Полость прозрачной перегородки на МРТ головного мозга
Добавил пользователь Евгений Кузнецов Обновлено: 28.01.2026
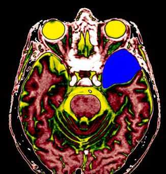
МРТ головного мозга. Т2-взвешенная аксиальная томограмма. Арахноидальная киста. Цветовая обработка изображения.
Кисты головного мозга в большинстве своем относятся к аномалиям развития. Некоторые образования, возникшие на почве нарушения развития, имеют сходные с кистами черты.
Эпидермоидные кисты (эпидермоиды) - доброкачественные врождённые образования. Они происходят из эктопических эпидермальных клеток и развиваются в период закрытия, в 3-5 нед. эмбриогенеза, как следствие неполного разделения нейрональной и покровной эктодермы. Частота составляет около 1% от внутричерепных образований. Обычно диагностируются в возрасте 25 - 45 лет. Локализация эпидермоидов может быть любой, но типичная - мосто-мозжечковый угол (третье по частоте образование этой области), предмостовая цистерна, параселлярная область, четверохолмие и желудочковая система, очень редко в полушариях, спинном мозге и интрадиплоидно. Растут они интра- или экстрадурально, экспансивно, медленно, сдавливая ствол мозга, внутричерепные нервы, но не разрушая кость. Иногда захватывают сосуды и нервы. По характеру роста их можно отнести к опухолевидным образованиям. Вокруг эпидермоидов нередко развивается асептическое воспаление, а при разрыве содержимое (жир, кератин) прорывается в ликворные пространства. Клинические проявления зависят от локализации и масс-эффекта.
При МРТ головного мозга картина неспецифическая и зависит от содержимого кисты. Если она не содержит жира, то имеет ликворную интенсивность сигнала . В таком случае эпидермоидная киста трудно отличима от арахноидальной, хотя, как правило, не столь однородная. На МРТ типа FLAIR и диффузионно-взвешенных МРТ изображениях содержимое эпидермоидов светлее ликворного. Жировое содержимое, такие эпидермоиды еще называют холестеатомой, приводит к высокому сигналу на Т1-взвешенных МРТ головного мозга. Видимо, он обусловлен липидами, но не холестеролом. На Т2-взвешенных МРТ головного мозга он менее интенсивен чем ликвор. Контуры эпидермоидов всегда четкие. Холестеатомы составляют всего 3-5% от эпидермоидов. В 15-20% случаев встречается кальцификация по переферии кисты. Редко наблюдается контрастирование стенок.
МРТ головного мозга. Т1-взвешенные корональная и сагиттальная МРТ. Эпидермоидная киста левой височной доли.
Дермоидные кисты встречаются реже эпидермоидных, составляя около 0,3 % от внутричерепных образований. Обычно выявляются в возрасте между 10 и 20 годами. Морфологически от эпидермоидов их отличает наличие эктодермальных элементов - волосяных фолликулов, потовых желёз и т.д. Типично они расположены по средней линии (в отличие от эпидермоидов, которые чаще внеосевые): в супраселлярной цистерне, субфронтально, вокруг моста и, очень редко парапиниально, периорбитально, в IV желудочке, в области конского хвоста и интрадиплоидно. От эпидермоидных кист на МРТ головного мозга их отличает только выраженная неоднородность структуры, кроме того, они всегда яркие на Т1-взвешенных МРТ головного мозга за счёт большого содержания липидов. При разрыве и прорыве в субарахноидальное пространство в нём появляется уровень, на Т1-взвешенных МРТ головного мозга светлый жир плавает на ликворе.
Липома представляет собой скопление в субарахноидальном пространстве зачаточных жировых клеток с примесью коллагена. Происходят липомы из остатков примитивной эмбриональной оболочки. Эта мальформация оболочек мозга связана с нарушением дифференцировки мезенхимы на мягкую мозговую оболочку и субарахноидальное пространство. Частота липомы составляет менее 0.5% от внутричерепных образований. Обычно липомы локализуется в мозолистом теле, в межполушарной щели, воронке гипофиза и гипоталамусе, реже вокруг червя мозжечка и пластины четверохолмия и мосто-мозжечковом углу и Липомы мозолистого тела сочетаются с его агенезией и в 60% случаев с распространением на сосудистое сплетение. При МРТ головного мозга липома четко очерчена, без отека вокруг и масс-эффекта, кость не разрушает. Структура образования чаще однородная, жировой интенсивности сигнала - то есть выраженно гиперинтенсивная на Т1-взвешенных МРТ и немного менее интенсивная по отношению к ликвору на Т2-взвешенных МРТ. Иногда встречаются неоднородные липомы с участками низкого сигнала от кальцинатов и сосудов, проходящих ее насквозь. При сомнениях в диагнозе надо выполнить МРТ головного мозга с подавлением жира или можно сделать КТ. На КТ липома всегда резко гиподенсна и может содержать включения кальция.

МРТ головного мозга. Сагиттальная Т1-взвешенная МРТ. Липома мозолистого тела.
Эпендимальные кисты встречаются очень редко. Они представляют собой врождённую отшнуровку внутри желудочков или цистернах . На МРТ головного мозга контур кисты четкий, сигнал ликворной интенсивности или чуть светлее за счет отсутствия пульсации и примеси белка, структура однородная. В отличие от кист прозрачной перегородки она не расщеплена, а смещена.
Арахноидальные кисты представляют собой скопление ликвора между листками расщепленной паутинной оболочки. Арахноидальная киста обычно не сопровождается другими мальформациями. Незначительная часть арахноидальных кист имеет приобретенное происхождение - следствие лептоменингита, операции или кровоизлияния. Частота составляет около 1% от внутричерепных образований. Соотношение полов М:Ж, как 4:1. Типичная локализация - средняя черепная ямка (в области Сильвиевой борозды 50%), межполушарная щель, мосто-мозжечковый угол (11%), за скатом или на уровне четверохолмия (10%), в области червя мозжечка (9%), реже в области межножковой и предмостовой цистерн (3%), а также супраселлярной и хиазмальной цистерн. Ретроцеребеллярная арахноидальная киста довольно часто встречаются за мозжечком и отличима от mega cisterna только по неизменённой задней черепной ямке. Содержимое кисты чисто ликворное, стенки гладкие, чётко очерченные, внутри кисты могут быть перегородки. Мелкие арахноидальные кисты очень трудно увидеть. Меняя ширину окна и его уровень на Т1-взвешенных МРТ изображениях можно заметить, что киста чуть светлее ликвора. Дифференциальная диагностика с эпидермальными кистами лучше осуществляется с помощью МРТ последовательности FLAIR. Эпидермальные кисты становятся яркими, в отличие от гипоинтенсивных арахноидальных.
Нейроглиальные (нейроэпителиальные) кисты - врождённые кисты различной этиологии, локализующиеся в паренхиме мозга или в области сосудистого сплетения желудочков. Обычно округлые, с гладкими стенками. Очень часто такие кисты сочетаются с аномалиями развития: отсутствием прозрачной перегородки и полимикрогирией. При МРТ головного мозга содержимое кист ликворное, иногда с небольшой примесью белка.
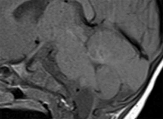
Коллоидная киста - это врождённое нейроэпителиальное образование. Коллоидная киста выстлана эпителием и имеет фиброзную капсулу. Она составляют около 1-2% объемных внутричерепных образований. Обычно диагностируются в возрасте между 30 и 50 годами. При МРТ головного мозга видно, что киста всегда расположена в переднее-верхнем отрезке III желудочка между отверстиями Монро. Контур ее четкий, форма округлая, содержимое бывает неоднородное. Размер от 3 мм до 4 см, при больших размерах она закрывает отверстия Монро и вызывает окклюзионную гидроцефалию. Сигнал зависти от примеси белка к ликвору. При наличии белкового мукоидного содержимого киста гиперинтенсивна на Т1-взвешенных МРТ и гипоинтенсивна на Т2-взвешенных МРТ, но встречаются варианты гиперинтенсивные на томограммах обоих типов кольцевидные или смешанные . Контрастирования не наблюдается.
КТ и МРТ головного мозга. Коллоидная киста III желудочка.
Киста кармана Ратке представляет собой редко встречающееся образование из остатков эмбриональной эктодермы (щель Ратке), расположенное между долями гипофиза. Выявляется в любом возрасте, но чаще в 50-60 лет. Клинические проявления связаны с масс-эффектом. При головного мозга выявляется небольшая (3-5 мм) киста с четким контуром, без отека вокруг, однородная по структуре. Сигнал зависит от содержимого. При серозном содержимом сигнал типично жидкостный, при мукоидном киста светлая на Т1-взвешенных МРТ. В редких случаях киста достигает больших размеров и даже выходит за пределы седла. Стенка кисты иногда усиливается при контрастировании.

МРТ головного мозга. Т2-взвешенная корональная МРТ. Киста кармана Ратке.
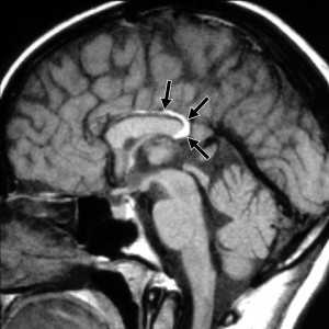
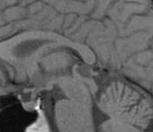
Пинеальная киста расположена в проекции шишковидной железы. Встречается с частотой 4-11%. Размеры обычно не превышают 1 см, но изредка встречаются больших размеров. В таких случаях она вызывает окклюзионную гидроцефалию. При головного мозга она имеет все признаки кисты с примесью белка в жидкости, то есть немного светлая на Т1-взвешенных. Изредка встречается геморрагическое содержимое. Киста может контрастироваться по периферии.

МРТ головного мозга. Сагиттальная Т1-взвешенная МРТ. Пинеальная киста.
Кисты средней линии - киста прозрачной перегородки (cavum septi pellucidi), полость Верге (cavum Vergae) и киста промежуточного паруса (cavum veli interpositi) - являются нормальными структурами головного мозга плода. В течение 6 месяцев после рождения у большинства людей они запустевают, но могут и сохраниться, визуализируясь при этом на МРТ головного мозга. По-видимому, эти полости не имеют клинического значения и относятся к случайным находкам при томографии. Киста прозрачной перегородки (еще называют V желудочком) является медиальной стенкой боковых желудочков и ограничена спереди коленом мозолистого тела, сверху мозолистым телом и сзади столбами свода . Полость Верге представляет собой продолжение кисты прозрачной перегородки кзади и расположена между телами желудочков . Обычно обе кисты сочетаются. Киста промежуточного паруса расположена в крыше III желудочка (tela choroidea), между треугольниками боковых желудочков на уровне отверстий Монро. Она ограничена сверху мозолистым телом, cзади цистерной четверохолмия и снизу III желудочком.
При МРТ в СПб мы обращаем внимание на возможность не только врожденных, но и редких состояний, к которым относятся приобретенные кисты головного мозга, причиной которых могут быть:
- последствия ОНМК
- опухолевые кисты
- паразитарные кисты

МРТ головного мозга. Корональная Т1-взвешенная МРТ. Многокамерные эхинококковые кисты.
Кисты головного мозга одинаково хорошо видны в высоких полях и низкопольных открытых МРТ. МРТ СПб дает место выбора выполнения МРТ.
Киста прозрачной перегородки головного мозга

Деятельность нервной системы человека во многом зависит от внешних факторов. Вывести ее из строя может стресс, перенапряжение, продолжительная активная мозговая деятельность. Однако ту же функцию могут выполнять некоторые образования, локализующиеся в головном мозге, в частности кисты. Наибольшую опасность они представляют тогда, когда развиваются в малоизученных отделах мозга, например, в прозрачной перегородке. Новообразование в этой области представляет собой плотную капсулу, наполненную мозговой жидкостью. Появление болезни обуславливается врожденными или приобретенными факторами.
Информацию из данного раздела нельзя использовать для самодиагностики и самолечения. В случае боли или иного обострения заболевания диагностические исследования должен назначать только лечащий врач. Для постановки диагноза и правильного назначения лечения следует обратиться к профильному специалисту.

Симптомы заболевания
Недуг может протекать бессимптомно или иметь ярко выраженную клиническую картину, все зависит от стадии и условий его развития. Небольшая по размеру киста прозрачной перегородки не влияет на общее состояние организма и не наносит ему никакого вреда. Ее признаки начинают проявляться тогда, когда накапливаемая внутри капсулы жидкость увеличивается в объеме, и образование начинает значительно давить на прилегающие ткани мозга и сосуды. Такое состояние обычно вызывает повышение внутричерепного давления, в связи с чем начинают проявляться большинство симптомов. Человек, как правило, может испытывать:
- головную боль разной интенсивности;
- шум в ушах;
- нарушение зрительной функции;
- проблемы со слухом;
- головокружение;
- чувство сдавливания в голове;
- ухудшение памяти.
Врожденная патология, как правило, не имеет тенденции к увеличению. Это свойственно лишь приобретенным кистам и только в том случае, если они начинают расти. Активное увеличение может привести не только к усугублению вышеупомянутых симптомов, но и серьезному нарушению секреции спинномозговой жидкости, а также к развитию гипертензионно-гидроцефального синдрома. Данные осложнения могут стать необратимыми и в значительной мере ухудшить качество жизни человека.
Причины развития кисты прозрачной перегородки
Ввиду своего происхождения данная патология классифицируется на врожденную и приобретенную. В первом случае можно говорить об особенностях эмбриональной закладки, вследствие которой происходит неправильное строение некоторых отделов головного мозга. Таким образом, аномальное образование может быть вызвано преимущественно следующими факторами:
- специфическим внутриутробным развитием плода;
- преждевременными родами;
- неврологическим дефицитом.
У взрослых людей киста в данном отделе мозга является доброкачественной и обнаруживается обычно случайно на компьютерной или магнитно-резонансной томографии. В этом случае говорят о приобретенном недуге, причиной которого могут быть:
- хроническая гипоксия мозга;
- черепно-мозговые травмы;
- кровоизлияния;
- нейроинфекции;
- воспалительные процессы.
Образование в прозрачной перегородке не считается опасным, если оно умеренных размеров и не имеет выраженной симптоматики. Однако наличие сопутствующего неврологического дефицита говорит о патологии, которая требует действительно тщательного наблюдения и, по возможности, устранения причины возникновения основного заболевания. Поводом для обращения за медицинской помощью являются неприятные симптомы неврологического характера, которые не проходят, а с течением времени лишь усугубляются.
К какому врачу обратиться?
Чтобы выяснить, являются ли ваши жалобы на самочувствие связанные с наличием кисты прозрачной перегородки головного мозга, нужно обратиться к такому врачу как:
Ретроцеребеллярная киста головного мозга

Одной из распространенных патологий головного мозга считается киста. Это новообразование представляет собой пузырь, который наполнен жидкостью. В зависимости от месторасположения и его характера, выделяют несколько разновидностей патологий. Самыми распространенными считаются ретроцеребеллярная и арахноидальная. Первая из них может образоваться в любых отделах мозга. В отличие от других видов, ретроцеребеллярная киста появляется внутри органа по причине гибели клеток серого вещества. Арахноидальное новообразование же обычно возникает во внешних слоях головного мозга и заполнено спинномозговой жидкостью.
В большинстве случаев развитие кист головного мозга не сопровождается явными признаками. Ярко выраженная неврологическая симптоматика наблюдается только у 20 % пациентов. Признаки развивающейся патологии во многом зависят от размеров образования. Также немаловажное значение играют ее локализация и причины возникновения. При активном росте кисты может появиться один или сразу несколько симптомов. К таковым относятся:
- внезапная головная боль;
- временное снижение слуха и шум в ушах;
- чувство пульсации внутри черепа;
- повышенное артериальное давление;
- ощущение распирания в голове;
- внезапные обмороки;
- нарушение зрения, проявляющиеся в расплывчатости и двоении изображений.
Также ретроцеребеллярная киста может спровоцировать временную потерю равновесия, симптомы эпилепсии и частичного паралича руки или ноги. Нередки случаи, когда при данной патологии происходит изменение психоэмоционального состояния пациента. Оно проявляется в частых депрессивных настроениях, чувстве апатии, нарушении сна, усталости и снижении уровня концентрации внимания и мышления.

Причины ретроцеребеллярной арахноидальной кисты
Ученые, занимающиеся изучением данной патологии, пришли к мнению, что новообразование появляется в том месте, в котором случилась гибель клеток серого вещества. Этот процесс могут спровоцировать различные факторы. К наиболее распространенным относятся такие:
- множественные ушибы головы;
- кровоизлияние в мозг;
- хирургическое вмешательства в области черепа;
- аутоиммунные процессы в мозге;
- хроническое нарушение кровообращения.
Также причинами данной патологии могут быть перенесенные инфекционные заболевания. К таковым относятся:
- менингит;
- нейросифилис;
- энцефалит;
- миелит;
- туберкулезное поражение нервной системы.
Кроме различных патологий, провоцируют рост кисты головного мозга также особенности генетического характера, например, синдром Марфана или полное отсутствие перегородок в мозге. Усугубить ситуацию и ускорить патологический процесс могут провоцирующие факторы, к числу которых относятся: плохая экологическая ситуация, рассеянный склероз или бесконтрольное употребление некоторых медикаментов.
Прежде чем назначить инструментальные методы обследования, врач должен ознакомиться с клиническими проявлениями недуга. Для этого он проведет такие манипуляции:
- Побеседует с пациентом о его состоянии здоровья.
- Внимательно выслушает все жалобы больного.
- Спросит о том, когда именно были замечены первые признаки.
- Изучит анамнез.
После опроса специалист назначит аппаратные методы диагностики, поскольку выявить без них кисту головного мозга не представляется возможным. К самым информативным способам относятся КТ и МРТ. Они с высокой точностью покажут размеры и локализацию новообразования.
Лечение ретроцеребеллярной кисты головного мозга
После того как диагноз будет подтвержден, можно приступать к устранению симптомов и причин. В некоторых случаях, когда киста головного мозга увеличивается не слишком стремительно, может быть назначено консервативное лечение. Оно ориентировано на борьбу с инфекционными или воспалительными процессами, которые спровоцировали рост новообразования. Если есть прямые показания и врач считает необходимостью, то проводится оперативное вмешательство. Самыми современными и эффективными считаются:
- Шунтирующие операции.
- Эндоскопические процедуры.
- Микронейрохирургические операции.
В большинстве случаев проведение одного из видов вышеперечисленных вмешательств приводит к полному выздоровлению. После выполнения операции пациент сможет вернуться к привычной жизни. Однако после оперативного вмешательства в обязательном порядке должны проводиться реабилитационные процедуры. Они позволят скорее восстановить нормальную работу мозга. Также в дальнейшем больному следует систематически посещать врача и проходить регулярные исследования для того, чтобы исключить вероятность рецидива кисты.
Анатомия головного мозга в МРТ изображении

МРТ головного мозга. Т2-взвешенная аксиальная МРТ. Цветовая обработка изображения.
Знание анатомии мозга очень важно для правильной локализации патологических процессов. Ещё более важно оно для изучения самого мозга с помощью современных «функциональных» методов, таких как функциональная магнитно-резонансная томография (fMRI), и позитронно-эмиссионная томография. С анатомией мозга мы знакомимся ещё со студенческой скамьи и существует множество анатомических атласов, в том числе и поперечных сечений. Казалось бы, зачем ещё один? На самом деле, сравнение МРТ срезов с анатомическими приводит к множеству ошибок. Это связано как со специфическими особенностями получения МРТ изображений, так и с тем, что строение мозга очень индивидуально.
При МРТ в СПб мы тщательно анализируем анатомию всех структур мозга пациента, что особенно важно при выявлении аномалий строения коры.
Представленная страница сайта основана на специальном изучении МРТ головного мозга здоровых лиц. Для этого изображения получали с минимальной величиной воксела (1 мм в каждом измерении), что исключало наслоения борозд. Каждая из структур прослеживалась в трёх реконструированных плоскостях путём её выделения с помощью компьютерной программы. Мы рассматривали различные анатомические варианты, что обсуждается в работе. В результате, учитывая вариабельность строения мозга, подобран условно «стандартный» мозг. Поскольку на сайте нереально представить 128 срезов в каждой из основных плоскостей, мы ограничились только каждым пятым срезом. Основные срезы в поперечной плоскости даны без наклона назад (угол 0º). Под ними для представления о изменении соотношения анатомических структур демонстрируются срезы, выполненные на тех же уровнях, но с наклонами назад -15º и -30º.
Структуры мозга в МРТ изображения с точки зрения топической диагностики представлены здесь.

МРТ головного мозга. Объемное представление поверхности коры. Цветовая обработка изображения.
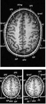
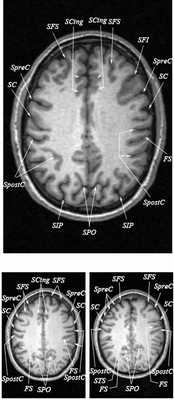
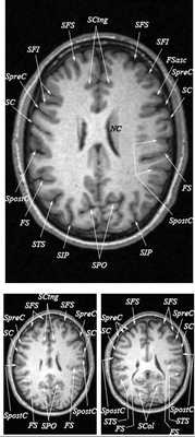
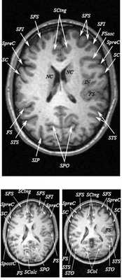
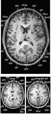
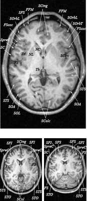
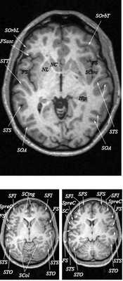
Список сокращений
Борозды
Междолевые и срединные
SC - центральная борозда
FS - Сильвиева щель (латеральная борозда)
FSasc - восходящая ветвь Сильвиевой щели
FShor - поперечная борозда Сильвиевой щели
SPO - теменно-затылочная борозда
STO - височно-затылочная борозда
SCasc - восходящая ветвь поясной борозды
SsubP - подтеменная борозда
SCing - поясная борозда
SCirc - круговая борозда (островка)
SpreC - предцентральная борозда
SparaC - околоцентральная борозда
SFS - верхняя лобная борозда
FFM - лобно-краевая щель
SOrbL - латеральная глазничная борозда
SOrbT - поперечная глазничная борозда
SOrbM - медиальная глазничная борозда
SsOrb - подглазничная борозда
SCM - мозолисто-краевая борозда
SpostC - постцентральная борозда
SIP - внутритеменная борозда
STS - верхняя височная борозда
STT - поперечная височная борозда
SCirc - круговая борозда
SCalc - шпорная борозда
SOL - латеральная затылочная борозда
SOT - поперечная затылочная борозда
SOA - передняя затылочная борозда
Извилины и доли
PF - лобный полюс
GFS - верхняя лобная извилина
GFM - средняя лобная извилина
GpreC - предцентральная извилина
GpostC - постцентральная извилина
GMS - надкраевая извилина
GCing - поясная извилина
GOrb - глазничная извилина
GA - угловая извилина
LPC - парацентральная долька
LPI - нижняя теменная долька
LPS - верхняя теменная долька
PO - затылочный полюс
GR - прямая извилина
PT - полюс височной доли
Срединные структуры
Pons - Варолиев мост
CH - гемисфера мозжечка
CV - червь мозжечка
CP - ножка мозга
To - миндалина мозжечка
Mes - средний мозг
Mo - продолговатый мозг
Am - миндалевидное тело
LQ - пластина четверохолмия
csLQ - верхние холмики четверохолмия
cp - шишковидная железа
CC - мозолистое тело
GCC - колено мозолистого тела
SCC - валик мозолистого тела
cF - колонна свода
comA - передняя спайка
comP - задняя спайка
Cext - наружная капсула
Ch - перекрест зрительного нерва
no - зрительный нерв
Inf - воронка (ножка) гипофиза
TuC - серый бугор
Cm - сосочковое тельце
Подкорковые ядра
Th - зрительный бугор
nTha - переднее ядро зрительного бугра
nThL - латеральное ядро зрительного бугра
nThM - медиальное ядро зрительного бугра
subTh - субталамус (нижние ядра зрительного бугра)
NL - чечевицеобразное ядро
Pu - скорлупа чечевицеобразного ядра
GP - бледный шар
NC - хвостатое ядро
caNC - головка хвостатого ядра
coNC - тело хвостатого ядра
Ликворные пути и связанные с ними структуры
VL - боковой желудочек
caVL - передний рог бокового желудочка
cpVL - задний рог бокового желудочка
sp - прозрачная перегородка
pch - сосудистое сплетение боковых желудочков
V3 - третий желудочек
V4 - четвёртый желудочек
Aq - водопровод мозга
CiCM - мозжечково-мозговая (большая) цистерна
CiIP - межножковая цистерна
Сосуды
ACI - внутренняя сонная артерия
aOph - глазничная артерия
A1 - первый сегмент передней мозговой артерии
А2 - второй сегмент передней мозговой артерии
aca - передняя соединительная артерия
AB - основная артерия
P1 - первый сегмент задней мозговой артерии
Р2 - второй сегмент задней мозговой артерии
аcp - задняя соединительная артерия
Поперечные (аксиальные) МРТ срезы головного мозга





МРТ головного мозга. Трехмерная реконструкция поверхности коры.













Сагиттальные МРТ срезы головного мозга


МРТ головного мозга. Трехмерная реконструкция латеральной поверхности коры.
МРТ кист головного мозга

МРТ головного мозга. Арахноидальная киста полюса левой височной доли. Цветовая обработка.
Кисты головного мозга - это аномалии его развития. При МРТ в СПб мы видим задачу в дифференциальной диагностике с кистозными формами опухолей. При МРТ головного мозга некоторые виды кист, особенно дермоидные, сами напоминают опухоль.
При МРТ головного мозга картина неспецифическая и зависит от содержимого кисты. Если она не содержит жира, топри МРТ головного мозга эпидермоидная киста имеет ликворную интенсивность сигнала. В таком случае эпидермоидная киста трудно отличима от арахноидальной, хотя, как правило, не столь однородная. На FLAIR томограммах и диффузионно-взвешенных МРТ головного мозга содержимое эпидермоидов светлее ликворного. Жировое содержимое, такие эпидермоиды еще называют холестеатомой, приводит к высокому сигналу на Т1-зависимых МРТ головного мозга. Видимо, он обусловлен липидами, но не холестеролом. На Т2-взвешенных МРТ головного мозга он менее интенсивен чем ликвор. Контуры эпидермоидов на МРТ всегда четкие. Холестеатомы составляют всего 3-5% от эпидермоидов. В 15-20% случаев встречается кальцификация по переферии кисты. Редко наблюдается усиление стенок кисты при МРТ головного мозга с контрастированием.

МРТ головного мозга. Т2-взвешенная аксиальная МРТ. Эпидермоидная киста в области предмостовой цистерны слева.
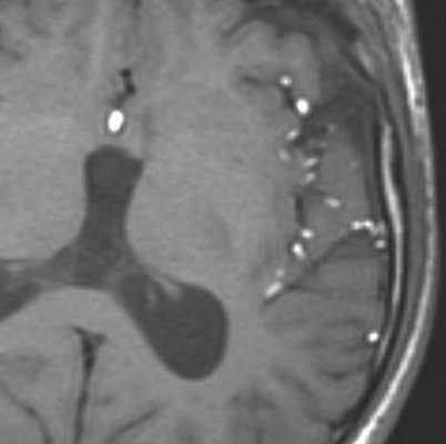
Дермоидные кисты встречаются реже эпидермоидных, составляя около 0,3 % от внутричерепных образований. Обычно выявляются в возрасте между 10 и 20 годами. Морфологически от эпидермоидов их отличает наличие эктодермальных элементов - волосяных фолликулов, потовых желёз и т.д. Типично они расположены по средней линии (в отличие от эпидермоидов, которые чаще внеосевые): в супраселлярной цистерне, субфронтально, вокруг моста и, очень редко парапинеально, периорбитально, в IV желудочке, в области конского хвоста и интрадиплоидно. От эпидермоидных кист на МРТ головного мозга их отличает только выраженная неоднородность структуры, кроме того, они всегда яркие на Т1-зависимых МРТ головного мозга за счёт большого содержания липидов. При разрыве и прорыве в субарахноидальное пространство в нём появляется уровень, на Т1-зависимых МРТ головного мозга светлый жир плавает на ликворе.

МРТ головного мозга. Т1-взвешенная аксиальная МРТ. Прорыв дермоидной кисты в субарахноидальное пространство.
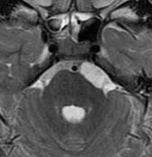
Эпендимальные кисты встречаются очень редко. Они представляют собой врождённую отшнуровку внутри желудочков или цистернах. При МРТ головного мозга контур кисты четкий, сигнал ликворной интенсивности или чуть светлее за счет отсутствия пульсации и примеси белка, структура однородная. В отличие от кист прозрачной перегородки при МРТ головного мозга видно, что она не расщеплена, а смещена.

МРТ головного мозга. Т2-взвешенная аксиальная МРТ. Эпендимальная киста.
Арахноидальные кисты представляют собой скопление ликвора между листками расщепленной паутинной оболочки. Арахноидальная киста обычно не сопровождается другими мальформациями. Незначительная часть арахноидальных кист имеет приобретенное происхождение - следствие лептоменингита, операции или кровоизлияния. Частота составляет около 1% от внутричерепных образований. Соотношение полов М:Ж, как 4:1. Типичная локализация - средняя черепная ямка (в области Сильвиевой борозды 50%), межполушарная щель, мосто-мозжечковый угол (11%), за скатом или на уровне четверохолмия (10%), в области червя мозжечка (9%), реже в области межножковой и предмостовой цистерн (3%), а также супраселлярной и хиазмальной цистерн. В зависимости от размера предложено делить кисты на 3 типа (Galassi, 2006), что однако, не имеет практического значения. Ретроцеребеллярная арахноидальная киста довольно часто встречаются за мозжечком и отличима от mega cisterna только по неизменённой задней черепной ямке. При МРТ головного мозга содержимое кисты чисто ликворное, стенки гладкие, чётко очерченные, внутри кисты могут быть перегородки. Мелкие арахноидальные кисты очень трудно увидеть при МРТ головного мозга. Меняя ширину окна и его уровень на Т1-зависимых МРТ изображениях можно заметить, что киста чуть светлее ликвора. Дифференциальная диагностика с эпидермальными кистами лучше осуществляется с помощью МРТ последовательности FLAIR. На них при МРТ головного мозга эпидермальные кисты становятся яркими, в отличие от гипоинтенсивных арахноидальных. Вероятно, вариантом арахноидальной кисты является нейроэпителиальная киста, которая при МРТ головного мозга имеет типичное расположение в области хориоидальной щели.

МРТ головного мозга. Т1-взвешенная сагиттальная МРТ. Арахноидальная киста в области большого затылочного отверстия.
Порэнцефалические кисты - врождённые кисты различной этиологии, локализующиеся в паренхиме мозга или в области сосудистого сплетения желудочков.При МРТ головного мозга они обычно округлые, с гладкими стенками. Очень часто такие кисты сочетаются с аномалиями развития: отсутствием прозрачной перегородки и полимикрогирией. Содержимое порэнцефалической кисты при МРТ головного мозга ликворное, иногда с небольшой примесью белка.
Коллоидная киста - это врождённое нейроэпителиальное образование. Коллоидная киста выстлана эпителием и имеет фиброзную капсулу. Она составляют около 1-2% объемных внутричерепных образований. Обычно диагностируются в возрасте между 30 и 50 годами. Всегда расположена в переднее-верхнем отрезке III желудочка между отверстиями Монро. Контур ее четкий, форма округлая, содержимое бывает неоднородное. Размер от 3 мм до 4 см, при больших размерах она закрывает отверстия Монро и вызывает окклюзионную гидроцефалию. Сигнал зависти от примеси белка к ликвору. При наличии белкового мукоидного содержимого киста гиперинтенсивна на Т1-взвешенных МРТ головного мозга и гипоинтенсивна на Т2-взвешенных МРТ, но встречаются варианты гиперинтенсивные на МРТ головного мозга обоих типов взвешенности кольцевидные или смешанные. При МРТ головного мозга с контрастированием усиления сигнала не наблюдается.
Киста кармана Ратке представляет собой редко встречающееся образование из остатков эмбриональной эктодермы (щель Ратке), расположенное между долями гипофиза. Выявляется в любом возрасте, но чаще в 50-60 лет. Клинические проявления связаны с масс-эффектом. При МРТ головного мозга выявляется небольшая (3-5мм) киста с четким контуром, без отека вокруг, однородная по структуре. Сигнал на МРТ головного мозга зависит от содержимого. При серозном содержимом сигнал типично жидкостный, при мукоидном киста светлая на Т1-взвешенных МРТ головного мозга. В 70-80% случаев внутри кисты выявляется неконирастирующийся узелок («пятно») - признак патогномоничный для кисты кармана Ратке. В редких случаях киста достигает больших размеров и даже выходит за пределы седла. Стенка кисты иногда усиливается при МРТ головного мозга с контрастированием. Дифференциальная диагностика при МРТ головного мозга должна проводиться с арахноидадьной и эпидермоидной кистами, тератомой, кистозной аденомой гипофиза и краниофарингиомой. Иногда при МРТ головного мозга киста кармана Ратке напоминает “пустое” турецкое седло. При маленьких размерах кисты ее на до дифференцировать на МРТ с микроаденомой гипофиза.

МРТ головного мозга. Т1-взвешенная сагиттальная МРТ. Киста кармана Ратке.
Пинеальная киста расположена в проекции шишковидной железы. Встречается с частотой 4-11%. Размеры обычно не превышают 1 см, но изредка встречаются больших размеров. В таких случаях она вызывает окклюзионную гидроцефалию. При МРТ головного мозга она имеет все признаки кисты с примесью белка в жидкости, то есть немного светлая на Т1-зависимых МРТ. Изредка встречается геморрагическое содержимое. Киста может по усиливаться периферии при МРТ головного мозга с контрастированием.

МРТ головного мозга. Т1-взвешенная сагиттальная МРТ. Пинеальная киста.
Кисты средней линии - киста прозрачной перегородки (cavum septi pellucidi), полость Верге (cavum Vergae) и киста промежуточного паруса (cavum veli interpositi) - являются нормальными структурами головного мозга плода. В течение 6 месяцев после рождения у большинства людей они запустевают, но могут и сохраниться. По-видимому, эти полости не имеют клинического значения и относятся к случайным находкам при МРТ головного мозга . Киста прозрачной перегородки (еще называют V желудочком) является медиальной стенкой боковых желудочков и ограничена спереди коленом мозолистого тела, сверху мозолистым телом и сзади столбами свода. Полость Верге представляет собой продолжение кисты прозрачной перегородки кзади и расположена между телами желудочков (рис.105). Обычно обе кисты сочетаются. Киста промежуточного паруса расположена в крыше III желудочка (tela choroidea), между треугольниками боковых желудочков на уровне отверстий Монро. Она ограничена сверху мозолистым телом, cзади цистерной четверохолмия и снизу III желудочком.
Читайте также:
