Заячья губа и расщелина неба
Добавил пользователь Владимир З. Обновлено: 19.12.2025
Любимые знают, что ласково называть «зайчиками» или «заями» их ни в коем случае нельзя. Если любимые есть. Многие из людей с расщелинами губы и неба жалуются на тотальное одиночество и с детства комплексуют по поводу своей внешности.
Один мужчина, с которым мы пообщались, с горечью называет себя «наследием чернобыльской АЭС». После аварии в Припяти количество детей, рождающихся с расщелинами губы и неба, действительно значительно возросло. В России говорят об одном ребенке с расщелиной на 800 новорожденных.
Причин увеличения количества детей с этим диагнозом много.
– Во Франции таких детей называют «детьми субботы». Догадываетесь, почему? – профессор Геннадий Гончаков, возглавляющий московский институт врожденных заболеваний челюстно-лицевой области, за 40 лет работы провел больше 20 тысяч операций по удалению расщелин. – Из-за субботнего отдыха, даже отрыва.
Но такими категоричными быть нельзя. Причины чаще всего комплексные. Да, безусловно, употребление будущей мамой алкоголя, сигарет и наркотических веществ существенно увеличивает риск рождения ребенка с расщелиной. Но не меньше риска от вирусных заболеваний в первом триместре беременности, плохой экологии, стрессов различного характера, побоев.
У меня была на приеме женщина, которая занималась верховой ездой во время беременности и родила ребенка с расщелиной. В институте нам говорили, что есть вероятность возникновения расщелины у плода даже во время простой тряски в трамвае, хотя, казалось бы, это вообще мелочь.
– Знаю кучу людей, которые курят и пьют, но рожают нормальных детей. А мои мама и папа вели здоровый образ жизни, и родилась «ошибка природы», – зло бросает Екатерина К.
В истории болезни Екатерины сложный медицинский термин «хейлосхизис». Ему соответствуют бытовые «заячья губа» и «волчья пасть». Это общеизвестные, но невежливые наименования врожденного дефекта.
Люди с расщелиной признаются, что вообще в своей жизни не так часто сталкиваются с вежливостью.
– Очень много неприятных воспоминаний, но больше не из-за прямых оскорблений, а из-за бестактных вопросов и неудачных шуток, – поеживается Елена, которая, как и многие герои этого материала, по понятным причинам просит не называть ее фамилию. – В институте было попроще, научилась спокойнее реагировать на вопрос «откуда шрам?» Но и сейчас особенно одаренные люди пытаются проявить участие предложением сделать пластику. Сразу хочется спросить в ответ, оплатят ли они мне ее, посидят ли во время операции с ребенком.
Граффити в городе Припять. «После аварии в Припяти количество детей, рождающихся с расщелинами губы и неба, действительно значительно возросло».Фото с сайта utopia.house
«Не знаю, как полюбить себя»
– Мне недавно психолог сказала: «Отпусти свое прошлое». Смешная такая тетенька. Насмешки, издевки – легко ли это отпустить? Иногда накрывает так, что жить не хочется, – подбирает слова Анна Заяц из Донецка. – Многие сочувствующе говорят: «Я тебя понимаю». Но понять не может тот, кто сам не прочувствовал, не «прохавал».
Как в песне Земфиры – «эти шрамы не про вас».
Приятели Анны по диагнозу, которые понять могут, сочувствуют по другому поводу. «Злую шутку с тобой судьба сыграла. Никогда не думала сменить фамилию?» – часто пишут ей в соцсетях.
– До последнего времени думала сменить фамилию. Особенно в детстве было сложно. Ты знаешь свой диагноз, знаешь, что в народе его называют «заячья губа», поэтому когда к тебе обращаются «Зайчиха», мягко сказать, неприятно. Но потом прошло. Поняла, что фамилия у меня вообще прикольная!
Сейчас меня все Заей зовут, воспринимаю это уже по-другому, – рассказывает девушка. – Но фамилию обязательно сменю. Когда выйду замуж!
Анне 24 года. Она мечтает о семье. Но еще в 16, видя воодушевленные сборы дочери на свидание, ее мама задала неосторожный вопрос: «А он тебя видел близко?» С тех пор этот вопрос не дает Ане покоя. «Когда я с кем-то знакомлюсь, мне кажется, что человек только и смотрит на мой шрам. Что он не может не обращать внимания на то, как я улыбаюсь и говорю. Но знаю точно, что такая зацикленность не у меня одной. У всех нас такое».
Именно поэтому девушка говорит, что с радостью видела бы в будущем муже человека с таким же диагнозом. Может быть, с ним Аня перестанет стесняться.
– Есть замечательная фраза «полюби себя, и другие тоже тебя полюбят». Но я не знаю, как полюбить себя, – выдыхает девушка.
«Я никогда не считала себя красивой»
– Я никогда не считала себя красивой, но сейчас каждый день слышу от любимого мужа, что я самая красивая. И ему я верю. Мне не нужно быть признанной красавицей, гораздо важнее знать, что главный для тебя человек принимает тебя такой, какая ты есть, – по привычке улыбается одними уголками губ Марина Семенова.
С Андреем, своим будущим мужем, Марина познакомилась по переписке. Их разделяло 380 километров. Сережа регулярно предлагал встретиться, но Марина боялась, что, увидев ее, парень потеряет к ней интерес, и придумывала различные отговорки. Наконец, Андрей поставил вопрос ребром, а уже через шесть часов приехал к понравившейся девушке знакомиться лично.
– Поначалу очень неудобно себя чувствовала. Прятала лицо, старалась не смотреть в глаза. Думала, что из-за своей неуверенности все испорчу, с грустью провожала его на поезд как будто навсегда, – теперь уже со смехом вспоминает Марина.
Но не успела она переварить эту мысль, как раздался звонок телефона. Голосом Андрея трубка уверяла Марину, что она не только самая красивая, но и самая нужная, и девушка начала оттаивать и верить. Молодой человек стал приезжать каждые выходные, а потом предложил обвенчаться.
Сейчас Марина и Андрей – счастливые родители двухлетнего сына. Малыша назвали в честь папы. С мужем они знакомы уже шесть лет, и ни разу за это время он не спросил, что с губой Марины.
«Родила инвалида – воспитывай»
Когда результаты УЗИ показали, что у ребенка расщелина губы и неба, мать Марии посоветовала делать аборт. Мария родила наперекор, заранее дав себе установку любить малыша таким, какой он есть. Не поддержал и супруг.
Четыре года они прожили в браке, но, увидев сына, муж сказал: «Родила инвалида – воспитывай». И ушел.
В чем была ее вина, женщина не знала. В их семье – как и у многих – это был первый случай хейлосхизиса. Врачи разводили руками: генетика, такое бывает. Мария же решила руками не разводить, а наоборот сжать их в кулаки и бороться за здоровье сына. Позже мать извинилась и окружила внука бабушкиной заботой, муж извинился и дал супруге и сыну ту любовь, которой они заслуживают. Семья сообща готовится к новой операции малыша.
– Муж плакал, винил во всем себя, – делится своей историей москвичка Ирина Михайлова, два самых близких человека которой – муж и сын – родились с расщелиной губы и неба. – Я впала в страшную депрессию, месяц провела зубами к стенке. Все переживала, что ждет ребенка: проблемы с речью, с общением, издевательства.
Потом взяла себя в руки и решила, что в жизни бывают вещи гораздо страшнее, что моя депрессия ребенку точно не нужна. Сейчас у нас за плечами уже две операции, и я очень хочу пожелать всем мамам, сталкивающимся с такой же проблемой, не расстраиваться.
– Горе, когда безнадежные болезни, а у нас просто шрамы, – вторит Ирине Екатерина Ушакова из Ростова-на-Дону. – Первый мой ребенок родился прехорошеньким, а второй с расщелиной, как у меня. Ну и что? Зато я знаю, к какому хирургу и ортопеду идти.
Знаете, когда сама лежала на операции, насмотрелась на детей со страшными ожогами, на детей после ДТП. А у одного мальчика медведь в зоопарке снял скальп и поломал тело. Даже родив здорового ребенка, можно столкнуться с ужасами операционной.
Не украшают мужчину?
На каждую счастливую историю приходится и противоположная. Обобщать, что отношения у людей с диагнозом «хейлосхизис» складываются непросто, нельзя. Проблема не в диагнозе, а в отношении к нему. Правда, отношение к себе во многом формируется отношением общества.
Андрей признается, что боится знакомиться с девушками.
– В школе и вузе мне нравились некоторые девчонки. Но я боялся к ним подойти из-за неуверенности в себе.
Сейчас Андрей служит в батальоне связи в ВВС. В армию он попал с третьего раза. Сначала в военкомате парню сказали, что он годен к службе только в военное время, потом – что годен с незначительными отклонениями. На третий раз взяли. Однако уверенности в себе из-за этого у Андрея больше не стало: не меньше пятидесяти сослуживцев и офицеров спросили, что у него с губой.
«Нет таких войск»
– Кто добровольно в армию? – Я! – Нет таких войск… – эта шутка из приветствия команды КВН «Сборная Камызякского края» нашла особое отношение в жизни одного из ее героев, известного КВНщика Дениса Дорохова.
Вопрос службы в армии был для Дениса принципиальным: отец-военнослужащий с детства воспитывал в нем уверенность, что мужчина должен отслужить. Но в армию Дениса не пустил ортодонт, посчитавший врожденную расщелину губы весомой на то причиной. Весельчак Дорохов становится непривычно серьезным, когда говорит об этом.
Недавно он вошел в попечительский совет нового фонда помощи детям с физическими недостатками «Безразличия. Нет».
– Хочется поддерживать людей, объяснять им. Хотя я даже для себя четко не сформулировал, что объяснять, я не светило челюстно-лицевой хирургии. Хочется просто разговаривать. Например, о том, что происходило со мной – может быть, люди сделают какие-то выводы.
Хочется сказать родителям, что не стоит испытывать чувство вины, – объясняет свое решение помогать фонду «Безразличия. Нет» Денис Дорохов. – Мои родители в детстве придумали целую легенду, будто бы я упал с лестницы. И только потом, изучая себя, я понял, что это была неправда. Не могу судить своих родителей, но точно знаю, что, если родители не будут испытывать чувство вины, ребенок меньше будет чувствовать, что он какой-то «неправильный».
Универсальных рецептов по принятию Денис не берется давать. Но рассказывает, что сам предпочел облечь свои комплексы в шутки. Поклонники «Камызяков» знают, что за Дороховым в команде закрепился образ эдакого «фрика» с нарисованными усами. Дениса он не смущает.
Шутки про себя КВНщик, в основном, сам и пишет, цитируя Жванецкого: «Пусть лучше надо мной смеются, чем плачут». Авторство той шутки про армию тоже принадлежит Денису.
«Довольна собой полностью»
Елена Горькова из Воронежа в КВН не играет и вообще имеет более чем серьезную профессию – она следователь. Но природное чувство юмора и ей помогало переживать неловкие вопросы.
– Важно научиться безболезненно реагировать на бестактности. Когда меня спрашивали, что за шрам у меня на губе, отвечала, что сорвалась с крючка или зловещим тоном говорила, что это «не шрам, а поцелуй смерти», – рассказывает Елена.
Теперь глубокого когда-то шрама почти незаметно. Хирург посоветовал Лене делать татуаж губ. Эта модная процедура для девушек с расщелиной губы становится едва ли не панацеей. Татуаж, брекеты и пластинки в детстве, пять пластических операций губы и носа, уколы гиалуроновой кислоты в шрам – сейчас Елена искренне говорит, что довольна собой полностью:
– В отличие от некоторых людей с таким же диагнозом, я никогда не чувствовала себя ущербной.
Наверное, это и поспособствовало тому, что проблем с общением и в личной жизни у меня никогда не было. Они зависят от наличия или отсутствия проблемы в голове.
Елена – сильная девушка с сильной профессией. Есть менее твердые люди. Увы, реагировать с юмором на задевающие комментарии могут не все. Но если каждый осознает, что здоровье и красота – подарки, за которые некоторым приходится побороться, проще и приятнее жить станет многим людям.
Я работаю в фонде помощи детям с физическими недостатками. Иногда окружающие открыто заявляют, что не могут смотреть на «некрасивых детей», являющихся подопечными нашего фонда. Возникает закономерный вопрос, кому лечение требуется больше – ребенку с расщелиной, нуждающемуся в срочной операции, или взрослому, родившемуся без физических недостатков, но с нездоровым эстетизмом. Красота требует… Но, пожалуйста, давайте дополнительных жертв делать не будем.
Волчья пасть, заячья губа – все поправимо
Врождённые расщелины верхней губы и верхней челюсти составляют примерно 86% аномалий челюстно-лицевой области и 20−30% всех пороков развития человека.
Схема расположения врождённых расщелин лица: А – Поперечная расщелина лица; Б – Срединная расщелина верхней губы; В – Косая расщелина лица; Г – Боковая расщелина верхней губы; Д – Расщелина нижней губы
Мы продолжаем серию публикаций, посвященных заболеваниям нейрохирургического профиля. Проект подготовлен совместно с МБОО помощи детям с нейрохирургическими заболеваниями «Ты ему нужен». Мы хотим, чтобы эти «страшные» диагнозы не давили на родителей и не отнимали у них надежду. В наших публикациях лучшие специалисты и опытные родители расскажут о путях излечения и преодоления, дадут рекомендации и покажут, что жизнь может продолжаться при любых, даже таких сложных, заболеваниях.
«Однажды врач детской поликлиники написала нам диагноз «заячья губа, волчья пасть», я ей сказала: «Вы вроде врач, почему же вы так безграмотно пишете? Я же вам не ставлю диагноз «куриные мозги». После этого вырвала страницу и перешла к другому врачу. Отстаивайте своих детей, вы обязаны это делать» (из переписки на форуме).
К сожалению, в нашей стране расщелины лица диагностируются у 1 из 500-1000 новорожденных и почти всегда вызывают у родителей чувство вины и страха. На самом деле, расщелины лица давно и удачно оперируются.
В разговорной речи расщелину неба часто называют «волчьей пастью», а расщелину губы – «заячьей губой». Однако в профессиональном мире это не принято – подтверждает заведующий 1 хирургическим отделением ДГКБ святого Владимира, доктор медицинских наук, профессор Дмитрий Юрьевич Комелягин.
– Мы никогда так не называем своих пациентов и их заболевания. Людям это очень обидно слышать. Эти особенности называются «врожденная односторонняя расщелина верхней губы, альвеолярного отростка и неба» и «врожденная двусторонняя расщелина верхней губы, альвеолярного отростка и неба».
Расщелины лица подразделяют на срединные и боковые. Самые распространенные расщелины – срединные расщелины губы и расщелины неба. Неполные расщелины называют несквозными – они могут захватывать только язычок, или язычок и мягкое нёбо или частично твердое нёбо и оканчиваться позади резцового отверстия.
Расщелины, при которых щель с твердого нёба распространяется на альвеолярный отросток и верхнюю губу, называют полными, или сквозными.
«Почему это произошло именно со мной?!»
– Дмитрий Юрьевич, есть миф, что расщелины лица – это проблемы детей из неблагополучных семей.
– Нет! У нас много семей с благополучными, красивыми родителями, дети которых столкнулись с такой проблемой. Фактором риска, скорее, будет тот факт, что родитель сам был в детстве носителем данной патологии. У нас есть такие семьи. Скажем, когда-то мы оперировали девочку с расщелиной верхней губы, она вышла замуж и родила ребенка с точно такой же патологией, они снова пришли к нам. У нас были семьи, в которых и второй, и даже третий ребенок рождался с подобной патологией. И всех мы успешно оперировали.
– Сколько же лет вы уже оперируете?
– Отделение основано 26 лет назад. Вот 26 лет и оперируем. Расщелины лица – это многофакторная проблема, выделить какие-то конкретные причины до сих пор сложно. Известно, что причиной может послужить внутриутробная гипоксия плода. А что вызвало эту гипоксию? Что угодно. Стресс? Возможно. Инфекция, перенесенная матерью? Прием лекарств? Да, возможно. Но что конкретно – пока никто вам не скажет.
Сегодня наиболее обоснованной считается теория, согласно которой причина возникновения расщелин лица заключается в сочетании наследственных факторов и неблагоприятного воздействия окружающей среды.
Мутация нескольких генов влечет за собой повышение чувствительности к бактериям в окружающей среде. В этом случае причиной появления расщелины могут стать такие факторы как лекарства, рентгеновские лучи, инфекции, и даже стресс и шум. В результате их воздействия плод испытывает дефицит кислорода в течение тех нескольких часов, которые требуются для формирования лица, и тогда страдают срастающиеся ткани.
Что-то пошло не так…
Приблизительно к 4-6-й неделе формирования плода сливаются парные срединные носовые выступы. Они срастаются и формируют резцовую кость, подносовой желобок верхней губы и кончик носа. Боковые элементы верхней губы происходят из парных верхнечелюстных отростков. Если ткани по какой-то причине не срослись, появляется расщелина губы. Обычно она зарождается на стыке между центральными и боковыми частями верхней губы с обеих сторон.
Вторичное небо начинает развиваться приблизительно на восьмой неделе беременности, после завершения развития первичного неба. Парные небные складки первоначально разделены развивающимся языком. По мере того, как нижняя челюсть растет, язык продвигается вперед, а небные складки опускаются вниз и принимают более горизонтальное положение. Если что-то пошло не так, парные небные складки не могут переместиться вниз и медиально – появляется расщелина в небе.
Вторичное небо развивается, как правило, до 12-й недели. Поэтому диагностику врожденных расщелин лица с помощью ультразвукового исследования (УЗИ) оптимально проводить на 11–12-й неделе беременности (именно тогда заканчивается формирование лица малыша).
Расщелина губы может быть диагностирована специалистом при правильном положении лица плода. Диагностика неба с помощью УЗИ сложнее. Однако опытный врач может зафиксировать нетипичное движение языка плода в боковой проекции. В ряде случаев специалисты не могут выявить этот дефект вплоть до самых родов, если ребенок закрывает личико ручкой или ножкой.
Д.Ю.Комелягин: «У нас в ДГКБ святого Владимира на базе отделения для новорожденных в скором времени будет открыт консультационный центр для беременных, в котором, в том числе, будут принимать и челюстно-лицевые хирурги. И если, скажем, во время УЗИ-исследования младенцу диагностировали порок развития лица, мама сможет прийти сразу к нам на консультацию. Мы ее успокоим, расскажем, как можно будет вылечить тот или иной порок, объясним, что ее ждет, и главное – докажем, что это не повод отказываться от ребенка, при правильно выстроенной тактике лечения можно жить полноценной жизнью и с пороками лица».
У Тутанхамона была расщелина неба. К такому выводу два года назад пришла группа ученых, исследовавших его мумию. Возглавлял исследования генеральный секретарь Высшего совета по древностям Арабской Республики Египет Захи Хавасс. Тутанхамон – не единственный человек, которому расщелины лица не помешали добиться успеха и славы.
Лицо знаменитого артиста Хоакина Феникса, похоже, тоже носит следы лицевой расщелины. Однако биографы артиста утверждают, что шрам на губе – это не след от операции, а врожденная «отметина». Впрочем, скрытая ли это расщелина и расщелина ли вообще, – не так важно. Важнее, что шрам от нее не помешал Хоакину сделать блестящую кинокарьеру.
Такой же шрам на губе (тоже визуально похожий на оперированную расщелину) не помешал Чичу Марину стать популярным американским киноартистом, Денису Дорохову – известным в России КВН-щиком, а Денису Лебедеву – чемпионом мира по боксу.
Когда можно оперировать расщелины
Формы расщелин нёба: А – Расщелина язычка мягкого нёба; Б – Расщелина мягкого нёба; В – Расщелина мягкого и частично твердого нёба; Г – Полная боковая расщелина мягкого и твердого нёба; Д – Полная двусторонняя расщелина твердого и мягкого нёба
Д.Ю.Комелягин: В разных клиниках придерживаются разных правил и разных сроков операции. Мы оперируем расщелины верхней губы в возрасте четырех месяцев (точнее, от четырех до шести месяцев) в зависимости от ситуации. Если ребенок гипотрофичный, маловесный, с низким гемоглобином, тогда операцию лучше отложить. Оперировать ли расщелину раньше четырех месяцев? Подобная операция – кропотливая работа, важно чтобы ткани младенца, с которыми будет работать хирург, были уже зрелыми. Кроме того, должны созреть легкие и сердце, чтобы малыш мог благополучно перенести наркоз и послеоперационный период. Торопиться нет смысла. Если, конечно, ничто не угрожает жизни ребенка.
Зачастую расщелины лица являются признаками того или иного синдрома с сопутствующими осложнениями (синдром Стиклера, синдром Лоуса-Дитца, синдром Хардикара, синдром Тричера-Коллинза и пр.), в том числе синдрома Пьера Робена, характеризующегося недоразвитием нижней челюсти и западением языка. Ребенок с таким синдромом просто не может нормально дышать или дышит только в определенном положении (на боку, на животе), потому что ткани смещены и перекрывают дыхательные пути.
Конечно, в таких случаях операции на ранних сроках оправданы. Это то, что называется «операции по жизненным показаниям» (Д.Ю.Комелягин и коллектив 1-ого хирургического отделения обладают патентом на изобретение компрессионно-дистракционного устройства, позволяющего успешно лечить детей с синдромом Пьера Робена – Прим.ред.).
– На что следует обратить внимание родителям ребенка, родившегося с расщелиной?
– На все. Провести полное обследование. И после этого выстроить вместе со специалистами план лечения. Скажем, если у него обнаружится порок сердца, конечно, в первую очередь нужно заняться пороком, а потом – лечением расщелины.
Но если нет других, более важных, факторов, мы рекомендуем оперировать расщелину верхней губы в возрасте четырех месяцев, неба – в возрасте полутора лет. Сложнее лечить расщелину альвеолярного отростка. Раньше мы предлагали оперировать ее в двенадцать лет, сейчас – начинаем с восьми. Для лечения выполняется костная пластика, то есть используется кость самого пациента (скажем, из нижней челюсти, большеберцовой кости) или искусственная кость (костный трансплантат).
Важный момент в лечении расщелины альвеолярного отростка – ортодонтическая подготовка. То есть, сначала ортодонт добивается правильного положения фрагментов верхней челюсти относительно друг друга и относительно нижней челюсти, а потом уже к коррекции приступают хирурги.
В случае успешной операции пациенты приходят потом для контрольного наблюдения раз в полгода. Хирург и ортодонт следят за тем, как формируются рубцы, верхняя челюсть, нет ли деформации носа. Иногда приходится снова делать хирургическую коррекцию. Но эти решения важно принимать совместно с ортодонтом. Если рост верхней челюсти не закончен, хирургическое вмешательство может навредить.
Помимо челюстно-лицевого хирурга может понадобиться помощь: невролога, оториноларинголога, ортодонта, стоматолога, логопеда, сурдолога, фонопеда, психолога
«Дети не смеялись, берегли ее «зубы на носике»!
«Впервые я увидела свою шестую дочку спустя месяц после ее рождения», – вспоминает Марианна Симонова, мама семерых приемных дочерей из Новосибирска. «На фотографии в Федеральной базе данных. Она была там….страшненькая. Сфотографировали ее как-то боком, неудачно. Но что-то подсказало мне: «Моя. Не возьму – система ее погубит».
Через несколько месяцев я уже летела из своего Новосибирска к ней во Владивосток знакомиться. Муж еще дома сказал: «Глаза красивые, остальное все поправим». Так что поддержка мужа у меня уже была. Прилетела – взяла на руки – понюхала. Все. Мне этого было достаточно, чтобы принять решение. Забираю.
Да, у нее была двусторонняя расщелина губы и неба. Я на тот момент уже почитала, поспрашивала, с хирургами посоветовалась. Решили с мужем – будем исправлять. Единственное, чего я боялась, – реакции других моих дочерей. Как они ее примут? Не будут ли смеяться? Она на тот момент была самая младшая.
Я потом ее еще оставила в учреждении, якобы они ожидали квоту на операцию для нее. Но скоро поняла, что время проходит – никто ею там не занимается. И забрала домой.
Первое время нам надо было просто ее накормить. Вес был слишком маленький, гемоглобин – низкий, операцию в таком состоянии делать нельзя было. А как ее накормить? Соску сосут, прижимая ее языком к небу. А у нее в небе щель – прижать не к чему. Потом она как-то исхитрилась оборачивать соску языком и тянуть из нее. Кормить ее приходилось каждые 2-3 часа и днем, и ночью.
Мясные пюре (гемолобин надо поднимать) давали с ложки. Кладешь ложку – а у нее всё вываливается, прижать нечем. Чистишь нос – и видишь все насквозь, чуть ли не до мозга. Даешь жидкость и понимаешь – нужно быть крайне аккуратной, захлебываться ей ни в коем случае нельзя. У моих знакомых в такой же ситуации еда выливалась через уши. У нас такого не было, правда.
Но в итоге к полутора годам она была готова к операции. Несколько часов операции, несколько дней в реанимации без мамы – все это позади. А блестящий результат – налицо. Никаких осложнений. Консультировал меня перед операцией прекрасный челюстно-лицевой хирург, наш новосибирский, Михаил Васильевич Колыбелкин. Он даже имя моей дочке помог выбрать. По паспорту дочку зовут Викторией, Викой. «Она пока не сможет выговорить, дайте ей короткое имя». Так у нас появилась Ия, Июшка (с греческого «фиалка»). Она и есть у нас – прекрасная фиалка, цветочек нежный! Так ей идет это имя!
А старшие дети, кстати, никогда над ней не смеялись, наоборот, оберегали ее, как могли, особенно до операции, не давали ей упасть, боялись за ее «зубы на носике» (так они называли ее дефект).
Не страшно? Нет, страшно было только за нее, как она все перенесет. И еще страшнее было оставить ее в системе. Нельзя детям оставаться без семьи. Таким – особенно. Без операции, внимания, любви они очень быстро становятся тяжелыми, с тяжелым отставанием в развитии. А ведь это всего лишь хирургическая проблема. Если ребенок в семье – все поправимо!»
При подготовке статьи использовались материалы:
Медицинская и клиническая генетика для стоматологов: учебник для вузов / Под ред. О.О. Янушевича., – 2009. – 400 с.
Лицевая расщелина: есть, слышать, говорить
В первой публикации, посвященной лицевым расщелинам, мы осветили типы расщелин и рассказали о современном хирургическом подходе к их лечению. Во второй части мы расскажем о самых простых вещах, связанных с выхаживанием младенца, которые представляют определенную трудность у малышей с расщелинами.
У малыша расщелина. Как его накормить
Подавляющее большинство детей с расщелиной губы и неба рождаются с нормальным весом. Однако из-за трудностей, связанных с кормлением, они не могут в дальнейшем набирать достаточный вес.
Набор веса, предотвращение аспираций и ушных инфекций, являются наиболее важными условиями ухода за новорожденным с расщелиной в первые дни и недели жизни.
Оптимальным источником питания для ребенка первых месяцев жизни является грудное материнское молоко. Важно попытаться сохранить молоко и наладить грудное вскармливание.
«У детей с лицевыми расщелинами легко инфицируются уши, потому что молоко через расщелину по евстахиевым трубам попадает в среднее ухо. Чужеродные белки из смесей раздражают эти проходы. Тот факт, что у детей, сосущих грудь, бывают инфицированы уши, делает грудное молоко лекарственным средством для них». (Глава «Грудное вскармливание особенных детей в особых обстоятельствах» из книги Уильяма и Марты Серз «Ваш ребенок»)
У детей, рожденных с расщелиной, сложности с грудным вскармливанием часто возникают из-за того, что невозможно создать в ротовой полости отрицательное давление, необходимое для всасывания молока.
Если у ребенка сохранена целостность альвеолярного отростка верхней челюсти и твердого неба, то, скорее всего, малыш сможет взять грудь. При грудном вскармливании он будет использовать мышцы рта и лица более активно, чем при кормлении из бутылочки. А чем сильнее будут мышцы мягкого неба и губ, тем проще будет хирургу закрыть расщелину, значит операция будет эффективнее. Кроме того, логопеды рекомендуют грудное вскармливание как терапевтический метод, не требующий дополнительных усилий и затрат.
Американская академия медицины грудного вскармливания в своем протоколе, посвященном вскармливанию детей с лицевыми расщелинами, напоминает о том, что антибактериальный состав грудного молока способствует послеоперационному заживлению и уменьшает раздражение слизистой оболочки. Эксперты академии полагают, что в случае расщелины губы детям относительно легче освоить грудное вскармливание, чем искусственное, поскольку ткань молочной железы может закрыть дефект успешнее, чем искусственная соска.
Для исключения аспирации важно:
– расположить ребенка в полувертикальном положении («сидячее» положение ребенка предотвратит утечку молока через нос и не вызовет захлебывания),
– контролировать доступ воздуха через носовой ход,
– после кормления держать ребенка в вертикальном положении (до получения отрыжки);
– в положении лежа поворачивать головку ребенка набок.
В случае попадания молока в дыхательные пути нужно прекратить кормление и позволить младенцу прокашляться и прочихаться в течение нескольких секунд, когда происходит носовое срыгивание.
При сквозных расщелинах верхней губы и твердого неба грудное вскармливание, как правило, невозможно. В таком случае для кормления ребенка в первые месяцы можно использовать специальные «бутылочки для кормления детей с расщелиной», шприц, ложечки, поильники (знаменитый поильник Хабермана теперь называется «поильник для детей с особыми потребностями»).
Можно организовать кормление таким образом: ребенок сосет мамин палец, закрывающий расщелину неба, в то же время ему в рот из шприца с насадкой для кормления выдавливают сцеженное молоко или смесь. Таким образом, малыш удовлетворит потребность в сосании, будет работать мышцами рта и станет получать жидкость в подходящем для себя темпе.
Особенности ухода за малышом с расщелинами лица
Тщательно проводите туалет носика, используя влажные ватные палочки, смоченные маслом (стерильное оливковое, облепиховое) или настоями трав (ромашка).
При расщелинах губы и неба часть слизистой полости рта оказывается в постоянном контакте с воздухом. Это приводит к образованию трещин и корочек на слизистой верхней губы. Проводите туалет верхней губы, особенно в области расщелины: осторожно убирайте предварительно размоченные корочки и обрабатывайте поверхность стерильным маслом.
Во время прогулок в холодное время года используйте марлевые маски на область широкой расщелины верхней губы, позволяющие согреть поступающий воздух.
Операция позади. Что дальше?
Малышу назначается лечение, направленное на предотвращение возникновения грубых послеоперационных рубцов верхней губы. Рубцы ухудшают эстетику лица, ограничивают подвижность верхней губы, что вызывает нарушение артикуляции и деформацию зубных рядов. Физиотерапия позволит предотвратить такие рубцы.
Если расщелина губы глубокая и уходит в полость носа, то в послеоперационный период ребенок должен носить «носовой вкладыш» (эндоназальный фиксатор). Это приспособление, благодаря которому создается правильная форма ноздри ребенка со стороны расщелины. Фиксатор представляет собой трубочку конической формы, сформированную по наружному краю, по форме здоровой ноздри. Фиксатор изготавливается ортодонтом перед операцией.
Регулярное посещение стоматолога обеспечит своевременную санацию рта. Это важное условие благополучной реабилитации.
Важным этапом реабилитации ребенка с расщелиной являются занятия с логопедом.
Ольга Легостаева, логопед Реабилитационного центра развития речи Института врожденных заболеваний челюстно-лицевой области профессора Гончакова, объясняет, какую именно помощь могут оказать логопеды:
«90% детей с лицевыми расщелинами нуждаются в логопедической помощи. Иногда таким детям ставят диагноз «ринофония» – так называемая «гнусавость», произношение звуков «в нос». Иногда – «ринолалия» (нарушение голоса, назализация плюс специфическое глоточное произношение, часть звуков при этом заменяется выдохом через нос, речь становится совершенно непонятной). Иногда, если расщелина – один из признаков в структуре того или иного синдрома (синдром Пьера Робена и т.д.), возможна задержка речевого развития. Но даже в этом случае прогноз может быть благоприятным.
Важный момент – работа с теми детьми, у которых были лицевые расщелины, отличается от работы с другими нарушениями. Часто к нам приходят дети, родители которых жалуются: «Занимаемся с ребенком два-три года, никакого результата. – А что делаете? – Логопедический массаж». Но как раз массаж в этом случае делать и не обязательно. Если у ребенка не поставлено дыхание, толку от массажа не будет.
Самые эффективные в данном случае дыхательные упражнения и упражнения на формирование небно-глоточного кольца.
Дыхательные упражнения нужны для того, чтобы научить ребенка дышать, используя диафрагму и мышцы живота. Наши дети, с расщелинами, обычно используют для дыхания ключицы и плечи. Если же научить ребенка задействовать мышцы живота, делать глубокий вдох через нос и сильный выдох через рот, правильно открывать рот – сформируется правильное дыхание. Тогда будет легко поставить звуки.
Второй комплекс упражнений необходим для того, чтобы разработать мышцы небно-глоточного кольца. В силу физиологии наши дети не могут сомкнуть глотку, поэтому при фонации воздух у них уходит в нос. Но такие простые упражнения, как покашливание, зевки, глотание жидкости маленькими порциями, выстроенные в определенную систему, помогают разработать небно-глоточное кольцо и сформировать условия для хорошего звука. Отлично развивает небо вокальная фонопедия.
Работа эта небыстрая, это долгий кропотливый труд, требующий постоянного участия родителей. На наших занятиях всегда присутствуют родители, они не просто записывают занятия в тетрадку, но и учатся правильно подавать задания ребенку, следить, чтобы он правильно выполнял.
Начинать занятия следует как можно раньше. У нас нет понятия «слишком рано начали заниматься». Если в два – два с половиной года ребенок после операции не говорит, это повод показаться логопеду. Если ему три года, и он говорит «в нос», это тоже повод показаться логопеду.
Важно только понимать, что реабилитация детей с лицевыми расщелинами должна быть комплексной. Лицевая расщелина – это не только анатомический дефект, это дефект, нарушающий дыхание, слух, речь. Поэтому в работе с такими детьми одного логопеда мало. В нашем центре, например, работает команда, в которую входит логопед, фонопед и психолог».
Фонопед – педагог-дефектолог, восстанавливающий физиологически верное звукоизвлечение.
Наталья Борисовна Силкина – фонопед, в течение трех лет она работала в Реабилитационном центре развития речи Института врожденных заболеваний челюстно- лицевой области профессора Гончакова.
«90% детей с расщелинами лица слышат хуже, чем обычные дети, – утверждает Наталья Борисовна. – Снижение слуха у них происходит из-за того, что они слышат не все частоты. Этот дефект можно устранить с помощью упражнений на развитие фонематического слуха (начиная с двух лет), и с помощью вокала.
Лучше всего, если с малышом поет мама. Всегда. На тренингах мы приучаем мам петь непрерывно, почти круглосуточно. Только в этом случае малыши начинают петь сами. Дело в том, что те песни, которые звучат из электронных носителей, такие дети не способны воспринять. Слишком большая скорость. Для них это фон, шум.
Более того, и разговаривать с ними лучше медленно и громко, четко произнося слова: они недослышат. Поэтому, когда я занимаюсь с ними в центре, я все проговариваю и пропеваю в пять раз медленнее.
Более старших детей можно отвести на занятия в вокальную студию. Вокальные упражнения растягивают ткани, расслабляют аппарат. Небо – это та же мышца, только чувствительность ее снижена из-за шва. Вокальные упражнения позволяют мягко работать с этой мышцей. Но в идеале, вокалом нужно заниматься с фонопедом, знающим особенности ринолалии и ринофонии».
Трое с расщелиной
У Надежды Городецкой двое детей. Третьего она пока ищет. Дело в том, что оба ее приемных ребенка – с двойными лицевыми расщелинами. И она надеется приютить в свою семью третьего с такой же проблемой. Почему? «Потому что мне нравятся такие детки. Я знаю, как им помочь. А в государственном учреждении им не помогут».
Надежда живет в Самаре. Она – кандидат психологических наук, логопед-дефектолог. И когда она увидела в базе месячного Тимофея (имена героев изменены) с двойной лицевой расщелиной, ничуть не испугалась: «Я читала все про лицевые расщелины, знала, что нужно делать».
Посоветовавшись с мужем, Надежда поехала за Тимофеем. Единственное, чего она боялась, – того, что не сможет накормить малыша, которому нечем сосать. Оказалось, достаточно небольшой сноровки и специальных бутылочек, чтобы наладить процесс кормления. «Ребенок сам подсказывал удобное положение. Ну, и миксер надолго стал нашим другом. Размалывать нужно было абсолютно всю еду вплоть до двух лет, пока Тимофею не сделали операцию на небе.
В нашем городе я таких детей не видела. Вероятно, и врачи в поликлиниках их не видели.
Приходилось самой направлять их и подсказывать. Благо, есть фонды, волонтеры, которые делятся информацией, я знала, куда нужно обращаться. Только вот, чтобы получить направление в другой регион на операцию (я знала, что там работают отличные челюстно-лицевые хирурги), пришлось дойти до самой верхней инстанции в нашем городе.
Как логопед-дефектолог, я понимаю, что дети с расщелинами позже начинают говорить. Но это «молчаливое» время тоже нужно использовать для развития. Читать с малышом книжки, рассматривать картинки, много общаться. Если он не может вам ответить, это не значит, что он вас не понимает. Он накапливает свой пассивный словарь, наступит момент – и он с удовольствием им воспользуется. Не надо показывать жестами – общайтесь словами и провоцируйте речь:
– Что ты хочешь? Хлеб? Чай? Скажи «хлеб».
Через год после Тимофея у нас появилась Ангелина, и с ней мне уже совсем было не страшно. Лицевые расщелины – это тот дефект, который просто требует большого труда и участия родителей, но при современных методиках совершенно точно поддается коррекции. При благоприятном течении и отсутствии сопутствующих заболеваний у таких детей даже инвалидность снимают. Здоровые дети».
При подготовке статьи использовались материалы:
Американской академии медицины грудного вскармливания
Если вам нужна медицинская помощь или консультация, заявку на дистанционную консультацию и госпитализацию в профильные больницы можно подать здесь.
Иллюстрации: Оксана Романова
Заячья губа и волчья пасть

Расщелина неба и губы (другое название этой патологии – хейлосхизис, но в разговорной речи ее называют «заячья губа и волчья пасть») – это врожденный дефект, который формируется в период внутриутробного развития малыша, когда вследствие воздействия определенных факторов нарушается непрерывность верхней губы, неба и альвеолярного отростка.
Детки, которые рождаются с такой патологией, имеют внешнее деформацию лица и существенные функциональные нарушения. Им очень сложно питаться, учиться разговаривать. Интеллектуально такие малыши развиваются нормально.
Однако причины происхождения заболевания «волчья пасть и заячья губа» могут быть связаны не только с нарушением внутриутробного развития. Приобретенная форма болезни может развиться вследствие инфекционных процессов, опухоли, повреждений физического характера. Впрочем, такие случаи отмечаются редко.
Эффективным методом лечения является хирургическая коррекция. Важно сразу же после рождения малыша с такой патологией обеспечить ему наблюдение у высококлассного специалиста и своевременно провести правильное лечение.
Патогенез
Болезнь «волчья пасть» развивается вследствие задержки процесса срастания тех костей, которые образуют костное небо полости рта – верхнечелюстных отростков с сошником. Из-за этого на твердом небе остается расщелина. Расходятся и мягкие ткани, иногда процесс захватывает губу. Этот синдром называют «заячья губа», так как у зайцев и кроликов верхняя губа состоит из двух половинок.
Как правило, патология формируется у плода в период внутриутробного развития. Поэтому заболевание можно выявить еще до родов, проведя ультразвуковое исследование. Расщелина появляется у зародыша в первые месяцы его развития, когда происходит формирование челюстно-лицевых органов. Кости в области твердого неба срастаются у плода к 11 неделе развития, к окончанию третьего месяца формируется мягкое небо. В целом образование неба происходит на 2-3 месяце внутриутробного развития. Нижняя губа формируется у плода в конце первого месяца, когда сращиваются нижнечелюстные отростки. Окончательное формирование верхней губы происходит в конце второго месяца, когда правый и левый верхнечелюстные отростки срастаются со срединным носовым отростком. Если в этот период отмечается негативное влияние эндогенных и экзогенных, а также генетически обусловленных факторов, этот процесс идет неправильно, и у малыша развиваются врожденные уродства лица – заячья губа и волчья пасть.
Локализация таких несращений и их форма зависит от того, где именно не произошло заращение. Чаще всего не срастается верхняя губа и небо, в более редких случаях не срастаются нижнечелюстные отростки, верхнечелюстные и лобные отростки, верхнечелюстные и нижнечелюстные зародышевые отростки, медиальные носовые и лобный зародышевый отросток.
Классификация
В современной медицине используется следующая классификация врожденной патологии этого типа:
- Односторонняя расщелина верхней губы (может быть скрытой, частичной, полной).
- Двухсторонняя расщелина губы, симметричная или асимметричная (может быть скрытой, частичной, полной).
- Односторонняя расщелина губы и альвеолярного отростка (может быть частичной или полной).
- Двухсторонняя расщелина губы и альвеолярного отростка, симметричная или асимметричная (может быть частичной или полной).
- Односторонняя полная расщелина верхней губы и неба.
- Двухсторонняя полная расщелина верхней губы и неба.
- Расщелина неба (может быть субмукозной, частичной, полной).
Существует и менее подробная классификация, которая предусматривает разделение болезни на такие разновидности:
- Полное несращение – мягкие и твердые ткани расщеплены до резцового отверстия.
- Неполное – расщеплено только мягкое небо, также может отмечаться частичное расщепление твердого.
- Сквозное – расщелины твердого и мягкого неба с включением альвеолярного отростка с одной или двух сторон.
- Скрытое – расщеплены только мышцы, при этом слизистая оболочки рта в нормальном состоянии.
Причины

Заячья губа, фото
Если у малыша диагностируется волчья пасть и заячья губа, причины возникновения этой патологии могут быть эндогенными и экзогенными.
Эндогенные причины заячьей губы и волчьей пасти:
- наследственный фактор;
- инфекционные болезни, которые женщина перенесла в первые месяцы беременности;
- биологическая неполноценность половых клеток;
- ранее сделанные абортыи др.
Экзогенные причины:
- влияние на плод радиации;
- воздействие патогенной микрофлоры – вирусов, анаэробных бактерий, стафилококка и др.;
- применение ряда медикаментов и влияние химических веществ;
- гипоксияна ранних сроках;
- потребление спиртного;
- прием наркотиков;
- курение; ;
- несбалансированное питание;
- влияние термических факторов — холода, жары;
- травмирование живота на ранних сроках вынашивания плода;
- психические травмы и др.

Заячья губа у человека, фото
Развитие патологии «волчья пасть и заячья губа» чаще всего происходит при воздействии указанных факторов в первом триместре беременности.
Почему развивается заячья губа, с чем связаны причины возникновения этой патологии, специалисты изучают до сих пор. По статистике заячья губа, причины возникновения которой связаны с нарушениями в процессе внутриутробного развития, диагностируется чаще всего. В более редких случаях эта патология возникает из-за травм, опухолей, инфекций, воздействующих на организм человека после рождения.
Симптомы
У малышей расщелина губы и неба диагностируется сразу после рождения, хотя при ультразвуковом исследовании плода расщелина губы определяется уже после 12 недели развития.
Основной симптом этого заболевания – деформация лица. При определенных формах болезни визуально определяется односторонняя или двухсторонняя расщелина неба и/или губы. Клиническая картина зависит от разновидности патологии и степени поражения. Если человек родился с заячьей губой, у него расщеплены ткани верхней губы, срединный ее фрагмент укорочен и деформирован кожно-хрящевой отдел носа.
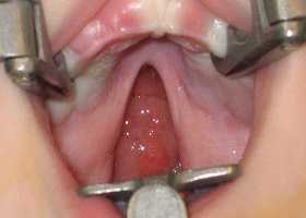
Для так называемой волчьей пасти характерно расщепление тканей неба. Пори этом мягкое небо укорочено, а средний отдел глотки расширен. Чаще всего расщелина мягкого неба расположена по средней линии.
Но расщелина верхней губы и неба является не только косметической проблемой. Если ребенок рождается с такой патологией, он не может нормально брать грудь и сосать, так как неспособен создать отрицательное давление в полости рта. Расщепление неба может провоцировать нарушение глотания. Поэтому если расщелина твердого и мягкого неба у новорожденного слишком большая, его могут кормить через зонд.
Если своевременно не провести лечение этого дефекта, то позже из-за него у ребенка может неправильно формироваться зубной ряд и прикус. Отмечается у таких детей и расположенность к развитию кариеса.
Расщелина мягкого неба у новорожденного может стать причиной нарушения звукообразования, что приводит к речевым дефектам. Волчья пасть у детей влияет на качество речи, провоцируя гнусавость, ринолалию (тяжелое нарушение тембра голоса и звукопроизношения), ринофонию (тембр через нос) и другие дефекты.

Волчья пасть у детей, фото
У детей с этой проблемой чаще наблюдаются воспалительные процессы среднего уха, вследствие чего вероятно развитие тугоухости.
Так как пища ввиду этой патологии часто попадает в полость носа, часто развивается хроническое воспаление носовой полости.
У таких больных нарушается развитие костей и хрящей лицевого черепа, проявляется его деформация.
Из-за патологии ребенок дышит неглубоко, что приводит к кислородной недостаточности.
Расщелина неба может сочетаться с другими нарушениями развития.
Таким образом, если ребенок родился с волчьей пастью, у него отмечаются следующие симптомы:
- эстетическая патология лица;
- проблемы с приемом пищи ввиду наличия дефекта;
- нарушение речи;
- другие сопутствующие болезни, спровоцированные этой патологией.
Анализы и диагностика
Диагностировать этот дефект у ребенка врач может еще на этапе внутриутробного развития, проведя ультразвуковое исследование.
После рождения врач в процессе осмотра и путем проведения дополнительных исследований определяет форму поражения, сложность патологии. Цель таких исследований – определить наличие возможных патологий развития, нарушений слуха, дыхания, звукообразования.
При подтверждении этой патологии может потребоваться дополнительная консультация специалистов: отоларинголога, стоматолога, инфекциониста, аллерголога и др.
В процессе диагностики состояния малыша с такой патологией для определения его общего состояния здоровья проводят следующие исследования:
- Лабораторные анализы – общий и биохимический анализы крови, исследование мочи.
- ЭКГ.
- Ультразвуковое исследование органов брюшной полости.
- Рентгенографию органов грудной клетки.
Лечение

Волчья пасть, фото до и после операции
Если диагноз «заячья губа или волчья пасть» у человека был подтвержден, необходимо принять решение о проведении лечения. Такое лечение практикуют в детском возрасте. Лечение этой аномалии проводят хирургическим путем. В каком возрасте проводить малышу оперативное вмешательство, определяет врач, оценивая степень и особенности дефекта. Согласно с данными статистики, с помощью методов пластической хирургии устранить этот дефект удается в 90% случаев.
Синдром Гольденхара - симптомы и лечение
Что такое синдром Гольденхара? Причины возникновения, диагностику и методы лечения разберем в статье доктора Гавран Надежды Александровны, генетика со стажем в 11 лет.
Над статьей доктора Гавран Надежды Александровны работали литературный редактор Маргарита Тихонова , научный редактор Сергей Федосов и шеф-редактор Лада Родчанина
Определение болезни. Причины заболевания
Синдром Гольденхара — это редкая врождённая аномалия, при которой изменяются размеры и форма лицевых структур. Обычно изменения локализуются на одной стороне лица, вызывая его асимметрию, но иногда встречается двустороннее поражение.

Данный синдром относится к спектру врождённых аномалий черепа и лицевых структур, имеющих общий термин "краниофациальная микросомия". Под ним понимается уменьшение какой-либо структуры тела в пределах черепно-лицевой области.
Синонимы синдрома: окулоаурикулярная дисплазия, фацио-аурикуло-вертебральная ассоциация, синдром 1-й и 2-й жаберных дуг, отомандибулярный дизостоз, гемифациальная микросомия и др.
Приблизительная частота встречаемости синдрома Гольденхара — 1 случай на 3500-25000 новорождённых [9] . У мальчиков он встречается в 2 раза чаще, чем у девочек.
Точные причины заболевания на сегодняшний день до конца не известны [1] [2] [3] [4] . Большинство случаев возникают случайно в семьях без отягощённой истории болезни. Однако у 1-2 % пациентов с синдромом Гольденхара есть близкие родственники с подобным нарушением. Это свидетельствует о роли генетических факторов в возникновении данной патологии [4] [5] . В частности предполагается участие гена MYT1, расположенного в локусе q13.33 хромосомы 20.

Другим возможным фактором развития синдрома Гольденхара являются хромосомные аномалии — потеря или удвоение участка хромосомы. Как правило, у людей с этими нарушениями могут наблюдаются такие сочетанные пороки развития, как аномалии сердца, лёгких, почек, конечностей и центральной нервной системы [1] [2] [5] [6] .
Некоторые исследователи полагают, что формированию синдрома способствует нарушение кровотока или внешние повреждающие факторы:
- приём некоторых лекарственных препаратов, противопоказанных при беременности;
- вредные привычки;
- химические и физические агенты, воздействующие на плод на 3-8 неделе внутриутробного развития [5][6] .
Также нельзя исключить роль таких акушерско-гинекологических факторов, как предшествующие аборты, сахарный диабет и ожирение [18] .
Первые описания врождённых аномалий лицевых структур обнаружены в древних письменах, датированных 2000 лет до н. э. В Колумбии и Мексике были найдены древние керамические изделия с изображениями различных вариантов гемифациальной микросомии, в том числе наследственной: на одном из изделий был изображён родитель с ребёнком на руках, которые имели схожие аномалии лица [10] .
При обнаружении схожих симптомов проконсультируйтесь у врача. Не занимайтесь самолечением - это опасно для вашего здоровья!
Симптомы синдрома Гольденхара
Для синдрома Гольденхара характерна асимметрия лица (одностороннее недоразвитие челюсти) в сочетании с аномалиями ушных раковин, доброкачественными опухолями глаз и поражением спинного мозга (как правило в шейном отделе позвоночника). В большинстве случаев эти нарушения локализуются с правой стороны [19] . Однако до 30 % людей с синдромом Гольденхара имеют двусторонние аномалии лицевых структур.

К лицевым аномалиям синдрома относятся:
- расщелины лица и нёба, аномалии лицевых мышц, верхней и нижней челюстей, скуловой и височной костей;
- аномалии ушных раковин: от недоразвития или полного отсутствия ушной раковины до образования околоушных кожных выростов при нормально сформированной ушной раковине;
- аномалии глаз (встречаются реже): одно- или двухстороннее уменьшение глазного яблока (микрофтальмия) вплоть до его отсутствия (анофтальмии), эпибульбарные дермоидные кисты глаз (доброкачественные опухоли) и ретинопатии [7] .

Перечисленные лицевые аномалии могут сопровождаться нарушением слуха, неправильной закладкой и прорезыванием зубов и другими нарушениями, которые могут повлиять на психофизическое развитие ребёнка.

Патогенез синдрома Гольденхара
Лицевые структуры начинают формироваться на ранних сроках беременности. Со второй недели развития эмбриона на его головном конце образуется первичная ротовая ямка. К концу третьей недели она постепенно углубляется, достигает передней кишки (эндодермы) и, соединяясь с ней, образует начало пищеварительного тракта. В это же время по бокам головки эмбриона возникают два углубления — 1-я и 2-я жаберные щели, а ещё чуть позже — 3-я и 4-я щели. Между ними формируются жаберные или глоточные дуги, состоящие из нескольких частей: мешка, арки, бороздки и мембраны.

К концу первого месяца развития эмбриона первая жаберная дуга даёт начало пяти отросткам эктодермы: лобному, двум верхне- и нижнечелюстным. Непарный лобный отросток на третьей неделе разделяется на срединный и боковые носовые отростки, из которых к концу 10-11 недели внутриутробного развития формируются лоб, глазницы, нос, средние части верхней челюсти и верхней губы [11] [12] [14] . Нижнечелюстные отростки образуют единую структуру к концу четвёртой недели, а верхнечелюстные — на шестой неделе развития. Также на шестой неделе из парных латеральных закладок нижнечелюстной дуги формируется язык. На седьмой неделе верхнечелюстные отростки объединяются с лобными, в результате чего формируются губы.
В образовании ушной раковины участвуют первая и вторая жаберные дуги. Из первой дуги образуется передняя треть наружного уха — козелок и ножки завитка. Срастание производных обеих дуг происходит очень рано: к восьмой неделе развития первичная ушная раковина оказывается уже сформированной, однако окончательный рельеф уха оформляется лишь к концу седьмого месяца развития эмбриона [13] .

Таким образом, верхняя и нижняя челюсти, жевательная и мимическая мускулатура, наружное ухо и костные структуры среднего уха формируются из первой и второй жаберных дуг с третьей по восьмую неделю развития эмбриона. Этот период является "критическим" в отношении возникновения пороков развития лица и челюстей. Нарушить нормальное развитие черепно-лицевых структур на данном этапе может сочетанное воздействие внешних факторов, хромосомных и генетических аномалий.

Классификация и стадии развития синдрома Гольденхара
Объём дефектов лицевых структур оценивается по классификации OMENS, в которой выделяют пять групп аномалий:
- O — поражение глазницы;
- M — недоразвитие нижней челюсти;
- E — аномалия уха;
- N — вовлечённость нерва;
- S — дефицит мягких тканей.
Степень тяжести данных дефектов определяется по классификации, созданной учёными Pruzansky S. и Kaban L. B.:
- 1 степень — уменьшение нижней челюсти и суставной ямки височной кости с сохранением анатомии других структур;
- 2а степень — деформация ветви нижней челюсти, суставного отростка и суставной ямки, сопровождается дефицитом жевательной мускулатуры, при этом функция височно-нижнечелюстного сустава сохраняется;
- 2б степень — недоразвитие и деформация мыщелка и суставной ямки, при этом височно-нижнечелюстной сустав не функционирует;
- 3 степень — отсутствие ветви нижней челюсти, мыщелка и суставной ямки с выраженным дефицитом мягких тканей на стороне поражения, височно-нижнечелюстной сустав не сформирован [16] .

Основываясь на своих многолетних наблюдениях, стоматолог-хирург Г. В. Кручинский выделил три варианта синдрома Гольденхара, каждый из которых подразделил на несколько типов:
- Синдром первой и второй жаберных дуг:
- односторонний ушной тип — лицо симметрично, наблюдаются аномалии ушной раковины;
- односторонний челюстно-лицевой и ушной тип (редко бывает двусторонним) — асимметрия лица из-за недоразвития челюстей и других прилегающих структур лёгкой и средней степени тяжести;
- односторонний черепно-челюстно-лицевой, суставной и ушной тип (редко бывает двусторонним) — выраженная асимметрия лица из-за тяжёлой степени недоразвития челюстей и прилегающий структур, отсутствия суставного отростка, головки и даже суставной ямки, атрофии подкожной клетчатки, слюнных желёз, мимических и жевательных мышц.
- Синдром первой жаберной дуги:
- односторонний нижнечелюстной тип — умеренная асимметрия лица из-за недоразвития нижней челюсти средней степени тяжести с сохранением формы ушной раковины, сужением слухового прохода или свищом;
- односторонний или двусторонний нижнечелюстной и ушной тип — умеренная асимметрия лица из-за недоразвития нижней челюсти средней степени тяжести с сужением слухового прохода и аномалией ушной раковины (её опущением, уменьшением и пр.).
- Простой синдром второй жаберной дуги:
- односторонний или двусторонний ушной тип — лицо симметрично, наблюдаются аномалии ушей в сочетании с дефектом мочек и лопоухостью.
По информации европейской базы данных редких заболеваний Orphanet [4] , все клинические проявления синдрома Гольденхара можно разделить на три группы:
- Очень частые (80-99 %):
- асимметрия лица;
- недоразвитие верхней челюсти;
- нарушение слуха;
- околоушные выросты (добавочные ушные раковины);
- уплощение лицевых скул.
- Частые (30-79 %):
- аномалии внутреннего и среднего уха;
- аномалии позвонков;
- аномалии ушных раковин (чаще односторонние), вплоть до недоразвития;
- атрезия (заращение) наружного слухового прохода; ;
- нарушение грудного вскармливания;
- нарушение речи;
- расщелина нёба и/или верхней губы (заячья губа).
- Редкие (5-29 %):
- агенезия мозолистого тела (отсутствие проводящих путей между правым и левым полушариями);
- отсутствие одной или двух почек;
- аномалии гортани;
- аномалии рёбер;
- недоразвитие или отсутствие глаза, больших пальцев кистей;
- атрофия коры головного мозга; ;
- вентрикуломегалия (увеличение мозговых желудочков);
- недоразвитие лёгких;
- аномалия расположения почек;
- недоразвитие части верхнего века (колобома);
- аномалия гортани и трахеи;
- макростомия (незаращение уголка рта);
- мышечная гипотония (слабость);
- нарушение зрения;
- низкий рост;
- пороки сердца (тетрада Фалло, дефект межжелудочковой перегородки); ;
- трахеопищеводный свищ; .

Осложнения синдрома Гольденхара
В раннем возрасте асимметрия нижней челюсти приводит к неправильному развитию и прогрессирующей деформации верхней челюсти и остальных структур лицевого скелета. Со временем ребёнку становится трудно жевать и глотать. При выраженном недоразвитии нижней челюсти у пациента могут возникнуть постоянные проблемы с дыханием, вплоть до апноэ во сне (остановки дыхания).
В целом расщелины лица и/или нёба, недоразвитие верхней и нижней челюсти, лицевых мышц, скуловой и/или височной костей способны вызывать проблемы с зубами, трудности при кормлении, нарушение речи и изменение эстетических параметров лица.
Аномалии ушных раковин в некоторых случаях сопровождаются атрезией (заращением) слухового канала либо полным его отсутствием, что приводит к нарушению слуха. Из-за этого ребёнку сложнее ориентироваться в пространстве, так как он не понимает, откуда исходит тот или иной звук.
Аномалии глаз, такие как дермоидные кисты глаз и колобомы (недоразвитие части верхнего века), способны приводить к нарушению зрительной функции вплоть до частичной или полной потери зрения [1] [4] [7] .
Диагностика синдрома Гольденхара
Как правило, диагностировать синдром Гольденхара не составляет труда. Постановка этого диагноза основана на оценке внешних признаков, клинической симптоматике и результатах дополнительных исследований — КТ, рентгенографии, МСКТ черепа, эхокардиографии и ультразвуковой диагностики. КТ, как правило, проводится для подготовки ребёнка к оперативному лечению.

Генетическое тестирование может быть предложено для подтверждения диагноза, т. е. для исключения генетических состояний, включающих аналогичные лицевые аномалии, связанные с хромосомными и моногенными нарушениями. К таким заболеваниям относятся прогрессирующая гемиатрофия лица, синдром Нагера, челюстно-лицевой дизостоз и др. Однако минимальные диагностические критерии не установлены. Имеются описания единичных случаев диагностики данного синдрома с помощью тестирования до родов.
После рождения всем детям до наступления 6 месяцев во избежание задержки психоречевого развития проводится оценка слуха. Для этого выполняется измерение слуховых вызванных потенциалов: регистрация реакции мозга на звуковые раздражители. Зачастую на поражённой стороне у детей с синдромом Гольденхара выявляется тугоухость.
Лечение синдрома Гольденхара
Для лечения пациентов с синдромом Гольденхара применяются многоэтапные хирургические вмешательства, которые проводятся в разные периоды роста и развития черепно-лицевых структур. Лечение длительное, зависит от локализации и выраженности патологии. Оно направлено на восстановление формы и размеров челюстей, ушной раковины и других структур, а также на восстановление функций слуха, жевания и улучшение эстетических параметров лица [3] [6] [8] .
Лечение проявлений синдрома Гольденхара следует начинать как можно раньше. Своевременная коррекция челюстных нарушений у ортодонта способствует успешному хирургическому лечению в последующем и сохраняет баланс лицевого скелета.
Для устранения выраженных дефектов нижней челюсти применяют индивидуально-смоделированные эндопротезы либо костно-хрящевые аутотрансплантаты из рёбер, обладающие тенденцией к росту. Для устранения дефектов ушной раковины также используются силиконовые эндопротезы либо аутотрансплантаты.

При выявлении нарушений слуха проводится слухопротезирование с помощью слуховых аппаратов либо альтернативными методами. Также необходимы регулярные занятия с сурдопедагогом и логопедом. Всё это позволяет предотвратить отставание ребёнка в речевом и общем развитии.
Решение проблем с кормлением заключается в применении специальных бутылочек и назогастрального зонда — трубки, которую вводят в желудок через нос.

Новообразования, локализующиеся на поверхности глазных яблок, могут быть удалены в случае нарушения зрения или при крупных размерах опухоли. У детей до 7 лет операция по удалению кисты проводится под наркозом. Врождённые пороки сердца, проблемы с почками и/или аномалии позвоночника также корректируются хирургическими методами [17] .
Прогноз. Профилактика
Прогноз жизни пациента с синдромом Гольденхара зависит от тяжести клинический проявлений, времени их диагностики и возможной коррекции. Долгосрочный прогноз предсказать сложно [13] .
Как правило, возникновение синдрома Гольденхара носит случайный, ненаследственный характер. При рождении больного ребёнка у здоровых родителей повторный генетический риск для потомства составляет не более 2-3 % [21] .
При отягощённом семейном анамнезе не исключён наследственный характер заболевания. В таком случае риск для потомства по краниофациальной микросомии повышен. Для оценки риска показано медико-генетическое консультирование. Однако отсутствие конкретного мутирующего гена, характерного для развития синдрома Гольденхара, не позволяет точно предсказать выраженность симптомов у потомства.
Первичная (массовая) профилактика синдрома Гольденхара, как и любой врождённой аномалии, заключается в информировании населения и полноценной дородовой подготовке, направленной на предупреждение возникновения заболевания.
Индивидуальная профилактика синдрома предполагает проведение медико-генетического консультирования семьи и пренатальной ультразвуковой диагностики беременной женщины в установленные сроки [12] .
Читайте также:
