Теория морфологических и функциональных нарушений яичников при поликистозе
Добавил пользователь Валентин П. Обновлено: 19.11.2025
1 ФГБОУ ВО «Пермский государственный медицинский университет им. акад. Е.А. Вагнера» Минздрава России
В данной статье рассматривается патологическая физиология синдрома поликистозных яичников. Описаны основные симптомы и жалобы женщин, страдающих данным синдромом. В статье представлены и разъяснены основные классификации данного синдрома, такие как классификация по этиологическому, морфологическому признакам, а также классификация, основанная на особенностях патогенеза. Подробно разъяснены особенности патогенеза синдрома поликистозных яичников в зависимости от уровня гуморальной регуляции, на котором произошло поражение. Последовательно объяснены современные взгляды на развитие всех ступеней патогенеза с объяснениями влияния релизинг-гормонов, половых гормонов на формирование данного заболевания. Затронут вопрос наследственной обусловленности заболевания в контексте сочетания синдрома поликистозных яичников с другими нарушениями и заболеваниями, к которым наблюдается наследственная предрасположенность. Приведен современный взгляд на связь формирования клеточной инсулинрезистентности и обмена половых стероидов.
1. Гинекология: учебник ‒ 4-е изд., перераб. и доп. /Б.И. Баисова, Д.А. Бижанова, В.Г. Бреусенко и др.; под ред. Савельевой Г.М. ‒ М., ГЭОТАР-Медиа, 2012. ‒ С. 101 ‒ 110.
2. Инсулинорезистентность и гиперандрогенемия / В.Л. Бородина, О.Б. Главнова, Е.В. Мишарина и др. // Журнал акушерства и женских болезней. ‒ 2016. ‒ № 1. ‒ С. 54-61.
3. Овсянникова Т.В. Синдром поликистозных яичников, как причина нарушения репродуктивной функции // РМЖ. ‒ 2000. ‒ №18. ‒ С. 755.
4. Петровский Б.В. Большая медицинская энциклопедия– 3-е изд / гл. ред. Б.В. Петровский // Штейна-Левенталя синдром . ‒ М., Советская энциклопедия, 1974–1989. ‒ Т. 27. ‒ С. 421.
6. Экспериментальные модели в патологии: учебник/ В.А. Черешнев, Ю.И. Шилов, М.В. Черешнева, Е.И. Самоделкин, Т.В. Гаврилова, Е.Ю. Гусев, И.Л. Гуляева. ‒ Пермь: Перм. гос. ун-т., 2011. ‒ С. 267.
Репродуктивная система женщины является невероятно сложной и тонкой системой, отвечающей не только за зачатие, вынашивание и рождение ребенка, но и за настроение, сексуальное влечение, хорошее самочувствие и здоровье в целом. В настоящее время заболевания женского организма являются распространенной проблемой в Российской Федерации и мире в целом. Всего существует три вида заболеваний женской половой системы: воспалительные, гиперпластические и гормональные. Что касается последних, то нарушения в работе желез внутренней секреции (гипофиза, гипоталамуса, надпочечников, яичников и других) могут стать причиной нарушения фертильной функции женщины, сказаться на качестве ее сексуальной жизни и внешнем облике. Одним из распространенных общих гормональных расстройств у женщин детородного возраста является синдром поликистозных яичников (далее - СПКЯ).
Название этого заболевания происходит от морфологических изменений в яичнике - в них образуется большое количество мелких кист, представляющих собой фолликулы, которые наполнены жидкостью и содержат незрелые яйцеклетки. Кисты располагаются по внешнему краю каждого яичника. Заболевание представляет собой патологию структуры и функции яичников на фоне нейрообменных нарушений с хронической ановуляцией и гиперандрогенией [5]. Оно является частой причиной нарушения менструальной и репродуктивной функции у женщин (у подавляющего большинства женщин с данным заболеванием диагностируется первичное бесплодие).
Симптомами заболевания часто являются олигоменорея (увеличение промежутка между менструациями, скудные, редкие менструации) и аменорея (отсутвтвие менструации на протяжении нескольких менструальных циклов), болезненные менструации. Женщины и девушки могут жаловаться на повышенный рост волос на груди, животе, руках, лице, а также на избыточный вес, причем жировые отложения локализуются в области живота. Их беспокоят перепады настроения, раздражительность, плаксивость (дисфория), депрессивные настроения. Появляется акне, кожа становится жирной, может появиться себорея. В большинстве случаев женщины жалуются на невозможность забеременеть [4].
Существует несколько классификаций СПКЯ. Классификация по этиологиескому фактору подразделяет его на истинные поликистозные яичники (синдром Штейна-Левенталя) и вторичные. Причина развития первого - наследственный дефект ферментных систем яичников. Формирование вторичных поликистозных яичников происходит под влиянием любого фактора, не являющегося генетическим дефектом. Это могут быть различные травмы, инфекции, интоксикации, стрессы, эндокринопатии или центральные нарушения. На сегодняшний день эта классификация многими учеными считается нецелесообразной, так как на практике, во-первых, первопричину бывает трудно определить, а во-вторых, подразделение этой первопричины на «первичную» и «вторичную» довольно-таки условное.
Следующая классификация основывается на том, что увеличение яичников в размерах является характерным симптомом для заболевания, но не обязательным. Соответственно, выделяют I тип, при котором наблюдается увеличение яичников, и II тип, при котором этого не происходит.
Общепринятой считается классификация, предложенная М.Л. Крымской. Она подразделила СПКЯ по патогенетическому признаку на три формы в зависимости от того, на уровне каких желез внутренней секреции происходит сбой и впоследствии формируется гиперандрогения. Согласно данной классификации, выделяют типичную, центральную и смешанную формы СПКЯ. При типичной форме развивается гиперандрогения овариального (яичникового) генеза. Именно ее раннее называли синдромом Штейна-Левенталя, или первичными поликистозными яичниками. Центральная форма СПКЯ формируется как следствие расстройств в гипоталамо-гипофизарной системе и, как итог, широкий спектр нейрообменно-эндокринных нарушений, в результате которых запускается каскад расстройств в остальных железах внутренней секреции. Смешанная форма СПКЯ характеризуется гиперандрогенией, развившейся в результате расстройств эндокринной функции как яичников, так и надпочечников [1].
В настоящее время единого подхода к описанию патогенеза СПКЯ не найдено. Данное заболевание необходимо рассматривать с нескольких позиций.
С позиции дезорганизации процессов на уровне гипоталамуса, согласно современным взглядам, пусковым механизмом формирования синдрома является расстройство цирхорального ритма секреции релизинг-гормона лютеинзирующего гормона. Существуют эндогенные и экзогенные факторы данного процесса, которые могут оказывать свое воздействие либо на уровне надгипоталамической области, либо на уровне самого гипоталамуса. Формирование нарушений секреции на уровне гипоталамуса провоцирует сдвиги секреции на уровне гипофиза [6].
На уровне гипофиза нарушения цирхорального цикла выделения релизинг-фактора лютеинзирующего гормона вызывают нарушение секреции гонадотропинов, а именно - фолликулостимулирующего гормона и лютеинзирующего гормона. Необходимо оговориться, что в норме для эффективного фолликулогенеза и овуляции необходимо четко определенное соотношение гонадотропинов. Отношение содержания лютеинзирующего гормона к содержанию фолликулостимулирующего не должно превышать 2,5. Однако при СПКЯ в результате нарушения релизинг-гормонов секреция лютеинзирующего гормона повышается, а секреция фолликулостимулирующего гормона либо не меняется, либо снижается. Помимо этого, пропадает преовуляторный пик секреции лютеинзирующего гормона - ее характер становится тоническим и монотонным. При синдроме поликистозных яичников отношение содержания ЛГ к содержанию ФСГ превышает 2,5 и может достигать 5 и даже 6 при первичных поликистозных яичниках или синдроме Штейна-Левенталя [3]. Данные изменения в соотношении влекут за собой дезорганизацию процессов на уровне яичников.
К формированию гиперандрогении под влиянием нарушения синтеза половых гормонов в яичниках ведет два пути. Во-первых, в клетках структур яичников существуют рецепторы к фолликулостимулирующему гормону (на клетках гранулезы) и лютеинзирующему гормону (на клетках внутренней оболочки фолликула). Так как секреция лютеинзирующего гормона повышена, происходит избыток влияния его на клетки внутренней оболочки фолликула, которые, в свой черед, начинают синтезировать большее количество андрогенов, что вызывает развитие гиперандрогении. Во-вторых, происходит формирование дефицита влияния фолликулостимулирующего гормона на клетки гранулезы. Под влиянием клеток гранулезы находится активность внутриклеточных ФСГ-зависимых овариальных ароматаз, которые необходимы для превращения андрогенов в эстрогены. Так как имеется недостаточность влияния фолликулостимулирующего гормона на клетки гранулезы, то и снижается активность соответствующих овариальных ароматаз. В результате нарушается метаболический переход андрогенов в эстрогены, снижается количество эстрадиола и точно так же формируется стойкая гиперандрогения, которая является характерным и обязательным элементом в формировании СПКЯ.
Повышение содержания андрогенов в крови женщины тормозит процессы роста фолликулов и их созревания. Помимо этого, дефицит фолликулостимулирующего гормона тоже влияет на фолликулогенез, а именно - это влияние снижается, соответственно, адекватного формирования фолликулов не происходит. Они останавливаются на стадии первичных или реже вторичных фолликулов, долгое время персистрируют и становятся атретичными, формируется кистозная атрезия яичников, которая является облигатным признаком СПКЯ. Кистозная атрезия, в свою очередь, становится очередным звеном в цепи патогенеза, ведь кистозно-атретические фолликулы сами являются источником повышенной продукции андрогенов, поддерживая гиперандрогению. Именно так и замыкается порочный круг патогенеза, когда заболевание становится способным «поддерживать самого себя». Естественно, что в данных условиях незавершенного фолликулогенеза, стойкеой гиперандрогении и отсутствия преовуляторного пика секреции лютеинзирующего гормона овуляция происходить не может, и в организме женщины устанавливается ановуляция.
Как уже было сказано выше, это часто становится причиной первичного бесплодия женщин репродуктивного возраста.
Что касается избыточного влияния лютеинзирующего гомона, секреция которого, как было сказано выше, происходит сверх нормы и является монотонной, то для яичников оно так же не проходит бесследно. А именно - развивается гиперплазия стромы, а также наблюдаются процессы склерозирования капсулы под влиянием избыточного количества андрогенов. Это и является причиной симметричного увеличения яичников в размерах. Данные морфологические изменения еще в 1928 г. обнаружил С.К. Лесной при гистологическом исследовании яичников после их резекции у больных женщин с нарушениями менструального цикла. Однако нужно повториться, что увеличение яичников является характерным признаком, но совсем не обязательным.
Так же имеются данные исследований, указывающие на то, что дефицит яичниковых ароматаз играет роль в развитии СПКЯ [2]. В добавок к этому, в последнее время возобновился интерес к первичному генетически детерминированному дефекту ферментных систем яичников и надпочечников, в результате которого нарушается стероидогенез и нарушаются процессы созревания и роста фолликулов. Однако данная гипотеза подвергается сомнениям, так как на настоящий момент не существует достоверных данных о наличии мутаций в генах, экспрессия которых отвечает за синтез соответствующих ферментов. Тем не менее, существует мнение что СПКЯ является наследственно-обсуловленным заболеванием, так как у родственников пациенток, страдающих этим недугом, часто обнаруживаются такие заболевания и нарушения, как сахарный диабет второго типа, ожирение, артериальная гипертензия, нарушения менструальной функции и другие. Тип наследования до конца не изучен.
Также необходимо отметить, что в последние годы повысился интерес к развитию СПКЯ в контексте такой насущной проблемы, как формирование резистентности к инсулину [3]. Существуют данные, что даже в пубертантном периоде и при отсутствии ожирения у пациенток с рассматриваемым поражением ячников может формироваться толерантность к глюкозе. У десятой доли женщин в менопаузе, страдающих СД II типа, наблюдается СПКЯ. Это означает, что наличие поликистозных яичников может являться фактором риска формирования сахарного диабета второго типа, что повышает актуальность проблемы.
Сегодня подход к пониманию механизмов этих процессов является следующим. У пациентов под влиянием тех или иных факторов происходят пострецепторные изменения инсулиновых рецепторов. Клетки приобретают инсулинорезистентность. В качестве ответа на тканевую резистентность развивается компенсаторная гиперинсулинемия. Инсулин тормозит синтез глобулина в печени, который связывает половые стероиды [2].
Совершенно очевидно, что единого подхода к представлениям о патогенезе синдрома поликистозных яичников на данный момент не существует. Однако представляется возможным выделить некие общие факторы, которые помогут составить о нем представление. К этим факторам можно отнести нарушение ввиду тех или иных причин центральных регулирующих механизмов женской репродуктивной системы; нарушения стероидогенеза ввиду тех или иных причин, а также местные нарушения функции яичников.
Теория морфологических и функциональных нарушений яичников при поликистозе
В течение длительного времени считали, что чрезмерное утолщение белочной оболочки яичников механически препятствует наступлению овуляции и ведет к кистозному их перерождению. Утолщение белочной оболочки яичника объясняли воспалительными процессами, склерозированием его сосудов, интоксикацией и нарушением кровоснабжения яичников при неправильных положениях матки (например, retroflexio uteri).
В пользу теории о значении механического препятствия для развития поликистозных яичников приводились данные о благоприятных результатах клиновидной резекции яичников. Evans и Riley рассматривают ановуляторные циклы различного генеза как «прелюдию» поликистоза яичников. Авторы считают, что постепенное снижение уровня эстрогенов при поликистозных яичниках не может вызвать экскреции ЛГ гипофизом в количестве, достаточном для наступления овуляции.
Это создает порочный круг в системе яичник — гипофиз. По мнению других авторов, кумулятивное действие ЛГ вызывает гипертрофию и лютеинизацию theca interna, что и создает препятствие для овуляции.

Некоторыми авторами получены интересные данные о биосинтезе гормонов в яичнике, которые позволяют рассматривать патогенез поликистозных яичников с новых позиций [Mahesh, et al., Aydar, Roy, Leventhal, Scommenga]. Установлено, что существуют два типа нарушения биосинтеза стероида в поликистозных яичниках.
При первом типе биосинтеза в яичнике образуется большое количество андростендиона и 17а-гидроксипрогестерона, при втором — в поликистозных яичниках образуется много ДНА. В зависимости от того, какой энзим повреждается, изменение метаболизма стероидов в яичнике происходит по первому или второму типу. При первом типе в поликистозных яичниках возникают нарушение ароматизации кольца А и последующее нарушение превращения андростендиона в эстрогены; вследствие этого накапливаются в избыточном количестве андростендион и его предшественник 17а-гидроксипрогестерон.
При втором типе появляется дефект энзима 36-ол-дегидрогеназы, в результате чего нарушается превращение прегненолона в прогестерон; биосинтез гормонов идет по другому пути и образуется большое количество ДНА [Sterba, Starma]. Схематически эти два пути биосинтеза стероидов в поликистозных яичниках можно представить следующим образом.
Резюмируя, мы можем сказать, что в патогенезе поликистозных яичников большая роль принадлежит нарушениям в системе гипоталамус — гипофиз — надпочечники — яичники.
В последние годы установлено [Givens], что при склерокистозных яичниках отмечается умеренное повышение андростеидиона (до 1000 нг/100 мл) и тестостерона (до 200 нг/100 мл). Если эти показатели оказываются выше, то следует подозревать наличие маскулинизирующей опухоли яичника или надпочечника.
Диагностика синдрома Штейна—Левенталя. Гормональные нарушения при поликистозе яичников
Диагноз поликистозных яичников, или синдрома Штейна — Левенталя, ставится при обнаружении плотных, умеренно увеличенных яичников в сочетании с указанными выше клиническими симптомами и обнаружением повышенного содержания андрогенов. При этом следует учитывать данные анамнеза, которые указывают на начало заболевания в ближайшие годы после наступления полового созревания. Одновременно нарастают явления гирсутизма, а иногда и ожирения. Характерная особенность синдрома Штейна—Левенталя—медленное нарастание симптомов заболевания.
У больных с поликистозными яичниками часто наблюдаются ановуляторные циклы (монофазная базальная температура, стойкая третья реакция влагалищного мазка, низкие показатели «цервикального числа», отсутствие фазы секреции в эндометрии). У большинства больных эндометрий находится в стадии пролиферации; наряду с этим иногда (20%) возникает гиперплазия эндометрия [Железное Б. И.]. Эти особенности эндометрия можно объяснить тем, что тека-клетки могут вырабатывать и андрогены, и эстрогены [Leventhal] с переходом в печени андрогенов в эстрогены [Mahesh et al.], и, наконец, кумулятивным действием эстрогенов, образующихся, хотя и в небольшом количестве, во многих фолликулах.
Уровень эстрогенов при поликистозпых яичниках может быть снижен [Levi] или остается в пределах нормы (Jeffcoate). Наряду с этим в результате периферического превращения андростендиона в эстрогены могут наблюдаться гиперэстрогения и чрезмерное развитие молочных желез (Givens).
Содержание прегнандиола резко колеблется: оно то понижено [Kaskarelis, Jeffcoate], то повышено по сравнению с нормой [Levi]. Содержание 17-КС в моче при синдроме Штейна-Левенталя остается в пределах нормы или слегка повышено [Старкова Н. Т., Leventhal, Jeffcoate, Manesh et al., Decourt et al.]. Обращает внимание отсутствие параллелизма между выраженностью гирсутизма и повышением 17-KC мочи. Некоторые авторы отмечают при сндроме Штейна—Левенталя выраженный гирсутизм и незначительное повышение 17-КС в моче. Это можно объяснить тем, что биологически малоактивные андрогены, вырабатывающиеся в яичнике, в печени превращаются в наиболее активный андроген (тестостерон), который выделяется в виде 17-КС мочи в незначительных количествах. Более типичным для синдрома Штейна—Левенталя является повышение андростендиона и этиохоланолона.
При этом установлено, что особенно повышается этиохоланолон, в результате чего индекс отношения его к андростерону бывает больше единицы [Soffer et al.]. Иногда определяют повышенные количества ДНА и прегнантриола [Mahesh et al.]. Однако большие количества дегидроэпиандростерона и прегнантриола могут быть и надпочечникового генеза, поэтому для уточнения источника образования этих гормонов необходимо поставить пробы с АКТГ, дексаметазоном или синтетическими прогестинами.
Проба с АКТГ (25—40 ЕД внутримышечно) при типичном синдроме Штейна—Левенталя не вызывает значительного повышения уровня 17-КС мочи, ДНА и прегнантриола [Bompiani, Mattioli, Decourt et al., Sterba, Sturma]. Наряду с этим Baron и Krzywinska указывают, что у 50% больных с синдромом поликистозных яичников содержание 17-КС в моче после введения АКТГ повышается, и объясняют это повышенной реактивностью коры надпочечников.

Пробу с дексаметазоном (0,5 мг дексаметазона 4 раза в течение 2 дней) следует проводить только при повышенном уровне 17-КС. мочи. Установлено, что после этой пробы содержание 17-КС мочи, прегнантриола и ДНА не изменяется и лишь иногда незначительно снижается уровень 17-КС мочи [Mahesh et al.]. Уменьшение его и прегнанового комплекса (прегнандиол, прегнантриол) после пробы с дексаметазоном указывает на надпочечниковый генез заболевания [Орлова В. Г. и др., Werder].
Уровень 17-КС мочи при поликистозных яичниках после пробы с ХГТ повышается [Sterba, Sturma], в то время как уровень 17-КС мочи надпочечникового происхождения не изменяется [Brooksbank]. Это объясняется тем, что ХГТ стимулирует хилюсные клетки яичника, вырабатывающие андрогены. Проведение этой пробы после предварительного угнетения функции надпочечника дексаметазоном вызывает значительное повышение андростендиоиа и этиохоланолона яичникового происхождения [Decourt et al.]. При этом необходимо отметить, что при исходно высоком уровне ЛГ проба с ХГТ малоинформативна.
Проба с ФСГ также позволяет выявить особенности биосинтеза гормонов при синдроме Штейна—Левенталя и обнаруживает повышение апдрогенов яичникового происхождения. После подавления функции надпочечника дексаметазоном она вызывает повышение ДНА, андростендиоиа, этиохоланолона и 17-КС мочи [Mahesh et al.].
Проба с прогестероном (введение 60 мг масляного раствора 17а-гидроксипрогестерона-капроната) [Sterba, Sturma] вызывает блокаду ЛГ гипофиза и ведет к снижению 17-КС мочи яичникового происхождения.
Sterba и Sturma считают, что проба с прогестероном имеет большее значение для диагноза синдрома Штейна—Левенталя, чем проба с ХГТ. В настоящее время рекомендуется последовательно назначать дексаметазон, а затем синтетические прогестины, которые вызывают более выраженное снижение 17-КС у больных со склерокистозными яичниками [Benjamin]. Далеко не всегда при диагностике синдрома Штейна — Левенталя приходится применять столь сложные гормональные методы исследования. Иногда для подтверждения диагноза бывает вполне достаточно произвести кульдоскопию или лапароскопию, чтобы обнаружить характерные макроскопические особенности поликистозных яичников.
Для диагностики склерокистозных яичников начали с успехом широко использовать метод рентгенопельвиографии или гинекографии. Эти методы дают возможность судить не только об истинном увеличении яичников, но и о степени уменьшения размеров матки. Borghi и соавт., Побединский Н. М. и соавт., применяя гинекографию, установили, что поликистозные яичники увеличиваются не только в поперечном размере, приобретая яйцевидную форму, но и в продольном, принимая форму финика. Разница между размерами яичников, определяемыми рентгенологически и во время операции, всего лишь ±10%. Указанные выше авторы рекомендуют сравнивать сагиттальный размер матки с длиной яичника. В норме этот индекс всегда больше единицы, а при поликистозных яичниках — меньше, т. е. длина яичника больше толщины матки.
Применение гинекографии с измерением яичников и определением индекса значительно облегчает своевременную правильную диагностику, особенно когда яичники увеличены незначительно.
Метод гииекографии приобретает определенную диагностическую ценность еще и потому, что установлена определенная зависимость между степенью нарушения менструальной функции и увеличением размеров яичников; чем они больше, тем чаще встречаются спанио- и аменорея [Borghi ct al.].
Следовательно, современные методы исследования дают возможность своевременно диагностировать синдром Штейна — Левенталя и вовремя рекомендовать рациональное лечение. При этом следует иметь в виду, что в патологический процесс может вовлекаться и кора надпочечника, в результате чего развивается картина и адреногенитального синдрома. Это нередко затрудняет диагностику. У подобных больных для уточнения диагноза необходимо произвести рентгенографическое исследование в условиях ретропневмоперитонеума с дексаметазоном или с дексаметазоном и кломифеном.
Синдром склерокистозных яичников (Штейна — Левенталя)
В настоящее время представление о синдроме склерокистозных яичников настолько расширилось, что некоторые авторы включают в этот синдром и другие заболевания яичников, а также болезни коры надпочечника и гипоталамо-гипофизарной системы.
В то же время при наличии типичного синдрома Штейна—Левенталя у половины больных обнаруживается и надпочечниковая гиперандрогения [Петухова Л. В., Givens]. Имеется также указание, что склерокистозные яичники встречаются в 10 раз чаще, чем, маскулинизирующие опухоли яичника (Scully).
Морфологические особенности. Размеры склерокистозных яичников большей частью бывают 6х5х3 см, а размеры нормальных—3,8х2х1,2 см [Тонков В. Н.]. Происходит гиперплазия клеток thecae interna [Tillinger, Westman, Jones, Toth]. Интенсивность склероза может быть различной при одинаковой клинической картине заболевания [Gyves]. Чрезмерное разрастание фиброзной соединительной ткани при склерокистозных яичниках ведет к утолщению коркового и мозгового слоев яичников, что наряду с увеличением кистозно-атрезирующихся фолликулов обусловливает их увеличение. Raj и соавт. считают, что морфологические изменения в яичниках при синдроме Штейна—Левенталя формируются вторично вследствие нарушения в них стероидогенеза и избыточного образования андрогенов.
Если морфологические изменения в яичнике ограничиваются только мелкокистозным их перерождением — degeneratio nicrocystica ovarii, это обусловливает гиперэстерогенизм и часто наблюдается при миомах матки и ановуляторных кровотечениях. Отождествление мелкокистозных яичников с поликистозными при синдроме Штейна — Левенталя [Шушания П. Г.] вносит путаницу в понятие синдрома Штейна—Левенталя или синдрома склерокистозных яичников.

Отсутствие увеличения яичников при гипертекозе и часто сочетающаяся гиперплазия коры надпочечника с гипертекозом [Benedict et al.] заставляют многих считать гипертекоз отдельной формой заболевания.
Патогенез поликистозных яичников до сих пор остается окончательно невыясненным. Существующие многочисленные теории их возникновения в конечном счете сводятся к тому, что в основе их развития лежат гормональные нарушения. Однако одни авторы объясняют развитие поликистозных яичников нарушением функции гипоталамо-гипофизарной системы, другие — нарушением функции коры надпочечника, третьи— патологией яичников.
Теория избыточного выделения ФСГ гипофизом как причины развития поликистозных яичников основывается на том, что в эксперименте введение ФСГ гипофиза ведет к резкому (в 5 раз) увеличению яичников и повышению секреции ДНА, андростерона и этиохоланолона яичником [Mahesh, Greenblatt].
При вскрытии у 7 из 12 женщин с синдромом поликистозных яичников, умерших от случайных причин, было обнаружено увеличение базофильных клеток в передней доле гипофиза, секретирующих ФСГ и АКТГ [Sommers, Wadman]. Наряду с этим Gemzell и др. установили, что после введения ФСГ гипофиза больным с поликистозными яичниками появляется овуляция; у 2 женщин наступила беременность, закончившаяся родами двойней. Вместе с тем, по данным Morris и Scully, в эксперименте на обезьянах при введении ФСГ не возникло типичных поликистозных яичников с утолщением их белочной оболочки и склерозированием стромы.
Гормональные исследования не обнаруживают повышения уровня гонадотропинов в моче при поликистозных яичниках, поэтому мы согласны с Leventhal, что роль ФСГ гипофиза в формировании поликистозных яичников еще не доказана. Теория избыточного выделения ЛГ гипофизом как причины развития поликистозных яичников основывается на том, что некоторые авторы [Fisher, Riley, Traymor, Barnard, Givens] обнаружили повышение выделения ЛГ у 50% больных с поликистозными яичниками, а также в большинстве случаев лютеинизацию клеток thecae internae. Ingersoll и McArthur обследовали 6 больных с поликистозными яичниками и выявили у них значительные колебания ЛГ гипофиза: каждый 4-й день содержание ЛГ достигало высокого уровня с последующим падением. У 13 женщин с нормальным менструальным циклом уровень ЛГ повышался только перед овуляцией и в лютеиновой фазе цикла.
Sterba и Sturma показали, что при центральном, а также при периферическом происхождении поликистозных яичников происходит избыточное выделение ЛГ гипофизом. Эти авторы считают, что при центральном происхождении поликистозных яичников избыточное выделение ЛГ гипофизом наступает вследствие нарушения гипоталамо-гипофизарных отношений, при периферическом происхождении поликистозных яичников повышение уровня ЛГ происходит вследствие нарушения биосинтеза прогестерона из прегненолона, обусловленного недостатком энзима Зb-ол-дегидрогеназы. Недостаточное количество прогестерона в яичнике поддерживает длительное и повышенное выделение ЛГ гипофизом. Sterba и Sturma успешно лечили больных с синдромом поликистозных яичников большими дозами прогестерона: в процессе лечения снижался уровень ЛГ и уменьшалась выработка андрогенов яичником.
Givens в 1979 г. предложил пробу с синтетическими прогестинами (норэтнинондрон 2 мг и местранол 0,1 мг) для выявления яичниковой гиперандрогении, обусловленной избыточным выделением ЛГ. Эта проба оценивается как положительная, если после применения синтетических прогестинов в течение 16—20 дней происходит снижение содержания андростендиона, тестостерона и ЛГ в плазме.
Leventhal, Soffer и соавт. также считают, что избыточное выделение ЛГ гипофизом ведет к развитию поликистозных яичников. Однако у некоторых больных не было обнаружено постоянного повышения ЛГ [Богданова Е. А., Evans, Riley]. Ingersoll и McArthur нашли значительные колебания в выделении ЛГ в течение менструального цикла (резкое падение каждый 3—4-й день). Эти данные свидетельствуют о том, что при синдроме Штейна — Левенталя нарушается выделение ЛГ гипофизом: оно периодически то повышается, то снижается.
Киста яичника - симптомы и лечение
Что такое киста яичника? Причины возникновения, диагностику и методы лечения разберем в статье доктора Климанова Александра Юрьевича, гинеколога со стажем в 20 лет.
Над статьей доктора Климанова Александра Юрьевича работали литературный редактор Елена Бережная , научный редактор Сергей Федосов
Определение болезни. Причины заболевания
Киста яичника (греч. «kystis» — мешок, пузырь) — одно из наиболее распространенных доброкачественных гормонозависимых непролиферирующих образований, представляющих собой полость с жидкостным содержимым. Кистозные образования различны по этиологии, морфологии, клинической картине заболевания, а также тактике их лечения.
Киста может возникать в левом и правом яичниках, локализация на течение заболевания не влияет.
По данным различных авторов, каждая третья женщина репродуктивного возраста сталкивалась с подобной проблемой. Часто встречаются кисты яичников и у девочек в возрасте 12-15 лет (55,8% случаев). [1]
Условно можно выделить две группы: функциональные кисты (фолликулярные, текалютеиновые, кисты желтого тела) и истинные (кистомы — серозные, муцинозные, эндометриодные, тератомы и редкие).

Чем отличается киста от кистомы
Кистома — устаревший термин. Сейчас применяют термин цистаденома — доброкачественная опухоль яичника кистозного строения. Рост кист яичника обусловлен увеличением и накоплением жидкостного содержимого в полости, что и отличает их от кистом.
Причины кисты яичника
Факторы риска:
- гормональные дисфункции;
- ранний возраст менархе;
- нарушение менструального цикла;
- стимуляция овуляции при подготовке к программе ЭКО, заболевания яичников воспалительного характера (сальпингоофориты и офориты);
- гипотериоз;
- метаболический синдром;
- хирургические вмешательства (операции и аборты).
Также к факторам риска возникновения кист яичников можно отнести наследственную предрасположенность, тяжелые и вредные условия труда, психоэмоциональное перенапряжение, нарушение питания (строгие монодиеты). Однако в большинстве случаев причины появления кист яичников неизвестны.

При обнаружении схожих симптомов проконсультируйтесь у врача. Не занимайтесь самолечением - это опасно для вашего здоровья!
Симптомы кисты яичника
Зачастую пациентки даже не догадываются о наличии кист из-за их слабой симптоматики. Нередко женщины узнают о своем диагнозе на плановом профилактическом осмотре или при обследовании по поводу другого заболевания. Но все же можно выделить ряд симптомов, указывающих на развитие кисты яичника:
- сбой менструального цикла;
- болевые ощущения при половом акте;
- лабильность настроения (предменструальный синдром) [2] .
Тошнота, увеличение окружности живота, боли при мочеиспускании для кисты яичника не характерны.
Фолликулярные кисты носят, как правило, односторонний характер появления и имеют бессимптомное течение. В размерах такие кисты могут быть от трёх до восьми см, хорошо пальпируются при влагалищном исследовании. В большинстве случаев через два месяца наступает спонтанное разрешение кисты.
Несмотря на достаточно благополучное течение заболевания, могут наблюдаться осложнения, сопровождающиеся картиной острого живота: сильной и резкой болью, симптомами раздражения брюшины, повышением температуры, тошнотой.
Патогенез кисты яичника
На данный момент патогенетические аспекты кист яичников вызывают много споров. Функциональные кисты яичника — это гормонозависимые образования, которые развиваются из граафовых пузырьков под воздействием на яичники стимуляции гонадотропина (также при ранней активации гипоталамо-гипофизарной системы) или на фоне воспалительных заболеваний, в кистозно-атрезирующем фолликуле происходит накопление жидкости.
Механизм появления лютеиновых кист сопряжен и с увеличением выработки гонадотропного гормона, однако это не является основным фактором; воспалительные процессы в яичниках затрудняют отток жидкости в связи с тем, что нарушаются функции лимфатической и кровеносной систем. Помимо этого, наличие у пациенток в анамнезе заболеваний, передаваемых половым путем, также увеличивает вероятность возникновения кист яичников. [3] [4]
Классификация и стадии развития кисты яичника
Функциональные кисты
К ним относятся:
- Фолликулярная киста возникает в первую фазу цикла из доминантного фолликула. Полость таких кист имеет гладкую поверхность и тонкие стенки, нередко возможно образование сразу нескольких фолликулярных кист, однако они всегда состоят из одной камеры, не имеющей перегородок.
- Киста жёлтого тела образуется из не подвергшегося инволюции жёлтого тела, в котором может происходить скопление серозной или геморрагической жидкости. КЖТ имеет утолщённые стенки.
Геморрагические кисты
Геморрагические кисты образуются вследствие разрыва фолликулярной кисты или кисты жёлтого тела и кровоизлиянием внутрь их.
Геморрагические кисты подразделяют на следующие виды:
- Эндометриоидные кисты формируются в результате разрастания эндометрия в яичнике. Стенки таких кист имеют неравномерную васкуляризацию, а также очаги кровоизлияний, [5] содержимое эндометриоидных кист имеет характерный "шоколадный" оттенок.
- Дермоидные кисты — полости с полужидким содержимым, в составе которой заключены компоненты эмбриональных зародышевых листов, соединительнотканные производные: волосы, кожа, в некоторых случаях зачатки зубов. Такие кисты не склонны к быстрому росту.
Истинные кисты
Истинные кисты — эпителиальные опухоли, развивающиеся из эпителиальных компонентов яичника. Встречаются доброкачественные, пограничные и злокачественные
- Муцинозная — относится к доброкачественным эпителиальным опухолям. Такие кисты могут достигать значительных размеров и иметь не одну камеру. Содержимое кисты представлено секретом эпителия — муцином. Полости муцинозных кист имеют неровную поверхность.
- Серозная — также относится к группе доброкачественных эпителиальных опухолей; капсульная поверхность выстлана серозным эпителием.
- Герминогенная опухоль происходит из первичных половых клеток, часто достигает довольно крупных размеров, в 5 % случаев является злокачественной [6] .
Классификация на гормональные и не гормональные кисты яичника не используется.
Поликистоз яичников
Поликистоз яичников — это генетически детерминированное заболевание, не имеющее отношения к теме кист и цистаденом.
Осложнения кисты яичника
Наиболее частыми последствиями заболевания являются разрывы кист яичников, апоплексия, перекруты ножки кисты, кровоизлияния в полость кисты, а также их предперфорация. [7] Все осложнения кисты яичников необходимо дифференцировать с патологиями, имеющими картину острого живота: острый аппендицит, перфорация полого органа, внематочная беременность.
Чем опасна киста яичника
Апоплексия яичника — состояние, сопровождающееся нарушением целостности тканей яичника, в результате которого происходит кровоизлияние жидкости в брюшную полость. Причинами может послужить интенсивная физическая нагрузка, половой акт, беременность. [8] При апоплексии яичника основными жалобами пациенток являются боли внизу живота, иногда с иррадиацией в прямую кишку, кровянистые выделения из половых путей, общая слабость, повышение температуры, сухость во рту, тошнота, учащенное мочеиспускание. [9] В зависимости от формы апоплексии проводят консервативное или оперативное лечение. При развитии данного состояния необходима консультация специалиста.
Ножка, на которой располагается киста, соединяет её с тканью яичника. Если ножка несколько удлиненная, может случится ее перекрут, вследствие чего развиваются ишемические явления, обусловленные сдавлением сосудов и нервов. Пропустить такое состояние сложно, так как оно сопровождается продолжительной острой болью и требует незамедлительной госпитализации в стационар для хирургического вмешательства, иначе может развиться перитонит.
Если лопнула киста
Развитие воспаления в брюшной полости в результате разрыва кисты может привести к сепсису и нарушению нормального функционирования внутренних органов. Иногда разрывы кист больших размеров приводят к удалению яичника. Это последствие кисты яичника требует незамедлительного оперативного вмешательства, так как помимо опасности возникновения перитонита существует риск развития кровотечения.
Диагностика кисты яичника
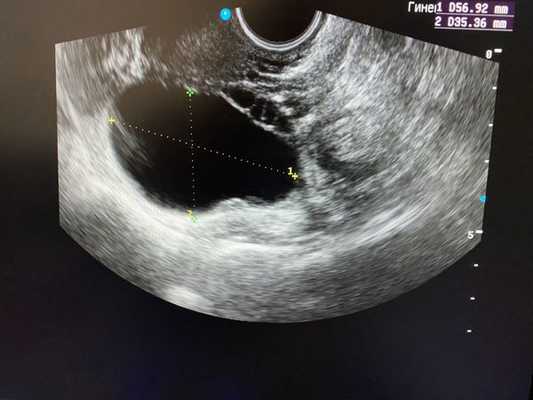
Ультразвуковое исследование органов малого таза является наиболее простым и высокоинформативным методом диагностики различных кист яичников.
Как выглядят при ультразвуковом обследовании нормальные яичники:

Как выглядят яичники при наличии кист:

При диагностике кист яичников не стоит полагаться только на инструментальные методы исследования, необходимо провести подробный сбор анамнестических данных, жалоб, особенностей менструального цикла пациентки, установление дня цикла, а также проведения теста на беременность в случае задержки, для исключения внематочной локализации плодного яйца. При бимануальном исследовании стоит обратить внимание на наличие, а также подвижность и болезненность патологических образований в проекции яичников.
Безусловно, проведение ультразвуковой диагностики трансабдоминальным и трансвагинальным датчиками позволит не только выявить локализацию кисты, но и определить ее структуру, размеры, характер жидкостного содержимого, определить тактику лечения пациентки. Особенностью фолликулярных кист при ультразвуковом исследовании является тонкостенная капсула с отсутствием сосочков внутренней стороны капсулы. [10] Диагностировать кистозные образования у беременных женщин значительно труднее, ввиду увеличения размеров матки на соответствующих сроках беременности, поэтому ультразвуковое исследование стоит проводить с ЦДК и доплерометрией [11] .
При выявлении кист у пациенток пожилого возраста, имеющих тяжелые соматические заболевания, с целью лечения применяется пункционная биопсия [12] .
Диагностическая лапароскопия позволяет не только провести визуальную оценку состояния органов малого таза, но и при необходимости расширить объем операции и удалить кисту, отправив ее содержимое на дальнейшее гистологическое исследование.
Дифференциальная диагностика
Дифференциальную диагностику проводят с другими образованиями придатков и матки: гидросальпинксом, тубовариальным воспалительным образованием, миомой на ножке. В сложных случаях дифференциальной диагностики кист яичников с злокачественными образованиями имеет смысл проведение магнитно-резонансной томографии [13] . Все осложнения кисты яичников необходимо дифференцировать с патологиями, имеющими картину острого живота: острый аппендицит, перфорация полого органа, внематочная беременность.
Анализы
Методы лабораторной диагностики для выявления кист не требуются. При подозрении на злокачественный процесс может быть назначен анализ крови на онкомаркеры СА125 и НЕ-4.
Лечение кисты яичника
Что делать при обнаружении кисты в яичнике
Консервативное лечение. В большом проценте случаев в отношении пациенток с функциональными кистами яичников стоит использовать выжидательную тактику, учитывая при этом размер кисты, ее локализацию, возможные осложнения, а также возраст пациентки и необходимость сохранения репродуктивной способности. Пациентам рекомендуется диетотерапия, лечебная гимнастика, рефлексотерапия. [15]
Медикаментозное лечение. При неосложнённом характере кист препаратами выбора являются двухфазные контрацептивы, витамины группы В и аскорбиновая кислота. [14]
Оперативное вмешательство. Абсолютными показаниями к оперативному лечению функциональных кист яичников являются их осложнения: разрывы кисты и перекрут ножки кисты яичника, относительным — апоплексия яичника (геморрагическая форма). В целях предупреждения развития онкопатологии истинные кисты всегда подвергаются хирургическому лечению.
Как лечить кисту яичника — это во многом будут предопределяться возрастом пациентки, репродуктивным статусом, а также типом кисты, ее размерами и локализацией. Передовые лапароскопические технологии позволяют провести операции с минимальной травматизацией даже пациенткам с кистами яичников больших размеров, а также во время беременности на различных сроках. [16]
У пациенток репродуктивного возраста предпочтение отдается органосохраняющим операциям, основным методом остается энуклеация кисты яичника, то есть рассечение тканей яичника без повреждения самого органа. Капсула кисты удаляется без ее вскрытия, что предотвращает обсеменение брюшной полости содержимым кисты. В случае, если технически данную процедуру провести не представляется возможным, проводится иссечение кисты яичника в пределах здоровых тканей. У пациенток в постменопаузальном периоде одинаково часто встречаются как доброкачественные, так и злокачественные образования яичников, поэтому рационально проведение аднексэктомии — радикального удаления яичника вместе с трубой. После проведенной операции все полученные материалы обязательно отправляются на исследование для установления гистотипа образования яичника.
Лечение лапароскопией. Основным методом лечения цистаденом является лапароскопия при которой через проколы передней брюшной стенки под контролем видеокамеры выполняется удаление образований в яичниках.
Киста яичника при беременности
Если киста во время беременности не вызывает болевых ощущений, то её не лечат.
Удаление кисты яичника при беременности
При быстром росте, подозрении на злокачественный процесс или не устраняемом болевом синдроме выполняется хирургическое лечение с сохранением беременности. На ранних сроках беременности возможно применение лапароскопии.
Реабилитация
После удаления цистаденом реабилитация не требуется. При лапароскопии пациентку выписывают на следующий день после операции.
Можно ли забеременеть при кисте яичника
Функциональна киста может стать препятствием для половой жизни. При цистаденоме трудности с зачатием возможны за счёт смещения и механического сдавления ткани яичника и нарушения анатомии малого таза.
Лечение народными методами
Эффективность и безопасность популярных народных средств для лечения кисты яичника, например корня лопуха, мумие, сока алоэ и прочих, не доказана.
Прогноз. Профилактика
Раз в год каждая женщина должна проходить профилактический осмотр у врача-гинеколога, ведь многие заболевания зачастую имеют бессимптомное течение или же сопровождаются незначительными клиническими проявлениями. Именно к таким патологиям относится киста яичника.
При функциональных кистах яичника достаточно благоприятный прогноз при их своевременном выявлении, динамическом наблюдении и правильно подобранной терапии. В ряде случаев кисты имеют склонность к рецидивам. [17]
Надежных профилактических мероприятий не существует, однако имеется ряд исследований, доказывающих снижение развития функциональных кист на фоне непрерывного приема монофазных комбинированных оральных контрацептивов. [18]
Читайте также:
