Туберкулезный шанкр. Генерализованный милиарный туберкулез кожи
Добавил пользователь Евгений Кузнецов Обновлено: 27.01.2026
Кожные болезни:
Популярные разделы сайта:
Туберкулез кожи - диагностика, лечение
Клинические проявления туберкулеза кожи очень разнообразны, что зависит от пути передачи Mycobacterium tuberculosis и иммунного ответа.
Обратите внимание! В настоящее время отмечается значительный рост заболеваемости туберкулезом кожи во всем мире, что обусловлено распространением вируса иммунодефицита человека, резистентностью Mycobacterium tuberculosis, расширением показаний к применению иммуносупрессивной терапии и увеличением миграции населения.
Синонимы: бородавка прозектора, бородавчатая волчанка, колликвативный туберкулез кожи, tuberculosis cutis orificialis, люпоидный туберкулез, генерализованный острый туберкулез кожи, метастатический туберкулезный абсцесс.
Классификация туберкулеза кожи
Экзогенный туберкулез кожи:
1. Туберкулезный шанкр: первичная инокуляция возбудителя туберкулеза через кожу/слизистые у неиммунизированного пациента.
2. Бородавчатый туберкулез кожи: повторная инокуляция возбудителя туберкулеза через кожу/слизистые.
Эндогенное распространение туберкулеза кожи:
1. Скрофулодерма: туберкулез кожи, развившийся на фоне первичного туберкулезного очага (в лимфатических узлах, костях).
2. Орифициальный туберкулез: аутоинокуляция возбудителя из очага активного туберкулеза внутреннего органа в кожу/ слизистые при нарушении иммунитета.
3. Туберкулезная волчанка: распространение реинфекции у пациентов с замедленным типом гиперчувствительности (Т-клеточный иммунитет).
4. Милиарный туберкулез: гематогенное распространение инфекции из легких у лиц с ослабленным иммунитетом.
5. Туберкулезная гумма: гематогенное распространение при бактериемии и сниженной резистентности.
Эпидемиология туберкулеза кожи
Возраст: любой.
Заболеваемость: 300 случаев на 100000 населения развивающихся стран.
Этиология: М. tuberculosis, реже Mycobacterium bovis, бацилла Кальметта-Герена.
Передача инфекции: экзогенный путь, аутоинокуляция или эндогенный путь.
Патофизиология туберкулеза кожи
Туберкулез вызывается кислотоустойчивой палочкой М. tuberculosis. Передача инфекции происходит воздушно-капельным путем при вдыхании, глотании или аутоинокуляции. Пациент может быть сенсибилизирован, что приводит к различной выраженности клеточно-опосредованного иммунитета и разнообразным клиническим проявлениям.
Поражения могут возникать в результате прямой инокуляции, экзогенно, в области кожных покровов или слизистых (туберкулезный шанкр, бородавчатый туберкулез кожи), или в результате эндогенной инфекции (скрофулодерма, милиарный туберкулез, туберкулезная гумма, орифициальный туберкулез, туберкулезная волчанка). Наконец, выделяют также иммунные реакции кожи, вызванные М. tuberculosis, которые называются туберкулидами.

Анамнез туберкулеза кожи
Клинические проявления, вызванные М. tuberculosis, зависят от пути передачи, способа распространения и клеточного иммунного ответа пациента.
Туберкулезный шанкр развивается через 2-4 недели после инокуляции, появляется папула, которая постепенно увеличивается в размерах. На ее месте формируется узел, который изъязвляется и спонтанно регрессирует через 3-12 месяцев.
Бородавчатый туберкулез кожи начинается с появления бородавчато подобной папулы, она увеличивается до размеров бляшки, из которой может выделяться гной или остатки керати-ноцитов, затем через несколько лет высыпания спонтанно разрешаются.
Скрофулодерма начинается с образования подкожного узелка в результате инфицирования подлежащих лимфатических узлов или костей, что приводит к изъязвлению и формированию полости, при излечении образуется келоидный рубец.
Орифициальный туберкулез возникает в области отверстий на фоне активной туберкулезной инфекции (легких, кишечника или аногенитальной области). Вначале появляется папулы, затем образуется болезненная язва, которая спонтанно не разрешается.
Туберкулезная волчанка представлена бляшками, язвами, вегетирую-щими, опухолевидными или папуло-нодулярными поражениями при гиперчувствительности замедленного типа. Высыпания существуют годами и разрешаются с рубцеванием.
Милиарный туберкулез обычно развивается на фоне туберкулеза легких и бактериемии. Высыпания представлены мелкими папулами, везикулами, которые разрешаются с образованием рубцов. Туберкулезная гумма обычно развивается на фоне бактериемии. Кожные высыпания представлены подкожными узелками, наблюдается изъязвление и образование полостей.
Клиника туберкулеза кожи
Тип высыпаний: пятна, папулы, язвы (туберкулезный шанкр), корочки, бляшки, узловые образования.
Цвет: красный, красно-коричневый.
Диаскопия: симптом яблочного желе, желто-коричневый цвет.
Локализация: незащищенные участки кожи: кисти, стопы, голова и шея.

Дифференциальная диагностика туберкулеза кожи
Туберкулез следует дифференцировать с широким спектром заболеваний.
Состояния, вызванные М. tuberculosis, дифференцируют с сифилисом, лихорадкой от кошачьих царапин, споротрихозом; заболевания, вызванные М. таггпит - с глубокой грибковой инфекцией, саркоидозом, бородавками, гипертрофическим плоским лишаем, гнойным гидраденитом, конглобатными акне, простым герпесом, рецидивирующим афтозным стоматитом, ветряной оспой, острым лихеноидным и вариолиформным парапсориазом, вирусной экзантемой, лимфомой, красной волчанкой, лепрой, лейшманиозом или панникулитом.
Лабораторная диагностика туберкулеза кожи
Дерматопатология:
1. Туберкулезный шанкр: неспецифическое воспаление, некроз, присутствие возбудителя, в дальнейшем выявляются клетки Лангерганса, лимфоциты, казеозный некроз и отсутствие палочек.
2. Бородавчатый туберкулез кожи: псевдоэпителиоматозная гиперплазия, микроабсцессы, единичные гранулематозные очаги, несколько палочек.
3. Скрофулодерма: грануляционная ткань и казеозный некроз в глубоких слоях эпидермиса, наличие возбудителя в гное.
4. Орифициальный туберкулез: неспецифическое воспаление и некроз, возбудитель легко обнаруживается.
5. Туберкулезная волчанка: выраженные бугорки, палочки не визуализируются.
6. Милиарный туберкулез/туберкулезная гумма: некроз и абсцессы, изобилие бацилл.
Культуральный метод: М. tuberculosis может обнаруживаться при всех клинических формах туберкулеза.
Полимеразная цепная реакция: при всех клинических формах туберкулеза определяется ДНК М. tuberculosis.
Кожные пробы: при туберкулезном шанкре интрадермальные кожные пробы могут быть как отрицательными, так и положительными; при милиарном туберкулезе и туберкулезной гумме пробы отрицательные, при туберкулезной волчанке скрофулодерме и бородавчатом туберкулезе кожи - положительные, при орифициальном туберкулезе - вариабельные.
Течение и прогноз туберкулеза кожи
Наблюдаются различные варианты течения туберкулеза кожи.
Туберкулезный шанкр спонтанно регрессирует через 3-12 месяцев.
Бородавчатый туберкулез кожи спонтанно регрессирует через несколько лет.
Скрофулодерма медленно разрешается с образованием келоидного рубца.
Орифициальный туберкулез приводит к образованию болезненных язв, которые спонтанно не регрессируют.
Поражения при туберкулезной волчанке персистируют годы и разрешаются с образованием рубца.
Милиарный туберкулез/туберкулезная гумма разрешаются с образованием келоидного рубца.
Лечение туберкулеза кожи
Лечение туберкулеза кожи такое же, как и при туберкулезе легких. Изониазид и рифампин, рифапентин или рифабутин в сочетании с этамбутолом, стрептомицином или пиразинамидом могут применяться в течение 9-12 месяцев. Могут быть опробованы более короткие курсы с применением комбинации из четырех препаратов.
Препараты второй линии включают циклосерин, этионамид, протионамид, тиацетазон, P-аминосалициловую кислоту, капрео-мицин, виомицин, амикацин, кнамицин, левофлоксацин, гатифлоксацин и моксифлоксацин.
Туберкулезный шанкр. Генерализованный милиарный туберкулез кожи
Туберкулезный шанкр. Генерализованный милиарный туберкулез кожи
Первичная инфекция обычно имеет место в детстве. В огромном большинстве случаев она локализуется в легком в виде так называемого комплекса Гона или первичного комплекса, который состоит из маленького казеозного поражения по периферии одного легкого и казеоза в регионарных лимфатических узлах. Первичный комплекс не прибретает хронического течения. Он заживает или быстро распространяется.
Распространение процесса бывает местным или гематогенным. В последнем случае может развиться милиарный туберкулез.
Туберкулезный шанкр. Первичный комплекс редко локализуется в коже. Чаще это наблюдается у детей, но может иметь место и у взрослых (Майклсон, 1935). Очагом поражения обычно бывает язва, покрытая коркой. Этот очаг обозначается как туберкулезный шанкр или как первичная туберкулезная инокуляция кожи. Регионарные лимфатические узлы увеличиваются, иногда они нагнаиваются, образуя свищи.
Гистопатология туберкулезного шанкра. Гистологические изменения весьма напоминают картину, наблюдаемую при экспериментальной прививке туберкулеза в кожу морской свинки. В ранней стадии заболевания гистологические изменения проявляются банальной острой воспалительной реакцией с изъязвлением и очагами казеозного некроза. Обнаруживаются многочисленные туберкулезные палочки, особенно в очагах некроза.
Через 3—6 недель развивается более специфическая гистологическая картина. Появляются эпителиоидные клетки и гигантские клетки Лангханса, но типичные бугорки, как правило, не образуются. Характерным симптомом остается казеозный некроз. В этой стадии количество туберкулезных палочек резко уменьшается и гистологическим методом обнаружить их не удается. Их наличие можно доказать только положительными результатами прививок животным.

Одновременно с уменьшением количества туберкулезных палочек в очаге поражения туберкулиновая проба из отрицательной становится положительной. Гистологические изменения в регионарных лимфатических узлах идентичны изменениям в очаге поражения кожи [О'Лири и Гаррисон (O'Leary, Harrison)].
Генерализованный милиарный туберкулез кожи
Кожными высыпаниями обычно являются узелки, но могут быть пузырьки и гнойнички. Высыпания имеют тенденцию образовывать маленькие язвы.
Обычно обнаруживается неспецифический воспалительный инфильтрат, состоящий из лимфоцитов и небольшого количества плазматических клеток; туберкулоидной реакции нет. Многочисленные туберкулезные палочки располагаются внутри кровеносных сосудов, а также в зоне некроза вокруг сосудов. В поздней стадии может образоваться туберкулоидное строение (Уайз).
Иммунитет, приобретенный после первичной инфекции, существует в течение нескольких лет. После этого скрытого периода может наступить реинфекция. Туберкулезная реинфекция носит обычно моноорганный характер, например при поражении кожи другие органы, как правило, остаются свободными от активного туберкулеза. Как и при первичном туберкулезе, инфекция кожи может быть очаговой или диссеминированной.
В зависимости от вирулентности туберкулезных палочек и степени резистентности макроорганизма интенсивность казеоза в развивающихся поражениях кожи может быть незначительной (как при туберкулезной волчанке), умеренной (как при бородавчатом туберкулезе) или резко выраженной (как при скрофулодерме и tuberculosis cutis orificialis).
Информация на сайте подлежит консультации лечащим врачом и не заменяет очной консультации с ним.
См. подробнее в пользовательском соглашении.
Милиарный туберкулез
Наиболее тяжелой формой туберкулезного процесса является милиарный туберкулез (millium — просо, просовидное поражение). Группой риска по его развитию являются дети раннего возраста, не привитые вакциной БЦЖ, с тяжелой сопутствующей патологией, иммунодефицитами. У детей милиарный туберкулез обычно поражает весь организм, носит генерализованный характер. Чаще всего поражаются легкие, затем печень, селезенка, почки. В конечной стадии заболевания в процесс вовлекаются мозговые оболочки. Обычно болезнь начинается остро с повышения температуры тела до 39—40°, которая держится на этих цифрах 4—5 дней, затем принимает вид неправильной температурной кривой с суточными колебаниями в пределах 2—2,5°. Резко выражены симптомы интоксикации, слабость, потеря аппетита, потеря массы тела, профузные поты, у некоторых больных отмечаются сильные головные боли. При появлении диссеминации в мозговых оболочках и веществе мозга развиваются признаки менингита и менингоэнцефалита. В таких случаях необходима люмбальная пункция и исследование ликвора.
В клинической картине обращают на себя внимание признаки легочной недостаточности: одышка, цианоз, редкий сухой кашель, иногда приступообразный. Дыхание поверхностное до 50— 70 в 1 мин. Объективные изменения в легких вначале могут еще отсутствовать. И это несоответствие между тяжелой одышкой и цианозом, с одной стороны, и отсутствием объективных изменений — с другой, должно вызывать подозрение на милиарный туберкулез. Перкуторный тон с коробочным оттенком, аускультативно — дыхание ослабленное, иногда жесткое, могут выслушиваться единичные мелкие влажные хрипы преимущественно в паравертебральном пространстве или явления бронхита. Микобактерии туберкулеза в мокроте не обнаруживаются, так как в легких нет полостей распада и тип воспаления преимущественно продуктивный.
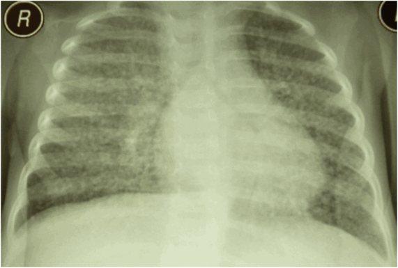
Рентгенологически в раннем периоде на обзорных рентгенограммах органов грудной клетки наш глаз воспринимает лишь непривычную рябь, обеднение легочного рисунка, четких же очажков при просвечивании еще не видно. Лишь через 1—2 нед после первых клинических проявлений заболевания на рентгенограмме грудной клетки видно густое равномерное высыпание по обоим легочным полям мелких очажков, не превышающих 2—3 мм в диаметре. Мелкие очаги при детальном их рассмотрении, лучше в области межреберных промежутков, отличаются однотипностью, расположены отдельно друг от друга, имеют довольно ясные очертания. Они мешают отображению нормального легочного рисунка, а также рисунка и формы корневых теней (рис. 8.13).

Рис. 8. U. Обзорная рентгенограмма органов грудной клетки с милиарным туберкулезом легких у ребенка одного года и б месяцев
В процессе наблюдения могут выявляться экстрапульмональные очаги в костной системе, почках и других органах. Иногда наблюдается плеврит. Помогают в диагностике поражений различных внутренних органов компьютерная томография или ультразвуковое исследование.
В формуле крови отмечается небольшой лейкоцитоз, сдвиг нейтрофилов влево, эозино- и лимфопения, моноцитоз, ускорение СОЭ до 40 мм/ч. Повышены значения острофазовых показателей (фибриногена, СРВ, сиаловых кислот), развивается диспротеинемия. Туберкулиновые пробы, пробы с Диаскинтестом чаще отрицательные, свидетельствующие о резком снижении иммунологической реактивности организма. Вместе с тем тесты, основанные на анти- генспецифической индукции ИФН-у (QuantiFERON, Тубинферон), часто оказываются более чувствительными. Если не произведено рентгенологическое исследование, истинная природа заболевания устанавливается поздно, когда проявляется менингеальный синдром. При раннем выявлении милиарного туберкулеза исход благо-
приятный, даже при тотальной генерализации. Терапию проводят по первому режиму химиотерапии. Обязательным является назначение десенсибилизирующей и сосудистой терапии, симптоматических средств.
Состояние пациента улучшается постепенно. Снижается температура, уменьшается одышка, цианоз, тахикардия. Нормализуется формула крови. К концу второго месяца на рентгенограмме грудной клетки часть очагов рассасывается, определяется легочный рисунок. При рано начатом лечении происходит полное рассасывание очагов уже к 3—4 мес, легочный рисунок может полностью нормализоваться через 7—9 мес. Если процесс диагностирован поздно, то рассасывание очагов идет медленно с развитием сетчатого склероза и эмфиземы. Если процесс в милиарных очажках дошел до казеоза, может наступить их кальцинация. В некоторых случаях заболевание может принимать затяжное течение с периодическими обострениями. При поздней диагностике (позже 3 нед) и неэффективной терапии возможно прогрессирование заболевания и летальный исход.
Туберкулезный шанкр. Генерализованный милиарный туберкулез кожи
Всё о воздухе, которым мы дышим: О том, как формировался состав воздуха, как его улучшить, как создавать искусственный воздух и еще о многих других вопросах Изд. стереотип. Бреслав И.С., Брянцева Л.А. Мягкая обложка
Дыхание — ключ к здоровью: Мифы и реальность Изд. стереотип. Бреслав И.С., Брянцева Л.А. Мягкая обложка
| Глава 1. Основные понятия и положения | |||
| Определение | |||
| Эпидемиология | |||
| Свойства возбудителя | |||
| Патогенез | |||
| Понятие о туберкулезном инфильтрате | |||
| Закон Ядассона--Левандовского | |||
| Общая характеристика казеозного некроза | |||
| Отличительные гистологические признаки различных форм туберкулеза кожи | |||
| Глава 2. Классификация | |||
| Первичный туберкулез | |||
| А. | Локализованная инфекция | ||
| Туберкулезный шанкр | |||
| Б. | Диссеминированная гематогенная инфекция | ||
| 1. | Генерализованный милиарный туберкулез кожи | ||
| 2. | Первичная скрофулодерма, или колликвативный туберкулез кожи (tuberculosis cutis colliquativa) | ||
| Туберкулезная реинфекция | |||
| А. | Локализованная инфекция | ||
| 1. | Туберкулезная волчанка (lupus vulgaris) | ||
| 2. | Бородавчатый туберкулез кожи (tuberculosis cutis verrucosa) | ||
| 3. | Вторичная скрофулодерма (scrofuloderma) | ||
| 4. | Язвенный туберкулез кожи и слизистых (tuberculosis cutis et mucosae ulcerosa) | ||
| Б. | Диссеминированная гематогенная инфекция | ||
| 1. | Микропапулезный туберкулез (tuberculosis micropapulosa) | ||
| 2. | Милиарная диссеминированная волчанка лица (lupus miliaris disseminatus faciei) | ||
| 3. | Папулонекротический туберкулез (tuberculosis papulonecrotica) | ||
| 4. | Лихеноидный туберкулез (лишай золотушных, lichen scrofulosorum) | ||
| 5. | Индуративная эритема Базена (erythema induratum Bazin) | ||
| Глава 3. Дополнительные исследования | |||
| Полимеразная цепная реакция | |||
| Туберкулиновые пробы | |||
| Проба Манту | |||
| Проба Пирке | |||
| Накожная проба Моро | |||
| Посев | |||
| Глава 4 Лечение туберкулеза кожи | |||
| Наружное лечение | |||
| Противотуберкулезные препараты | |||
| Хирургическое лечение | |||
| Физиотерапия | |||
32048.jpg" />
Краснова Ольга Викторовна
Кандидат медицинских наук, врач-дерматовенеролог ФКУЗ МСЧ-77 УФСИН России, офицер, врач-психиатр, психолог, косметолог. Автор более 100 научных публикаций, среди которых несколько монографий, таких как «Развитие психодерматологии в России и за рубежом», «Проблемы современной психодерматологии», «Основы психодерматологии» (М.: URSS), «Психо-нейро-иммунные взаимодействия при часто встречающихся хронических заболеваниях кожи» (М.: URSS), «Расстройства пигментации при нейро-кожно-висцеральных синдромах» (М.: URSS), «Патоморфология (гистопатология) кожи» (М.: URSS), «Лабораторная диагностика в дерматологии» (М.: URSS), «Ключ к венерологии: Этиопатогенез, клиника, диагностика и лечение» (М.: URSS) и др. Автор более 30 учебных пособий, некоторых из них утверждены УМО по медицинскому и фармацевтическому образованию вузов России в качестве учебного пособия для студентов, обучающихся по специальности «Лечебное дело», и системы послевузовской подготовки врачей. Общий стаж работы в РГМУ — 19 лет, в УФСИН России — 8 лет. Внесла большой научный вклад в отечественную психодерматологию, дерматологию, венерологию и иммунологию. Неоднократно принимала участие в работе различных конференций и конгрессов в России и за рубежом. Готовила научные кадры дерматовенерологов для Российской Федерации. Широко известна в России и за рубежом как опытный, эрудированный клиницист и исследователь.
Внелегочный туберкулез (ТБ)

Внелегочный туберкулез обычно является следствием гематогенного распространения возбудителя. Иногда инфекция передается непосредственно от смежного органа. Симптоматика меняется в зависимости от места локализации процесса, но обычно включает лихорадку, недомогание и потерю веса. Диагностика чаще всего проводится по результатам анализа мокроты и бактериальных посевов, и, все чаще, благодаря применению диагностических молекулярных экспресс-тестов. Лечение проводят антибактериальными лекарственными средствами в течение, по крайней мере, 6 мес.
Милиарный туберкулез
Также известен как генерализованный гематогенный туберкулез; милиарный туберкулез развивается тогда, когда туберкулезный очаг разрушает кровеносные сосуды, распространяя миллионы туберкулезных палочек в кровоток и по всему телу. Неконтролируемая массивная диссеминация может возникнуть во время первичной инфекции или реактивации латентного очага. Легкие и костный мозг поражаются чаще всего, но может быть поражен любой орган.
Милиарный туберкулез наиболее распространен среди
Симптомы включают лихорадку, озноб, слабость, недомогание и часто прогрессирующую одышку. Периодическое поступление в кровоток туберкулезных палочек может привести к длительной лихорадке неясного происхождения (ЛНП). Поражение костного мозга вызывает анемию, тромбоцитопению или лейкозоподобную реакцию.
Туберкулез мочеполовой системы
Инфекция почек может проявиться как пиелонефрит (например, лихорадка, боль в пояснице, пиурия) без обычных болезнетворных микроорганизмов в моче по обычной культуре (стерильная пиурия). Инфекция обычно поражает мочевой пузырь, а у мужчин – простату, семенные канальцы или придатки яичка, вызывая увеличение скротальной массы. Инфекция может распространиться в околопочечное пространство вниз к поясничной мышце, иногда вызывая абсцесс на передней части бедра.
Сальпингоофорит может проявиться после менархе (время наступления первой менструации), когда фаллопиевы трубы богаты сосудами. Симптомы включают хроническую боль в тазовой области и бесплодие, внематочную беременность из-за рубцов на трубах.
ТБ менингит
Менингит часто возникает при отсутствии инфекции в легких из других внелёгочных очагов. В США это осложнение наиболее распространено среди пожилых и людей с ослабленным иммунитетом; но в областях, где туберкулёз распространен среди детей, туберкулёзный менингит обычно встречается в период с рождения до 5 летнего возраста. В любом возрасте менингит – самая тяжелая форма туберкулеза и имеет высокую заболеваемость и смертность. Это – одна из форм туберкулеза, которая, как полагают, предотвращается в детстве прививкой БЦЖ Бессимптомные новорожденные, чьи матери или близкое окружение имеют активную форму туберкулеза .
Симптомы – небольшая лихорадка, постоянная головная боль, тошнота и сонливость, которая может прогрессировать до оцепенения и комы. Симптомы Кернига и Брудзинского могут быть положительными. Этапами являются:
1: Ясность сознания с патологически измененной ЦСЖ
2: Сонливость или ступорозное состояние с очаговыми неврологическими проявлениями
Приступ может явиться следствием тромбоза синусов головного мозга. Очаговая неврологическая симптоматика предполагает наличие туберкуломы.
ТБ перитонит
Перитониальная инфекция возникает при распространении процесса от лимфоузлов брюшной полости или от сальпингоофорита. Перитонит особенно часто встречается среди алкоголиков с циррозом печени.
Признаки могут быть легкими, с утомляемостью, болью в животе и болезненностью или достаточно тяжелыми, похожими на острую боль в животе.
Туберкулезный перикардит
Перикардиальная инфекция может развиться от очагов в лимфоузлах средостения или от плеврального туберкулеза. В некоторых частях мира с высоким уровнем заболеваемости, туберкулезный перикардит – частая причина остановки сердца.
У пациентов обычно отмечается шум трения перикарда, плевритная и позиционная боль в груди и лихорадка. Может наступить перикардиальная тампонада, вызывая одышку, кровенаполнение вен, парадоксальный пульс, приглушенные звуки сердца и, возможно, гипотонию.
ТБ лимфаденит
Туберкулезный лимфаденит (золотуха), как правило, вовлекает лимфатические узлы задней части шеи и надключичных цепочек. Считается, что инфицирование этих участков возникает из-за непрерывного распространения возбудителя по внутригрудным лимфатическим сосудам или от инфекции в миндалинах и аденоидах. Проявлением первичной легочной болезни является увеличение лимфатических узлов средостения.
Цервикальный туберкулезный лимфаденит характеризуется прогрессирующим отеком пораженных узлов. В запущенных случаях узлы могут стать воспаленными и чувствительными, покрывающая их кожа может травмироваться в результате выделения содержимого свища.
Кожный туберкулез
Колликвативный туберкулез (скрофулодерма) является результатом прямого распространения инфекции из основного очага туберкулеза (например, из региональных лимфоузлов, костей или суставов) к вышележащей коже с образованием язв и свищевых ходов.
Волчанка обыкновенная является результатом гематогенного или лимфогенного распространения инфекции на кожу из внекожного очага у сенсибилизированного пациента.
Бородавчатый туберкулез кожи (трупная бородавка) возникает после экзогенного прямого внедрения микобактерий в кожу ранее сенсибилизированного пациента, обладающего умеренным и высоким иммунитетом против бацилл.
Изредка у пациентов с кавернозным легочным туберкулезом данное заболевание развивается на поврежденном участке кожи.
У больных туберкулезом кожи имеются безболезненные, твердые подкожные узелки, которые в конечном итоге увеличиваются и образуют язвы и свищевые ходы.
© Springer Science+Business Media
На верхнем изображении показаны неправильной формы красные бляшки у пациентов с волчанкой обыкновенной, которая является одной из форм туберкулеза кожи. На нижнем изображении показаны эритематозные бляшки с просветлением в центре и приподнятыми эритематозными краями также у пациента с обыкновенной волчанкой.
© Springer Science+Business Media
На данной фотографии изображёна единичная, плотная, бородавчатая бляшка на месте непосредственного внедрения микобактерий в кожу.
© Springer Science+Business Media
Туберкулез костей и суставов
Обычно поражаются суставы, опорно-двигательный аппарат, кости запястья, руки, предплечья и плеча могут также быть затронуты, особенно после травмы.
Болезнь Потта – это спинальная инфекция, которая начинается в теле позвонка и часто распространяется к смежным позвонкам, вызывая сужение дискового пространства между ними. Если не лечить, позвонки могут разрушаться с вовлечением в процесс спинного мозга. Симптомы включают нарастающую или постоянную боль в пораженных костях, а также хронический или подострый артрит (обычно моно). При болезни Потта сдавливание спинного мозга приводит к неврологическим патологиям, включая параплегию; парапозвоночная отечность может быть проявлением туберкулезного абсцесса.
Желудочно-кишечный туберкулез
Поскольку вся слизистая оболочка желудочно-кишечного тракта устойчива к внедрению микобактерий туберкулеза, то инфекция требует длительного заражения и крупной инокуляции. Это крайне нехарактерно для развитых стран, где бычий туберкулез редок.
Язвы полости рта и ротоглотки могут развиться при питании молочными продуктами, контаминированными M. bovis; в тонком кишечнике могут возникать первичные поражения. Поражение кишечника возбудителем сопровождается гиперплазией и воспалительным синдромом Обзор воспалительного заболевания кишечника (Overview of Inflammatory Bowel Disease) Воспалительные заболевания кишечника (ВЗК), к которым относятся болезнь Крона (БК) и язвенный колит – рецидивирующие заболевания, при которых наблюдается хроническое воспаление различных отделов. Прочитайте дополнительные сведения . Состояние может напоминать аппендицит Аппендицит Аппендицит – острое воспаление червеобразного отростка, типичными проявлениями которого служат боль в животе, анорексия, болезненность при пальпации. Диагностика основывается на клинических. Прочитайте дополнительные сведенияТБ печени
Инфекция печени выявляется у пациентов с прогрессирующей стадией легочного туберкулеза, гематогенно диссиминированном и милиарном туберкулезе. Однако печень обычно восстанавливается без осложнений в процессе лечения основной инфекции. Туберкулез печени иногда распространяется к желчному пузырю, что приводит к обтурационной желтухе.
Другие виды
Туберкулез может инфицировать стенку кровеносного сосуда и даже прорвать аорту. Прежде было распространено поражение надпочечников, ведущее к болезни Аддисона, но в настоящее время оно относится к редким явлениям. Туберкулезные палочки могут распространиться к влагалищам сухожилий (туберкулезный тендовагинит) прямым контактом от смежных поражений в кости или гематогенно от любого пораженного органа.
Диагностика внелегочного туберкулеза
Окраска кислотостойких микроорганизмов, микроскопический анализ и бактериологический анализ микобактерий из образцов жидкости и ткани, и, при необходимости, анализ на основе свойств нуклеиновых кислот
Рентгенография грудной клетки
Туберкулиновая проба или анализ, основанный на высвобождении гамма-интерферона (IGRA)
Проведение анализов такое же, как и при легочном туберкулезе ( Диагностика Диагностика Туберкулез (ТБ) является хронической прогрессирующей микобактериальной инфекцией, часто имеющей латентный период после начального инфицирования. Чаще всего ТБ поражает легкие. Симптомы включают. Прочитайте дополнительные сведенияКак правило, лимфоцитоз присутствует в жидких средах организма. Очень информативным показателем состояния ЦСЖ является уровень глюкозы < 50% в сыворотке и повышенный уровень белка.
Если все анализы отрицательны, а милиарный туберкулез исключить нельзя, то делают биопсии костного мозга и печени. При подозрении на туберкулез в связи с имеющимися другими характерными признаками (например, гранулема, регистрируемая при биопсии, положительная кожная туберкулиновая проба и IGRA плюс необъяснимый лимфоцитоз в плевральной жидкости или ЦСЖ), лечение обычно начинают и продолжают, несмотря на невозможность выявить возбудители туберкулеза.
Рентгенография грудной клетки и другие методы визуализации, кожная туберкулиновая проба и IGRA также могут предоставить полезную диагностическую информацию. Рентгенография грудной клетки может указывать на признаки первичного или активного туберкулеза; при милиарном туберкулезе это видно по тысячам 2–3-миллиметровых интерстициальных узелков, равномерно распределенных по обоим легким.
Другие томографические обследования выполняются на основании полученных клинических результатов. Поражение брюшной полости или поражение мочеполовой системы обычно требует КТ или ультрасонографии; поражения часто видимы. Поражения кости и прилегающей области требуют проведения КТ или МРТ; МРТ предпочтительна при спинальном заболевании.
Туберкулиновая кожная проба и анализ высвобождения γ-интерферона могут первоначально быть отрицательными, но повторный анализ через несколько недель, как правило, становится положителен. Если это не так, диагноз туберкулеза следует подвергнуть сомнению или искать причины анэргии.
Читайте также:
- Ранняя дифференцировка мезодермы. Сомиты эмбриона
- Мышечная дистрофия с офтальмоплегией. Митохондриальные миопатии
- Аффективно-респираторные приступы. Аура.
- Серозные менингиты. Клиника серозных менингитов
- Трансплантация гемопоэтических стволовых клеток (ТГСК) при миелодиспластических синдромах (МДС) - эффективность
