Апоплексия яичника: симптомы, причины, лечение и рекомендации
Добавил пользователь Владимир З. Обновлено: 18.12.2025
В яичниках половозрелой женщины происходит рост фолликулов, созревание в них яйцеклетки, то есть подготовка к предстоящей беременности. С начала менструального цикла начинает расти доминантный фолликул, который к середине менструального цикла достигает своего максимального размера - около 20 мм. Затем оболочка фолликула разрывается, выпуская из себя созревшую яйцеклетку, - происходит овуляция. На месте лопнувшего фолликула формируется временное образование - желтое тело, которое вырабатывает определенные гормоны, подготавливающие организм женщины к беременности. Это нормальное течение яичникового цикла.
При дистрофических и склеротических изменениях ткани яичников, встречающихся при острых и хронических воспалительных процессах в придатках матки, при синдроме поликистозных яичников и некоторых других заболеваниях, а также при медикаментозной стимуляции овуляции возникают определенные нарушения в процессе овуляции и формирования желтого тела. В результате кровеносные сосуды в месте разрыва яичника плохо сокращаются, продолжается и усиливается внутрибрюшное кровотечение, а в желтом теле из-за ломкости сосудов формируется кровоизлияние - гематома. Все это сопровождается болевым синдромом, слабостью, головокружением, тошнотой, рвотой, бледностью кожных покровов, обморочным состоянием. Без соответствующего лечения внутреннее кровотечение может усиливаться, создавая реальную угрозу здоровью и жизни женщины. К провоцирующим разрыв яичника факторам также относят травму живота, чрезмерное физическое напряжение, бурное половое сношение, верховую езду и т.д.
Частота и формы апоплексии яичника
Апоплексия яичника (разрыв яичника) - внезапный разрыв (нарушение целостности) ткани яичника, сопровождающийся кровотечением в брюшную полость и болевым синдромом.
Среди причин внутрибрюшного кровотечения 0,5-2,5% приходится на апоплексию яичника.
Существует 3 формы апоплексии яичника в зависимости от преобладающих симптомов:
- Болевая форма, когда имеется выраженный болевой синдром, но признаков внутрибрюшного кровотечения нет.
- Анемическая форма, когда на первое место выходят симптомы внутреннего (внутрибрюшного) кровотечения.
- Смешанная форма сочетает в себе признаки болевой и анемической форм апоплексии яичника.
Однако, по современным данным, эта классификация считается неполноценной, поскольку невозможен разрыв яичника без кровотечения.
Поэтому в настоящее время эта патология подразделяется на несколько степеней тяжести: легкую, среднюю и тяжелую (в зависимости от величины кровопотери).
Симптомы апоплексии яичника
Клинические симптомы апоплексии связаны с основным механизмом развития данной патологии:
- Болевой синдром, который возникает прежде всего в середине цикла или после незначительной задержки менструации (при разрыве кисты желтого тела, например). Боли чаще всего локализуются в нижних отделах живота. Иногда боли могут иррадиировать в прямую кишку, в поясничную или пупочную область.
- Кровотечение в брюшную полость, которое может сопровождаться:
- снижением давления,
- увеличением пульса,
- слабостью и головокружением,
- синкопальными состояниями,
- ознобом, повышением температуры тела до 38°С,
- однократной рвотой,
- сухостью во рту.
- Иногда могут возникать межменструальные кровяные выделения или кровяные выделения после задержки менструации.
Достаточно часто, апоплексия яичника происходит после полового акта или занятия в тренажерном зале, то есть при определенных условиях, когда повышается давление в брюшной полости и возможно нарушение целостности ткани яичника. Однако, разрыв яичника может произойти и на фоне полного здоровья.
Причины апоплексии яичника
Причины, способствующие возникновению апоплексии яичника:
- Патологические изменения сосудов (варикозное расширение, склероз).
- Предшествующие воспалительные процессы ткани яичника.
- Момент овуляции.
- Стадия васкуляризации желтого тела (середина и вторая фаза цикла).
Факторы риска, способствующие возникновению апоплексии яичника:
- Травма.
- Поднятие тяжести или тяжелая физическая нагрузка.
- Бурное половое сношение.
Диагностика апоплексии яичника
По данным литературы правильный клинический диагноз апоплексии яичника составляет лишь 4-5%.
Диагностические ошибки объясняются, прежде всего с тем, что клиника этого заболевания не имеет характерной картины и развивается по типу другой острой патологии в брюшной полости и малом тазу.
Больную привозят в стационар с диагнозом «Острый живот». Уточнение причины проводится в стационаре.
Прежде всего апоплексию яичника необходимо дифференцировать от внематочной беременности и острого аппендицита.
Как правило, в случае наличия клиники "острого живота" необходима также консультация смежных специалистов (хирургов, урологов).
Поскольку апоплексия яичника является острой хирургической патологией, диагноз необходимо поставить очень быстро, поскольку увеличение времени до начала операции приводит к увеличению величины кровопотери и может быть угрожающим жизни состоянием.
Наиболее информативными методами исследования являются:
- Характерные жалобы на острые боли в животе, появившиеся в середине или второй половине менструального цикла.
- При осмотре отмечается выраженная болезненность со стороны пораженного яичника, а также становятся положительными симптомы раздражения брюшины.
- В общем анализе крови может отмечаться снижение уровня гемоглобина (при анемической и смешанной формах апоплексии яичников)
- Пункция заднего свода, позволяющая подтвердить или опровергнуть наличие внутрибрюшного кровотечения.
- Ультразвуковое исследование, которое позволяет увидеть в пораженном яичнике большое желтое тело с признаками кровоизлияния в него и/или свободную жидкость (кровь) в животе.
- Лапароскопия, которая позволяет не только 100% установить диагноз, но и произвести коррекцию любой патологии.
Окончательный диагноз апоплексии яичника почти всегда устанавливается во время операции.
Ваши действия при апоплексии необходимо:
- Немедленно принять горизонтальное положение.
- Срочно вызвать "Скорую помощь" для госпитализации в хирургический или гинекологический стационары.
Лечение апоплексии яичника
- Консервативное лечение возможно лишь в случае легкой формы апоплексии яичника, которая сопровождается незначительным кровотечением в брюшную полость.
Больные с легкой формой апоплексии предъявляют жалобы прежде всего на боль внизу живота.
Однако, данные многих исследователей доказывают, что при консервативном ведении таких больных в 85,7% случаев в малом тазу образуются спайки, а 42,8% случаев регистрируется бесплодие.
Практически у каждой 2-ой женщины после консервативного ведения возможно возникновение рецидива (повторной апоплексии яичника). Это связано с тем, что кровь и сгустки, которые накапливаются в брюшной полости после разрыва яичника (апоплексии яичника), не вымываются, как при лапароскопии, остаются в брюшной полости, где организуются и способствуют образованию спаечного процесса в малом тазу.
Консервативное лечение может быть рекомендовано только женщинам, уже реализовавшим свою репродуктивную функцию (то есть уже имеющим детей и не планирующим их иметь) в случае выявления у них легкой формы апоплексии яичника.
Если женщина находится в репродуктивном возрасте и планирует беременность, то тактика даже в случае легкой формы апоплексии яичника должна быть пересмотрена в пользу лапароскопии.
- Хирургическое лечение является основным, поскольку не только позволяет уточнить диагноз, но и провести полноценную коррекцию.
Во всех случаях апоплексии возможно проведение лапароскопии.
Единственным противопоказанием к использованию этого доступа является геморрагический шок (то есть очень большая кровопотеря с потерей сознания).
Операцию необходимо поводить максимально щадящим способом с сохранением яичника.
Как правило, проводится удаление капсулы кисты, коагуляция или ушивание яичника. В редких случаях при массивном кровоизлиянии требуется выполнение удаления яичника.
Во время операции необходимо тщательно промыть брюшную полость, удалить сгустки и кровь, для профилактики образования спаек и бесплодия.
Реабилитационные мероприятия при апоплексии яичника
Реабилитационные мероприятия после внематочной беременности должны быть направлены на восстановление репродуктивной функции после операции. К таковым относятся: предупреждение спаечного процесса; контрацепция; нормализация гормональных изменений в организме. Для предупреждения спаечного процесса широко используют физиотерапевтические методы:
- переменное импульсное магнитное поле низкой частоты,
- низкочастотный ультразвук,
- токи надтональной частоты (ультратонотерапия),
- низкоинтенсивную лазерную терапию,
- электростимуляцию маточных труб; электрофорез цинка, лидазы,
- ультразвук в импульсном режиме.
На время курса противовоспалительной терапии и еще в течение 1 месяца после окончания рекомендуется контрацепция, причем вопрос о ее длительности решается индивидуально, в зависимости от возраста пациентки и особенностей ее репродуктивной функции. Безусловно, следует учитывать желание женщины сохранить репродуктивную функцию. Длительность гормональной контрацепции также сугубо индивидуальна, но обычно она не должна быть менее 6 месяцев после операции.
После окончания реабилитационных мероприятий, прежде чем рекомендовать пациентке планировать следующую беременность, целесообразно выполнить диагностическую лапароскопию, позволяющую оценить состояние маточной трубы и других органов малого таза. Если при контрольной лапароскопии не выявлено патологических изменений, то пациентке разрешают планировать беременность в следующий менструальный цикл.
Перед началом применения любого препарата посоветуйтесь со специалистом и ознакомьтесь с инструкцией по применению.
Киста яичника - симптомы и лечение
Что такое киста яичника? Причины возникновения, диагностику и методы лечения разберем в статье доктора Климанова Александра Юрьевича, гинеколога со стажем в 20 лет.
Над статьей доктора Климанова Александра Юрьевича работали литературный редактор Елена Бережная , научный редактор Сергей Федосов

Определение болезни. Причины заболевания
Киста яичника (греч. «kystis» — мешок, пузырь) — одно из наиболее распространенных доброкачественных гормонозависимых непролиферирующих образований, представляющих собой полость с жидкостным содержимым. Кистозные образования различны по этиологии, морфологии, клинической картине заболевания, а также тактике их лечения.
Киста может возникать в левом и правом яичниках, локализация на течение заболевания не влияет.
По данным различных авторов, каждая третья женщина репродуктивного возраста сталкивалась с подобной проблемой. Часто встречаются кисты яичников и у девочек в возрасте 12-15 лет (55,8% случаев). [1]
Условно можно выделить две группы: функциональные кисты (фолликулярные, текалютеиновые, кисты желтого тела) и истинные (кистомы — серозные, муцинозные, эндометриодные, тератомы и редкие).

Чем отличается киста от кистомы
Кистома — устаревший термин. Сейчас применяют термин цистаденома — доброкачественная опухоль яичника кистозного строения. Рост кист яичника обусловлен увеличением и накоплением жидкостного содержимого в полости, что и отличает их от кистом.
Причины кисты яичника
Факторы риска:
- гормональные дисфункции;
- ранний возраст менархе;
- нарушение менструального цикла;
- стимуляция овуляции при подготовке к программе ЭКО, заболевания яичников воспалительного характера (сальпингоофориты и офориты);
- гипотериоз;
- метаболический синдром;
- хирургические вмешательства (операции и аборты).
Также к факторам риска возникновения кист яичников можно отнести наследственную предрасположенность, тяжелые и вредные условия труда, психоэмоциональное перенапряжение, нарушение питания (строгие монодиеты). Однако в большинстве случаев причины появления кист яичников неизвестны.

При обнаружении схожих симптомов проконсультируйтесь у врача. Не занимайтесь самолечением - это опасно для вашего здоровья!
Симптомы кисты яичника
Зачастую пациентки даже не догадываются о наличии кист из-за их слабой симптоматики. Нередко женщины узнают о своем диагнозе на плановом профилактическом осмотре или при обследовании по поводу другого заболевания. Но все же можно выделить ряд симптомов, указывающих на развитие кисты яичника:
- сбой менструального цикла;
- болевые ощущения при половом акте;
- лабильность настроения (предменструальный синдром) [2] .
Тошнота, увеличение окружности живота, боли при мочеиспускании для кисты яичника не характерны.
Фолликулярные кисты носят, как правило, односторонний характер появления и имеют бессимптомное течение. В размерах такие кисты могут быть от трёх до восьми см, хорошо пальпируются при влагалищном исследовании. В большинстве случаев через два месяца наступает спонтанное разрешение кисты.
Несмотря на достаточно благополучное течение заболевания, могут наблюдаться осложнения, сопровождающиеся картиной острого живота: сильной и резкой болью, симптомами раздражения брюшины, повышением температуры, тошнотой.
Патогенез кисты яичника
На данный момент патогенетические аспекты кист яичников вызывают много споров. Функциональные кисты яичника — это гормонозависимые образования, которые развиваются из граафовых пузырьков под воздействием на яичники стимуляции гонадотропина (также при ранней активации гипоталамо-гипофизарной системы) или на фоне воспалительных заболеваний, в кистозно-атрезирующем фолликуле происходит накопление жидкости.
Механизм появления лютеиновых кист сопряжен и с увеличением выработки гонадотропного гормона, однако это не является основным фактором; воспалительные процессы в яичниках затрудняют отток жидкости в связи с тем, что нарушаются функции лимфатической и кровеносной систем. Помимо этого, наличие у пациенток в анамнезе заболеваний, передаваемых половым путем, также увеличивает вероятность возникновения кист яичников. [3] [4]
Классификация и стадии развития кисты яичника
Функциональные кисты
К ним относятся:
- Фолликулярная киста возникает в первую фазу цикла из доминантного фолликула. Полость таких кист имеет гладкую поверхность и тонкие стенки, нередко возможно образование сразу нескольких фолликулярных кист, однако они всегда состоят из одной камеры, не имеющей перегородок.
- Киста жёлтого тела образуется из не подвергшегося инволюции жёлтого тела, в котором может происходить скопление серозной или геморрагической жидкости. КЖТ имеет утолщённые стенки.
Геморрагические кисты
Геморрагические кисты образуются вследствие разрыва фолликулярной кисты или кисты жёлтого тела и кровоизлиянием внутрь их.
Геморрагические кисты подразделяют на следующие виды:
- Эндометриоидные кисты формируются в результате разрастания эндометрия в яичнике. Стенки таких кист имеют неравномерную васкуляризацию, а также очаги кровоизлияний, [5] содержимое эндометриоидных кист имеет характерный "шоколадный" оттенок.
- Дермоидные кисты — полости с полужидким содержимым, в составе которой заключены компоненты эмбриональных зародышевых листов, соединительнотканные производные: волосы, кожа, в некоторых случаях зачатки зубов. Такие кисты не склонны к быстрому росту.
Истинные кисты
Истинные кисты — эпителиальные опухоли, развивающиеся из эпителиальных компонентов яичника. Встречаются доброкачественные, пограничные и злокачественные
- Муцинозная — относится к доброкачественным эпителиальным опухолям. Такие кисты могут достигать значительных размеров и иметь не одну камеру. Содержимое кисты представлено секретом эпителия — муцином. Полости муцинозных кист имеют неровную поверхность.
- Серозная — также относится к группе доброкачественных эпителиальных опухолей; капсульная поверхность выстлана серозным эпителием.
- Герминогенная опухоль происходит из первичных половых клеток, часто достигает довольно крупных размеров, в 5 % случаев является злокачественной [6] .
Классификация на гормональные и не гормональные кисты яичника не используется.
Поликистоз яичников
Поликистоз яичников — это генетически детерминированное заболевание, не имеющее отношения к теме кист и цистаденом.
Осложнения кисты яичника
Наиболее частыми последствиями заболевания являются разрывы кист яичников, апоплексия, перекруты ножки кисты, кровоизлияния в полость кисты, а также их предперфорация. [7] Все осложнения кисты яичников необходимо дифференцировать с патологиями, имеющими картину острого живота: острый аппендицит, перфорация полого органа, внематочная беременность.
Чем опасна киста яичника
Апоплексия яичника — состояние, сопровождающееся нарушением целостности тканей яичника, в результате которого происходит кровоизлияние жидкости в брюшную полость. Причинами может послужить интенсивная физическая нагрузка, половой акт, беременность. [8] При апоплексии яичника основными жалобами пациенток являются боли внизу живота, иногда с иррадиацией в прямую кишку, кровянистые выделения из половых путей, общая слабость, повышение температуры, сухость во рту, тошнота, учащенное мочеиспускание. [9] В зависимости от формы апоплексии проводят консервативное или оперативное лечение. При развитии данного состояния необходима консультация специалиста.
Ножка, на которой располагается киста, соединяет её с тканью яичника. Если ножка несколько удлиненная, может случится ее перекрут, вследствие чего развиваются ишемические явления, обусловленные сдавлением сосудов и нервов. Пропустить такое состояние сложно, так как оно сопровождается продолжительной острой болью и требует незамедлительной госпитализации в стационар для хирургического вмешательства, иначе может развиться перитонит.
Если лопнула киста
Развитие воспаления в брюшной полости в результате разрыва кисты может привести к сепсису и нарушению нормального функционирования внутренних органов. Иногда разрывы кист больших размеров приводят к удалению яичника. Это последствие кисты яичника требует незамедлительного оперативного вмешательства, так как помимо опасности возникновения перитонита существует риск развития кровотечения.
Диагностика кисты яичника
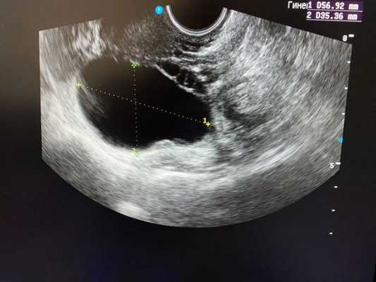
Ультразвуковое исследование органов малого таза является наиболее простым и высокоинформативным методом диагностики различных кист яичников.
Как выглядят при ультразвуковом обследовании нормальные яичники:

Как выглядят яичники при наличии кист:

При диагностике кист яичников не стоит полагаться только на инструментальные методы исследования, необходимо провести подробный сбор анамнестических данных, жалоб, особенностей менструального цикла пациентки, установление дня цикла, а также проведения теста на беременность в случае задержки, для исключения внематочной локализации плодного яйца. При бимануальном исследовании стоит обратить внимание на наличие, а также подвижность и болезненность патологических образований в проекции яичников.
Безусловно, проведение ультразвуковой диагностики трансабдоминальным и трансвагинальным датчиками позволит не только выявить локализацию кисты, но и определить ее структуру, размеры, характер жидкостного содержимого, определить тактику лечения пациентки. Особенностью фолликулярных кист при ультразвуковом исследовании является тонкостенная капсула с отсутствием сосочков внутренней стороны капсулы. [10] Диагностировать кистозные образования у беременных женщин значительно труднее, ввиду увеличения размеров матки на соответствующих сроках беременности, поэтому ультразвуковое исследование стоит проводить с ЦДК и доплерометрией [11] .
При выявлении кист у пациенток пожилого возраста, имеющих тяжелые соматические заболевания, с целью лечения применяется пункционная биопсия [12] .
Диагностическая лапароскопия позволяет не только провести визуальную оценку состояния органов малого таза, но и при необходимости расширить объем операции и удалить кисту, отправив ее содержимое на дальнейшее гистологическое исследование.
Дифференциальная диагностика
Дифференциальную диагностику проводят с другими образованиями придатков и матки: гидросальпинксом, тубовариальным воспалительным образованием, миомой на ножке. В сложных случаях дифференциальной диагностики кист яичников с злокачественными образованиями имеет смысл проведение магнитно-резонансной томографии [13] . Все осложнения кисты яичников необходимо дифференцировать с патологиями, имеющими картину острого живота: острый аппендицит, перфорация полого органа, внематочная беременность.
Анализы
Методы лабораторной диагностики для выявления кист не требуются. При подозрении на злокачественный процесс может быть назначен анализ крови на онкомаркеры СА125 и НЕ-4.
Лечение кисты яичника
Что делать при обнаружении кисты в яичнике
Консервативное лечение. В большом проценте случаев в отношении пациенток с функциональными кистами яичников стоит использовать выжидательную тактику, учитывая при этом размер кисты, ее локализацию, возможные осложнения, а также возраст пациентки и необходимость сохранения репродуктивной способности. Пациентам рекомендуется диетотерапия, лечебная гимнастика, рефлексотерапия. [15]
Медикаментозное лечение. При неосложнённом характере кист препаратами выбора являются двухфазные контрацептивы, витамины группы В и аскорбиновая кислота. [14]
Оперативное вмешательство. Абсолютными показаниями к оперативному лечению функциональных кист яичников являются их осложнения: разрывы кисты и перекрут ножки кисты яичника, относительным — апоплексия яичника (геморрагическая форма). В целях предупреждения развития онкопатологии истинные кисты всегда подвергаются хирургическому лечению.
Как лечить кисту яичника — это во многом будут предопределяться возрастом пациентки, репродуктивным статусом, а также типом кисты, ее размерами и локализацией. Передовые лапароскопические технологии позволяют провести операции с минимальной травматизацией даже пациенткам с кистами яичников больших размеров, а также во время беременности на различных сроках. [16]
У пациенток репродуктивного возраста предпочтение отдается органосохраняющим операциям, основным методом остается энуклеация кисты яичника, то есть рассечение тканей яичника без повреждения самого органа. Капсула кисты удаляется без ее вскрытия, что предотвращает обсеменение брюшной полости содержимым кисты. В случае, если технически данную процедуру провести не представляется возможным, проводится иссечение кисты яичника в пределах здоровых тканей. У пациенток в постменопаузальном периоде одинаково часто встречаются как доброкачественные, так и злокачественные образования яичников, поэтому рационально проведение аднексэктомии — радикального удаления яичника вместе с трубой. После проведенной операции все полученные материалы обязательно отправляются на исследование для установления гистотипа образования яичника.
Лечение лапароскопией. Основным методом лечения цистаденом является лапароскопия при которой через проколы передней брюшной стенки под контролем видеокамеры выполняется удаление образований в яичниках.
Киста яичника при беременности
Если киста во время беременности не вызывает болевых ощущений, то её не лечат.
Удаление кисты яичника при беременности
При быстром росте, подозрении на злокачественный процесс или не устраняемом болевом синдроме выполняется хирургическое лечение с сохранением беременности. На ранних сроках беременности возможно применение лапароскопии.
Реабилитация
После удаления цистаденом реабилитация не требуется. При лапароскопии пациентку выписывают на следующий день после операции.
Можно ли забеременеть при кисте яичника
Функциональна киста может стать препятствием для половой жизни. При цистаденоме трудности с зачатием возможны за счёт смещения и механического сдавления ткани яичника и нарушения анатомии малого таза.
Лечение народными методами
Эффективность и безопасность популярных народных средств для лечения кисты яичника, например корня лопуха, мумие, сока алоэ и прочих, не доказана.
Прогноз. Профилактика
Раз в год каждая женщина должна проходить профилактический осмотр у врача-гинеколога, ведь многие заболевания зачастую имеют бессимптомное течение или же сопровождаются незначительными клиническими проявлениями. Именно к таким патологиям относится киста яичника.
При функциональных кистах яичника достаточно благоприятный прогноз при их своевременном выявлении, динамическом наблюдении и правильно подобранной терапии. В ряде случаев кисты имеют склонность к рецидивам. [17]
Надежных профилактических мероприятий не существует, однако имеется ряд исследований, доказывающих снижение развития функциональных кист на фоне непрерывного приема монофазных комбинированных оральных контрацептивов. [18]
Апоплексия яичника - симптомы и лечение
Что такое апоплексия яичника? Причины возникновения, диагностику и методы лечения разберем в статье доктора Соловьевой Татьяны Сергеевны, гинеколога со стажем в 9 лет.
Над статьей доктора Соловьевой Татьяны Сергеевны работали литературный редактор Маргарита Тихонова , научный редактор Сергей Федосов и шеф-редактор Лада Родчанина
Апоплексия яичника — внезапное кровоизлияние в ткань яичника, сопровождающееся его разрывом и, зачастую, кровотечением в брюшную полость. Проявляется острой болью внизу живота и прогрессирующим ухудшением общего состояния.

Среди всех острых заболеваний женской репродуктивной системы апоплексия яичника занимает третье место по частоте встречаемости [1] . Чаще возникает у молодых женщин, но и в другом возрасте появление данного состояния не исключено [15] . Апоплексия правого яичника случается в несколько раз чаще, чем левого, что объясняется его более обильным кровоснабжением — артерия, питающая правый яичник, отходит непосредственно от брюшной аорты (одного из крупнейших сосудов организма человека), а питающая левый яичник — от почечной артерии (сосуда гораздо меньшего диаметра).
Апоплексия, как правило, возникает в середине менструального цикла в период овуляции, но также может наступить и во вторую фазу, особенно при наличии кисты (например фолликулярной кисты или кисты жёлтого тела).
Причины апоплексии яичника
Небольшое кровоизлияние в яичник в процессе овуляции — обычное явление. Но чтобы наступило острое состояние в виде апоплексии, должны подействовать определённые факторы: например, бурный половой акт, тупая травма живота или сильные физические нагрузки, т. е. любое действие, вызывающее выраженное повышение внутрибрюшного давления.
Разрыв происходит при наличии застойных явлений в варикозно расширенных венах яичника или в склерозированных сосудах. Предрасполагающими факторами могут быть воспалительные заболевания органов малого таза. Также свою роль играют нарушения гормонального профиля — значительное увеличение и изменение гонадотропных гормонов: лютеинезирующего гормона, фолликулостимулирующего гормона и пролактина. Это приводит к избыточному кровенаполнению овариальной ткани. Нарушения функции вегетативной нервной системы в результате стрессов и психоэмоционального напряжения ведут к неправильному формированию жёлтого тела и образованию кист [3] .
К остальным факторам возникновения апоплексии яичника можно отнести:
- неправильное положение матки (смещение в какую-либо сторону), например, из-за спаечного процесса в малом тазу;
- сдавление сосудов, которое приводит к нарушению кровотока в яичнике;
- давление на яичник опухоли;
- стимуляция овуляции — увеличивает риск апоплексии яичника, так как влечёт за собой сбои развития жёлтого тела;
- заболевания крови или приём лекарственных препаратов, ведущих к нарушению её свертывающей способности могут быть факторами длительного и обильного кровотечения.
Также существуют данные о том, что к апоплексии яичника может быть генетическая предрасположенность (по гену GPIIIa, который ассоциируется с тромбозами различной локализации), которая чаще всего реализуется при ожирении, частых стрессовых ситуациях и сопутствующих заболеваниях, а также у курящих женщин [2] [4] .
Апоплексия яичника и беременность
Данное состояние может развиться во время беременности — при разрыве кисты жёлтого тела (которая в первом триместре беременности встречается достаточно часто). Преобладание больных именно в эти периоды обусловлено физиологическим притоком крови к яичнику и повышенной проницаемостью сосудов [16] .
Апоплексии яичника всегда сопутствует боль. Возникает внезапно и остро, часто сразу после воздействия провоцирующего фактора. Боль может быть чрезмерно выражена, локализуется внизу живота на стороне поражения и может "отдавать" в бедро, поясницу, наружные половые органы и задний проход, а также усиливаться при движении. Боль при надавливании на переднюю брюшную стенку сначала односторонняя, затем распространяется на всю нижнюю часть живота.

В редких случаях развитию острого болевого приступа предшествуют тупые незначительно выраженные боли, что может быть вызвано усиленным кровенаполнением яичника или нарастанием внутрияичникового давления.
К болевой симптоматике может присоединяться невыраженное повышение температуры тела, напряжение мышц живота и тошнота, а также симптомы, обусловленные кровотечением в брюшную полость — нарастающая слабость, головокружение, бледность кожи, холодный липкий пот и спутанность сознания вплоть до его потери [5] .
Патогенез апоплексии яичника
Возникновение апоплексии яичника связано со спецификой ткани, из которой он состоит. В течение менструального цикла постепенно формируются условия для развития этой патологии — нарастающее кровоснабжение ткани яичника, овуляция, обильная васкуляризация жёлтого тела (разрастание кровеносных сосудов) и предменструальное кровенаполнение яичника.
На фоне этих физиологических особенностей и при наличии способствующих и провоцирующих факторов может развиться острое состояние. Механизм разрыва яичника заключён в особенностях коркового и мозгового слоёв яичника, строма (ткань) которого более рыхлая. При пропитывании кровью она резко увеличивается в объёме и растягивается. Лишённая эластичности белковая оболочка при нарастании давления разрывается.

Основой нарушения целостности ткани являются дистрофические и склеротические изменения яичника (ткань замещается на более плотную и менее растяжимую — соединительную). Это может произойти вследствие варикозного расширения вен, воспаления органов малого таза, поликистоза яичников и как отдалённое последствие проведённых абортов.
При развитии картины апоплексии кровотечению предшествует образование гематомы, появление которой проявляется сильными и резкими болями внизу живота на стороне поражённого яичника, возникающими за счёт повышения внутрияичникового давления. Процесс может остановиться на фазе образования гематомы с последующим её рассасыванием. Но при воздействии провоцирующего фактора (бурный половой акт, тупая травма живота или сильные физические нагрузки) происходит разрыв гематомы или ткани стромы с последующим кровотечением в брюшную полость [6] .
Классификация и стадии развития апоплексии яичника
Условно выделяют две формы апоплексии яичника: болевую и геморрагическую.
При болевой (псевдоаппендикулярной) форме преобладает боль, кровотечение выражено незначительно и быстро самостоятельно останавливается. Эта форма возникает, если в плоскость разрыва попал сосуд малого калибра.
При геморрагической (анемической)форме преобладают симптомы нарастающей кровопотери — бледность кожи, слабость, вялость, головокружение, снижение артериального давления вплоть до потери сознания. Имеется выраженное или не очень обильное, но длительное кровотечение в брюшную полость, которое самостоятельно не купируется.
Описана также смешанная форма, при которой сочетаются оба признака.
В зависимости от выраженности кровопотери и симптомов заболевания принято выделять три степени тяжести:
- Лёгкая — незначительная кровопотеря (до 150 мл), отмечается лёгкая бледность кожных покровов; слабость и головокружение при перемене положения тела выражены незначительно; артериальное давление в пределах нормы.
- Средней степени — кровопотеря составляет от 150 мл до 500 мл, наблюдается бледность кожи, слабость, вялость, головокружение, снижение артериального давления.
- Тяжёлая — при большом объёме кровопотери (более 500 мл) резкая бледность кожи и слизистых, выраженное снижение артериального давления, нитевидный пульс, потеря сознания.
В зависимости от степени тяжести лечащий врач выбирает тактику дальнейшего лечения апоплексии яичника [7] .
Осложнения апоплексии яичника
При несвоевременно оказанной медицинской помощи и большой кровопотери возможно резкое развитие геморрагического шока, основными клиническими симптомами которого являются резкая бледность кожи, слизистых оболочек, тахикардия и резкое падение артериального давления. Это крайне опасное для жизни острое состояние, при котором нарушается кровоснабжение тканей, ухудшается сердечный выброс, развивается полиорганная и полисистемная недостаточность.
Если не лечить апоплексию яичника, то главным отдалённым последствием может стать спаечный процесс органов малого таза. Спайки — это сращения и тонкие тяжи из соединительной ткани, возникающие в брюшной полости между соседними органами. В основе возникновения спаечного процесса лежит раздражение брюшины (оболочки, покрывающей внутренние органы со стороны брюшной полости). Спайки формируются для защиты организма — они создают препятствие на пути изливающейся крови или воспаления и локализуют процесс. Однако образовавшиеся тяжи соединительной ткани сами становятся проблемой, поскольку мешают правильной работе внутренних органов и даже могут быть причиной бесплодия и внематочной беременности [7] .

При диагностике апоплексии яичника важны анамнестические данные (связь с предшествующим половым актом или физическим напряжением; середина или вторая половина менструального цикла), а также характер начала болей.
Болевая форма заболевания характеризуется приступом болей, как правило, никуда не "отдающих", иногда они могут сопровождаться тошнотой или рвотой. Признаков кровотечения в брюшную полость нет. В случае этой формы необходима дифференциальная диагностика с острым аппендицитом.
При осмотре на гинекологическом кресле живот болезнен при пальпации в подвздошной области, симптомов перитонита нет. Матка обычного размера, безболезненна, определяется несколько увеличенный яичник на стороне поражения. Своды влагалища глубокие, свободные.
Необходимо проведение УЗИ органов малого таза. При его выполнении редко можно увидеть изменения в яичнике, но иногда обнаруживаются косвенные признаки патологии — небольшое скопление жидкости позади матки.
В общем анализе крови при болевой форме можно выявить лишь небольшое повышение лейкоцитов.
При геморрагической форме основными симптомами выступают признаки внутрибрюшного кровотечения (головокружение, слабость, обмороки). Боль часто иррадиирует в наружные половые органы, задний проход, крестец и ноги. При осмотре кожа бледная с холодным липким потом. Артериальное давление снижено, определяется частый пульс.
При осмотре на гинекологическом кресле отмечается резкая болезненность в нижних отделах живота при пальпации, перитонеальные симптомы положительны в нижних отделах живота. Матка не увеличена, может отмечаться её болезненность, покачивания за шейку матки также вызывают резкую боль. На стороне поражения определяется болезненный яичник. Своды влагалища нависают.
Такую форму апоплексии нужно дифференцировать с внематочной беременностью, при которой может быть задержка менструаций, прочие признаки беременности и, как правило, мажущие кровянистые выделения из половых путей.
При этой форме апоплексии яичника обязательно проведение УЗИ, при котором определяется большое количество свободной жидкости в брюшной полости со структурами неправильной формы (кровяными сгустками).

В общем анализе крови отмечается снижение уровня гемоглобина, а также незначительное увеличение лейкоцитов.
При диагностике данной формы (при выявлении свободной жидкости в брюшной полости по УЗИ) необходимо проведение пункции брюшной полости через задний свод влагалища. Такая манипуляция позволяет подтвердить или исключить наличие крови в брюшной полости. Под общим обезболиванием или местной анестезией проводится прокол заднего свода влагалища иглой и набирается жидкость. Её характер оценивается врачом и позволяет определить тактику дальнейшего ведения пациентки.
Одним из методов диагностики апоплексии яичника может быть диагностическая лапароскопия. Это малоинвазивная хирургическая операция, позволяющая получить более полную информацию о состоянии внутренних органов и разглядеть интересующий участок в мельчайших деталях. При необходимости сразу проводятся необходимые лечебные манипуляции, например коагуляция кровоточащего сосуда.

Апоплексия яичника при лапароскопическом обследовании выглядит как приподнятое небольшое пятно до 0,5 см в диаметре с признаками кровотечения или прикрытое сгустком крови, либо же в виде жёлтого тела с разрывом, признаки кровотечения могут отсутствовать [8] .
Если есть подозрения на апоплексию яичника, то нужно незамедлительно вызвать скорую помощь и отправляться в гинекологический стационар. Рекомендовано принять горизонтальное положение и поместить холод на низ живота.
До прибытия в стационар возможно введение кровоостанавливающих препаратов внутримышечно или внутривенно, таких как этамзилат. При геморрагической форме во время транспортировки также проводится внутривенное введение инфузионных растворов.
Необходимое лечение апоплексии яичника зависит от формы и тяжести состояния. Основной его целью является остановка кровотечения и восстановление целостности яичника (если есть такая необходимость). Существуют консервативные и хирургические методы лечения.
Консервативное лечение возможно при болевой формы апоплексии яичника. Представляет собой назначение кровоостанавливающих и обезболивающих препаратов, а также витаминотерапии. Пациентке требуется наблюдение и покой. Также рекомендовано охлаждение нижних отделов живота и проведение УЗИ органов малого таза в динамике (через 12 часов). Наблюдение и лечение проводят в условиях стационара. В случае ухудшения состояния и появления признаков внутреннего кровотечения проводят хирургическое лечение.
Хирургическое лечение показано пациенткам с геморрагической или смешанной формой апоплексии яичника. Оно может производиться лапаротомным (путём разреза) или лапароскопическим (эндоскопическим) доступом, в зависимости от обильности кровотечения, состояния пациентки и возможностей стационара. Приоритетно проведение операции лапароскопическим доступом, так как она не приводит к косметическим дефектам и позволяет достичь быстрой реабилитации.
В ходе операции проводят коагуляцию или ушивание повреждённого сосуда. Если обнаруживается разрыв кисты яичника, то киста удаляется и ушивается яичник. К удалению яичника, как правило, не прибегают.

Если в ходе операции в брюшной полости обнаруживают большое количество крови, то можно прибегнуть к аутогемотрансфузии. Это метод восполнения объёма циркулирующей крови своей же кровью, забранной из брюшной полости. В стерильных условиях кровь удаляют из живота, после чего её фильтруют и вводят внутривенно. Такой метод является наиболее физиологичным и позволяет быстрее восстановить показатели крови, чем при введении кровезамещающих растворов [9] .
В послеоперационном периоде проводят комплексное лечение, включающее лекарственные препараты и физиотерапию. Главной задачей является восстановление гормональных и обменных процессов, устранение причин, вызвавших патологию, проведение профилактики спайкообразования в брюшной полости.
В раннем послеоперационном периоде используются: озонотерапия, магнитотерапия, электрофорез с лонгидазой и цинком [10] .

В отдалённом послеоперационном периоде рекомендовано назначение комбинированных оральных контрацептивов для временного подавления овуляции и профилактики рецидива апоплексии или использование циклической витаминотерапии в сочетании с гестагенами [11] .
Так как существует связь апоплексии яичника и наличия воспалительных заболеваний органов малого таза, в некоторых случаях необходимо назначение курса антибиотикотерапии с последующей коррекцией биоценоза влагалища [12] [13] .
В большинстве случаев прогноз для восстановления репродуктивной функции благоприятный, но имеются некоторые особенности, которые стоит учитывать при планировании и ведении последующей беременности.
Женщины, перенёсшие апоплексию яичника, имеют более высокие риски по угрозе прерывания беременности и преэклампсии. Преэклампсия — это грозное осложнение беременности, характеризующееся выраженным повышенным артериальным давлением, отёками и появлением белка в моче. Также есть риск развития анемии беременных, преждевременного отхода околоплодных вод, бурной родовой деятельности и послеродового кровотечения.
Повторная апоплексия яичника случается у 21-69 % пациенток, не получавших необходимое лечение на этапе реабилитации [14] .
Для предупреждения и минимизации описанных последствий рекомендовано пройти полный курс реабилитации, состоящий из двух этапов — в раннем послеоперационном периоде и в отдалённом периоде.
Женщинам, перенёсшим апоплексию яичника с массивной кровопотерей, особенно если ранее были потери беременности или есть информация о случаях тромбофилии у ближайших родственников, показано исследование системы свёртывания крови, в том числе на тромбогенные ДНК — полиморфизмы.
Беременных, у которых в прошлом были апоплексии яичника, относят к группе риска. Женщинам, у которых была массивная кровопотеря, необходимо исследование свёртывающей системы крови раз в триместр [13] .
Апоплексия яичника ( Инфаркт яичника , Разрыв яичника )
Апоплексия яичника - это неотложное состояние в гинекологии, характеризующееся внезапным нарушением целостности (разрывом) тканей яичника. При апоплексии яичника возникает кровоизлияние в овариальную ткань, различной степени выраженности кровотечение в брюшную полость и острый болевой синдром. Диагностика основана на методах общего осмотра, результатах пункции заднего свода влагалища, УЗИ малого таза, лапароскопии. Лечение апоплексии яичника чаще экстренное хирургическое - органосохраняющее или радикальное. При своевременной помощи и отсутствии осложнений (перитонита, спаек) прогноз для жизни и последующей беременности благоприятный.
МКБ-10



Общие сведения
Синонимами апоплексии яичника служат гематома, инфаркт, разрыв яичника. Апоплексия яичника встречается у 1-3% всех женщин с гинекологической патологией, чаще в возрасте 20-35 лет. Чаще развивается апоплексия правого яичника, что связано с его более богатым кровоснабжением правой яичниковой артерией, отходящей непосредственно от аорты. Правый яичник характеризуется большими размерами, массой и более развитой лимфатической системой. Кровоснабжение левого яичника осуществляется левой яичниковой артерией, ответвляющейся от почечной артерии.
По клинико-морфологическим признакам выделяют кровоизлияния из фолликулярных кист яичника, зрелых фолликулов при овуляции, стромы яичников, кист желтого тела, дисфункционирующих яичников. Апоплексия яичника служит причиной внутрибрюшного кровотечения у 0,5-2,5% пациенток.

Причины
Развитие апоплексии яичника патогенетически связано со спецификой овариальной ткани. Предрасполагающими факторами являются особенности кровенаполнения органов малого таза, изменение проницаемости яичниковых сосудов в разные фазы овариального менструального цикла. При наличии изменений сосудистых стенок в результате расширения и кровенаполнения сосудов их проницаемость может повышаться вплоть до нарушения целости.
Фоном, на котором происходит апоплексия яичника, могут служить дистрофические и склеротические изменения яичниковой ткани вследствие:
- поликистоза яичников;
- варикозного расширения вен яичника;
- оофорита;
- воспаления придатков;
- прерывания беременности и т. д.
Некоторыми авторами в качестве причин апоплексии яичника называются нейроэндокринные расстройства, сопровождающиеся изменением свойств сосудов овариальной ткани, а также прием антикоагулянтов. Апоплексия яичника может возникнуть в любую фазу менструального цикла, но чаще это случается в период овуляции или накануне менструации, когда содержание гонадотропных гормонов достигает своего пика. Также возможен вариант возникновения апоплексии яичника на фоне задержки месячных.
Предрасполагающие факторы
Вероятность апоплексии яичника повышается в связи с медикаментозной стимуляцией овуляции, что может повлечь за собой нарушения процессов овуляции и образования желтого тела. Провоцировать апоплексию яичника могут:
- травма живота;
- физическое перенапряжение;
- верховая езда;
- спортивные занятия;
- бурный или прерванный половой акт и другие моменты, связанные с повышением внутрибрюшного давления.
Однако апоплексия яичника отмечается и при отсутствии провоцирующих факторов. Нередко разрыв яичника коррелирует с развитием аппендицита.
Классификация
С учетом преобладающей симптоматики выделяют следующие формы апоплексии яичника:
- анемическую или геморрагическую форму с преобладанием симптомов кровотечения в брюшную полость;
- болевую форму, при которой отмечается сильный болевой синдром без признаков внутреннего кровотечения;
- смешанную форму, сочетающую симптомы анемической и болевой формы апоплексии яичника.
Однако, поскольку в действительности апоплексия яичника всегда сопровождается кровотечением различной степени выраженности, в настоящее время принято подразделить патологию на степени тяжести. С учетом величины кровотечения различаются легкая, средняя и тяжелая степень апоплексии яичника.

Основными проявлениями апоплексии яичника являются боль и признаки внутреннего кровотечения. Болевой синдром при апоплексии яичника возникает остро, локализуется в нижних отделах живота; может отмечаться иррадиация боли в пупочную или поясничную область, прямую кишку, промежность. Боль может носить различный характер - постоянный или приступообразный, колющий или схваткообразный. Болевой приступ продолжается от получаса до нескольких часов, периодически возвращается в течение суток.
Развитие кровотечения при апоплексии яичника сопровождается снижением АД, учащением и ослаблением пульса, бледностью кожи, общей слабостью, головокружением, обмороками, ознобами, сухостью слизистых рта, рвотой, учащенным мочеиспусканием, позывами к дефекации. После задержки менструации нередко отмечаются кровянистые выделения из половых путей. Без принятия экстренных мер внутрибрюшное кровотечение может прогрессировать и создавать серьезную угрозу жизни пациентки.
- Для легкой степени апоплексии яичника характерны самопроизвольные кратковременные болевые приступы, тошнота, отсутствие перитонеальных явлений и шока.
- Апоплексия яичника средней степени тяжести протекает с сильной болью, общей слабостью, рвотой, обмороком, нерезко выраженными перитонеальными явлениями, шоком I степени.
- При тяжелой апоплексии яичника отмечается выраженная постоянная боль, вздутие живота, рвота, коллапс, холодный пот, тахикардия, шок II-III ст., выраженность перитонеальных симптомов, снижение гемоглобина более 50% от нормы.
Клиника апоплексии яичника может нарастать под маской внематочной беременности, острого аппендицита, маточной беременности, перекрута кисты яичника, почечной колики, острого панкреатита, перитонита, что требует внимательной дифференциальной диагностики.
Осложнения
При значительной кровопотере, сопровождающей апоплексию яичника, может развиться геморрагический шок, а при несвоевременно оказанной помощи - летальный исход. Консервативное ведение апоплексии яичника чревато развитием спаечного процесса в малом тазу (85,7%), бесплодия (42,8%), повторного разрыва яичника (около 50%).
Диагностика
Обычно пациенток с апоплексией яичника госпитализируют с диагнозом «острый живот». Для уточнения причин патологии к диагностике привлекаются хирурги, гинекологи, урологи. Апоплексия яичника требует быстрого и точного распознавания, поскольку нарастание кровотечения утяжеляет состояние и может угрожать жизни женщины. Для дифференциальной диагностики апоплексии яичника проводится:
- Физикальный осмотр. Характерными признаками апоплексии яичника являются жалобы на появление острых болей в животе в середине менструального цикла или его второй половине. При общем осмотре и пальпации обращает внимание болезненность на стороне вовлеченного яичника, вздутость живота, положительные перитонеальные симптомы.
- Лабоарторные исследования. В общем анализе крови при апоплексии яичника отмечается заметное снижение гемоглобина, лейкоцитоз. Для исключения внематочной беременности исследуется кровь на ХГЧ.
- Осмотр на кресле. В ходе влагалищного исследования уточняется гинекологическая природа патологии: выявляется резкая болезненность боковых и заднего свода, пульсация сосудов сводов, в случае массивного кровоизлияния - выбухание заднего свода. При смещении в стороны шейки матки возникает сильная боль. Размеры матки обычно не изменены, иногда слегка увеличены, консистенция плотная. Заинтересованный придаток болезненный, увеличен до размеров куриного яйца, имеет эластичную консистенцию и ограниченную подвижность. При апоплексии яичника возможны выделения крови из половых путей.
- Пункция влагалища. В ходе пунктирования заднего свода влагалища при апоплексии яичника получают кровь или серозно-кровянистую жидкость.
- УЗИ малого таза. Ультразвуковая картина при апоплексии яичника характеризуется наличием свободной жидкости в животе, признаками кровоизлияния в овариальную ткань на пораженной стороне.
- Лапароскопия. Для окончательной диагностики апоплексии яичника и устранения кровотечения показана лапароскопия.

Консервативное лечение
Консервативная тактика возможна лишь в легких случаях апоплексии яичника при отсутствии явных признаков внутреннего кровотечения. Консервативные мероприятия при апоплексии яичника включают назначение строгого покоя, холода на живот, суппозиториев с белладонной, спазмолитиков, витаминов, кровоостанавливающих препаратов. После стихания острого периода проводят диатермию, электрофорез с хлористым кальцием, токи Бернара. При появлении признаков нарастания кровотечения показана немедленная операция.
Хирургическое лечение
В последние годы в экстренной гинекология, как правило, проводится хирургическое лечение апоплексии яичника. Консервативное лечение назначается только пациенткам с легкой формой патологии и реализованной репродуктивной функцией. Если же женщина планирует беременность, то предпочтение отдается хирургическому лечению апоплексии яичника.
Хирургическая тактика при апоплексии яичника обычно включает проведение лапароскопии, реже - чревосечения (при невозможности проведения эндоскопической операции). Противопоказанием к хирургическому пособию может служить крайняя степень геморрагического шока. Операцию стараются проводить максимально щадящим образом, сохраняя ткани яичника. Объем операции при апоплексии яичника может включать:
- коагуляцию мест разрыва овариальной ткани;
- клиновидную резекцию яичника;
- ушивание разрыва яичника;
- оофорэктомию;
- аднексэктомию.
Важным моментом оперативного лечения апоплексии яичника является тщательное промывание брюшной полости, удаление сгустков, что является крайне важной профилактической мерой развития спаечного процесса и бесплодия.
В постоперационном периоде принимаются меры, направленные на предупреждение образования спаек, нормализацию гормональных процессов, восстановление репродуктивных возможностей. На время восстановительного периода после апоплексии яичника пациенткам производится грамотный подбор контрацепции, назначается физиотерапия (магнитотерапия, ультразвук, лазеротерапия, электрофорез с цинком, лидазой, электростимуляция маточных труб).
Прогноз и профилактика
Своевременное распознавание и активное лечение апоплексии яичника сопровождается благоприятным прогнозом в плане сохранения жизни и репродуктивной функции. Ведение беременности у пациенток после апоплексии яичника требует повышенного внимания со стороны акушера-гинеколога.
Чтобы не допустить возникновения или повторения апоплексии яичника необходимо проведение лечения имеющихся гинекологических заболеваний (аднексита, оофорита, СПКЯ, ЗППП и др.), исключение провокационных факторов, наблюдение у гинеколога. При подозрении на апоплексию яичника необходимо обеспечить больной покой, придать горизонтальное положение, положить холод на живот и вызвать скорую помощь.
1. Апоплексия яичника. Этиология. Патогенез. Лечение/ Б.А. Сатыбалдина, Р.Н. Еспаева, Л.С. Сахмулдинова, К.В. Бурычин, Д.К. Муратбаева// Вестник Казахского Национального медицинского университета. - 2015.
2. Апоплексия яичника и ее влияние на репродуктивное здоровье/ Жаркин Н.А., Ткаченко Л.В., Кравченко Т.Г., Гриценко И.В.// Вестник Волгоградского государственного медицинского университета. - 2015.
Читайте также:
