Врожденный аганглионарный мегаколон - болезнь Гиршпрунга
Добавил пользователь Евгений Кузнецов Обновлено: 29.01.2026
Врожденный аганглионарный мегаколон - болезнь Гиршпрунга
Аноректальная мальформация, обусловленная неполным заселением дистальных отделов толстой кишки нейрональными элементами и не проявляющаяся макроскопически на начальных этапах заболевания. Развитие нервной системы кишечника: миграция нейроэнтеральных клеток из нервного гребня в ЖКТ в дистальном направлении с формированием сначала межмышечного (ауэрбахова), а затем подслизистого (мейснеровского) сплетения.
Болезнь Гиршпрунга: неполная миграция приводит к отсутствию нейронов в дистальных отделах прямой кишки, на участках различной протяженности => отсутствие перистальтики и неспособность к мышечной релаксации в аганглионарном сегменте (включая внутренний анальный сфинктер) + повышенный тонус гладкой мускулатуры в дистальных отделах и спазм => запоры и нарастающая дилатация толстой кишки проксимальнее аганглионарного сегмента —> некротический энтероколит или мегаколон.
Тяжесть симптомов и естественное течение заболевания имеет вариабельный характер. Часто сочетается с другими аномалиями развития (синдромом Дауна, атрезией кишечника).
Лечение заключается в резекции патологически измененного аганглионарного дистального сегмента с соответствующей реконструкцией. Для принятия решения необходимо оценить:
• Является ли данное состояние жизнеугрожающим без соответствующего лечения (например, острый некротический энтероколит, перфорация)?
• Имеются ли другие жизнеугрожающие аномалии, наиболее важные для лечения (например, сердца)?
• Возможна ли первичная реконструкция (с/без превентивной стомы) или необходима вторичная реконструкция (после колостомии)?
а) Эпидемиология:
• Заболеваемость: от 1 на 4400 до 1 на 7000 живых новорожденных с соотношением по полу М:Ж- 4:1 (в подгруппе с длинносегментным аганглиозом 1:1). Частота при семейном анамнезе: 6-10%.
• Сопутствующие аномалии: синдром Дауна (4-16%), атрезия ануса/толстой кишки (0,5-3,5%).
• Заболеваемость среди подростков и взрослых вариабельна (3-20%).

б) Симптомы болезни Гиршпрунга:
• Новорожденные (80-90%): симптомное течение в первые 24-72 часа жизни => задержка мекония >24-48 часов, запор, вздутие живота, отказ от кормления, рвота, плохая прибавка в весе. Осложнения: энтероколит, обусловленный болезнью Гиршпрунга, перфорация слепой кишки. Вариант: относительно бессимптомное течение.
• Постнеонатальный период: тяжелые запоры в анамнезе, периодические запоры/вздутие живота с разрешающимися эпизодами «взрывных» поносов, вздутие живота (хроническое), энтероколит (острое вздутие), отставание в прибавке веса.
• Вариант: относительно бессимптомное течение.
• Взрослые (3-20%): анамнез хронических запоров с детства, вздутие живота.
в) Дифференциальный диагноз:
• Мекониальная пробка.
• Муковисцидоз (мекониевый парез).
• Органическое препятствие (атрезия, аноректальная мальформация; внимание: возможно сочетание обеих аномалий!)
• Нейрональная дисплазия кишечника: при биопсии - гиперплазия нейронов и увеличенное количество ганглиев.
• Тотальный аганглиоз кишечника: вовлечение всего ЖКТ.
• Синдром левых отделов толстой кишки (преходящее нарушение перистальтики у детей, рожденных матерями, страдающими диабетом).
• Эндокринные нарушения: гипотиреоз, недостаточность надпочечников.
• Взрослые: болезнь Чагаса.
• Другие причины запоров.

г) Патоморфология болезни Гиршпрунга
Макроскопическое исследование:
• Выраженность преаганглионарной дилатации толстой кишки зависит от длительности наличия симптомов.
• Острые осложнения энтероколита.
Микроскопическое исследование:
• Норма: малое количество ганглиев в пределах 1,5-2 см, проксимальнее зубчатой линии.
• Болезнь Гиршпрунга: отсутствие ганглиев в подслизистом или межмышечном сплетениях дистальных отделов толстой кишки на расстоянии > 2 см от зубчатой линии, возможна гиперплазия нейронов (адренергическая, холинергическая), в остальном, цитоархитектоника толстой кишки нормальная.
Гистологическое исследование прямой кишки при болезни Гиршспрунга.
Криостатные срезы (а) окрашены для выявления ацетилхолинэстеразы.
При таком способе окраски у пациента с болезнью Гиршспрунга видны аномально утолщенные нервные волокна в слизистой оболочке (б) и редкие тонкие нервные волокна в обычной слизистой оболочке.
д) Обследование при врожденом аганглионарном мегаколоне
Необходимый минимальный стандарт. Диагностика болезни Гиршпрунга:
• Рентгенография органов брюшной полости? Дилатация тонкой кишки?
• Аноректальная манометрия (наилучший метод при болезни Гиршпрунга с коротким сегментом, ограниченное применение у младенцев и детей): отсутствие ректоанального ингибиторного рефлекса (РАИР) - рефлекторного расслабления в ответ на растяжение прямой кишки.
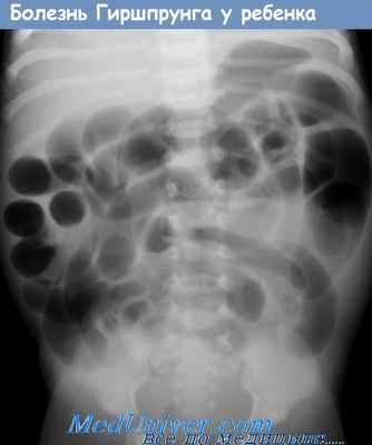
• Ирригоскопия с барием: спазмированный дистальный сегмент с характерной переходной зоной к дилатированному проксимальному сегменту толстой кишки, задержка бария более 24 часов? Может быть ложноотрицательным при болезни Гиршпрунга с коротким сегментом.
• Биопсия («золотой стандарт», точность 99%): серия биопсий на глубину слизистой и подслизистого слоя на расстоянии 2 см проксимальнее зубчатой линии => отсутствие подслизистого сплетения, но усиление положительной окраски на ацетилхолинэстеразу (внимание: последние 1,5-2 см прямой кишки не содержат ганглиев в норме!).
Дополнительные исследования (необязательные). Обследование для выявления сопутствующих аномалий.
е) Классификация болезни Гиршпрунга:
• Классическая форма болезни Гиршпрунга (80-90%): поражение >40 см дистального сегмента толстой кишки.
• Болезнь Гиршпрунга с длинным сегментом (7-10%): аганглионарная зона распространяется проксимальнее печеночного изгиба или даже на всю толстую кишку (тотальный аганглиоз толстой кишки).
• Болезнь Гиршпрунга с ультракоротким сегментом: поражение только дистальных отделов прямой кишки.

а - Обзорная рентгенограмма брюшной полости взрослого с недавно диагностированной болезнью Гиршспрунга.
Прямая кишка (показана стрелкой) значительно расширена.
б - Зона перехода расширенной нормальной кишки к нерасширенному аганглионарному участку.
Боковой рентгеновский снимок с использованием контраста.
в - Стеркоральные язвы у пациента с болезнью Гиршспрунга. Ректороманоскопия.
г - Стеркоральная язва в нижних отделах толстой кишки при простом запоре.
ж) Лечение без операции врожденного аганглионарного мегаколона:
• Декомпрессия толстой кишки, ирригация прямой кишки через зонд большого диаметра - подготовка к операции.
з) Операция при болезни Гиршпрунга:
Показания:
• Новорожденные и дети: любая подтвержденная форма болезни Гиршпрунга (за исключением сочетания с летальными аномалиями).
• Взрослые: зависит от выраженности заболевания и результатов консервативной терапии.
Хирургический подход:
• Плохое состояние: колостома, позднее - вторичная реконструкция.
• Хорошее состояние: первичная реконструкция с/без отключения:
1. Современный подход: одноэтапная операция низведения неизмененного ганглионарного сегмента толстой кишки (срочное исследование замороженных срезов):
а. Лапароскопически-ассистированная операция низведения с избытком.
б. Трансанальная эндоректальная операция низведения с избытком у новорожденных.
2. Классические операции: Ребейна, Свенсона, Дюамеля, Соаве.
• Тяжелый мегаколон: сократимость толстой кишки нарушена даже после резекции аганглионарного сегмента (декомпенсация механизма Франка-Старлинга): проктоколэктомия и низведение тонкой кишки.
и) Результаты лечения болезни Гиршпрунга:
• Летальность: 1-2% случаев.
• Несостоятельность анастомоза: 5-7% случаев.
• Послеоперационный энтероколит: 6-20% случаев.
• Длительный период удовлетворительной функции толстой кишки: 80-90% случаев.
• Другие осложнения: стриктура, периректальный свищ, инконтиненция, персистирующие запоры (в частности, после операции Дюамеля или Соаве).
• Наблюдение и дальнейшее лечение
• Периодические повторные функциональные обследования.
Редактор: Искандер Милевски. Дата обновления публикации: 18.3.2021
«САЙТ НАХОДИТСЯ НА РЕКОНСТРУКЦИИ ПРИНОСИМ СВОИ ИЗВИНЕНИЯ ЗА ВРЕМЕННЫЕ НЕУДОБСТВА»
Болезнь Гиршпрунга (врожденный аганглиоз) - это аномалия развития толстой кишки, характеризующаяся отсутствием ганглиев подслизистого и межмышечного нервных сплетений на определенном участке кишечной стенки. Ганглий - форма организации собственного нервного аппарата всех внутренних органов. Он представляет собой скопление тел нервных клеток - нейронов, окруженных вспомогательными клетками - глией. Ганглии относятся к периферической нервной системе и участвуют в регуляции деятельности внутренних органов. Патогенез аганглиоза связан с нарушением миграции нейробластов из вагусного нервного гребешка в процессе эмбриогенеза. Поскольку прямая кишка заселяется нейробластами в последнюю очередь, зона аганглиоза практически всегда начинается в самом дистальном отделе прямой кишки. Чем раньше прекращается миграция, тем длиннее аганглионарный сегмент.
Вероятно, аганглионарный участок кишки не участвует в перистальтической активности и является таким образом зоной функционального препятствия для пассажа кишечного содержимого. В результате происходит хроническая задержка каловых масс в вышележащем отделе кишки, последний с течением времени расширяется и формируется мегаколон - основной клинический признак болезни Гиршпрунга.
Болезнь Гиршпрунга относительно редкое заболевание, частота его составляет от 1:30000 до 1:2000 к общему числу новорожденных. Мальчики болеют в 5 раз чаще девочек. В большинстве случаев яркая клиническая картина в виде отсутствия стула, резкого вздутия живота проявляется буквально с рождения. В силу этого большая часть больных подвергается хирургическому лечению уже в раннем детстве. Однако, у некоторых пациентов симптомы болезни могут быть значительно менее выраженными, и только декомпенсация функции кишки или развитие осложнений заставляет их обращаться к врачу уже во взрослом состоянии.
Основными клиническими проявлениями болезни Гиршпрунга являются стойкие запоры, как правило, с раннего детства и постоянное вздутие живота, не зависящее от опорожнения кишечника. Постепенно запоры прогрессируют, в расширенных отделах ободочной кишки формируются каловые камни, которые могут привести к развитию кишечной непроходимости или даже перфорации кишки вследствие пролежня камнем, и, соответственно, необходимости экстренной операции.
В классических случаях диагностика болезни Гиршпрунга не вызывает больших сложностей и основана на сочетании клинической симптоматики с характерной рентгенологической картиной в виде наличия зоны относительного сужения в дистальной части толстой кишки, сменяющейся резким воронкообразным расширением просвета кишки проксимальнее.
Однако, не всегда диагноз бывает очевиден. Подчас дифференциальная диагностика болезни Гиршпрунга, прежде всего с идиопатическим мегаколон, представляет значительные трудности. А установить точный диагноз необходимо, поскольку и лечебная тактика, и способ хирургического пособия при этих состояниях разные. В таких ситуациях требуется комплексное обследование, включающее специфические патофизиологические и гистохимические тесты, осуществить которые можно только в условиях специализированных клиник. С конца 70-х годов прошлого века в патофизиологической лаборатории ГНЦК для диагностики болезни Гиршпрунга используется аноректальная манометрия. Огромный опыт специалистов лаборатории в сочетании с новейшим оборудованием делают аноректальную манометрию исключительно ценным и чувствительным диагностическим методом, к тому же безопасным и малоинвазивным.
Не менее важным тестом является исследование ацетилхолинэстеразной активности в биоптатах слизистой прямой кишки, которая при болезни Гиршпрунга повышена. Как и в случае аноректальной манометрии для правильного проведения исследования и интерпретации результатов, помимо специфического оборудования необходим соответствующий опыт врача патоморфолога.
В ряде случаев, когда сомнения в диагнозе все же остаются, возникает необходимость в диагностической операции с целью прямой морфологической оценки собственного нервного аппарата прямой кишки. Таковой является трансанальная полнослойная биопсия стенки прямой кишки по Свенсону. В ГНЦ колопроктологии, с учетом существования в самом дистальном отделе прямой кишки зоны физиологического гипоганглиоза, биопсия по Свенсону выполняется по модифицированной методике. Это позволяет свести вероятность ложноположительного результата к минимуму.
Лечение болезни Гиршпрунга только хирургическое. Причем, чем раньше выполнена операция, тем лучше. Отсрочка хирургического вмешательства приводит к прогрессированию мегаколон и увеличению риска осложнений. Операции все равно не избежать, но распространение мегаколон в проксимальном направлении приведет к необходимости более обширной резекции толстой кишки с худшими функциональными результатами. А развитие осложнений будет причиной многоэтапного лечения с куда более высоким риском для здоровья и вероятностью формирования стомы.
Поскольку болезнь Гиршпрунга у взрослых встречается крайне редко, очень небольшое число клиник имеет адекватные возможности диагностики и лечения этого состояния. В Центре накоплен едва ли не самый большой в мире опыт лечения взрослых пациентов с болезнью Гиршпрунга. Разработанная в ГНЦ колопроктологии модификация операции Дюамеля позволяет достичь хороших функциональных результатов у большинства больных при минимальном числе осложнений. В последние годы имеется возможность выполнения операции лапароскопически. Своевременно выполненная операция позволяет пациентам вести полноценную жизнь без каких-либо ограничений. Риск развития урогенитальных расстройств у мужчин минимальный. Женщины после операции имеют большие шансы зачатия естественным путем и полноценного вынашивания беременности.
Болезнь Гиршпрунга у детей
Болезнь Гиршпрунга (HSCR, аганглиоз толстой кишки, врожденный мегаколон) — это врожденный порок развития нижнего отдела пищеварительного тракта, при котором отсутствуют интрамуральные нервные сплетения, что приводит к стойкому нарушению функции кишечника. Впервые патология была выявлена в 1887 году ученым Г. Гиршпрунгом. После изучения строения стенки кишечника у мальчиков, которые умерли от хронического запора, ученым были идентифицированы аганглионарные участки кишечника и увеличение полости толстой кишки. Врожденный мегаколон диагностируется у детей с раннего возраста. Если в патологический процесс вовлечен небольшой участок кишечника, болезнь Гиршпрунга выявляют в более поздние периоды. Частота данного заболевания составляет приблизительно 1 случай на 5000 новорожденных. Идиопатический мегаколон у мальчиков встречается в 4 раза чаще, чем у девочек.
Содержание:
Причины возникновения болезни Гиршпрунга
Болезнь Гиршпрунга — это врожденная патология, возникновение которой обусловлено нарушением нормального эмбриогенеза. Причины появления аганглиоза толстой кишки достаточно не изучены. Доказана наследственная предрасположенность к врожденному мегаколону: при наличии эпизода заболевания у одного из родственников, риск возникновения патологии у ребенка существенно увеличивается.
Иннервация кишечника — одна из самых сложных регулирующих систем в организме человека. Правая и левая стороны нижнего отдела пищеварительного тракта иннервируются из разных «источников». Кроме того, отдельные зоны кишечника имеют неодинаковое распределение нервных волокон. Внутриорганная составляющая нервной сетки представлена подслизистыми ганглиями, которые связанные с «внешними регуляторами». В мышечном и подсерозном слоях тоже расположены некоторые нервные волокна, но они имеют меньшее значение.
Какова функция внутристеночных интрамуральных ганглиев? Они обеспечивают нормальные перистальтические движения пищеварительного тракта, что способствует прохождению химуса по кишечнику.
Закладка интрамуральных нервных сплетений осуществляется на 5-12 неделе внутриутробного развития плода. Нарушение данного процесса приводит к уменьшению количества ганглиев в стенке кишечника (гипоганглиоз) или полному их отсутствию (аганглиоз) на определенном участке пищеварительного тракта. Пораженный сегмент частично или полностью теряет способность к перистальтическим движениям, просвет органа сужается. В приводном (проксимальном) сегменте накапливается все содержимое кишечника (каловые массы, газы), что приводит к растяжению стенки органа и формированию мегаколона. Данный патологический процесс способствует развитию хронической кишечной непроходимости и синдрому каловой интоксикации.
Виды болезни Гиршпрунга
Размеры аганглионарного участка при болезни Гиршпрунга могут колебаться от нескольких сантиметров до метра и более. От этого зависит тяжесть состояния ребенка и особенность клинической картины заболевания.
Анатомическая классификация врожденного аганглиоза кишечника:
- Прямокишечная форма. Участок аганглиоза охватывает всю прямую кишку или ее часть (промежностную, ампулярную или надампулярную).
- Ректосигмоидальная форма. Не иннервируемая зона распространяется на дистальную часть сигмовидной кишки или охватывает ее полностью.
- Субтотальная форма. В патологический процесс втягивается восходящая кишка и часть поперечной ободочной кишки (левая половина кишечника).
- Тотальная форма. Отсутствие интрамуральных нервных волокон наблюдается на протяжении всего кишечника.
Клиническая классификация болезни Гиршпрунга:
- Стадия компенсации (прямокишечная форма). У ребенка наблюдаются умеренные симптомы интоксикации и неполной кишечной непроходимости, проблема решается с помощью клизмы.
- Стадия субкомпенсации (ректосигмоидальная и субтотальная формы). Проведение очистительной клизмы безрезультатное, иногда состояние ребенка улучшает высокая очистительная или сифонная клизма. Нарастают симптомы интоксикации, присоединяются признаки нарушения обмена веществ.
- Стадия декомпенсации(все виды аганглиоза, кроме прямокишечного). Происходит прогрессирование патологического процесса, что может перерасти в острую кишечную непроходимость.
Симптомы болезни Гиршпрунга
Ранним признаком болезни Гиршпрунга является задержка отхождения мекония, что в норме происходит в первые 24 часа. По мере кормления ребенка и заполнения кишечника, симптоматика врожденного аганглиоза нарастает. В первый месяц жизни у новорожденного с болезнью Гиршпрунга выявляют:
- наличие припухлости при пальпации живота;
- рвота;
- вздутие живота;
- запор;
- ухудшение аппетита.
Для детей от 1 месяца до 1 года характерные такие признаки аганглиоза кишечника:
- постоянный запор;
- метеоризм;
- ребенок плохо набирает вес;
- рвота;
- асимметрическая форма живота.
После года присоединяются следующие симптомы:
- прогрессирующий запор, который может чередоваться с поносом (неблагоприятный прогностический признак);
- каловые массы выходят тонкими сегментами;
- резкий неприятный запах каловых масс;
- неполное опорожнение кишечника.
К поздним симптомам болезни Гиршпрунга относятся частичная гетерохромия (неодинаковое окрашивание радужки глаз), анемия, гипотрофия, деформация скелета по рахитоподобному типу, каловая интоксикация организма (снижение аппетита, общая слабость, вялая реакция ребенка на внешние раздражители, повышение температуры, диспепсические расстройства).
Диагностика болезни Гиршпрунга
Диагностика болезни Гиршпрунга включает в себя:
- сбор анамнеза и жалоб (у детей старшего возраста);
- физикальный осмотр ребенка, при котором врач выявляет асимметрию и вздутие живота, а на поздних стадиях аганглиоза – гипотрофию ребенка, деформацию скелета, гетерохромию;
- пальцевое исследование прямой кишки, с помощью которого можно выявить прямокишечную форму аганглиоза;
- проведение дополнительных методов исследования.
Для верификации диагноза аганглиоза используются такие инструментальные методы исследования:
- Ирригография – рентгенологический метод диагностики, при котором в прямую кишку вводится рентгеноконтрастное вещество (сульфат бария). После заполнения кишечника данным раствором делаются снимки. Ирригография позволяет выявить уровень нарушения проходимости кишечника, расширенную проксимальную и суженную дистальную петли кишечника, нарушение пневматизации кишки.
- УЗИ органов брюшной полости (в частности, кишечника) позволяет визуализировать каловые камни, повышенную пневматизацию в проксимальной петле кишечника.
- Колоноскопия – эндоскопическое исследование толстой кишки, которое позволяет визуализировать пораженные участки кишечника, выполнить биопсию для дальнейшего гистологического исследования биологического материала.
- Биопсия – это «золотой стандарт» диагностики болезни Гиршпрунга. С помощью гистологического исследования идентифицируют отсутствие интрамуральных нервных ганглиев, что является подтверждением диагноза врожденного аганглиоза кишечника.
Методы лечения болезни Гиршпрунга
Консервативное лечение детей с болезнью Гиршпрунга направлено на ликвидацию симптомов заболевания и восстановление проходимости кишечника. Для этого используются:
- Очистительные и сифонные клизмы с физиологическим раствором. Данная манипуляция только временно эвакуирует содержимое кишечника и улучшает состояние больного.
- Массаж живота частично улучшает прохождение химуса по кишечнику.
- Медикаментозное лечение, которое включает в себя пероральный прием вазелинового масла, обезболивающих препаратов, пробиотиков.
Применение консервативного подхода к пациенту с болезнью Гиршпрунга устраняет симптомы патологии, но не излечивает ребенка. Единственным радикальным методом лечения является оперативное удаление аганглионарного участка. Для этого используются одномоментные и двухмоментные операции.
В клинической практике чаще используются двухмоментные операции. После удаления (резекции) пораженной зоны на переднюю брюшную стенку выводится колостома, через которую некоторое время осуществляется дефекация. Второй этап операции предусматривает создание анастомоза между двумя отрезками кишечника и закрытие колостомы. В новых условиях пищеварения в укороченном кишечнике у пациентов часто возникают послеоперационные расстройства: запоры, диарея, метеоризм. Нормализации работы кишечника способствуют:
- соблюдение диеты с большим содержанием клетчатки;
- лечебная физкультура;
- физиотерапия (иглорефлексотерапия);
- массаж живота.
Сегодня широко используется лапароскопический оперативный доступ. Он позволяет сократить пребывание ребенка в стационаре и ускорить восстановление организма после операции.
Последствия болезни Гиршпрунга
Осложнения болезни Гиршпрунга возникают при отсутствии адекватного лечения. Нарушение эвакуации кишечного содержимого приводит к таким последствиям:
Болезнь Гиршпрунга (Аганглиоз толстого кишечника, Врожденный мегаколон)
Болезнь Гиршпрунга — врожденная патология толстой кишки с недоразвитием или отсутствием нервных сплетений в подслизистой оболочке и мышечных слоях всей толстой кишки или ее сегмента. Проявляется хроническим запором, отсутствием позывов к дефекации, метеоризмом, нелокализованными болями в животе, асимметричной формой живота, интоксикацией. Диагностируется с помощью ирригоскопии, ректороманоскопии, гистологии биопсии стенки толстой кишки, аноректальной манометрии. Лечится хирургическими методами, пациентам рекомендуется одно- или двухэтапная резекция толстой кишки с наложением колоректального анастомоза.
Общие сведения
Аганглиоз толстой кишки (врожденный мегаколон) — одна из самых частых аномалий развития органов пищеварения. По данным наблюдений, распространенность болезни Гиршпрунга в популяции новорожденных колеблется от 1:30 000 до 1: 2 000. У 90% пациентов заболевание начинается в возрасте до 10 лет. У мальчиков аномалия выявляется в 4,32 раза чаще, чем у девочек. В 29,0–32,7% случаев патология связана с другими пороками развития, а у 9% больных аганглиоз толстой кишки развивается на фоне синдрома Дауна. Нарушение было впервые описано в трудах датского педиатра Харальда Хиршпрунга в 1888 году. Актуальность раннего выявления заболевания обусловлена серьезностью его осложнений.
Причины
Болезнь Гиршпрунга имеет полиэтиологическое происхождение, роль предполагающих и продуцирующих факторов, способствующих развитию аганглиоза стенки толстой кишки, продолжает выясняться. Скорее всего, врожденный порок развития является результатом критического повреждения генов, регулирующих формирование нервных структур толстой кишки. По мнению специалистов в области практической проктологии, возникновению аномалии Гиршпрунга способствуют:
- Отягощенное наследие. У 20% больных прослеживается семейный характер заболевания. Согласно результатам молекулярно-генетических исследований, при наследственных мутациях генов RET, GDNF, EDN3, ENDRB миграция нейробластов из волосистой части блуждающего нерва прерывается, вызывая аганглиоз кишечной стенки. В 12% случаев заболевания прослеживаются хромосомные аберрации, в 18% — дефект проявляется в структуре наследственных синдромов.
- Дисонтогенез. Ненаследственные формы заболевания связаны с влиянием внутриутробной вирусной инфекции, высокой радиации, мутагенных химических веществ, нарушающих дифференцировку нейробластов. Риск развития аномалии увеличивается при акушерской патологии и хронических заболеваниях беременной, сопровождающихся гипоксией тканей, — гестозе, кардиопатологии (гипертоническая болезнь, сердечная недостаточность), сахарном диабете.
Патогенез
Развитие болезни Гиршпрунга обусловлено нарушением эмбриогенеза, предположительно на 7-12 неделе беременности, когда формируются нервные сплетения Мейснера (в подслизистом слое толстой кишки) и Ауэрбаха (в мышечной оболочке кишечника). Из-за преждевременного прекращения миграции нейробластов или их недостаточной дифференцировки вместо типичных подслизистых и мышечно-кишечных сплетений с ганглиями нейроструктура кишечника представлена отдельными нервными волокнами и глиальными элементами.
Чем раньше завершится миграция нейробластов, тем обширнее будет аганглиозный участок стенки толстой кишки. Ацетилхолинэстераза накапливается в слизистом слое, вызывая спазм кишечника — патогномоничный признак аномалии Гиршпрунга. Из-за тонического спазма и отсутствия перистальтики денервированный сегмент становится функциональным препятствием для движения стула. Хроническая задержка кишечного содержимого приводит к постоянным запорам и значительному расширению вышележащего кишечника.
Классификация
Систематизация болезни Гиршпрунга проводится с учетом анатомических и клинических критериев. В зависимости от локализации аганглионарной области выделяют наиболее частую ректосигмодиальную форму заболевания, выявляемую у 70% пациентов, ректальную (до 25% случаев аномалии), субтотальную (3%), сегментарную (1,5%), всего (0,5%). По положению расширенного кишечника различают мегарект, мегазигму, левосторонний, субтотальный и тотальный мегаколон, мегаилеус. При диагностике кишечного аганглиоза Гиршпрунга учитываются особенности клинического течения:
- Детский вариант болезни. Выявляется почти у 90% пациентов. Для него характерно быстрое развитие, практически полное отсутствие самостоятельной дефекации и усиление признаков кишечной непроходимости. Операция обычно проводится в два этапа.
- Затяжной вариант аганглиоза. Дебюты у детей. Из-за небольшой длины денервированного сегмента развивается медленно. Для устранения запора давно применяют клизмы. Вы можете выполнять как двухфазные, так и однофазные операции.
- Скрытый вариант аномалии. Запор появляется в подростковом возрасте, при этом формирование хронической непроходимости толстой кишки происходит быстро. Для снятия запора нужны ежедневные клизмы. Восстановление калового прохода обычно происходит в два этапа.
При компенсированном течении самостоятельный стул сохраняется долгие годы, по мере развития заболевания на 3-7 дней возникают запоры, для разрешения которых требуются слабительные средства или клизмы. У пациентов с субкомпенсированным состоянием запор без слабительных и клизм продолжается более 7 дней. Декомпенсация болезни подчеркивается отсутствием самопроизвольной дефекации и позывом к дефекации, уплотнением кишечного содержимого и образованием каловых камней, неэффективностью консервативных методов опорожнения кишечника.
Симптомы болезни Гиршпрунга
Скорость развития клинической картины заболевания зависит от распространенности поражения кишечника. В большинстве случаев первые признаки появляются сразу после рождения ребенка, но иногда патология протекает бессимптомно, дебют наблюдается уже в подростковом возрасте и даже во взрослом возрасте. Основное проявление аганглиоза толстой кишки — хронические запоры и отсутствие желания испражняться. У 50% пациентов наблюдается припухлость и боль в брюшной полости, которые связаны с задержкой стула.
При длительном течении болезни формируются асимметрия живота и расширение кожной венозной сети. У некоторых пациентов может отмечаться активная перистальтика кишечника. При аганглиозе Гиршпрунга часто появляются признаки анемии: бледность кожи и слизистых оболочек, частые головокружения и нарушение работоспособности. Могут отмечаться симптомы общей интоксикации организма: тошнота и рвота, головная боль. Заболевание иногда сочетается с врожденной гетерохромией (неравномерным цветом радужной оболочки глаз).
Осложнения
В случае аганглиоза Гиршпрунга у пациентов нарушается пищеварение и всасывание питательных веществ, что в сочетании со снижением аппетита приводит к тяжелой гипотрофии вплоть до кахексии. Часто встречается железодефицитная анемия. Дети отстают в росте и физическом развитии. Длительный застой стула в кишечнике вызывает дисбактериоз, воспалительные изменения слизистой оболочки, которые могут проявляться парадоксальной диареей.
Наиболее опасными осложнениями болезни Гиршпрунга являются кишечная непроходимость, пролежня стенки с калом и перфорация кишечника. Возможен токсический мегаколон, для которого характерно расширение проксимального отдела кишечника и чрезмерный рост патогенной бактериальной флоры. Это состояние часто приводит к перитониту и сепсису из-за проникновения кишечных бактерий через патологически измененную стенку кишечника. При этом возникают сильные распространенные боли в животе, многократная рвота, лихорадка.
Диагностика
Болезнь Гиршпрунга можно заподозрить при наличии характерных физических признаков (пальпация исследуемой «опухоли» и появление «глиняного симптома» — следов сдавливания толстой кишки четко очерченными пальцами через переднюю стенку живота). Диагностическое исследование предполагает полное лабораторное и инструментальное обследование пациента, позволяющее подтвердить диагноз. Наиболее поучительными в диагностике аганглиоза являются:
- Ретроградный рентген толстой кишки. Обратное наполнение толстой кишки с помощью рентгеновского контрастирования позволяет визуализировать четкий переход между увеличенным проксимальным отделом кишечника и узким дистальным, не имеющим иннервации. Ирригоскопия также определяет отсутствие утомления толстой кишки.
- Эндоскопическое исследование прямой и сигмовидной кишки. Ригмоидоскопия и ректосигмоскопия выполняются без специальной подготовки пациента. При патологии Гиршпрунга выявляется спазматическая стенка кишечника, отсутствие кала. Проксимально имеется увеличенный отдел толстой кишки, заполненный твердым стулом.
- Цитоморфологический анализ по Свенсону. Гистология биопсии прямой и толстой кишки является «золотым стандартом» в диагностике заболевания. Для получения достоверных результатов биологический материал собирают вдоль задней стенки кишечника на 6 см, начиная от зубчатой линии. Кроме того, оценивается активность AChE.
- Манометрические исследования. Аганглиоз Гиршпрунга характеризуется отсутствием рефлекторного открытия сфинктера прямой кишки в ответ на повышение давления. Возникает несоответствие сокращений сфинктеров и прямой кишки. Аноректальная манометрия является важным диагностическим критерием и имеет чувствительность примерно 85%.
Изменения клинического анализа крови (лейкоцитоз, повышение СОЭ, токсическая зернистость нейтрофилов) возникают при осложненном варианте заболевания. В биохимическом анализе крови наблюдаются гипоальбуминемия, диспротеинемия. Если у пациента наблюдается парадоксальная диарея, проводится бактериологическое исследование кала для выделения патогенных возбудителей.
Аганглиоз Гиршпрунга в первую очередь необходимо дифференцировать от идиопатического мегаколона. Главный диагностический критерий — отсутствие подслизистых и межмышечных нервных ганглиев при биопсии кишечника. Обратите внимание на анамнез (начало заболевания в раннем детстве), данные исследований активности АХЭ и аноректальной манометрии. Для консультации пациентов, помимо специалиста-проктолога, по показаниям привлекаются инфекционист и хирург.
Лечение болезни Гиршпрунга
Пациентам с подтвержденным диагнозом рекомендуется операция по восстановлению проходимости кишечника путем удаления денервированного участка. Консервативные методы (коррекция нарушений обмена веществ, устранение запоров путем очищения, гипертонические и сифонные клизмы) используются на этапе диагностики и предоперационной подготовки. При откладывании консервативной терапии мегаколон прогрессирует, состояние пациента ухудшается, увеличивается риск послеоперационных осложнений.
При выборе объема и техники оперативного вмешательства учитывается длина аганглионарного сегмента, степень претенотического расширения и возраст пациента. Во время абдоминальной операции денервированный участок и патологически измененная увеличенная часть кишечника удаляются и создается колоректальный анастомоз. С учетом выбранной методики хирургического лечения патологии Гиршпрунга возможны два подхода к проведению плановых вмешательств:
- Одноэтапная операция. Показан при компенсированной форме заболевания и небольшой длине аганглионарного сегмента. Пораженный кишечник удаляется и сразу формируется анастомоз. Преимущество одноэтапного подхода — меньшая травматичность, однако при неверной оценке клинической ситуации увеличивается вероятность развития осложнений в послеоперационном периоде.
- Двухэтапная операция. Рекомендуется пациентам с субкомпенсированным и декомпенсированным вариантами заболевания, значительными изменениями толстой кишки над денервированной областью и расширенным аганглиозным сегментом. На первом этапе после резекции кишечника формируется колостома, которую через некоторое время ушивают с созданием анастомоза толстой кишки при реконструктивной операции.
Неотложное или неотложное вмешательство проводится при острой кишечной непроходимости, перфорации кишечника, пролежня кишечной стенки с калом. Операция проводится в виде резекции сигмовидной кишки, гемиколэктомии слева, колопроктэктомии с колостомией или илеостомии. В дальнейшем отхождение кишечного содержимого восстанавливается хирургическими методами. Амбулаторное клиническое обследование оперированных пациентов проводится еженедельно в течение одного месяца после операции, ежеквартально в течение года и ежегодно в течение 3 лет.
Прогноз и профилактика
Исход болезни Гиршпрунга зависит от времени ее обнаружения и степени поражения нервных узлов кишечника. Прогноз относительно благоприятный при ранней диагностике и хирургической коррекции. Без лечения младенческая смертность в первые месяцы жизни достигает 80%. В связи с врожденным характером патологии специфических мер профилактики не разработано. При появлении первых признаков заболевания следует немедленно обратиться к врачу, чтобы избежать развития серьезных осложнений.
Болезнь Гиршпрунга
Болезнь Гиршпрунга – врожденная аномалия иннервации нижнего отдела кишечника (обычно ограничивается ободочной кишкой), которая приводит к частичной или полной функциональной обструкции. Признаки включают запоры и вздутие живота. Диагноз ставится на основании ирригографии и ректальной биопсии. Благодаря анальной манометрии можно определить степень тяжести и оценить недостаточность расслабления внутреннего анального сфинктера. Лечение хирургическое.
Болезнь Гиршпрунга вызвана врожденным отсутствием вегетативных сплетений Мейснера и Ауэрбаха (аганглиоз) в стенке кишечника. Предполагаемая частота составляет 1 на 5000 живорожденных. Заболевание обычно ограничивается дистальной частью ободочной кишки (в 75% случаев), но так же может вовлечь всю ободочную кишку (в 5% случаев) или даже весь толстый и тонкий кишечник; области, в которых отсутствует иннервация, всегда смежны. В случае, если не вовлечена вся ободочная кишка, чаще болеют мужчины (соотношение мужчины:женщины = 4:1); в противном случае, гендерные различия отсутствуют.
Причиной аганглиоза считается недостаточность миграции нейробластов из нервного гребня. Существует значимый генетический компонент в этом заболевании и, по крайней мере, 12 различных генетических мутаций, связанных с болезнью Гиршпрунга. Вероятность данного заболевания среди членов семьи увеличивается с увеличением длины вовлечённого участка кишечника: от 3 до 8% в случаях, когда вовлечён дистальный отдел ободочная кишка, и до 20% – когда поражается весь толстый кишечник. Приблизительно у 20–25%% пациентов с болезнью Гиршпрунга есть другой врожденный порок развития, и приблизительно у 15% – генетическая аномалия (наиболее часто встречается синдром Дауна Синдром Дауна (трисомия 21) Синдром Дауна является аномалией 21-й хромосомы, может проявляться нарушением умственного развития, микроцефалией, небольшим ростом и характерным внешним видом. Диагноз предполагают на основании. Прочитайте дополнительные сведенияЗдравый смысл и предостережения
Приблизительно у 20–25% пациентов с болезнью Гиршпрунга есть другая врожденная аномалия
Перистальтика в пораженном сегменте отсутствует или патологическая, что приводит к непрерывному спазму гладкой мускулатуры, частичной или полной обструкции с накоплением кишечного содержимого, массивной дилятации вышерасположенных нормально иннервированных отделов кишечника. Пропустить патологические изменения практически невозможно.
Симптомы и признаки болезни Гиршпрунга
Симптомы зачастую проявляются в раннем детстве, хотя у некоторых болезнь не развивается вплоть до школьного или даже взрослого возраста.
В норме у 98% новорожденных выведение мекония из организма просходи в течении первых 24 часов жизни. Приблизительно у 50–90%% новорожденных с болезнью Гиршпрунга в первые 48 часов жизни меконий не выводится. У младенцев наблюдается запор, вздутие живота и, наконец, рвота – так же, как и при других формах периферической кишечной непроходимости. Иногда у младенцев с аганглиозом очень короткого сегмента развивается только легкий или непостоянный запор, часто перемежающийся с диареей, что приводит к задержке диагностики. У младенцев старшего возраста и детей симптомы и признаки могут включать анорексию, запор, отсутствие физиологических позывов к дефекации и при пальцевом ректальном исследовании пустую прямую кишку со стулом, пальпируемым выше в ободочной кишке, и стремительное прохождение стула после удаления пальца осматривающего (признак взрыва). Младенцы также могут отставать в росте. Реже у младенцев может присутствовать энтероколит Гиршпрунга Энтероколит Гиршпрунга Болезнь Гиршпрунга – врожденная аномалия иннервации нижнего отдела кишечника (обычно ограничивается ободочной кишкой), которая приводит к частичной или полной функциональной обструкции. Признаки. Прочитайте дополнительные сведенияДиагностика болезни Гиршпрунга
Ирригография с барием
Иногда используется ректальная манометрия
Диагноз болезни Гиршпрунга должен быть установлен, как можно быстрее. Чем дольше заболевание протекает без лечения, тем выше вероятность развития энтероколита Гиршпрунга Энтероколит Гиршпрунга Болезнь Гиршпрунга – врожденная аномалия иннервации нижнего отдела кишечника (обычно ограничивается ободочной кишкой), которая приводит к частичной или полной функциональной обструкции. Признаки. Прочитайте дополнительные сведенияПервоначально, как правило, проводят контрастную клизму с барием и/или ректальную аспирационную биопсию. Ирригография с барием может показать переход в диаметре между расширенной, нормально иннервируемой толстой кишкой, расположенной проксимальнее, и суженным дистальным сегментом (не имеющим нормальной иннервации). Ирригография с барием должна быть сделана без предварительной подготовки, которая может привести к расширению аномального сегмента, что делает исследование недиагностическим. Поскольку характерные признаки в неонатальном периоде могут и не наблюдаться, стоит провести рентген-исследование в течение 24 часов после опорожнения кишечника: если ободочная кишка по-прежнему заполнена барием, можно подозревать болезнь Гиршпрунга. Ректальная аспирационная биопсия может указать на отсутствие ганглиозных клеток. Можно провести окрашивание ацетилхолинэстеразой, чтобы выделить увеличенные нервные стволы. В некоторых центрах возможно проведение ректальной манометрии, которая может выявить нарушения моторики, характерные для аномальной иннервации. Дл постановки окончательного диагноза необходимо провести глубокую биопсию прямой или ободочной кишки для оценки степени заболевания и последующего объёма хирургического лечения.
Генетическое тестирование рутинно не используется, но может проводиться при наличии проявлений генетического синдрома.
Читайте также:
