Симптомы лейкоплакии и дисплазии гортани, а также их лечение
Добавил пользователь Евгений Кузнецов Обновлено: 02.11.2025
Лейкоплакия шейки матки - это гинекологическое заболевание, механизм развития которого до настоящего времени до конца не изучен. Поэтому ни один специалист не может дать ответа, доброкачественное или злокачественное течение лейкоплакии будет у конкретной пациентки.
Статистика распространённости лейкоплакии шейки матки варьируется в широких пределах. По разным данным заболевание встречается у 1,1-12,5% женщин.
Лейкоплакия - что это
Лейкоплакия - это уплотнение и ороговение эпителия влагалищной или видимой части шейки матки. В переводе с греческого языка термин «лейкоплакия» звучит как «белая бляшка». В иностранных медицинских источниках это заболевание называют дискератозом или интраэпителиальной неоплазией.
Общий патогенез. После того, как на шейку матки было оказано патологическое влияние, развивается воспаление. Организм запускает защитный процесс, который способствует её ороговеванию. В норме, этого происходить не должно. С течением времени эпителий перерождается, на нём образуются бляшки и чешуйки. В этих участках кератоза нет гликогена.

Классификация лейкоплакии
В зависимости от особенностей течения болезни, лейкоплакия может быть 3 видов:
Простая лейкоплакия. Такая форма нарушения обнаруживается на ранних стадиях развития болезни. Бляшки не возвышаются над поверхностью слизистой оболочки шейки, находясь с ней на одном уровне. Если врач осматривается пациентку обычным способом, то обнаружить такую форму патологии будет сложно.
Бородавчатая лейкоплакия, которую также называют веррукозной формой болезни. Наросты белого цвета располагаются друг поверх друга, поэтому шейка матки выглядит бугристой. Такую форму болезни врач пропустить не сможет даже при стандартном гинекологическом осмотре.
Эрозивная лейкоплакия. На шейке матки появляются белые бляшки, которые будут покрыты трещинами или эрозиями.
При обнаружении лейкоплакии, врач осуществляет забор изменённого участка ткани для проведения гистологического исследования. Это позволит понять, простая лейкоплакия у женщины или пролиферативная. При простой форме болезни в тканях отсутствуют атипичные клетки. Пролиферативная лейкоплакия рассматривается как предраковое состояние.
Причины лейкоплакии шейки матки

Учёные имеют только предположения о том, какие именно причины вызывают лейкоплакию. Они считают, что на состоянии шейки матки негативным образом отражаются как внутренние, так и внешние факторы. Причём запустить патологический процесс может любой из них.
Внутренние факторы развития лейкоплакии:
Гормональный дисбаланс. При нарушении в работе гипофиза, гипоталамуса, матки или яичников, происходит сбой в выработке гормонов. Это сказывается на овуляции, на менструальном цикле, происходит сбой в продукции эстрогенов и прогестеронов. Поэтому спровоцировать лейкоплакию шейки матки могут такие заболевания, как:
Миома матки и другие опухолевые процессы в органе.
Воспалительный процесс в области половых органов:
Сбой метаболических процессов в организме:
Избыточная масса тела, в том числе с ожирением различной степени выраженности.
Ослабление иммунных сил:
Иммунодефицит врождённый и приобретённый в течение жизни.
Дефицит витаминов в организме.
Лечение некоторыми препаратами. На иммунной системе негативным образом отражаются цитостатики.
Внешние факторы, которые способны привести к развитию лейкоплакии:
Травмы шейки матки. Они могут быть получены во время родов, при проведении аборта или других процедур, например, при гистероскопии или при диагностическом выскабливании.
Любое агрессивное воздействие на шейку матки, например, её электрокоагуляция или обработка химическими средствами.
Заболевания, передающиеся половым путём.
Заражение хламидиозом или ВПЧ.
Инфицирование уреаплазмозом, микоплазмами, цитомегаловирусной инфекцией.
Раннее начало половой жизни и беспорядочные интимные связи.
Симптомы лейкоплакии шейки матки

Симптомы лейкоплакии самостоятельно заметить женщина не сможет. Чаще всего заболевание выявляют во время гинекологического осмотра. Иногда пациентки жалуются на определённый дискомфорт, но чаще всего он будет обусловлен не лейкоплакией, а факторами, которые её спровоцировали.
К таким симптомам относят:
Боль во время интимной близости.
Появление крови после полового акта.
Изменение характера выделений. От них может исходить неприятный запах.
Жжение и зуд в области половых органов. Эти симптомы возникают в том случае, если воспаление распространилось на влагалище.
Во время осмотра пациентки доктор визуализирует шейку матки, которая покрыта плёнкой белого цвета. Удалить её тампоном не получается. Отслойка плёнки сопровождается появлением крови. Это характеризует начальную стадию лейкоплакии.
Если у женщины развивается бородавчатая форма болезни, то плёнка будет выступать над поверхностью шейки на несколько миллиметров. Она снимается тампоном. Под ней видны блестящие оболочки розового цвета. Бляшки могут быть круглыми и овальными.
Симптомы, указывающие на перерождение лейкоплакии в рак
Известно, что лейкоплакии может озлокачествляться. При этом у женщины появляются следующие симптомы:
Быстрое увеличение участка поражения в размерах.
Появление на шейке матки эрозий или уплотнений.
Участок бляшки теряет равномерность.
Появление на лейкоплакии язвенного дефекта.
Формирование на лейкоплакии сосочка или бородавки.
Все перечисленные изменения может обнаружить только врач. Поэтому пациентки с лейкоплакией должны регулярно посещать гинеколога.
Беременность и лейкоплакия

Если лейкоплакия была диагностирована у женщины, которая хочет стать матерью, то для начала нужно избавиться от патологии и только после этого приступать к попыткам зачатия. Само по себе заболевание не способно нанести вреда здоровью плода или осложнить течение беременности. Однако во время вынашивания ребёнка гормональный фон меняется. Под влиянием гормонов заболевание может прогрессировать.
Если патология была обнаружена у беременной женщины, то её лечение откладывают. Терапию проводят после родоразрешения. Специалисты настоятельно рекомендуют женщине родить естественным способом, если для этого нет никаких других противопоказаний. Запретом на самостоятельные роды является состояние, при котором бляшки на шейке начинают быстро расти и распространяются на влагалище. В такой ситуации женщине показана операция кесарева сечения.
Диагностика

Чтобы выявить лейкоплакию, женщине потребуется пройти комплексную диагностику. Для начала следует посетить гинеколога и рассказать ему о своих жалобах. Врач соберёт анамнез и осмотрит женщину на кресле. Дополнительные исследования, которые могут быть назначены:
Изучение мазка. Мазок, забранный из влагалища и с шейки матки, направляют на бактериальный посев и на ПЦР. Это позволяет выявить заболевания, передающиеся половым путём.
Цитология мазка. Цитологическое исследование даёт информацию о том, какими клетками представлен эпителий. Врач выполняет забор мазка-отпечатка с шейки матки. Выполняется процедура с применением специальной щеточки или шпателя Эйра. У женщины с лейкоплакией в мазке с шейки матки обнаруживаются клетки многослойного эпителия. В норме, такие клетки присутствуют только в её влагалищной части. Эпителий изменен, выявляются признаки гиперкератоза (большинство чешуек не имеет ядер). Также возможно обнаружение признаков паракератоза.
Кольпоскопия. При подозрении на лейкоплакию доктор осматривает шейку матки с применением специального прибора - кольпоскопа. Это позволяет обнаружить изменения, которые незаметны невооружённым взглядом. Также появляется возможность визуализировать изменённые участки, характерные для предракового состояния.
Когда патологические участки шейки матки заметны при осмотре на зеркалах, то врач выставляет диагноз «выраженная клиническая лейкоплакия». Когда нарушения обнаруживаются лишь при осмотре с использованием кольпоскопа, доктор указывает на кольпоскопическую форму болезни.
В последнем случае у женщины будут выявлены йоднегативные зоны, которые можно обнаружить в ходе проведения пробы Шиллера. Для этого шейку матки обрабатывают раствором йода. Проба считается положительной, если весь орган окрасился в коричневый цвет. Отрицательная проба характеризуется наличием непрокрашенных участков. Зоны с лейкоплакией на йод не реагируют, так как в изменённых клетках нет гликогена. Именно он даёт коричневый окрас при обработке раствором Люголя.
Также с помощью кольпоскопа можно визуализировать пунктацию, которая представлена красными точками. Визуализируется мозаика и участки шейки матки разной толщины. Такие диагностические признаки должны насторожить, так как указывают на предраковую трансформацию тканей.
Гистология. Чтобы реализовать этот метод на практике, потребуется выполнить биопсию шейки матки с выскабливанием её канала. Ткани берут с того участка, который сильнее остальных подвергся изменениям. Гистологическое исследование позволяет оценить состояние клеток и определить в них атипичные образования.
Лейкоплакию характеризуют такие признаки, как:
Наличие роговых чешуек, которых в норме быть не должно.
Пролиферация клеток многослойного эпителия.
Ткани эпителия неравномерно утолщены, так как между ними располагаются промежуточные клетки.
Под роговым слоем располагается слой зернистый.
Имеются признаки гиперкератоза и паракератоза
Клетки пропитаны лимфоцитами.
Оценка работы яичников. Для этого проводят УЗИ, осуществляют замеры базальной температуры тела и пр.
Иммунограмма. Это исследование назначают только при наличии показаний.
Лечение лейкоплакии шейки матки

Чтобы избавиться от лейкоплакии, нужно обратиться к гинекологу. Для борьбы с заболеванием существуют различные методы. Первостепенной задачей, которая встаёт перед врачом - это купирование воспаления, если таковое имеется. Также необходимо избавиться от факторов, которые спровоцировали развитие лейкоплакии.
Для лечения инфекционных заболеваний используются антибиотики, противовирусные средства, антимикотики. Выбор препарата зависит от того, какая именно патогенная флора размножается в половых органах женщины.
Диатермокоагуляция
Этот метод предполагает обработку шейки матки электрическими токами. Проще говоря, изменённые ткани прижигают. Источником тока является специальная петля, которая контактирует с поражённым участком. Эффективность такого метода лечения составляет 70%. Однако эта процедура для женщины весьма болезненная. Поэтому решаются на неё не все пациентки. К преимуществам электрокоагуляции относят её дешевизну и доступность. Аппараты для её проведения есть во всех гинекологических клиниках.
В современной медицинской практике к такому болезненному методу стараются не прибегать. Если оно всё-таки будет проведено, то реализуют его в первой фазе цикла, после завершения менструации.
К недостаткам электрокоагуляции относят:
Риск обострения болезней матки и её придатков.
Риск развития кровотечения. Причём случиться оно может как во время проведения процедуры, так и на этапе восстановления, если струп начнёт отходить слишком рано.
Продолжительный реабилитационный период.
Формирование рубца в области обработки. Иногда он довольно грубый и большой, приводит к заращению цервикального канала. Поэтому электрокоагуляцию проводят только женщинам, которые уже рожали детей.
Криодеструкция
Криодеструкция предполагает обработку поражённого участка холодом. Эффективность этого метода достигает 94%. На патологически изменённые ткани воздействуют жидким азотом. Клетки кристаллизируются, их стенки разрушаются и патологические ткани отмирают. Время обработки зависит от площади поражения. Вся процедура длится около 2-5 минут.
К положительным моментам криодеструкции относят:
Возможность реализации у нерожавших женщин.
Отсутствие рубца после проведения процедуры.
Однако криодеструкция имеет определённые минусы. Например, есть вероятность рецидива заболевания. Кроме того, шейка матки может стать короче в размерах, поэтому зачать естественным путём будет сложнее.
Лечение лазером
Лечение лейкоплакии с применением лазера является самым востребованным методом. Проводят процедуру в первой фазе менструального цикла. Для её реализации введения обезболивающих препаратов не требуется.
Непосредственного контакта тканей с прибором не происходит. изменённые клетки выжигают лазерным лучом. Жидкость из клеток испаряется, благодаря чему они разрушаются. После такого прижигания на поверхности слизистой оболочки формируется тонкая плёнка. Она препятствует попаданию патогенной флоры в обработанную зону. Если лейкоплакия распространилась на влагалище, то лечение реализуется в 2 этапа. Сначала удаляют поражённые клетки с шейки матки, а затем с влагалищных стенок.
К достоинствам процедуры относятся:
Возможность лечения нерожавших женщин.
Быстрое восстановление. Ткани полностью регенерируют через 16-40 дней.
Однако не каждая клиника оснащена оборудованием для проведения процедуры. Кроме того, её стоимость довольно высока.
Радиоволновое лечение

Обработку шейки матки радиоволнами проводят с использованием аппарата Сургитрон. Такой метод лечения является высокоэффективным и безопасным. Непосредственного контакта тканей с аппаратом не происходит. В цервикальный канал вводят специальный прибор, который является источником радиоволн. Они разрушают патологические клетки за счёт испарения из них влаги.
К плюсам радиоволновой терапии относят:
Минусов процедура не имеет. Единственным недостатком метода является то, что специализированная аппаратура имеется не во всех лечебных учреждениях.
Химическая коагуляция
Этот метод лечения сводится к нанесению на шейку матки специального препарата - Солковагин. Он содержит кислоты, которые прижигают поражённые ткани.
Реабилитация
После лечения лейкоплакии от интимной близости нужно отказаться на 6 недель. Запрещено купаться в горячей воде, поднимать тяжёлые предметы. Не следует посещать сауну и баню.
Женщина должна воздержаться от введения тампонов, ей нельзя спринцеваться. Интимная гигиена должна выполняться безукоризненно.
В первую неделю после лечения из влагалища могут появляться жидкие выделения. Это естественная реакция организма на проведённую терапию.
Ответы на популярные вопросы
Возможно ли полное избавление от лейкоплакии и каков прогноз? Добиться полноценного излечения удаётся в 99% случаев. Прогноз максимально благоприятный, если патология была выявлена на ранних стадиях развития болезни. Если не устранить факторы риска, то есть вероятность рецидива. Озлокачествление процесса наблюдается у 15% женщин.
Нужно ли состоять на диспансерном учёте с таким диагнозом? После лечения все женщины ставятся на учёт. Каждые 6 месяцев ей нужно будет посещать гинеколога и сдавать мазок на цитологию. Обязательно выполняют кольпоскопию и тест на ВПЧ. Если через 2 года рецидива болезни не случилось, то с учёта женщину снимают.
Можно ли забеременеть с лейкоплакией шейки матки? Лейкоплакия не является препятствием для зачатия. Беременность может не наступать по другим причинам, например, из-за гормонального сбоя или половой инфекции. Планировать беременность можно только после избавления от патологии.
Можно ли сделать прививку от лейкоплакии шейки матки? Да, можно поставить вакцину Гардасил или Церварикс. Они позволяют избежать заражения ВПЧ, который становится причиной развития как лейкоплакии, так и рака шейки матки.
Возможна ли интимная близость с лейкоплакией? Да, возможна. Однако специалисты рекомендуют не затягивать с лечением этой патологии.
Автор статьи: Лапикова Валентина Владимировна | Гинеколог, репродуктолог
Образование: Диплом «Акушерство и гинекология» получен в Российском государственном медицинском университете Федерального агентства по здравоохранению и социальному развитию (2010 г.). В 2013 г. окончена аспирантура в НИМУ им. Н. И. Пирогова.
Наши авторы
Лейкоплакия шейки матки
Лейкоплакия шейки матки - ограниченное патологическое изменение экзоцервикса, характеризующееся процессами пролиферации и ороговения многослойного эпителия. Лейкоплакия шейки матки в целом протекает бессимптомно; может сопровождаться значительными белями и контактными выделениями. Диагностируется с помощью осмотра шейки матки в зеркалах, расширенной кольпоскопии, исследования соскобов шейки матки, биопсии с гистологическим изучением материала. В лечении лейкоплакии шейки матки используются методы криодеструкци, радиоволновой коагуляции, СО2-лазерной вапоризации, аргоноплазменной коагуляции; в некоторых случаях показаны конизация или ампутация шейки матки.
МКБ-10
Общие сведения
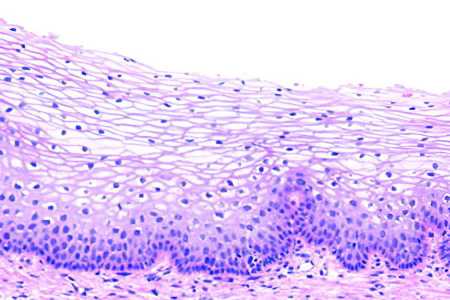
Лейкоплакия (греч. - leucos; plax - белая бляшка) представляет собой зоны ороговения и утолщения покровного эпителия шейки матки различной выраженности (по типу гиперкератоза, паракератоза, акантоза). Макроскопически картина лейкоплакии выглядит как белесоватые бляшки, возвышающиеся над слизистой влагалищного отдела шейки матки, иногда эти образования локализуются в цервикальном канале.
Распространенность лейкоплакии составляет 5,2% среди всей патологии шейки матки. Заболеванию чаще подвержены женщины репродуктивного возраста. Коварность лейкоплакии заключается в высокой степени риска злокачественной трансформации эпителия шейки матки, которая развивается у 31,6% пациенток. Поэтому вопросы своевременности диагностики и лечения лейкоплакии шейки матки находятся в тесной связи с проблемой профилактики рака шейки матки.
Причины развития лейкоплакии шейки матки
В этиологии лейкоплакии шейки матки выделяют влияние эндогенных факторов (нарушения гормональной и иммунной регуляции), а также экзогенных причин (инфекционных, химических, травматических). В изменении гормонального гомеостаза имеет значение нарушение функциональной взаимосвязи в цепи гипоталамус - гипофиз - яичники - матка, приводящее к ановуляции, относительной или абсолютной гиперэстрогении, дефициту прогестерона и, как следствие, - гиперпластическим процессам в органах-мишенях.
Возникновению лейкоплакии шейки матки нередко предшествуют инфекционно-воспалительные процессы (эндометриты, аднекситы), нарушения менструального цикла (аменорея, олигоменорея). К числу фоновых факторов относятся папилломавирусная инфекция, уреаплазмоз, хламидиоз, микоплазмоз, герпес, цитомегаловирусная инфекция, неспецифические кольпиты и цервициты, рецидивирующие эктопии; сниженная общая и местная реактивность; беспорядочная половая жизнь. Развитию лейкоплакии способствуют травматические и химические повреждения шейки матки при хирургическом прерывании беременности, диагностических выскабливаниях, медикаментозном прижигании или диатермокоагуляции эрозии шейки матки, других агрессивных вмешательствах.
На фоне этиологических факторов запускаются механизмы, вызывающие кератинизацию клеток многослойного эпителия экзоцервикса (в норме не ороговевающих). Вследствие постепенной перестройки клеток эпителия (дезинтеграции ядер и внутриклеточных органоидов) образуются роговые чешуйки, не содержащие гликоген. Очаги лейкоплакии шейки матки могут быть единичными или множественными.
Формы лейкоплакии шейки матки
По морфологическим критериям гинекология выделяет простую и пролиферативную лейкоплакию шейки матки. Простую лейкоплакию шейки матки относят к фоновым изменениям (гипер- или паракератозу). Ее характеризует утолщение и ороговение поверхностных слоев эпителия; при этом клетки базального и парабазального слоев изменений не претерпевают.
При пролиферативной трансформации нарушается дифференцировка, пролиферация клеток всех слоев, появляются атипичные структурные элементы. Данная форма лейкоплакии шейки матки расценивается как предраковый процесс - цервикальная интраэпителиальная неоплазия (CIN, дисплазия шейки матки).
Заболевание не сопровождается специфической клинической картиной и субъективными жалобами. Чаще лейкоплакия шейки матки выявляется при очередном осмотре гинеколога. В некоторых случаях могут присутствовать косвенные признаки лейкоплакии шейки матки - значительные бели с неприятным запахом, контактные выделения небольшого объема крови после полового акта.
Диагностика лейкоплакии шейки матки
При гинекологическом осмотре с помощью зеркал на шейке матки определяются белесые участки в виде пятен или бляшек, чаще овальной формы, с четкими границами, вариабельных размеров. Очаги лейкоплакии, как правило, незначительно возвышаются над поверхностью неизмененного эпителиального покрова шейки матки. Поверхность бляшек может быть покрыта ороговевшими чешуйками эпителия.
Цитологическое исследование соскоба шейки матки выявляет скопления поверхностных эпителиальных клеток с признаками гиперкератоза или паракератоза. В случае гиперкератоза в большом количестве выявляются безъядерные ороговевшие чешуйки. При паракератозе усиливается плотность и окраска цитоплазмы мелких клеток с пикнотическими ядрами.
Процессы гипер- и паракератоза препятствуют попаданию в соскоб клеток глубоких слоев эпителия, в которых возможны пролиферация, нарушения дифференцировки и атипия. Поэтому в диагностике лейкоплакии ведущим методом служит прицельная ножевая биопсия шейки матки и гистологическое исследование тканей экзоцервикса, позволяющие исключить либо подтвердить опухолевые процессы, а также цервикальную интраэпителиальную неоплазию (CIN). С целью исключения рака шейки матки проводится выскабливание цервикального канала.
С помощью расширенной кольпоскопии (видеокольпоскопии) уточняются характер и размеры поражения. При кольпоскопической визуализации видны белые бляшки с мелкозернистой поверхностью, четкими и ровными краями, отсутствием кровеносных сосудов. Величина и распространенность лейкоплакии шейки матки может варьировать от единичной точечной бляшки до множественных и обширных зон, покрывающих весь экзоцервикс и переходящих на влагалищные своды. Проведение пробы Шиллера выявляет йодонегативные участки.
Клинико-лабораторные тесты включают микроскопическое, бактериологическое исследование мазков, ПЦР-выявление и типирование ВПЧ, гормональные и иммунологические исследования (по показаниям). В процессе диагностики лейкоплакию шейки матки дифференцируют с цервикальным раком, эрозией шейки матки. Пациенткам с лейкоплакией шейки матки может потребоваться консультация онкогинеколога, гинеколога-эндокринолога.
Стратегия лечения определяется формой выявленной лейкоплакии шейки матки (простой или пролиферативной). Целями лечения служат устранение фоновых заболеваний и полное удаление патологических очагов.
По показаниям проводится антибактериальная, противовирусная, противовоспалительная терапия. Для удаления очагов лейкоплакии шейки матки в гинекологии используются методы криогенного воздействия, радиоволновой деструкции, аргоноплазменной коагуляции, СО2-лазерной вапоризации, диатермокоагуляции, химической коагуляции. Малоинвазивная деструкция очагов лейкоплакии шейки матки выполняется амбулаторно; заживление тканей может потребовать срока от 2 недель до 2 месяцев с учетом обширности поражения, сопутствующих заболеваний, метода деструкции.
На период лечения лейкоплакии шейки матки исключается половая жизнь и использование любой контрацепции. В случае наличия цервикальной интраэпителиальной неоплазии, сочетания лейкоплакии с гипертрофией, краурозом, рубцовыми деформациями шейки объем вмешательства может включать конизацию шейки матки или ампутацию шейки матки.
Профилактика лейкоплакии шейки матки
В целях предупреждения развития лейкоплакии шейки матки необходимо раннее лечение эрозий, воспалительных и инфекционных процессов в репродуктивных органах; исключение абортов, травм шейки матки во время родов и гинекологических манипуляций; профилактика ИППП, использование барьерной контрацепции.
Женщины, страдающие нарушением менструального цикла, должны наблюдаться у гинеколога-эндокринолога с целью коррекции гормональных нарушений. В вопросе профилактики лейкоплакии шейки матки важны скрининговая и разъяснительная работа, регулярные гинекологические осмотры. Существенным профилактическим моментом является вакцинация против ВПЧ.
После деструкции очагов лейкоплакии без атипии пациентке каждые полгода выполняют кольпоскопию, исследование мазка на онкоцитологию, анализы на ВПЧ. По истечении 2-х лет и при отсутствии рецидивов женщина переводится на обычный режим наблюдения.
Прогноз при лейкоплакии шейки матки
При отсутствии атипии, папилломавирусной инфекции, устранении неблагоприятных фоновых факторов прогноз после излечения лейкоплакии шейки матки благоприятен. При сохранении первопричины заболевания возможно манифестное течение и переход лейкоплакии в цервикальный рак.
При простой лейкоплакии у женщин, планирующих деторождение, во избежание рубцовой деформации шейки матки предпочтительно использование щадящих методов деструкции - криодеструкции, лазерной вапоризации, радиохирургического лечения, химической коагуляции. Ведение беременности у данной группы пациенток требует повышенного контроля за состоянием шейки матки.
Лейкоплакия полости рта
Лейкоплакия ротовой полости является наиболее встречающимся предраковым состоянием. После 50-ти лет лейкоплакия диагностируется у 1% населения, при этом заболеваемость среди мужчин в два раза выше, чем среди женщин. Лейкоплакия полости рта проявляется распространенными или локальными очагами поражения, представляющими собой сероватые или белые бляшки самой различной локализации. Для лейкоплакии характерно малосимптомное и вялое течение с постепенным перерождением в раковое заболевание. Лечение лейкоплакии - это, прежде всего, устранение травматизации пораженного участка и коррекция причинной патологии.


Лейкоплакия - поражение слизистой оболочки рта, сопровождающееся ее повышенным ороговением (гиперкератозом). Характеризуется возникновением очагов уплотнения на слизистой щек, языка, уголков рта, чувством легкого жжения, зуда и стягивания. При соблюдении гигиенических мероприятий и проведении санации полости рта, устранении раздражающих факторов лейкоплакия может исчезнуть. Некоторые формы лейкоплакии подвержены злокачественному перерождению и подлежат хирургическому иссечению.
Причины лейкоплакии полости рта
Люди, у которых на слизистую полости рта часто воздействуют различные раздражители, более подвержены развитию лейкоплакии. В основном это активные курильщики и люди, злоупотребляющие крепкими сортами алкогольных напитков. Лейкоплакия может возникнуть вследствие постоянного приема горячей и острой пищи, пряностей. При длительном приеме некоторых лекарственных препаратов лейкоплакия может проявиться как побочное действие, особенно часто это случается у пожилых пациентов, которые принимают препараты разных фармакологических групп.
То есть, любые раздражители, вызывающие замещение слизистой оболочки на ороговевший эпителий, могут стать причиной лейкоплакии полости рта. Лейкоплакия не является самостоятельным заболеванием, поэтому при появлении белесых пятен на слизистой рта следует провести детальное обследование, чтобы выяснить основную причину синдрома лейкоплакии.
Раздражение слизистой оболочки рта и десны острыми краями зубов или коронок является постоянным травмирующим фактором, что и может стать причиной лейкоплакии. Неправильно установленный или некачественный зубной протез особенно в сочетании с другими факторами, у многих пациентов старческого возраста является основным патогенетическим звеном в развитии лейкоплакии и других заболеваний полости рта. У пациентов с ВИЧ-инфекцией лейкоплакия диагностируется в несколько раз чаще, как и пациентов, которые в течение жизни подвергались длительному воздействию ультрафиолетового излучения.
Исследования подтверждают, что в этиологии лейкоплакии имеет значение наследственная предрасположенность и наличие вируса папилломы человека типа 11 и 16. Гиповитаминозы, железодефицитные анемии, сахарный диабет и болезни органов желудочно-кишечного тракта являются основными эндогенными причинами лейкоплакии.
Клинические проявления лейкоплакии

Синдром лейкоплакии может появиться на любом участке, где имеется слизистая оболочка. Различают лейкоплакию влагалища, пищевода, шейки матки, мочевого пузыря и полости рта. Лейкоплакия в полости рта диагностируется раньше, чем в других органах. Ранняя диагностика позволяет вовремя назначить лечение и предотвратить малигнизацию.
В зависимости от месторасположения пораженных клеток и от основной причины лейкоплакии степень и тип ороговения эпителия может быть различным.
Очаг поражения лейкоплакией состоит из бляшек серого или белого цвета. Диаметр бляшек от 2-х до 4-х сантиметров, их количество вариабельно. Локализуются очаги лейкоплакии на слизистой оболочке щек, спайке губ, твердом нёбе, дёснах и дне рта. Обычно бляшки не возвышаются над поверхностью слизистой оболочки рта, кроме этого, сочетаясь с общей цианотичностью, участки лейкоплакии могут быть не заметны при невнимательном осмотре.
В тех случаях, когда очаги лейкоплакии возвышаются над поверхностью, они имеют неправильные фестончатые очертания, иногда острые неровные углы. Часто при таких лейкоплакиях поверхность очагов неоднородная и изъязвлена. На ощупь бляшки жесткие, шероховатые.
Формируются очаги лейкоплакии в течение нескольких месяцев, хотя в большинстве случаев они становятся заметными уже через две недели. Внешне участки лейкоплакии на перовом этапе возвышаются и выглядят слегка утолщенными. По прошествии времени они затвердевают и грубеют. Болезненность и другие субъективные ощущения отсутствуют, но иногда участки лейкоплакии более чувствительны к раздражителям, острее реагируют на горячую и холодную пищу.
Лейкоплакия является вялотекущей патологией, обычно ее симптомы то стихают, то нарастают на протяжении многих лет. Но однако, обратного развития лейкоплакия не принимает; со временем площадь поражения увеличивается, появляются трещины и изъязвления, бляшки буреют и становятся более плотными. Такое перерождение является неблагоприятным признаком и расценивается как предраковое состояние или же начало перерождения в раковое заболевание слизистой полости рта.
Волосистая лейкоплакия является атипичным вариантом течения заболевания и встречается в основном у ВИЧ-положительных пациентов и у пациентов со СПИДом, иногда волосистая лейкоплакия наблюдается у пациентов со СПИД-ассоциированным симптомокомплексом. Клинически ворсистая лейкоплакия характеризуется появлением белых бляшек, покрытых ворсинками. Поскольку участки лейкоплакии чаще располагаются на языке, то следует дифференцировать ее от кандидозного стоматита. Хотя у пациентов с ВИЧ-положительным статусом довольно часто волосистая лейкоплакия сочетается с кандидозным стоматитом.
Диагностика и лечение лейкоплакии полости рта
Во время визуального осмотра стоматолог может поставить предварительный диагноз, но для точной диагностики лейкоплакии необходимо проводить биопсию. Биопсию проводят под местным обезболиванием, и полученный материал исследуют в цитологической лаборатории.
Тактика лечения лейкоплакии полости рта сводится к устранению источника раздражения. Это минимизация или полный отказ от курения, коррекция зубных протезов, реставрация зубов при обломке их краев, обточка острых краев зуба. В тех случаях, когда причинами лейкоплакии явились внутренние заболевания, показана криодеструкция пораженных участков, коррекция основного заболевания и диспансерное наблюдение пациента.
Лейкоплакия является предопухолевым состоянием слизистой, и, если пятна лейкоплакии утрачивают блеск, поверхность становится шероховатой, покрывается разрастаниями и язвочками, то, как правило, прогноз в этих случаях неблагоприятный и лейкоплакия перерождается в рак полости рта. Примерно 10% случаев лейкоплакии слизистой оболочки рта заканчиваются малигнизацией.
Лейкоплакия
Лейкоплакия — поражение слизистой оболочки, проявляющееся очаговым ороговением многослойного плоского эпителия. Цвет кератина ороговевшего эпителия обуславливает белый или сероватый цвет очагов лейкоплакии. Заболевание встречается на слизистой полости рта, дыхательных путей, моче-половых органов, в области анального отверстия. Лейкоплакия относится к предраковым заболеваниям и может подвергаться злокачественному перерождению. В связи с этим большое диагностическое значение имеет биопсия пораженных участков слизистой с последующим гистологическим и цитологическим исследованием полученного материала. При выявлении в ходе исследования клеточной атипии показано удаление пораженного лейкоплакией участка.
Лейкоплакия является дискератозам, то есть нарушениям ороговения. Она развивается чаще у людей среднего и пожилого возраста. Так лейкоплакия шейки матки наиболее часто встречается у женщин в возрасте 40 лет. Она занимает 6% от всех заболеваний шейки матки. Лейкоплакия гортани составляет треть всех предраковых состояний гортани. По данным различных наблюдений трансформация лейкоплакии в рак происходит в 3-20% случаев. Однако выделяют случаи простой лейкоплакии, которая не сопровождается атипией клеток и не являются предраковыми состояниям, а относятся к фоновым процессам организма.
Причины возникновения лейкоплакии
Причины и механизм возникновения лейкоплакии до конца не выяснены. Большую роль в развитии заболевания отводят воздействию внешних провоцирующих факторов: механического, химического, термического и др. раздражения слизистых. Например, по наблюдению гинекологов треть женщин с лейкоплакией шейки матки имеют в анамнезе данные про проведение диатермокоагуляции. Это же подтверждают случаи лейкоплакии, связанные с профессиональными вредностями (воздействие на слизистые каменноугольной смолы, пека и др.).
Особенно опасно сочетанное влияние на слизистую сразу нескольких факторов. Так возникновение лейкоплакии слизистой рта часто обусловлено образующимся от разнородных металлических протезов гальваническим током и механической травматизацией слизистой этими протезами. У курильщиков обычно наблюдается лейкоплакия красной каймы губ. Она обусловлена воздействием на слизистую химических веществ табачного дыма и термического фактора (особенно регулярного прижигание губы, происходящего при полном выкуривании сигареты), а также хронического травмирования слизистой сигаретой или мундштуком трубки.
Причиной лейкоплакии могут быть хронические воспалительные и нейродистрофические изменения слизистой оболочки (например, при стоматите, гингивите, вагините, хроническом цистите и др.) Вероятно, определенную роль в развитии лейкоплакии имеют наследственные факторы, поскольку ее возникновение наблюдается у пациентов с врожденными дискератозами.
Не последнюю роль в развитии лейкоплакии играют и внутренние факторы, связанные с состоянием организма человека. Это недостаточность витамина А, гормональные отклонения, инволюционная перестройка слизистой половых органов, гастроэнтерологические заболевания, вызывающие снижение устойчивости слизистых оболочек к внешним раздражающим факторам.
По особенностям морфологических проявлений выделяют следующие формы лейкоплакии:
- плоская;
- веррукозная (бородавчатая);
- эрозивная
Каждая последующая форма заболевания развивается на фоне предыдущей и является одним из этапов происходящего патологического процесса.
Симптомы лейкоплакии
Чаще всего лейкоплакия поражает слизистую оболочку полости рта в области щек, углов рта, нижней губы, реже в процесс вовлекается боковая поверхность и спинка языка, слизистая в области альвеолярных отростков. Лейкоплакия мочеполовых органов может располагаться на слизистой клитора, вульвы, влагалища, шейки матки, головки полового члена, уретры и мочевого пузыря. Лейкоплакия дыхательных путей чаще локализуется в области голосовых связок и на надгортаннике, редко в нижнем отделе гортани.
Лейкоплакия представляет собой единичные или множественные белесоватые или бело-серые очаги с четкими контурами. Они могут быть различной формы и размеров. Как правило, изменения слизистой развиваются незаметно, не вызывая никаких негативных ощущений. В связи с этим заболевание часто бывает случайной диагностической находкой при посещении стоматолога, проведении кольпоскопии, операции по обрезанию крайней плоти (циркумцизио) и т. п. Исключениями являются лейкоплакия слизистой ладьевидной ямки мочеиспускательного канала, которая приводить к затруднению мочеиспускания, и лейкоплакия гортани, вызывающая кашель, охриплость голоса и дискомфорт при разговоре.
Процесс развития лейкоплакии состоит из нескольких переходящих один в другой этапов. Он начинается с появления на участке слизистой оболочки небольшого, неярко выраженного воспаления. В дальнейшем происходит ороговение эпителия воспаленного участка с формированием характерного белого очага плоской лейкоплакии. Часто белый цвет измененной слизистой напоминает налет или пленку. Однако попытка снять «налет» шпателем не удается.
Со временем на фоне плоской лейкоплакии развивается веррукозная. При этом очаг поражения уплотняется и немного приподнимается над поверхностью слизистой. Формируется белесоватая бугристая бляшка с бородавчатыми разрастаниями высотой 2-3 мм. На фоне очагов ороговения могут возникать эрозии и болезненные трещины, характерные для эрозивной формы лейкоплакии.
Основной опасностью лейкоплакии является возможность ее злокачественной трансформации. Период времени, через который начинается злокачественное перерождение, очень индивидуален и зависит от формы заболевания. Лейкоплакия может существовать десятилетиями, не превращаясь в злокачественное новообразование. Наиболее склонны к переходу в рак веррукозная и язвенная формы, а самый высокий процент озлокачествления наблюдается при лейкоплакии языка.
Существует ряд признаков, по которым можно заподозрить злокачественную трансформацию той или иной формы лейкоплакии. К таким признакам относится внезапное появление уплотнений или эрозий в очаге плоской лейкоплакии, ее неравномерное уплотнение, захватывающее лишь один край очага. Для эрозивной формы признаками озлокачествления являются: появление в центре эрозии уплотнений, изъязвление поверхности, образование сосочковых разрастаний, резкое увеличение размеров эрозии. Следует отметить, что отсутствие перечисленных признаков не является гарантией доброкачественности процесса и может наблюдаться на ранних стадиях злокачественного перерождения лейкоплакии.
Диагностика лейкоплакии
При локализации лейкоплакии в доступных осмотру местах (ротовая полость, головка полового члена, клитор) диагноз обычно не вызывает затруднений. Окончательный диагноз устанавливается на основании цитологии и гистологического изучения материала, полученного во время биопсии участка измененной слизистой оболочки.
Цитологическое исследование является обязательным в диагностике лейкоплакии. Оно позволяет выявить характерную для предраковых заболеваний клеточную атипию. В ходе цитологического исследования мазков с пораженного участка слизистой обнаруживают большое количество клеток многослойного эпителия с признаками ороговения. Однако в мазок обычно не попадают клетки из ниже расположенных слоев слизистой, где могут располагаться атипичные клетки. Поэтому при лейкоплакии важно проведение цитологического исследования не мазка, а биопсийного материала.
При гистологии биопсийного материала выявляется ороговевающий эпителий, не имеющий поверхностного функционального слоя, так как верхние слои эпителия находятся в состоянии паракератоза или гиперкератоза. Может быть обнаружена различная степень атипии базальных клеток и базально-клеточная гиперактивность, свидетельствующие о возможности злокачественной трансформации образования. Выраженная атипия является показанием для консультации у онколога.
Лейкоплакия шейки матки диагностируется гинекологом при осмотре в зеркалах и в ходе кольпоскопии. Проведение Шиллер теста выявляет участки слизистой, не подверженные окрашиванию йодом. При подозрении на лейкоплакию шейки матки проводят не только биопсию подозрительных участков, но и выскабливание цервикального канала. Цель такого исследования — исключение предраковых и раковых изменений эндоцервикса.
При подозрении на лейкоплакию гортани проводят ларингоскопию, выявляющую участки белого плотно спаянного с подлежащими тканями налета. Исследование дополняют биопсией. Диагностику лейкоплакии уретры или мочевого пузыря осуществляют при помощи уретро- и цистоскопии с биопсией пораженного участка.
Лечение лейкоплакии
Лейкоплакия любой формы и локализации требует комплексного лечения. Оно заключается в устранении факторов, спровоцировавших развитие лейкоплакии, и сопутствующих нарушений. Сюда относится: освобождение полости рта от металлических протезов, отказ от курения, устранение гиповитаминоза А, терапия патологии желудочно-кишечного тракта, лечение эндокринных и соматических заболеваний, а также инфекционных и воспалительных процессов.
Простая лейкоплакия без клеточной атипии часто не требует радикальных лечебных мероприятий. Но такие пациенты должны наблюдаться и периодически проходить обследование. Выявление в ходе гистологического исследования базально-клеточной гиперактивности и клеточной атипии является показанием для удаления очага лейкоплакии в ближайшее время.
Удаление пораженных участков слизистой может проводиться при помощи лазера или радиоволнового метода, путем диатермокоагуляции и электроэкзиции (иссечение электроножом). Нежелательно применение криодеструкции, поскольку после воздействия жидкого азота на слизистой остаются грубые рубцы. В отдельных случаях требуется хирургическое иссечение не только слизистой, но и участка пораженного органа (уретры, влагалища, мочевого пузыря), что влечет за собой проведение реконструктивно-пластической операции. Признаки злокачественной транформации лейкоплакии являются показанием для радикальных операций с последующей рентгентерапией.
Локализация лейкоплакии на слизистой гортани требует проведения микроларингохирургической операции. Коагуляция пораженных участков слизистой мочевого пузыря возможна в ходе цистоскопии. В лечении лейкоплакии мочевого пузыря успешно применяют введение в мочевой пузырь озонированного масла или жидкости, а также газообразного озона. Однако в случае упорного течения заболевания требуется резекция мочевого пузыря.
Своевременное и адекватное лечение лейкоплакии дает положительный результат. Однако нельзя исключить возникновение рецидивов заболевания. Поэтому в дальнейшем пациенту необходимо наблюдение. С осторожностью следует относиться к народным методам лечения и тепловым процедурам. Они могут способствовать злокачественной трансформации лейкоплакии и усугубить течение заболевания.
Лейкоплакия и другие изменения эпителия полости рта (K13.2)
Эритроплакия - стойкое красное пятно слизистой оболочки полости рта, которое не проявляется клинически. Термин "эритроплакия", как и "лейкоплакия", не отражает гистологических особенностей поражения.
Лейкоплакия курильщика впервые описана под названием "никотиновый лейкокератоз нёба", как проявление сплошного ороговения твердого и частично мягкого нёба, которые приобретают серовато-белый цвет. Заболевание возникает как реакция слизистой оболочки рта на длительное воздействие продуктами табака при курении или жевании.
Очаговая эпителиальная гиперплазия рта или языка (болезнь Хека) - вирусное заболевание, которое проявляется образованием множественных безболезненных папулонодулярных разрастаний слизистой оболочки полости рта, локализующихся обычно на языке, губах и щеках.
Примечание
В данную подрубрику включено:
1. "Лейкоплакия слизистой оболочки полости рта, включая язык" - K13.21, в том числе:
- другие поражения эпителия полости рта.
Из данной подрубрики исключены:
- "Carcinoma in situ эпителия полости рта" - D00.0-;

Автоматизация клиники: быстро и недорого!
- Подключено 300 клиник из 4 стран
- 800 RUB / 4500 KZT / 27 BYN - 1 рабочее место в месяц

Автоматизация клиники: быстро и недорого!
- Подключено 300 клиник из 4 стран
- 1 место - 800 RUB / 4500 KZT / 27 BYN в месяц
Мне интересно! Свяжитесь со мной
Классификация
Единой классификации не существует. Ниже приведены наиболее широко распространенные варианты.
Классификация лейкоплакии по клинико-морфологическим признакам
1. Плоская.
2. Веррукозная:
- бляшечная;
- бородавчатая.
3. Эрозивная.
4. Лейкоплакия курильщиков.
Классификация ВОЗ
В данной классификации не упоминаются лейкоплакия курильщиков и эрозивная лейкоплакия в виде отдельных форм, но сделан акцент на однородности (гомогенности) или неоднородности (негомогенности) поражения.
Негомогенная лейкоплакия делится в свою очередь на:
- эритроплакию - белое поражение со значительным красным компонентом;
- узелковую - белое поражение с зернистой поверхностью, выступающей над уровнем слизистой;
- пятнистую - белое поражение с незначительным красным компонентом;
- веррукозную - белое поражение с рифленой поверхностью); может упоминаться как собственно бородавчатая и бородавчатая пролиферативная.
Клиническая классификация эритроплакии
1. Гомогенная - полностью красная.
2. Эритролейкоплакия - в основном имеет красный цвет с отдельными белыми очагами.
3. Пятнистая эритроплакия - мелкие белые пятна разбросаны по всей красной поверхности эритроплакии.
Этиология и патогенез
Лейкоплакия
Этиология неизвестна, поэтому довольно часто употребляется термин "идиопатическая лейкоплакия". Для отдельных форм (лейкоплакия курильщиков, кератоз гребня альвеолярного отростка, очаговая эпителиальная гиперплазия) предполагается связь с некоторыми факторами (см. раздел "Факторы риска").
Патоморфологически выявляются различные изменения, ни одно из которых не является специфическим. Как правило, это явления гипер- и паракератоза, дисплазии и/или гипертрофии эпителия.
Дисплазия выявляется менее чем в 5% плоской лейкоплакии, тем не менее пятнистая лейкоплакия, эритролейкоплакия (особенно расположенные в передних отделах рта) наиболее часто являются диспластическими образованиями или могут иметь признаки неинвазивной карциномы.
Веррукозная лейкоплакия
Этиология неизвестна. Заболевание статистически не связано с курением, алкоголем или иммунодефицитом. В отдельных случаях идентифицировались такие факторы как вирус папилломы человека (особенно 13 и 16 типов) и врожденные мутации некоторых генов.
Лейкоэдема
Этиология неизвестна. Предполагается связь с различными хроническими раздражителями слизистой оболочки полости рта, эмоциональными факторами (невротическое скусывание слизистой, покусывание губ, сосание ногтей). Почти у 50% пациентов присутствуют невротические депрессии, неврастении и другие пограничные расстройства.
При лейкоэдеме в эпителии полости рта наблюдается деполимеризация кислых мукополисахаридов с нарушением равновесия фермент-субстратной системы "гиалуроновая кислота-гиалуронидаза". В процесс вовлекается одновременно как межклеточное основное вещество, так и склеивающая субстанция соединительной и эпителиальной ткани. В поверхностных слоях эпителия развиваются компенсаторно-пролиферативные процессы (акантоз Акантоз - утолщение эпидермиса и эпителия слизистых оболочек с удлинением межсосочковых отростков
, паракератоз Паракератоз - нарушение процесса ороговения клеток эпидермиса, характеризующееся наличием в роговом слое клеток, содержащих ядра, и отсутствием зернистого слоя
), явления дистрофии в виде появления большого количества неокрашивающихся "светлых" вакуолизированных клеток.
Эритроплакия
Этиология неизвестна. В большинстве случаев эритроплакия гистологически характеризуется как дисплазия эпителия, которая более склонна к злокачественной трансформации, чем лейкоплакия.
Очаговая эпителиальная гиперплазия рта или языка
Возбудителем служит вирус папилломы человека типов 13 и 32, который передается при поцелуях. Репликация вируса в эпителиальных клетках у детей и подростков приводит к образованию мягких разрастаний, которые представляют собой небольшие уплощенные папулы розового или белесовато-розового цвета. В дальнейшем папулы увеличиваются, могут сливаться, придавая пораженной слизистой оболочке вид "булыжной мостовой". Иногда разрастания спонтанно регрессируют, однако если они сохраняются длительное время, их иссекают.
Эпидемиология
Возраст: преимущественно взрослый
Признак распространенности: Редко
Соотношение полов(м/ж): 2
Лейкоплакия
Пол: преобладание мужчин.
Распространенность: менее 1%.
Возраст: в большинстве случаев от 40 до 70 лет. Примерно 80% пациентов имеют возраст старше 40 лет, что не исключает появления лейкоплакии у детей.
Лейкоэдема
Пол: несколько чаще у женщин.
Распространенность: часто.
Возраст: наблюдается преимущественно в молодом возрасте, в основном у детей и лиц до 30 лет.
Раса: преимущественно у лиц негроидной расы - 50-90% случаев; у лиц европеоидной расы - от 10% случаев.
Эритроплакия и пятнистая лейкоплакия
Пол: преимущественно мужчины.
Распространенность: редко.
Возраст: преимущественно старше 50 лет.
Пол: большинство случаев приходится на женщин, соотношение женщин и мужчин примерно 4:1.
Возраст: обычно наблюдаются у взрослых старше 40 лет; пик заболеваемости приходится на женщин в возрасте 60-70 лет.
Лейкоплакия курильщика
Пол: нет различий.
Возраст: в основном старше 50 лет.
Распространенность: напрямую коррелирует с распространенностью курения и жевания табака в популяции. Считается, что у одного из 100 лиц, употребляющих табак развивается данная патология.
Очаговая эпителиальная гиперплазия рта или языка
Пол: нет различий.
Возраст: преимущественно подростковый и молодой.
Распространенность: почти исключительно в закрытых общинах индейцев Южной и Северной Америки, эскимосов. Описанные случаи среди лиц европеоидной расы ограничиваются десятками (например, около 20 случаев в Швеции и столько же в Норвегии).
Оценочная распространенность 0,11% от всех пациентов европейской расы с заболеваниями слизистой оболочки полости рта.
Факторы и группы риска
В случаях неидиопатической лейкоплакии, инициация заболевания может зависеть от внешних местных факторов и/или предрасполагающих внутренних факторов.
Факторы, наиболее часто связанные с развитием лейкоплакии:
- употребление табака;
- употребление алкоголя;
- хроническое механическое раздражение слизистой (в том числе - протезами, имплантами, кариозными зубами, плохо посаженными пломбами, привычным покусыванием щек или языка, неправильным прикусом);
- кандидоз;
- гиповитаминоз А, В;
- эндокринные нарушения;
- вирусные поражения слизистой (для фокальной гиперплазии эпителия);
- генетическая предрасположенность (для некоторых состояний).
Клиническая картина
Клинические критерии диагностики
пятно; бляшка; папулы; эрозии; трещины; цвет белый; цвет серый; цвет опалесцирующий; цвет темный; цвет красный; цвет серо-синий; дискомфорт; шероховатая поверхность; неровная поверхность; ровная поверхность
Cимптомы, течение
Общая информация
Жалобы могут отсутствовать или же сводятся к чувству неловкости из-за шероховатости слизистой оболочки при разговоре, жевании. Некоторые больные ощущают жжение. Как правило, пациенты жалуются также на постоянную сухость во рту.
Плоская лейкоплакия
Относительно типичности локализации лейкоплакии на отдельных участках слизистой оболочки полости рта, существуют различные мнения. Обобщая имеющиеся данные, можно сказать, что лейкоплакия чаще встречается на слизистой оболочке щек по линии смыкания зубов, в области углов рта, на передней части спинки языка, в области дна полости рта, на твердом нёбе, иногда - на альвеолярном отростке.
По линии смыкания зубов плоская форма лейкоплакии имеет вид тонкой пленки сероватого цвета. Также здесь могут определяться отпечатки зубов.
При поражении углов рта очаг представлен в виде треугольника беловатого цвета с вершиной, обращенной в полость рта.
Если поражается красная кайма губ, то очаги лейкоплакии имеют вид серой пленки, иногда заходящей на слизистую оболочку губы.
Данная форма лейкоплакии редко располагается на языке, но если такие случаи встречаются, то обычно поражению подвергается слизистая оболочка боковых поверхностей языка. Очаги изменения имеют округлую форму белого цвета. В месте расположения элементов сыпи сосочки языка сглажены. Элементы поражения, локализующиеся на слизистой дна полости рта, представлены белой, трудно снимающейся пленкой.

При эрозивной лейкоплакии различной формы и величины эрозии образуются в очагах плоской и веррукозной лейкоплакии, возможно одновременное появление трещины. Эта форма заболевания может наиболее часто сопровождаться болевыми ощущениями.
Эритроплакия. Пятно преимущественно красного цвета любой локализации. Как правило, поверхность неоднородная, могут отмечаться эрозии.


Лейкоплакия курильщиков
Развивается остро. Клиническая картина проявляется как плоская лейкоплакия: во рту образуются четко ограниченные участки слизистой, которые выглядят как мутная, не снимаемая пленка. Эти пятна сначала имеют белый цвет, но со временем под действием табака темнеют до черного. На их фоне видны маленькие красноватые бугорки с крошечными отверстиями - воспаленными выводными протоками слюнных желез. При более тщательном осмотре можно найти очаги болезни на нижней губе, на слизистой оболочке щек.
Веррукозная лейкоплакия
Встречается в двух клинических формах: бляшечной и бородавчатой.
При бляшечной форме очаги лейкоплакии выглядят как ограниченные бляшки, которые возвышаются над окружающей слизистой оболочкой, имеют неправильную форму, шероховатую поверхность и четкие границы.
Бородавчатая форма встречается чаще, чем бляшечная. При ней определяются бугристые образования, возникающие над окружающей слизистой оболочкой; иногда имеются отдельные бородавчатые нарастания.
Слизистая, окружающая очаг воспаления выглядит несколько ярче обычной, заметно хроническое воспаление. Регионарные лимфатические узлы не увеличены.
Стоматоскопически определяется резко утолщенный слой эпителия. При люминесцентном исследовании веррукозная лейкоплакия обнаруживает интенсивное свечение тканей с желтоватым оттенком, при явлениях малигнизации Малигнизация - приобретение клетками нормальной или патологически измененной ткани (например, доброкачественной опухоли) свойств клеток злокачественной опухоли.
наблюдается фиолетовое свечение.
Очаговая гиперплазия
Заболевание поражает только слизистую оболочку рта, чаще всего внутреннюю часть губ, слизистую щек или дна рта. Тем не менее, в процесс также могут быть вовлечены десны и миндалины.
Очаговая гиперплазия чаще всего проявляется в виде мягкой гладкой полоски со слегка приподнятой вершиной и неровной поверхностью. Поражение, как правило, того же цвета, что и остальные части слизистой, но иногда бывает бледнее окружающих тканей. Часто выявляется несколько очагов поражений, каждый из которых - менее 1 см в диаметре.
При пальпации консистенция мягкая.

В динамике поражения могут уменьшаться и возрастать, соответствуя, по-видимому, периодам обострения течения инфекции. Более молодые пациенты, на ранней стадии имеют множественные узелковые очаги поражения, в то время как более старые пациенты имеют зачастую меньшее количество очагов или даже единственный очаг, представленный, как правило, плоской папулой.

Лейкоэдема
Проявляется пленчатыми или пятнистыми очагами с опалесцирующей, беловато-серого цвета морщинистой поверхностью, аналогичной лейкоплакии. При растяжении слизистой пятно приобретает нормальный цвет. Некоторыми авторами описывается как локальный отек эпителиального слоя.
Не существует никаких инструментальных методов диагностики, способных подтвердить диагноз. Однако выполнение фотографий большого разрешения с последующей цифровой обработкой может быть полезно для оценки процесса в динамике.
В ряде случаев (крайне редко) с целью дифференциальной диагностики может понадобиться рентгенография.
Лабораторная диагностика
1. Основным методом, подтверждающим диагноз, является биопсия, которая может выполняться неоднократно. Инцизионная биопсия предпочтительнее браш- или аппликационной биопсии. Последним достижением считается обработка изображений биопсии с применением компьютерного анализа.
2. Лейкоплакия довольно часто сочетается с кандидозной инфекцией. Различные тесты на наличие кандидозной инфекции считаются необходимыми.
3. При очаговой гиперплазии эпителия и веррукозной лейкоплакии полезными могут считаться тесты (ПЦР) на выявление вируса папилломы человека различных типов.
Дифференциальный диагноз
1. Карциномы полости рта.
2. Кератоакантома.
3. Остроконечные кондиломы.
5. Реактивный гиперкератоз.
6. Химические и термические поражения слизистой оболочки полости рта.
7. Плоский лишай.
8. Стоматит.
9. Поражения слизистой оболочки полости рта при ВИЧ-инфекции.
10. Linea alba buccalis.
11. Подслизистый фиброз.
Осложнения
1. Присоединение кандидозной инфекции.
2. Примерно 6-10% пациентов с оральной плоской лейкоплакией имеют риск развития рака слизистой оболочки полости рта. Веррукозная лейкоплакия имеет самый высокий риск малигнизации со смертностью 34-49%.
Лечение
Общие принципы терапии
1. Прекращение курения, жевания табака, употребления алкоголя, а также коррекция других раздражающих факторов, если они выявлены. Модификация факторов, в некоторых случаях, может привести к спонтанному излечению.
3. Фотодинамическая терапия считается перспективным методом, но требует дальнейшего изучения.
4. Системное применение ретиноидов сопряжено с их высокой токсичностью. Имеются отдельные исследования, показывающие эффективность применения бета-каротина. По-видимому, эффект сохраняется только при непрерывном приеме. Допустимо начальное применение локальных ретиноидов в течение 3-6 недель с последующей оценкой и принятием решения об операции.
5. Применение локальных цитостатиков (изотретиноин гель, 0,1%) изучается, но пока не имеет достаточной однородности эффекта. Необходимо применять длительными курсами (более 8 недель).
6. Применение интерферонов (локально и системно) обсуждается при очаговой гиперплазии.
Читайте также:
- Оценка иммитанса при которой невозможна симуляция нарушения слуха (тугоухости)
- Споруляция бактерий. Стадии споруляции у бактерий. Расположение спор у бактерий.
- Контузии век, конъюнктивы, слезных органов: признаки, диагностика, лечение
- Критерии подбора донора гемопоэтических стволовых клеток (ГСК)
- Синдром Сиденгама (Sudenham)
