Стирание зубов. Сошлифование зубов. Откол зуба. Эрозия зубов.
Добавил пользователь Евгений Кузнецов Обновлено: 02.11.2025
Абразия (от лат. abrasio - соскабливание, сошлифование зубов) - процесс стираемости эмали зубов. Абразивная стираемость присуща эмали зубов на протяжении всей жизни человека. В норме нормальный физиологический процесс абразивного стирания зубов протекает очень медленно.
Физиологическое истирание зубов – истирание твердых тканей зуба в результате непосредственного контакта поверхностей зубов-антагонистов или смежных зубов.
Контакты противоположных поверхностей зубов происходят при разжевывании и глотании пищи (приблизительно 1500 раз в сутки). Истирание зубов – это специфическая физиологическая форма абразии. При этой разновидности истираемости потеря твердых тканей зубов незначительна.
Возникновение болезни Сошлифование (абразия) зубов
На истирание зубов влияют абразивные процессы, однако собственно абразией называют потерю твердых тканей зубов в результате воздействия на них инородных тел.
Воздействие ряда других факторов способствует более выраженному патологическому истиранию твердых тканей зубов. У больных под влиянием таких психогенных причин как стресс, состояние аффекта возникают частые и длительные соприкосновения зубов, проявляющиеся в виде скрежетания и сжатия (особенно во время сна).
Возникновению процессов патологического истирания могут также способствовать неправильно сформированные жевательные поверхности восстановлений (например, нарушения окклюзионного равновесия, передние контакты).
Нарушения нервно-мышечных функций челюстно-лицевой области, а также аномалии положения зубов являются дополнительными причинами патологического истирания зубов.
Абразивное истирание может вызываться продуктами питания или вредным профессиональным воздействием (например, угольной пылью у шахтеров).
Интенсивность истирания при демастикации зависит от степени абразивности повседневной пищи. Пища населения развивающихся стран более абразивна, чем у населения развитых стран, употребляющего пищу после кулинарной обработки (гамбургеры, готовые блюда).
Как особую разновидность абразии отдельно следует выделить воздействие вредных привычек. Под этим понятием подразумевают частое перекусывание (например, нитей сапожниками и портными) или частое и длительное удерживание различных предметов (трубок, авторучек, игл и др.) одними и теми же зубами. Абразии этого типа часто также называют узурами.
Абразивные процессы имеют место также во время гигиенических мероприятий в полости рта. Главной причиной этого является применение зубных паст с высокой степенью абразивности в сочетании с неправильной техникой чистки зубов. Применение других высокоабразивных веществ для ухода за полостью рта (морская соль, древесный уголь) также может стимулировать процессы абразии.
Симптомы болезни Сошлифование (абразия) зубов
Клинически, сначала в эмалевом слое, затем и в слое обнаженного дентина, обнаруживают гладкие, плоские поверхности, которые частично под углом накладываются друг на друга. При латеральных (боковых) движениях нижней челюсти, зубы-антагонисты движутся навстречу друг другу, касаясь этих поверхностей. При прогрессирующем процессе истирания наблюдается уменьшение коронки зубов.
Участок, подвергшийся абразии, часто отполирован и имеет жёлтый цвет из-за обнажения дентина. Дентин обычно твёрдый, без признаков кариеса, покрыт тонким налётом; десневой край не воспалён. Наиболее часто поражаются премоляры на недоминантной стороне из-за больших усилий, прикладываемых при чистке зубной щёткой. Дентин поражённого зуба чувствителен к холодному, горячему и исследованию зондом. Сошлифование часто приводит к обнажению пульпы и перелому зуба.
Стираемость и эрозия зубов
--> Среди некариозных поражений зубов значительное место занимают эрозия и повышенная стираемость эмали зубов. Распространенность этих проблем в последнее время все увеличивается, особенно в молодом возрасте, что многие специалисты связывают с чрезмерным увлечением газированными напитками.

Дело в том, что напитки, содержащие углекислый газ, способствуют ускоренной потере кальция организмом, что отрицательно сказывается на прочности зубной эмали. К факторам, способствующим развитию таких некариозных повреждений, относятся и модные сейчас диеты для быстрого и радикального похудения, которые нередко приводят к анорексии. С другой стороны, как показывают исследования, люди, страдающие повышенным аппетитом, или булимией, также входят в группу риска эрозии зубов.
Однако главными причинами эрозии и стираемости зубов являются механическое и химическое воздействия.
Первое может быть вызвано использованием слишком жесткой зубной щетки или неправильные направления ее движений во время чистки зубов, а также неправильный прикус, который исправляет ортодонтия в Москве.
Неправильный прикус создает неравномерную нагрузку на зубы, которая при жевании может достигать 70 и более килограммов, в результате чего одни зубы выполняют всю основную работу, а другие практически бездействуют. Понятно, что зубы, подвергающиеся большей нагрузке, быстрее изнашиваются. Так возникает патологическая стираемость зубов.
Патологическая стираемость зубов отличается от физиологической или нормальной, прежде всего скоростью. Нормальная стираемость зубов составляет 0,03 мм в год. За тридцать лет это составляет около 1 мм. Патологическая стираемость происходит значительно быстрее, так что эмаль истончается и сходит на нет, обнажая дентин. После этого разрушение зуба происходит с еще большей скоростью, так как дентин значительно уступает в прочности эмали, в результате чего образуются твердые, острые края эмали, травмирующие язык и щеки.
Таким образом, патологическая стираемость означает повышенный, или ускоренный износ зубов. Мужчины подвержены этой проблеме в полтора раза чаще, чем женщины, всего же ей страдает почти 12% всех взрослых людей.
Наряду с врожденным неправильным прикусом причиной неравномерной нагрузки и повышенного износа может стать отсутствие некоторых зубов. Вот почему после удаления зуба необходима стоматология протезирования с тем, чтобы восстановить зубной ряд и тем самым предупредить ускоренное разрушение оставшихся зубов.
Эрозия эмали служит способствующим фактором высокой стираемости зубов и в большинстве случаев бывает обусловлена воздействием кислоты. Эта кислота может поступать с пищей, а также образовываться на зубах в результате жизнедеятельности бактерий, живущих в зубном налете. Вот почему главными причинами эрозии зубов являются плохая гигиена полости рта, наличие зубных отложений и налета и злоупотребление кислыми напитками и продуктами (например, сухими винами, цитрусовыми).
Еще одной причиной эрозии зубов может стать общий дефицит кальция в организме, связанный с гормональными расстройствами (в частности недостатком эстрогенов – женских гормонов у женщин), нервными стрессами и расстройствами нервной системы, неправильным питанием, дефицитом солнца, а точнее витамина D3 который вырабатывается на солнечном свету и помогает усвоению кальция. Наконец, причинами эрозии может стать недостаточная работа слюнных желез и патологическая сухость рта (слюна помогает поддержанию нормального РН во рту), а также частая изжога – то есть воздействие на зубы желудочной кислоты.
Эрозия эмали и стираемость зубов проявляются в первую очередь их повышенной чувствительностью к температурным факторам (горячему и холодному), химическим факторам (сладкому, кислому, соленому) и тактильным факторам (трению, прикосновениям). При воздействии этих факторов возникает боль, которая называется гиперестезией, то есть гиперчувствительностью зубов. В этих случаях требуется лечение и восстановление, а в некоторых случаях и протезирование зубов.
Прежде всего, проводится реминерализация эмали, то есть восполнение дефицита кальция – главной причины эрозии. При необходимости одновременно с этим проводится профессиональная чистка, устранение зубных отложений и налета, например с помощью процедуры air flow. Далее поврежденные поверхности пломбируются или покрываются фарфоровыми накладками – винирами. В более сложных случаях используются металлокерамические или безметалловые коронки на зубы.
Однако никакое лечение зубов не будет по-настоящему успешным, если не устранить причину их разрушения. В случае повышенной стираемости зубов такой причиной часто оказывается неправильный прикус, поэтому так важно следить за правильным формированием зубного ряда у детей уже при замене молочных зубов постоянными. Ортодонт детский объяснит, что именно в этот период может возникнуть скученность зубов, связанная с недостатком места, так как постоянные (коренные) зубы больше молочных по размерам и зачастую не могут правильно расположиться на их месте. В таких случаях эффективную помощь оказывает аппарат Марко Росса, который расширяет зубной ряд и позволяет постоянным зубам занять свое место.
В случае уже имеющегося неправильного прикуса желательно использовать брекеты, стоимость которых может быть различной, от бюджетных металлических до дорогих сапфировых.
Таким образом, главное при патологической стачиваемости зубов – остановить ее, восстановить поврежденные зубы и устранить причину эрозии эмали и повышенной нагрузки на жевательные зубы.
Стоматологические клиники предлагают широкий выбор брекетов для эффективного исправления прикуса у детей и взрослых (один из многих примеров - стоматология на Баррикадной, предлагающая не только вестибулярные металлические, керамические и сапфировые брекеты, но и лингвальные системы STB, Incognito, а также исправление прикуса без брекетов, с помощью набора элайнеров invisalign).
Откол зуба. Эрозия зубов. Стирание зубов. Сошлифование зубов.
Стирание зубов — физиологический процесс, который заключается в стирании или утрате окклюзионной, режущей и интерпроксимальной поверхностей в результате длительного трения зубов. Несмотря на то что стирание обычно наблюдают у пожилых людей, оно возможно также у молочных зубов у детей. Стиранию, которое обычно является генерализованным, способствуют бруксизм и чрезмерная нагрузка на зубы. При осмотре часто выявляют уплощение режущего края и окклюзионной поверхности, фасетки стёртости и расширение контактных пунктов. Поверхность зуба гладко отшлифована, расширена и наклонена под углом, верхнее межпроксимальное пространство отсутствует, линия эмалево-дентинного соединения не видна, полость зуба в коронковой части уменьшена. Однако пульпа обнажается редко, так как отложение вторичного дентина и рецессия пульпы происходят одновременно по мере стирания. Поражённые зубы обычно не чувствительны к тёплому, холодному, исследованию зондом. Восстановление стёртых зубов может оказаться невозможным из-за изменившегося вертикального размера лица.
Сошлифование (абразия) зубов. Под сошлифованием понимают патологическую утрату ткани зуба в результате механического износа. Причин сошлифования зубов много, но обычно оно бывает вызвано слишком частой и усердной чисткой зубов абразивными зубными пастами. При сошлифовании, вызванном зубной щёткой, образуется округлая блюдцеобразная или V-образная ямка на вестибулярной поверхности шеечной области смежных зубов. Участок, подвергшийся абразии, часто отполирован и имеет жёлтый цвет из-за обнажения дентина. Дентин обычно твёрдый, без признаков кариеса, покрыт тонким налётом; десневой край не воспалён. Наиболее часто поражаются премоляры на недоминантной стороне из-за больших усилий, прикладываемых при чистке зубной щёткой. Дентин поражённого зуба чувствителен к холодному, горячему и исследованию зондом. Сошлифование часто приводит к обнажению пульпы и перелому зуба.
Абразивная ямка на зубах может образоваться также от давления кламмерами частичного съёмного протеза или в результате повреждения, наносимого самим пациентом (привычка удерживать зубами булавки, гвозди, курительную трубку). Неправильное пользование зубочисткой и флоссом также вызывают сошлифование проксимальных поверхностей зубов. Фарфоровый зубной протез может вызвать сошлифование режущей и жевательной поверхности естественного зуба-антагониста. Фарфоровые протезы верхних резцов вызывают сошлифование нижних со скашиванием режущей поверхности. Наличие абразивных веществ в пище, жевание табака, употребление кокаинового порошка, длительное вдыхание песчаной пыли, кварца, кремния способствует сошлифованию. При жевании табака сошлифование более выражено на стороне, которой чаще жуют. Длительное употребление кокаина путём втирания в десну вызывает ограниченное сошлифование верхних резцов.
Сошлифование зубов происходит медленно и представляет собой хронический процесс. Обычно проходит много лет, прежде чем появятся его признаки. Результаты восстановления формы зуба могут оказаться неудовлетворительными, если не устранить причину сошлифования.
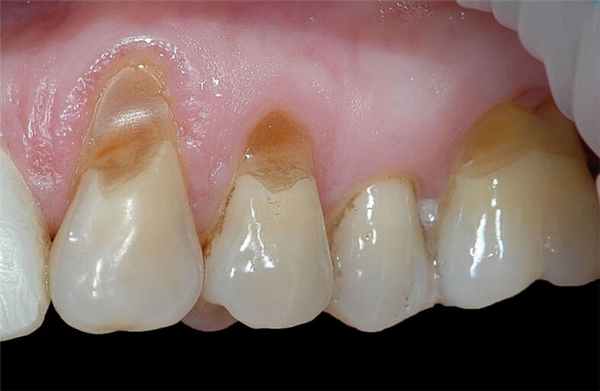
Под отколом понимают утрату ткани зуба на уровне или ниже эмалево-цементной границы, обусловленную чрезмерной нагрузкой на зуб. При отколе образуется клиновидный дефект эмали и дентина вдоль шейки зуба на вестибулярной её поверхности. Дефект является результатом эксцентрической окклюзионной нагрузки, при которой под влиянием сжимающей и растягивающей силы в зубе появляется изгиб-ное и касательное напряжение, приводящее к разрыву химической связи между эмалью и дентином. Обычно зуб прочно удерживается в лунке, на жевательной его поверхности имеются фасетки стёртости, факторы, способствующие сошлифованию и эрозии, отсутствуют. Наиболее часто откол наблюдают у лиц старше 35 лет. Обычно поражается один зуб в квадранте (как правило, это нижний премоляр). Откол может сочетаться с другими повреждениями зуба, сошлифованием и стиранием.
Эрозия зубов.
Эрозия — дефект ткани зуба, образующийся при частом и длительном воздействии на него кислот, например, содержащихся в пищевых продуктах, желудочном соке. Эрозии способствуют гипосаливация, препараты, вызывающие сухость во рту. Это объясняется тем, что слюна, обладая щелочной реакций, выполняет буферную функцию в полости рта. Обычно эрозии подвергаются губная и щёчная поверхности зубов.
По характеру эрозии часто можно судить о вызвавшей её причине. Например, сосание лимона (лимонная кислота) вызывает характерные изменения вестибулярной поверхности верхних резцов. Вначале на ней появляются горизонтальные гребешки, в дальнейшем на их месте образуются гладкие желтоватые вдавления. Режущие края поражённых зубов истончаются, что в конце концов приводит к их перелому. Аналогичные эрозии возникаютулиц, регулярно занимающихся плаванием, и объясняются смачиванием передних зубов хлорированной водой бассейна.
Образование эрозий на язычной поверхности верхних зубов, иначе называемое перимолизом, служит признаком хронической регургитации или рвоты, наблюдающихся при булимии, нервной анорексии, беременности, грыже пищеводного отверстия диафрагмы, желудочно-пищеводном рефлюксе, злоупотреблении алкоголем. При осмотре отмечают выстояние краёв жевательной поверхности нескольких пломб над эрозированной эмалью. Ранний признак эрозии — чувствительность эмали. Употребление сладких газированных напитков ускоряет развитие эрозии. При появлении первых признаков эрозии показано назначение фтора, а при более выраженных изменениях, когда обнажается дентин, необходимо закрыть обнажённый дентин реставрационным материалом. Для успеха лечения важно устранить причину эрозии, избавиться от вредной привычки. При желудочно-пищеводном рефлюксе назначают антациды, блокаторы Н2-рецепторов гистамина, ингибиторы протонного насоса. Больным рекомендуют также после рвоты или регургитации прополоскать полость рта раствором натрия бикарбоната.
Некариозные поражения зубов
Для некариозных поражений характерно повреждение твердых тканей зубов – эмали и дентина. Они могут быть приобретены в течение жизни или являться врожденной патологией, и характеризуются постепенным прогрессированием.
Вы здесь
Многие пациенты приходят с жалобами на эстетические дефекты зубов. Сколы, истончение шейки зуба, повреждения зубной ткани и прочие патологии относят в одну общую группу – некариозные поражения зубов. Объединяет их тот факт, что их развитие не связано с наличием инфекции. Это – деструктивные процессы, происходящие под влиянием разных факторов, имеющие разные симптомы и методы лечения. Чаще всего некариозные поражения зубов отмечают в возрасте от 45 лет и старше.
Виды некариозных поражений зубов

Для некариозных поражений характерно повреждение твердых тканей зубов – эмали и дентина. Они могут быть приобретены в течение жизни или являться врожденной патологией, и характеризуются постепенным прогрессированием. Помимо нарушения внешней эстетики такие патологии приводят к расстройству жевательной функции, развитию различных осложнений.
Среди некариозных поражений зубов часто встречаются такие, как:
- флюороз;
- травмы зуба;
- клиновидный дефект;
- гипоплазия эмали и прочие.
Во время первичного осмотра стоматолог выслушает жалобы, соберет анамнез, проведет осмотр и назначит дополнительные методы диагностики, подходящие для данного клинического случая. Терапевтические мероприятия направлены на нормализацию уровня минеральных компонентов в эмали и дентине, предотвращение разрушения зуба, восстановление эстетики и способности к пережевыванию пищи.
Гипоплазия эмали
Гипоплазия зубной эмали начинает свое развитие еще до момента прорезывания зубов в младенческом возрасте. Эта патология характеризуется недостаточным развитием эмалевого слоя, а в сложных случаях – дентина или всего зуба. Заболевание может быть как врожденным, так и носить приобретенный характер. Причем отмечено, что постоянные зубы в большей степени подвержены патологическому процессу, чем временные.

Среди факторов, провоцирующих развитие гипоплазии зубной эмали, выделяют:
- дефицит минеральных компонентов;
- инфекционные болезни ребенка в младенческом возрасте;
- инфекции в организме матери в период вынашивания плода;
- резус-конфликт;
- родовая травма;
- травмирование челюсти;
- токсикоз во время беременности;
- метаболические нарушения в организме;
- преждевременные роды;
- дистрофия;
- болезни ЖКТ;
- аномалии головного мозга и прочие.
Гипоплазии зубной эмали бывает двух видов:
- Местная гипоплазия. Эта патология возникает как последствие травмирования зачатка зуба или в качестве осложнения хронического воспаления периодонта временных зубов (распространение инфекции от молочных на растущие ткани). При местной гипоплазии истончение эмалевого слоя или его отсутствие затрагивает отдельно взятые зубные единицы, причем повреждение касается только постоянных зубов (на молочных заболевание не развивается). Заболевание приводит к возникновению болевых ощущений, деформации зубов, а в сложных случаях вызывает неправильный прикус, полное разрушение и потерю зуба.
- Системная гипоплазия. Проявляется на всех зубах пациента. Эмалевый слой при этом очень тонкий или отсутствует совсем. На зубах имеются пятна белого или желтоватого цвета. На поверхности зуба можно увидеть углубления или бороздки. Участки, на которых совсем нет эмали, могут реагировать на пищу и напитки, приводя к болевым ощущениям. Среди факторов, приводящих к системной гипоплазии эмали, основными считаются расстройства обмена веществ, наличие в организме не леченых инфекционных очагов, заболевания пищеварительного тракта.
Терапия этого вида некариозных поражений зубов при не сильно запущенном процессе заключается в применении отбеливающих методик, а в запущенной стадии она требует установки пломб и/или протезов. Параллельно обязательно проводят мероприятия по насыщению твердых тканей зуба минеральными веществами.
Профилактические меры заключаются в тщательном уходе за ротовой полостью во время смены зубов. Для предотвращения развития у ребенка гипоплазии эмали женщинам в период вынашивания плода необходимо придерживаться полноценного питания. В рацион должны входить продукты, богатые кальцием, фтором, витаминами группы В, жирорастворимыми витаминами и аскорбиновой кислотой.
Клиновидный дефект

Клиновидный дефект зуба это его разрушение и истончение в области шейки, в результате чего зубная единица выглядит как клин. В самом начале своего развития заболевание с трудом поддается диагностике, его можно заметить лишь со временем, обнаружив потемнение эмали на пораженном месте. На развитие болезни указывают и такие признаки, как повышение чувствительности зуба к воздействию температурного фактора, гигиеническим процедурам, воздуху, пище или напиткам. Клиновидный дефект в большинстве случаев развивается на клыках.
Среди причин возникновения клиновидного дефекта выделяют:
- недостаточно качественный уход за ротовой полостью, ведущий к образованию в пришеечной зоне налета и отложений;
- неправильно подобранная зубная щетка (слишком жесткая щетина) и/или очищение зубов в горизонтальном направлении, что приводит к стиранию эмали у основания зуба;
- опущение или, напротив, поднятие десневой ткани, ведущее к обнажению шейки зуба (например, при пародонтите);
- расстройство функциональной активности щитовидной железы;
- высокая кислотность желудочного сока.
Методы лечения клиновидного дефекта основаны на предварительной оценке тяжести поражения зубной единицы. Если существует высокий риск перелома зуба, особенно если он депульпирован, показана установка коронки.
При глубоком поражении эмали, вплоть до слоя дентина, возникает угроза развития пульпита. В этом случае патологию реставрируют с помощью композита. По желанию пациента стоматолог может установить на зуб винир или коронку.
Если имеются жалобы только на повышенную чувствительность зуба, достаточно подобрать соответствующую зубную пасту и провести сеансы реминерализации эмали. При неэффективности такого подхода прибегают к установке пломбы. Чтобы предотвратить ее выпадение, отверстию в зубе придают определенную форму.
Флюороз
Заболевание флюороз возникает при избыточном поступлении в зубную ткань фтора при параллельном дефиците кальция. В результате в эмали зуба происходит изменение ее структуры, что проявляется в виде различных пятен, полос, изменения цвета.

Механизм развития патологии окончательно не выяснен. Считается, что главным фактором, провоцирующим ее возникновение, служит избыток фтора в пище и питьевой воде. Болезнь относят к эндемичным, кроме того, она носит хронический характер.
В детском возрасте причиной появления флюороза может стать неправильно подобранная зубная паста. Так как фтор при поступлении в организм ребенка накапливается быстрее, чем у взрослых, то использование фторсодержащих составов для чистки зубов может спровоцировать данную патологию.
Различают несколько видов флюороза
- Штриховый. Проявляется в виде хорошо или плохо выраженных белых полосок небольшого размера, которые со временем могут сливаться с образованием пятна.
- Пятнистый. При этой форме болезни на поверхности эмали появляются беловатые пятна (могут приобретать коричневый оттенок). Иногда они сливаются с образованием одного большого участка поражения.
- Меловидно-крапчатый. Пятна отчетливо выражены, могут быть белесыми, желтоватыми или иметь коричневый оттенок. Флюороз в такой форме может поражать все зубы. Эмаль при этом сильно подвержена стиранию.
- Эрозивный. На пигментированной эмали выделяются участки эрозии и места, на которых она полностью отсутствует. Данный вид флюороза характеризуется повышенным стиранием не только эмалевого слоя, но и дентина.
- Деструктивный. В результате эрозий и разрушения твердых слоев зуба происходит его частичный отлом или полная утрата коронки.
Лечение флюороза зависит от его формы. Например, в случае наличия пятен возможно проведение шлифовки зуба, отбеливающих процедур, реминерализующих методик. Если диагностируются две последние формы, то зуб восстанавливают до первоначального вида с помощью коронок или виниров. Одновременно проводят контролирующие поступление фтора мероприятия, а также применяют методы, направленные на нормализацию оттенка эмали.
Травмы зубов

К травмам зубов относятся различные повреждения их структур. Это может быть перелом какой-либо части зуба, скол, ушиб и так далее. К травмированию может привести удар, например, при занятиях некоторыми видами спорта (бокс) или во время драки. Получить травму можно и при езде на велосипеде (о руль), в аварии, при падении и во многих других ситуациях. Скол зуба возможен и при попытке разгрызть твердые орехи или сухарь. Среди прочих причин, приводящих к травме зубов, следует отнести неопытность или небрежное отношение стоматолога при установке штифта, препарирования зуба.
Терапия зависит от вида повреждения. Так, при переломе коронковой части зуба на оставшийся корень устанавливают протез. Если же сломан корень, то зубную единицу, как правило, сразу же удаляют. В случае скола образовавшийся дефект восстанавливают с помощью композитного материала или винира (коронкой). В каждом случае травмирования зуба ему обеспечивают щадящий режим.
Лечение некариозных поражений зубов в «Смайл-Дент»
Для лечения любых видов некариозных поражений зубов вы можете обратиться в Центр имплантации и стоматологии «Смайл-Дент» в Красноярске. Наши специалисты имеют за плечами большой опыт восстановления и лечения подобных нарушений. Мы используем только качественные, соответствующие мировым стандартам материалы и малоинвазивные методики. В приоритете – максимально возможное сохранение собственных зубов пациента.
Лечение передних зубов

Лечение передних зубов является важной и ответственной процедурой стоматологического вмешательства. Процесс их лечения является трудоёмким и сложным из-за анатомии и расположения. Кроме этого врачу необходимо учитывать эстетический фактор, передние зубы видны при улыбке и после лечения не должны отличаться от остальных.
Показания
Показаниями к лечению передних зубов являются такие заболевания: кариес, пульпит, периодонтит, клиновидный дефект, эрозия эмали, флюороз, гипоплазия. Лечение проводится при любых функциональных или эстетических нарушениях тканей зуба. Самым частым поводом для посещения стоматолога является кариозным процесс. Кариозный дефект может располагаться на передней или задней поверхности, возле десны или режущего края зуба или на контактных поверхностях между зубами.
Виды лечения передних зубов
- Постановка пломбы – это самый простой и распространённый способ. Он применяется при небольшом дефекте зуба – поверхностном и начальном кариесе, а также при расположении дефекта с внутренней стороны. Пломба подбирается по цвету и не заметна для окружающих.
- Художественная реставрация зуба – это восстановления анатомии, формы и цвета зуба при больших его разрушениях или дефектах на фронтальной поверхности. Такое лечение имеет более высокую стоимость, так как требует специальных профессиональных навыков у стоматолога и проводится с применением высоко эстетических стоматологических материалов. проводится при воспалении нерва (пульпите) и распространении инфекции за корень зуба (периодонтите).
- Изготовление винира проводится для исправления формы, положения или цвета зубов. Виниры представляют собою тонкую прочную и эстетичную пластинку на переднюю часть зуба. или вкладка с коронкой. Конструкции изготавливаются при разрушении анатомической коронки зуба более 1/3 и после пломбирования корня. Этот способ лечения является последним шансом уберечь зубы или их кони от удаления.
Следует заметить, что первые три вида являются способами терапевтического лечения, а изготовление коронки и виниров – это ортопедическое лечение, при котором конструкцию изготавливает зубной техник, а стоматолог фиксирует на зуб.
Особенности
Особенностями терапии передних зубов является необходимость обезболивания, так как зубы имеют не толстый слой дентина и у пациента могут возникать неприятные и болевые ощущения. Второй особенностью является необходимость создания высокой эстетики зубов, цвет зубов и их форма не должны отличатся от других. Для этого врачу необходимо подобрать необходимый цвет эмали, дентина, учитывать прозрачность зуба и попадание света.
Как происходит лечение передних зубов
При посещении стоматолога проводится осмотр зубов и полости рта, при необходимости врач проводит рентгенографию для установки точного диагноза. Далее врач подбирает способ лечения, учитывая пожелания пациента. В среднем лечение одного зуба длится около часа, при возникновении болезненных ощущений доктор проводит обезболивание с помощью карпульного шприца и высокоэффективных анестетиков.

Цена стоматологических процедур будет зависеть от степени разрушения зуба, выбора конструкции, стоимости стоматологических материалов. Можно провести качественное и эстетическое лечения передних зубов в Краснодаре любой сложности в стоматологических клиниках «Эскулап», для записи на прием следует позвонить по телефону указанному на сайте.
Читайте также:
