Стадии болезни Ходжкина - классификация
Добавил пользователь Евгений Кузнецов Обновлено: 19.12.2025
Лимфома Ходжкина — это онкологическое заболевание, характеризующееся диссеминированным или локализированным стремительным размножением клеток лимфоретикулярной системы. В медицинской практике эта патология получила название лимфогранулематоза (ЛГМ).
В международной классификации болезней эта патология имеет коды по МКБ-10 С81-С81.9. В группу риска его развития входят люди от 15 до 35 лет. Следующий пик приходится на тех, кто перешагнул 50-летний возрастной рубеж. ЛГМ — это заболевание, которое ранее считалось неизлечимым, но сейчас при своевременном выявлении и начале терапии может быть устранено полностью.
Что это такое лимфома Ходжкина
В организме человека в результате деления клеток ежеминутно из-за неправильного взаимодействия нуклеозидов в молекулах ДНК формируются потенциально раковые клетки. В норме имеющиеся мутации делают их нежизнеспособными, что запускает процесс их отмирания, поэтому дальнейшее деление пораженной клетки не происходит и злокачественное образование не формируется.

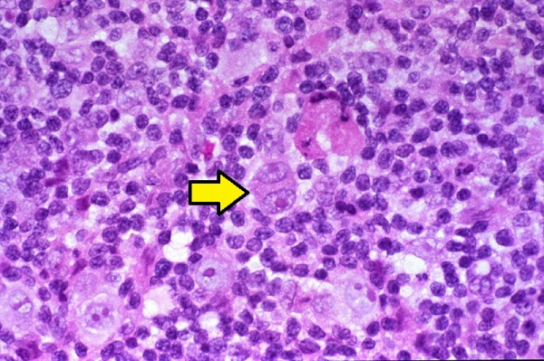
Болезнь Ходжкина, или лимфогранулематоз, подтверждается, когда выявляются особые переродившиеся клетки Рид-Березовского-Штернберга. Изначально лишь в 1 лимфатическом узле начинает формироваться рак, онкология в этом случае носит локальный характер. Этот вариант патологии, в отличие от неходжкинской лимфомы, встречается реже. Происходит активация защитных механизмов организма и в пораженную область перемещается большое количество лейкоцитов. Это приводит к формированию плотного покрова вокруг опухолей и зарастанию их фиброзными тяжами.
Такие образования в пораженном лимфоузле формируют крупные гранулемы. Воспалительный процесс, который сопровождается появлением опухолей, приводит к тому, что лимфоузел стремительно увеличивается в размерах.
По мере прогрессирования заболевания метастазы опухоли приобретают способность распространяться.
Учитывая, что все лимфатические узлы располагаются возле жизненно важных органов, метастазы быстро распространяются на них. Это приводит к появлению множества вторичных гранулем не только в лимфатической системе, но и других тканях. Анализ крови при лимфоме Ходжкина позволяет выявить лимфоцитоз уже на ранних этапах развития патологии.
Причины и симптомы
Этиология появления этого патологического состояния еще не уточнена в полной мере. Исследователи выделяют несколько возможных причин возникновения такого типа онкологии, как болезнь Ходжкина. Особо выделяются вирусная, наследственная и иммунные теории появления этой патологии. Наиболее часто болезнь Ходжкина возникает у людей, перенесших в острой форме заражение вирусом Эпштейна-Барр и инфекционным мононуклеозом, ретровирусом и ВИЧ.
Согласно иммунологической теории возникновения этого патологического состояния, отмечается вероятность трансплацентарного переноса материнских лимфоцитов, которые в организме плода в дальнейшем запускают иммунопатологическую реакцию. Это наиболее вероятная причина развития лимфомы Ходжкина у детей и подростков.
Учитывая высокую частоту выявления случаев болезни Ходжкина у кровных родственников, выделяется его семейная форма. Уже выявлены гены, которые запускают процесс злокачественного перерождения тканей лимфатической системы.
Кроме того, велика вероятность развития этого патологического состояния при спонтанной мутации. К факторам, которые могли бы спровоцировать появление болезни Ходжкина, не обусловленного наследственной предрасположенностью, особенностями иммунной системы и вирусной нагрузкой, относятся:
- влияние ионизирующего излучения;
- отравление токсическими веществами;
- прием некоторых лекарственных препаратов;
- употребление пищи, богатой консервантами и канцерогенами.
У мужчин, которые работают на вредном производстве, в экологически неблагоприятных зонах и живут в крупных индустриальных городах, наиболее часто диагностируется болезнь Ходжкина неуточненная. Для того чтобы определить патологию, нередко достаточно оценки показателей, полученных при выполнении анализа крови на лимфогранулематоз. Вне зависимости от формы и вида течения патологического процесса у пациентов, страдающих болезнью Ходжкина, наблюдается появление следующих характерных симптомов:
- периодическая лихорадка до 39°C;
- общая слабость;
- снижение аппетита;
- кожный зуд;
- ночная потливость;
- потеря массы тела.
Степень выраженности этих симптомов во многом зависит от стадии развития злокачественной опухоли такого типа. По мере усугубления патологического процесса могут появляться интенсивные боли в лимфоузлах, ломота в костях и суставах, признаки дисфункции пораженных вторичными опухолями органов.
Существует несколько подходов классификации онкологии этого типа. В первую очередь болезнь Ходжкина подразделяют на локальный вид, сопровождающийся поражением одного или нескольких лимфатических узлов, а кроме того, генерализованный, при котором наблюдается гиперплазия, т. е. разрастание тканей в отдаленных органах, в том числе печени, селезенке, желудке, коже и легких.
В зависимости от скорости нарастания патологического процесса лимфогранулематоз может быть:
- острым, т. е. развивающимся в течение нескольких месяцев от начальной до терминальной степени;
- хроническим, для которого свойственно затяжное многолетнее течение, с чередованием периодов обострений и ремиссий.
Классическая лимфома Ходжкина подразделяется на 4 гистологических вида.
Самой редко встречающейся является гистологическая форма, сопровождающаяся лимфоидным истощением. В зависимости от морфологических особенностей данный вид болезни приводит к появлению многочисленных переродившихся клеток и интенсивному замещению здоровых тканей фиброзом.
Немного чаще встречается вариант патологии, характеризующийся лимфоидным преобладанием. В этом случае выявляется относительно небольшое количество клеток Рид-Березовского-Штейнберга и повышенное содержание B-лимфоцитов. Кроме того, могут присутствовать признаки сетчатого склероза.
Примерно в 25% случаев выявляется смешанно-клеточный вариант лимфомы. Этот гистологический вид патологии характеризуется появлением умеренного количества клеток Рид-Березовского-Штейнбега, но при этом инфильтрат является смешанным. Самый распространенный гистологический вид лимфомы Ходжкина — нодулярный склероз. На его долю приходится более 67% диагностированных случаев этой патологии.
Эта опухоль сопровождается появлением плотной оболочки из фиброзной ткани вокруг сформированных узелков из тканей Ходжкина
Для определения степени прогрессирования патологического процесса нередко используется классификация лимфомы Ходжкина по системе TNM, где буквы:
- Т — степень распространения имеющейся первичной опухоли;
- N — присутствие метастазов в расположенных рядом лимфоузлах и степень их выраженности;
- M — наличие отдаленных метастазов.
Эта классификация позволяет максимально уточнить распространенность онкологии.
Стадии
Согласно классификации TNM, выделяются 4 стадии лимфомы Ходжкина. Каждая имеет свои особенности. Первую стадию патологического процесса принято подразделять на подстадии I и IE. В этот период первичная опухоль прощупывается в 1 лимфатическом узле, вилочковой железе или селезенке. Несмотря на то, что при исследованиях уже могут быть выявлены признаки онкологии, болевых ощущений и проявлений общей интоксикации еще не наблюдаются
Течение 2 стадии патологического процесса подразделяется на подстадии II и IIE. При подстадии II перерожденные клетки обнаруживаются в 2 лимфоузлах и более, но с одной стороны диафрагмы. При подстадии IIЕ атипичные клетки выявляются в 1 или более лимфатических узлах, а также близлежащих органах или тканях. При 2 стадии высоки шансы на полное излечение при отсутствии факторов риска, к которым относятся:
- появление опухоли в груди до 10 см;
- сформированное образование в лимфатическом узле;
- критическое увеличение скорости оседания эритроцитов;
- более 3 пораженных лимфоузлов;
- развитие выраженных признаков общей интоксикации.
Болезнь Ходжкина 3 стадии подразделяется на 3 подстадии. Для этого периода развития патологического процесса характерно поражение лимфатической системы и располагающихся рядом с узлами тканей и органов с обеих сторон диафрагмы. Имеются яркие признаки поражения селезенки и общей интоксикации организма.
Лимфома Ходжкина 4 стадии характеризуется началом метастазирования не только в близлежащие к лимфоузлам органы, но и отдаленные. На стадии патологического процесса атипичные клетки обнаруживаются в цереброспинальной жидкости, печени, костном мозге, легких и т.д.
Диагностика заболевания
Особую роль в постановке диагноза играют инструментальные методы диагностики. Для определения распространения патологии при лимфоме Ходжкина нередко выполняется снимок — рентген грудной клетки. Это позволяет выявить увеличенные лимфоузлы. При диагностике этой патологии у беременных данный метод диагностики не используется, так как это может нанести вред развивающемуся плоду.
Для уточнения морфологического строения опухолей назначается биопсия, лапароскопия или торакоскопия для забора тканей для дальнейшего гистологического исследования. Может быть показана спленэктомия, т. е. операция по удалению селезенки. Чтобы диагностировать лимфому Ходжкина и степень распространения патологического процесса, назначается проведение таких исследований, как:
- УЗИ;
- компьютерная томография;
- пункция костного мозга;
- сцинтиграфия скелета;
- радионуклидное сканирование;
- контрастная ангиография;
- лимфосцинтиграфия;
- МРТ.
Необходимо дифференцировать лимфогранулематоз от лимфаденитов, развивающихся при токсоплазмозе, туберкулезе, бруцеллезе, ангине, краснухе, гриппе, сепсисе и СПИДе. Кроме того, необходимо исключить метастазы других видов рака, неходжкинские лимфомы и саркоидоз.
Лечение
После того как будет подтвержден диагноз лимфомы Ходжкина, назначается комплексная терапия. Для устранения патологии применяется медикаментозная, хирургическая и радиотерапия. Сочетание средств лечения позволяет добиться полной ремиссии. В редких случаях при поражении тканей костного мозга назначается его трансплантация. Это метод нередко используется при лечении детей, страдающих болезнью Ходжкина.
Лучевая терапия
Радиотерапия является ведущим методом лечения болезни Ходжкина, так как клетки Рид-Березовского-Штернберга чрезвычайно чувствительны к воздействию гамма-лучей, поэтому быстро отмирают при таком воздействии. Существует несколько видов лучевой терапии. Наиболее часто при лечении болезни Ходжкина используется радикальное мантиевидное облучение.
Курс начинают вне зависимости от того, на какой стадии была выявлена патология. При 1 и 2 стадиях заболевания этого достаточно для достижения выраженной ремиссии. При 4 стадии болезни Ходжкина целесообразно дополнять лучевую терапию медикаментозной. Операции используются в качестве полиативного метода терапии и служат для улучшения общего состояния.
Химиотерапия
Главной целью этого метода болезни Ходжкина является остановка деления опухолевых клеток. Химиотерапия может эффективно применяться на всех стадиях патологического процесса, но используется в сочетании с радиотерапией. Продолжительность курса химиотерапии при лимфоме составляет от 14 до 30 дней. Для устранения этого патологического состояния нередко применяются:
- Адриамицин.
- Блеомицин.
- Винбластин.
- Дакарбазин.
- Этопозид.
- Циклофосфан.
- Винкристин.
- Прокарбазин.
- Преднизолон.
- Цисплатин.
- Цитарабин
- Дексаметазон.
В большинстве случаев для купирования проявлений болезни Ходжкина используется комбинация этих препаратов.
Народные методы
Различные травы и составы из природных компонентов могут быть использованы только в качестве дополнения к традиционным методам терапии. Улучшить состояние при болезни Ходжкина может настойка из аконита.
Для ее приготовления нужно 50 г порошка корня этого растения залить ½ л водки. Настаивать средство нужно на протяжении 2 недель. Готовую настойку следует принимать по нарастающему методу, начиная с 1 капли 3 раза в день. Постепенно нужно довести дозировку до 10 капель 3 раза в день. После этого дозу следует постепенно снижать.
Настойку нужно запивать большим количеством воды.
Кроме того, для лечения болезни Ходжкина рекомендуется принимать спиртовую настойку конского каштана. Для приготовления этого средства нужно примерно 40 г растительного сырья залить ½ л водки и настаивать 2 недели. Принимать средство необходимо по 25 капель в сутки. Настойку нужно запивать большим количеством воды.
Питание
Специальная диета при лимфоме Ходжкина позволяет улучшить общее состояние, особенно после проведенной химиотерапии. В рацион при болезни Ходжкина обязательно нужно вводить молочные продукты. Кроме того, улучшить работу кишечника и ускорить вывод токсинов может употребление свежих и термически обработанных овощей и фруктов. При лечении лимфомы предпочтение следует отдавать нежирным сортам рыбы и мяса. Из рациона необходимо исключить фастфуд и полуфабрикаты, газированные напитки и алкоголь, жареное, жирное, соленое и сладкое.
Прогноз
Сколько живут пациенты с лимфомой Ходжкина, зависит от того, на какой стадии патологического процесса было начато лечение. При направленной терапии 1 стадии лимфомы прогноз благоприятный. В 95% случае удается достигнуть полной ремиссии. Лечение можно проводить и щадящими методами для достижения выраженного результата.
Прогноз 2 стадии лимфомы Ходжкина относительно благоприятен. В этом случае 5-летняя выживаемость наблюдается у 90% больных, прошедших комплексную терапию. При 3 степени патологического процесса в ремиссию лимфому удается ввести более чем на 5 лет лишь у 65% пациентов. Менее благоприятным прогнозом отличается лимфогранулематоз 4 стадии. Лишь у 45% пациентов наблюдается 5-летняя выживаемость.
Осложнения
Лимфома Ходжкина и неходжкинская форма опасны своими осложнениями. Увеличение пораженных лимфатических узлов может стать причиной сдавливания окружающих тканей. При поражении узлов в области шеи возникает нарушение работы связок. Кроме того, нередко пациенты испытывают трудности с глотанием. Из-за распространения метастаз может развиваться:
- отек легких;
- сердечная недостаточность;
- дисфункция печени;
- отказ почек.
Поражение тканей кишечника нередко приводит к перфорации и развитию перитонита. При разрастании опухоли в спинном мозге может развиться поперечный паралич. Поражение метастазами органов половой системы нередко становится причиной бесплодия. При остром течении заболевания возможен летальный исход из-за полиорганной недостаточности.
Рецидив
Хроническая или рецидивирующая форма проявляется выраженным обострением при нарушении режима поддерживающей терапии. Кроме того, спровоцировать рецидив могут повышенные физические нагрузки и беременность.
Обострение лимфомы Ходжкина нередко возникает на фоне сильнейших эмоциональных переживаний. Для снижения риска развития рецидивов пациентам необходимо наблюдаться у онколога или гематолога. Раннее выявление обострения позволяет более легкими методами подавить развивающийся онкологический процесс.
Реабилитация
Лучевая и химиотерапия, применяющиеся при лечении болезни Ходжкина, негативным образом отражаются на общем состоянии здоровья человека. Период реабилитации крайне важен, так как если восстановление пройдет эффективно, снизится риск рецидива болезни. На протяжении не менее 6 месяцев после завершения терапии необходимо придерживаться щадящей диеты.
Обязательно нужно нормализовать режим работы и отдыха, уделяя ночному сну не менее 9 часов. Кроме того, для восстановления здоровья пациентам рекомендуется выполнять специальную гимнастику. Большую пользу может принести курс массажа и посещение бассейна. В восстановительный период рекомендуется санаторно-курортное лечение.
Стадии болезни Ходжкина - классификация
В классификации форм болезни Ходжкина играет роль не только характер морфологических поражений, но и степень распространения болезни. Первая попытка классификации в этом смысле была предпринята Верой Петерс и сотр. (Vera Peters), которая делит болезнь Ходжкина на три стадии; эта стадиальная классификация была расширена на симпозиуме в Rye, когда была установлена следующая схема:
стадия I: болезнь ограничивается одной анатомической областью или двумя смежными зонами, находящимися на ту же сторону диафрагмы;
стадия II: болезнь затрагивает 2 или 3 анатомические несмежные анатомические области, находящиеся по ту же сторону диафрагмы;
стадия III: болезнь распространилась по обе стороны диафрагмы, но ограничивается лишь лимфатическими органами (в том числе селезенка и лимфатическое кольцо Waldeyer);
стадия IV: болезнь затрагивает внелимфатические органы, как костный мозг, легкие, печень, кожа и т.д.
Все стадии болезни Ходжкина подразделяются на формы (А) без общих симптомов и (Б) с общей симптоматологией.
Дальнейший опыт показал, что такая классификация болезни Ходжкина содержит некоторые недостатки, а именно: не всегда затронутость того или иного экстралимфатического органа имеет эволюцию и прогностическую ценность IV-й стадии. Такими бывают единые первичные детерминации или паренхиматозное распространение per contiguitatem, от соседнего ганглия.

Эти детерминации отвечают на лечение, как и ганглиозные детерминации и являются собственно говоря излечимыми. Кроме этого доказано, что затронутость селезенки имеет иной прогностический смысл по сравнению с гантлиозной; она предшествует и предвещает гепатическую затронутость.
С другой стороны, широкое внедрение спленектомии с взятием биопсий из различных анатомических областей позволяет гораздо более полную гистологическую оценку данного случая. Поэтому, в 1971 г. в Анн Арбор была предложена новая схема стадиализации, охватывающая как клиническую, так и гистологическую стадиализацию.
Клиническая стадиализация (КС) болезни Ходжкина:
I стадия: затронутость лишь одного ганглиозного участка (I) или одной эстралимфатической области или органа (IE);
II стадия : затронутость двух или нескольких ганглиозных участков по ту же сторону диафрагмы (II) или/и локализированная затронутость одного органа или экстралимфатической области по ту же сторону диафрагмы (IIe); рекомендуется обозначать число ганглиозных локализаций (напр.: II3;
III стадия: затронутость ганглиозных участков по обе стороны диафрагмы (III), которая может сопровождаться локализированной детерминацией одного органа или экстралимфатической области (IIIЕ) или затронутостью селезенки (IIIS) или в сочетании (IIIES); IV стадия: диффузная или диссеминированная затронутость одного или нескольких органов или экстралимфатических тканей с увеличением в объеме ганглиев или без такового; место детерминаций следует обозначать инициалами данного органа.
Также как и в рийской (Rye) классификации, все стадии подразделяются на формы А — без общих признаков, и Б — с общими признаками, а именно: безпричинная лихорадка выше 38°С; потеря веса тела более чем на 10% и ночные потения.
Гистологическая стадиализация (ГС): метятся обследуемые с гистологической точки зрения места, с обозначением наличия (+) или отсутствия (—) специфических поражений. Предлагаемая аббревиатура: Н — печень, N — лимфатический узел, М — костный мозг, L — легкое, Р — плевра, О — кость, D — кожа.
Примеры стадиализации: КС I А, ГС IS-H-N-M- больной в I клинической и гистологической стадии, без общих явлений; в результате лапароскопии, исследованные селезенка, печень и лимфатические железы не представляют поражения типа болезни Ходжкина. КС III Б, ГС IVS+H+M- болезнь в III клинической стадии, с общими явлениями, а в результате лапаротомии найдена спленическая и гепатическая детерминация, следовательно речь идет о IV стадии.
КС IV БLH и ГС IVH+M- больной в IV клинической стадии, с явными гепатическими и легочными детерминациями, а гистологическое исследование подтверждает гепатическую детерминацию, но исключает поражение костного мозга.

Ultmann и Moran рекомендуют следующие исследования с целью наиболее правильной стадиализации:
А. Обязательные процедуры:
1) соответствующая хирургическая биопсия, интерпретируемая специализированным патологоанатомом;
2) правильный анамнез (лихорадка? потения? потеря веса? прурит?);
3) полное объективное клиническое обследование, с внимательным наблюдением лимфатического кольца Waldeyer; лимфатические железы, селезенка, печень, костные боли;
4) лабораторные анализы: полная гемограмма (с абсолютным числом лимфоцитов, числом тромбоцитов, лейкоцитов, эритроцитов, Hb), РОЭ, фибриноген, сывороточная щелочная фосфатаза, оценка почечной и печеночной функции;
5) рентгенологические исследования: рентгенография легких (фасная и боковая), внутривенная урография, двусторонняя лимфография нижних конечностей, рентгенографии костей (позвоночника, таза, болевых костных участков).
Б. Процедуры, необходимые лишь в отдельных ситуациях:
1) торакальные томографии, в случае аномалий на стандартной рентгенографии;
2) нижняя кавография в случае сомнительных лимфограмм или урограмм;
3) биопсия костного мозга (при помощи иглы или хирургического метода) в случае: анемий или другой необъяснимой цитопении, рентгенологического или клинического выявления костных поражений, генерализированной болезни, наличия повышенной сывороточной кислотной фосфатазы;
4) эксплораторная лапаротомия с спленектомией, если терапевтическое решение связано с поддиафрагмальными детерминациями.
В. Подсобные процедуры, не имеющие решающего значения для диагноза:
1) сцинтиграфия печени, селезенки, скелета;
2) исследование поздней гиперчувствительности больного;
3) другие химические дозирования сыворотки, в том числе на Са2+ и мочевую кислоту.
Г. Тесты, которые могут иметь значение для обследования больного, но которые находятся еще в стадии исследования: сцинтиграфия всего тела при помощи 67 таллия и 57 селения; определения сывороточного железа, связывающей способности сыворотки по отношению к Fe; медь и" церулоплазмин; цинк; гаптоглобин; альфа-2-глобулин; мочевой гидроксипролин; лейкоцитарная щелочная фосфатаза; антитела по отношению к вирусу Epstein-Barr, типизация человеческих лимфоцитарных антигенов.
Редактор: Искандер Милевски. Дата обновления публикации: 18.3.2021
Лимфогранулематоз
Лимфогранулематоз - злокачественная гиперплазия лимфоидной ткани, характерным признаком которой является образование гранулем с клетками Березовского-Штернберга. Для лимфогранулематоза специфично увеличение различных групп лимфатических узлов (чаще нижнечелюстных, надключичных, медиастинальных), увеличение селезенки, субфебрилитет, общая слабость, похудание. С целью верификации диагноза осуществляется биопсия лимфоузлов, диагностические операции (торакоскопия, лапароскопия), рентгенография грудной клетки, УЗИ, КТ, биопсия костного мозга. В лечебных целях при лимфогранулематозе проводится полихимиотерапия, облучение пораженных лимфоузлов, спленэктомия.


Общие сведения
Лимфогранулематоз (ЛГМ) – лимфопролиферативное заболевание, протекающее с образованием специфических полиморфно-клеточных гранулем в пораженных органах (лимфоузлах, селезенке и др.). По имени автора, впервые описавшего признаки заболевания и предложившего выделить его в самостоятельную форму, лимфогранулематоз также называют болезнью Ходжкина, или ходжкинской лимфомой. Средний показатель заболеваемости лимфогранулематозом составляет 2,2 случая на 100 тыс. населения. Среди заболевших преобладают молодые люди в возрасте 20-30 лет; второй пик заболеваемости приходится на возраст старше 60 лет. У мужчин болезнь Ходжкина развивается в 1,5-2 раза чаще, чем у женщин. В структуре гемобластозов лимфогранулематозу отводится втрое место по частоте возникновения после лейкемии.
Причины лимфогранулематоза
Этиология лимфогранулематоза до настоящего времени не выяснена. На сегодняшний день в числе основных рассматриваются вирусная, наследственная и иммунная теории генеза болезни Ходжкина, однако ни одна из них не может считаться исчерпывающей и общепризнанной. В пользу возможного вирусного происхождения лимфогранулематоза свидетельствует его частая корреляция с перенесенным инфекционным мононуклеозом и наличием антител к вирусу Эпштейна-Барр. По меньшей мере, в 20% исследуемых клеток Березовского-Штернберга обнаруживается генетический материал вируса Эпштейна-Барр, обладающего иммуносупрессивными свойствами. Также не исключается этиологическое влияние ретровирусов, в т. ч. ВИЧ.
На роль наследственных факторов указывает встречаемость семейной формы лимфогранулематоза и идентификация определенных генетических маркеров данной патологии. Согласно иммунологической теории, имеется вероятность трансплацентарного переноса материнских лимфоцитов в организм плода с последующим развитием иммунопатологической реакции. Не исключается этиологическое значение мутагенных факторов - токсических веществ, ионизирующего излучения, лекарственных препаратов и других в провоцировании лимфогранулематоза.
Предполагается, что развитие лимфогранулематоза становится возможным в условиях Т-клеточного иммунодефицита, о чем свидетельствует снижение всех звеньев клеточного иммунитета, нарушение соотношения Т-хелперов и Т-супрессоров. Главным морфологическим признаком злокачественной пролиферации при лимфогранулематозе (в отличие от неходжкинских лимфом и лимфолейкоза) служит присутствие в лимфатической ткани гигантских многоядерных клеток, получивших название клеток Березовского-Рид-Штернберга и их предстадий – одноядерных клеток Ходжкина. Кроме них опухолевый субстрат содержит поликлональные Т-лимфоциты, тканевые гистиоциты, плазматические клетки и эозинофилы. При лимфогранулематозе опухоль развивается уницентрически - из одного очага, чаще в шейных, надключичных, медиастинальных лимфатических узлах. Однако возможность последующего метастазирования обусловливает возникновение характерных изменений в легких, ЖКТ, почках, костном мозге.
Классификация лимфогранулематоза
В гематологии различают изолированную (локальную) форму лимфогранулематоза, при которой поражается одна группа лимфоузлов, и генерализованную – со злокачественной пролиферацией в селезенке, печени, желудке, легких, коже. По локализационному признаку выделяется периферическая, медиастинальная, легочная, абдоминальная, желудочно-кишечная, кожная, костная, нервная формы болезни Ходжкина.
В зависимости от скорости развития патологического процесса лимфогранулематоз может иметь острое течение (несколько месяцев от начальной до терминальной стадии) и хроническое течение (затяжное, многолетнее с чередованием циклов обострений и ремиссий).
На основании морфологического исследования опухоли и количественного соотношения различных клеточных элементов выделяют 4 гистологические формы лимфогранулематоза:
- лимфогистиоцитарную, или лимфоидное преобладание
- нодулярно-склеротическую, или нодулярный склероз
- смешанно-клеточную
- лимфоидное истощение
В основу клинической классификации лимфогранулематоза положен критерий распространенности опухолевого процесса; в соответствии с ним развитие болезни Ходжкина проходит 4 стадии:
I стадия (локальная) – поражена одна группа лимфоузлов (I) либо один экстралимфатический орган (IE).
II стадия (регионарная) - поражены две или более группы лимфатических узлов, расположенных с одной стороны диафрагмы (II) либо один экстралимфатический орган и его регионарные лимфоузлы (IIE).
III стадия (генерализованная) – пораженные лимфоузлы расположены с обеих сторон диафрагмы (III). Дополнительно может поражаться один экстралимфатический орган (IIIE), селезенка (IIIS) либо они вместе (IIIE + IIIS).
IV стадия (диссеминированная) – поражение затрагивает один или несколько экстралимфатических органов (легкие, плевру, костный мозг, печень, почки, ЖКТ и др.) с одновременным поражением лимфоузлов или без него.
Для обозначения наличия или отсутствия общих симптомов лимфогранулематоза на протяжении последних 6 месяцев (лихорадки, ночной потливости, похудания) к цифре, обозначающей стадию болезни, добавляются буквы А или В соответственно.
Симптомы лимфогранулематоза
К числу характерных для лимфогранулематоза симптомокомплексов относятся интоксикация, увеличение лимфатических узлов и возникновение экстранодальных очагов. Часто заболевание начинается с неспецифических симптомов – периодической лихорадки с температурными пиками до 39°С, ночной потливости, слабости, похудания, кожного зуда.
Нередко первым «вестником» лимфогранулематоза служит увеличение доступных для пальпации лимфоузлов, которые больные обнаруживают у себя самостоятельно. Чаще это шейные, надключичные лимфатические узлы; реже - подмышечные, бедренные, паховые. Периферические лимфоузлы плотные, безболезненные, подвижные, не спаяны между собой, с кожей и окружающими тканями; обычно тянутся в виде цепочки.
У 15-20% пациентов лимфогранулематоз дебютирует с увеличения лимфоузлов средостения. При поражении медиастинальных лимфоузлов первыми клиническими признаками болезни Ходжкина могут служить дисфагия, сухой кашель, одышка, синдром ВПВ. Если опухолевый процесс затрагивает забрюшинные и мезентериальные лимфоузлы, возникают абдоминальные боли, отеки нижних конечностей.
Лимфома Ходжкина
Лимфома Ходжкина – это злокачественная опухоль, первично возникающая в лимфатических узлах и распространяющаяся преимущественно по лимфатической системе путем лимфогенного метастазирования. (ВОЗ, 2001 г.).

Автоматизация клиники: быстро и недорого!
- Подключено 300 клиник из 4 стран
- 800 RUB / 4500 KZT / 27 BYN - 1 рабочее место в месяц

Автоматизация клиники: быстро и недорого!
- Подключено 300 клиник из 4 стран
- 1 место - 800 RUB / 4500 KZT / 27 BYN в месяц
Мне интересно! Свяжитесь со мной
13-15 октября, Алматы, "Атакент"
600 брендов, более 150 компаний-участников из 20 стран.
Новинки рынка стоматологии. Цены от производителей
Классификация
Стадия I – поражение одной лимфатической зоны или структуры (I) или локализованное поражение одного экстралимфатического органа или ткани (IE) в пределах одного сегмента.
Стадия II – поражение двух или более лимфатических областей по одну сторону диафрагмы, либо локализованное поражение одного экстралимфатического органа или ткани и их регионарных лимфатических узлов с (или без) поражением других лимфатических областей по ту же сторону диафрагмы или без него (IIE). Для II стадии следует указывать число пораженных лимфатических зон.
Стадия III – поражение лимфатических узлов или структур по обе стороны диафрагмы, которое может сочетаться с локализованным поражением одного экстралимфатического органа или ткани (IIIE) либо с поражением селезенки (IIIS) или с поражением того и другого (III I+S).
Стадия IV – диссеминированное поражение одного или нескольких экстралимфатических органов, с поражением лимфатических узлов или без него, либо изолированное поражение экстралимфатического органа с поражением отдаленных (не регионарных) лимфатических узлов. Метастазы в печень или костный мозг – всегда IV стадия.
Примечание: поражение легкого, ограниченное одной долей или корнем легкого, в сочетании с лимфоаденопатией на той же стороне либо односторонний плевральный выпот с или без поражения легкого, но с прикорневой лимфоаденопатией, расцениваются как локальное экстралимфатическое распространение болезни (Е).
Отдельно обозначают симптомы интоксикации: В – наличие одного или нескольких из следующих симптомов: ночной профузный пот, температура тела выше 38 о С не менее трех дней подряд без признаков воспалительного процесса, снижение массы тела на 10% за последние 6 мес., А – отсутствие указанных симптомов.
Клиническим признаком поражения печени является либо любое увеличение печени и аномальный уровень щелочной фосфатазы в сыворотке крови или аномальные результаты двух других функциональных печеночных тестов, либо изменения печени, выявленные при лучевых методах исследования и аномальный результат одного функционального печеночного теста.
Клиническим признаком поражения селезенки считают увеличение селезенки, установленное при пальпации и подтвержденные лучевыми методами исследования.
Поражение легкого
Поражение легкого, ограничено одной долей или распространено вокруг ворот легкого, сочетающееся с лимфоаденопатией на стороне поражения, или односторонний выпот в плевральной полости с поражением легкого или без поражения, но с лимфоаденопатией в области ворот расценивают как ограниченное (локальное) экстралимфатическое поражение.
Диагностика
Диагноз ЛХ должен быть поставлен в соответствии с классификацией ВОЗ на основании биопсии лимфатического узла с последующим гистологическим исследованием, а при необходимости ИГХ.
Жалобы и анамнез: жалоба на увеличение определенной группы периферических лимфатических узлов, повышение температуры тела, потливость, кожный зуд, похудание. Детальный сбор анамнеза с особым вниманием к наличию симптомов интоксикации, "алкогольных" болей (появление болей в зонах поражения после приема даже небольшого количества алкоголя) и темпу роста лимфатических узлов.
Физикальное обследование: тщательное пальпаторное обследование всех групп периферических лимфатических узлов (подчелюстных, шейно-надключичных, подключичных, подмышечных, подвздошных, паховых, бедренных, локтевых, затылочных), печени, селезенки.
| Патология | Норма | > Патология |
| Лейкопения | Лейкоциты 4,0-9,09*10 9 /л | Лейкоцитоз |
| Анемия | Гемоглобин (М) 130,0-160, г/л, (Ж) 120-140 г/л | |
| Анемия | Эритроциты (М) 4,0-5,0*10 12 /л, (Ж) 3,9 -4,7*10 12 /л | Эритроцитоз |
| Тромбоцитопения | Тромбоциты 180-320* 10 9 /л | Тромбоцитоз |
| Скорость оседания эритроцитов (М) 2-15, (Ж) 2-10 | Ускоренное СОЭ |
Биохимический анализ крови (включая исследование креатинина, мочевины, билирубина, общего белка, трансаминаз, ЛДГ, щелочной фосфатазы).
| Норма | Патология |
| Общий белок 66-87 г/л | Гипопротеинения 45-50 г/л |
| Мочевина 2,3-8,3 ммоль/л | Выше 8,3 ммоль/л |
| Креатинин 45-115 ммоль/л | Выше 115 ммоль/л |
| АЛаТ до 0,68 (до 0,52) мг/л | Выше 0.68 мг/л |
| АСаТ до 0,62 (до 0,52) мккат/л | Выше 0.62мккат/л |
| Щелочная фосфатаза от 30 до 120 U/L | Выше 120 U/L |
| ЛДГ от 0 до 248 U/l | Выше 248 U/l |
| Билирубин до 22 мкмоль/л | Выше 22 мкмоль/л |
3. УЗИ:
- всех групп периферических лимфатических узлов, включая шейные, над- и подключичные, подмышечные, паховые, бедренные;
- брюшной полости.
6. Рентгенография костей при наличии жалоб у больного на боли, а также при выявлении изменений на сцинтиграммах.
5. Осмотр хирурга при неотложных состояниях и при необходимости диагностической лапаротомии и спленэктомии.
1. Клинический анализ крови, включая содержание эритроцитов, гемоглобина, тромбоцитов, лейкоцитарную формулу, СОЭ.
2. Биохимический анализ крови, включая исследование общего белка, креатинина, мочевины, билирубина, трансаминаз, ЛДГ, щелочной фосфатазы.
1. Эксцизионная биопсия. Для исследования берется самый ранний из появившихся лимфатических узлов, который удаляется полностью. При удалении, узел не должен быть поврежден механически. Нежелательно для гистологического исследования использовать паховые лимфатические узлы, если имеются вовлеченные в процесс другие группы лимфатических узлов. Пункционная биопсия для начальной диагностики недостаточна. В сложных случаях дифференциальной диагностики с другими лимфопролиферативными заболеваниями или солидными опухолями необходимо иммуногистохимическое исследование.
2. Трансторакальная биопсия медиастинальных лимфатических узлов, эновидеоторакоскопическая биопсия медиастинальных лимфатических узлов.
4. УЗИ:
- всех групп периферических лимфатических узлов, включая шейные, над- и подключичные, подмышечные, паховые, бедренные, забрюшинные;
- брюшной полости.
9. Клинический анализ крови, включая содержание эритроцитов, гемоглобина, тромбоцитов, лейкоцитарную формулу, СОЭ.
10. Биохимический анализ крови, включая исследование креатинина, мочевины, билирубина, общего белка, трансаминаз, ЛДГ, щелочной фосфатазы.
11. Биопсия костного мозга (трепанобиопсия крыла подвздошной кости). Цитологического исследования недостаточно.
Классификация болезни Ходжкина
Широко используется классификация по гистологическому типу. В ее основу положена переработанная американо-европейская классификация, включающая пять категорий болезни.
1. Лимфоцитарный тип. Клетки представлены малыми лимфоцитами, отдельными RS-клетками, и их мононуклеарным вариантом. Клетки находятся в лимфатическом узле, богатом В-лимфоцитами.
2. Преимущественно лимфоцитарный нодулярный тип. Опухоль узелкового типа, в которой находятся мононуклеарные клетки Ходжкина с характерным для В-клеток фенотипом, и отличающиеся от типичных RS-клеток. Обычно болезнь обнаруживается в I стадии. Часто по прошествии 10 лет возникает риск развития В-клеточной неходжкинской лимфомы.
3. Нодулярный склероз. Характерные для болезни Ходжкина клеточные узелки разделены широкими коллагеновыми тяжами. Опухоль содержит характерные для этого типа мононуклеарные «лакунарные» клетки. Этот тип подразделяется на две группы. Первая группа характеризуется наличием в узелках инфильтрата, состоящего, главным образом, из лимфоцитов.
Вторая группа состоит из более полиморфных клеток и многочисленных RS-клеток. Для больных с опухолями, относящимися к первой группе, характерен более благоприятный прогноз.
4. Смешанноклеточный вариант. Инфильтрат отличается характерной полиморфной природой: присутствуют лимфоциты, макрофаги, эозинофилы и другие клетки.
5. Вариант с лимфоидным истощением. Это диффузные повреждения или фиброзного характера, с небольшим количеством клеток RS, или ретикулярной природы, содержащие много клеток RS или их мононуклеаров.

На нодулярный склероз и смешанноклеточный вариант приходится 80-90% всех случаев заболевания болезнью Ходжкина. Для больных с опухолями, богатыми лимфоидными элементами, характерен благоприятный прогноз, в то время как в случаях опухолей бедных лимфоцитами прогноз оказывается наименее благоприятным.
Наибольшую прогностическую значимость имеет стадия развития опухоли. У больных с одинаковой стадией ее развития гистологическая характеристика опухоли мало влияет на исход болезни.
В некоторых случаях болезни Ходжкина врач может поставить ошибочный диагноз. Клиницисты должны быть очень внимательны к случаям атипичной гистологии при исследовании биоптатов, взятых не из лимфатических узлов, а также при необычной клинической картине, например при наличии изолированного очага заболевания в кишечнике или на коже. При постановке дифференциального гистологического диагноза следует обращать внимание на следующие патологии:
1. Лимфатические узлы содержат иммунобласты, характерные для инфекционного мононуклеоза и прочих инфекций, носителем которых является вирус герпеса, или для токсоплазмозов.
2. Гиперчувствительность к лекарственным препаратам (например, к фенитоину).
3. Ангиоиммунобластная лимфоаденопатия.
4. Т-клеточная лимфома.
5. Метастазирующая меланома.
6. Неходжкинская лимфома, особенно важно отличие от склеротизированной В-клеточной лимфомы средостения и от Ki-1 лимфомы.
У больных с диагносцированной болезнью Ходжкина могут быть обнаружены другие гистологические аномалии. Так, в селезенке или печени у них могут присутствовать гранулематозные инфильтраты неизвестного происхождения. После интенсивной химиотерапии внешний вид лимфатических узлов меняется. Они становятся васкуляризованными и обнаруживают черты атипичной гистологии — обеднение лимфоцитами.
Одновременно у них появляются признаки, характерные для воспалительного процесса и близкие к тем, которые наблюдаются при неходжкинской лимфоме.

Читайте также:
