Анестезия при верхней шейной декомпрессии задней черепной ямки (ВШДЗЧЯ) - аномалии Киари. Послеоперационный уход
Добавил пользователь Валентин П. Обновлено: 02.11.2025
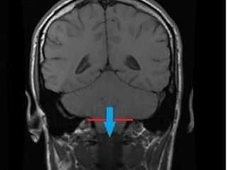
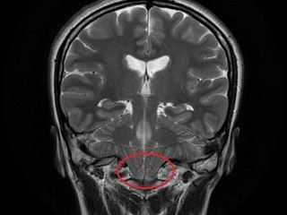
«Золотым стандартом» в хирургическом лечении мальформации Киари является декомпрессия краниовертебрального перехода с пластикой твердой мозговой оболочки. Суть этого метода заключается в устранении давления на миндалики мозжечка и создания «комфортных» условий для нормального процесса ликвороциркуляции в этой зоне.
В ряде случаев данная методика может быть дополнена реконструкцией задней черепной ямки. Основные этапы операции ничем не отличаются от стандартной декомпрессии краниовертебрального перехода. Пациенту выполнятся срединная субокципитальная краниотомия - выпиливание костного фрагмента нижних отделов затылочной кости, резекция части первого шейного позвонка, вскрытие и пластика твердой мозговой оболочки. Принципиальным отличием данной методики является установка и фиксация выпиленного фрагмента затылочной кости -"лоскута" после завершения основного этапа операции. Для осуществления адекватной костной декомпрессии, лоскут моделируется, немного смещается кнаружи и фиксируется по определенной методике, что позволяет исключить сдавление прилежащих структур. Твердая мозговая оболочка, в свою очередь, подтягивается и подшивается к лоскуту, тем самым создавая дополнительное пространство для миндаликов мозжечка и ликвороциркуляции на этом уровне. Послойно зашиваются мягкие ткани и накладывается косметический внутрикожный шов.
Декомпрессия краниовертебрального перехода с реконструкцией задней черепной ямки при мальформации Киари

. выполняется при заболевании
Статьи об этой операции

Участие нейрохирурга Реутова Андрей Александровича в конгрессе EANS

Выступление доктора Реутова А. А. с рецензией на работу, посвященной Мальформации Киари


"Золотой стандарт" в лечении пациентов с мальформацией Киари I типа

В основу книги легла диссертационная работа доктора Реутова на соискание ученой степени кандидата медицинских наук "Принципы.

Декомпрессия краниовертебрального перехода с пластикой ТМО - золотой стандарт лечения, утвержденный в качестве клинических.
© 2022 - Center Neuro. Сайт носит исключительно информационный характер, не является сайтом медицинской организации, ни при каких условиях не является публичной офертой, определяемой положениями статьи 437 (п.2) ГК РФ. Взаимодействие с любым из специалистов, представленных на сайте, регламентируется правилами клиники, в которой он работает.
Декомпрессия краниовертебрального перехода при мальформации Киари

Диапазон методов хирургического лечения больных с Мальформацией Арнольда-Киари представлен более чем 20 разновидностями оперативных методик. К сожалению, большинство нейрохирургов, опираясь на разноречивые данные литературы и собственный опыт, «подстраивают хирургическую тактику под пациента». На наш взгляд, стратегия хирургического лечения больных должна быть основана на глубоком понимании патофизиологии заболевания. С учетом современных взглядов на причину заболевания, основываясь на результатах завершенной диссертационной работы, посвященной этой проблеме, хирургическое вмешательство, помимо устранения прямой компрессии невральных структур, должно быть направлено на восстановление нормальной ликворциркуляции на уровне краниовертебрального перехода.
Основным методом лечения Мальформации Киари остается хирургическая коррекция диспропорций на уровне краниовертебрального перехода. Разброс по степени хирургической «агрессивности» варьирует от методов сопровождающихся резекцией миндаликов до малоинвазивных эндоскопических методик костной декомпрессии. В последние годы отчетливо прослеживается тенденция к более щадящим методам хирургического лечения, хотя отдельные хирурги и в настоящее время пропагандируют радикальные методики.
«Золотым стандартом» является декомпрессия краниовертебрального перехода с пластикой твердой мозговой оболочки. Суть этого метода заключается в устранении давления на миндалики мозжечка и создания «комфортных» условий для нормального процесса ликвороциркуляции в этой зоне.
С этой целью через небольшой линейный разрез в шейно-затылочной области, большая часть которого расположена в зоне роста волос, осуществляется доступ к структурам краниовертебрального перехода. С целью устранения компрессии удаляется небольшой участок затылочной кости и фрагмент первого шейного позвонка не играющий ключевого значения в биомеханике шейного отдела. Уже на данном этапе мы начинаем использовать операционный микроскоп. Важным этапом в достижении максимальной декомпрессии является иссечение утолщенной атланто-затылочной мембраны, оказывающей прямую компрессию на опущенные миндалики мозжечка. После этого производится рассечение твердой мозговой оболочки и ее пластика. Модифицированная полуциркулярная конфигурация разреза оболочки позволяет нам использовать всю длину раны, не вызывая технических сложностей на этапе её пластики. Под пластикой оболочки подразумевается вшивание «заплатки» из собственных тканей пациента, взятой заблаговременно на этапе разреза мягких тканей. Преимуществами использования собственных тканей пациента являются их инертность, эластичность и быстрая «вживляемость» в окружающие ткани. Использование «местных» тканей позволяет нам избежать дополнительных разрезов, обеспечить максимальную герметичность на фоне минимального косметического дефекта. Наиболее часто встречающимися осложнениями, при использовании чужеродных синтетических материалов являются инфекционные осложнения, возможность спаечного процесса и плохого заживления вследствие иммунной реакции организма. После завершения основного этапа, осуществляется послойное, максимально герметичное зашивание мягких тканей и косметический, внутрикожный шов на кожу. При благоприятном течении послеоперационного периода выписка пациента из стационара с подробными рекомендациями может быть осуществлена уже на 4-5 день после операции.
Декомпрессия краниовертебрального перехода
Диапазон методов хирургического лечения больных с Мальформацией Киари представлен более чем 20 разновидностями оперативных методик. К сожалению, большинство нейрохирургов, опираясь на разноречивые данные литературы и собственный опыт, «подстраивают хирургическую тактику под пациента». На наш взгляд, стратегия хирургического лечения больных должна быть основана на глубоком понимании патофизиологии заболевания. С учетом современных взглядов на причину заболевания, основываясь на результатах завершенной диссертационной работы, посвященной этой проблеме, хирургическое вмешательство, помимо устранения прямой компрессии невральных структур, должно быть направлено на восстановление нормальной ликворциркуляции на уровне краниовертебрального перехода.
Анестезия при верхней шейной декомпрессии задней черепной ямки (ВШДЗЧЯ) - аномалии Киари. Послеоперационный уход
ФГАУ «НИИ нейрохирургии им. акад. Н.Н. Бурденко» Минздрава России, Москва, Россия
ФГБУ "НИИ нейрохирургии им. акад. Н.Н. Бурденко" РАМН, Москва
Экспансивная краниопластика задней черепной ямки при аномалии Киари 1 (клиническое наблюдение и описание хирургической техники)
Журнал: Журнал «Вопросы нейрохирургии» имени Н.Н. Бурденко. 2017;81(4): 108‑112
В статье на клиническом примере описана техника экспансивной краниопластики (реконструкции) задней черепной ямки (ЗЧЯ) при аномалии Киари-1 (АК-1). Цель применения методики — повышение эффективности и безопасности хирургического лечения АК-1. Данную технику можно использовать в дополнение к любому варианту декомпрессии ЗЧЯ, включая дуропластику и экстрадуральную декомпрессию.
Аномалией Киари-1 (АК-1) называют смещение миндаликов мозжечка в большое затылочное отверстие с их клиновидной деформацией, что нередко приводит к нарушению циркуляции ликвора на уровне краниовертебрального перехода и возникновению сирингомиелии. Типичные клинические проявления АК-1 включают цефалгию и симптомы миелопатии, обусловленные сирингомиелией; реже отмечаются мозжечковые расстройства и симптомы нарушения функций черепных нервов. Лечение АК-1 хирургическое, цель операции — нормализация ликвороциркуляции на уровне краниовертебрального перехода. Наиболее распространенный метод лечения АК-1 — задняя декомпрессия краниовертебрального перехода [1], при этом выполняется резекция чешуи затылочной кости и края большого затылочного отверстия. Традиционный вариант операции, помимо костной декомпрессии, включает пластику твердой мозговой оболочки, которая обеспечивает максимальную эффективность операции, но сопряжена с высокой частотой осложнений (псевдоменингоцеле, раневая ликворея, менингит) [2, 3]. В последнее время нередко описывается использование экстрадуральной техники декомпрессии задней черепной ямки (ЗЧЯ), при которой риск осложнений минимален, однако в ряде случаев операции не приносят желаемого эффекта и требуются повторные вмешательства [4]. С целью повышения эффективности и безопасности хирургического лечения АК-1 в 1999 г. предложена техника экспансивной краниопластики [5, 6]. В статье мы описываем модифицированный нами вариант этой техники.
Описание наблюдения
Жалобы, клиническая картина и результаты обследования. Пациентка Г., 16 лет, обследовалась в связи с жалобами на упорные интенсивную инвалидизирующую головную боль и боли в шейно-затылочной области в течение 2 лет. Кроме этого, родственники наблюдали у больной два приступа генерализованных тонических судорог с отключением сознания; электроэнцефалографические данные не подтверждали эпилепсию. Офтальмофундоскопия не выявила признаков внутричерепной гипертензии. При МРТ-обследовании выявлена клиновидная деформация миндаликов мозжечка с их смещением на 17 мм ниже большого затылочного отверстия; гидроцефалии, внутричерепных объемных образований или сирингомиелии не наблюдалось (рис. 1, а). Пациентка госпитализирована для хирургического лечения с диагнозом аномалия Киари-1. При госпитализации в неврологическом статусе имел место спонтанный горизонтальный нистагм, других объективных симптомов не было.

Рис. 1. Данные МРТ и КТ до и после операции. а — МРТ головного мозга до операции: видна клиновидная деформация миндаликов мозжечка и их дислокация в большое затылочное отверстие ниже уровня дужки С1 позвонка; б, в — КТ головного мозга спустя 12 ч после операции: видно, что новое положение костного лоскута (указан желтой стрелкой) позволяет увеличить диаметр большого затылочного отверстия и объем задней черепной ямки; г — МРТ спустя 3 мес после операции: миндалики мозжечка занимают нормальное положение, виден просвет большой затылочной цистерны, нет признаков псевдоменингоцеле.
Ход операции. В условиях общего обезболивания голова пациентки зафиксирована в скобе Mayfield, больная переведена в положение «сидя». Из линейного разреза мягких тканей выполнена срединная костно-пластическая трепанация ЗЧЯ, широко резецирован утолщенный и деформированный край большого затылочного отверстия, резецирована задняя полудуга атланта (объем резекции виден на рис. 3). Иссечен наружный листок твердой мозговой оболочки (ТМО), сквозь истонченный внутренний листок была видна плотно прижатая к нему ткань миндаликов, ТМО оставалась напряженной. Она вскрыта Y-образным разрезом c сохранением паутинной оболочки; после вскрытия ТМО в паутинной оболочке имелось только несколько микроскопических дефектов, сквозь которые поступал ликвор, заполнивший субарахноидальное пространство. В дефект ТМО вшита заплата коллагенового матрикса. Шов ТМО герметизирован пластиной Tахокомб и фибрин-тромбиновым клеем. На свободном костном лоскуте резецирован край большого затылочного отверстия, толщина лоскута уменьшена путем стачивания внутренней костной пластинки в области всех костных выступов. Верхний край костного лоскута фиксирован шелковыми лигатурами, нижний край выдвинут и фиксирован двумя резорбируемыми минипластинами так, чтобы сформировать дополнительное пространство в каудальных отделах ЗЧЯ. Мягкие ткани и кожа ушиты наглухо. Схема операции представлена на рис. 2.

Рис. 2. Схематичное изображение результата операции. а — вид сзади и слева; б — сагиттальный срез (вид слева). 1 — «материнская» кость (чешуя затылочной кости; на рис. б, обозначена пунктирной линией); 2 — перемещенный костный лоскут; 3 — шелковые лигатуры, которыми фиксирован верхний край костного лоскута; 4 — резорбируемые мини-пластины, которыми нижний край костного лоскута жестко фиксирован в новом положении (на рис. а — фрагменты мини-пластин, расположенные за костным лоскутом, обозначены пунктирной линией); 5 — лоскут из коллагенового матрикса, которым выполнена пластика ТМО; 6 — шелковая лигатура, подтягивающая ТМО к костному лоскуту.

Рис. 3. Данные К.Т. спустя 12 ч после операции; 3-мерная реконструкция. а — вид снизу; б — вид изнутри полости черепа; в — вид сзади и справа; г — вид сзади и слева (костный лоскут выделен пунктиром).
Послеоперационное течение. Течение послеоперационного периода было гладким, осложнений не отмечено. Компьютерная томография спустя 12 ч после операции подтвердила удовлетворительное положение костного лоскута (см. рис. 1, б, в. и рис. 3). Пациентка выписана домой спустя 36 ч после операции и вернулась к занятиям в школе через неделю после нее. При контрольном осмотре спустя 3 мес после операции она отметила полный регресс головной боли, боли в шейно-затылочной области, приступы судорог после операции также не повторялись. МРТ головного мозга через 3 мес после операции (см. рис. 1, г) выявила нормальное положение миндаликов мозжечка, появление просвета большой затылочной цистерны, признаков псевдоменингоцеле не было.
Наиболее часто при лечении АК-1 прибегают к декомпрессии ЗЧЯ, при этом выполняется резекция чешуи затылочной кости и края большого затылочного отверстия [1]. Традиционный вариант операции включает пластику ТМО, которая обеспечивает максимальную эффективность операции, но сопряжена с высокой частотой осложнений (псевдоменингоцеле, раневая ликворея, менингит) [2, 3]. В последнее время нередко описывается использование экстрадуральной техники декомпрессии ЗЧЯ, при которой риск осложнений минимален, однако в ряде случаев операции не приносят желаемого эффекта и требуются повторные вмешательства [4]. В этой статье описывается техника экспансивной краниопластики ЗЧЯ при операциях по поводу АК-1 с целью снижения частоты осложнений и неэффективных вмешательств.
История. Экспансивная краниопластика (реконструкция) ЗЧЯ впервые описана H. Sacamoto и соавт. [5] еще в 1999 г. и успешно применяется для лечения АК-1 автором и другими хирургами [6] в Японии, но не получила широкого распространения за ее пределами. Методика H. Sacamoto включает широкую костно-пластическую трепанацию ЗЧЯ, фрагментацию и ремоделирование костного лоскута с последующей его фиксацией шелком. Мы модифицировали методику H. Sacamoto и впервые представляем свой вариант этой методики. В отличие от оригинала, в предлагаемом нами варианте производится менее обширная диссекция мягких тканей; кроме того, за счет использования мини-пластин необходимо лишь минимальное изменение конфигурации костного лоскута, а фиксация лоскута производится прочнее и быстрее.
Сфера применения. Экспансивная краниопластика ЗЧЯ с жесткой фиксацией костного лоскута имеет смысл после любого варианта декомпрессии ЗЧЯ по поводу АК-1, включая дуропластику и экстрадуральную декомпрессию.
Материалы и оснащение. Описанная техника пластики ЗЧЯ при АК-1 требует применения мини-пластин для жесткой фиксации костного лоскута и соответствующих инструментов. В остальном оснащение операционной и расходные материалы не отличаются от таковых при традиционной декомпрессии ЗЧЯ.
Достоинства методики. Пластика ЗЧЯ в сравнении с традиционной резекционной трепанацией имеет следующие достоинства:
1) если планируется закрытие костного дефекта, то его размер не столь лимитирован и хирург имеет возможность более комфортно выполнять дуро- плаcтику через большое костное окно; это должно приводить к повышению качества ушивания ТМО и снижению риска осложнений (ликвореи, псевдоменингоцеле, менингита);
2) костный лоскут создает опору для герметизации дефекта ТМО: Тахокомб, которым выполняется герметизация ТМО, оказывается прижатым к шву оболочки, что должно приводить к снижению частоты осложнений (ликвореи, псевдоменингоцеле, менингита);
3) жестко фиксированный костный лоскут исключает компрессию ТМО мягкими тканями после их тщательного ушивания, что является одной из частых причин неэффективных вмешательств по поводу АК-1; это дает основания рассчитывать на снижение частоты неэффективных операций;
4) фиксация и подтягивание ТМО к краю жестко установленного костного лоскута отодвигает оболочку от мозговых структур и помогает воссоздать просвет большой затылочной цистерны, что дает основания рассчитывать на снижение частоты неэффективных операций, в особенности при использовании экстрадуральной декомпрессии (этот маневр не использовался в описанном здесь наблюдении).
Недостатки описанной техники: стоимость операции повышается за счет использования мини-пластин и незначительного увеличения продолжительности операции. Однако есть основания полагать, что суммарные затраты на лечение больных с АК-1 не увеличатся (а возможно, и сократятся) за счет снижения частоты осложнений и повторных вмешательств. Этот вопрос требует дальнейшего исследования.
Заключение
Описана техника экспансивной краниопластики (реконструкции) задней черепной ямки при аномалии Киари-1, целью применения которой является повышение эффективности и безопасности хирургического лечения; техника может использоваться в дополнение к любому варианту декомпрессии задней черепной ямки, включая дуропластику и экстрадуральную декомпрессию.
Читайте также:
