Травма голени. Переломы костей голени
Добавил пользователь Владимир З. Обновлено: 27.01.2026
Большеберцовая кость (лат. os tibia) — это длинная, крупная, кость голени. Состоит из тела и двух суставных концов. Проксимальный (верхний конец) большеберцовой кости участвует в образовании коленного сустава. Дистальный (нижний конец) большеберцовой кости совместно с малоберцовой и таранной костями образуют голеностопный сустав.
Перелом большеберцовой кости
Перелом большеберцовой кости происходит вследствие воздействия большой силы на тело кости, возникает на разных ее уровнях. Чаще это происходит при дорожно-транспортных происшествиях. Из всех переломов костей опорно-двигательного аппарата, перелом большеберцовой кости занимает 23% от общего количества травм опорно-двигательного аппарата.
Классификация переломов большеберцовой кости
Переломы диафиза кости классифицируются на поперечные, косые, оскольчатые, фрагментарные и внутрисуставные. К внутрисуставным переломам большеберцовой кости относятся переломы мыщелков большеберцовой кости и переломы медиальной (внутренней лодыжки). Внутренняя (медиальная) лодыжка является медиальным костным стабилизатором голеностопного сустава, ее перелом возникает во время скручивания (ротации) голени с фиксированной стопой. Также часто перелом внутренней (медиальной) лодыжки возникает при резком, нефизиологическом повороте стопы.
Диагностика переломов большеберцовой кости
Для диагностики перелома большеберцовой кости в основном используется рентгенография. В нашем центре травматологии и ортопедии помимо рентгенографии широко используется компьютерная томография с функцией трехмерной реконструкции изображения. Современные методы диагностики переломов костей позволяют правильно определить тактику лечения.
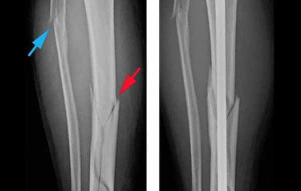
Рентгенография перелома голени

3D реконструкция перелома
Осложнения перелома большеберцовой кости
Симптомы перелома большеберцовой кости:
- деформация голени (изменение оси конечности), в следствии смещения костных отломков,
- отек,
- боль при пальпации и движениях в этой конечности,
- невозможность осуществить осевую нагрузку на эту ногу.
Лечение переломов большеберцовой кости
В настоящее время, лечение перелома большеберцовой кости, как правило, производится с помощью оперативного вмешательства. В связи с анатомической особенностью строения голени, большеберцовая кость на основном протяжении расположена поверхностно (не укрыта мышцами по медиальной поверхности), что не редко приводит при переломе к вторичной перфорации кожи отломками кости. Для иммобилизации отломков при переломах костей голени в стационарах применяют скелетное вытяжение за пяточную кость. Этот метод используют для предоперационной подготовки и улучшения состояния кожного покрова на поврежденной голени.
В нашем центре врачи-травматологи и ортопеды применяют самые современные методы консервативного и оперативного лечения переломов большеберцовой кости. Использование новейших методик накостного и интрамедуллярного остеосинтеза позволяет ускорить сроки восстановления и реабилитации пациентов с переломами костей голени. Как правило, больной может осуществлять нагрузку на поврежденную ногу на следующие сутки после операции. В большинстве случаев, применение остеосинтеза при внутрисуставных переломах в ранних сроках позволяет максимально точно восстановить суставные поверхности, что исключает риск раннего развития артроза поврежденного сустава.
Перелом костей голени
Перелом голени – это травма, при которой нарушается целостность одной или обеих костей этой области. Повреждение сопровождается сильной болью, нарушением функции конечности, нарастанием отека и гематомы. При подозрении на травму необходимо как можно скорее обратиться к врачу. Опытные травматологи клиники «СМ-Доктор» в Москве обследуют ребенка с подозрением на перелом костей голени, проведут репозицию и наложат гипсовую повязку при подтверждении диагноза. Если маленькому пациенту потребуется хирургическое лечение, его направят в профильный стационар.
Голень образована двумя костями: большой и малой берцовой. Травмы этой области встречаются очень часто, причем как у взрослых, так и у детей. Как правило, травматологи сталкиваются с повреждением большой берцовой или обеих костей. При этом чаще всего страдает средняя часть голени. Переломы малой берцовой кости у детей встречаются крайне редко.

Классификация
В зависимости от локализации выделяют: повреждения верхней, средней или нижней трети костей голени. Также активно применяется стандартная классификация любых переломов:
- открытые и закрытые;
- осложненные и неосложненные;
- без смещения или со смещением;
- прямые, косые, винтообразные, оскольчатые, вколоченные;
- внутрисуставные и внесуставные.
Причины переломов голени у детей
Нарушение целостности кости может возникнуть на фоне прямого воздействия на голень тупым или острым предметом или же опосредованной нагрузки, например, при падении с зафиксированной стопой. Подобные ситуации могут возникнуть как в быту (дома, в детском саду, в школе, на прогулке), так и во время занятий спортом. Кости голени также часто страдают при различных ДТП, а также при падении с высоты, сочетаясь при этом с повреждениями других отделов опорно-двигательного аппарата, а также внутренних органов.
Симптомы перелома костей голени у ребенка
Симптоматика травмы во многом зависит от локализации повреждения. При переломе верхней части большеберцовой кости у ребенка возникает боль при сгибании колена и ходьбе. Колено становится отечным и болезненным при нажатии, но функция конечности отчасти сохраняется. Сходные симптомы возникают при вколоченных переломах.
Повреждения средней трети голени сопровождаются яркой симптоматикой, которую невозможно игнорировать. Непосредственно в момент травмы возникает сильная боль, усиливающаяся при движениях, попытке встать на ногу. Быстро нарастает отек и подкожное кровоизлияние. При смещении отломков возникает заметная деформация ноги, ощупывание места травмы нередко сопровождается хрустом (крепитацией) костных отломков. Сопутствующее повреждение нервов приводит к онемению конечности.
Повреждение нижней части голени обычно возникает при подворачивании стопы. При этом трудно отличить перелом от разрыва связок или других травм голеностопного сустава. Отмечается отечность этой области, постепенно нарастающая подкожная гематома, а также сильная боль.
Первая помощь
При повреждении костей голени необходимо иммобилизировать конечность с помощью любой подручной шины или просто прибинтовав пострадавшую ногу к здоровой. На место травмы прикладывается холодный компресс, после чего ребенок доставляется в травмпункт или клинику. Допускается прием анальгетиков по возрасту.
Диагностика травмы
После осмотра и уточнения обстоятельств травмы врач назначает рентген поврежденной ноги. В некоторых случаях требуется дополнительно КТ или МРТ, которые позволяют более точно визуализировать пострадавшую область. Если есть подозрение на травму крупных сосудов или нервов, назначается консультация сосудистого хирурга, невролога, нейрохирурга.

Лечение переломов голени у детей
Переломы средней трети голени без смещения или с небольшим изменением положения костных отломков лечатся консервативным путем. При необходимости врач вручную выполняет репозицию, после чего нога иммобилизуется с помощью гипсовой повязки. Значительное смещение требует лечение в стационаре. Нередко врачи используют скелетное вытяжение, позволяющее поставить кости на место и затем зафиксировать их.
Невозможность закрытой репозиции или несколько неудачных попыток вправления отломков, открытые травмы и сопутствующие повреждения тканей требуют оперативного лечения в условиях стационара. Кости фиксируются с помощью специальных стержней или пластин, после чего проводится иммобилизация с помощью гипсовой повязки.
Повреждения в голени в области коленного или голеностопного суставов, как правило, лечатся консервативно. В некоторых случаях требуется госпитализация на 3-4 дня, после чего ребенок долечивается дома.
По мере заживления тканей пациенту назначается лечебная физкультура, которая значительно расширяется после снятия гипса. Также используется физиотерапия и массаж, направленные на скорейшее восстановление функции конечности.
Переломы голени со смещением или без смещения – это частая травма у детей. Своевременная и качественная медицинская помощь поможет избежать осложнений и максимально быстро вернуть ребенка к привычной жизни. Главное не откладывать визит к врачу, даже если Вы не уверены в наличии перелома.
Экспертное мнение врача
Повреждение костей голени, несмотря на яркую симптоматику, имеет благоприятный прогноз. Если ребенок и его родители тщательно соблюдают все рекомендации врача, не нагружают ногу раньше времени, не снимают фиксирующую повязку, срастание происходит быстро и без последствий.
Перелом голени

Кости голени у здорового человека весьма прочные, поэтому сломать их можно только с приложением большой силы. Такое происходит, например, в результате автомобильных аварий (бамперные переломы), прыжков с высоты, «скручиваний» ноги (например, во время занятий футболом, когда спортсмен, борясь за мяч, отставляет вывернутую ногу для опоры, а после падает на нее всем весом). Врачи называют такие травмы высокоэнергетическими. Сломать кости голени «на ровном месте» конечно, возможно, но происходит это, к счастью, редко.
Симптомы перелома голени
Открытый перелом голени виден невооруженным глазом, – во время травмы мягкие ткани и кожный покров рвутся, обнажая кость. Такая травма требует экстренного хирургического вмешательства.
При закрытом переломе первым симптомом является резкая боль, однако нельзя ориентироваться только на болевые ощущения, менее серьезные травмы также бывают весьма болезненны. Боль, в свою очередь, может вызвать тошноту, рвоту, головокружение, шок, потерю сознания. В ряде случаев конечность, напротив, может онеметь и потерять чувствительность.
Признаками перелома служат:
- неестественное положение травмированной ноги;
- изменение ее длины (укорочение или удлинение);
- ограничение подвижности;
- невозможность наступить на ногу;
- отечность и гематомы (синяки).
При попытке пошевелить поврежденной конечностью может быть слышен хруст.

Лечение перелома голени
Перелом голени – серьезная травма и лечить ее может только профессиональный врач. Вылечить перелом в домашних условиях, народными способами невозможно и опасно – это может привести к серьезным осложнениям. Можно остаться инвалидом на всю жизнь.
Диагностика
Зачастую врачу достаточно только посмотреть на травмированную ногу, чтобы диагностировать перелом, но рентгенологическое исследование необходимо не только для уточнения диагноза, но и для исключения других травм.
Компьютерная томография, которую могут назначить дополнительно, показывает, нет ли вдавления одной кости в другую. Назначая дополнительные исследования, врачи стремятся исключить так называемый «перелом пилона». «Pilon», в переводе с французского, означает «булава», при этой травме таранная кость, как булава, бьет по дистальному отделу большеберцовой кости.
В случае, если диагноз поставили неправильно и не назначили адекватного лечения, существует риск пожизненного ограничения подвижности конечности.
Современные методы лечения
Современные методы лечения переломов костей голени направлены на уменьшение площади хирургического доступа к костям. Например, ранее для того, чтобы добраться до оскольчатого перелома костей нижней трети конечности, хирурги были вынуждены делать большие разрезы для установки на кости пластины. В результате такой операции у пациента на всю жизнь оставался серьезный косметический дефект – обширный рубец на ноге. Также после такого вмешательства нельзя было нагружать ногу на протяжении 3 — 5 месяцев.
При установке, например, интрамедуллярных стержней нового поколения, наступать на конечность можно примерно через 1,5 месяца, а операция проводится через небольшие разрезы.

Профилактика перелома голени в домашних условиях
Так как зачастую переломы голени появляются в результате аварий, необходимо использовать ремни безопасности даже на заднем сиденье машины.
При катании на лыжах с гор лучше выбирать трассы, на которых меньше людей и стараться избегать столкновения с другими лыжниками – перелом костей голени частая травма при такой «встрече».
Получить перелом голени можно, ни разу не встав на горные лыжи – травматологи очень не любят тюбинги: а перелом голени или обеих не самая страшная травма, которую можно получить, скатившись на неуправляемой «ватрушке» и врезавшись, например, в стену дома.
Детям стоит объяснить также травмоопасность прыжков с тарзанки в обмелевший водоем, а пожилым – важность профилактики остеопороза, заболевания, приводящего к повышенной хрупкости костей – употребление богатой кальцием пищи, контроль над уровнем витамина D в крови, здоровый образ жизни и умеренные физнагрузки.
Популярные вопросы и ответы
На типичные вопросы пациентов мы попросили ответить врача нейрохирурга, травмотолога, д.м.н. Сергея Орлова.
Как оказать первую помощь при переломе?
Какие могут быть осложнения при переломе?
Большинство переломов излечивается без осложнений, но в ряде случаев могут возникнуть такие состояния, как остеомиелит – инфекционное воспаление кости, повреждения нервов, мышц и кровеносных сосудов, неправильное сращение, посттравматическая деформация конечности, а также осложнения в ходе хирургического вмешательства, приводящие к повторной операции.
Наиболее сложными переломами костей голени являются внутрисуставные, то есть, те случаи, когда линия перелома проходит внутри сустава. Эти переломы требуют более сложных методов лечения. В последние десятилетия методы их лечения значительно усовершенствованы. Травматологи применяют и систему скелетного вытяжения, аппараты внеочагового остеосинтеза (аппараты Илизарова), системы накостного остеосинтеза современными пластинами точной стабильной фиксации, позволяющие рано активировать пострадавшего с переломом. При своевременном лечении и выполнении рекомендаций врача в период реабилитации – прогноз благоприятный.
Сколько длится реабилитация при переломе?
Среднее время сращения перелома у здорового взрослого человека – 6 — 8 недель, но эти сроки очень индивидуальны и иногда требуется более длительное время ношения иммобилизирующей повязки. Реабилитация после переломов костей голени может быть длительной и достигать нескольких месяцев, в зависимости от вида перелома, возраста пострадавшего и других факторов.
Перелом голени

Эта травма является одной из наиболее распространенных среди всех видов нарушения целостности тканей. Голень состоит из двух костей — малой и большой берцовых. На них приходится значительная нагрузка при ходьбе и выполнении физических действий, поэтому они сильно подвержены опасности. В большинстве случаев страдает большая берцовая кость, значительно реже — малая. Встречаются также двойные переломы, когда повреждаются оба сегмента голени. Нет общего разделения таких травм на легкие и тяжелые — состояние будет зависеть от целого ряда особенностей при повреждении.
Информацию из данного раздела нельзя использовать для самодиагностики и самолечения. В случае боли или иного обострения заболевания диагностические исследования должен назначать только лечащий врач. Для постановки диагноза и правильного назначения лечения следует обратиться к профильному специалисту.

Симптомы перелома голени со смещением
При нарушении целостности костей могут наблюдаться серьезные осложнения. К ним относят образование осколков, трещины, смещения, открытые травмы. Немаловажную роль играет также степень повреждения прилегающих мягких тканей — мышц, связок, сосудов, нервных волокон. При смещении происходит заметная внешне деформация конечности — костные осколки могут сдвинуться со своей оси, пересечься, изменить угол наклона. Нередко именно такой перелом голени становится открытым — острые твердые ткани могут пропороть мышечный и кожный покров. Самостоятельно определить травму можно по таким признакам:
- сильная, острая боль на месте повреждения, которая иногда отдается в стопу и бедро;
- невозможность наступить на ногу и произвольно пошевелить ею;
- появление сильного отека и гематом;
- аномальная подвижность кости;
- визуализация деформации голени;
- выпирание бугорков под кожными покровами;
- хруст в момент получения травмы и при движениях ногой.
В зависимости от того, под каким углом и с какой силой было произведено механическое воздействие на кость, выделяют несколько видов травм. Они различаются по количеству сколов и оси повреждения. Перелом голени бывает таких типов:
- наклонный;
- раздробленный;
- спиральный;
- составной.
Сопровождающим симптомом является повышение локальной или общей температуры. В виде реакции на боль может появиться слабость, головокружение, озноб, тошнота, реже — рвота. При открытых травмах может просматриваться кость и соединительные ткани.

Причины травмы
Благодаря содержанию эластиновых и коллагеновых волокон кости способны выдерживать большие нагрузки, однако и эти резервы ограничены. Чаще всего травма происходит при сильном механическом воздействии на небольшую по площади область голени. Также перелом возможен при фиксации кости каким-либо предметом или жесткой обувью — коньками, лыжными ботинками. Травмы могут происходить в таких условиях:
- при падении;
- при сильном перпендикулярном воздействии;
- при скручивании кости;
- под воздействием давления;
- при преломлении и сгибании;
- при сильном ударе;
- при приземлении на ровные ноги.
Открытый перелом голени возможен при образовании костных обломков, а также при дополнительном повреждении мягких тканей — например, при ударе во время автомобильной аварии. В группе особого риска находятся профессиональные спортсмены и люди, работающие на предприятиях с тяжелыми условиями труда. Это травма также встречается у детей при падениях и активных играх.
Какой врач лечит стресс-перелом?
Перелом голени - симптомы и лечение
Что такое перелом голени? Причины возникновения, диагностику и методы лечения разберем в статье доктора Вахитова-Ковалевича Руслана Маратовича, ортопеда со стажем в 8 лет.
Над статьей доктора Вахитова-Ковалевича Руслана Маратовича работали литературный редактор Вера Васина , научный редактор Никита Геращенко и шеф-редактор Маргарита Тихонова
Определение болезни. Причины заболевания
Перелом голени (Fracture of lower leg) — это нарушение целостности большеберцовой или малоберцовой кости. При переломе человек не может опереться на ногу, возникает острая боль, меняется длина и конфигурация голени [1] .

Распространённость
В России травмы крупных костей скелета (плечевой, бедренной и большеберцовой кости) — это основная причина смерти пациентов младше 40 лет [3] . Переломы костей голени занимают первое место среди повреждений длинных трубчатых костей: на них приходится от 20 до 37,3 % случаев [11] .
Причины переломов голени
Повреждения голени чаще всего происходят при автодорожных авариях, падении с высоты, занятиях спортом, катании на коньках и на лыжах.
При переломе голени нередко повреждается несколько костей, например:
- при автодорожной аварии перелом центральной части большеберцовой кости часто сочетается с травмой верхнего конца малоберцовой кости;
- падение с большой высоты может привести к перелому нижнего конца большеберцовой кости и наружной лодыжки.
Чем быстрее оказана медицинская помощь и при необходимости проведена операция, тем реже развиваются осложнения.
При обнаружении схожих симптомов проконсультируйтесь у врача. Не занимайтесь самолечением - это опасно для вашего здоровья!
Симптомы перелома голени
Один из первых признаков перелома — это острая боль, которая возникает из-за повреждения мягких тканей. Чаще всего она не проходит, даже если нога зафиксирована и не двигается, и стихает только после медицинской помощи.
Боль локализуется в зоне перелома и усиливается при прикосновении или надавливании. При движениях она может распространяться выше по ноге, но, как правило, человек этого не замечает, потому что боль слишком сильная.
Нарастающий отёк мягких тканей — второй характерный симптом, который развивается в первые часы после травмы. При отёке часто возникает местная ишемия, т. е. ухудшается кровообращение из-за сужения или полной закупорки просвета артерии. Кроме того, из-за отёка в области перелома развивается дополнительное раздражение, повреждаются мягкие ткани и усиливается боль.
Гематома образуется в месте перелома вслед за отёком из-за повреждения мелких сосудов окружающих и костных тканей. Гематома усиливает отёк и боль, поэтому пока не остановится внутреннее кровотечение, отёк будет нарастать — так замыкается круг симптомов. Чтобы его прервать, ногу нужно зафиксировать.

Деформация ноги и невозможность опереться всегда сопровождают переломы голени. Заметить их можно сразу после травмы.
Характерное потрескивание отломков (крепитация), щелчки и выраженный хруст в области травмы — это достоверные признаки перелома голени. Патологическая подвижность голени, нетипичные движения в ноге, которые вызывают острую боль, также свидетельствуют о переломе. Обычно из-за сильной боли пациенты максимально щадят ногу, стараются не шевелить ею и не дают к ней прикоснуться.
Перечисленные симптомы всегда оцениваются в совокупности: чем больше признаков выявлено, тем вероятнее перелом [1] .
Патогенез перелома голени
Выделяют два вида проявлений перелома голени: местные, возникшие в травмированной ноге, и системные, затрагивающие весь организм.
Основное местное проявление перелома голени — это острая боль, которая напрочь лишает желания двигать ногой [4] .
Мышцы голени в момент травмы рефлекторно сокращаются, что усугубляет перелом: острые костные отломки смещаются и повреждают мышечную ткань. Чем толще кость и сильнее развит мышечный каркас, тем вероятнее, что костные отломки сместятся.
При непроизвольном сокращении мышц из повреждённых мелких сосудов начинается кровотечение. В зоне перелома появляется гематома, развивается отёк мягких тканей и боль усиливается.
Вне зависимости от типа перелома, примерно с 10-го дня гематома становится основой для костной мозоли. Костная мозоль — это будущая соединительная ткань, которая при заживлении преобразуется в кость. Период образования мозоли длится до двух недель, в это время могут возникать системные проявления перелома: обостряются хронические заболевания, повышается температура и систолическое (верхнее) давление.
В дальнейшем, благодаря активному кровоснабжению и доставке минеральных элементов, формируется вторичная костная мозоль и перелом срастается.
Важную роль в сращении перелома играет кровоснабжение кости, наличие костных отломков, расстояние между ними и тип фиксации. Переломы без осколков срастаются лучше, чем оскольчатые. Осколки, как правило, лишены кровоснабжения и отдалены друг от друга, поэтому такие переломы считаются сложными и плохо заживают.
После сращения перелома костная мозоль выглядит как нарост, но в дальнейшем перестраивается [5] . В среднем через 3–3,5 месяца человек может вернуться к бытовым нагрузкам, через полгода линия перелома становится незаметной.
При множественных переломах костей голени, обширной кровопотере, длительном травмирующем воздействии и интенсивной боли может развиться травматический шок, при котором нарушаются функции нервной системы, ухудшается кровообращение и дыхание, что усугубляет патогенез перелома.
Классификация и стадии развития перелома голени
В Международной классификации болезней 10-го пересмотра (МКБ-10) перелом голени кодируется как S82.1 .
- открытый перелом — кость сообщается с окружающей средой, в открытой ране видны костные отломки;
- закрытый перелом — кожа не повреждена, открытых ран нет.
По повреждению кортикального слоя (самой прочной части костной ткани):
- полный перелом — нарушена целостность кости;
- неполный перелом — костная стенка разрушена не полностью.
Чаще всего при неполном переломе появляется боль и выраженный отёк. Нога подвижна и не деформирована, хруста отломков нет. В народе такой перелом называют «трещиной».

По локализации перелома:
- повреждение диафиза — перелом средней трети голени, тела трубчатой кости;
- эпифиза — перелом конца трубчатой кости эпифизарной зоны;
- метафиза — перелом верхней или нижней трети голени (как правило, в отдельную группу такие переломы не выделяют).

По смещению костных отломков переломы бывают:
- Без смещения — простые переломы, при которых не нужно совмещать костные отломки.
- Со смещением — осложнённые переломы, требующие совмещения костных отломков. При таких переломах голень сильно деформирована, отекает и болит, есть крепитация отломков.
По прохождению линии перелома по кости (заметно только на рентгенограмме):
- поперечные;
- косые;
- винтообразные;
- вколоченные;
- фрагментарные;
- отрывные.
Чтобы упростить постановку диагноза, оценить тяжесть и прогноз травмы, Ассоциацией остеосинтеза была создана универсальная классификация переломов длинных трубчатых костей (AO ASIF Trauma).
Основной принцип данной классификации — это разделение переломов в зависимости от повреждённой кости, её сегмента и типа перелома. Фрагмент из классификации приведён на рисунке ниже [12] .

Осложнения перелома голени
Все осложнения перелома голени могут быть разделены на две группы:
- По времени возникновения:
- ранние — возникают в первые часы после травмы;
- поздние — развиваются в процессе лечения и реабилитации.
- По месту проявления: локальные и системные [7] .
Местные, или локальные осложнения
- повреждение мягких тканей (разрыв мышц, сухожилий и фасций);
- повреждение сосудисто-нервного пучка, онемение ноги и нарушение кровотока;
- местная ишемия тканей;
- контрактуры и атрофия мышц, которые проявляются скованностью движений;
- ложный сустав — несросшийся перелом, нарушение непрерывности трубчатой кости.
Ложный сустав можно распознать по рентгенограмме: видна линия перелома, костные края становятся округлыми, ось кости нарушена. Главная опасность заключается в утрате опорной функции голени, из-за чего пациент не может полноценно ходить.
Общие, или системные осложнения
Такие осложнения могут быть опасны для жизни. К ним относятся:
- Травматико-геморрагический шок, который возникает из-за боли при травме или потери крови. Пациент может потерять сознание, у него сильно понижаются давление и частота дыхания.
- Жировая эмболия — закупорка сосудов каплями жира, которые попали в кровь из участка перелома. Сопровождается помутнением сознания, эйфорией и неадекватным поведением: человек плохо осознаёт свои действия, отказывается от помощи, пытается встать и уйти.
- Тромбоэмболия — закупорка сосудов тромбами, из-за чего возникает ишемия или некроз тканей. В тяжёлых случаях, например при тромбоэмболии лёгочной артерии, пациент может погибнуть. Закупорка мелких сосудов приводит к ишемии тканей, в результате чего они разрушаются и организм отравляется продуктами распада. При закупорке крупных сосудов пациент может потерять сознание, у него резко падает давление и возникает терминальное состояние, близкое к клинической смерти.
Осложнения множественных травм носят комплексный характер: повреждается несколько костей или органов, например перелом ноги может сочетаться с черепно-мозговой травмой.
Диагностика перелома голени
Сбор анамнеза и осмотр
Диагностика всех видов травм начинается со сбора анамнеза — врач спрашивает, какие действия привели к перелому и что делал пациент после травмы.
Затем проводится физикальный осмотр и уточняются симптомы. Выделяют два вида признаков перелома:
- достоверные, к которым относится деформация, патологическая подвижность, укорочение или удлинение ноги и костный хруст (крепитация);
- недостоверные — боль, отёк и невозможность опираться на ногу.
Чем больше выявлено достоверных симптомов, тем вероятнее перелом костей голени.
Инструментальные методы диагностики
Объективно подтвердить диагноз позволяет рентгенологическое исследование голени в двух стандартных проекциях: прямой и боковой [8] . Чтобы избежать ошибок, рентген следует выполнять строго по стандартным укладкам.

Шок, вынужденное неестественное положение ноги из-за боли, наличие шин и фиксаторов затрудняют диагностику перелома. Если металлические шины или фиксаторы мешают сделать качественный снимок, то их придётся снять. Когда положение ноги не позволяет сделать снимок, её вправляют под местной анестезией.
В некоторых случаях, если требуется детальная диагностика нескольких сегментов голени или пациент находится в тяжёлом состоянии, показана компьютерная томография с 3d-реконструкцией кости. Исследование можно проводить и при вынужденном положении конечности, но такой томограф есть не во всех клиниках. Поэтому в некоторых случаях, если информации недостаточно, делаются уточняющие прицельные рентгеновские снимки отдельных сегментов кости.

К дополнительным методам диагностики относятся:
- рентгеновские снимки под углом;
- рентгеноскопия (просвечивание) — процедура, при которой изображение выводится на светящемся экране;
- томография с введением контрастных веществ — метод, позволяющий выявить метастазы, которые могли стать причиной перелома;
- денситометрия — исследование плотности костной ткани.
Перечисленные диагностические методы применяются в тех случаях, когда причинно-следственная связь между переломом и предшествующими событиями недостаточно ясна. К примеру, если из-за резкого подъёма с кровати возник оскольчатый перелом обеих костей голени.
Лабораторная диагностика
Лабораторные методы при диагностике травм голени вторичны, они позволяют оценить общее состояние пациента и решить, нужно ли ему ложиться в больницу.
- при критически низком уровне эритроцитов и гемоглобина (свидетельствует о сильной кровопотере);
- при высоком уровне лейкоцитов (возникает при нарушениях в работе внутренних органов).
Лечение перелома голени
При поступлении в стационар проводят следующие процедуры:
- Чтобы уменьшить боль, внутримышечно вводят анальгетики центрального действия. Также показано местное обезболивание раствором Новокаина.
- Выполняется закрытая репозиция конечности, т. е. восстанавливают ось ноги, выводят её в правильное положение.
- В зависимости от типа перелома накладывают скелетное вытяжение или гипсовую повязку. Выбирают тот метод, который позволяет оптимально зафиксировать ногу [9] .
Далее лечение сводится к основным принципам травматологии:
- если общее самочувствие пациента стабильно, костные отломки не смещены или смещены незначительно, то показано консервативное лечение;
- при грубом смещении, угловой деформации и укорочении конечности потребуется операция [10] .
Консервативное лечение
При консервативном лечении пациенту накладывают гипсовую повязку. Повязки могут быть как классическими, так и из полимерных материалов. Тип повязки на сращение перелома не влияет, важно качество наложения и адекватная фиксация. От материала зависит только удобство ношения повязки. Фиксаторы в остром периоде практически не используются.
Общие рекомендации по ношению гипса:
- не мочить повязку, иначе кожа под ней будет преть;
- не пытаться самостоятельно ослабить повязку, не обрезать края и не стараться сделать её удобнее;
- не подсовывать под повязку линейку, расчёску и прочие предметы, чтобы почесать кожу;
- следить за тем, чтобы повязка не пережимала ногу слишком сильно;
- если отёк нарастает, то рекомендуется обратиться к доктору и переложить повязку.
Гипс можно снимать только после того, как кости срослись (это видно на рентгенограмме). В среднем это происходит через 3–3,5 месяца.
Хирургическое лечение
Хирургическое лечение состоит в открытой репозиции костных фрагментов и остеосинтезе — операции, при которой восстанавливают правильную ось ноги и придают отломкам нужное положение. Процедура проводится под общей анестезией. Подходящую технику остеосинтеза врач подбирает в зависимости от участка перелома.

При использовании металлоконструкций кости голени сращиваются в среднем через 3–3,5 месяца после операции. Удалять конструкции по медицинским показаниям можно не ранее, чем через полгода. К таким показаниям относятся риск перфорации кожи и травмы мягких тканей. Также конструкцию нужно убрать, если она мешает разработке сустава, сдвинулась или поломалась.
Если конструкция мешает пациенту, её можно удалить, но не раньше, чем через год.
Аппараты внешней фиксации, например стержневые фиксаторы или аппарат Илизарова, применяют только временно, пока состояние пациента нестабильно и нельзя провести операцию.
Прогноз. Профилактика
Прогноз зависит от вида перелома, возраста пациента, сопутствующих заболеваний и осложнений. Также важно, как быстро человек обратился за помощью, соблюдал ли рекомендации врача и какая тактика лечения была выбрана [1] .
При переломе большеберцовой кости отломки чаще всего смещаются и кость долго сращивается. Большинство переломов диафиза голени, как правило, хорошо фиксируются как при консервативном лечении, так и при оперативном. Хуже заживает перелом нижней трети и опорной площадки голени. Непредсказуемы исходы множественных переломов костей голени и переломы обеих ног.
В целом, если выбрана правильная тактика лечения и своевременно проведена операция, то большинство переломов сращиваются за 3–3,5 месяца.
Читайте также:
