Анатомия : Прикус зубов. Зубной прикус. Рентгенологическое исследование зубов
Добавил пользователь Владимир З. Обновлено: 21.11.2025
Зубы являются составной частью жевательного и речевого аппарата. Зубы принимают участие в жевании, дыхании, образовании голоса и речи.
Корень зуба находится в специальном углублении челюсти — альвеоле. Основной функцией корня является крепление зуба к челюсти с помощью мощного связочного аппарата. Корень горизонтально принято разделять на щечную, среднюю и верхушечную часть. Вертикально делятся на дистальную, медиальную, среднюю трети. В медиальной норме делятся на вестибулярную, среднюю и язычную (оральную) часть.
Шейка зуба расположена между корнем и коронкой и тесно связана со слизистой оболочкой десны. У шейки зуба находится важный переходной элемент — десневая борозда. Травма этого участка зуба приводит к рецессии десны с открытием переходной дентин эмалевой границы, что в свою очередь приводит к дальнейшим разрушениям, незащищенной эмалью области зуба.

Анатомия зуба и пародонта показанные в разрезе.
Коронка зуба в норме выступает над краем десны. Коронка покрыта эмалью — самой твердой, жевательной частью зуба. В коронке зуба находится полость зуба, которая переходит в зубной канал. В полости зуба находится рыхлая ткань — зубная пульпа, которая заполняет коронковую и корневую часть зубной полости. В пульпе проходят сосуды и нервы.
Связочный аппарат зуба состоит из прочных соединительнотканных волокон, соединяющих шейку и корень зуба с костной пластинкой, находящейся в альвеоле челюсти. В области шейки эти пучки волокон имеют горизонтальное направление и образуют вместе с десной и надкостницей круговую связку зуба, которая отделяет корневую часть от окружающей среды. Связочный аппарат выполняет фиксацию и амортизацию зуба во время жевания, при жевании нагрузка на коренной зуб может достигать 100 кг и без подобных амортизаторов может произойти травма дна альвеолы. Все связки, сосуды и нервы зуба носят обобщающее название — периодонт.
Гистологически зуб состоит из нескольких видов тканей. Основная масса зуба представлена дентином. Коронка зуда покрыта эмалью, а корень зуба — цементом.
Дентин — это коллаген, который очень сильно пропитан минеральными солями, в основном фосфорнокислой известью. Это придает дентину особую прочность при минимальной ломкости. Дентин пронизан огромным числом тончайших канальцев — до 50 тысяч на квадратный миллиметр поверхности. В них работают и обеспечивают рост, развитие и жизнеспособность зуба клетки — одонтобласты. В ней достаточно интенсивно происходит обмен веществ.
Эмаль в основной массе состоит из неорганического вещества. Она представлена эмалевыми призмами, которые отвечают за особую её прочность, и межпризменным веществом. Эмаль защищает зубы от износа. После повреждений она не восстанавливается. Поражение эмали наблюдается при кариесе зубов, флюорозе.

Порядок расположения постоянных зубов на верхней и нижней челюсти.
Пульпа представлена кровеносными сосудами, лимфатическими сосудами, нервами, клетками — одонтобластами. Одонтобласты формируют слой на поверхности зубной полости и своими многочисленными отростками проникают во все канальцы дентина, осуществляется обмен веществ в зубе. Пульпа выполняет множество функций, среди которых и трофическая (питательная), защитная, регенеративная, и регуляторная. Обилие сосудов и нервов при развитии воспаления довольно быстро приводит к сильному болевому синдрому.
Цемент покрывает корневую часть зуба и отвечает за прикрепление связочного аппарата к зубу. Гистологически различают два типа цемента: клеточный (вторичный) цемент и бесклеточный (первичный). Клеточный цемент по составу и строению напоминает грубоволокнистую кость, содержит цементоциты. Обычно он расположен в верхушечной части корня и в области бифуркации корней. Бесклеточный цемент покрывает оставшуюся часть корня. Он содержит цементоциты и состоит из коллагеновых волокон и аморфного склеивающего вещества.
Кровоснабжение зуба осуществляется веточками, отходящими от наружной сонной артерии. Наиболее значимые веточки — верхнечелюстная и нижняя альвеолярная артерии. Венозная система повторяет артериальную. Венозная система зубов тесно связана с мозговыми венозными синусами, поэтому стоматологические заболевания могут давать осложнения в виде тромбозов вен твердой мозговой оболочки.
Иннервация зубов осуществляется в основном тройничным нервом. Тройничный происходит от трех веточек этого нерва — верхнечелюстного, нижнечелюстного и глазного. Симпатические и парасимпатические нервные волокна регулируют кровообращение: при выделении симпатическими нервными волокнами норадреналина происходит сокращение сосудов, а при выделении парасимпатическими нервами ацетилхолина — расширение их.
Лимфатические сосуды зуба обеспечивают отток лимфы через ближайшие лимфоузлы, часть из которых доступна для пальпации, с помощью их обследования можно косвенно судить о наличии воспалительных заболеваний. Для более детальной постановки диагноза применяют методы рентгеноконтрастных исследований лимфатической системы.
Молочные зубы
Различают временный, сменный и постоянный прикусы.
Временный прикус представлен 20 молочными зубами, которые полностью проявляются к 2 годам. В сменном прикусе одновременно есть и молочные, и постоянные зубы. Формирование временного заканчивается с прорезыванием последнего молочного зуба. В этот период до 6 лет, когда молочные зубы начнут сменяться постоянными зубами, следует тщательно следить за тем, не присутствуют ли у ребёнка вредные привычки (сосание пальца), не нарушено ли дыхание, речь, не слишком ли рано выпали первые молочные зубы. В дальнейшем это может негативно отразиться на постоянном прикусе.

Постоянные зубы
По форме и функции различают 4 группы зубов:
- Резцы передние зубы, по четыре на каждой челюсти. Функция их состоит в откусывании пищи. Корень у резцов одиночный, конической формы. Корень длиннее коронки.
- Клыки по два на каждой челюсти, нужны для отрывания пищи. Корень у клыков одиночный. Корень у нижнего клыка короче, чем у верхнего. Может быть раздвоение у верхушки, переходящий иногда в двойной корень.
- Премоляры по четыре на каждой челюсти в постоянном прикусе, в молочном их нет. Служат для раздавливания, грубого перемола пищи. Имеют один корень, в некоторых случаях имеет место раздвоения корня. Коронка призматической формы у верхних премоляров, а у нижних вестибулярная поверхность выпуклая.
- Моляры по шесть зубов на каждой челюсти в постоянном прикусе и по четыре в молочном. Предназначены для измельчения и растирания пищи. Имеют по два или три корня и жевательную поверхность, образуя тремя, четырьмя или пятью бугорочками.
Поверхности зубов
Для описания рельефа зубов и локализации патологических процессов различают следующие поверхности коронки зуба:
Прикус зубов человека — виды и аномалии

Процесс формирования прикуса длительный — от рождения до подросткового возраста. Выделяют 5 периодов.
- Начальный (до 6 месяцев): нет зубов, верхняя челюсть по размеру больше нижней. В это время чрезвычайно важен активный процесс кормления для правильного развития челюстного аппарата.
- Формирующийся временный прикус (6 месяцев — 3 года): появляются молочные зубы и прикус, но пока временный. Данный этап сопровождается воспалением дёсен, подъёмом температуры, часто бывает скрежет зубов (бруксизм), появившиеся зубы могут быть криво расположенными. Важно поддерживать гигиену, не предпринимая каких-либо ортодонтических мер.
- Сформированный временный прикус (3 — 6 лет): молочные зубы прорезались и могут по-разному смыкаться, продолжается рост челюстей. Это время активного использования зубов. Характерно стирание временных зубов, что считается нормой перед предстоящей сменой.
- Сменный прикус (6—12 лет): рост челюстей, выпадение молочных зубов и появление постоянных. Часто новые зубы, особенно нижние, прорезываются неровно. За данный период необходимо определиться с планом дальнейшего исправления прикуса.
- Постоянный прикус (12 — 15 лет): замена молочных на постоянные, видны все 28 зубов, нет зубов мудрости. Период наиболее благоприятен для ортодонтического лечения.
Чтобы прикус сформировался правильно, должно быть внимательное отношение к прорезыванию зубов, соблюдению гигиены ротовой полости и вовремя разработанный план исправления формирующихся проблем.
Виды прикусов зубов у человека
Точно диагностировать аномалии зубочелюстной системы может только врач-ортодонт. Как проверить прикус зубов в домашних условиях, не обращаясь в клинику? Есть объективные признаки, которые позволят определить, в порядке ли зубные ряды.

Правильный прикус зубов
Идеальный ортогнатический прикус подразумевает наличие следующих признаков:
- Верхняя зубная дуга слегка наклонена вперед и имеет форму полуэллипса, нижняя, в форме параболы, — немного назад.
- При смыкании челюстей каждый верхний зуб контактирует с противоположным зубом снизу.
- Отсутствуют явные зазоры между зубами.
- Верхние зубы перекрывают нижние примерно на треть их высоты.
Несмотря на то, что существуют вышеуказанные параметры безупречной улыбки, на вопрос «Каким должен быть прикус зубов?» нельзя ответить однозначно. Помимо ортогнатического прикуса в современной ортодонтии допускается несколько вариантов нормы строения зубных рядов и расположения челюстей.
Ортогнатический
Верхний зубной ряд перекрывает нижний на 30% высоты, щели между зубами и промежутки между рядами отсутствуют.

Бипрогнатический
Зубные ряды слегка направлены в сторону преддверия рта.

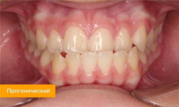
Прогенический
Нижняя челюсть немного выдвигается вперед.

Прямой
При смыкании челюстей верхние зубы соприкасаются с нижними режущими краями.

Неправильный прикус зубов
Посмотрите на свое отражение в зеркале. Если в глаза бросается чрезмерно оттопыренная верхняя или нижняя губа, «налезающие» друг на друга зубы, промежутки между зубными рядами при сомкнутых челюстях — это явный повод обратиться к специалисту. Описания зубочелюстных аномалий и фотографии зубов с патологиями прикуса представлены в таблице ниже.
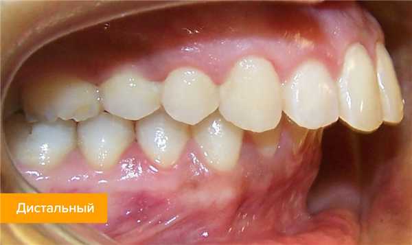
Дистальный (прогнатический)
При дистальном прикусе верхняя челюсть развита сильнее, чем нижняя.

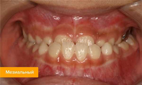
Мезиальный (медиальный)
При мезиальном прикусе нижняя челюсть выдвинута вперед.

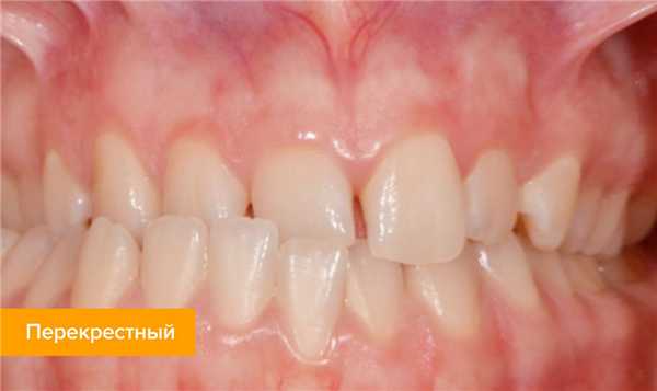
Перекрестный
При перекрестном прикусе зубные ряды пересекаются на манер ножниц при смыкании челюстей.

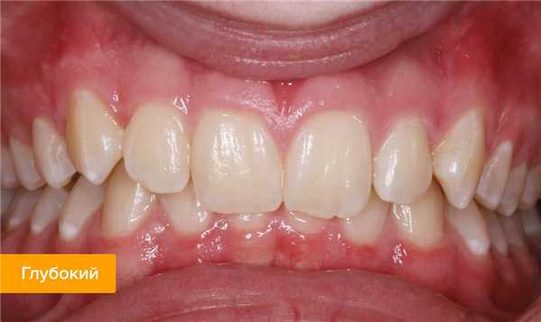
Глубокий
При глубоком прикусе верхние зубы значительно перекрывают нижние.

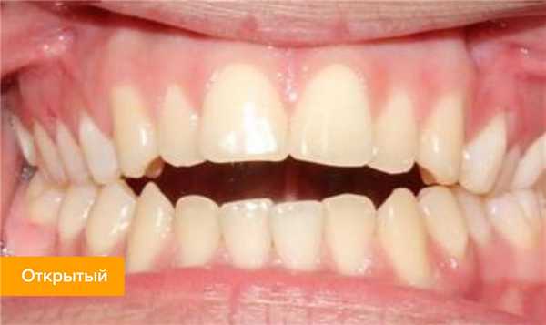
Открытый
Наличие выраженных промежутков между зубными рядами при сомкнутых челюстях говорит об открытом прикусе.

Прикус при отсутствии зубов
У человека без зубов возникают проблемы с функционированием височно-нижнечелюстных суставов, ухудшается эстетика лица, из-за потери тонуса кожи появляются морщины. Чтобы избежать неприятных последствий, необходимо восстановить прикус с помощью полного протеза, изготовленного по специальной методике.
Восстановление прикуса при полном протезировании
- Определяется центральное соотношение челюстей — положение нижней челюсти по отношению к верхней в трех плоскостях: вертикальной, сагиттальной и трансверсальной. Роль зубных рядов играют восковые валики.
- Измерения проводятся с помощью устройства, состоящего из внешней лицевой дуги-линейки и внутриротовой пластинки с плоской фронтальной частью и изогнутыми дистальными отделами.
- На гипсовой модели отмечаются границы будущей конструкции, линия середины альвеолярного отростка, бугры верхней и нижней челюсти, срединная линия.
- Искусственные зубы расставляются таким образом, чтобы при улыбке не была видна часть протеза, имитирующая десну.
Прикус после удаления зуба мудрости
Некоторые врачи убеждены, что зубы мудрости - атавизм, и от них нужно обязательно избавляться. В древние времена они служили для пережевывания жесткой пищи, например, сырого мяса. С развитием цивилизации рацион питания человека изменился, его челюсть стала постепенно уменьшаться — и «восьмерки» оказались лишними. Чаще всего перед тем, как приступить к исправлению прикуса, зубы мудрости удаляют. Тогда освобождается место для правильного формирования рядов, и результат выравнивания зубов будет намного лучше.

На что влияет прикус зубов?
Отрицательное влияние дефектов зубочелюстной системы на состояние всего организма было неоднократно доказано учеными. Список выявленных рисков для здоровья впечатляет даже ярых оптимистов.
- Из-за неправильного распределения жевательной нагрузки зубная эмаль стирается быстрее, зубы начинают болезненно реагировать на холодное и горячее, их шейки оголяются, образуются заметные промежутки между зубами.
- Возникают заболевания височно-нижнечелюстных суставов, сопровождающиеся головными болями и характерным щелканьем при движении челюстей.
- Страдает эстетика лица: меняются его пропорции, образуются морщины, зубные ряды искривляются, улыбка становится непривлекательной.
- Затрудняется надкусывание пищи, нарушаются жевательные функции, вызывая болезни желудочно-кишечного тракта.
- Появляются дефекты речи, искажается мимика, понижается самооценка.
- Скученность и искривленное положение зубов вызывают их ускоренное разрушение из-за частых сколов и кариозных поражений.
- Травмируется слизистая рта — щеки, десны, язык, воспаляются ткани полости рта.
- Ухудшается качество дыхания, что приводит к болезням носоглотки, трахеи, слухового аппарата.
Лечение прикуса зубов
Как изменить прикус зубов? Патологии зубочелюстной системы можно устранить только путем ортодонтического лечения. Исключением является коррекция снижающего прикуса, когда высота зубов с возрастом уменьшается из-за их стачивания. В подобных случаях исправляют прикус протезированием зубов коронками или винирами, а также с помощью имплантации. Остальные аномалии зубов и прикуса можно убрать в любом возрасте специальными ортодонтическими конструкциями или путем хирургического вмешательства.
Однако челюстно-лицевые операции проводятся лишь при серьезных отклонениях от нормы. Обычно для коррекции прикуса зубов врачи предлагают провести коррекцию брекетами или элайнерами.
Неправильный прикус зубов — причины и последствия
Патологии прикуса — один из самых частых поводов обращения к стоматологу. Возвращением зубов «на место» люди занимаются с древних времен — сохранились свидетельства, что этим вопросом интересовались еще в Древнем Египте. Однако только в последние десятилетия врачи пришли к выводу, что исправлять аномальный прикус нужно обязательно. Своевременное ортодонтическое лечение помогает избежать серьезных последствий для всего организма в будущем. В этой статье ведущий ортодонт стоматологической клиники ЗУУБ на Липецкой в Москве Половков Дмитрий Анатольевич рассказывает об опасностях неправильного прикуса и способах его исправления.
Правильный прикус — что это?
Нормальный, или физиологический прикус, характеризуется отсутствием нарушений в расположении зубных рядов относительно друг друга при полностью сомкнутых челюстях. Он может быть:
- правильным, или ортогнатическим — в этом случае верхние зубы перекрывают нижние на треть их высоты и при этом между зубными рядами нет выраженных зазоров;
- прямым — обе челюсти четко смыкаются;
- бипрогнатическим — и верхний, и нижний зубной ряд незначительно наклонены вперед;
- прогеническим — немного вперед выдвинута только нижняя челюсть, но это не мешает режущим краям зубов полностью смыкаться.
Правильный прикус — это отсутствие выраженных зазоров между зубами, когда зубы верхнего ряда контактируют с противоположными им нижними. Прикус без патологий ортодонты определяют по таким признакам.
- Верхние передние зубы перекрывают нижние на 1/3 их высоты.
- Резцы и клыки расположены ровной дугообразной линией без перекосов и щелей.
- Верхние зубы выступают немного наружу, нижние «смотрят» слегка внутрь.
- Все зубы находятся четко друг под другом.
- Центр челюстей по вертикали совпадает с срединной линией лица, нет выступающих частей скул, подбородка.
Важно помнить, что для формирования правильного прикуса нужно внимательно относиться к прорезыванию зубов и уходу за ними.

Что значит неправильный прикус?
Для аномального прикуса характерны как патологически расположенные челюсти, так и значительные физиологические и эстетические нарушения. Говоря о неправильном прикусе надо помнить, что это серьезная проблема, требующая квалифицированной помощи специалиста. Многие недооценивают ее, считая, что кривые зубы — это некритично.
Причины формирования неправильного прикуса
Нарушенный прикус (неправильная окклюзия) обусловлен разными причинами: врожденными или приобретенными. Важная роль отводится генетическим факторам, а также недостаточному поступлению кальция в организм матери при вынашивании ребенка. Проблемы с прикусом наследственного характера подразумевают определенные нюансы в лечении. Поэтому перед проведением каких-либо ортодонтических манипуляций врач разговаривает с родителями и узнает обо всех возможных факторах возникновения патологии.
Приобретенный неправильный зубной прикус формируется постепенно. В разном возрасте он появляется из-за своих причин.
В детстве
- Вредные привычки (сосание пальцев, пустышки, привычка грызть предметы).
- Нахождение на искусственном вскармливании.
- Патологическое формирование костей.
- Скрежетание зубами (бруксизм).
- Отсутствие достаточного объема твердой пищи в рационе ребенка.
- Ротовое дыхание (формируется как привычка или вследствие заболеваний органов дыхания).
- Слишком рано или поздно происходящая замена молочных зубов.
- Патологии, связанные с обменом веществ.
- Дефицит кальция и фтора.
- Выраженное кариозное поражение.
- Травмы челюстно-лицевого аппарата
У взрослых
- Установка неподходящих протезов.
- Диастемы, которые образуются вследствие экстракции зубов.
- Различные виды травм.
- Недостаток места для восьмерок (зубов мудрости).
- Необычная локализация языка.
- Заболевания опорно-двигательного аппарата.
Типы неправильного прикуса у взрослых и детей
Врачи-стоматологи обычно разделяют аномальные окклюзии по плоскостям.
- Сагиттальная — характерны удлиненные/ укороченные ряды зубов.
- Трансверзальная — видны суженные/расширенные зубные ряды.
- Вертикальная — наличие укороченных/удлиненных некоторых участков в зубных рядах.
Помимо этого, в стоматологической практике принято использовать следующую классификацию прикуса.
- дистопический прикус — смещение одного или нескольких зубов;
- снижающий — формируется из-за разрушенных и (или) утраченных зубов.
Как определить: неправильный прикус или правильный?
Точно диагностировать аномальную окклюзию — это задача врача-стоматолога, но заметить проблему может и не специалист. Итак, нужно записаться к ортодонту, если у вас: нижняя челюсть выдвинута вперед, наблюдается оттопыренность верхней губы, нет совпадения кромок зубов, челюсти смыкаются неестественно, овал лица не симметричен, средние линии зубных рядов не совпадает со средними лицевыми линиями. Консультация врача в этих случаях обязательна!
Неправильный прикус зубов: что делать?
- Детям до 7-летнего возраста показаны комплекс гимнастических упражнений и массаж, которые помогут решить проблему.
- Детям младше 10-летнего возраста уже назначают трейнеры, с помощью которых можно задать необходимое направление зубам. Носить их необходимо определенное количество часов в течение суток. Но, если патологии более запущенные, используются съемные пластинки и капы. Коррекция аномалии по срокам занимает примерно 2 года.
- Детям в возрасте 10-12 лет лет для исправления прикуса используют брекеты — специальные ортодонтические конструкции, состоящие из силовой дуги и замочков, которые задают индивидуальное направление каждому зубу. Ставить в более раннем возрасте их нельзя, необходимо, чтобы все молочные зубы сменились постоянными. Сколько носить брекеты при неправильном прикусе, определяет лечащий ортодонт.
Весьма распространенный метод лечения у взрослых — ношение брекет-системы. Также сейчас очень популярны прозрачные капы (элайнеры). Их изготавливают из прозрачного пластичного материала. Элайнеры эффективны в плане коррекции нарушенной окклюзии, удобны в применении и выглядят очень эстетично. Все подробности о данной методике можно узнать здесь.
В тех случаях, когда пациент не настроен на долгое исправление прикуса элайнерами или брекетами, есть еще одно решение — микропротезирование. При этом устанавливаются специальные накладки на зубы — виниры, с помощью которых можно корректировать неровности зубов и щели между ними. Но при наличии серьезных нарушений прикуса эта методика не применяется.
Существуют такие дефекты прикуса, при которых показано только хирургическое лечение. Среди примеров: сильно выраженные деформации прикуса, асимметрия лица вследствие травм или наследственных причин, дисплазия подбородка.
К каждому способу ортодонтического лечения есть как показания, так и противопоказания. Способ лечения сможет определить только врач-ортодонт после тщательного осмотра и полноценной диагностики.
Последствия неправильного прикуса
Ошибочно думать, что патологичный прикус касается только внешнего вида и приводит лишь к непривлекательной улыбке. Здесь проблемы возникают более серьезные. Например, у 90% людей при аномальной окклюзии также выявляется неправильная осанка. Этому есть логичное объяснение: при нарушенном прикусе происходит смещение центра тяжести головы. Это в свою очередь воздействует на механизмы компенсации мышечно-связочного аппарата челюстно-лицевой системы. Как итог всего этого — усиление патологии смыкания зубов.
Эстетически аномалии окклюзии приводят к лицевой асимметрии. Становится выраженным "безвольный" подбородок, некрасиво оттопыриваются губы.
В чем заключается опасность неправильного прикуса.
Кроме визуальных проблем часто возникают более серьезные нарушения функций, со стороны внутренних органов в том числе.
- Из-за повышенной и неравномерной нагрузки на зубы развивается пародонтоз, зубы начинают разрушаться.
- Неполноценное пережевывание пищи приводит к нарушениям работы пищеварительной системы.
- Нарушается функционирование височно-нижнечелюстного сустава.
- Дыхательная система также начинает работать со сбоями.
- Замедленный обмен веществ.
- Повышенный риск развития кариеса, особенно при перекрестном виде смыкания зубов.
- Проблемы с произношением звуков.
Помимо всего прочего, при аномалиях прикуса значительно усложняется ежедневный уход за зубами, что способствует постоянному накоплению налета на них.

Что делать, чтобы избежать неправильного прикуса.
Последствий аномалий прикуса можно избежать, приняв меры вовремя, а именно в детстве. Здесь ответственность ложится в большей степени на родителей, которые могут своевременно обратить внимание на проблемы и провести профилактику. Важно учитывать риск врожденных нарушений, наследственную предрасположенность, а также устранять неблагоприятные факторы:
- не допустить развитие рахита и других болезней, нарушающих рост костей;
- правильно кормить малыша из бутылочки;
- следить за положением тела ребенка во время сна (поза без напряжения, голова не откинута назад и т.д.);
- поддерживать правильную осанку;
- вовремя отучить ребенка от пустышки, привычки сосать палец, игрушки и другие предметы;
- сразу лечить молочные зубы, ведь их ранняя потеря (как и слишком поздняя) может отрицательно повлиять на прикус;
- не допускать нарушений носового дыхания, а именно проводить терапию заболеваний ЛОР-органов и ОРВИ.
При выявлении аномалий в развитии зубов в детском возрасте своевременная помощь врача-ортодонта поможет решить проблемы быстрее, чем у взрослых в запущенных случаях. У детей, как правило, еще нет необходимости в хирургическом вмешательстве и даже комплекс лечебной гимнастики для лицевых мышц может значительно помочь в исправлении прикуса.
Идеальный прикус зубов у человека

По приблизительным подсчетам, примерно 80% мужчин и женщин, живущих сегодня, имеют неправильный прикус. Существует множество ортодонтических аномалий, которые в разной степени влияют на здоровье и качество жизни, однако очень небольшому числу людей повезло больше: природа наградила их идеальным прикусом. О том, какой прикус можно считать идеальным и что делать, если ваш зубной ряд не соответствует образцовым параметрам, читайте в нашей статье.
Содержание статьи
Формула идеального прикуса
Прежде чем начать рассказывать о формуле идеального прикуса, нужно разобраться с самим понятием, поскольку далеко не все четко понимают, что такое прикус. Итак, прикус зубов — это соотношение зубных рядов при смыкании верхней и нижней челюстей. Закройте рот, подойдите к зеркалу, улыбнитесь — и вы сможете наблюдать видимую часть своего прикуса.
Так как в формировании прикуса участвует каждый зуб, все индивидуальные ортодонтические особенности можно узнать только после проведения рентгеновских снимков или снятия слепков челюсти. В среде профессионалов употребляется и еще одно понятие — окклюзия. Окклюзией называют любой контакт челюстей при совершении жевательных движений. В зависимости от положения челюстей выделяют несколько типов окклюзии, а «прикус» — это наиболее популярный и ходовой синоним центральной окклюзии, то есть состояния челюстей, когда обе они сжаты и находятся в статическом положении.

Какой прикус можно назвать идеальным?
«Сколько людей, столько и прикусов», — часто шутят врачи-ортодонты. Несмотря на юмористическую интонацию, доля правды в этом высказывании действительно имеется. Это в частности касается и правильного прикуса: индивидуальные особенности строения челюсти позволяют считать нормой сразу несколько вариантов расположения челюстей и зубов относительно друг друга. Конечно же, существует ряд параметров, по которым определяется так называемый идеальный прикус зубов. Ниже вы можете увидеть таблицу правильного прикуса, где вкратце описаны все возможные варианты.
- Ортогнатический прикус
Это и есть тот самый эталон правильного прикуса, который встречается менее чем у 5% от общего числа людей.
Ортогнатический прикус имеет следующие характеристики:
— зубы на верхней челюсти при смыкании контактируют с теми же зубами на нижней челюсти, не выходя за их пределы;
— верхние зубы слегка покрывают нижние (не более чем на одну треть, то есть примерно на 2 — 3 миллиметра), зубной ряд при этом не имеет наклона внутрь или наружу;
— между двумя верхними и двумя нижними резцами проходит срединная линия лица;
— отсутствуют кривизна, щели и скученность зубов.
Как правило, люди с ортогнатическим прикусом имеют идеальное строение челюстей и правильный овал лица.
Также считается вариантом нормы. При прогеническом прикусе нижняя челюсть слегка выдвинута вперед.
По своим характеристикам близок к ортогнатическому признаку. Единственное видимое отличие состоит в том, что при бипрогнатическом прикусе зубной ряд расположен под наклоном вперед.
Верхние зубы не перекрывают нижние на одну треть, как при ортогнатическом прикусе, а соприкасаются с ними режущими краями.
Виды ортодонтических нарушений
Многих интересует, как можно визуально определить неправильный прикус. Если у вас выдающаяся верхняя или нижняя челюсти, кривые зубы и наблюдается заметная асимметрия лица, скорее всего, у вас есть проблемы с прикусом. Однако не торопитесь делать поспешных выводов: точный диагноз может поставить только квалифицированный врач-ортодонт. Ну а мы публикуем таблицу неправильного прикуса.
- Дистальный (прогнатический)
Характеризуется диспропорцией челюстей, когда верхняя челюсть гораздо более развита, чем нижняя. Верхний зубной ряд значительно выступает вперед. Узнайте подробнее о дистальном прикусе.
При мезиальном прикусе, наоборот, нижняя челюсть выдается вперед. Узнайте подробнее о мезиальном прикусе.
Его второе название — ножницеобразный прикус, поскольку зубы верхней и нижней челюсти частично не сходятся друг с другом, отчего зубной ряд напоминает ножницы. Узнайте подробнее о перекрестном прикусе.
Один из самых распространенных типов неправильного прикуса, когда верхние зубы покрывают нижние более чем наполовину. Нижние резцы при этом могут травмировать мягкие ткани при смыкании челюстей. Узнайте подробнее о глубоком прикусе.
Зубные ряды не могут полностью сомкнуться, из-за чего образуются характерные полости. Узнайте подробнее об открытом прикусе.
Почему так важен идеальный прикус?
Если вы считаете, что неправильный прикус грозит лишь ухудшением эстетики улыбки, то вы ошибаетесь. Отсутствие своевременного ортодонтического лечения приводит к целому ряду осложнений, в числе которых нарушение работы височно-нижнечелюстного сустава, головные боли, асимметрия лица и травмы слизистой оболочки.
Виды прикуса: какой правильный и как его определить?

Прикус зубов - это взаимное расположение зубных рядов при полном смыкании челюстей.
Формирование зубочелюстной системы начинается во внутриутробном развитии. К 11 неделе у плода определяется полоски челюстей. Практически все дети рождаются с неправильным прикусом. Нижняя челюсть сдвинута назад. Стоматологи называют это явление ретрогнатией. Когда ребенок активно сосет, мышцы тренируются. К 6-8 месяцам при грудном, и немного позже, при искусственном вскармливании, нижняя челюсть занимает правильное положение. Для детей на искусственном вскармливании необходимо отслеживать положение тела, отверстие в соске. Если смесь не льется из бутылочки, приходится прикладывать усилие, чтобы ее получить, язык и мышцы челюсти ребенка получают достаточную нагрузку и аномалий прикуса возможно избежать.
Этапы формирования прикуса
Первый этап завершается к моменту прорезывания зубов. Затем формируется:
Период: от 6 месяцев до 3-х лет. Зубы активно растут, соотношение их в челюсти меняется. Когда все зубы прорезались, наступает этап сформированного временного прикуса. Он длится до того момента, когда молочные зубы начинают заменяться постоянными. Количество зубов - 20. На их расположение оказывают влияние привычки ребенка: сосание пальца, уголка покрывала, долгое применение соски. Большинство причин патологий появляются в этом возрасте.
Период: 6-14 лет. Активный рост постоянных зубов повышает прикус, способствует изменению положений челюсти относительно друг друга. Челюсти находятся в стадии формирования. Это - идеальное время для ортодонтического лечения.
Окончательно формирование челюстей завершается к 21 году, но перемещение зубов происходит всю жизнь. Зубы стираются от трения боковых частей, из-за этого их положение в челюсти меняется, хотя мы этого не замечаем. Стоматологи называют этот процесс мезиальным перемещением.
Как выглядит правильный прикус зубов
Физиологический (правильный) прикус у человека характеризуется:
- адекватной формой зубного ряда. Верхний выглядит, как полуэллипс, нижний напоминает параболу;
- верхние резцы перекрывают нижние на ⅓ высоты;
- контакт есть между всеми зубами;
- нижние зубы располагаются отвесно, верхние наклонены;
- каждый зуб, кроме 4-х, имеет по 2 антагониста (единица напротив);
- правильный прикус на схеме отмечен симметрией резцов;
- жевательные зубы контактируют друг с другом.

Правильный прикус у взрослых имеет свои разновидности. Все они считаются вариантом нормы:
- Ортогнатический. Верхние зубы слегка перекрывают нижние, все моляры и премоляры смыкаются.
- Прямой. Верхние зубы не перекрывают нижние, а стыкуются с ними. Боковые зубы смыкаются хорошо.
- Физиологическая прогения. Нижние зубы выступают за верхние, но контакт сохраняется. Боковые зубы смыкаются без щелей.
- Бипрогнатический. Резцы обеих челюстей наклонены вперед, при сохранном контакте.
Другие виды прикуса в стоматологии
Выделяют 3 большие группы прикусов.
- Нормальные (физиологические). У этих прикусов несколько вариантов, но зубы смыкаются, челюсти занимают правильное положение, зубы симметричны по резцам.
- Аномальные. Дефекты врожденные, вызваны вредным воздействием на плод во время беременности или генетическими нарушениями
- Патологические. Дефекты, приобретенные после прорезывания зубов в результате болезней, отсутствия единиц, смещении зубов.
В жизни последние два понятия часто смешиваются и заменяют друг друга. По соотношению зубов и челюстей выделяют следующие типы прикуса:
Верхние зубы закрывают верхние больше, чем на ⅓. Контакт между зубами нарушен. Это приводит к нарушению жевательной функции, аномальному увеличению верхней челюсти, нарушению анатомического строения лица. Второе название этого дефекта - травмирующий. В результате патологии часто нарушается работа височно-нижнечелюстного сустава, травмируются слизистые, патологически стирается эмаль. Это самая распространенная патология.

Зубы не смыкаются полностью. Дефект может быть фронтальным или боковым. Для этой патологии характерно нарушение дикции, жевания, глотания. Наблюдается ротовое дыхание, отсюда пересыхание слизистой, частый кариес.

Дистальный
При таком дефекте, верхняя челюсть сильно выдвинута вперед. Передние зубы не смыкаются, а окклюзия задних нарушена. Характерны проблемы с дыханием, жеванием, глотанием. Пациенты жалуются на боли в суставах, частый кариес, болезни пародонта.

Мезиальный
Когда нижняя челюсть выдвинута вперед, говорят о прогении или мезиальном прикусе. Такая патология прикуса челюсти сопровождается диастемами (большими щелями между передними зубами) или тремами (щелями между любыми зубами). Часто у пациентов искривлены нижние зубы, наблюдается их скученность, повышенное отложение зубного камня.

Перекрестный прикус
Некоторые единицы заходят друг за друга, внахлест. Сложно поддается лечению, часто используют хирургическое вмешательство. Характеризуется деформацией лица, дефектами речи, нарушением жевательной функции и работы ВНЧС. Пациенты жалуются на постоянное прикусывание щек и языка.

Все патологические формы прикусов в ортодонтии рекомендованы к исправлению съемными (на молочные зубы) и несъемными конструкциями (брекетами), элайнерами.
Определение прикуса зубов
Часто проблемы с прикусом очевидны, но бывает и так, что внешне все выглядит нормально, но проблема есть. Поэтому лучше доверить определение прикуса стоматологу. Они используют специальные методы, чтобы определить правильный или неправильный прикус, и назначают лечение.
Ортодонт собирает анамнез, проводит общий осмотр и обследует ротовую полость и носоглотку. Обследуют дыхание, образование речи, глотание, жевание, откусывание.
Панорамный снимок или КТ позволяет выявить скелетные аномалии, увидеть точное расположение зубов, состояние корней, костной ткани.
Врач проводит обследование челюстей, делает и фиксирует все измерения.
Осмотр в неподвижном положении, при разговоре, открывании рта в боковой и фронтальной проекции.
Самостоятельно поставить челюсть на место невозможно, но чем раньше началось вмешательство, чем лучше будет результат. Восстановить правильное положение зубов после 25 лет очень сложно, лучше делать это в период, пока идет формирование прикуса.
Последствия
Влияние прикуса на состояние зубочелюстной системы и всего организма огромно.
Патологии прикуса приводят к:
- Потере зубов. Неравномерная жевательная нагрузка приводит к трещинам и сколам. Через нарушенный слой эмали бактерии проникают внутрь, поражая ткани пародонта. Развивается пародонтит. Зубы расшатываются и выпадают. Риск кариеса в таких случаях выше, чем у людей без дефектов.
- Нарушение работы височно-нижнечелюстного сустава (ВНЧС). Он начинает щелкать, болеть, в тяжелых случаях возможен вывих.
- Из-за скученности зубов быстро образуется зубной налет и камень, что провоцирует гингивиты и пародонтиты.
- Недостаточный контакт между зубами приводит к тому, что пища плохо пережевывается. Как следствие, возникают проблемы с ЖКТ.
- Ротовое, нарушенное дыхание вызывает болезни дыхательной системы.
- Положение челюстей влияет на осанку. Аномальное выдвижение челюсти вперед смещает центр тяжести, меняется положение шеи, грудная клетка проваливается, человек начинает сутулиться. Нарушается тонус мышц, начинаются боли в спине.
- Неправильный прикус искажает черты лица, нарушает его симметрию
Аномалии челюстей влияют на психологическое состояние. Человек замыкается в себе, избегает компаний. Нередки депрессивные состояния.
Ортодонтическое лечение восстанавливает физическое и эмоциональное равновесие, помогает поднять самооценку.
Понять, что прикус неправильный, недостаточно. Следующим шагом должно быть продуманное и обоснованное лечение.
Методы, применяемые для устранения патологии у детей и у взрослых отличаются.
При сменном прикусе используют:
- вестибулярные пластинки;
- функциональные аппараты;
- пластиночные аппараты;
- миофункциональные трейнеры.
Приемы лечения для подростков и взрослых:
- Брекет-системы. Несъемная конструкция из дуги и пластинок, которые оказывают давление на зубы. Дуги меняют, чтобы направлять зубы в нужное положение.
- Элайнеры. Прозрачные капы, практически незаметные на зубах. Капы снимают во время еды и гигиены. Используют элайнеры при несложных патологиях.
- Хирургическое вмешательство. Иногда, лечение съемными и несъемными конструкциями не приносит эффекта, или его невозможно применить. Тогда прибегают к операции. Верхнечелюстную кость отделяют от черепа, устанавливают в правильном положении и закрепляют штифтами. Нижнюю кость также моделируют хирургическим путем.

Удаление зубов при ортодонтическом лечении также относят к хирургическим методам.
Если вовремя проверить прикус зубов и принять меры, то лечение будет эффективным. Современные методы ортодонтии предлагают разные приемы исправления прикуса для детей и взрослых.
Читайте также:
