Внутриглазные лимфоидные опухоли: характеристика
Добавил пользователь Алексей Ф. Обновлено: 28.10.2025
Поражение внутриглазных структур глаза при лейкозе: признаки, гистология, лечение, прогноз
У большинства пациентов с лейкемическим поражением глаз уже диагностировано системное заболевание, но изредка поражение глаз становится первым проявлением системной патологии (1-19).
Среди больных лейкозом более чем у половины развиваются сопутствующие изменения органа зрения, но истинное опухолевое поражение внутриглазных структур развивается менее чем у пяти процентов больных. Внутриглазные лейке-мические инфильтраты чаще всего развиваются у детей с острым лимфобластным лейкозом и поражают радужку, цилиарное тело, хориоидею, сетчатку, стекловидное тело или зрительный нерв.
Поражение глаз обычно является симптомом тяжелого течения заболевания и может быть первым проявлением рецидива заболевания после достигнутой ремиссии. Хотя в большинстве случаев внутриглазные поражения при лейкозах развиваются у детей, поражения внутриглазных структур также могут развиваться у взрослых при Т-клеточном лейкозе и других типах лейкозов.
а) Клиническая картина. Лейкемическое поражение радужки может выглядеть как солитарное объемное образование или как диффузное утолщение радужки.
Новообразование зачастую рыхлое и становится источником отсевов опухолевых клеток во влагу передней камеры, что приводит к формированию опухолевого псевдогипопиона. Также первым проявлением лейкемического поражения радужки может стать спонтанная гифема.
Может ошибочно диагностироваться ретинобластома, увеит или эндофтальмит. Поражение заднего отрезка выглядит как диффузное или лоскутное утолщение сетчатки и хориоидеи, часто сопровождающееся обширными ретинальными кровоизлияниями, инфильтрацией диска зрительного нерва и появлением опухолевых клеток в стекловидном теле.
У пациентов с внутриглазным лейкемическим поражением почти всегда определяются лейкемические изменения периферической крови, костного мозга и центральной нервной системы.
Отек диска зрительного нерва вследствие лейкемического поражения необходимо дифференцировать от истинного застоя ДЗН, вызванного поражением ЦНС, и от лучевой нейрооптикопатии.
ПОРАЖЕНИЕ ВНУТРИГЛАЗНЫХ СТРУКТУР И ЗРИТЕЛЬНОГО НЕРВА ПРИ ЛЕЙКОЗЕ
Обычно при лейкозах вследствие гематологических нарушений развиваются ретинальные кровоизлияния. Однако иногда наблюдается непосредственная лейкемическая инфильтрация радужки, цилиарного тела, хориоидеи, сетчатки и стекловидного тела.
Лейкемический инфильтрат цвета лосося в верхнем своде конъюнктивы у пациента с диагностированным лейкозом. Лейкемическая инфильтрация хориоидеи у того же пациента, что и на рисунке выше. Спонтанный псевдогипопион у пациента 23 лет с острым лимфобластным лейкозом. При цитологическом исследовании материала, полученного при ТАБ передней камеры у пациента, показанного на рисунке выше, отмечаются лейкемические бластные клетки (окраска по Папаниколау, х400). Тяжелое поражение головки зрительного нерва и окружающего глазного дна у женщины 28 лет с лейкозом. Дифдиагноз включал в себя лейкемический инфильтрат и оппортунистическую инфекцию. Диагноз лейкемического поражения подтвержден результатами ТАБ. Проведено облучение глаза. Картина того же глаза после лучевой терапии. Большая часть лейкемического инфильтрата резорбировалась, но развилась тяжелая атрофия зрительного нерва. Сколько-нибудь полезные зрительные функции пораженного глаза сохранить не удалось.
ПОРАЖЕНИЕ ВНУТРИГЛАЗНЫХ СТРУКТУР И ЗРИТЕЛЬНОГО НЕРВА ПРИ ЛЕЙКОЗЕ: КЛИНИКО-ПАТОЛОГИЧЕСКАЯ КОРРЕЛЯЦИЯ
Для лейкемических инфильтратов характерны локализация в заднем отделе глазного дна и инвазия зрительного нерва, приводящие к тяжелым нарушениям зрения. Ниже проиллюстрированы два клинических случая.
Ватоподобное желто-белое геморрагическое образование сетчатки и стекловидного тела, прилегающее к диску зрительного нерва у пациента 20 лет с бластным кризом хронического миелогенного лейкоза. Острота зрения снижена до движения руки. При МРТ диагностировано поражение глазницы и головного мозга (предоставлено Franco М. Recchia, MD). Вид образования, показанного на рисунке выше, пять недель спустя после облучения глаза и головного мозга и химиотерапии: наблюдается выраженный регресс образования. Острота зрения составляла счет пальцев (предоставлено Franco М. Recchia, MD). Атипичный отек диска зрительного нерва у мальчика восьми лет; острота зрения пораженного левого глаза 20/20. На тот момент пациенту была проведена химиотерапия по поводу системного рецидива ранее диагностированного лейкоза. Тот же глаз три месяца спустя. У пациента быстро развилась слепота. После лучевой терапии зрение не восстановилось, вскоре ребенок умер. Макропрепарат глазного яблока, полученный при вскрытии. Обратите внимание на геморрагический отек диска зрительного нерва и окружающих тканей. Микропрепарат пораженной сетчатки: определяется внутрисосудистая и экстравазальная инфильтрация лейкемическими бластными клетками (гематоксилин-эозин, х200).
б) Диагностика. Предположительный диагноз ставится на основании обнаружения описанной выше симптоматики у пациента с диагностированным лейкозом. При флюоресцентной ангиографии и ультразвуковом исследовании каких-либо специфических изменений не выявляется.
При поражениях радужки, передней камеры, стекловидного тела, сетчатки или хориоидеи диагноз ставится на основании результатов тонкоигольной аспирационной биопсии (6, 7).
в) Патологическая анатомия. Гистологически лейкемическое поражение внутриглазных структур характеризуется инфильтрацией сосудистой оболочки, сетчатки и диска зрительного нерва лейкемическими властными клетками и обширными кровоизлияниями. Клетки опухоли зачастую заполняют кровеносные сосуды сетчатки и сосудистой оболочки и характеризуются тенденцией к инвазии глубоко в зрительный нерв.
г) Лечение. Проводится лечение системного заболевания, обычно в комбинации с лучевой терапией глаза, особенно когда поражение зрительного нерва угрожает зрению пациента. В таких случаях показано срочное проведение лучевой терапии. Поражение радужки и диска зрительного нерва зачастую является неблагоприятным прогностическим признаком.
д) Список использованной литературы:
1. Brown GC, Shields JA, Augsburger JJ, et al. Leukemic optic neuropathy. Int Ophthalmol 1981;3:111-116.
2. Guyer DR, Schachat AP, Vitale S, et al. Leukemic retinopathy. Relationship between fundus lesions and hematologic parameters at diagnosis. Ophthalmology 1989;96:860-864.
3. Schachat AP, Markowitz JA, Guyer DR, et al. Ophthalmic manifestations of leukemia. Arch Ophthalmol 1989;107:697-700.
4. Reddy SC, Jackson N, Menon BS. Ocular involvement in leukemia - a study of 288 cases. Ophthalmologica 2003;217:441-445.
5. Sharma T, Grewal J, Gupta S, et al. Ophthalmic manifestations of acute leukaemias: the ophthalmologist’s role. Eye 2004;18:663-672.
6. Shields JA, Shields CL, Ehya H, et al. Fine-needle aspiration biopsy of suspected intraocular tumors. The 1992 Urwick Lecture. Ophthalmology 1993;100:1677-1684.
7. Shields CL, Manquez ME, Mashayekhi A, et al. Fine needle aspiration biopsy of iris tumors in 100 consecutive cases. Technique and complications. Ophthalmology 2006; 113:2080-2086.
8. Finger PT, Pro MJ, Schneider S, et al. Visual recovery after radiation therapy for bilateral subfoveal acute myelogenous leukemia (AML). Am J Ophthalmol 2004; 138: 659-662.
9. Kassam F, Gale JS, Sheidow TG. Intraocular leukemia as the primary manifestation of relapsing acute myelogenous leukemia. Can J Ophthalmol 2003;38:613-616.
10. Allione A, Montanaro M, Marmont F, et al. Fungal endophthalmitis in acute leukaemia. Br J Haematol 2004; 124:257.
11. Mori A, Deguchi HE, Mishima K, et al. A case of uveal, palpebral, and orbital invasions in adult T-cell leukemia. Jpn J Ophthalmol 2003;47:599-602.
12. Patel SV, Herman DC, Anderson PM, et al. Iris and anterior chamber involvement in acute lymphoblastic leukemia. J Pediatr Hematol Oncol 2003;25:653-656.
13. Somervaille TC, Hann IM, Harrison, et al. Intraocular relapse of childhood acute lymphoblastic leukaemia. Br J Haematol 2003;121:280-288.
14. Hirata A, Miyazaki T, Tanihara H. Intraocular infiltration of adult T-cell leukemia. Am J Ophthalmol 2002;134:616-618.
15. Dadeya S, Malik KP, Guliani BP, et al. Acute lymphocytic leukemia presenting as masquerade syndrome. Ophthalmic Surg Lasers 2002;33:163-165.
16. O’Keefe JS, Sippy BD, Martin DF, et al. Anterior chamber infiltrates associated with systemic lymphoma: report of two cases and review of the literature. Ophthalmology 2002;109:253-257.
17. Wallace RT, Shields JA, Shields CL, et al. Leukemic infiltration of the optic nerve. Arch Ophthalmol 1991;109:1027.
18. Schachat АР, Jabs DA, Graham ML, et al. Leukemic iris infiltration. J Pediatr Ophthalmol Strabismus 1988;25:135-138.
19. Yi DH, Rashid S, Cibas ES, et al. Acute unilateral leukemic hypopyon in an adult with relapsing acute lymphoblastic leukemia. Am J Ophthalmol 2005;139:719-721.
Внутриглазные лимфоидные опухоли: характеристика
Иногда сосудистую оболочку, сетчатку, стекловидное тело или диск зрительного нерва поражают опухоли, развивающиеся из лимфоидных клеток (1-13).
В последние годы предложено несколько классификаций злокачественных лимфоидных опухолей, их разбор не является задачей настоящего издания. Внутриглазные лимфомы классифицируются в соответствии с завоевавшей популярность Пересмотренной европейской американской классификацией лимфом (The Revised European American Lymphoma Classification) (2).
Внутриглазные лимфоидные опухоли варьируют от доброкачественных, относительно стабильных новообразований до агрессивных злокачественных опухолей, приводящих к слепоте и даже к смерти вследствие поражения головного мозга и внутренних органов.
В настоящем разделе рассматриваются специфические внутриглазные лимфоидные и лимфоплазмоцитарные опухоли, в том числе доброкачественная реактивная лимфоидная гиперплазия сосудистой оболочки (uveal benign reactive lymphoid hyperplasia, BRLH), злокачественная лимфома и плазмоцитома.
Доброкачественная реактивная лимфоидная гиперплазия представляет собой идиопатическую инфильтрацию сосудистой оболочки доброкачественными лимфоцитами и плазматическими клетками. Это состояние имеет достаточно характерные клинические и гистологические признаки. Большинство авторов считают эту патологию доброкачественным реактивным иммунным процессом, перерождение в злокачественную лимфому наблюдается очень редко.
Подавляющее большинство внутриглазных лимфом представляют собой неходжкинские крупноклеточные лимфомы, образованные злокачественными лимфоцитами В-клеточной линии. Существует два основных типа внутриглазных лимфом: увеальный и ретиновит-реальный. Увеальный тип часто сопутствует лимфомам внутренних органов или лимфатических узлов, но редко встречается при лимфомах центральной нервной системы. Обычно он развивается у иммунокомпетентных пациентов. Ретиновитреальный тип тесно связан с первичной лимфомой центральной системы (primary CNS lymphoma - PCNSL) и, когда такая опухоль первично поражает глаз, она называется первичная внутриглазная лимфома (primary intraocular lymphoma-PIOL).
Этот термин также не идеален, поскольку первичная лимфома также может развиваться в сосудистой оболочке, вне какой-либо связи с центральной нервной системой. Лимфомы этого типа чаще развиваются у иммунокомпрометированных больных, но также наблюдаются у предположительно иммунокомпетентных пациентов. Из всех пациентов с внутриглазной лимфомой приблизительно у 60% имеется первичная лимфома центральной нервной системы, у 15% развивается увеальная форма опухоли, примерно в 5% случаев одновременно развиваются опухоли обоих типов, и у 20% больных экстраокулярные опухоли не выявляются.
Доброкачественные и злокачественные плазмоцитомы в сосудистой оболочке развиваются редко. Опухоли обоих типов могут представлять собой изолированные солитарные новообразования, не сопровождающиеся системной патологией, или же являться компонентом миеломной болезни. Другие лимфоидные злокачественные опухоли, также изредка поражающие внутриглазные структуры,-это болезнь Ходжкина, ангиотропная крупноклеточная лимфома, Т-клеточная лимфома (грибовидный микоз - mycosis fungoides) и Т-клеточная лей-коз/лимфома взрослых. Эти редкие заболевания по своим глазным проявлениям не отличаются от двух чаще встречающихся форм злокачественных лимфом и не проиллюстрированы в настоящем атласе.
Клинические примеры внутриглазных лимфоидных опухолей:
- Доброкачественная реактивная лимфоидная гиперплазия сосудистой оболочки глаза
- Лимфома сосудистой оболочки глаза
- Плазмоцитома сосудистой оболочки глаза
- Первичная лимфома центральной нервной системы, сетчатки и стекловидного тела
Редактор: Искандер Милевски. Дата публикации: 3.7.2020
Информация на сайте подлежит консультации лечащим врачом и не заменяет очной консультации с ним.
См. подробнее в пользовательском соглашении.
Лимфома сосудистой оболочки глаза: признаки, гистология, лечение, прогноз
Системная лимфома обычно поражает лимфатические узлы и внутренние органы, особенно печень, селезенку, желудочно-кишечный тракт и легкие, иногда она развивается в сосудистой оболочке (1-15). В этом разделе мы будем называть ее лимфомой сосудистой оболочки. Считается, что лимфома сосудистой оболочки является метастазом лимфомы первичной внеглазной локализации, хотя в некоторых случаях опухоль, как представляется, первично развивалась в сосудистой оболочке и иногда сопровождалась системными поражениями.
Системная лимфома может предшествовать поражению сосудистой оболочки или диагностироваться уже после выявления увеальной лимфомы. Как уже было отмечено выше, иногда при солитарной лимфоме сосудистой оболочки системной лимфомы выявить не удается, и, чтобы дифференцировать опухоль от амеланотической меланомы хориоидеи или метастатической карциномы, необходима тонкоигольная биопсия или биопсия стенки глазного яблока (5-7). Хотя в большинстве случаев эта опухоль представляет собой инфильтрацию сосудистой оболочки неходжкинской В-клеточной лимфомой, изредка встречаются случаи поражения сосудистой оболочки Т-кле-точной лимфомой, болезнью Hodgkin и другими редкими видами лимфомы.
а) Клиническая картина. Клиническая картина лимфомы сосудистой оболочки очень похожа или идентична описанным выше проявлениям доброкачественной реактивной лимфоидной гиперплазии, поэтому мы не будем описывать ее еще раз. Опухоль сосудистой оболочки, как правило, внешне отличается от сливающихся сальных желтых новообразований, поражающих субретинальный пигментный эпителий при витреоретинальной форме; дифференцировка этих двух форм имеет большое значение из-за разного прогноза.
Лимфома сосудистой оболочки обычно односторонняя, но нередко также встречаются и двусторонние поражения. Иногда она представляет собой солитарную опухоль, а не множественные новообразования. В таких случаях она может напоминать амеланотический невус или меланому хориоидеи, метастатическую карциному, остеому, гемангиому, задний склерит, синдром увеальной эффузии, саркоидоз, «дробьевидную» хориопатию и другие новообразования и воспалительные процессы. В отличие от доброкачественной реактивной лимфоидной гиперплазии, злокачественная лимфома сосудистой оболочки протекает более агрессивно и вызывает более обширное поражение.
Лимфомы радужки, и В-клеточные, и Т-клеточные, могут быть как вялотекущими, так и очень агрессивными. Агрессивный вариант опухоли вызывает значительное утолщение радужки и опухолевый псевдогипопионили гифему. Зачастую отмечается характерная тенденция к поражению переднего отдела сосудистой оболочки, в некоторых случаях развивается массивное поражение радужки и цилиарного тела с минимальным поражением хориоидеи (3). Мы наблюдали, как лимфома цилиарного тела и радужки вызывает утолщение переднего отдела сосудистой оболочки, приводит к слепоте и болям (9).
Возможно, в некоторых случаях развитие лимфомы сосудистой оболочки, особенно поражение радужки, знаменует собой рецидив вышедшей из-под контроля системной лимфомы и требует более тщательного системного обследования на предмет рецидива опухоли.
АГРЕССИВНАЯ ФОРМА ЛИМФОМЫ СОСУДИСТОЙ ОБОЛОЧКИ
В некоторых случаях лимфома может вызывать массивное утолщение сосудистой оболочки, приводить к слепоте и вызывать боли в глазу. Ниже проиллюстрирован случай массивной инфильтрации радужки и цилиарного тела неходжкинской В-клеточной лимфомой.
Внешний вид женщины 46 лет, у которой несколько недель назад было отмечено необъяснимое утолщение радужки. Впоследствии правый глаз ослеп, развились боли. Пораженный глаз на момент обращения, крупный план: наблюдается выраженная эпибульбарная инъекция, отек роговицы и диффузная гифема. Макропрепарат энуклеированного глаза: наблюдается выраженное амеланотическое утолщение сосудистой оболочки, главным образом радужки и цилиарного тела. Микропрепарат зоны радужки и цилиарного тела. Обратите внимание на утолщение радужки и цилиарного тела, вызванное диффузным объемным образованием, соприкасающимся с экватором хрусталика (гематоксилин-эозин, х20). Микропрепарат периферической зоны хори-оидеи: отмечается замещение хориоидеи лимфомой. Обратите внимание на интактный пигментный эпителий, покрывающий опухоль (гематоксилин-эозин, х100). Гистологический препарат опухоли: наблюдаются клетки злокачественной лимфомы (гематоксилин-эозин, х200).
б) Диагностика. Как уже упоминалось выше, у многих пациентов с лимфомой сосудистой оболочки в анамнезе имеется системная неходжкинская В-клеточная лимфома. Диагностика и результаты дополнительных исследований такие же, как и при доброкачественной реактивной лимфоидной гиперплазии, они были описаны выше. Мы установили, что тонкоигольная аспирационная биопсия информативна при диагностике лимфомы сосудистой оболочки и, как правило, помогает дифференцировать лимфому от других новообразований, составляющих дифференциальный диагноз (7). Если при тонкоигольной аспирационной биопсии удалось получить достаточное количество материала, возможно проведение иммуногистохимических исследований для определения природы лимфомы.
В большинстве случаев диагностика осуществляется менее агрессивными методами, но в сложных случаях возможно выполнение биопсии стенки глазного яблока с целью забора достаточного количества ткани (5, 6).
в) Патологическая анатомия. Гистологически лимфома хориоидеи обычно представляет собой пролиферат злокачественных В-лимфоцитов. Эти опухоли бывают как высоко-, так и низкодифференцированными. В отличие от доброкачественной реактивной лимфоидной гиперплазии они чаще бывают мономорфными и моноклональными, хотя встречаются самые различные варианты. Для точной категоризации новообразования информативны иммуногистохимические исследования и потоковая цитометрия.
г) Лечение. Если у пациента с новообразованием хориоидеи желтой окраски диагностирована системная лимфома и он получает химиотерапию, то поражение сосудистой оболочки можно лишь наблюдать без лечения, так как обычно наблюдается хороший эффект системной химиотерапии. Наблюдаемый при офтальмоскопии выраженный ответ опухоли на системную химиотерапию может также являться проявлением благоприятного эффекта системной химиотерапии на внеглазные поражения, не регистрируемого другими методами.
Если у пациента в анамнезе нет сведений о системной лимфоме, необходимо обследование для исключения перечисленных ранее неопластических и воспалительных заболеваний, имеющих аналогичную клиническую картину. Если системной патологии не выявлено, то с целью исключения или подтверждения диагноза лимфомы выполняется тонкоигольная аспирационная биопсия и проводятся цитологические исследования. Лимфома, ограниченная сосудистой оболочкой, лечится общим облучением глазного яблока (доза от 3000 до 4000 сГр) или, при солитарном и локализованном новообразовании, проводится брахитерапия. Прогноз зависит от тяжести системного поражения.
Клинические примеры лимфомы сосудистой оболочки глаза:
д) Список использованной литературы:
1. Chan СС, Buggage RR, Nussenblatt RB. Intraocular lymphoma. Curr Opin Ophthalmol 2002;13:411-418.
2. Coupland SE, Foss HD, Hidayat AA, et al. Extranodal marginal zone В cell lymphomas of the uvea: an analysis of 13 cases. J Pathol 2002;197:333-340.
3. Mashayekhi A, Shields CL, Shields JA. Iris involvement by lymphoma: a review of 13 cases. Clin Experiment Ophthalmol 2013;41(1):19—26.
4. Mashayekhi A, Shukla SY, Shields JA, Shields CL. Choroidal lymphoma: Clinical features and association with systemic lymphoma. Ophthalmology 2014;121:342-351.
5. Scherfig E, Prause JU, Jensen OA. Transvitreal retinochoroidal biopsy. Graefes Arch Clin Exp Ophthalmol 1989;227:369-373.
6. Rutzen AR, Ortega-Larrocea G, Dugel PU, et al. Clinicopathologic study of retinal and choroidal biopsies in intraocular inflammation. Am J Ophthalmol 1995;119:597-611.
7. Shields JA, Shields CL, Ehya H, et al. Fine-needle aspiration biopsy of suspected intraocular tumors. The 1992 Urwick Lecture. Ophthalmology 1993;100:1677-1684.
8. Leff SR, Shields JA, Augsburger JJ, et al. Unilateral eyelid, conjunctival, and choroidal tumors as initial presentation of diffuse large cell lymphoma. Br J Ophthalmol 1985;69:861-864.
9. Duker JS, Shields JA, Ross M. Intraocular large cell lymphoma presenting as massive thickening of the uveal tract. Retina 1987;7:41-45.
10. Jakobiec FA, Sacks E, Kronish JW, et al. Multifocal static creamy choroidal infiltrates. An early sign of lymphoid neoplasia. Ophthalmology 1987;94:397-406.
11. Gunduz K, Shields JA, Shields CL, et al. Transcleral choroidal biopsy in the diagnosis of choroidal lymphoma. Surv Ophthalmol 1999:43:551 -555.
12. Verity DH, Graham EM, Carr R, et al. Hypopyon uveitis and iris nodules in non-Hodgkin’s lymphoma: ocular relapse during systemic remission. Clin Oncol (R Coll Radiol) 2000;12:292-294.
13. Yahalom C, Cohen Y, Averbukh E, et al. Bilateral iridociliary T-cell lymphoma. Arch Ophthalmol 2002;120:204-207.
14. Lobo A, Larkin G, Clark BJ, et al. Pseudo-hypopyon as the presenting feature in В-cell and T-cell intraocular lymphoma. Clin Exp Ophthalmol 2003;31:155-158.
15. Mori A, Deguchi HE, Mishima K, et al. A case of uveal, palpebral, and orbital invasions in adult T-cell leukemia. Jpn J Ophthalmol 2003;47:599-602.
Лимфома орбиты
Лимфома орбиты – это злокачественная Т- или В-клеточная опухоль, которая располагается в зоне глазного яблока и окружающих его тканей. Развитию заболевания способствуют вирусные инфекции, дизиммунные процессы, генетические факторы и токсические влияния. Патология проявляется экзофтальмом, затруднениями при движении глазом, опущением верхнего века. Для диагностики опухоли используют УЗИ глазного яблока, КТ и МРТ орбиты, биопсию с цитологическим и иммунологическим исследованием. Лечение первичных форм проводится методом лучевой терапии, при диссеминированных вариантах используют полихимиотерапию.
МКБ-10



Общие сведения
Орбитальные лимфомы в основном имеют неходжкинское происхождение и составляют до 4% всех экстранодулярных новообразований этого типа. Первичное поражение тканей орбиты встречается в 3 раза чаще, чем вовлечение глазницы при диссеминированной форме. К группе риска принадлежат люди старше 60 лет. Крайне редко поражение периорбитальных тканей вызвано лимфомой Ходжкина. Орбитальная лимфома распространена в современной офтальмологии, однако при ее ранней диагностике и подборе адекватной терапии могут возникать трудности, решение которых требует мультидисциплинарного подхода.

Причины
Этиологическая структура лимфомы орбиты аналогична другим вариантам злокачественных лимфопролиферативных заболеваний. Точные причины развития болезни пока не установлены. Предполагается, что для начала опухолевого процесса необходима комбинация эндогенных и экзогенных факторов риска. Наиболее значимые этиологические факторы лимфомы орбиты:
- Иммунные нарушения. Лимфопролиферативные процессы характерны для людей с первичными синдромами иммунодефицита, нелеченой ВИЧ-инфекцией. Более высокий риск заболевания среди пациентов, которые получают иммуносупрессивную терапию, перенесли операцию по трансплантации костного мозга или внутренних органов.
- Инфекции. Развитие неходжкинской лимфомы орбиты связывают с заражением вирусом Эпштейна-Барр, Т-лимфотропным вирусом 1 типа, герпесвирусом 8 типа. К группе вероятных провоцирующих факторов относят возбудителей вирусных гепатитов В и С. Большое значение имеет хроническая хламидийная инфекция органа зрения.
- Токсические воздействия. Провоцирующим фактором лимфомы могут выступать некоторые гербициды и инсектициды, промышленные отравляющие вещества. Вероятность болезни коррелирует с частотой и длительностью интоксикации, поэтому в группе риска находятся люди с профессиональными заболеваниями.
- Отягощенная наследственность. Риск злокачественной опухоли орбиты повышается у пациентов, которые имеют в геноме однонуклеотидные полиморфизмы. Предрасполагающим фактором является наличие родственников первой линии, болеющих ходжкинской или неходжкинской лимфомой.
Патогенез
В 90% случаев первичный клон опухолевых клеток развивается из нормальных В-лимфоцитов, в которых под действием разных факторов нарушаются процессы деления, и начинается неограниченный рост. Образование лимфомы связывают с рядом нарушений клеточного апоптоза, утратой контроля над дифференцировкой лимфоцитов, активацией онкогенов. Опухоль увеличивается в размерах, вытесняя здоровые ткани и вызывая компрессию структур орбиты.
Классификация
При постановке диагноза орбитальной лимфомы применяются стандартные подходы к систематизации заболевания. Неходжкинские лимфопролиферативные опухоли подразделяются на В-клеточные и Т-клеточные, что зависит от клеток-предшественников новообразования. В орбите зачастую определяются MALT-лимфомы, которые принадлежат к индолентным (вялотекущим) формам и ассоциированы со слизистыми оболочками.

Симптомы лимфомы орбиты
Большинство случаев новообразования имеют односторонний характер. Поскольку патология сопровождается разрастанием лимфоидной ткани, глазное яблоко на стороне поражения смещается наружу – возникает экзофтальм. Если лимфома орбиты расположена пристеночно, возникает боковой экзофтальм, глаз сдвигается в противоположную от очага сторону. При локализации опухоли в зоне мышечной воронки, экзофтальм имеет осевой характер.
Для лимфомы орбиты характерно постепенное нарастание экзофтальма и его умеренный характер (выступание глазного яблока в среднем на 5-6 мм). По мере роста опухоли пациенты предъявляют жалобы на затруднения при повороте глаза, невозможность полностью сомкнуть веки, сухость и чувство «песка» в глазах из-за недостаточного увлажнения конъюнктивы. Зрительная функция не страдает, однако возможно двоение в глазах и ограничение полей зрения из-за птоза века.
Изредка орбитальная лимфома имеет быстропрогрессирующее течение. В таком случае экзофтальм стремительно увеличивается, сопровождается повышением внутриглазного давления и болями в пораженном глазу. Несмыкание век вызывает кератопатию. В редких случаях наблюдается вовлечение мышц и других тканей орбиты. Такие проявления характерны для длительно существующей нелеченой лимфомы, иммунокомпрометированных групп пациентов.
Осложнения
Первичная лимфома орбиты, которая является наиболее частой формой болезни, без лечения может переходить в системное лимфопролиферативное заболевание. Спустя 10 лет от манифестации локальной лимфомы более 30% людей сталкиваются с другими формами экстранодулярного поражения. Иммуносупрессия на фоне лимфопролиферативных состояний обуславливает предрасположенность пациента к инфекционным заболеваниям, которые нередко становятся причиной смерти.
Диагностика
Пациенты с характерными жалобами первично обращаются к врачу-офтальмологу. При подозрении на лимфопролиферативный процесс к обследованию привлекают онколога или онкогематолога. Данные физикального осмотра при лимфоме орбиты малоинформативны: определяется экзофтальм, отек периорбитальных тканей, покраснение конъюнктивы глаза. Чтобы поставить точный диагноз, используют ряд инструментальных и лабораторных методов:
- УЗИ глаза. Эхосонография проводится на этапе первичной диагностики, чтобы определить наличие объемного новообразования, исключить другие причины внешних глазных симптомов. УЗИ не дает возможности дифференцировать разные виды опухолей, поэтому обязательно дополняется другими видами диагностики.
- КТ орбиты. На КТ-снимках лимфома орбиты имеет вид объемного образования неоднородной структуры. Опухоли бывают единичными или множественными, контуры новообразования имеют нечеткие границы. При запущенной форме болезни по данным КТ определяется разрушение костной стенки глазницы.
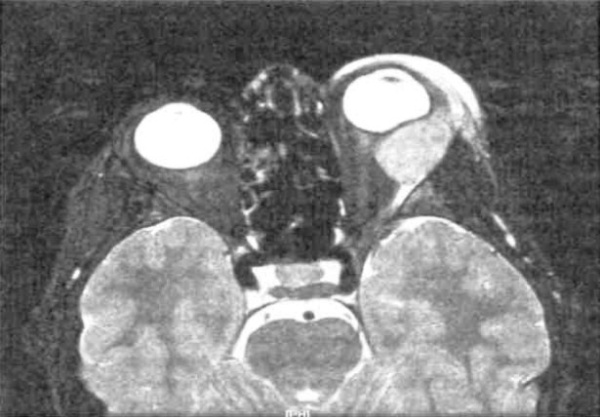
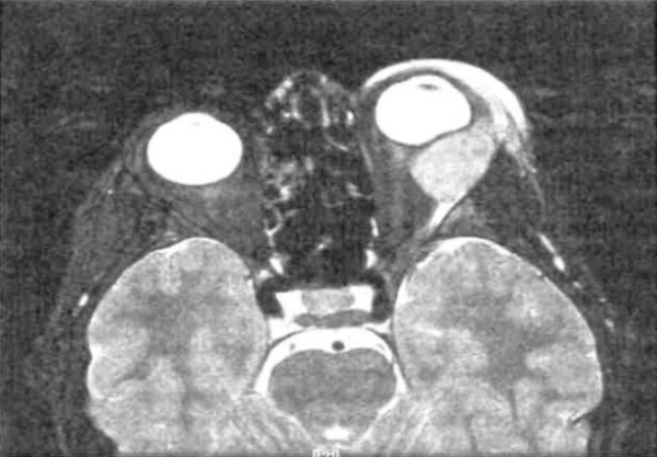
- МРТ орбиты. На МРТ-снимках определяются объемные новообразования неправильной формы, которые изоинтенсивны по отношению к мышцам орбиты и гиперинтенсивны относительно жировой клетчатки. Изредка визуализируется утолщение и инфильтрация глазных мышц.
- Тонкоигольная аспирационная биопсия. При цитологической диагностике биоптатов опухоли определяются атипические клетки с патологией клеточных мембран. Большинство опухолей орбиты имеют В-клеточное происхождение. Для установления типа лимфомы и выбора тактики лечения назначается иммунологическое исследование биоптатов.
- Лабораторная диагностика. Пациентам рекомендованы анализы на ВИЧ-инфекцию, вирусные гепатиты и герпесвирусы, чтобы исключить ассоциированную патологию. Всем больным лимфомами проводятся клинический и биохимический анализы крови, коагулограмма, иммунограмма.
Дифференциальная диагностика
Лимфому орбиты необходимо дифференцировать с кавернозной гемангиомой, опухолями оболочек зрительного нерва, гемангиоперицитомой, метастазами в периорбитальную зону. Обязательно исключают редкие опухоли глазницы: невриному, рабдомиосаркому. Большие трудности для практической онкологии представляет дифференциальная диагностика между лимфомой и доброкачественной гиперплазией лимфоидной ткани орбиты.

Лечение лимфомы орбиты
Консервативная терапия
Основным методом лечения является наружное облучение орбиты. Это самый результативный способ уничтожения злокачественной опухоли, который показан большинству пациентов, независимо от стадии и гистологического типа заболевания. При своевременном начале лучевой терапии удается достичь регресса симптоматики, частичного или полного восстановления подвижности глазного яблока.
В случае диссеминированной неходжкинской лимфомы, протекающей с вовлечением тканей орбиты, радиотерапию дополняют полихимиотерапией. Комбинированное высокодозное лечение признано оптимальным вариантом для достижения длительной ремиссии и улучшения отдаленного прогноза для пациента. Конкретные наименования и сочетания цитостатиков подбираются врачом-онкологом по результатам полной диагностики опухоли.
Хирургическое лечение
При единичной лимфоме небольшого размера операцией выбора является иссечение опухоли в пределах здоровых тканей. Благодаря микрохирургической технике операции во многих случаях удается сохранить зрительную функцию и эстетичный внешний вид пациента. Гигантские опухоли, занимающие большую часть глазницы, являются показанием к радикальной операции – экзентерации орбиты. Учитывая калечащий характер вмешательства, его проводят достаточно редко.
Прогноз и профилактика
При первичной лимфоме средняя 5-летняя выживаемость составляет более 83%, что является хорошим показателем для лимфопролиферативных состояний. В этом случае прогноз для жизни и сохранности зрительной функции благоприятный. Менее оптимистичный прогноз при диссеминированных вариантах болезни. Учитывая сложность и многогранность этиопатогенеза заболевания, результативные меры профилактики пока не разработаны.
1. Особенности клинической картины злокачественной лимфомы орбиты/ А.Ф. Бровкина// Вестник офтальмологии. – 2019. – №5.
4. Злокачественные лимфомы органа зрения. Проблемы и перспективы (взгляд офтальмолога)/ Е.Е. Гришина// Современная онкология. – 2006. – №4.
Лимфома ЦНС
Лимфома центральной нервной системы — редкое новообразование, поражающее ткани головного и спинного мозга, заднюю стенку глаза. Клиническая картина зависит от локализации процесса, включает общемозговые симптомы, парезы, нарушения координации, расстройства зрения. Диагностика осуществляется с применением методов нейровизуализации, анализа спинномозговой жидкости, гистологического исследования биоптата. В лечении активно используется терапия химиопрепаратами, облучение мозга и их сочетание. При одиночном характере опухоли возможно нейрохирургическое вмешательство.



Лимфома ЦНС впервые выделена в отдельную нозологию в 1974 г. Относится к злокачественным новообразованиям, составляет около 4% опухолей центральных органов нервной системы. По статистическим данным, распространенность патологии находится на уровне 0,5-0,75 случая на 100 тысяч пациентов. Последнее время наблюдается увеличение заболеваемости, связанное с ростом иммуносупрессивных состояний. Риск возникновения лимфомы ЦНС у больных СПИДом составляет 4-6%, при врожденном иммунодефиците — 4%. Средний возраст заболевших среди иммунокомпетентных лиц — 62 года. Возрастная медиана у пациентов с врожденным иммунодефицитом составляет 10 лет. Гендерная предрасположенность не наблюдается.

Этиология возникающих в ЦНС лимфом не определена. У иммунокомпрометированных пациентов выявляют следы вируса Эпштейна-Барр и герпеса VI типа, также характерных для лимфоидных опухолей другой локализации. Однако роль данных вирусов в возникновении заболевания не доказана. Ведется дальнейший поиск триггеров, обуславливающих появление патологических, активно делящихся лимфоцитов. Среди установленных факторов риска выделяют следующие иммуносупрессивные состояния:
- Наследственные иммунодефициты: синдром Луи-Бар, синдром Вискотта–Олдрича, селективный дефицита Ig A и другие.
- ВИЧ-инфекция: у больных поражается Т-клеточная составляющая иммунитета.
- Аутоиммунная патология: системная красная волчанка, ревматоидный артрит.
- Состояния после трансплантации: иммуносупрессия создается медикаментозно для предотвращения реакции отторжения трансплантата.
Большинство лимфом ЦНС являются экстранодулярными, первично развивающимися в церебральных тканях без предварительного образования в лимфатическом узле. С целью объяснения их возникновения в нервной ткани, не имеющей лимфоидных образований, были выдвинуты 2 гипотезы. Первая предполагает проникновение лимфоцитов в мозговые структуры под действием неких триггеров, которыми могут служить вирусные инфекции. Попадая в нервные структуры, лимфоциты изменяют свои свойства и дают начало патологическому клеточному клону. Вторая гипотеза предполагает формирование опухолевого лимфоцитарного клона в отдалении, с последующей миграцией в ЦНС.
90% лимфом ЦНС состоят из трансформированных В-лимфоцитов. В большинстве случаев предшественниками опухолевых клеток являются В-лимфоциты герминогенного центра, реже — постгерминогенные активированные лимфоциты. В ряде случаев патологические лимфоциты пропитывают стенки церебральных сосудов, давая картину васкулита.

Единая классификация лимфом ЦНС не разработана. В современной клинической нейроонкологии новообразования разделяют морфологически, по характеру распространения и расположению.
- По иммунофенотипу подавляющее большинство образований представляют собой неходжкинские лимфомы. Лимфома Ходжкина, лимфобластные и Т-клеточные лимфомы наблюдаются значительно реже.
- По распространенности процесса в ЦНС образования могут быть одиночными, инфильтративными и множественными.
- По локализации различают церебральные и спинномозговые лимфомы. Первые составляют подавляющее большинство и классифицируются на полушарные, лептоменингеальные, лимфомы мозолистого тела. Поражения спинного мозга составляют менее 1%.
Симптомы лимфомы ЦНС
Клиническими проявлениями выступают неспецифические общемозговые и очаговые симптомы. У большинства больных заболевание манифестирует признаками поражения ЦНС в виде головных болей, психоневрологических изменений, сонливости и расстройств сознания. Возможны когнитивные нарушения, дискоординация. Эписиндром возникает в 10% случаев. У трети больных отмечаются симптомы интракраниальной гипертензии: интенсивные цефалгии, тошнота, чувство «тяжести» на глазах. Расположение очагов в задних отделах глазного яблока сопровождается зрительной дисфункцией, экзофтальмом, офтальмоплегией.
Спинномозговая форма проявляется мышечной слабостью, выпадением двигательной функции с последующим присоединением сенсорных нарушений и болевого синдрома. Лептоменингеальное поражение протекает с сенсомоторными расстройствами лицевой области, корешковым синдромом с локализацией в люмбосакральном отделе. Наблюдается нижний парапарез, расстройство мочеиспускания, гидроцефалия. Типичные для лимфом другой локализации подъемы температуры тела, потливость, снижение массы тела не наблюдаются.
Являясь объемным образованием, лимфома ЦНС по мере роста приводит к масс-эфекту с повышением ликворного давления и гидроцефалией. Последняя опасна дислокацией мозга с ущемлением его тканей. Локализуясь по ходу мозговых сосудов и прорастая их, опухоль может приводить к нарушению целостности сосудистой стенки и геморрагическому инсульту. Возможна диссеминация опухолевых клеток с образованием вторичных очагов в ЦНС.
Выявление общемозговых симптомов и очаговых выпадений в неврологическом статусе позволяет врачу-неврологу заподозрить новообразование ЦНС и его предположительную локализацию. Подтверждение диагноза возможно по результатам нейровизуализирующих обследований, для верификации опухоли требуется морфологическое исследование. В перечень необходимых обследований при подозрении на лимфому входит:
- Нейровизуализация. Церебральная КТ или МРТ позволяют оценить размер и расположение новообразования, степень дислокации серединных структур. В пользу лимфомы ЦНС говорит многоочаговость процесса, кольцевидное контрастирование, значительный перифокальный отек.
- Офтальмологическое обследование. Необходимо больным, имеющим зрительные расстройства. Выявляет экзофтальм, повышенное внутриглазное давление, застойные явления при офтальмоскопии.
- КТ всего тела. Необходимо для поиска первичного очага, локализующегося вне ЦНС. Его обнаружение свидетельствует о вторичном характере мозговой лимфомы.
- Исследование цереброспинальной жидкости. Забор материала производиться путем спинномозговой пункции. В половине случаев в ликворе определяется повышение белка, плеоцитоз с большим количеством реактивных лимфоцитов, наличием опухолевых клеточных элементов.
- Гистологическое исследование. Забор тканей опухоли предпочтительно производить путем стереотаксической биопсии, позволяющей минимизировать опасность диссеминации. При микроскопии типичная цитологическая картина представлена скоплением патологически трансформированных лимфоидных клеток со светлыми ядрами, окруженных зрелыми лимфоцитами. Иммунофенотипирование лимфомы ЦНС позволяет установить ее гистологический тип, степень зрелости клеток, спрогнозировать развитие заболевания.
Необходимо дифференцировать лимфому ЦНС с другими объемными образованиями:
- глиобластомой;
- абсцессом;
- церебральными метастазами.
Дифференцировка осуществляется по характерным особенностям МРТ. Для глиобластомы типичны некротические очаги центральной локализации, отсутствующие у лимфомы. С целью исключения метастатического характера новообразования производится поиск первичной опухоли экстраневральной локализации. Церебральный абсцесс характеризуется четким контуром. Лимфому ЦНС следует также отличать от нейросаркоидоза, лейкоэнцефалопатии, демиелинизирующих заболеваний, в пользу которых будет свидетельствовать диффузно-многоочаговый характер поражения.

Лечение лимфомы ЦНС
Лимфомы чувствительны к химиотерапии и облучению. Текущие рекомендации по лечению основаны на нескольких проспективных исследованиях, однако в связи с редкой встречаемостью опухоли последние имеют небольшой размер выборки. Терапия осуществляется индивидуально в соответствии с характером поражения, возрастом пациента, преморбидным фоном. К наиболее популярным методикам относятся:
- Монотерапия цитостатиками. Проводится одним цитостатическим препаратом. Приводит к полной ремиссии у 30-40% больных. Побочными эффектами выступает почечная, печеночная недостаточность, гематологические нарушения, пневмонит.
- Комбинированная химиотерапия. Применение сочетания двух цитостатиков, способных проникать через гематоэнцефалический барьер, дает лучший ответ на терапию. К недостаткам метода относится его высокая токсичность.
- Лучевая терапия. Фракционное облучение мозга у большинства больных приводит к быстрой ремиссии. Однако, характерно раннее возникновение рецидивов. Средняя продолжительность жизни пациентов составляет 1-1,5 года.
- Сочетанная терапия. Лечение включает химио- и радиотерапию. Данное сочетание позволяет продлить жизнь пациента, но обладает высокой нейротоксичностью, приводящей к лейкоэнцефалопатии с кортикальной атрофией. В таких случаях наблюдаются тяжелые когнитивные нарушения, нарушения походки, недержание мочи, возникает необходимость ухода за больным.
Резекция может улучшить выживаемость без прогрессирования у пациентов с одиночными поражениями. Диффузное прорастание лимфомы ЦНС в окружающие ткани, ее локализация в глубинных церебральных структурах делает нейрохирургическое лечение малоэффективным. Оперативное вмешательство может способствовать распространению опухолевых лимфоцитов с возникновением множественных рецидивов. Медиана выживаемости таких больных после оперативного лечения без применения других методов не превышает 4 месяца.
Экспериментальное лечение
Возможно применение иммунотерапии ингибиторами контрольных точек. В современной нейроонкологии рассматривается использование препаратов, препятствующих передаче сигналов В-клеточного рецептора и таким образом влияющих на пролиферацию клеток лимфомы, Препараты первой группы были связаны со значительной токсичностью у некоторых пациентов. Пришедшие им на смену средства менее токсичны, но и менее активны. В настоящее время ведется поиск способов повышения их активности.
Лимфома ЦНС представляет собой высокозлокачественное новообразование со средней выживаемостью от недель до месяцев, если лечение является только симптоматическим. При противоопухолевой терапии 5-летняя выживаемость составляет 31%. Пожилой возраст, плохое клиническое состояние, повышенный уровень белка в спинномозговой жидкости, вовлечение глубоких церебральных отделов, спинальное поражение связаны с более неблагоприятным прогнозом. Профилактика сводится к предупреждению и своевременному лечению приводящих к иммунодефициту заболеваний.
1. Первичные лимфопролиферативные заболевания центральной нервной системы/ Губкин А.В., Звонков Е.Е., Кременецкая В.А. и др.// Клиническая онкогематология. - 2008. - 4(1).
2. Современные представления об этиологии, патогенезе, диагностике и методах лечения первичной диффузной В-клеточной крупноклеточной лимфомы центральной нервной системы/ С.В. Волошин, Ю.А. Криволапов, А.В. Шмидт, В.А. Шуваев, М.С. Фоминых, К.М. Абдулкадыров// Онкогематология. - 2013. - 2.
3. The Diagnosis and Treatment of Primary CNS Lymphoma/ von Baumgarten L, Illerhaus G, Korfel A, Schlegel U, Deckert M, Dreyling M.// Deutsches Arzteblatt international. - 2018. - 115(25).
4. Primary CNS Lymphoma/ Grommes, C., DeAngelis, L. M.// Journal of clinical oncology : official journal of the American Society of Clinical Oncology. - 2017. - 35(21).
Читайте также:
