Врожденная холестеатома вершины пирамиды височной кости - лучевая диагностика
Добавил пользователь Валентин П. Обновлено: 20.11.2025
ФГАОУ ВО Первый МГМУ им. И.М. Сеченова Минздрава России (Сеченовский Университет)
- SPIN РИНЦ: 9040-5720
- Scopus AuthorID: 6602512088
- ORCID: 0000-0001-7414-1293
Первый Московский государственный медицинский университет им. И.М. Сеченова Минздрава России (Сеченовский Университет)
ООО «Поликлиника 101»
Опыт хирургического лечения пациента с холестеатомой пирамиды височной кости
Журнал: Вестник оториноларингологии. 2020;85(5): 103‑105
В статье описан клинический случай холестеатомы пирамиды височной кости, приводящей к массивной деструкции окружающих структур. Обращается внимание на важность своевременной диагностики данной патологии с применением объективных методов визуализации для выбора оптимального хирургического доступа, позволяющего полностью удалить данное образование.
Дата принятия в печать:
Холестеатома височной кости остается одной из самых актуальных тем отиатрии. Поражение пирамиды височной кости холестеатомным процессом встречается в 2,9% случаев [1]. При этом примерно в 1,29% случаев наблюдается интракраниальное распространение и развитие серьезных осложнений. Холестеатома пирамиды височной кости может быть как первичной, когда на ранних этапах эмбриогенеза происходит формирование эктодермального зачатка в «неправильном» месте, так и вторичной — вследствие инвазивного роста ее матрикса по клеточной системе височной кости. Последнее обусловлено его повышенной пролиферативной активностью, синтезом большого количества провоспалительных цитокинов (интерлейкины, ФНО-альфа). При этом отмечается экспрессия адгезивных белков, рецепторов к эпидермальному фактору роста [2].
Инвазивная холестеатома по своей локальной «агрессии» вызывает выраженную деструкцию подлежащей костной ткани, распространение патологического процесса за пределы височной кости с возможным развитием внутричерепных осложнений. Ранняя диагностика данной патологии имеет прогностическое значение и позволяет избежать серьезных осложнений [3]. Сложность своевременного выявления обусловлена бессимптомным течением холестеатомы пирамиды височной кости [4]. Болезнь может проявляться внезапно, когда уже имеются выраженные деструктивные изменения. Ранними симптомами могут быть поражение лицевого нерва, глубокая сенсоневральная тугоухость, вестибулярные и центральные неврологические нарушения [5, 6].
На начальном этапе супралабиринтная инвазия холестеатомы может проявляться изолированным поражением лицевого нерва. При этом снижение слуха и вестибулярные нарушения возникают несколько позже, после распространения патологического процесса во внутренний слуховой проход [7]. В случае инфралабиринтной инвазии холестеатомы симптоматики может и не быть, при этом матрикс располагается в гипотимпануме, прорастает на стенки внутренней сонной артерии (ее вертикальной порции) и луковицы яремной вены, а также на твердую мозговую оболочку задней черепной ямки. Выраженная сенсоневральная тугоухость отмечается, когда имеет место инфралабиринтно-аппикальная или аппикальная инвазия холестеатомы при деструкции внутреннего слухового прохода и поражении его структур. Массивная холестеатома вызывает разрушение всех клеток височной кости и капсулы лабиринта, проявляется нарушением слуха и функции лицевого нерва, вестибулярной симптоматикой [8].
В диагностике холестеатомы височной кости основную роль играют лучевые методы исследования (КТ, МРТ в режиме Non EPI DWI), которые позволяют оценить локализацию патологического процесса, наличие костно-деструктивных изменений, границы его распространения [9].
Основной целью хирургического лечения пациентов с холестеатомой пирамиды височной кости является полная санация патологического очага. Однако следует подчеркнуть, что не всегда удается решить эту задачу в связи с инвазивным ростом матрикса и распространением в области, окружающие височную кость [10]. В таких случаях матрикс холестеатомы может обладать более «агрессивными» свойствами, вызывая рецидив заболевания и обширные разрушения.
В качестве примера приводим клинический случай инвазивной холестеатомы пирамиды височной кости.
В клинику болезней уха, горла и носа Сеченовского Университета обратился пациент Л., 27 лет, по поводу внезапно возникшей асимметрии левой половины лица. Из анамнеза известно, что пациенту за рубежом в возрасте 10 лет была выполнена санирующая операция с тимпанопластикой слева. В протоколе операции было указано, что холестеатома удалена неполностью в связи с распространением матрикса в область проекции внутренней сонной артерии. Пациенту было рекомендовано проведение повторной операции после проведения КТ височных костей с ангиографией в специализированном учреждении. Со слов пациента, на протяжении последующих 17 лет после первой операции он не отмечал гноетечения из левого уха и не обращался к ЛОР-врачу.
При поступлении в клинику: общее состояние пациента удовлетворительное. Температура тела нормальная. Кожные покровы обычной окраски. В легких дыхание везикулярное, без хрипов. АД 130/70 мм рт.ст. Пульс 80 в 1 мин, ритмичный.
Левая заушная область не изменена, имеется тонкий послеоперационный рубец. При отомикроскопии слева — наружный слуховой проход широкий, отделяемого нет. Барабанная перепонка серого цвета, перфорации нет. При проведении пробы Вальсальвы слуховая труба проходима. Справа — наружный слуховой проход широкий, свободный. Барабанная перепонка серого цвета, опознавательные знаки дифференцируются. Слуховая труба проходима.
В неврологическом статусе: сознание ясное. Менингеальных знаков нет. Определяется парез мимической мускулатуры лица слева (нарушение функции лицевого нерва V степени по шкале House—Brackmann). Вестибулярные пробы без отклонений.
При тональной пороговой аудиометрии (ТПА) выявлена левосторонняя глухота. Слух справа в пределах возрастной нормы.
По результатам МРТ/РКТ височных костей: левая височная кость тотально заполнена патологическим субстратом с поражением пирамиды. Имеются деструктивные изменения височной кости: задняя грань пирамиды разрушена на протяжении 10 мм, передневерхняя — протяженностью до 15 мм, нижняя поверхность — до 25 мм. Капсула лабиринта значительно разрушена на уровне базального и среднего завитков улитки. Костная стенка лабиринтной части канала лицевого нерва не прослеживается, стенка тимпанального и мастоидального отделов сохранена. Отмечалось разрушение стенки канала внутренней сонной артерии. После внутривенного контрастирования не было отмечено деформации стенки сосуда.
Заключение: признаки рецидива холестеатомы пирамиды височной кости слева. Врожденная холестеатома?

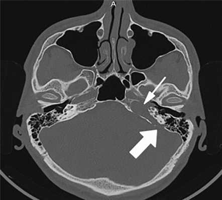
Рис. 1. КТ пациента с холестеатомой левой височной кости — деструкция костной стенки внутренней сонной артерии (маленькая стрелка), базального и среднего завитков улитки, задней грани пирамиды (большая стрелка).
С учетом анамнестических данных, клинической симптоматики и объективных методов визуализации пациенту была выполнена реоперация транслабиринтно-транскохлеарным доступом. При ревизии отмечалось инфралабиринтное распространение холестеатомы в преддверие, в область проекции внутреннего слухового прохода, в барабанную полость с секвестрацией улитки и прорастанием под нее и распространением в область верхушки пирамиды височной кости. Цепь слуховых косточек отсутствовала. По ходу распространения матрикса холестеатомы вскрыты задний, латеральный и частично верхний полукружные каналы, верхние лабиринтные, супрамеатальные, ретролабиринтные клетки и преддверие — произведен доступ к внутреннему слуховому проходу (структуры не определялись, были окутаны эпидермисом). Лицевой нерв идентифицирован в лабиринтном отделе, в тимпанальном отделе обнажен, в мастоидальном — выделена костная стенка, истончена и смещена кпереди — произведен доступ к инфралабиринтному пространству. Выявлено обнажение луковицы яремной вены и внутренней сонной артерии, твердой мозговой оболочки задней и средней черепных ямок, прорастание эпидермиса, который был полностью отсепарован от подлежащих структур. Матрикс холестеатомы отсепарован в области внутреннего слухового прохода, отмечалась умеренная ликворея, в грануляционно-эпидермальной массе идентифицирован интрамеатальный отдел лицевого нерва, и в данном отделе эпидермис был полностью отсепарован от лицевого нерва. Ликворея остановлена тампонадой данной области мышечно-жировым лоскутом. Полость заполнена фрагментами аутожира, кожа наружного слухового прохода ушита наглухо. По данным гистологического исследования — холестеатомные массы с рыхлой подэпителиальной стромой.

Рис. 2. Выделены сигмовидный синус (большая стрелка), срединная пластинка черепной ямки (изогнутая стрелка), холестеатома (пунктирная стрелка), канал лицевого нерва (маленькая стрелка).
При наблюдении в послеоперационном периоде отмечалось сохранение дисфункции лицевого нерва на прежнем уровне (V степень по шкале House—Brackmann). Неврологический статус без изменений.
Данный клинический пример наглядно демонстрирует значимость своевременного выявления холестеатомы височной кости и необходимость объективных методов диагностики, включая КТ и МРТ. Правильная оценка результатов обследования позволяет классифицировать холестеатому пирамиды височной кости, и, исходя из этого, выбрать наиболее оптимальную тактику хирургического вмешательства для полного удаления холестеатомы, предупреждения развития осложнений и предотвращения рецидивов заболевания.
Холестеатома уха
Холестеатома уха — это опухолевидное инкапсулированное образование среднего уха, состоящее преимущественно из клеток слущенного эпителия и кристаллов холестерина. Различают истинную (врожденную) и ложную холестеатому уха. Проявляется заболевание ощущением распирания и болями в ухе, снижением слуха смешанного типа, небольшим количеством имеющих гнилостный запах выделений из уха. Холестеатома уха диагностируется при помощи рентгенографии и КТ черепа, отоскопии, зондирования и промывания барабанной полости, исследований вестибулярного и слухового анализаторов. Лечение холестеатомы уха в большинстве случаев заключается в радикальном хирургическом удалении. Иногда возможно промывание надбарабанной полости с расположенной в ней холестеатомой.
МКБ-10



Общие сведения
Холестеатома - эмбриональное или (чаще) приобретенное псевдоопухолевое образование, происходящее из тканей среднего уха. В 90% случаев она появляется на фоне хронического гнойного среднего отита. В популяции частота гнойный отитов, осложненных холестеатомой, составляет 0,01%. Заболеванием чаще страдают дети старше 10 лет и взрослые 20-30 лет. У детей патология протекает более агрессивно с многократными рецидивами.

Причины
Холестеатома уха может иметь врожденный характер. В таких случаях она носит название истинной. Благодаря гладкой, напоминающей поверхность жемчужины, капсуле истинную холестеатому уха называют еще «жемчужной опухолью». Она возникает вследствие эмбриональных нарушений и располагается в пирамиде височной кости. Истинная холестеатома может также находиться в других костях черепа, в боковой цистерне и желудочках головного мозга.
Ложная холестеатома уха образуется в результате длительно протекающих отитов или как последствие травмы уха. Считается, что образование ложной холестеатомы уха возможно 2 путями. В первом случае происходит врастание плоского эпителия наружного слухового прохода в полость среднего уха через краевой разрыв барабанной перепонки. Второй механизм образования холестеатомы уха реализуется при нарушении проходимости слуховой трубы в связи с евстахиитом. В результате пониженного давления в барабанной полости происходит втяжение в нее части барабанной перепонки. Когда втяжение становится достаточно глубоким, в нем начинает накапливаться кератин и слущенный эпителий, что ведет к развитию холестеатомы уха.
Патогенез
Холестеатома уха не является истинной опухолью уха, хотя по своему внешнему виду и характеру роста напоминает опухолевое образование. Холестеатома уха имеет слоистую структуру. Сверху она покрыта капсулой из соединительной ткани, под которой находится ороговевающий плоский эпителий. Средний слой холестеатомы уха представлен наложенными одна на другую пластинами слущенного эпителия и расположенными между ними кристаллами холестерина. Центральную часть холестеатомы уха или ее ядро занимает имеющий гнилостный запах беловатый детрит.
Холестеатома уха может быть единичным образованием или представляет собой скопление большого количества узелков, имеющих плотную консистенцию и размер от 3 мм. Холестеатома уха выделяет специфические химические вещества, которые приводят к резорбции окружающих холестеатому костных тканей с образованием гладкостенной полости. Кроме того, эти вещества оказывают токсическое воздействие на рецепторный аппарат внутреннего уха, вызывая расстройство звуковосприятия и реактивный лабиринтит.
Симптомы холестеатомы уха
В начальном периоде холестеатома уха может иметь бессимптомное течение. Затем пациент начинает предъявлять жалобы на чувство распирания в ухе, появление тупой, давящей, ноющей или стреляющей ушной боли. Происходит понижение слуха. Возможны головные боли, при развитии лабиринтита — головокружения. Наблюдаются выделения из уха, которые обычно имеют гнилостный запах и носят скудный характер. Отличительной особенностью является обнаружение в отделяемом небольших комочков белого цвета.
При холестеатоме уха тугоухость имеет смешанный характер. С одной стороны она обусловлена нарушением звукопроведения в связи с ограничением подвижности слуховых косточек, а с другой — расстройством звуковосприятия в результате токсического поражения рецепторов лабиринта проникающими в него агрессивными выделениями холестеатомы.
Осложнения
Разрушая рядом расположенные костные образования, холестеатома уха увеличивается в размерах. Так она со временем заполняет ячейки сосцевидного отростка, доходит до капсулы лабиринта и способна разрушить его полукружные канальцы с образованием фистулы лабиринта. При разрушении коркового слоя сосцевидного отростка холестеатома уха выходит под кожу сосцевидной области.
Разрушение стенки косного канала лицевого нерва ведет к развитию пареза лицевого нерва, стенки сигмовидного синуса — к его тромбозу. Зачастую холестеатома уха достигает размера грецкого ореха и имеет расходящиеся в различных направлениях отростки. При этом она образует гигантскую полость, похожую на полость, остающуюся после общеполостной операции на ухе.
Старая холестеатома уха включает содержащие токсическую жидкость кисты, прорыв которых в подпаутинное пространство приводит к развитию асептического менингита, в вещество головного мозга — к появлению менингоэнцефалита. Эти осложнения могут привести к гибели больного от отека головного мозга. Обострение среднего отита часто сопровождается гнойным распадом холестеатомы уха, обуславливающим развитие гнойного лабиринтита и менингита, околосинусового и экстрадурального абсцесса, абсцесса головного мозга, отогенного сепсиса.
Диагностика
К диагностике холестеатомы уха могут привлекаться не только врачи-отоларингологи, но также неврологи и нейрохирурги. В современной отоларингологии используется комплекс визуализирующих и функциональных методик:
- Рентгенография височных костей. На рентгенограммах в проекции по Майеру, Шюллеру или Стенверсу холестеатома определяется как имеющая среднюю плотность однородная тень, которая находится в круглой патологической полости с гладкими и четко визуализирующимися краями. Более точную визуальную картину образования получают при проведении КТ и МСКТ черепа.

КТ височных костей. Деструкция сосцевидного отростка, сосцевидной пещеры, пирамиды и среднего уха правой височной кости, обусловленная холестеатомой
- Эндоскопия уха. При отоскопии возможно обнаружение краевой перфорации барабанной перепонки, признаков деструкции костной части слухового прохода, обусловленных разрастанием холестеатомы. При наличии краевой перфорации производят зондирование полости среднего уха пуговчатым зондом и промывание надбарабанного пространства. О наличии деструктивного процесса свидетельствует шероховатая при прощупывании поверхность кости. В пользу холестеатомы уха говорит присутствие в промывных водах включений и чешуек эпидермиса.
- Исследование слухового анализатора. Дополнительно у пациентов с холестеатомой уха проводят исследование слуха и вестибулярного анализатора. Аудиометрия выявляет снижение слуха, пороговая аудиометрия — смешанный тип тугоухости. Производят также исследование камертоном, определение проходимости слуховой трубы, электрокохлеографию, акустическую импедансометрию, отоакустическую эмиссию, вестибулометрию, электронистагмографию, стабилографию, непрямую отолитометрию.
- Неврологическая диагностика. В диагностике осложнений может применяться неврологический осмотр, МРТ головного мозга, люмбальная пункция и др.

МРТ головы. Гиперинтенсивный сигнал в области сосцевидной пещеры, сосцевидного отростка и пирамиды правой височной кости (холестеатома)
Холестеатому уха необходимо дифференцировать от опухолей и инородных тел уха, кохлеарного неврита, серной пробки, гломусной опухоли, адгезивного среднего отита, специфических гранулем при туберкулезе и сифилисе.
Лечение холестеатомы уха
Консервативная тактика
Консервативное лечение возможно лишь в случае небольшой холестеатомы уха, находящейся в надбарабанном пространстве. Терапия таких холестеатом заключается в промывании надбарабанного пространства растворами протеолитических ферментов и борной кислоты. Начинают и заканчивают процедуру промыванием полости изотоническим раствором. Подобную манипуляцию проводят ежедневно в течение недели.
Хирургическое лечение
При неэффективности консервативного лечения, большом размере холестеатомы уха, наличии осложнений показано радикальное удаление образования. В зависимости от распространенности холестеатомы хирургическое вмешательство может включать:
- санирующую операцию на среднем ухе;
- лабиринтотомию;
- транслабиринтное вскрытие пирамиды височной кости;
- тимпанпластику, мастоидопластику, мирингопластику и пр.
Прогноз и профилактика
В случае своевременного выявления, последовательного консервативного или радикального хирургического лечения холестеатомы прогноз благоприятный. В отдельных случаях возможны рецидивы процесса. В запущенных стадиях возможно развитие тугоухости, жизнеугрожающих внутричерепных осложнений. Профилактика холестеатомы заключается в предупреждении ХГСО, своевременном лечении воспаления среднего уха.
К вопросу о классификации холестеатомы пирамиды височной кости
Холестеатома – образование, сформированное ороговевающим эпителием, остатками кератина и различной толщины периматриксом с окружающей воспалительной реакцией или без таковой. У 2,9% пациентов с холестеатомой встречается холестеатома, которая распространяется в пирамиду височной кости. Агрессивный рост холестеатомы пирамиды височной кости может привести к деструкции подлежащих костных структур с распространением образования на скат черепа, клиновидную пазуху, подвисочную ямку, носоглотку с возможным проникновением в субдуральное пространство.
Цель: детализация существующих классификаций холестеатомы пирамиды височной кости.
Материал и методы: в данное проспективное исследование вошли 22 пациента с хроническим гнойным средним отитом, у которых была диагностирована холестеатома пирамиды височной кости. Диагноз поставлен на основании отоларингологического обследования, мультиспиральной компьютерной томография (МСКТ) височных костей, МРТ cреднего уха, диффузно-взвешенной МРТ головного мозга. Средний возраст пациентов составил 39,2±7 лет. В работе использовали классификацию холестеатомы пирамиды височной кости Moffat – Smith 2008 г.
Результаты: МСКТ височной кости с достаточной точностью и специфичностью выявляет различные деструктивные процессы, что важно для определения границы распространения образования и соответственно соотнесения данных границ c классификацией холестеатомы пирамиды височной кости. На основании КТ-снимков и обновленной классификации холестеатомы пирамиды височной кости Moffat – Smith образования были распределены в зависимости от локализации по отношению к лабиринту на супралабиринтную (n – 9), супралабиринтную-апикальную (n – 3), инфралабиринтную (n – 3), инфралабиринтную-апикальную (n – 5), массивную лабиринтную (n – 1) и массивную лабиринтную с апикальным распространением (n – 1). Таким образом, в данной статье мы попытались описать границы типов холестеатом пирамиды височной кости на основании МСКТ височных костей.
Заключение: использование предложенной классификации предоставит возможность определить тип холестеатомы пирамиды височной кости и окажет помощь в выборе тактики хирургического лечения данной патологии.
Ключевые слова: холестеатома пирамиды височной кости, хронический гнойный средний отит, классификация, компьютерная томография.
Для цитирования: Аникин И.А., Хамгушкеева Н.Н., Ильин С.Н., Бокучава Т.А. К вопросу о классификации холестеатомы пирамиды височной кости. РМЖ. 2017;23:1699-1702.
On the classification of the petrous pyramid cholesteatoma
Anikin I.A. 1 , Khamgushkeeva N.N. 1 , Ilin S.N. 1 , Bokuchava T.A. 2
1 Saint-Petersburg Scientific Research Institute of Ear, Nose, Throat and Speech
2 Murmansk Regional Clinical Hospital named after P.A. Bayandin
Cholesteatoma is the tumor formed by keratinizing epithelium, keratin residues and perimatrix of various thicknesses with or without surrounding inflammatory reaction. In 2.9% of patients with cholesteatoma it spreads to the petrous pyramid. Aggressive growth of the petrous pyramid cholesteatoma can lead to the destruction of the underlying bone structures with the spread of the tumor to the clivus, the sphenoid sinus, the infratemporal fossa, the nasopharynx with possible penetration into the subdural space.
Aim: the detailed classification of the petrous pyramid cholesteatoma.
Patients and Methods: this prospective study included 22 patients with chronic suppurative otitis media who had a petrous pyramid cholesteatoma. The diagnosis is based on an otolaryngological examination, multispiral computed tomography (MSCT) of temporal bones, MRI of the middle ear, diffuse-weighted MRI of the brain. The average age of the patients was 39.2 ± 7 years. The Moffat-Smith 2008 classification of the petrous pyramid cholesteatoma was used in the work.
Results: MSCT of the temporal bone reveals various destructive processes with high accuracy and specificity, that is important for determining the boundaries of the tumor and thus the classification of the petrous pyramid cholesteatoma. Based on CT images and updated Moffat-Smith petrous pyramid cholesteatoma classification, depending on the location in relation to the labyrinth the tumors were distributed on the supra-labyrinth (n-9), supra-labyrinth-apical (n-3), infra-labyrinth (n-3), infra-labyrinth-apical (n-5), massive labyrinth (n-1) and massive labyrinth petrous pyramid cholesteatoma with apical proliferation (n-1). Thus, in this article we have attempted to describe the boundaries of various types of the petrous pyramid cholesteatoma on the basis of the MSCT of the temporal bones.
Conclusion: the use of the proposed classification will provide an opportunity to determine the type of the petrous pyramid cholesteatoma and will help in choosing the tactics of surgical treatment of this pathology.
Key words: the petrous pyramid cholesteatoma, chronic suppurative otitis media, classification, computed tomography.
For citation: Anikin I.A., Khamgushkeeva N.N., Ilin S.N., Bokuchava T.A. On the classification of the petrous pyramid cholesteatoma // RMJ. 2017. № 23. P. 1698–1702.
Статья посвящена вопросам классификации холестеатомы пирамиды височной кости. В исследование вошли 22 пациента с хроническим гнойным средним отитом, у которых была диагностирована холестеатома пирамиды височной кости. В работе использовали классификацию холестеатомы пирамиды височной кости Moffat – Smith 2008 г. Показано, что использование предложенной классификации предоставит возможность определить тип холестеатомы пирамиды височной кости и окажет помощь в выборе тактики хирургического лечения.
Холестеатома – опухолевидное образование, представляющее собой эпидермальную кисту, которая является результатом агрессивного роста ороговевающего плоскоклеточного эпителия [1–3].
По данным литературы, холестеатома пирамиды височной кости является очень сложным образованием для диагностики и лечения. Данная особенность связана с бессимптомной картиной развития заболевания, расположением холестеатомы близко к основанию черепа и жизненно важным нервно-сосудистым структурам височной кости, склонностью холестеатомы к рецидивам [2–4]. Это одна из немногих патологий, которые имеют тенденцию к прогрессирующему росту. При массивном распространении может привести к костной эрозии верхушки пирамиды височной кости и развитию вне- и внутричерепных осложнений [1–3, 5, 6]. Частота встречаемости холестеатомы пирамиды височной кости составляет 4–9% от всех патологических образований в пирамиде височной кости [4], 0,2% – от всех случаев хронического среднего отита, осложненного холестеатомой [7].
Холестеатома пирамиды височной кости по происхождению может быть врожденной и приобретенной. Появление врожденной холестеатомы пирамиды височной кости объясняется сохранением эктодермального зачатка в пирамиде височной кости или в среднем ухе, из которого образование далее распространяется по направлению к верхушке пирамиды височной кости. Приобретенная холестеатома, в отличие от врожденной, чаще всего развивается вследствие инвазии эпидермиса в результате ретракции (первичная приобретенная холестеатома) или перфорации барабанной перепонки (вторичная приобретенная холестеатома). Ряд авторов также выделяют ятрогенную холестеатому, развившуюся после хирургических манипуляций на непораженном холестеатомным процессом ухе, и посттравматическую, возникающую в результате эпидермального заноса, вызванного травмой уха [2, 4].
За последнее время предложены несколько классификаций, основанных на локализации холестеатомы в каменистом отделе височной кости. U. Fish выделил супралабиринтный и инфралабиринтный-апикальный типы холестеатомы пирамиды височной кости [8]. В 1993 г. M. Sanna et al. создали классификацию холестеатомы пирамиды височной кости в зависимости от локализации образования по отношению к лабиринту, выделив: супралабиринтную, инфралабиринтную, массивную, инфралабиринтную-апикальную и апикальную [2].
По данным M. Sanna, cупралабиринтная холестеатома чаще всего бывает врожденной, но также может быть и результатом глубокого врастания эпидермиса в эпитимпанум. Она чаще поражает переднее эпитимпанальное пространство и простирается медиально к внутреннему слуховому проходу и вперед по направлению к сонной артерии. Также холестеатома может распространяться к заднему отделу лабиринта и в ретролабиринтные клетки сосцевидного отростка с поражением базального завитка улитки и лицевого нерва. В большинстве случаев супралабиринтная холестеатома клинически проявляется развитием пареза (паралича) мимической мускулатуры. Инфралабиринтная холестеатома возникает в гипотимпануме и в инфралабиринтных клетках сосцевидного отростка и распространяется вперед к внутренней сонной артерии и сзади к задней черепной ямке. Массивная лабиринтная холестеатома диффузно поражает височную кость с вовлечением в патологический процесс всего заднего и переднего отдела лабиринта и чаще является результатом роста супра- и инфралабиринтной холестеатомы, а также инвазивного роста первичной приобретенной холестеатомы. Она обычно протекает бессимптомно, но может вызвать паралич мимической мускулатуры и частичную или полную сенсоневральную тугоухость. Инфралабиринтная-апикальная холестеатома встречается в инфралабиринтных и в верхушечных отделах пирамиды височной кости. Изначально поражает передние отделы пирамиды височной кости, горизонтальную часть внутренней сонной артерии, после поражает апикальный отдел пирамиды височной кости, а затем распространяется или вверх к клиновидной пазухе, или кзади и вниз в инфралабиринтный отдел височной кости. Данная холестеатома чаще всего бывает врожденной и при ее распространении во внутреннее ухо у пациентов развивается хроническая сенсоневральная тугоухость IV степени. Функция лицевого нерва, как правило, у пациентов не нарушена. Апикальная холестеатома занимает только верхушку пирамиды височной кости и при массивном своем росте может привести к деструкции костной стенки внутреннего слухового прохода с дальнейшим распространением в сторону задней черепной ямки или к тройничному нерву [2, 9, 10].
В 2008 г. D. Moffat и W. Smith предложили классификацию холестеатомы пирамиды височной кости, которая, по данным авторов, более всеобъемлющая, чем существующие классификации. В классификации Moffat – Smith различают супралабиринтную, супралабиринтную-апикальную, инфралабиринтную, инфралабиринтную-апикальную, апикальную и массивную лабиринтную холестеатому пирамиды височной кости с апикальным распространением [11].
При планировании хирургического вмешательства хирургу необходимо иметь представление о локализации холестеатомы в пирамиде височной кости, ее расположении по отношению к сосудисто-нервным образованиям височной кости, наличии костно-деструктивных изменений структур среднего и внутреннего уха. С этой целью на предоперационном этапе обследования пациентов проводится анализ полученных результатов МСКТ-исследований височных костей, включающих серию томограмм и протокол исследования [12].
Целью данной работы послужила детализация существующих классификаций холестеатомы пирамиды височной кости.
Материал и методы
На базе ФГБУ «СПб НИИ ЛОР» Минздрава России с 2012 г. по март 2017 г. у 22 пациентов (13 женщин и 9 мужчин) с хроническим гнойным средним отитом диагностирована холестеатома пирамиды височной кости.
Диагноз был поставлен на основании отоларингологического и радиологического обследования, включающего МСКТ височных костей, МРТ cреднего уха, диффузно-взвешенную МРТ головного мозга. Средний возраст пациентов составил – 39,2±7 лет.
У 10 пациентов (45%) в анамнезе были радикальные операции на среднем ухе. Два пациента (9%) в прошлом прооперированы нейрохирургами с удалением холестеатомы верхушки пирамиды височной кости из экстрадурального подвисочного и инфралабиринтного доступов соответственно. У 10 пациентов (45%) с хроническим эпитимпано-антральным средним отитом оперативные вмешательства на ушах ранее не выполнялись.
Для более детального описания границ холестеатомы пирамиды височной кости за основу была взята классификация M. Sanna 2016 г., где на основании МСКТ височной кости определены границы только для супралабиринтной, инфралабиринтной, массивной, инфралабиринтной-апикальной и апикальной холестеатомы пирамиды височной кости [10]. Супралабиринтная-апикальная и массивная-апикальная холестеатомы пирамиды височной кости в данной системе не представлены. Таким образом, мы попытались описать границы для всех ее типов расположения в височной кости, взяв за основу классификацию Moffat и Smith 2008 г. [11].
Результаты обследования и обсуждение

На основании детального анализа МСКТ височной кости, обзора современной литературы, а также опыта хирургического лечения данной патологии нами детализирована классификация холестеатомы пирамиды височной кости (табл. 1).
Применение радиологических методов исследования височной кости (МРТ среднего уха, КТ височной кости, диффузионно-взвешенная МРТ головного мозга) в совокупности позволяют диагностировать холестеатому.
МСКТ височной кости с достаточной точностью и специфичностью выявляет различные деструктивные процессы, что важно для определения границы распространения образования и соответственно соотнесения данных границ с классификацией холестеатомы пирамиды височной кости. Использование предложенной классификации предоставит возможность определить тип холестеатомы пирамиды височной кости и окажет помощь в выборе тактики хирургического лечения данной патологии.
Заключение
В результате проведенного анализа данных МСКТ пациентов с холестеатомой пирамиды височной кости была детализирована классификация этой патологии в зависимости от расположения образования по отношению к структурам и окружающим тканям височной кости. Классификация холестеатомы пирамиды височной кости позволит выбрать оптимальный хирургический подход санации патологического процесса, а также поможет в стандартизации отчетности по данному заболеванию.
Контент доступен под лицензией Creative Commons «Attribution» («Атрибуция») 4.0 Всемирная.
Врожденная холестеатома вершины пирамиды височной кости - лучевая диагностика
а) Терминология:
1. Аббревиатуры:
• Холестериновая гранулема (ХГ) вершины пирамиды (ВП)
2. Синонимы:
• Холестериновая киста, «шоколадная» киста
3. Определение:
• ХГ-ВП: экспансивное поражение ВП в результате реакции гигантских клеток инородных тел на скопление кристаллов холестерина в ячейках вершины пирамиды с фиброзом и пролиферацией сосудов
б) Визуализация:
1. Общая характеристика:
• Лучший диагностический критерий:
о Объемное образование ВП с гиперинтенсивным Т1 и Т2 сигналом
• Локализация:
о Ячейки ВП
о Большие образования распространяются в соседние структуры
• Размер:
о Варьирует; от мелких образований, ограниченных ВП, до крупных мультицентрических опухолей
• Морфология:
о Ровные, хорошо очерченные края; фестончатые (крупные образования)

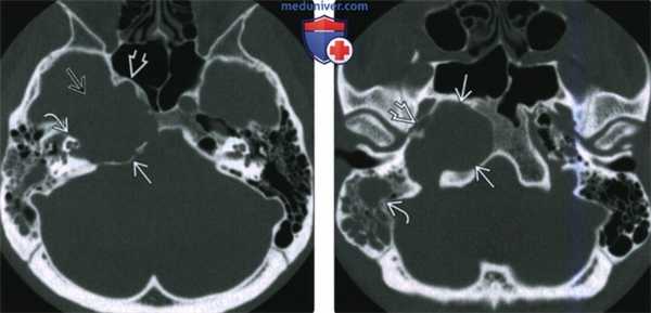
(Слева) При КТ в костном окне определяется распространенное образование с тотальной деструкцией передненаружного края. Образование распространяется в ВСК и приводит к эрозии слуховой капсулы. Кавернозный сегмент ВСА смещен кпереди.
(Справа) При аксиальной КТ височных костей (более каудальный срез) у этого же пациента визуализируется ХГ-ВП, сдавливающая костную часть евстахиевой трубы. Жидкость в сосцевидном отростке обусловлена обструкцией евстахиевой трубы.
2. КТ при холестериновой гранулеме вершины пирамиды височной кости:
• КТ в костном окне:
о Хорошо отграниченное распространенное поражение ВП
о Разрушение трабекул и истончение кортикального слоя ВП
о Локальный дефект костной стенки при обширных поражениях
о Регионарные эрозии при больших поражениях:
- Кпереди с поражением канала горизонтального каменистого сегмента внутренней сонной артерии (ВСА)
- Кнутри в скат, основную пазуху
- Кнаружи во внутреннее и среднее ухо (СУ), канал лицевого нерва
- Кзади во внутренний слуховой канал и мостомозжечковый угол
3. МРТ при холестериновой гранулеме вершины пирамиды височной кости:
• Т1 ВИ:
о Гиперинтенсивный сигнал:
- Обусловленный кровоизлиянием, продуктами распада крови, кристаллами холестерина
- Основная причина-парамагнитный внутриклеточный метгемоглобин
• Т2 ВИ:
о Гиперинтенсивный сигнал
о Периферическое гипоинтенсивное кольцо из гемосидерина
• FLAIR:
о Отсутствие ослабления гиперинтенсивного сигнала
• Т1 ВИ С+:
о Отсутствие контрастного усиления
о Если преконтрастные (Т1) изображения не получены, может быть сделано ошибочное заключение о «контрастирующемся» образовании
• МРА:
о Для планирования операции, оценки вовлечения каменистой части ВСА
о Внимание: образования с интенсивными сигналом выглядят яркими при МРА, имитируя аневризму
4. Рекомендации по визуализации:
• Лучший метод визуализации:
о КТ в костном окне и МРТ (в сочетании):
- КТ височных костей для оценки эрозий костей и инвазии соседних структур
- МРТ: характерный гиперинтенсивный Т1 сигнал
• Выбор протокола:
о МР-визуализация:
- Используйте преконтрастные последовательности Т1:
Контрастирование не помогает в диагностике ХГ-ВП
- МРТ: для оценки поражения каменистой части ВСА при больших поражениях
о Визуализация рецидива после операции:
- Чувствительность МРТ в диагностике рецидива выше, чем КТ
- ↑ Т1 сигнал в ВП после операции = рецидив:
Не путайте с перемещенным во время операции жиром

(Слева) При аксиальной МРТ Т1 ВИ у этого же пациента визуализируется экспансивная гиперинтенсивная ХГ-ВП. Жидкость в сосцевидном отростке имеет промежуточный сигнал, преимущественно за счет содержания белка.
(Справа) При аксиальной МРТ Т2 ВИ у этого же пациента визуализируется гиперинтенсивное экспансивное образование ВП, в котором находятся мелкие гипоинтенсивные очаги (отложения гемосидерина). Классическая холестериновая гранулема имеет гиперинтенсивный сигнал на Т1 и Т2. «Запертая» жидкость в сосцевидном отростке также гиперинтенсивна.
в) Дифференциальная диагностика холестериновой гранулемы вершины пирамиды височной кости:
1. Асимметрия костного мозга вершины пирамиды:
• КТ: плотность жира, отсутствие вздутия
• МРТ Т1: ↑ сигнал; МРТ Т2: промежуточный или гиперинтенсивный сигнал
о Снижение интенсивности на МРТ с сатурацией жира
2. «Запертая» жидкость в вершине пирамиды:
• КТ: снижение пневматизации ячеек; без вздутия; кортикальный слой и трабекулы интакгны
• МРТ Т1: гипо- или гиперинтенсивный сигнал; МРТ Т2: ↑ сигнал
• МРТ Т1 С+: отсутствие контрастирования образования или оболочек мозга
3. Врожденная холестеатома вершины пирамиды:
• КТ: ровные вздутые края
• МРТ Т1: ↓ или промежуточный сигнал; МРТ Т2: промежуточный или ↑ сигнал
• ДВИ: ограничение диффузии (↑ сигнал)
4. Аневризма внутренней сонной артерии в вершине пирамиды:
• КТ: ровный расширенный канал каменистого сегмента ВСА
• МРТ: неоднородный сигнал, артефакты потока
• МРТ Т1 С+: неоднородное контрастное усиление
5. Мукоцеле вершины пирамиды:
• КТ: сливные вздутые ячейки в ВП
• МРТ: ↓ Т1, ↑ Т2, без ограничения диффузии на ДВИ
6. Апикальный петрозит:
• КТ: перемеативные деструктивные изменения кортикального слоя и трабекул
• МРТ Т1: ↑ сигнал; Т2: ↓ сигнал
• МРТ Т1 С+: толстое «кольцо» контрастного усиления; утолщение и контрастирование оболочек мозга

(Слева) При аксиальной КТв костном окне в пневматизированной ВП слева визуализируется холестериновая гранулема в виде хорошо отграниченного экспансивного образования овоидной формы. Задняя стенка ВА истончена или отсутствует.
(Справа) При аксиальной МРТ Т1 у этого же пациента определяется гиперинтенсивный сигнал в левостороннем экспансивном образовании овоидной формы, сопоставимом с холестериновой гранулемой.
г) Патология:
1. Общая характеристика:
• Этиология:
о Классическая обструктивно-вакуумная теория:
- Мукозальная обструкция ячеек ВП вследствие среднего отита с возникновением разрежения
- Разрыв кровеносных сосудов вследствие вакуум-феномена и кровоизлияние в ячейки ВП
- Анаэробный распад эритроцитов с образованием кристаллов холестерина, инициирующих инфильтрацию гигантскими клетками инородных тел
- Формирование грануляционной ткани из-за повторяющихся кровоизлияний со вздутием ВП
о Последняя альтернативная гипотеза вовлечения костного мозга
- Пенетрация слизистой оболочки в ВП у молодых взрослых
- Обнажение костного мозга с длительными/повторяющимися микрокровоизлияниями
- Перерождение липидов в кристаллы холестерина
• Эмбриология-анатомия:
о Ячейки ВП должны быть пневматизированы
о ВП в норме пневматизирована у 33% людей
2. Макроскопические и хирургические особенности:
• Кистозное образование без эпителиальной выстилки
• Фиброзная капсула, заполненная голубовато-коричневой жидкостью, содержащей «старую» кровь и кристаллы холестерина = «шоколадная» киста
• Жидкость напоминает «моторное масло»
3. Микроскопия:
• Эритроциты в различных стадиях деградации
• Многоядерные гигантские клетки вокруг кристаллов холестерина, погруженные в фиброзную соединительную ткань
• Макрофаги, заполненные гемосидерином
• Клетки хронического воспаления и кровеносные сосуды
д) Клинические особенности:
1. Проявления:
• Типичные признаки/симптомы:
о ХГ-ВП может быть случайной бессимптомной находкой
о Головная боль и головокружение: самые типичные симптомы
• Другие признаки/симптомы:
о Боль в лице, тугоухость, или диплопия при поражении ЧН V-VIII
• Клинический профиль:
о Отоскопия: норма, если не поражено СУ:
- Сине-черное ретротимпаническое образование в СУ
о Аудиометрия: картина нейросенсорной или смешанной тугоухости
2. Демография:
• Возраст:
о Взрослые люди молодого или среднего возраста
• Эпидемиология:
о Самое частое поражение ВП, требующее операции
о ХГ-СУ более распространена, чем ХГ-ВП
3. Течение и прогноз:
• Скорость роста вариабельна; большинство ХГ-ВП стабильны или медленно растут:
о Редко: быстрый рост или внезапное появление новых симптомов
• В зависимости от частоты и тяжести микрокровоизлияний
• Большинство ХГ-ВП растут десятилетиями:
о Симптомы возникают после первого эпизода хронического среднего отита
• Прогноз великолепный при адекватном дренировании
4. Лечение:
• При отсутствии симптомов безопасно наблюдение в динамике
• Традиционное хирургическое лечение:
о Дренирование и стентирование транстемпоральным доступом для восстановления воздушности ВП
• Расширенный доступ через среднюю черепную ямку с экстрадуральным удалением ХГ-ВП и облитерацией полости:
о Существенное снижение количества рецидивов
• Избирательное транссфеноидальное эндоскопическое дренирование
е) Диагностическая памятка:
1. Следует учесть:
• Предполагайте ХГ-ВП при любом экспансивном поражении ВП с гиперинтенсивным Т1 и Т2 сигналом
• КТ, MPT, МРА для предоперационного планирования, особенно в случае больших поражений
• МРТ лучше всего для оценки постоперационного рецидива
2. Советы по интерпретации изображений:
• Распространенное поражение ВП с гиперинтенсивным Т1 и Т2 сигналом, отличное от других поражений ВП
• КТ преимущественно используется для оценки деструкции костей и поражения смежных отделов слуховой капсулы и сонного канала
• Необходимо оценить кровоток внутри образования, чтобы не пропустить аневризму каменистого сегмента ВСА
3. Рекомендации по отчетности:
• Следует обратить особое внимание на близость к соседним структурам:
о Канал лицевого нерва
о Каменистый канал ВСА
о Внутренний слуховой канал
о Слуховая капсула внутреннего уха
1. Аббревиатура:
• Холестеатома вершины пирамиды (Хол-ВП)
2. Синонимы:
• Врожденная холестеатома, эпидермоидная киста вершины пирамиды (ВП)
3. Определение:
• Хол-ВП: холестеатома ВП, обусловленная эпителиальными остатками эмбрионального происхождения
1. Общая характеристика:
• Лучший диагностический критерий:
о Экспансивное объемное образование с ремоделированием костей (с ровными фестончатыми краями)
о МРТ: экспансивное образование ВП с сигналом низкой (Т1) и высокой (Т2) интенсивности, не накапливающее контраст:
- МРТ (ДВИ): гиперинтенсивный сигнал в холестеатоме
• Локализация:
о ВП:
о Возможен больший объем поражения:
- Медиальные отделы ВУ и внутренний слуховой канал (ВСК)
- Медиальные отделы сосцевидного отростка
• Размер:
о Может достигать больших размеров до обнаружения
о Максимальный размер 2-10 см в поперечнике
• Морфология:
о Овоидная или округлая форма, фестончатый край
о При поражении ВП, внутреннего уха и сосцевидного отростка может иметь форму «гантели»

(Слева) При КТ в коаном окне визуализируется гигантская медиальная врожденная холестеатома ВП. Обратите внимание на компоненты ВПВ, носоглотки и медиальной аенки височной кости.
(Справа) При аксиальной МРТ Т2 CISS у этого же пациента визуализируется врожденная холеаеатома с высокой и промежуточной интенсивноаью сигнала, поражающая ВПВ, медиальные отделы внутреннего уха и сосцевидный отросток. Горизонтальный каменистый сегмент ВСА смещен кпереди холестеатомой.
2. КТ при врожденной холестеатоме вершины пирамиды:
• КТ с КУ:
о Хол-ВП не накапливает контраст
• КТ в костном окне:
о Экспансивное образование ВП с гладкими фестончатыми краями:
- Может одновременно распространяться в смежные структуры:
Канал горизонтального каменистого сегмента внутренней сонной артерии (ВСА)
Структуры внутреннего уха (слуховая капсула)
ВСК
Полость Меккеля
Медиальные ячейки сосцевидного отростка
Канал лицевого нерва (лабиринтный и передний барабанный сегменты)
3. МРТ при врожденной холестеатоме вершины пирамиды:
• Т1 ВИ:
о Гипоинтенсивный сигнал
о Одно- или неоднородный
• Т2 ВИ:
о Гиперинтенсивный сигнал
• FLAIR:
о Интенсивность сигнала не снижается
о Возможно частичное снижение интенсивности (смешанный промежуточный и гипоинтенсивный сигнал)
• ДВИ:
о Характерная рестрикция диффузии
о Как и при врожденной холестеатоме (эпидермоидной кисте) мостомозжечкового угла (ММУ)
• Т1 ВИ С+:
о Отсутствует накопление контраста
о Легкое контрастное усиление в виде «ободка»
• МРА:
о Большие опухоли могут оказывать объемное воздействие на горизонтальный каменистый сегмент ВСА
• МРВ:
о Большие опухоли могут сдавливать сигмовидный синус ± яремное отверстие
4. Ангиография:
• Бессосудистое объемное образование ВП
5. Рекомендации по визуализации:
• Лучший метод визуализации:
о КТ височных костей - лучший стартовый метод:
- Контрастирование не требуется
о МРТ в аксиальной и корональной плоскости для подтверждения диагноза и картирования мягких тканей перед операцией:
- Особенно применима при больших поражениях
- МРТ Т1 С+: отсутствие контрастного усиления
- ДВИ для подтверждения диагноза

(Слева) При аксиальной КТ правой височной кости визуализируется врожденная холестеатома с ровными краями и интрамуральными включениями газа, приводящая к расширению вершины пирамиды. Холестеатома приводит к эрозии кост ного лабиринта внутреннего уха и дефекту кортикального слоя задне-медиальных отделов ВПВ.
(Справа) При аксиальной МРТ ДВИ у этого же пациента определяется гиперинтенсивный сигнал (рестрикция диффузии), характерный для врожденной холеаеатомы ВП.
в) Дифференциальная диагностика врожденной холестеатомы вершины пирамиды:
1. «Запертая» жидкость в вершине пирамиды:
• Клинические проявления: случайная бессимптомная находка на МРТ Т2
• КТ в костном окне: ↓ пневматизации ячеек ВП без их вздутия
• МРТ: ↓ или промежуточный сигнал Т1 + ↑ сигнал Т2 в большинстве случаев:
о Возможен ↑ сигнал на Т1
2. Апикальный петрозит:
• Клинические проявления: сепсис у пациента, ранее получавшего антибиотики с частичным успехом
• КТ в костном окне: деструктивный процесс в ВП с разрушением трабекул и кортикального слоя
• МРТ: толстые стенки, накапливающие контраст, локальное скопление жидкости:
о Утолщение и контрастное усиление твердой мозговой оболочки
3. Холестериновая гранулема вершины пирамиды:
• Клинические проявления: часто хронический отомастоидит в анамнезе
• КТ в костном окне: распространенное образование с гладкими фестончатыми краями
• МРТ: гиперинтенсивный сигнал на Т1 и Т2:
о ДВИ: отсутствие рестрикции диффузии
4. Мукоцеле вершины пирамиды:
• КТ в костном окне: экспансивное образование с ровными краями
• МРТ: гипо- (Т1), гипер- (Т2) интенсивный сигнал
• Может в точности имитировать холестеатому ВП:
о За исключением отсутствия ограничения диффузии на ДВИ
5. Аневризма каменистого сегмента ВСА:
• Клинические проявления: возможна травма черепа в анамнезе
• КТ в костном окне: веретеновидное или локальное расширение канала горизонтального каменистого сегмента ВСА

(Слева) При аксиальной КТ в костном окне у пациента с парезом лицевого нерва определяется экспансивное поражение ямки коленчатого ганглия и лабиринтного сегмента канала ЧН. Врожденная холестеатома обусловливает ремоделирование костной ткани в медиальных отделах вершины пирамиды.
(Справа) При аксиальной МРТ Т2 ВИ у этого же пациента в ямке коленчатого ганглия и лабиринтном канале ЧН определяется врожденная холестеатома с гиперинтенсивным сигналом. Определяется также эрозия ВП и верхнего полукружного канала.
1. Общая характеристика:
• Этиология:
о Аберрантный эпителиальный остаток отслоившегося кератина в многослойном плоском эпителии ВП:
- Растет за счет прогрессирующей десквамации эпителия
- Хол-ВП является врожденной, первично возникает в ВП или по ходу лабиринтного сегмента ЧН VII
- Хол-ВП может быть частью крупного многоочагового образования внутреннего уха, ВСК, медиальных отделов сосцевидного отростка
• Эмбриология-анатомия:
о Остатки эпителиальной ткани могут находиться в любом месте в височной кости и возле нее:
- Среднее ухо > ММУ > сосцевидный отросток > ВП > канал лицевого нерва
2. Макроскопические и хирургические особенности:
• Жемчужно-белая ткань с костной «скорлупой»
3. Микроскопия:
• Слои многослойного ороговевающего плоского эпителия:
о Без признаков патологических митозов
о Окружение из грануляционной ткани и фиброза
• Большое количество кристаллов холестерина
1. Проявления:
• Типичные признаки/симптомы:
о Нейросенсорная тугоухость (при больших опухолях)
• Другие признаки/симптомы:
о Периферический паралич лицевого нерва
о Паралич отводящего нерва
о Головная боль
• Клинический профиль:
о Пациент 40 лет с односторонней нейросенсорной тугоухостью
2. Демография:
• Возраст:
о 20-50 лет
• Эпидемиология:
о Очень редкое образование ВП (- «Запертая» жидкость >> апикальный петрозит, холестериновая гранулема, метастазы > врожденная холестеатома ВП
3. Течение и прогноз:
• Крайне медленно растущее образование
• Тотальная резекция останавливает прогрессирование симптоматики
4. Лечение:
• Хирургические подходы:
о Удаление транспетрозальным доступом
о Применяется также доступ через среднюю черепную ямку
1. Следует учесть:
• При обнаружении экспансивного поражения ВП его нужно отнести к доброкачественным или злокачественным
• Инвазивные экспансивные поражения ВП: апикальный петрозит, метастазы и плазмоцитома, лангергансокпеточный гистиоцитоз
• Доброкачественные экспансивные поражения ВП: холестеатома, холестериновая гранулема, мукоцеле, аневризма каменистой части ВСА, цефалоцеле ВП
3. Рекомендации по отчетности:
• Необходимо точно указать поражение окружающих структур Хол-ВП:
о Поражение горизонтального каменистого или кавернозного сегмента ВСА
о Сдавливание в ММУ-ВСК лицевого или преддверно-улиткового нервов
о Эрозии внутреннего уха
о Поражение яремного отверстия или сигмовидного синуса
Читайте также:
