Баротравма легких при декомпрессии. Патогенез баротравмы легких
Добавил пользователь Евгений Кузнецов Обновлено: 11.12.2025
Баротравма - физические повреждения тканей органов тела, содержащих воздух или газы, вызываемые резкими изменениями давления. Факторы, повышающие риск развития баротравмы легких, включают определенные действия (например, быстрое всплытие, задержка дыхания, вдыхание сжатого воздуха) и заболевания легких (например, хроническую обструктивную болезнь легких). Пневмоторакс и пневмомедиастинум являются распространенными проявлениями. Пациенты требуют неврологического обследования и диагностического исследования с визуализацией грудной клетки. Необходимо провести лечение пневмоторакса. Профилактика включает в себя уменьшение действий, создающих риски, и консультирование ныряльщиков, которые подвергаются высокому риску.
Перераздувание легких и альвеолярный разрыв могут произойти при задержке дыхания (как правило, при вдыхании сжатого воздуха) во время подъема, в частности, быстрого подъема. В результате могут возникнуть
Пневмоторакс Пневмоторакс Пневмоторакс - это скопление воздуха в плевральной полости, что приводит к частичному или полному коллапсу легкого. Пневмоторакс может развиваться спонтанно, в результате травм или медицинских. Прочитайте дополнительные сведения Пневмомедиастинум Пневмомедиастинум Пневмомедиастинум- это скопление воздуха в средостении. Основными причинами пневмомедиастинума являются Разрыв альвеол с выходом воздуха в интерстициальную ткань легкого с транслокацией в средостение. Прочитайте дополнительные сведенияПри пневмомедиастинуме также может появиться крепитация в шейном отделе позвоночника, вследствие ассоциированной подкожной эмфиземы, а также хрустящий звук, который можно изредка слышать при аускультации сердца во время систолы (симптом Хаммена). Воздух иногда можно отследить каудально в брюшной полости (ошибочно предполагая разрыв внутреннего органа и необходимость проведения лапаротомии), но он обычно не вызывает развития перитонеальных симптомов.
Напряженный пневмоторакс Пневмоторакс (напряженный) Напряженным пневмотораксом называют скопление воздуха в плевральной полости под давлением, сдавление легких и уменьшение венозного оттока по направлению к сердцу. (См. также Обзор торакальной. Прочитайте дополнительные сведенияАльвеолярный разрыв может привести к попаданию воздуха в легочную венозную циркуляцию с последующей артериальной газовой эмболией Артериальная газовая эмболия Артериальная газовая эмболия - потенциально катастрофическое состояние, которое возникает, когда пузырьки газа, попадая или образуясь в артериальной системе, закупоривают просвет сосуда и вызывают. Прочитайте дополнительные сведения , которая особенно опасна, когда затрагивает головной мозг, но может также поражать другие органы (например, спинной мозг, сердце, кожу, почки, селезенку, желудочно-кишечный тракт).
Компрессия легких может произойти во время очень глубокого погружения при задержке дыхания; компрессия редко приводит к уменьшению легочного объема ниже остаточного объема легких, вызывая отек слизистой оболочки, сосудистую геперемию, отек легких и кровотечение, которые клинически проявляются в виде одышки и кровохарканье при подъеме.
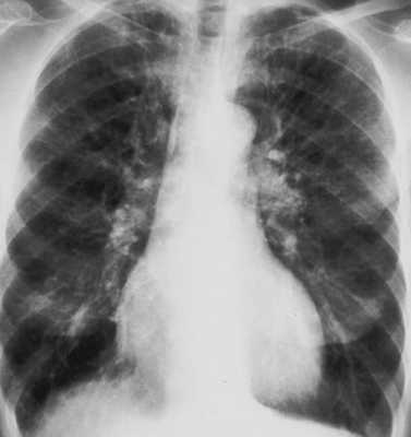
Диагностика
Визуализация грудной клетки
Выполняется рентгенография органов грудной клетки для выявления пневмоторакса или пневмомедиастенума (наличие контрастной полосы вдоль контура сердца). Если рентгенография органов грудной клетки не выявляет нарушений, но клинические данные заставляют подозревать их, показана диагностическая КТ органов грудной клетки, которая более чувствительна по сравнению со стандартной рентгенографией. Ультразвуковое исследование также может использоваться для быстрой диагностики пневмоторакса у кровати пациента. Пневмоперитонеум без разрыва внутреннего органа следует подозревать в том случае, когда он присутствует без наличия перитонеальных признаков.
Если у пациента при неврологическом обследовании обнаруживается неврологический дефицит, следует заподозрить артериальную газовую эмболию головного мозга.
Лечение
При подозрение на напряженный пневмоторакс выполняется пункция плевральной полости с дренированием и последующей торакостомией Процедура выполнения хирургической зондовой торакостомии Дренирование плевральной полости - установка дренажной трубки в плевральную полость для удаления воздуха и жидкости из грудной клетки. Пневмоторакс рецидивирующий, трудно поддающийся лечению. Прочитайте дополнительные сведенияСпецифического лечения при пневмомедиастенуме не требуется; симптомы обычно разрешаются спонтанно в течение нескольких часов или дней. После нескольких часов наблюдения большинство больных могут лечиться амбулаторно; большой поток 100% кислорода рекомендован для ускорения резорбции экстраальвеолярного газа. В редких случаях, для устранения напряженного пневмомедиастенума выполняется медиастинотомия Медиастиноскопия и медиастинотомия Медиастиноскопия - это процедура, при которой эндоскоп вводится через яремную ямку в средостение, чтобы обеспечить его визуализацию. Медиастинотомия - открытый хирургический доступ к средостению. Прочитайте дополнительные сведения .
Профилактика

Основной задачей является предупреждение легочной баротравмы. Существенным является оптимальная продолжительность подъема и соответствующая техника. Пациенты с высоким риском развития пневмоторакса Пневмоторакс Пневмоторакс - это скопление воздуха в плевральной полости, что приводит к частичному или полному коллапсу легкого. Пневмоторакс может развиваться спонтанно, в результате травм или медицинских. Прочитайте дополнительные сведения , хронической обструктивной болезнью легких Хроническая обструктивная болезнь легких (ХОБЛ) Хроническая обструктивная болезнь легких (ХОБЛ) - ограничение воздушного потока, вызванное воспалительным ответом на вдыхаемые токсины, чаще всего сигаретный дым. Менее распространенными причинами. Прочитайте дополнительные сведения , или предшествующим спонтанным пневмотораксом. Такие люди не должны заниматься дайвингом или работать в местах, где применяется сжатый воздух. Больные, страдающие астмой Астма Бронхиальная астма - заболевание, характеризующееся диффузным воспалением дыхательных путей с разнообразными пусковыми механизмами, которое приводит к частично или полностью обратимому бронхоспазму. Прочитайте дополнительные сведения , имеют риск легочной баротравмы, хотя многие такие больные могут безопасно заниматься подводным плаванием после адекватного обследования и лечения. Пациентам с пневмомедиастинумом Пневмомедиастинум Пневмомедиастинум- это скопление воздуха в средостении. Основными причинами пневмомедиастинума являются Разрыв альвеол с выходом воздуха в интерстициальную ткань легкого с транслокацией в средостение. Прочитайте дополнительные сведения
Ключевые моменты
Хотя и редко, легочная баротравма может привести к напряженному пневмотораксу, который должен быть немедленно подвергнут декомпрессии.
Следует проверить всех пациентов с легочной баротравмой на признаки мозговой дисфункции, которая предполагает наличие артериальной газовой эмболии.
Для всех больных с подозрением на легочную баротравму важно начать лечение кислородотерапией 100% кислородом до получения результатов диагностического тестирования.
Дополнительная информация
Следующие англоязычные ресурсы могут быть полезными. Обратите внимание, что The manual не несет ответственности за содержание этих ресурсов.
Респираторный дистресс-синдром
Респираторный дистресс-синдром взрослых (РДСВ) - крайне тяжелое проявление дыхательной недостаточности, сопровождающееся развитием некардиогенного отека легких, нарушений внешнего дыхания и гипоксии. Несмотря на многообразие факторов, приводящих к РДВС, в его основе лежат повреждения легочных структур, вызывающие несостоятельность транспортировки кислорода в легкие. Другими названиями респираторного дистресс-синдрома являются «шоковое», «влажное», «травматическое» легкое.
МКБ-10
Общие сведения
Резкое снижение оксигенации и вентиляции организма вызывает кислородную недостаточность сердца и головного мозга и развитие угрожающих для жизни состояний. При РДСВ летальность в случае несвоевременно или неадекватно оказанной помощи достигает 60-70%.
Причины РДСВ
Механизмом, запускающим развитие респираторного дистресс-синдрома, служит эмболизация мелких сосудов легких микросгустками крови, частичками поврежденных тканей, каплями жира на фоне образующихся в тканях токсичных биологически активных веществ — кининов, простагландинов и др. Микроэмболизация легочных сосудов развивается в результате прямого или опосредованного воздействия на капиллярно-альвеолярную мембрану легочных ацинусов различного рода повреждающих факторов.
Прямое повреждающее воздействие оказывает аспирация крови, рвотных масс и воды, вдыхание дыма и токсических веществ, контузия легких, перелом ребер, разрыв диафрагмы, передозировка наркотических средств. Опосредованное, непрямое повреждение капиллярно-альвеолярных мембран вызывает активация и агрегация форменных элементов крови при бактериальных и вирусных пневмониях, сепсисе, ожогах, сочетанных травмах и травматическом шоке, сопровождающихся массивной кровопотерей, панкреатите, аутоиммунных процессах, электротравме, эклампсии и т. д.
Патогенез
Повышение проницаемости мембраны для белка и жидкости вызывает отек интерстициальной и альвеолярной тканей, снижение растяжимости и газообменной функции легких. Эти процессы приводят к развитию гипоксемии, гиперкапнии и острой дыхательной недостаточности. Респираторный дистресс-синдром может развиваться на протяжении нескольких часов или суток от момента воздействия повреждающего фактора. В течении РДСВ выделяют три патоморфологические фазы РДСВ:
- Острая фаза (до 2-5 суток) - интерстициальный и альвеолярный отек легких, поражение капилляров легких и эпителия альвеол, развитие микроателектазов. В случае благоприятного течения респираторного дистресс-синдрома спустя несколько дней острота явлений стихает, транссудат рассасывается; в противном случае возможен переход в подострое либо хроническое течение.
- Подострая фаза - развитие бронхоальвеолярного и интерстициального воспаления.
- Хроническая фаза - соответствует развитию фиброзирующего альвеолита. Происходит утолщение и уплощение капиллярно-альвеолярных мембран, разрастание в них соединительной ткани, формирование микротромбозов и запустевание сосудистого русла. Исходом хронической фазы респираторного дистресс-синдрома служит развитие легочной гипертензии и хронической дыхательной недостаточности. Выраженный альвеолярный фиброз может возникнуть уже спустя 2-3 недели.
Симптомы РДСВ
Развитие респираторного дистресс-синдрома взрослых характеризуется последовательной сменой стадий, отражающих патологические изменения в легких и типичную картину остро нарастающей дыхательной недостаточности.
- I (стадия повреждения) - первые 6 часов со времени воздействия стрессового фактора. Жалобы, как правило, отсутствуют, клинико-рентгенологические изменения не определяются.
- II (стадия мнимого благополучия) - от 6 до 12 часов со времени воздействия стрессового фактора. Развиваются нарастающая одышка, цианоз, тахикардия, тахипноэ (учащение дыхания более 20 в мин.), беспокойство пациента, кашель с пенистой мокротой и прожилками крови. Одышка и цианоз не купируются кислородными ингаляциями, содержание кислорода в крови неуклонно падает. Аускультативно в легких - хрипы, крепитация; рентгенологические признаки соответствуют диффузному интерстициальному отеку.
- III (стадия дыхательной недостаточности) - спустя 12-24 часа после воздействия стрессового фактора. Клокочущее дыхание с выделением пенистой розовой мокроты, нарастающая гипоксемия и гиперкапния, поверхностное дыхание, увеличение центрального венозного и снижение артериального давления. По всей поверхности легких выслушиваются влажные, множественные хрипы различного калибра. На рентгенограммах определяется слияние очаговых теней. В этой стадии происходит образование гиалиновых мембран, заполнение альвеол фибрином, экссудатом, распадающимися кровяными тельцами, поражение эндотелия капилляров с образованием кровоизлияний и микроателектазов.
- IV (терминальная стадия) - метаболический ацидоз, гипоксемия и гиперкапния не устраняются предельно большими объемами интенсивной терапии и ИВЛ. Ложноположительная рентгенологическая динамика (появление очагов просветлений) вызвана разрастанием соединительной ткани, замещающей паренхиму легких. В этом терминальном периоде респираторного дистресс-синдрома развивается полиорганная недостаточность, характеризующаяся:
- артериальной гипотонией, выраженной тахикардией, фибрилляцией предсердий, желудочковой тахикардией;
- гипербилирубинемией, гиперферментемией, гипоальбуминемией, гипохолестеринемией;
- ДВС-синдромом, лейкопенией, тромбоцитопенией ;
- повышением мочевины и креатинина, олигурией;
- желудочно-кишечными и легочными кровотечениями;
- угнетением сознания, комой.
Осложнения
В ходе купирования респираторного дистресс-синдрома возможны осложнения в виде баротравм легких, бактериальных пневмоний, развития ДВС-синдрома, левожелудочковой сердечной недостаточности. Проявлениями баротравмы, развивающейся вследствие проведения аппаратной вентиляции легких, служат подкожная эмфизема, пневмоторакс, пневмомедиастинум. Повышенный риск развития баротравм у пациентов с респираторным дистресс-синдромом обусловлен перерастяжением альвеол при снижении эластичности легочной ткани.
Острая левожелудочковая недостаточность (или кардиогенный отек легких) при РДСВ обусловлена застоем кровообращения в малом круге. ДВС-синдром (синдром диссеминированного внутрисосудистого свертывания) развивается при сепсисе, панкреонекрозе и других повреждающих факторах и выражается в полиорганном поражении различных систем.
Респираторный дистресс-синдром является критическим состоянием и требует экстренной оценки состояния пациента. Ранними объективными проявлениями РДСВ служат нарастающие одышка, тахикардия и цианоз. Аускультативная картина легких изменяется соответственно стадиям респираторного дистресс-синдрома: от жесткого «амфорического» дыхания к клокочущим влажным хрипам и симптому «немого» («молчащего») легкого в терминальной стадии.
Характерным показателем газового состава крови при РДСВ является РаО2 ниже 50 мм рт. ст. (гипоксемия), несмотря на проводимую оксигенотерапию (при FiО2 более >60%.), нарастание гиперкапнии. У пациентов с РДСВ выраженная дыхательная недостаточность и гипоксемия сохраняются даже при ингаляциях высококонцентрированной кислородной смеси.
Биохимические показатели венозной крови характеризуются гипоальбуминемией, повышением свертывающих факторов, нарастанием трансаминаз и билирубина. При рентгенографии легких на периферии выявляются диффузные множественные тени (симптом "снежной бури"), снижение прозрачности легочной ткани, плевральный выпот обычно отсутствует.
Показатели функции внешнего дыхания свидетельствуют об уменьшении всех дыхательных объемов и статического растяжения легочной ткани менее 5 мл/мм вод. ст. Измерение давления в легочной артерии катетером Суона-Ганца показывает его «заклинивание» на уровне менее 15 мм рт.ст. Респираторный дистресс-синдром следует отличать от кардиогенного отека легких, пневмонии, ТЭЛА.
Лечение респираторного дистресс-синдрома
Лечение респираторного дистресс-синдрома осуществляется в условиях отделения интенсивной терапии и реанимации. Мероприятия по купированию РДСВ включают:
- устранение стрессового повреждающего фактора;
- коррекцию гипоксемии и острой дыхательной недостаточности;
- лечение полиорганных нарушений.
На первом этапе лечения респираторного дистресс-синдрома устраняются прямые повреждающие факторы легких, назначается массивная антибактериальная терапия при бактериальных пневмониях, сепсисе, осуществляется соответствующее лечение ожогов и травм. Для устранения гипоксии проводится подбор адекватного режима кислородотерапии с динамическим контролем газов крови (с поддержанием РО2 не менее 60 мм рт.ст.). Подача кислорода может осуществляться чрез маску или носовой катетер, при неэффективной оксигенации показана ИВЛ (при ЧД 30 в минуту).
Для профилактики развития ДВС-синдрома назначаются ацетилсалициловая кислота, дипиридамол и реополиглюкин, гепарин. Несмотря на интерстициальный и альвеолярный отек, проводится инфузионная терапия для улучшения питания органов, нормализации диуреза и поддержания уровня АД. Эффективность лечения респираторного дистресс-синдрома зависит от его своевременности: оно успешно лишь на ранних стадиях данного состояния до наступления необратимых поражений легочной ткани.
Прогноз и профилактика
Летальность в III стадии респираторного дистресс-синдрома составляет около 80%, в терминальной стадии, соответствующей полиорганной недостаточности, обычно все пациенты погибают. При благоприятном исходе после купирования РДСВ функция легких может практически полностью восстановиться, однако чаще требуется длительная поддерживающая терапия.
Специфические профилактические мероприятия респираторного дистресс-синдрома отсутствуют. Следует остерегаться воздействия стрессовых повреждающих факторов, ведущих к развитию РДСВ.
2. Острый респираторный дистресс-синдром в педиатрической практике/ Александрович Ю.С., Пшениснов К.В.// Вестник интенсивной терапии. - 2014 - No3.
4. Классификация острого респираторного дистресс-синдрома/ Мороз В.В., Голубев А. М. .// Общая реаниматология. - 2012 - №4(4).
Осложнения ИВЛ
Осложнения ИВЛ - это негативные последствия искусственной вентиляции легких, возникающие сразу после ее начала или являющиеся результатом длительной респираторной поддержки. Симптоматика определяется типом нарушений. Могут выявляться признаки дыхательной недостаточности, эмфизема, воспалительные явления, изменения в работе внутренних органов. Патология диагностируется на основании клинической картины и данных объективного обследования: рентгенографии, УЗИ, компьютерной или магнитно-резонансной томографии, определения pH крови. Специфическое лечение включает настройку параметров аппаратуры, купирование воспаления, ушивание повреждений легочной ткани, дренирование грудной полости.
Осложнения респираторной поддержки при ее правильном проведении встречаются сравнительно редко. Чаще всего у пациентов, длительно находящихся в ОРИТ, развиваются застойные пневмонии. Аспирационная разновидность воспаления легких иногда диагностируется у больных, находящихся на поддержке неинвазивного типа (через лицевую маску) более суток. При неправильном выборе режима в 100% случаев обнаруживается газовый ацидоз или алкалоз различной степени тяжести. Аппаратное дыхание на протяжении 2-3 недель и более потенцирует формирование патологических процессов во внутренних органах. Баротравма является наиболее редкой разновидностью осложнений, встречается преимущественно у детей и пациентов астенического телосложения.
Причины
Как правило, сопутствующие патологические состояния становятся результатом нарушения правил вентиляции. При отсутствии таких нарушений трудности, обусловленные неизбежными изменениями в организме, выявляются у отдельных пациентов, вынужденных продолжительное время находиться на внешнем жизнеобеспечении. Подобное происходит при тяжелых травмах, экзо- или эндотоксическом поражении дыхательного центра, крупозных пневмониях. Осложнения ИВЛ развиваются по следующим причинам:
- Высокое давление на вдохе. Повышенное давление провоцирует разрывы легочной ткани, обычно возникает при показателе выше 50 мм рт. ст., однако может иметь место и при более низких цифрах, если вентиляция проводится пациентам пожилого возраста или маленьких детям. Неправильный выбор давления - одна из причин, приводящих к наиболее тяжелым сбоям в работе организма.
- Нарушение гигиены дыхательных путей. Удаление слизи, скопившейся в интубационной или трахеостомической трубке, должно производиться каждые 2-3 часа либо по мере необходимости. Если данное правило не соблюдается, слизь, содержащая в себе бактериальные штаммы, скапливается в трахее, бронхах, легких, что повышает вероятность развития инфекционных процессов.
- Нерегулярный контроль КЩС. Определение кислотно-щелочного равновесия и содержания электролитов в плазме крови является основным видом лабораторного контроля состояния пациента. По его результатам оценивают pH внутренней среды, до развития клинических проявлений определяют наличие ацидоза или алкалоза, корректируют режим работы аппарата. При отсутствии данных этого исследования невозможно диагностировать осложнения ИВЛ на раннем этапе.
- Недостаточный визуальный контроль. Если сотрудники лечебного учреждения не обеспечивают постоянный визуальный контроль состояния аппаратуры и больного, повышается риск того, что пациент самостоятельно отсоединит дыхательный контур, удалит интубационную трубку, подвергнется гипоксии и погибнет. Особого внимания требуют больные, страдающие энцефалопатией любого происхождения и находящиеся в постнаркозном состоянии.
- Длительный аппаратный газообмен. Приводит к постепенному расстройству обменных процессов, дезадаптации дыхательного центра, нарушению электролитного баланса. Предотвратить подобные явления практически невозможно, поскольку они являются естественной реакцией организма на долговременное аппаратное дыхание и недостаточную подвижность.
Патогенез осложнений ИВЛ определяется их характером и причинами. Инфекционные процессы развиваются при скоплении в альвеолах и бронхах большого количества мокроты, содержащей патогенные микроорганизмы. Ослабление иммунитета вследствие основной патологии резко увеличивает вероятность воспаления пораженных участков. Аспирационные разновидности пневмонии становятся следствием неполного расправления легкого при недостаточном объеме вдоха и длительном лежачем положении. При этом в плохо вентилируемых участках быстро развивается анаэробная флора.
Респираторные ацидозы возникают при снижении уровня оксигенации и повышении парциального давления углекислого газа. Происходит сдвиг кривой диссоциации гемоглобина вправо, растет концентрация H + , pH смещается в кислую сторону. Обратный процесс, связанный с гипервентиляцией, снижением pCO2 и уровня H + приводит к формированию алкалоза газового типа. При баротравме патогенез основан на механическом разрыве тканей легкого с выходом воздуха и крови в окололегочное пространство и подкожную жировую клетчатку. Легкое может поджиматься излившейся жидкостью и газом, что инициирует его неполное участие в процессе дыхания.
При самостоятельном отсоединении от аппаратуры основной проблемой является отсутствие адекватного газообмена в легких и развитие гипоксии. Нарушаются окислительные процессы в клетках, происходит накопление углекислого газа. Головной мозг и миокард испытывают кислородное голодание, завершающееся гибелью больного. Если отсоединение произошло по причине удаления интубационной трубки, возникают травмы трахеи. Это провоцирует отек и механическую непроходимость дыхательных путей. Повторно интубировать пациентов удается не всегда, зачастую врачу приходится прибегать к экстренной трахеостомии.
Классификация
Все осложнения ИВЛ считаются тяжелыми и могут угрожать жизни пациента, поэтому систематизация по степени тяжести не используется. Может применяться классификация по скорости течения, в соответствии с которой все состояния делят на молниеносные (самостоятельная экстубация на фоне отсутствия спонтанного дыхания, баротравма), острые (пневмонии), хронические (стрессовые язвы, отеки). Подобный принцип деления крайне условен и не имеет клинического значения. На практике специалисты обычно основываются на систематизации по патогенетическому принципу:
- Баротравма. В зависимости от локализации и размеров разрыва может приводить к формированию интерстициальной эмфиземы, пневмомедиастенума, подкожной эмфиземы, пневмоторакса. Наиболее опасной считается клапанная разновидность последнего, при которой воздух, скопившийся в плевральной полости, сдавливает легкое и полностью исключает его из процесса дыхания.
- Инфекционные осложнения. Основные разновидности - аспирационная и застойная пневмония. Отличаются тяжелым течением, плохо поддаются терапии. Поскольку возбудителем являются внутрибольничные штаммы, антибиотикотерапия не всегда бывает эффективной. Подбор препаратов осуществляют по результатам анализа мокроты на чувствительность к противомикробным препаратам. Кроме того, могут возникать трахеиты, бронхиты, абсцессы дыхательных путей или легких.
- Нарушения КЩС. В компенсированном варианте (сдвиг pH на сотые доли) не представляют угрозы жизни. Субкомпенсированные и декомпенсированные формы приводят к нарушению структуры белков, в том числе гормонов и рецепторов. Следствием становятся системные сбои в работе всех систем организма, полиорганная недостаточность.
- Патомимия. Самостоятельное вмешательство больного в процесс вентиляции легких, удаление трубки, отсоединение контура, отключение аппарата. Критически опасно для жизни, должно пресекаться медицинским персоналом вплоть до мягкой фиксации пациента к постели и введения нейролептических препаратов для купирования психомоторного возбуждения.
- Обменные нарушения. Осложнения ИВЛ, возникающие при длительной поддержке и приводящие к формированию хронических патологических процессов. Включают холестаз, отеки, мочекаменную болезнь, стрессовые язвы желудка и двенадцатиперстной кишки. Сохраняются на весь период искусственной вентиляции, требуют отдельного лечения после восстановления самостоятельного дыхания.
Симптомы осложнений ИВЛ
Баротравма проявляется резкой болью в груди, признаками дыхательной недостаточности на фоне продолжающейся вентиляции. Грудная клетка больного может визуально увеличиваться в объеме, принимать бочкообразную форму. Кожа цианотичная или бледная, покрыта потом. При формировании подкожной эмфиземы пальпация позволяет выявить характерный хруст, возникающий за счет скопившихся в подкожной клетчатке пузырьков воздуха. Аппарат может работать нормально или сигнализировать о нарушении расчётных параметров. При большой кровопотере возникает тахикардия, гипотония, нарушения сознания, в тяжелых случаях - кома.
Пневмония проявляется повышением температуры тела, общим ухудшением самочувствия, болью и ломотой в мышцах, гиперемией лица на стороне воспаления, чувством нехватки воздуха. Могут наблюдаться нарушения гемодинамики, развитие инфекционно-токсического шока. У ослабленных пациентов клинические проявления выражены слабо, картина смазанная. По интубационной трубке отделяется большое количество зловонной гнойной мокроты. Возможна рвота. Больной испытывает жажду, много пьет, если это позволяет сделать аппаратура.
Клинические проявления нарушений КЩС и обменных сбоев варьируют в широких пределах. Симптоматика зависит от вида и степени поражения того или иного органа. Наиболее часто возникает анурия, диарея или запоры, изменяется окраска стула, кожа приобретает желтоватый оттенок. Отмечается тошнота, позывы на рвоту. Пациент отказывается от пищи, воды. Выявляется тахиаритмия, брадикардия, экстрасистолия, снижение уровня АД. Обнаруживаются признаки энцефалопатии эндотоксического генеза. Патомимия, сопровождающаяся прекращением подачи дыхательной смеси, приводит к появлению признаков острой дыхательной недостаточности: цианоза кожи и губ, редкого или полностью отсутствующего дыхания, угнетения сознания.
Диагностика производится врачом анестезиологом-реаниматологом. Требуются консультации других специалистов, в частности - гепатолога, пульмонолога, кардиолога. Помимо этого, пациенту в палате проводят рентгенографическое обследование, УЗИ, электрокардиографию. Мероприятия по определению осложнений должны быть реализованы в короткие сроки, оптимально - в течение 1-2 часов с момента появления симптомов. Затем начинают неотложную терапию или транспортируют больного в операционный блок. К числу диагностических мероприятий относят:
- Осмотр и физикальное обследование. При осмотре обращают внимание на клинические признаки недостаточности дыхания, кровообращения, работы почек или печени. При пневмотораксе перкуссия выявляет тимпанит, звук надтреснутого горшка, при эмфиземе - коробочный звук. При пневмонии в легких выслушиваются хрипы, дыхание проводится не во все отделы. При самостоятельной экстубации отмечаются симптомы удушья.
- Лабораторное обследование. В результатах анализа на КЩС определяется повышение или понижение pH, нарушения в газовом и электролитном составе крови. Обычно чем сильнее выражены лабораторные изменения, тем более тяжелым является состояние пациента. В биохимическом анализе отклонения от нормы возникают при развитии системных патологических процессов. Возможен рост активности печеночных ферментов, увеличение концентрации креатинина и мочевины.
- Инструментальное обследование. При пневмонии рентгенография легких позволяет выявить очаги воспаления, которые визуализируются как участки затемнения. При разрывах легкого просматривается смещенное средостение, коллапс органа. Травмы дыхательных путей обнаруживаются при проведении бронхоскопии. Для уточнения диагноза используют компьютерную томографию пораженного участка.
Лечение осложнений ИВЛ
Лечение баротравмы осуществляется хирургическими методами. При пневмотораксе показана пункция плевральной полости с установкой дренажа. Для расправления легкого используется торакоцентез. Для остановки кровотечения показаны гемостатические препараты. Если малоинвазивное лечение оказывается неэффективным, пациента транспортируют в оперблок для проведения торакотомии и ревизии органов грудной клетки. Дефект ушивают, выполняют коагуляцию, удаляют из плевральной полости скопившийся экссудат и кровь.
Осложнения ИВЛ инфекционного характера требуют назначения антибактериальных и муколитических препаратов, облегчающих отхождение мокроты. Допустимо применение иммуностимулирующих средств, бактериофагов. Обязательным условием является своевременная санация трахеи с удалением отделяющейся мокроты. Стимулировать ее отхождение можно с помощью вибромассажа, постукивания в области лопаток. При необходимости назначается лечебная бронхоскопия.
Коррекция нарушений КЩС производится путем настройки дыхательного аппарата. При ацидозе объем и частоту вдоха увеличивают, при алкалозе - снижают. Оксигенация путем увеличения процентной доли кислорода в дыхательной смеси более чем до 40% допускается только на короткое время (не более 5-10 минут), в противном случае возникает так называемая кислородная интоксикация. Метаболические нарушения во время пребывания пациента в реанимации устраняют посимптомно. При отеках вводят петлевые диуретики, при функциональном холестазе - желчегонные препараты. Запоры требуют назначения слабительных средств и проведения очистительной клизмы. При почечной недостаточности показан гемодиализ.
Прогноз зависит от типа и тяжести нарушения. В большинстве случаев своевременно обнаруженные негативные изменения удается купировать без серьезных последствий. Профилактика заключается в грамотном подборе режимов вентиляции, регулярной очистке дыхательных путей, ранней активизации больного в пределах постели. Пациенты в состоянии психомоторного возбуждения должны быть фиксированы к кровати, альтернативным вариантом действий реаниматолога в подобных случаях является введение психотропных препаратов и гипнотиков. При использовании искусственной респираторной поддержки всем больным требуется круглосуточный надзор со стороны среднего медицинского персонала.
1. Структура осложнений при длительной ИВЛ/ Леонтьев А.С., Короткевич А.Г., Серебренникова Е.В. и др.// Медицина в Кузбассе. - 2012 - Т11, №3.
3. Искусственная и вспомогательная вентиляция легких. Руководство для врачей/ Кассиль В.Л., Выжигина М.А., Лескин Г.С. - 2004.
Взрывная декомпрессия
Содержание
Условия для возникновения взрывной декомпрессии
Armstrong получал взрывную декомпрессию, соответствующую его эквиваленту (1500 м/мин), выпусканием газа из камеры объемом в 1м 3 через отверстие диаметром 14 мм 2 . [1]
Violette (1961) считает, что декомпрессия является взрывной, если имеются два условия: коэффициент утечки выше 1/100 м 2 /м 3 и отношение давлений выше 2,3. [2]
Патогенез взрывной декоспрессии
Как следствие резкого снижения давления у лётчика и членов экипажа (пассажиров, десанта) может возникнуть баротравма легких и слухового аппарата, а также газовая эмболия.
баротравма органов
Баротравма слухового аппарата сопровождается разрывом барабанной перепонки, повреждением слуховых косточек, кровоизлиянием в ткани среднего и внутреннего уха и барабанную полость.
При баротравме легких отмечается жидкая кровь в дыхательных путях, острое вздутие легких, множественные очаговые кровоизлияния и разрывы легочной ткани. Наряду с крупноочаговым характером изменений в легочной ткани по ходу разветвлений бронхов наблюдаются также мелкие разрывы и кровоизлияния.
Баротравма полых органов — разрывы желудка и кишечника вследствие резкого увеличения объема содержащихся в них газов.
острая гипоксия
Острое кислородное голодание вследствие резкого снижения насыщения крови кислородом.
В первые секунды при взрывной декомпрессии наблюдается апноэ (отсутствие дыхательных движений), которое сменяется судорожными, неэффективными сокращениями дыхательной мускулатуры.
Через 20-30 секунд пребывания на высоте свыше 15 000 м артериальное давление резко падает и возникают коллапс и судороги; в этот момент из ноздрей обычно появляются слизистые, окрашенные кровью выделения. Продолжительность сохранения сознания при дыхании атмосферным воздухом у человека составляла: на высоте 14 000 м - от 15 до 33 секунд, на высоте 15 000 м - от 13 до 25 секунд и на высоте 16 000 м и более - от 9 до 22 секунд. Период сохранения ясного сознания в 2 раза короче для всех высот. На 4-5-й секунде у людей качество письменного текста начинает ухудшаться, и через 10 секунд почерк становится совершенно неразборчивым.
На высоте 16 000 м атмосферное давление равно 77 мм ртутного столба, парциальное давление кислорода в атмосферном воздухе будет равно 16 мм, а в альвеолярном воздухе - около 5-6 мм ртутного столба. Практически последнее будет приближаться к нулевой величине, так как сумма напряжения водяных паров (47 мм ртутного столба) и углекислоты (30 мм ртутного столба) равна величине барометрического давления (47+30 = 77).
газовая эмболия
Газовая эмболия возникает вследствие переходы в газообразное состояние растворенных в плазме крови газов (в первую очередь азота).
высотная тканевая эмфизема
Подкожная эмфизема (высотная тканевая эмфизема) — появляется на открытых участках тела при декоспрессии на высотах свыше 19 000 м. Причиной высотной тканевой эмфиземы является превращение жидкостей в пар когда напряжение (упругость) паров данной жидкости делается выше окружающего атмосферного давления. Атмосферное давление на высоте 19 000 м составляет 48 мм ртутного столба, а напряжение водяных паров в жидкостях организма при температуре 37° - 47 мм рт. ст.
Критической высотой для образования высотной эмфиземы считается 19 187 м, где давление атмосферы равно 47 мм ртутного столба. Поэтому, начиная с указанной высоты, создается угроза превращения жидкостей организма в пар. На более значительных высотах, где давление атмосферы ниже 45 мм ртутного столба, эта угроза становится совершенно реальной. Первые проявления такого «закипания» жидкостей организма в эксперименте можно наблюдать в области рта животного, когда в слюне начинают появляться пузырьки газа. Несколько позднее наступает общее раздувание животного, резко изменяющее его общий вид. Спуск животного до высоты 17 000 м приводит почти к мгновенному исчезновению всех явлений, и оно принимает свой нормальный вид. Очевидно, это «раздувание» тела животного и подкожная эмфизема обусловлены превращением в пар жидкости, прежде всего в подкожно-жировой клетчатке.
Подкожная эмфизема при декомпрессии до 30 мм. рт. ст. начинает развиваться через 30—40 секунд (Ddelmann, Hitehoock, 1948, и др.). Исследования газового пузыря при взрывной декомпрессии за 0,02 секунды до 30—25 мм рт. ст. показали наличие в нем водяного пара, углекислоты, азота, кислорода (Beman, Kampf, 1948; И.С. Балаховский, 1956; А.Г. Кузнецов, 1957; Е.А. Коваленко, Ю.А. Юрков, 1961, и др.). [1]
Причина смерти при взрывной декомпрессии
В.Я. Луханин (1970) на основании своих данных, как и другие авторы, приходят к заключению, что основным фактором летальности при быстрой гипобарии является аноксия. Если сопоставить результаты сравнительно-патологических исследований по гипобарии с таковыми при гипоксии, то обнаруживается много общего. [1]
Клинические симптомы взрывной декомпрессии
- быстрое расширение грудной клетки как следствие увеличения объема воздуха в легких, перенесшими декомпрессию описывается как ощущением «удара в грудь»;
- высотный метеоризм — увеличение объема газов в желудки и кишечнике с вздутием живота;
- быстрое (ударное) выхождение воздуха из отверстий носа и рта, кишечных газов из заднего прохода;
- боли в ушах и в области придаточных полостей носа;
- рвота, дефекация, мочеиспускание,
- высотные боли — острые боли в суставах и мышцах, вызванные ишемией тканей вследствие газовой эмболии мелких сосудов;
- чувство замерзания вследствие резкого усиления испарения пота.
Патологическая анатомия
Дифференциальная диагностика прижезненной и посмертной декомпрессии
„. Признаки прижизненной высотной декомпрессии хорошо сохраняются в трупах животных в течение 18 ч после гибели, вызванной этим воздействием. Основными признаками декомпрессии в указанных условиях являются видимые при макроскопическом исследовании внутренних органов газовые пузырьки в кровеносных сосудах крупного, среднего и малого калибра. При электронно-микроскопическом исследовании газовые пузырьки имеют вид правильных сферических полостей, образованных плотно склеенными эритроцитами.
При посмертном воздействии высотой декомпрессии ее признаки менее выражены.
Таким образом, признаками посмертной декомпрессии являются:
- уменьшение или отсутствие подкожной эмфиземы;
- возникновение в просветах кровеносных капилляров газовых пузырьков удлиненной формы вместо пузырьков сферической формы, свойственных прижизненной декомпрессии;
- наличие щелей между эритроцитами, образующими тромбы и газовые полости;
- сочетание автолитических изменений в тканях с механическим повреждением кровеносных сосудов различных органов и паренхимы легких.“ [3]
Взрывная декомпрессия в космосе
«. Еще до недавнего времени влияние взрывной декомпрессии изучали главным образом по данным аварий в кабинах высотных самолетов, а также по материалам экспериментов над животными в барокамерах. Опыты с животными, проведенные в 1966 году в Школе авиационной медицины ВВС США, позволяют считать, что в условиях взрывной декомпрессии человек, вероятно, располагает сравнительно большим запасом так называемого резервного времени (время, в течение которого человек не теряет в таких условиях сознания), чем это предполагалось раньше. В течение 1 сек давление в барокамере, где находились животные, понижали со 180 мм рт. ст. до менее чем 2 мм рт. ст. При столь низком давлении собаки находились в течение 5—10 сек, а шимпанзе — до 150 сек. И собаки и шимпанзе через 9—12 сек после начала декомпрессии впадали в шоковое состояние. В этот момент у них можно было наблюдать «раздутие» тел, конвульсии, затрудненное дыхание и общее спастическое состояние мышц. И если у 18—20% собак после 120—180 сек декомпрессии наступала смерть, то у всех шимпанзе после декомпрессии в течение 150 сек восстанавливалось нормальное состояние без каких-либо последствий для нервной системы. После рекомпрессии (повышения давления до нормального) они начинали самопроизвольно дышать. Следовательно, их сердечно-сосудистая система функционировала еще достаточно хорошо, чтобы восстановить нормальное кровяное давление.
Нескольких шимпанзе подвергли декомпрессии в атмосфере чистого кислорода, давление в барокамере снижалось в течение 0,8 сек со 179 до 2 мм рт. ст., животных выдерживали при этом низком давлении 210 сек. После рекомпрессии, производившейся постепенно, шимпанзе поправлялись и были способны выполнять сложные задания, которым их прежде обучили. Повторные эксперименты неизменно давали те же результаты. Это свидетельствует о том, что человек тоже способен переносить экстремально низкие давления лучше, чем мы предполагаем. Вполне вероятно, что космонавта, находящегося за пределами космического корабля, можно будет спасти, если его скафандр неожиданно получит повреждения и в нем вследствие утечки начнет резко понижаться давление воздуха или кислорода. » [4]
Баротравма
Баротравма — это поражение тканей в результате изменения давления и расширения либо сжатия газа в органах человеческого тела.
Возможные участки поражения — легкие, ЖКТ, лицо под маской, уши, глаза или околоносовые пазухи.
Риск баротравмы наиболее высокий от поверхности до глубины 10 метров.
Для профилактики баротравм рекомендуется всплывать медленно, не задерживая дыхание (легочная баротравма), выдыхать воздух через нос внутрь маски (баротравма лица) и зевать или сглатывать с зажатыми ноздрями и применять назальный деконгестант перед нырянием (баротравма ушей и пазух).
Повышенное наружное давление равномерно передается крови и тканям организма; при этом они не сжимаются, поскольку состоят преимущественно из жидкости. Соответственно, ноги не ощущают повышенного давления воды. Тем не менее, газы (например, воздух в легких, пазухах, среднем ухе или внутри маски или очков) с увеличением или уменьшением наружного давления сжимаются или расширяются. Это расширение и сжатие вызывает боль и может повредить ткани.
Баротравма чаще всего поражает уши. Наибольшую опасность для организма представляет легочная баротравма. Риск возникновения баротравмы увеличивают состояния, препятствующие свободному перемещению воздуха между полостями, например, заложенность пазух или закупорка евстахиевой трубы (канала, соединяющего среднее ухо с носоглоткой).
Легочная баротравма
Воздух, находящийся под большим давлением, сжимается, поэтому на глубине в каждом вдохе содержится гораздо больше молекул воздуха, чем на поверхности. Так, на глубине 10 м (при давлении в 2 абсолютных атмосферы) в каждом вдохе содержится вдвое больше молекул, чем на поверхности (соответственно, воздушный баллон акваланга опустошается в два раза быстрее). Когда давление падает, воздух расширяется и увеличивается в объеме. Поэтому если дайвер наполнит легкие сжатым воздухом на глубине 10 м и всплывет, задержав дыхание, объем воздуха в легких удвоится и раздует их.
Раздувая легкие, воздух разрывает альвеолы и выходит из них. Попав в пространство между легкими и грудной стенкой, этот воздух продолжает расширяться и вызывает спадание легких (пневмоторакс Пневмоторакс Пневмоторакс — наличие воздуха между двумя слоями плевры (тонкой, прозрачной, двухслойной мембраны, покрывающей легкие и выстилающей изнутри грудную стенку), что приводит к частичному или полному. Прочитайте дополнительные сведенияНаиболее частая причина легочных баротравм — задержка дыхания во время всплытия, как правило, связанная с тем, что в баллонах акваланга закончился воздух. Запаниковав, аквалангист может забыть о необходимости выдыхать воздух по мере его расширения в легких во время всплытия. Воздушная эмболия может произойти уже на метровой глубине, если дышавший сжатым воздухом человек быстро всплывет, задержав дыхание. Легочные баротравмы случаются даже в бассейне, если пловец вдохнет воздух на глубине 1-1,5 метра от поверхности (например, из перевернутого ведра, которое держат под водой, или когда там проверяют акваланг) и не выдохнет его во время всплытия. Легочная баротравма также может возникать из-за расширения газа в тех участках легких, где этого происходить не должно, вследствие заболевания.
Симптомы
Симптомы баротравмы обычно возникают у поверхности воды во время погружения или всплытия. Характер симптомов зависит от пораженного органа. Некоторые виды баротравм, кроме легочных, вызванных перепадами давления, называют обжимами.
Легочная баротравма
Пневмоторакс Пневмоторакс Пневмоторакс — наличие воздуха между двумя слоями плевры (тонкой, прозрачной, двухслойной мембраны, покрывающей легкие и выстилающей изнутри грудную стенку), что приводит к частичному или полному. Прочитайте дополнительные сведенияБаротравма лица (обжим маской)
Если всплывающему аквалангисту не удается выровнять давление внутри маски относительно давления воды, то относительно низкое давление внутри маски, по сути, превращает ее в большую медицинскую банку, поставленную на глаза и лицо. Разность давлений внутри и снаружи маски приводит к тому, что расположенные у поверхности глаз и лица кровеносные сосуды расширяются, выделяют жидкость, а затем лопаются и кровоточат. Глаза наливаются кровью, но зрение обычно не ухудшается. В редких случаях обжим может спровоцировать кровотечение позади глазного яблока, вызывающее потерю зрения. Кровоизлияние из кровеносных сосудов лица обычно сопровождается образованием кровоподтеков.
Баротравма уха
Если во время спуска давление внутри среднего уха становится ниже, чем давление воды, происходит болезненное выпячивание барабанной перепонки Евстахиева труба: поддержание одинакового давления внутрь. Когда разность давлений становится достаточно большой, барабанная перепонка лопается, и в среднее ухо врывается поток холодной воды, вызывающий системное головокружение (очень сильное головокружение с ощущением вращения), дезориентацию, тошноту, а в некоторых случаях — рвоту. Эти симптомы являются признаками баротравмы уха Баротравма уха Баротравма — это повреждение, вызванное повышением давления воздуха, например, во время полетов на самолете или подводного плавания с аквалангом. Баротравма может вызвать боль в ухе или повреждение. Прочитайте дополнительные сведения и могут привести к утоплению дайвера. Когда попавшая в ухо вода достигает температуры тела, системное головокружение стихает. Разрыв барабанной перепонки ухудшает слух, а через несколько часов или суток может привести к развитию весьма болезненной инфекции среднего уха, сопровождающейся выделениями. Баротравма может также повредить внутреннее ухо и вызвать внезапную потерю слуха, звон в ушах (тиннит Звон или шум в ушах Звон в ушах (тиннит) — шум, возникающий в ухе, а не в окружающей среде. Это симптом, а не конкретное заболевание. Звон в ушах является очень распространенным явлением: от 10 до 15 % людей испытывают. Прочитайте дополнительные сведения ) и системное головокружение.
Баротравма пазух
Воздействие разности давления на носовые пазухи (заполненные воздухом полости в костях вокруг носа) аналогично механизму возникновения баротравмы уха. Баротравма пазух сопровождается болью в голове и лице при погружении и ощущением онемения лица или заложенности носа либо носовым кровотечением при всплытии.
Баротравма зубов
Давление в воздушных карманах у корней зубов или около пломб может спровоцировать зубную боль или повредить зубы.
Баротравма глаз
Между жесткой контактной линзой и глазом могут образоваться мелкие пузырьки воздуха. Эти пузырьки могут повредить глаз и вызвать раздражение, потерю зрения и появление ореолов вокруг источников света.
Баротравма желудочно-кишечного тракта
Неправильная техника дыхания через регулятор акваланга или неудачная попытка выровнять давление в ушах и пазухах может привести к тому, что во время погружения аквалангист проглотит небольшое количество воздуха. При всплытии этот воздух расширяется, вызывая ощущение переполнения желудка, судороги, боль, отрыжку и метеоризм. Обычно эти симптомы проходят сами собой. В редких случаях может произойти разрыв желудка или кишечника, сопровождающийся сильной болью в животе и тяжелой болезнью.
Основываясь на симптомах и истории дайвинга
Исследования варьируются в зависимости от типа баротравмы
Диагностика баротравмы осуществляется в основном по природе симптомов и по их взаимосвязи с дайвингом. В зависимости от симптомов могут потребоваться визуализирующие обследования. Так, при легочной баротравме обычно делают рентген грудной клетки. При баротравме уха или глаза проверяют слух или зрение.
Давление в легких и в дыхательных путях автоматически выравнивается с наружным давлением при подаче на глубину сжатого воздуха, либо через водолазный шлем, либо из баллона. Этот сжатый воздух также нормализует давление в пазухах, если они не сужены, например, в результате аллергического воспаления или инфекции верхних дыхательных путей.
Давление внутри маски нормализуется при выдохе в маску через нос. Защитные очки (которые носят некоторые пловцы) не следует использовать во время дайвинга, потому что невозможно уравнять давление за защитными очками. Давление внутри среднего уха выравнивается при зевании или сглатывании с зажатыми ноздрями — в этот момент открывается канал между средним ухом и носоглоткой (евстахиева труба).
Беруши или облегающий капюшон гидрокостюма создает закрытое пространство между берушами/прилегающей к уху тканью и барабанной перепонкой и не позволяют выровнять давление находящегося в этой области воздуха. Давление внутри очков для плавания также невозможно выровнять. Соответственно, во время дайвинга нельзя пользоваться берушами или очками для плавания. Облегающие капюшоны гидрокостюмов должны быть достаточно воздухопроницаемыми, чтобы не блокировать наружное ухо.
Дайверы с заложенностью носа могут принять перед погружением деконгестант (например, псевдоэфедрин в таблетках или назальный спрей, такой как оксиметазолин). Снятие заложенности носа способствует выравниванию давления в ушах и пазухах и является профилактикой баротравм пазух и ушей.
Во избежание легочной баротравмы необходимо выдохнуть в процессе всплытия весь воздух, полученный на глубине — даже на глубине бассейна. Люди с заболеваниями легких, такими как астма, должны пройти оценку на предмет способности заниматься дайвингом перед тем, как нырять.
Лечение для снижения давления
Лечение отдельных повреждений тканей и осложнений
Баротравмы ушей и пазух лечат назальными деконгестантами (например, оксиметазолиновым назальным спреем) или оральными деконгестантами. В некоторых случаях, когда процесс выздоровления идет крайне медленно, пострадавшему могут назначаться кортикостероиды в таблетках или в виде назального спрея. Значительная потеря слуха, звон в ухе или системное головокружение указывают на повреждение внутреннего уха и являются поводом для срочного обследования у врача. Баротравма внутреннего уха может потребовать хирургического вмешательства для предотвращения необратимой потери слуха.
Разорванная барабанная перепонка обычно заживает сама собой, а лечение инфекции среднего уха требует приема антибиотиков перорально либо в виде ушных капель. Разрыв канала между средним и внутренним ухом может потребовать экстренного хирургического вмешательства во избежание стойкого поражения.
Разрыв желудка или кишечника требует хирургического вмешательства.
Могут быть полезны перечисленные ниже ресурсы на английском языке. Обратите внимание, что составители СПРАВОЧНИКА не несут ответственности за содержание этих ресурсов.
Информационная сеть для дайверов Divers Alert Network: круглосуточный телефон для экстренных случаев 919-684-9111
ПРИМЕЧАНИЕ: Это — пользовательская версия ВРАЧИ: Нажмите здесь, чтобы перейти к профессиональной версии
Авторское право © 2022 Merck & Co., Inc., Rahway, NJ, США и ее аффилированные лица. Все права сохранены.
Читайте также:
- Причины, частота, диагностика и лечение юношеской ангиофибромы носоглотки
- Виды язвенного колита. Течение язвенного колита.
- Эпилептические приступы при дополнительных очагах в коре. Сложные парциальные эпилептические припадки.
- Висцеральные боли центрального генеза. Позвоночно-спинномозговые боли
- Синдром Маделунга (Madelung)
