Увеличенная селезенка
Добавил пользователь Владимир З. Обновлено: 14.12.2025
Спленомегалия. Причины, признаки, лечение увеличенной селезенки
Спленомегалия – что это такое, как лечится, опасно ли это?. Эти вопросы задают пациенты, которым врачи озвучили такой диагноз. Спленомегалией называют любое увеличение селезенки, которое может возникнуть вследствие самых разнообразных заболеваний со стороны многих органов и тканей. Реже такое состояние провоцируют изменения в самом органе.
Причины возникновения спленомегалии
Почему может быть увеличена селезенка у взрослого? К возникновению спленомегалии способны привести такие состояния и заболевания:
- бактериальный процесс. Чаще всего это тиф, паратиф, септическое поражение организма, туберкулез и сифилис;
- вирусное поражение. Спленомегалия может возникать при таких заболеваниях, как краснуха, корь, вирусный гепатит, и других;
- протозойная инфекция – при внедрении в организм возбудителей малярии, лейшманиоза и токсоплазмоза;
- микозы – поражение патогенными грибами;
- гельминтозы – наличие в организме червей;
- различные вариации анемий (малокровия);
- системные хронические болезни органов кроветворения – в первую очередь это лейкозы;
- системные аутоиммунные патологии;
- эндокринологические нарушения – врожденные и приобретенные.
Возможные причины спленомегалии у детей и провокаторы увеличения селезенки у взрослых могут несколько отличаться. Так, спленомегалия у маленьких пациентов:
- может быть вариантом нормы (при незначительном увеличении);
- возникает из-за нарушений во время внутриутробного развития этого органа;
- возникает при увеличенной печени.
Прежде чем задаваться вопросом, как лечить увеличенную селезенку, необходимо верифицировать точные причины спленомегалии – зачастую после их ликвидации в случае отсутствия осложнений селезенка возвращается к своим нормальным размерам.
Признаки спленомегалии
Для диагностики спленомегалии выясняют жалобы пациента и проводят объективное исследование (с помощью физикальных, инструментальных и лабораторных методов диагностики)
Симптомы увеличения селезенки у взрослых зависят от того, какая причина спровоцировала увеличение селезенки. При инфекционных и воспалительных формах поражения в основном проявляются следующие признаки:
- боли в животе слева под реберной дугой;
- тошнота, сопровождающаяся рвотой;
- гипертермия (повышение температуры тела).
Если селезенка увеличена незначительно, ее можно прощупать только при глубокой пальпации живота. При больших размерах селезенка может выпирать из-под левой реберной дуги, и ее можно увидеть невооруженным глазом. Пальпаторно наблюдается болезненность в левом подреберье разной степени выраженности.
Невоспалительные поражения характеризуются той же, но менее выраженной симптоматикой. Так как она в целом неспецифична (может проявляться и при других болезнях), для уточнения диагноза прибегают к дополнительным методам обследования.
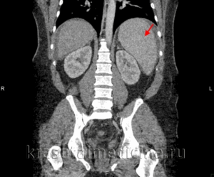
Один из наиболее информативных методов диагностики спленомегалии – УЗИ. Признаками спленомегалии на УЗИ является:
- увеличение размеров селезенки;
- при значительной спленомегалии – смещение соседних органов;
- при заболеваниях самой селезенки, спровоцировавших ее увеличение, наблюдаются ее неоднородная структура, изменения сосудов и так далее.
Также информативными являются:
- стернальная пункция (прокол грудины с извлечением порции костного мозга и последующим его анализом под микроскопом);
- компьютерная томография (Т);
- мультисрезовая компьютерная томография (МСКТ);
- магниторезонансная томография (МРТ).
Нередко обычная обзорная рентгеноскопия и рентгенография органов брюшной полости помогут выявить увеличение селезенки.
Так как причинами увеличенной селезенки у ребенка до года могут быть нарушения во время утробного развития, прибегают к генетическому анализу.
Из лабораторных методов информативными являются:
- общий анализ крови;
- биохимический анализ крови (для дифференциальной диагностики различных заболеваний, способных стать причиной спленомегалии);
- анализ кала для выявления гельминтов;
- всевозможные бактериологические посевы с последующим изучением колоний и определением возбудителя;
- исследование крови на наличие специфических маркеров – биохимических и аутоиммунных.
Как лечить увеличенную селезенку
Терапия при увеличенной селезенке зависит от того, какое заболевание спровоцировало спленомегалию. Часто необходим консилиум разных специалистов – гастроэнтеролога, инфекциониста, иммунолога.
Что делать при умеренной спленомегалии? Не заниматься самолечением и обратиться в авторитетную клинику за помощью к высококвалифицированному специалисту, так как даже незначительное увеличение селезенки может сигнализировать о серьезных заболеваниях. В основном при спленомегалии могут быть использованы:
- антибактериальные, антивирусные, антипротозойные средства (в зависимости от возбудителя);
- гормональные медицинские препараты;
- витаминотерапия.
Если селезенка увеличилась до огромных размеров или ее поразила опухоль – прибегают к оперативному удалению органа.
Если ребенку месяц, увеличена селезенка, но других признаков болезней нет, все равно необходима незамедлительная консультация врача. Своевременно назначенное лечение избавит малыша и его родителей от многих проблем.
Увеличение селезенки: чем оно опасно
Очень часто задают вопрос, с чем связано увеличение селезенки, чем опасно такое нарушение. В организме человека нет ненужных органов. У каждого из них — свои важные функции. Селезенка нужна для того, чтобы правильно происходили обменные процессы, она регулирует кроветворение, очищает кровь от бактерий, отвечает за уровень ее свертываемости. Работает этот орган в тесной связи с другими, поэтому увеличивается селезенка, когда они функционируют неправильно. Особенно явно страдает селезенка от нарушений в работе печени, ее увеличение --- один из симптомов такого серьезного заболевания, как цирроз. Самые частые причины цирроза – вирусные гепатиты В и С, жировой гепатоз печени и алкогольная болезнь печени. При этих заболеваниях происходит замещение гепатоцитов жировыми клетками или соединительной тканью. Постепенно печень перестает выполнять свои функции, что приводит к очень тяжелым последствиям. Поэтому при обнаружении отклонений в размерах селезенки необходима не только консультация у врача-гепатолога, но и комплексное обследование, обязательно с применением элатостометрии печени.
Нормальный размер селезенки у взрослых:
- длина — от 8 до 15 сантиметров;
- ширина — от 6 до 9 сантиметров;
- толщина — от 4 до 6 сантиметров;
- вес — 140–200 граммов.
Симптомы
Увеличившись, этот орган может достигать даже 500 граммов, сдавливая соседние органы и являясь причиной проявления болей. Так как селезенка расположена рядом с желудком, то одним из симптомов ее аномально большого размера служит чувство тяжести в желудке после еды, появляющееся даже в том случае, если съедено очень мало. Иногда фиксируются боли в животе или сзади с левой стороны, это, скорее всего, означает, что какие-то части селезенки разрушаются из-за недостаточного поступления в них крови.
Последствия
Если говорить о том, чем опасно увеличение селезенки для организма человека в целом, в первую очередь важно отметить, что нарушаются процессы кроветворения в организме. Увеличенный орган получает возможность «захватывать» большее, чем обычно, количество кровяных клеток. Казалось бы, это хорошо, селезенка лучше очистит кровь от больных клеток. Но, к сожалению, это не совсем так. Патологические клетки крови, когда их извлечено слишком много, засоряют саму селезенку, от чего она увеличивается еще больше, а вот кровь фильтрует все хуже и хуже. В итоге орган начинает уничтожать не только патологические, но и здоровые клетки крови, разрушать их. Опасность угрожает эритроцитам, тромбоцитам и лейкоцитам.
В случае резкого уменьшения количества эритроцитов человек заболевает анемией. Уничтожение лейкоцитов разрушает иммунную систему организма, человек начинает очень часто болеть инфекционными заболеваниями. Недостаток тромбоцитов ведет к ухудшению свертываемости крови, что тоже очень опасно.
Лечение селезенки сводится к устранению причины ее увеличения, то есть необходимо вылечить болезнь, которая привела к сбоям. В крайних случаях орган удаляют, но это делать крайне нежелательно, так как значительно ухудшается иммунитет, потому что кровь остается без своего фильтра, а, следовательно, повышается опасность инфекционных заболеваний.
Боль в селезенке. Причины
Акция! Скидка 20% на первичный прием врача для новых пациентов клиники по промокоду "ПЕРВЫЙ20".


Если у человека появляется болевой синдром в области левой стороны подреберья, первые подозрения сразу же падают на поджелудочную железу или желудок. Однако беспокоить может и другой, соседний орган.
Селезенка — одна из самых загадочных органов, функции которого до конца не изучены. Это важнейший орган, помогающий иммунной системе: именно он справляется с фильтрацией клеток крови, зараженных вирусами. Селезенка — орган-резервуар, депо крови.
Болевой синдром в селезенке без воздействия внешних факторов возникает лишь в одном случае — при ее значительном увеличении. Зачастую больные жалуются просто на дискомфорт, тянущие ощущения в левой половине живота.
Заболевания, которые вызывают боль в селезенке:
- Инфекционные заболевания (брюшной тиф, гепатит, сибирская язва, инфекционный мононуклеоз, сифилис, туберкулез)
Многие инфекционные заболевания затрагивают селезенку, вызывая болевой симптом и начиная разрушительный процесс. - Травматические состояния селезенки
Они делятся на два вида: открытого и закрытого типа. К первому относятся колотые, огнестрельные ранения грудной области слева или верхней части брюшной полости.
Травмы закрытого типа — ушибы и переломы. В ряде случаев у селезенки могут возникать разрывы, что сопровождается внутренними кровотечениями.
Повреждения органа, как правило, характеризуются острой болью, отдающей в любые части тела, а также общим ухудшением состояния. - Инфаркт органа
Случается как результат тромбоэмболии, а также тромбоза. Состояние человека при инфаркте селезенки напрямую связано с величиной патологии. Если он небольшой, то вероятно бессимптомное течение. При крупном инфаркте возникает болевой синдром в левом подреберье с иррадиацией в область спины, реагирующий на дыхание. - Абсцесс селезенки
Картина патологии — лихорадка, боли в животе и груди, мышечное напряжение. - Паразитные заболевания (чаще всего эхинококкоз)
- Доброкачественные и злокачественные новообразования
- Увеличение селезенки часто сочетается с увеличением печени (гепатолиенальный синдром), что наблюдается при циррозе печени, портальной гипертензии, болезнях крови.
Любая боль в организме — это сигнал о помощи.
Не стоит слепо игнорировать ее, и принимать обезболивающие таблетки без разбора. Болевые ощущения и дискомфорт в области левого подреберья могут свидетельствовать о нескольких проблемах.
Точную причину выявить в силах только врач.
При появлении болей неясного характера в левом подреберье вы можете обратиться в нашу клинику. Для правильной постановки диагноза специалисты произведут осмотр и опрос, а также назначат необходимые исследования. Во время консультации вы можете обсудить все симптомы, чтобы подобрать максимально эффективную и безопасную терапию.
Диагностика и лечение
Диагностика заболеваний селезенки начинается с тщательного осмотра врачом. После проведения пальпации, сбора анамнеза потребуются дополнительные исследования — УЗИ, рентгенография, МРТ или пункция. Также обязательна лабораторная диагностика.
Первичная задача — правильно поставить диагноз, для того чтобы назначить эффективное лечение. Оно должно происходить только под контролем опытного специалиста.
Профилактические мероприятия для поддержания органа в здоровом состоянии очень просты: правильное питание и здоровый образ жизни. Селезенка начинает лучше работать при регулярных физических нагрузках, а также при специальных дыхательных упражнениях.
Боли в селезенке возникают, когда орган значительно увеличился в размерах. Это может свидетельствовать о различных заболеваниях, диагностировать которые может только квалифицированный врач. Крайне не рекомендуется самостоятельно ставить себе диагноз и, тем более, подбирать лечение.
Ведь селезенка является одним из важных органов, отвечающих за поддержку иммунитета человека.
Своевременное обращение к специалистам поможет Вам решить проблему на раннем этапе с минимальными повреждениями.
Для ранней диагностики проблем со здоровьем вы можете пройти в нашем центре комплексную диагностику организма.
Лучшая диагностика боли в селезенке - МРТ селезенки
array(13) < [0]=>string(1) "6" [1]=> string(1) "7" [2]=> string(1) "8" [3]=> string(14) "августа" [4]=> string(17) "20 августа" [55]=> string(16) "6 августа" [5]=> string(16) "8 августа" [6]=> string(16) "7 августа" [7]=> string(17) "15 августа" [8]=> string(17) "16 августа" [9]=> string(17) "10 августа" [10]=> string(16) "5 августа" [11]=> string(24) "6, 7 и 8 августа" > [1]=> array(3) < [0]=>int(1628283270) [1]=> int(1628369670) [2]=> int(1628456070) > [2]=> array(10) < [0]=>string(1) "6" [1]=> string(1) "7" [2]=> string(1) "8" [3]=> string(17) "20 августа" [4]=> string(16) "6 августа" [5]=> string(16) "8 августа" [6]=> string(16) "7 августа" [7]=> string(17) "15 августа" [8]=> string(17) "16 августа" [9]=> string(17) "10 августа" > > -->
Збільшена селезінка: причини, діагностика та лікування

Благодаря современным инструментальным методикам удается проводить обследования без возрастного ограничения, не подвергая малышей опасности, не причиняя вреда здоровью. Такое состояние, как увеличение селезенки у детей, зачастую диагностируется при ультразвуковом исследовании брюшной полости. Однако в большинстве случаев одной методики недостаточно для установления причин спленомегалии и постановки диагноза.
Ваш запит успішно відправлено!
У найближчий час з Вами зв'яжеться специаліст
call-центра і уточнить всі питання.
Определить, что увеличена селезенка у ребенка, удается на основании визуализации ее контуров при проведении ультразвуковым датчиком по области левого подреберья с переходом на боковую поверхность. В процессе исследования полученные параметры сопоставляются с возрастом, ростом и массой тела малыша. Увеличенная селезенка у ребенка считается нормой в периоде новорожденности. Затем по мере роста малыша пропорционального увеличивается объем всех органных структур. Селезеночную ткань с нормальными размерными показателями не удается прощупать пальпаторным способом. Ввиду того, что ее довольно легко травмировать, не рекомендуется самостоятельно оценивать размер путем надавливания в места проекции.
Селезенка относится к органам, участвующих в иммунной защите. Благодаря продукции антител организм быстро реагирует на инфекционных возбудителей. Кроме того, в ней депонируется третья часть всего объема тромбоцитов. Существует множество причин, когда диагностируется увеличение селезенки у детей. Среди них стоит акцентировать внимание на:
- инфекционных патологиях (ВИЧ, туберкулез, брюшной тиф);
- заболеваниях крови (лейкоз, анемия);
- патологии печени (гепатит);
- врожденном кардиальном пороке.
Окончательный диагноз невозможно поставить исключительно на основании УЗИ селезенки, в связи с чем требуется проведение дополнительной лабораторной и инструментальной диагностики. Если не удается установить причину спленомегалии, в некоторых случаях проводится биопсия с гистологическим анализом. Однако это выполняется крайне редко ввиду высокого риска развития кровотечения.
Если лабораторные показатели в норме, отсутствуют какие-либо клинические симптомы, процесс увеличения селезеночного объема подвергается динамическому наблюдению, поэтому рационально повторить обследование через полгода. Когда увеличена селезенка у ребенка, следует заподозрить наличие кистозного образования в ее тканях. Симптоматически патология зачастую не проявляется, а кисты выявляются случайно при обследовании по поводу заболевания другого органа. В зависимости от причины спленомегалии, решается вопрос о консервативном лечении или хирургическом удалении органа.
Помимо ультразвукового исследования, спленомегалию удается диагностировать с помощью компьютерной томографии, однако для малышей такая методика проводится в исключительных случаях ввиду высокой рентгеновской нагрузки на организм.
Увеличение селезенки или спленомегалия
Селезенка — это небольшой орган, который находится в брюшной полости, прямо грудной клеткой слева. Она исполняет очень важную роль в организме человека. Это орган иммунного ответа организма на попадание инфекции.
Селезенка — это место, где образовываются иммуноглобулины, которые борются с болезнями. Также она очищает кровь от эритроцитов и тромбоцитов, которые уже устарели или имеют аномалии. Дополнительно, она отвечает за кроветворение. И, конечно же, это один из главных органов в теле человека, который отвечает за депонирование крови.

Спленомегалия — это увеличение размера больше 300 грамм и размера по длине больше 20 сантиметров. В свою очередь, увеличение органа больше чем 20 см и 1000 грамм, говорит об массивную спленомегалии
Причины увеличение размера
Самыми частыми причинами спленомегалии являются:
— Онкогематологические заболевания. Раковые клетки крови вызывают инфильтрацию селезенки и как результат ее увеличение;
— Острые и хронические инфекционные болезни ( сифилис, мононуклеоз, туберкулез, цитомегаловирус, малярия) в организме приводят к увеличению активности иммунной функции селезенки и при длительном процессе, ее размер растет.
— Аутоиммунные процессы в организме(ревматоидный артрит, амилоидоз, волчанка)
— Заболевания печени повышают давления в сосудах, что приводит к увеличению селезенки;
— Застой крови в селезенке(венозный тромбоз, сердечная недостаточность, портальная гипертензия)
— Секвестрация селезенки. Это состояния, при котором в селезенке происходит повышенное разрушение тромбоцитов.
— Локальный процесс. (Кисты, онкологические опухоли, абсцессы);
Точную причину увеличение селезенки установить сложно. Этот процесс требует полноценного врачебного обследования.
В большинстве случаев пациент не чувствует конкретных симптомов. Чаще всего это сопровождается большим симптомокомплексом определенного заболевания, что вызвало увеличение селезенки. О нарушении работы селезенки может говорить:
* Постоянная усталость, недомогание, сонливость, бледность кожи, что вызвано анемией;
* Частые инфекционный заболевания, как результат нарушения иммунной функции селезенки;
* Боль в левом подреберье;
* Чувство переедания, даже после приема незначительного количества еды.
И последний, самый явный симптом, это заметное увеличение селезенки визуально. Он случается довольно редко, и означает о критическом увеличение органа.
Довольно часто бессимптомную спленомегалию диагностируют на профилактических осмотрах. В таком случае существует большая вероятность обнаружить первичную болезнь, которая спровоцировала рост селезенки на ранних стадиях и провести эффективное лечение.
Диагностика спленомегалии
Когда вы приходите к доктору с определенными симптомами, в первую очередь он начинает собирать ваши жалобы, анамнез заболевание и др. Далее он начинает объективный осмотр, во время которого проводит пальпацию и перкуссию живота в проекции селезенки. Врач оценивает пальпаторно размер селезенки, ее чувствительность и напряжение мышц живот над селезенкой.
Пальпация и перкуссия живота достаточно чувствительные методы. Вероятность успешного определения спленомегалии составляет около 60-80% (что подтверждается данными УЗИ).
После этого, он направляет пациента на сдачу анализов:
— Общий анализ крови;
— Биохимический анализ крови;
Также врач назначает лабораторные обследования конкретного заболевания, что могло вызвать спленомегалию:
— Анализ крови на иммуноглобулины к конкретной инфекции;
Дополнительно пациент проходит инструментальное методы диагностики;
* УЗИ брюшной полости;
Они позволяют визуализировать селезенку, вычислить ее точный размер и толщину стенок. Диагностировать новообразование или кисту как причину большого размера органа.

Чем опасна спленомегалия?
Спленомегалия достаточно опасное состояние. Так как из-за увеличения размера органа вызывает анатомические дефекты и физиологические сбои в функционировании селезенки.
Это приводит к определенным осложнениям:
* Инфекционные заболевания. Нарушается синтез лимфоцитов, что снижает эффективность иммунной системы;
* Кровоточивость и анемия. Из-за большого размера селезенка начинает активно захватывать и утилизировать тромбоциты и эритроциты, что, в конечном результате, приводит к кровоточивости;
И один из самых опасных осложнений — это разрыв селезенки. Когда селезенка увеличивается, стенка ее капсулы истончается и даже незначительный удар в ее область, может привести к разрыву. Это очень опасное состояние, так как кровотечения из селезенки достаточно тяжело остановить. Поэтому ее приходится полностью удалять.
Спленомегалия у детей
Так как размеры селезенки широко варьируются в зависимости от возраста и генетики. Поэтому современная концепция спленомегалии неприменима для детей.
Одной из главных причин увеличение детской селезенки остаются инфекционные и онкогематологические заболевания.
Лечение спленомегалии
Основная цель в лечении спленомегалии — это убрать причину развития такого состояния и провести профилактику осложнений.
Так, при инфекционных заболеваниях применяют антибиотики или противовирусные препараты.
В случае развития онкогематологического процесса назначается химио- и радиотерапия, которая поможет побороть опухоль.
Если размер селезенки достиг критического уровня, это может привести к серьезным нарушением ее функции и работы целого организма, что будет угрожать жизни. Таким пациента проводится спленэктомия — удаления селезенки. Иногда это единственный метод спасти пациента.
Заполните всего три поля
и наш специалист Вам перезвонит!
Ваши данные успешно отправлены! Ожидайте нашего звонка.
РАДИОХИРУРГИЯ КИБЕРНОЖ
Инновационный метод лечения,
радиохирургия на системе
"КиберНож" , применяется в
Клинике Спиженко для
дистанционного лечения
опухолей
ЛУЧЕВАЯ ТЕРАПИЯ IMRT
Лучевая терапия опухолей
в Клинике Спиженко
проводится на линейном
ускорителе последнего
поколения Elekta с
функцией IMRT
(максимальной защиты
здоровых тканей)
МАЛОТРАВМАТИЧНАЯ ХИРУРГИЯ - ЛАПАРОСКОПИЯ
Современные методы хирургического лечения онкологических пациентов применяются в Центре
хирургии Клиники Спиженко на постоянной основе, в том числе, малотравматичая лапароскопия
Читайте также:
