Анатомия: Лимфатические узлы и сосуды грудной клетки. Топография, строение, расположение лимфатических узлов и сосудов грудной клетки
Добавил пользователь Евгений Кузнецов Обновлено: 21.11.2025
Париетальные, пристеночные узлы грудной полости составляют окологрудинные, или парастеральные, nodi lymphatici parasternales, предпозвоночные верхние диафрагмальные nodi lymphatici phrenici posteriores и межреберные лимфатические узлы, nodi lymphatici intercostales. К висцеральным, внутренностным относятся легочные, nodi lymphatici pulmonales, бронхолегочные, nodi lymphatici bronchopulmonales, трахео-бронхиальные, nodi lymphatici tracheobronchiales, трахеальные, nodi lymphatici tracheales, юкстапищеводные, предперикардиальные и латеральные перикардиальные, передние и задние средостенные лимфатические узлы, nodi lymphatici mediastinales anteriores et posteriores.
Топографически лимфатические сосуды и узлы грудной полости делятся на две группы: лимфатические сосуды и узлы переднего средостения и лимфатические сосуды и узлы заднего средостения.
В переднем средостении залегают следующие лимфатические узлы:
Диафрагмальные лимфатические узлы, nodi lymphatici phrenici, располагаются у места прикрепления диафрагмы к VII ребру и мечевидному отростку и впереди нижней полой вены.
Окологрудинные лимфатические узлы, nodi lymphatici parasternales, располагаются по ходу a. thoracica intema.
Передние средостенные лимфатические узлы, nodi lymphatici mediastinales anteriores, залегают на передней поверхности дуги аорты и плечеголовных вен.
В заднем средостении располагаются следующие узлы:
Межреберные лимфатические узлы, nodi lymphatici intercoslales, располагаются на головках ребер.
Задние средостенные лимфатические узлы, nodi lymphatici mediastinales posleriores, следуют по ходу грудной аорты и грудного протока, предпозвоночная группа.
Диафрагмальные лимфатические узлы, nodi lymphatici phrenici, располагаются на диафрагме вблизи аортального отверстия и ножек диафрагмы.
Трахейные лимфатические узлы, nodi lymphatici tracheales. залегают у боковых поверхностен трахеи, а также впереди нее.
Верхние и нижние трахеобронхиальные лимфатические узлы, nodi lymphatici tracheobronchiales superiores et inferiores, располагаются на протяжении от ворот легких до разделения трахеи, верхние узлы и под разделением трахеи между главными бронхами нижние узлы.
Бронхолегочные лимфатические узлы, nodi lymphatici bronchopulmonales, залегают в области корней легких, в пределах от бронхов до средостенной поверхности легких.
Легочные лимфатические узлы, nodi lymphatici pulmonales, находятся в области ворот легких и в углах ветвления долевых и сегментарных бронхов и сосудов.

Рис. 2.29. Расположение лимфатических узлов шеи и средостения (схема).
1 - nodi trachealis; 2 - a. carotis communis; 3 - ductus thoracicus; 4 - v. subclavia; 5 - nodi lymphatici axillares; 6 - nodi tracheobronchiale; 7 - nodi bronchopulmonales; 8 - nodi pulmonales; 9 - nodi phrenici; 10 - nodi mediastinalis; 11 - nodi cervicales profundi; 12 - v. jugularis interna.
В области грудной клетки различают передние и задние межреберные лимфатические сосуды, которые собирают лимфу из мышц и костей грудной клетки, а также из поверхностного и глубокого лимфатических сплетений реберной плевры. Передние межреберные лимфатические сосуды вступают в nodi lymphatici parasternales, которые располагаются в грудной полости вместе с внутренними грудными сосудами, принимая выносящие сосуды передних диафрагмальных, грудных и средостенных узлов. Выносящие лимфатические сосуды вливаются с левой стороны в ductus thoracicus, а с правой - в ductus lymphaticus dexter. Задние межреберные лимфатические сосуды идут по межреберьям назад, принимают отводящие лимфатические сосуды спины и вливаются в межреберные лимфатические узлы, nodi lymphatici intercostales. Выносящие сосуды этих узлов при посредстве нескольких ответвлений впадают в начальный отдел грудного протока, в пределах его цистерны. Часть сосудов вступает в nodi lymphatici mediastinales posteriores, выносящие сосуды которых также впадают в ductus thoracicus.
Лимфатические узлы шеи
Современная классификация Американского объединенного комитета по изучению злокачественных опухолей и Американской академии оториноларингологии и хирургии головы и шеи изменена K. Robbins с соавт. в 2000 г. и утверждена AJCC-AAOHNS в 2001 г. В ней предложено разделить 3 уровня на подуровни. Классификация лимфатических узлов по уровням известна во всем мире, удобна в использовании, легка для запоминания и, что самое главное, позволяет специалистам говорить на одном языке. Она уже стала основой для классификации шейных диссекций.
Использование классификации лимфатических узлов шеи по уровням позволит решить целый ряд проблем, возникающих, в частности: 1) при определении объема хирургического вмешательства и планировании лучевой терапии; 2) при обращении больного, лечившегося в одном лечебном учреждении, в другое с выпиской, в которой указано, что больному проведено фасциально-футлярное иссечение клетчатки шеи и не указан точный объем вмешательства. В первой ситуации, где по заключению УЗИ имеется поражение шейно-надключичной зоны без указания уровней, нам трудно оценить объем поражения. Во второй ситуации без протокола хирургического вмешательства невозможно узнать точный объем ранее выполненной операции.
Классификация
I (IA и IB) - ниже тела нижней челюсти (позади ветви нижней челюсти - это уже IIA);
IA — группа подбородочных узлов
IB — группа подчелюстных лимфатических узлов (находятся спереди и сзади от подчелюстной слюнной железы). При поражении лимфатических узлов этого уровня или самой железы, то она удаляется.
II, III, IV - яремные - вдоль сосудисто-нервного пучка (внутренней яремной вены) прикрыты m.sternoclaidomastoideus
II - верхние яремные - от уровня основания черепа до уровня нижнего края подъязычной кости
IIA — верхние яремные передние — кпереди от заднего края внутренней яремной вены;
IIB — верхние яремные задние — кзади от заднего края внутренней яремной вены.
III — средние яремные - от уровня нижнего края подъязычной кости до уровня нижнего края перстневидного хряща гортани;
IV - нижние яремные — от уровня нижнего края перстневидного хряща гортани до ключиц (в т.ч. Вирховские);
V - заднего (латерального) треугольника шеи соответствует анатомическим границам
VA - акцессорные - выше уровня нижнего края перстневидного хряща, по передней поверхности трапецевидной мышцы,
VB - надключичные — ниже уровня нижнего края перстневидного хряща (исключая Вирховские);
VI - переднего пространства шеи — пре- и паратрахеальные ЛУ, предгортанные (Delphian (Дельфийские) и околощитовидные ЛУ, включающие ЛУ вдоль возвратного гортанного нерва)

Группы лимфатических узлов не входящих в классификацию.
При описании всех перечисленных ниже групп лимфатических узлов необходимо использовать традиционные названия.
1. Лимфатические узлы заушной области.
2. Подзатылочные лимфатические узлы.
3. Околоушные лимфатические узлы (внутри и внеоколоушной слюнной железы).
4. Латеральные и медиальные ретрофарингеальные лимфатические узлы (их поражение имеет значение при раке носоглотки и ротоглотки).
5. Лицевые лимфатические узлы.
6. Верхние медиастинальные лимфатические узлы (не относятся к лимфатическим узлам шеи).
Примеры лимфаденопатии разных групп лимфатических узлов шеи.
На ниже представленном КТ снимке визуализируется некроз лимфатических узлов группы IA.

На ниже представленном КТ снимке визуализируется лимфаденопатия группы IB справа.

На ниже представленном постконтрастном КТ снимке представлен пациент с карциномой языка и лимфаденопатией II группы лимфатических узлов.

На ниже представленном постконтрастном КТ изображении визуализируется увеличение и контрастное усиление лимфатических узлов III группы.

На постконтрастном изображении белой стрелкой указан увеличенный лимфатический узел IV группы. У пациента удалена правая доля щитовидной железы и правая яремная вена, что указано чёрной стрелкой, всвязи с папиллярной карциномой.

На постконтрастном изображении белой стрелкой указан увеличенный лимфатический узел V группы.

На постконтрастном изображении белой стрелкой указан увеличенный лимфатический узел VI группы.
Лимфатические узлы средостения

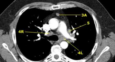
Лимфатические узлы 3 группы не примыкают к трахее в отличии от лимфатических узлов 2 группы. Они подразделюятся на: 3А кпереди от сосудов 3Р позади пищевода/превертебрально Они не доступны при медиастиноскопии. 3Р группа может быть доступна при чреспищеводной эхокардиографии.

На изображении слева 3А узел в преваскулярном пространстве. Обратите внимание так же на ниже расположенные паратрахеальные узлы справа относящиеся к 4R группе.

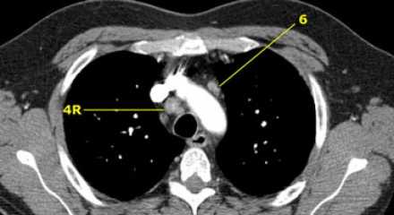
4R. Правые нижние паратрахеальные лимфатические узлы
- Верхняя граница: пересечение нижнего края левой плечеголовной вены с трахеей.
- Нижняя граница: нижний края непарной вены. 4R узлы распространяются до левого края трахеи.

На изображении слева мы видим 4R паратрахеальные узлы. Кроме того здесь представлен узел кнаружи от дуги аорты, то есть 6 группы.

4L. Левые нижние паратрахеальные лимфатические узлы
4L узлы расположенные слева от левой стенки трахеи, между горизонтальными линиями проведенными касательно верхней стенке дуги аорты и линией проходящей через левый главный бронх на уровне верхнего края верхнедолевого бронха. Они включают паратрахеальные узлы расположенные кнутри от артериальной связки.
Узлы 5 группы (аортопульмонального окна) расположены кнаружи от артериальной связки.
На левом изображении над уровнем легочного ствола представлены нижние паратрахеальные узлы слева и справа, так же здесь представлены узлы 3 и 5 групп.

Изображение слева выше уровня карины. Слева от трахеи 4L узлы. Обратите внимание что они расположены между легочным стволом и аортой, но не в аортопульмональном окне, потому что они лежат медиальнее артериальной связки. Лимфатические узлы латеральнее легочного ствола относятся к 5 группе.

- 5. Субаортальные лимфатические узлы
- Субаортальное или аортопульмональное окно расположено кнаружи от артериальной связки и проксимальнее первой ветви левой легочной артерии и лежит в пределах медиастинальной плевры.
- Парааортальные лимфатические узлы лежат кпереди и кнаружи от восходящего отдела аорты и между верхним и нижним краями дуги аорты.
![11]()
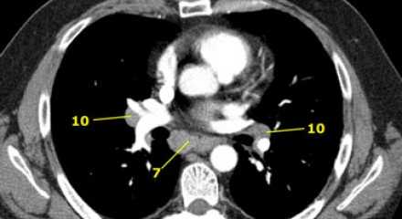
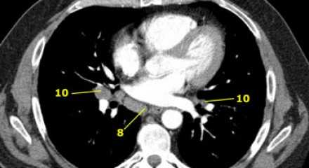
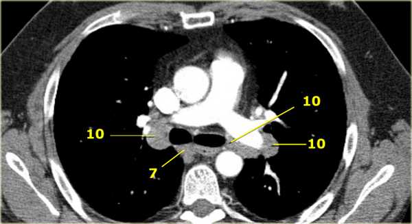
7. Подкаринальные лимфатические узлы
Эти лимфатические узлы расположены ниже уровня бифуркации трахеи (карины), но не относятся к нижнедолевым бронху и артерии. Справа они располагаются каудальнее нижней стенки промежуточного бронха. Слева они располагаются каудальнее верхней стенки нижнедолевого бронха. Слева лимфатический узел 7 группы справа от пищевода.
![12]()
8. Параэзофагеальные лимфатические узлы
Эти лимфатические узлы ниже подкаринальных лимфатических узлов и распространяются каудальнее до диафрагмы. На изображении слева ниже уровня карины справа от пищевода обозначен лимфатический узел 8 группы.
![13]()
На ПЭТ изображении слева показано накопление 18Р-дезоксиглюкозы в узле 8 группы. На соответствующем КТ изображении видно что данный лимфатический узел (голубая стрелка) не увеличен. Вероятность того что в имеется метастатическое поражение данного узла чрезвычайно высока, поскольку специфичность ПЭТ выше чем измерение размеров лимфатических узлов.
![14]()
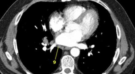
9. лимфатические узлы легочной связки
Данные лимфатические узлы лежат в пределах легочной связки, в том числе и по ходу нижней легочной вены. Легочная связка представлена дупликатурой медиастинальной плевры охватывающей корень легкого.
![15]()
10. лимфатические узлы корня легкого
Лимфатические узлы корня расположены проксимальнее долевых узлов, но дистальнее медиастинальной дупликатуры и узлов промежуточного бронха справа.
Все лимфатические узлы 10-14 групп являются N1 узлами, так как они находятся вне средостения.
1. лимфатические узлы вырезки грудины видны только на этом уровне и выше него
2. верхние паратрахеальные лимфатические узлы: ниже ключиц , справа над пересечением нижнего края левого плечеголовного ствола и трахеи, а слева над дугой аорты
3. Преваскулярные и ретротрахеальные: кпереди от сосудов (3А) и превертебральные (3Р)
4. Нижние паратрахеальные: ниже верхнего края дуги аорты до уровня главного бронха
5. Субаортальные (аортопульмональное окно): лимфатические узлы кнаружи от артериальной связки или кнаружи от аорты или левой легочной артерии.
6. Парааортальные: узлы лежащие кпереди и кнаружи от восходящего отдела аорты и дуги аорты под верхним краем дуги аорты.
7. Субкаринальные лимфатические узлы.
8. Параэзофагеальные лимфатические узлы (ниже карины).
9. Лимфатические узлы легочной связки: лежат в пределах легочной связки.
10-14 лимфатические узлы N1![медианоскопия]()
Медиастиноскопия и чреспищеводное УЗИ
Лимфатические узлы доступные для биопсии при медиастиноскопиии: верхнием паратрахеальные узлы 2L И 2R групп, правые и левые нижние паратрахеальные лимфатические узлы 4R и 4L групп, подкаринальные лимфатические узлы 7 группы. 1 группа расположена выше надгрудинной вырезки и не доступна при рутинной медиастиноскопии.
![2]()
Расширенная медиастиноскопия
Опухоли левой верхней доли могут метастазировать в субаортальные (5 группа) и парааортальные лимфатические узлы (6 группа). Эти узлы недоступны для биопсии при рутинной медиастиноскопии. Расширенная медиастиноскопия является альтернативой для парастернально медиастинотомии. Эта процедура используется реже в связи с более высоким риском осложнений.
![1]()
Тонкоигольная аспирационная биопсия под контролем УЗИ
Может применятся для всех лимфатических узлов доступных УЗИ визуализации из пищевода. В частности обеспечивается доступ к лимфатическим узлам нижнего средостения (7-9 группы). Кроме того при данной виде исследования для визуализации доступны левая доля печени и левый надпочечник.
Источники:
by Paul De Leyn and Toni Lerut.
in the Multimedia Manual of Cardiothoracic Surgeryby Christian Lloyd, MD, and Gerard A.Silvestri, MD, FCCP Christian Lloyd, MD, and Gerard A.Silvestri, MD, FCCP
Cancer Control, July/August 2001,Vol.8, No.4 Cancer Control 311by Reginald F. Munden, MD, DMD, Stephen S. Swisher, MD, Craig W. Stevens, MD, PhD and David J. Stewart, MD
Radiology 2005; 237:803-818Вопрос 122 Лимфатические сосуды и узлы органов грудной полости. Лимфатическое русло легких.
В грудной полости выделяют париетальные (пристеночные) лимфатические узлы, лежащие на соответствующих стенках (передние, нижние и задние), и висцеральные (внутренностные), находящиеся в грудной полости на пути тока лимфы от ее внутренних органов.
Париетальные (пристеночные) лимфатические узлы. На внутренней (задней) поверхности передней грудной стенки справа и слева от грудины располагаются окологрудинные лимфатические узлы, nodi lymphatici parasternales. Они прилежат к внутренним грудным артерии и венам; В окологрудинные лимфатические узлы впадают лимфатические сосуды от тканей передней грудной стенки, плевры и перикарда, нижних надчревных и верхних диафрагмальных лимфатических узлов, диафрагмальной поверхности печени (проникают через диафрагму) и от молочной железы. Выносящие лимфатические сосуды правых окологрудинных лимфатических узлов впадают в правый яремный ствол и в превенозные лимфатические узлы, расположенные в верхнем средостении. Сосуды левых окологрудинных узлов направляются к предаортальным лимфатическим узлам, а также впадают непосредственно в грудной проток и в левый яремный ствол.
В межреберных промежутках, с каждой стороны позвоночного столба, возле задних межреберных сосудов расположены задние межреберные лимфатические узлы, nodi lymphatici inter-costales. К этим узлам направляются лимфатические сосуды от задней стенки грудной полости. Выносящие лимфатические сосуды межреберных узлов впадают в грудной проток, а от верхних узлов — в глубокие латеральные шейные (внутренние яремные) лимфатические узлы, расположенные возле внутренней яремной вены.
Верхние диафрагмальные лимфатические узлы, nodi lymphatici phrenici superiores, лежат на диафрагме, слева от нижней полой вены и вокруг перикарда. Выделяют непостоянные латеральные перикардиальные, предперикардиальные и позадиперикардиальные лимфатические узлы.
Висцеральные (внутренностные) лимфатические узлы. К ним относятся передние средостенные лимфатические узлы, nodi lymphatici mediastinales anteriores. Они располагаются в верхнем средостении, на передней поверхности верхней полой вены, дуги аорты и отходящих от нее артерий, кверху от основания сердца. Узлы подразделяют на предкавальные (превенозные) лимфатические узлы, которые лежат впереди верхней полой вены и правой плечеголовной вены, предаортокаротидные, находящиеся возле артериальной связки у дуги аорты, возле начала левых общей сонной и подключичной артерий, и узлы горизонтальной цепочки, расположенные на передней поверхности левой плечеголовной вены и плечеголовного ствола.
В передние средостенные лимфатические узлы впадают лимфатические сосуды сердца, перикарда, вилочковой железы и выносящие лимфатические сосуды бронхолегочных и трахеобронхи-альных лимфатических узлов. Выносящие лимфатические сосуды превенозных лимфатических узлов формируют бронхо-средостенный ствол, Выносящие лимфатические сосуды горизонтальной цепочки впадают в грудной проток, а также в правый яремный ствол и околотрахеальные лимфатические узлы. Выносящие лимфатические сосуды предаортокаротидных узлов впадают в грудной проток, в левый яремный ствол, а также направляются к левым латеральным (внутренним) яремным лимфатическим узлам.
Задние средостенные лимфатические узлы, nodi lymphatici mediastinales pesteriores, располагаются в клетчатке возле грудной части нисходящей аорты и около пищевода, принимают лимфу от органов заднего средостения. Выносящие лимфатические сосуды этих узлов впадают непосредственно в грудной проток, а также в нижние трахеобронхиальные и левые бронхолегочные лимфатические узлы.
На пути лимфатических сосудов легкого лежат бронхолегочные лимфатические узлы. Внутриорганные бронхолегочные узлы располагаются в каждом легком в местах разветвления главного бронха на долевые и долевых на сегментарные, а внеорганные (корневые) группируются вокруг главного бронха, возле легочных артерии и вен. Выносящие лимфатические сосуды правых и левых бронхолегочных узлов направляются к нижним и верхним трахеобронхиальным лимфатическим узлам.
Нижние трахеобронхиальные лимфатические узлы, nodi lymphatici tracheobronchiales inferiores, лежат под бифуркацией трахеи, а верхние трахеобронхиальные (правые и левые) лимфатические узлы, nodi lymphatici tracheobronchiales superiores dextri et sinistri, находятся на боковой поверхности трахеи и в трахеобронхиальном углу, образованном латеральной поверхностью трахеи и верхней полуокружностью главного бронха соответствующей стороны. К этим лимфатическим узлам направляются выносящие лимфатические сосуды бронхолегочных узлов, а также других висцеральных и париетальных узлов грудной полости. Выносящие лимфатические сосуды правых верхних трахеобронхиальных узлов участвуют в формировании правого бронхосредостенного ствола. Имеются также пути оттока лимфы из правых верхних трахеобронхиальных лимфатических узлов в сторону левого венозного угла. Выносящие лимфатические сосуды левых верхних трахеобронхиальных лимфатических узлов впадают в грудной проток.
Лимфатические капилляры легких образуют две сети: поверхностную - в висцеральной плевре и глубокую — вокруг альвеол и легочных долек, вокруг бронхиального дерева и ветвей легочных сосудов. Поверхностная сеть — однослойная, представлена сочетанием широких и узких лимфатических капилляров, которые присутствуют в виде сплетения по всем поверхностям висцеральной плевры легкого. Глубокая сеть- трехмерная, ее основной частью являются дольковые сплетения, отправляющие лимфу по двум направлениям в сплетения бронхов и легочных сосудов и в поверхностное (плевральное) сплетение. На крупных бронхах (сегментарных, долевых, главных) формируются двухслойные сети.
Приносящие лимфатические сосуды возникают на уровне легочных сегментов, переходят в долевые и воротные, покидая легкие вместе с венами, вливаются в следующие висцеральные лимфатические узлы грудной полости.
Бронхопульмональные (nodi lymphatici bronchopulmonales 4-25) - внутриорганные узлы располагаются у сегментарных и долевых бронхов, внеорганные узлы находятся в корне легкого у главного бронха.
Трахеобронхиальные узлы (nodi lymphatici tracheobronchiales): верхние (1-14) и нижние (3-30) лежат над и под бифуркацией трахеи.
Выносящие сосуды из бронхолегочных узлов впадают в трахеобронхиальные и передние средостенные узлы, а из них в бронхомедиастинальный ствол, реже в венозный яремный угол и грудной проток.
Правое легкое имеет отток лимфы от верхней и средней долей в правые бронхопульмональные и трахеобронхиальные узлы, от нижней доли - в правые бронхопульмональные, нижние трахеобронхиальные и задние средостенные (околопищеводные) узлы.
Левое легкое посылает лимфу от верхней доли в левые бронхопульмональные, верхние трахеобронхиальные и передние средостенные узлы, от нижней доли - в левые бронхопульмональные, нижние трахеобронхиальные, передние и задние средостенные узлы.
Лимфатические узлы грудных стенок
Окологрудинные узлы (nodi lymphatici parasternales, 2-20) располагаются позади грудины и по ходу внутренних грудных сосудов, принимая лимфу от молочной железы, плевры, перикарда, печени, сердца, диафрагмы и передней грудной стенки. Выносящие из них сосуды вливаются в грудной проток, яремные стволы в предвенозные и предаортальные лимфоузлы средостения.
Межреберные узлы (nodi lymphatici intercostales, 1-7) собирают лимфу от боковой и задней грудной стенки. Выносящие сосуды впадают в грудной проток и латеральные глубокие шейные узлы.
Верхние диафрагмальные узлы (nodi lymphatici phrenici superiores) лежат у места вхождения в диафрагму нижней полой вены, диафрагмальных нервов и по ходу мышечно-диафрагмальных сосудов. Они собирают лимфу от перикарда, пищевода, плевры, диафрагмы, печени. Среди них выделяются непостоянные перикардиальные узлы: латеральные, передние и задние. Выносящие из диафрагмальных узлов сосуды впадают в окологрудинные, задние средостенные, трахеобронхиальные и бронхолегочные узлы.
Читайте также:
- Изменения на электрокардиограмме у новорожденного при пороках сердца.
- Химиотерапия при раке прямой кишки: препараты для химиотерапии, паллиативная химиотерапия при раке прямой кишки
- Изменения кожи при синдроме Нельсона
- Анатомия анального канала, его сфинктеров и пространств
- Спондилез шейного отдела позвоночника: атлас фотографий








