Советы при недостаточности митрального клапана
Добавил пользователь Евгений Кузнецов Обновлено: 28.01.2026
Советы при недостаточности митрального клапана
1. Что вызывает недостаточность митрального клапана?
Недостаточность митрального клапана возникает при поражении его аппарата, который состоит из: (1) митральных створок; (2) сухожильных хорд; (3) клапанного кольца и (4) сосочковых мышц. Поражение любого из этих компонентов может вызвать недостаточность митрального клапана. Наиболее частыми причинами являются ревматические атаки, эндокардит, разрыв сухожильных хорд, старческая кальцификация клапанного кольца, ишемическая дисфункция сосочковых мышц и дилатация левого желудочка, растягивающая клапанное кольцо.
2. В чем заключается патофизиологический механизм недостаточности митрального клапана?
При недостаточности митрального клапана левый желудочек может выбрасывать кровь в двух направлениях: (1) антеградном через аортальный клапан или (2) ретроградном через митральный клапан. Количество крови, выбрасываемое ретроградно в левое предсердие (ЛП) при каждом сокращении желудочка, называется фракцией регургитации.
Чем больше фракция регургитации, тем больше крови должен накачать левый желудочек для обеспечения адекватного антеградного кровотока через аортальный клапан. В конечном итоге это вызывает перегрузку левого желудочка и прогрессирующую левожелудочковую дилатацию. Со временем сократительная функция желудочка ухудшается.
3. Каковы симптомы недостаточности митрального клапана?
Обычно первым симптомом является одышка при физической нагрузке, а затем толерантность к физической нагрузке утрачивается полностью, и развиваются прогрессирующие симптомы сердечной недостаточности. Эти симптомы являются следствием (1) гипертензии в левом предсердии и (2) нарушения сократительной функции левого желудочка. Как и при митральном стенозе, гипертензия левого предсердия передается ретроградно на легочные вены и капилляры.
При хронической тяжелой недостаточности митрального клапана, вызывающей дисфункцию левого желудочка, преобладают симптомы отека легких и застойной сердечной недостаточности.
4. Чем определяется давление в левом предсердии при недостаточности митрального клапана?
Растяжимостью левого предсердия. Хроническая недостаточность митрального клапана вызывает прогрессирующую дилатацию левого предсердия и повышает его растяжимость. Поэтому давление в левом предсердии при хронической недостаточности митрального клапана может не повышаться. Напротив, острая недостаточность митрального клапана при нормальной растяжимости левого предсердия может вызвать немедленное повышение давления в левом предсердии.
5. Какие гемодинамические факторы обостряют митральную недостаточность?
• Повышенная постнагрузка левого желудочка. Повышенное системное артериальное давление увеличивает сопротивление, которое приходится преодолевать левому желудочку для выброса крови в антеградном направлении. Таким образом, повышается фракция регургитации
• Тахикардия. Поскольку регургитации крови при недостаточности митрального клапана происходит во время систолы, тахикардия (больше систол в минуту) увеличивает фракцию регургитации
• Перегрузка объемом. Расширение левого желудочка при перегрузке жидкостью приводит к растяжению кольца и несмыканию створок митрального клапана, усиливая регургитацию крови

6. Как диагностируется недостаточность митрального клапана?
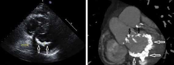
При аускультации голосистолический шум лучше всего выслушивается па верхушке сердца и иррадиирует в левую подмышечную область. Наиболее достоверным диагностическим исследованием является цветная допплер-эхокардиография, особенно чреспищеводная эхокардиография, которые позволяют получить точное изображение регургигирующей струи и количественные данные о пей. При помощи эхокардиографии можно также установить, какая именно аномалия митрального клапана вызывает регургитацию.
7. Как лечится недостаточность митрального клапана?
• Снижение постнагрузки ингибиторами ангиотензин-превращающих ферментов является основной лекарственной терапией недостаточности митрального клапана. Цель ее состоит в оптимизации антеградного кровотока путем снижения сопротивления фракции выброса левого желудочка через аортальный клапан, что сводит к минимуму ретроградный выброс
• Диуретики (фуросемид) позволяют снизить преднагрузку. Объемная нагрузка на левый желудочек расширяет кольцо митрального клапана, усиливая регургитацию крови в левое предсердие
• Дигоксин регулирует частоту желудочковых сокращений при мерцательной аритмии. При тахиформе мерцательной аритмии повышается фракция регургитации, так как количество систол увеличивается
• Кумадин — применяется при мерцательной аритмии
8. Каковы показания к хирургическому лечению недостаточности митрального клапана?
Операция показана, когда:
(1) симптомы митральной недостаточности сохраняются на фоне лекарственной терапии;
(2) по данным эхокардиографии в динамике недостаточность митрального клапана прогрессирует;
(3) сократительная функция левого желудочка ослабляется.
Поскольку при недостаточности митрального клапана снижается сопротивление выбросу крови из левого желудочка, фракция выброса левого желудочка при этом должна превышать норму.
9. Какие виды операций выполняются для коррекции недостаточности митрального клапана?
а) Пластика митрального клапана. Наиболее предпочтительной операцией является пластика митрального клапана. Она позволяет сохранить целостность аппарата митрального клапана и неразрывное соединение левого желудочка с клапанным кольцом через сухожильные хорды. Нарушение этого соединения при резекции клапанного аппарата создает механические затруднения для левого желудочка, что со временем приводит к его дилатации и нарушению функции.
б) Протезирование митрального клапана. При невозможности проведения пластики митрального клапана требуется его протезирование. При этом нужно постараться сохранить заднюю створку клапана. По данным большинства исследований, необходимость в протезировании митрального клапана возникает менее чем 30% случаев.
10. Каковы другие преимущества пластики митрального клапана по сравнению с его протезированием?
При пластике наблюдается: (1) более низкая оперативная летальность; (2) пониженный риск тромбоэмболии и (3) эндокардита; (4) реже возникает потребность в постоянной антикоагулянтной терапии (если она вообще бывает нужна); (5) сократительная функция левого желудочка лучше сохраняется в течение длительного периода времени.

11. В чем заключается пластика митрального клапана?
Избыточная(-ые) часть(-и) створки(-ок) клапана иссекается(-ются), после чего створки сопоставляются, кольцо митрального клапана прошивается сосбаривающим швом и укрепляется аннулопластическим кольцом протеза. Последнее пришивается по периметру клапанного кольца со стороны левого предсердия. Таким образом, створки митрального клапана поддерживаются компетентными сухожильными хордами, и его окружность уменьшается.
Компетентность реконструированного клапана оценивается интраоперационно при помощи чреспищеводной эхокардиографии.
12. Какова летальность при пластике митрального клапана и протезировании?
При пластике — 2%, при протезировании — 6%.
13. Каковы отдаленные результаты пластики митрального клапана?
Вероятность повторной операции в связи с неудачной пластикой митрального клапана составляет приблизительно 2% в год.
14. Что такое систолическое переднее движение митрального клапана?
Систолическое переднее движение — это осложнение пластики митрального клапана. После пластики передняя створка клапана может отклоняться в направлении потока крови, выбрасываемого левым желудочком в систолу, и этим создает две проблемы: (1) динамическое препятствие потоку крови из левого желудочка и (2) регургитацию крови в левое предсердие (смещение передней створки вперед вызывает ее укорочение).
Подозрение па систолическое переднее движение возникает в случае низкого сердечного выброса после пластики митрального клапана. Диагностика осуществляется при помощи эхокардиографии. Поскольку систолическое переднее движение обостряется при повышенной сократимости миокарда, следует избегать инотропных препаратов.
Лечение систолического переднего движения заключается в повышении объемной нагрузки на сердце и применении бета-адреноблокаторов, обладающих отрицательным ииотропным действием. Если эти меры оказываются неэффективными, показано протезирование митрального клапана.
Учебное видео аускультации сердца

Редактор: Искандер Милевски. Дата обновления публикации: 18.3.2021
Информация на сайте подлежит консультации лечащим врачом и не заменяет очной консультации с ним.
См. подробнее в пользовательском соглашении.
Работает без перебоя: лечение недостаточности митрального клапана
От правильной работы сердца зависит адекватное кровоснабжение всех органов человеческого тела. При его нарушении ткани не получают достаточного количества кислорода, нарушаются обменные процессы. Важнейшую роль в поддержании адекватной гемодинамики играют сердечные клапаны. Эти структуры благодаря открытию и закрытию могут прерывать или запускать поступление крови в полости сердца или просвет крупных сосудов. При нарушении качества их работы кровь может застаиваться в одной области при недостаточном ее количестве в другом месте. В результате нарушается не только внутрисердечная, но и системная гемодинамика.
Одним из главных структур сердца является митральный клапан. Она контролирует кровоток в области перехода левого предсердия в левый желудочек. При недостаточности митрального клапана отсутствует полное соприкасание его створок. Во время систолы наблюдается обратный заброс крови из желудочка в предсердие. Избыточное количество крови значительно растягивает его стенки, приводя к расширению полости. Повышение давления в левом предсердии обуславливает возникновение ретроградного заброса крови в легочные вены. Развиваются такие патологические процессы как легочная гипертензия с последующей декомпенсацией правого предсердия.
Диагностика недостаточности митрального клапана
Обращаясь к врачу, пациенты с недостаточностью митрального клапана могут жаловаться на быструю утомляемость, одышку, кашель с выделением крови, отеки. Для постановки правильного диагноза проводится детальное обследование пациента с применением следующих диагностических методик:
- электрокардиография – позволяет определить признаки гипертрофии и расширения полости левого предсердия;
- эхокардиография – такое исследование выполняется с целью оценки функции левых отделов сердца, определения признаков ревматического поражения сердца;
- рентгенография – на снимке могут быть выявлены такие отклонения как дилатация левого предсердия, увеличение размеров левого желудочка, признаки легочной гипертензии;
- катетеризация полости сердца – это высокоинформативный метод диагностики, позволяющий определить объем обратного заброса крови в полость левого предсердия.
Лечение недостаточности митрального клапана в Израиле
Израильские специалисты проводят качественное и современное лечение недостаточности митрального клапана. Выбор конкретного терапевтического метода зависит от стадии развития заболевания. Оперативное вмешательство показано при серьезных нарушениях гемодинамики, которые значительно снижают качество жизни больного.
Пациентам с данным заболеванием может быть показано проведение пластики митрального клапана. Такое оперативное вмешательство позволяет восстановить запирательную функцию клапана и обеспечить восстановление нормальной гемодинамики. Клапансохраняющие вмешательства направлены на сужение фиброзного кольца при помощи специального опорного кольцевидного имплантанта. Его установка позволяет сблизить клапанные створки и обеспечить их соприкосновение. В некоторых случаях выполняется полное иссечение пораженной ткани клапана с последующим протезированием. Для замены этой структуры сердца могут применяться как натуральные, так и синтетические имплантанты, способные обеспечить нормальную работу сердца на долгие годы. Механические и биологические протезы имеют свои преимущества и недостатки, но в любом случае позволяют значительно продлить продолжительность жизни пациента.
Профилактика недостаточности митрального клапана
Для предупреждения развития недостаточности митрального клапана большое значение играет профилактика ревматизма. Это заболевание наиболее часто лежит в основе поражения клапанного аппарата сердца. Этиологическим фактором в данном случае являются бактерии стрептококка. Эта бактерия нередко распространяется по организму из пораженных гнойной ангиной миндалин, кариозных зубов. Поэтому не стоит пренебрегать санацией таких очагов инфекции в организме. После лечения основного заболевания для профилактики генерализации инфекции врач может назначить вам длительный прием антибактериальных препаратов по особой схеме. Лучше придерживаться ее и выполнять рекомендации специалиста. Так вы сможете предупредить развитие ревматического поражения сердца и избежать появления недостаточности митрального клапана.
Кардиологи ревматологи израильских клиник «Хадасса», «Ассута», имеют большой опыт работы с пациентами, страдающими от недостаточности митрального клапана. Приезжая сюда на лечение, вы можете быть уверены, что получите квалифицированную медицинскую помощь и внимательный уход. Индивидуальный подход к каждому пациенту позволяет добиться прекрасных результатов хирургического и консервативного лечения.
- Вернуться в оглавление раздела "Кардиология."
Недостаточность митрального клапана - симптомы и лечение
Что такое недостаточность митрального клапана? Причины возникновения, диагностику и методы лечения разберем в статье доктора Верещагиной Натальи Валентиновны, терапевта со стажем в 29 лет.
Над статьей доктора Верещагиной Натальи Валентиновны работали литературный редактор Вера Васина , научный редактор Сергей Федосов и шеф-редактор Лада Родчанина
Определение болезни. Причины заболевания
Недостаточность митрального клапана — порок, при котором из-за неполного смыкания створок клапана возникает обратный ток крови (регургитация) из левого желудочка в левое предсердие [8] .

Патология проявляется слабостью, головокружением, ощущением нехватки кислорода и утомлением, так как при заболевании нарушается кровоснабжение головного мозга. Без лечения тяжёлая регургитация митрального клапана может стать причиной сердечной недостаточности и нарушений сердечного ритма (аритмии).
Причины митральной недостаточности:
- ;
- бактериальный эндокардит;
- отложение солей кальция в тканях клапана;
- заболевания соединительной ткани — ревматоидный артрит, системная красная волчанка, склеродермия, синдромы Марфана и Элерса-Данло;
- травматический отрыв створок клапана при тяжёлой физической нагрузке;
- травмы при хирургических операциях на клапане;
- утолщение створок клапана;
- опухоли предсердия;
- лучевая терапия [8] .
Митральная недостаточность находится на первом месте среди всех приобретённых клапанных пороков сердца. Патология редко встречается изолированно, зачастую она сочетается с митральным стенозом и с пороками аортального клапана. Распространённость недостаточности митрального клапана в сочетании с пролапсом митрального клапана среди населения составляет 2–6 % [15] .
При обнаружении схожих симптомов проконсультируйтесь у врача. Не занимайтесь самолечением - это опасно для вашего здоровья!
Симптомы недостаточности митрального клапана
Симптомы заболевания:
- общая слабость и головокружение;
- учащённое сердцебиение;
- одышка, возникающая даже при незначительных нагрузках;
- ноющие, давящие и колющие боли в сердце, которые могут отдавать в левое плечо и руку;
- "неудовлетворённость вдохом" — больной делает один вдох за другим, но ощущает нехватку воздуха и впадает в панику;
- частые простудные заболевания;
- кровотечения из носа и дёсен, длительные менструации у женщин;
- ухудшение памяти, панические атаки, тревога, мнительность (это связано с нехваткой снабжения головного мозга кислорода, нарушением обменных процессов и замедлением передачи импульсов между нейронами);
- дрожь в теле;
- частое появление синяков;
- дискомфорт при нахождении в закрытом и душном помещении, возможны обмороки;
Постоянная тревога часто приводит пациента на консультацию к психиатру или неврологу. Очень важно не допустить таких больных в профессиональный спорт, так как чрезмерные нагрузки могут вызвать смерть на тренировках и соревнованиях.
У пациенток с митральной недостаточностью во время беременности возможны перебои в работе сердца, особенно нежелательные при родах, но в основном беременность протекает без осложнений [3] [4] .
Патогенез недостаточности митрального клапана
Сердце человека состоит из четырёх камер: правое и левое предсердия, правый и левый желудочки. Между предсердиями и желудочками расположены входные клапаны — трикуспидальный и митральный. На выходе из желудочков находятся похожие по строению выходные клапаны — лёгочный и аортальный.

Клапаны имеют створки, которые открываются и закрываются во время сердечных сокращений. Иногда клапаны не открываются или не закрываются должным образом, при этом нарушается ток крови.
Митральный клапан состоит из двух створок и открывается, позволяя крови течь в левый желудочек. Затем клапан закрывается, чтобы кровь не текла обратно в левое предсердие. При митральной недостаточности этот клапан закрывается неплотно, в результате чего кровь попадает обратно в левое предсердие.
В патогенезе первичной или врождённой недостаточности митрального клапана важную роль играет хронический дефицит ионов магния. Нехватка магния приводит к тому, что фибробласты вырабатывают неполноценные эластин, коллаген и фибронектин, а также к нарушению свойств ферментов, регулирующих обмен коллагена. В результате нарушается строение и функции соединительных тканей сердца [14] .
Вторичная форма митральной недостаточности возникает в результате перенесённых заболеваний и травм. При патологии происходит расширение полости левого желудочка, прогибание створок митрального клапана, дисфункция сосочков мышц и разрыв сухожильных хорд, соединяющих клапаны с сосочковыми мышцами. Иногда причиной развития вторичной недостаточности митрального клапана становится кальциноз клапанного фиброзного кольца. Кальциноз митрального кольца — это хронический дегенеративный процесс, при котором происходит отложение кальция в кольце клапана. Митральное кольцо при кальцификации становится утолщённым и менее гибким. Хотя изначально кальциноз митрального клапана считался возрастным дегенеративным процессом, накапливаются данные о том, что его развитию способствуют атеросклероз и генетически обусловленные нарушения кальций-фосфорного обмена [16] .

Классификация и стадии развития недостаточности митрального клапана
В течении заболевания выделяют три периода:
- Компенсация дефекта клапана усиленной работой левого предсердия и левого желудочка. Это продолжительный период хорошего самочувствия, но уже на этой стадии начинают появляться первые характерные симптомы: слабость, головокружение, частые простудные заболевания, чувство нехватки воздуха, перебои в работе сердца, одышка.
- Развитие венозной митральной недостаточности. Больные жалуются на одышку и учащённое сердцебиение. При интенсивной физической нагрузке наблюдаются приступы сильной одышки и кровохарканье.
- Одышка уменьшается, но пациент ощущает тяжесть в правом подреберье. Появляются отёки, уменьшается количество мочи, набухают шейные вены. Кровохарканье усиливается, развивается отёк лёгких, возникают нарушения сердечного ритма (мерцательная аритмия и наджелудочковая экстрасистолия) и тромбоэмболические осложнения.
С учётом выраженности обратного тока крови выделяют четыре степени митральной недостаточности: с незначительной митральной регургитацией, с умеренной, выраженной и тяжёлой.
Стадии митральной недостаточности:
- Митральный возврат крови составляет 20-25 %. На этой стадии пациент здоров.
- Митральный возврат крови в пределах 25-50 % от систолического объёма крови. Развивается застой крови в лёгких второй степени. Появляются кашель, одышка, перебои в работе сердца.
- Выраженная недостаточность митрального клапана. Возврат крови в левое предсердие составляет 50-90 %. Возникают кашель, кровохарканье, приступы удушья, увеличивается печень, появляются отёки [8] .
Осложнения недостаточности митрального клапана
Осложнения порока:
- Кровохарканье и отёк лёгких. Проявляется одышкой, затруднённым вдохом, влажным кашлем. В мокроте появляется кровь. Температура тела повышается до субфебрильных ( 37–38 °C ) и фебрильных ( 38–39 °C ) значений. Необходима срочная госпитализация в отделение реанимации.
- Нарушения сердечного ритма в виде мерцательной аритмии и наджелудочковой экстрасистолии. Проявляются перебоями в работе сердца, головокружением, слабостью, обмороками. Требуется госпитализация в отделение кардиологии.
- Тромбоэмболические осложнения (тромбоз левого предсердия, сосудов кишечника, почек, головного мозга). Последствия будут зависеть от локализации тромба. При тромбозе сосудов головного мозга возможен инсульт. Если тромб находится в почках и сосудах кишечника, то пациент испытывает острые боли в животе. Необходима госпитализация в отделение реанимации [8][9] .

При сборе анамнеза кардиолог уточняет:
- ощущает ли пациент нехватку воздуха при вдохе;
- беспокоят ли перебои в работе сердца;
- возникает ли одышка при незначительных физических нагрузках;
- мучает ли тревога, страх смерти, панические атаки.
При аускультации ("выслушивании" сердца) выявляется систолический шум у верхушки и над основанием сердца. Важное значение для диагностики митральной недостаточности имеет фонокардиография (ФКГ). ФКГ – это метод исследования работы сердечной мышцы, который основан на регистрации и последующем анализе звуков, возникающих во время работы сердца .
Другой важный инструментальный метод диагностики — эхокардиография (Эхо-КГ) . Эхо-КГ — это безболезненное ультразвуковое исследование, которое позволяет исследовать работу сердца в реальном времени. Эхокардиография покажет уменьшение эластичности клапана, его повреждение, размер отверстия митрального клапана и расстояние между его створками. Также при исследовании можно увидеть разрыв папиллярной мышцы и провисание клапанных створок в полость левого предсердия [4] [8] [9] .

Лечение недостаточности митрального клапана
При обострении заболевания необходим постельный режим. Также следует принимать препараты, содержащие магний и B6 по две таблетки три раза в день (например, "Магнелис").
Обязательно следует проводить лечение и профилактику осложнений. Для предупреждения тромбоэмболии пациентам старше 30-40 лет назначают препарат "Тромбо АСС", препятствующий тромбообразованию .
Если беспокоит частый пульс (более 80 ударов в минуту), то назначаются бета-адреноблокаторы, диуретики, антикоагулянты, нитроглицерин.
Если пациент страдает от приступов тревоги, то в качестве симптоматической терапии можно рекомендовать короткий курс феназепама на ночь.
Если развивается сердечная недостаточность и нарушается сердечный ритм, то проводят лечение бета-адреноблокаторами, диуретиками, ингибиторами ангиотензинпревращающего фермента, антикоагулянтами, блокаторами кальциевых каналов.
При значительной недостаточности митрального клапана показано оперативное лечение.
Основные хирургические методы коррекции митральной недостаточности:
- пластика митрального клапана;
- протезирование с частичным или полным сохранением хордального аппарата;
- протезирование без сохранения хордального аппарата.
Своевременное хирургическое вмешательство позволяет достичь хороших результатов и не допустить развитие осложнений.

Прогноз. Профилактика
При соблюдении рекомендаций врача прогноз благоприятный.
Для профилактики осложнений следует:
- ежегодно проходить осмотр у терапевта и кардиолога и проводить эхокардиографию сердца (Эхо-КГ);
- принимать препараты магния, а для предупреждения тромбоэмболии — антикоагулянты;
- исключить тяжёлые физические нагрузки, переохлаждение и перегрев;
- снизить эмоциональные перегрузки;
- отдыхать в дневные часы;
- при тревожных расстройствах принимать успокоительные препараты, освоить методы аутотренинга и расслабления мышц;
- проходить санаторно-курортное лечение [4] .
При ревматизме и после перенесённой ангины для профилактики недостаточности митрального клапана назначают антибиотик "Бициллин-3". Препарат подавляет развитие стрептококковой и стафилококковой инфекций.
После 40 лет всем пациентам, страдающим недостаточностью митрального клапана, необходимо контролировать уровни фибриногена, РФМК (растворимых фибринмономерных комплексов), D-димера (продукта распада фибрина). Эти анализы нужны для предотвращения тромбоэмболии лёгочной артерии и артерий внутренних органов. При повышении вышеуказанных показателей назначают антикоагулянты.
Если недостаточность митрального клапана обнаружена у ребёнка и его беспокоит слабость, головокружение, расстройство внимания, то рекомендуется временно перейти на домашнее обучение. Таким детям следует избегать чрезмерных физических нагрузок, им разрешена только лечебная физкультура.
Если при проведении Эхо-КГ обнаружено сильное прогибание створок клапана, то необходима консультация у кардиохирурга. Восстановление клапана или его замена могут потребоваться при эндокардите, сердечной недостаточности, нарушениях ритма, сильных болях в грудной клетке, признаках застоя в лёгочной системе (одышке, уменьшении объёма вдоха и ощущении нехватки воздуха).
Причины, симптомы и лечение недостаточности митрального клапана
Недостаточность митрального клапана – состояние, которое сопровождается переполнением кровью левого предсердия и постепенно приводит к значительному нарушению гемодинамики. Причина – неполное смыкание его створок. Начальный этап болезни может протекать бессимптомно, поэтому митральная недостаточность 1 степени не вызывает беспокойства у пациента, при этом неуклонное прогрессирование заболевания заканчивается тяжелыми осложнениями и гибелью.
Что это такое
Порок митрального клапана с обратным током крови (регургитацией) из левого желудочка в предсердие в результате неполного смыкания створок носит название митральной недостаточности. В самостоятельном виде приобретенное заболевание встречается нечасто и долгое время носит доброкачественный характер. Но в составе комбинированных и сочетанных дефектов оно выявляется в половине всех случаев кардиальных пороков и быстро приводит к серьезным осложнениям.
В норме левый желудочек в систолу выбрасывает содержимое в аорту, которая разветвляется, образуя большой круг кровообращения. Таким способом осуществляется перенос питательных веществ и кислорода в органы, в том числе и миокард. Под давлением двустворчатый клапан закрывается и не допускает обратного движения. При наличии отверстия во время сокращения возникает регургитация, и часть крови возвращается обратно, растягивая левое предсердие. По мере прогрессирования состояния происходит устойчивое увеличение объема полостей сердца, повышение давления, застой в сосудах легких.
Механизм формирования порока можно рассмотреть на рисунке:

Причины возникновения
Формирование порока может происходить во внутриутробном периоде, и в этом случае он считается врожденным. Причинами такой патологии могут быть:
- алкоголизм, прием наркотиков и курение матери во время беременности;
- ионизирующее облучение;
- отравление и прием некоторых препаратов (антибиотики, нестероидные противовоспалительные);
- системные и инфекционные заболевания.
Этиологическими факторами приобретенного отклонения обычно выступают:
- стрептококковые и стафилококковые инфекции с развитием септического эндокардита;
- аутоиммунные заболевания (волчанка, рассеянный склероз);
- поражение миокарда в результате инфаркта;
- пролапс митрального клапана;
- синдром Марфана;
- травмы грудной клетки с разрывом створок или волокон, которые их удерживают.
Относительная недостаточность митрального клапана наблюдается при выраженном увеличении левого желудочка. Причиной этого состояния могут быть дилатационная кардиомиопатия, аортальный порок, миокардит и гипертоническая болезнь.
Симптоматика
На начальной стадии болезни клинических признаков нет. Выявить проблему получается только во время инструментального обследования сердца. Прогноз зависит от величины отверстия, через которое кровь возвращается в левое предсердие. У тех, кому не везет, возникает застой в легочных сосудах, и появляются признаки ишемии миокарда и других органов. Такой больной обычно предъявляет следующие жалобы:
- нехватка воздуха при нагрузке, а потом и в покое;
- сердечная астма;
- утомляемость при выполнении обычных действий;
- кашель, который усиливается в положении лежа;
- появление мокроты с кровью;
- пастозность или отек голеней;
- боли с левой стороны в грудной клетке;
- учащение пульса, мерцательная аритмия;
- осиплость голоса (в результате сдавления гортанного нерва расширенным легочным стволом или левым предсердием);
- тяжесть в правом подреберье из-за увеличения печени.
При осмотре такого пациента я стараюсь отметить наличие таких признаков митральной недостаточности:
- акроцианоз (посинение конечностей и кончика носа, ушей) на фоне общей бледности;
- выбухание вен на шее;
- дрожание грудной клетки при пальпации, определение сердечного толчка и пульсация в эпигастрии;
- при перкуссии отмечается увеличение границ сердечной тупости;
- при аускультации – ослабление первого, усиление и расщепление второго тона, шум во время систолы.
Степени недостаточности
Степени митральной недостаточности:
- Первая (I). Обратный ток крови не превышает 25 %, состояние человека характеризуется как удовлетворительное. Наблюдается гипертрофия сердечной мышцы (левых отделов), что помогает временно скомпенсировать недостаточность. На некоторое время этот механизм позволяет сдерживать повышение давления в малом круге. Симптоматика отсутствует.
- Вторая (субкомпенсированная, II). Заброс составляет 50 %, развивается застой в легких. Появляются первые признаки заболевания.
- Третья (декомпенсированная, III). Возврат крови увеличивается до 60 – 90 % от общего объема. Высокая нагрузка на правый желудочек приводит к его дилатации. Острая недостаточность митрального клапана 3 степени может стать причиной появления отека легких.
Диагностика
Выявить проблему можно следующими методами:
- ЭКГ. На ней будут признаки гипертрофии левых отделов миокарда, а позднее – правого желудочка. Иногда есть возможность зафиксировать тахикардию и нарушение ритма.
- Обзорная рентгенография грудной клетки. На ней можно увидеть увеличение левых отделов, смещение пищевода, на более поздних стадиях – гипертрофию правого желудочка. Застойные явления в легких проявляются расширением сосудов и нечеткостью их очертаний.
- Фонокардиограмма. Очень информативное обследование, при котором есть возможность определить все шумы, производимые сердечной мышцей. Признаком заболевания будет снижение звука сокращения желудочков, систолический шум, щелчок закрытия створок.
- Нарушение подтверждается на ЭхоКГ. Ультразвуковой метод выявляет увеличение камер сердца и неполное закрытие митрального отверстия.
Методы лечения
Лечение недостаточности митрального клапана на стадии компенсации заключается в постоянном наблюдении за пациентом, снижении физических нагрузок и применении средств для предупреждения прогресса болезни. Если появляются осложнения, и нет возможности решения проблемы хирургическим путем, применяется симптоматическая терапия:
- сердечные гликозиды;
- диуретики;
- бета-блокаторы;
- антагонисты кальция;
- ингибиторы АПФ;
- антикоагулянты и дезагреганты.
Никакие препараты не могут излечить заболевание. Консервативные методы помогают только на время отсрочить ухудшение и улучшить качество жизни. Единственным способом устранения проблемы является проведение операции.
Оперативные вмешательства: показания и техники
Показанием к хирургическому лечению является грубое нарушение строения створок, приводящее к выраженному отклонению гемодинамики. Восстановление клапана или его замена требуются в следующем случае:
- эндокардит в анамнезе;
- первые проявления сердечной недостаточности (одышка, отеки);
- нарушения ритма;
- частые сильные боли в грудной клетке, признаки застоя в легочной системе.
Нельзя оперировать в следующих случаях:
- начало острого заболевания или обострение хронического;
- инсульт или инфаркт;
- высокая температура;
- крайняя степень сердечной недостаточности.
Основными видами вмешательств считаются полная замена или пластика клапанов. Второй вариант проводится такими способами:
- аннулопластика с помощью мягких или жестких колец;
- резекция створки;
- замена хорд искусственными материалами;
- методика «край в край».
Виды и особенности митральных протезов
Кардиохирурги используют три вида протезов:
- Механические, которые вначале делались в форме шара, немного позднее – в виде шарниров. На них часто образовываются сгустки крови, и установка может осложниться эмболией. Пациенту приходится постоянно принимать антиагреганты. Самыми современными считаются изделия, которые обрабатываются биологически интактным сплавом титана.
- Биологические. Создаются из перикарда или других натуральных собственных тканей. Не имеют свойства образовывать тромбы.
- Аллографты берутся у трупа и подвергаются криоконсервации, а потом вживляются подходящему донору.

Случай из практики: запущенная митральная недостаточность
Хочу привести в пример клинический случай, в котором отсутствие своевременного лечения привело к такому диагнозу – митральная недостаточность 3 степени. В стационар поступил пациент с жалобами на сильную одышку в покое, усиливающуюся при физической нагрузке, кашель с мокротой, в которой иногда обнаруживаются прожилки крови, слабость, отеки.
Считает себя нездоровым много лет, часто болел ангинами, беспокоили суставы. Ухудшение наступило после перенесенного ОРВИ. В легких при прослушивании выявляются мелкопузырчатые хрипы, наблюдаются ослабление верхушечного толчка, щелчок открытия митрального клапана, систолический шум. Печень увеличена, нижний край определяется на 5 см ниже подреберья. На ЭхоКГ – утолщение створок клапана, кальциноз, расширение левого предсердия, регургитация митрального клапана III степени.
Пациенту назначена операция по протезированию, выполнив которую, он сможет спастись. Лечитесь вовремя!
Как жить с митральной недостаточностью
На начальной стадии, когда нет нарушений кровообращения, пациент может просто вести обычный здоровый образ жизни. Ему противопоказаны сильные психоэмоциональные потрясения и тяжелый физический труд в неблагоприятных условиях. Когда развиваются первые признаки отклонения, мы рекомендуем:
- переход на более легкую работу;
- для молодых людей – обучение новой профессии;
- умственная деятельность не ограничивается;
- служба в армии определяется комиссией, чаще всего призывника отправляют в отделения связи, радиотехники.
При отеках, увеличении печени, асците, выраженной одышке и аритмии человек должен пройти комиссию, где ему могут присвоить инвалидность с возможностью частичного труда или полного освобождения от него. Призывник в таком случае считается негодным для несения службы.
Как проводится профилактика осложнений
Для предупреждения осложнений, которые могут возникать при митральной недостаточности (в том числе для тех, кто проходит реабилитацию после операции на клапане), рекомендуется:
- Постепенное расширение физической активности, регулярные занятия лечебной физкультурой, ходьба, прогулки на свежем воздухе – это самое важное.
- Применение препаратов, прописанных врачом (антикоагулянты, статины, мочегонные, антигипертензивные средства).
Советы врача тем, кто решается на операцию:
- пройти все обследования (ЭКГ, УЗИ сердца, рентгенография) и пообщаться с кардиохирургом;
- получить полную подготовку согласно перечню, предоставленному узким оперирующим специалистом;
- после вмешательства принять курс антибиотиков и антикоагулянтов для предупреждения инфекции и образования тромбов.
До скорой встречи на страницах нашего портала!
Для подготовки материала использовались следующие источники информации.
Причины, симптомы и лечение пролапса митрального клапана
Пролапс митрального клапана – это сердечная аномалия, при которой во время сокращения левого желудочка створки митрального клапана провисают, выпячиваются (пролабируют), из-за чего может возникнуть регургитация, т. е. обратный заброс крови в левое предсердие.
Пролапс митрального клапана (далее – ПМК) – самая распространенная из клапанных патологий сердца. Заболевание имеется примерно у 2,5 % населения планеты. Часто его обнаруживают у детей и подростков. Преобладающее число больных – женщины и девочки.
ПМК выделяют отдельно от клапанных пороков сердца по двум причинам. Во-первых, у аномалии иная природа возникновения. Во-вторых, в отличие от пороков сердца, эта патология доброкачественная, но также может иметь неприятные последствия. Зачастую человек не знает о ее наличии: ПМК становится «случайной находкой» во время медосмотра или обследования по поводу другого заболевания.
Чтобы понять сути этой болезни, важно представлять процесс работы клапанов. Сердце человека имеет 4 полости, или камеры. В норме кровь циркулирует только в одном направлении: из предсердий в желудочки, затем в крупные сосуды (аорту и легочную артерию). Это возможно благодаря синхронной работе клапанов, которые открываются и закрываются в нужный момент. Закрытые клапаны препятствуют регургитации – направлению кровотока в обратную сторону.
При ПМК его главная функция нарушается. В фазу систолы, когда левый желудочек сокращается, створки клапана не выдерживают давления крови и начинают выпячиваться в полость левого предсердия. Основная проблема – часть крови возвращается в левое предсердие. Это называется регургитацией. С этим процессом связаны все вытекающие неблагоприятные последствия ПМК. Регургитация тяжелой степени может привести к инвалидности.

Причины возникновения дефекта
По происхождению пролапс митрального клапана бывает двух видов:
Первичный ПМК вызван генетическими дефектами. И хотя генные мутации, отвечающие за развитие патологии, еще точно не определены, есть подтверждения наследственной природы заболевания в виде частых случаев пролапса у близких родственников.
Поэтому если у кого-то из ваших родителей, или родных братьев и сестер диагностировали ПМК, высока вероятность того, что он присутствует и у вас.
Первичный пролапс подразделяется на виды:
- собственно ПМК как самостоятельная болезнь;
- ПМК как проявление нарушения развития соединительной ткани.
Под последним подразумеваются наследственные заболевания, обусловленные дефектом образования белка коллагена. К таким болезням относятся синдромы Марфана и Элерса-Данло, а также часто встречающиеся недифференцированные дисплазии соединительной ткани. Помимо ПМК эти патологии характеризуются разными клиническими проявлениями:
- повышенная ранимость и гиперрастяжимость кожи;
- частые подвывихи и вывихи;
- гипермобильность суставов – человек способен согнуть локти и колени в обратную сторону, дотронуться большим пальцем руки до предплечья, сомкнуть ладони, заведя руки за спину;
- деформации грудной клетки – килевидная, воронкообразная;
- искривления позвоночника – сколиоз, кифоз;
- плоскостопие;
- ранняя близорукость;
- аневризмы межпредсердной перегородки и аорты;
- раннее развитие варикозного расширения вен нижних конечностей, геморроя;
- диафрагмальные и позвоночные грыжи;
- частые носовые кровотечения;
- опущение внутренних органов – желудка (гастроптоз), кишечника (колоноптоз), почек (нефроптоз).
Вторичный пролапс, как видно из самого названия, развивается на фоне других болезней. ПМК возникает из-за расширения полостей сердца, растяжения фиброзного кольца клапана, вследствие сморщивания, воспаления створок клапана или отложения в них солей кальция.
Причины вторичного пролапса:
- ишемическая болезнь сердца;
- кардиомиопатии;
- миокардиты;
- врожденные и приобретенные пороки сердца;
- хроническая ревматическая болезнь сердца.
Отдельно хочу выделить «безобидный или физиологический» ПМК, который развивается из-за незрелости самого клапана (фиброзного кольца, створок) и подклапанного аппарата (сухожильных нитей или хорд и папиллярных мышц). Во время систолы желудочков папиллярные мышцы сокращаются и натягивают хорды, которые удерживают створки клапана от провисания.
Часто случается так, что в растущем организме ребенка одни структуры сердца развиваются раньше, а другие – позже.
- образование слишком длинных створок или хорд;
- большой диаметр фиброзного кольца;
- недостаточное сокращение папиллярных мышц.
Это может привести к пролабированию створок митрального клапана. Однако физиологический пролапс не без оснований называют «безобидным». К 18–20 годам все структуры сердца полностью созревают, и клапан функционирует, как у здорового человека.
Частые симптомы
У большинства людей с «безобидным» пролапсом митрального клапана, особенно у детей и подростков, наблюдается бессимптомное течение болезни, их ничего не беспокоит. Иногда пациенты жалуются лишь на незначительный дискомфорт в груди. Хочу отметить, клиническая картина может никак не соответствовать степени патологии.
Симптомы пролапса митрального клапана:
- боли в левой части грудной клетки или за грудиной: колющие, давящие, сжимающие, средней интенсивности. Продолжительность варьируется от нескольких секунд до суток. Боль может возникнуть как во время сильного переживания или выполнения физического упражнения, так и спонтанно, без видимой причины. Часто неприятное ощущение сопровождается чувством нехватки воздуха, появлением холодного липкого пота, тревогой и даже страхом смерти;
- головокружение из-за пониженного артериального давления;
- учащенное сердцебиение, ощущения «перебоев, перекатывания, замирания» в груди;
- частые предобморочные состояния, при которых человек испытывает чувство дурноты и тошноты, сопровождающееся мельканием мушек перед глазами и затуманенным зрением;
- при тяжелой и длительной митральной регургитации присоединяются признаки застойной сердечной недостаточности – затруднения дыхания, быстрое наступление усталости, отеки на ногах, особенно в вечернее время, тяжесть в правом боку из-за увеличения печени.
Также у людей с пролапсом митрального клапана, чаще на фоне наследственных нарушений соединительной ткани, я наблюдаю симптомы вегетативной дисфункции:
- постоянные перепады давления;
- падения в обморок;
- повышенная потливость;
- невротические расстройства – такие пациенты обычно тревожно-мнительные, страдают различными фобиями, ипохондрическими и обсессивно-компульсивными неврозами, они часто выдумывают себе несуществующие заболевания;
- «зябкость» и холодные пальцы рук и ног;
- повышенная чувствительность к холоду;
- вегетативные кризы, более известные как панические атаки.
Виды и степени пролапса митрального клапана
Эхокардиография (УЗИ сердца) – это главный метод исследования для диагностики ПМК. С его помощью оценивается тяжесть пролапса: степень пролабирования створок и регургитации. Под пролабированием подразумевается то, насколько створки клапана прогибаются в полость левого предсердия.
Таблица. Классификация пролапса митрального клапана

Нарушение также оценивают на УЗИ сердца, но в режиме допплерографии.
Выделяют 4 степени:
- 1 степень – обратный ток крови проникает в полость левого предсердия на расстояние до 20 мм;
- 2 степень – проникновение до середины предсердия;
- 3 степень – ток крови проходит более половины предсердия;
- 4 степень – регургитация до противоположной стенки предсердия.
Примерно у 30 % людей с ПМК, который развился на фоне наследственных болезней соединительной ткани, дополнительно имеется пролапс трикуспидального клапана, и у 4–5 % – пролапс аортального клапана.
Критерии постановки диагноза
Чтобы поставить точный диагноз, я пользуюсь специально разработанными критериями:
- Главными.
- Дополнительными.
- Неспецифическими.
К первым относятся:
- позднесистолический щелчок/клик, позднесистолический шум на верхушке сердца при аускультации. Иногда, чтобы лучше выслушать шум, я прибегаю к некоторым хитростям: прошу больного сделать 10 приседаний или лечь на левый бок;
- смещение створок в момент систолы желудочков, пролабирование (прогибание) створок больше 3 мм.
- невротические расстройства;
- наличие ПМК у ближайших родственников (отца, матери, бабушек, дедушек, родных братьев или сестер);
- внешний вид больного – высокий рост, худощавое телосложение, длинные руки и ноги, неправильный прикус, деформации грудной клетки или позвоночника.
К неспецифическим критериям относятся:
- жалобы пациента – боли в области сердца, затруднение дыхания, учащенное сердцебиение, панические атаки;
- изменения на пленке ЭКГ – отрицательный зубец Т в отведениях II, III, aVF, частые экстрасистолы и замедления внутрижелудочковой проводимости.
Наличие 2 главных критериев или одного главного и 2 дополнительных позволяют достоверно поставить диагноз пролапса митрального клапана. Кроме того, данные критерии помогают провести дифференциальную диагностику, т. е. отличить ПМК от приобретенных пороков сердца.
Требуется ли лечение
Факторы, которые помогают определить, необходимо ли лечение пролапса митрального клапана:
- симптомы;
- степень пролабирования и регургитации;
- наличие или отсутствие осложнений.
Если у человека обнаружен гемодинамически незначимый ПМК 1 степени, и он не испытывает никаких неприятных ощущений, то лечение не требуется. Таким людям я рекомендую лишь отказаться от курения, избыточного употребления кофе, а также проходить регулярные обследования у кардиолога и эхокардиографию (1 раз в 3 года).
Пролапс митрального клапана 1 степени с регургитацией 1 степени и пролапс митрального клапана 2 степени, а тем более признаки нарушения ритма и недостаточности кровообращения – это показание к назначению специфической медикаментозной терапии: лекарственных препаратов из группы бета-адреноблокаторов (Метопролол, Бисопролол).
Эти фармакологические препараты отлично справляются с болью, нормализуют частоту сердцебиения и уровень артериального давления. Они замедляют прогрессирование степени регургитации, предотвратить опасные тахиаритмии. Также с помощью бета-адреноблокаторов можно компенсировать явления сердечной недостаточности. Если они не справляются, то я применяю блокаторы кальциевых каналов (Дилтиазем, Верапамил).
Однако важно помнить, что имеются противопоказания к применению этих лекарственных препаратов:
- выраженная брадикардия, т. е. медленный сердечный ритм (менее 55 ударов в минуту);
- атриовентрикулярные блокады 2 и 3степеней;
- низкое артериальное давление (ниже 100 мм рт. ст).
В борьбе с гипотонией помогают «биогенные стимуляторы»:
- элеутерококк;
- женьшень;
- лимонник.
Для лечения тревожности сначала я назначаю растительные успокоительные средства – валериану, пустырник, боярышник. При выраженных невротических расстройствах и для профилактики панических атак нужны более сильные препараты (Диазепам, Феназепам). Чтобы получить на них рецепт, я направляю пациентов на консультацию к неврологу, психиатру или психотерапевту.
При развитии хронической сердечной недостаточности я назначаю ингибиторы АПФ (Периндоприл) и калийсберегающие диуретики (Спиронолактон). При тяжелых нарушениях ритма сердца, вызывающих ухудшение самочувствия, я применяю антиаритмические средства (Амиодарон, Пропафенон). Для профилактики образования тромбов при фибрилляции предсердий я использую антикоагулянты (Варфарин).
На поздних стадиях пролапса с митральной регургитацией 4 степени или тяжелой недостаточности кровообращения требуется хирургическая операция – пластика или протезирование клапана.
Отдельно стоит рассмотреть вопрос беременности при ПМК. Медикаментозное лечение принципиально не отличается. Если же возникает выраженная регургитация (3–4 степени) и развиваются серьезные осложнения, дальнейшие действия зависят от срока:
- до 22 недель – медикаментозное прерывание беременности или вакуум-аспирация;
- после 22 недель – кесарево сечение и помещение ребенка в специальный инкубатор для сохранения жизни.
В дальнейшем проводится хирургическое лечение пролапса. Такие радикальные меры обусловлены высокой опасностью для матери и плода: вероятен летальный исход.
Меняется ли прогноз у людей с ПМК?
Пролапс митрального клапана – доброкачественная патология.
Но прогноз напрямую зависит от следующих факторов:
- степень пролабирования;
- присутствует или отсутствует регургитация;
- имеются ли осложнения.
При незначительном пролапсе (1 степени без регургитации или с регургитацией 1 степени) прогноз благоприятен. Такая патология не сказывается на продолжительности жизни.
При пролапсе со 2 степенью регургитации больным, помимо приема лекарственных препаратов, важно соблюдать ограничительный режим. Например, больным противопоказаны бокс, тяжелая атлетика, профессиональный бег. Молодые люди имеют ограничения годности к военной службе. На военно-врачебной комиссии, в зависимости от наличия осложнений, им присваиваются категории «Б», «В», и «Г».
Возможные и отрицательные последствия
Несмотря на кажущуюся безобидность, пролапс митрального клапана опасен осложнениями, которые могут стать реальной угрозой для жизни пациента.
К неблагоприятным последствиям ПМК относятся:
- хроническая сердечная недостаточность – из-за регургитации часть крови не поступает в аорту, поэтому левый желудочек вынужден компенсаторно гипертрофироваться (утолщаться). Со временем это приведет к его дисфункции и ухудшению кровообращения всего организма;
- нарушения ритма сердца (фибрилляция предсердий, удлинение интервала QT, пароксизмальные суправентрикулярные и желудочковые тахикардии). Регургитация приводит к растяжению и расширению полости левого предсердия, в стенке которого могут возникать очаги патологической электрической активности;
- ишемический инсульт – в расширенной полости левого предсердия создается вихревой поток крови, что способствует ее сгущению и образованию тромбов;
- острая митральная недостаточность – при выраженной степени пролапса и регургитации сухожильные нити, которые крепятся к створкам, сильно натягиваются. В результате возможен их разрыв и резкая перегрузка отделов сердца, расположенных слева;
- инфекционный эндокардит – во время некоторых медицинских манипуляций (удаление зуба, установка катетера, бронхоскопия) в общий кровоток попадает небольшое количество бактерий. При пролапсе они могут осесть на створках клапана и начать размножаться. Чтобы это предотвратить, людям с ПМК перед процедурами рекомендуется принимать антибиотики.
Эти осложнения могут быстро привести к гибели больного.
Советы специалиста: лечение ПМК при дисплазии соединительной ткани
У людей, страдающих наследственными нарушениями соединительной ткани, имеется дефицит магния. Этот микроэлемент способствует образованию коллагеновых волокон, а следовательно, и укреплению соединительной ткани. Поэтому таким больным я рекомендую включить в рацион питания продукты, богатые магнием: овсяную кашу, бананы, орехи, гречку и другие. Также стоит дополнительно принимать биодобавки: «Магне B6», «Магнерот». Чтобы улучшить усвоение магния, можно добавить аскорбиновую кислоту.
Случай из практики: женщина с нарушением ритма и пролапсом
Хочу представить вам случай аритмии, вызванной пролапсом митрального клапана. Ко мне обратилась женщина 38 лет. Ее на протяжении долгого времени беспокоили «перебои в работе сердца», неритмичный пульс, а также эпизоды учащенного сердцебиения, при которых значительно ухудшается ее самочувствие, что проявляется в виде тошноты, головокружения. Во время последнего такого приступа женщина упала в обморок, из-за чего она испугалась и решила обратиться ко мне.
При общем осмотре бросились в глаза худощавость и высокий рост пациентки. В ходе обследования удалось отметить гипермобильность локтевых и лучезапястных суставов. Женщина также сказала, что в детстве у нее часто были вывихи суставов рук. Я назначил холтеровское мониторирование ЭКГ и эхокардиографию, которые показали удлинение интервала QT, эпизоды пароксизмальной желудочковой тахикардии типа «пируэт», пролабирование створок на 7 мм без признаков регургитации. На основании результатов я поставил диагноз: пролапс митрального клапана 2 степени без регургитации с осложнениями (удлиненный интервал QT, ПЖТ, ХСН ФК 0). Я назначил Бисопролол (1 табл. 1 раз в сутки) и Магне B6 (по 2 таблетки 3 раза в день). Также я предоставил пациентке список продуктов с высоким содержанием магния.
При повторном приеме через 3 месяца женщина отметила значительное улучшение: у нее нормализовался пульс, прекратились приступы. А на ЭКГ отсутствовали признаки нарушений ритма сердца.
Читайте также:
