УЗ-признаки поднижнечелюстного сиаладенита
Добавил пользователь Евгений Кузнецов Обновлено: 23.11.2025
Признаки и лечение хронического сиалоаденита или острой его формы
Сиалоаденит – воспалительный процесс, развивающийся в слюнных железах. Патология достаточно коварна – игнорируя признаки острой формы, приходится проводить лечение хронического сиалоаденита, который при несвоевременной терапии может привести к некрозу железы, заращиванию протоков и флегмоне близлежащих тканей.
Классификация сиалоаденита, причины возникновения и симптомы
Сиалоаденит околоушной железы. Это самые большие железы в человеческом организме, располагающиеся над ушной раковиной и под ней. Чаще всего причиной патологии является вирусная эпидемическая инфекция – свинка. Ею болеют в детском возрасте. Признаки сиалоаденита околоушной слюнной железы достаточно выражены – боль за ухом во время проглатывания пищи, постоянная сухость во рту, отек шеи и частично лица.
Сиалоаденит подчелюстной слюнной железы. Может быть бактериальным, вирусным или грибковым. Патология в этих железах диагностируется гораздо реже, чем в околоушных. Симптомы будут идентичными, но добавляется боль при широком раскрытии рта и обычном пережевывании пищи.
Калькулезный сиалоаденит чаще всего диагностируется в возрасте 7-12 лет. Воспаление, как правило, развивается в поднижнечелюстных слюнных железах. Причины калькулезного сиалоаденита кроются в проникновении инфекционного агента из других патологических очагов в ротовую полость.
Подъязычный сиалоаденит. Его симптомы интенсивные и сильно беспокоят больного – подъязычная область отекает, становится выраженно красной, пациент вынужден постоянно держать рот приоткрытым, у него затрудняется дыхание, а прием твердой пищи становится невозможным.
В медицине выделяют виды рассматриваемого заболевания и по расположению патологического очага. Такая классификация ведется в отношении хронической формы:
- паренхиматозный сиалоаденит – воспаление протекает только в одной части слюнной железы, а именно – в паренхиме;
- интерстициальный сиалоаденит – патология развивается в соединительной ткани слюнной железы;
- сиалодохит – изменения под влиянием воспалительного процесса происходят в структуре слюнного протока.
Кроме этого, различают серозную и гнойную форму заболевания. И если в первом случае общее состояние больного остается в пределах нормы, то симптомы гнойного сиалоаденита – это высокая температура тела, острая боль при глотании даже воды, сильная отечность и головокружение.
Как лечат сиалоаденит
Независимо от формы и вида заболевания пациенту проводят антибактериальную терапию. Если течение болезни легкое, то достаточно пройти курс физиотерапии и принять несколько уколов антибиотиков непосредственно в воспаленный проток слюнной железы. Если острый сиалоаденит слюнных желез средней степени тяжести, то могут быть назначены обезболивающие препараты и курс антибиотиков (10-14 дней внутримышечно).
Тяжелый сиалоаденит, характеризующийся формированием камней в слюнных протоках, требует хирургического вмешательства. При небольших размерах камней рекомендована процедура ультразвукового дробления. При более крупных проводится эндоскопическая операция.
В качестве физиотерапии назначают:
- лечебный массаж слюнной железы;
- электрофорез;
- УВЧ;
- гальванизацию.
Чаще всего острая форма заболевания имеет благоприятный прогноз. При правильном лечении выздоровление наступает через две недели. Важно вовремя выявить патологию, поэтому первичная диагностика сиалоаденита у детей попадает под ответственность родителей. Если ребенок стал жаловаться на боль в ушке, неприятные ощущения при глотании, неприятный вкус во рту, то нужно немедленно обратиться к педиатру. Еще до появления характерных и выраженных симптомов возможно отекание шеи и легкая краснота шеи и лица – это тоже тревожные симптомы.
Народная медицина в лечении сиалоаденита
Средства из этой категории действительно помогают уменьшить проявления симптомов, но никак не останавливают прогрессирование воспалительного процесса. Поэтому перед применением отваров нужно проконсультироваться с врачом и не отказываться от медикаментозного лечения. Наиболее эффективными в лечении сиалоаденита считаются отвары из:
Сиалоаденит
Мы перезвоним – для Вас звонок бесплатный! Напишите свои имя и номер телефона, чтобы мы могли связаться с Вами.
Будем рады помочь Вам!

Сиалоаденит — это воспаление слюнных желез. В полости рта расположены три пары больших слюнных желез: околоушные, подчелюстные и подъязычные. Они выделяют слюну и выводят ее через специальные протоки в полость рта, чтобы обеспечить нормальное пищеварение. Слюна смягчает пищу, а также помогает ее проглотить. Воспалительный процесс не только затрудняет выработку слюны и процесс питания, но и доставляет немало неудобств в силу появления болезненных симптомов. Лечением болезни занимается врач в отделении челюстно-лицевой хирургии, а в ряде случаев и инфекционист.
Причины силаденита
По характеру причин воспаления сиалоаденит бывает эпидемическим и неэпидемическим. В первом случае речь идет об инфекциях, и самой частой причиной поражения слюнных желез является паротит, или свинка. При этом вирус передается воздушно-капельным путем от зараженного к здоровому человеку.
Сиалоадениты неэпидемического характера чаще всего связаны с закупоркой протоков желез. Такое нарушение может быть спровоцировано травмой, попаданием инородного тела, образованием камней — сиалолитиазом.
Существуют факторы, увеличивающие вероятность развития сиалоаденита. Среди них:
- нерегулярная или неправильная гигиена полости рта;
- системные, соматические заболевания, приводящие к изменению состава и вязкости слюны;
- перенесенные инфекционные заболевания — вирусный энцефалит, грипп, ОРВИ и пр.;
- перенесенные оперативные вмешательства.
По локализации выделяют односторонний и двусторонний сиалоаденит, а по характеру воспаления патология может быть серозной, гнойной и гангренозной.
Симптомы заболевания
К основным симптомам сиалоаденита относят следующие:
- боль во время жевания;
- краснота, отек щеки, шеи;
- нарушение вкусового восприятия;
- неприятный привкус во рту;
- сухость слизистых оболочек;
- общее ухудшение самочувствия;
- затруднение при открывании рта.
При остром сиалоадените симптомы нарастают быстро и могут также быстро утихать. Однако при отсутствии должного лечения болезнь может приобрести хронический характер, поэтому даже при улучшении самочувствия важно обратиться к стоматологу.
Отсутствие терапии может стать причиной осложнений, к самым распространенным из которых относят образование гнойников (абсцессов), вторичное инфицирование — присоединение бактериальной инфекции к грибковой и др. Это потребует более серьезного вмешательства и длительного лечения, поэтому откладывать визит к врачу не стоит.
Особенности диагностики
Диагностика острого и хронического сиалоаденита начинается с осмотра полости рта. Врач отметит увеличение слюнных желез, определит характер выделений. При подозрении на абсцесс может потребоваться УЗИ. Лабораторные исследования помогут оценить общее состояние, тяжесть воспалительного процесса и верно подобрать лечение. При наличии гнойных выделений врач назначит бактериологический посев, чтобы определить флору и возбудитель заболевания и правильно подобрать антибактериальную терапию.
Иногда могут потребоваться такие методы диагностики, как:
- КТ черепной коробки;
- биопсия слизистой;
- ПЦР-исследования;
- Рентгенография, МРТ слюнных желез и пр.
Это позволит уточнить природу заболевания, исключить возможные тяжелые патологии и осложнения.
Методы лечения
Лечение сиалоаденита предусматривает соблюдение гигиены полости рта. Важно чистить зубы не только дважды в день, но и после каждого приема пищи. Для облегчения жевания пищу лучше делить на небольшие кусочки. Не стоит употреблять горячую еду и напитки, пища должна быть комфортной температуры.
В качестве симптоматической терапии могут выступать жаропонижающие, обезболивающие средства. При их неэффективности и сильных болях могут проводят новокаиновые блокады.
Хронические формы болезни протекают упорнее, а потому и лечатся дольше. Оперативное лечение требуется при наличии таких показаний, как структурные изменения слюнных желез. Может быть использована гальванация — воздействие током, удаление камней, дренирование железы для удаления содержимого и очищения тканей. Удаление является крайней мерой, в большинстве случаев врачи стараются сохранить слюнные железы. Лечение проводится в условиях челюстно-лицевой хирургии.
При калькулезном силоадените возможно только хирургическое лечение: важно удалить камень, обработать слюнную железу с помощью антисептических средств.
Сиалоаденит у детей
Сиалоаденит нередко встречается у детей, при этом причиной болезни может быть не только паротит, но и цитомегаловирусная инфекция. В этом случае врач подберет специфическое лечение основного недуга.
При бактериальной природе заболевания показано лечение антибиотиками, активными в отношении грамположительных бактерий из рода стафилококков. Также врач подберет подходящие антисептики для полоскания рта. К общим рекомендациям относят коррекцию образа жизни, чтобы обеспечить увлажнение и стимуляцию повышенного слюноотделения. Помогут следующие меры:
- теплые компрессы;
- мягкий массаж воспаленной железы;
- тщательная гигиена полости рта;
- употребление лимонного сока, кислых жевательных конфет и других продуктов, стимулирующих выработку слюны.
При лечении сиалоаденита специалист может порекомендовать рассасывать кусочек лимона или другого кислого продукта.
Возможные осложнения
Заболевание не несет в себе серьезной опасности для здоровья и жизни, но существенно ухудшает общее состояние и может стать причиной осложнений при отсутствии своевременного подходящего лечения. К основным последствиям относят:
- распространение гнойного процесса и формирование воспалительных заболеваний полости рта;
- присоединение вторичной инфекции;
- паротит;
- тромбофлебит;
- медиастинит — воспаление средостения;
- склеивание стенок слюнной железы, что приводит к полной неработоспособности и необходимости удаления;
- сепсис с поражением слизистых оболочек жизненно важных органов и др.
Именно поэтому и взрослым, и детям важно своевременно обратиться к стоматологу и пройти курс лечения.
Особенности профилактики
Чтобы предупредить сиалоаденит, важно отказаться от курения, придерживаться здорового образа жизни, своевременно санировать полость рта. Лечением общих инфекций и воспалительных заболеваний полости рта должны заниматься только квалифицированные специалисты.
Теория и практический опыт в ультразвуковой диагностике патологии слюнных желез

Идеальный инструмент для пренатальных исследований. Уникальное качество изображения и весь спектр диагностических программ для экспертной оценки здоровья женщины.
В отечественной и зарубежной литературе встречается много работ, посвященных сиалогии (от греч. Sialon - слюна и logos - учение) - науке о заболеваниях и повреждениях слюнных желез, методах их диагностики и лечения. По данным разных авторов, на долю заболеваний слюнных желез приходится до 24% всей стоматологической патологии. В настоящее время в клинической практике наиболее часто встречаются дистрофические, воспалительные заболевания слюнных желез (сиалоаденозы, сиалоадениты), а также опухоли и врожденные пороки развития слюнных желез. Кроме того, патологические изменения слюнных желез часто сопутствуют другим заболеваниям (сахарный диабет, бронхоэктатическая болезнь, саркоидоз, цирроз печени, гипертриглицеридемия, лимфогранулематоз и др.).
Для диагностики заболеваний слюнных желез используются различные инструментальные методы [1]:
- рентгенография (при подозрении на образование камней в протоках слюнных желез, однако в 20% камни поднижнечелюстных слюнных желез и 80% околоушных слюнных желез нерентгеноконтрастны);
- сиалография (исследование протоков слюнных желез с рентгеноконтрастным веществом, редко оказывается полезно при дифференцировании опухолей от воспалительных процессов, однако она может помочь дифференцировать объемное образование слюнных желез от образований в соседних тканях. У больных с подозрением на аутоиммунное заболевание слюнных желез может обнаружиться характерная картина мешотчатого расширения протоковой системы. При острой инфекции слюнных желез сиалографию предпринимать не следует [2]);
- компьютерная томография вместе с сиалографией;
- ультразвуковой метод (является наиболее доступным, безопасным и информативным в процессе дифференциальной диагностики патологического состояния слюнных желез).
Анатомия слюнных желез [3]

Рис. 1. Лимфатические узлы в толще околоушной слюнной железы.
Малые слюнные железы - губные, щечные, язычные, небные, резцовые - располагаются в соответственных участках слизистой оболочки. Могут быть источником развития аденокарцином полости рта.
Патология слюнных желез
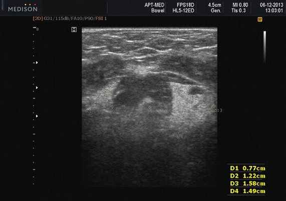
Пороки развития СЖ встречаются редко. Наиболее распространены аномалии размера желез (агенезия и аплазия, врожденная гиперплазия (рис. 2) и гипоплазия), их расположения (гетеротопия, добавочные СЖ), аномалии выводных протоков (атрезия, стеноз, эктазия, кистозная трансформация, дистопии протоков).

Рис. 2. Гиперплазия левой подъязычной слюнной железы.
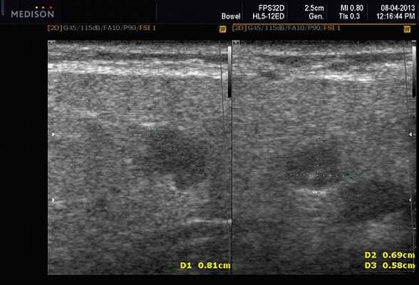
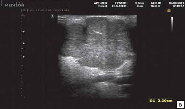
Сиаладениты - большая группа полиэтиологических воспалительных заболеваний СЖ (рис. 3). Первичные сиаладениты - сиаладениты, рассматриваемые в качестве самостоятельных заболеваний (например, эпидемический паротит). Вторичные сиаладениты - сиаладениты, являющиеся осложнениями или проявлениями других заболеваний (например, сиаладенит при гриппе). Эхографическая картина при разной этиологии малоспецифична. Этиология имеет клиническое значение в процессе определения тактики лечения.

Рис. 3. Сиаладенит правой поднижнечелюстной слюнной железы.
По этиологическому фактору сиаладениты классифицируют [4] на:
- сиаладениты, развивающиеся под влиянием факторов физической природы (травматический сиаладенит, лучевой сиаладенит (рис. 4) возникает при лучевой терапии злокачественных опухолей головы и шеи);
- сиаладениты, развивающиеся под действием химических факторов (токсические сиаладениты);
- инфекционные сиаладениты (пути проникновения ифекции в СЖ: стоматогенный (через протоки), контактный, гематогенный и лимфогенный);
- аллергические и аутоиммунные сиаладениты (рецидивирующий аллергический, болезнь и синдром Шегрена и др.);
- миоэпителиальный сиаладенит, вызванный патологическим процессом, ранее обозначавшийся как доброкачественное лимфоэпителиальное поражение. Термин доброкачественное лимфоэпителиальное поражение впервые применил J.T. Godwin в 1952 г., заменив понятие болезнь Микулича;
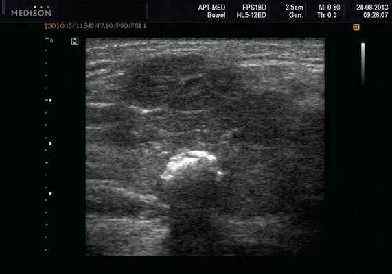
- обструктивные сиаладениты, развивающиеся при затруднении оттока слюны при обструкции выводного протока камнем (рис. 5-7) или сгустившимся секретом, а также вследствие рубцового стеноза протока. По распространенности процесса различают очаговый, диффузный сиаладениты и сиалодохит - воспаление выводного протока. Течение процесса может быть острым и хроническим;
- пневмосиаладенит, развивающийся при наличии в ткани СЖ воздуха при отсутствии бактериальной газообразующей инфекции. Воздух проникает в железу из полости рта при повышении там давления через проток. Пневмосиаладенит характерен для ряда профессий, прежде всего для стеклодувов и музыкантов, играющих на духовых инструментах.

Рис. 4. Постлучевой сиаладенит.

Рис. 5. Камень протока поднижнечелюстной слюнной железы.

Рис. 6. Камень в паренхиме поднижнечелюстной слюнной железы.

Рис. 7. Камень в протоке поднижнечелюстной слюнной железы.
Опухоли слюнных желез
Опухоли слюнных желез подразделяются на две группы: эпителиальные и неэпителиальные. Эпителиальные опухоли преобладают у взрослых (95%). У детей в СЖ эпителиальные и неэпителиальные опухоли встречаются одинаково часто. Помимо истинных опухолей в СЖ развиваются процессы, напоминающие опухоли (опухолеподобные поражения).
Среди эпителиальных опухолей СЖ различают доброкачественные новообразования, а также злокачественные - карциномы.
К доброкачественным эпителиальным новообразованиям СЖ относят папилломы протоков, аденомы и доброкачественную сиалобластому. Аденомы СЖ делят на две группы: полиморфные (самая частая аденома СЖ) и мономорфные (все остальные) аденомы. В группу мономорфных аденом были искусственно включены опухоли разного строения, происхождения и прогноза.
Плеоморфная (полиморфная) аденома (смешанная опухоль СЖ) - аденома СЖ, построенная из двух типов клеток: эпителия протоков и миоэпителиоцитов. Макроморфологическая картина. Опухоль обычно представляет собой эластичный или плотный узел дольчатой серовато-белой ткани, как правило, инкапсулированный частично. Типичной для плеоморфной аденомы является так называемая хондроидная строма, напоминающая гиалиновый хрящ. Варианты эхографического изображения плеоморфных аденом представлены на рисунке 8.



Рис. 8. Плеоморфная аденома СЖ.
Опухоль Уортина - аденолимфома, в которой образуются множественные кистозные полости, покрытые двухслойным эпителием. В просвет кист вдаются сосочки. В строме опухоли происходит выраженная пролиферация лимфоидной ткани. Эта опухоль почти исключительно развивается в околоушной железе.
Другие варианты доброкачественных опухолей встречаются реже. Это доброкачественная онкоцитома (оксифильная аденома), базально-клеточная аденома, канальцевая аденома, цистаденома доброкачественная сиалобластома.
Среди доброкачественных первичных неэпителиальных опухолей наиболее часто встречаются гемангиома, лимфангиома, нейрофиброма и липома.
Среди злокачественных неэпителиальных опухолей чаще обнаруживаются злокачественные лимфомы (они возникают, как правило, на фоне миоэпителиального сиалоаденита, болезни и синдрома Шегрена).
Опухолеподобные поражения слюнных желез

Рис. 9. Кисты слюнных желез.
- Кисты слюнных желез (мукоцеле). Различают два типа мукоцеле СЖ: ретенционный тип (ретенционная киста малой СЖ, формирующаяся при задержке слюны в выводном протоке) и тип внутритканевой секреции, когда при травме стенки протока слюна поступает непосредственно в волокнистую ткань, окружающую железу. Мукоцеле дна полости рта называются также ранулами.
- Кисты выводных протоков больших СЖ - выраженная дилатация выводного протока вследствие задержки в нем секрета. Блокада оттока слюны может быть вызвана различными причинами: опухолью, камнем, уплотнившейся слизью, поствоспалительным стенозом вплоть до рубцовой облитерации просвета.
- Сиалоаденоз (сиалоз) - неопухолевое и невоспалительное симметричное увеличение СЖ вследствие гиперплазии и гипертрофии секреторных клеток. Исходом сиалоза нередко является липоматоз СЖ. Процесс имеет хроническое рецидивирующее течение. Сиалоз встречается при ряде заболеваний и состояний: сахарный диабет, гипотиреоз, недостаточность питания, алкоголизм, цирроз печени, гормональные нарушения (гипоэстрогенемия), реакции на лекарственные препараты (чаще всего на антигипертензивные), неврологические нарушения.
Аденоматоидная гиперплазия малых СЖ приводит к их увеличению до 0,5-3,0 см в диаметре. Причинами аденоматоидной гиперплазии являются травма и длительное воздействие ионизирующей радиации.
Онкоцитоз - возрастные изменения секреторных клеток и эпителия протоков СЖ. СЖ при этом могут слегка увеличиваться, но обычно величина их не меняется.
Подводя итог, хочется отметить, что ультразвуковое исследование с применением допплерографии во многих наших наблюдениях помогало точно определить характер патологического процесса в СЖ. Однако этот метод диагностики не позволяет однозначно подтвердить или опровергнуть злокачественный характер образования слюнных желез.
Литература
- Доброкачественные и злокачественные опухоли мягких тканей и костей лица. А.Г. Шаргородский, Н.Ф. Руцкий. М.: ГОУ ВУНМЦ, 1999.
- Топографическая анатомия и оперативная хирургия. И.И. Каган, С.В. Чемезов. М.: ГЭОТАР-Медиа, 2011.
- Слюнные железы. Болезни и травмы. В.В. Афанасьев. М.: ГЭОТАР-Медиа, 2012.
- Воспалительные заболевания тканей челюстно-лицевой области и шеи. А.Г. Шаргородский. М.: ГОУ ВУНМЦ, 2001.

УЗИ сканер WS80
Идеальный инструмент для пренатальных исследований. Уникальное качество изображения и весь спектр диагностических программ для экспертной оценки здоровья женщины.
Сиалоаденит

Сиалоаденит – воспалительный процесс в слюнных железах, который сопровождается характерными признаками в виде отечности лица, покраснением слизистой, болезненностью при прикосновении к области локализации патологии. При отсутствии медицинской помощи может стать причиной гнойного процесса, развития опухоли и склерозирования пораженной слюнной железы. Заболевание встречается у пациентов различных возрастных групп и составляет до 52-54% всех патологий околоушных и подчелюстных слюнных желез.
Причины сиалоаденита
В зависимости от характера влияющих факторов различают:
- Специфические причины – туберкулез, сифилис и актиномикоз, развитие которых провоцирует начало воспалительного процесса в слюнных железах.
- Неспецифические причины – последствия влияния бактерий и вирусов, нашедших в полости рта благоприятную для себя среду обитания. Бактериальные инфекции часто передаются на слюнную железу из-за незалеченного кариеса, пульпита, периодонтита. Возбудителями выступают кокки, колибактерии, анаэробные микроорганизмы и т.д.
Если речь идет о развитии лимфогенных и гематогенных разновидностей сиалоаденитов, в качестве причин указывают трахеит, ангину или пневмонию, а также развитие фурункулов, карбункулов, абсцессов и т.д. Вирусный сиалоаденит могут спровоцировать вирус герпеса, гриппа, Эпштейн-Барра на фоне общего угнетения иммунной системы, застоя секреции железы и повышения степени ее вязкости.
В числе сравнительно редких причин воспаления слюнной железы:
- Флегмона в области лица и шеи.
- Воспаление лицевых лимфатических узлов.
- Нахождение в протоке железы инородного тела – семечки, камня, зерна и т.д.
В группе риска по вероятности развития сиалоаденита находятся пациенты со следующими заболеваниями:
- ксеростомия;
- онкология;
- сахарный диабет;
- нарушения минерального обмена;
- последствия тяжелых травм или оперативного вмешательства.
Симптомы сиалоаденита

Проявление заболевания зависит от размеров железы, пораженной воспалительным процессом.
- Если патологический процесс локализован в подчелюстной области, пациенты отмечают болевые ощущения во время приема пищи, увеличение слюнной железы в размерах, повышение температуры и выраженный привкус соли.
- При воспалении подъязычной железы отмечают отечность и покраснение области ее расположения. Сильные боли обычно отсутствуют.
- При поражении околоушной железы пациенты жалуются на отечность лица и его выраженную асимметрию, повышение температуры тела, сухость в полости рта, боли в области уха во время жевания пищи. При визуальном осмотре в зоне железы присутствуют гнойные выделения, а во время легкого надавливания выделяется мутная слюна с примесью гноя.
Осложнения заболевания
При отсутствии медицинской помощи существует вероятность развития следующих патологических состояний:
- Абсцесс в структуре железы, если к воспалительному процессу присоединится гнойная инфекция.
- Склерозирование тканей железы, когда ее часть замещается соединительной тканью, не обладающей способностью продуцировать слюну.
- Начало доброкачественных опухолевых процессов в области лица и шеи.
- Развитие злокачественного образования кистозной или плеоморфной формы.
Эксперты в области онкологических заболеваний склонны рассматривать воспалительный процесс в слюнных железах как пусковой механизм для начала опухолевого процесса.
Диагностика сиалоаденита
Подтвердить первоначальный диагноз, выставленный на основании жалоб пациента, способны:
- Клинические методы диагностики – изучение анамнеза и осмотр области воспаления. Значение имеет характер и особенности возникновения боли, выраженная асимметрия лица, рельеф железы и характер выделений, которые появляются при ее легком массировании.
- Лабораторные исследования. Анализ крови с повышением уровня лейкоцитов указывает на воспалительный процесс, как и увеличенное количество солей в моче. В слюне может присутствовать значительное число лейкоцитов, следы гноя и примесей, что указывает на патологическое состояние тканей. Отдельно исследуются физико-химические параметры слюны, изменения которых относительно нормативного уровня указывает на явные признаки заболевания.
- Аппаратные методы исследования. Это преимущественно сиалография с контрастированием, благодаря которой можно уточнить размер просвета железы и наличие в нем посторонних предметов или образований.
Для подтверждения результатов анализа пациент может быть направлен на динамическую сиалографию, сиалотомографию методом МРТ или КТ, ультразвуковое исследование слюнных желез и биопсию образца тканей под ультразвуковым контролем. Наиболее прогрессивным и безопасным методом исследований считается сиалоэндоскопия, позволяющая визуализировать протоки 2-4 порядка для оценки их состояния.
Лечение
Тактика лечения зависит от выраженности симптомов заболевания и площади его распространения.
- Консервативное лечение ставит своей целью укрепление иммунитета, улучшение обмена веществ, сохранение тканей железы и исключение процесса ее склерозирования. Основу курса составляет прием антибиотиков в сочетании с новокаиновыми блокадами и раствором димексида для улучшения работы железы. Одновременно осуществляется лечение заболевания, вызвавшего воспалительный процесс в ротовой полости. Хороший результат дает гирудотерапия и методы физиотерапии, улучшающие общее состояние организма пациента и повышающие защитные свойства его иммунитета.
- Хирургическое вмешательство показано при закупорке протока слюнной железы или при значительном склерозировании ее тканей с образованием «замещающей» соединительной ткани. Во время операции структура железы санируется, посторонние предметы и образования удаляются, после чего проток расширяется методом бужирования и тщательно дезинфицируется.
Последние годы отмечены увеличением объема эндоскопических операций, признанных наименее травматичными и очень эффективными. Все манипуляции осуществляют с помощью тонких гибких эндоскопов, а контроль действий хирурга осуществляется с помощью изображения на мониторе. В ходе манипуляций удается не только освободить проток, но и взять образец материала для биопсии для уточнения характера воспаления.
Прогноз
Полное излечение гарантировано при своевременном обращении и прохождении полного курса лечения. Некоторый риск рецидива сохраняется в весенне-осенний сезон из-за похолодания и обострения респираторных инфекций.
В качестве мер профилактики пациентам рекомендуют:
- Сбалансированный рацион.
- Активный образ жизни, меры по закалке организма.
- Прием витаминов, влияющих на работу иммунной системы.
- Отказ от вредных привычек.
Также значение имеет внимание к своему здоровью, в том числе — обращение за помощью при признаках дискомфорта и сухости в ротовой полости.
Заболевания слюнных желез

Слюнные железы производят секрет, который поддерживает влажность в полости рта, защищает ваши зубы и слизистую оболочку и помогает переваривать пищу.
К большим слюнным железам относятся парные околоушные, поднижнечелюстные (подчелюстные) и подъязычные. Самыми крупными из них являются окололунные железы.
Проблемы слюнных желез
Многие факторы могут нарушать правильное функционирование слюнных желез, мешая выработке достаточного количества секрета и препятствуя поступлению слюны в ротовую полость.
Одной из наиболее распространенных причин увеличения железы является наличие камня в железе или в ее протоке.
Иногда слюнные камни блокируют протоки, что затрудняет поступление слюны в ротовую полость.Слюна накапливается в железе, что вызывает боль и отек.
Бактериальная инфекция поражает железу, вызывая ее воспаление, отек и блокирование ее протоков.
Сиаладенит проявляется болезненным увеличением железы и появлением гнойного отделяемого из протоков железы, открывающихся в ротовую полость.
Вирусные инфекции, такие как паротит, грипп, вирус Эпштейна-Барр, цитомегаловирус, коксаки-вирус и вирус иммунодефицита человека (ВИЧ) могут также привести к реактивному отеку слюнных желез. Отек возникает в околоушных железах с обеих сторон. В дальнейшем через 48 часов появляются типичные для вирусной инфекции явления – головная боль и жар.
Киста может образоваться в слюнной железе в результате травмы, перенесенной инфекции или наличия слюнного камня. Встречаются так же врожденные кисты околоушных желез. Киста представляет собой слегка выступающее округлое образование, мягкой консистенции, безболезненное при пальпации.
Различают злокачественные и доброкачественные опухоли слюнных желез.
Две основные часто встречающиеся опухоли – плеоморфная аденома и опухоль Вартина.
Плеоморфная аденома обычно возникает в околоушных железах. Опухоль отличается медленным ростом, не приносит болевых ощущений. Плеоморфная аденома является доброкачественной опухолью.
Опухоль Вартина так же является доброкачественной и возникает в околоушных железах. Она обычно наблюдается с обеих сторон чаще у мужчин.
Системные аутоиммнные заболевания, при котором в процесс вовлекаются в основном слюнные и слезные железы, что приводит к сухости во рту (ксеростомии) и ощущению песка в глазах (ксерофтальмии). Чаще болеют женщины.

Лечение заболеваний слюнных желез
Лечение заболеваний слюнных желез зависит от причины возникновения и характера заболевания. При образовании камней в протоке лечение обычно начинается с удаления камней, назначения слюногонный диеты и физиотерапевтических процедур . Если эти меры не привели к ожидаемому результату, может потребоваться хирургическое вмешательство для удаления камня или пораженной железы.
Хирургия обычно показана в случае злокачественных и доброкачественных новообразований слюнных желез.
Остальные проблемы слюнных желез поддаются медикаментозному лечению. Бактериальные инфекции устраняются курсом антибиотиков. При необходимости проводят бужирование протока железы и назначают ее массаж.
Читайте также:
