Тромбоз кавернозного синуса - лучевая диагностика
Добавил пользователь Евгений Кузнецов Обновлено: 13.12.2025
Тромбоз кавернозного синуса – это очень редкое заболевание, преимущественно протекает как септический тромбоз кавернозного синуса. Обычно причиной развития являются фурункулы преддверия носа или бактериальный синусит. Клиническими проявлениями являются экзофтальм, офтальмоплегия, потеря зрения, отек диска зрительного нерва и лихорадка. Диагноз подтверждается с помощью КТ или МРТ. Лечение производится антибиотиками. Осложнения часты, а прогноз осторожный.
Этиология тромбоза кавернозного синуса
Кавернозные синусы представляют собой образования, расположенные в основании черепа, их роль заключается в дренировании крови от лицевых вен. Тромбоз кавернозного синуса – крайне редкое осложнение инфекционных заболеваний челюстно-лицевой области, чаще всего фурункулов преддверия носа (50%), сфеноидального или этмоидального синусита Синусит Синусит – это воспаление слизистой оболочки околоносовых пазух, которое вызывается вирусами, бактериями, грибами или провоцируется аллергическими процессами. К симптомам синусита относятся заложенность. Прочитайте дополнительные сведения Staphylococcus aureus (70%) и бактерии родов Streptococcus. В случае инфицирования одной из придаточных пазух носа или зубной инфекции более распространенным источником являются анаэробы.
Патофизиология тромбоза кавернозного синуса
К кавернозному синусу прилежат 3-я, 4-я и 6-я пара черепных нервов, а также глазничная и верхнечелюстная ветвь 5-го черепного нерва, поэтому они часто вовлекаются в патологический процесс при тромбозе кавернозного синуса. Осложнения тромбоза кавернозного синуса включают в себя менингоэнцефалит, абсцесс головного мозга Абсцесс головного мозга Абсцесс головного мозга представляет собой локальное скопление гноя в веществе мозга. Клиническая картина может включать в себя головную боль, вялость, лихорадку и очаговую неврологическую симптоматику. Прочитайте дополнительные сведения , слепоту Острая потеря зрения Потеря зрения считается острой, если она развивается в срок от нескольких минут до двух дней. Она может быть одно- или двусторонней, выражаться в частичном или полном выпадении полей зрения. Прочитайте дополнительные сведения и гипофизарную недостаточность Дефицит отдельных гормонов гипофиза Дефицит отдельных гормонов гипофиза может представлять собой раннюю стадию развития пангипопитуитаризма. У пациентов необходимо искать признаки недостаточности других гипофизарных гормонов и. Прочитайте дополнительные сведения .
Симптомы и признаки тромбоза кавернозного синуса
Начальными симптомами тромбоза кавернозного синуса являются сильные головные или лицевые боли, которые возникают обычно только с одной стороны и локализуются в заглазничной и лобной областях. Также характерна высокая лихорадка. Позднее развивается офтальмоплегия (как правило, обусловленная вовлечением 6-й пары черепных нервов на начальном этапе), экзофтальм и отек век, эти проявления часто отмечаются с двух сторон. Также может снижаться или полностью исчезать чувствительность кожи лица. Признаками распространения на центральную нервную систему (ЦНС) являются нарушение сознания, дезориентация, судороги и очаговая неврологическая симптоматика. У пациентов с тромбозом кавернозного синуса могут наблюдаться анизокория или мидриаз (дисфункция 3-й пары черепных нервов), отек диска зрительного нерва Застойный диск зрительного нерва Застойный диск зрительного нерва характеризуется его отеком вследствие повышенного внутричерепного давления. Отек диска зрительного нерва в результате причин, не связанных с повышением внутричерепного. Прочитайте дополнительные сведенияДиагностика тромбоза кавернозного синуса
Из-за своей редкости диагноз тромбоза кавернозного синуса часто вызывает затруднения. Его следует подозревать у всех пациентов с признаками глазничной флегмоны Пресептальный и орбитальный целлюлиты Пресептальная (периорбитальная) флегмона – это инфицирование века и близлежащей кожи кпереди от глазничной перегородки. Орбитальная флегмона – это инфицирование мягких тканей орбиты за глазничной. Прочитайте дополнительные сведенияПрогноз при тромбозе кавернозного синуса
Смертность в эру антибиотиков составляет приблизительно 15–20%. Более того, у 40% пациентов развиваются серьезные, а, некоторых случаях и необратимые осложнения (например, офтальмоплегия, слепота, постинсультные нарушения, гипофизарная недостаточность).
Лечение тромбоза кавернозного синуса
Внутривенное введение высоких доз антибиотиков
Начальная антибиотикотерапия пациентов с тромбозом кавернозного синуса включает нафциллин или оксациллин в дозировке 1-2 г 1 раз каждые 4-6 часов в комбинации с цефалоспорином 3-го поколения (например, цефтриаксон 1 г каждые 12 часов). В районах, где преобладают метициллин-резистентные штаммы S. aureus, внутривенное введение ванкомицина в дозировке 1 г 1 раз каждые 12 часов следует заменить нафциллином или оксациллином. Если у пациента имеется сопутствующий синусит или зубная инфекция, то следует добавить к терапии препарат против анаэробной флоры (например, метронидазол 500 мг каждые 8 часов).
При наличии предшествующего сфеноидального синусита Лечение Синусит – это воспаление слизистой оболочки околоносовых пазух, которое вызывается вирусами, бактериями, грибами или провоцируется аллергическими процессами. К симптомам синусита относятся заложенность. Прочитайте дополнительные сведенияДополнительная терапия тромбоза кавернозного синуса при поражении черепных нервов может включать в себя кортикостероиды (например, дексометазон 10 мг 1 раз внутривенно или перорально каждые 6 часов), антикоагуляционная терапия в большинстве случаев противопоказана, поскольку ответ на антибиотики, как правило, адекватен, и риск развития осложнений превышает возможную пользу от подобного лечения.
Дополнительная информация
Ниже следует англоязычный ресурс, который может быть информативным. Обратите внимание, что The manual не несет ответственности за содержание этого ресурса.
Plewa MC, Tadi P, Gupta M: Cavernous sinus thrombosis. StatPearls Publishing, Treasure Island, 2020.
Авторское право © 2022 Merck & Co., Inc., Rahway, NJ, США и ее аффилированные лица. Все права сохранены.
Способ ранней визуализации COVID-19 ассоциированного тромбоза кавернозного синуса
В связи со сложным строением и атипичной клинической картиной патологического процесса подтверждение диагноза бывает затруднено или даже невозможно [1, 2]. Вследствие этого в процессе лечения пациентов с COVID-19 ассоциированным ТКС стали прослеживаться частые трудности в диагностике данной патологии [3, 4, 5].
Современная медицина характеризуется значительным развитием методов лучевой визуализации и появлением различных режимов, которые возможно адаптировать для оценки практически всех анатомических областей [6, 7, 8]. Именно по этой причине разработка методов визуализации или более глубокая систематизация имеющейся информации в аспекте лучевой диагностики ТКС является актуальной.
Материал и методы исследования
Характеристика пациентов. Исследование включало результаты наблюдения 98 пациентов с ТКС, проходивших лечение в лечебно-профилактических учреждениях города Ташкента с июля по ноябрь 2020 года. Распределение по гендерному признаку: 54 (55,1%) мужчин и 44 (44,9%) женщин. Средний возраст составил 60,3±6,2 лет. Все пациенты имели в анамнезе данные о получении специфической терапии по поводу COVID-19. Во всех случаях COVID-19 был подтвержден результатами серологических анализов (ПЦР или ИФА) и наличием специфического поражения легких по данным МСКТ. Диагноз ТКС был подтвержден данными клинического (наличие специфической симптоматики) и инструментального обследования.
Метод визуализации при COVID-19 ассоциированном тромбозе кавернозного синуса. Как правило, диагноз подтверждается на основании специфической офтальмологической симптоматики в виде птоза, экзофтальма, офтальмоплегии, потери чувствительности кожи век и др. Однако констатация диагноза в момент развития указанных симптомов может оказаться слишком поздней в плане начала эффективной терапии. Это обусловлено тем, что развитие перечисленных симптомов свидетельствует о поражении глазодвигательных нервов, что в случаях тромбоза кавернозного синуса, ассоциированного с COVID-19 является чаще всего необратимым.
В связи с тем, что общепринятые методы визуализации венозных синусов головного мозга при помощи контрастирования на КТ или МРТ не всегда доступны и возможны в связи с наличием противопоказаний у пациента, актуальным является поиск более безопасных и информативных модулей визуализации при тромбозе кавернозного синуса.
МРТ-визуализация кавернозного синуса согласно установленному протоколу должна включать рутинное исследование в T2 режиме, исследование в режиме FLAIR (восстановление инверсии с ослаблением жидкости) и преконтрастное исследование в режиме T1 всего головного мозга. Постконтрастные T1 снимки должны быть толщиной 3 мм и получены в аксиальной и коронарной плоскостях. Снимок в одной из плоскостей должен быть получен методом усиления жировой ткани. Постконтрастные аксиальные изображения тонких срезов могут быть получены методами 3D обработанного градиента. Как правило, снимок делается от вершины глазницы через предмостную цистерну.
Трехмерные тонкие срезы со значительным усилением с помощью T2 режима могут позволить визуализировать отдельные черепно-мозговые нервы в кавернозном синусе и прилегающих цистернах головного мозга. КТ лучше всего проводить с помощью мультидетекторного сканера после внутривенного введения йодсодержащего контрастного вещества. В этой связи нами был предложен оптимальный способ визуализации тромба на МРТ в режимах Т2 TSE (срез 0,6-1,6 мм) и Dark fluid T2 (срез 0,6-1,6 мм).
Исследования показали, что применение данного модуля визуализации позволило определить развитие тромбоза в проекции глазничной вены до его перехода в кавернозный синус у 24 пациентов, перенесших COVID-19 и поступивших с жалобами на затруднение носового дыхания, гнойное отделяемое из носа и сильную головную боль. Обнаружение тромбообразования на данном этапе и начало ранней интенсивной консервативной терапии позволяли добиться благоприятного клинического исхода у пациента в виде сохранения глазного яблока как органа и частичного сохранения его функциональной способности. В остальных случаях чувствительность и специфичность предложенной методики также были высокими и составляли более 90%.
На рисунках 1-2 представлены снимки пациентов с COVID-19 ассоциированным ТКС. В обоих случаях при помощи предложенного режима МРТ удавалось определить наличие тромба в полости глазничной вены. В указанных клинических случаях наличие тромба было определено до начала выраженной клинической симптоматики ТКС, благодаря чему специфическая терапия была начата своевременно.
Исследования показали, что преимуществами визуализации в таких режимах являются:
- отсутствие необходимости в контрастировании, что является более экономичным для пациента;
- возможность раннего выявления тромбоза кавернозного синуса до начала его выраженной клинической манифестации;
- более тонкий срез позволяет зафиксировать наличие застоя или тромба в проекции глазничной вены на пораженной стороне;
- в сравнении с МСКТ проведение МРТ безвредно для пациента в плане лучевой нагрузки.
Таким образом, можно утверждать, что предложенный метод визуализации при COVID-19 ассоциированном ТКС является высокочувствительным и позволяет своевременно поставить диагноз и начать соответствующее лечение, которое позволит добиться более благоприятного исхода у пациентов. Обнаружение тромбообразования на данном этапе и начало ранней интенсивной консервативной терапии позволяли добиться благоприятного клинического исхода у пациента в виде сохранения глазного яблока как органа и частичного сохранения его функциональной способности. В остальных случаях чувствительность и специфичность предложенной методики также были высокими и составляли более 90%.
Тромбоз кавернозного синуса - лучевая диагностика
Кафедра оториноларингологии, кафедра лучевой диагностики Казанской государственной медицинской академии
ЛОР-отделение Детской Республиканской клинической больницы Минздрава Республики Татарстан, Казань
Петрозит, осложненный тромбозом кавернозного синуса, менингитом
Журнал: Вестник оториноларингологии. 2015;80(4): 44‑46
Кафедра оториноларингологии, кафедра лучевой диагностики Казанской государственной медицинской академии
Кафедра оториноларингологии, кафедра лучевой диагностики Казанской государственной медицинской академии
ЛОР-отделение Детской Республиканской клинической больницы Минздрава Республики Татарстан, Казань
Под петрозитом подразумевают распространение воспаления каменистой части височной кости как следствие отита и мастоидита контактным и гематогенным путем [1]. В печати опубликовано 48 случаев петрозита [2, 3]. Возбудители те же, что и при остром гнойном среднем отите, главную роль играют пневмококк и гемолитический стрептококк [4]. Условиями возникновения петрозита являются гиперпневматизация пирамиды, высокая вирулентность возбудителя, снижение общего и местного иммунитета, нарушение оттока из клеточной системы височной кости вследствие отека и дисфункция слуховой трубы [5, 6]. При вовлечении в воспалительный процесс верхушки пирамиды височной кости появляется синдром, описанный G. Gradenigo в 1904 г.: гнойный средний отит с выраженной отореей, паралич отводящего нерва и сильные головные боли по ходу тройничного нерва. В дополнение к триаде симптомов синдрома Градениго может наблюдаться дефицит VII, VIII, IX и X черепно-мозговых нервов [7, 8]. Подтвердить диагноз можно рентгеновской компьютерной томографией с контрастным усилением (РКТ) или магнитно-резонансной томографией (МРТ).
Больной А., 6 лет, поступил в ЛОР-отделение ДРКБ 24.09.14 с жалобами на сильную головную боль в правой половине головы, обильное гноетечение из обоих ушей, невозможность открыть правый глаз, снижение зрения на правый глаз, вялость, слабость, повышение температуры до 38—39°С. Заболел остро 17.09.14, когда появились температура до 39 °C и сильная головная боль. Педиатр поставил диагноз ОРВИ, было назначено симптоматическое лечение. 20.09.14 появилась боль в ушах, а 21.09.14 — обильное гноетечение из обоих ушей. 22.09.14 больной обратился в районную больницу Бугульмы и был госпитализирован в инфекционное отделение. Начато лечение: инъекции цефтриаксона и ушные капли 2,6% рифампицина натрия. К вечеру того же дня появился экзофтальм справа, гиперемия, отек век правого глаза. 24.09.14 в экстренном порядке направлен в ДРКБ МЗ Р.Т. Казани. При поступлении больной вялый, температура до 38 °C, не сидит, имеются менингеальные знаки: симптом Кернига и ригидность затылочных мышц. Испытывает боль при дотрагивании до головы. Правый глаз закрыт, экзофтальм, гиперемия, отек век, хемоза нет. Нос и зев без патологии. Наружные слуховые проходы с обеих сторон заполнены сероватым гноем, барабанные перепонки мутные, серорозовые, отечны, перфорации в передних отделах. Общий анализ крови (ОАК): лейкоцитоз до 21·10 9 /л, резкий сдвиг влево, СОЭ 54 мм/ч, С-реактивный белок (СРБ) 11,44 мг/дл. Коагулограмма: фибриноген 7,9 г/л, ПТИ — 50%, МНО 1,45, АЧТВ и ТВ — нет коагуляции. Прокальцитонин 1,72 нг/мл. Осмотрен нейрохирургом, офтальмологом, педиатром. Глазное дно: диски зрительного нерва стушеваны, границы нечеткие. На рентгеновской компьютерной томографии (РКТ) височных костей и головного мозга — снижение пневматизации клеток сосцевидного отростка с обеих сторон и клеток каменистой части височных костей справа, томографические признаки тромбоза кавернозного синуса и правой глазничной вены, сужение и признаки тромбоза правой внутренней сонной артерии, утолщение зрительного нерва справа, накопление контраста оболочками височной доли на границе с кавернозным синусом. Пневматизация околоносовых пазух не нарушена (рис. 1).

Рис. 1. РКТ височных костей в аксиальной проекции от 24.09.14. 1 — экзофтальм правого глаза; 2, 3 — снижение пневматизации обоих сосцевидных отростков с очагами деструкции; 4 — снижение пневматизации клеток каменистой части височной кости справа с очагами деструкции.
Люмбальная пункция (ЛП) — ликвор мутный, цитоз 2703 клеток, нейтрофилы 72%, лимфоциты 28%. На основании полученных данных выставлен диагноз: двусторонний острый гнойный средний отит, осложненный двусторонним мастоидитом, петрозитом справа, тромбозом кавернозного синуса и внутренней сонной артерии справа, гнойным менингитом.
24.09.14 произведена срочная антромастоидотомия справа, после операции полость рыхло тампонирована турундой с левомиколем. В сосцевидном отростке — гной серого цвета. При бактериологическом исследовании гноя и ликвора патогенная микрофлора не была обнаружена. Больному установлен подключичный катетер. Назначения: цефтриаксон в максимальной дозировке из расчета 100 мг/кг в сутки (вес больного 30 кг), линезолид по 330 мг (165 мл) 3 раза в сутки, обезболивание трамадолом 4 раза в сутки, инфузионная терапия плазмолитом (1000 мл), суточное титрование гепарина из расчета 100 ЕД/кг/сутки под контролем АЧТВ 2 раза в сутки, иммуноглобулин № 3 внутривенно по 25 мл. 25.09.14 состояние больного улучшилось, температура тела нормализовалась. Рана после антромастоидотомии справа чистая, но гной в обоих наружных слуховых проходах сохранялся. Уменьшилась головная боль, экзофтальм сохранялся. ОАК-лейкоциты 19,2·10 9 /л с нейтрофильным сдвигом, СОЭ 50 мм/ч. 26.09.14 появился гной в ране. Ребенок повторно взят на операцию. Проведена консервативно-радикальная операция на правом ухе и антромастоидотомия на левом ухе, повторная люмбальная пункция. В правом ухе для санации удален молоточек и наковальня. На стыке медиальной и передней стенок барабанной полости обнаружено отверстие, подозрительное на свищ, по которому, вероятно, опорожнялся гной из каменистой части пирамиды. Манипуляции в данной области вызвали кровотечение и прекращены, ухо затампонировано турундой с левомиколем. В левом сосцевидном отростке обильный гной серого цвета и бледные грануляции, выраженная деструкция в периантральных клетках. Бактериологическое исследование гноя из ушей и ликвора вновь роста патогенной микрофлоры не выявило. При Л.П. — цитоз 183 клетки, нейтрофилы 52%, лимфоциты 48%. На фоне проводимой терапии экзофтальм купировался через 2 дня после второй операции. В послеоперационном периоде раны велись открытым способом, в полостях оставлялись турунды с левомиколем, засыпались порошком стрептоцида. Но в барабанной полости правого уха в течение 14 дней сохранялся скудный слизисто-гнойный секрет. Через 18 дней отменены инфузионная терапия и гепарин, смена антибиотиков на амоксациллин/клавуланат.
Наложены вторичные швы на заушные раны 16.10.14. В левую барабанную перепонку вставлен шунт, так как в барабанной полости скопился прозрачный экссудат. 25.10.14 проведена МРТ головного мозга, на которой выявлено сужение правой внутренней сонной артерии до 3 мм. На уровне вхождения в кавернозный синус на протяжении 10 мм кровоток не визуализируется (рис. 2). При контрольном осмотре через 1,5 мес самочувствие ребенка хорошее. В заушной области с обеих сторон линейный рубец. Из левого уха удален шунт, барабанная перепонка серая, опознавательные знаки есть, слух субъективно в норме. В правом ухе полость полностью эпидермизирована, сухая, шепотная речь 1—2 м.

Рис. 2. МРТ головного мозга в ангиорежиме от 25.10.14. 6 — левая нормальная внутренняя сонная артерия. Овальной линией выделено сужение правой внутренней сонной артерии; 7 — участок облитерации правой внутренней сонной артерии.
Представленный клинический случай — редкий распространением воспалительного процесса из среднего уха на клетки пирамиды височной кости с вовлечением стенок внутренней сонной артерии и пещеристого синуса, закончившийся выздоровлением пациента с полной облитерацией внутренней сонной артерии на стороне петрозита.
Тромбоз венозного синуса
Тромбоз венозного синуса является одной из причин ОНМК – инсульта, особенно у детей и подростков. Анатомия венозного оттока от мозга представлена ниже. Главными магистралями являются венозные синусы, основными из которых являются верхний и нижний сагиттальные, в которые впадают поверхностные корковые вены (Лаббе и Тролара) и вена Галена, собирающая кровь от глубоких вен мозга. В конечном итоге все синусы собираются через сток в поперечные и сигмовидные синусы и уходят и полости черепа через яремные вены.

Причиной тромбоза венозного синуса является инфекция или коагулопатия. Считается, что факторами риска служат прием контрацептивов и беременность. Об инфекционных заболеваниях мозга можно читать на странице нашего другого сайта
У новорожденных тромбоз венозного синуса может быть вызван дегидратацией.
При тромбозе венозного синуса отмечается острое начало с головными болями, судорогами и даже комой. Клинические признаки неспецифические, поэтому лучевая диагностика играет ведущую роль в постановке диагноза.
На неконтрастных КТ могут быть видны сгустки крови в тромбированном синусе (“дельта” – симптом), повышенная плотность от синуса (симптом “шнура”). При контрастировании, наоборот наблюдается отсутствие заполнение синуса на ограниченном участке (“обратный дельта” симптом) и отсутствие заполнение синуса контрастом.
прямой “дельта”-знак. КТ, увеличение зоны интереса
КТ с контрастированием. “обратный” дельта-знак.

КТ. Тромбоз вены Лаббе.

КТ. Венозный инфаркт.

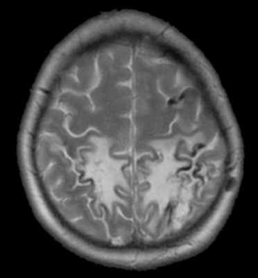
МРТ головного мозга. Т2-зависимая МРТ. Двухсторонний венозный инфаркт.

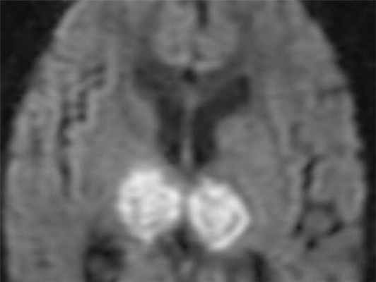
МРТ головного мозга. Аксиальная МРТ типа ДВИ. Двухсторонний венозный инфаркт зрительных бугров.
Простым способом подтверждения тромбоза венозного синуса служит КТ-венография. Задержка от введения контрастного вещества должна составлять не меньше 45-50 мс, чтобы не попасть в артериальную фазу. Идеальная задержка чуть больше 1 минуты. При КТ важно не спутать тромбоз с арахноидальными грануляциями, которые могут врастать в венозный синус. Ложный “Дельта-знак” встречается нередко, поэтому, только в сочетании с дефектом наполнения при контрастировании, можно с уверенностью говорить о тромбозе. Иногда субдуральная гематома или гиперденсная эмпиема напоминают повышенную плотность в синусе, однако, распространение будет обширнее.
МРТ-венография может выполняться по методике 2D TOF, фазовоконтрастной (РС) или по любой из них в условиях контрастирования. Отсутствие визуализации сосуда не всегда связано с тромбозом, а может отражать специфику строения венозной системы.

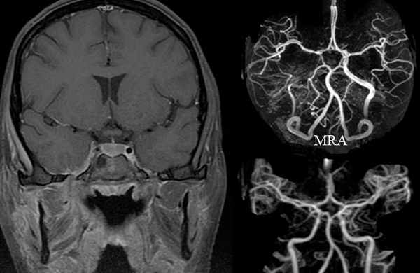
МРТ и МРА головного мозга. Тромбоз левого кавернозного синуса.

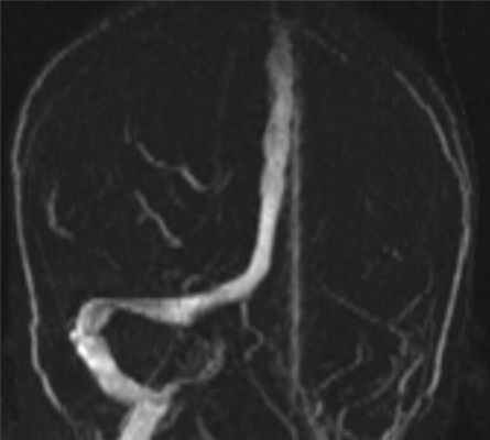
МР-венография. Тромбоз левого поперечного синуса.
При МРТ головного мозга хорошо видны последствия тромбозов венозных синусов и корковых вен – венозные инфаркты. При МРТ в СПб мы видим (как в высоком поле, так и на открытом МРТ) , что они отличаются тем, что не связаны с бассейном артериального кровообращения и содержат геморрагический компонент. Тромбоз венозного синуса как неотложное состояние при МРТ СПб должен диагностироваться в специализированном стационаре.
ВРАЧЕБНАЯ ТАКТИКА ПРИ ТРОМБОЗЕ КАВЕРНОЗНОГО СИНУСА У ПАЦИЕНТОВ С COVID-19

коронавирус, тромбоз кавернозного синуса, энуклеация, эвисцерация coronavirus, cavernous sinus thrombosis, enucleation, evisceration коронавирус, каверноз синус тромбози, энуклеация, эвисцерация.
Аннотация
Обзор литературы показывает, что по результатам многолетних наблюдений отсутствуют научные исследования уровня выживаемости, качества жизни больных после энуклеации при тромбозе кавернозного синуса. Мы также видим, что практически отсутствуют статьи о практике энуклеации глаза при тромбозе кавернозного синуса, вызванном вирусом SARS-CoV-2, в научно-исследовательских базах, таких как PubMed, EMBASE Medline, ResearchIndex, Cochrane, Springer, Elsevier. Имеющиеся статьи представлены в виде небольшого количества клинических наблюдений и историй болезни. Прогрессивный рост числа случаев тромбоза кавернозного синуса в нашей стране в период пандемии COVID-19 сказался не только на виде оперативного вмешательства в офтальмологии, но и на его объеме. В данной статье речь идет о рекомендациях и противопоказаниях к практике энуклеационной хирургии и о послеоперационной выживаемости больных.
Библиографические ссылки
Рахматуллаева Г.К., Якубова М.М., Хамдамова Б.Б. в.б. СOVID-19 ассоциированный тромбоз кавернозного синуса. (клинический случай) // Журнал неврологии и нейрохирургических исследований. -2021. Специальный выпуск. -№1. –С. 214-217.
Coronavirus disease (COVID-2019) situation reports - Situation report 51. Coronavirus disease (COVID-2019) situation reports. online: World Health Organisation, 2019
Latalska M, Mackiewicz J. The implication of ocular manifestation of COVID-19 for medical staff and patients-systematic review. Annals of agricultural and environmental medicine // AAEM. -2020. –Vol. 27. –P. 165-170
Ling XC, Kang EY-C, Lin J-Y, et al. Ocular manifestation, comorbidities, and detection of severe acute respiratory syndrome-coronavirus 2 from conjunctiva in coronavirus disease 2019: A systematic review and meta-analysis // Taiwan. J Ophthalmol. -2020 Sep 16. –Vol. 10(3). –P. 153-166
Lu C-w, Liu X-f, Jia Z-f. 2019-nCoV transmission through the ocular surface must not be ignored. Lancet 2020;395:e39
Seah I., Agrawal R. Can the coronavirus disease 2019 (COVID-19) affect the eyes? A review of coronaviruses and ocular implications in humans and animals. Ocul Immunol Inflamm 2020;28:391-395
Seah IYJ, Anderson DE, Kang AEZ, et al. Assessing viral shedding and infectivity of tears in coronavirus disease 2019 (COVID-19) patients. Ophthalmology 2020;127:977.
Xia J., Tong J., Liu M., Shen Y., Guo D. Evaluation of coronavirus in tears and conjunctival secretions of patients with SARS‐CoV‐2 infection. J Med Virol. 2020 Jun;92(6):589-594
Virgo J, Mohamed M. Paracentral acute middle maculopathy and acute macular neuroretinopathy following SARS-CoV-2 infection. Eye 2020;34:2352-2353.
Meduri G.U., Kohler G., Headley S., Tolley E., Stentz F., Postlethwaite A. Inflammatory cytokines in the BAL of patients with ARDS: persistent elevation over time predicts poor outcome. Chest 1995;108:1303-1314
Grasselli G., Pesenti A., Cecconi M. Critical care utilization for the COVID-19 outbreak in Lombardy, Italy: early experience and forecast during an emergency response. JAMA 2020;323:1545-1546
Helms J., Tacquard C., Severac F., et al. High risk of thrombosis in patients with severe SARSCoV- 2 infection: a multicenter prospective cohort study. Intensive Care Med. 2020 Jun;46(6):1089- 1098
Morris M, Pierce A, Carlisle B, Vining B, Dobyns J. Pre-operative COVID-19 testing and decolonization. Am J Surg 2020; 220(3):558–560
Steward JE, Kitley WR, Schmidt CM, Sundaram CP. Urologic surgery and COVID-19: how the pandemic is changing the way we operate. J Endourol 2020;34(5):541–549
Hakim AA, Kellish AS, Atabek U, Spitz FR, Hong YK. Implications for the use of telehealth in surgical patients during the COVID-19 pandemic. Am J Surg 2020;220(1):48–49
Билалов Э.Н., Умаров Р.З., Орипов О.И., Способ ранней лучевой диагностики при Covid-19 ассоциированном тромбозе кавернозного синуса // Методические рекомендации. -Ташкент. -2021. 18 с.
Abouhashem S, Eldawoody H, Taha MM. Cerebral venous sinus thrombosis in patients with COVID-19 infection. Interdiscip Neurosurg. 2021;24:101091. DOI: 10.1016/j.inat.2021.101091
Читайте также:
