю фаз 1 и 2 NREM-сна. G. Gigli и соавт. [9] установили, что карбамазепин сразу после применения временно снижает фазу быстрого сна, но в дальнейшем мало влияет на архитектуру сна. По N. Foldvary и соавт. [10], ламотриджин редуцирует медленноволновой сон, одновременно увеличивая 2-ю фазу сна и REM-периоды без существенных субъективных признаков инсомнии.
Если страдающий эпилепсией пациент нуждается в политерапии ПЭП, то, как правило, в этом случае имеет место фармакорезистентная форма заболевания. Это подтверждают данные ряда исследований [11, 12], в которых было установлено, что степень тяжести инсомнии имеет тесную связь с полипрагмазией. При этом подчеркивается, что инсомния может возникнуть и как следствие самой болезни, либо быть вторичной - как следствие воздействия лекарств.
N. Foldvary-Schaefer [11] считает, что если у больных имеется постоянная сонливость в дневное время, особенно при монотерапии ПЭП, низкая концентрация ПЭП в сыворотке крови и хорошая эффективность лечения в отношении приступов, то следует заподозрить первичные нарушения сна.
Объективные подтверждения наличия нарушений сна у пациентов с эпилепсией, как известно, получаются при использовании полисомнографии. Она позволяет выявить следующие нарушения: удлинение времени засыпания, увеличение числа ночных пробуждений и нарушения архитектуры сна [14, 15].
В связи с нарушениями сна при эпилепсии следует рассмотреть данные литературы об их связи с депрессией, так как депрессия является наиболее частым коморбидным заболеванием при височной ее форме [16, 17].
Распространенность и причины развития инсомнии в популяции амбулаторных больных эпилепсией изучались M. Vendrame и соавт. [18], которыми соответствующие данные были собраны в период с июля 2010 г. по октябрь 2011 г. В анализ были включены 152 страдающих эпилепсией пациента, средний возраст которых составлял 46 лет (20-88 лет). Сопутствующие расстройства настроения были найдены у 74 (48%) пациентов.
По индексу тяжести инсомнии (Insomnia Severity Index - ISI) было установлено, что 78 (51%) пациентов страдали инсомнией средней степени тяжести и тяжелой. По данным Питтсбургского индекса качества сна - PSQI (Pittsburgh Sleep Quality Index) вся выборка включала 72% «плохо спящих пациентов» (PSQI>5). И в группе пациентов с инсомнией - группа 1 (по результатам анализа ISI), и в группе «плохо спящих пациентов» - группа 2 (по результатам анализа PSQI ) было больше женщин (58% в обеих группах, р=0,03 и p=0,02 соответственно). В описанных группах преобладали пациенты, получающие политерапию ПЭП (р=0,03 и р=0,04 соответственно). Наиболее часто используемым ПЭП как при монотерапии, так и при политерапии, был леветирацетам. В данном исследовании распространенность жалоб на сон среди пациентов, принимающих различные ПЭП, не отличалась. Более низкое качество сна и тяжелая степень инсомнии были связаны с бо`льшим числом принимаемых ПЭП и степенью тяжести депрессии по шкале Бека.
Принято считать 19, что депривация сна связана с увеличением возбудимости коры и соответственно повышением риска возникновения приступа. Поэтому особый интерес представляют нейрофизиологические аспекты нарушений сна при эпилепсии. Среди неинвазивных нейрофизиологических методов, позволяющих оценить возбудимость моторной коры, а также изменение процессов внутрикоркового торможения и возбуждения, большое место занимает транскраниальная магнитная стимуляция (ТМС) [22]. В эпилептологии при проведении ТМС наиболее информативным показателем является порог вызванного моторного ответа (ВМО) - величина интенсивности стимула, выражаемая в процентах от максимальной интенсивности, при которой регистрируется минимальный (но с амплитудой не менее 30 мкВ) ВМО. Было выявлено, что порог ВМО отражает состояние возбудимости моторной коры головного мозга человека [23].
Нами [24, 25] была обнаружена корреляция сниженного порога ВМО (ниже 40%) со следующими клиническими признаками: наличие фебрильных судорог в анамнезе, физиологические миоклонии засыпания, выявляемая клинически повышенная нервно-мышечная возбудимость. Эти признаки традиционно рассматриваются как факторы, свидетельствующие о повышенной нейрональной возбудимости у больных парциальной эпилепсией, также как и у пациентов с генерализованной эпилепсией, у которых такое состояние мозга обусловлено генетически. Факт наличия эпилептического очага при парциальной эпилепсии влияет на кору головного мозга, расположенную вне очага, независимо от активности эпилептического процесса (наличие или отсутствие приступа); это, в свою очередь, ведет к снижению ингибиторных и облегчению возбуждающих влияний на ипсилатеральную моторную кору, даже если эпилептический очаг там не находится. Таким образом, были получены данные, свидетельствующие об изменениях функционального состояния коры и, соответственно, порога ВМО у больных эпилепсией.
Когда человек долго бодрствует (и сокращается время сна), он становиться сонливым, что может проявляться снижением бдительности, появлением чувства усталости. Объективно длительное бодрствование приводит к нарушениям производительности на всех уровнях, которые можно наблюдать как по увеличению времени реакции для решения простых задач, вплоть до нарушений когнитивных функций высокого порядка, в том числе способности к обучению. Следует, однако, принимать во внимание, что степень возбудимости коры может существенно меняться в зависимости от времени бодрствования, что особенно важно для больных эпилепсией. В экспериментах на животных in vitro и in vivo были найдены доказательства потенцирования распространенности синаптических процессов во время бодрствования, что ведет к постепенному накоплению возбудимости коры. Длительное бодрствование вызывает увеличение частоты и амплитуды миниатюрных возбуждающих постсинаптических токов в корковых слоях и числа и размера центральных синапсов у Drosophila melanogaster. У крыс в состоянии бодрствования было показано увеличениедоли работающих нейронов в нейронной сети и усиление синхронизации работы нейронов коры [19].
Современные исследования [19, 26] показывают, что у здоровых людей и пациентов с эпилепсией сон играет важную роль в регуляции процессов возбуждения и торможения в коре головного мозга, а укорочение сна, нарушающее эти процессы, может вызывать не только судороги, но и галлюцинации, и депрессию.
При рассмотрении вопросов коррекции расстройств сна у пациента с эпилепсией прежде всего следует указать на необходимость проведения тщательного анализа истории болезни в аспекте выявления всех возможных причин нарушений сна, а при назначении противоэпилептической терапии оценить возможные побочные эффекты ПЭП, особенно если речь идет о политерапии. При оценке психического состояния больного важно также обратить пристальное внимание на возможность наличия у него депрессии. При депрессии необходимо назначение антидепрессантов, которые могут положительно влиять не только на аффективные расстройства, но и нормализовывать сон.
В схему лекарственной терапии собственно инсомнии могут входить снотворные препараты (доксиламин, зопиклон, золпидем, залеплон), которые позволяют достигать достаточно быструю компенсацию сна. К препаратам, которые можно рекомендовать в данной ситуации, относится донормил - блокатор гистаминовых H1-рецепторов из группы этаноламинов. Он оказывает снотворное, седативное и М-холиноблокирующее действие, при этом выраженность оказываемого им седативного эффекта сопоставима с барбитуратами. Препарат сокращает время засыпания, повышает длительность и качество сна, не изменяя его архитектуру. Длительность действия донормила - 6-8 ч. Его назначают взрослым внутрь в дозе 15 мг за 15-30 мин до сна не более 3-5 дней. Следует, однако, иметь в виду, что имеется ряд противопоказаний: закрытоугольная глаукома, гиперплазия предстательной железы, возраст до 15 лет [27].
К несомненным преимуществам донормила относят следующие [28]: восстановление физиологической структуры сна; отсутствие синдрома отмены; важно также, что донормил не относится к категории строго учетных препаратов.
Хотелось бы обратить внимание и на нелекарственные методы лечения инсомнии. Речь идет о соблюдении гигиены сна, психо-, физио- и фототерапии.
Заканчивая обзор данных литературы, можно констатировать, что сон и эпилепсия связаны по нескольким механизмам: 1) медленноволновой сон может активизировать спайковую активность в мозге и приступы; 2) приступы и применение ПЭП могут вызывать фрагментацию сна; 3) коморбидные нарушения сна могут привести к снижению качества жизни и увеличить медицинские риски у страдающих эпилепсией пациентов; 4) имитировать эпилептические приступы могут парасомнии, что важно учитывать при диагностике и в случаях неэффективности терапии. Для более точной диагностики нарушений сна, особенно в ночное время, необходимо использовать видео-ЭЭГ полисомнографию.
Распознавание и эффективное лечение нарушений сна у пациентов с эпилепсией способны снизить частоту приступов и улучшить их общее состояние и функционирование.
Читайте также:
- Отолитовы рефлексы. Значение вестибулярного анализатора
- Показания к зондированию сердца. Показания к зондированию легочной артерии
- Гастроеюностомия. Показания и методы гастроеюностомии.
- Лучевая диагностика артропатии дугоотростчатых суставов поясничного отдела позвоночника
- Причины продольной эритронихии
