Яремный лимфатический ствол. Классификация средостения
Добавил пользователь Евгений Кузнецов Обновлено: 22.11.2025
Правый лимфатический проток, ductus lumphaticus dexter, представляет собой сосуд длиной 10—12 мм, в который впадают (в 18,8 % случаев) правые подключичный, яремный и бронхо-средостенный стволы. Правый лимфатический проток, имеющий одно устье, встречается редко. Чаще (в 80 % случаев) он имеет 2—3 и более стволиков. Этот проток впадает в угол, образованный слиянием правых внутренней яремной и подключичной вен, или в конечный отдел внутренней яремной вены, или, очень редко, в подключичную вену. При отсутствии правого лимфатического протока (81,2% случаев) выносящие лимфатические сосуды лимфатических узлов заднего средостения и трахеоброн-хиальных узлов (правый бронхосредостенный ствол), правые
яремный и подключичный стволы впадают непосредственно в правый венозный угол, во внутреннюю яремную или подключичную вену у места их слияния друг с другом.
Яремный ствол (правый и левый), truncus jugularis (dexter et sinister), формируется из выносящих лимфатических сосудов латеральных глубоких шейных (внутренних яремных) лимфатических узлов соответствующей стороны. Каждый яремный ствол представлен одним сосудом или несколькими сосудами небольшой длины. Правый ствол впадает в правый венозный угол, в конечный отдел правой внутренней яремной вены или участвует в образовании правого лимфатического протока. Левый яремный ствол впадает непосредственно в левый венозный угол, во внутреннюю яремную вену или, в большинстве случаев, в шейную часть грудного протока.
Подключичный ствол (правый и левый), truncus subctavius (dexter et sinister), образуется из выносящих лимфатических сосудов подмышечных лимфатических узлов, главным образом верхушечных, и в виде одного ствола или нескольких стволиков направляется к соответствующему венозному углу. Правый подключичный ствол открывается в правый венозный угол или правую подключичную вену, правый лимфатический проток; левый подключичный ствол — в левый венозный угол, левую подключичную вену и примерно в половине случаев в конечную часть грудного протока.
127. Лимфатический узел как орган (строение, функции). Классификация лимфатических узлов.
По лимфатическим сосудам лимфа от органов и частей тела направляется к лимфатическим узлам — периферическим органам иммунной системы, выполняющим функции биологических фильтров. Лимфатические узлы располагаются, как правило, возле кровеносных сосудов, чаще рядом с крупными венами, обычно группами от нескольких узлов по десяти и более или, реже, по одному. С учетом особенностей положения (анатомо-топографический принцип), а также направления тока лимфы от органов (принцип регионарности) в теле человека выделяют около 150 регионарных групп лимфатических узлов (от лат. regio — область, участок). Исходя из этого, лимфатические узлы называют соответственно области их расположения: поясничные лимфатические узлы, nodi lymphdtici lumbales; подмышечные лимфатические узлы, nodi lymphdtici axilldres. В других случаях группа лимфатических узлов получает название кровеносного сосуда, рядом с которым она находится: чревные лимфатические узлы, nodi lymphdtici coelidci; подвздошные лимфатические узлы, nodi lymphdtici ilidci.
В некоторых областях тела человека группы лимфатических узлов располагаются в два слоя, одна группа над другой. Между такими группами обычно находится фасция. В подобных случаях узлы, лежащие на фасции, называются поверхностными, а лежащие под фасцией — глубокими: например, поверхностные паховые лимфатические узлы, nodi lymphdtici inguindles syperficidles, располагаются на широкой фасции бедра, а под фасцией лежат глубокие паховые лимфатические узлы, nddi lymphdtici inguindles profundi.
В полостях тела — грудной, брюшной, в полости таза лимфатические узлы лежат возле внутренних органов и на стенках полостей. Учитывая положение узлов, первые из них принято называть висцеральными (внутренностными) лимфатическими узлами, nodi lymphdtici viscerdles, В их число входят такие группы узлов, как средостенные, бронхолегочные, трахеобронхиальные лимфатические узлы — в грудной полости; околопрямокишечные, околомочепузырные, околоматочные — в полости таза. На стенках полостей располагаются париетальные (пристеночные) лимфатические узлы, nodi lymphdtici parietdles. К ним относятся окологрудинные, межреберные, верхние диафрагмальные лимфатические узлы — в грудной полости; поясничные, нижние надчревные, нижние диафрагмальные — в брюшной полости; подвздошные — общие, наружные и внутренние лимфатические узлы — в полости таза.
Лимфатические узлы имеют розовато-серый цвет, округлую, овоидную, бобовидную и даже лентовидную форму (рис. 82), размеры их от булавочной головки (0,5—1 мм) до крупного боба (30—50 мм и более в длину). Каждый лимфатический узел снаружи покрыт соединительнотканной капсулой. Внутри лимфатического узла имеются соединительнотканная (ретикулярная) строма и паренхима, представленная лимфоидной тканью (см. «Органы кроветворения и иммунной системы»). Здесь же находится система сообщающихся друг с другом каналов — лимфатических синусов, по которым лимфа течет через лимфатический узел. Под капсулой располагается подкапсульный (краевой) синус, уходящий своими концами непосредственно к воротам узла. От него в паренхиму лимфатического узла отходят промежуточные (вначале корковые, а затем мозговые) синусы, которые в области ворот органа переходят в воротный синус. В этот синус открывается также и подкапсульный синус.
К лимфатическому узлу лимфа поступает по приносящим лимфатическим сосудам, vasa afferentia. Эти сосуды в количестве 2—4 подходят к выпуклой стороне узла, прободают капсулу и впадают в подкапсульный (краевой) синус. Затем по этому синусу и по промежуточным, которые находятся в паренхиме узла и сообщаются друг с другом, лимфа поступает в воротный синус. Из воротного синуса выходят 1—2 выносящих лимфатических сосуда, vasa efferentia, которые покидают лимфатический узел (рис. 83). В просвете синусов мозгового вещества находится мелкоячеистая сеть, образованная ретикулярными волокнами и клетками (рис. 84). При прохождении лимфы через систему синусов лимфатического узла в петлях этой сети могут задерживаться инородные частицы, попавшие в лимфатические сосуды из тканей (микробные тела, погибшие и опухолевые клетки, пылевые частицы). В лимфу из паренхимы лимфатического узла поступают лимфоциты.
По выносящим лимфатическим сосудам лимфа от одних узлов направляется к лежащим на пути ее тока следующим лимфатическим узлам или коллекторным сосудам — лимфатическим стволам и протокам. В каждой регионарной группе лимфатические узлы соединяются друг с другом при помощи лимфатических сосудов. По этим сосудам лимфа течет от одних узлов к другим в направлении ее общего тока, в сторону венозного угла, образованного при слиянии внутренней яремной и подключичной вен. На своем пути от каждого органа лимфа проходит не менее чем через один лимфатический узел, а чаще через несколько. Например, на пути тока лимфы от желудка находится 6—8 узлов, от почки лимфа проходит через 6—10 лимфатических узлов. Только пищевод составляет исключение. От средней его части некоторые лимфатические сосуды впадают непосредственно в рядом лежащий грудной проток, минуя лимфатические узлы. Поэтому при раке пищевода опухолевые клетки могут с лимфой попасть прямо в грудной проток, а затем в кровь, не проходя через лимфатические узлы. Отдельные лимфатические сосуды печени в редких случаях также впадают непосредственно в грудной проток.
Яремный лимфатический ствол. Классификация средостения
Яремный лимфатический ствол. Классификация средостения
Главный выносящий сосуд, расположенный вдоль верхней полой и правой безымянной вен и их лимфатических узлов, через которые проходит ток лимфы преимущественно от сердца и правого легкого, впадает в правый подключичный или яремный лимфатический ствол. Из паратрахеальных лимфатических узлов, через которые проходит ток лимфы из обоих легких, пищевода и трахеи, главный лимфатический сосуд выносит лимфу чаще всего в яремный ствол.
Через бифуркационные лимфатические узлы проходит ток лимфы от всех основных органов грудной полости. Кроме того, надо иметь в виду, что в средостении лимфа может течь как в верхнем, так и в нижнем направлении.
Лимфа из грудного протока может ретроградно поступать в широкую сеть многочисленных лимфатических сосудов заднего средостения, создавая возможность для лимфогенного метастазирования в средостение опухолей отдаленных органов.
Все органы средостения находятся в интимных и сложных взаимоотношениях и отделены друг от друга тонкими, едва заметными соединительнотканными прослойками. Средостение в целом со всеми заключенными в нем органами обладает способностью смещаться, что особенно выражено у детей. Дыхание, сердечно-сосудистая и мышечная деятельность человека обусловливают постоянные движения и изменения положения средостения и отдельных его органов.

Значительные смещения органов средостения наблюдаются при различных патологических процессах как в самом средостении, так и в соседних с ним органах грудной клетки.
Средостение принято делить продольно условной границей на два отдела: передний и задний. Ряд авторов предлагает, кроме того, делить переднее и заднее средостение еще на два отдела. Так, Б. К. Осипов различает в средостении передне-верхний, передне-нижний, задне-верхний и задне-нижний отделы. Е. М. Тареев считает целесообразным при оценке симптомов сдавления медиастинальных органов делить средостение на верхнее, переднее и заднее, а В. Г. Вогралик — на переднее, задне-верхнее и задне-нижнее.
В иностранной литературе получило распространение деление средостения на три отдела. Твайнинг (Twining), например, предлагает делить средостение (при боковом положении больного за экраном) на переднее, или так называемое ретро-стернальное пространство, среднее, или центральное, средостение, в котором заключены главным образом сердце и крупные сосуды, и заднее средостение, или так называемое ретро-кардиальное пространство, включающее трахею и начало главных бронхов с лимфатическими узлами, пищевод, дугу и нисходящую аорту.
Вместе с тем известно, что средостение делится не только условной, как это считают почти все авторы, но и анатомической границей. Так, например, Л. А. Мейер в результате тщательно проведенных исследований средостения на 79 трупах установил, что существует анатомическая перегородка между передним и задним средостением. Эта перегородка, или septum mediastinorum, как ее называет автор, имеет вид тонкой фасциальной пленки, лежащей кпереди от трахеи и бронхов и позади перикарда. Внизу она вплетается в диафрагму, по бокам — в медиастинальные листки плевры.
Наличием этой анатомической перегородки, по мнению автора, и объясняется известный в хирургии факт препятствия прохождению гноя при медиастинитах из одного отдела средостения в другой. Однако в приведенной работе остался неясным ряд важных вопросов, как, например, к какому отделу средостения относятся паратрахеальные и бифуркационные лимфатические узлы, и т. п.
Информация на сайте подлежит консультации лечащим врачом и не заменяет очной консультации с ним.
См. подробнее в пользовательском соглашении.
Топография лимфатических узлов легких и средостения / Картирование лимфатических узлов при раке легкого (перевод)
Это обновление статьи 2007, в которой для стадирования рака легких (MD-ATS карты) использовалось деление регионарных лимфатических узлов по Mountain-Dresler (1).
С целью согласования различий используемых в классификациях Naruke и MD-ATS, в 2009 году Международная ассоциация по изучению рака легкого (IASLC) предложила классификацию регионарных лимфатических узлов.
В этой статье представлены иллюстрации и КТ-изображения для лучшего понимания этой классификации.
Классификация регионарных лимфатических узлов IASLC 2009 г.

Надключичные лимфатические узлы
1 Нижние шейные, надключичные и лимфатические узлы вырезки грудины (левые и правые).
Располагаются по обе стороны от срединной линии трахеи в нижней трети шеи и надключичных областях, верхней границей является нижний край перстневидного хряща, нижней - ключицы и яремная вырезка рукоятки грудины .
Верхние медиастинальные лимфатические узлы 2-4
2L Левые верхние паратрахеальные располагаются вдоль левой стенки трахеи, от верхнего края рукоятки грудины до верхнего края дуги аорты.
2R Правые верхние паратрахеальные располагаются вдоль правой стенки трахеи и спереди от трахеи до ее левой стенки, с уровня верхнего края рукоятки грудины до нижней стенки левой плечеголовной вены в зоне пересечения с трахеей.
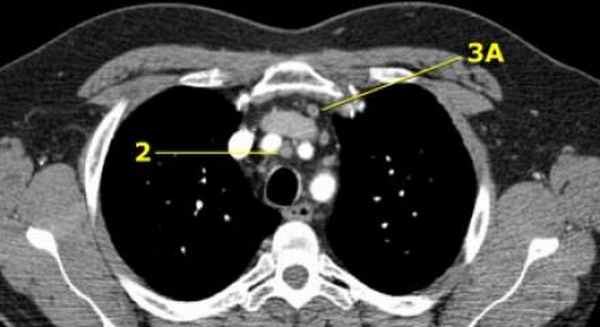
3А Преваскулярные лимфатические узлы не примыкают к трахее как узлы 2 группы, а располагаются кпереди от сосудов (от задней стенки грудины, до передней стенки верхней полой вены справа и передней стенки левой сонной артерии слева)
3P Превертебральные(Ретротрахеальные) располагаются в заднем средостении, не примыкают к трахее как узлы 2 группы, а локализуются кзади от пищевода.
4R Нижние паратрахеальные от пересечения нижнего края плечеголовной вены с трахеей до нижней границы непарной вены, вдоль правой стенки трахеи до ее левой стенки.
4L Нижние паратрахеальные от верхнего края дуги аорты до верхнего края левой главной легочной артерии
Аортальные лимфатические узлы 5-6
5. Субаортальные лимфатические узлы располагаются в аортопульмонарном окне, латеральнее артериальной связки, они расположены не между аортой и легочным стволом, а латеральнее них.
6. Парааортальные лимфатические узлы лежат спереди и сбоку от восходящей части дуги аорты
Нижние медиастинальные лимфатические узлы 7-9
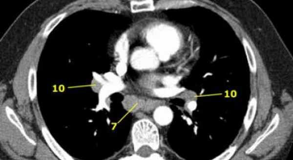
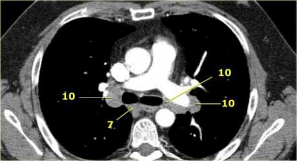
7. Подкаринальные лимфатические узлы.
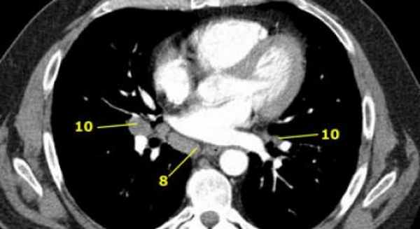
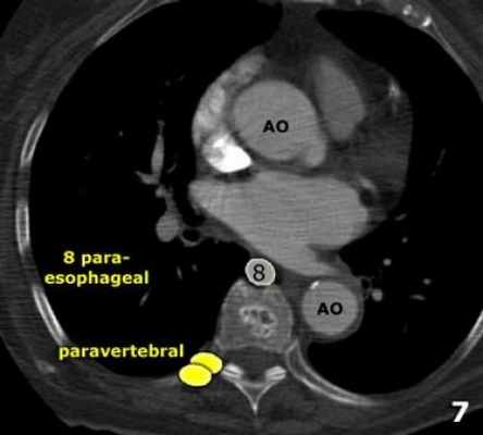
8. Параэзофагеальные лимфатические узлы. Лимфатические узлы ниже уровня карины.
9. Узлы легочной связки. Лежат в пределах легочной связки.
Корневые, долевые и (суб) сегментарные лимфатические узлы 10-14
Все эти группы относятся к N1 лимфатическим узлам.
Узлы корня легкого располагаются вдоль главного бронха и сосудов корня легкого. Справа они распространяются от нижнего края непарной вены до области деления на долевые бронхи, слева – от верхнего края легочной артерии.
Систематизация лимфатических узлов легких и средостения

1. Надключичные лимфатические узлы
В эту группу входят нижние шейные, надключичные и лимфатические узлы вырезки грудины.
Верхняя граница: нижний край перстневидного хряща.
Нижняя граница: ключицы и яремная вырезка рукоятки грудины.
Средняя линия трахее является границей между правой и левой группами.

2R. Правые верхние паратрахеальные лимфатические узлы
Располагаются до левой стенки трахеи.
Верхняя граница: верхний край рукоятки грудины.
Нижний край: пересечение нижнего края плечеголовной вены с трахеей.
2L. Левые верхние паратрахеальные лимфатические узлы
Верхняя граница: верхний край рукоятки грудины.
Нижний край: верхний края дуги аорты.
На изображении слева представлены 2 лимфатических узла кпереди от трахеи, то есть 2R, так же виден небольшой преваскулярный лимфатический узел 3A группы.

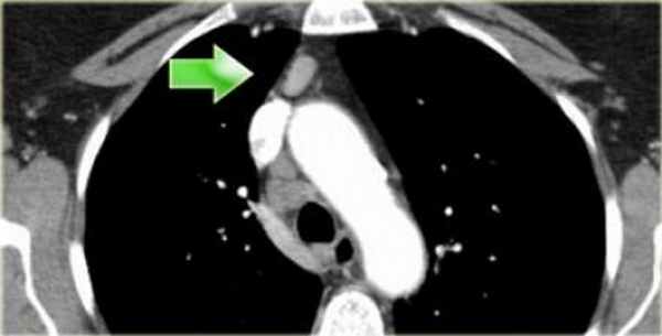
3. Праваскулярные и превертебральные лимфатические узлы
Лимфатические узлы 3 группы не примыкают к трахее в отличии от лимфатических узлов 2 группы.
Они подразделюятся на:
3А кпереди от сосудов
3Р позади пищевода/превертебрально
Они не доступны при медиастиноскопии. 3Р группа может быть доступна при чреспищеводной эхокардиографии.

На изображении слева 3А узел в преваскулярном пространстве. Обратите внимание так же на ниже расположенные паратрахеальные узлы справа относящиеся к 4R группе.

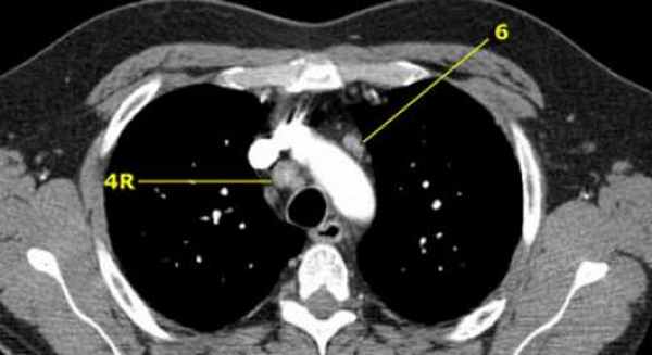
4R. Правые нижние паратрахеальные лимфатические узлы
Верхняя граница: пересечение нижнего края левой плечеголовной вены с трахеей.
Нижняя граница: нижний края непарной вены.
4R узлы распространяются до левого края трахеи.

На изображении слева мы видим 4R паратрахеальные узлы. Кроме того здесь представлен узел кнаружи от дуги аорты, то есть 6 группы.

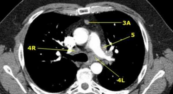
4L. Левые нижние паратрахеальные лимфатические узлы
4L узлы расположенные слева от левой стенки трахеи, между горизонтальными линиями проведенными касательно верхней стенке дуги аорты и линией проходящей через левый главный бронх на уровне верхнего края верхнедолевого бронха. Они включают паратрахеальные узлы расположенные кнутри от артериальной связки.
Узлы 5 группы (аортопульмонального окна) расположены кнаружи от артериальной связки.

На левом изображении над уровнем легочного ствола представлены нижние паратрахеальные узлы слева и справа, так же здесь представлены узлы 3 и 5 групп.

Изображение слева выше уровня карины. Слева от трахеи 4L узлы. Обратите внимание что они расположены между легочным стволом и аортой, но не в аортопульмональном окне, потому что они лежат медиальнее артериальной связки. Лимфатические узлы латеральнее легочного ствола относятся к 5 группе.

5. Субаортальные лимфатические узлы
Субаортальное или аортопульмональное окно расположено кнаружи от артериальной связки и проксимальнее первой ветви левой легочной артерии и лежит в пределах медиастинальной плевры.
6. Парааортальные лимфатические узлы
Парааортальные лимфатические узлы лежат кпереди и кнаружи от восходящего отдела аорты и между верхним и нижним краями дуги аорты.

7. Подкаринальные лимфатические узлы
Эти лимфатические узлы расположены ниже уровня бифуркации трахеи (карины), но не относятся к нижнедолевым бронху и артерии. Справа они располагаются каудальнее нижней стенки промежуточного бронха. Слева они располагаются каудальнее верхней стенки нижнедолевого бронха.
Слева лимфатический узел 7 группы справа от пищевода.

8. Параэзофагеальные лимфатические узлы
Эти лимфатические узлы ниже подкаринальных лимфатических узлов и распространяются каудальнее до диафрагмы.
На изображении слева ниже уровня карины справа от пищевода обозначен лимфатический узел 8 группы.
На ПЭТ изображении слева показано накопление 18Р-дезоксиглюкозы в узле 8 группы. На соответствующем КТ изображении видно что данный лимфатический узел (голубая стрелка) не увеличен. Вероятность того что в имеется метастатическое поражение данного узла чрезвычайно высока, поскольку специфичность ПЭТ выше чем измерение размеров лимфатических узлов.

9. лимфатические узлы легочной связки
Данные лимфатические узлы лежат в пределах легочной связки, в том числе и по ходу нижней легочной вены. Легочная связка представлена дупликатурой медиастинальной плевры охватывающей корень легкого.

10. лимфатические узлы корня легкого
Лимфатические узлы корня расположены проксимальнее долевых узлов, но дистальнее медиастинальной дупликатуры и узлов промежуточного бронха справа.
Все лимфатические узлы 10-14 групп являются N1 узлами, так как они находятся вне средостения.
Группы лимфатических узлов на аксиальных компьютерных томограммах








1. лимфатические узлы вырезки грудины видны только на этом уровне и выше него
2. верхние паратрахеальные лимфатические узлы: ниже ключиц , справа над пересечением нижнего края левого плечеголовного ствола и трахеи, а слева над дугой аорты
3. Преваскулярные и ретротрахеальные: кпереди от сосудов (3А) и превертебральные (3Р)
4. Нижние паратрахеальные: ниже верхнего края дуги аорты до уровня главного бронха
5. Субаортальные (аортопульмональное окно): лимфатические узлы кнаружи от артериальной связки или кнаружи от аорты или левой легочной артерии.
6. Парааортальные: узлы лежащие кпереди и кнаружи от восходящего отдела аорты и дуги аорты под верхним краем дуги аорты.
7. Субкаринальные лимфатические узлы.
8. Параэзофагеальные лимфатические узлы (ниже карины).
9. Лимфатические узлы легочной связки: лежат в пределах легочной связки.
10-14 лимфатические узлы N1

Медиастиноскопия и чреспищеводная УЗИ
Лимфатические узлы доступные для биопсии при медиастиноскопиии: верхнием паратрахеальные узлы 2L И 2R групп, правые и левые нижние паратрахеальные лимфатические узлы 4R и 4L групп, подкаринальные лимфатические узлы 7 группы. 1 группа расположена выше надгрудинной вырезки и не доступна при рутинной медиастиноскопии.

Расширенная медиастиноскопия
Опухоли левой верхней доли могут метастазировать в субаортальные (5 группа) и парааортальные лимфатические узлы (6 группа). Эти узлы недоступны для биопсии при рутинной медиастиноскопии. Расширенная медиастиноскопия является альтернативой для парастернально медиастинотомии. Эта процедура используется реже в связи с более высоким риском осложнений.

Тонкоигольная аспирационная биопсия под контролем УЗИ
Может применятся для всех лимфатических узлов доступных УЗИ визуализации из пищевода. В частности обеспечивается доступ к лимфатическим узлам нижнего средостения (7-9 группы). Кроме того при данной виде исследования для визуализации доступны левая доля печени и левый надпочечник.
Контрастирование грудного лимфатического протока (лимфангиография)
Лимфатическая система состоит из внутриорганных лимфатических капилляров, внутриорганных лимфатических сосудов и внеорганного лимфатического сосудистого русла, включающего приносящие (афферентные) сосуды, выносящие (эфферентные) сосуды, регионарные лимфатические узлы и лимфатические протоки. По лимфатическим капиллярам и сосудам, через лимфатические узлы и протоки движется лимфа [1]. Направление тока лимфы задается клапанами, расположенными в просвете сосудов.
Грудной проток (ductus throracicus) – основной лимфатический коллектор, собирающий лимфу из большей части тела животных. Более ¾ всей лимфы проходит через него. Минует грудной проток только лимфа, оттекающая от правой половины груди, головы, шеи и правой грудной конечности, – она вливается в правый лимфатический проток. Грудной проток формируется в забрюшинной клетчатке путем слияния крупных лимфатических стволов. Начальная часть протока – млечная цистерна. Грудной проток идет вдоль каудальной полой вены, проходит через аортальное отверстие диафрагмы в заднее средостение, где находится между нисходящей аортой и непарной веной. Затем грудной проток отклоняется влево и над дугой аорты выходит из-под левого края пищевода. Дугообразно изгибается и впадает в венозное русло в месте слияния левой и правой яремных вен или в месте слияния яремной и подключичной вены [2]. У животных грудной проток обычно состоит из нескольких ветвей-коллатералей. Скорость лимфотока в грудном протоке кошки – 2 мл/кг/час. Может возрастать в 10 раз после поедания жирного корма [7].
1 - Околоушный лимфатический узел
2 - Нижнечелюстные лимфатические узлы
3 - Заглоточный медиальный лимфатический узел
4 - Поверхностные шейные лимфатические узлы
5 - Глубокие шейные лимфатические узлы
6 - Краниальные лимфоузлы средостения
7 - Грудинные лимфатические узлы
9 - Трахеобронхиальные лимфатические узлы
10 - Легочные лимфатические узлы
11 - Подмышечный лимфатический узелы
12 - Добавочный подмышечный лимфатический узел
13 - печёночные (портальные) лимфатические узлы
14 - Лимфатические узлы селезёнки
15 - Лимфатические узлы желудка
16 - Лимфатические узлы двенадцатиперстной кишки
17 - Лимфатические узлы тощей кишки
18 - Лимфатические узлы ободочной кишки
19 - Каудальные брыжеечные лимфатические узлы
20 - Поясничные аортальные лимфатические узлы
21 - Почечные лимфатические узлы
22 - Медиальные подвздошные лимфатические узлы
23 - Тазовые лимфатические узлы
24 - Глубокие паховые лимфатические узлы
25 - Подколенный лимфатический узел
26 - Поясничный лимфатический ствол
27 - Млечная цистерна
28 - Кишечный ствол
28 - Трахеальный ствол
30 - Правый лимфатический проток
31 - Грудной проток
Визуализировать грудной проток необходимо для того, чтобы оценить функцию лимфатических узлов и протоков, их целостность, визуализировать новообразование, связанное с лимфатическим узлом или протоком. Наиболее часто такие исследования проводят при хилотораксе – исследуется анатомия и проходимость грудного лимфатического протока.
Виды лимфографии
На рентгенограммах и компьютерных томограммах лимфатические сосуды и протоки не видны. Для того чтобы сделать их видимыми, нужно их просвет заполнить рентгеноконтрастным веществом. Прямая лимфангиография – рентгеноконтрастное вещество вводят непосредственно в лимфатический сосуд или лимфатический узел (хотя, если быть точным, введение контраста в лимфатический узел с целью законтрастировать эфферентный сосуд называют отдельным термином – лимфангиоаденография).
Непрямая лимфангиография основана на способности лимфатических капилляров всасывать водорастворимые и масляные рентгеноконтрастные вещества, которые вводят в кожу, подкожную клетчатку или мышечную ткань. Таким путем создается «депо» вещества. Из этого «депо» рентгеноконтрастные растворы по отводящим из мягких тканей лимфатическим сосудам проникают в лимфоузлы и делают их доступными для рентгенологического исследования.В ветеринарной практике применяют прямую лимфангиографию.
Лимфангиоаденография с инъекцией в подколенный лимфатический узел
Наиболее удобны для инъекции контрастного препарата подколенные лимфатические узлы. Подколенный лимфатический узел (ln. popliteus) – бобовидной формы, длиной до 3 см (у собак) – лежит на проксимальной части икроножной мышцы, через него проходит вся лимфа от дистально расположенных органов тазовой конечности, кожи, заднебедренной группы разгибателей тазобедренного сустава. Отток лимфы из него осуществляется в медиальный подвздошный лимфоузел [1, 8]. Описана пункция этого лимфатического узла под контролем УЗИ [3, 4]. При этом используют линейный датчик 9 МГц. В качестве рентгеноконтрастного вещества обычно используют йогексол с концентрацией йода 300 мг/мл («Омнипак-300»). Объем вводимого препарата зависит от размеров животного. Для кошки это около 1,5-2 мл [3], вводится медленно, через иглу калибра 25G – 27G. Для собак рекомендуется введение йогексола в дозе 1 мл/кг. Контрастное вещество вводится с помощью механических шприцевых инжекторов с постоянной скоростью, рекомендуется скорость введения для собак 1,67 мл/мин [4]. Во время введения проводят УЗИ-мониторинг – контролируют отсутствие вытекания препарата в окружающие ткани.
В случаях, когда подколенный лимфатический узел удается пальпировать, мы использовали более простой вариант. Процедура проводится под наркозом. Используют «устройство для вливания в малые вены» (то есть «иглу-бабочку») калибра 25G или 27G.
Место инъекции готовится по правилам асептики и антисептики. Кожная складка с лимфоузлом удерживается пальцами левой руки. В центр лимфатического узла вводится игла. Ассистент подсоединяет шприц и вводит рентгеноконтрастный препарат. Кошкам вводится 2 мл, собакам – 0,3-0,5 мл/кг «Омнипак-300». Важный момент: вводим медленно. Для кошки мы используем скорость введения около 0,1-0,15 мл/мин, для крупной собаки – около 0,5 мл/мин. Вводим вручную, прерывисто: кошке 1 раз в минуту 0,1-0,15 мл, собаке – 1 раз в минуту 0,5 мл (между введениями лимфатический узел не отпускаем, иглу не извлекаем).
Если вводить быстрее, то избыток контрастного вещества может выходить через прокол (вдоль иглы) в окружающие ткани.Нужно стараться не повредить лимфатический узел, пунктировать его с первого раза. В противном случае значительное количество контрастного вещества попадет в окружающие ткани. Это нежелательно по двум причинам: во-первых, не удастся оценить, какое количество контраста попало в лимфатическую систему, во-вторых, не получится создать избыточное давление, которое необходимо для быстрого и полного заполнения лимфатических путей. Если возникли сомнения, что игла находится в лимфоузле, то после введения 25% запланированного количества препарата, не извлекая иглы, делаем контрольную рентгенограмму или сканирование. Если выявлено поступление контрастного вещества в эфферентный сосуд, а выход контрастного вещества за пределы лимфатического узла незначителен, значит, игла расположена правильно.
Рентгенограммы или томография делается сразу по окончании введения. При необходимости проводятся дополнительные исследования (через 5, 10, 15 минут).
Лимфангиография с катетеризацией лимфатического сосуда брыжейки
При лапаротомии в лимфатический сосуд брыжейки устанавливается и фиксируется катетер. К катетеру присоединяют магистраль. Закрывают рану. Через магистраль вводят контрастное вещество. Производят рентгенографию или КТ.
Лимфангиография с инъекцией в мезентериальный (брыжеечный) лимфатический узел
1. При лапаротомии препарат вводят в толщу брыжеечного лимфатического узла.
Закрывают рану. Делают рентгенографию или КТ.
2. При лапароскопии проводят иглу в брыжеечный лимфатический узел. Вводят
препарат. Делают рентгенографию или КТ.
3. Под контролем УЗИ длинной иглой прокалывают брюшную стенку и проводят
иглу в толщу брыжеечного лимфатического узла. Делают рентгенографию или КТ [6].
Мы вводили кошке 1,5 мл «Омнипак-300» в толщу брыжеечного лимфатического узла.
Вводить нужно медленно, следя за тем, чтобы препарат не начал вытекать через место
прокола (вдоль иглы). Делали томографию через 8 минут после введения. Повторно – через 20 минут. На обеих сериях грудной проток визуализировался хорошо.
Возможности ультразвукового исследования средостения при внутригрудном распространении опухоли щитовидной железы

Лидер продаж в высоком классе. Монитор 21,5" высокой четкости, расширенный кардио пакет (Strain+, Stress Echo), экспертные возможности для 3D УЗИ в акушерско-гинекологической практике (STIC, Crystal Vue, 5D Follicle), датчики высокой плотности.
Введение
При увеличении щитовидной железы различного генеза в 5-8% случаев часть ее располагается в грудной полости [1]. Среди опухолей средостения загрудинный зоб составляет до 19,5% [2]. Патологию средостения обычно выявляют при рутинном рентгенологическом исследовании. Дифференциальная диагностика внутригрудного компонента щитовидной железы с другими опухолями средостения, увеличенными лимфатическими узлами, аневризмой аорты, парамедиастинальными плевритами и другими патологическими изменениями средостения, сложна. Для дифференциальной и уточняющей диагностики опухолей средостения в настоящее время в основном применяют рентгеновскую компьютерную томографию (РКТ) и магнитно-резонансную томографию (МРТ), используют также малоинвазивные хирургические методы диагностики (медиастиноскопия, торакроскопия). При подозрении на внутригрудной компонент опухоли щитовидной железы информативно также радиоизотопное сканирование щитовидной железы. Однако процент ошибок в диагностике опухолей средостения до сих пор достаточно велик [3].
Ультразвуковое исследование (УЗИ) в настоящее время является ведущим методом первичной и уточняющей диагностики, а также динамического наблюдения при патологии щитовидной железы. Однако большинство авторов, описывая методику и возможности УЗИ при заболеваниях щитовидной железы, не рассматривают возможности применения метода для изучения внутригрудного распространения процесса. Распространено мнение о неэффективности метода в этой ситуации. Несмотря на детально разработанную К. Werneke и др. [4, 5] методику УЗИ средостения, публикации об ее использовании для диагностики внутригрудного компонента щитовидной железы единичны 8. Публикаций, посвященных УЗИ пораженных внутригрудных лимфатических узлов при раке щитовидной железы, в доступной литературе мы не нашли.
Цель настоящего исследования - определить возможности УЗИ в изучении поражения средостения у больных с патологией щитовидной железы.
Материалы и методы
За период с 1991 по 2006 г. мы обследовали более 4000 больных с различной патологией щитовидной железы. Из 72 больных (возраст от 15 до 75 лет) было обнаружено поражение средостения: внутригрудной компонент опухоли щитовидной железы диагностирован у 32 (44,4%) больных, рецидив зоба в грудной полости - у 2 (2,8%), метастатическое поражение внутригрудных лимфатических узлов - у 34 (47,2%), сочетание опухоли щитовидной железы с лимфогранулематозом - у 3 (4,2%) и с саркоидозом - у 1 (1,4%) больной.
Всем больным в процессе комплексного обследования выполнено УЗИ щитовидной железы и областей регионарного лимфооттока (надключичных областей и на всем протяжении шеи) по стандартной методике, а также чрескожное УЗИ средостения по модифицированной нами методике, разработанной К. Werneke. УЗИ средостения с целью первичной дифференциальной и уточняющей диагностики проводили после клинического обследования независимо от данных рентгенологического исследования, РКТ, МРТ и других инструментальных методов.
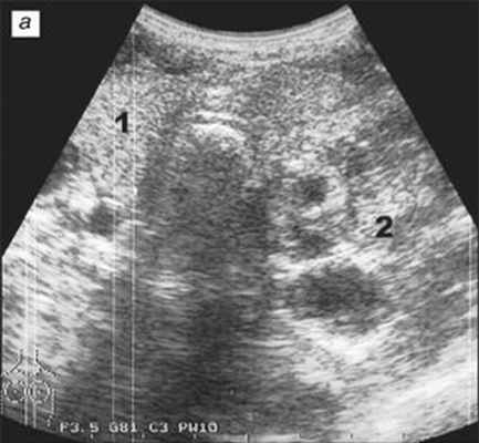
Исследование щитовидной железы, областей регионарного лимфооттока и средостения выполняли при положении больного на спине с запрокинутой назад головой. При необходимости под плечи больного подкладывали небольшой валик. Это позволяло больным даже с короткой шеей запрокинуть голову достаточно далеко, чтобы выполнить полноценное исследование. После окончания осмотра щитовидной железы и областей регионарного лимфооттока по стандартной методике высокочастотным линейным датчиком (7-10 МГц) переходили к осмотру средостения. Для УЗИ средостения использовали конвексные датчики с частотой 3-5 МГц и с малым радиусом. Осмотр средостения проводили из яремного доступа и надключичных доступов (рис. 1, 2). Качательными движениями датчика выполняли поперечные, сагиттальные и косые эхотомограммы (ультразвуковой луч направляли кзади и каудально). Анатомическими ориентирами служили крупные сосуды средостения (дуга аорты, плечеголовной ствол, правая и левая сонные артерии, правая и левая подключичные артерии, правая и левая плечеголовные вены, верхняя полая вена), а также трахея. УЗИ средостения из парастернальных областей производили на уровне первых четырех межреберий, выполняя эхотомографические срезы в горизонтальных, сагиттальных и косых плоскостях.

а) Поперечное сканирование: 1 - неизмененная правая доля; 2 - большой узел в левой доле.
Читайте также:
